Renal Function Parameters in Distinctive Molecular Subtypes of Prostate Cancer
Abstract
:Simple Summary
Abstract
1. Introduction
2. Materials and Methods
2.1. Patients
2.2. Pathological Diagnosis and Renal Function Parameters
2.3. Immunohistochemical Analysis
2.4. Scoring System
2.5. Statistical Analysis
3. Results
3.1. Clinico-Pathological Characteristics
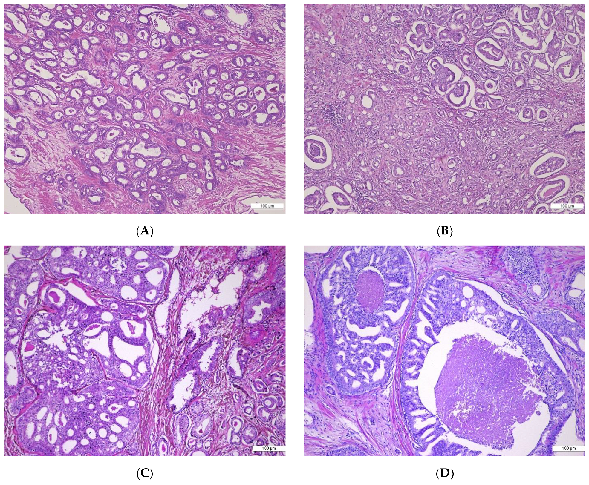
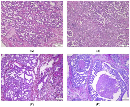
3.2. Immunohistochemical Profile
3.3. Renal Parameters
3.4. Correlations between Preoperative/Postoperative Renal Parameters in Subsets of Prostate Acinar ADK Defined by ERG/SPINK1 Status
3.5. Correlations between Preoperative/Postoperative Renal Parameters in Subsets of Prostate Acinar ADK Defined by HOXB13/TFF3 Status
3.6. Correlations between Preoperative/Postoperative Renal Parameters and Aggressive Histopathological Features in Subsets of Prostate Acinar ADK Defined by ERG/SPINK1 and HOXB13/TFF3 Status, Respectively
3.7. Correlations between Preoperative CKD Stages and Prognostic Grade Groups
- -
- significantly more cases with CKD Stage 1 and prognostic grade Group 2 in the H−T− subgroup, as compared to the H+T+ subgroup (p = 0.046);
- -
- significantly more cases with CKD Stage 1 and prognostic grade Group 4 in the H+T+ subgroup versus the H−T− subgroup (p = 0.036);
- -
- significantly more cases with CKD Stage 1 and prognostic Grade Group 5 in the H+T3+ subgroup, as compared to the H−T− subgroup (p = 0.0097);
- -
- significantly more cases with CKD Stage 2 and prognostic grade Group 2 in the H−T+ subgroup, as compared to the H+T+ subgroup (p = 0.0057);
- -
- significantly more cases with CKD Stage 2 and prognostic grade Group 2 in the H−T+ subgroup, as compared to the H−T− subgroup (p = 0.009);
- -
- significantly more cases with CKD Stage 3 and prognostic grade Group 2 in the H−T+ subgroup as compared to the H−T− subgroup (p = 0.04).
4. Discussion
5. Conclusions
Supplementary Materials
Author Contributions
Funding
Institutional Review Board Statement
Informed Consent Statement
Data Availability Statement
Conflicts of Interest
References
- Rawla, P. Epidemiology of prostate cancer. World J. Oncol. 2019, 10, 63–89. [Google Scholar] [CrossRef] [PubMed]
- WHO. Classification of Tumours Editorial Board. In Urinary and Male Genital Tumours. WHO Classification of Tumours, 5th ed.; IARC Press: Lyon, France, 2022; Volume 8. [Google Scholar]
- Gordetsky, J.; Epstein, J. Grading of prostatic adenocarcinoma: Current state and prognostic implications. Diagn. Pathol. 2016, 11, 25. [Google Scholar] [CrossRef] [PubMed]
- Labrecque, M.P.; Coleman, I.M.; Brown, L.G.; True, L.D.; Kollath, L.; Lakely, B.; Nguyen, H.M.; Yang, Y.C.; da Costa, R.M.G.; Kaipainen, A.; et al. Molecular profiling stratifies diverse phenotypes of treatment-refractory metastatic castration-resistant prostate cancer. J. Clin. Investig. 2019, 129, 4492–4505. [Google Scholar] [CrossRef] [PubMed]
- Eggener, S.E.; Rumble, R.B.; Armstrong, A.J.; Morgan, T.M.; Crispino, T.; Cornford, P.; van der Kwast, T.; Grignon, D.J.; Rai, A.J.; Agarwal, N.; et al. Molecular biomarkers in localized prostate cancer: ASCO Guideline. J. Clin. Oncol. 2020, 38, 1474–1494. [Google Scholar] [CrossRef]
- Kulac, I.; Roudier, M.P.; Haffner, M.C. Molecular pathology of prostate cancer. Surg. Pathol. Clin. 2021, 14, 387–401. [Google Scholar] [CrossRef] [PubMed]
- Merriel, S.W.D.; Martins, T.; Bailey, S.E.R. Exploring the causes of death among patients with metastatic prostate cancer-a changing landscape. JAMA Netw. Open 2021, 4, e2120889. [Google Scholar] [CrossRef] [PubMed]
- Lee, J.; Giovannucci, E.; Jeon, J.Y. Diabetes and mortality in patients with prostate cancer: A meta-analysis. SpringerPlus 2016, 5, 1548. [Google Scholar] [CrossRef]
- Pinthus, J.; Shayegan, B.; Klotz, L.; Siemens, D.R.; Luke, P.P.; Niazi, T.; Fradet, V.; Fradet, Y.; Duceppe, E.; Lavallee, L.; et al. The prevalence of cardiovascular disease and its risk factors among prostate cancer patients treated with and without androgen deprivation. J. Clin. Oncol. 2020, 38, 364. [Google Scholar] [CrossRef]
- Zhu, X.; Wu, S. Increased risk of hypertension with enzalutamide in prostate cancer: A meta-analysis. Cancer Investig. 2019, 37, 478–488. [Google Scholar] [CrossRef]
