Modern Stereotactic Radiotherapy for Brain Metastases from Lung Cancer: Current Trends and Future Perspectives Based on Integrated Translational Approaches
Abstract
Simple Summary
Abstract
1. Introduction
2. Stereotactic Radiosurgery (SRS)
2.1. Technical Solutions, Doses and Fractionations
2.2. SRS for Limited BMs
2.3. SRS for Polymetastatic BMs
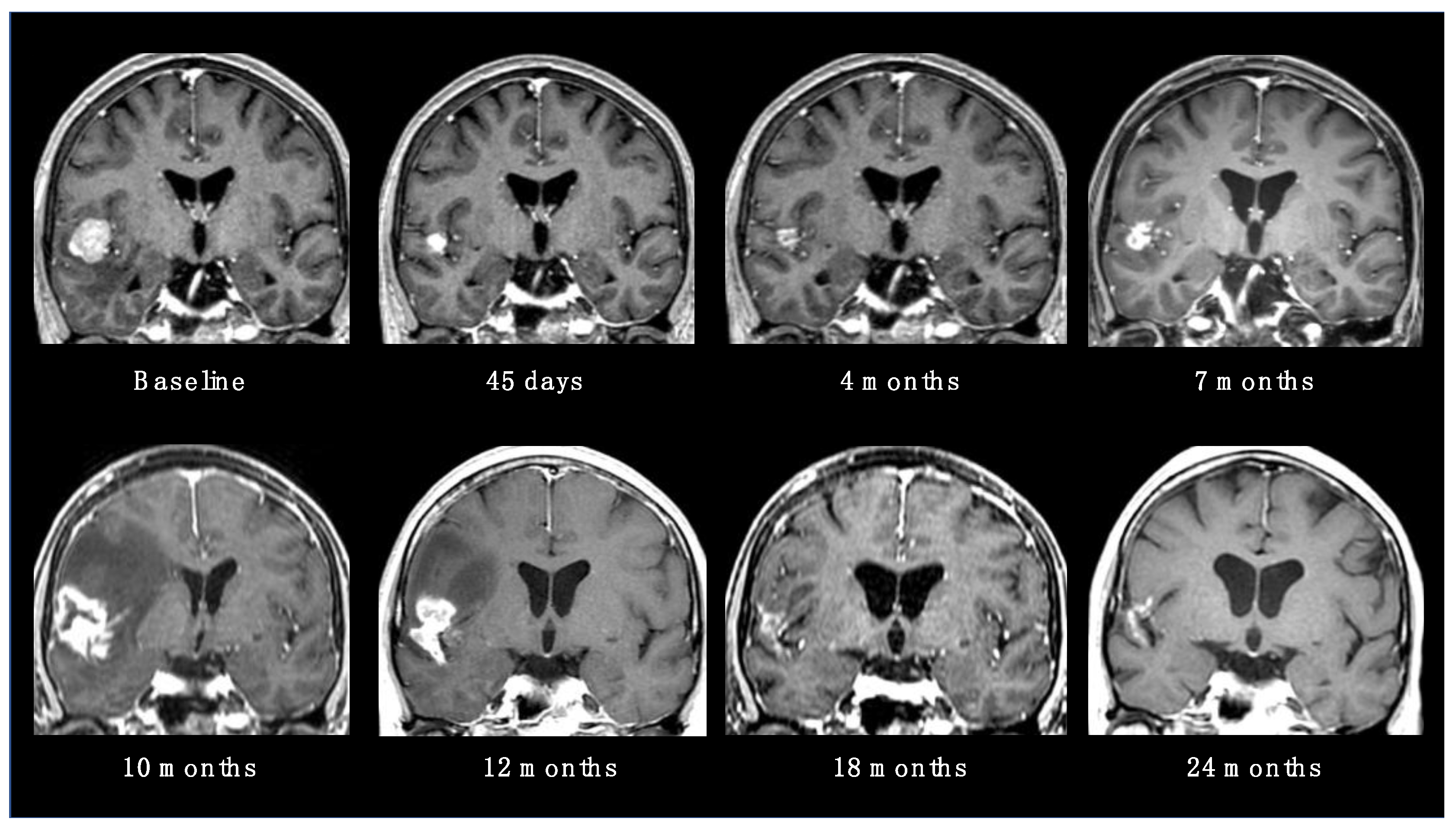
2.4. SRS Reirradiation
3. SRS and Surgery
3.1. Adjuvant SRS
3.2. Neoadjuvant SRS
4. SRS and Systemic Therapy (ST)
4.1. SRS and Immune Checkpoint Inhibitors (ICI)
4.2. SRS and Tirosine-Kinase Inhibitors (TKIs)
4.3. SRS and SCLC
5. Towards Novel Integrated Treatments: The Role of Molecular Profiling and Microenvironment Characterization
5.1. A—Molecular Profile of Lung Cancer BMs: Genomic Characterization
5.2. B—Molecular Profile of Lung Cancer BMs: Transcriptomic and Epigenetic Features
5.3. What’s Next? The Importance of Tumor Microenvironment and the Interplay with RT
6. Conclusions
Author Contributions
Funding
Conflicts of Interest
References
- Ulahannan, D.; Khalifa, J.; Faivre-Finn, C.; Lee, S.-M. Emerging Treatment Paradigms for Brain Metastasis in Non-Small-Cell Lung Cancer: An Overview of the Current Landscape and Challenges Ahead. Ann. Oncol. 2017, 28, 2923–2931. [Google Scholar] [CrossRef] [PubMed]
- Nugent, J.L.; Bunn, P.A.; Matthews, M.J.; Ihde, D.C.; Cohen, M.H.; Gazdar, A.; Minna, J.D. CNS Metastases in Small Cell Bronchogenic Carcinoma: Increasing Frequency and Changing Pattern with Lengthening Survival. Cancer 1979, 44, 1885–1893. [Google Scholar] [CrossRef] [PubMed]
- Achrol, A.S.; Rennert, R.C.; Anders, C.; Soffietti, R.; Ahluwalia, M.S.; Nayak, L.; Peters, S.; Arvold, N.D.; Harsh, G.R.; Steeg, P.S.; et al. Brain Metastases. Nat. Rev. Dis. Primers 2019, 5, 5. [Google Scholar] [CrossRef]
- Gaspar, L.; Scott, C.; Rotman, M.; Asbell, S.; Phillips, T.; Wasserman, T.; McKenna, W.G.; Byhardt, R. Recursive Partitioning Analysis (RPA) of Prognostic Factors in Three Radiation Therapy Oncology Group (RTOG) Brain Metastases Trials. Int. J. Radiat. Oncol. Biol. Phys. 1997, 37, 745–751. [Google Scholar] [CrossRef] [PubMed]
- Sperduto, P.W.; Berkey, B.; Gaspar, L.E.; Mehta, M.; Curran, W. A New Prognostic Index and Comparison to Three Other Indices for Patients With Brain Metastases: An Analysis of 1960 Patients in the RTOG Database. Int. J. Radiat. Oncol. Biol. Phys. 2008, 70, 510–514. [Google Scholar] [CrossRef] [PubMed]
- Sperduto, P.W.; Kased, N.; Roberge, D.; Xu, Z.; Shanley, R.; Luo, X.; Sneed, P.K.; Chao, S.T.; Weil, R.J.; Suh, J.; et al. Effect of Tumor Subtype on Survival and the Graded Prognostic Assessment for Patients with Breast Cancer and Brain Metastases. Int. J. Radiat. Oncol. Biol. Phys. 2012, 82, 2111–2117. [Google Scholar] [CrossRef]
- Sperduto, P.W.; Yang, T.J.; Beal, K.; Pan, H.; Brown, P.D.; Bangdiwala, A.; Shanley, R.; Yeh, N.; Gaspar, L.E.; Braunstein, S.; et al. Estimating Survival in Patients With Lung Cancer and Brain Metastases: An Update of the Graded Prognostic Assessment for Lung Cancer Using Molecular Markers (Lung-MolGPA). JAMA Oncol. 2017, 3, 827. [Google Scholar] [CrossRef] [PubMed]
- Sperduto, P.W.; De, B.; Li, J.; Carpenter, D.; Kirkpatrick, J.; Milligan, M.; Shih, H.A.; Kutuk, T.; Kotecha, R.; Higaki, H.; et al. Graded Prognostic Assessment (GPA) for Patients With Lung Cancer and Brain Metastases: Initial Report of the Small Cell Lung Cancer GPA and Update of the Non-Small Cell Lung Cancer GPA Including the Effect of Programmed Death Ligand 1 and Other Prognostic Factors. Int. J. Radiat. Oncol. Biol. Phys. 2022, 114, 60–74. [Google Scholar] [CrossRef]
- Mantovani, C.; Gastino, A.; Cerrato, M.; Badellino, S.; Ricardi, U.; Levis, M. Modern Radiation Therapy for the Management of Brain Metastases From Non-Small Cell Lung Cancer: Current Approaches and Future Directions. Front. Oncol. 2021, 11, 772789. [Google Scholar] [CrossRef]
- Chen, W.C.; Baal, U.H.; Baal, J.D.; Pai, J.S.; Boreta, L.; Braunstein, S.E.; Raleigh, D.R. Efficacy and Safety of Stereotactic Radiosurgery for Brainstem Metastases: A Systematic Review and Meta-Analysis. JAMA Oncol. 2021, 7, 1033–1040. [Google Scholar] [CrossRef] [PubMed]
- Lin, Y.-Y.; Wu, H.-M.; Yang, H.-C.; Chen, C.-J.; Hu, Y.-S.; Lin, C.-J.; Guo, W.-Y.; Pan, D.H.-C.; Chung, W.-Y.; Lee, C.-C. Stereotactic Radiosurgery for Pituitary and Cavernous Sinus Metastases. J. Neurooncol. 2023, 161, 175–184. [Google Scholar] [CrossRef]
- Mantziaris, G.; Pikis, S.; Xu, Z.; Mullen, R.; Alzate, J.; Bernstein, K.; Kondziolka, D.; Wei, Z.; Niranjan, A.; Lunsford, L.D.; et al. Stereotactic Radiosurgery for Intraventricular Metastases: A Multicenter Study. Neurosurgery 2023, 92, 565–573. [Google Scholar] [CrossRef]
- Han, E.Y.; Wang, H.; Luo, D.; Li, J.; Wang, X. Dosimetric Comparison of Fractionated Radiosurgery Plans Using Frameless Gamma Knife ICON and CyberKnife Systems with Linear Accelerator-Based Radiosurgery Plans for Multiple Large Brain Metastases. J. Neurosurg. 2019, 132, 1473–1479. [Google Scholar] [CrossRef]
- Scorsetti, M.; Navarria, P.; Cozzi, L.; Clerici, E.; Bellu, L.; Franceschini, D.; Marzo, A.M.; Franzese, C.; Torri, V.; Reggiori, G.; et al. Radiosurgery of Limited Brain Metastases from Primary Solid Tumor: Results of the Randomized Phase III Trial (NCT02355613) Comparing Treatments Executed with a Specialized or a C-Arm Linac-Based Platform. Radiat. Oncol. 2023, 18, 28. [Google Scholar] [CrossRef]
- Shaw, E.; Scott, C.; Souhami, L.; Dinapoli, R.; Bahary, J.P.; Kline, R.; Wharam, M.; Schultz, C.; Davey, P.; Loeffler, J.; et al. Radiosurgery for the Treatment of Previously Irradiated Recurrent Primary Brain Tumors and Brain Metastases: Initial Report of Radiation Therapy Oncology Group Protocol (90-05). Int. J. Radiat. Oncol. Biol. Phys. 1996, 34, 647–654. [Google Scholar] [CrossRef]
- Shaw, E.; Scott, C.; Souhami, L.; Dinapoli, R.; Kline, R.; Loeffler, J.; Farnan, N. Single Dose Radiosurgical Treatment of Recurrent Previously Irradiated Primary Brain Tumors and Brain Metastases: Final Report of RTOG Protocol 90-05. Int. J. Radiat. Oncol. Biol. Phys. 2000, 47, 291–298. [Google Scholar] [CrossRef]
- Thomsen, B.J.; Soliman, H. The Modern Management of Untreated Large (>2 cm) Brain Metastases: A Narrative Review. Chin. Clin. Oncol. 2022, 11, 16. [Google Scholar] [CrossRef]
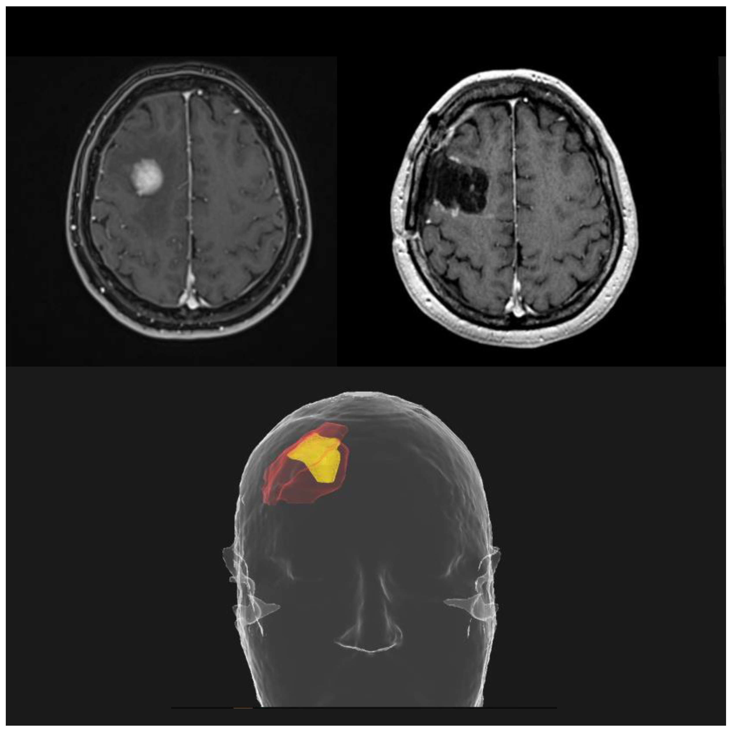
- Walker, A.J.; Ruzevick, J.; Malayeri, A.A.; Rigamonti, D.; Lim, M.; Redmond, K.J.; Kleinberg, L. Postradiation Imaging Changes in the CNS: How Can We Differentiate between Treatment Effect and Disease Progression? Future Oncol. 2014, 10, 1277–1297. [Google Scholar] [CrossRef]
- Vellayappan, B.; Tan, C.L.; Yong, C.; Khor, L.K.; Koh, W.Y.; Yeo, T.T.; Detsky, J.; Lo, S.; Sahgal, A. Diagnosis and Management of Radiation Necrosis in Patients With Brain Metastases. Front. Oncol. 2018, 8, 395. [Google Scholar] [CrossRef] [PubMed]
- Miller, J.A.; Bennett, E.E.; Xiao, R.; Kotecha, R.; Chao, S.T.; Vogelbaum, M.A.; Barnett, G.H.; Angelov, L.; Murphy, E.S.; Yu, J.S.; et al. Association Between Radiation Necrosis and Tumor Biology After Stereotactic Radiosurgery for Brain Metastasis. Int. J. Radiat. Oncol. Biol. Phys. 2016, 96, 1060–1069. [Google Scholar] [CrossRef]
- Chung, C.; Bryant, A.; Brown, P.D. Interventions for the Treatment of Brain Radionecrosis after Radiotherapy or Radiosurgery. Cochrane Database Syst. Rev. 2018, 7, CD011492. [Google Scholar] [CrossRef] [PubMed]
- Lehrer, E.J.; Peterson, J.L.; Zaorsky, N.G.; Brown, P.D.; Sahgal, A.; Chiang, V.L.; Chao, S.T.; Sheehan, J.P.; Trifiletti, D.M. Single versus Multifraction Stereotactic Radiosurgery for Large Brain Metastases: An International Meta-Analysis of 24 Trials. Int. J. Radiat. Oncol. Biol. Phys. 2019, 103, 618–630. [Google Scholar] [CrossRef] [PubMed]
- Lee, E.J.; Choi, K.-S.; Park, E.S.; Cho, Y.H. Single- and Hypofractionated Stereotactic Radiosurgery for Large (> 2 cm) Brain Metastases: A Systematic Review. J. Neurooncol. 2021, 154, 25–34. [Google Scholar] [CrossRef]
- Redmond, K.J.; Gui, C.; Benedict, S.; Milano, M.T.; Grimm, J.; Vargo, J.A.; Soltys, S.G.; Yorke, E.; Jackson, A.; El Naqa, I.; et al. Tumor Control Probability of Radiosurgery and Fractionated Stereotactic Radiosurgery for Brain Metastases. Int. J. Radiat. Oncol. Biol. Phys. 2021, 110, 53–67. [Google Scholar] [CrossRef] [PubMed]
- Milano, M.T.; Grimm, J.; Niemierko, A.; Soltys, S.G.; Moiseenko, V.; Redmond, K.J.; Yorke, E.; Sahgal, A.; Xue, J.; Mahadevan, A.; et al. Single- and Multifraction Stereotactic Radiosurgery Dose/Volume Tolerances of the Brain. Int. J. Radiat. Oncol. Biol. Phys. 2021, 110, 68–86. [Google Scholar] [CrossRef] [PubMed]
- Diez, P.; Hanna, G.G.; Aitken, K.L.; van As, N.; Carver, A.; Colaco, R.J.; Conibear, J.; Dunne, E.M.; Eaton, D.J.; Franks, K.N.; et al. UK 2022 Consensus on Normal Tissue Dose-Volume Constraints for Oligometastatic, Primary Lung and Hepatocellular Carcinoma Stereotactic Ablative Radiotherapy. Clin. Oncol. 2022, 34, 288–300. [Google Scholar] [CrossRef]
- Higuchi, Y.; Serizawa, T.; Nagano, O.; Matsuda, S.; Ono, J.; Sato, M.; Iwadate, Y.; Saeki, N. Three-Staged Stereotactic Radiotherapy without Whole Brain Irradiation for Large Metastatic Brain Tumors. Int. J. Radiat. Oncol. Biol. Phys. 2009, 74, 1543–1548. [Google Scholar] [CrossRef]
- Yomo, S.; Hayashi, M.; Nicholson, C. A Prospective Pilot Study of Two-Session Gamma Knife Surgery for Large Metastatic Brain Tumors. J. Neurooncol. 2012, 109, 159–165. [Google Scholar] [CrossRef]
- Yomo, S.; Hayashi, M. A Minimally Invasive Treatment Option for Large Metastatic Brain Tumors: Long-Term Results of Two-Session Gamma Knife Stereotactic Radiosurgery. Radiat. Oncol. 2014, 9, 132. [Google Scholar] [CrossRef] [PubMed]
- Angelov, L.; Mohammadi, A.M.; Bennett, E.E.; Abbassy, M.; Elson, P.; Chao, S.T.; Montgomery, J.S.; Habboub, G.; Vogelbaum, M.A.; Suh, J.H.; et al. Impact of 2-Staged Stereotactic Radiosurgery for Treatment of Brain Metastases ≥ 2 cm. J. Neurosurg. 2018, 129, 366–382. [Google Scholar] [CrossRef] [PubMed]
- Dohm, A.; McTyre, E.R.; Okoukoni, C.; Henson, A.; Cramer, C.K.; LeCompte, M.C.; Ruiz, J.; Munley, M.T.; Qasem, S.; Lo, H.-W.; et al. Staged Stereotactic Radiosurgery for Large Brain Metastases: Local Control and Clinical Outcomes of a One-Two Punch Technique. Neurosurgery 2018, 83, 114–121. [Google Scholar] [CrossRef] [PubMed]
- Yamamoto, M.; Higuchi, Y.; Serizawa, T.; Kawabe, T.; Nagano, O.; Sato, Y.; Koiso, T.; Watanabe, S.; Aiyama, H.; Kasuya, H. Three-Stage Gamma Knife Treatment for Metastatic Brain Tumors Larger than 10 cm3: A 2-Institute Study Including Re-Analyses of Earlier Results Using Competing Risk Analysis. J. Neurosurg. 2018, 129, 77–85. [Google Scholar] [CrossRef]
- Ginalis, E.E.; Cui, T.; Weiner, J.; Nie, K.; Danish, S. Two-Staged Stereotactic Radiosurgery for the Treatment of Large Brain Metastases: Single Institution Experience and Review of Literature. J. Radiosurg. SBRT 2020, 7, 105–114. [Google Scholar] [PubMed]
- Ito, D.; Aoyagi, K.; Nagano, O.; Serizawa, T.; Iwadate, Y.; Higuchi, Y. Comparison of Two-Stage Gamma Knife Radiosurgery Outcomes for Large Brain Metastases among Primary Cancers. J. Neurooncol. 2020, 147, 237–246. [Google Scholar] [CrossRef] [PubMed]
- Damron, E.P.; Dono, A.; Chafi, H.; Martir, M.; Yu, T.-K.; Khwaja, S.; Amsbaugh, M.; Tandon, N.; Esquenazi, Y.; Blanco, A.I. Metastatic Neoplasm Volume Kinetics Following 2-Stage Stereotactic Radiosurgery. World Neurosurg. 2022, 161, e210–e219. [Google Scholar] [CrossRef]
- Patchell, R.A.; Tibbs, P.A.; Walsh, J.W.; Dempsey, R.J.; Maruyama, Y.; Kryscio, R.J.; Markesbery, W.R.; Macdonald, J.S.; Young, B. A Randomized Trial of Surgery in the Treatment of Single Metastases to the Brain. N. Engl. J. Med. 1990, 322, 494–500. [Google Scholar] [CrossRef]
- Vecht, C.J.; Haaxma-Reiche, H.; Noordijk, E.M.; Padberg, G.W.; Voormolen, J.H.C.; Hoekstra, F.H.; Tans, J.T.J.; Lambooij, N.; Metsaars, J.A.L.; Wattendorff, A.R.; et al. Treatment of Single Brain Metastasis: Radiotherapy Alone or Combined with Neurosurgery. Ann. Neurol. 1993, 33, 583–590. [Google Scholar] [CrossRef]
