Patient Breathing Motion and Delivery Specifics Influencing the Robustness of a Proton Pancreas Irradiation
Abstract
Simple Summary
Abstract
1. Introduction
2. Materials and Methods
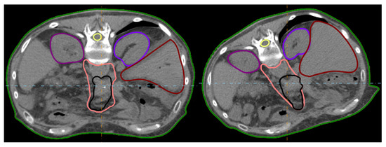
2.1. Patient Data, Imaging and Treatment Workflow
2.2. 4D Dose Tracking Framework
- Distribute spots over different phases of the 4DCT for each fraction employing
- -
- A treatment record log file;
- -
- A breathing signal;
- -
- A map between breathing amplitude to phase;
- -
- Deformable image registration (DIR) between the different phases of the 4DCT and the planning CT.
- Compute dose on the different phases based on the determined spot distribution.
- Map doses to the reference phase, i.e., planning CT through DIR and accumulate the mapped doses
- Accumulate the 4DDT dose of each fraction to get the full treatment course dose
2.3. Rescanning
2.4. Evaluation and Statistics
3. Results
4. Discussion
5. Conclusions
Author Contributions
Funding
Institutional Review Board Statement
Informed Consent Statement
Data Availability Statement
Acknowledgments
Conflicts of Interest
Appendix A

| [Gy(RBE)] | [Gy(RBE)] | ||||||||||||
|---|---|---|---|---|---|---|---|---|---|---|---|---|---|
| CTV | PTV | Liver | Kidney | Spinal Cord | |||||||||
| Contra | Ipsi | ||||||||||||
| Patients | Plans | Static | 4DDT | Static | 4DDT | Static | 4DDT | Static | 4DDT | Static | 4DDT | Static | 4DDT |
| pan2 | 1 (s) | 14.6 | 13.8 | 14.5 | 13.6 | 1.2 | 1.3 | 0.1 | 0.1 | 14.0 | 14.1 | 9.28 | 9.3 |
| 2 (r) | 9.8 | 9.8 | 9.6 | 9.6 | 5.6 | 5.5 | 3.8 | 3.8 | 10.0 | 10.1 | 2.2 | 2.2 | |
| pan3 | 1 (s) | 24.8 | 24.6 | 24.4 | 24.3 | 12.4 | 12.2 | 5.8 | 6.2 | 13.8 | 13.2 | 12.2 | 12.2 |
| pan4 | 1 (s) | 14.9 | 14.8 | 9.9 | 10.0 | 8.3 | 8.3 | 0.2 | 0.1 | 6.9 | 7.0 | 10.1 | 10.0 |
| 2 (r) | 9.8 | 9.8 | 8.1 | 8.1 | 0.4 | 0.4 | 2.8 | 2.8 | 6.4 | 6.4 | 6.6 | 6.5 | |
| pan6 | 1 (s) | 23.3 | 23.2 | 15.9 | 15.8 | 14.7 | 14.8 | 0.1 | 0.1 | 3.2 | 3.2 | 0.0 | 0.0 |
| pan7 | 1 (s) | 14.3 | 14.6 | 8.5 | 8.8 | 0.2 | 0.2 | 8.3 | 8.0 | 15.0 | 15.0 | 11.7 | 11.7 |
| 2 (r) | 9.3 | 8.78 | 2.3 | 2.6 | 0.5 | 0.4 | 0.9 | 1.4 | 10.2 | 10.0 | 11.5 | 11.9 | |
| pan8 | 1 (s) | 25.1 | 25.1 | 24.4 | 24.2 | 29.8 | 30.6 | 22.1 | 21.7 | 24.3 | 23.5 | 13.8 | 13.8 |
| pan10 | 1 (s) | 24.9 | 24.8 | 21.6 | 22.7 | 16.1 | 16.1 | 5.6 | 5.7 | 17.8 | 17.6 | 12.1 | 12.3 |
| pan11 | 1 (r) | 25.3 | 24.6 | 18.8 | 18.8 | 25.3 | 25.1 | 8.2 | 7.8 | 15.2 | 15.8 | 13.6 | 13.7 |
| pan12 | 1 (s) | 9.8 | 9.7 | 9.6 | 9.3 | 5.5 | 5.2 | 4.2 | 4.0 | 8.0 | 8.2 | 5.6 | 5.6 |
| 2 (r) | 14.7 | 14.7 | 13.9 | 13.9 | 9.8 | 9.7 | 4.2 | 4.1 | 4.9 | 4.9 | 11.1 | 11.1 | |
| pan13 | 1 (s) | 15.1 | 15.1 | 13.4 | 13.8 | 21.5 | 21.2 | 3.8 | 3.8 | 21.6 | 21.6 | 5.7 | 5.7 |
| 2 (r) | 10.0 | 8.6 | 7.7 | 5.0 | 13.4 | 13.5 | 0.4 | 0.4 | 12.5 | 11.3 | 0.0 | 0.0 | |
| pan15 | 1 (s) | 24.5 | 24.2 | 19.6 | 20.2 | 24.6 | 24.5 | 6.2 | 6.2 | 14.5 | 14.8 | 10.7 | 11.2 |
