Cancer-Preventive Activity of Argemone mexicana Linn Leaves and Its Effect on TNF-α and NF-κB Signalling
Abstract
:Simple Summary
Abstract
1. Introduction
2. Materials and Methods
2.1. Chemicals
2.2. Sample Collection, Authentication and Preparation of Extracts
2.3. Animal Care and Handling
2.4. Determination of The Non-Toxic Dose of Argemone mexicana Leaves (AML) Extract
2.5. Determination of Skin Cancer Preventive Activity of Argemone mexicana Leaves (AML) Extract
2.5.1. Induction of Skin Cancer in Experimental Animals
- 1st Group: The normal vehicle group was fed with 0.01% DMSO during the experiment and 0.1% acetone was applied on the shaved skin.
- 2nd Group: The negative control group was fed with 0.01% DMSO, and cancer was induced by the DMBA/TPA method.
- 3rd Group: The animals were pretreated with 100 mg/kg BW of AML extract for 3 weeks prior to start the application of carcinogens on the skin.
- 4th Group: The animals were pretreated with 250 mg/kg BW of AML extract for 3 weeks prior to start the application of carcinogens on the skin.
- 5th Group: The animals were pretreated with 500 mg/kg BW of AML extract for 3 weeks prior to start the application of carcinogens on the skin.
- 6th Group: The animals were treated with 500 mg/kg BW of AML extract along with the application of carcinogens on the skin. The group was said to be the post-treated (P.T) group.
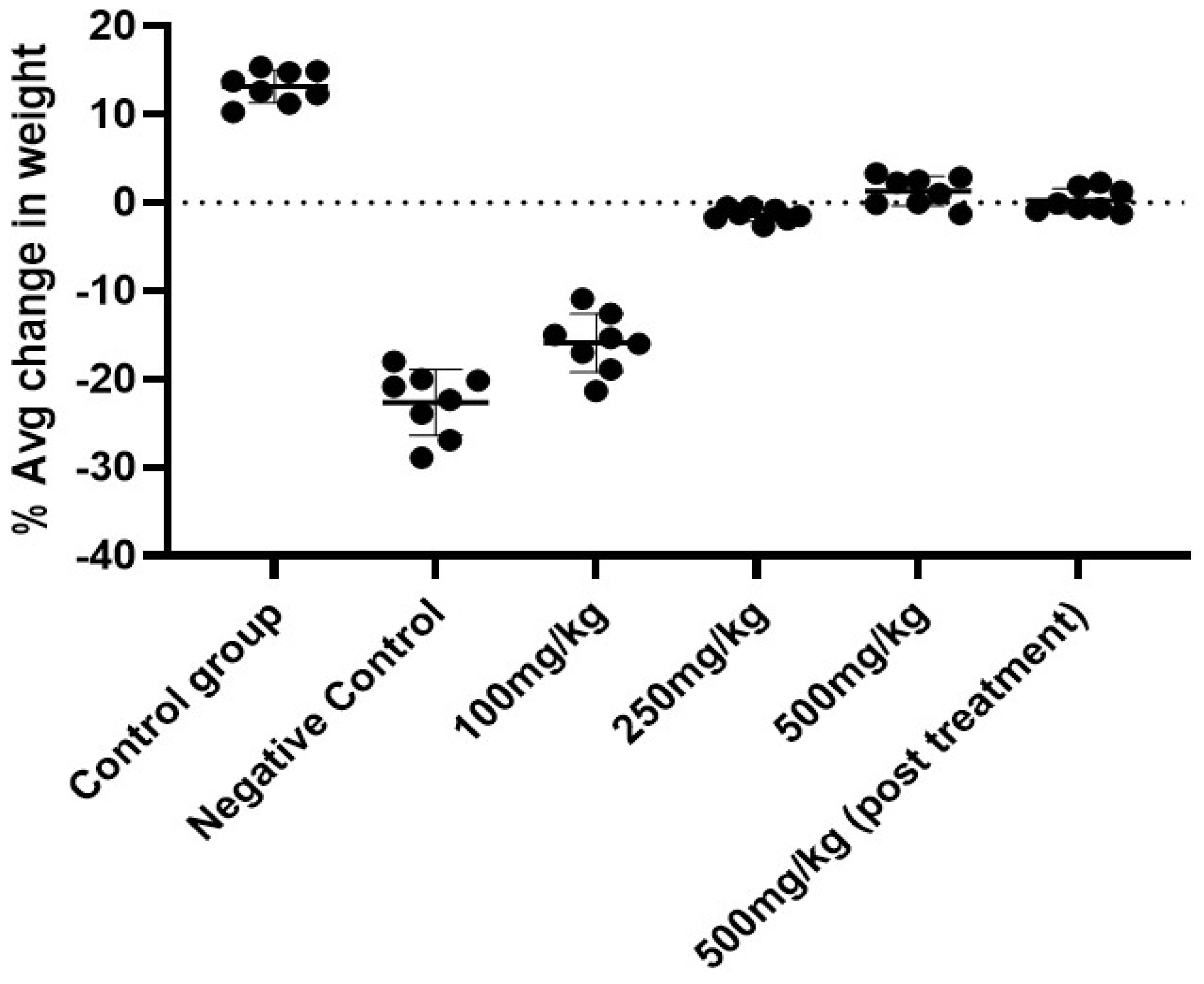
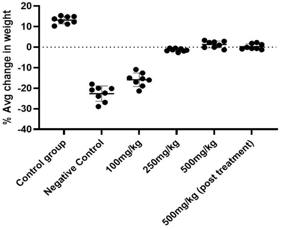
2.5.2. Effect on Body Weight
2.5.3. Effect of AML on Tumour Volume
2.5.4. Effect on Cancer Induction
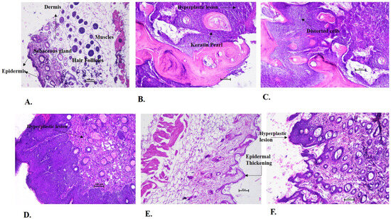
2.5.5. Effect on Histopathological Parameters of Skin Cancer Tissue
2.5.6. Effect on Haematological Parameters
2.5.7. Effect on Weight and Size of Liver and Spleen
2.5.8. Effect on Inflammatory Cytokine TNF-α Concentration in Serum
2.5.9. Effect on p65 Subunit Concentration of NF-κB Signalling Pathway in Serum
2.6. Determination of Skin Cancer Treatment Activity of Argemone mexicana Leaves (AML) Extract
3. Results
3.1. Determination of Non-Toxic Dose of Argemone mexicana Leaves (AML) Extract
3.1.1. Physical Attributes
3.1.2. Haematological Parameter
3.1.3. Body Weight
3.2. Determination of Skin Cancer Preventive Activity of Argemone mexicana Leaves (AML) Extract
3.2.1. Effect on Body Weight
3.2.2. Effect on Tumour Volume
3.2.3. Cancer Induction in Mice
3.2.4. Effect on Histopathological Parameters of Skin Cancer Tissue
