Correlation Analysis on Anatomical Variants of Accessory Foramina in the Sphenoid Bone for Oncological Surgery
Abstract
:Simple Summary
Abstract
1. Introduction
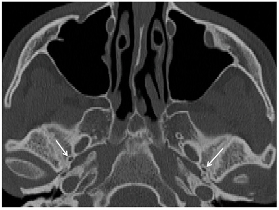
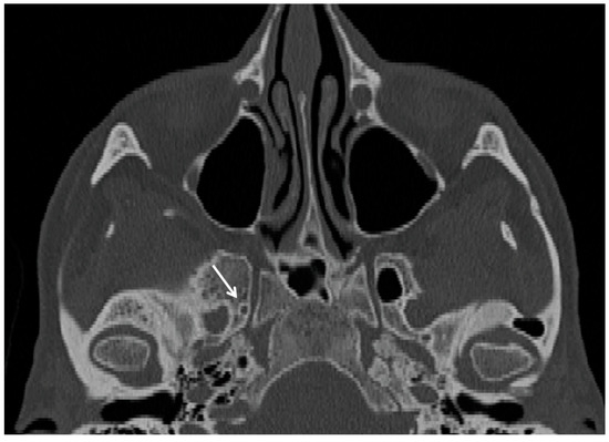
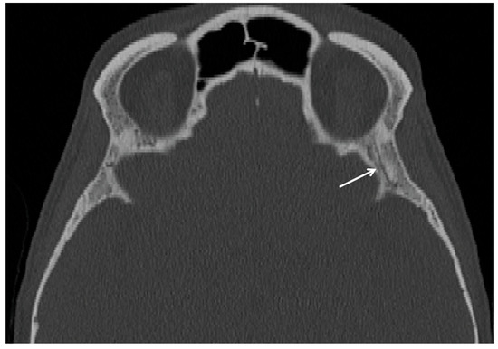
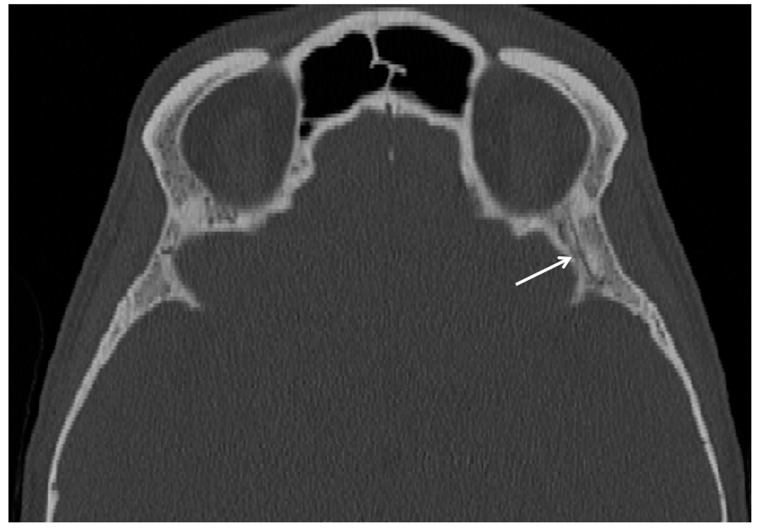
2. Materials and Methods
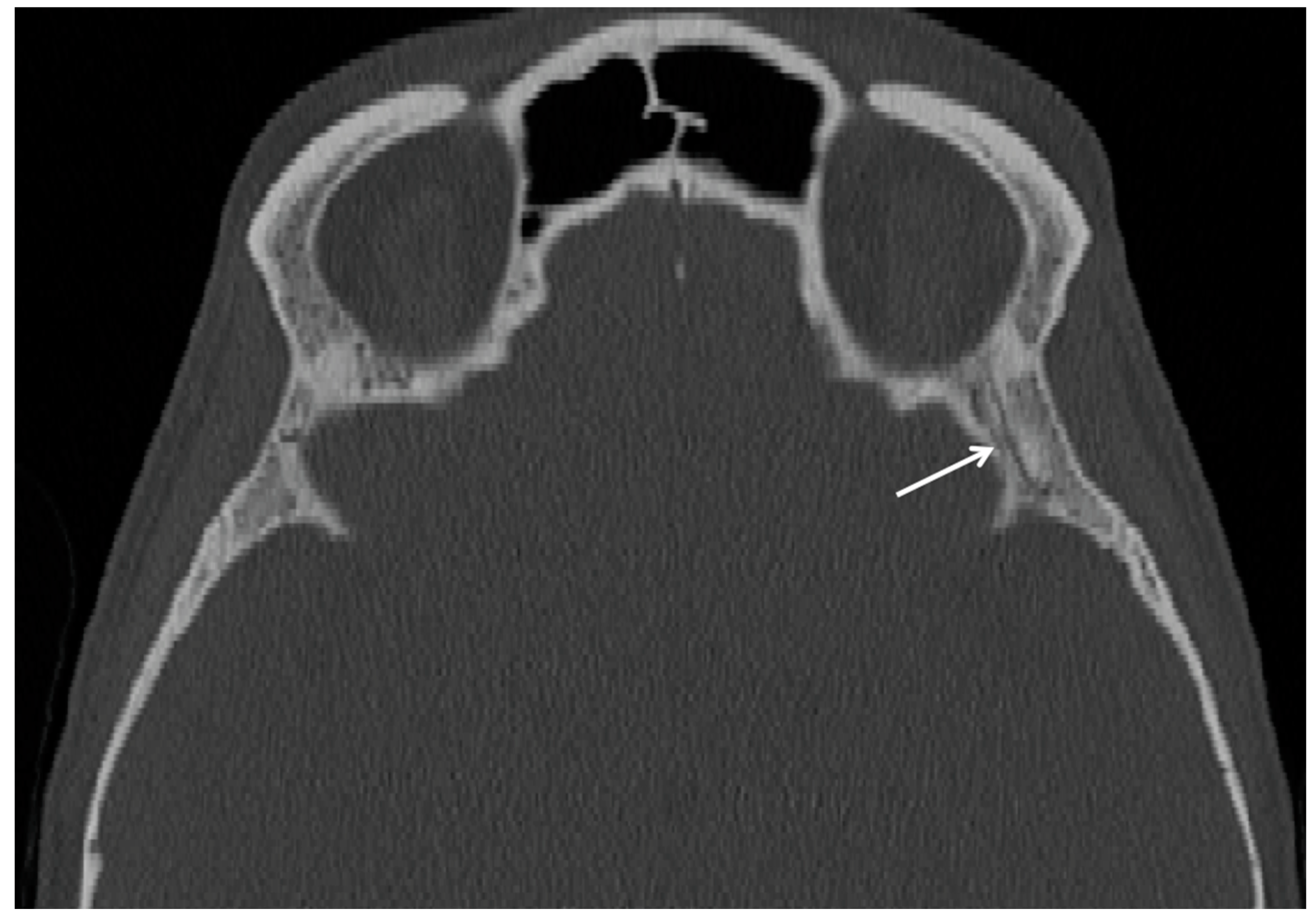
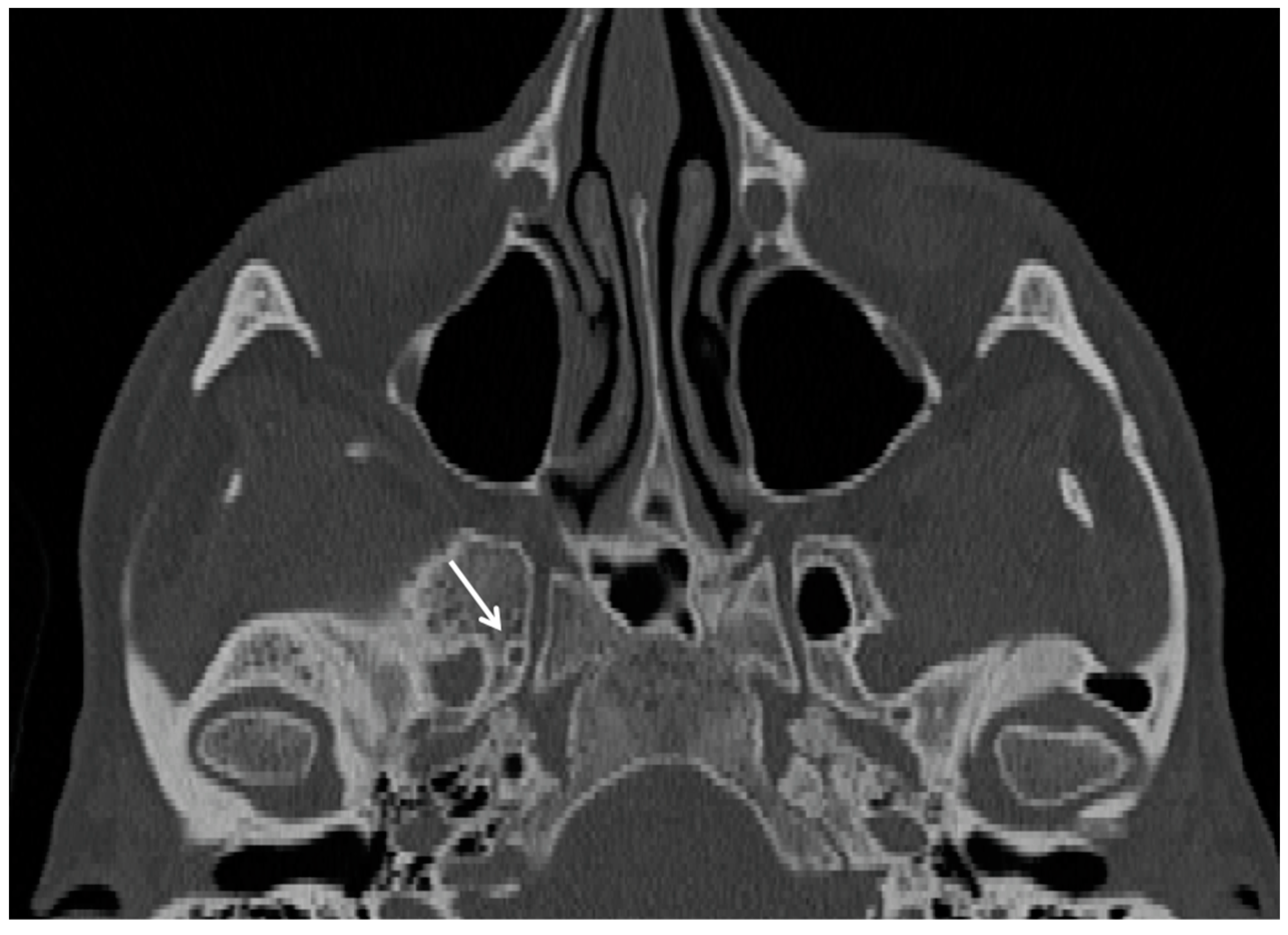
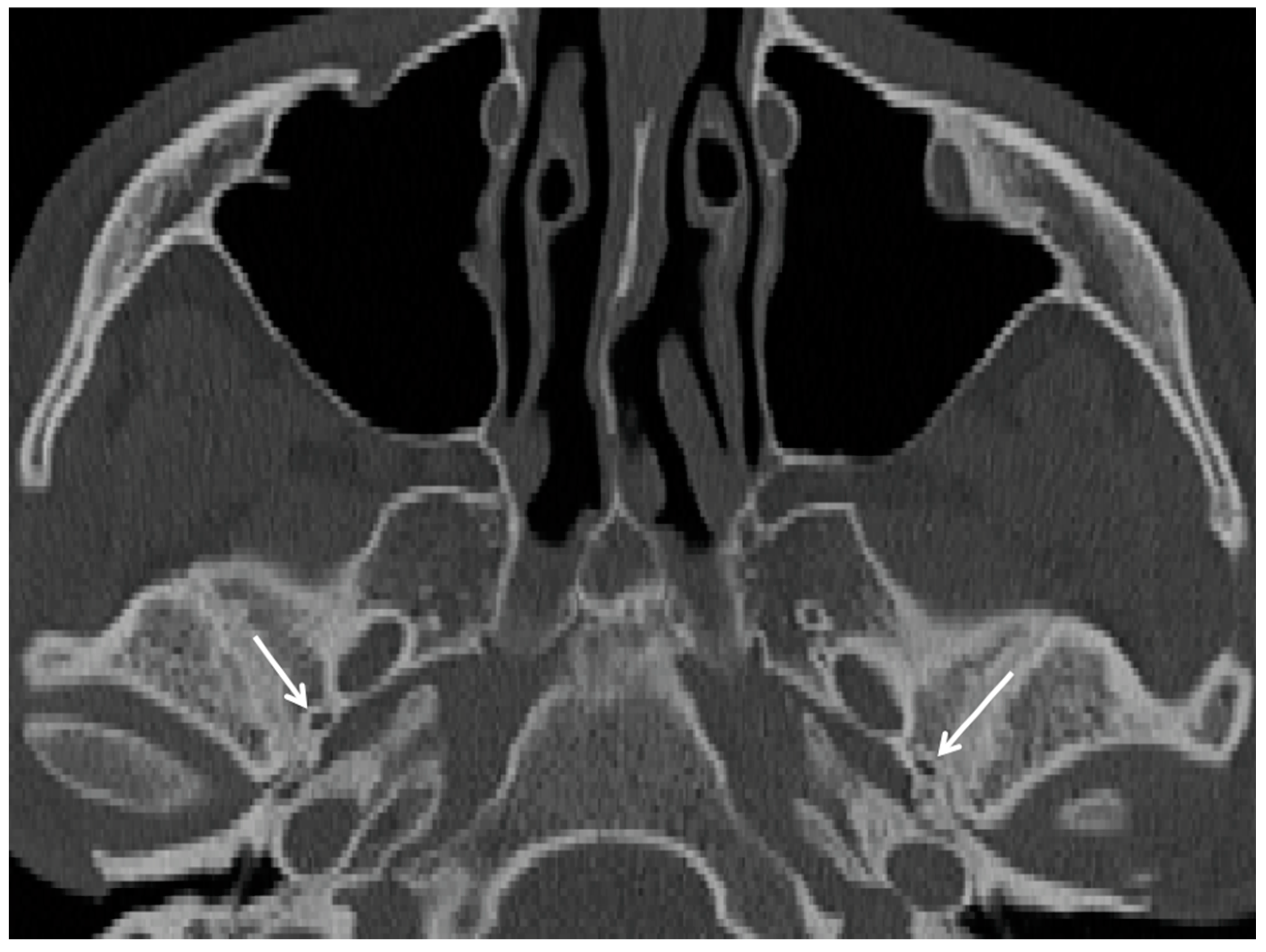
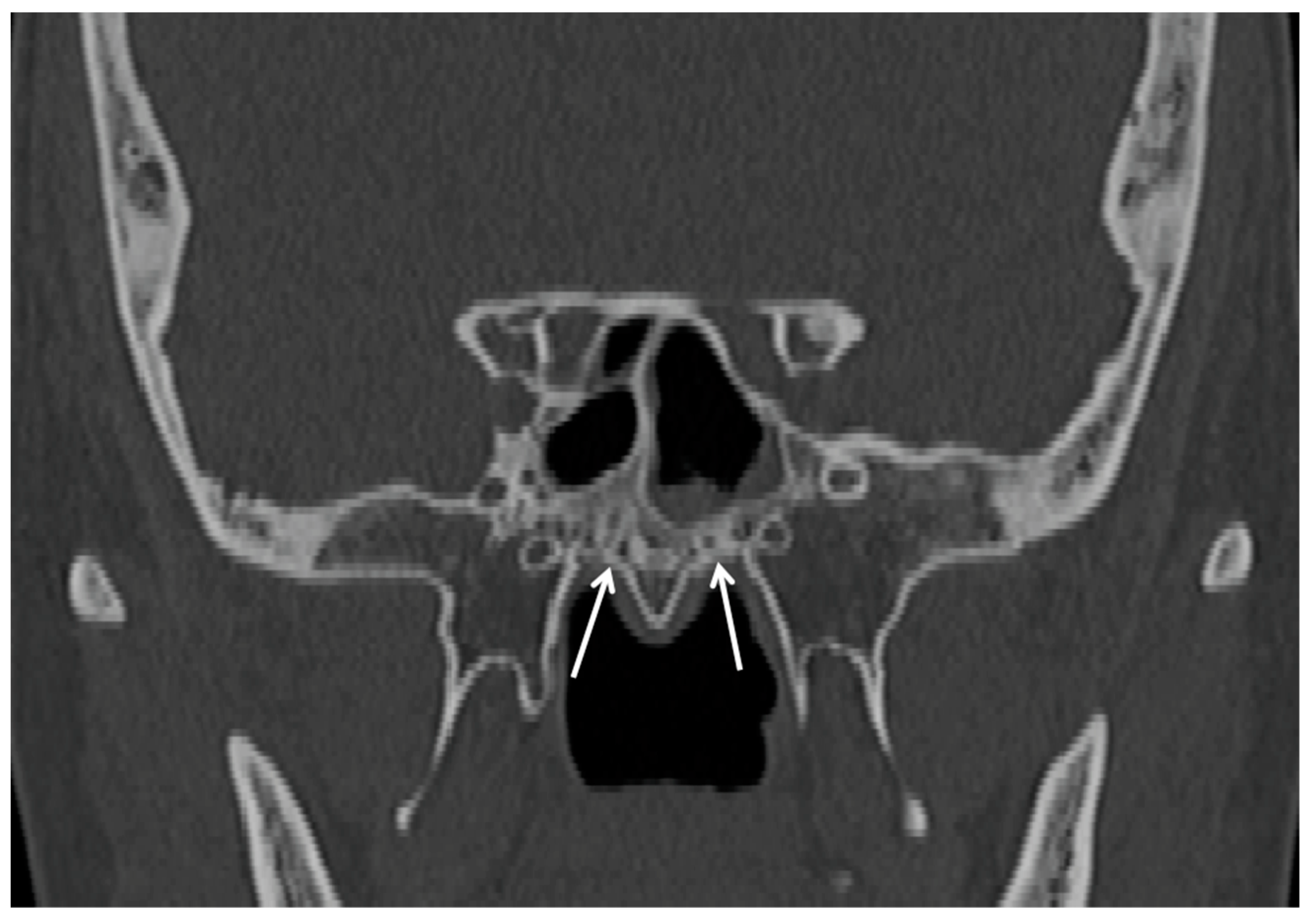
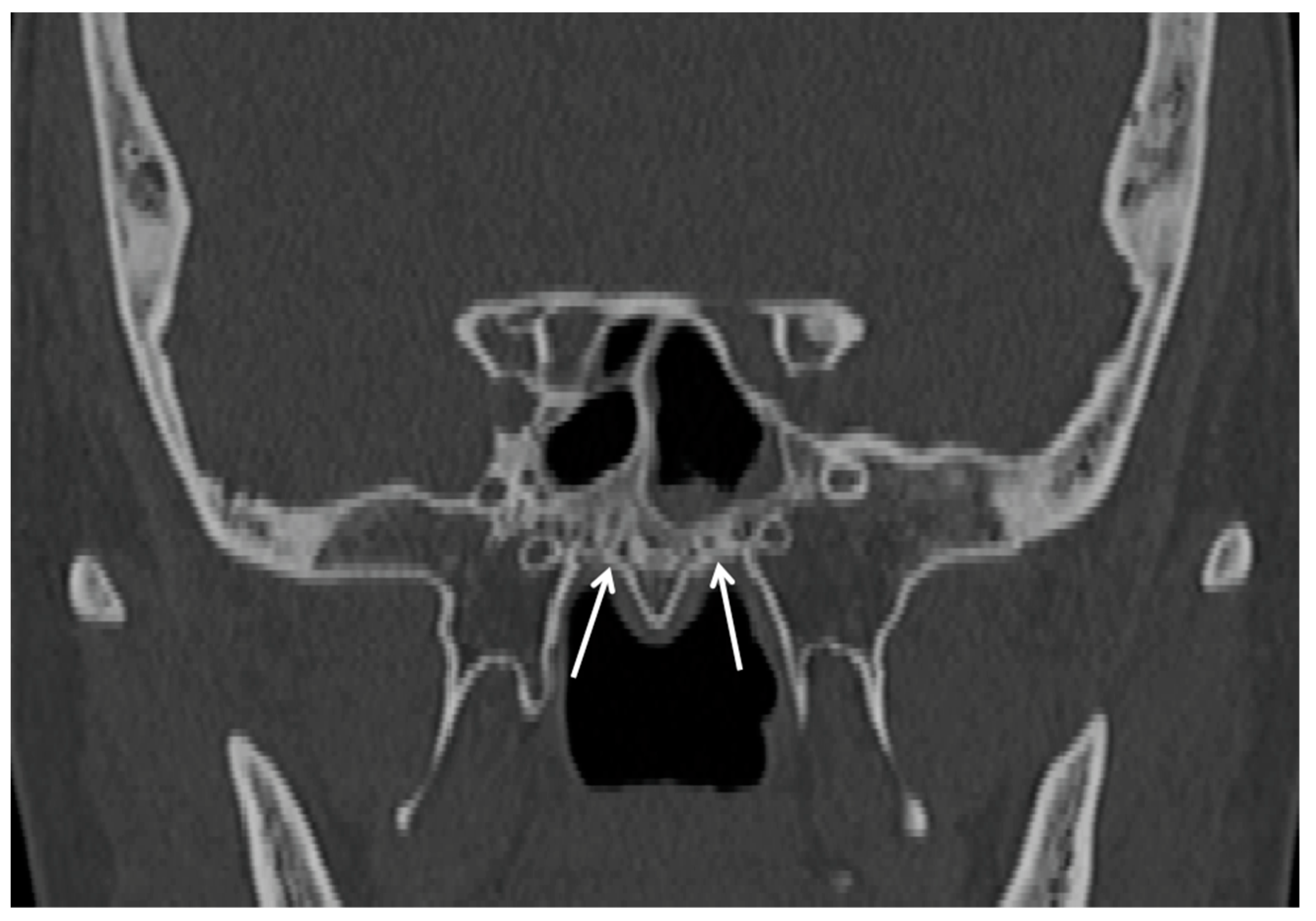
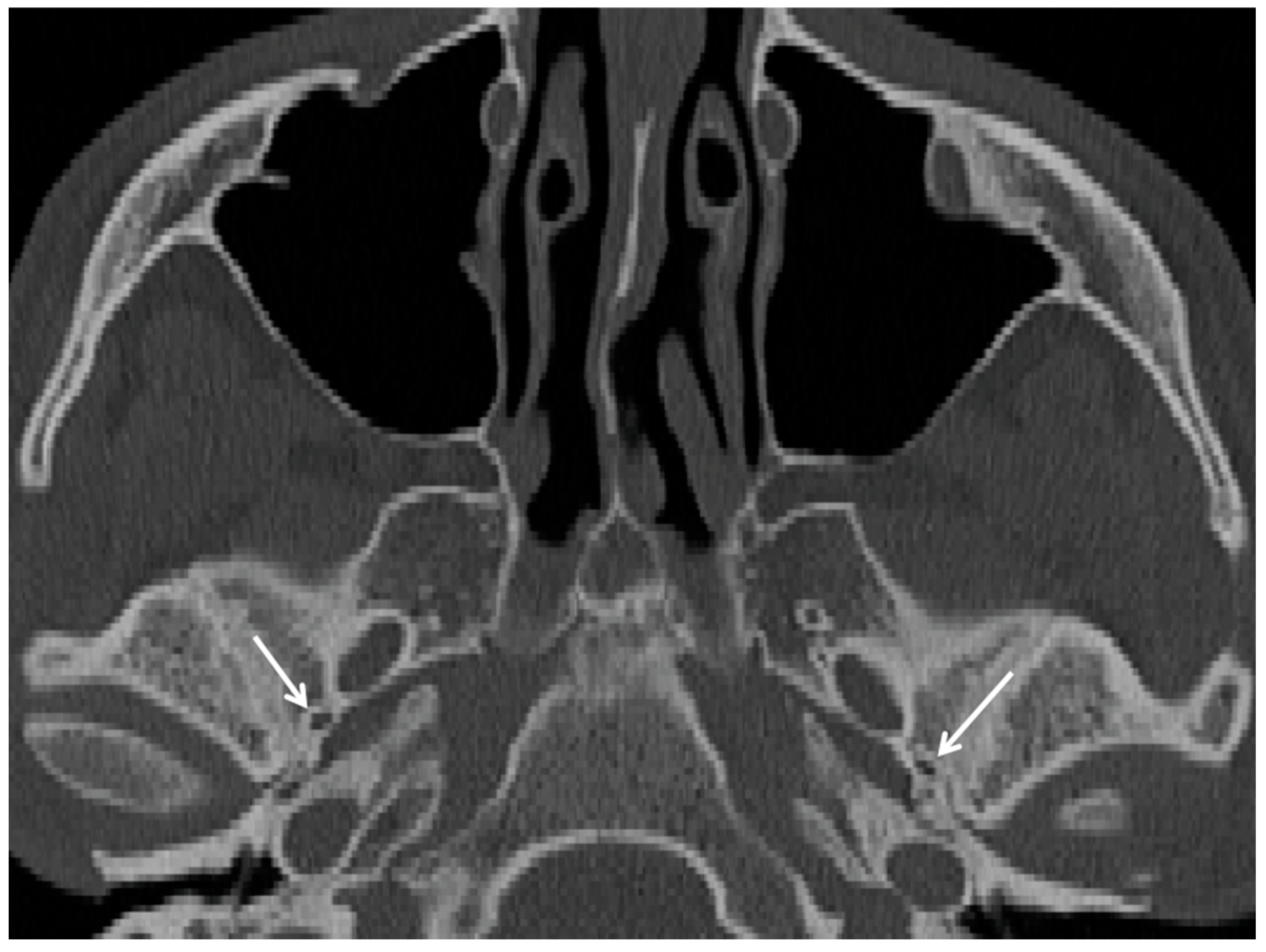
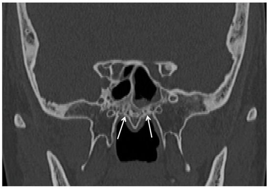
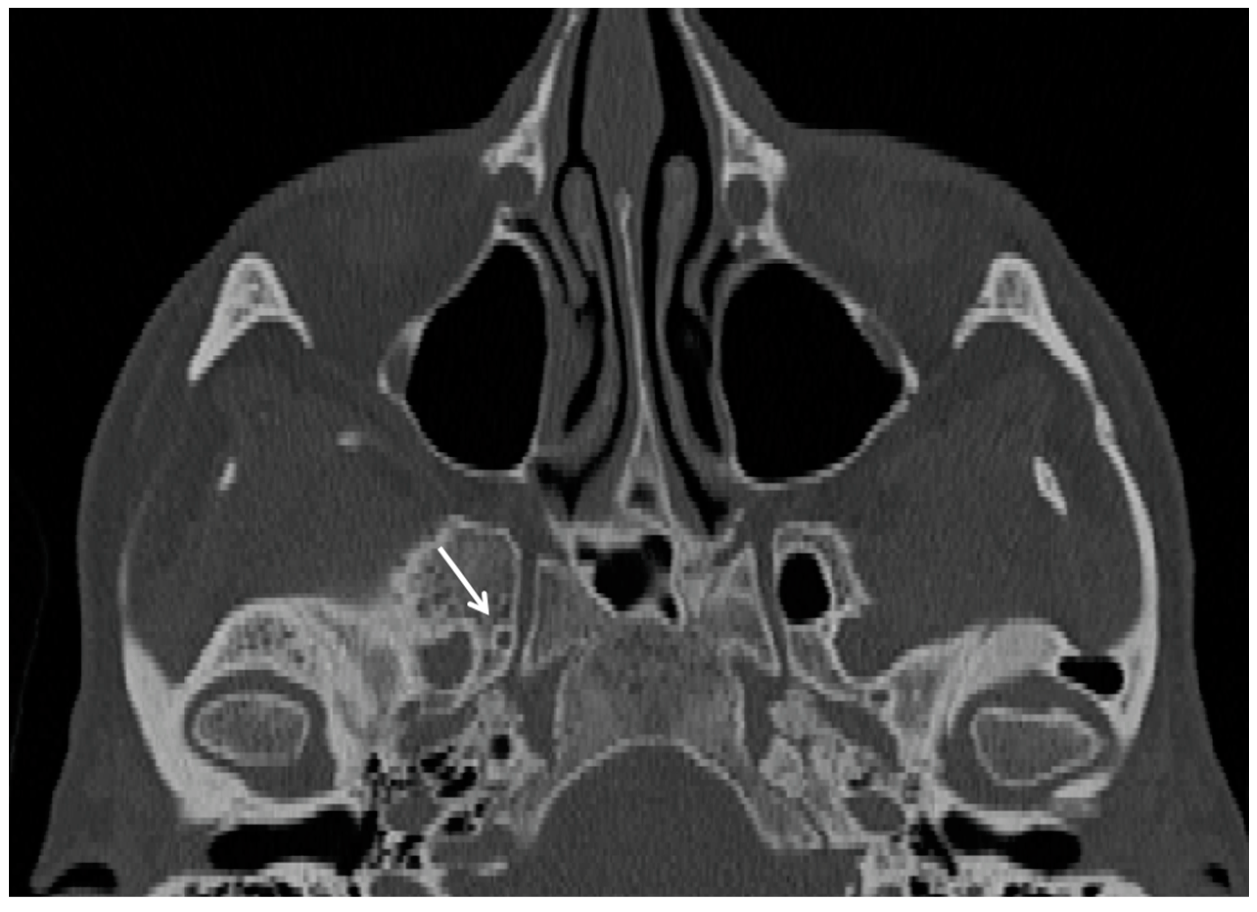
3. Results
4. Discussion
5. Conclusions
Author Contributions
Funding
Institutional Review Board Statement
Informed Consent Statement
Data Availability Statement
Conflicts of Interest
References
- Rangel-Castilla, L.; Russin, J.J.; Spetzler, R.F. Surgical Management of Skull Base Tumors. Rep. Pract. Oncol. Radiother. 2016, 21, 325–335. [Google Scholar] [CrossRef]
- Marcus, H.; Schwindack, C.; Santarius, T.; Mannion, R.; Kirollos, R. Image-Guided Resection of Spheno-Orbital Skull-Base Meningiomas with Predominant Intraosseous Component. Acta Neurochir 2013, 155, 981–988. [Google Scholar] [CrossRef] [PubMed]
- Jecko, V.; Sesay, M.; Liguoro, D. Anatomical Location of the Abducens Nerves (VI) in the Ventral Approach of Clival Tumors. Surg. Radiol. Anat. 2020, 42, 1371–1375. [Google Scholar] [CrossRef]
- Cochinski, R.; Agarwal, M.; Albuquerque, J.; de Almeida, A.C.; Stricker, R.P.; Uberti, M.F.; Casqueiro, A.P.K.; Mendonça, G.S.; do Nascimento, G.R.S.; Miraldi, F.; et al. Anatomy and Diseases of the Greater Wings of the Sphenoid Bone. RadioGraphics 2022, 42, 1177–1195. [Google Scholar] [CrossRef] [PubMed]
- Ginat, D.T.; Ellika, S.K.; Corrigan, J. Multi–Detector-Row Computed Tomography Imaging of Variant Skull Base Foramina. J. Comput. Assist. Tomogr. 2013, 37, 481–485. [Google Scholar] [CrossRef] [PubMed]