- Hu, J.R.; Duncan, M.S.; Morgans, A.K.; Brown, J.D.; Meijers, W.C.; Freiberg, M.S.; Salem, J.-E.; Beckman, J.A.; Moslehi, J.J. Cardiovascular effects of androgen deprivation therapy in prostate cancer: Contemporary meta-analyses. Arterioscler. Thromb. Vasc. Biol. 2020, 40, e55–e64. [Google Scholar] [CrossRef]
- Hahn, A.W.; Thoman, W.; Koutroumpakis, E.; Abdulla, A.; Subudhi, S.K.; Aparicio, A.; Basen-Enngquist, K.; Logothetis, C.J.; Gilchrist, S.C. Cardiometabolic healthcare for men with prostate cancer: An MD Anderson Cancer Center experience. Cardio Oncol. 2023, 9, 33. [Google Scholar] [CrossRef] [PubMed]
- Maggio, M.; Basaria, S. Welcoming low testosterone as a cardiovascular risk factor. Int. J. Impot. Res. 2009, 21, 261–264. [Google Scholar] [CrossRef] [PubMed]
- Kaur, H.; Werstuck, G.H. The effect of testosterone on cardiovascular disease and cardiovascular risk factors in men: A review of clinical and preclinical data. CJC Open 2021, 3, 1238–1248. [Google Scholar] [CrossRef] [PubMed]
- Kakkat, S.; Pramanik, P.; Singh, S.; Singh, A.P.; Sarkar, C.; Chakroborty, D. Cardiovascular complications in patients with prostate cancer: Potential molecular connections. Int. J. Mol. Sci. 2023, 24, 6984. [Google Scholar] [CrossRef] [PubMed]
- Sherer, M.V.; Deka, R.; Salans, M.A.; Nelson, T.J.; Sheridan, P.; Rose, B.S. Androgen deprivation therapy and acute kidney injury in patients with prostate cancer undergoing definitive radiotherapy. Prostate Cancer Prostatic Dis. 2023, 26, 276–281. [Google Scholar] [CrossRef]
- Molinari, C.; Battaglia, A.; Grossini, E.; Mary, D.A.; Vassanelli, C.; Vacca, G. The effect of testosterone on regional blood flow in prepubertal anaesthetized pigs. J. Physiol. 2002, 543, 365–372. [Google Scholar] [CrossRef] [PubMed]
- Hutchens, M.P.; Fujiyoshi, T.; Komers, R.; Herson, P.S.; Anderson, S. Estrogen protects renal endothelial barrier function from ischemia-reperfusion in vitro and in vivo. Am. J. Physiol. Renal. Physiol. 2012, 303, F377–F385. [Google Scholar] [CrossRef]
- Kambham, N.; Markowitz, G.S.; Valeri, A.M.; Lin, J.; D’Agati, V.D. Obesity-related glomerulopathy: An emerging epidemic. Kidney Int. 2001, 59, 1498–1509. [Google Scholar] [CrossRef]
- Oluboyo, A.; Adeleke, A.; Oluboyo, B. Evaluation of selected renal markers in prostate cancer. J. Appl. Sci. Environ. Manag. 2019, 23, 1725–1728. [Google Scholar] [CrossRef]
- Yang, F.; Li, D.; Di, Y.; Zhang, Y.; Zang, Y.; Ren, J.; Yan, L.; Zhou, Z.; Liu, H.; Xu, Z. Pretreatment serum cystatin C levels predict renal function, but not tumor characteristics, in patients with prostate neoplasia. Biomed. Res. Int. 2017, 2017, 7450459. [Google Scholar] [CrossRef]
- Testa, U.; Castelli, G.; Pelosi, E. Cellular and molecular mechanisms underlying prostate cancer development: Therapeutic implications. Medicines 2019, 6, 82. [Google Scholar] [CrossRef]
- Timofte, A.D.; Giuşcă, S.E.; Lozneanu, L.; Manole, M.B.; Prutianu, I.; Gafton, B.; Rusu, A.; Căruntu, I.-D. HOXB13 and TFF3 can contribute to the prognostic stratification of prostate adenocarcinoma. Rom. J. Morphol. Embryol. 2021, 62, 41–52. [Google Scholar] [CrossRef] [PubMed]
- Netto, G.J.; Amin, M.B.; Berney, D.M.; Compérat, E.M.; Gill, A.J.; Hartmann, A.; Menon, S.; Raspollini, M.R.; Rubin, M.A.; Srigley, J.R.; et al. The 2022 World Health Organization classification of tumors of the urinary system and male genital organs-part B: Prostate and urinary tract tumors. Eur. Urol. 2022, 82, 469–482. [Google Scholar] [CrossRef] [PubMed]
- Inker, L.A.; Eneanya, N.D.; Coresh, J.; Tighiouart, H.; Wang, D.; Sang, Y.; Crews, D.C.; Doria, A.; Estrella, M.M.; Froissart, M.; et al. New creatinine- and cystatin c-cased equations to estimate GFR without race. N. Engl. J. Med. 2021, 385, 1737–1749. [Google Scholar] [CrossRef] [PubMed]
- Becker, G.J.; Wheeler, D.C.; De Zeeuw, D.; Fujita, T.; Furth, S.L.; Holdaas, H.; Mendis, S.; Oparil, S.; Perkovic, V.; Rodrigues, C.I.C.; et al. Kidney Disease: Improving Global Outcomes (KDIGO) Blood Pressure Work Group. KDIGO 2021 Clinical practice guideline for the management of blood pressure in chronic kidney disease. Kidney Int. 2021, 99, S1–S87. [Google Scholar]
- Available online: https://www.abcam.com/protocols/immunostaining-paraffin-frozen-free-floating-protocol (accessed on 25 September 2023).
