Next Article in Journal
Practical Application of Circulating Tumor-Related DNA of Human Papillomavirus in Liquid Biopsy to Evaluate the Molecular Response in Patients with Oropharyngeal Cancer
Next Article in Special Issue
Prevalence of Homologous Recombination Deficiency in First-Line PARP Inhibitor Maintenance Clinical Trials and Further Implication of Personalized Treatment in Ovarian Cancer
Previous Article in Journal
Toxicity of Asciminib in Real Clinical Practice: Analysis of Side Effects and Cross-Toxicity with Tyrosine Kinase Inhibitors
Previous Article in Special Issue
A Suggested Modification to FIGO Stage IV Epithelial Ovarian Cancer
 
 
Font Type:
Arial Georgia Verdana
Font Size:
Aa Aa Aa
Line Spacing:
Column Width:
Background:
Article

The Role of P16, P53, KI-67 and PD-L1 Immunostaining in Primary Vaginal Cancer

1
Department of Gynecology and Gynecological Oncology, University Hospital, 53127 Bonn, Germany
2
Department of Nuclear Medicine, University Hospital, 53127 Bonn, Germany
3
Department of Pathology, University Hospital, 53127 Bonn, Germany
*
Author to whom correspondence should be addressed.
Cancers 2023, 15(4), 1046; https://doi.org/10.3390/cancers15041046
Submission received: 10 December 2022 / Revised: 2 February 2023 / Accepted: 4 February 2023 / Published: 7 February 2023
(This article belongs to the Special Issue Clinical Studies and Outcomes in Gynecological Cancers)

Abstract

Simple Summary

To date, vaginal cancer is the only tumor entity of the female genital tract without a practical guideline within the National Comprehensive Cancer Network (NCCN). Therapeutic options vary between surgery for Stage I disease and concurrent chemoradiation for Stage II to IV disease. The lack of data regarding systemic therapies remains challenging to overcome as vaginal cancer is too rare to conduct large, randomized trials. By assessing pathological and immunhistochemical variables in this rare tumor entity, as well as the clinical courses of patients treated within different treatment schedules including immunotherapy and anti-VEGF-therapy, we aimed to show similarities to cervical cancer where emerging therapeutic options have improved survival significantly.

Abstract

Background: To analyze clinical, pathological and immunohistochemical correlates of survival in vaginal cancer patients. Methods: Retrospective analysis of primary vaginal cancer patients, treated at the Department of Gynecology and Gynecological Oncology of the University Hospital Bonn between 2007 and 2021. Results: The study cohort comprised 22 patients. The median age was 63 years (range: 32–87 years). Squamous cell histology was present in 20 patients. Five-year OS in Stage I, II, III and IV was 100%, 56.25%, 0% and 41.67%, respectively (p = 0.147). Five-year DFS was 100%, 50%, 0% and 20.83%, respectively (p = 0.223). The 5-year OS was significantly reduced in the presence of nodal metastasis (p = 0.004), lymphangiosis (p = 0.009), hemangiosis (p = 0.002) and an age above 64 years (p = 0.029). Positive p 16 staining was associated with significantly improved OS (p = 0.010). Tumoral and immune cell PD-L1 staining was positive in 19 and in 16 patients, respectively, without significant impact on OS; 2 patients with metastastic disease are long-term survivors treated with either bevacizumab or pembrolizumab. Conclusion: P16 expression, absence of lymph- or hemangiosis, nodal negative disease and an age below 64 years show improved survival rates in PVC. Tumoral PD-L1 expression as well as PD-L1 expression on immune cells is frequent in PVC, without impacting survival. Within our study cohort, long-term survivors with recurrent PVC are treated with anti-VEGF and immunotherapy.

Graphical Abstract

1. Introduction

To date, vaginal cancer accounts for only 0.1% of all malignancies [1]. Its estimated incidence is 17,600 cases and about 8000 deaths annually worldwide [1]. Primary vaginal cancer (PVC) is only considered in the absence of vulvar or cervical cancer or their local recurrences [2]. Approximately 80 to 90% of PVC exhibit squamous cell histology and 4 to 10% are adenocarcinomas [2]. Squamous cell PVC is often characterized by a persistent human papilloma virus (HPV) infection, predominantly with HPV type 16 [2]. Vaginal adenocarcinomas are frequently associated with an intrauterine exposition to Diethylstilbestrol (DES). Adenocarcinomas arising independently of DES exposition show an especially poor prognosis [3,4]. Due to the rarity of PVC, current treatment recommendations remain controversial between concurrent radiochemotherapy and surgery [2,5]. Recurrence rates range according to the disease stage between 24% in Stage I and 83% in Stage IV disease. In case of recurrence, further treatment recommendations are scarce. As about 50% to 80% of PVCs seem to be HPV-dependent, there may be a biological resemblance to cervical cancer where emerging data show the benefit of immunotherapy and bevacizumab [6,7]. Ribonucleotid reductase (RNR) overactivity, frequently seen in cervical cancer patients, promotes DNA damage repair and leads to tumor cell survival. In a phase II trial also including four PVC patients, the combination therapy of triapine, an RNR inhibitor, and cisplatin-radiotherapy, led in two patients to a survival benefit compared to cisplatin-radiotherapy only in the two other patients, also implicating a similar biological behavior of PVCs and cervical cancer [8]. As the impaired virus clearance by the immune system is the carcinogenesis driver of HPV-dependent tumors, immunotherapy seems very promising in these tumors. So far, the Checkmate 358 trial included two PVC patients without response to nivolumab [9]. Another basket trial showed response to pembrolizumab monotherapy in one out of two PVC patients [10]. Currently, there are two trials including vaginal cancer patients which have finished their actual recruitment: the Phase I SABR-Trial for rare tumors, with durvalumab, tremelilumab and pelvic radiation (NCT03277482) and the study of the National Cancer Institute analyzing adavosertib, a wee-1 Inhibitor, cisplatin and radiation therapy for cervical, upper vaginal and uterine cancers (NCT03345784). Another phase Ib/II trial evaluated avelumab in patients with HPV-16 positive recurrent or metastatic malignancies, including five patients with vulvar or vaginal cancer. Avelumab was given in combination with TG4001, an HPV E6/E7 vaccine, leading to one complete response and seven partial responses in the entire cohort [11].
Here, we analyzed the immunohistochemical profile and the clinical outcome in a series of PVC patients treated across various therapeutic lines, including therapies from the therapeutic spectrum of cervical cancer patients.

2. Material and Methods

2.1. Data Collection

This study was conducted according to the guidelines of the Declaration of Helsinki and approved by the ethics committee of the Faculty of Medicine at the University of Bonn, Germany (Nr: 328/22). The institutional record database was screened for vaginal cancer patients treated at the Department of Gynecology and Gynecological Oncology between January 2010 and December 2021. Tissue collection was conducted within the Biobank initiative of the University of Bonn. The only inclusion criterion was a histologically confirmed diagnosis of a primary vaginal cancer. The only exclusion criterion was a history of vulvar or cervical cancer. All patients provided written informed consent before tissue collection. Baseline characteristics, pathology and therapeutic course were recorded from patient’s charts, surgery reports, radiation protocols and pathologic findings. Follow-up data were updated in July 2022. Histopathological diagnosis was determined based on World Health Organization (WHO) criteria, considering only patients with no prior history of a cervical or vulvar cancer [12]. Tumor stage was based on the 2018 revised International Federation of Gynecology and Obstetrics (FIGO) system and the TNM-Classification of the Union for International Cancer Control (UICC) [13,14].