- Georgiou, C.; Cassell, M.D. The Foramen Meningo-Orbitale and Its Relationship to the Development of the Ophthalmic Artery. J. Anat. 1992, 180 Pt. 1, 119–125. [Google Scholar]
- Krishnamurthy, A.; Nayak, S.R.; Prabhu, L.V.; Mansur, D.I.; Ramanathan, L.; Madhyastha, S.; Saralaya, V. The Morphology of Meningo-Orbital Foramen in South Indian Population. Bratisl Lek Listy 2008, 109, 517–519. [Google Scholar]
- Tomaszewska, A.; Żelaźniewicz, A. Morphology and Morphometry of the Meningo-Orbital Foramen as a Result of Plastic Responses to the Ambient Temperature and Its Clinical Relevance. J. Craniofacial Surg. 2014, 25, 1033–1037. [Google Scholar] [CrossRef]
- Kwiatkowski, J.; Wysocki, J.; Nitek, S. The Morphology and Morphometry of the So-Called “Meningo-Orbital Foramen” in Humans. Folia Morphol. 2003, 62, 323–325. [Google Scholar]
- Mahajan, M.V.; Anupriya, A.; Devi, G.D.; Tanna, N.A.; Mudiraj, N.R.; Das, S. Clinical implications in orbital and pterional flap surgeries as well as radioimaging studies to determine topographical prevalence and characterization of meningo-orbital foramen in orbits of the indian population. Int. J. Morphol. 2020, 38, 1810–1817. [Google Scholar] [CrossRef]
- Narayan, R.K.; Ghosh, S.K. Analysis of Variations in Morphological Characteristics of Orbito-Meningeal Foramen: An Anatomical Study with Clinical Implications. Transl. Res. Anat. 2021, 24, 100108. [Google Scholar] [CrossRef]
- Macchi, V.; Regoli, M.; Bracco, S.; Nicoletti, C.; Morra, A.; Porzionato, A.; De Caro, R.; Bertelli, E. Clinical Anatomy of the Orbitomeningeal Foramina: Variational Anatomy of the Canals Connecting the Orbit with the Cranial Cavity. Surg. Radiol. Anat. 2016, 38, 165–177. [Google Scholar] [CrossRef]
