A Matched Molecular and Clinical Analysis of the Epithelioid Haemangioendothelioma Cohort in the Stafford Fox Rare Cancer Program and Contextual Literature Review
Abstract
Simple Summary
Abstract
1. Introduction
2. Background Literature Review
2.1. Radiological Characterisation
2.2. Histopathological Features
2.3. Molecular Characterisation
2.4. Clinical Behaviour
2.5. Treatment and Management Principles
| Treatment [Reference] | Study Design and Patient Nos. | Study Outcome [CR, PR, SD, PD] |
|---|---|---|
| Sirolimus [39] | A case-series analysis within the Italian Rare Cancer Network for 38 EHE patients |
|
| Pazopanib [40] | A retrospective analysis; an EORTC of Soft tissue and Bone Sarcoma group of 10 EHE patients |
|
| Bevacizumab [35] | A multicentre, phase II study with 7 EHE patients |
|
| [36] | Case series of 4 EHE patients |
|
| [41] | Case report of one EHE patient | 1 PR to capecitabine and bevacizumb for 6 months. |
| Sorafenib [42] | Phase II study by the French Sarcoma Group of 15 EHE patients |
|
| Lenalidomide [43] | A case report of one EHE patient |
|
| Anlotinib [44] | A case report of one EHE patient | SD for more than 2 years |
| Lenvatinib [45] | A case report of one EHE patient | PR for 6 months bridging liver transplant |
3. Materials and Methods
3.1. Patient Clinical Data, Samples, and Study Approval
3.2. Immunohistochemistry
3.3. DNA and RNA Sequencing and Analysis
4. Results
4.1. EHE Cohort
4.2. Case #368
4.3. Case #130
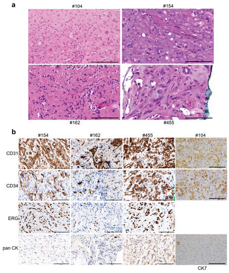
4.4. Additional EHE Cases in the SFRCP
5. Discussion
6. Conclusions
Limitations of the Study
Supplementary Materials
Author Contributions
Funding
Institutional Review Board Statement
Informed Consent Statement
Data Availability Statement
Acknowledgments
Conflicts of Interest
References
- Weiss, S.W.; Enzinger, F.M. Epithelioid hemangioendothelioma: A vascular tumor often mistaken for a carcinoma. Cancer 1982, 50, 970–981. [Google Scholar] [CrossRef]
- Sardaro, A.; Bardoscia, L.; Petruzzelli, M.F.; Portaluri, M. Epithelioid hemangioendothelioma: An overview and update on a rare vascular tumor. Oncol. Rev. 2014, 8, 259. [Google Scholar] [CrossRef] [PubMed]
- Deyrup, A.T.; Tighiouart, M.; Montag, A.G.; Weiss, S.W. Epithelioid hemangioendothelioma of soft tissue: A proposal for risk stratification based on 49 cases. Am. J. Surg. Pathol. 2008, 32, 924–927. [Google Scholar] [CrossRef] [PubMed]
- Makhlouf, H.R.; Ishak, K.G.; Goodman, Z.D. Epithelioid hemangioendothelioma of the liver: A clinicopathologic study of 137 cases. Cancer 1999, 85, 562–582. [Google Scholar] [CrossRef]
- Mehrabi, A.; Kashfi, A.; Fonouni, H.; Schemmer, P.; Schmied, B.M.; Hallscheidt, P.; Schirmacher, P.; Weitz, J.; Friess, H.; Buchler, M.W.; et al. Primary malignant hepatic epithelioid hemangioendothelioma: A comprehensive review of the literature with emphasis on the surgical therapy. Cancer 2006, 107, 2108–2121. [Google Scholar] [CrossRef]
- Alomari, A.I. The lollipop sign: A new cross-sectional sign of hepatic epithelioid hemangioendothelioma. Eur. J. Radiol. 2006, 59, 460–464. [Google Scholar] [CrossRef]
- Liu, X.; Yu, H.; Zhang, Z.; Si, S.; Huang, J.; Tan, H.; Teng, F.; Yang, Z. MRI appearances of hepatic epithelioid hemangioendothelioma: A retrospective study of 57 patients. Insights Imaging 2022, 13, 65. [Google Scholar] [CrossRef]
- Frota Lima, L.M.; Packard, A.T.; Broski, S.M. Epithelioid hemangioendothelioma: Evaluation by 18F-FDG PET/CT. Am. J. Nucl. Med. Mol. Imaging 2021, 11, 77–86. [Google Scholar]
- Dermawan, J.K.; Azzato, E.M.; Billings, S.D.; Fritchie, K.J.; Aubert, S.; Bahrami, A.; Barisella, M.; Baumhoer, D.; Blum, V.; Bode, B.; et al. YAP1-TFE3-fused hemangioendothelioma: A multi-institutional clinicopathologic study of 24 genetically-confirmed cases. Mod. Pathol. Off. J. United States Can. Acad. Pathol. Inc 2021, 34, 2211–2221. [Google Scholar] [CrossRef]
- Bourgeau, M.; Martinez, A.; Deeb, K.K.; Reid, M.D.; Lewis, M.; Point du Jour, K.S.; Lai, J.; Shi, Q. Cytologic features of hepatic YAP1-TFE3 rearranged epithelioid hemangioendothelioma. Diagn. Cytopathol. 2021, 49, E447–E452. [Google Scholar] [CrossRef]