- Available online: https://www.abnova.com/upload/media/product/protocol_pdf/Immunohistochemistry.pdf (accessed on 25 September 2023).
- Available online: https://www.abcam.com/products/primary-antibodies/erg-antibody-epr38642-ab133264.html (accessed on 25 September 2023).
- Available online: https://www.abnova.com/en-global/product/detail/H00006690-M01 (accessed on 25 September 2023).
- Available online: https://www.abcam.com/products/primary-antibodies/hoxb13-antibody-epr17371-ab201682.html (accessed on 25 September 2023).
- Available online: https://www.abcam.com/products/primary-antibodies/trefoil-factor-3-antibody-epr3974-ab108599.html (accessed on 25 September 2023).
- Voulgari, O.; Goutas, D.; Pergaris, A.; Belogiannis, K.; Thymara, E.; Kavantzas, N.; Lazaris, A.C. Correlations of PTEN and ERG immunoexpression in prostate carcinoma and lesions related to its natural history: Clinical perspectives. Curr. Issues Mol. Biol. 2023, 45, 2767–2780. [Google Scholar] [CrossRef] [PubMed]
- Terry, S.; Nicolaiew, N.; Basset, V.; Semprez, F.; Soyeux, P.; Maillé, P.; Vacherot, F.; Ploussard, G.; Londoño-Vallejo, A.; de la Taille, A.; et al. Clinical value of ERG, TFF3, and SPINK1 for molecular subtyping of prostate cancer. Cancer 2015, 121, 1422–1430. [Google Scholar] [CrossRef]
- Zabalza, C.V.; Adam, M.; Burdelski, C.; Wilczak, W.; Wittmer, C.; Kraft, S.; Krech, T.; Steurer, S.; Koop, C.; Hube-Magg, C.; et al. HOXB13 overexpression is an independent predictor of early PSA recurrence in prostate cancer treated by radical prostatectomy. Oncotarget 2015, 6, 12822–12834. [Google Scholar] [CrossRef]
- Liu, J.; Kim, S.Y.; Shin, S.; Jung, S.-H.; Yim, S.-H.; Lee, J.Y.; Lee, S.-H.; Chung, Y.-J. Overexpression of TFF3 is involved in prostate carcinogenesis via blocking mitochondria-mediated apoptosis. Exp. Mol. Med. 2018, 50, 1–11. [Google Scholar] [CrossRef]
- Shah, N.; Ioffe, V. Frequency of Gleason score 7 to 10 in 5100 elderly prostate cancer patients. Rev. Urol. 2016, 18, 181. [Google Scholar] [CrossRef]
- Masuda, H.; Fujimoto, A.; Kanesaka, M.; Hou, K.; Suyama, T.; Araki, K.; Kojima, S.; Naya, Y. Renal function improves after the discontinuation of androgen deprivation therapy in Japanese patients with prostate cancer. Anticancer Res. 2021, 41, 4443–4446. [Google Scholar] [CrossRef] [PubMed]
- Miyazawa, Y.; Sekine, Y.; Arai, S.; Nomura, M.; Koike, H.; Matsui, H.; Suzuki, K. Changes in renal function of patients with prostate cancer: Focus on androgen deprivation therapy. Cancer Diagn. Progn. 2022, 2, 686–690. [Google Scholar] [CrossRef]
- Gu, X.; Wu, J.; Liu, X.; Hong, Y.; Wu, Y.; Tian, Y. Role of serum creatinine levels in prognostic risk stratification of prostate cancer patients. Med. Sci. Monit. 2022, 28, e937100. [Google Scholar] [CrossRef] [PubMed]
- Tomlins, S.A.; Rhodes, D.R.; Yu, J.; Varambally, S.; Mehra, R.; Perner, S.; Demichelis, F.; Helgeson, B.E.; Laxman, B.; Morris, D.S.; et al. The role of SPINK1 in ETS rearrangement-negative prostate cancers. Cancer Cell 2008, 13, 519–528. [Google Scholar] [CrossRef] [PubMed]
- Tomlins, S.A.; Bjartell, A.; Chinnaiyan, A.M.; Jenster, G.; Nam, R.K.; Rubin, M.A.; Schalken, J.A. ETS gene fusions in prostate cancer: From discovery to daily clinical practice. Eur. Urol. 2009, 56, 275–286. [Google Scholar] [CrossRef] [PubMed]