- Noordijk, E.M.; Vecht, C.J.; Haaxma-Reiche, H.; Padberg, G.W.; Voormolen, J.H.C.; Hoekstra, F.H.; Tans, J.T.J.; Lambooij, N.; Metsaars, J.A.L.; Wattendorff, A.R.; et al. The Choice of Treatment of Single Brain Metastasis Should Be Based on Extracranial Tumor Activity and Age. Int. J. Radiat. Oncol. Biol. Phys. 1994, 29, 711–717. [Google Scholar] [CrossRef]
- Mintz, A.H.; Kestle, J.; Rathbone, M.P.; Gaspar, L.; Hugenholtz, H.; Fisher, B.; Duncan, G.; Skingley, P.; Foster, G.; Levine, M. A Randomized Trial to Assess the Efficacy of Surgery in Addition to Radiotherapy in Patients with a Single Cerebral Metastasis. Cancer 1996, 78, 1470–1476. [Google Scholar] [CrossRef]
- Andrews, D.W.; Scott, C.B.; Sperduto, P.W.; Flanders, A.E.; Gaspar, L.E.; Schell, M.C.; Werner-Wasik, M.; Demas, W.; Ryu, J.; Bahary, J.-P.; et al. Whole Brain Radiation Therapy with or without Stereotactic Radiosurgery Boost for Patients with One to Three Brain Metastases: Phase III Results of the RTOG 9508 Randomised Trial. Lancet 2004, 363, 1665–1672. [Google Scholar] [CrossRef]
- Aoyama, H.; Shirato, H.; Tago, M.; Nakagawa, K.; Toyoda, T.; Hatano, K.; Kenjyo, M.; Oya, N.; Hirota, S.; Shioura, H.; et al. Stereotactic Radiosurgery Plus Whole-Brain Radiation Therapy vs. Stereotactic Radiosurgery Alone for Treatment of Brain Metastases: A Randomized Controlled Trial. JAMA 2006, 295, 2483. [Google Scholar] [CrossRef] [PubMed]
- Chang, E.L.; Wefel, J.S.; Hess, K.R.; Allen, P.K.; Lang, F.F.; Kornguth, D.G.; Arbuckle, R.B.; Swint, J.M.; Shiu, A.S.; Maor, M.H.; et al. Neurocognition in Patients with Brain Metastases Treated with Radiosurgery or Radiosurgery plus Whole-Brain Irradiation: A Randomised Controlled Trial. Lancet Oncol. 2009, 10, 1037–1044. [Google Scholar] [CrossRef]
- Kocher, M.; Soffietti, R.; Abacioglu, U.; Villà, S.; Fauchon, F.; Baumert, B.G.; Fariselli, L.; Tzuk-Shina, T.; Kortmann, R.-D.; Carrie, C.; et al. Adjuvant Whole-Brain Radiotherapy Versus Observation After Radiosurgery or Surgical Resection of One to Three Cerebral Metastases: Results of the EORTC 22952-26001 Study. JCO 2011, 29, 134–141. [Google Scholar] [CrossRef]
- Brown, P.D.; Jaeckle, K.; Ballman, K.V.; Farace, E.; Cerhan, J.H.; Anderson, S.K.; Carrero, X.W.; Barker, F.G.; Deming, R.; Burri, S.H.; et al. Effect of Radiosurgery Alone vs. Radiosurgery with Whole Brain Radiation Therapy on Cognitive Function in Patients With 1 to 3 Brain Metastases: A Randomized Clinical Trial. JAMA 2016, 316, 401. [Google Scholar] [CrossRef] [PubMed]
- Sahgal, A.; Aoyama, H.; Kocher, M.; Neupane, B.; Collette, S.; Tago, M.; Shaw, P.; Beyene, J.; Chang, E.L. Phase 3 Trials of Stereotactic Radiosurgery With or Without Whole-Brain Radiation Therapy for 1 to 4 Brain Metastases: Individual Patient Data Meta-Analysis. Int. J. Radiat. Oncol. Biol. Phys. 2015, 91, 710–717. [Google Scholar] [CrossRef] [PubMed]
- Soffietti, R.; Kocher, M.; Abacioglu, U.M.; Villa, S.; Fauchon, F.; Baumert, B.G.; Fariselli, L.; Tzuk-Shina, T.; Kortmann, R.-D.; Carrie, C.; et al. A European Organisation for Research and Treatment of Cancer Phase III Trial of Adjuvant Whole-Brain Radiotherapy Versus Observation in Patients With One to Three Brain Metastases From Solid Tumors After Surgical Resection or Radiosurgery: Quality-of-Life Results. JCO 2013, 31, 65–72. [Google Scholar] [CrossRef]
- Aoyama, H.; Tago, M.; Shirato, H. Japanese Radiation Oncology Study Group 99-1 (JROSG 99-1) Investigators Stereotactic Radiosurgery With or Without Whole-Brain Radiotherapy for Brain Metastases: Secondary Analysis of the JROSG 99-1 Randomized Clinical Trial. JAMA Oncol. 2015, 1, 457–464. [Google Scholar] [CrossRef]
- Churilla, T.M.; Handorf, E.; Collette, S.; Collette, L.; Dong, Y.; Aizer, A.A.; Kocher, M.; Soffietti, R.; Alexander, B.M.; Weiss, S.E. Whole Brain Radiotherapy after Stereotactic Radiosurgery or Surgical Resection among Patients with One to Three Brain Metastases and Favorable Prognoses: A Secondary Analysis of EORTC 22952-26001. Ann. Oncol. 2017, 28, 2588–2594. [Google Scholar] [CrossRef]
- Churilla, T.M.; Ballman, K.V.; Brown, P.D.; Twohy, E.L.; Jaeckle, K.; Farace, E.; Cerhan, J.H.; Anderson, S.K.; Carrero, X.W.; Garces, Y.I.; et al. Stereotactic Radiosurgery With or Without Whole-Brain Radiation Therapy for Limited Brain Metastases: A Secondary Analysis of the North Central Cancer Treatment Group N0574 (Alliance) Randomized Controlled Trial. Int. J. Radiat. Oncol. Biol. Phys. 2017, 99, 1173–1178. [Google Scholar] [CrossRef]
- Soffietti, R.; Abacioglu, U.; Baumert, B.; Combs, S.E.; Kinhult, S.; Kros, J.M.; Marosi, C.; Metellus, P.; Radbruch, A.; Villa Freixa, S.S.; et al. Diagnosis and Treatment of Brain Metastases from Solid Tumors: Guidelines from the European Association of Neuro-Oncology (EANO). Neuro-Oncology 2017, 19, 162–174. [Google Scholar] [CrossRef]
- Le Rhun, E.; Guckenberger, M.; Smits, M.; Dummer, R.; Bachelot, T.; Sahm, F.; Galldiks, N.; de Azambuja, E.; Berghoff, A.S.; Metellus, P.; et al. EANO-ESMO Clinical Practice Guidelines for Diagnosis, Treatment and Follow-up of Patients with Brain Metastasis from Solid Tumours. Ann. Oncol. 2021, 32, 1332–1347. [Google Scholar] [CrossRef]
- Vogelbaum, M.A.; Brown, P.D.; Messersmith, H.; Brastianos, P.K.; Burri, S.; Cahill, D.; Dunn, I.F.; Gaspar, L.E.; Gatson, N.T.N.; Gondi, V.; et al. Treatment for Brain Metastases: ASCO-SNO-ASTRO Guideline. J. Clin. Oncol. 2022, 40, 492–516. [Google Scholar] [CrossRef] [PubMed]
- Gondi, V.; Bauman, G.; Bradfield, L.; Burri, S.H.; Cabrera, A.R.; Cunningham, D.A.; Eaton, B.R.; Hattangadi-Gluth, J.A.; Kim, M.M.; Kotecha, R.; et al. Radiation Therapy for Brain Metastases: An ASTRO Clinical Practice Guideline. Pract. Radiat. Oncol. 2022, 12, 265–282. [Google Scholar] [CrossRef] [PubMed]
- Brown, P.D.; Ahluwalia, M.S.; Khan, O.H.; Asher, A.L.; Wefel, J.S.; Gondi, V. Whole-Brain Radiotherapy for Brain Metastases: Evolution or Revolution? J. Clin. Oncol. 2018, 36, 483–491. [Google Scholar] [CrossRef]
- Sahgal, A.; Ruschin, M.; Ma, L.; Verbakel, W.; Larson, D.; Brown, P.D. Stereotactic Radiosurgery Alone for Multiple Brain Metastases? A Review of Clinical and Technical Issues. Neuro-Oncology 2017, 19, ii2–ii15. [Google Scholar] [CrossRef]
- Amaya, D.; Shinde, A.; Wohlers, C.; Wong, K.C.C.; Novak, J.; Neylon, J.; Han, C.; Liu, A.; Dandapani, S.; Glaser, S. Dosimetric Comparison of Multiple vs Single Isocenter Technique for Linear Accelerator-Based Stereotactic Radiosurgery: The Importance of the Six Degree Couch. J. Appl. Clin. Med. Phys. 2021, 22, 45–49. [Google Scholar] [CrossRef]
- Bodensohn, R.; Kaempfel, A.-L.; Fleischmann, D.F.; Hadi, I.; Hofmaier, J.; Garny, S.; Reiner, M.; Forbrig, R.; Corradini, S.; Thon, N.; et al. Simultaneous Stereotactic Radiosurgery of Multiple Brain Metastases Using Single-Isocenter Dynamic Conformal Arc Therapy: A Prospective Monocentric Registry Trial. Strahlenther. Onkol. 2021, 197, 601–613. [Google Scholar] [CrossRef]
- Kim, G.J.; Buckley, E.D.; Herndon, J.E.; Allen, K.J.; Dale, T.S.; Adamson, J.D.; Lay, L.; Giles, W.M.; Rodrigues, A.E.; Wang, Z.; et al. Outcomes in Patients With 4 to 10 Brain Metastases Treated With Dose-Adapted Single-Isocenter Multitarget Stereotactic Radiosurgery: A Prospective Study. Adv. Radiat. Oncol. 2021, 6, 100760. [Google Scholar] [CrossRef]
- Kraft, J.; van Timmeren, J.E.; Mayinger, M.; Frei, S.; Borsky, K.; Stark, L.S.; Krayenbuehl, J.; Zamburlini, M.; Guckenberger, M.; Tanadini-Lang, S.; et al. Distance to Isocenter Is Not Associated with an Increased Risk for Local Failure in LINAC-Based Single-Isocenter SRS or SRT for Multiple Brain Metastases. Radiother. Oncol. 2021, 159, 168–175. [Google Scholar] [CrossRef]
- Yamamoto, M.; Ide, M.; Jimbo, M.; Aiba, M.; Ito, M.; Hirai, T.; Usukura, M. Gamma Knife Radiosurgery with Numerous Target Points for Intracranially Disseminated Metastases. In Radiosurgery 1997; Karger Publishers: Basel, Switzerland, 1998; Volume 2, pp. 94–109. [Google Scholar]
- Yamamoto, M.; Kawabe, T.; Sato, Y.; Higuchi, Y.; Nariai, T.; Barfod, B.E.; Kasuya, H.; Urakawa, Y. A Case-Matched Study of Stereotactic Radiosurgery for Patients with Multiple Brain Metastases: Comparing Treatment Results for 1-4 vs. ≥ 5 Tumors: Clinical Article. J. Neurosurg. 2013, 118, 1258–1268. [Google Scholar] [CrossRef] [PubMed]
- Yamamoto, M.; Kawabe, T.; Sato, Y.; Higuchi, Y.; Nariai, T.; Watanabe, S.; Kasuya, H. Stereotactic Radiosurgery for Patients with Multiple Brain Metastases: A Case-Matched Study Comparing Treatment Results for Patients with 2–9 versus 10 or More Tumors. J. Neurosurg. 2014, 121, 16–25. [Google Scholar] [CrossRef] [PubMed]
- Yamamoto, M.; Sato, Y.; Higuchi, Y.; Kasuya, H.; Barfod, B.E. A Cohort Study of Stereotactic Radiosurgery Results for Patients With 5 to 15 Versus 2 to 4 Brain Metastatic Tumors. Adv. Radiat. Oncol. 2020, 5, 358–368. [Google Scholar] [CrossRef] [PubMed]
- Yamamoto, M.; Serizawa, T.; Sato, Y.; Higuchi, Y.; Kasuya, H. Stereotactic Radiosurgery Results for Patients with 5–10 versus 11-20 Brain Metastases: A Retrospective Cohort Study Combining 2 Databases Totaling 2319 Patients. World Neurosurg. 2021, 146, e479–e491. [Google Scholar] [CrossRef]
- Hughes, R.T.; McTyre, E.R.; LeCompte, M.; Cramer, C.K.; Munley, M.T.; Laxton, A.W.; Tatter, S.B.; Ruiz, J.; Pasche, B.; Watabe, K.; et al. Clinical Outcomes of Upfront Stereotactic Radiosurgery Alone for Patients With 5 to 15 Brain Metastases. Neurosurgery 2019, 85, 257–263. [Google Scholar] [CrossRef] [PubMed]
- Yamamoto, M.; Serizawa, T.; Shuto, T.; Akabane, A.; Higuchi, Y.; Kawagishi, J.; Yamanaka, K.; Sato, Y.; Jokura, H.; Yomo, S.; et al. Stereotactic Radiosurgery for Patients with Multiple Brain Metastases (JLGK0901): A Multi-Institutional Prospective Observational Study. Lancet Oncol. 2014, 15, 387–395. [Google Scholar] [CrossRef]
- Nichol, A.; Ma, R.; Hsu, F.; Gondara, L.; Carolan, H.; Olson, R.; Schellenberg, D.; Germain, F.; Cheung, A.; Peacock, M.; et al. Volumetric Radiosurgery for 1 to 10 Brain Metastases: A Multicenter, Single-Arm, Phase 2 Study. Int. J. Radiat. Oncol. Biol. Phys. 2016, 94, 312–321. [Google Scholar] [CrossRef]
- Hartgerink, D.; Bruynzeel, A.; Eekers, D.; Swinnen, A.; Hurkmans, C.; Wiggenraad, R.; Swaak-Kragten, A.; Dieleman, E.; van der Toorn, P.-P.; Oei, B.; et al. A Dutch Phase III Randomized Multicenter Trial: Whole Brain Radiotherapy versus Stereotactic Radiotherapy for 4–10 Brain Metastases. Neurooncol. Adv. 2021, 3, vdab021. [Google Scholar] [CrossRef]
- Li, J.; Ludmir, E.B.; Wang, Y.; Guha-Thakurta, N.; McAleer, M.F.; Settle, S.H.; Yeboa, D.N.; Ghia, A.J.; McGovern, S.L.; Chung, C.; et al. Stereotactic Radiosurgery versus Whole-Brain Radiation Therapy for Patients with 4–15 Brain Metastases: A Phase III Randomized Controlled Trial. Int. J. Radiat. Oncol. Biol. Phys. 2020, 108, S21–S22. [Google Scholar] [CrossRef]
- Bhatnagar, A.K.; Flickinger, J.C.; Kondziolka, D.; Lunsford, L.D. Stereotactic Radiosurgery for Four or More Intracranial Metastases. Int. J. Radiat. Oncol. Biol. Phys. 2006, 64, 898–903. [Google Scholar] [CrossRef] [PubMed]
- Banfill, K.E.; Bownes, P.J.; St Clair, S.E.; Loughrey, C.; Hatfield, P. Stereotactic Radiosurgery for the Treatment of Brain Metastases: Impact of Cerebral Disease Burden on Survival. Br. J. Neurosurg. 2012, 26, 674–678. [Google Scholar] [CrossRef] [PubMed]
- Farris, M.; McTyre, E.R.; Cramer, C.K.; Hughes, R.; Randolph, D.M.; Ayala-Peacock, D.N.; Bourland, J.D.; Ruiz, J.; Watabe, K.; Laxton, A.W.; et al. Brain Metastasis Velocity: A Novel Prognostic Metric Predictive of Overall Survival and Freedom From Whole-Brain Radiation Therapy After Distant Brain Failure Following Upfront Radiosurgery Alone. Int. J. Radiat. Oncol. Biol. Phys. 2017, 98, 131–141. [Google Scholar] [CrossRef]
- Yamamoto, M.; Aiyama, H.; Koiso, T.; Watanabe, S.; Kawabe, T.; Sato, Y.; Higuchi, Y.; Kasuya, H.; Barfod, B.E. Validity of a Recently Proposed Prognostic Grading Index, Brain Metastasis Velocity, for Patients With Brain Metastasis Undergoing Multiple Radiosurgical Procedures. Int. J. Radiat. Oncol. Biol. Phys. 2019, 103, 631–637. [Google Scholar] [CrossRef] [PubMed]