| pan16 | 2 (s) | 15.0 | 15.0 | 13.8 | 12.9 | 21.8 | 21.4 | 0.0 | 0.0 | 9.8 | 9.0 | 10.8 | 11.2 |
References
- Malouff, T.D.; Krishnan, S.; Hallemeier, C.L.; Haddock, M.G.; Hoppe, B.S.; Beltran, C.; Mahajan, A.; Trifiletti, D. Carbon Ion Radiotherapy in the Treatment of Pancreatic Cancer: A Review. Pancreas 2020, 49, 737–743. [Google Scholar] [CrossRef] [PubMed]
- Paganetti, H. Relative biological effectiveness (RBE) values for proton beam therapy. Variations as a function of biological endpoint, dose, and linear energy transfer. Phys. Med. Biol. 2014, 59, R419–R472. [Google Scholar] [CrossRef] [PubMed]
- Batista, V.; Richter, D.; Chaudhri, N.; Naumann, P.; Herfarth, K.; Jäkel, O. Significance of intra-fractional motion for pancreatic patients treated with charged particles. Radiat. Oncol. 2018, 13, 120. [Google Scholar] [CrossRef]
- Bert, C.; Durante, M. Motion in radiotherapy: Particle therapy. Phys. Med. Biol. 2011, 56, R113–R144. [Google Scholar] [CrossRef]
- Chang, J.Y.; Zhang, X.; Knopf, A.; Li, H.; Mori, S.; Dong, L.; Lu, H.M.; Liu, W.; Badiyan, S.N.; Both, S.; et al. Consensus Guidelines for Implementing Pencil-Beam Scanning Proton Therapy for Thoracic Malignancies on Behalf of the PTCOG Thoracic and Lymphoma Subcommittee. Int. J. Radiat. Oncol. Biol. Phys. 2017, 99, 41–50. [Google Scholar] [CrossRef]
- Edvardsson, A.; Nordström, F.; Ceberg, C.; Ceberg, S. Motion induced interplay effects for VMAT radiotherapy. Phys. Med. Biol. 2018, 63, 85012. [Google Scholar] [CrossRef]
- Pakela, J.M.; Knopf, A.; Dong, L.; Rucinski, A.; Zou, W. Management of Motion and Anatomical Variations in Charged Particle Therapy: Past, Present, and Into the Future. Front. Oncol. 2022, 12, 806153. [Google Scholar] [CrossRef]
- Kostiukhina, N.; Georg, D.; Rollet, S.; Kuess, P.; Sipaj, A.; Andrzejewski, P.; Furtado, H.; Rausch, I.; Lechner, W.; Steiner, E.; et al. Advanced Radiation DOSimetry phantom (ARDOS): A versatile breathing phantom for four dimensional (4D) radiation therapy and medical imaging. Phys. Med. Biol. 2017, 62, 8136–8153. [Google Scholar] [CrossRef]
- Kostiukhina, N.; Palmans, H.; Stock, M.; Georg, D.; Knäusl, B. Dynamic lung phantom commissioning for end-to-end 4D dose assessment in proton therapy. Phys. Med. Biol. 2019, 64, 235001. [Google Scholar] [CrossRef] [PubMed]
- Lebbink, F.; Stock, M.; Georg, D.; Knäusl, B. The Influence of Motion on the Delivery Accuracy When Comparing Actively Scanned Carbon Ions versus Protons at a Synchrotron-Based Radiotherapy Facility. Cancers 2022, 14, 1788. [Google Scholar] [CrossRef]
- Pfeiler, T.; Bäumer, C.; Engwall, E.; Geismar, D.; Spaan, B.; Timmermann, B. Experimental validation of a 4D dose calculation routine for pencil beam scanning proton therapy. Z. Für Med. Phys. 2018, 28, 121–133. [Google Scholar] [CrossRef] [PubMed]