- Chaisuksunt, V.; Kwathai, L.; Namonta, K.; Rungruang, T.; Apinhasmit, W.; Chompoopong, S. Occurrence of the Foramen of Vesalius and Its Morphometry Relevant to Clinical Consideration. Sci. World J. 2012, 2012, 817454. [Google Scholar] [CrossRef]
- Rossi, A.C.; Freire, A.R.; Prado, F.B.; Caria, P.H.F.; Botacin, P.R. Morphological Characteristics of Foramen of Vesalius and Its Relationship with Clinical Implications. J. Morphol. Sci. 2010, 27, 26–29. [Google Scholar]
- Lanzieri, C.F.; Duchesneau, P.M.; Rosenbloom, S.A.; Smith, A.S.; Rosenbaum, A.E. The Significance of Asymmetry of the Foramen of Vesalius. AJNR Am. J. Neuroradiol. 1988, 9, 1201–1204. [Google Scholar]
- Ginsberg, L.E.; Pruett, S.W.; Chen, M.Y.; Elster, A.D. Skull-Base Foramina of the Middle Cranial Fossa: Reassessment of Normal Variation with High-Resolution CT. AJNR Am. J. Neuroradiol. 1994, 15, 283–291. [Google Scholar]
- Pinheiro-Neto, C.D.; Fernandez-Miranda, J.C.; Rivera-Serrano, C.M.; Paluzzi, A.; Snyderman, C.H.; Gardner, P.A.; Sennes, L.U. Endoscopic Anatomy of the Palatovaginal Canal (Palatosphenoidal Canal). Laryngoscope 2012, 122, 6–12. [Google Scholar] [CrossRef]
- Rumboldt, Z.; Castillo, M.; Smith, J.K. The Palatovaginal Canal: Can It Be Identified on Routine CT and MR Imaging? Am. J. Roentgenol. 2002, 179, 267–272. [Google Scholar] [CrossRef]
- Meng, Q.; Lu, Y.; Shi, L.; Lei, Y. Simultaneous Observation and Discrimination of Palatovaginal and Vomerovaginal Canals by Transverse CT. Int. J. Clin. Exp. Med. 2015, 8, 15601–15610. [Google Scholar] [PubMed]
- Karligkiotis, A.; Volpi, L.; Abbate, V.; Battaglia, P.; Meloni, F.; Turri-Zanoni, M.; Bignami, M.; Castelnuovo, P. Palatovaginal (Pharyngeal) Artery: Clinical Implication and Surgical Experience. Eur. Arch. Oto-Rhino-Laryngol. 2014, 271, 2839–2843. [Google Scholar] [CrossRef] [PubMed]
- Kairo, A.K.; Kumar, R.; Sharma, S.C. Can Palatovaginal Canal Be the Site of Origin of Juvenile Nasopharyngeal Angiofibroma? Med. Hypotheses 2020, 144, 110300. [Google Scholar] [CrossRef]