- Flavin, R.; Pettersson, A.; Hendrickson, W.K.; Fiorentino, M.; Finn, S.; Kunz, L.; Judson, G.L.; Lis, R.; Bailey, D.; Fiore, C.; et al. SPINK1 protein expression and prostate cancer progression. Clin. Cancer Res. 2014, 20, 4904–4911. [Google Scholar] [CrossRef] [PubMed]
- Khosh Kish, E.; Choudhry, M.; Gamallat, Y.; Buharideen, S.M.; D, D.; Bismar, T.A. The expression of proto-oncogene ETS-related gene (ERG) plays a central role in the oncogenic mechanism involved in the development and progression of prostate cancer. Int. J. Mol. Sci. 2022, 23, 4772. [Google Scholar] [CrossRef] [PubMed]
- Johnson, M.H.; Ross, A.E.; Alshalalfa, M.; Erho, N.; Yousefi, K.; Glavaris, S.; Fedor, H.; Han, M.; Faraj, S.F.; Bezerra, S.M.; et al. SPINK1 defines a molecular subtype of prostate cancer in men with more rapid progression in an at risk, natural history radical prostatectomy cohort. J. Urol. 2016, 196, 1436–1444. [Google Scholar] [CrossRef]
- Bhalla, R.; Kunju, L.P.; Tomlins, S.A.; Christopherson, K.; Cortez, C.; Carskadon, S.; Siddiqui, J.; Park, K.; Mosquera, J.M.; A Pestano, G.; et al. Novel dual-color immunohistochemical methods for detecting ERG-PTEN and ERG-SPINK1 status in prostate carcinoma. Mod. Pathol. 2013, 26, 835–848. [Google Scholar] [CrossRef]
- Birdsey, G.M.; Shah, A.V.; Dufton, N.; Reynolds, L.E.; Almagro, L.O.; Yang, Y.; Aspalter, I.M.; Khan, S.T.; Mason, J.C.; Dejana, E.; et al. The endothelial transcription factor ERG promotes vascular stability and growth through Wnt/β-catenin signaling. Dev. Cell 2015, 32, 82–96. [Google Scholar] [CrossRef]
- Eddy, A.A.; Kim, H.; López-Guisa, J.; Oda, T.; Soloway, P.D.; McCulloch, L.; Liu, E.; Wing, D. Interstitial fibrosis in mice with overload proteinuria: Deficiency of TIMP-1 is not protective. Kidney Int. 2000, 58, 618–628. [Google Scholar] [CrossRef] [PubMed]
- Paust, H.J.; Song, N.; De Feo, D.; Asada, N.; Tuzlak, S.; Zhao, Y.; Riedel, J.-H.; Hellmig, M.; Sivayoganathan, A.; Peters, A.; et al. CD4+ T cells produce GM-CSF and drive immune-mediated glomerular disease by licensing monocyte-derived cells to produce MMP12. Sci. Transl. Med. 2023, 15, eadd6137. [Google Scholar] [CrossRef]
- Ouhtit, A.; Al-Kindi, M.N.; Kumar, P.R.; Gupta, I.; Shanmuganathan, S.; Tamimi, Y. Hoxb13, a potential prognostic biomarker for prostate cancer. Front. Biosci. 2016, 8, 40–45. [Google Scholar] [CrossRef] [PubMed]
- Jung, C.; Kim, R.-S.; Zhang, H.-J.; Lee, S.-J.; Jeng, M.-H. HOXB13 induces growth suppression of prostate cancer cells as a repressor of hormone-activated androgen receptor signaling. Cancer Res. 2004, 64, 9185–9192. [Google Scholar] [CrossRef] [PubMed]
- Ewing, C.M.; Ray, A.M.; Lange, E.M.; Zuhlke, K.A.; Robbins, C.M.; Tembe, W.D.; Wiley, K.E.; Isaacs, S.D.; Johng, D.; Wang, Y.; et al. Germline mutations in HOXB13 and prostate-cancer risk. N. Engl. J. Med. 2012, 366, 141–149. [Google Scholar] [CrossRef] [PubMed]
- Cardoso, M.; Maia, S.; Paulo, P.; Teixeira, M.R. Oncogenic mechanisms of HOXB13 missense mutations in prostate carcinogenesis. Oncoscience 2016, 3, 288–296. [Google Scholar] [CrossRef]
- Astor, B.C.; Köttgen, A.; Hwang, S.J.; Bhavsar, N.; Fox, C.S.; Coresh, J. Trefoil factor 3 predicts incident chronic kidney disease: A case-control study nested within the Atherosclerosis Risk in Communities (ARIC) study. Am. J. Nephrol. 2011, 34, 291–297. [Google Scholar] [CrossRef]
