A Novel Method for Evaluating Early Tumor Response Based on Daily CBCT Images for Lung SBRT
Abstract
Simple Summary
Abstract
1. Introduction
2. Methods and Materials
2.1. Patient Selection
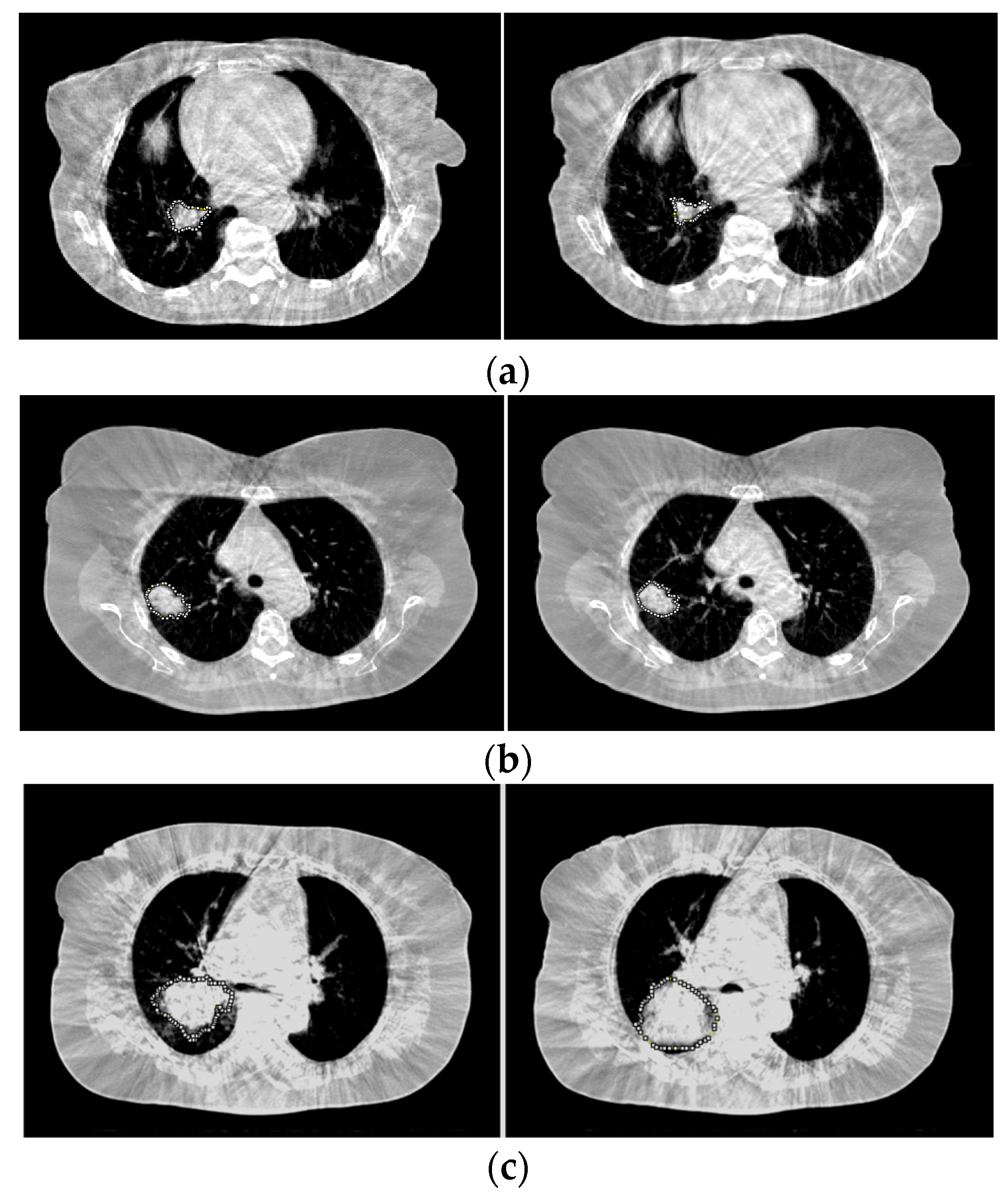
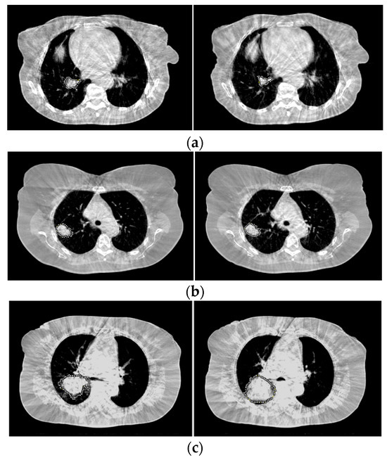
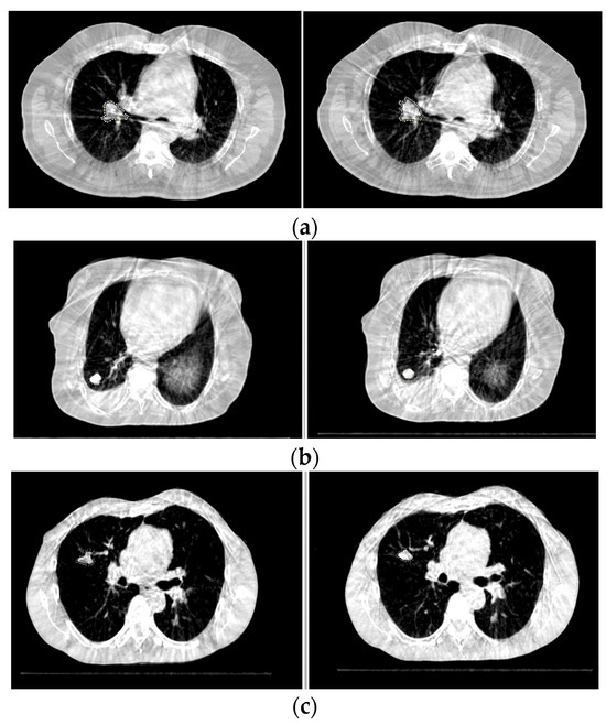
2.2. Image Analysis
2.3. Tumor Response Evaluation Parameters
2.4. Radiologic Assessment of Tumor Response
2.5. Statistical Analysis
3. Results
3.1. RA, RCNR, Rμ, and R
3.2. The ROC Curves and Cutoffs of Rs
3.3. Comparisons
4. Discussion
5. Conclusions
Author Contributions
Funding
Institutional Review Board Statement
Informed Consent Statement
Data Availability Statement
Acknowledgments
Conflicts of Interest
References
- Therasse, P.; Arbuck, S.G.; Eisenhauer, E.A.; Wanders, J.; Kaplan, R.S.; Rubinstein, L.; Verweij, J.; Van Glabbeke, M.; van Oosterom, A.T.; Christian, M.C.; et al. New Guidelines to Evaluate the Response to Treatment in Solid Tumors. JNCI J. Natl. Cancer Inst. 2000, 92, 205–216. [Google Scholar] [CrossRef] [PubMed]
- Eisenhauer, E.A.; Therasse, P.; Bogaerts, J.; Schwartz, L.H.; Sargent, D.; Ford, R.; Dancey, J.; Arbuck, S.; Gwyther, S.; Mooney, M.; et al. New response evaluation criteria in solid tumours: Revised RECIST guideline (version 1.1). Eur. J. Cancer 2009, 45, 228–247. [Google Scholar] [CrossRef] [PubMed]
- Nishino, M. Tumor Response Assessment for Precision Cancer Therapy: Response Evaluation Criteria in Solid Tumors and Beyond. Am. Soc. Clin. Oncol. Educ. Book 2018, 38, 1019–1029. [Google Scholar] [CrossRef] [PubMed]
- Subbiah, V.; Chuang, H.H.; Gambhire, D.; Kairemo, K. Defining Clinical Response Criteria and Early Response Criteria for Precision Oncology: Current State-of-the-Art and Future Perspectives. Diagnostics 2017, 7, 10. [Google Scholar] [CrossRef] [PubMed]
- Weber, W.A. Assessing Tumor Response to Therapy. J. Nucl. Med. 2009, 50 (Suppl. S1), 1S–10S. [Google Scholar] [CrossRef] [PubMed]
- Rahmim, A.; Schmidtlein, C.R.; Jackson, A.; Sheikhbahaei, S.; Marcus, C.; Ashrafinia, S.; Soltani, M.; Subramaniam, R.M. A novel metric for quantification of homogeneous and heterogeneous tumors in PET for enhanced clinical outcome prediction. Phys. Med. Biol. 2016, 61, 227–242. [Google Scholar] [CrossRef] [PubMed]
- Coche, E. Evaluation of lung tumor response to therapy: Current and emerging techniques. Diagn. Interv. Imaging 2016, 97, 1053–1065. [Google Scholar] [CrossRef]
