The Party Wall: Redefining the Indications of Transcranial Approaches for Giant Pituitary Adenomas in Endoscopic Era
Abstract
Simple Summary
Abstract
1. Introduction
1.1. Historical Evolution of Pituitary Surgery
1.2. Arguments for Surgery
1.3. The Party Wall
2. Factors Related to The Inter-individual Anatomical Variability of the Sellar and Parasella Area
2.1. Pneumatization of The Sphenoid Sinus
2.2. Angiomorphology of The Internal Carotid Arteries
2.3. Dimensions of The Sella
2.4. Vascular Pattern of Intercavernous Sinuses
2.5. Anatomy of The Sellar Diaphragm
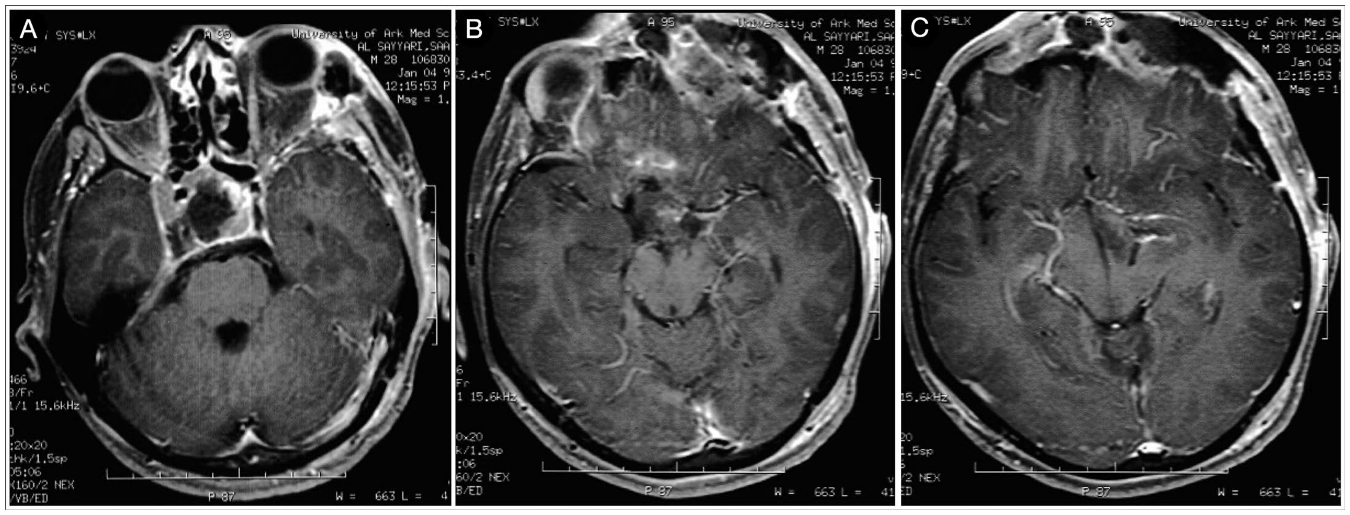
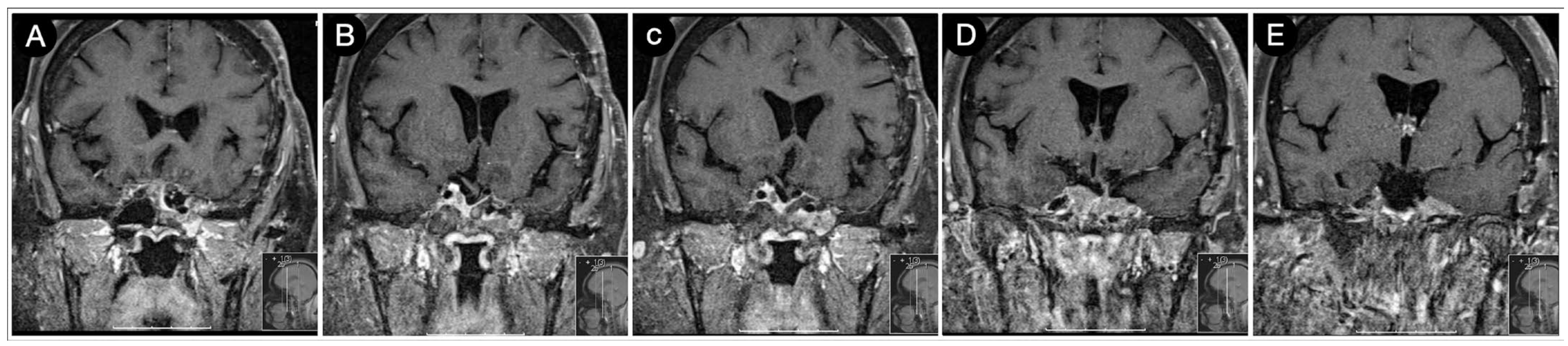
Case #1: Infradiaphragmantic Tumor with Middle Fossa Involvement through the Cavernous Sinus
3. Factors Related to The Tumor Features
3.1. Tumor Texture and Consistency
3.2. Suprasellar Extension
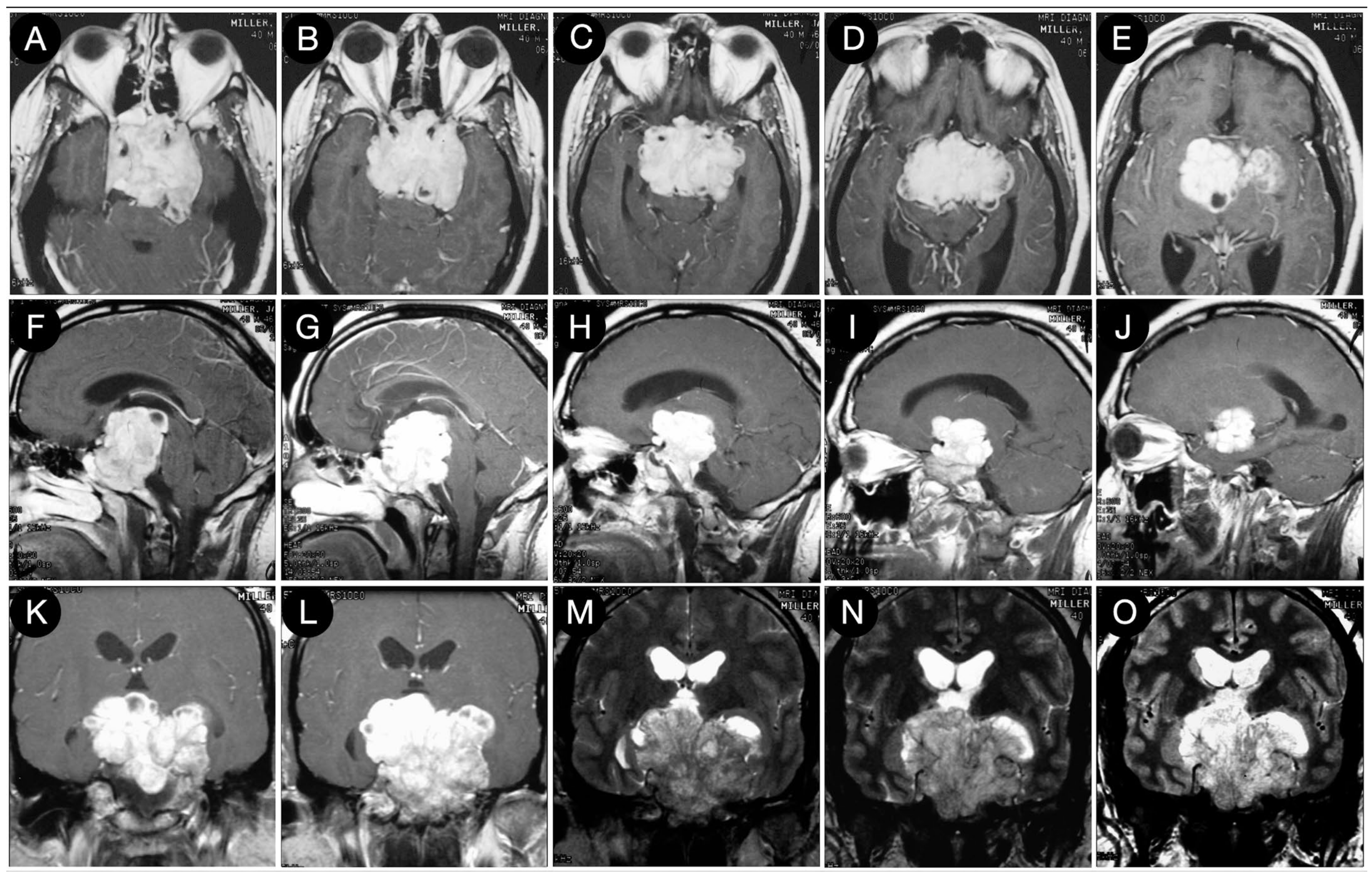
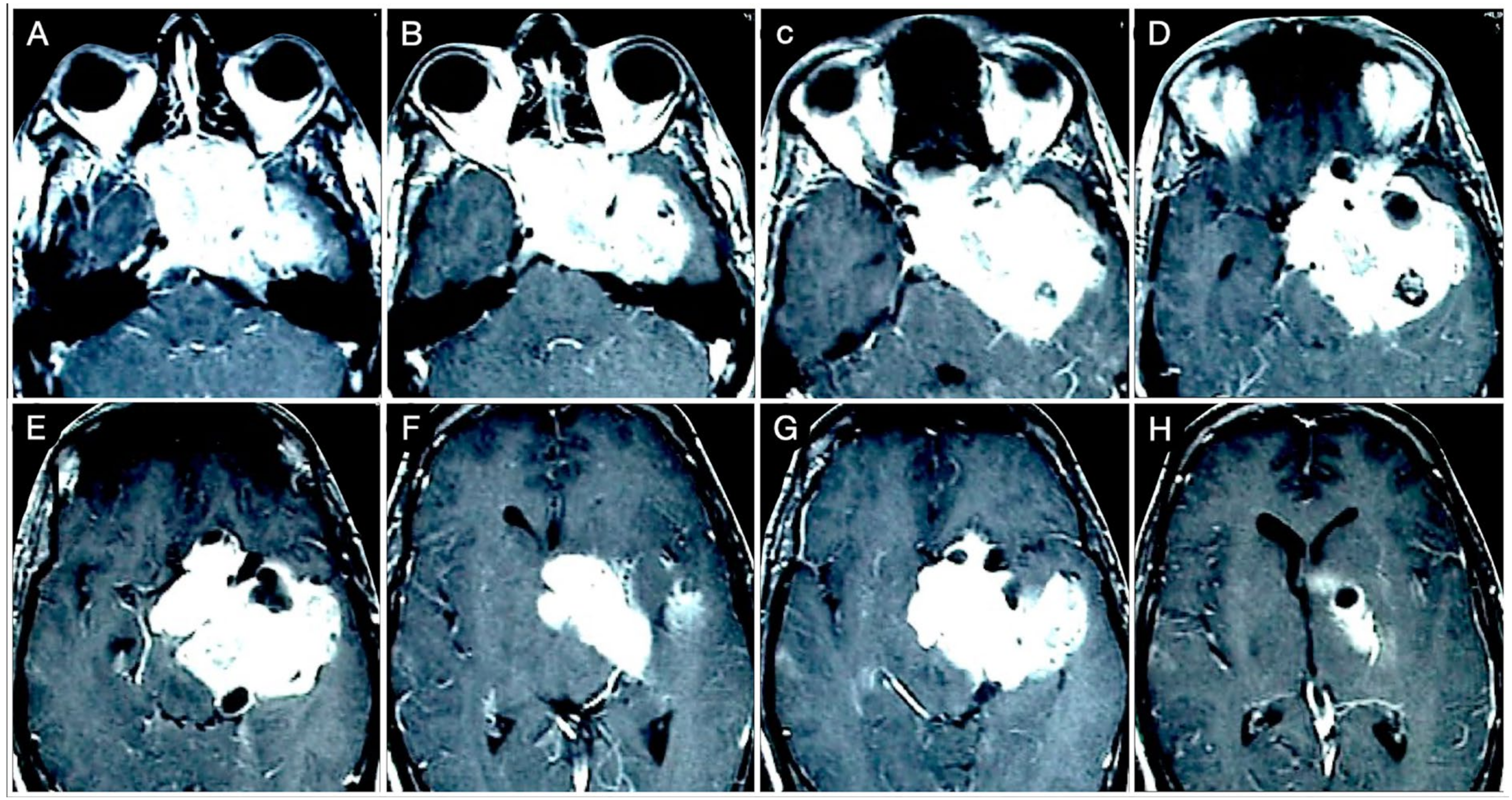
3.2.1. Case #2: Involvement of the Anterior Skull Base
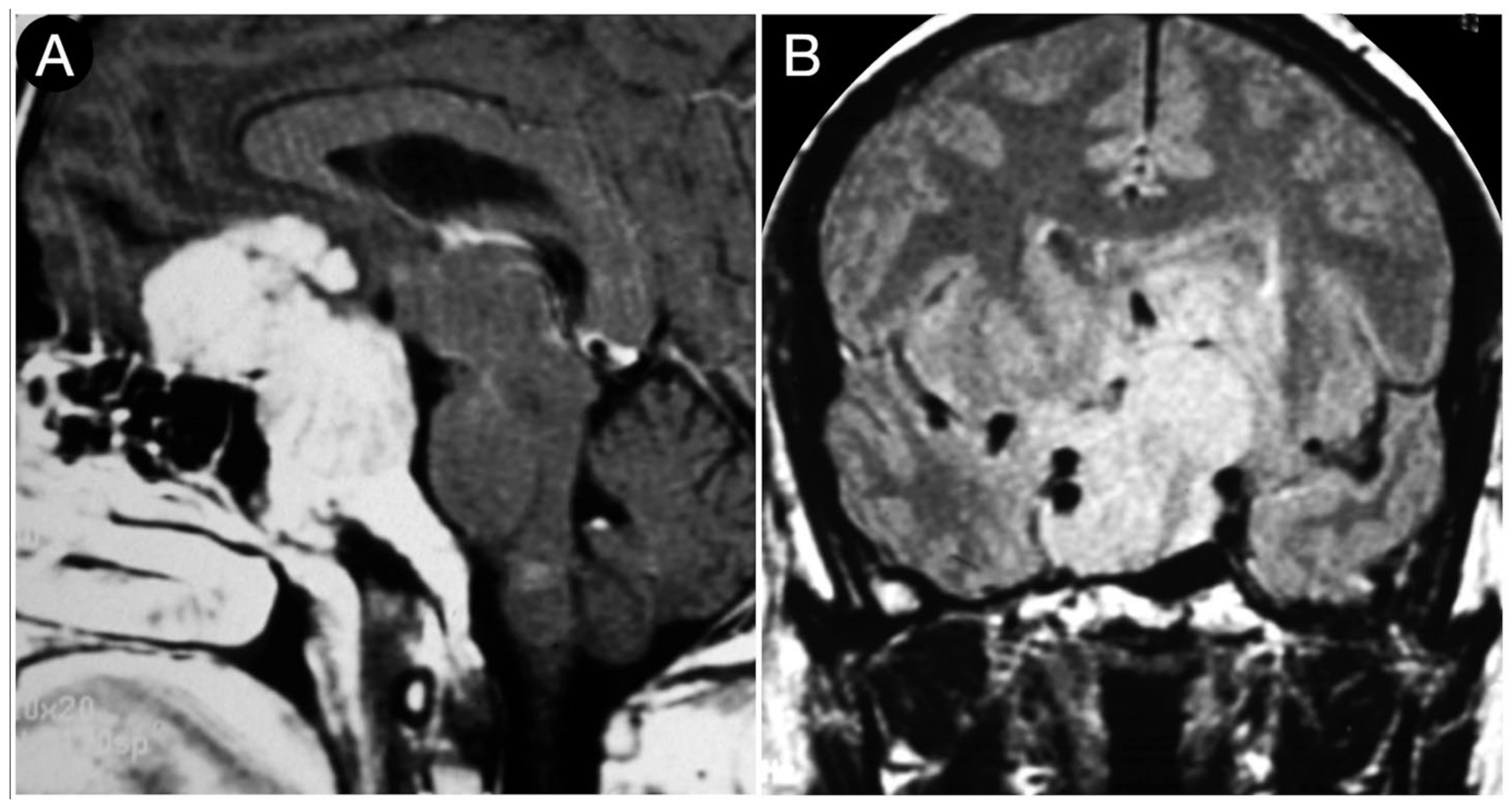
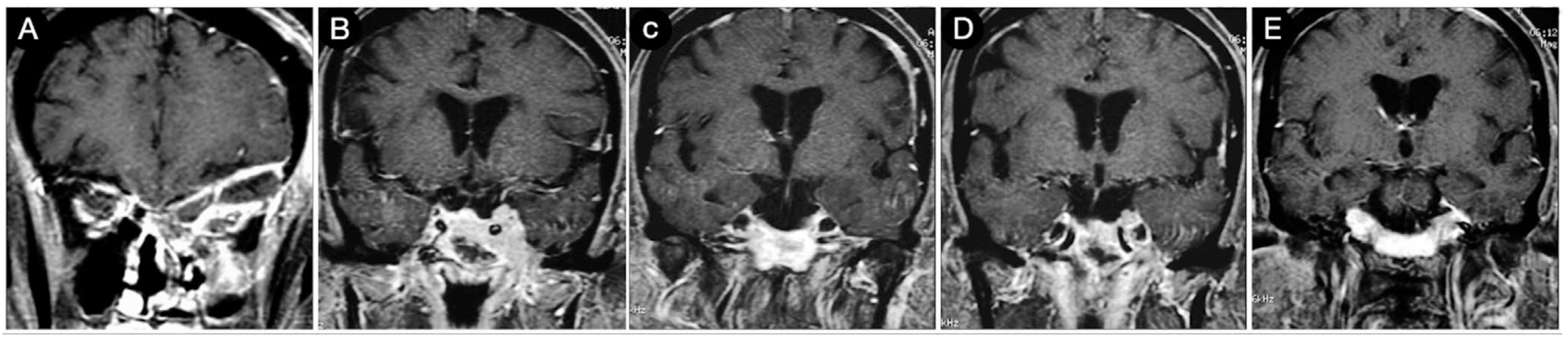
3.2.2. Case #3: Paramedian Pattern of Growth with Parenchymal Invasion
3.3. Parasellar Extension
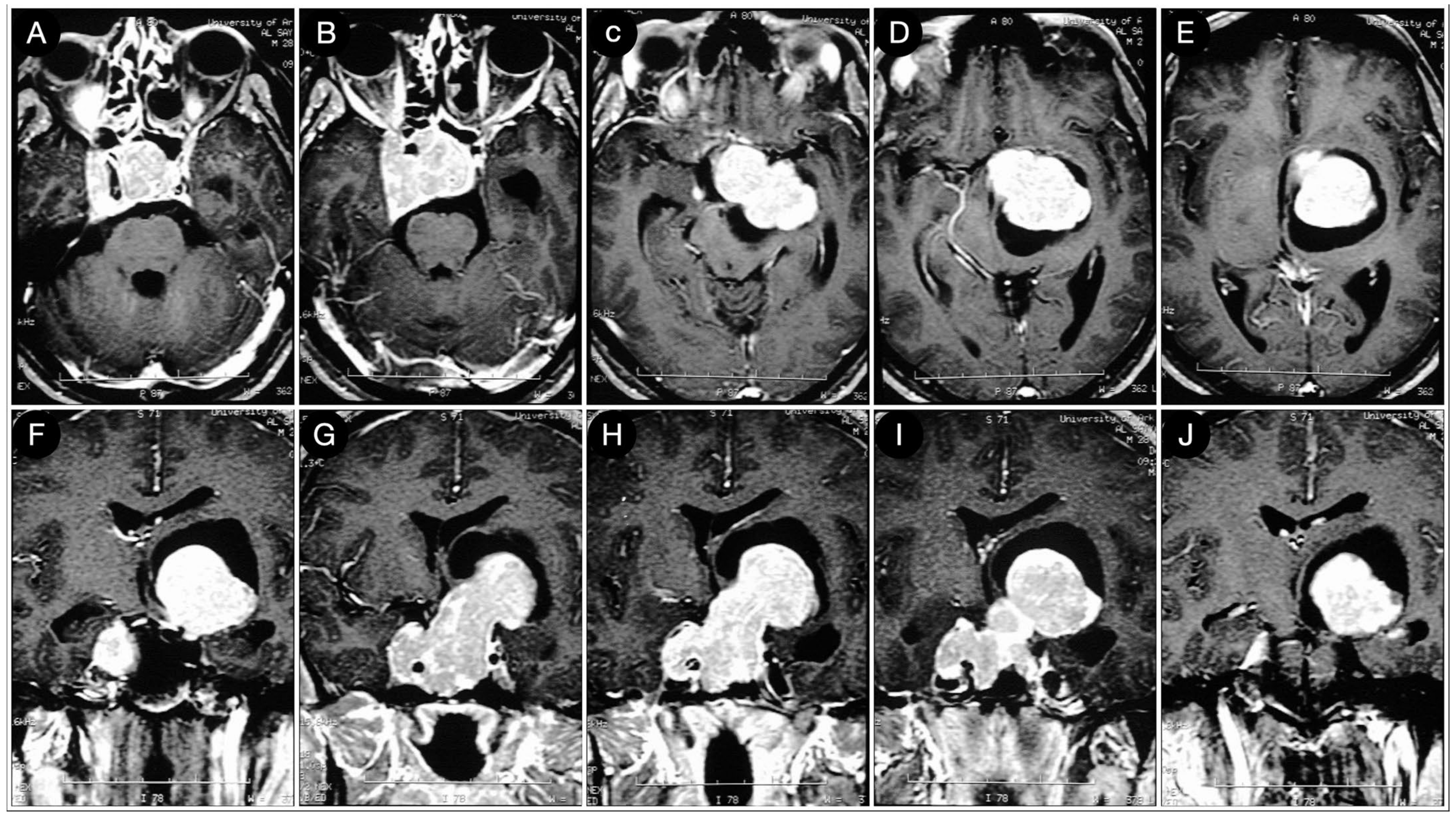
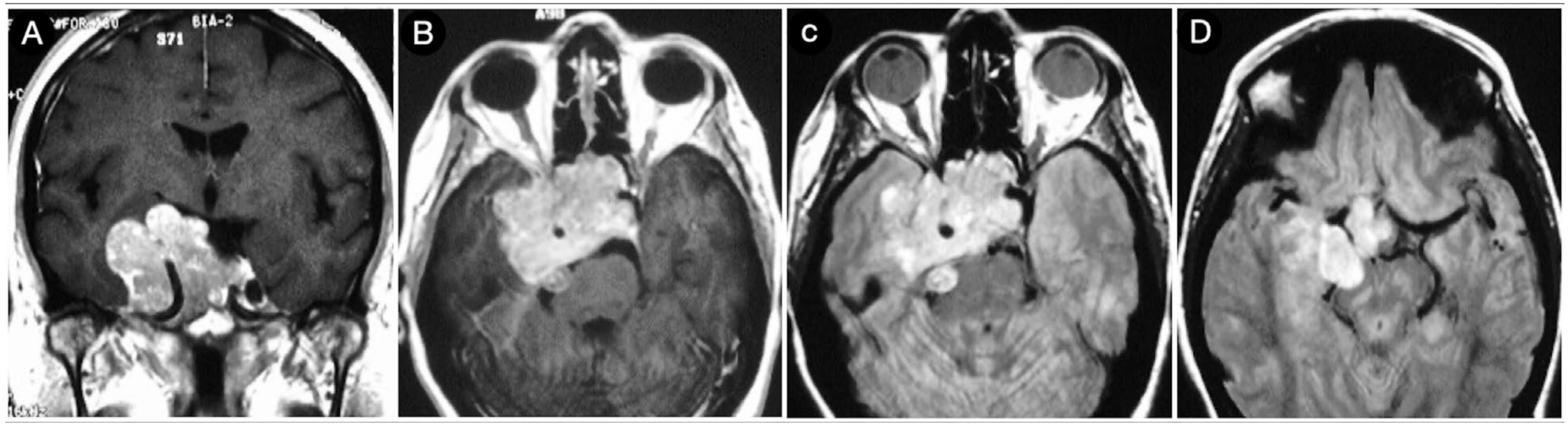
3.3.1. Case #4: Involvement of the Middle Skull Base with Parenchymal Invasion
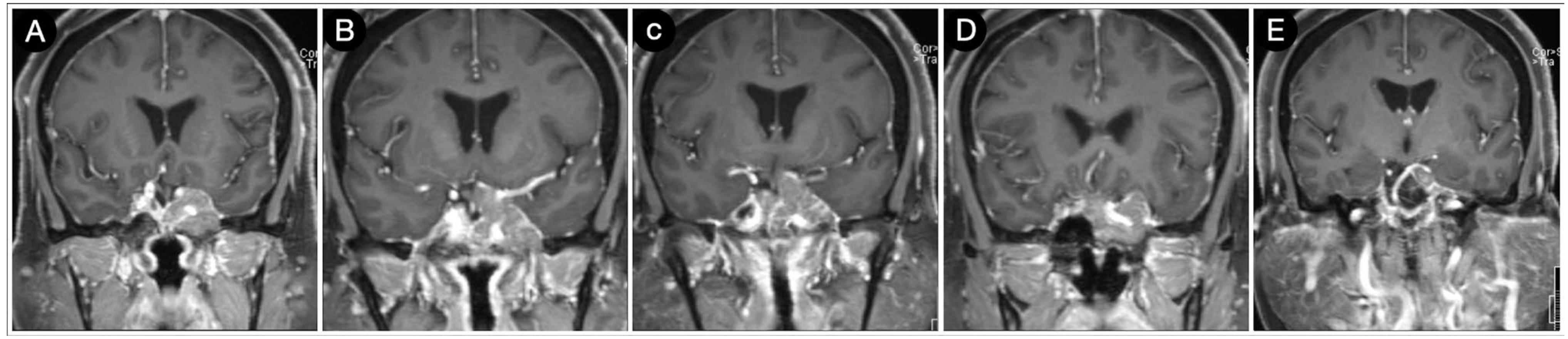
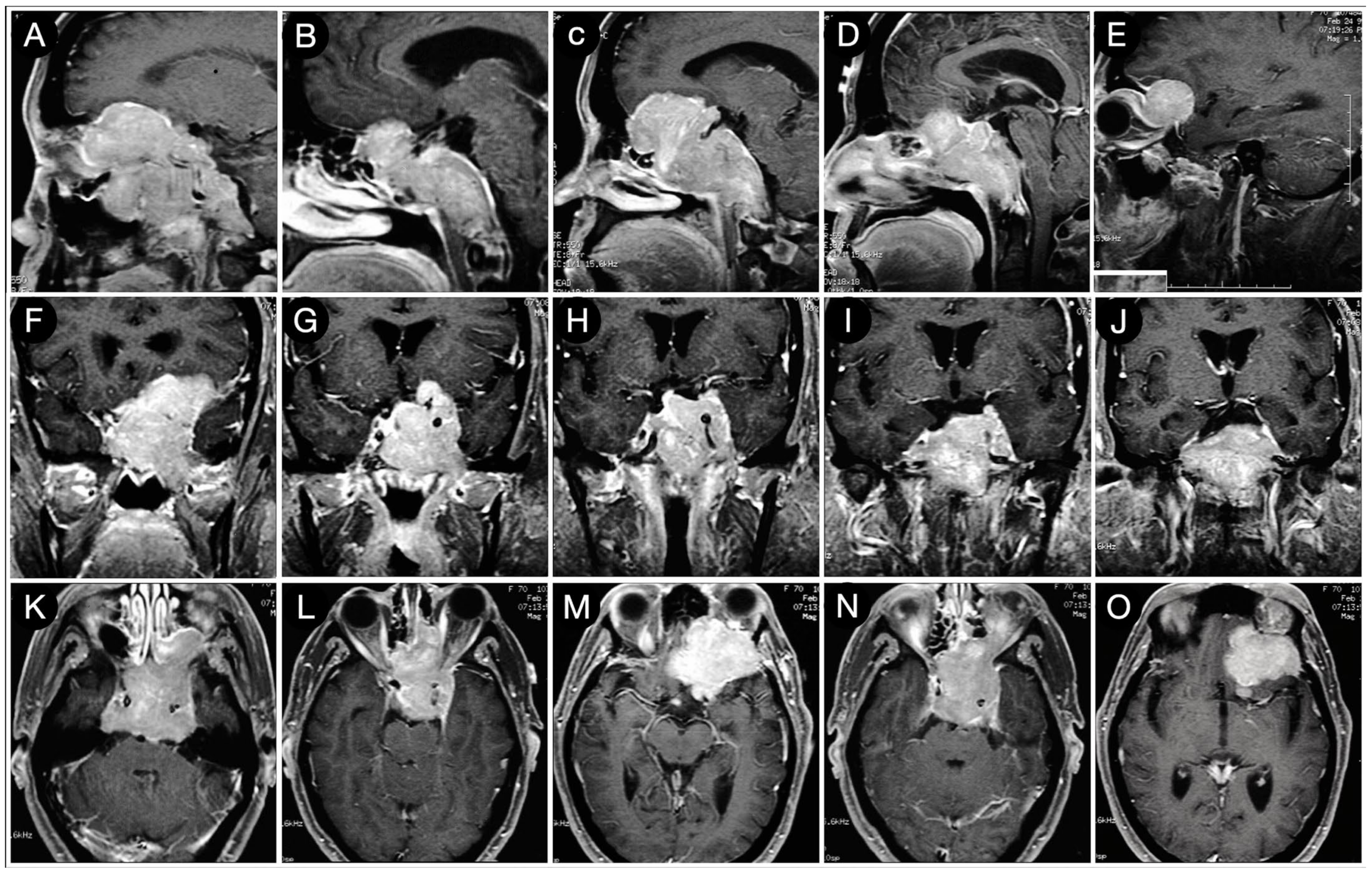
3.3.2. Case #5: Extension beyond the Lateral Wall of the Cavernous Sinus
3.3.3. Case #6: Encasement of the Posterior Communicating and Anterior Choroidal Artery
3.4. Retrosellar Extension
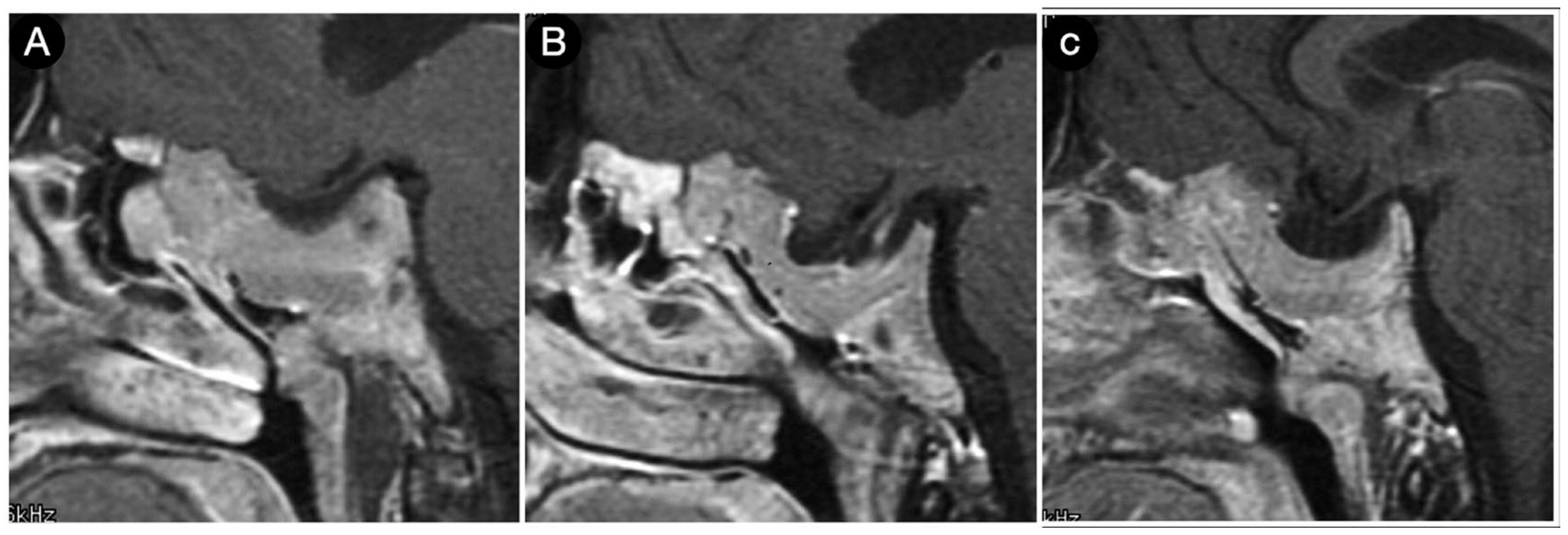
Case #7: Encasement of the Paraclinoid and Supraclinoid Internal Carotid Artery
3.5. Arterial Encasement
3.6. Brain Parenchymal Invasion
3.7. Coexisting Cerebral Aneurysms
3.8. Residual and Recurrent Tumors
Case #8: Aggressive ACTH Tumor with Multiple Recurrences
3.9. Coexisting Isolated Pathologies of The Sphenoid Sinus
3.10. Postoperative Pituitary Apoplexy after Trans-Sphenoidal Surgery
4. Conclusions
5. Future Directions
Author Contributions
Funding
Institutional Review Board
Informed Consent Statement
Data Availability Statement
Conflicts of Interest
References
- Hyrtl, J. Onomatologia Anatomica. Geschichte und Kritik der Anatomischen Sprache der Gegenwart; Wilhelm Braumüller: Wien, Austria, 1880. [Google Scholar]
- Earle, H. Case of Bronchocele, in Which the Superior Thyroid Arteries Were Tied. London Med. Phys. J. 1826, 106, 201. [Google Scholar]
- Key, A. Surgical lectures. Lancet 1824, 2, 358. [Google Scholar]
- Miyazaki, T.; Moritake, K.; Yamada, K.; Hara, N.; Osago, H.; Shibata, T.; Akiyama, Y.; Tsuchiya, M. Indoleamine 2,3-dioxygenase as a new target for malignant glioma therapy. J. Neurosurg. 2009, 111, 230–237. [Google Scholar] [CrossRef] [PubMed]
- Cushing, H. The Hypophysis Cerebri Clinical Aspects of Hyperpituitarism and of Hypopituitarism. J. Am. Med. Assoc. 1909, 53, 249. [Google Scholar] [CrossRef]
- Verga, A. Caso singolare di prosopectasia. Rend R 1st Lomb. Cl. Sc. Mat. Nat. 1864, 1, 111–117. [Google Scholar]
- Brigidi, V. Studii anatomo-patologici sopra un uomo divenuto stranamente deforme per cronica infermita. Arch. Scuola Anat. Patol. Firenze 1881, 65–92. [Google Scholar]
- Marie, P. Sur deux cas d’acromeglie: Hypertophie singuliere, non congenitale, des extremites superieures, inferieures et cephalique. Rev. Med. Liege 1886, 6, 297–333. [Google Scholar]
- Minkowski, O. Ueber einen Fall von Akromegalie. Berl. Kiln. Wochen Schr. 1887, 24, 371–374. [Google Scholar]
- Benda, C. Beitrage zur normalen und pathologischen histologie der menschlichen hypophysis cerebri. Kiln. Wochenschr. 1900, 52, 1205–1210. [Google Scholar]
- Cushing, H. Partial Hypophysectomy for Acromegaly* with Remarks on the Function of the Hypophysis. Ann. Surg. 1909, 50, 1002–1017. [Google Scholar] [CrossRef]
- Massalongo, R. Sull’acromegalia. Riforma Med. 1892, 8, 74–77. [Google Scholar]
- Jane, J.J.; Thapar, K.; Laws, E.R. A History of Pituitary Surgery. Oper. Tech. Neurosurg. 2002, 5, 200–209. [Google Scholar] [CrossRef]
- Schloffer, H. Operazioni riuscite su un tumore ipofisario via nasale. Fornace Vienna Wochenschr. 1907, 20, 621–624. [Google Scholar]
- Dott, N.M.; Bailey, P. A consideration of the hypophyseal adenomata. Br. J. Surg. 1925, 13, 314–366. [Google Scholar] [CrossRef]
- Guiot, G. Adénomes Hypophysaires; Masson: Paris, France, 1958. [Google Scholar]
- Guiot, G.; Thibaut, B. Excision of pituitary adenomas by trans-sphenoidal route. Neurochirurgia 1959, 1, 133–150. [Google Scholar] [CrossRef]
- Guiot, G.; Thibaut, B.; Bourreau, M. Extirpation of hypophyseal adenomas by trans-septal and trans-sphenoidal approaches. Ann. Otolaryngol. 1959, 76, 1017–1031. [Google Scholar]
- Guiot, J.; Rougerie, J.; Fourestier, M.; Fournier, A.; Comoy, C.; Vulmiere, J.; Groux, R. Intracranial endoscopic explorations. Presse Med. 1963, 71, 1225–1228. [Google Scholar]
- Bateman, G.H. Trans-sphenoidal hypohysectomy. A review of 70 cases treated in the past two years. Trans. Am. Acad. Ophthalmol. Otolaryngol. 1962, 66, 103–110. [Google Scholar]
- Hardy, J. Surgery of the pituitary gland, using the trans-sphenoidal approach. Comparative study of 2 technical methods. Union Med. Can. 1967, 96, 702–712. [Google Scholar]
- Hardy, J. Transphenoidal Microsurgery of the Normal and Pathological Pituitary. Neurosurgery 1969, 16, 185–217. [Google Scholar] [CrossRef]
- Hardy, J.; Ciric, I.S. Selective anterior hypophysectomy in the treatment of diabetic retinopathy. A transsphenoidal microsurgical technique. JAMA 1968, 203, 73–78. [Google Scholar] [CrossRef]
- Landolt, A.M. History of Pituitary Surgery from the Technical Aspect. Neurosurg. Clin. N. Am. 2001, 12, 37–44. [Google Scholar] [CrossRef]
- Landolt, A.M. History of pituitary surgery: Transsphenoidal approach. In Pituitary Adenomas; Landolt, A.M., Vance, M.L., Reilly, P.L., Eds.; Churchill Livingstone: New York, NY, USA, 1996; pp. 307–313. [Google Scholar]
- Rosegay, H. Cushing’s legacy to transsphenoidal surgery. J. Neurosurg. 1981, 54, 448–454. [Google Scholar] [CrossRef]
- Kern, E.B.; Pearson, B.W.; Mcdonald, T.J.; Laws, E.R. The transseptal approach to lesions of the pituitary and parasellar regions. Laryngoscope 1979, 89, 1–34. [Google Scholar] [CrossRef]
- Littleton, J.T.; Runbaugh, C.L.; Winter, F. Polydirectional body section tomography: A new diagnostic method. Am. J. Roentgenol. Radium Ther. Nucl. Med. 1963, 89, 1179–1193. [Google Scholar]
- Hardy, J. L’exerese des adenomes hypophysaires par vole trans sphenoidale. Union Med. Can. 1962, 91, 933–945. [Google Scholar] [PubMed]
- Hardy, J.; Wigser, S.M. Trans-sphenoidal Surgery of Pituitary Fossa Tumors with Televised Radiofluoroscopic Control. J. Neurosurg. 1965, 23, 612–619. [Google Scholar] [CrossRef]
