Thin-Slice Prostate MRI Enabled by Deep Learning Image Reconstruction
Abstract
Simple Summary
Abstract
1. Introduction
2. Materials and Methods
2.1. Study Design
2.2. MRI Acquisition Parameters
2.3. Image Analysis
2.4. Statistical Evaluation
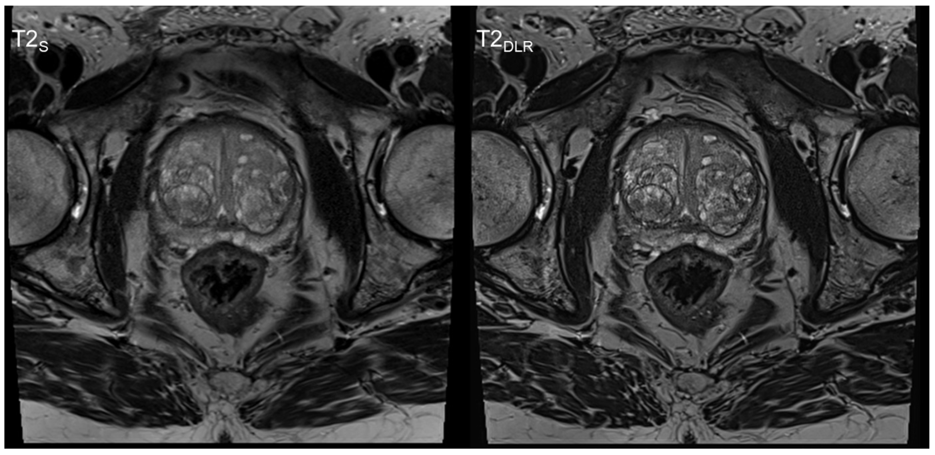
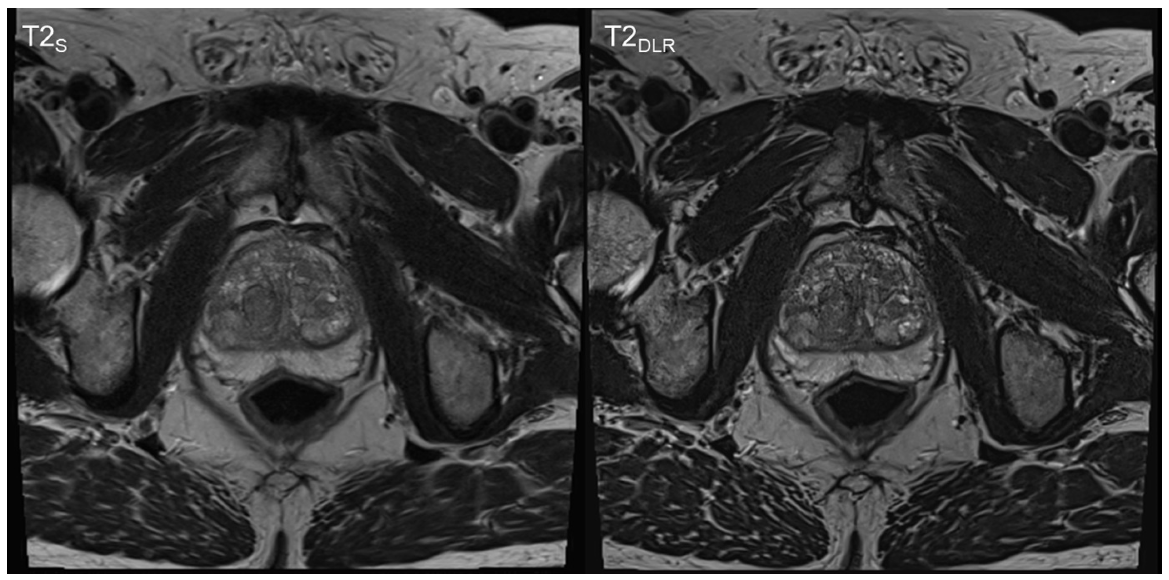
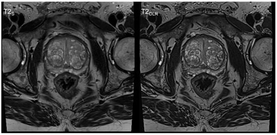
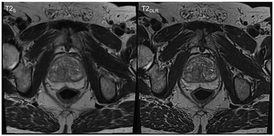
3. Results
3.1. Image Quality Analysis
3.2. T2 and PI-RADS Scoring and Lesion Size Measurement
4. Discussion
5. Conclusions
Author Contributions
Funding
Institutional Review Board Statement
Informed Consent Statement
Data Availability Statement
Conflicts of Interest
Abbreviations
| mpMRI | Multiparametric magnetic resonance imaging; |
| TSE | Turbo spin echo; |
| DLR | Deep learning image reconstruction; |
| GRE | Gradient echo; |
| T2S | Standard T2-weighted TSE imaging; |
| T2DLR | Deep learning reconstructed T2-weighted TSE imaging; |
| DCE | Dynamic contrast-enhanced; |
| DWI | Diffusion-weighted imaging; |
| PI-RADS | Prostate imaging reporting and data system; |
| PSA | Prostate specific antigen; |
| IQR | Interquartile range. |
References
- Siegel, R.L.; Miller, K.D.; Jemal, A. Cancer statistics, 2019. CA Cancer J. Clin. 2019, 69, 7–34. [Google Scholar] [CrossRef]
- Dickinson, L.; Ahmed, H.U.; Allen, C.; Barentsz, J.O.; Carey, B.; Futterer, J.J.; Heijmink, S.W.; Hoskin, P.; Kirkham, A.P.; Padhani, A.R.; et al. Clinical applications of multiparametric MRI within the prostate cancer diagnostic pathway. Urol. Oncol. Semin. Orig. Investig. 2012, 31, 281–284. [Google Scholar] [CrossRef]
- Giganti, F.; Rosenkrantz, A.B.; Villeirs, G.; Panebianco, V.; Stabile, A.; Emberton, M.; Moore, C.M. The Evolution of MRI of the Prostate: The Past, the Present, and the Future. Am. J. Roentgenol. 2019, 213, 384–396. [Google Scholar] [CrossRef]
- Turkbey, B.; Rosenkrantz, A.B.; Haider, M.A.; Padhani, A.R.; Villeirs, G.; Macura, K.J.; Tempany, C.M.; Choyke, P.L.; Cornud, F.; Margolis, D.J.; et al. Prostate Imaging Reporting and Data System Version 2.1: 2019 Update of Prostate Imaging Reporting and Data System Version 2. Eur. Urol. 2019, 76, 340–351. [Google Scholar] [CrossRef] [PubMed]
- Weinreb, J.C.; Barentsz, J.O.; Choyke, P.L.; Cornud, F.; Haider, M.A.; Macura, K.J.; Margolis, D.; Schnall, M.D.; Shtern, F.; Tempany, C.M.; et al. PI-RADS Prostate Imaging—Reporting and Data System: 2015, Version 2. Eur. Urol. 2016, 69, 16–40. [Google Scholar] [CrossRef] [PubMed]
- Gassenmaier, S.; Afat, S.; Nickel, M.; Mostapha, M.; Herrmann, J.; Almansour, H.; Nikolaou, K.; Othman, A. Accelerated T2-Weighted TSE Imaging of the Prostate Using Deep Learning Image Reconstruction: A Prospective Comparison with Standard T2-Weighted TSE Imaging. Cancers 2021, 13, 3593. [Google Scholar] [CrossRef]