2.2. Patients

There were 26 patients in total; 4 patients were excluded from further analysis (one patient was lost to follow-up; for 3 patients, no tumor material was available for immunohistochemical staining). Immunohistochemical evaluation was performed by a pathologist with focus on gynecologic pathology (T.T.). Immunohistochemical evaluation was performed based on tissue microarrays of 17 patients and based on whole-tumor slides of 5 patients.

2.3. Tissue Microarray (TMA) Creation and Immunhistochemistry

Tissue micro arrays were prepared by the Institute of Pathology of the University of Bonn. The hematoxylin and eosin (HE) Slides of all 22 patients were examined by a pathologist with focus on gynecologic pathology (Thore Thiesler) to confirm the diagnosis. In all patients, 2 representative tumor areas were identified and marked on 1 slide stained with HE. From the correlating formalin fixed paraffin-embedded tissue block (FFPE), 1 mm core biopsies (0.875 mm2) were taken from the identified tumor nests. In each case, 2 core biopsies were taken from each paraffin block to avoid tumor heterogeneity. For each patient, there were 2 TMAs with 16 to 32 samples. The following antibodies were used for immunohistochemistry: rabbit anti-human PD-L1 IgG monoclonal antibody (clone ZR3, dilution 1:50; Zeta Corporation, Arcadia, CA, USA), CINtec© Histology kit for the evaluation of p16INK4a (Roche, Basel, Switzerland), mouse anti-human p53 IgG2b monoclonal antibody (clone DO-7, dilution 1:500; Dako, Glostrup, Germany) and mouse anti-human Ki-67 IgG1 monoclonal antibody (clone MIB-1, dilution 1:500; Dako).
Immunostaining on TMAs and on whole slides was performed for PD-L1, p16, p53 and Ki-67, applying an automated staining system. Immunhistochemical staining was performed on a Ventana Benchmark system (BenchMark ULTRA; Ventana Medical Systems, Tucson, AZ, USA) for p16 and on a Medac 480S system (Medac GmbH, Wedel, Germany) for PD-L1, p53 and Ki-67 using established staining protocols of the routine laboratory. An UltraView Universal DAB Detection Kit (Ventana Medical Systems Inc., Tucson, AZ, USA) was used on the Ventana Benchmark system and the HRP colour-coded BrightVision (Immunologic WellMed B.V., Duiven, The Netherlands) detection system on the Medac system.

2.4. Evaluation of Immunohistochemistry (IHC)

Tumor tissue presence was validated on the HE-stained slides and the HE-stained TMA slides by visual examination. P53, p16, Ki-67, PD-L1 combined positivity score (CPS-score), PD-L1 immune cell score (IC-Score) and PD-L1 tumor proportional score (TPS) were evaluated. P53 was evaluated according to a recently published protocol with 6 major p53 IHC patterns [15]. Positive P16 staining was considered in case of a diffuse or strong staining of the basal and/or parabasal cells irrespective of staining of the superficial cell layers [16]. Ki-67 was considered as positive in case of a nuclear staining of cancer cells, and the percentage of stained cells was recorded. PD-L1 staining was considered as present in case of a membranous staining of tumor cells and immune cells. Immune cells were only considered as positive if present within the same high resolution visual field (40×) irrespective of the staining intensity and including all viable tumor cells on the slide. Tumor cells were scored by the TPS-score, immune cells by the IC-score and both by the CPS-score [17].

2.5. Statistical Analysis

Statistical analyses were performed using Minitab Version 18, Minitab LLC., State College, PA, USA. The survival analyses for progression-free survival (PFS) and overall survival (OS) are based on the Kaplan–Meier method. The time-to-event intervals were described in months from the date of primary diagnosis until the date of the event. The data were censored at the date of the last follow-up if there was not an event. Using the log-rank test, 5-year-survival-curves were compared on a 95% confidence level. Identified significant factors were analyzed by multivariate regression analysis. Clinicopathological factors and immunohistochemistry were correlated by Fisher’s exact test.

3. Results

3.1. General Patient Characteristics

The study cohort comprised 22 patients. A total of 9 patients died during the follow-up period; 12 patients experienced a relapse, of whom 3 were still alive as of this writing. Median follow-up was 18 months (range 3–156 months). The median age was 63 years (range: 32–87 years). There were 2 adenocarcinomas and 20 squamous cell carcinomas. Six primary tumors were in the lower vaginal third, two were located in the middle vaginal third, six were located in the upper vaginal, and eight patients had a tumor affecting the whole vagina. The median tumor diameter was 4 cm (range 1.1–9 cm). FIGO stages were distributed as follows: I: five patients, II: eight patients, III: three patients, IVA: one patient, IVB: five patients. A total of 18 patients received different kinds of surgery in first line; 3 patients received concurrent radiochemotherapy, and 1 patient received only systemic therapies. Tumor-free margins in final pathology were present in 14 out 18 patients treated by surgery. The median depth of infiltration was 9 mm (range 1–38 mm). Seven patients showed a lymphangiosis, and four patients showed a hemangiosis in the final histology. Surgery comprised nine primary and one secondary exenteration (six total/four anterior), two radical hysterectomies with partial colpectomy, two partial colpectomies, three total radical colpectomies, and one patient received a palliative entero- and urostomy only. Further details for therapeutic interventions are depicted in Table 1. Patients 13, 17 and 19 are long-time survivors after recurrence. Patient 13 had received a complete exenteration. Inguinal lymph node dissection and radiation of the inguinal and pelvic region was performed after inguinofemoral recurrence. The second recurrence occurred within the ileocecal region. After resection of the ileocecal colon, she received carboplatin/paclitaxel/bevacizumab and had been on bevacizumab for 46 months as of this writing with no evidence of disease at follow-up. Patient 17 had received a radical colpectomy for a 1.7 cm tumor. She recurred after 96 months and was under palliation only at the date of data recording. Patient 19 had an adenocarcinoma with pulmonal metastasis at first diagnosis and received only systemic therapies including bevacizumab. She had been on pembrolizumab only for 31 months as of this writing. A detailed therapy course of this patient has been previously published elsewhere [18]. All three patients in FIGO Stage III died. Patient 15 developed an inguinal recurrence and pulmonal metastasis and finally died in the following course. Patient 21 died due to a severe infection after palliative arterial chemoperfusion. Patient 22 received an arterial embolization due to massive tumor bleeding and declined further therapy afterwards and died 2 months later. The therapeutic course, histology and FIGO stage of all 22 patients are depicted in Table 1. Patients with recurrence are marked in light grey.