- Ko, C.-C.; Yeh, L.-R.; Kuo, Y.-T.; Chen, J.-H. Imaging biomarkers for evaluating tumor response: RECIST and beyond. Biomark. Res. 2021, 9, 52. [Google Scholar] [CrossRef]
- Pierson, C.; Grinchak, T.; Sokolovic, C.; Holland, B.; Parent, T.; Bowling, M.; Arastu, H.; Walker, P.; Ju, A. Response criteria in solid tumors (PERCIST/RECIST) and SUVmax in early-stage non-small cell lung cancer patients treated with stereotactic body radiotherapy. Radiat. Oncol. 2018, 13, 34. [Google Scholar] [CrossRef]
- Dahele, M.; Palma, D.; Lagerwaard, F.; Slotman, B.; Senan, S. Radiological Changes After Stereotactic Radiotherapy for Stage I Lung Cancer. J. Thorac. Oncol. 2011, 6, 1221–1228. [Google Scholar] [CrossRef]
- Febbo, J.A.; Gaddikeri, R.S.; Shah, P.N. Stereotactic Body Radiation Therapy for Early-Stage Non–Small Cell Lung Cancer: A Primer for Radiologists. RadioGraphics 2018, 38, 1312–1336. [Google Scholar] [CrossRef] [PubMed]
- Faivre, S.; Zappa, M.; Vilgrain, V.; Boucher, E.; Douillard, J.-Y.; Lim, H.Y.; Kim, J.S.; Im, S.-A.; Kang, Y.-K.; Bouattour, M.; et al. Changes in Tumor Density in Patients with Advanced Hepatocellular Carcinoma Treated with Sunitinib. Clin. Cancer Res. 2011, 17, 4504–4512. [Google Scholar] [CrossRef] [PubMed]
- Yip, S.S.F.; Aerts, H.J.W.L. Applications and limitations of radiomics. Phys. Med. Biol. 2016, 61, R150–R166. [Google Scholar] [CrossRef] [PubMed]
- Fave, X.; Zhang, L.; Yang, J.; Mackin, D.; Balter, P.; Gomez, D.; Followill, D.; Jones, A.K.; Stingo, F.; Liao, Z.; et al. Delta-radiomics features for the prediction of patient outcomes in non–small cell lung cancer. Sci. Rep. 2017, 7, 588. [Google Scholar] [CrossRef] [PubMed]
- Shi, L.; He, Y.; Yuan, Z.; Benedict, S.; Valicenti, R.; Qiu, J.; Rong, Y. Radiomics for Response and Outcome Assessment for Non-Small Cell Lung Cancer. Technol. Cancer Res. Treat. 2018, 17, 1–14. [Google Scholar] [CrossRef] [PubMed]
- Chetan, M.R.; Gleeson, F.V. Radiomics in predicting treatment response in non-small-cell lung cancer: Current status, challenges and future perspectives. Eur. Radiol. 2021, 31, 1049–1058. [Google Scholar] [CrossRef]
- Walls, G.; Osman, S.; Brown, K.; Butterworth, K.; Hanna, G.; Hounsell, A.; McGarry, C.; Leijenaar, R.; Lambin, P.; Cole, A.; et al. Radiomics for Predicting Lung Cancer Outcomes Following Radiotherapy: A Systematic Review. Clin. Oncol. 2022, 34, e107–e122. [Google Scholar] [CrossRef]