- Terrier, L.-M.; Bernard, F.; Fournier, H.-D.; Morandi, X.; Velut, S.; Hénaux, P.-L.; Amelot, A.; François, P. Spheno-Orbital Meningiomas Surgery: Multicenter Management Study for Complex Extensive Tumors. World Neurosurg 2018, 112, e145–e156. [Google Scholar] [CrossRef] [PubMed]
- Agosti, E.; Zeppieri, M.; De Maria, L.; Mangili, M.; Rapisarda, A.; Ius, T.; Spadea, L.; Salati, C.; Tel, A.; Pontoriero, A.; et al. Surgical Treatment of Spheno-Orbital Meningiomas: A Systematic Review and Meta-Analysis of Surgical Techniques and Outcomes. J. Clin. Med. 2023, 12, 5840. [Google Scholar] [CrossRef] [PubMed]
- Kunimatsu, A.; Kunimatsu, N. Skull Base Tumors and Tumor-Like Lesions: A Pictorial Review. Pol. J. Radiol. 2017, 82, 398–409. [Google Scholar] [CrossRef] [PubMed]
- Maschke, S.; Martínez-Moreno, M.; Micko, A.; Millesi, M.; Minchev, G.; Mallouhi, A.; Knosp, E.; Wolfsberger, S. Challenging the Osseous Component of Sphenoorbital Meningiomas. Acta Neurochir. 2019, 161, 2241–2251. [Google Scholar] [CrossRef]
- Akkoca Kaplan, F.; Bayrakdar, İ.Ş.; Bilgir, E. Incidence of Anomalous Canals in the Base of the Skull: A Retrospective Radio-Anatomical Study Using Cone-Beam Computed Tomography. Surg. Radiol. Anat. 2020, 42, 171–177. [Google Scholar] [CrossRef]
- Jovanović, I.; Vasović, L.; Ugrenović, S.; Zdravković, D.; Vlajković, S.; Daković-Bjelaković, M.; Stojanović, V. Originalni Naučni Radovi Variable Foramen of Hyrtl of The Human Skull. Acta Medica Median. 2003, 42, 1–5. [Google Scholar]
- O’Brien, A.; McDonald, S.W. The Meningo-Orbital Foramen in a Scottish Population. Clin. Anat. 2007, 20, 880–885. [Google Scholar] [CrossRef]
- Erturk, M.; Kayalioglu, G.; Govsa, F.; Varol, T.; Ozgur, T. The Cranio-Orbital Foramen, the Groove on the Lateral Wall of the Human Orbit, and the Orbital Branch of the Middle Meningeal Artery. Clin. Anat. 2005, 18, 10–14. [Google Scholar] [CrossRef]