- Gassenmaier, S.; Afat, S.; Nickel, D.; Mostapha, M.; Herrmann, J.; Othman, A.E. Deep learning–accelerated T2-weighted imaging of the prostate: Reduction of acquisition time and improvement of image quality. Eur. J. Radiol. 2021, 137, 109600. [Google Scholar] [CrossRef]
- Afat, S.; Wessling, D.; Afat, C.; Nickel, D.; Arberet, S.; Herrmann, J.; Othman, A.E.; Gassenmaier, S. Analysis of a Deep Learning-Based Superresolution Algorithm Tailored to Partial Fourier Gradient Echo Sequences of the Abdomen at 1.5 T: Reduction of Breath-Hold Time and Improvement of Image Quality. Investig. Radiol. 2021, 57, 157–162. [Google Scholar] [CrossRef]
- Chaika, M.; Afat, S.; Wessling, D.; Afat, C.; Nickel, D.; Kannengiesser, S.; Herrmann, J.; Almansour, H.; Männlin, S.; Othman, A.E.; et al. Deep learning-based super-resolution gradient echo imaging of the pancreas: Improvement of image quality and reduction of acquisition time. Diagn. Interv. Imaging, 2022; in press. [Google Scholar] [CrossRef] [PubMed]
- Kim, M.; Kim, H.S.; Kim, H.J.; Park, J.E.; Park, S.Y.; Kim, Y.-H.; Kim, S.J.; Lee, J.; Lebel, M.R. Thin-Slice Pituitary MRI with Deep Learning–based Reconstruction: Diagnostic Performance in a Postoperative Setting. Radiology 2021, 298, 114–122. [Google Scholar] [CrossRef]
- Hammernik, K.; Klatzer, T.; Kobler, E.; Recht, M.P.; Sodickson, D.; Pock, T.; Knoll, F. Learning a variational network for reconstruction of accelerated MRI data. Magn. Reson. Med. 2017, 79, 3055–3071. [Google Scholar] [CrossRef] [PubMed]
- Herrmann, J.; Gassenmaier, S.; Nickel, D.; Arberet, S.; Afat, S.; Lingg, A.; Kündel, M.; Othman, A.E. Diagnostic Confidence and Feasibility of a Deep Learning Accelerated HASTE Sequence of the Abdomen in a Single Breath-Hold. Investig. Radiol. 2020, 56, 313–319. [Google Scholar] [CrossRef] [PubMed]
- Gassenmaier, S.; Küstner, T.; Nickel, D.; Herrmann, J.; Hoffmann, R.; Almansour, H.; Afat, S.; Nikolaou, K.; Othman, A.E. Deep Learning Applications in Magnetic Resonance Imaging: Has the Future Become Present? Diagnostics 2021, 11, 2181. [Google Scholar] [CrossRef] [PubMed]
- Afat, S.; Herrmann, J.; Almansour, H.; Benkert, T.; Weiland, E.; Hölldobler, T.; Nikolaou, K.; Gassenmaier, S. Acquisition time reduction of diffusion-weighted liver imaging using deep learning image reconstruction. Diagn. Interv. Imaging, 2022; in press. [Google Scholar] [CrossRef]