- Kupelian, P.; Ramsey, C.; Meeks, S.; Willoughby, T.R.; Forbes, A.; Wagner, T.H.; Langen, K.M. Serial megavoltage CT imaging during external beam radiotherapy for non-small-cell lung cancer: Observations on tumor regression during treatment. Int. J. Radiat. Oncol. Biol. Phys. 2005, 63, 1024–1028. [Google Scholar] [CrossRef]
- Brink, C.; Bernchou, U.; Bertelsen, A.; Hansen, O.; Schytte, T.; Bentzen, S.M. Locoregional Control of Non-Small Cell Lung Cancer in Relation to Automated Early Assessment of Tumor Regression on Cone Beam Computed Tomography. Int. J. Radiat. Oncol. 2014, 89, 916–923. [Google Scholar] [CrossRef]
- Jabbour, S.K.; Kim, S.; Haider, S.A.; Xu, X.; Wu, A.; Surakanti, S.; Aisner, J.; Langenfeld, J.; Yue, N.J.; Haffty, B.G.; et al. Reduction in Tumor Volume by Cone Beam Computed Tomography Predicts Overall Survival in Non-Small Cell Lung Cancer Treated with Chemoradiation Therapy. Int. J. Radiat. Oncol. 2015, 92, 627–633. [Google Scholar] [CrossRef][Green Version]
- Mazzola, R.; Fiorentino, A.; Ricchetti, F.; Levra, N.G.; Fersino, S.; Di Paola, G.; Casto, A.L.; Ruggieri, R.; Alongi, F. Cone-beam computed tomography in lung stereotactic ablative radiation therapy: Predictive parameters of early response. Br. J. Radiol. 2016, 89, 20160146. [Google Scholar] [CrossRef] [PubMed]
- Cremolini, C.; Loupakis, F.; Antoniotti, C.; Lonardi, S.; Masi, G.; Salvatore, L.; Cortesi, E.; Tomasello, G.; Spadi, R.; Zaniboni, A.; et al. Early tumor shrinkage and depth of response predict long-term outcome in metastatic colorectal cancer patients treated with first-line chemotherapy plus bevacizumab: Results from phase III TRIBE trial by the Gruppo Oncologico del Nord Ovest. Ann. Oncol. 2015, 26, 1188–1194. [Google Scholar] [CrossRef] [PubMed]
- Grewal, A.S.; Min, E.J.; Long, Q.; Grewal, S.K.; Jain, V.; Levin, W.P.; Cengel, K.A.; Swisher-McClure, S.; Aggarwal, C.; Baum, J.M.; et al. Early tumor and nodal response in patients with locally advanced non-small cell lung carcinoma predict for oncologic outcomes in patients treated with concurrent proton therapy and chemo-therapy. Int. J. Radiat. Oncol. Biol. Phys. 2020, 106, 358–368. [Google Scholar] [CrossRef] [PubMed]