- Santo Neto, H.; Penteado, C.V.; de Carvalho, V.C. Presence of a Groove in the Lateral Wall of the Human Orbit. J. Anat. 1984, 138 Pt. 4, 631–633. [Google Scholar]
- Abed, S.F.; Shams, P.; Shen, S.; Adds, P.J.; Uddin, J.M.; Manisali, M. A Cadaveric Study of the Cranio-Orbital Foramen and Its Significance in Orbital Surgery. Plast. Reconstr. Surg. 2012, 129, 307e–311e. [Google Scholar] [CrossRef]
- Celik, S.; Kazak, Z.; Ozer, M.A.; Govsa, F. Navigational Area of the Cranio-Orbital Foramen and Its Significance in Orbital Surgery. Surg. Radiol. Anat. 2014, 36, 981–988. [Google Scholar] [CrossRef]
- Parveen, N.; Singh, S.; Mishra, S. Foramen Venosum: A Clinicoanatomic Insight into Its Occurrence and Morphometry. Surg. Radiol. Anat. 2023, 45, 409–415. [Google Scholar] [CrossRef] [PubMed]
- Shinohara, A.L.; de Souza Melo, C.G.; Silveira, E.M.V.; Lauris, J.R.P.; Andreo, J.C.; de Castro Rodrigues, A. Incidence, Morphology and Morphometry of the Foramen of Vesalius: Complementary Study for a Safer Planning and Execution of the Trigeminal Rhizotomy Technique. Surg. Radiol. Anat. 2010, 32, 159–164. [Google Scholar] [CrossRef] [PubMed]
- Reymond, J.; Charuta, A.; Wysocki, J. The Morphology and Morphometry of the Foramina of the Greater Wing of the Human Sphenoid Bone. Folia Morphol. (Warsz) 2005, 64, 188–193. [Google Scholar] [PubMed]
- Kodama, K.; Inoue, K.; Nagashima, M.; Matsumura, G.; Watanabe, S.; Kodama, G. [Studies on the Foramen Vesalius in the Japanese Juvenile and Adult Skulls]. Hokkaido Igaku Zasshi 1997, 72, 667–674. [Google Scholar]
- Dellaretti, M.; de Almeida, J.C.; da Martins, W.C.S.; Faria, M.P. Percutaneous Biopsy of Lesions in the Cavernous Sinus: A Systematic Review. World Neurosurg. 2017, 108, 1–5. [Google Scholar] [CrossRef]
- Peper, C.; Iwanaga, J.; Dumont, A.S.; Tubbs, R.S. A Giant Foramen of Vesalius: Case Report. Anat. Cell Biol. 2022, 55, 373–375. [Google Scholar] [CrossRef]