- Rinnert, M.; Hinz, M.; Buhtz, P.; Reiher, F.; Lessel, W.; Hoffmann, W. Synthesis and localization of trefoil factor family (TFF) peptides in the human urinary tract and TFF2 excretion into the urine. Cell Tissue Res. 2010, 339, 639–647. [Google Scholar] [CrossRef]
- Lebherz-Eichinger, D.; Tudor, B.; Ankersmit, H.J.; Reiter, T.; Haas, M.; Roth-Walter, F.; Krenn, C.G.; Roth, G.A. Trefoil Factor 1 excretion is increased in early stages of chronic kidney disease. PLoS ONE 2015, 10, e0138312. [Google Scholar] [CrossRef]
- Rogulska, K.; Wojciechowska-Koszko, I.; Krasnodębska-Szponder, B.; Kwiatkowski, P.; Roszkowska, P.; Dołęgowska, B.; Łuczkowska, K.; Machaliński, B.; Kosik-Bogacka, D. TFF3 as a diagnostic biomarker in kidney transplant patients. Int. J. Mol. Sci. 2023, 24, 11925. [Google Scholar] [CrossRef]




| Antibody | Clone | Dilution | Expression/Staining |
|---|---|---|---|
| anti-ERG | rabbit monoclonal antibody, Abcam, clone EPR3864(2), ab133264, Cambridge, UK | 1:250 | nuclear |
| anti-SPINK1 | mouse monoclonal antibody, Abnova, clone 4D4, H00006690-M01, Taipei, Taiwan | 1:100 | cytoplasmic |
| anti-HOXB13 | rabbit monoclonal antibody, Abcam, clone EPR17371, ab201682, Cambridge, UK | 1:3000 | nuclear |
| anti-TFF3 | rabbit monoclonal antibody, Abcam, clone EPR3974, ab108599, Cambridge, UK | 1:2000 | cytoplasmic |
| Antibody | Intensity of Labelling | Percentage of Positive Cells | IHC Score | Subgroup |
|---|---|---|---|---|
| ERG * | any intensity | any tumor cells displayed nuclear expression | positive | ERG positive |
| absent | none | negative | ERG negative | |
| SPINK1 ** | any intensity | ≥10% | positive | SPINK1 positive |
| any intensity | <10% | negative | SPINK1 negative | |
| HOXB13 *** | 0 (negative) | 0 | I + P = 0–4 | low HOXB13 |
| 1 + (low) | 1 (≤30%) | |||
| 1 + (low) | 2 (30%–70%) | |||
| 1 + (low) | 3 (>70%) | |||
| 2 + (moderate) | 1 (≤30%) | |||
| 2 + (moderate) | 2 (30%–70%) | |||
| 3 + (strong) | 1 (≤30%) | |||
| 2 + (moderate) | 3 (>70%) | I + P = 5–6 | high HOXB13 | |
| 3 + (strong) | 2 (30%–70%) | |||
| TFF3 **** | 0 (negative) | 0—≤5% | I × P = 0–5 | low TFF3 |
| 1 + (low) | 1 (6%–19%) | |||
| 1 + (low) | 2 (20%–49%) | |||
| 1 + (low) | 3 (>50%) | |||
| 2 + (moderate) | 1 (6%–19%) | |||
| 2 + (moderate) | 2 (20%–49%) | |||
| 3 + (strong) | 1 (6%–19%) | |||
| 2 + (moderate) | 3 (>50%) | I × P = 6–9 | high TFF3 | |
| 3 + (strong) | 2 (20%–49%) | |||
| 3 + (strong) | 3 (>50%) |
| Clinico-Pathological Parameters | No of Cases | Percentage |
|---|---|---|
| Age at the Moment of Diagnosis | ||
| 50–59 years | 7 | 9.72% |
| 60–69 years | 47 | 65.27% |
| >70 years | 18 | 25% |
| Median age—66 ± 4.9 years/mean age—65.86 years | ||
| Gleason score | ||
| 6 (3 + 3) | 17 | 23.61% |
| 7 (3 + 4) | 38 | 52.77% |
| 7 (4 + 3) | 5 | 6.94% |
| 8 (4 + 4) | 5 | 6.94% |
| 8 (5 + 3) | 1 | 1.38% |
| 9 (5 + 4) | 6 | 8.33% |
| Prognostic grade group | ||
| 1 | 17 | 23.61% |
| 2 | 38 | 52.77% |
| 3 | 5 | 6.94% |
| 4 | 6 | 8.33% |
| 5 | 6 | 8.33% |
| Histological variant | ||
| conventional ADK | 72 | 100% |
| conventional ADK + foamy cell variant | 9 | 12.5% |
| conventional ADK + mucinous variant | 5 | 6.94% |
| conventional ADK + atrophic variant | 1 | 0.72% |
| conventional ADK + microcystic variant | 1 | 0.72% |
| Invasion aspects | ||
| capsular invasion | 66 | 91.66% |