- Dolecek, T.A.; Propp, J.M.; Stroup, N.E.; Kruchko, C. CBTRUS Statistical Report: Primary Brain and Central Nervous System Tumors Diagnosed in the United States in 2005–2009. Neuro-Oncol. 2012, 14 (Suppl. S5), v1–v49. [Google Scholar] [CrossRef]
- Shibui, S. The present status and trend of brain tumors based on the data of the Brain Tumor Registry of Japan. Brain Nerve 2012, 64, 286–290. [Google Scholar]
- Terada, T.; Kovacs, K.; Stefaneanu, L.; Horvath, E. Incidence, pathology, and recurrence of pituitary adenomas: Study of 647 unselected surgical cases. Endocr. Pathol. 1995, 6, 301–310. [Google Scholar] [CrossRef]
- Kaltsas, G.A.; Nomikos, P.; Kontogeorgos, G.; Buchfelder, M.; Grossman, A.B. Clinical review: Diagnosis and Management of Pituitary Carcinomas. J. Clin. Endocrinol. Metab. 2005, 90, 3089–3099. [Google Scholar] [CrossRef]
- Pernicone, P.J.; Scheithauer, B.W.; Sebo, T.J.; Kovacs, K.T.; Horvath, E.; Young, W.F., Jr.; Lloyd, R.V.; Davis, D.H.; Guthrie, B.L.; Schoene, W.C. Pituitary carcinoma: A clinicopathologic study of 15 cases. Cancer 1997, 79, 804–812. [Google Scholar] [CrossRef]
- Scheithauer, B.W.; Kurtkaya-Yapıcıer, Ö.; Kovacs, K.T.; Young, W.F.; Lloyd, R.V. Pituitary Carcinoma: A Clinicopathological Review. Neurosurgery 2005, 56, 1066–1074. [Google Scholar] [CrossRef]
- Ragel, B.T.; Couldwell, W.T. Pituitary carcinoma: A review of the literature. Neurosurg. Focus 2004, 16, 1–9. [Google Scholar] [CrossRef]
- Garrao, A.; Sobrinho, L.; Bugalho, M.; Boavida, J.; Raposo, J.; Loureiro, M.; Limbert, E.; Costa, I.; Antunes, J.; Oliveira, P. ACTH-producing carcinoma of the pituitary with haematogenic metastases. Eur. J. Endocrinol. 1997, 137, 176–180. [Google Scholar] [CrossRef]
- Penn, D.L.; Burke, W.T.; Laws, E.R. Management of non-functioning pituitary adenomas: Surgery. Pituitary 2017, 21, 145–153. [Google Scholar] [CrossRef] [PubMed]
- Petrossians, P.; Borges-Martins, L.; Espinoza, C.; Daly, A.; Betea, D.; Valdes-Socin, H.; Stevenaert, A.; Chanson, P.; Beckers, A. Gross total resection or debulking of pituitary adenomas improves hormonal control of acromegaly by somatostatin analogs. Eur. J. Endocrinol. 2005, 152, 61–66. [Google Scholar] [CrossRef] [PubMed]
- Brochier, S.; Galland, F.; Kujas, M.; Parker, F.; Gaillard, S.; Raftopoulos, C.; Young, J.; Alexopoulou, O.; Maiter, D.; Chanson, P. Factors predicting relapse of nonfunctioning pituitary macroadenomas after neurosurgery: A study of 142 patients. Eur. J. Endocrinol. 2010, 163, 193–200. [Google Scholar] [CrossRef]
- Greenman, Y.; Ouaknine, G.; Veshchev, I.; Reider-Groswasser, I.I.; Segev, Y.; Stern, N. Postoperative surveillance of clinically nonfunctioning pituitary macroadenomas: Markers of tumour quiescence and regrowth. Clin. Endocrinol. 2003, 58, 763–769. [Google Scholar] [CrossRef] [PubMed]
- Sheehan, J.; Lee, C.-C.; Bodach, M.E.; Tumialan, L.M.; Oyesiku, N.M.; Patil, C.G.; Litvack, Z.; Zada, G.; Aghi, M.K. Congress of Neurological Surgeons Systematic Review and Evidence-Based Guideline for the Management of Patients With Residual or Recurrent Nonfunctioning Pituitary Adenomas. Neurosurgery 2016, 79, E539–E540. [Google Scholar] [CrossRef]
- Minniti, G.; Osti, M.F.; Niyazi, M. Target delineation and optimal radiosurgical dose for pituitary tumors. Radiat. Oncol. 2016, 11, 135. [Google Scholar] [CrossRef]
- Sheehan, J.P.; Starke, R.M.; Mathieu, D.; Young, B.; Sneed, P.K.; Chiang, V.L.; Lee, J.Y.K.; Kano, H.; Park, K.-J.; Niranjan, A.; et al. Gamma Knife radiosurgery for the management of nonfunctioning pituitary adenomas: A multicenter study. J. Neurosurg. 2013, 119, 446–456. [Google Scholar] [CrossRef] [PubMed]
- Congdon, E.D. The distribution and mode of origin of septa and walls of the sphenoid sinus. Anat. Rec. 1920, 18, 97–123. [Google Scholar] [CrossRef]
- Fujioka, M.; Young, L.W. The Sphenoidal Sinuses: Radiographic Patterns of Normal Development and Abnormal Findings in Infants and Children. Radiology 1978, 129, 133–136. [Google Scholar] [CrossRef] [PubMed]
- Weiglein, A.; Anderhuber, W.; Wolf, G. Radiologic anatomy of the paranasal sinuses in the child. Surg. Radiol. Anat. 1992, 14, 335–339. [Google Scholar] [CrossRef]
- Szolar, D.; Preidler, K.; Ranner, G.; Braun, H.; Kugler, C.; Wolf, G.; Stammberger, H.; Ebner, F. The sphenoid sinus during childhood: Establishment of normal developmental standards by MRI. Surg. Radiol. Anat. 1994, 16, 193–198. [Google Scholar] [CrossRef]
- Wang, J.; Bidari, S.; Inoue, K.; Yang, H.; Rhoton, A. Extensions of the Sphenoid Sinus: A new classification. Neurosurgery 2010, 66, 797–816. [Google Scholar] [CrossRef]
- Vaezi, A.; Cardenas, E.; Pinheiro-Neto, C.; Paluzzi, A.; Branstetter, B.F.; Gardner, P.A.; Snyderman, C.H.; Fernandez-Miranda, J.C. Classification of Sphenoid Sinus Pneumatization: Relevance for Endoscopic Skull Base Surgery. Laryngoscope 2014, 125, 577–581. [Google Scholar] [CrossRef]
- Hamberger, C.A.; Hammer, G.; Norlen, G.; Sjogren, B. Transantrosphenoidal Hypophysectomy. Arch. Otolaryngol. Neck Surg. 1961, 74, 2–8. [Google Scholar] [CrossRef]
- Bilgir, E.; Bayrakdar, I. A new classification proposal for sphenoid sinus pneumatization: A retrospective radio-anatomic study. Oral Radiol. 2020, 37, 118–124. [Google Scholar] [CrossRef]
- Özer, C.M.; Atalar, K.D.; Öz, I.I.; Toprak, S.; Barut, M. Sphenoid Sinus in Relation to Age, Gender, and Cephalometric Indices. J. Craniofacial Surg. 2018, 29, 2319–2326. [Google Scholar] [CrossRef] [PubMed]
- Lazaridis, N.; Natsis, K.; Koebke, J.; Themelis, C. Nasal, sellar, and sphenoid sinus measurements in relation to pituitary surgery. Clin. Anat. 2010, 23, 629–636. [Google Scholar] [CrossRef] [PubMed]
- Zada, G.; Agarwalla, P.K.; Mukundan, S.; Dunn, I.; Golby, A.J.; Laws, E.R. The neurosurgical anatomy of the sphenoid sinus and sellar floor in endoscopic transsphenoidal surgery. J. Neurosurg. 2011, 114, 1319–1330. [Google Scholar] [CrossRef] [PubMed]
- Filho, A.D.A.P.; Gobbato, P.L.; Filho, G.D.A.P.; Da Silva, S.B.; Kraemer, J.L. Intracranial intrasellar kissing carotid arteries: Case report. Arq. Neuro-Psiquiatr. 2007, 65, 355–357. [Google Scholar] [CrossRef] [PubMed]
- Şahin, M.; Dilli, A.; Karbek, B.; Ünsal, I.; Güngünes, A.; Colak, N.; Uçan, B.; Cakal, E.; Özbek, M.; Delibasi, T. Unusual cause of primary amenorrhea due to kissing internal carotid arteries. Pituitary 2012, 15, 258–259. [Google Scholar] [CrossRef] [PubMed]
- Slavin, M.L. Bitemporal hemianopia associated with dolichoectasia of the intracranial carotid arteries. J. Clin. Neuro-Ophthalmol. 1990, 10, 80–81. [Google Scholar]
- Zada, G.; Cavallo, L.M.; Esposito, F.; Fernandez-Jimenez, J.C.; Tasiou, A.; De Angelis, M.; Cafiero, T.; Cappabianca, P.; Laws, E.R. Transsphenoidal surgery in patients with acromegaly: Operative strategies for overcoming technically challenging anatomical variations. Neurosurg. Focus 2010, 29, E8. [Google Scholar] [CrossRef]