- Hanssens, P.; Karlsson, B.; Yeo, T.T.; Chou, N.; Beute, G. Detection of Brain Micrometastases by High-Resolution Stereotactic Magnetic Resonance Imaging and Its Impact on the Timing of and Risk for Distant Recurrences. J. Neurosurg. 2011, 115, 499–504. [Google Scholar] [CrossRef] [PubMed]
- Shultz, D.B.; Modlin, L.A.; Jayachandran, P.; Von Eyben, R.; Gibbs, I.C.; Choi, C.Y.H.; Chang, S.D.; Harsh, G.R.; Li, G.; Adler, J.R.; et al. Repeat Courses of Stereotactic Radiosurgery (SRS), Deferring Whole-Brain Irradiation, for New Brain Metastases After Initial SRS. Int. J. Radiat. Oncol. Biol. Phys. 2015, 92, 993–999. [Google Scholar] [CrossRef] [PubMed]
- Benjamin, C.G.; Gurewitz, J.; Kavi, A.; Bernstein, K.; Silverman, J.; Mureb, M.; Donahue, B.; Kondziolka, D. Survival and Outcomes in Patients with ≥ 25 Cumulative Brain Metastases Treated with Stereotactic Radiosurgery. J. Neurosurg. 2021, 137, 571–581. [Google Scholar] [CrossRef] [PubMed]
- Mariya, Y.; Sekizawa, G.; Matsuoka, Y.; Seki, H.; Sugawara, T. Outcome of Stereotactic Radiosurgery for Patients with Non-Small Cell Lung Cancer Metastatic to the Brain. J. Radiat. Res. 2010, 51, 333–342. [Google Scholar] [CrossRef][Green Version]
- Lee, W.-J.; Choi, J.-W.; Kong, D.-S.; Seol, H.J.; Nam, D.-H.; Lee, J.-I. Clinical Outcomes of Patients with Multiple Courses of Radiosurgery for Brain Metastases from Non-Small Cell Lung Cancer. Sci. Rep. 2022, 12, 10712. [Google Scholar] [CrossRef] [PubMed]
- Wilcox, J.A.; Brown, S.; Reiner, A.S.; Young, R.J.; Chen, J.; Bale, T.A.; Rosenblum, M.K.; Newman, W.C.; Brennan, C.W.; Tabar, V.; et al. Salvage Resection of Recurrent Previously Irradiated Brain Metastases: Tumor Control and Radiation Necrosis Dependency on Adjuvant Re-Irradiation. J. Neurooncol. 2021, 155, 277–286. [Google Scholar] [CrossRef]
- Kim, I.-Y.; Jung, S.; Jung, T.-Y.; Moon, K.-S.; Jang, W.-Y.; Park, J.-Y.; Song, T.-W.; Lim, S.-H. Repeat Stereotactic Radiosurgery for Recurred Metastatic Brain Tumors. J. Korean Neurosurg. Soc. 2018, 61, 633–639. [Google Scholar] [CrossRef] [PubMed]
- Sneed, P.K.; Chan, J.W.; Ma, L.; Braunstein, S.E.; Theodosopoulos, P.V.; Fogh, S.E.; Nakamura, J.L.; Boreta, L.; Raleigh, D.R.; Ziemer, B.P.; et al. Adverse Radiation Effect and Freedom from Progression Following Repeat Stereotactic Radiosurgery for Brain Metastases. J. Neurosurg. 2023, 138, 104–112. [Google Scholar] [CrossRef]
- Loi, M.; Caini, S.; Scoccianti, S.; Bonomo, P.; De Vries, K.; Francolini, G.; Simontacchi, G.; Greto, D.; Desideri, I.; Meattini, I.; et al. Stereotactic Reirradiation for Local Failure of Brain Metastases Following Previous Radiosurgery: Systematic Review and Meta-Analysis. Crit. Rev. Oncol. Hematol. 2020, 153, 103043. [Google Scholar] [CrossRef] [PubMed]
- Singh, R.; Didwania, P.; Lehrer, E.J.; Palmer, J.D.; Trifiletti, D.M.; Sheehan, J.P. Repeat Stereotactic Radiosurgery for Locally Recurrent Brain Metastases Previously Treated with Stereotactic Radiosurgery: A Systematic Review and Meta-Analysis of Efficacy and Safety. J. Radiosurg. SBRT 2022, 8, 1–10. [Google Scholar]
- Kowalchuk, R.O.; Niranjan, A.; Lee, C.-C.; Yang, H.-C.; Liscak, R.; Guseynova, K.; Tripathi, M.; Kumar, N.; Peker, S.; Samanci, Y.; et al. Reirradiation With Stereotactic Radiosurgery After Local or Marginal Recurrence of Brain Metastases From Previous Radiosurgery. Int. J. Radiat. Oncol. Biol. Phys. 2022, 112, 726–734. [Google Scholar] [CrossRef]
- Yan, M.; Lee, M.; Myrehaug, S.; Tseng, C.-L.; Detsky, J.; Chen, H.; Das, S.; Yeboah, C.; Lipsman, N.; Costa, L.D.; et al. Hypofractionated Stereotactic Radiosurgery (HSRS) as a Salvage Treatment for Brain Metastases Failing Prior Stereotactic Radiosurgery (SRS). J. Neurooncol. 2023, 162, 119–128. [Google Scholar] [CrossRef] [PubMed]
- Patchell, R.A.; Tibbs, P.A.; Regine, W.F.; Dempsey, R.J.; Mohiuddin, M.; Kryscio, R.J.; Markesbery, W.R.; Foon, K.A.; Young, B. Postoperative Radiotherapy in the Treatment of Single Metastases to the Brain: A Randomized Trial. JAMA 1998, 280, 1485–1489. [Google Scholar] [CrossRef]
- Tewarie, I.A.; Jessurun, C.A.C.; Hulsbergen, A.F.C.; Smith, T.R.; Mekary, R.A.; Broekman, M.L.D. Leptomeningeal Disease in Neurosurgical Brain Metastases Patients: A Systematic Review and Meta-Analysis. Neurooncol. Adv. 2021, 3, vdab162. [Google Scholar] [CrossRef]
- Kayama, T.; Sato, S.; Sakurada, K.; Mizusawa, J.; Nishikawa, R.; Narita, Y.; Sumi, M.; Miyakita, Y.; Kumabe, T.; Sonoda, Y.; et al. Effects of Surgery With Salvage Stereotactic Radiosurgery Versus Surgery With Whole-Brain Radiation Therapy in Patients With One to Four Brain Metastases (JCOG0504): A Phase III, Noninferiority, Randomized Controlled Trial. J. Clin. Oncol. 2018, 36, 3282–3289. [Google Scholar] [CrossRef] [PubMed]
- Akanda, Z.Z.; Hong, W.; Nahavandi, S.; Haghighi, N.; Phillips, C.; Kok, D.L. Post-Operative Stereotactic Radiosurgery Following Excision of Brain Metastases: A Systematic Review and Meta-Analysis. Radiother. Oncol. 2020, 142, 27–35. [Google Scholar] [CrossRef]
- Mahajan, A.; Ahmed, S.; McAleer, M.F.; Weinberg, J.S.; Li, J.; Brown, P.; Settle, S.; Prabhu, S.S.; Lang, F.F.; Levine, N.; et al. Post-Operative Stereotactic Radiosurgery versus Observation for Completely Resected Brain Metastases: A Single-Centre, Randomised, Controlled, Phase 3 Trial. Lancet Oncol. 2017, 18, 1040–1048. [Google Scholar] [CrossRef]
- Brown, P.D.; Ballman, K.V.; Cerhan, J.H.; Anderson, S.K.; Carrero, X.W.; Whitton, A.C.; Greenspoon, J.; Parney, I.F.; Laack, N.N.I.; Ashman, J.B.; et al. Postoperative Stereotactic Radiosurgery Compared with Whole Brain Radiotherapy for Resected Metastatic Brain Disease (NCCTG N107C/CEC·3): A Multicentre, Randomised, Controlled, Phase 3 Trial. Lancet Oncol. 2017, 18, 1049–1060. [Google Scholar] [CrossRef]
- Palmer, J.D.; Klamer, B.G.; Ballman, K.V.; Brown, P.D.; Cerhan, J.H.; Anderson, S.K.; Carrero, X.W.; Whitton, A.C.; Greenspoon, J.; Parney, I.F.; et al. Association of Long-Term Outcomes With Stereotactic Radiosurgery vs Whole-Brain Radiotherapy for Resected Brain Metastasis: A Secondary Analysis of The N107C/CEC.3 (Alliance for Clinical Trials in Oncology/Canadian Cancer Trials Group) Randomized Clinical Trial. JAMA Oncol. 2022, 8, 1809–1815. [Google Scholar] [CrossRef] [PubMed]
- Breen, W.; Dooley, K.E.; Twohy, E.; Brown, P.D.; Ballman, K.; Cerhan, J.H.; Urbanic, J.J.; Whitton, A.C.; Greenspoon, J.; Parney, I.F.; et al. Patterns of Failure after Stereotactic Radiosurgery vs. Whole Brain Radiotherapy for Resected Brain Metastases: Central Imaging Review of the N107C/CEC.3 (Alliance) Phase III Clinical Trial. Int. J. Radiat. Oncol. Biol. Phys. 2022, 114, 1063–1064. [Google Scholar] [CrossRef]
- Minniti, G.; Esposito, V.; Clarke, E.; Scaringi, C.; Lanzetta, G.; Salvati, M.; Raco, A.; Bozzao, A.; Maurizi Enrici, R. Multidose Stereotactic Radiosurgery (9 Gy × 3) of the Postoperative Resection Cavity for Treatment of Large Brain Metastases. Int. J. Radiat. Oncol. Biol. Phys. 2013, 86, 623–629. [Google Scholar] [CrossRef] [PubMed]
- Keller, A.; Doré, M.; Cebula, H.; Thillays, F.; Proust, F.; Darié, I.; Martin, S.-A.; Delpon, G.; Lefebvre, F.; Noël, G.; et al. Hypofractionated Stereotactic Radiation Therapy to the Resection Bed for Intracranial Metastases. Int. J. Radiat. Oncol. Biol. Phys. 2017, 99, 1179–1189. [Google Scholar] [CrossRef]
- Faruqi, S.; Ruschin, M.; Soliman, H.; Myrehaug, S.; Zeng, K.L.; Husain, Z.; Atenafu, E.; Tseng, C.-L.; Das, S.; Perry, J.; et al. Adverse Radiation Effect After Hypofractionated Stereotactic Radiosurgery in 5 Daily Fractions for Surgical Cavities and Intact Brain Metastases. Int. J. Radiat. Oncol. Biol. Phys. 2020, 106, 772–779. [Google Scholar] [CrossRef] [PubMed]
- Shi, S.; Sandhu, N.; Jin, M.C.; Wang, E.; Jaoude, J.A.; Schofield, K.; Zhang, C.; Liu, E.; Gibbs, I.C.; Hancock, S.L.; et al. Stereotactic Radiosurgery for Resected Brain Metastases: Single-Institutional Experience of Over 500 Cavities. Int. J. Radiat. Oncol. Biol. Phys. 2020, 106, 764–771. [Google Scholar] [CrossRef] [PubMed]
- Eitz, K.A.; Lo, S.S.; Soliman, H.; Sahgal, A.; Theriault, A.; Pinkham, M.B.; Foote, M.C.; Song, A.J.; Shi, W.; Redmond, K.J.; et al. Multi-Institutional Analysis of Prognostic Factors and Outcomes After Hypofractionated Stereotactic Radiotherapy to the Resection Cavity in Patients With Brain Metastases. JAMA Oncol. 2020, 6, 1901–1909. [Google Scholar] [CrossRef]
- Soliman, H.; Ruschin, M.; Angelov, L.; Brown, P.D.; Chiang, V.L.S.; Kirkpatrick, J.P.; Lo, S.S.; Mahajan, A.; Oh, K.S.; Sheehan, J.P.; et al. Consensus Contouring Guidelines for Postoperative Completely Resected Cavity Stereotactic Radiosurgery for Brain Metastases. Int. J. Radiat. Oncol. Biol. Phys. 2018, 100, 436–442. [Google Scholar] [CrossRef]
- Minniti, G.; Niyazi, M.; Andratschke, N.; Guckenberger, M.; Palmer, J.D.; Shih, H.A.; Lo, S.S.; Soltys, S.; Russo, I.; Brown, P.D.; et al. Current Status and Recent Advances in Resection Cavity Irradiation of Brain Metastases. Radiat. Oncol. 2021, 16, 73. [Google Scholar] [CrossRef] [PubMed]
- Foreman, P.M.; Jackson, B.E.; Singh, K.P.; Romeo, A.K.; Guthrie, B.L.; Fisher, W.S.; Riley, K.O.; Markert, J.M.; Willey, C.D.; Bredel, M.; et al. Postoperative Radiosurgery for the Treatment of Metastatic Brain Tumor: Evaluation of Local Failure and Leptomeningeal Disease. J. Clin. Neurosci. 2018, 49, 48–55. [Google Scholar] [CrossRef]
- Rajkumar, S.; Liang, Y.; Wegner, R.E.; Shepard, M.J. Utilization of Neoadjuvant Stereotactic Radiosurgery for the Treatment of Brain Metastases Requiring Surgical Resection: A Topic Review. J. Neurooncol. 2022, 160, 691–705. [Google Scholar] [CrossRef] [PubMed]
- Asher, A.L.; Burri, S.H.; Wiggins, W.F.; Kelly, R.P.; Boltes, M.O.; Mehrlich, M.; Norton, H.J.; Fraser, R.W. A New Treatment Paradigm: Neoadjuvant Radiosurgery Before Surgical Resection of Brain Metastases With Analysis of Local Tumor Recurrence. Int. J. Radiat. Oncol. Biol. Phys. 2014, 88, 899–906. [Google Scholar] [CrossRef] [PubMed]
- Patel, K.R.; Burri, S.H.; Asher, A.L.; Crocker, I.R.; Fraser, R.W.; Zhang, C.; Chen, Z.; Kandula, S.; Zhong, J.; Press, R.H.; et al. Comparing Preoperative With Postoperative Stereotactic Radiosurgery for Resectable Brain Metastases: A Multi-Institutional Analysis. Neurosurgery 2016, 79, 279–285. [Google Scholar] [CrossRef]
- Patel, K.R.; Burri, S.H.; Boselli, D.; Symanowski, J.T.; Asher, A.L.; Sumrall, A.; Fraser, R.W.; Press, R.H.; Zhong, J.; Cassidy, R.J.; et al. Comparing Pre-Operative Stereotactic Radiosurgery (SRS) to Post-Operative Whole Brain Radiation Therapy (WBRT) for Resectable Brain Metastases: A Multi-Institutional Analysis. J. Neurooncol. 2017, 131, 611–618. [Google Scholar] [CrossRef]
- Patel, A.R.; Nedzi, L.; Lau, S.; Barnett, S.L.; Mickey, B.E.; Moore, W.; Bindal, S.; Wardak, Z.; Dan, T.; Timmerman, R.; et al. Neoadjuvant Stereotactic Radiosurgery Before Surgical Resection of Cerebral Metastases. World Neurosurg. 2018, 120, e480–e487. [Google Scholar] [CrossRef]
- Prabhu, R.S.; Miller, K.R.; Asher, A.L.; Heinzerling, J.H.; Moeller, B.J.; Lankford, S.P.; McCammon, R.J.; Fasola, C.E.; Patel, K.R.; Press, R.H.; et al. Preoperative Stereotactic Radiosurgery before Planned Resection of Brain Metastases: Updated Analysis of Efficacy and Toxicity of a Novel Treatment Paradigm. J. Neurosurg. 2019, 131, 1387–1394. [Google Scholar] [CrossRef]
- Vetlova, E.; Golbin, D.A.; Golanov, A.V.; Potapov, A.A.; Banov, S.M.; Antipina, N.; Kostjuchenko, V.V.; Usachev, D.Y.; Belyaev, A.Y.; Goryaynov, S. Preoperative Stereotactic Radiosurgery of Brain Metastases: Preliminary Results. Cureus 2017, 9, e1987. [Google Scholar] [CrossRef] [PubMed]
- Deguchi, S.; Mitsuya, K.; Yasui, K.; Kimura, K.; Onoe, T.; Ogawa, H.; Asakura, H.; Harada, H.; Hayashi, N. Neoadjuvant Fractionated Stereotactic Radiotherapy Followed by Piecemeal Resection of Brain Metastasis: A Case Series of 20 Patients. Int. J. Clin. Oncol. 2022, 27, 481–487. [Google Scholar] [CrossRef] [PubMed]