- Spautz, S.; Jakobi, A.; Meijers, A.; Peters, N.; Löck, S.; Knopf, A.C.; Troost, E.G.; Richter, C.; Stützer, K. Experimental validation of 4D log file-based proton dose reconstruction for interplay assessment considering amplitude-sorted 4DCTs. Med. Phys. 2022, 49, 3538–3549. [Google Scholar] [CrossRef]
- Kostiukhina, N.; Palmans, H.; Stock, M.; Knopf, A.; Georg, D.; Knäusl, B. Time-resolved dosimetry for validation of 4D dose calculation in PBS proton therapy. Phys. Med. Biol. 2020, 65, 125015. [Google Scholar] [CrossRef]
- Zechner, A.; Ziegler, I.; Hug, E.; Lütgendorf-Caucig, C.; Stock, M. Evaluation of the inter- and intrafraction displacement for head patients treated at the particle therapy centre MedAustron based on the comparison of different commercial immobilisation devices. Z. Fur Med. Phys. 2022, 32, 39–51. [Google Scholar] [CrossRef]
- Stock, M.; Georg, D.; Ableitinger, A.; Zechner, A.; Utz, A.; Mumot, M.; Kragl, G.; Hopfgartner, J.; Gora, J.; Böhlen, T.; et al. The technological basis for adaptive ion beam therapy at MedAustron: Status and outlook. Z. Fur Med. Phys. 2018, 28, 196–210. [Google Scholar] [CrossRef] [PubMed]
- Weistrand, O.; Svensson, S. The ANACONDA algorithm for deformable image registration in radiotherapy. Med. Phys. 2015, 42, 40–53. [Google Scholar] [CrossRef]
- ICRU83. Special Considerations Regarding Absorbed-Dose and Dose–Volume Prescribing and Reporting in IMRT. J. ICRU 2010, 10, 27–40. [Google Scholar] [CrossRef] [PubMed]
- Pan, C.C.; Kavanagh, B.D.; Dawson, L.A.; Li, X.A.; Das, S.K.; Miften, M.; Ten Haken, R.K. Radiation-associated liver injury. Int. J. Radiat. Oncol. Biol. Phys. 2010, 76, S94–S100. [Google Scholar] [CrossRef] [PubMed]
- Mori, S.; Asakura, H.; Kandatsu, S.; Kumagai, M.; Baba, M.; Endo, M. Magnitude of Residual Internal Anatomy Motion on Heavy Charged Particle Dose Distribution in Respiratory Gated Lung Therapy. Int. J. Radiat. Oncol. Biol. Phys. 2008, 71, 587–594. [Google Scholar] [CrossRef] [PubMed]
- Trnková, P.; Knäusl, B.; Actis, O.; Bert, C.; Biegun, A.K.; Boehlen, T.T.; Furtado, H.; McClelland, J.; Mori, S.; Rinaldi, I.; et al. Clinical implementations of 4D pencil beam scanned particle therapy: Report on the 4D treatment planning workshop 2016 and 2017. Phys. Med. 2019, 54, 121–130. [Google Scholar] [CrossRef]
- Zhang, Y.; Trnkova, P.; Toshito, T.; Heijmen, B.; Richter, C.; Aznar, M.; Albertini, F.; Bolsi, A.; Daartz, J.; Bertholet, J. A survey of practice patterns for real-time intrafractional motion-management in particle therapy. Phys. Imaging Radiat. Oncol. 2023, 26, 100439. [Google Scholar] [CrossRef]
- Ribeiro, C.O.; Knopf, A.; Langendijk, J.A.; Weber, D.C.; Lomax, A.J.; Zhang, Y. Assessment of dosimetric errors induced by DIR methods in 4D pencil beam scanned proton treatment planning for liver tumours. Radiother. Oncol. 2018, 128, 174–181. [Google Scholar] [CrossRef] [PubMed]
- Nenoff, L.; Ribeiro, C.O.; Matter, M.; Hafner, L.; Josipovic, M.; Langendijk, J.A.; Persson, G.F.; Walser, M.; Weber, D.C.; Lomax, A.J.; et al. DIR uncertainty for inter-fractional dose accumulation of lung cancer proton therapy. Radiother. Oncol. 2020, 147, 178–185. [Google Scholar] [CrossRef] [PubMed]
