Relation between Coronary Artery Calcium Score and Cardiovascular Events in Hodgkin Lymphoma Survivors: A Cross-Sectional Matched Cohort Study
Abstract
Simple Summary
Abstract
1. Introduction
2. Methods
2.1. Study Population
2.2. Data Collection
2.3. CCTA Acquisition
2.4. CCTA Analysis
2.5. Patient Follow-Up
2.6. Statistical Analysis
3. Results
3.1. Characteristics of the HL Population
3.2. CAC Scores Compared to General Population
3.3. Agatston Calcium Scores in the Matched Study Population
3.4. Obstructive and Non-Obstructive Stenosis and Plaque Characteristics on CCTA
3.5. Echocardiography and Valvular Replacement in the HL Population
3.6. Cardiovascular Events
4. Discussion
4.1. CACS in HL Patients
4.2. CACS for Risk Assessment, Monitoring, and Prevention
4.3. Initiation of Preventive Medication
4.4. Study Limitations
5. Conclusions
Supplementary Materials
Author Contributions
Funding
Institutional Review Board Statement
Informed Consent Statement
Data Availability Statement
Conflicts of Interest
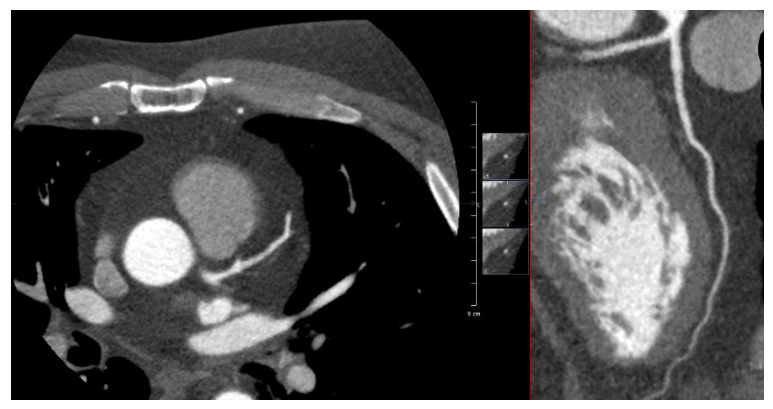
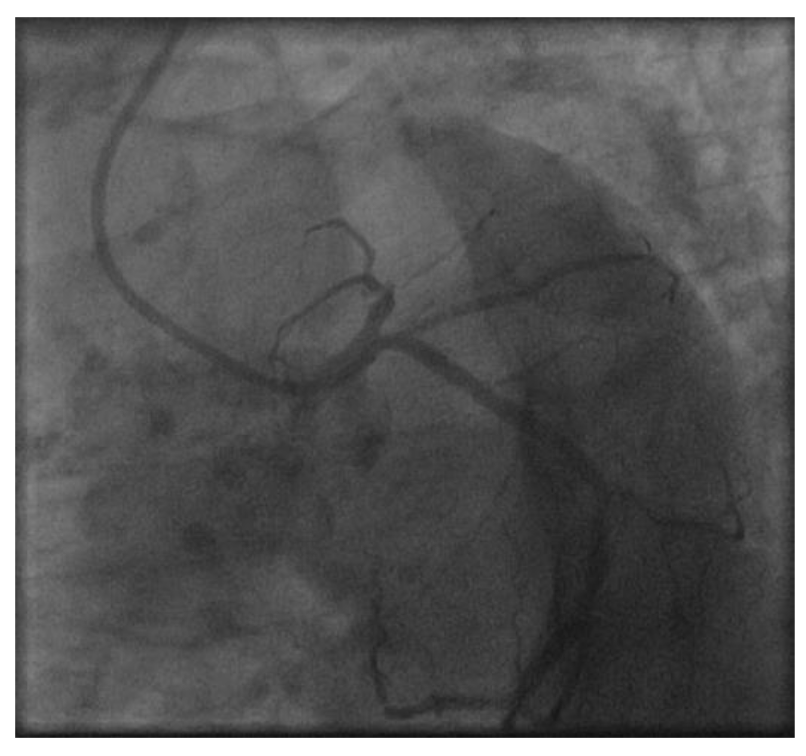
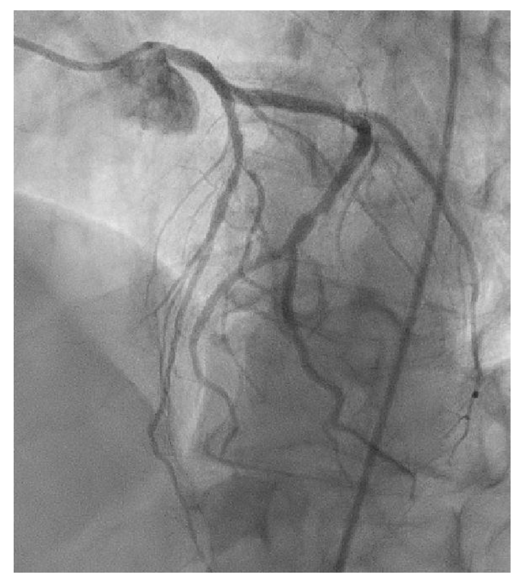
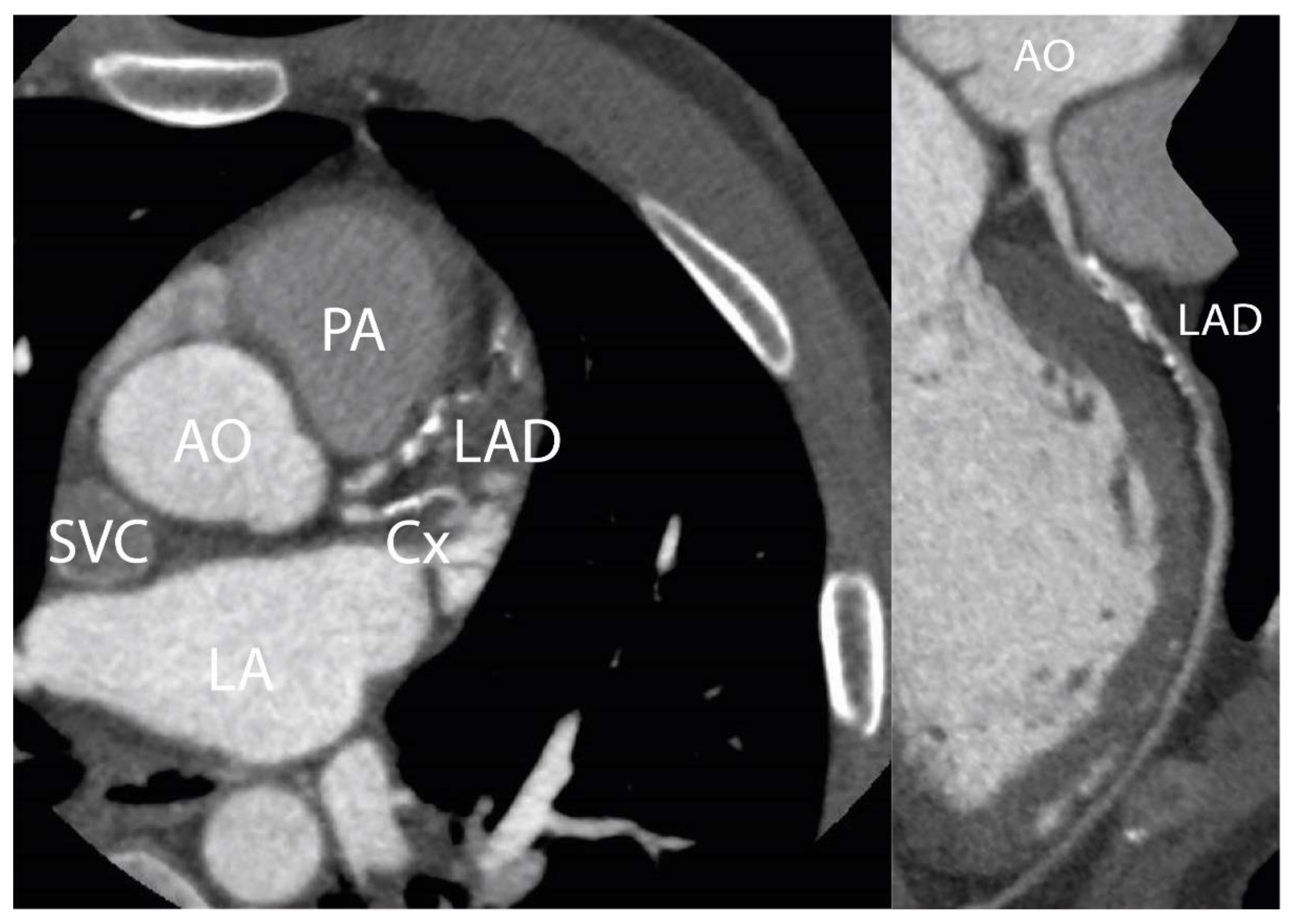
Appendix A. Patient Case Descriptions
Appendix A.1. Patient A. Male, 46 Years


Appendix A.2. Patient B. Male, 45 Years


References
- Nederlandse Kanker Registratie (NKR). Intergraal Kankercentrum Nederland (IKNL). Available online: www.iknl.nl (accessed on 19 August 2022).