3.2. 5-Year-Survival Data

Survival analysis showed significant decreased OS and DFS in case of nodal metastasis, lymphangiosis and hemangiosis, a missing p16 expression and an age above 64 years. The depth of tumor infiltration was only relevant regarding DFS but not OS. No other factors showed significance regarding survival as depicted in Table 2. A positive p16 expression showed a significant association with a younger age (p = 0.0351) and a depth of infiltration less than 7 mm (p = 0.0379). In the multivariate analysis, none of the five factors (age, lymphangiosis, hemangiosis, nodal metastases and missing p16 immunostaining) remained significant regarding survival as depicted in Table 3.
The correlation of immunohistochemistry and clinicopathological factors showed only a significant correlation of a PDL1-CPS > 1 in case of a tumor size > 4 cm and in case of p53 wildtype and L0 and V0 as depicted in Table 4.
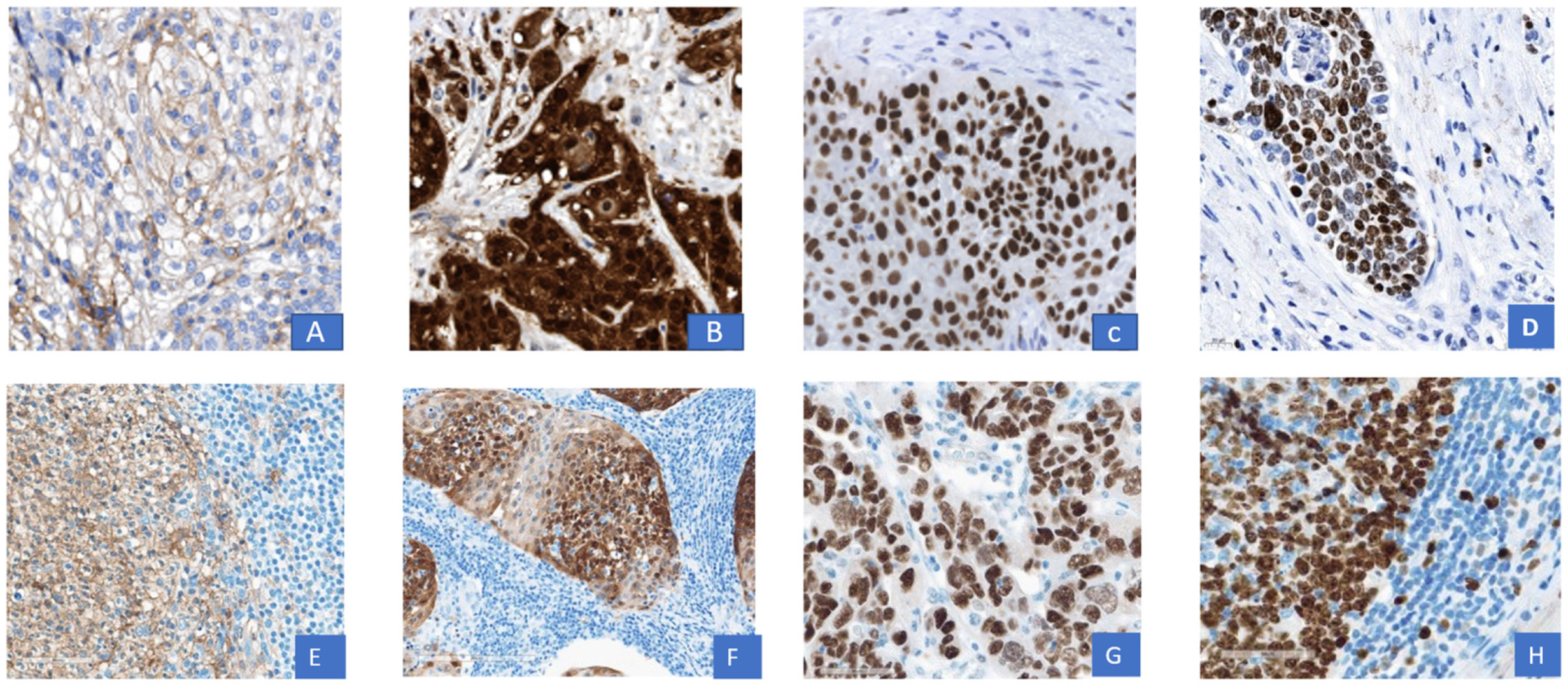
In 19 patients, there was a positive staining for PD-L1 on the tumor cells (PD-L1 TPS score range 0–68). Regarding the immune cells, positive staining was present in 16 patients only (PD-L1 IC score range: 1–5). The PD-L1CPS score was positive in 19 patients (range: 0–51). Intratumoral T-cell infiltration was present in 10 patients and absent in 7 patients. Four out of these seven patients showed no PD-L1 expression on the immune cells, however, except for one patient, all were positive for PD-L1 on tumor cells. No survival differences were observed regarding PD-L1- CPS, PD-L-1 TPS and PD-L1 IC. Further details are depicted in Table 4. Examples of a membranous PD-L1 expression, a nuclear and cytoplasmatic p 16 expression, nuclear p 53 overexpression, strong nuclear and cytoplasmatic KI-67 staining in PVC are shown in Figure 1. None of the PD-L1-scores showed any association with survival as depicted in Table 5.