3.2.5. Effect on Haematological Parameters
3.2.6. Effect on Weight and Size of Liver and Spleen
3.2.7. Effect on Inflammatory Cytokine TNF-α Concentration in Serum
3.2.8. Effect on p65 Subunit Concentration of NF-κB Signalling Pathway in Serum
3.3. Determination of Skin Cancer Treatment Activity of Argemone mexicana Leaves (AML) Extract
4. Discussion
5. Conclusions
Author Contributions
Funding
Institutional Review Board Statement
Informed Consent Statement
Data Availability Statement
Acknowledgments
Conflicts of Interest
Abbreviations
| DMBA | 7,12-dimethylbenz[a]-anthracene |
| TPA | 12-O-Tetradecanoylphorbol-13-acetate |
| B.W | Body Weight |
| AML | Argemone mexicana leaves |
| TNF-α | Tumour Necrosis Factor-α |
| NF-κB | Nuclear Factor Kappa-B |
| IKK | IκB Kinase |
| NEMO | NF-κB essential modulator |
| DPX | Dibutylphthalate Polystyrene Xylene |
| NBF | Neutral Buffer Formalin |
| SD | Standard Deviation |
References
- Siegel, R.L.; Miller, K.D.; Wagle, N.S.; Jemal, A. Cancer statistics. CA Cancer J. Clin. 2023, 73, 17–48. [Google Scholar] [CrossRef]
- Gruber, F.; Marchetti-Deschmann, M.; Kremslehner, C.; Schosserer, M. The skin epilipidome in stress, aging, and inflammation. Front. Endocrinol. 2021, 11, 607076. [Google Scholar] [CrossRef]
- Schuldt, K.; Trocchi, P.; Stang, A. Skin Cancer Screening and Medical Treatment Intensity in Patients with Malignant Melanoma and Non-Melanocytic Skin Cancer: A Study of AOK Insures in the First Year After Diagnosis, 2014/2015. Dtsch. Ärztebl. Int. 2023, 120, 33. [Google Scholar]
- Jaiswal, Y.; Liang, Z.; Zhao, Z. Botanical drugs in Ayurveda and traditional Chinese medicine. J. Ethnopharmacol. 2016, 194, 245–259. [Google Scholar] [CrossRef]
- Bhalke, R.D.; Gosavi, S.A. Anti-stress and antiallergic effect of Argemone mexicana stems in asthma. Arch. Pharm. Sci. Res. 2009, 1, 127–129. [Google Scholar]
- Brahmachari, G.; Gorai, D.; Roy, R. Argemone mexicana: Chemical and pharmacological aspects. Rev. Bras. Farmacog. 2013, 23, 559–567. [Google Scholar] [CrossRef]
- Kulshrestha, S.; Goel, A. A Panoramic View on Argemone mexicana: Its Medicinal Importance and Phytochemical Potentials. Plant Arch. 2021, 21, 40–49. [Google Scholar] [CrossRef]
- Sharma, J.S.; Gairola, R.D.; Gaur, D.; Painuli, R.M. The treatment of jaundice with medicinal plants in indigenous communities of the Sub-Himalayan region of Uttarakhand. Indian J. Ethnopharmacol. 2012, 143, 262–291. [Google Scholar] [CrossRef]