- Amstutz, F.; Nenoff, L.; Albertini, F.; Ribeiro, C.O.; Knopf, A.C.; Unkelbach, J.; Weber, D.C.; Lomax, A.J.; Zhang, Y. An approach for estimating dosimetric uncertainties in deformable dose accumulation in pencil beam scanning proton therapy for lung cancer. Phys. Med. Biol. 2021, 66, 105007. [Google Scholar] [CrossRef] [PubMed]
- Dolde, K.; Naumann, P.; Dávid, C.; Gnirs, R.; Kachelrieß, M.; Lomax, A.J.; Saito, N.; Weber, D.C.; Pfaffenberger, A.; Zhang, Y. 4D dose calculation for pencil beam scanning proton therapy of pancreatic cancer using repeated 4DMRI datasets. Phys. Med. Biol. 2018, 63, 165005. [Google Scholar] [CrossRef]
- Duetschler, A.; Prendi, J.; Safai, S.; Weber, D.C.; Lomax, A.J.; Zhang, Y. Limitations of phase-sorting based pencil beam scanned 4D proton dose calculations under irregular motion. Phys. Med. Biol. 2023, 68, 015015. [Google Scholar] [CrossRef] [PubMed]
- Engwall, E.; Glimelius, L.; Hynning, E. Effectiveness of different rescanning techniques for scanned proton radiotherapy in lung cancer patients. Phys. Med. Biol. 2018, 63, 095006. [Google Scholar] [CrossRef] [PubMed]
- Ribeiro, C.O.; Visser, S.; Korevaar, E.W.; Sijtsema, N.M.; Anakotta, R.M.; Dieters, M.; Both, S.; Langendijk, J.A.; Wijsman, R.; Muijs, C.T.; et al. Towards the clinical implementation of intensity-modulated proton therapy for thoracic indications with moderate motion: Robust optimised plan evaluation by means of patient and machine specific information. Radiother. Oncol. 2021, 157, 210–218. [Google Scholar] [CrossRef]
- Meijers, A.; Knopf, A.C.; Crijns, A.P.; Ubbels, J.F.; Niezink, A.G.; Langendijk, J.A.; Wijsman, R.; Both, S. Evaluation of interplay and organ motion effects by means of 4D dose reconstruction and accumulation. Radiother. Oncol. 2020, 150, 268–274. [Google Scholar] [CrossRef] [PubMed]
- Lim, P.S.; Pica, A.; Hrbacek, J.; Bachtiary, B.; Walser, M.; Lomax, A.J.; Weber, D.C. Pencil Beam Scanning Proton Therapy for Paediatric Neuroblastoma with Motion Mitigation Strategy for Moving Target Volumes. Clin. Oncol. 2020, 32, 467–476. [Google Scholar] [CrossRef]
- Protik, A.; Herk, M.V.; Witte, M.; Sonke, J.J. The impact of breathing amplitude on dose homogeneity in intensity modulated proton therapy. Phys. Imaging Radiat. Oncol. 2017, 3, 11–16. [Google Scholar] [CrossRef]
- Schneider, S.; Stefanowicz, S.; Jentsch, C.; Lohaus, F.; Thiele, J.; Haak, D.; Valentini, C.; Platzek, I.; Troost, E.G.C.; Hoffmann, A.L. Reduction of intrafraction pancreas motion using an abdominal corset compatible with proton therapy and MRI. Clin. Transl. Radiat. Oncol. 2023, 38, 111–116. [Google Scholar] [CrossRef] [PubMed]