4. Discussion

To date, vaginal cancer is the only tumor entity of the female genital tract without a practical guideline within the National Comprehensive Cancer Network (NCCN). The German practical guideline recommends surgery for Stage I disease only. Stage II to IV disease should be treated by concurrent chemoradiation (CCRT). Only in Stage IV disease is pelvic exenteration recommended within an individual decision process [19]. Brachytherapy within the concept of concurrent chemoradiation shows a prolongation of survival of more than 2 years compared to external CCRT only [20]. Treatment recommendations for recurrent and metastatic disease are missing due to a lack of data regarding systemic therapy in this tumor entity [19]. Further, data to encircle the biologic behavior of this disease are missing. A recent review identified increasing tumor size, disease stage and the presence of nodal metastases to impact survival and concluded that surgery and primary concurrent radiotherapy seem to have equal results in Stage I and II disease, while Stage III and IV disease should be treated by brachytherapy and external beam radiation only [21].
In this study, we analyzed clinicopathological and immunohistochemical variables in PVC regarding their prognostic value and provide an overview of different therapeutic lines in PVC. Nodal metastases, lymphangiosis and hemangiosis, a negative p16 status and an age above 64 years showed significant prognostic values regarding OS. The depth of tumor infiltration was only relevant regarding DFS.
Accumulating evidence suggests an HPV-dependent and an HPV-independent pathway in the carcinogenesis of PVC [19]. HPV, especially HPV type 16 is present in about 50 to 80% of all PVCs. HPV positive PVCs show improved survival rates, especially in advanced disease stages compared to HPV negative PVCs [22,23,24,25]. As p16 immunostaining is positive in more than 97% of all HPV positive PVCs, it might serve as an easy and reliable surrogate marker for the distinction between these two tumor types. Most importantly, it is not affected by long storage times of FFPE tissues compared to HPV DNA detection. This, however, might be the reason for highly different HPV rates within different studies regarding PVC [22,23,24]. P16 negative PVC patients show impaired DFS and OS compared to p16 positive PVC patients with respect to definite radiotherapy [26]. Comparing the histological features, HPV-positive PVCs are often non-keratinizing, warty and basaloid-like compared to HPV negative PVCs with a predominantly keratinizing phenotype [27]. Similar findings were observed in cervical cancer where keratinization was associated with reduced radiosensitivity and a shorter OS. Interestingly, this survival difference was resolved in the case of surgically treated cervical cancer patients [28]. Considering primary treatment options of surgery or definite concurrent radiochemotherapy, p16 IHC might help in the decision-making process.
In our cohort, we found 5 patients with negative p16 immunohistochemistry. Of this subgroup, 3 patients died within 4 to 12 months after primary diagnosis. The remaining 2 patients were still alive at 4 and 12 months follow-up. None showed a tumor location in the upper third of the vagina. Hence, negative p16 immunostaining was associated with a significantly decreased OS.
Regarding lymphangiosis, hemangiosis and locoregional lymph node metastasis, no correlation with a negative p 16 immunostaining was seen in our cohort. Only age and depth of infiltration showed a significant association. As previously shown by others, age and locoregional lymph node metastases significantly decreased OS and DFS in our cohort [21]. While lymph- and hemangiosis are known risk factors for an impaired DFS and OS in cervical cancer, we did not find any published evidence for PVC [29]. In our cohort, both proved to negatively impact DFS and OS in PVC significantly.
Results on the predictive relevance of PD-L1 expression in cervical cancer are conflicting. PD-L1 expression in cervical cancer is not caused by gene amplification but by its oncogene E7 which is directly associated with a tumoral PD-L1 expression, leading to an impaired CD8+ T-cell function. Therefore, cervical cancer like other HPV-dependent tumors shows no increased tumor mutational burden [30,31,32,33]. On the mRNA level, high PD-L1 expression in cervical cancer is either accompanied by high interferon gamma activity as a sign of an ongoing T-cell response or by low interferon gamma activity. Survival outcomes with low activity of interferon gamma are poor, as PD-L1 expression with low interferon gamma activity is triggered by oncogenesis and not by immune-related pathways as in the case of high interferon gamma activity [34]. Immunohistochemistry does not distinguish between these two types of PD-L1 expression. Furthermore, PD-L1 protein expression is altered by post-translational modifications in about 20% of the cases, showing PD-L1 expression on the RNA level but negative staining in immunohistochemistry. This might explain why PD-L1-negative patients may respond to PD-L1/PD-1 inhibition [34,35]. The recently published Phase III Empower Cervical-1 trial, using the PD-1 blocking antibody cemiplimab, showed a significantly longer survival in the cempilimab receiving group. The effect was independent of PD-L1 expression [36]. We failed to show an impaired survival due to a tumoral PD-L1 expression in our PVC cohort. This might be partially attributable to the above-mentioned mechanism of PD- L1 expression. In this context, it is of note that patient number 19 (Table 1) was stable on pembrolizumab for 31 months despite a primary metastatic adenocarcinoma without DES exposure, despite a low tumor mutational burden and despite a mismatch repair proficiency [18]. Only 3 out of 22 patients (13.6%) in our cohort showed a PD-L1 CPS <1. As many of our PVC patients showed a tumoral and immune cell PD-L1 expression, an immune modulatory microenvironment similar to cervical cancer may be present in PVC, thereby supporting the current concept of therapy adaption to that of cervical cancer and vulvar cancer, especially with regard to immunotherapy. Emerging data for immunotherapy in cervical cancer and in vulvar cancer show significant survival benefits in heavily pretreated patients. In the Keynote 826 trial for advanced or metastatic cervical cancer, where pembrolizumab was added to chemotherapy, the percentage of patients with a PD-L1 CPS of >1 was 88.6% [6]. In the EMPOWER 100 trial, where cemiplimab monotherapy was compared to chemotherapy, the rate was 70.7% for the squamous cell cervical cancer patients [36]. The overall response rate in the Keynote 826 trial was 68.1%, the median duration of response was 18 months, and in 22.7% of the patients a complete response was seen. The Empower 100 Trial showed an overall response rate of 16.4% and a median duration of response of 16.4 months for a cemiplimab mono therapy. This effect was independent of the PD-L1 expression [6,36]. In the previous Keynote 158 trial for the cervical cancer cohort, a phase II trial evaluating pembrolizumab mono therapy in recurrent or metastatic cervical cancer, 83.7% of all patients showed a PD-L1-CPS above one. The overall response rate was 12.2%. Within the group of responders, the median duration of response was not reached [37]. In the Keynote 158 vulvar cancer cohort, 83.2% showed a PDL-1 CPS >1 with an overall response rate of 10.9% for a pembrolizumab mono therapy and a median duration of response of 20.4 months [38]. A recent case series from a phase II basket trial reported a significant response in one out of two squamous cell vaginal cancer patients with positive PD-L1-CPS, while the other patient showed progressive disease despite a positive PD-L1 CPS [10]. In our own cohort, we could show that patient no. 19 had a durable response to pembrolizumab for 31 months by the time of this writing [18].
Considering the practice-changing data from the GOG 240 trial in advanced cervical cancer with the implementation of bevacizumab in addition to chemotherapy, this therapeutic target may be a therapeutic option in advanced PVC as well [7,39], especially considering that HPV 16 was the most common identified virus DNA in cervical, vulvar and vaginal cancer—also indicating a similar carcinogenesis in both cancers [40]. Patient no. 13 (Table 1) in our cohort was on 46 months of bevacizumab therapy after her second recurrence within the ileocecal region without any evidence of disease at the time of this writing. In patient no. 19, bevacizumab was not as beneficial, as she recurred after three cycles of bevacizumab monotherapy, after a first response to six cycles of carboplatin/paclitaxel/bevacizumab [18].
P53 mutations are frequently identified across various tumor entities. In the context of HPV positive tumors, the oncogene E6 leads to a degradation of p53 [41]. In HPV negative tumors, p53 may often be mutated. In HPV negative vulvar cancer, a p53 mutation seems to be associated with a disease etiology based on lichen sclerosus [42,43,44]. Data regarding the prognostic impact of p53 mutations in PVC are conflicting [44]. No conclusions regarding prognostic impact or a different carcinogenesis pathway can be drawn so far [45]. In our cohort, p53 failed to show any significance regarding OS and DFS.
There are limitations of our study that have to be mentioned: First, this is a retrospective study design with a small sample size of only 22 patients. On the other hand, we present different therapeutic options in a rare disease, where treatment recommendations, especially for the recurrent or metastatic disease stage, are lacking. Further, we found a high prevalence of p16 expression in PVC which was associated with improved survival. This is in line with previous reports on other HPV-dependent tumors. Furthermore, we documented a high prevalence of tumoral and immune cell PD-L1 expression postulating a similar immune modulatory effect in PVCs as in cervical cancer. As this disease is too rare as to conduct large, randomized trials, therapeutic standards known from cervical cancer regarding bevacizumab and immunotherapy should be considered in these patients, especially in recurrent and advanced disease stages, as this may complement conventional therapy and may improve the situation for these patients with a tumor in one of the most unfavorable locations for surgical treatment and concurrent radiochemotherapy.

5. Conclusions

Missing P16 expression, lymph- and hemangiosis and nodal positive disease show decreased survival rates in our cohort of PVC patients. In summary, our data show a similar immunohistochemical expression profile in PVC and similar risk factors for decreased survival rates as in cervical cancer. This suggests a similar carcinogenesis and similar immunomodulatory environments of PVC and cervical cancer. This assumption was successfully utilized in treating two patients of our cohort analogously to cervical cancer. Both are long-term survivors, despite metastatic disease, on bevacizumab and pembrolizumab, respectively.

Author Contributions

Conceptualization, E.K.E. and T.T.; methodology, D.J.R.; software, M.M.; validation, G.K.; formal analysis F.R.; investigation, E.K.E.; resources, G.K. and A.M.; data curation, E.K.E. and T.T.; writing—original draft preparation, E.K.E.; writing—review and editing, E.K.E., D.J.R., M.C., A.M. and M.M.; visualization, T.T.; supervision, A.M.; project administration, E.K.E. All authors have read and agreed to the published version of the manuscript.