- Willcox, M.L.; Graz, B.; Falquet, J.; Sidibé, O.; Forster, M.; Diallo, D. Argemone mexicana decoction for the treatment of uncomplicated falciparum malaria. Trans. R. Soc. Trop. Med. Hyg. 2007, 101, 1190–1198. [Google Scholar] [CrossRef] [PubMed]
- Sharmila, R.; Manoharan, S. Anti-tumor activity of rosmarinic acid in 7, 12-dimethylbenz (a) anthracene (DMBA) induced skin carcinogenesis in Swiss albino mice. Indian J. Exp. Biol. 2012, 50, 187–194. [Google Scholar] [PubMed]
- Manoharan, S.; Selvan, M.V. Chemopreventive potential of geraniol in 7, 12-dimethylbenz (a) anthracene (DMBA) induced skin carcinogenesis in Swiss albino mice. J. Environ. Biol. 2012, 33, 255. [Google Scholar]
- Karin, M. NF-κB as a critical link between inflammation and cancer. Cold Spring Harb. Perspect. Biol. 2009, 1, a000141. [Google Scholar] [CrossRef] [PubMed]
- Wu, Y.D.; Zhou, B.P. TNF-α/NF-κB/Snail pathway in cancer cell migration and invasion. Br. J. Cancer 2010, 102, 639–644. [Google Scholar] [CrossRef] [PubMed]
- Xue, W.; Meylan, E.; Oliver, T.G.; Feldser, D.M.; Winslow, M.M.; Bronson, R.; Jacks, T. Response and resistance to NF-κB inhibitors in mouse models of lung adenocarcinoma. Cancer Disc. 2011, 1, 236–247. [Google Scholar] [CrossRef] [PubMed]
- Zhang, T.; Ma, C.; Zhang, Z.; Zhang, H.; Hu, H. NF-κB signalling in inflammation and cancer. MedComm 2021, 2, 618–653. [Google Scholar] [CrossRef]
- Sharma, A.; Goel, A.; Lin, Z. In Vitro and In Silico Anti-Rheumatic Arthritis Activity of Nyctanthes arbor-tristis. Molecules 2023, 28, 6125. [Google Scholar] [CrossRef] [PubMed]
- Kemp, C.J. Animal models of chemical carcinogenesis: Driving breakthroughs in cancer research for 100 years. Cold Spring Harb. Prot. 2015, 10, 865. [Google Scholar] [CrossRef]
- Surien, O.; Masre, S.F.; Basri, D.F.; Ghazali, A.R. Chemopreventive Effects of Oral Pterostilbene in Multistage Carcinogenesis of Skin Squamous Cell Carcinoma Mouse Model Induced by DMBA/TPA. Biomedicines 2022, 10, 2743. [Google Scholar] [CrossRef]
- Pawaiya, R.V.S. Multistep carcinogenesis of 7, 12-Dimethylbenz (a) anthracene (DMBA)-induced skin tumours in rats: An immunohistochemical study. Indian J. Vet. Pathol. 2019, 43, 247–265. [Google Scholar] [CrossRef]
- Dhawan, D.; Balasubramanian, S.; Amonkar, A.J.; Singh, N. Chemopreventive effect of 4′-demethyl epipodophyllotoxin on DMBA/TPA-induced mouse skin carcinogenesis. Carcinogenesis 1999, 20, 997–1003. [Google Scholar] [CrossRef]
