The Role of Gene Fusions in Thymic Epithelial Tumors
Abstract
:Simple Summary
Abstract
1. Introduction
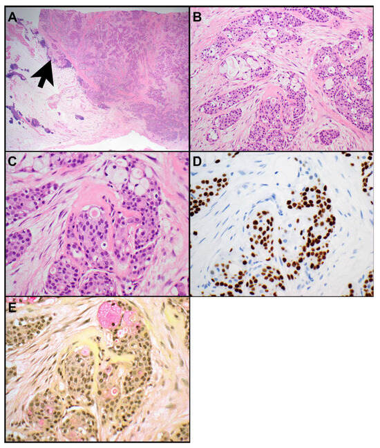
2. MAML2 Rearrangements
3. NUTM1 Rearrangements
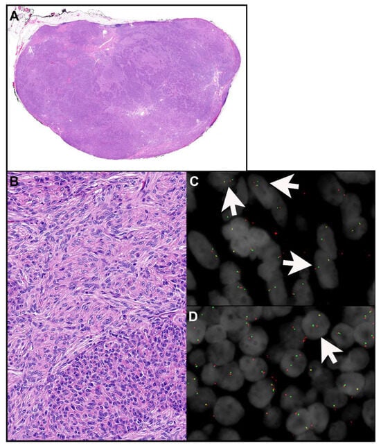
4. EWSR1 Rearrangements
5. NTRK Rearrangements
6. Conclusions
Funding
Conflicts of Interest
References
- Radovich, M.; Pickering, C.R.; Felau, I.; Ha, G.; Zhang, H.; Jo, H.; Hoadley, K.A.; Anur, P.; Zhang, J.; McLellan, M.; et al. The Integrated Genomic Landscape of Thymic Epithelial Tumors. Cancer Cell 2018, 33, 244–258.e210. [Google Scholar] [CrossRef]
- Murase, T.; Nakano, S.; Sakane, T.; Domen, H.; Chiyo, M.; Nagasaka, S.; Tanaka, M.; Kawahara, Y.; Toishi, M.; Tanaka, T.; et al. Thymic Mucoepidermoid Carcinoma: A Clinicopathologic and Molecular Study. Am. J. Surg. Pathol. 2022, 46, 1160–1169. [Google Scholar] [CrossRef] [PubMed]
- Roden, A.C.; Erickson-Johnson, M.R.; Yi, E.S.; Garcia, J.J. Analysis of MAML2 rearrangement in mucoepidermoid carcinoma of the thymus. Human Pathol. 2013, 44, 2799–2805. [Google Scholar] [CrossRef] [PubMed]
- Prieto-Granada, C.N.; Inagaki, H.; Mueller, J. Thymic Mucoepidermoid Carcinoma: Report of a Case With CTRC1/3-MALM2 Molecular Studies. Int. J. Surg. Pathol. 2015, 23, 277–283. [Google Scholar] [CrossRef] [PubMed]
- Vivero, M.; Davineni, P.; Nardi, V.; Chan, J.K.C.; Sholl, L.M. Metaplastic thymoma: A distinctive thymic neoplasm characterized by YAP1-MAML2 gene fusions. Mod. Pathol. 2020, 33, 560–565. [Google Scholar] [CrossRef]
- Zhao, J.; Zhao, R.; Xiang, C.; Shao, J.; Guo, L.; Han, Y. YAP1-MAML2 Fusion as a Diagnostic Biomarker for Metaplastic Thymoma. Front. Oncol. 2021, 11, 692283. [Google Scholar] [CrossRef]
- Wang, X.; Liu, L.L.; Li, Q.; Xia, Q.Y.; Li, R.; Ye, S.B.; Zhang, R.S.; Fang, R.; Chen, H.; Wu, N.; et al. Loss of YAP1 C-terminus expression as an ancillary marker for metaplastic thymoma: A potential pitfall in detecting YAP1::MAML2 gene rearrangement. Histopathology 2023, 83, 798–809. [Google Scholar] [CrossRef]
- Wang, M.; Xu, H.; Han, Q.; Wang, L. Significance of YAP1-MAML2 rearrangement and GTF2I mutation in the diagnosis and differential diagnosis of metaplastic thymoma. Ann. Med. 2023, 55, 2237040. [Google Scholar] [CrossRef]
- Massoth, L.R.; Hung, Y.P.; Dias-Santagata, D.; Onozato, M.; Shah, N.; Severson, E.; Duncan, D.; Gillespie, B.J.; Williams, N.F.; Ross, J.S.; et al. Pan-Cancer Landscape Analysis Reveals Recurrent KMT2A-MAML2 Gene Fusion in Aggressive Histologic Subtypes of Thymoma. JCO Precis. Oncol. 2020, 4, 109–115. [Google Scholar] [CrossRef]
- Porubsky, S.; Rudolph, B.; Ruckert, J.C.; Kuffer, S.; Strobel, P.; Roden, A.C.; Jain, D.; Tousseyn, T.; Van Veer, H.; Huang, J.; et al. EWSR1 translocation in primary hyalinising clear cell carcinoma of the thymus. Histopathology 2019, 75, 431–436. [Google Scholar] [CrossRef]