- Bergland, R.M.; Ray, B.S.; Torack, R.M. Anatomical Variations in the Pituitary Gland and Adjacent Structures in 225 Human Autopsy Cases. J. Neurosurg. 1968, 28, 93–99. [Google Scholar] [CrossRef]
- Harris, F.S.; Rhoton, A.L. Anatomy of the cavernous sinus: A microsurgical study. J. Neurosurg. 1976, 45, 169–180. [Google Scholar] [CrossRef]
- Renn, W.H.; Rhoton, A.L. Microsurgical anatomy of the sellar region. J. Neurosurg. 1975, 43, 288–298. [Google Scholar] [CrossRef]
- Fujii, K.; Chambers, S.M.; Rhoton, A.L. Neurovascular relationships of the sphenoid sinus: A microsurgical study. J. Neurosurg. 1979, 50, 31–39. [Google Scholar] [CrossRef]
- Yilmazlar, S.; Kocaeli, H.; Eyigor, O.; Hakyemez, B.; Korfali, E. Clinical importance of the basal cavernous sinuses and cavernous carotid arteries relative to the pituitary gland and macroadenomas: Quantitative analysis of the complete anatomy. Surg. Neurol. 2008, 70, 165–174. [Google Scholar] [CrossRef]
- Liu, J.K.; Weiss, M.H.; Couldwell, W.T. Surgical approaches to pituitary tumors. Neurosurg. Clin. N. Am. 2003, 14, 93–107. [Google Scholar] [CrossRef] [PubMed]
- Di Chiro, G.; Nelson, K.B. The volume of the sella turcica. Am. J. Roentgenol. Radium Ther. Nucl. Med. 1962, 87, 989–1008. [Google Scholar] [PubMed]
- Provenzale, J.M. Approaches to Imaging of the Sella: Notes on “The Volume of the Sella Turcica”. Am. J. Roentgenol. 2006, 186, 931–932. [Google Scholar] [CrossRef] [PubMed]
- Zecchi, S.; E Orlandini, G.; Gulisano, M. Statistical study of the anatomo-radiologic characteristics of the sphenoid sinus and sella turcica. Boll. Soc. Ital. Biol. Sper. 1983, 59, 413–417. [Google Scholar]
- Taner, L.; Uzuner, F.D.; Demirel, O.; Gungor, K. Volumetric and three-dimensional examination of sella turcica by cone-beam computed tomography: Reference data for guidance to pathologic pituitary morphology. Folia Morphol. 2019, 78, 517–523. [Google Scholar] [CrossRef]
- Diri, H.; Tanriverdi, F.; Karaca, Z.; Senol, S.; Unluhizarci, K.; Durak, A.C.; Atmaca, H.; Kelestimur, F. Extensive investigation of 114 patients with Sheehan’s syndrome: A continuing disorder. Eur. J. Endocrinol. 2014, 171, 311–318. [Google Scholar] [CrossRef]
- Lund, E.; Jørgensen, J.; Christensen, S.E.; Weeke, J.; Orskov, H.; Harris, A.G. Reduction in sella turcica volume. An effect of long-term treatment with the somatostatin analogue, SMS 201–995, in acromegalic patients. Neuroradiology 1991, 33, 162–164. [Google Scholar] [CrossRef]
- Taveras, J.M.; Wood, E.H. Diagnostic Neuroradiology; Williams & Wilkins: Baltimore, MD, USA, 1964. [Google Scholar]
- Ouaknine, G.E.; Hardy, J. Microsurgical anatomy of the pituitary gland and the sellar region. 2. The bony structures. Am. Surg. 1987, 53, 291–297. [Google Scholar]
- Kim, E.H.; Ahn, J.Y.; Chang, J.H.; Kim, S.H. Management strategies of intercavernous sinus bleeding during transsphenoidal surgery. Acta Neurochir. 2009, 151, 803–808. [Google Scholar] [CrossRef] [PubMed]
- Nanda, A.; Maiti, T.K.; Patra, D.P. 37—Vascular Injuries During Transsphenoidal Surgery. In Complications in Neurosurgery; Nanda, A., Ed.; Elsevier: London, UK, 2019; pp. 213–217. [Google Scholar]
- Kaplan, H.A.; Browder, J.; Krieger, A.J. Intercavernous connections of the cavernous sinuses: The superior and inferior circular sinuses. J. Neurosurg. 1976, 45, 166–168. [Google Scholar] [CrossRef] [PubMed]
- Winslow, J.B. An Anatomical Exposition of the Structures of the Human Body, 5th ed.; J Knapton: London, UK, 1763; Volume 2. [Google Scholar]
- Knott, J.F. On the cerebral dural sinuses and their variations. J. Anat. Physiol. 1881, 16, 27–42. [Google Scholar]
- Aquini, M.G.; Marrone, A.C.H.; Schneider, F.L. Intercavernous Venous Communications in the Human Skull Base. J. Neurol. Surg. Part B Skull Base 1994, 4, 145–150. [Google Scholar] [CrossRef]
- Tubbs, R.S.; Griessenauer, C.; Loukas, M.; Cohen-Gadol, A.A. The Circular Sinus: An Anatomic Study with Neurosurgical and Neurointerventional Applications. World Neurosurg. 2013, 82, e475–e478. [Google Scholar] [CrossRef] [PubMed]
- Mizutani, K.; Toda, M.; Yoshida, K. Analysis of the intercavernous sinuses using multidetector computed tomography digital subtraction venography (CT-DSV). Clin. Neurol. Neurosurg. 2015, 131, 31–34. [Google Scholar] [CrossRef]
- Rhoton, A.L. 10— Surgical Anatomy of the Sellar Region. In Transsphenoidal Surgery; Laws, E.R., Lanzino, G., Eds.; W.B. Saunders: Saint Louis, MI, USA, 2010; pp. 92–119. [Google Scholar]
- Deng, X.; Chen, S.; Bai, Y.; Song, W.; Chen, Y.; Li, D.; Han, H.; Liu, B. Vascular Complications of Intercavernous Sinuses during Transsphenoidal Surgery: An Anatomical Analysis Based on Autopsy and Magnetic Resonance Venography. PLoS ONE 2015, 10, e0144771. [Google Scholar] [CrossRef]
- Peto, I.; Abou-Al-Shaar, H.; White, T.G.; Abunimer, A.M.; Kwan, K.; Zavadskiy, G.; Wagner, K.; Black, K.; Eisenberg, M.; Bruni, M.; et al. Sources of residuals after endoscopic transsphenoidal surgery for large and giant pituitary adenomas. Acta Neurochir. 2020, 162, 2341–2351. [Google Scholar] [CrossRef]
- Cappabianca, P.; Cavallo, L.M.; de Divitiis, O.; de Angelis, M.; Chiaramonte, C.; Solari, D. Endoscopic Endonasal Extended Approaches for the Management of Large Pituitary Adenomas. Neurosurg. Clin. N. Am. 2015, 26, 323–331. [Google Scholar] [CrossRef]
- Komotar, R.J.; Starke, R.M.; Raper, D.M.S.; Anand, V.K.; Schwartz, T.H. Endoscopic endonasal compared with microscopic transsphenoidal and open transcranial resection of giant pituitary adenomas. Pituitary 2011, 15, 150–159. [Google Scholar] [CrossRef]
- Juraschka, K.; Khan, O.H.; Godoy, B.L.; Monsalves, E.; Kilian, A.; Krischek, B.; Ghare, A.; Vescan, A.; Gentili, F.; Zadeh, G. Endoscopic endonasal transsphenoidal approach to large and giant pituitary adenomas: Institutional experience and predictors of extent of resection. J. Neurosurg. 2014, 121, 75–83. [Google Scholar] [CrossRef]
- Koutourousiou, M.; Gardner, P.A.; Fernandez-Miranda, J.C.; Paluzzi, A.; Wang, E.W.; Snyderman, C.H. Endoscopic endonasal surgery for giant pituitary adenomas: Advantages and limitations. J. Neurosurg. 2013, 118, 621–631. [Google Scholar] [CrossRef] [PubMed]
- Cappabianca, P.; Cavallo, L.M.; Solari, D.; de Divitiis, O.; Chiaramonte, C.; Esposito, F. Size does not matter. The intrigue of giant adenomas: A true surgical challenge. Acta Neurochir. 2014, 156, 2217–2220. [Google Scholar] [CrossRef] [PubMed]
- Berkmann, S.; Lattmann, J.; Schuetz, P.; Diepers, M.; Remonda, L.; Fandino, J.; Buchfelder, M.; Mueller, B. The Shape grading system: A classification for growth patterns of pituitary adenomas. Acta Neurochir. 2021, 163, 3181–3189. [Google Scholar] [CrossRef]