- Hurst, E.A.; Harbour, J.W.; Cornelius, L.A. Ocular melanoma: A review and the relationship to cutaneous melanoma. Arch. Dermatol. 2003, 139, 1067–1073. [Google Scholar] [CrossRef] [PubMed]
- Arruebo, M.; Vilaboa, N.; Sáez-Gutierrez, B.; Lambea, J.; Tres, A.; Valladares, M.; González-Fernández, Á. Assessment of the evolution of cancer treatment therapies. Cancers 2011, 3, 3279–3330. [Google Scholar] [CrossRef] [PubMed]
- Kłos, P.; Chlubek, D. Plant-Derived Terpenoids: A Promising Tool in the Fight against Melanoma. Cancers 2022, 14, 502. [Google Scholar] [CrossRef]
- More, N.V.; Kharat, A.S. Antifungal and anticancer potential of Argemone mexicana L. Medicines 2016, 3, 28. [Google Scholar] [CrossRef] [PubMed]
- Sahu, M.C.; Padhy, R.N. In vitro antibacterial potency of Butea monosperma Lam. against 12 clinically isolated multidrug resistant bacteria. Asian Pac. J. Trop. Dis. 2013, 3, 217–226. [Google Scholar] [CrossRef]
- Andleeb, S.; Alsalme, A.; Al-Zaqri, N.; Warad, I.; Alkahtani, J.; Bukhari, S.M. In-vitro antibacterial and antifungal properties of the organic solvent extract of Argemone mexicana L. J. King Saud Univ. Sci. 2020, 32, 2053–2058. [Google Scholar] [CrossRef]
- Goel, A. Regulation of Cytokines by Argemone mexicana L. in Potenting the immune response. Res. J. Biotech. 2020, 15, 156–162. [Google Scholar]
- Jaiswal, J.; Siddiqi, N.J.; Fatima, S.; Abudawood, M.; AlDaihan, S.K.; Alharbi, M.G.; Sharma, B. Analysis of Biochemical and Antimicrobial Properties of Bioactive Molecules of Argemone mexicana. Molecules 2023, 28, 4428. [Google Scholar] [CrossRef]
- Chang, Y.C.; Chang, F.R.; Khalil, A.T.; Hsieh, P.W.; Wu, Y.C. Cytotoxic benzophenanthridine and benzylisoquinoline alkaloids from Argemone mexicana. Z. Naturforsch. 2003, 58, 521–526. [Google Scholar] [CrossRef]
- Singh, S.; Verma, M.; Malhotra, M.; Prakash, S.; Singh, T.D. Cytotoxicity of alkaloids isolated from Argemone mexicana on SW480 human colon cancer cell line. Pharm. Biol. 2016, 54, 740–745. [Google Scholar] [CrossRef]
- Prabhakaran, D.; Senthamilselvi, M.M.; Rajeshkanna, A. Anticancer activity of Argemone mexicana L. (flowers) against human liver cancer (HEPG2) cell line. Asian J. Pharm. Clin. Res. 2017, 10, 351–353. [Google Scholar]