| lymphovascular invasion | 15 | 20.83% |
| perineural invasion | 61 | 84.72% |
| pT stage | ||
| T1 | - | |
| T2 | 53 | 73.61% |
| T3 | 19 | 26.38% |
| T4 | - | |
| Preoperative serum PSA levels | ||
| ≤4 ng/mL | 2 | 2.77% |
| 4.1–10 ng/mL | 29 | 40.27% |
| 10.1–20 ng/mL | 23 | 31.94% |
| >20 ng/mL | 18 | 25% |
| Postoperative serum PSA levels | ||
| <0.2 ng/mL | 37 | 51.38% |
| ≥0.2 ng/mL | 35 | 48.61% |
| Biochemical recurrence | 35 | 48.61% |
| Status | Preoperative Creatinine (mg/dL) | Preoperative Urea (mg/dL) | Preoperative eGFR (mL/min/1.73 m2) | Preoperative CKD Stage | ||||
|---|---|---|---|---|---|---|---|---|
| Avg ± St. Dev. | p | Avg ± St. Dev. | p | Avg ± St. Dev. | p | Avg ± St. Dev. | p | |
| E+S+ vs. E+S− | 0.96 ± 0.17 vs. 0.96 ± 0.31 | 0.99 | 27.25 ± 10.81 vs. 31.40 ± 12.00 | 0.51 | 85.75 ± 16.78 vs. 88.97 ± 17.87 | 0.73 | 1.50 ± 0.58 vs. 1.42 ± 0.65 | 0.81 |
| E+S+ vs. E−S+ | 0.96 ± 0.17 vs. 1.00 ± 0.34 | 0.79 | 27.25 ± 10.81 vs. 30.67 ± 8.35 | 0.54 | 85.75 ± 16.78 vs. 85.89 ± 21.73 | 0.99 | 1.50 ± 0.58 vs. 1.67 ± 0.87 | 0.73 |
| E+S+ vs. E−S− | 0.96 ± 0.17 vs. 1.01 ± 0.27 | 0.71 | 27.25 ± 10.81 vs. 31.05 ± 10.94 | 0.53 | 85.75 ± 16.78 vs. 84.35 ± 18.14 | 0.89 | 1.50 ± 0.58 vs. 1.61 ± 0.72 | 0.78 |
| E+S− vs. E−S+ | 0.96 ± 0.31 vs. 1.00 ± 0.34 | 0.69 | 31.40 ± 12.00 vs. 30.67 ± 8.35 | 0.87 | 88.97 ± 17.87 vs. 85.89 ± 21.73 | 0.66 | 1.42 ± 0.65 vs. 1.67 ± 0.87 | 0.34 |
| E+S− vs. E−S− | 0.96 ± 0.31 vs. 1.01 ± 0.27 | 0.52 | 31.40 ± 12.00 vs. 31.05 ± 10.94 | 0.91 | 88.97 ± 18.87 vs. 84.35 ± 18.14 | 0.34 | 1.42 ± 0.65 vs. 1.61 ± 0.72 | 0.29 |
| E−S+ vs. E−S− | 1.00 ± 0.34 vs. 1.01 ± 0.27 | 0.97 | 30.67 ± 8.35 vs. 31.05 ± 10.94 | 0.93 | 85.89 ± 21.73 vs. 84.35 ± 18.14 | 0.84 | 1.67 ± 0.87 vs. 1.61 ± 0.72 | 0.85 |
| Status | Postoperative Creatinine (mg/dL) | Postoperative Urea (mg/dL) | Postoperative eGFR (mL/min/1.73 m2) | Postoperative CKD Stage | ||||
|---|---|---|---|---|---|---|---|---|
| Avg ± St. Dev. | p | Avg ± St. Dev. | p | Avg ± St. Dev. | p | Avg ± St. Dev. | p | |
| E+S+ vs. E+S− | 2.00 ± 0.00 vs. 0.92 ± 0.29 | 0.19 | 42.00 ± 5.83 vs. 35.10 ± 9.15 | 0.15 | 79.25 ± 9.18 vs. 90.92 ± 13.26 | 0.10 | 2.00 ± 0.00 vs. 1.36 ± 0.54 | 0.03 |
| E+S+ vs. E−S+ | 2.00 ± 0.00 vs. 1.33 ± 0.50 | 0.02 | 42.00 ± 5.83 vs. 3.44 ± 10.25 | 0.06 | 79.25 ± 9.18 vs. 92.78 ± 17.75 | 0.18 | 2.00 ± 0.00 vs. 1.22 ± 0.67 | 0.04 |
| E+S+ vs. E−S− | 2.00 ± 0.00 vs. 1.48 ± 0.51 | 0.06 | 42.00 ± 5.83 vs. 31.83 ± 9.91 | 0.06 | 79.25 ± 9.18 vs. 86.4 ± 18.31 | 0.45 | 2.00 ± 0.00 vs. 1.57 ± 0.73 | 0.25 |
| E+S− vs. E−S+ | 1.50 ± 0.51 vs. 1.33 ± 0.50 | 0.38 | 35.10 ± 9.15 vs. 30.44 ± 10.25 | 0.19 | 90.92 ± 13.26 vs. 92.78 ± 17.75 | 0.73 | 1.36 ± 0.54 vs. 1.22 ± 0.67 | 0.52 |
| E+S− vs. E−S− | 1.50 ± 0.51 vs. 1.48 ± 0.51 | 0.87 | 35.10 ± 9.15 vs. 31.83 ± 9.91 | 0.20 | 90.92 ± 13.26 vs. 86.43 ± 18.31 | 0.28 | 1.36 ± 0.54 vs. 1.57 ± 0.73 | 0.22 |
| E−S+ vs. E−S− | 0.92 ± 0.29 vs. 0.98 ± 0.26 | 0.61 | 30.44 ± 10.25 vs. 31.83 ± 9.91 | 0.73 | 92.78 ± 17.75 vs. 86.43 ± 18.31 | 0.38 | 1.22 ± 0.67 vs. 1.57 ± 0.73 | 0.23 |
| Status | Preoperative Creatinine (mg/dL) | Preoperative Urea (mg/dL) | Preoperative eGFR (mL/min/1.73 m2) | Preoperative CKD Stage | ||||
|---|---|---|---|---|---|---|---|---|
| Avg ± St. Dev. | p | Avg ± St. Dev. | p | Avg ± St. Dev. | p | Avg ± St. Dev. | p | |