- Palmer, J.D.; Perlow, H.K.; Matsui, J.K.; Ho, C.; Prasad, R.N.; Liu, K.; Upadhyay, R.; Klamer, B.; Wang, J.; Damante, M.; et al. Fractionated Pre-Operative Stereotactic Radiotherapy for Patients with Brain Metastases: A Multi-Institutional Analysis. J. Neurooncol. 2022, 159, 389–395. [Google Scholar] [CrossRef]
- Udovicich, C.; Ng, S.P.; Tange, D.; Bailey, N.; Haghighi, N. From Postoperative to Preoperative: A Case Series of Hypofractionated and Single-Fraction Neoadjuvant Stereotactic Radiosurgery for Brain Metastases. Oper. Neurosurg. 2022, 22, 208–214. [Google Scholar] [CrossRef]
- Prabhu, R.S.; Dhakal, R.; Vaslow, Z.K.; Dan, T.; Mishra, M.V.; Murphy, E.S.; Patel, T.R.; Asher, A.L.; Yang, K.; Manning, M.A.; et al. Preoperative Radiosurgery for Resected Brain Metastases: The PROPS-BM Multicenter Cohort Study. Int. J. Radiat. Oncol. Biol. Phys. 2021, 111, 764–772. [Google Scholar] [CrossRef] [PubMed]
- Wu, Y.-L.; Ahn, M.-J.; Garassino, M.C.; Han, J.-Y.; Katakami, N.; Kim, H.R.; Hodge, R.; Kaur, P.; Brown, A.P.; Ghiorghiu, D.; et al. CNS Efficacy of Osimertinib in Patients With T790M-Positive Advanced Non-Small-Cell Lung Cancer: Data From a Randomized Phase III Trial (AURA3). J. Clin. Oncol. 2018, 36, 2702–2709. [Google Scholar] [CrossRef]
- Reungwetwattana, T.; Nakagawa, K.; Cho, B.C.; Cobo, M.; Cho, E.K.; Bertolini, A.; Bohnet, S.; Zhou, C.; Lee, K.H.; Nogami, N.; et al. CNS Response to Osimertinib Versus Standard Epidermal Growth Factor Receptor Tyrosine Kinase Inhibitors in Patients With Untreated EGFR-Mutated Advanced Non-Small-Cell Lung Cancer. J. Clin. Oncol. 2018, 36, 3290–3297. [Google Scholar] [CrossRef]
- Gadgeel, S.; Peters, S.; Mok, T.; Shaw, A.T.; Kim, D.W.; Ou, S.I.; Pérol, M.; Wrona, A.; Novello, S.; Rosell, R.; et al. Alectinib versus Crizotinib in Treatment-Naive Anaplastic Lymphoma Kinase-Positive (ALK+) Non-Small-Cell Lung Cancer: CNS Efficacy Results from the ALEX Study. Ann. Oncol. 2018, 29, 2214–2222. [Google Scholar] [CrossRef] [PubMed]
- Felip, E.; Shaw, A.T.; Bearz, A.; Camidge, D.R.; Solomon, B.J.; Bauman, J.R.; Bauer, T.M.; Peters, S.; Toffalorio, F.; Abbattista, A.; et al. Intracranial and Extracranial Efficacy of Lorlatinib in Patients with ALK-Positive Non-Small-Cell Lung Cancer Previously Treated with Second-Generation ALK TKIs. Ann. Oncol. 2021, 32, 620–630. [Google Scholar] [CrossRef] [PubMed]
- Chow, L.Q.M.; Barlesi, F.; Bertino, E.M.; van den Bent, M.J.; Wakelee, H.A.; Wen, P.Y.; Chiu, C.-H.; Orlov, S.; Chiari, R.; Majem, M.; et al. ASCEND-7: Efficacy and Safety of Ceritinib Treatment in Patients with ALK-Positive Non–Small Cell Lung Cancer Metastatic to the Brain and/or Leptomeninges. Clin. Cancer Res. 2022, 28, 2506–2516. [Google Scholar] [CrossRef]
- Camidge, D.R.; Kim, D.-W.; Tiseo, M.; Langer, C.J.; Ahn, M.-J.; Shaw, A.T.; Huber, R.M.; Hochmair, M.J.; Lee, D.H.; Bazhenova, L.A.; et al. Exploratory Analysis of Brigatinib Activity in Patients With Anaplastic Lymphoma Kinase-Positive Non-Small-Cell Lung Cancer and Brain Metastases in Two Clinical Trials. J. Clin. Oncol. 2018, 36, 2693–2701. [Google Scholar] [CrossRef] [PubMed]
- Solomon, B.J.; Bauer, T.M.; Ou, S.-H.I.; Liu, G.; Hayashi, H.; Bearz, A.; Penkov, K.; Wu, Y.-L.; Arrieta, O.; Jassem, J.; et al. Post Hoc Analysis of Lorlatinib Intracranial Efficacy and Safety in Patients With ALK-Positive Advanced Non-Small-Cell Lung Cancer From the Phase III CROWN Study. J. Clin. Oncol. 2022, 40, 3593. [Google Scholar] [CrossRef] [PubMed]
- Horn, L.; Wang, Z.; Wu, G.; Poddubskaya, E.; Mok, T.; Reck, M.; Wakelee, H.; Chiappori, A.A.; Lee, D.H.; Breder, V.; et al. Ensartinib vs. Crizotinib for Patients With Anaplastic Lymphoma Kinase−Positive Non–Small Cell Lung Cancer. JAMA Oncol. 2021, 7, 1617–1625. [Google Scholar] [CrossRef]
- Shaw, A.T.; Solomon, B.J.; Chiari, R.; Riely, G.J.; Besse, B.; Soo, R.A.; Kao, S.; Lin, C.-C.; Bauer, T.M.; Clancy, J.S.; et al. Lorlatinib in Advanced ROS1-Positive Non-Small-Cell Lung Cancer: A Multicentre, Open-Label, Single-Arm, Phase 1-2 Trial. Lancet Oncol. 2019, 20, 1691–1701. [Google Scholar] [CrossRef] [PubMed]
- Drilon, A.; Subbiah, V.; Gautschi, O.; Tomasini, P.; de Braud, F.; Solomon, B.J.; Shao-Weng Tan, D.; Alonso, G.; Wolf, J.; Park, K.; et al. Selpercatinib in Patients With RET Fusion-Positive Non-Small-Cell Lung Cancer: Updated Safety and Efficacy From the Registrational LIBRETTO-001 Phase I/II Trial. J. Clin. Oncol. 2023, 41, 385–394. [Google Scholar] [CrossRef] [PubMed]
- Griesinger, F.; Curigliano, G.; Thomas, M.; Subbiah, V.; Baik, C.S.; Tan, D.S.W.; Lee, D.H.; Misch, D.; Garralda, E.; Kim, D.-W.; et al. Safety and Efficacy of Pralsetinib in RET Fusion-Positive Non-Small-Cell Lung Cancer Including as First-Line Therapy: Update from the ARROW Trial. Ann. Oncol. 2022, 33, 1168–1178. [Google Scholar] [CrossRef] [PubMed]
- Wolf, J.; Seto, T.; Han, J.-Y.; Reguart, N.; Garon, E.B.; Groen, H.J.M.; Tan, D.S.W.; Hida, T.; de Jonge, M.; Orlov, S.V.; et al. Capmatinib in MET Exon 14–Mutated or MET-Amplified Non–Small-Cell Lung Cancer. N. Engl. J. Med. 2020, 383, 944–957. [Google Scholar] [CrossRef]
- Mazieres, J.; Paik, P.K.; Garassino, M.C.; Le, X.; Sakai, H.; Veillon, R.; Smit, E.F.; Cortot, A.B.; Raskin, J.; Viteri, S.; et al. Tepotinib Treatment in Patients With MET Exon 14–Skipping Non-Small Cell Lung Cancer: Long-Term Follow-up of the VISION Phase 2 Nonrandomized Clinical Trial. JAMA Oncol. 2023. online first. [Google Scholar] [CrossRef] [PubMed]
- Doebele, R.C.; Drilon, A.; Paz-Ares, L.; Siena, S.; Shaw, A.T.; Farago, A.F.; Blakely, C.M.; Seto, T.; Cho, B.C.; Tosi, D.; et al. Entrectinib in Patients with Advanced or Metastatic NTRK Fusion-Positive Solid Tumours: Integrated Analysis of Three Phase 1–2 Trials. Lancet Oncol. 2020, 21, 271–282. [Google Scholar] [CrossRef]
- Hong, D.S.; DuBois, S.G.; Kummar, S.; Farago, A.F.; Albert, C.M.; Rohrberg, K.S.; van Tilburg, C.M.; Nagasubramanian, R.; Berlin, J.D.; Federman, N.; et al. Larotrectinib in Patients with TRK Fusion-Positive Solid Tumours: A Pooled Analysis of Three Phase 1/2 Clinical Trials. Lancet Oncol. 2020, 21, 531–540. [Google Scholar] [CrossRef]
- Skoulidis, F.; Li, B.T.; Dy, G.K.; Price, T.J.; Falchook, G.S.; Wolf, J.; Italiano, A.; Schuler, M.; Borghaei, H.; Barlesi, F.; et al. Sotorasib for Lung Cancers with KRAS p.G12C Mutation. N. Engl. J. Med. 2021, 384, 2371–2381. [Google Scholar] [CrossRef] [PubMed]
- Jänne, P.A.; Riely, G.J.; Gadgeel, S.M.; Heist, R.S.; Ou, S.-H.I.; Pacheco, J.M.; Johnson, M.L.; Sabari, J.K.; Leventakos, K.; Yau, E.; et al. Adagrasib in Non-Small-Cell Lung Cancer Harboring a KRASG12C Mutation. N. Engl. J. Med. 2022, 387, 120–131. [Google Scholar] [CrossRef] [PubMed]
- Soria, J.C.; Ohe, Y.; Vansteenkiste, J.; Reungwetwattana, T.; Chewaskulyong, B.; Lee, K.H.; Dechaphunkul, A.; Imamura, F.; Nogami, N.; Kurata, T.; et al. FLAURA Investigators. Osimertinib in Untreated EGFR-Mutated Advanced Non-Small-Cell Lung Cancer. N. Engl. J. Med. 2018, 378, 113–125. [Google Scholar] [CrossRef]
- Zhou, C.; Kim, S.W.; Reungwetwattana, T.; Zhou, J.; Zhang, Y.; He, J.; Yang, J.J.; Cheng, Y.; Lee, S.H.; Bu, L.; et al. Alectinib versus crizotinib in untreated Asian patients with anaplastic lymphoma kinase-positive non-small-cell lung cancer (ALESIA): A randomised phase 3 study. Lancet Respir Med. 2019, 7, 437–446. [Google Scholar] [CrossRef]
- Negrao, M.V.; Spira, A.I.; Heist, R.S.; Jänne, P.A.; Pacheco, J.M.; Weiss, J.; Gadgeel, S.M.; Velastegui, K.; Yang, W.; Der-Torossian, H.; et al. Intracranial Efficacy of Adagrasib in Patients From the KRYSTAL-1 Trial With KRASG12C-Mutated Non-Small-Cell Lung Cancer Who Have Untreated CNS Metastases. J. Clin. Oncol. 2023, JCO2300046. [Google Scholar] [CrossRef]
- Goldberg, S.B.; Gettinger, S.N.; Mahajan, A.; Chiang, A.C.; Herbst, R.S.; Sznol, M.; Tsiouris, A.J.; Cohen, J.; Vortmeyer, A.; Jilaveanu, L.; et al. Pembrolizumab for Patients with Melanoma or Non-Small-Cell Lung Cancer and Untreated Brain Metastases: Early Analysis of a Non-Randomised, Open-Label, Phase 2 Trial. Lancet Oncol. 2016, 17, 976–983. [Google Scholar] [CrossRef]
- Goldberg, S.B.; Schalper, K.A.; Gettinger, S.N.; Mahajan, A.; Herbst, R.S.; Chiang, A.C.; Lilenbaum, R.; Wilson, F.H.; Omay, S.B.; Yu, J.B.; et al. Pembrolizumab for Management of Patients with NSCLC and Brain Metastases: Long-Term Results and Biomarker Analysis from a Non-Randomised, Open-Label, Phase 2 Trial. Lancet Oncol. 2020, 21, 655–663. [Google Scholar] [CrossRef]
- Reck, M.; Ciuleanu, T.E.; Pluzanski, A.; Lee, J.S.; Caro, R.B.; Linardou, H.; Burgers, J.; Gallardo, C.; Nishio, M.; Peters, S.; et al. 122MO Nivolumab (NIVO) + Ipilimumab (IPI) as First-Line (1L) Treatment (Tx) for Patients (Pts) with Advanced NSCLC (ANSCLC) and Baseline (BL) Brain Metastases (Mets): Intracranial and Systemic Outcomes from CheckMate 227 Part 1. Ann. Oncol. 2021, 32, S1430–S1431. [Google Scholar] [CrossRef]
- Mansfield, A.S.; Herbst, R.S.; de Castro, G.; Hui, R.; Peled, N.; Kim, D.-W.; Novello, S.; Satouchi, M.; Wu, Y.-L.; Garon, E.B.; et al. Outcomes With Pembrolizumab Monotherapy in Patients With Programmed Death-Ligand 1-Positive NSCLC With Brain Metastases: Pooled Analysis of KEYNOTE-001, 010, 024, and 042. JTO Clin. Res. Rep. 2021, 2, 100205. [Google Scholar] [CrossRef]
- Teixeira Loiola de Alencar, V.; Guedes Camandaroba, M.P.; Pirolli, R.; Fogassa, C.A.Z.; Cordeiro de Lima, V.C. Immunotherapy as Single Treatment for Patients With NSCLC With Brain Metastases: A Systematic Review and Meta-Analysis-the META-L-BRAIN Study. J. Thorac. Oncol. 2021, 16, 1379–1391. [Google Scholar] [CrossRef]
- Kilickap, S.; Özgüroğlu, M.; Sezer, A.; Gumus, M.; Bondarenko, I.; Gogishvili, M.; Türk, H.M.; Cicin, I.; Bentsion, D.; Gladkov, O.A.; et al. 10MO EMPOWER-Lung 1: Cemiplimab (CEMI) Monotherapy as First-Line (1L) Treatment of Patients (Pts) with Brain Metastases from Advanced Non-Small Cell Lung Cancer (ANSCLC) with Programmed Cell Death-Ligand 1 (PD-L1) ≥50%—3-Year Update. J. Thorac. Oncol. 2023, 18, S42–S43. [Google Scholar] [CrossRef]
- Nadal, E.; Rodriguez-Abreu, D.; Massuti, B.; Juan-Vidal, O.; Huidobro Vence, G.; Lopez, R.; de Castro Carpeño, J.; Estival, A.; Campelo, R.G.; Sullivan, I.; et al. Updated Analysis from the ATEZO-BRAIN Trial: Atezolizumab plus Carboplatin and Pemetrexed in Patients with Advanced Nonsquamous Non-Small Cell Lung Cancer with Untreated Brain Metastases. JCO 2022, 40, 9010. [Google Scholar] [CrossRef]
- Reck, M.; Ciuleanu, T.-E.; Cobo, M.; Schenker, M.; Zurawski, B.; Menezes, J.; Richardet, E.; Bennouna, J.; Felip, E.; Juan-Vidal, O.; et al. First-Line Nivolumab plus Ipilimumab with Two Cycles of Chemotherapy versus Chemotherapy Alone (Four Cycles) in Advanced Non-Small-Cell Lung Cancer: CheckMate 9LA 2-Year Update. ESMO Open 2021, 6, 100273. [Google Scholar] [CrossRef]
- Cho, A.; Untersteiner, H.; Hirschmann, D.; Shaltout, A.; Göbl, P.; Dorfer, C.; Rössler, K.; Marik, W.; Kirchbacher, K.; Kapfhammer, I.; et al. Gamma Knife Radiosurgery for Brain Metastases in Non-Small Cell Lung Cancer Patients Treated with Immunotherapy or Targeted Therapy. Cancers 2020, 12, 3668. [Google Scholar] [CrossRef]
- Koide, Y.; Nagai, N.; Miyauchi, R.; Kitagawa, T.; Aoyama, T.; Shimizu, H.; Tachibana, H.; Kodaira, T. Radiotherapy or Systemic Therapy versus Combined Therapy in Patients with Brain Metastases: A Propensity-Score Matched Study. J. Neurooncol. 2022, 160, 191–200. [Google Scholar] [CrossRef]
- Sperduto, P.W.; Lou, E. The Past, Present, and Future Management of Brain Metastases in EGFR-Mutant Non-Small Cell Lung Cancer. Neuro-Oncology 2021, 23, 867–868. [Google Scholar] [CrossRef] [PubMed]
- Corrao, G.; Franchi, M.; Zaffaroni, M.; Vincini, M.G.; de Marinis, F.; Spaggiari, L.; Orecchia, R.; Marvaso, G.; Jereczek-Fossa, B.A. Upfront Advanced Radiotherapy and New Drugs for NSCLC Patients with Synchronous Brain Metastases: Is the Juice Worth the Squeeze? A Real-World Analysis from Lombardy, Italy. Cancers 2023, 15, 1103. [Google Scholar] [CrossRef] [PubMed]
- Antonia, S.J.; Villegas, A.; Daniel, D.; Vicente, D.; Murakami, S.; Hui, R.; Yokoi, T.; Chiappori, A.; Lee, K.H.; de Wit, M.; et al. Durvalumab after Chemoradiotherapy in Stage III Non-Small-Cell Lung Cancer. N. Engl. J. Med. 2017, 377, 1919–1929. [Google Scholar] [CrossRef] [PubMed]