- Aleman, B.M.P.; van den Belt-Dusebout, A.W.; de Bruin, M.L.; van’t Veer, M.B.; Baaijens, M.H.A.; de Boer, J.P.; Hart, A.A.M.; Klokman, W.J.; Kuenen, M.A.; Ouwens, G.M.; et al. Late cardiotoxicity after treatment for Hodgkin’s lymphoma. Int. J. Radiat. Oncol. Biol. Phys. 2006, 66, S96. [Google Scholar]
- Galper, S.L.; Yu, J.B.; Mauch, P.M.; Strasser, J.F.; Silver, B.; LaCasce, A.; Marcus, K.J.; Stevenson, M.A.; Chen, M.H.; Ng, A.K. Clinically significant cardiac disease in patients with Hodgkin lymphoma treated with mediastinal irradiation. Blood 2011, 117, 412–418. [Google Scholar] [CrossRef] [PubMed]
- van Nimwegen, F.A.; Schaapveld, M.; Janus, C.P.M.; Krol, A.D.; Raemaekers, J.M.M.; Clevers-Petersen, E.J.; Aleman, B.M.P.; van Leeuwen, F.E. Cardiovascular diseases after Hodgkin lymphoma treatment: 35-year disease risk and sequence of events. J. Clin. Oncol. 2014, 32, 9505. [Google Scholar] [CrossRef]
- Lancellotti, P.; Nkomo, V.T.; Badano, L.P.; Bergler-Klein, J.; Bogaert, J.; Davin, L.; Cosyns, B.; Coucke, P.; Dulgheru, R.; Edvardsen, T.; et al. Expert consensus for multi-modality imaging evaluation of cardiovascular complications of radiotherapy in adults: A report from the European Association of Cardiovascular Imaging and the American Society of Echocardiography. Eur. Heart J. Cardiovasc. Imaging 2013, 14, 721–740. [Google Scholar] [CrossRef]
- Orzan, F.; Brusca, A.; Conte, M.R.; Presbitero, P.; Figliomeni, M.C. Severe Coronary-Artery Disease after Radiation-Therapy of the Chest and Mediastinum—Clinical Presentation and Treatment. Brit. Heart J. 1993, 69, 496–500. [Google Scholar] [CrossRef] [PubMed]
- Daniels, L.A.; Krol, A.D.; de Graaf, M.A.; Scholte, A.J.; Van’t Veer, M.B.; Putter, H.; de Roos, A.; Schalij, M.J.; Creutzberg, C.L. Screening for coronary artery disease after mediastinal irradiation in Hodgkin lymphoma survivors: Phase II study of indication and acceptancedagger. Ann. Oncol. 2014, 25, 1198–1203. [Google Scholar] [CrossRef]
- Rademaker, J.; Schoder, H.; Ariaratnam, N.S.; Strauss, H.W.; Yahalom, J.; Steingart, R.; Oeffinger, K.C. Coronary artery disease after radiation therapy for Hodgkin’s lymphoma: Coronary CT angiography findings and calcium scores in nine asymptomatic patients. Am. J. Roentgenol. 2008, 191, 32–37. [Google Scholar] [CrossRef]
- Brosius, F.C.; Waller, B.F., 3rd; Roberts, W.C. Radiation heart disease. Analysis of 16 young (aged 15 to 33 years) necropsy patients who received over 3500 rads to the heart. Am. J. Med. 1981, 70, 519–530. [Google Scholar] [CrossRef]
- Lopez-Mattei, J.; Yang, E.H.; Baldassarre, L.A.; Agha, A.; Blankstein, R.; Choi, A.D.; Chen, M.Y.; Meyersohn, N.; Daly, R.; Alim, A.; et al. Cardiac computed tomographic imaging in cardio-oncology: An expert consensus document of the Society of Cardiovascular Computed Tomography (SCCT). Endorsed by the International Cardio-Oncology Society (ICOS). J. Cardiovasc. Comput. Tomogr. 2023, 17, 66–83. [Google Scholar] [CrossRef]