- Zhai, C.; Yuan, C.; Sun, J.; Song, W.; Wang, S.; Lin, L. Clinical and Histopathologic Analyses of Nasopharyngeal Hyalinizing Clear Cell Carcinoma: A Series of 26 Cases With Molecular Confirmation. Am. J. Surg. Pathol. 2023, 47, 1168–1175. [Google Scholar] [CrossRef] [PubMed]
- Zhao, Y.N.; Wang, X.; Liang, F.H.; Zhang, W.J.; Song, X.T. Hyalinizing clear cell carcinoma of salivary glands: A retrospective study focused on uncommon morphology, immunohistochemistry, and detection of gene fusion using fluorescence in situ hybridization. Pathol. Res. Pract. 2018, 214, 380–384. [Google Scholar] [CrossRef] [PubMed]
- Thakur, S.; Nambirajan, A.; Larsen, B.T.; Butt, Y.M.; Roden, A.C.; Kumar, S.; Jain, D. Primary Pulmonary Hyalinizing Clear Cell Carcinoma: Case Series With Review of Literature. Int. J. Surg. Pathol. 2022, 31, 1187–1194. [Google Scholar] [CrossRef] [PubMed]
- Takamatsu, M.; Sato, Y.; Muto, M.; Nagano, H.; Ninomiya, H.; Sakakibara, R.; Baba, S.; Sakata, S.; Takeuchi, K.; Okumura, S.; et al. Hyalinizing clear cell carcinoma of the bronchial glands: Presentation of three cases and pathological comparisons with salivary gland counterparts and bronchial mucoepidermoid carcinomas. Mod. Pathol. 2018, 31, 923–933. [Google Scholar] [CrossRef] [PubMed]
- Garcia, J.J.; Jin, L.; Jackson, S.B.; Larsen, B.T.; Lewis, J.E.; Sukov, W.R.; Roden, A.C. Primary pulmonary hyalinizing clear cell carcinoma of bronchial submucosal gland origin. Human Pathol. 2015, 46, 471–475. [Google Scholar] [CrossRef] [PubMed]
- French, C.A.; Kutok, J.L.; Faquin, W.C.; Toretsky, J.A.; Antonescu, C.R.; Griffin, C.A.; Nose, V.; Vargas, S.O.; Moschovi, M.; Tzortzatou-Stathopoulou, F.; et al. Midline carcinoma of children and young adults with NUT rearrangement. J. Clin. Oncol. 2004, 22, 4135–4139. [Google Scholar] [CrossRef]
- French, C.A.; Miyoshi, I.; Kubonishi, I.; Grier, H.E.; Perez-Atayde, A.R.; Fletcher, J.A. BRD4-NUT fusion oncogene: A novel mechanism in aggressive carcinoma. Cancer Res. 2003, 63, 304–307. [Google Scholar]
- Salame, H.; McKey, R.; Ballout, M.; Saad, W. The First Reported Case of Neurotrophic Tyrosine Receptor Kinase Fusion-Positive Thymoma Treated Successfully With Entrectinib. Cureus 2021, 13, e20588. [Google Scholar] [CrossRef]
- Li, X.; Li, M.; Shi, T.; Liu, R.; Ren, D.; Yang, F.; Wei, S.; Chen, G.; Chen, J.; Xu, S. Clinical implication of MEN1 mutation in surgically resected thymic carcinoid patients. J. Thorac. Dis. 2018, 10, E125–E129. [Google Scholar] [CrossRef]
- WHO Classification of Tumours Editorial Board. Thoracic tumours [Internet]. Lyon (France): International Agency for Research on Cancer; 2021 (WHO classification of tumours series, 5th ed.; vol. 5). Available online: https://tumourclassification.iarc.who.int/chapters/35 (accessed on 22 October 2023).