- Kakizawa, Y.; Abe, H.; Fukushima, Y.; Hongo, K.; El-Khouly, H.; Rhoton, A.L. The course of the lesser petrosal nerve on the middle cranial fossa. Oper. Neurosurg. 2007, 61, 15–23. [Google Scholar] [CrossRef]
- Osawa, S.; Rhoton, A.L.; Tanriover, N.; Shimizu, S.; Fujii, K. Microsurgical anatomy and surgical exposure of the petrous segment of the internal carotid artery. Oper. Neurosurg. 2008, 63, 210–239. [Google Scholar] [CrossRef]
- Ogawa, D.; Akutsu, H.; Tanaka, S.; Hara, T.; Kino, H.; Miyamoto, H.; Ii, R.; Miyake, K.; Tamiya, T.; Ishikawa, E. Opening the Palatovaginal Canal to Maximize Anterior Sphenoidotomy in Endoscopic Endonasal Surgery. Laryngoscope 2021, 131, 2461–2464. [Google Scholar] [CrossRef] [PubMed]
- Castelnuovo, P.; Nicolai, P.; Turri-Zanoni, M.; Battaglia, P.; Bolzoni Villaret, A.; Gallo, S.; Bignami, M.; Dallan, I. Endoscopic Endonasal Nasopharyngectomy in Selected Cancers. Otolaryngol. Head Neck Surg. 2013, 149, 424–430. [Google Scholar] [CrossRef] [PubMed]




| Foramen Meningo-Orbitale (%) | Foramen of Vesalius (%) | Canalicus Innominatus (%) | Palatovaginal Canal (%) | ||
|---|---|---|---|---|---|
| Males | Right | 20.0 | 60.7 | 11.3 | 39.3 |
| Left | 18.7 | 63.3 | 10.0 | 37.3 | |
| Total | 24.7 | 70.0 | 14.7 | 39.3 | |
| Females | Right | 32.0 | 52.0 | 9.3 | 31.3 |
| Left | 24.7 | 60.7 | 7.3 | 30.0 | |
| Total | 36.7 | 65.3 | 13.3 | 31.3 | |
| Right Side | Left Side | |
|---|---|---|
| Foramen meningo-orbitale | 5.613 (0.018) | 1.591 (0.207) |
| Foramen of Vesalius | 2.290 (0.130) | 0.226 (0.634) |
| Canalicus innominatus | 0.324 (0.569) | 0.674 (0.412) |
| Palatovaginal canal | 1.472 (0.225) | 2.499 (0.114) |
| Right Side | Foramen Meningo-Orbitale | Foramen of Vesalius | Canalicus Innominatus | Palatovaginal Canal | |
|---|---|---|---|---|---|
| Left Side | |||||