- Dzaye, O.; Dardari, Z.A.; Cainzos-Achirica, M.; Blankstein, R.; Agatston, A.S.; Duebgen, M.; Yeboah, J.; Szklo, M.; Budoff, M.J.; Lima, J.A.C.; et al. Warranty Period of a Calcium Score of Zero: Comprehensive Analysis From MESA. JACC Cardiovasc. Imaging 2021, 14, 990–1002. [Google Scholar] [CrossRef]
- Valenti, V.; Hartaigh, B.O.; Heo, R.; Cho, I.; Schulman-Marcus, J.; Gransar, H.; Truong, Q.A.; Shaw, L.J.; Knapper, J.; Kelkar, A.A.; et al. A 15-Year Warranty Period for Asymptomatic Individuals Without Coronary Artery Calcium A Prospective Follow-Up of 9,715 Individuals. JACC Cardiovasc. Imaging 2015, 8, 900–909. [Google Scholar] [CrossRef]
- BETER. Available online: https://www.beternahodgkin.nl/wat-kan-ik-doen/nazorg-op-beter-poli/ (accessed on 30 November 2023).
- Cerqueira, M.D.; Weissman, N.J.; Dilsizian, V.; Jacobs, A.K.; Kaul, S.; Laskey, W.K.; Pennell, D.J.; Rumberger, J.A.; Ryan, T.; Verani, M.S. Standardized myocardial segmentation and nomenclature for tomographic imaging of the heart. A statement for healthcare professionals from the Cardiac Imaging Committee of the Council on Clinical Cardiology of the American Heart Association. Circulation 2002, 105, 539–542. [Google Scholar] [PubMed]
- Kumamaru, K.K.; Kondo, T.; Kumamaru, H.; Amanuma, M.; George, E.; Rybicki, F.J. Repeat coronary computed tomographic angiography in patients with a prior scan excluding significant stenosis. Circ. Cardiovasc. Imaging 2014, 7, 788–795. [Google Scholar] [CrossRef] [PubMed][Green Version]
- Dalager, M.G.; Bottcher, M.; Thygesen, J.; Andersen, G.; Botker, H.E. Different Plaque Composition and Progression in Patients with Stable and Unstable Coronary Syndromes Evaluated by Cardiac, C.T. Biomed. Res. Int. 2015, 2015, 401357. [Google Scholar] [CrossRef] [PubMed]
- Thygesen, K.; Alpert, J.S.; Jaffe, A.S.; Chaitman, B.R.; Bax, J.J.; Morrow, D.A.; White, H.D. Fourth Universal Definition of Myocardial Infarction (2018). Circulation 2018, 138, e618–e651. [Google Scholar] [CrossRef] [PubMed]
- Andersen, R.; Wethal, T.; Gunther, A.; Fossa, A.; Edvardsen, T.; Fossa, S.D.; Kjekshus, J. Relation of Coronary Artery Calcium Score to Premature Coronary Artery Disease in Survivors > 15 Years of Hodgkin’s Lymphoma. Am. J. Cardiol. 2010, 105, 149–152. [Google Scholar] [CrossRef]
- Engbers, E.M.; Mouden, M.; Jager, P.L.; Timmer, J.R. Zero coronary calcium in the presence of three-vessel and left main coronary artery disease in a Hodgkin lymphoma survivor. Neth. Heart J. 2015, 23, 395–398. [Google Scholar] [CrossRef]
- O’Rourke, R.A.; Brundage, B.H.; Froelicher, V.F.; Greenland, P.; Grundy, S.M.; Hachamovitch, R.; Pohost, G.M.; Shaw, L.F.; Weintraub, W.S.; Winter, W.L., Jr.; et al. American College of Cardiology/American Heart Association Expert Consensus Document on electron-beam computed tomography for the diagnosis and prognosis of coronary artery disease. Circulation 2000, 102, 126–140. [Google Scholar] [CrossRef]