- Hamza, A.; Younes, A.I.; Kalhor, N. Thymic Mucoepidermoid Carcinoma: A Systematic Review and Meta-analysis. Adv. Anat. Pathol. 2019, 26, 341–345. [Google Scholar] [CrossRef]
- Nakayama, T.; Miyabe, S.; Okabe, M.; Sakuma, H.; Ijichi, K.; Hasegawa, Y.; Nagatsuka, H.; Shimozato, K.; Inagaki, H. Clinicopathological significance of the CRTC3-MAML2 fusion transcript in mucoepidermoid carcinoma. Mod. Pathol. 2009, 22, 1575–1581. [Google Scholar] [CrossRef] [PubMed]
- Moller, E.; Stenman, G.; Mandahl, N.; Hamberg, H.; Molne, L.; van den Oord, J.J.; Brosjo, O.; Mertens, F.; Panagopoulos, I. POU5F1, encoding a key regulator of stem cell pluripotency, is fused to EWSR1 in hidradenoma of the skin and mucoepidermoid carcinoma of the salivary glands. J. Pathol. 2008, 215, 78–86. [Google Scholar] [CrossRef] [PubMed]
- Bhora, F.Y.; Chen, D.J.; Detterbeck, F.C.; Asamura, H.; Falkson, C.; Filosso, P.L.; Giaccone, G.; Huang, J.; Kim, J.; Kondo, K.; et al. The ITMIG/IASLC Thymic Epithelial Tumors Staging Project: A Proposed Lymph Node Map for Thymic Epithelial Tumors in the Forthcoming 8th Edition of the TNM Classification of Malignant Tumors. J. Thorac. Oncol. 2014, 9, S88–S96. [Google Scholar] [CrossRef] [PubMed]
- Liu, B.; Rao, Q.; Zhu, Y.; Yu, B.; Zhu, H.Y.; Zhou, X.J. Metaplastic thymoma of the mediastinum. A clinicopathologic, immunohistochemical, and genetic analysis. Am. J. Clin. Pathol. 2012, 137, 261–269. [Google Scholar] [CrossRef]
- Yoneda, S.; Marx, A.; Muller-Hermelink, H.K. Low-grade metaplastic carcinomas of the thymus: Biphasic thymic epithelial tumors with mesenchymal metaplasia--an update. Pathol. Res. Pract. 1999, 195, 555–563. [Google Scholar] [CrossRef]
- Piao, Z.H.; Chen, J.P.; Chen, H.R.; Zhou, X.C. Malignant Transformation of Metaplastic Thymoma into High-Grade Sarcomatoid Carcinoma: A Case Report. Int. J. Surg. Pathol. 2022, 30, 564–568. [Google Scholar] [CrossRef]
- Moritani, S.; Ichihara, S.; Mukai, K.; Seki, Y.; Inoue, S.; Yasuda, A.; Hakiri, S.; Yatabe, Y.; Eimoto, T. Sarcomatoid carcinoma of the thymus arising in metaplastic thymoma. Histopathology 2008, 52, 409–411. [Google Scholar] [CrossRef]
- Petrini, I.; Meltzer, P.S.; Kim, I.K.; Lucchi, M.; Park, K.S.; Fontanini, G.; Gao, J.; Zucali, P.A.; Calabrese, F.; Favaretto, A.; et al. A specific missense mutation in GTF2I occurs at high frequency in thymic epithelial tumors. Nat. Genet 2014, 46, 844–849. [Google Scholar] [CrossRef]
- Feng, Y.; Lei, Y.; Wu, X.; Huang, Y.; Rao, H.; Zhang, Y.; Wang, F. GTF2I mutation frequently occurs in more indolent thymic epithelial tumors and predicts better prognosis. Lung Cancer 2017, 110, 48–52. [Google Scholar] [CrossRef]
- Kim, E.E.; Suh, Y.Y.; Lee, S.W.; Bae, J.M.; Lee, K.; Lee, S.; Yun, H.; Jung, K.C.; Koh, J. Expanding the Clinicopathologic Spectrum of YAP1::MAML2-Rearranged Thymic Neoplasm. Mod. Pathol. 2023, 36, 100048. [Google Scholar] [CrossRef]