Funding

This research received no external funding.

Institutional Review Board Statement

The study was conducted in accordance with the Declaration of Helsinki and approved by the Ethics Committee of medical faculty of the university of Bonn, Germany (Nr 396/22).

Informed Consent Statement

Informed consent was obtained from all subjects involved in the study.

Data Availability Statement

All Data generated and analyzed in this study are included in this article. Further enquiries can be directed to the corresponding author.

Conflicts of Interest

The authors declare no conflict of interest.

References

  1. Sung, H.; Ferlay, J.; Siegel, R.L.; Laversanne, M.; Soerjomataram, I.; Jemal, A.; Bray, F. Global cancer statistics 2020: GLOBOCAN estimates of incidence and mortality worldwide for 36 cancers in 185 countries. CA Cancer J. Clin. 2021, 71, 209–249. [Google Scholar] [CrossRef] [PubMed]
  2. Horn, L.C.; Höhn, A.K.; Hampl, M.; Mehlhorn, G.; Follmann, M.; Schnürch, H.G. Interdisciplinary S2k guidelines on the diagnosis and treatment of vaginal carcinoma and its precursors-recommendations on surgical pathology for histopathological workup, diagnostics, and reporting. Pathologe 2021, 42, 116–124. [Google Scholar] [CrossRef] [PubMed]
  3. Frank, S.J.; Deavers, M.T.; Jhingran, A.; Bodurka, D.C.; Eifel, P.J. Primary adenocarcinoma of the vagina not associated with diethylstilbestrol (DES) exposure. Gynecol. Oncol. 2007, 105, 470–474. [Google Scholar] [CrossRef] [PubMed]
  4. Herbst, A.L.; Ulfelder, H.; Poskanzer, D.C. Adenocarcinoma of the Vagina. N. Engl. J. Med. 1971, 284, 878–881. [Google Scholar] [CrossRef] [PubMed]
  5. Laliscia, C.; Gadducci, A.; Fabrini, M.G.; Barcellini, A.; Guerrieri, M.E.; Parietti, E.; Ursino, S.; Morganti, R.; Cafaro, I.; Paiar, F.; et al. Definitive Radiotherapy for Primary Squamous Cell Carcinoma of the Vagina: Are High-Dose External Beam Radiotherapy and High-Dose-Rate Brachytherapy Boost the Best Treatment? Experience of Two Italian Institutes. Oncol. Res. Treat. 2017, 40, 697–701. [Google Scholar] [CrossRef]
  6. Colombo, N.; Dubot, C.; Lorusso, D.; Caceres, M.V.; Hasegawa, K.; Shapira-Frommer, R.; Tewari, K.S.; Salman, P.; Usta, E.H.; Yañez, E.; et al. Pembrolizumab for Persistent, Recurrent, or Metastatic Cervical Cancer. N. Engl. J. Med. 2021, 385, 1856–1867. [Google Scholar] [CrossRef]
  7. Tewari, K.S.; Sill, M.W.; Penson, R.T.; Huang, H.; Ramondetta, L.M.; Landrum, L.M.; Oaknin, A.; Reid, T.J.; Leitao, M.M.; Michael, H.E.; et al. Bevacizumab for advanced cervical cancer: Final overall survival and adverse event analysis of a randomised, controlled, open-label, phase 3 trial. Lancet 2017, 390, 1654–1663. [Google Scholar] [CrossRef]
  8. Kunos, C.A.; Andrews, S.J.; Moore, K.N.; Chon, H.S.; Ivy, S.P. Randomized Phase II Trial of Triapine-Cisplatin-Radiotherapy for Locally Advanced Stage Uterine Cervix or Vaginal Cancers. Front. Oncol. 2019, 15, 1067. [Google Scholar] [CrossRef]
  9. Naumann, R.W.; Hollebecque, A.; Meyer, T.; Devlin, M.J.; Oaknin, A.; Kerger, J.; López-Picazo, J.M.; Machiels, J.P.; Delord, J.P.; Evans, T.F.J.; et al. Safety and Efficacy of Nivolumab Monotherapy in Recurrent or Metastatic Cervical, Vaginal, or Vulvar Carcinoma: Results from the Phase I/II CheckMate 358 Trial. J. Clin. Oncol. 2019, 37, 2825–2834. [Google Scholar] [CrossRef]
  10. How, J.A.; Jazaeri, A.A.; Soliman, P.T.; Fleming, N.D.; Gong, J.; Piha-Paul, S.A.; Janku, F.; Stephen, B.; Naing, A. Pembrolizumab in vaginal and vulvar squamous cell carcinoma: A case series from a phase II basket trial. Sci. Rep. 2021, 11, 3667. [Google Scholar] [CrossRef]
  11. Le Tourneau, C.; Cassier, P.; Rolland, F.; Makhloufi, H.; Bendjama, K.; Delord, J.P. 63MO TG4001 therapeutic vaccination combined with PD-L1 blocker avelumab remodels the tumor microenvironement (TME) and drives antitumor responses in human papillomavirus (HPV)+ malignancies. Ann. Oncol. 2020, 7, 1442. [Google Scholar] [CrossRef]
  12. Ferenzcy, A.S.; Colgan, T.J.; Herrington, C.S.; Hirschowitz, L.; Löning, T.; Park, K.J.; Stoler, M.; Wells, M.; Wilbur, D.C.; Wright, T. Epithelial Tumors of the Vagina; Kurman, R., Ed.; IARC Press: Lyon, France, 2014; pp. 210–217. ISBN 9789283224358. [Google Scholar]
  13. Wittekind, C. TNM: Klassifikation maligner Tumoren, 8th ed.; Wittekind, C., Ed.; John Wiley & Sons: Leipzig, Germany, 2016; pp. 213–215. ISBN 978-3-527-34280-8. [Google Scholar]
  14. Adams, T.S.; Cuello, M.A. Cancer of the vagina. Int. J. Gynecol. Obstet. 2018, 143, 14–21. [Google Scholar] [CrossRef]
  15. Tessier-Cloutier, B.; Kortekaas, K.E.; Thompson, E.; Pors, J.; Chen, J.; Ho, J.; Prentice, L.M.; McConechy, M.K.; Chow, C.; Proctor, L.; et al. Major p53 immunohistochemical patterns in in situ and invasive squamous cell carcinomas of the vulva and correlation with TP53 mutation status. Mod. Pathol. 2020, 33, 1595–1605. [Google Scholar] [CrossRef]
  16. Pirog, E.C. Immunohistochemistry and in situ hybridization for the diagnosis and classification of squamous lesions of the anogenital region. Semin. Diagn. Pathol. 2015, 32, 409–418. [Google Scholar] [CrossRef] [PubMed]
  17. Paver, E.C.; Cooper, W.A.; Colebatch, A.J.; Ferguson, P.M.; Hill, S.K.; Lum, T.; Shin, J.S.; O’Toole, S.; Anderson, L.; Scolyer, R.A.; et al. Programmed death ligand-1 (PD-L1) as a predictive marker for immunotherapy in solid tumours: A guide to immunohistochemistry implementation and interpretation. Pathology 2021, 53, 141–156. [Google Scholar] [CrossRef]
  18. Egger, E.K.; Ralser, D.J.; Lindner, K.; Recker, F.; Marinova, M.; Savchenko, O.; Lau, J.F.; Mustea, A. Diagnostic and Therapeutic Approach in a Metastatic Vaginal Adenocarcinoma: A Case Report. Front. Immunol. 2021, 12, 686879. [Google Scholar] [CrossRef] [PubMed]
  19. Schnürch, H.G.; Ackermann, S.; Alt-Radtke, C.D.; Angleitner, L.; Barinoff, J.; Beckmann, M.W.; Böing, C.; Dannecker, C.; Fehm, T.; Gaase, R.; et al. Diagnosis, Therapy and Follow-up of Vaginal Cancer and Its Precursors. Guideline of the DGGG and the DKG (S2k-Level, AWMF Registry No. 032/042). Geburtshilfe Frauenheilkd. 2019, 79, 1060–1078. [Google Scholar] [CrossRef]
  20. Jhingran, A. Updates in the treatment of vaginal cancer. Int. J. Gynecol. Cancer 2022, 32, 344–351. [Google Scholar] [CrossRef]
  21. Yang, J.; Delara, R.; Magrina, J.; Magtibay, P.; Langstraat, C.; Dinh, T.; Karlin, N.; Vora, S.A.; Butler, K. Management and outcomes of primary vaginal Cancer. Gynecol. Oncol. 2020, 159, 456–463. [Google Scholar] [CrossRef]
  22. Hellman, K.; Lindquist, D.; Ranhem, C.; Wilander, E.; Andersson, S. Human papillomavirus, p16(INK4A), and Ki-67 in relation to clinicopathological variables and survival in primary carcinoma of the vagina. Br. J. Cancer 2014, 110, 1561–1570. [Google Scholar] [CrossRef] [PubMed]