- Budoff, M.J.; Achenbach, S.; Blumenthal, R.S.; Carr, J.J.; Goldin, J.G.; Greenland, P.; Guerci, A.D.; Lima, J.A.C.; Rader, D.J.; Rubin, G.D.; et al. Assessment of coronary artery disease by cardiac computed tomography: A scientific statement from the American Heart Association Committee on Cardiovascular Imaging and Intervention, Council on Cardiovascular Radiology and Intervention, and Committee on Cardiac Imaging, Council on Clinical Cardiology. Circulation 2006, 114, 1761–1791. [Google Scholar] [PubMed]
- Arad, Y.; Goodman, K.J.; Roth, M.; Newstein, D.; Guerci, A.D. Coronary calcification, coronary disease risk factors, C-reactive protein, and atherosclerotic cardiovascular disease events: The St. Francis Heart Study. J. Am. Coll. Cardiol. 2005, 46, 158–165. [Google Scholar] [CrossRef]
- Becker, A.; Leber, A.; Becker, C.; Knez, A. Predictive value of coronary calcifications for future cardiac events in asymptomatic individuals. Am. Heart J. 2008, 155, 154–160. [Google Scholar] [CrossRef] [PubMed]
- Georgiou, D.; Budoff, M.J.; Kaufer, E.; Kennedy, J.M.; Lu, B.; Brundage, B.H. Screening patients with chest pain in the emergency department using electron beam tomography: A follow-up study. J. Am. Coll. Cardiol. 2001, 38, 105–110. [Google Scholar] [CrossRef] [PubMed]
- Miedema, M.D.; Dardari, Z.A.; Nasir, K.; Blankstein, R.; Knickelbine, T.; Oberembt, S.; Shaw, L.; Rumberger, J.; Michos, E.D.; Rozanski, A.; et al. Association of Coronary Artery Calcium with Long-term, Cause-Specific Mortality Among Young Adults. JAMA Netw. Open 2019, 2, e197440. [Google Scholar] [CrossRef]
- Taylor, A.J.; Bindeman, J.; Feuerstein, I.; Cao, F.; Brazaitis, M.; O’Malley, P.G. Coronary calcium independently predicts incident premature coronary heart disease over measured cardiovascular risk factors—Mean three-year outcomes in the Prospective Army Coronary Calcium (PACC) project. J. Am. Coll. Cardiol. 2005, 46, 807–814. [Google Scholar] [CrossRef] [PubMed]
- Tota-Maharaj, R.; Blaha, M.J.; Blankstein, R.; Silverman, M.G.; Eng, J.; Shaw, L.J.; Blumenthal, R.S.; Budoff, M.J.; Nasir, K. Association of coronary artery calcium and coronary heart disease events in young and elderly participants in the multi-ethnic study of atherosclerosis: A secondary analysis of a prospective, population-based cohort. Mayo Clin. Proc. 2014, 89, 1350–1359. [Google Scholar] [CrossRef]
- Honaryar, M.K.; Allodji, R.; Ferrieres, J.; Panh, L.; Locquet, M.; Jimenez, G.; Lapeyre, M.; Camilleri, J.; Broggio, D.; de Vathaire, F.; et al. Early Coronary Artery Calcification Progression over Two Years in Breast Cancer Patients Treated with Radiation Therapy: Association with Cardiac Exposure (BACCARAT Study). Cancers 2022, 14, 5724. [Google Scholar] [CrossRef] [PubMed]