- Lee, H.S.; Jang, H.J.; Shah, R.; Yoon, D.; Hamaji, M.; Wald, O.; Lee, J.S.; Sugarbaker, D.J.; Burt, B.M. Genomic Analysis of Thymic Epithelial Tumors Identifies Novel Subtypes Associated with Distinct Clinical Features. Clin. Cancer Res. 2017, 23, 4855–4864. [Google Scholar] [CrossRef] [PubMed]
- Zheng, Y.W.; Bai, L.L.; Jiang, G.Y.; Lin, X.Y.; Liu, Y.; Xu, H.T. Thymic adenocarcinoma accompanied by type A thymoma and pulmonary minimally invasive adenocarcinoma and harboring distinct gene alterations: A case report. Medicine 2021, 100, e25254. [Google Scholar] [CrossRef] [PubMed]
- Chen, Z.; Ni, W.; Li, J.L.; Lin, S.; Zhou, X.; Sun, Y.; Li, J.W.; Leon, M.E.; Hurtado, M.D.; Zolotukhin, S.; et al. The CRTC1-MAML2 fusion is the major oncogenic driver in mucoepidermoid carcinoma. JCI Insight 2021, 6, 139497. [Google Scholar] [CrossRef] [PubMed]
- Charlab, R.; Racz, R. The expanding universe of NUTM1 fusions in pediatric cancer. Clin. Transl. Sci. 2023, 16, 1331–1339. [Google Scholar] [CrossRef] [PubMed]
- French, C.A. Pathogenesis of NUT midline carcinoma. Annu. Rev. Pathol. 2012, 7, 247–265. [Google Scholar] [CrossRef]
- Kakkar, A.; Antony, V.M.; Irugu, D.V.K.; Adhikari, N.; Jain, D. NUT Midline Carcinoma: A Series of Five Cases, Including One with Unusual Clinical Course. Head Neck Pathol. 2018, 12, 230–236. [Google Scholar] [CrossRef]
- Haack, H.; Johnson, L.A.; Fry, C.J.; Crosby, K.; Polakiewicz, R.D.; Stelow, E.B.; Hong, S.M.; Schwartz, B.E.; Cameron, M.J.; Rubin, M.A.; et al. Diagnosis of NUT midline carcinoma using a NUT-specific monoclonal antibody. Am. J. Surg. Pathol. 2009, 33, 984–991. [Google Scholar] [CrossRef]
- Matsuda, K.; Kashima, J.; Yatabe, Y. The Isoform Matters in NUT Carcinoma: A Diagnostic Pitfall of p40 Immunohistochemistry. J. Thorac. Oncol. 2020, 15, e176–e178. [Google Scholar] [CrossRef]
- Pezzuto, F.; Fortarezza, F.; Mammana, M.; Pasello, G.; Pelosi, G.; Rea, F.; Calabrese, F. Immunohistochemical neuroendocrine marker expression in primary pulmonary NUT carcinoma: A diagnostic pitfall. Histopathology 2020, 77, 508–510. [Google Scholar] [CrossRef]
- Evans, A.G.; French, C.A.; Cameron, M.J.; Fletcher, C.D.; Jackman, D.M.; Lathan, C.S.; Sholl, L.M. Pathologic characteristics of NUT midline carcinoma arising in the mediastinum. Am. J. Surg. Pathol. 2012, 36, 1222–1227. [Google Scholar] [CrossRef]
- Bishop, J.A.; Westra, W.H. NUT midline carcinomas of the sinonasal tract. Am. J. Surg. Pathol. 2012, 36, 1216–1221. [Google Scholar] [CrossRef] [PubMed]
- Stevens, T.M.; Morlote, D.; Xiu, J.; Swensen, J.; Brandwein-Weber, M.; Miettinen, M.M.; Gatalica, Z.; Bridge, J.A. NUTM1-rearranged neoplasia: A multi-institution experience yields novel fusion partners and expands the histologic spectrum. Mod. Pathol. 2019, 32, 764–773. [Google Scholar] [CrossRef] [PubMed]