- Shields, M.D.; Marin-Acevedo, J.A.; Pellini, B. Immunotherapy for Advanced Non-Small Cell Lung Cancer: A Decade of Progress. Am. Soc. Clin. Oncol. Educ. Book 2021, 41, e105–e127. [Google Scholar] [CrossRef]
- Forde, P.M.; Spicer, J.; Lu, S.; Provencio, M.; Mitsudomi, T.; Awad, M.M.; Felip, E.; Broderick, S.R.; Brahmer, J.R.; Swanson, S.J.; et al. Neoadjuvant Nivolumab plus Chemotherapy in Resectable Lung Cancer. N. Engl. J. Med. 2022, 386, 1973–1985. [Google Scholar] [CrossRef]
- Spigel, D.R.; Faivre-Finn, C.; Gray, J.E.; Vicente, D.; Planchard, D.; Paz-Ares, L.; Vansteenkiste, J.F.; Garassino, M.C.; Hui, R.; Quantin, X.; et al. Five-Year Survival Outcomes From the PACIFIC Trial: Durvalumab After Chemoradiotherapy in Stage III Non-Small-Cell Lung Cancer. J. Clin. Oncol. 2022, 40, 1301–1311. [Google Scholar] [CrossRef] [PubMed]
- Lehrer, E.J.; Peterson, J.; Brown, P.D.; Sheehan, J.P.; Quiñones-Hinojosa, A.; Zaorsky, N.G.; Trifiletti, D.M. Treatment of Brain Metastases with Stereotactic Radiosurgery and Immune Checkpoint Inhibitors: An International Meta-Analysis of Individual Patient Data. Radiother. Oncol. 2019, 130, 104–112. [Google Scholar] [CrossRef]
- Voronova, V.; Lebedeva, S.; Sekacheva, M.; Helmlinger, G.; Peskov, K. Quantification of Scheduling Impact on Safety and Efficacy Outcomes of Brain Metastasis Radio- and Immuno-Therapies: A Systematic Review and Meta-Analysis. Front. Oncol. 2020, 10, 1609. [Google Scholar] [CrossRef]
- Badrigilan, S.; Meola, A.; Chang, S.D.; Rezaeian, S.; Nemati, H.; Almasi, T.; Rostampour, N. Stereotactic Radiosurgery with Immune Checkpoint Inhibitors for Brain Metastases: A Meta-Analysis Study. Br. J. Neurosurg. 2022, 1–11. [Google Scholar] [CrossRef]
- Chen, L.; Douglass, J.; Kleinberg, L.; Ye, X.; Marciscano, A.E.; Forde, P.M.; Brahmer, J.; Lipson, E.; Sharfman, W.; Hammers, H.; et al. Concurrent Immune Checkpoint Inhibitors and Stereotactic Radiosurgery for Brain Metastases in Non-Small Cell Lung Cancer, Melanoma, and Renal Cell Carcinoma. Int. J. Radiat. Oncol. Biol. Phys. 2018, 100, 916–925. [Google Scholar] [CrossRef] [PubMed]
- Trommer, M.; Adams, A.; Celik, E.; Fan, J.; Funken, D.; Herter, J.M.; Linde, P.; Morgenthaler, J.; Wegen, S.; Mauch, C.; et al. Oncologic Outcome and Immune Responses of Radiotherapy with Anti-PD-1 Treatment for Brain Metastases Regarding Timing and Benefiting Subgroups. Cancers 2022, 14, 1240. [Google Scholar] [CrossRef]
- Lehrer, E.J.; Ahluwalia, M.S.; Gurewitz, J.; Bernstein, K.; Kondziolka, D.; Niranjan, A.; Wei, Z.; Lunsford, L.D.; Fakhoury, K.R.; Rusthoven, C.G.; et al. Imaging-Defined Necrosis after Treatment with Single-Fraction Stereotactic Radiosurgery and Immune Checkpoint Inhibitors and Its Potential Association with Improved Outcomes in Patients with Brain Metastases: An International Multicenter Study of 697 Patients. J. Neurosurg. 2022, 138, 1178–1187. [Google Scholar] [CrossRef]
- Singh, S.A.; McDermott, D.M.; Mattes, M.D. Impact of Systemic Therapy Type and Timing on Intracranial Tumor Control in Patients with Brain Metastasis from Non-Small-Cell Lung Cancer Treated With Stereotactic Radiosurgery. World Neurosurg. 2020, 144, e813–e823. [Google Scholar] [CrossRef]
- Scoccianti, S.; Olmetto, E.; Pinzi, V.; Osti, M.F.; Di Franco, R.; Caini, S.; Anselmo, P.; Matteucci, P.; Franceschini, D.; Mantovani, C.; et al. Immunotherapy in Association with Stereotactic Radiotherapy for Non-Small Cell Lung Cancer Brain Metastases: Results from a Multicentric Retrospective Study on Behalf of AIRO. Neuro-Oncology 2021, 23, 1750–1764. [Google Scholar] [CrossRef] [PubMed]
- Abdulhaleem, M.; Johnston, H.; D’Agostino, R.; Lanier, C.; LeCompte, M.; Cramer, C.K.; Ruiz, J.; Lycan, T.; Lo, H.-W.; Watabe, K.; et al. Local Control Outcomes for Combination of Stereotactic Radiosurgery and Immunotherapy for Non-Small Cell Lung Cancer Brain Metastases. J. Neurooncol. 2022, 157, 101–107. [Google Scholar] [CrossRef] [PubMed]
- Colaco, R.J.; Martin, P.; Kluger, H.M.; Yu, J.B.; Chiang, V.L. Does Immunotherapy Increase the Rate of Radiation Necrosis after Radiosurgical Treatment of Brain Metastases? J. Neurosurg. 2016, 125, 17–23. [Google Scholar] [CrossRef] [PubMed]
- Martin, A.M.; Cagney, D.N.; Catalano, P.J.; Alexander, B.M.; Redig, A.J.; Schoenfeld, J.D.; Aizer, A.A. Immunotherapy and Symptomatic Radiation Necrosis in Patients With Brain Metastases Treated With Stereotactic Radiation. JAMA Oncol. 2018, 4, 1123–1124. [Google Scholar] [CrossRef]
- Kim, P.H.; Suh, C.H.; Kim, H.S.; Kim, K.W.; Kim, D.Y.; Aizer, A.A.; Rahman, R.; Guenette, J.P.; Huang, R.Y. Immune Checkpoint Inhibitor Therapy May Increase the Incidence of Treatment-Related Necrosis after Stereotactic Radiosurgery for Brain Metastases: A Systematic Review and Meta-Analysis. Eur. Radiol. 2021, 31, 4114–4129. [Google Scholar] [CrossRef]
- Lehrer, E.J.; Kowalchuk, R.O.; Gurewitz, J.; Bernstein, K.; Kondziolka, D.; Niranjan, A.; Wei, Z.; Lunsford, L.D.; Fakhoury, K.R.; Rusthoven, C.G.; et al. Concurrent Administration of Immune Checkpoint Inhibitors and Single Fraction Stereotactic Radiosurgery in Patients With Non-Small Cell Lung Cancer, Melanoma, and Renal Cell Carcinoma Brain Metastases Is Not Associated With an Increased Risk of Radiation Necrosis Over Nonconcurrent Treatment: An International Multicenter Study of 657 Patients. Int. J. Radiat. Oncol. Biol. Phys. 2023, 116, 858–868. [Google Scholar] [CrossRef]
- Wong, P.; Masucci, L.; Florescu, M.; Plourde, M.-E.; Panet-Raymond, V.; Pavic, M.; Owen, S.; Masson-Coté, L.; Ménard, C.; Routy, B.; et al. Phase II Multicenter Trial Combining Nivolumab and Radiosurgery for NSCLC and RCC Brain Metastases. Neurooncol. Adv. 2023, 5, vdad018. [Google Scholar] [CrossRef] [PubMed]
- Wrona, A.; Dziadziuszko, R.; Jassem, J. Management of Brain Metastases in Non-Small Cell Lung Cancer in the Era of Tyrosine Kinase Inhibitors. Cancer Treat. Rev. 2018, 71, 59–67. [Google Scholar] [CrossRef] [PubMed]
- Schoenmaekers, J.J.A.O.; Paats, M.S.; Dingemans, A.-M.C.; Hendriks, L.E.L. Central Nervous System Metastases and Oligoprogression during Treatment with Tyrosine Kinase Inhibitors in Oncogene-Addicted Non-Small Cell Lung Cancer: How to Treat and When? Transl. Lung Cancer Res. 2020, 9, 2599–2617. [Google Scholar] [CrossRef]
- Lee, J.; Ahn, M.-J. Brain Metastases in Patients with Oncogenic-Driven Non-Small Cell Lung Cancer: Pros and Cons for Early Radiotherapy. Cancer Treat. Rev. 2021, 100, 102291. [Google Scholar] [CrossRef]
- Thomas, N.J.; Myall, N.J.; Sun, F.; Patil, T.; Mushtaq, R.; Yu, C.; Sinha, S.; Pollom, E.L.; Nagpal, S.; Camidge, D.R.; et al. Brain Metastases in EGFR- and ALK-Positive NSCLC: Outcomes of Central Nervous System-Penetrant Tyrosine Kinase Inhibitors Alone Versus in Combination With Radiation. J. Thorac. Oncol. 2022, 17, 116–129. [Google Scholar] [CrossRef] [PubMed]
- Chiou, G.-Y.; Chiang, C.-L.; Yang, H.-C.; Shen, C.-I.; Wu, H.-M.; Chen, Y.-W.; Chen, C.-J.; Luo, Y.-H.; Hu, Y.-S.; Lin, C.-J.; et al. Combined Stereotactic Radiosurgery and Tyrosine Kinase Inhibitor Therapy versus Tyrosine Kinase Inhibitor Therapy Alone for the Treatment of Non-Small Cell Lung Cancer Patients with Brain Metastases. J. Neurosurg. 2021, 137, 563–570. [Google Scholar] [CrossRef]
- Magnuson, W.J.; Lester-Coll, N.H.; Wu, A.J.; Yang, T.J.; Lockney, N.A.; Gerber, N.K.; Beal, K.; Amini, A.; Patil, T.; Kavanagh, B.D.; et al. Management of Brain Metastases in Tyrosine Kinase Inhibitor-Naïve Epidermal Growth Factor Receptor-Mutant Non-Small-Cell Lung Cancer: A Retrospective Multi-Institutional Analysis. J. Clin. Oncol. 2017, 35, 1070–1077. [Google Scholar] [CrossRef]
- Sperduto, P.W.; Wang, M.; Robins, H.I.; Schell, M.C.; Werner-Wasik, M.; Komaki, R.; Souhami, L.; Buyyounouski, M.K.; Khuntia, D.; Demas, W.; et al. A Phase 3 Trial of Whole Brain Radiation Therapy and Stereotactic Radiosurgery Alone versus WBRT and SRS with Temozolomide or Erlotinib for Non-Small Cell Lung Cancer and 1 to 3 Brain Metastases: Radiation Therapy Oncology Group 0320. Int. J. Radiat. Oncol. Biol. Phys. 2013, 85, 1312–1318. [Google Scholar] [CrossRef]
- Welsh, J.W.; Komaki, R.; Amini, A.; Munsell, M.F.; Unger, W.; Allen, P.K.; Chang, J.Y.; Wefel, J.S.; McGovern, S.L.; Garland, L.L.; et al. Phase II Trial of Erlotinib plus Concurrent Whole-Brain Radiation Therapy for Patients with Brain Metastases from Non-Small-Cell Lung Cancer. J. Clin. Oncol. 2013, 31, 895–902. [Google Scholar] [CrossRef]
- Johung, K.L.; Yeh, N.; Desai, N.B.; Williams, T.M.; Lautenschlaeger, T.; Arvold, N.D.; Ning, M.S.; Attia, A.; Lovly, C.M.; Goldberg, S.; et al. Extended Survival and Prognostic Factors for Patients With ALK-Rearranged Non-Small-Cell Lung Cancer and Brain Metastasis. J. Clin. Oncol. 2016, 34, 123–129. [Google Scholar] [CrossRef] [PubMed]
- Yu, F.; Ni, J.; Zeng, W.; Zhou, Y.; Guo, T.; Zeng, Y.; Zhao, Y.; Li, S.; Li, Y.; Yang, X.; et al. Clinical Value of Upfront Cranial Radiation Therapy in Osimertinib-Treated Epidermal Growth Factor Receptor-Mutant Non-Small Cell Lung Cancer With Brain Metastases. Int. J. Radiat. Oncol. Biol. Phys. 2021, 111, 804–815. [Google Scholar] [CrossRef] [PubMed]
- Zhao, Y.; Li, S.; Yang, X.; Chu, L.; Wang, S.; Tong, T.; Chu, X.; Yu, F.; Zeng, Y.; Guo, T.; et al. Overall Survival Benefit of Osimertinib and Clinical Value of Upfront Cranial Local Therapy in Untreated EGFR-Mutant Nonsmall Cell Lung Cancer with Brain Metastasis. Int. J. Cancer 2022, 150, 1318–1328. [Google Scholar] [CrossRef] [PubMed]
- Cheng, W.-C.; Shen, Y.-C.; Chien, C.-R.; Liao, W.-C.; Chen, C.-H.; Hsia, T.-C.; Tu, C.-Y.; Chen, H.-J. The Optimal Therapy Strategy for Epidermal Growth Factor Receptor-Mutated Non-Small Cell Lung Cancer Patients with Brain Metastasis: A Real-World Study from Taiwan. Thorac. Cancer 2022, 13, 1505–1512. [Google Scholar] [CrossRef] [PubMed]
- Jordan, E.J.; Kim, H.R.; Arcila, M.E.; Barron, D.; Chakravarty, D.; Gao, J.; Chang, M.T.; Ni, A.; Kundra, R.; Jonsson, P.; et al. Prospective Comprehensive Molecular Characterization of Lung Adenocarcinomas for Efficient Patient Matching to Approved and Emerging Therapies. Cancer Discov. 2017, 7, 596–609. [Google Scholar] [CrossRef] [PubMed]
- Miao, E.; Eichholz, J.E.; Lebow, E.S.; Flynn, J.; Zhang, Z.; Walch, H.; Hubbeling, H.; Beal, K.; Moss, N.S.; Yu, K.K.; et al. Characterization of Central Nervous System Clinico-Genomic Outcomes in ALK-Positive Non-Small Cell Lung Cancer Patients with Brain Metastases Treated with Alectinib. Lung Cancer 2023, 178, 57–65. [Google Scholar] [CrossRef] [PubMed]
- Langston, J.; Patil, T.; Ross Camidge, D.; Bunn, P.A.; Schenk, E.L.; Pacheco, J.M.; Jurica, J.; Waxweiler, T.V.; Kavanagh, B.D.; Rusthoven, C.G. CNS Downstaging: An Emerging Treatment Paradigm for Extensive Brain Metastases in Oncogene-Addicted Lung Cancer. Lung Cancer 2023, 178, 103–107. [Google Scholar] [CrossRef] [PubMed]
- Wandrey, N.E.; Gao, D.; Robin, T.P.; Contessa, J.N.; Singh, C.; Chiang, V.; Li, J.; Chen, A.; Wang, Y.; Sheehan, J.P.; et al. Multicenter Analysis of Stereotactic Radiosurgery for Multiple Brain Metastases from EGFR and ALK Driven Non-Small Cell Lung Cancer. Lung Cancer 2023, 176, 144–148. [Google Scholar] [CrossRef]
- Li, N.; Chu, Y.; Song, Q. Brain Metastasis in Patients with Small Cell Lung Cancer. Int. J. Gen. Med. 2021, 14, 10131–10139. [Google Scholar] [CrossRef]
- Aupérin, A.; Arriagada, R.; Pignon, J.P.; Le Péchoux, C.; Gregor, A.; Stephens, R.J.; Kristjansen, P.E.; Johnson, B.E.; Ueoka, H.; Wagner, H.; et al. Prophylactic Cranial Irradiation for Patients with Small-Cell Lung Cancer in Complete Remission. Prophylactic Cranial Irradiation Overview Collaborative Group. N. Engl. J. Med. 1999, 341, 476–484. [Google Scholar] [CrossRef]
- Slotman, B.; Faivre-Finn, C.; Kramer, G.; Rankin, E.; Snee, M.; Hatton, M.; Postmus, P.; Collette, L.; Musat, E.; Senan, S.; et al. Prophylactic Cranial Irradiation in Extensive Small-Cell Lung Cancer. N. Engl. J. Med. 2007, 357, 664–672. [Google Scholar] [CrossRef] [PubMed]