- Johnson, P.M.; Tong, A.; Donthireddy, A.; Melamud, K.; Petrocelli, R.; Smereka, P.; Qian, K.; Keerthivasan, M.B.; Chandarana, H.; Knoll, F. Deep Learning Reconstruction Enables Highly Accelerated Biparametric MR Imaging of the Prostate. J. Magn. Reson. Imaging 2021, 56, 184–195. [Google Scholar] [CrossRef] [PubMed]
- Herrmann, J.; Koerzdoerfer, G.; Nickel, D.; Mostapha, M.; Nadar, M.; Gassenmaier, S.; Kuestner, T.; Othman, A.E. Feasibility and Implementation of a Deep Learning MR Reconstruction for TSE Sequences in Musculoskeletal Imaging. Diagnostics 2021, 11, 1484. [Google Scholar] [CrossRef]
- Almansour, H.; Gassenmaier, S.; Nickel, D.; Kannengiesser, S.; Afat, S.; Weiss, J.; Hoffmann, R.; Othman, A.E. Deep Learning–Based Superresolution Reconstruction for Upper Abdominal Magnetic Resonance Imaging: An Analysis of Image Quality, Diagnostic Confidence, and Lesion Conspicuity. Investig. Radiol. 2021, 56, 509–516. [Google Scholar] [CrossRef]
- Wessling, D.; Herrmann, J.; Afat, S.; Nickel, D.; Othman, A.E.; Almansour, H.; Gassenmaier, S. Reduction in Acquisition Time and Improvement in Image Quality in T2-Weighted MR Imaging of Musculoskeletal Tumors of the Extremities Using a Novel Deep Learning-Based Reconstruction Technique in a Turbo Spin Echo (TSE) Sequence. Tomography 2022, 8, 1759–1769. [Google Scholar] [CrossRef]
- Herrmann, J.; Keller, G.; Gassenmaier, S.; Nickel, D.; Koerzdoerfer, G.; Mostapha, M.; Almansour, H.; Afat, S.; Othman, A.E. Feasibility of an accelerated 2D-multi-contrast knee MRI protocol using deep-learning image reconstruction: A prospective intraindividual comparison with a standard MRI protocol. Eur. Radiol. 2022, 32, 6215–6229. [Google Scholar] [CrossRef]
- Herrmann, J.; Nickel, D.; Mugler, J.P.; Arberet, S.; Gassenmaier, S.; Afat, S.; Nikolaou, K.; Othman, A.E. Development and Evaluation of Deep Learning-Accelerated Single-Breath-Hold Abdominal HASTE at 3 T Using Variable Refocusing Flip Angles. Investig. Radiol. 2021, 56, 645–652. [Google Scholar] [CrossRef]
- Mulé, S.; Kharrat, R.; Zerbib, P.; Massire, A.; Nickel, M.D.; Ambarki, K.; Reizine, E.; Baranes, L.; Zegai, B.; Pigneur, F.; et al. Fast T2-weighted liver MRI: Image quality and solid focal lesions conspicuity using a deep learning accelerated single breath-hold HASTE fat-suppressed sequence. Diagn. Interv. Imaging 2022, 103, 479–485. [Google Scholar] [CrossRef] [PubMed]
- Gassenmaier, S.; Afat, S.; Nickel, D.; Kannengiesser, S.; Herrmann, J.; Hoffmann, R.; Othman, A.E. Application of a Novel Iterative Denoising and Image Enhancement Technique in T1-Weighted Precontrast and Postcontrast Gradient Echo Imaging of the Abdomen: Improvement of Image Quality and Diagnostic Confidence. Investig. Radiol. 2020, 56, 328–334. [Google Scholar] [CrossRef] [PubMed]