- Agaimy, A.; Haller, F.; Renner, A.; Niedermeyer, J.; Hartmann, A.; French, C.A. Misleading Germ Cell Phenotype in Pulmonary NUT Carcinoma Harboring the ZNF532-NUTM1 Fusion. Am. J. Surg. Pathol. 2022, 46, 281–288. [Google Scholar] [CrossRef] [PubMed]
- Chau, N.G.; Ma, C.; Danga, K.; Al-Sayegh, H.; Nardi, V.; Barrette, R.; Lathan, C.S.; DuBois, S.G.; Haddad, R.I.; Shapiro, G.I.; et al. An Anatomical Site and Genetic-Based Prognostic Model for Patients With Nuclear Protein in Testis (NUT) Midline Carcinoma: Analysis of 124 Patients. JNCI Cancer Spectr. 2020, 4, pkz094. [Google Scholar] [CrossRef] [PubMed]
- French, C.A.; Ramirez, C.L.; Kolmakova, J.; Hickman, T.T.; Cameron, M.J.; Thyne, M.E.; Kutok, J.L.; Toretsky, J.A.; Tadavarthy, A.K.; Kees, U.R.; et al. BRD-NUT oncoproteins: A family of closely related nuclear proteins that block epithelial differentiation and maintain the growth of carcinoma cells. Oncogene 2008, 27, 2237–2242. [Google Scholar] [CrossRef] [PubMed]
- Rousseaux, S.; Reynoird, N.; Khochbin, S. NUT Is a Driver of p300-Mediated Histone Hyperacetylation: From Spermatogenesis to Cancer. Cancers 2022, 14, 2234. [Google Scholar] [CrossRef] [PubMed]
- Kubonishi, I.; Takehara, N.; Iwata, J.; Sonobe, H.; Ohtsuki, Y.; Abe, T.; Miyoshi, I. Novel t(15;19)(q15;p13) chromosome abnormality in a thymic carcinoma. Cancer Res. 1991, 51, 3327–3328. [Google Scholar]
- Virarkar, M.; Mallery, M.; Saleh, M.; Ramani, N.S.; Morani, A.C.; Bhosale, P. Clinical, Radiographic, Pathologic Characterization and Survival Outcomes of Nuclear Protein of the Testis Carcinoma. J. Comput. Assist. Tomogr. 2021, 45, 431–441. [Google Scholar] [CrossRef]
- Bauer, D.E.; Mitchell, C.M.; Strait, K.M.; Lathan, C.S.; Stelow, E.B.; Luer, S.C.; Muhammed, S.; Evans, A.G.; Sholl, L.M.; Rosai, J.; et al. Clinicopathologic features and long-term outcomes of NUT midline carcinoma. Clin. Canc. Res. 2012, 18, 5773–5779. [Google Scholar] [CrossRef]
- Chau, N.G.; Mitchell, C.M.; Aserlind, A.; Grunfeld, N.; Kaplan, L.; Bauer, D.E.; Lathan, C.S.; Rodriguez-Galindo, C.; Hurwitz, S.; Tishler, R.B.; et al. Aggressive treatment and survival outcomes in NUT midline carcinoma (NMC) of the head and neck (HN). J. Clin. Oncol. 2014, 32, 5s. [Google Scholar] [CrossRef]
- Lemelle, L.; Flaadt, T.; Fresneau, B.; Moya-Plana, A.; Timmermann, B.; Roganovic, J.; Ferrari, A.; Fichera, G.; Lauer, U.M.; Ben-Ami, T.; et al. NUT Carcinoma in Children and Adolescents: The Expert European Standard Clinical Practice Harmonized Recommendations. J. Pediatr. Hematol. Oncol. 2023, 45, 165–173. [Google Scholar] [CrossRef]
- Available online: https://clinicaltrials.gov/ (accessed on 16 September 2023).