| H+T+ vs. H+T− | 0.98 ± 0.31 vs. 0.87 ± 0.12 | 0.54 | 31.32 ± 10.43 vs. 27.33 ± 11.15 | 0.54 | 86.73 ± 19.82 vs. 95.00 ± 8.72 | 0.49 | 1.55 ± 0.80 vs. 1.33 ± 0.58 | 0.66 |
| H+T+ vs. H−T+ | 0.98 ± 0.31 vs. 1.20 ± 0.43 | 0.13 | 31.32 ± 10.43 vs. 32.67 ± 11.54 | 0.75 | 86.73 ± 19.82 vs. 74.00 ± 22.44 | 0.13 | 1.55 ± 0.80 vs. 2.00 ± 0.71 | 0.15 |
| H+T+ vs. H−T− | 0.98 ± 0.31 vs. 0.94 ± 0.23 | 0.53 | 31.32 ± 10.43 vs. 30.64 ± 11.60 | 0.82 | 86.73 ± 19.82 vs. 89.47 ± 15.58 | 0.55 | 1.55 ± 0.80 vs. 1.39 ± 0.59 | 0.41 |
| H+T− vs. H−T+ | 0.87 ± 0.12 vs. 1.20 ± 0.43 | 0.23 | 27.33 ± 11.15 vs. 32.67 ± 11.54 | 0.50 | 95.00 ± 8.72 vs. 74.00 ± 22.44 | 0.15 | 1.33 ± 0.58 vs. 2.00 ± 0.71 | 0.17 |
| H+T− vs. H−T− | 0.87 ± 0.12 vs. 0.94 ± 0.23 | 0.60 | 27.33 ± 11.15 vs. 30.64 ± 11.60 | 0.64 | 95.00 ± 8.72 vs. 89.47 ± 15.58 | 0.55 | 1.33 ± 0.58 vs. 1.39 ± 0.59 | 0.86 |
| H−T+ vs. H−T− | 1.20 ± 0.43 vs. 0.94 ± 0.23 | 0.01 | 32.67 ± 11.54 vs. 30.64 ± 11.60 | 0.64 | 74.00 ± 22.44 vs. 89.47 ± 15.58 | 0.02 | 2.00 ± 0.71 vs. 1.39 ± 0.59 | 0.01 |
| Status | Postoperative Creatinine (mg/dL) | Postoperative Urea (mg/dL) | Postoperative eGFR (mL/min/1.73 m2) | Postoperative CKD Stage | ||||
|---|---|---|---|---|---|---|---|---|
| Avg ± St. Dev. | p | Avg ± St. Dev. | p | Avg ± St. Dev. | p | Avg ± St. Dev. | p | |
| H+T+ vs. H+T− | 0.93 ± 0.23 vs. 0.95 ± 0.22 | 0.88 | 33.36 ± 11.57 vs. 40.67 ± 7.64 | 0.30 | 90.50 ± 15.49 vs. 86.33 ± 14.47 | 0.66 | 1.36 ± 0.66 vs. 1.67 ± 0.58 | 0.46 |
| H+T+ vs. H−T+ | 0.93 ± 0.23 vs. 1.02 ± 0.16 | 0.34 | 33.36 ± 11.57 vs. 34.00 ± 10.42 | 0.89 | 90.50 ± 15.49 vs. 82.67 ± 14.74 | 0.21 | 1.36 ± 0.66 vs. 1.78 ± 0.44 | 0.09 |
| H+T+ vs. H−T− | 0.93 ± 0.23 vs. 0.93 ± 0.23 | 0.99 | 33.36 ± 11.57 vs. 33.57 ± 8.39 | 0.94 | 90.50 ± 15.49 vs. 89.97 ± 15.96 | 0.90 | 1.36 ± 0.66 vs. 1.39 ± 0.64 | 0.86 |
| H+T− vs. H−T+ | 0.95 ± 0.22 vs. 1.02 ± 0.16 | 0.61 | 40.67 ± 7.64 vs. 34.00 ± 10.42 | 0.34 | 86.33 ± 14.47 vs. 82.67 ± 14.74 | 0.72 | 1.67 ± 0.58 vs. 1.78 ± 0.44 | 0.73 |
| H+T− vs. H−T− | 0.95 ± 0.22 vs. 0.93 ± 0.23 | 0.88 | 40.67 ± 7.64 vs. 33.57 ± 8.39 | 0.16 | 86.33 ± 14.47 vs. 89.97 ± 15.96 | 0.70 | 1.67 ± 0.58 vs. 1.39 ± 0.64 | 0.48 |
| H−T+ vs. H−T− | 1.02 ± 0.16 vs. 0.93 ± 0.23 | 0.31 | 34.00 ± 10.42 vs. 33.57 ± 8.39 | 0.89 | 82.67 ± 14.74 vs. 89.97 ± 15.96 | 0.22 | 1.78 ± 0.44 vs. 1.39 ± 0.64 | 0.10 |
| Associations | E+S+ vs. E+S− | E+S+ vs. E−S+ | E+S+ vs. E−S− | E+S− vs. E−S+ | E+S− vs. E−S− | E−S+ vs. E−S− | ||||||
|---|---|---|---|---|---|---|---|---|---|---|---|---|
| CKD stage 1—PGG 1 | 0 | 5 | 0 | 0 | 0 | 2 | 5 | 0 | 5 | 2 | 0 | 2 |
| CKD stage 1—PGG 2 | 2 | 15 | 2 | 0 | 2 | 5 | 15 | 0 | 15 | 5 | 0 | 5 |
| CKD stage 1—PGG 3 | 0 | 2 | 0 | 1 | 0 | 1 | 2 | 1 | 2 | 1 | 1 | 1 |
| CKD stage 1—PGG 4 | 0 | 0 | 0 | 2 | 0 | 3 | 0 | 2 | 0 | 3 | 2 | 3 |
| CKD stage 1—PGG 5 | 0 | 2 | 0 | 2 | 0 | 1 | 2 | 2 | 2 | 1 | 2 | 1 |
| CKD stage 2—PGG 1 | 0 | 5 | 0 | 0 | 0 | 3 | 5 | 0 | 5 | 3 | 0 | 3 |
| CKD stage 2—PGG 2 | 2 | 3 | 2 | 1 | 2 | 5 | 3 | 1 | 3 | 5 | 1 | 5 |
| CKD stage 2—PGG 3 | 0 | 0 | 0 | 1 | 0 | 0 | 0 | 1 | 0 | 0 | 1 | 0 |
| CKD stage 2—PGG 4 | 0 | 0 | 0 | 0 | 0 | 0 | 0 | 0 | 0 | 0 | 0 | 0 |
| CKD stage 2—PGG 5 | 0 | 1 | 0 | 0 | 0 | 0 | 1 | 0 | 1 | 0 | 0 | 0 |
| CKD stage 3—PGG 1 | 0 | 2 | 0 | 0 | 0 | 0 | 2 | 0 | 2 | 0 | 0 | 0 |
| CKD stage 3—PGG 2 | 0 | 1 | 0 | 1 | 0 | 3 | 1 | 1 | 1 | 3 | 1 | 3 |