- Goel, A.; Nadkarni, T.; Muzumdar, D.; Desai, K.; Phalke, U.; Sharma, P. Giant pituitary tumors: A study based on surgical treatment of 118 cases. Surg. Neurol. 2004, 61, 436–445. [Google Scholar] [CrossRef] [PubMed]
- Harel, E.; Cossu, G.; Daniel, R.T.; Messerer, M. Relationship with the diaphragm to predict the surgical outcome in large and giant pituitary adenomas. Front. Surg. 2022, 9, 962709. [Google Scholar] [CrossRef]
- Campero, A.; Martins, C.; Yasuda, A.; Rhoton, A.L. Microsurgical Anatomy of the Diaphragma sellae and its Role in directing the Pattern of Growth of Pituitary Adenomas. Neurosurgery 2008, 62, 717–723. [Google Scholar] [CrossRef] [PubMed]
- Micko, A.S.G.; Keritam, O.; Marik, W.; Strickland, B.A.; Briggs, R.G.; Shahrestani, S.; Cardinal, T.; Knosp, E.; Zada, G.; Wolfsberger, S. Dumbbell-shaped pituitary adenomas: Prognostic factors for prediction of tumor nondescent of the supradiaphragmal component from a multicenter series. J. Neurosurg. 2022, 137, 609–617. [Google Scholar] [CrossRef]
- Rutkowski, M.J.; Chang, K.-E.; Cardinal, T.; Du, R.; Tafreshi, A.R.; Donoho, D.A.; Brunswick, A.; Micko, A.; Liu, C.-S.J.; Shiroishi, M.S.; et al. Development and clinical validation of a grading system for pituitary adenoma consistency. J. Neurosurg. 2021, 134, 1800–1807. [Google Scholar] [CrossRef]
- Badie, B.; Brooks, N.; Souweidane, M.M. Endoscopic and Minimally Invasive Microsurgical Approaches for Treating Brain Tumor Patients. J. Neuro-Oncol. 2004, 69, 209–219. [Google Scholar] [CrossRef]
- Jankowski, R.; Auque, J.; Simon, C.; Marchai, J.C.; Hepner, H.; Wayoff, M. Endoscopic Pituitary Tumor Surgery. Laryngoscope 1992, 102, 198–202. [Google Scholar] [CrossRef] [PubMed]
- Snow, R.B.; Lavyne, M.H.; Lee, B.C.P.; Morgello, S.; Patterson, R.H. Craniotomy versus Transsphenoidal Excision of Large Pituitary Tumors: The Usefulness of Magnetic Resonance Imaging in Guiding the Operative Approach. Neurosurgery 1986, 19, 59–64. [Google Scholar] [CrossRef] [PubMed]
- Yamamoto, J.; Kakeda, S.; Shimajiri, S.; Takahashi, M.; Watanabe, K.; Kai, Y.; Moriya, J.; Korogi, Y.; Nishizawa, S., III. Tumor Consistency of Pituitary Macroadenomas: Predictive Analysis on the Basis of Imaging Features with Contrast-Enhanced 3D FIESTA at 3T. Am. J. Neuroradiol. 2013, 35, 297–303. [Google Scholar] [CrossRef] [PubMed]
- Thotakura, A.; Patibandla, M.; Panigrahi, M.; Mahadevan, A. Is it really possible to predict the consistency of a pituitary adenoma preoperatively? Neurochirurgie 2017, 63, 453–457. [Google Scholar] [CrossRef] [PubMed]
- Pierallini, A.; Caramia, F.; Falcone, C.; Tinelli, E.; Paonessa, A.; Ciddio, A.B.; Fiorelli, M.; Bianco, F.; Natalizi, S.; Ferrante, L.; et al. Pituitary Macroadenomas: Preoperative Evaluation of Consistency with Diffusion-weighted MR Imaging—Initial Experience. Radiology 2006, 239, 223–231. [Google Scholar] [CrossRef]
- Romano, A.; Coppola, V.; Lombardi, M.; Lavorato, L.; Di Stefano, D.; Caroli, E.; Espagnet, M.C.R.; Tavanti, F.; Minniti, G.; Trillò, G.; et al. Predictive role of dynamic contrast enhanced T1-weighted MR sequences in pre-surgical evaluation of macroadenomas consistency. Pituitary 2016, 20, 201–209. [Google Scholar] [CrossRef]
- Yiping, L.; Ji, X.; Daoying, G.; Bo, Y. Prediction of the consistency of pituitary adenoma: A comparative study on diffusion-weighted imaging and pathological results. J. Neuroradiol. 2016, 43, 186–194. [Google Scholar] [CrossRef]
- Ma, Z.; He, W.; Zhao, Y.; Yuan, J.; Zhang, Q.; Wu, Y.; Chen, H.; Yao, Z.; Li, S.; Wang, Y. Predictive value of PWI for blood supply and T1-spin echo MRI for consistency of pituitary adenoma. Neuroradiology 2015, 58, 51–57. [Google Scholar] [CrossRef]
- Iuchi, T.; Saeki, N.; Tanaka, M.; Sunami, K.; Yamaura, A. MRI Prediction of Fibrous Pituitary Adenomas. Acta Neurochir. 1998, 140, 779–786. [Google Scholar] [CrossRef]
- Yao, A.; Pain, M.; Balchandani, P.; Shrivastava, R.K. Can MRI predict meningioma consistency? A correlation with tumor pathology and systematic review. Neurosurg. Rev. 2016, 41, 745–753. [Google Scholar] [CrossRef]
- Zeynalova, A.; Kocak, B.; Durmaz, E.S.; Comunoglu, N.; Ozcan, K.; Ozcan, G.; Turk, O.; Tanriover, N.; Kocer, N.; Kizilkilic, O.; et al. Preoperative evaluation of tumour consistency in pituitary macroadenomas: A machine learning-based histogram analysis on conventional T2-weighted MRI. Neuroradiology 2019, 61, 767–774. [Google Scholar] [CrossRef]
- Hughes, J.D.; Fattahi, N.; Van Gompel, J.; Arani, A.; Ehman, R.; Huston, J. Magnetic resonance elastography detects tumoral consistency in pituitary macroadenomas. Pituitary 2016, 19, 286–292. [Google Scholar] [CrossRef] [PubMed]
- Taheri, M.S.; Kimia, F.; Mehrnahad, M.; Rad, H.S.; Haghighatkhah, H.; Moradi, A.; Kazerooni, A.F.; Alviri, M.; Absalan, A. Accuracy of diffusion-weighted imaging-magnetic resonance in differentiating functional from non-functional pituitary macro-adenoma and classification of tumor consistency. Neuroradiol. J. 2018, 32, 74–85. [Google Scholar] [CrossRef] [PubMed]
- Choyke, P.L.; Dwyer, A.J.; Knopp, M.V. Functional tumor imaging with dynamic contrast-enhanced magnetic resonance imaging. J. Magn. Reson. Imaging 2003, 17, 509–520. [Google Scholar] [CrossRef] [PubMed]
- Zhai, J.; Zheng, W.; Zhang, Q.; Wu, J.; Zhang, X. Pharmacokinetic analysis for the differentiation of pituitary microadenoma subtypes through dynamic contrast-enhanced magnetic resonance imaging. Oncol. Lett. 2019, 17, 4237–4244. [Google Scholar] [CrossRef]
- Kamimura, K.; Nakajo, M.; Yoneyama, T.; Bohara, M.; Nakanosono, R.; Fujio, S.; Iwanaga, T.; Nickel, M.D.; Imai, H.; Fukukura, Y.; et al. Quantitative pharmacokinetic analysis of high-temporal-resolution dynamic contrast-enhanced MRI to differentiate the normal-appearing pituitary gland from pituitary macroadenoma. Jpn. J. Radiol. 2020, 38, 649–657. [Google Scholar] [CrossRef]
- Kamimura, K.; Nakajo, M.; Bohara, M.; Nagano, D.; Fukukura, Y.; Fujio, S.; Takajo, T.; Tabata, K.; Iwanaga, T.; Imai, H.; et al. Consistency of Pituitary Adenoma: Prediction by Pharmacokinetic Dynamic Contrast-Enhanced MRI and Comparison with Histologic Collagen Content. Cancers 2021, 13, 3914. [Google Scholar] [CrossRef]
- Cohen-Cohen, S.; Helal, A.; Yin, Z.; Ball, M.K.; Ehman, R.L.; Van Gompel, J.J.; Huston, J. Predicting pituitary adenoma consistency with preoperative magnetic resonance elastography. J. Neurosurg. 2022, 136, 1356–1363. [Google Scholar] [CrossRef]
- Jefferson, G. Extrasellar Extensions of Pituitary Adenomas. Proc. R. Soc. Med. 1940, 33, 433–458. [Google Scholar] [CrossRef]
- Hardy, J. Transsphenoidal surgery of hypersecreting pituitary tumors. In Diagnosis and Treatment of Pituitary Tumors; Excerpta Medica: Amsterdam, The Netherlands, 1973; pp. 179–194. [Google Scholar]
- Hardy, J.; Vezina, J.L. Transsphenoidal neurosurgery of intracranial neoplasm. Adv. Neurol. 1976, 15, 261–273. [Google Scholar]