- Kao, C.S.; Badve, S.S.; Ulbright, T.M. The utility of immunostaining for NUT, GAGE7 and NY-ESO-1 in the diagnosis of spermatocytic seminoma. Histopathology 2014, 65, 35–44. [Google Scholar] [CrossRef]
- Le Loarer, F.; Pissaloux, D.; Watson, S.; Godfraind, C.; Galmiche-Rolland, L.; Silva, K.; Mayeur, L.; Italiano, A.; Michot, A.; Pierron, G.; et al. Clinicopathologic Features of CIC-NUTM1 Sarcomas, a New Molecular Variant of the Family of CIC-Fused Sarcomas. Am. J. Surg. Pathol. 2019, 43, 268–276. [Google Scholar] [CrossRef]
- Yang, X.H.; Liu, L.; Shi, Y.Y.; Hu, Y.J.; Hu, Q.G.; Zhang, P. Hyalinizing clear cell carcinoma of salivary gland origin in the head and neck: Clinical and histopathological analysis. Int. J. Oral. Maxillofac. Surg. 2018, 47, 692–698. [Google Scholar] [CrossRef]
- Hernandez-Prera, J.C.; Kwan, R.; Tripodi, J.; Chiosea, S.; Cordon-Cardo, C.; Najfeld, V.; Demicco, E.G. Reappraising hyalinizing clear cell carcinoma: A population-based study with molecular confirmation. Head Neck 2017, 39, 503–511. [Google Scholar] [CrossRef]
- Shah, A.A.; LeGallo, R.D.; van Zante, A.; Frierson, H.F., Jr.; Mills, S.E.; Berean, K.W.; Mentrikoski, M.J.; Stelow, E.B. EWSR1 genetic rearrangements in salivary gland tumors: A specific and very common feature of hyalinizing clear cell carcinoma. Am. J. Surg. Pathol. 2013, 37, 571–578. [Google Scholar] [CrossRef]
- Zhang, Y.; Han, W.; Zhou, J.; Yong, X. Primary lung hyalinizing clear cell carcinoma: A diagnostic challenge in biopsy. Diagn Pathol. 2022, 17, 35. [Google Scholar] [CrossRef]
- Li, Z.; Li, W.; Xue, L. Primary pulmonary hyalinizing clear cell carcinoma with vocal-cord squamous cell carcinoma: A case report with systematic review. Diagn Pathol. 2023, 18, 90. [Google Scholar] [CrossRef]
- Grosjean, V.; Fournel, P.; Picot, T.; Tiffet, O.; Forest, F. Hyalinizing clear cell carcinoma of the lung with EWSR1::CREM fusion. Histopathology 2023, 83, 333–335. [Google Scholar] [CrossRef]
- Wang, H.; Li, W.Y.; Kuo, Y.J.; Yeh, Y.C.; Hsieh, M.S. Primary pulmonary hyalinising clear cell carcinoma with mucin production and delayed metastases after 16 years. Pathology 2016, 48, 518–521. [Google Scholar] [CrossRef]
- Komatsu, M.; Sakai, Y.; Nishikubo, M.; Tane, S.; Nishio, W.; Kajimoto, K.; Hirose, T. EWSR1-CREM fusion in pulmonary mesenchymal neoplasm showing distinctive clear cell morphology. Pathol. Int. 2020, 70, 1020–1026. [Google Scholar] [CrossRef]
- Chapman, E.; Skalova, A.; Ptakova, N.; Martinek, P.; Goytain, A.; Tucker, T.; Xiong, W.; Leader, M.; Kudlow, B.A.; Haimes, J.D.; et al. Molecular Profiling of Hyalinizing Clear Cell Carcinomas Revealed a Subset of Tumors Harboring a Novel EWSR1-CREM Fusion: Report of 3 Cases. Am. J. Surg. Pathol. 2018, 42, 1182–1189. [Google Scholar] [CrossRef]
- Wu, Y.L.; Wu, F.; Cao, M.F.; Lan, Y.; Du, M.S.; Yu, S.T.; Wang, Y.; Yan, X.C.; Bian, X.W.; Duan, G.J. Primary pulmonary hyalinizing clear cell carcinoma with fusions of both EWSR1::CREM and IRF2::NTRK3: Report of a case with an aggressive behavior. Front. Oncol. 2023, 13, 1175279. [Google Scholar] [CrossRef]