  23. Larsson, G.L.; Helenius, G.; Andersson, S.; Sorbe, B.; Karlsson, M.G. Prognostic impact of human papilloma virus (HPV) genotyping and HPV-16 subtyping in vaginal carcinoma. Gynecol. Oncol. 2013, 129, 406–411. [Google Scholar] [CrossRef]
  24. Alonso, I.; Felix, A.; Torné, A.; Fusté, V.; Del Pino, M.; Castillo, P.; Balasch, J.; Pahisa, J.; Rios, J.; Ordiet, J. Human papillomavirus as a favorable prognostic biomarker in squamous cell carcinomas of the vagina. Gynecol. Oncol. 2012, 125, 194–199. [Google Scholar] [CrossRef] [PubMed]
  25. Brunner, A.H.; Grimm, C.; Polterauer, S.; Hefler, L.; Stani, J.; Heinze, G.; Horvat, R. The prognostic role of human papillomavirus in patients with vaginal cancer. Int. J. Gynecol. Cancer 2011, 21, 923–929. [Google Scholar] [CrossRef] [PubMed]
  26. Nwachukwu, C.R.; Harris, J.P.; Chin, A.; Von Eyben, R.; Giaretta, S.; Shaffer, J.L.; Hiniker, S.M.; Kapp, D.S.; Folkins, A.K.; Kidd, E.A. Prognostic Significance of P16 Expression and P53 Expression in Primary Vaginal Cancer. Int. J. Gynecol. Pathol. 2019, 38, 588–596. [Google Scholar] [CrossRef]
  27. Fuste, V.; Del Pino, M.; Perez, A.; Garcia, A.; Torne, A.; Pahisa, J.; Ordi, J. Primary squamous cell carcinoma of the vagina: Human papillomavirus detection, p16(INK4A) overexpression and clinicopathological correlations. Histopathology 2010, 57, 907–916. [Google Scholar] [CrossRef]
  28. Kumar, S.; Shah, J.P.; Bryant, C.S.; Imudia, A.N.; Ali-Fehmi, R.; Malone, J.M.; Morris, R.T. Prognostic significance of keratinization in squamous cell cancer of uterine cervix: A population based study. Arch. Gynecol. Obstet. 2009, 280, 25–32. [Google Scholar] [CrossRef] [PubMed]
  29. Kim, H.; Cho, W.K.; Kim, Y.J.; Kim, Y.S.; Park, W. Significance of the number of high-risk factors in patients with cervical cancer treated with radical hysterectomy and concurrent chemoradiotherapy. Gynecol. Oncol. 2020, 157, 423–428. [Google Scholar] [CrossRef] [PubMed]
  30. Welters, M.J.; Van Der Sluis, T.C.; Van Meir, H.; Loof, N.M.; Van Ham, V.J.; Van Duikeren, S.; Saskia, J.; Santegoets, R.A.; de Kam, M.L.; Cohen, A.F.; et al. Vaccination during myeloid cell depletion by cancer chemotherapy fosters robust T cell responses. Sci. Transl. Med. 2016, 8, 334ra52. [Google Scholar] [CrossRef]
  31. Wang, J.; Sun, H.; Zeng, Q.; Guo, X.J.; Wang, H.; Liu, H.H.; Dong, Z.Y. HPV-positive status associated with inflamed immune microenvironment and improved response to anti-PD-1 therapy in head and neck squamous cell carcinoma. Sci. Reports 2019, 9, 1–10. [Google Scholar] [CrossRef]
  32. Liu, C.; Lu, J.; Tian, H.; Du, W.; Zhao, L.; Feng, J.; Yuan, D.; Li, Z. Increased expression of PD-L1 by the human papillomavirus 16 E7 oncoprotein inhibits anticancer immunity. Mol. Med. Rep. 2017, 15, 1063–1070. [Google Scholar] [CrossRef]
  33. Rice, A.E.; Latchman, Y.E.; Balint, J.P.; Lee, J.H.; Gabitzsch, E.S.; Jones, F.R. An HPV-E6/E7 immunotherapy plus PD-1 checkpoint inhibition results in tumor regression and reduction in PD-L1 expression. Cancer Gene Ther. 2015, 22, 454–462. [Google Scholar] [CrossRef]
  34. Rotman, J.; de Otter, L.A.S.; Bleeker, M.C.G.; Samuels, S.S.; Heeren, A.M.; Roemer, M.G.M.; Kenter, G.G.; Zijlmans, H.J.M.A.A.; van Trommel, N.E.; de Gruijl, T.D.; et al. PD-L1 and PD-L2 Expression in Cervical Cancer: Regulation and Biomarker Potential. Front. Immunol. 2020, 11, 3281. [Google Scholar] [CrossRef] [PubMed]
  35. McGrail, D.J.; Pilié, P.G.; Rashid, N.U.; Voorwerk, L.; Slagter, M.; Kok, M.; Jonasch, E.; Khasraw, M.; Heimberger, A.B.; Limet, B.; et al. High tumor mutation burden fails to predict immune checkpoint blockade response across all cancer types. Ann. Oncol. 2021, 32, 661–672. [Google Scholar] [CrossRef] [PubMed]
  36. Tewari, K.S.; Monk, B.J.; Vergote, I.; Miller, A.; de Melo, A.C.; Kim, H.S.; Kim, Y.M.; Lisyanskaya, A.; Samouëlian, V.; Lorusso, D.; et al. Survival with Cemiplimab in Recurrent Cervical Cancer. N. Engl. J. Med. 2022, 386, 544–555. [Google Scholar] [CrossRef] [PubMed]
  37. Chung, H.C.; Ros, W.; Delord, J.P.; Perets, R.; Italiano, A.; Shapira-Frommer, R.; Manzuk, L.; Piha-Paul, S.A.; Xu, L.; Zeigenfuss, S.; et al. Efficacy and Safety of Pembrolizumab in Previously Treated Advanced Cervical Cancer: Results from the Phase II KEYNOTE-158 Study. J. Clin. Oncol. 2019, 37, 1470–1478. [Google Scholar] [CrossRef]
  38. Shapira-Frommer, R.; Mileshkin, L.; Manzyuk, L.; Penel, L.; Burge, M.; Piha-Paul, S.A.; Girda, E.; Lopez Martin, J.A.; van Dongen, M.G.J.; Italiano, A.; et al. Efficacy and safety of pembrolizumab for patients with previously treated advanced vulvar squamous cell carcinoma: Results from the phase 2 KEYNOTE-158 study. Gynecol. Oncol. 2022, 166, 211–218. [Google Scholar] [CrossRef]
  39. Tewari, K.S.; Sill, M.W.; Monk, B.J.; Penson, R.T.; Long, H.J.; Poveda, A.; Landrum, L.M.; Leitao, M.M.; Brown, J.; Reid, T.J.A.; et al. Prospective validation of pooled prognostic factors in women with advanced cervical cancer treated with chemotherapy with/without bevacizumab: NRG Oncology/GOG study. Clin. Cancer Res. 2015, 21, 5480–5487. [Google Scholar] [CrossRef]
  40. Smith, J.S.; Backes, D.M.; Hoots, B.E.; Kurman, R.J.; Pimenta, J.M. Human papillomavirus type-distribution in vulvar and vaginal cancers and their associated precursors. Obstet. Gynecol. 2009, 113, 917–924. [Google Scholar] [CrossRef]
  41. Haręża, D.A.; Wilczyński, J.R.; Paradowska, E. Human Papillomaviruses as Infectious Agents in Gynecological Cancers. Oncogenic Properties of Viral Proteins. Int. J. Mol. Sci. 2022, 23, 1818. [Google Scholar] [CrossRef] [PubMed]
  42. Choschzick, M.; Hantaredja, W.; Tennstedt, P.; Gieseking, F.; Wölber, L.; Simon, R. Role of TP53 mutations in vulvar carcinomas. Int. J. Gynecol. Pathol. 2011, 30, 497–504. [Google Scholar] [CrossRef]
  43. Xing, D.; Fadare, O. Molecular events in the pathogenesis of vulvar squamous cell carcinoma. Semin. Diagn. Pathol. 2021, 38, 50–61. [Google Scholar] [CrossRef] [PubMed]
  44. Rasmussen, C.L.; Bertoli, H.K.; Sand, F.L.; Kjær, A.K.; Thomsen, L.T.; Kjær, S.K. The prognostic significance of HPV, p16, and p53 protein expression in vaginal cancer: A systematic review. Acta Obstet. Gynecol. Scand. 2021, 100, 2144–2156. [Google Scholar] [CrossRef] [PubMed]
  45. Koyamatsu, Y.; Yokoyama, M.; Nakao, Y.; Fukuda, K.; Saito, T.; Matsukuma, K.; Iwasaka, T. A comparative analysis of human papillomavirus types 16 and 18 and expression of p53 gene and Ki-67 in cervical, vaginal, and vulvar carcinomas. Gynecol. Oncol. 2003, 90, 547–551. [Google Scholar] [CrossRef] [PubMed]