- Hardy, J. Transsphenoidal microsurgical treatment of pituitary tumors. In Recent Advances in the Diagnosis and Treatment of Pituitary Tumors; Raven Press–Chelsea Green Publishing: White River Junction, VT, USA, 1979; pp. 375–388. [Google Scholar]
- Castle-Kirszbaum, M.; Wang, Y.Y.; King, J.; Kam, J.; Goldschlager, T. The HACKD Score—Predicting Extent of Resection of Pituitary Macroadenomas Through an Endoscopic Endonasal Transsphenoidal Approach. Oper. Neurosurg. 2023, 24, 154–161. [Google Scholar] [CrossRef]
- Zada, G.; Du, R.; Laws, E.R. Defining the “edge of the envelope”: Patient selection in treating complex sellar-based neoplasms via transsphenoidal versus open craniotomy. J. Neurosurg. 2011, 114, 286–300. [Google Scholar] [CrossRef]
- E Decker, R.; Chalif, D.J. Progressive coma after the transsphenoidal decompression of a pituitary adenoma with marked suprasellar extension: Report of two cases. Neurosurgery 1991, 28, 154–157. [Google Scholar] [CrossRef]
- Barrow, D.L.; Tindall, G.T. Loss of vision after transsphenoidal surgery. Neurosurgery 1990, 2, 60–68. [Google Scholar] [CrossRef] [PubMed]
- Goel, A. Is the Endoscope Useful for Pituitary Tumor Surgery? Controversies in Neurosurgery II; Thieme: New York, NY, USA, 2014. [Google Scholar]
- Yasuda, A.; Campero, A.; Martins, C.; Rhoton, A.L.; Ribas, G.C. The Medial Wall of the Cavernous Sinus: Microsurgical Anatomy. Neurosurgery 2004, 55, 179–189. [Google Scholar] [CrossRef]
- Knappe, U.J.; Konerding, M.A.; Schoenmayr, R. Medial wall of the cavernous sinus: Microanatomical diaphanoscopic and episcopic investigation. Acta Neurochir. 2009, 151, 961–967. [Google Scholar] [CrossRef]
- Knosp, E.; Steiner, E.; Kitz, K.; Matula, C. Pituitary Adenomas with Invasion of the Cavernous Sinus Space: A magnetic resonance imaging classification compared with surgical findings. Neurosurgery 1993, 33, 610–618. [Google Scholar] [CrossRef] [PubMed]
- Zada, G.; Kelly, D.F.; Cohan, P.; Wang, C.; Swerdloff, R. Endonasal transsphenoidal approach to treat pituitary adenomas and other sellar lesions: An assessment of efficacy, safety, and patient impressions of the surgery. J. Neurosurg. 2003, 98, 350–358. [Google Scholar] [CrossRef]
- Micko, A.S.G.; Wöhrer, A.; Wolfsberger, S.; Knosp, E. Invasion of the cavernous sinus space in pituitary adenomas: Endoscopic verification and its correlation with an MRI-based classification. J. Neurosurg. 2015, 122, 803–811. [Google Scholar] [CrossRef]
- Dhandapani, S.; Singh, H.; Negm, H.M.; Cohen, S.; Anand, V.K.; Schwartz, T.H. Cavernous Sinus Invasion in Pituitary Adenomas: Systematic Review and Pooled Data Meta-Analysis of Radiologic Criteria and Comparison of Endoscopic and Microscopic Surgery. World Neurosurg. 2016, 96, 36–46. [Google Scholar] [CrossRef]
- Wolfsberger, S.; Ba-Ssalamah, A.; Pinker, K.; Mlynárik, V.; Czech, T.; Knosp, E.; Trattnig, S. Application of three-tesla magnetic resonance imaging for diagnosis and surgery of sellar lesions. J. Neurosurg. 2004, 100, 278–286. [Google Scholar] [CrossRef] [PubMed]
- Cao, L.; Chen, H.; Hong, J.; Ma, M.; Zhong, Q.; Wang, S. Magnetic resonance imaging appearance of the medial wall of the cavernous sinus for the assessment of cavernous sinus invasion by pituitary adenomas. J. Neuroradiol. 2013, 40, 245–251. [Google Scholar] [CrossRef] [PubMed]
- Davis, M.; Castillo, M. Evaluation of the Pituitary Gland Using Magnetic Resonance Imaging: T1-Weighted vs. VIBE Imaging. Neuroradiol. J. 2013, 26, 297–300. [Google Scholar] [CrossRef] [PubMed]
- Wu, Y.; Wang, J.; Yao, Z.; Yang, Z.; Ma, Z.; Wang, Y. Effective performance of contrast enhanced SPACE imaging in clearly depicting the margin of pituitary adenoma. Pituitary 2014, 18, 480–486. [Google Scholar] [CrossRef]
- Lien, R.J.; Corcuera-Solano, I.; Pawha, P.S.; Naidich, T.P.; Tanenbaum, L.N. Three-Tesla Imaging of the Pituitary and Parasellar Region: T1-weighted 3-dimensional fast spin echo cube outperforms conventional 2-dimensional magnetic resonance imaging. J. Comput. Assist. Tomogr. 2015, 39, 329–333. [Google Scholar] [CrossRef]
- Niu, J.; Zhang, S.; Ma, S.; Diao, J.; Zhou, W.; Tian, J.; Zang, Y.; Jia, W. Preoperative prediction of cavernous sinus invasion by pituitary adenomas using a radiomics method based on magnetic resonance images. Eur. Radiol. 2018, 29, 1625–1634. [Google Scholar] [CrossRef]
- Won, S.Y.; Lee, N.; Park, Y.W.; Ahn, S.S.; Ku, C.R.; Kim, E.H.; Lee, S.-K. Quality reporting of radiomics analysis in pituitary adenomas: Promoting clinical translation. Br. J. Radiol. 2022, 95, 20220401. [Google Scholar] [CrossRef]
- Hofstetter, C.P.; Singh, A.; Anand, V.K.; Kacker, A.; Schwartz, T.H. The endoscopic, endonasal, transmaxillary transpterygoid approach to the pterygopalatine fossa, infratemporal fossa, petrous apex, and the Meckel cave. J. Neurosurg. 2010, 113, 967–974. [Google Scholar] [CrossRef]
- Hardesty, D.A.; Montaser, A.S.; Carrau, R.L.; Prevedello, D.M. Limits of endoscopic endonasal transpterygoid approach to cavernous sinus and Meckel’s cave. J. Neurosurg. Sci. 2018, 62, 332–338. [Google Scholar] [CrossRef]
- Kitano, M.; Taneda, M.; Shimono, T.; Nakao, Y. Extended transsphenoidal approach for surgical management of pituitary adenomas invading the cavernous sinus. J. Neurosurg. 2008, 108, 26–36. [Google Scholar] [CrossRef]
- Luzzi, S.; Giotta Lucifero, A.; Spina, A.; Baldoncini, M.; Campero, A.; Elbabaa, S.K.; Galzio, R. Cranio-Orbito-Zygomatic Approach: Core Techniques for Tailoring Target Exposure and Surgical Freedom. Brain Sci. 2022, 12, 405. [Google Scholar] [CrossRef] [PubMed]
- Luzzi, S.; Giotta Lucifero, A.; Bruno, N.; Baldoncini, M.; Campero, A.; Galzio, R. Cranio-Orbito-Zygomatic Approach. Acta Biomed. 2022, 92, e2021350. [Google Scholar] [CrossRef] [PubMed]
- Luzzi, S.; Giotta Lucifero, A.; Bruno, N.; Baldoncini, M.; Campero, A.; Galzio, R. Pterional Approach. Acta Biomed. 2022, 92, e2021346. [Google Scholar] [CrossRef]
- Luzzi, S.; Lucifero, A.G.; Baldoncini, M.; Campero, A.; Elbabaa, S.K.; Galzio, R. Pterional Approach: Technical Variations, Functional, and Cosmetic Outcome in a Series of 1000 Patients. Arch. Neurocienc. 2022, 27, 5–16. [Google Scholar] [CrossRef]
- Giotta Lucifero, A.; Fernandez-Miranda, J.C.; Nunez, M.; Bruno, N.; Tartaglia, N.; Ambrosi, A.; Marseglia, G.L.; Galzio, R.; Luzzi, S. The Modular Concept in Skull Base Surgery: Anatomical Basis of the Median, Paramedian and Lateral Corridors. Acta Biomed. 2021, 92, e2021411. [Google Scholar] [CrossRef]
- Kuo, J.S.; Chen, J.C.; Yu, C.; Zelman, V.; Giannotta, S.L.; Petrovich, Z.; MacPherson, D.; Apuzzo, M.L. Gamma knife radiosurgery for benign cavernous sinus tumors: Quantitative analysis of treatment outcomes. Neurosurgery 2004, 54, 1385–1394. [Google Scholar] [CrossRef]