- Rusthoven, C.G.; Camidge, D.R.; Robin, T.P.; Brown, P.D. Radiosurgery for Small-Cell Brain Metastases: Challenging the Last Bastion of Preferential Whole-Brain Radiotherapy Delivery. J. Clin. Oncol. 2020, 38, 3587–3591. [Google Scholar] [CrossRef]
- Robin, T.P.; Rusthoven, C.G. Radiosurgery for Small-Cell Lung Cancer Brain Metastases: A Review. J. Thorac. Dis. 2020, 12, 6234–6239. [Google Scholar] [CrossRef]
- Takahashi, T.; Yamanaka, T.; Seto, T.; Harada, H.; Nokihara, H.; Saka, H.; Nishio, M.; Kaneda, H.; Takayama, K.; Ishimoto, O.; et al. Prophylactic Cranial Irradiation versus Observation in Patients with Extensive-Disease Small-Cell Lung Cancer: A Multicentre, Randomised, Open-Label, Phase 3 Trial. Lancet Oncol. 2017, 18, 663–671. [Google Scholar] [CrossRef]
- Horn, L.; Mansfield, A.S.; Szczęsna, A.; Havel, L.; Krzakowski, M.; Hochmair, M.J.; Huemer, F.; Losonczy, G.; Johnson, M.L.; Nishio, M.; et al. First-Line Atezolizumab plus Chemotherapy in Extensive-Stage Small-Cell Lung Cancer. N. Engl. J. Med. 2018, 379, 2220–2229. [Google Scholar] [CrossRef]
- Paz-Ares, L.; Dvorkin, M.; Chen, Y.; Reinmuth, N.; Hotta, K.; Trukhin, D.; Statsenko, G.; Hochmair, M.J.; Özgüroğlu, M.; Ji, J.H.; et al. Durvalumab plus Platinum-Etoposide versus Platinum-Etoposide in First-Line Treatment of Extensive-Stage Small-Cell Lung Cancer (CASPIAN): A Randomised, Controlled, Open-Label, Phase 3 Trial. Lancet 2019, 394, 1929–1939. [Google Scholar] [CrossRef] [PubMed]
- Rudin, C.M.; Awad, M.M.; Navarro, A.; Gottfried, M.; Peters, S.; Csőszi, T.; Cheema, P.K.; Rodriguez-Abreu, D.; Wollner, M.; Yang, J.C.-H.; et al. Pembrolizumab or Placebo Plus Etoposide and Platinum as First-Line Therapy for Extensive-Stage Small-Cell Lung Cancer: Randomized, Double-Blind, Phase III KEYNOTE-604 Study. J. Clin. Oncol. 2020, 38, 2369–2379. [Google Scholar] [CrossRef]
- Owonikoko, T.K.; Park, K.; Govindan, R.; Ready, N.; Reck, M.; Peters, S.; Dakhil, S.R.; Navarro, A.; Rodríguez-Cid, J.; Schenker, M.; et al. Nivolumab and Ipilimumab as Maintenance Therapy in Extensive-Disease Small-Cell Lung Cancer: CheckMate 451. J. Clin. Oncol. 2021, 39, 1349–1359. [Google Scholar] [CrossRef] [PubMed]
- Jo, K.W.; Kong, D.S.; Lim, D.H.; Ahn, Y.C.; Nam, D.-H.; Lee, J.-I. The Role of Radiosurgery in Patients with Brain Metastasis from Small Cell Lung Carcinoma. J. Korean Neurosurg. Soc. 2011, 50, 99–102. [Google Scholar] [CrossRef] [PubMed]
- Wegner, R.E.; Olson, A.C.; Kondziolka, D.; Niranjan, A.; Lundsford, L.D.; Flickinger, J.C. Stereotactic Radiosurgery for Patients with Brain Metastases from Small Cell Lung Cancer. Int. J. Radiat. Oncol. Biol. Phys. 2011, 81, e21-27. [Google Scholar] [CrossRef]
- Yomo, S.; Hayashi, M. Upfront Stereotactic Radiosurgery in Patients with Brain Metastases from Small Cell Lung Cancer: Retrospective Analysis of 41 Patients. Radiat. Oncol. 2014, 9, 152. [Google Scholar] [CrossRef]
- Robin, T.P.; Jones, B.L.; Amini, A.; Koshy, M.; Gaspar, L.E.; Liu, A.K.; Nath, S.K.; Kavanagh, B.D.; Camidge, D.R.; Rusthoven, C.G. Radiosurgery Alone Is Associated with Favorable Outcomes for Brain Metastases from Small-Cell Lung Cancer. Lung Cancer 2018, 120, 88–90. [Google Scholar] [CrossRef] [PubMed]
- Faramand, A.; Niranjan, A.; Kano, H.; Flickinger, J.; Lunsford, L.D. Primary or Salvage Stereotactic Radiosurgery for Brain Metastatic Small Cell Lung Cancer. J. Neurooncol. 2019, 144, 217–225. [Google Scholar] [CrossRef]
- Cordeiro, D.; Xu, Z.; Shepard, M.; Sheehan, D.; Li, C.; Sheehan, J. Gamma Knife Radiosurgery for Brain Metastases from Small-Cell Lung Cancer: Institutional Experience over More than a Decade and Review of the Literature. J. Radiosurg. SBRT 2019, 6, 35–43. [Google Scholar] [PubMed]
- Cifarelli, C.P.; Vargo, J.A.; Fang, W.; Liscak, R.; Guseynova, K.; Warnick, R.E.; Lee, C.-C.; Yang, H.-C.; Borghei-Razavi, H.; Maiti, T.; et al. Role of Gamma Knife Radiosurgery in Small Cell Lung Cancer: A Multi-Institutional Retrospective Study of the International Radiosurgery Research Foundation (IRRF). Neurosurgery 2020, 87, 664–671. [Google Scholar] [CrossRef]
- Jiang, W.; Haque, W.; Verma, V.; Butler, B.; Teh, B.S. Stereotactic Radiosurgery for Brain Metastases from Newly Diagnosed Small Cell Lung Cancer: Practice Patterns and Outcomes. Acta Oncol. 2019, 58, 491–498. [Google Scholar] [CrossRef]
- Dudnik, E.; Allen, A.M.; Michaeli, N.; Benouaich-Amiel, A.; Shochat, T.; Peled, N.; Finkel, I.; Zer, A.; Rotem, O.; Yust-Katz, S. Stereotactic Radiosurgery for Brain Metastases in Small Cell Lung Cancer: The Davidoff Cancer Center Experience. Isr. Med. Assoc. J. 2020, 22, 22–26. [Google Scholar] [PubMed]
- Rusthoven, C.G.; Yamamoto, M.; Bernhardt, D.; Smith, D.E.; Gao, D.; Serizawa, T.; Yomo, S.; Aiyama, H.; Higuchi, Y.; Shuto, T.; et al. Evaluation of First-Line Radiosurgery vs Whole-Brain Radiotherapy for Small Cell Lung Cancer Brain Metastases: The FIRE-SCLC Cohort Study. JAMA Oncol. 2020, 6, 1028–1037. [Google Scholar] [CrossRef]
- Gaebe, K.; Li, A.Y.; Park, A.; Parmar, A.; Lok, B.H.; Sahgal, A.; Chan, K.K.W.; Erickson, A.W.; Das, S. Stereotactic Radiosurgery versus Whole Brain Radiotherapy in Patients with Intracranial Metastatic Disease and Small-Cell Lung Cancer: A Systematic Review and Meta-Analysis. Lancet Oncol. 2022, 23, 931–939. [Google Scholar] [CrossRef] [PubMed]
- Shi, W.; Wang, Y.; Xia, W.; Liu, B.; Ni, M.; Shen, J.; Bai, Y.; Weng, G.; Liu, W.; Yuan, S.; et al. Brain Metastases from Small Cell Lung Cancer and Non-Small Cell Lung Cancer: Comparison of Spatial Distribution and Identification of Metastatic Risk Regions. J. Neurooncol. 2023, 161, 97–105. [Google Scholar] [CrossRef]
- Wang, H.; Yu, X.; Fan, Y.; Jiang, Y. Multiple Treatment Modalities for Brain Metastasis in Patients with EGFR-Mutant Non-Small-Cell Lung Cancer. Onco Targets Ther. 2018, 11, 2149–2155. [Google Scholar] [CrossRef] [PubMed]
- Shin, D.-Y.; Na, I.I.; Kim, C.H.; Park, S.; Baek, H.; Yang, S.H. EGFR Mutation and Brain Metastasis in Pulmonary Adenocarcinomas. J. Thorac. Oncol. 2014, 9, 195–199. [Google Scholar] [CrossRef]
- Preusser, M.; Berghoff, A.S.; Ilhan-Mutlu, A.; Magerle, M.; Dinhof, C.; Widhalm, G.; Dieckmann, K.; Marosi, C.; Wöhrer, A.; Hackl, M.; et al. ALK Gene Translocations and Amplifications in Brain Metastases of Non-Small Cell Lung Cancer. Lung Cancer 2013, 80, 278–283. [Google Scholar] [CrossRef]
- Jiang, T.; Yan, Y.; Zhou, K.; Su, C.; Ren, S.; Li, N.; Hou, L.; Guo, X.; Zhu, W.; Zhang, H.; et al. Characterization of Evolution Trajectory and Immune Profiling of Brain Metastasis in Lung Adenocarcinoma. Npj. Precis. Oncol. 2021, 5, 6. [Google Scholar] [CrossRef] [PubMed]
- Jiang, T.; Fang, Z.; Tang, S.; Cheng, R.; Li, Y.; Ren, S.; Su, C.; Min, W.; Guo, X.; Zhu, W.; et al. Mutational Landscape and Evolutionary Pattern of Liver and Brain Metastasis in Lung Adenocarcinoma. J. Thorac. Oncol. 2021, 16, 237–249. [Google Scholar] [CrossRef] [PubMed]
- Andrade, D.; Mehta, M.; Griffith, J.; Panneerselvam, J.; Srivastava, A.; Kim, T.-D.; Janknecht, R.; Herman, T.; Ramesh, R.; Munshi, A. YAP1 Inhibition Radiosensitizes Triple Negative Breast Cancer Cells by Targeting the DNA Damage Response and Cell Survival Pathways. Oncotarget 2017, 8, 98495–98508. [Google Scholar] [CrossRef]
- von Bueren, A.O.; Shalaby, T.; Oehler-Jänne, C.; Arnold, L.; Stearns, D.; Eberhart, C.G.; Arcaro, A.; Pruschy, M.; Grotzer, M.A. RNA Interference-Mediated c-MYC Inhibition Prevents Cell Growth and Decreases Sensitivity to Radio- and Chemotherapy in Childhood Medulloblastoma Cells. BMC Cancer 2009, 9, 10. [Google Scholar] [CrossRef] [PubMed]
- Shih, D.J.H.; Nayyar, N.; Bihun, I.; Dagogo-Jack, I.; Gill, C.M.; Aquilanti, E.; Bertalan, M.; Kaplan, A.; D’Andrea, M.R.; Chukwueke, U.; et al. Genomic Characterization of Human Brain Metastases Identifies Drivers of Metastatic Lung Adenocarcinoma. Nat. Genet. 2020, 52, 371–377. [Google Scholar] [CrossRef]
- Liu, Y.; Zhu, C.; Tang, L.; Chen, Q.; Guan, N.; Xu, K.; Guan, X. MYC Dysfunction Modulates Stemness and Tumorigenesis in Breast Cancer. Int. J. Biol. Sci. 2021, 17, 178–187. [Google Scholar] [CrossRef] [PubMed]
- Marsit, C.J.; Zheng, S.; Aldape, K.; Hinds, P.W.; Nelson, H.H.; Wiencke, J.K.; Kelsey, K.T. PTEN Expression in Non-Small-Cell Lung Cancer: Evaluating Its Relation to Tumor Characteristics, Allelic Loss, and Epigenetic Alteration. Hum. Pathol. 2005, 36, 768–776. [Google Scholar] [CrossRef]
- Mortezaee, K.; Parwaie, W.; Motevaseli, E.; Mirtavoos-Mahyari, H.; Musa, A.E.; Shabeeb, D.; Esmaely, F.; Najafi, M.; Farhood, B. Targets for Improving Tumor Response to Radiotherapy. Int. Immunopharmacol. 2019, 76, 105847. [Google Scholar] [CrossRef] [PubMed]
- Paik, P.K.; Shen, R.; Won, H.; Rekhtman, N.; Wang, L.; Sima, C.S.; Arora, A.; Seshan, V.; Ladanyi, M.; Berger, M.F.; et al. Next-Generation Sequencing of Stage IV Squamous Cell Lung Cancers Reveals an Association of PI3K Aberrations and Evidence of Clonal Heterogeneity in Patients with Brain Metastases. Cancer Discov. 2015, 5, 610–621. [Google Scholar] [CrossRef]
- Stella, G.M.; Senetta, R.; Inghilleri, S.; Verdun di Cantogno, L.; Mantovani, C.; Piloni, D.; Scudeller, L.; Meloni, F.; Papotti, M.; Ricardi, U.; et al. MET Mutations Are Associated with Aggressive and Radioresistant Brain Metastatic Non-Small-Cell Lung Cancer. Neuro-Oncology 2016, 18, 598–599. [Google Scholar] [CrossRef] [PubMed]
- Rudin, C.M.; Brambilla, E.; Faivre-Finn, C.; Sage, J. Small-Cell Lung Cancer. Nat. Rev. Dis. Primers 2021, 7, 3. [Google Scholar] [CrossRef]
- Dono, A.; Takayasu, T.; Yan, Y.; Bundrant, B.E.; Arevalo, O.; Lopez-Garcia, C.A.; Esquenazi, Y.; Ballester, L.Y. Differences in Genomic Alterations Between Brain Metastases and Primary Tumors. Neurosurgery 2021, 88, 592–602. [Google Scholar] [CrossRef] [PubMed]
- Ko, J.; Winslow, M.M.; Sage, J. Mechanisms of Small Cell Lung Cancer Metastasis. EMBO Mol. Med. 2021, 13, e13122. [Google Scholar] [CrossRef] [PubMed]
- Stewart, C.A.; Gay, C.M.; Xi, Y.; Sivajothi, S.; Sivakamasundari, V.; Fujimoto, J.; Bolisetty, M.; Hartsfield, P.M.; Balasubramaniyan, V.; Chalishazar, M.D.; et al. Single-Cell Analyses Reveal Increased Intratumoral Heterogeneity after the Onset of Therapy Resistance in Small-Cell Lung Cancer. Nat. Cancer 2020, 1, 423–436. [Google Scholar] [CrossRef]
- Simpson, K.L.; Stoney, R.; Frese, K.K.; Simms, N.; Rowe, W.; Pearce, S.P.; Humphrey, S.; Booth, L.; Morgan, D.; Dynowski, M.; et al. A Biobank of Small Cell Lung Cancer CDX Models Elucidates Inter- and Intratumoral Phenotypic Heterogeneity. Nat. Cancer 2020, 1, 437–451. [Google Scholar] [CrossRef]
- Quaranta, V.; Linkous, A. Organoids as a Systems Platform for SCLC Brain Metastasis. Front. Oncol. 2022, 12, 881989. [Google Scholar] [CrossRef] [PubMed]
- Li, Q.; Yang, J.; Yu, Q.; Wu, H.; Liu, B.; Xiong, H.; Hu, G.; Zhao, J.; Yuan, X.; Liao, Z. Associations between Single-Nucleotide Polymorphisms in the PI3K-PTEN-AKT-MTOR Pathway and Increased Risk of Brain Metastasis in Patients with Non-Small Cell Lung Cancer. Clin. Cancer Res. 2013, 19, 6252–6260. [Google Scholar] [CrossRef] [PubMed]
- Gutmann, D.H.; Saporito-Irwin, S.; DeClue, J.E.; Wienecke, R.; Guha, A. Alterations in the Rap1 Signaling Pathway Are Common in Human Gliomas. Oncogene 1997, 15, 1611–1616. [Google Scholar] [CrossRef] [PubMed]
- Barrett, A.; Evans, I.M.; Frolov, A.; Britton, G.; Pellet-Many, C.; Yamaji, M.; Mehta, V.; Bandopadhyay, R.; Li, N.; Brandner, S.; et al. A Crucial Role for DOK1 in PDGF-BB-Stimulated Glioma Cell Invasion through P130Cas and Rap1 Signalling. J. Cell Sci. 2014, 127, 2647–2658. [Google Scholar] [CrossRef] [PubMed][Green Version]
- Li, H.-F.; Kim, J.-S.; Waldman, T. Radiation-Induced Akt Activation Modulates Radioresistance in Human Glioblastoma Cells. Radiat. Oncol. 2009, 4, 43. [Google Scholar] [CrossRef] [PubMed]
- Kamer, I.; Steuerman, Y.; Daniel-Meshulam, I.; Perry, G.; Izraeli, S.; Perelman, M.; Golan, N.; Simansky, D.; Barshack, I.; Ben Nun, A.; et al. Predicting Brain Metastasis in Early Stage Non-Small Cell Lung Cancer Patients by Gene Expression Profiling. Transl. Lung Cancer Res. 2020, 9, 682–692. [Google Scholar] [CrossRef]