Figure 1. Representative immunohistochemistry for tumoral PD-L1, P16, p53 and KI-67. Representative histology sections show a membranous tumoral PD-L1 expression (A), a positive nuclear and cytoplasmatic p 16 staining (B), a positive p53 tumor cell nuclei overexpression (C) and a strong KI-67 nuclear staining by immunohistochemistry (D); validated control sections according to ISO 17020: membranous PD-L1 expression (E), nuclear and cytoplasmatic staining of p 16 (F), p 53 nuclear overexpression (G), KI-67 nuclear and cytoplasmatic staining (H) by immunohistochemistry. Magnification 400×.
Figure 1. Representative immunohistochemistry for tumoral PD-L1, P16, p53 and KI-67. Representative histology sections show a membranous tumoral PD-L1 expression (A), a positive nuclear and cytoplasmatic p 16 staining (B), a positive p53 tumor cell nuclei overexpression (C) and a strong KI-67 nuclear staining by immunohistochemistry (D); validated control sections according to ISO 17020: membranous PD-L1 expression (E), nuclear and cytoplasmatic staining of p 16 (F), p 53 nuclear overexpression (G), KI-67 nuclear and cytoplasmatic staining (H) by immunohistochemistry. Magnification 400×.
Cancers 15 01046 g001
Table 1. Therapeutic course, immunohistochemistry, pathology, and FIGO-stage.
Table 1. Therapeutic course, immunohistochemistry, pathology, and FIGO-stage.
PtAge1st
Line
2nd Line3rd Line4th Line 5th LineRec
1. No
2. Yes
OS (mo) Survival
1. Dead
2. Alive
FIGOKI-67
1. >60%
2. ≤60%
PDL1
+≥1
−<1
p53
1. wt
2. mut
P16
+/−
Pathology
156CC/PL 1132II1+1+KSCC
261CC/PL 1252I1+1+NKSCC
362PC/PL 1262I2+2+KSCC
487PC/SEN 1242I1+1+NKSCC
564RHPC/PL 1482I2+1+NKSCC
681PS 131IV2+1+KSCC
747PE 11562II12+NKSCC
853PE 11082IV2+1+ASCC
972PE 142IV2+1KSCC
1066PE 1122II2+1CCAC
1187PE 1172II21+KSCC
1278PE 141II2+2KSCC
13 PEIL->RTHC->
GOG240
2682II2+1+KSCC
1471PECARB 2141IV2+1+NKSCC
1568PEIL 2121III22NKSCC
1665PE 291IV2+2+NKSCC
1772CC/PL 296 I2+1+NKSCC
1832RHPC/PL
->CCRT
CIS/PACPE 2171II1+1+KSCC
1951GOG240CISPAC/TRATD-M1PEM/RT2482IV2+2+CCAC
2075CCRT 271II1+2NKSCC
2152CCRTTACP 2181III2+2+KSCC
2249CCRTPERTPS 2381III2+2+KSCC
Pt: patient; Rec: recurrence; OS: survival in months; PDL1: PD-L1 CPS score; PC/SEN: partial colpectomy + sentinel lymph node dissection; PE: pelvic exenteration; RT: radiotherapy, CCRT: concurrent chemoradiotherapy; RHPC/PL: radical hysterectomy + partial colpectomy + pelvic lymph node dissection; PC/PLNE: partial colpectomy + pelvic lymph node dissection; CC/PLNE: complete colpectomy + pelvic lymph node dissection; IL: ingunial lymph node dissection; GOG 240: 6× carboplatin/paclitaxel/bevacizumab-> becavizumab; CIS: cisplatin; CARB: carboplatin; PAC/TRA: paclitaxel weekly + trastuzumab; PEM: pembrolizumab; PS: palliative surgery (entero- and urostoma); HC: hemicolectomy; TACP: transarterial chemoperfusion with gemcitabine; KSCC: keratinizing squamous cell cancer; NKSCC: non keratinizing squamous cell cancer; ASCC: adenosquamous cell cancer; CCAC: clear cell adenocarcinoma; + deceased.
Table 2. 5 year-disease-free survival (DFS) and overall survival (OS).
Table 2. 5 year-disease-free survival (DFS) and overall survival (OS).
ParameterN/%5-Year DFS5-Year OS
FIGON = 22
I5/22.7%100%100.00%
II8/36.4%50%56.25%
III3/13.6%0%0%
IV6/27.3%20.83%41.67%
Log-rank: p-value: 0.223p-value: 0.147
NN = 21 +
N011/50%81.22%90.91%
N110/45.5%11.43%22.86%
Log-Rank p-value: 0.004p-value: 0.004
LN = 21 *
L014/63.6%71.43%68.57%
L17/31.8%0%17.14%
Log-Rank p-value: <0.001p-value: 0.009
HN = 21 *
H017/77.3%63.103%67.97%
H14/18.2%0%0%
Log-rank p-value: 0.003p-value: 0.002
Tumor locationN = 22
Upper third6/27.3%50.00%66.67%
Other Location 16/72.7%50.91%47.40%
Log rank p-value: 0.846p-value: 0.482
Tumor sizeN = 22
</=4 cm11/50%60%68.57%
>4 cm11/50%36.36%33.94%
Log-Rank p-value: 0.249p-value: 0.141
</=2 cm4/18.2%75%75%
>2 cm18/81.8%39.68%36.77%
Log-Rank p-value: 0.406p-value: 0.322
TN = 22
T17/31.8%71.43%71.43%
T210/45.5%33.33%35.56%
T3/T45/22.7%26.67%40.00%
Log-Rank p-value: 0.627p-value:0.624
RN = 19 #
R013/59.1%75.52%73.43%
R16/27.3%25.00%50.00%
Log-Rank p-value:0.116p-value: 0.466
AgeN = 22
</=64 years11/50%53.03%64%
>64 years11/50%40.91%32.91%
Log-Rank p-value: 0.221p-value: 0.029
Depth of infiltration in mmN = 20
</=58/36.5%75%58.33%
>512/54.5%37.04%51.33%
Log-rank p-value: 0.043p-value: 0.248
P16N = 22
negative5/22.7%26.67%26.67%
Positive17/77.3%52.29%57.30%
Log-rank p-value:0.230p-value: 0.010
P53N = 22
Wild type13/59.1%67.69%71.80%
mutated9/40.9%22.22%22.22%
Log rank p-value: 0.164p-value: 0.091
KI-67N = 22
<60%15/68.2%42.42%50.05%
>/=60%7/31.8%57.14%53.57%
Log rank p-value: 0.541p-value: 0.814
+: 1 patient had received no lymph node resection due to radiochemotherapy only; *: in 1 patient the biopsy specimen was too small for a true lymph/hemangiosis evaluation; #: 3 patients had received primary radiochemotherapy; : in 2 out of 3 patients receiving radiochemotherapy, depth of infiltration could not be specified in histology; N: lymph node status; L: lymphangiosis; H: hemangiosis; R: resection margin; T: tumor according to TNM; DFS: disease-free survival; OS: overall survival.
Table 3. Multivariate analysis of the prognostic impact of age, lymph node metastases, hemangiosis, lymphangiosis and p16+ staining.
Table 3. Multivariate analysis of the prognostic impact of age, lymph node metastases, hemangiosis, lymphangiosis and p16+ staining.
Factorp-Value:
Age0.365
Lymph node metastasis0.555
Hemangiosis0.953
Lymphangiosis0.947
P 160.920
Table 4. Correlation of clinicopathological factors with immunohistochemistry.
Table 4. Correlation of clinicopathological factors with immunohistochemistry.
FactorPD-L1-CPS > 1Ki67P53P16
FIGO I versus FIGO II-IVp-value: 1.000p-value: 0.2743p-value: 1.0000p-value: 0.2899
Tumor location in the cranial Vagina versus other locationsp-value: 1.000p-value: 0.1207p-value: 0.3330p-value: 1.0000
Tumor size ≤4/>4 cmp-value: 0.0152p-value: 0.1984p-value: 0.0805p-value: 1.0000
Depth of infiltration
≤5/>5 mm
p-value: 1.000p-value: 0.6126p-value:1.000p-value: 1.0000
Lymph node negative versus lymph node metastasisp-value: 0.5765p-value: 1.0000p-value: 0.0805p-value: 1.0000
L0 versus L1p-value: 1.000p-value: 0.6384p-value: 0.0260p-value: 1.0000
V0 versus V1p-value: 0.465p-value: 0.5743p-value: 0.0096p-value: 0.2098
L0: no lymphangiosis, L1: Lymphangiosis, V0: no hemangiosis, V1: hemangiosis.
Table 5. PD-L1 Immunohistochemistry.
Table 5. PD-L1 Immunohistochemistry.
PD-L1-CPSN/%DFSOS
</=5771.43%85, 71%
>51534.91%36.11%
Log-rank p-value: 0.110p-value: 0.116
PD-L1-TPS
<101160%60%
>/=101130.49%41.56%
Log-rank p-value: 0.110p-value:0.205
PD-L1-IC
</=11248.61%54.69%
>11045.71%49.22%
Log-rank p-value: 0.650p-value: 0.923
Disclaimer/Publisher’s Note: The statements, opinions and data contained in all publications are solely those of the individual author(s) and contributor(s) and not of MDPI and/or the editor(s). MDPI and/or the editor(s) disclaim responsibility for any injury to people or property resulting from any ideas, methods, instructions or products referred to in the content.