- Sheehan, J.P.; Kondziolka, D.; Flickinger, J.; Lunsford, L.D. Radiosurgery for residual or recurrent nonfunctioning pituitary adenoma. J. Neurosurg. 2002, 97, 408–414. [Google Scholar] [CrossRef]
- Sheehan, J.P.; Niranjan, A.; Sheehan, J.M.; Jane, J.A.; Laws, E.R.; Kondziolka, D.; Flickinger, J.; Landolt, A.M.; Loeffler, J.S.; Lunsford, L.D. Stereotactic radiosurgery for pituitary adenomas: An intermediate review of its safety, efficacy, and role in the neurosurgical treatment armamentarium. J. Neurosurg. 2005, 102, 678–691. [Google Scholar] [CrossRef]
- Guinto, G.; Contreras, R. Cranial Approaches to Pituitary Adenomas with Cavernous Sinus Extensions. In Controversies in Neurosurgery II; Al-Mefty, O., Ed.; Georg Thieme Verlag KG: Stuttgart, Germany, 2014. [Google Scholar]
- Harrison, M.J.; Al-Mefty, O. Skull base approaches for Giant Invasive Pituitary Tumors. In Pituitary Disorders: Comprehensive management, 1st ed.; Krisht, A.F., Tindall, G.T., Eds.; Lippincott Williams & Wilkins: Baltimore, MD, USA, 1999; pp. 375–388. [Google Scholar]
- Heaney, A. Management of aggressive pituitary adenomas and pituitary carcinomas. J. Neuro-Oncol. 2014, 117, 459–468. [Google Scholar] [CrossRef] [PubMed]
- Scheithauer, B.W.; Kovacs, K.T.; Laws, E.R.; Randall, R.V. Pathology of invasive pituitary tumors with special reference to functional classification. J. Neurosurg. 1986, 65, 733–744. [Google Scholar] [CrossRef] [PubMed]
- Kassam, A.; Snyderman, C.H.; Mintz, A.; Gardner, P.; Carrau, R.L. Expanded endonasal approach: The rostrocaudal axis. Part II. Posterior clinoids to the foramen magnum. Neurosurg. Focus 2005, 19, 1–7. [Google Scholar] [CrossRef]
- Stippler, M.; Gardner, P.A.; Snyderman, C.H.; Carrau, R.L.; Prevedello, D.M.; Kassam, A.B. Endoscopic Endonasal Approach for Clival Chordomas. Neurosurgery 2009, 64, 268–277. [Google Scholar] [CrossRef] [PubMed]
- Al-Mefty, O.; Ayoubi, S.; Smith, R.R. The Petrosal Approach: Indications, Technique, and Results. In Proceedings of the Pro-cesses of the Cranial Midline, Vienna, Austria, 21–25 May 1991; pp. 166–170. [Google Scholar]
- Al-Mefty, O.; Fox, J.L.; Smith, R.R. Petrosal Approach for Petroclival Meningiomas. Neurosurgery 1988, 22, 510–517. [Google Scholar] [CrossRef]
- Cho, C.W.; Al-Mefty, O. Combined petrosal approach to petroclival meningiomas. Neurosurgery 2002, 51, 708–716. [Google Scholar] [CrossRef]
- Taveras, J.M.; Wood, E.H. Extradural parasellar masses. In Diagnostic Neuroradiology; Wilkins, W., Ed.; Springer: Baltimore, MD, USA, 1976; pp. 747–750. [Google Scholar]
- Young, S.C.; I Grossman, R.; I Goldberg, H.; Spagnoli, M.V.; Hackney, D.B.; A Zimmerman, R.; Bilaniuk, L.T. MR of vascular encasement in parasellar masses: Comparison with angiography and CT. Am. J. Neuroradiol. 1988, 9, 35–38. [Google Scholar] [PubMed]
- Aoki, N.; Origitano, T.C.; Al-Mefty, O. Vasospasm after resection of skull base tumors. Acta Neurochir. 1995, 132, 53–58. [Google Scholar] [CrossRef] [PubMed]
- Camp, P.E.; Paxton, H.D.; Buchan, C.G.; Gahbauer, H. Vasospasm after Trans-sphenoidal Hypophysectomy. Neurosurgery 1980, 7, 382–386. [Google Scholar] [CrossRef] [PubMed]
- Kasliwal, M.K.; Srivastava, R.; Sinha, S.; Kale, S.S.; Sharma, B.S. Vasospasm after transsphenoidal pituitary surgery: A case report and review of the literature. Neurol. India 2008, 56, 81–83. [Google Scholar] [CrossRef]
- Mawk, J.R. Vasospasm after Pituitary Surgery. J. Neurosurg. 1983, 58, 972. [Google Scholar] [CrossRef]
- Nishioka, H.; Ito, H.; Haraoka, J. Cerebral vasospasm following transsphenoidal removal of a pituitary adenoma. Br. J. Neurosurg. 2001, 15, 44–47. [Google Scholar] [CrossRef]
- Bailey, O.T.; Cutler, E.C. Malignant adenomas of the chromophobe cells of the pituitary body. Arch Pathol. 1940, 29, 368–399. [Google Scholar]
- Selman, W.R.; Laws, E.R.; Scheithauer, B.W.; Carpenter, S.M. The occurrence of dural invasion in pituitary adenomas. J. Neurosurg. 1986, 64, 402–407. [Google Scholar] [CrossRef] [PubMed]
- Pant, B.; Arita, K.; Kurisu, K.; Tominaga, A.; Eguchi, K.; Uozumi, T. Incidence of intracranial aneurysm associated with pituitary adenoma. Neurosurg. Rev. 1997, 20, 13–17. [Google Scholar] [CrossRef] [PubMed]
- Wakai, S.; Fukushima, T.; Furihata, T.; Sano, K. Association of cerebral aneurysm with pituitary adenoma. Surg. Neurol. 1979, 12, 503–507. [Google Scholar] [PubMed]
- Weir, B. Pituitary Tumors and Aneurysms: Case report and review of the literature. Neurosurgery 1992, 30, 585–590. [Google Scholar] [CrossRef]
- Yang, W.-H.; Yang, Y.-H.; Chen, P.-C.; Wang, T.-C.; Chen, K.-J.; Cheng, C.-Y.; Lai, C.-H. Intracranial aneurysms formation after radiotherapy for head and neck cancer: A 10-year nationwide follow-up study. BMC Cancer 2019, 19, 537. [Google Scholar] [CrossRef]
- Scodary, D.J.; Tew, J.M.; Thomas, G.M.; Tomsick, T.; Liwnicz, B.H. Radiation-induced cerebral aneurysms. Acta Neurochir. 1990, 102, 141–144. [Google Scholar] [CrossRef]
- Dho, Y.-S.; Kim, D.G.; Chung, H.-T. Ruptured de novo Aneurysm following Gamma Knife Surgery for Arteriovenous Malformation: Case Report. Ster. Funct. Neurosurg. 2017, 95, 379–384. [Google Scholar] [CrossRef]
- Esmaeeli, S.; Valencia, J.; Buhl, L.K.; Bastos, A.B.; Goudarzi, S.; Eikermann, M.; Fehnel, C.; Pollard, R.; Thomas, A.; Ogilvy, C.S.; et al. Anesthetic management of unruptured intracranial aneurysms: A qualitative systematic review. Neurosurg. Rev. 2021, 44, 2477–2492. [Google Scholar] [CrossRef]
- Jordan, R.M.; Kerber, C.W. Rupture of a Parasellar Aneurysm With a Coexisting Pituitary Tumor. South. Med. J. 1978, 71, 741–742. [Google Scholar] [CrossRef]
- Lippman, H.H.; Onofrio, B.M.; Baker, H.L. Intrasellar aneurysm and pituitary adenoma: Report of a case. Mayo Clin. Proc. 1971, 46, 532–535. [Google Scholar] [PubMed]
- Mangiardi, J.; Aleksic, S.; Lifshitz, M.; Pinto, R.; Budzilovic, G.; Pearson, J. Coincidental pituitary adenoma and cerebral aneurysm with pathological findings. Surg. Neurol. 1983, 19, 38–41. [Google Scholar] [CrossRef] [PubMed]
- Okada, H.; Kodama, N.; Mineura, K.; Sakamoto, T.; Suzuki, J. A ruptured aneurysm associated with pituitary tumor (author’s transl). No Shinkei Geka 1980, 8, 379–381. [Google Scholar]
- Tsuchida, T.; Tanaka, R.; Yokoyama, M.; Sato, H. Rupture of anterior communicating artery aneurysm during transsphenoidal surgery for pituitary adenoma. Surg. Neurol. 1983, 20, 67–70. [Google Scholar] [CrossRef] [PubMed]
- Bi, W.L.; Brown, P.A.; Abolfotoh, M.; Al-Mefty, O.; Mukundan, S.; Dunn, I.F. Utility of dynamic computed tomography angiography in the preoperative evaluation of skull base tumors. J. Neurosurg. 2015, 123, 1–8. [Google Scholar] [CrossRef]
- Gupta, S.; Bi, W.L.; Mukundan, S.; Al-Mefty, O.; Dunn, I.F. Clinical applications of dynamic CT angiography for intracranial lesions. Acta Neurochir. 2018, 160, 675–680. [Google Scholar] [CrossRef]