- Koh, Y.W.; Han, J.-H.; Haam, S.; Lee, H.W. An Immune-Related Gene Expression Signature Predicts Brain Metastasis in Lung Adenocarcinoma Patients after Surgery: Gene Expression Profile and Immunohistochemical Analyses. Transl. Lung Cancer Res. 2021, 10, 802–814. [Google Scholar] [CrossRef]
- Ruan, H.; Zhou, Y.; Shen, J.; Zhai, Y.; Xu, Y.; Pi, L.; Huang, R.; Chen, K.; Li, X.; Ma, W.; et al. Circulating Tumor Cell Characterization of Lung Cancer Brain Metastases in the Cerebrospinal Fluid through Single-Cell Transcriptome Analysis. Clin. Transl. Med. 2020, 10, e246. [Google Scholar] [CrossRef]
- Li, Y.; Zheng, H.; Wang, Q.; Zhou, C.; Wei, L.; Liu, X.; Zhang, W.; Zhang, Y.; Du, Z.; Wang, X.; et al. Genome-Wide Analyses Reveal a Role of Polycomb in Promoting Hypomethylation of DNA Methylation Valleys. Genome Biol. 2018, 19, 18. [Google Scholar] [CrossRef]
- Karlow, J.A.; Devarakonda, S.; Xing, X.; Jang, H.S.; Govindan, R.; Watson, M.; Wang, T. Developmental Pathways Are Epigenetically Reprogrammed during Lung Cancer Brain Metastasis. Cancer Res. 2022, 82, 2692–2703. [Google Scholar] [CrossRef] [PubMed]
- Paget, S. The Distribution of Secondary Growths in Cancer of the Breast. 1889. Cancer Metastasis Rev. 1989, 8, 98–101. [Google Scholar]
- Liu, W.; Powell, C.A.; Wang, Q. Tumor Microenvironment in Lung Cancer-Derived Brain Metastasis. Chin. Med. J. 2022, 135, 1781–1791. [Google Scholar] [CrossRef]
- García-Gómez, P.; Valiente, M. Vascular Co-Option in Brain Metastasis. Angiogenesis 2020, 23, 3–8. [Google Scholar] [CrossRef] [PubMed]
- Sofroniew, M.V. Molecular Dissection of Reactive Astrogliosis and Glial Scar Formation. Trends Neurosci. 2009, 32, 638–647. [Google Scholar] [CrossRef] [PubMed]
- Chen, Q.; Boire, A.; Jin, X.; Valiente, M.; Er, E.E.; Lopez-Soto, A.; Jacob, L.; Patwa, R.; Shah, H.; Xu, K.; et al. Carcinoma-Astrocyte Gap Junctions Promote Brain Metastasis by CGAMP Transfer. Nature 2016, 533, 493–498. [Google Scholar] [CrossRef] [PubMed]
- Li, H.; Huang, N.; Zhu, W.; Wu, J.; Yang, X.; Teng, W.; Tian, J.; Fang, Z.; Luo, Y.; Chen, M.; et al. Modulation the Crosstalk between Tumor-Associated Macrophages and Non-Small Cell Lung Cancer to Inhibit Tumor Migration and Invasion by Ginsenoside Rh2. BMC Cancer 2018, 18, 579. [Google Scholar] [CrossRef] [PubMed]
- Dumitriu, I.E.; Dunbar, D.R.; Howie, S.E.; Sethi, T.; Gregory, C.D. Human Dendritic Cells Produce TGF-Beta 1 under the Influence of Lung Carcinoma Cells and Prime the Differentiation of CD4+CD25+Foxp3+ Regulatory T Cells. J. Immunol. 2009, 182, 2795–2807. [Google Scholar] [CrossRef] [PubMed]
- Aloe, C.; Wang, H.; Vlahos, R.; Irving, L.; Steinfort, D.; Bozinovski, S. Emerging and Multifaceted Role of Neutrophils in Lung Cancer. Transl. Lung Cancer Res. 2021, 10, 2806–2818. [Google Scholar] [CrossRef]
- Jarosz-Biej, M.; Smolarczyk, R.; Cichoń, T.; Kułach, N. Tumor Microenvironment as A “Game Changer” in Cancer Radiotherapy. Int. J. Mol. Sci. 2019, 20, 3212. [Google Scholar] [CrossRef]
- Gandhi, S.; Chandna, S. Radiation-Induced Inflammatory Cascade and Its Reverberating Crosstalks as Potential Cause of Post-Radiotherapy Second Malignancies. Cancer Metastasis Rev. 2017, 36, 375–393. [Google Scholar] [CrossRef]
- Chen, Y.S.; Song, H.X.; Lu, Y.; Li, X.; Chen, T.; Zhang, Y.; Xue, J.X.; Liu, H.; Kan, B.; Yang, G.; et al. Autophagy Inhibition Contributes to Radiation Sensitization of Esophageal Squamous Carcinoma Cells. Dis. Esophagus 2011, 24, 437–443. [Google Scholar] [CrossRef] [PubMed]
- Syed, V. TGF-β Signaling in Cancer. J. Cell. Biochem. 2016, 117, 1279–1287. [Google Scholar] [CrossRef]
- Rapoport, B.L.; Anderson, R. Realizing the Clinical Potential of Immunogenic Cell Death in Cancer Chemotherapy and Radiotherapy. Int. J. Mol. Sci. 2019, 20, 959. [Google Scholar] [CrossRef]
- Najafi, M.; Goradel, N.H.; Farhood, B.; Salehi, E.; Solhjoo, S.; Toolee, H.; Kharazinejad, E.; Mortezaee, K. Tumor Microenvironment: Interactions and Therapy. J. Cell. Physiol. 2019, 234, 5700–5721. [Google Scholar] [CrossRef] [PubMed]
- Teng, F.; Kong, L.; Meng, X.; Yang, J.; Yu, J. Radiotherapy Combined with Immune Checkpoint Blockade Immunotherapy: Achievements and Challenges. Cancer Lett. 2015, 365, 23–29. [Google Scholar] [CrossRef] [PubMed]
- Cordes, N.; Seidler, J.; Durzok, R.; Geinitz, H.; Brakebusch, C. Beta1-Integrin-Mediated Signaling Essentially Contributes to Cell Survival after Radiation-Induced Genotoxic Injury. Oncogene 2006, 25, 1378–1390. [Google Scholar] [CrossRef] [PubMed]
- Casey, T.M.; Eneman, J.; Crocker, A.; White, J.; Tessitore, J.; Stanley, M.; Harlow, S.; Bunn, J.Y.; Weaver, D.; Muss, H.; et al. Cancer Associated Fibroblasts Stimulated by Transforming Growth Factor Beta1 (TGF-Beta 1) Increase Invasion Rate of Tumor Cells: A Population Study. Breast Cancer Res. Treat. 2008, 110, 39–49. [Google Scholar] [CrossRef]
- Zhang, T.; Yu, H.; Ni, C.; Zhang, T.; Liu, L.; Lv, Q.; Zhang, Z.; Wang, Z.; Wu, D.; Wu, P.; et al. Hypofractionated Stereotactic Radiation Therapy Activates the Peripheral Immune Response in Operable Stage I Non-Small-Cell Lung Cancer. Sci. Rep. 2017, 7, 4866. [Google Scholar] [CrossRef]
- Tsai, C.-S.; Chen, F.-H.; Wang, C.-C.; Huang, H.-L.; Jung, S.-M.; Wu, C.-J.; Lee, C.-C.; McBride, W.H.; Chiang, C.-S.; Hong, J.-H. Macrophages from Irradiated Tumors Express Higher Levels of INOS, Arginase-I and COX-2, and Promote Tumor Growth. Int. J. Radiat. Oncol. Biol. Phys. 2007, 68, 499–507. [Google Scholar] [CrossRef] [PubMed]
- Teresa Pinto, A.; Laranjeiro Pinto, M.; Patrícia Cardoso, A.; Monteiro, C.; Teixeira Pinto, M.; Filipe Maia, A.; Castro, P.; Figueira, R.; Monteiro, A.; Marques, M.; et al. Ionizing Radiation Modulates Human Macrophages towards a Pro-Inflammatory Phenotype Preserving Their pro-Invasive and pro-Angiogenic Capacities. Sci. Rep. 2016, 6, 18765. [Google Scholar] [CrossRef]
- Klug, F.; Prakash, H.; Huber, P.E.; Seibel, T.; Bender, N.; Halama, N.; Pfirschke, C.; Voss, R.H.; Timke, C.; Umansky, L.; et al. Low-Dose Irradiation Programs Macrophage Differentiation to an INOS+/M1 Phenotype That Orchestrates Effective T Cell Immunotherapy. Cancer Cell 2013, 24, 589–602. [Google Scholar] [CrossRef] [PubMed]
- Lugade, A.A.; Sorensen, E.W.; Gerber, S.A.; Moran, J.P.; Frelinger, J.G.; Lord, E.M. Radiation-Induced IFN-Gamma Production within the Tumor Microenvironment Influences Antitumor Immunity. J. Immunol. 2008, 180, 3132–3139. [Google Scholar] [CrossRef]
- Lugade, A.A.; Moran, J.P.; Gerber, S.A.; Rose, R.C.; Frelinger, J.G.; Lord, E.M. Local Radiation Therapy of B16 Melanoma Tumors Increases the Generation of Tumor Antigen-Specific Effector Cells That Traffic to the Tumor. J. Immunol. 2005, 174, 7516–7523. [Google Scholar] [CrossRef]
- Chen, H.-Y.; Xu, L.; Li, L.-F.; Liu, X.-X.; Gao, J.-X.; Bai, Y.-R. Inhibiting the CD8+ T Cell Infiltration in the Tumor Microenvironment after Radiotherapy Is an Important Mechanism of Radioresistance. Sci. Rep. 2018, 8, 11934. [Google Scholar] [CrossRef]
- Roses, R.E.; Datta, J.; Czerniecki, B.J. Radiation as Immunomodulator: Implications for Dendritic Cell-Based Immunotherapy. Radiat. Res. 2014, 182, 211–218. [Google Scholar] [CrossRef]
- Barker, H.E.; Paget, J.T.E.; Khan, A.A.; Harrington, K.J. The Tumour Microenvironment after Radiotherapy: Mechanisms of Resistance and Recurrence. Nat. Rev. Cancer 2015, 15, 409–425. [Google Scholar] [CrossRef]
- Sharabi, A.B.; Nirschl, C.J.; Kochel, C.M.; Nirschl, T.R.; Francica, B.J.; Velarde, E.; Deweese, T.L.; Drake, C.G. Stereotactic Radiation Therapy Augments Antigen-Specific PD-1-Mediated Antitumor Immune Responses via Cross-Presentation of Tumor Antigen. Cancer Immunol. Res. 2015, 3, 345–355. [Google Scholar] [CrossRef] [PubMed]
- Grdina, D.J.; Murley, J.S.; Miller, R.C.; Mauceri, H.J.; Sutton, H.G.; Li, J.J.; Woloschak, G.E.; Weichselbaum, R.R. A Survivin-Associated Adaptive Response in Radiation Therapy. Cancer Res. 2013, 73, 4418–4428. [Google Scholar] [CrossRef] [PubMed]
- Misra, S.; Sharma, K. COX-2 Signaling and Cancer: New Players in Old Arena. Curr. Drug Targets 2014, 15, 347–359. [Google Scholar] [CrossRef]
- Milas, L. Cyclooxygenase-2 (COX-2) Enzyme Inhibitors as Potential Enhancers of Tumor Radioresponse. Semin. Radiat. Oncol. 2001, 11, 290–299. [Google Scholar] [CrossRef]
- Han, Z.-Q.; Liao, H.; Shi, F.; Chen, X.-P.; Hu, H.-C.; Tian, M.-Q.; Wang, L.-H.; Ying, S. Inhibition of Cyclooxygenase-2 Sensitizes Lung Cancer Cells to Radiation-Induced Apoptosis. Oncol. Lett. 2017, 14, 5959–5965. [Google Scholar] [CrossRef][Green Version]
- Shin, Y.K.; Park, J.S.; Kim, H.S.; Jun, H.J.; Kim, G.E.; Suh, C.O.; Yun, Y.S.; Pyo, H. Radiosensitivity Enhancement by Celecoxib, a Cyclooxygenase (COX)-2 Selective Inhibitor, via COX-2-Dependent Cell Cycle Regulation on Human Cancer Cells Expressing Differential COX-2 Levels. Cancer Res. 2005, 65, 9501–9509. [Google Scholar] [CrossRef]
- Bundred, N.J.; Cramer, A.; Morris, J.; Renshaw, L.; Cheung, K.-L.; Flint, P.; Johnson, R.; Young, O.; Landberg, G.; Grassby, S.; et al. Cyclooxygenase-2 Inhibition Does Not Improve the Reduction in Ductal Carcinoma in Situ Proliferation with Aromatase Inhibitor Therapy: Results of the ERISAC Randomized Placebo-Controlled Trial. Clin. Cancer Res. 2010, 16, 1605–1612. [Google Scholar] [CrossRef] [PubMed][Green Version]
- Moeller, B.J.; Dewhirst, M.W. HIF-1 and Tumour Radiosensitivity. Br. J. Cancer 2006, 95, 1–5. [Google Scholar] [CrossRef]
- Bruick, R.K. Expression of the Gene Encoding the Proapoptotic Nip3 Protein Is Induced by Hypoxia. Proc. Natl. Acad. Sci. USA 2000, 97, 9082–9087. [Google Scholar] [CrossRef] [PubMed]
- Williams, K.J.; Telfer, B.A.; Shannon, A.M.; Babur, M.; Stratford, I.J.; Wedge, S.R. Inhibition of Vascular Endothelial Growth Factor Signalling Using Cediranib (RECENTIN.; AZD2171) Enhances Radiation Response and Causes Substantial Physiological Changes in Lung Tumour Xenografts. Br. J. Radiol. 2008, 81, S21–S27. [Google Scholar] [CrossRef]
- Liu, J.; Chen, Z.; Li, Y.; Zhao, W.; Wu, J.; Zhang, Z. PD-1/PD-L1 Checkpoint Inhibitors in Tumor Immunotherapy. Front. Pharmacol. 2021, 12, 731798. [Google Scholar] [CrossRef] [PubMed]
- Oweida, A.; Hararah, M.K.; Phan, A.; Binder, D.; Bhatia, S.; Lennon, S.; Bukkapatnam, S.; Van Court, B.; Uyanga, N.; Darragh, L.; et al. Resistance to Radiotherapy and PD-L1 Blockade Is Mediated by TIM-3 Upregulation and Regulatory T-Cell Infiltration. Clin. Cancer Res. 2018, 24, 5368–5380. [Google Scholar] [CrossRef]
- Shitara, K.; Nishikawa, H. Regulatory T Cells: A Potential Target in Cancer Immunotherapy. Ann. N. Y. Acad. Sci. 2018, 1417, 104–115. [Google Scholar] [CrossRef] [PubMed]
- Borghaei, H.; Paz-Ares, L.; Horn, L.; Spigel, D.R.; Steins, M.; Ready, N.E.; Chow, L.Q.; Vokes, E.E.; Felip, E.; Holgado, E.; et al. Nivolumab versus Docetaxel in Advanced Nonsquamous Non-Small-Cell Lung Cancer. N. Engl. J. Med. 2015, 373, 1627–1639. [Google Scholar] [CrossRef]
- Garon, E.B.; Rizvi, N.A.; Hui, R.; Leighl, N.; Balmanoukian, A.S.; Eder, J.P.; Patnaik, A.; Aggarwal, C.; Gubens, M.; Horn, L.; et al. Pembrolizumab for the Treatment of Non-Small-Cell Lung Cancer. N. Engl. J. Med. 2015, 372, 2018–2028. [Google Scholar] [CrossRef]
- Kim, R.; Keam, B.; Kim, S.; Kim, M.; Kim, S.H.; Kim, J.W.; Kim, Y.J.; Kim, T.M.; Jeon, Y.K.; Kim, D.-W.; et al. Differences in Tumor Microenvironments between Primary Lung Tumors and Brain Metastases in Lung Cancer Patients: Therapeutic Implications for Immune Checkpoint Inhibitors. BMC Cancer 2019, 19, 19. [Google Scholar] [CrossRef]
- Souza, V.G.P.; de Araújo, R.P.; Santesso, M.R.; Seneda, A.L.; Minutentag, I.W.; Felix, T.F.; Hamamoto Filho, P.T.; Pewarchuk, M.E.; Brockley, L.J.; Marchi, F.A.; et al. Advances in the Molecular Landscape of Lung Cancer Brain Metastasis. Cancers 2023, 15, 722. [Google Scholar] [CrossRef]
- Negrao, M.V.; Skoulidis, F.; Montesion, M.; Schulze, K.; Bara, I.; Shen, V.; Xu, H.; Hu, S.; Sui, D.; Elamin, Y.Y.; et al. Oncogene-Specific Differences in Tumor Mutational Burden, PD-L1 Expression, and Outcomes from Immunotherapy in Non-Small Cell Lung Cancer. J. Immunother. Cancer 2021, 9, e002891. [Google Scholar] [CrossRef] [PubMed]