- Paul, J.; Yang, C.; Wu, H.; Tai, A.; Dalah, E.; Zheng, C.; Johnstone, C.; Kong, F.-M.; Gore, E.; Li, X.A. Early Assessment of Treatment Responses During Radiation Therapy for Lung Cancer Using Quantitative Analysis of Daily Computed Tomography. Int. J. Radiat. Oncol. 2017, 98, 463–472. [Google Scholar] [CrossRef] [PubMed]
- Wen, Q.; Zhu, J.; Meng, X.; Ma, C.; Bai, T.; Sun, X.; Yu, J. The Value of CBCT-based Tumor Density and Volume Variations in Prediction of Early Response to Chemoradiation Therapy in Advanced NSCLC. Sci. Rep. 2017, 7, 14650. [Google Scholar] [CrossRef] [PubMed]
- Bera, K.; Velcheti, V.; Madabhushi, A. Novel Quantitative Imaging for Predicting Response to Therapy: Techniques and Clinical Applications. Am. Soc. Clin. Oncol. Educ. Book 2018, 38, 1008–1018. [Google Scholar] [CrossRef]
- Yip, S.S.F.; Liu, Y.; Parmar, C.; Li, Q.; Liu, S.; Qu, F.; Ye, Z.; Gillies, R.J.; Aerts, H.J.W.L. Associations between radiologist-defined semantic and automatically computed radiomic features in non-small cell lung cancer. Sci. Rep. 2017, 7, 3519. [Google Scholar] [CrossRef]
- Choi, H. Critical issues in response evaluation on computed tomography: Lessons from the gastrointestinal stromal tumor model. Curr. Oncol. Rep. 2005, 7, 307–311. [Google Scholar] [CrossRef]
- Ganeshan, B.; Panayiotou, E.; Burnand, K.; Dizdarevic, S.; Miles, K. Tumour heterogeneity in non-small cell lung carcinoma assessed by CT texture analysis: A potential marker of survival. Eur. Radiol. 2012, 22, 796–802. [Google Scholar] [CrossRef]
- Davis, A.T.; Palmer, A.L.; Nisbet, A. Can CT scan protocols used for radiotherapy treatment planning be adjusted to optimize image quality and patient dose? A systematic review. Br. J. Radiol. 2017, 90, 20160406. [Google Scholar] [CrossRef]
- Bissonnette, J.; Balter, P.A.; Dong, L.; Langen, K.M.; Lovelock, D.M.; Miften, M.; Moseley, D.J.; Pouliot, J.; Sonke, J.; Yoo, S. Quality assurance for image-guided radiation therapy utilizing CT-based technologies: A report of the AAPM TG-179. Med. Phys. 2012, 39, 1946–1963. [Google Scholar] [CrossRef] [PubMed]
- Allen, J.; McGarry, R.; Luo, W. An investigation into the correlations between quantified target change in CBCT images and clinical outcomes for lung SBRT. Med. Phys. 2019, 46, e392. [Google Scholar]
- Vaidya, M.; Creach, K.M.; Frye, J.; Dehdashti, F.; Bradley, J.D.; El Naqa, I. Combined PET/CT image characteristics for radiotherapy tumor response in lung cancer. Radiother. Oncol. 2012, 102, 239–245. [Google Scholar] [CrossRef] [PubMed]