- Gassenmaier, S.; Herrmann, J.; Nickel, D.; Kannengiesser, S.; Afat, S.; Seith, F.; Hoffmann, R.; Othman, A.E. Image Quality Improvement of Dynamic Contrast-Enhanced Gradient Echo Magnetic Resonance Imaging by Iterative Denoising and Edge Enhancement. Investig. Radiol. 2021, 56, 465–470. [Google Scholar] [CrossRef] [PubMed]
- Dupuis, M.; Delbos, L.; Veil, R.; Adamsbaum, C. External validation of a commercially available deep learning algorithm for fracture detection in children. Diagn. Interv. Imaging 2022, 103, 151–159. [Google Scholar] [CrossRef] [PubMed]
- Gu, Y.; Lu, X.; Yang, L.; Zhang, B.; Yu, D.; Zhao, Y.; Gao, L.; Wu, L.; Zhou, T. Automatic lung nodule detection using a 3D deep convolutional neural network combined with a multi-scale prediction strategy in chest CTs. Comput. Biol. Med. 2018, 103, 220–231. [Google Scholar] [CrossRef]
- Grøvik, E.; Yi, D.; Iv, M.; Tong, E.; Rubin, D.; Zaharchuk, G. Deep learning enables automatic detection and segmentation of brain metastases on multisequence MRI. J. Magn. Reson. Imaging 2019, 51, 175–182. [Google Scholar] [CrossRef]
- Lu, M.T.; Ivanov, A.; Mayrhofer, T.; Hosny, A.; Aerts, H.J.W.L.; Hoffmann, U. Deep Learning to Assess Long-term Mortality From Chest Radiographs. JAMA Netw. Open 2019, 2, e197416. [Google Scholar] [CrossRef]
- Rowe, S.P.; Soyer, P.; Fishman, E.K. The future of radiology: What if artificial intelligence is really as good as predicted? Diagn. Interv. Imaging 2022, 103, 385–386. [Google Scholar] [CrossRef]
- Soyer, P.; Fishman, E.K.; Rowe, S.P.; Patlas, M.N.; Chassagnon, G. Does artificial intelligence surpass the radiologist? Diagn. Interv. Imaging 2022, 103, 445–447. [Google Scholar] [CrossRef]



| T2S | T2DLR | |
|---|---|---|
| TR (ms) | 4470 | 6550 |
| TE (ms) | 81 | 81 |
| Averages | 3 | 2 |
| Voxel size (mm) | 0.5 × 0.5 × 3.0 | 0.5 × 0.5 × 2.0 |
| Field of view (mm) | 200 | 200 |
| Slice thickness (mm) | 3 | 2 |
| Number of slices | 30 | 44 |
| Parallel imaging factor | 3 | 3 |
| Acquisition time (min:sec) | 4:12 | 4:37 |
| Characteristics | Values |
|---|---|
| Number of patients | N = 30 |
| Age, mean ± standard deviation | 68 ± 8 years |
| Sex | 100% male |
| PSA, median (interquartile range) 1 | 7.5 ng/mL (2.7–12 ng/mL) |
| Biopsies | N = 20 |
| No malignancy | N = 7 |
| Gleason grading | |
| 6 | N = 1 |
| 7a | N = 4 |
| 7b | N = 2 |
| 8 | N = 2 |
| 10 | N = 3 |
| Other | N = 1 (neuroendocrine carcinoma) |
| Prostatectomy | N = 4 |
| T2a | N = 1 |
| T2c | N = 2 |
| T3a | N = 1 |
| Characteristics | Reader 1 | Reader 2 | ||||
|---|---|---|---|---|---|---|
| T2S | T2DLR | p-Value | T2S | T2DLR | p-Value | |
| Image noise | 4 (4–4) | 3.5 (3–4) | <0.001 | 4 (3.75–4) | 3.5 (3–4) | 0.021 |