- Lai, Y.H.; Chen, H.H.W.; Tsai, Y.S. Accelerated coronary calcium burden in breast cancer patients after radiotherapy: A comparison with age and race matched healthy women. Radiat. Oncol. 2021, 16, 210. [Google Scholar] [CrossRef]
- Darby, S.C.; Ewertz, M.; McGale, P.; Bennet, A.M.; Blom-Goldman, U.; Bronnum, D.; Correa, C.; Cutter, D.; Gagliardi, G.; Gigante, B.; et al. Risk of ischemic heart disease in women after radiotherapy for breast cancer. N. Engl. J. Med. 2013, 368, 987–998. [Google Scholar] [CrossRef]
- van Nimwegen, F.A.; Schaapveld, M.; Cutter, D.J.; Janus, C.P.; Krol, A.D.; Hauptmann, M.; Kooijman, K.; Roesink, J.; van der Maazen, R.; Darby, S.C.; et al. Radiation Dose-Response Relationship for Risk of Coronary Heart Disease in Survivors of Hodgkin Lymphoma. J. Clin. Oncol. 2016, 34, 235–243. [Google Scholar] [CrossRef]
- McClelland, R.L.; Nasir, K.; Budoff, M.; Blumenthal, R.S.; Kronmal, R.A. Arterial Age as a Function of Coronary Artery Calcium (from the Multi-Ethnic Study of Atherosclerosis [MESA]). Am. J. Cardiol. 2009, 103, 59–63. [Google Scholar] [CrossRef]
- Mitchell, J.D.; Cehic, D.A.; Morgia, M.; Bergom, C.; Toohey, J.; Guerrero, P.A.; Ferencik, M.; Kikuchi, R.; Carver, J.R.; Zaha, V.G.; et al. Cardiovascular Manifestations from Therapeutic Radiation: A Multidisciplinary Expert Consensus Statement from the International Cardio-Oncology Society. JACC Cardio Oncol. 2021, 3, 360–380. [Google Scholar] [CrossRef] [PubMed]
- Lyon, A.R.; Lopez-Fernandez, T.; Couch, L.S.; Asteggiano, R.; Aznar, M.C.; Bergler-Klein, J.; Boriani, G.; Cardinale, D.; Cordoba, R.; Cosyns, B.; et al. 2022 ESC Guidelines on cardio-oncology developed in collaboration with the European Hematology Association (EHA), the European Society for Therapeutic Radiology and Oncology (ESTRO) and the International Cardio-Oncology Society (IC-OS). Eur. Heart J. Cardiovasc. Imaging 2022, 43, 4229–4361. [Google Scholar]
- Kupeli, S.; Hazirolan, T.; Varan, A.; Akata, D.; Alehan, D.; Hayran, M.; Besim, A.; Buyukpamukcu, M. Evaluation of coronary artery disease by computed tomography angiography in patients treated for childhood Hodgkin’s lymphoma. J. Clin. Oncol. 2010, 28, 1025–1030. [Google Scholar] [CrossRef] [PubMed]



| Total (n = 194) | No Cancer (n = 97) | Cancer (n = 97) | p-Value | |
|---|---|---|---|---|
| Female sex | 120 (61.9%) | 60 (61.9%) | 60 (61.9%) | 1.00 | 
| Age during CT scan, years | 45.5 ± 10.0 | 45.5 ± 10.3 | 45.5 ± 9.9 | 0.98 | 
| Cardiovascular risk factors | ||||
| History of hypertension | 26 (13.4%) | 13 (13.4%) | 13 (13.4%) | 1.00 | 
| History of hypercholesterolemia | 104 (53.6%) | 52 (53.6%) | 52 (53.6%) | 1.00 | 
| History of smoking | 16 (8.2%) | 8 (8.2%) | 8 (8.2%) | 1.00 | 
| Statin use | 10 (5.2%) | 5 (5.2%) | 5 (5.2%) | 1.00 | 
| Total (n = 97) | CACS = 0 (n = 48) | CACS > 0 (n = 49) | p-Value | |
|---|---|---|---|---|
| Female sex | 60 (61.9%) | 29 (60.4%) | 31 (63.3%) | 0.77 | 
| Age at diagnosis, years | 25.0 ± 7.6 | 24.4 ± 8.1 | 25.6 ± 7.0 | 0.17 | 