Share and Cite

MDPI and ACS Style

Egger, E.K.; Condic, M.; Ralser, D.J.; Marinova, M.; Mustea, A.; Recker, F.; Kristiansen, G.; Thiesler, T. The Role of P16, P53, KI-67 and PD-L1 Immunostaining in Primary Vaginal Cancer. Cancers 2023, 15, 1046. https://doi.org/10.3390/cancers15041046

AMA Style

Egger EK, Condic M, Ralser DJ, Marinova M, Mustea A, Recker F, Kristiansen G, Thiesler T. The Role of P16, P53, KI-67 and PD-L1 Immunostaining in Primary Vaginal Cancer. Cancers. 2023; 15(4):1046. https://doi.org/10.3390/cancers15041046

Chicago/Turabian Style

Egger, Eva K., Mateja Condic, Damian J. Ralser, Milka Marinova, Alexander Mustea, Florian Recker, Glen Kristiansen, and Thore Thiesler. 2023. "The Role of P16, P53, KI-67 and PD-L1 Immunostaining in Primary Vaginal Cancer" Cancers 15, no. 4: 1046. https://doi.org/10.3390/cancers15041046

APA Style

Egger, E. K., Condic, M., Ralser, D. J., Marinova, M., Mustea, A., Recker, F., Kristiansen, G., & Thiesler, T. (2023). The Role of P16, P53, KI-67 and PD-L1 Immunostaining in Primary Vaginal Cancer. Cancers, 15(4), 1046. https://doi.org/10.3390/cancers15041046

Note that from the first issue of 2016, this journal uses article numbers instead of page numbers. See further details here.

Article Metrics

Back to TopTop