| Foramen meningo-orbitale | 0.130 (0.114) | 0.032 (0.702) | 0.143 (0.080) | ||
| Foramen of Vesalius | 0.116 (0.158) | 0.245 * (0.003) | 0.145 (0.076) | ||
| Canalicus innominatus | −0.046 (0.579) | 0.254 * (0.002) | 0.143 (0.082) | ||
| Palatovaginal canal | 0.196 (0.016) | 0.130 (0.114) | 0.156 (0.056) | ||
| Right Side | Foramen Meningo-Orbitale | Foramen of Vesalius | Canalicus Innominatus | Palatovaginal Canal | |
|---|---|---|---|---|---|
| Left Side | |||||
| Foramen meningo-orbitale | 0.116 (0.159) | 0.026 (0.749) | 0.122 (0.137) | ||
| Foramen of Vesalius | 0.018 (0.832) | 0.217 * (0.008) | 0.189 (0.021) | ||
| Canalicus innominatus | 0.076 (0.353) | 0.227 * (0.005) | −0.019 (0.817) | ||
| Palatovaginal canal | 0.165 (0.043) | 0.110 (0.179) | −0.017 (0.839) | ||
| Right Side | Foramen Meningo-Orbitale (n° 30) | Foramen of Vesalius (n° 91) | Canalicus Innominatus (n° 17) | Palatovaginal Canal (n° 59) | ||
|---|---|---|---|---|---|---|
| Left Side | ||||||
| Foramen meningo-orbitale (n° 28) | 21 | 4 | 16 | Foramen meningo-orbitale (n° 30) | ||
| Foramen of Vesalius (n° 95) | 21 | 16 | 41 | Foramen of Vesalius (n° 91) | ||
| Canalicus innominatus (n° 15) | 2 | 15 | 10 | Canalicus innominatus (n° 17) | ||
| Palatovaginal canal (n° 56) | 16 | 40 | 9 | Palatovaginal canal (n° 59) | ||
| Foramen meningo-orbitale (n° 28) | Foramen of Vesalius (n° 95) | Canalicus innominatus (n° 15) | Palatovaginal canal (n° 56) | |||
| Right Side | Foramen Meningo-Orbitale (n° 48) | Foramen of Vesalius (n° 78) | Canalicus Innominatus (n° 14) | Palatovaginal Canal (n° 47) | ||
|---|---|---|---|---|---|---|
| Left Side | ||||||
| Foramen meningo-orbitale (n° 37) | 29 | 5 | 19 | Foramen meningo-orbitale (n° 48) | ||
| Foramen of Vesalius (n° 91) | 23 | 12 | 31 | Foramen of Vesalius (n° 78) | ||
| Canalicus innominatus (n° 11) | 4 | 11 | 4 | Canalicus innominatus (n° 14) | ||