| Artifacts | 3 (3–3) | 4 (4–4) | <0.001 | 3 (3–4) | 4 (4–4) | <0.001 |
| Sharpness | 3 (3–3) | 4 (4–4) | <0.001 | 3 (3–3) | 4 (4–4) | <0.001 |
| Lesion detectability | 3 (3–4) | 4 (4–4) | <0.001 | 3 (3–4) | 4 (4–4) | <0.001 |
| Overall image quality | 3 (3–3) | 4 (4–4) | <0.001 | 3 (3–3.25) | 4 (4–4) | <0.001 |
| Diagnostic confidence | 3 (3–4) | 4 (4–4) | <0.001 | 4 (3–4) | 4 (4–4) | 0.004 |
| T2 and PI-RADS Scoring | Reader 1 | Reader 2 | ||
|---|---|---|---|---|
| T2S | T2DLR | T2S | T2DLR | |
| T2 score | ||||
| 1 | 0 | 0 | 0 | 0 |
| 2 | 9 | 9 | 9 | 9 |
| 3 | 5 | 5 | 5 | 5 |
| 4 | 8 | 8 | 7 | 7 |
| 5 | 7 | 7 | 8 | 8 |
| PI-RADS score | ||||
| 1 | 0 | 0 | 0 | 0 |
| 2 | 9 | 9 | 9 | 9 |
| 3 | 3 | 3 | 3 | 3 |
| 4 | 10 | 10 | 9 | 9 |
| 5 | 7 | 7 | 8 | 8 |
| Characteristics | Reader 1 | Reader 2 | ||||
|---|---|---|---|---|---|---|
| T2S | T2DLR | p-Value | T2S | T2DLR | p-Value | |
| Lesion size (mm); median (interquartile range) | 12.5 (9–19.5) | 12.5 (10–19.25) | 0.072 | 13.5 (9–20.25) | 12.5 (9.25–19) | 0.408 |
Disclaimer/Publisher’s Note: The statements, opinions and data contained in all publications are solely those of the individual author(s) and contributor(s) and not of MDPI and/or the editor(s). MDPI and/or the editor(s) disclaim responsibility for any injury to people or property resulting from any ideas, methods, instructions or products referred to in the content. |
© 2023 by the authors. Licensee MDPI, Basel, Switzerland. This article is an open access article distributed under the terms and conditions of the Creative Commons Attribution (CC BY) license (https://creativecommons.org/licenses/by/4.0/).
Share and Cite
Gassenmaier, S.; Warm, V.; Nickel, D.; Weiland, E.; Herrmann, J.; Almansour, H.; Wessling, D.; Afat, S. Thin-Slice Prostate MRI Enabled by Deep Learning Image Reconstruction. Cancers 2023, 15, 578. https://doi.org/10.3390/cancers15030578
Gassenmaier S, Warm V, Nickel D, Weiland E, Herrmann J, Almansour H, Wessling D, Afat S. Thin-Slice Prostate MRI Enabled by Deep Learning Image Reconstruction. Cancers. 2023; 15(3):578. https://doi.org/10.3390/cancers15030578
Chicago/Turabian StyleGassenmaier, Sebastian, Verena Warm, Dominik Nickel, Elisabeth Weiland, Judith Herrmann, Haidara Almansour, Daniel Wessling, and Saif Afat. 2023. "Thin-Slice Prostate MRI Enabled by Deep Learning Image Reconstruction" Cancers 15, no. 3: 578. https://doi.org/10.3390/cancers15030578
APA StyleGassenmaier, S., Warm, V., Nickel, D., Weiland, E., Herrmann, J., Almansour, H., Wessling, D., & Afat, S. (2023). Thin-Slice Prostate MRI Enabled by Deep Learning Image Reconstruction. Cancers, 15(3), 578. https://doi.org/10.3390/cancers15030578