- Köthe, A.; John, A.; Chiara, A.; Safai, S.; Bizzocchi, N.; Roelofs, E.; Even, A.J.G.; Charles, D.; Fattori, G. The impact of organ motion and the appliance of mitigation strategies on the effectiveness of hypoxia-guided proton therapy for non-small cell lung cancer. Radiother. Oncol. 2022, 176, 208–214. [Google Scholar] [CrossRef] [PubMed]
- Gulyas, I.; Trnkova, P.; Knäusl, B.; Widder, J.; Georg, D.; Renner, A. A novel bone suppression algorithm in intensity-based 2D/3D image registration for real-time tumour motion monitoring: Development and phantom-based validation. Med. Phys. 2022, 49, 5182–5194. [Google Scholar] [CrossRef]
- Nankali, S.; Worm, E.S.; Thomsen, J.B.; Stick, L.B.; Bertholet, J.; Høyer, M.; Weber, B.; Mortensen, H.R.; Poulsen, P.R. Intrafraction tumor motion monitoring and dose reconstruction for liver pencil beam scanning proton therapy. Front. Oncol. 2023, 13, 1112481. [Google Scholar] [CrossRef] [PubMed]
- Maradia, V.; Water, S.V.D.; Meer, D.; Weber, D.C.; Lomax, A.J.; Psoroulas, S. Ultra-fast pencil beam scanning proton therapy for locally advanced non-small-cell lung cancers: Field delivery within a single breath-hold. Radiother. Oncol. 2022, 174, 23–29. [Google Scholar] [CrossRef] [PubMed]
- Bertschi, S.; Krieger, M.; Weber, D.C.; Lomax, A.J.; van de Water, S. Impact of spot reduction on the effectiveness of rescanning in pencil beam scanned proton therapy for mobile tumours. Phys. Med. Biol. 2022, 67, 215019. [Google Scholar] [CrossRef]
- Hamaide, V.; Souris, K.; Dasnoy, D.; Glineur, F.; Macq, B. Real-time image-guided treatment of mobile tumors in proton therapy by a library of treatment plans: A simulation study. Med. Phys. 2023, 50, 465–479. [Google Scholar] [CrossRef] [PubMed]
- Emert, F.; Missimer, J.; Eichenberger, P.A.; Walser, M.; Gmür, C.; Lomax, A.J.; Weber, D.C.; Spengler, C.M. Enhanced Deep-Inspiration Breath Hold Superior to High-Frequency Percussive Ventilation for Respiratory Motion Mitigation: A Assessment Toward Optimized Lung Cancer Treatment With Proton Therapy. Front. Oncol. 2021, 11, 1–17. [Google Scholar] [CrossRef]





| Patients | Plans | No. of | Dose/ | Breathing Pattern | DR | Rescanning | Simulated |
|---|---|---|---|---|---|---|---|
| (s/r) | Fractions | Fraction | Extracted | [GNP/s] | Applied | Non-Rescanned | |
| (Days) | [Gy(RBE)] | from | (Mean ± Std) | Fractions | |||
| pan2 | 1 (s) | 6 (3) | 4.0 | 4DCT | 0.52 ± 0.08 | yes | 3 |
| 2 (r) | 4 (2) | 4DCT | 0.67 ± 0.06 | yes | 2 | ||
| pan3 | 1 (s) | 10 (5) | 3.75 | 4DCT | 0.60 ± 0.04 | yes | 5 |
| pan4 | 1 (s) | 6 (3) | 3.75 | 4DCT | 0.54 ± 0.05 | yes | 3 |
| 2 (r) | 4 (2) | 4DCT | 0.54 ± 0.06 | yes | 2 | ||
| pan6 | 1 (s) | 10 (5) | 3.75 | 4DCT | 0.60 ± 0.03 | yes | 5 |
| pan7 | 1 (s) | 3 (3) | 7.5 | 4DCT | 0.47 ± 0.02 | no | - |
| 2 (r) | 4 (2) | 3.75 | 4DCT | 0.46 ± 0.03 | yes | 2 | |
| pan8 | 1 (s) | 10 (5) | 4.0 | 4DCT | 0.52 ± 0.02 | yes | 5 |
| pan10 | 1 (s) | 5 (5) | 7.5 | 4DCT | 0.51 ± 0.02 | no | - |
| pan11 | 1 (r) | 5 (5) | 8.0 | 4DCT | 0.82 ± 0.04 | no | - |
| pan12 | 1 (s) | 4 (2) | 3.5 | surface scanner | 0.96 ± 0.10 | yes | - |