- Das, R.; Mitra, S.; Tareq, A.M.; Emran, T.B.; Hossain, M.J.; Alqahtani, A.M.; Simal-Gandara, J. Medicinal plants used against hepatic disorders in Bangladesh: A comprehensive review. J. Ethnopharmcol. 2022, 282, 114588. [Google Scholar] [CrossRef] [PubMed]
- Ueda, Y.; Richmond, A. NF-κB activation in melanoma. Pigment Cell Res. 2006, 19, 112–124. [Google Scholar] [CrossRef] [PubMed]
- Perez, M.J.; Favela-Hernandez, J.M.; Guerrero, G.; Garcia-Lujan, C. Phytochemical, Pharmacological and Antimicrobial Properties of the Tissue Extracts of Argemone spp. Acta Sci. Microbiol. 2023, 6, 1–15. [Google Scholar]
- O’Connell, K.E.; Mikkola, A.M.; Stepanek, A.M.; Vernet, A.; Hall, C.D.; Sun, C.C.; Brown, D.E. Practical murine hematopathology: A comparative review and implications for research. Comp. Med. 2015, 65, 96–113. [Google Scholar] [PubMed]
- Chen, X.; Swanson, R.J.; Kolb, J.F.; Nuccitelli, R.; Schoenbach, K.H. Histopathology of normal skin and melanomas after nanosecond pulsed electric field treatment. Melanoma Res. 2009, 19, 361. [Google Scholar] [CrossRef] [PubMed]
- Paolino, G.; Donati, M.; Didona, D.; Mercuri, S.R.; Cantisani, C. Histology of non-melanoma skin cancers: An update. Biomedicines 2017, 5, 71. [Google Scholar] [CrossRef]
- Kabel, A.M.; Elkhoely, A.A. Ameliorative potential of fluoxetine/raloxifene combination on experimentally induced breast cancer. Tissue Cell 2016, 48, 89–95. [Google Scholar] [CrossRef]
- Akhouri, V.; Kumari, M.; Kumar, A. Therapeutic effect of Aegle marmelos fruit extract against DMBA induced breast cancer in rats. Sci. Rep. 2020, 10, 18016. [Google Scholar] [CrossRef]
- Amiri, K.I.; Richmond, A. Role of nuclear factor-κ B in melanoma. Cancer Metastasis Rev. 2005, 24, 301. [Google Scholar] [CrossRef]
- Kaltschmidt, B.; Greiner, J.F.; Kadhim, H.M.; Kaltschmidt, C. Subunit-specific role of NF-κB in cancer. Biomedicines 2018, 6, 44. [Google Scholar] [CrossRef] [PubMed]








| Groups | 100 mg/kg BW | 250 mg/kg BW | 500 mg/kg BW | 1000 mg/kg BW |
|---|---|---|---|---|
| Lethargy | - | - | - | ++ |
| Nausea | - | - | - | + |
| Dullness/Loss in fur | - | - | - | ++ |
| Loose Motion/Loose stool | - | - | - | ++ |
| Yellow eyes | - | - | - | + |
| Fatality | - | - | - | - |
| Type of Group | Average Body Weight at Day 0 (in g) | Average Body Weight at Day 21 (in g) | % Average Increase |
|---|---|---|---|
| Control group | 33.9 ± 3.9 | 40.1 ± 1.6 | 19.4% |
| 100 mg/kg BW | 34.6 ± 2.9 | 41.4 ± 1.9 | 19.5% |
| 250 mg/kg BW | 35.6 ± 1.2 | 43.7 ± 3.7 | 22% |
| 500 mg/kg BW | 35.0 ± 1.3 | 42.2 ± 2.1 | 18% |