- González-García, I.; Pierre, V.; Dubois, V.F.S.; Morsli, N.; Spencer, S.; Baverel, P.G.; Moore, H. Early predictions of response and survival from a tumor dynamics model in patients with recurrent, metastatic head and neck squamous cell carcinoma treated with immunotherapy. CPT Pharmacomet. Syst. Pharmacol. 2021, 10, 230–240. [Google Scholar] [CrossRef]





| RA | RCNR | Rμ | R | |
|---|---|---|---|---|
| RC | 1.2 | 1.0 | 1.0 | 1.1 | 
| AUC | 0.68 | 0.60 | 0.58 | 0.95 | 
| Accuracy | 0.90 | 0.66 | 0.60 | 0.94 | 
| Sensitivity | 0.92 | 0.68 | 0.61 | 0.94 | 
| Specificity | 0.60 | 0.50 | 0.50 | 0.90 | 
| Positive Predictive Value | 0.97 | 0.94 | 0.94 | 0.99 | 
| Negative Predictive Value | 0.38 | 0.11 | 0.09 | 0.56 | 
| Disclaimer/Publisher’s Note: The statements, opinions and data contained in all publications are solely those of the individual author(s) and contributor(s) and not of MDPI and/or the editor(s). MDPI and/or the editor(s) disclaim responsibility for any injury to people or property resulting from any ideas, methods, instructions or products referred to in the content. | 
© 2023 by the authors. Licensee MDPI, Basel, Switzerland. This article is an open access article distributed under the terms and conditions of the Creative Commons Attribution (CC BY) license (https://creativecommons.org/licenses/by/4.0/).
Share and Cite
Luo, W.; Xiu, Z.; Wang, X.; McGarry, R.; Allen, J. A Novel Method for Evaluating Early Tumor Response Based on Daily CBCT Images for Lung SBRT. Cancers 2024, 16, 20. https://doi.org/10.3390/cancers16010020
Luo W, Xiu Z, Wang X, McGarry R, Allen J. A Novel Method for Evaluating Early Tumor Response Based on Daily CBCT Images for Lung SBRT. Cancers. 2024; 16(1):20. https://doi.org/10.3390/cancers16010020
Chicago/Turabian StyleLuo, Wei, Zijian Xiu, Xiaoqin Wang, Ronald McGarry, and Joshua Allen. 2024. "A Novel Method for Evaluating Early Tumor Response Based on Daily CBCT Images for Lung SBRT" Cancers 16, no. 1: 20. https://doi.org/10.3390/cancers16010020
APA StyleLuo, W., Xiu, Z., Wang, X., McGarry, R., & Allen, J. (2024). A Novel Method for Evaluating Early Tumor Response Based on Daily CBCT Images for Lung SBRT. Cancers, 16(1), 20. https://doi.org/10.3390/cancers16010020
 
        


 
       