| 2 (r) | 6 (3) | 4DCT | 0.93 ± 0.10 | yes | - | ||
| pan13 | 1 (s) | 3 (3) | 7.5 | 4DCT | 0.98 ± 0.03 | no | - |
| 2 (r) | 4 (2) | 3.75 | surface scanner | 1.15 ± 0.01 | yes | - | |
| pan15 | 1 (s) | 5 (5) | 7.5 | surface scanner | 0.80 ± 0.03 | no | - |
| pan16 | 1 (r) * | 4 (2) | 4.0 | surface scanner | 0.80 ± 0.05 | yes | - |
| 2 (s) | 6 (3) | 4.0 | 4DCT | 0.75 ± 0.03 | yes | - |
| Patient | Plan | 20% | PTV | Breathing | Breathing |
|---|---|---|---|---|---|
| (Orientation) | Isodose | Only | Amplitude [mm] | Period [s] | |
| pan2 | 1 (s) | 79.9 | 77.4 | 3.3 | 4.3 |
| 2 (r) | 87.1 | 91.1 | 0.4 | 4.3 | |
| pan3 | 1 (s) | 88.7 | 81.4 | 2.6 | 4.0 |
| pan4 | 1 (s) | 93.1 | 94.6 | 0.5 | 3.4 |
| 2 (r) | 98.8 | 98.5 | 0.3 | 3.4 | |
| pan6 | 1 (s) | 96.0 | 95.0 | 0.3 | 4.2 |
| pan7 | 1 (r) | 93.2 | 95.0 | 0.8 | 4.6 |
| 2 (s) | 76.0 | 74.0 | 1.7 | 4.5 | |
| pan8 | 1 (s) | 95.4 | 96.2 | 1.6 | 3.8 |
| pan10 | 1 (s) | 95.3 | 90.8 | 2.3 | 4.4 |
| pan11 | 1 (r) | 88.7 | 89.9 | 0.4 | 2.6 |
| pan12 | 1 (r) | 75.2 | 74.4 | 0.6 | 4.2 |
| 2 (s) | 97.6 | 99.6 | 0.7 | 3.4 | |
| pan13 | 1 (s) | 88.5 | 93.1 | 1.3 | 3.9 |
| 2 (r) | 71.6 | 76.8 | 1.5 | 3.9 | |
| pan15 | 1 (s) | 91.0 | 93.1 | 0.6 | 4.5 |
| pan16 | 2 (s) | 79.8 | 88.1 | 3.7 | 5.3 |
Disclaimer/Publisher’s Note: The statements, opinions and data contained in all publications are solely those of the individual author(s) and contributor(s) and not of MDPI and/or the editor(s). MDPI and/or the editor(s) disclaim responsibility for any injury to people or property resulting from any ideas, methods, instructions or products referred to in the content. |
© 2023 by the authors. Licensee MDPI, Basel, Switzerland. This article is an open access article distributed under the terms and conditions of the Creative Commons Attribution (CC BY) license (https://creativecommons.org/licenses/by/4.0/).
Share and Cite
Knäusl, B.; Lebbink, F.; Fossati, P.; Engwall, E.; Georg, D.; Stock, M. Patient Breathing Motion and Delivery Specifics Influencing the Robustness of a Proton Pancreas Irradiation. Cancers 2023, 15, 2550. https://doi.org/10.3390/cancers15092550
Knäusl B, Lebbink F, Fossati P, Engwall E, Georg D, Stock M. Patient Breathing Motion and Delivery Specifics Influencing the Robustness of a Proton Pancreas Irradiation. Cancers. 2023; 15(9):2550. https://doi.org/10.3390/cancers15092550
Chicago/Turabian StyleKnäusl, Barbara, Franciska Lebbink, Piero Fossati, Erik Engwall, Dietmar Georg, and Markus Stock. 2023. "Patient Breathing Motion and Delivery Specifics Influencing the Robustness of a Proton Pancreas Irradiation" Cancers 15, no. 9: 2550. https://doi.org/10.3390/cancers15092550
APA StyleKnäusl, B., Lebbink, F., Fossati, P., Engwall, E., Georg, D., & Stock, M. (2023). Patient Breathing Motion and Delivery Specifics Influencing the Robustness of a Proton Pancreas Irradiation. Cancers, 15(9), 2550. https://doi.org/10.3390/cancers15092550