- Fahlbusch, R.; Honegger, J.; Paulus, W.; Huk, W.; Buchfelder, M. Surgical treatment of craniopharyngiomas: Experience with 168 patients. J. Neurosurg. 1999, 90, 237–250. [Google Scholar] [CrossRef]
- Minamida, Y.; Mikami, T.; Hashi, K.; Houkin, K. Surgical management of the recurrence and regrowth of craniopharyngiomas. J. Neurosurg. 2005, 103, 224–232. [Google Scholar] [CrossRef]
- Van Effenterre, R.; Boch, A.-L. Craniopharyngioma in adults and children: A study of 122 surgical cases. J. Neurosurg. 2002, 97, 3–11. [Google Scholar] [CrossRef]
- Yaşargil, M.G.; Curcic, M.; Kis, M.; Siegenthaler, G.; Teddy, P.J.; Roth, P. Total removal of craniopharyngiomas: Approaches and long-term results in 144 patients. J. Neurosurg. 1990, 73, 3–11. [Google Scholar] [CrossRef]
- Al-Mefty, O.; Kersh, J.E.; Routh, A.; Smith, R.R. The long-term side effects of radiation therapy for benign brain tumors in adults. J. Neurosurg. 1990, 73, 502–512. [Google Scholar] [CrossRef]
- Snow, R.B.; E Johnson, C.; Morgello, S.; Lavyne, M.H.; Patterson, R.H. Is magnetic resonance imaging useful in guiding the operative approach to large pituitary tumors? Neurosurgery 1990, 26, 801–803. [Google Scholar] [CrossRef] [PubMed]
- Harris, J.R.; Levene, M.B. Visual Complications following Irradiation for Pituitary Adenomas and Craniopharyngiomas. Radiology 1976, 120, 167–171. [Google Scholar] [CrossRef] [PubMed]
- Kline, L.B.; Kim, J.Y.; Ceballos, R. Radiation Optic Neuropathy. Ophthalmology 1985, 92, 1118–1126. [Google Scholar] [CrossRef] [PubMed]
- Atkinson, A.B.; Allen, I.V.; Gordon, D.S.; Hadden, D.R.; Maguire, C.J.F.; Trimble, E.R.; Lyons, A.R. Progressive Visual Failure in Acromegaly Following External Pituitary Irradiation. Clin. Endocrinol. 1979, 10, 469–479. [Google Scholar] [CrossRef] [PubMed]
- Schatz, N.J.; Lichtenstein, S.; Corbett, J.J. Delayed radiation necrosis of the optic nerves and chiasm. In Neuro-Ophthalmoiogy: Symposium of the University of Miami and the Bascom Palmer Eye Institute; Glaser, S.J., Smith, J.L., Eds.; Mosby: St Louis, MI, USA, 1975; Volume 8, pp. 131–139. [Google Scholar]
- Fischer, E.G.; Welch, K.; Belli, J.A.; Wallman, J.; Shillito, J.J.; Winston, K.R.; Cassady, R. Treatment of craniopharyngiomas in children: 1972–1981. J. Neurosurg. 1985, 62, 496–501. [Google Scholar] [CrossRef]
- Fuks, Z.; Glatstein, E.; Marsa, G.W.; Bagshaw, M.A.; Kaplan, H.S. Long-term effects of external radiation on the pituitary and thyroid glands. Cancer 1976, 37, 1152–1161. [Google Scholar] [CrossRef]
- Larkins, R.G.; I Martin, F. Hypopituitarism after extracranial irradiation: Evidence for hypothalamic origin. BMJ 1973, 1, 152–153. [Google Scholar] [CrossRef]
- Richards, G.E.; Wara, W.M.; Grumbach, M.M.; Kaplan, S.L.; Sheline, G.E.; Conte, F.A. Delayed onset of hypopituitarism: Sequelae of therapeutic irradiation of central nervous system, eye, and middle ear tumors. J. Pediatr. 1976, 89, 553–559. [Google Scholar] [CrossRef]
- Samaan, N.A.; Bakdash, M.M.; Caderao, J.B.; Cangir, A.; Jesse, R.H.; Ballantyne, A.J. Hypopituitarism After External Irradiation: Evidence for both hypothalamic and pituitary origin. Ann. Intern. Med. 1975, 83, 771–777. [Google Scholar] [CrossRef]
- Shalet, S.M.; Beardwell, C.G.; MacFarlane, I.A.; Jones, P.H.M.; Pearson, D. Endocrine Morbidity in Adults Treated with Cerebral Irradiation for Brain Tumours during Childhood. Eur. J. Endocrinol. 1977, 84, 673–680. [Google Scholar] [CrossRef] [PubMed]
- Snyder, P.J.; Fowble, B.F.; Schatz, N.J.; Savino, P.J.; Gennarelli, T.A. Hypopituitarism following radiation therapy of pituitary adenomas. Am. J. Med. 1986, 81, 457–462. [Google Scholar] [CrossRef] [PubMed]
- Thomsett, M.; Conte, F.; Kaplan, S.; Grumbach, M. Endocrine and neurologic outcome in childhood craniopharyngioma: Review of effect of treatment in 42 patients. J. Pediatr. 1980, 97, 728–735. [Google Scholar] [CrossRef]
- Averback, P. Mixed intracranial sarcomas: Rare forms and a new association with previous radiation therapy. Ann. Neurol. 1978, 4, 229–233. [Google Scholar] [CrossRef]
- Bhansali, A.; Banerjee, A.; Chanda, A.; Singh, P.; Sharma, S.; Mathuriya, S.; Dash, R. Radiation-induced brain disorders in patients with pituitary tumours. Australas. Radiol. 2004, 48, 339–346. [Google Scholar] [CrossRef]
- Ahmad, K.; Fayos, J.V. Pituitary fibrosarcoma secondary to radiation therapy. Cancer 1978, 42, 107–110. [Google Scholar] [CrossRef] [PubMed]
- Amine, A.R.; Sugar, O. Suprasellar osteogenic sarcoma following radiation for pituitary adenoma: Case report. J. Neurosurg. 1976, 44, 88–91. [Google Scholar] [CrossRef] [PubMed]
- Coppeto, J.R.; Roberts, M. Fibrosarcoma After Proton-Beam Pituitary Ablation. Arch. Neurol. 1979, 36, 380–381. [Google Scholar] [CrossRef] [PubMed]
- Goldberg, M.B.; Sheline, G.E.; Malamud, N. Malignant Intracranial Neoplasms Following Radiation Therapy for Acromegaly. Radiology 1963, 80, 465–470. [Google Scholar] [CrossRef]
- Gonzalez-Vitale, J.C.; Slavin, R.E.; McQueen, J.D. Radiation-induced intracranial malignant fibrous histiocytoma. Cancer 1976, 37, 2960–2963. [Google Scholar] [CrossRef]
- Greenhouse, A.H. Pituitary Sarcoma; A possible consequence of radiation. JAMA 1964, 190, 269–273. [Google Scholar] [CrossRef]
- Martin, W.; Cail, W.; Morris, J.; Constable, W. Fibrosarcoma after high energy radiation therapy for pituitary adenoma. Am. J. Roentgenol. 1980, 135, 1087–1090. [Google Scholar] [CrossRef]
- Newton, T.H.; Burhenne, H.J.; Palubinskas, A.J. Primary carcinoma of the pituitary. Am. J. Roentgenol. Radium Ther. Nucl. Med. 1962, 87, 110–120. [Google Scholar] [PubMed]
- Pagès, A.; Pagès, M.; Ramos, J.; Benezech, J. Radiation-induced intracranial fibrochondrosarcoma. J. Neurol. 1986, 233, 309–310. [Google Scholar] [CrossRef]
- Pieterse, S.; Dinning, T.A.R.; Blumbergs, P.C. Postirradiation sarcomatous transformation of a pituitary adenoma: A combined pituitary tumor. J. Neurosurg. 1982, 56, 283–286. [Google Scholar] [CrossRef]
- Powell, H.C.; Marshall, L.F.; Ignelzi, R.J. Post-irradiation pituitary sarcoma. Acta Neuropathol. 1977, 39, 165–167. [Google Scholar] [CrossRef] [PubMed]
- Waltz, T.A.; Brownell, B. Sarcoma: A Possible Late Result of Effective Radiation Therapy for Pituitary Adenoma. J. Neurosurg. 1966, 24, 901–907. [Google Scholar] [CrossRef] [PubMed]
- Srivastava, V.; Narayanaswamy, K.; Rao, T. Giant pituitary adenoma. Surg. Neurol. 1983, 20, 379–382. [Google Scholar] [CrossRef]
- Symon, L.; Jakubowski, J.; Kendall, B. Surgical treatment of giant pituitary adenomas. J. Neurol. Neurosurg. Psychiatry 1979, 42, 973–982. [Google Scholar] [CrossRef]
- O’Connor, M.M.; Mayberg, M.R. Effects of Radiation on Cerebral Vasculature: A Review. Neurosurgery 2000, 46, 138–149. [Google Scholar] [CrossRef]