| 1000 mg/kg BW | 37.5 ± 2.6 | 21.2 ± 3.6 *** | −43.23% |
| Type of Group | Body Weight at Day 0 (in g) | Body Weight at Day 21 (in g) | Body Weight at Day 35 (in g) | Body Weight at Day 49 (in g) | Body Weight at Day 60 (in g) |
|---|---|---|---|---|---|
| Control group | 33.9 ± 3.6 | 33.15 ± 1.2 | 36.2 ± 2.3 | 36.6 ± 1.6 | 38.9 ± 2.6 c |
| Negative control | 39.4 ± 2.3 | 38.4 ± 6.6 | 37.3 ± 9.3 | 35.6 ± 8.3 | 32.3 ± 6.9 a |
| 100 mg/kg | 35.9 ± 5.9 | 36.7 ± 4.9 | 39.9 ± 6.3 | 31.4 ± 5.6 | 31.2 ± 6.3 a |
| 250 mg/kg | 34.5 ± 2.3 | 35.73 ± 1.6 | 39.9 ± 5.9 | 35.5 ± 3.9 | 32.8 ± 6.9 b |
| 500 mg/kg | 39.2 ± 6.9 | 38.9 ± 3.2 | 39.6 ± 5.9 | 39.9 ± 2.1 | 38.75 ± 6.3 b |
| 500 mg/kg (post-treatment) | 36.9 ± 2.3 | 35.6 ± 1.3 | 35.9 ± 9.3 | 34.2 ± 6.3 | 34.5 ± 4.3 b |
Disclaimer/Publisher’s Note: The statements, opinions and data contained in all publications are solely those of the individual author(s) and contributor(s) and not of MDPI and/or the editor(s). MDPI and/or the editor(s) disclaim responsibility for any injury to people or property resulting from any ideas, methods, instructions or products referred to in the content. |
© 2023 by the authors. Licensee MDPI, Basel, Switzerland. This article is an open access article distributed under the terms and conditions of the Creative Commons Attribution (CC BY) license (https://creativecommons.org/licenses/by/4.0/).
Share and Cite
Kulshrestha, S.; Goel, A.; Siddiqi, N.J.; Fatima, S.; Sharma, B. Cancer-Preventive Activity of Argemone mexicana Linn Leaves and Its Effect on TNF-α and NF-κB Signalling. Cancers 2023, 15, 5654. https://doi.org/10.3390/cancers15235654
Kulshrestha S, Goel A, Siddiqi NJ, Fatima S, Sharma B. Cancer-Preventive Activity of Argemone mexicana Linn Leaves and Its Effect on TNF-α and NF-κB Signalling. Cancers. 2023; 15(23):5654. https://doi.org/10.3390/cancers15235654
Chicago/Turabian StyleKulshrestha, Sunanda, Anjana Goel, Nikhat J. Siddiqi, Sabiha Fatima, and Bechan Sharma. 2023. "Cancer-Preventive Activity of Argemone mexicana Linn Leaves and Its Effect on TNF-α and NF-κB Signalling" Cancers 15, no. 23: 5654. https://doi.org/10.3390/cancers15235654
APA StyleKulshrestha, S., Goel, A., Siddiqi, N. J., Fatima, S., & Sharma, B. (2023). Cancer-Preventive Activity of Argemone mexicana Linn Leaves and Its Effect on TNF-α and NF-κB Signalling. Cancers, 15(23), 5654. https://doi.org/10.3390/cancers15235654