- Liu, C.; Zheng, S.; Jin, R.; Wang, X.; Wang, F.; Zang, R.; Xu, H.; Lu, Z.; Huang, J.; Lei, Y.; et al. The Superior Efficacy of Anti-PD-1/PD-L1 Immunotherapy in KRAS-Mutant Non-Small Cell Lung Cancer That Correlates with an Inflammatory Phenotype and Increased Immunogenicity. Cancer Lett. 2020, 470, 95–105. [Google Scholar] [CrossRef] [PubMed]
- Monteiro, C.; Miarka, L.; Perea-García, M.; Priego, N.; García-Gómez, P.; Álvaro-Espinosa, L.; de Pablos-Aragoneses, A.; Yebra, N.; Retana, D.; Baena, P.; et al. Stratification of Radiosensitive Brain Metastases Based on an Actionable S100A9/RAGE Resistance Mechanism. Nat. Med. 2022, 28, 752–765. [Google Scholar] [CrossRef] [PubMed]






| Dose/Fractions | BED Gy10 | EQD2 Gy10 | BED Gy2 | EQD2 Gy2 | Constraints |
|---|---|---|---|---|---|
| SRS (single fraction) | V12Gy < 10–15 cc | ||||
| 21 Gy/1 fx | 65.1 | 54.25 | 241.5 | 120.75 | |
| 18 Gy/1 fx | 50.4 | 42 | 180 | 90 | |
| SRT (three fractions) | D20cc < 20 Gy | ||||
| 27 Gy/3 fx | 51.3 | 42.75 | 148.5 | 74.25 | |
| 24 Gy/3 fx | 43.2 | 36 | 120 | 60 | |
| SRT (five fractions) | D20cc < 24 Gy | ||||
| 30 Gy/5 fx | 48 | 40 | 120 | 60 | |
| 25 Gy/5 fx | 37.5 | 31.25 | 87.5 | 43.75 |
| NCT Identifier | Study Phase | Patients Estimated | Population | Experimental Arm | Standard Arm | Primary Endpoint |
|---|---|---|---|---|---|---|
| SRS vs. SRT | ||||||
| NCT03697343 (FSRT) | III | 382 | Large BMs (2–4 cm) | SRT (48 Gy/12 fx) | SRS (15–18 Gy/1 fx) | Time to local progression |
| NCT05222620 (FRACTIONATE) | II | 69 | Large BMs (2–4 cm) | SRT | SRS | LC; RN |
| NCT05346367 (SAFESTEREO) | II | 130 | BMs | SRT (30–35 Gy/5 fx) | SRS (15–24 Gy/1 fx) | LC; RN |
| SRS > 4 lesions | ||||||
| NCT02953717 (CAR-Study B) | NA | 81 (actual enrollment) | 11–20 BMs | GKRS (18–25 Gy/1 fx) | WBRT (20 Gy/5 fx) | Cognitive decline at 3 mo. |
| NCT03075072 (BWH/DFCI, Boston) | III | 196 | 5–20 BMs | SRS/SRT (1–5 fx) | WBRT (30 Gy/10 fx) | QoL |
| NCT03550391 (CCTG CE.7) | III | 206 | 5–15 BMs | SRS (18–22 Gy/1 fx) | HA-WBRT (30 Gy/10 fx) | OS; neurocognitive PFS |
| NCT04277403 (HipSter) | III | 150 | 4–15 BMs | HA-WBRT-SIB (30 Gy/12 fx—SIB 51 Gy) | SRS/SRT (18–22 Gy/1 fx—30 Gy/5 fx) | iPFS |
| NCT04891471 (WHOBI-STER) | NA | 100 | ≥5 BMs | SRS (15–24 Gy/1 fx)/SRT | WBRT (30 Gy/10 fx) | Neurocognitive-QoL changes |
| NCT05378633 (CyberChallenge) | II | 190 | 4–15 BMs | SRS | WBRT | OS; QoL |
| SRS reirradiation | ||||||
| NCT04588246 (NRG-BN009) | III | 350 | post-SRS DIR (BMV ≥ 4 BMs/y) | SRS + HA-WBRT | SRS | Time to neurologic death |
| NCT05124912 (RE-MASTEr) | NA | 154 | A: post-SRS LR B: post-SRS RN | A: re-SRT + LITT B: LITT + steroids | A: LITT B: steroids | A: Time to intracranial progression/death B: time to steroid cessation |
| NCT05126875 (Re-TREAT) | II | 44 | Post-SRS LR | Re-SRS | LC |
| NCT Identifier | Study Phase | Patients Estimated | Population | Experimental Arm | Standard Arm | Primary Endpoint |
|---|---|---|---|---|---|---|
| Adjuvant SRS | ||||||
| NCT04114981 (Alliance A071801) | III | 242 (actual enrollment) | Resected BMs | SRT (3–5 fx) | SRS (1 fx) | Local recurrence free survival |
| NCT05160818 (SATURNUS) | III | 126 | Resected BMs | SRT (30–35 Gy/5 fx) | SRS 12–20 Gy/1 fx) | 1 y LC |
| Neoadjuvant SRS | ||||||
| NCT03741673 (MDACC) | III | 110 | Resectable BMs | Neoadjuvant SRS | Adjuvant SRS | 1 y LMD free rate |
| NCT03750227 (Mayo Clinic) | III | 140 | Resectable BMs | Neoadjuvant SRS | Adjuvant SRS | CNS composite endpoint event |
| NCT04422639 (University of Arkansas) | II | 104 | Resectable BMs | Neoadjuvant SRS/SRT | Adjuvant SRS/SRT | Time to CNS composite event (LC, symptomatic RN, LMD) |
| NCT04474925 (AHS Cancer Control Alberta) | III | 88 | Resectable BMs | Neoadjuvant SRS | Adjuvant SRS | 1 y LC |
| NCT05438212 (NRG-BN012) | III | 236 | Resectable BMs | Neoadjuvant SRS | Adjuvant SRS | Time to composite adverse endpoint (LR, LMD, RN) |
| NCT05545007 (SUPPORT) | III | 146 | Resectable BMs (>2 cm) | Neoadjuvant SRT (27 Gy/3 fx) | Adjuvant SRT (27 Gy/3 fx) | 1 y LMD rate |
| Study | Target and Molecule | Untreated Brain Mts Patients | icORR Measurable Lesions (Total Number of Patients) | icORR Measurable Plus Non Measurable (Total Number of Patients) | mDOR Measurable Lesions | mDOR Measurable Plus Non Measurable |
|---|---|---|---|---|---|---|
| FLAURA (Soria JC, 2018 [130]) | EGFR mutation—Osimertinib | Yes, neurologically stable | 76% (53) | - | 13.8 (95% CI, 10.8–20.2) | - |
| ALEX (Gadgeel S, 2018 [115]) | ALK rearrangement—Alectinib | Yes, asymptomatic | 85.7% (7) prior RT 78.6% (14) no prior RT | 36% (25) prior RT 74.4% (39) no prior RT | - | NR (95% CI, 14.8-NR) prior RT; NR (95% CI, 13.4-NR) no prior RT |
| ALESIA (Zhou C, 2019 [131]) | ALK rearrangement—Alectinib | Yes, asymptomatic (leptomeningeal disease included) | 94% (17) | 73% (44) | NE | NE |
| ALTA-1L (Camidge RD, 2018 [118]) | ALK rearrangement—Brigatinib | Yes, neurologically stable | 78% (18) | 66% (47) | 27.9 (95% CI, 5.7–NE) | 27.1 (95% CI, 16.9–42.8) |
| CROWN (Solomon BJ, 2022 [119]) | ALK rearrangement—Lorlatinib | Yes, asymptomatic | 83% (18) | 65% (37) | NR (95% CI NR–NR) | NR (95% CI NR–NR) |
| eXalt3 (Horn L, 2021 [120]) | ALK rearrangement—Ensartinib | Yes, asymptomatic | 64% (11) | NA | NA | NA |
| ALKA-372-001, STARTRK-1, STARTRK-2 (Drilon A, 2023 [122]) | ROS1 rearrangement—Entrectinib | Yes, asymptomatic or neurologically stable | 80% (25) | 52.1% (48) | 12.9 (95% CI, 6.8–22.1) | 12.9 (95% CI 7.1–22.1) |
| LIBRETTO-001 (Drilon A, 2023 [122]) | RET rearrangement—Selpercatinib | Yes, if asymptomatic or neurologically stable | 85% (26) | NA | 9.4 (95% CI, 7.4–15.3) | NA |
| ARROW (Griesinger F, 2022 [123]) | RET rearrangement—Pralsetinib | Yes, if asymptomatic or neurologically stable | 70% (10) | NA | 10.5 (95% CI, 5.5–12.6) | NA |
| ALKA-372-001, STARTRK-1, STARTRK-2 (Doebele RC, 2020 [126]) | NTRK1,2,3 rearrangement- Entrectinib | Yes, asymptomatic or neurologically stable | 55% (11) * | NA | NE (95% CI, 5.0-NE) | NA |
| Pooled analysis of phase 1–2 trials (Hong DS, 2020 [127]) | NTRK1,2,3 rearrangement- Larotrectinib | Yes, asymptomatic | 66% (3) * | 75% (12) * | NA | NA |
| KRYSTAL-1 (Negrao MV, 2023 [132]) | KRAS p.G12C mutation—Adagrasib | Yes, asymptomatic or neurologically stable | NR | 42.1% (19) | NR | 12.7 (95% CI, 3.9-NE) |
| VISION (Mazieres, J, 2023 [125]) | MET exon 14 skpping mutation—Tepotinib | Yes, asymptomatic or neurologically stable | 57% (7) | 60% (15) | NR | NR |
| GEOMETRY mono-1 (Wolf J, 2020 [124]) | MET exon 14 skipping mutation—Capmatinib | Yes, neurologically stable | NR | 54% (13) | NR | NR |
| NCT Identifier | Study Phase | Patients Estimated | Population | Experimental Arm | Comparator | Primary Endpoint |
|---|---|---|---|---|---|---|
| NCT02696993 (MDACC) | I-II (non-random) | 88 | BMs from NSCLC | A: nivolumab + SRS B: nivolumab + WBRT C: nivolumab + ipilimumab + SRS D: nivolumab + ipilimumab + WBRT | MTD (phase I); 4 mo iPFS (phase II) | |
| NCT04042220 (Medical University of Vienna) | NA (cohort) | 200 | BMs from NSCLC or melanoma | A: GKRS + ICI B: GKRS + ICI + glucocorticoids C: GKRS alone | OS | |
| NCT04047602 (RADREMI) | NA (single arm) | 42 | BMs from NSCLC (1–10) | ICI + reduced dose SRS | Symptomatic RN rate | |
| NCT04291092 (Zhejiang Cancer Hospital) | II (single arm) | 63 | BMs from NSCLC | camrelizumab + CT + cranial RT (SRS/WBRT) | 6 mo PFS | |
| NCT04427228 (MIGRAINE) | II (random) | 74 | BMs (1–10) from solid tumors, | ICI + SRT (27 Gy/3 fx) | ICI + SRS (18–20 Gy/1 fx) | RN rate |
| NCT04787185 (STRAIT-LUC) | NA (cohort) | 50 | BMs from NSCLC (1–10) | ICI + SRS/SRT | ≥G3 toxicity | |
| NCT04889066 (University of Texas Southwestern Medical Center) | II (random) | 46 | BMs from NSCLC (1–10) | durvalumab + SRT (24–27 Gy/3 fx) | durvalumab + PULSAR (personalized ultra-fractionated stereotactic adaptive RT | intracranial clinical benefit (CR, PR, SD) |
| NCT05522660 (USZ-STRIKE) | III (random) | 190 | Asymptomatic BMs from melanoma or NSCLC; | ST (ICI or TKI) + SRS | ST (ICI or TKI) alone | iPFS |
| NCT05703269 (HYPOGRYPHE) | NA (random) | 244 | BMs from NSCLC, melanoma, breast or RCC | ICI + SRT (3–5 fx) | ICI + SRS (1 fx) | ≥G2 ARE (adverse radiation effects) |
| NCT Identifier | Study Phase | Patients Estimated | Population | Experimental Arm | Comparator Arm | Primary Endpoint |
|---|---|---|---|---|---|---|
| NCT03497767 (OUTRUN) | II (random) | 80 | BMs from EGFR-mutated NSCLC | osimertinib + SRS (at least 1 lesion) | osimertinib alone | 1 y iPFS |
| NCT03769103 (LUOSICNS) | II (random) | 76 | BMs from EGFR-mutated NSCLC | osimertinib + SRS | osimertinib alone | iPFS |
| NCT04905550 (RadiAI-CNS) | II (single arm) | 50 | BMs from EGFR-mutated NSCLC | almonertinib + cranial RT (SRS/WBRT) | iPFS | |
| NCT04908956 (STEREO) | II (single arm) | 60 | Oligomts EGFR-mutated NSCLC | osimertinib + SRS/SBRT (primary + all mts) | ≥G2 toxicity, PFS | |
| NCT05033691 (LUNG-OSIME-SRS) | NA (random) | 162 | Asymptomatic BMs from EGFR-mutated NSCLC | osimertinib + SRS | osimertinib alone | iPFS |
| NCT05236946 (Tata Mermorial Hospital) | III (random) | 190 | Asymptomatic BMs from oncogene-mutated NSCLC | TKI + cranial RT (SRS/WBRT) | TKI alone | 2 y iPFS |
| NCT05522660 (USZ-STRIKE) | III (random) | 190 | Asymptomatic BMs from melanoma or NSCLC | ST (ICI or TKI) + SRS | ST (ICI or TKI) alone | iPFS |
| NCT Identifier | Study Phase | Patients Estimated | Population | Experimental Arm | Standard Arm | Primary Endpoint |
|---|---|---|---|---|---|---|
| NCT03297788 (ENCEPHALON) | II | 56 | 1–10 SCLC BMs | SRS/SRT (18–20 Gy/1 fx–30 Gy/5 fx) | WBRT (30 Gy/10 fx) | Neurocognition (HVLT-R test) |
| NCT03391362 (Dana-Farber Cancer Institute) | II | 100 | 1–10 SCLC BMs | SRS/SRT (18–20 Gy/1 fx–30 Gy/5 fx) | Neurological death | |
| NCT04516070 (MDACC) | II | 70 | 1–5 SCLC BMs | SRS | 3 mo cognitive decline rate | |
| NCT04804644 (NRG-CC009) | III | 200 | 1–10 SCLC BMs | SRS/SRT | HA-WBRT | Time to neurocognitive failure |
Disclaimer/Publisher’s Note: The statements, opinions and data contained in all publications are solely those of the individual author(s) and contributor(s) and not of MDPI and/or the editor(s). MDPI and/or the editor(s) disclaim responsibility for any injury to people or property resulting from any ideas, methods, instructions or products referred to in the content. |
© 2023 by the authors. Licensee MDPI, Basel, Switzerland. This article is an open access article distributed under the terms and conditions of the Creative Commons Attribution (CC BY) license (https://creativecommons.org/licenses/by/4.0/).
Share and Cite
Levis, M.; Gastino, A.; De Giorgi, G.; Mantovani, C.; Bironzo, P.; Mangherini, L.; Ricci, A.A.; Ricardi, U.; Cassoni, P.; Bertero, L. Modern Stereotactic Radiotherapy for Brain Metastases from Lung Cancer: Current Trends and Future Perspectives Based on Integrated Translational Approaches. Cancers 2023, 15, 4622. https://doi.org/10.3390/cancers15184622
Levis M, Gastino A, De Giorgi G, Mantovani C, Bironzo P, Mangherini L, Ricci AA, Ricardi U, Cassoni P, Bertero L. Modern Stereotactic Radiotherapy for Brain Metastases from Lung Cancer: Current Trends and Future Perspectives Based on Integrated Translational Approaches. Cancers. 2023; 15(18):4622. https://doi.org/10.3390/cancers15184622
Chicago/Turabian StyleLevis, Mario, Alessio Gastino, Greta De Giorgi, Cristina Mantovani, Paolo Bironzo, Luca Mangherini, Alessia Andrea Ricci, Umberto Ricardi, Paola Cassoni, and Luca Bertero. 2023. "Modern Stereotactic Radiotherapy for Brain Metastases from Lung Cancer: Current Trends and Future Perspectives Based on Integrated Translational Approaches" Cancers 15, no. 18: 4622. https://doi.org/10.3390/cancers15184622
APA StyleLevis, M., Gastino, A., De Giorgi, G., Mantovani, C., Bironzo, P., Mangherini, L., Ricci, A. A., Ricardi, U., Cassoni, P., & Bertero, L. (2023). Modern Stereotactic Radiotherapy for Brain Metastases from Lung Cancer: Current Trends and Future Perspectives Based on Integrated Translational Approaches. Cancers, 15(18), 4622. https://doi.org/10.3390/cancers15184622