| Palatovaginal canal (n° 45) | 16 | 31 | 3 | Palatovaginal canal (n° 47) | ||
| Foramen meningo-orbitale (n° 37) | Foramen of Vesalius (n° 91) | Canalicus innominatus (n° 11) | Palatovaginal canal (n° 45) | |||
Disclaimer/Publisher’s Note: The statements, opinions and data contained in all publications are solely those of the individual author(s) and contributor(s) and not of MDPI and/or the editor(s). MDPI and/or the editor(s) disclaim responsibility for any injury to people or property resulting from any ideas, methods, instructions or products referred to in the content. |
© 2023 by the authors. Licensee MDPI, Basel, Switzerland. This article is an open access article distributed under the terms and conditions of the Creative Commons Attribution (CC BY) license (https://creativecommons.org/licenses/by/4.0/).
Share and Cite
Palamenghi, A.; Cellina, M.; Cè, M.; Cappella, A.; Sforza, C.; Gibelli, D. Correlation Analysis on Anatomical Variants of Accessory Foramina in the Sphenoid Bone for Oncological Surgery. Cancers 2023, 15, 5341. https://doi.org/10.3390/cancers15225341
Palamenghi A, Cellina M, Cè M, Cappella A, Sforza C, Gibelli D. Correlation Analysis on Anatomical Variants of Accessory Foramina in the Sphenoid Bone for Oncological Surgery. Cancers. 2023; 15(22):5341. https://doi.org/10.3390/cancers15225341
Chicago/Turabian StylePalamenghi, Andrea, Michaela Cellina, Maurizio Cè, Annalisa Cappella, Chiarella Sforza, and Daniele Gibelli. 2023. "Correlation Analysis on Anatomical Variants of Accessory Foramina in the Sphenoid Bone for Oncological Surgery" Cancers 15, no. 22: 5341. https://doi.org/10.3390/cancers15225341
APA StylePalamenghi, A., Cellina, M., Cè, M., Cappella, A., Sforza, C., & Gibelli, D. (2023). Correlation Analysis on Anatomical Variants of Accessory Foramina in the Sphenoid Bone for Oncological Surgery. Cancers, 15(22), 5341. https://doi.org/10.3390/cancers15225341