| CKD stage 3—PGG 3 | 0 | 0 | 0 | 0 | 0 | 0 | 0 | 0 | 0 | 0 | 0 | 0 |
| CKD stage 3—PGG 4 | 0 | 0 | 0 | 1 | 0 | 0 | 0 | 1 | 0 | 0 | 1 | 0 |
| CKD stage 3—PGG 5 | 0 | 0 | 0 | 0 | 0 | 0 | 0 | 0 | 0 | 0 | 0 | 0 |
| Total | 4 | 36 | 4 | 9 | 4 | 23 | 33 | 9 | 36 | 23 | 9 | 23 |
| χ2; p | 4.54; 0.03 | |||||||||||
| Associations | H+T+ vs. H+T− | H+T+ vs. H−T+ | H+T+ vs. H−T− | H+T− vs. H−T+ | H+T− vs. H−T− | H−T+ vs. H−T− | ||||||
|---|---|---|---|---|---|---|---|---|---|---|---|---|
| CKD stage 1—PGG 1 | 1 | 0 | 1 | 0 | 1 | 6 | 0 | 0 | 0 | 6 | 0 | 6 |
| CKD stage 1—PGG 2 | 3 | 1 | 3 | 2 | 3 | 16 | 1 | 2 | 1 | 16 | 2 | 16 |
| CKD stage 1—PGG 3 | 1 | 1 | 1 | 0 | 1 | 2 | 1 | 0 | 1 | 2 | 0 | 2 |
| CKD stage 1—PGG 4 | 4 | 0 | 4 | 0 | 4 | 1 | 0 | 0 | 0 | 1 | 0 | 1 |
| CKD stage 1—PGG 5 | 5 | 0 | 5 | 0 | 5 | 0 | 0 | 0 | 0 | 0 | 0 | 0 |
| CKD stage 2—PGG 1 | 1 | 0 | 1 | 0 | 1 | 7 | 0 | 0 | 0 | 7 | 0 | 7 |
| CKD stage 2—PGG 2 | 1 | 1 | 1 | 5 | 1 | 4 | 1 | 5 | 1 | 4 | 5 | 4 |
| CKD stage 2—PGG 3 | 1 | 0 | 1 | 0 | 1 | 0 | 0 | 0 | 0 | 0 | 0 | 0 |
| CKD stage 2—PGG 4 | 0 | 0 | 0 | 0 | 0 | 0 | 0 | 0 | 0 | 0 | 0 | 0 |
| CKD stage 2—PGG 5 | 1 | 0 | 1 | 0 | 1 | 0 | 0 | 0 | 0 | 0 | 0 | 0 |
| CKD stage 3—PGG 1 | 0 | 0 | 0 | 0 | 0 | 2 | 0 | 0 | 0 | 2 | 0 | 2 |
| CKD stage 3—PGG 2 | 3 | 0 | 3 | 2 | 3 | 0 | 0 | 2 | 0 | 0 | 2 | 0 |
| CKD stage 3—PGG 3 | 0 | 0 | 0 | 0 | 0 | 0 | 0 | 0 | 0 | 0 | 0 | 0 |
| CKD stage 3—PGG 4 | 1 | 0 | 1 | 0 | 1 | 0 | 0 | 0 | 0 | 0 | 0 | 0 |
| CKD stage 3—PGG 5 | 0 | 0 | 0 | 0 | 0 | 0 | 0 | 0 | 0 | 0 | 0 | 0 |
| Total | 22 | 3 | 22 | 9 | 22 | 38 | 3 | 9 | 3 | 38 | 9 | 38 |
| χ2; p | 7.63; 0.0057 | 3.99; 0.046 4.18; 0.036 6.68; 0.0097 | 6.84; 0.009 4.21; 0.04 | |||||||||
Disclaimer/Publisher’s Note: The statements, opinions and data contained in all publications are solely those of the individual author(s) and contributor(s) and not of MDPI and/or the editor(s). MDPI and/or the editor(s) disclaim responsibility for any injury to people or property resulting from any ideas, methods, instructions or products referred to in the content. |
© 2023 by the authors. Licensee MDPI, Basel, Switzerland. This article is an open access article distributed under the terms and conditions of the Creative Commons Attribution (CC BY) license (https://creativecommons.org/licenses/by/4.0/).
Share and Cite
Timofte, A.D.; Caruntu, I.-D.; Covic, A.C.; Hancianu, M.; Girlescu, N.; Chifu, M.B.; Giusca, S.E. Renal Function Parameters in Distinctive Molecular Subtypes of Prostate Cancer. Cancers 2023, 15, 5013. https://doi.org/10.3390/cancers15205013
Timofte AD, Caruntu I-D, Covic AC, Hancianu M, Girlescu N, Chifu MB, Giusca SE. Renal Function Parameters in Distinctive Molecular Subtypes of Prostate Cancer. Cancers. 2023; 15(20):5013. https://doi.org/10.3390/cancers15205013
Chicago/Turabian StyleTimofte, Andrei Daniel, Irina-Draga Caruntu, Adrian C. Covic, Monica Hancianu, Nona Girlescu, Mariana Bianca Chifu, and Simona Eliza Giusca. 2023. "Renal Function Parameters in Distinctive Molecular Subtypes of Prostate Cancer" Cancers 15, no. 20: 5013. https://doi.org/10.3390/cancers15205013
APA StyleTimofte, A. D., Caruntu, I.-D., Covic, A. C., Hancianu, M., Girlescu, N., Chifu, M. B., & Giusca, S. E. (2023). Renal Function Parameters in Distinctive Molecular Subtypes of Prostate Cancer. Cancers, 15(20), 5013. https://doi.org/10.3390/cancers15205013