| Age at CT scan, years | 45.5 ± 9.9 | 41.0 ± 8.8 | 49.9 ± 9.0 | <0.001 | 
| Year of radiotherapy treatment initiation | 1994 [1987; 2000] | 2000 [1992; 2001] | 1989 [1986; 1995] | 0.42 | 
| Cardiovascular risk factors | ||||
| History of hypertension | 13 (13.4%) | 2 (4.2%) | 11 (22.4%) | 0.008 | 
| History of hypercholesterolemia | 52 (53.6%) | 21 (43.8%) | 31 (63.3%) | 0.054 | 
| History of smoking | 8 (8.2%) | 5 (10.4%) | 3 (6.1%) | 0.44 | 
| Statin use | 5 (5.2%) | 1 (2.1%) | 4 (8.2%) | 0.18 | 
| Stage of Hodgkin lymphoma | 0.52 | |||
| I–II | 72 (74.2%) | 37 (77.1%) | 35 (71.4%) | |
| III–IV | 25 (25.8%) | 11 (22.9%) | 14 (28.6%) | |
| Location of radiotherapy | 0.018 | |||
| Mantle | 34 (35.1%) | 10 (20.8%) | 24 (49.0%) | |
| Mediastinal | 46 (47.4%) | 30 (62.5%) | 16 (32.7%) | |
| Subtotal | 13 (13.4%) | 6 (12.5%) | 7 (14.3%) | |
| Other | 4 (4.1%) | 2 (4.2%) | 2 (4.1%) | |
| Radiotherapy dose, Gy | 36.0 [35.0; 40.0] | 36.0 [30.0; 40.0] | 36.0 [36.0; 40.0] | 0.063 | 
| Treated with chemotherapy | 81 (83.5%) | 42 (87.5%) | 39 (79.6%) | 0.29 | 
| Chemotherapeutic regimen | 0.027 | |||
| ABVD | 27 (27.8%) | 16 (33.3%) | 11 (22.4%) | |
| MOPP/ABV | 24 (24.7%) | 10 (20.8%) | 14 (28.6%) | |
| EBVP | 9 (9.3%) | 7 (14.6%) | 2 (4.1%) | |
| BEACOPP | 6 (6.2%) | 5 (10.4%) | 1 (2.0%) | |
| MOPP | 12 (12.4%) | 2 (4.2%) | 10 (20.4%) | |
| Other | 3 (3.1%) | 2 (4.2%) | 1 (2.0%) | |
| Treatment with anthracyclines | 68 (70.1%) | 39 (81.3%) | 29 (59.2%) | |
| Doxorubicine | 60 (61.9%) | 32 (66.7%) | 28 (57.1%) | |
| Epirubicine | 8 (8.2%) | 7 (14.6%) | 1 (2.0%) | |
| Laboratory values | ||||
| Hb, mmol/L | 8.8 ± 0.8 | 8.8 ± 0.9 | 8.7 ± 0.8 | 0.53 | 
| Leukocytes, ×109/L | 6.8 ± 1.8 | 6.6 ± 1.8 | 7.1 ± 1.8 | 0.19 | 
| LDL, mmol/L | 3.1 ± 1.0 | 3.1 ± 1.1 | 3.1 ± 1.0 | 0.88 | 
| Total cholesterol, mmol/L | 5.3 ± 1.0 | 5.2 ± 0.9 | 5.4 ± 1.1 | 0.35 | 
| Creatinine μmol/L | 75.1 ± 13.7 | 76.5 ± 14.9 | 73.9 ± 12.5 | 0.36 | 
| Left ventricular function | 0.97 | |||
| Good | 87 (89.7%) | 43 (89.6%) | 44 (89.8%) | |
| Moderate | 10 (10.3%) | 5 (10.4%) | 5 (10.2%) | |
| Poor | 0 | 0 | 0 | |
| Aortic stenosis | 12 (12.4%) | 2 (4.2%) | 10 (20.4%) | 0.015 | 
| Mild | 7 (58.3%) | 2 (4.2%) | 5 (10.2%) | |
| Moderate | 4 (33.3%) | 0 | 4 (8.2%) | |
| Severe | 1 (8.3%) | 0 | 1 (2.0%) | |
| Mitral stenosis | 3 (3.1%) | 0 | 3 (6.1%) | 0.08 | 
| Mild | 2 (66.7%) | 0 | 2 (4.1%) | |
| Moderate | 1 (33.3%) | 0 | 1 (2.0%) | |
| Severe | 0 | 0 | 0 | 
| CACS > 0 (n = 47) | CACS = 0 (n = 48) | OR [95%CI] | p-Value | |
|---|---|---|---|---|
| Radiation dose | 8.8 [2.2–49.6] | <0.001 | ||
| <35 Gy | 3 (6.4%) | 18 (37.5%) | ||
| ≥35 Gy | 44 (93.6%) | 30 (60.5%) | ||
| Radiation dose 15–34 Gy + doxorubicin ≥ 100 mg/m2 | 0.04 [0.0–0.3] | <0.001 | ||
| Yes | 1 (2.1%) | 16 (33.3%) | ||
| No | 46 (97.9%) | 32 (66.7%) | 