- Nicholas, S.E.; Salvatori, R.; Quinones-Hinojosa, A.; Redmond, K.; Gallia, G.; Lim, M.; Rigamonti, D.; Brem, H.; Kleinberg, L. Deferred Radiotherapy After Debulking of Non-functioning Pituitary Macroadenomas: Clinical Outcomes. Front. Oncol. 2019, 8, 660. [Google Scholar] [CrossRef] [PubMed]
- Al-Mefty, O. Supraorbital-Pterional Approach to Skull Base Lesions. Neurosurgery 1987, 21, 474–477. [Google Scholar] [CrossRef] [PubMed]
- Al-Mefty, O.; Anand, V.K. Zygomatic approach to skull-base lesions. J. Neurosurg. 1990, 73, 668–673. [Google Scholar] [CrossRef]
- Al-Mefty, O.; Smith, R.R. Tailoring the cranio-orbital approach. Keio J. Med. 1990, 39, 217–224. [Google Scholar] [CrossRef]
- Alleyne, C.H.; Barrow, D.L.; Oyesiku, N.M. Combined transsphenoidal and pterional craniotomy approach to giant pituitary tumors. Surg. Neurol. 2002, 57, 380–390. [Google Scholar] [CrossRef] [PubMed]
- Friedman, A.; Batra, P.S.; Fakhri, S.; Citardi, M.J.; Lanza, D.C. Isolated Sphenoid Sinus Disease: Etiology and Management. Otolaryngol. Neck Surg. 2005, 133, 544–550. [Google Scholar] [CrossRef]
- Lawson, W.; Reino, A.J.; Lawson, D.W.; Reino, M.A.J. Isolated Sphenoid Sinus Disease: An Analysis of 132 Cases. Laryngoscope 1997, 107, 1590–1595. [Google Scholar] [CrossRef]
- Wyllie, J.W.; Kern, E.B.; Djalilian, M. ISOLATED SPHENOID SINUS LESIONS. Laryngoscope 1973, 83, 1252–1265. [Google Scholar] [CrossRef]
- Butterfield, J.T.; Araki, T.; Guillaume, D.; Tummala, R.; Caicedo-Granados, E.; Tyler, M.A.; Venteicher, A.S. Estimating Risk of Pituitary Apoplexy after Resection of Giant Pituitary Adenomas. J. Neurol. Surg. Part B Skull Base 2021, 83, e152–e159. [Google Scholar] [CrossRef]
- Kurwale, N.S.; Ahmad, F.; Suri, A.; Kale, S.S.; Sharma, B.S.; Mahapatra, A.K.; Suri, V.; Sharma, M.C. Post operative pituitary apoplexy: Preoperative considerations toward preventing nightmare. Br. J. Neurosurg. 2011, 26, 59–63. [Google Scholar] [CrossRef]
- Luzzi, S.; Elia, A.; Del Maestro, M.; Morotti, A.; Elbabaa, S.K.; Cavallini, A.; Galzio, R. Indication, Timing, and Surgical Treatment of Spontaneous Intracerebral Hemorrhage: Systematic Review and Proposal of a Management Algorithm. World Neurosurg. 2019, 124, e769–e778. [Google Scholar] [CrossRef]
- Greenberg, S.M.; Ziai, W.C.; Cordonnier, C.; Dowlatshahi, D.; Francis, B.; Goldstein, J.N.; Iii, J.C.H.; Johnson, R.; Keigher, K.M.; Mack, W.J.; et al. 2022 Guideline for the Management of Patients With Spontaneous Intracerebral Hemorrhage: A Guideline From the American Heart Association/American Stroke Association. Stroke 2022, 53, e282–e361. [Google Scholar] [CrossRef] [PubMed]
- Cuocolo, R.; Ugga, L.; Solari, D.; Corvino, S.; D’Amico, A.; Russo, D.; Cappabianca, P.; Cavallo, L.M.; Elefante, A. Prediction of pituitary adenoma surgical consistency: Radiomic data mining and machine learning on T2-weighted MRI. Neuroradiology 2020, 62, 1649–1656. [Google Scholar] [CrossRef] [PubMed]
- Zhang, S.; Song, G.; Zang, Y.; Jia, J.; Wang, C.; Li, C.; Tian, J.; Dong, D.; Zhang, Y. Non-invasive radiomics approach potentially predicts non-functioning pituitary adenomas subtypes before surgery. Eur. Radiol. 2018, 28, 3692–3701. [Google Scholar] [CrossRef]
- Zhang, Y.; Ko, C.-C.; Chen, J.-H.; Chang, K.-T.; Chen, T.-Y.; Lim, S.-W.; Tsui, Y.-K.; Su, M.-Y. Radiomics Approach for Prediction of Recurrence in Non-Functioning Pituitary Macroadenomas. Front. Oncol. 2020, 10, 590083. [Google Scholar] [CrossRef] [PubMed]
- Theodros, D.; Patel, M.; Ruzevick, J.; Lim, M.; Bettegowda, C. Pituitary adenomas: Historical perspective, surgical management and future directions. CNS Oncol. 2015, 4, 411–429. [Google Scholar] [CrossRef]
- Chang, S.W.; Donoho, D.A.; Zada, G. Use of optical fluorescence agents during surgery for pituitary adenomas: Current state of the field. J. Neuro-Oncol. 2018, 141, 585–593. [Google Scholar] [CrossRef]
- Eljamel, M.S.; Leese, G.; Moseley, H. Intraoperative optical identification of pituitary adenomas. J. Neuro-Oncol. 2009, 92, 417–421. [Google Scholar] [CrossRef] [PubMed]
- Chalongwongse, S.; Suthakorn, J. Workspace determination and robot design of a prototyped surgical robotic system based on a cadaveric study in Endonasal transsphenoidal surgery. In Proceedings of the 2014 IEEE International Conference on Robotics and Biomimetics (ROBIO 2014), Bali, Indonesia, 5–10 December 2014; pp. 241–246. [Google Scholar] [CrossRef]
- Burgner, J.; Rucker, D.C.; Gilbert, H.B.; Swaney, P.J.; Russell, P.T.; Weaver, K.D.; Webster, R.J. A telerobotic system for trans-nasal surgery. IEEE/ASME Trans. Mechatron. 2013, 19, 996–1006. [Google Scholar] [CrossRef]
- Chauvet, D.; Hans, S.; Missistrano, A.; Rebours, C.; El Bakkouri, W.; Lot, G. Transoral robotic surgery for sellar tumors: First clinical study. J. Neurosurg. 2017, 127, 941–948. [Google Scholar] [CrossRef]
- Schneider, J.S.; Burgner, J.; Webster, R.J., III; Russell, P.T., III. Robotic surgery for the sinuses and skull base: What are the possi-bilities and what are the obstacles? Curr. Opin. Otolaryngol. Head Neck Surg. 2013, 21, 11–16. [Google Scholar] [CrossRef] [PubMed]


























Disclaimer/Publisher’s Note: The statements, opinions and data contained in all publications are solely those of the individual author(s) and contributor(s) and not of MDPI and/or the editor(s). MDPI and/or the editor(s) disclaim responsibility for any injury to people or property resulting from any ideas, methods, instructions or products referred to in the content. |
© 2023 by the authors. Licensee MDPI, Basel, Switzerland. This article is an open access article distributed under the terms and conditions of the Creative Commons Attribution (CC BY) license (https://creativecommons.org/licenses/by/4.0/).
Share and Cite
Luzzi, S.; Giotta Lucifero, A.; Rabski, J.; Kadri, P.A.S.; Al-Mefty, O. The Party Wall: Redefining the Indications of Transcranial Approaches for Giant Pituitary Adenomas in Endoscopic Era. Cancers 2023, 15, 2235. https://doi.org/10.3390/cancers15082235
Luzzi S, Giotta Lucifero A, Rabski J, Kadri PAS, Al-Mefty O. The Party Wall: Redefining the Indications of Transcranial Approaches for Giant Pituitary Adenomas in Endoscopic Era. Cancers. 2023; 15(8):2235. https://doi.org/10.3390/cancers15082235
Chicago/Turabian StyleLuzzi, Sabino, Alice Giotta Lucifero, Jessica Rabski, Paulo A. S. Kadri, and Ossama Al-Mefty. 2023. "The Party Wall: Redefining the Indications of Transcranial Approaches for Giant Pituitary Adenomas in Endoscopic Era" Cancers 15, no. 8: 2235. https://doi.org/10.3390/cancers15082235
APA StyleLuzzi, S., Giotta Lucifero, A., Rabski, J., Kadri, P. A. S., & Al-Mefty, O. (2023). The Party Wall: Redefining the Indications of Transcranial Approaches for Giant Pituitary Adenomas in Endoscopic Era. Cancers, 15(8), 2235. https://doi.org/10.3390/cancers15082235