- Doebele, R.C.; Drilon, A.; Paz-Ares, L.; Siena, S.; Shaw, A.T.; Farago, A.F.; Blakely, C.M.; Seto, T.; Cho, B.C.; Tosi, D.; et al. Entrectinib in patients with advanced or metastatic NTRK fusion-positive solid tumours: Integrated analysis of three phase 1-2 trials. Lancet Oncol. 2020, 21, 271–282. [Google Scholar] [CrossRef]
- Osman, H.M.; Tuncbilek, M. Entrectinib: A New Selective Tyrosine Kinase Inhibitor Approved for the Treatment of Pediatric and Adult Patients with NTRK Fusionpositive, Recurrent or Advanced Solid Tumors. Curr. Med. Chem. 2022, 29, 2602–2616. [Google Scholar] [CrossRef]




| Gene | Gene Fusion | Thymic Epithelial Tumor (Frequency of Gene Fusion in %) | Morphologic Features | Other Diagnostic Features |
|---|---|---|---|---|
| MAML2 | MAML2::CRTC1 | Mucoepidermoid carcinoma (50–56) | Triad of squamoid, intermediate, mucus cells | IHC: P63, p40 highlight squamoid and intermediate cells Histochemistry: Mucicarmine highlights cytoplasmic mucin |
| YAP1::MAML2 | Metaplastic thymoma (77–100) | Biphasic with component of bland ovoid epithelial cells and paler spindle cells with ample cytoplasm | IHC: Keratin AE1/AE3 highlights epithelial component and possibly spindle cell component. P40 highlights epithelial component only. | |
| MAML2::KMT2A | Type B2 and B3 thymoma (6) | Type B2 thymoma: Mixture of polygonal neoplastic cells and thymocytes Type B3 thymoma: Predominance of polygonal neoplastic cells with or without a few scattered thymocytes | IHC: Keratin AE1/AE3, p40 highlight neoplastic cells, TdT marks thymocytes in type B2 thymoma and, if present, in type B3 thymoma | |
| NUTM1 | BRD4::NUTM1 Other fusion partners: BRD3, NSD3, CHRM5, ZNF532, ZNF592 | NUT carcinoma (70–78, BRD4::NUTM1) | Monotonous small-to-medium-sized epithelioid cells with high nuclear-to-cytoplasmic ratio and prominent nucleoli. Abrupt squamous differentiation in subset of cases. Necrosis and high mitotic activity. | IHC: NUT shows speckled nuclear expression; p40, p63, keratin 5 or 5/6 commonly expressed |
| EWSR1 | EWSR1::ATF1 | Hyalinizing clear cell carcinoma (1 case reported) | IHC: p40, p63 | |
| NTRK3 | EIF4B::NTRK3 | Thymoma (1 case reported) | See above under thymoma |
Disclaimer/Publisher’s Note: The statements, opinions and data contained in all publications are solely those of the individual author(s) and contributor(s) and not of MDPI and/or the editor(s). MDPI and/or the editor(s) disclaim responsibility for any injury to people or property resulting from any ideas, methods, instructions or products referred to in the content. |
© 2023 by the author. Licensee MDPI, Basel, Switzerland. This article is an open access article distributed under the terms and conditions of the Creative Commons Attribution (CC BY) license (https://creativecommons.org/licenses/by/4.0/).
Share and Cite
Roden, A.C. The Role of Gene Fusions in Thymic Epithelial Tumors. Cancers 2023, 15, 5596. https://doi.org/10.3390/cancers15235596
Roden AC. The Role of Gene Fusions in Thymic Epithelial Tumors. Cancers. 2023; 15(23):5596. https://doi.org/10.3390/cancers15235596
Chicago/Turabian StyleRoden, Anja C. 2023. "The Role of Gene Fusions in Thymic Epithelial Tumors" Cancers 15, no. 23: 5596. https://doi.org/10.3390/cancers15235596
APA StyleRoden, A. C. (2023). The Role of Gene Fusions in Thymic Epithelial Tumors. Cancers, 15(23), 5596. https://doi.org/10.3390/cancers15235596