| Agatston Calcium Score | Time between Radiation and CCTA, years | HL Population (n = 82) | Control Population (n = 87) | p-Value | 
|---|---|---|---|---|
| 0 | 14.2 [11.8–20.7] | 48 (58.5%) | 67 (77.0%) | 0.005 | 
| Non-obstructive | 15.0 [13.5–20.7] | 8 (9.8%) | 4 (4.6%) | 0.06 | 
| Obstructive | 20.7 [20.7–20.7] | 1 (1.2%) | 1 (1.1%) | 0.81 | 
| 1–99 | 24.3 [18.2–25.3] | 23 (28.0%) | 16 (18.4%) | 0.21 | 
| Non-obstructive | 24.6 [19.0–25.3] | 17 (20.7%) | 13 (14.9%) | 0.59 | 
| Obstructive | 18.2 [17.2–19.1] | 3 (3.7%) | 1 (1.1%) | 0.49 | 
| ≥100 | 24.3 [22.3–25.9] | 11 (13.4%) | 4 (4.6%) | 0.06 | 
| Non-obstructive | 23.3 [21.4–25.9] | 7 (8.5%) | 3 (3.4%) | 0.68 | 
| Obstructive | 24.8 [23.8–26.3] | 4 (4.9%) | 1 (1.1%) | 0.68 | 
| Disclaimer/Publisher’s Note: The statements, opinions and data contained in all publications are solely those of the individual author(s) and contributor(s) and not of MDPI and/or the editor(s). MDPI and/or the editor(s) disclaim responsibility for any injury to people or property resulting from any ideas, methods, instructions or products referred to in the content. | 
© 2023 by the authors. Licensee MDPI, Basel, Switzerland. This article is an open access article distributed under the terms and conditions of the Creative Commons Attribution (CC BY) license (https://creativecommons.org/licenses/by/4.0/).
Share and Cite
Polomski, E.A.S.; Heemelaar, J.C.; de Graaf, M.A.; Krol, A.D.G.; Louwerens, M.; Stöger, J.L.; van Dijkman, P.R.M.; Schalij, M.J.; Jukema, J.W.; Antoni, M.L. Relation between Coronary Artery Calcium Score and Cardiovascular Events in Hodgkin Lymphoma Survivors: A Cross-Sectional Matched Cohort Study. Cancers 2023, 15, 5831. https://doi.org/10.3390/cancers15245831
Polomski EAS, Heemelaar JC, de Graaf MA, Krol ADG, Louwerens M, Stöger JL, van Dijkman PRM, Schalij MJ, Jukema JW, Antoni ML. Relation between Coronary Artery Calcium Score and Cardiovascular Events in Hodgkin Lymphoma Survivors: A Cross-Sectional Matched Cohort Study. Cancers. 2023; 15(24):5831. https://doi.org/10.3390/cancers15245831
Chicago/Turabian StylePolomski, Elissa A. S., Julius C. Heemelaar, Michiel A. de Graaf, Augustinus D. G. Krol, Marloes Louwerens, J. Lauran Stöger, Paul R. M. van Dijkman, Martin J. Schalij, J. Wouter Jukema, and M. Louisa Antoni. 2023. "Relation between Coronary Artery Calcium Score and Cardiovascular Events in Hodgkin Lymphoma Survivors: A Cross-Sectional Matched Cohort Study" Cancers 15, no. 24: 5831. https://doi.org/10.3390/cancers15245831
APA StylePolomski, E. A. S., Heemelaar, J. C., de Graaf, M. A., Krol, A. D. G., Louwerens, M., Stöger, J. L., van Dijkman, P. R. M., Schalij, M. J., Jukema, J. W., & Antoni, M. L. (2023). Relation between Coronary Artery Calcium Score and Cardiovascular Events in Hodgkin Lymphoma Survivors: A Cross-Sectional Matched Cohort Study. Cancers, 15(24), 5831. https://doi.org/10.3390/cancers15245831
 
        


 
                         
       