- Flucke, U.; Vogels, R.J.; de Saint Aubain Somerhausen, N.; Creytens, D.H.; Riedl, R.G.; van Gorp, J.M.; Milne, A.N.; Huysentruyt, C.J.; Verdijk, M.A.; van Asseldonk, M.M.; et al. Epithelioid Hemangioendothelioma: Clinicopathologic, immunhistochemical, and molecular genetic analysis of 39 cases. Diagn. Pathol. 2014, 9, 131. [Google Scholar] [CrossRef] [PubMed]
- Carter, C.S.; Patel, R.M. Cutaneous soft tissue tumors: Diagnostically disorienting epithelioid tumors that are not epithelial, and other perplexing mesenchymal lesions. Mod. Pathol. Off. J. United States Can. Acad. Pathol. Inc 2020, 33 (Suppl. 1), 66–82. [Google Scholar] [CrossRef] [PubMed]
- Jo, V.Y.; Doyle, L.A. Refinements in Sarcoma Classification in the Current 2013 World Health Organization Classification of Tumours of Soft Tissue and Bone. Surg. Oncol. Clin. N. Am. 2016, 25, 621–643. [Google Scholar] [CrossRef]
- Stacchiotti, S.; Miah, A.B.; Frezza, A.M.; Messiou, C.; Morosi, C.; Caraceni, A.; Antonescu, C.R.; Bajpai, J.; Baldini, E.; Bauer, S.; et al. Epithelioid hemangioendothelioma, an ultra-rare cancer: A consensus paper from the community of experts. ESMO Open 2021, 6, 100170. [Google Scholar] [CrossRef]
- Szulzewsky, F.; Arora, S.; Hoellerbauer, P.; King, C.; Nathan, E.; Chan, M.; Cimino, P.J.; Ozawa, T.; Kawauchi, D.; Pajtler, K.W.; et al. Comparison of tumor-associated YAP1 fusions identifies a recurrent set of functions critical for oncogenesis. Genes Dev. 2020, 34, 1051–1064. [Google Scholar] [CrossRef] [PubMed]
- Mohamed, A.D.; Tremblay, A.M.; Murray, G.I.; Wackerhage, H. The Hippo signal transduction pathway in soft tissue sarcomas. Biochim. Biophys. Acta 2015, 1856, 121–129. [Google Scholar] [CrossRef]
- Anderson, W.J.; Fletcher, C.D.M.; Hornick, J.L. Loss of expression of YAP1 C-terminus as an ancillary marker for epithelioid hemangioendothelioma variant with YAP1-TFE3 fusion and other YAP1-related vascular neoplasms. Mod. Pathol. Off. J. United States Can. Acad. Pathol. Inc 2021, 34, 2036–2042. [Google Scholar] [CrossRef]
- Hong, W.; Guan, K.L. The YAP and TAZ transcription co-activators: Key downstream effectors of the mammalian Hippo pathway. Semin. Cell Dev. Biol. 2012, 23, 785–793. [Google Scholar] [CrossRef]
- Garcia, K.; Gingras, A.C.; Harvey, K.F.; Tanas, M.R. TAZ/YAP fusion proteins: Mechanistic insights and therapeutic opportunities. Trends Cancer 2022, 8, 1033–1045. [Google Scholar] [CrossRef]
- Patel, N.R.; Salim, A.A.; Sayeed, H.; Sarabia, S.F.; Hollingsworth, F.; Warren, M.; Jakacky, J.; Tanas, M.; Oliveira, A.M.; Rubin, B.P.; et al. Molecular characterization of epithelioid haemangioendotheliomas identifies novel WWTR1-CAMTA1 fusion variants. Histopathology 2015, 67, 699–708. [Google Scholar] [CrossRef]
- Driskill, J.H.; Zheng, Y.; Wu, B.K.; Wang, L.; Cai, J.; Rakheja, D.; Dellinger, M.; Pan, D. WWTR1(TAZ)-CAMTA1 reprograms endothelial cells to drive epithelioid hemangioendothelioma. Genes Dev. 2021, 35, 495–511. [Google Scholar] [CrossRef] [PubMed]
- Martina, J.A.; Diab, H.I.; Li, H.; Puertollano, R. Novel roles for the MiTF/TFE family of transcription factors in organelle biogenesis, nutrient sensing, and energy homeostasis. Cell. Mol. Life Sci. CMLS 2014, 71, 2483–2497. [Google Scholar] [CrossRef] [PubMed]
- Antonescu, C.R.; Le Loarer, F.; Mosquera, J.M.; Sboner, A.; Zhang, L.; Chen, C.L.; Chen, H.W.; Pathan, N.; Krausz, T.; Dickson, B.C.; et al. Novel YAP1-TFE3 fusion defines a distinct subset of epithelioid hemangioendothelioma. Genes Chromosomes Cancer 2013, 52, 775–784. [Google Scholar] [CrossRef]
- Rosenbaum, E.; Jadeja, B.; Xu, B.; Zhang, L.; Agaram, N.P.; Travis, W.; Singer, S.; Tap, W.D.; Antonescu, C.R. Prognostic stratification of clinical and molecular epithelioid hemangioendothelioma subsets. Mod. Pathol. Off. J. United States Can. Acad. Pathol. Inc 2020, 33, 591–602. [Google Scholar] [CrossRef] [PubMed]
- Seligson, N.D.; Awasthi, A.; Millis, S.Z.; Turpin, B.K.; Meyer, C.F.; Grand’Maison, A.; Liebner, D.A.; Hays, J.L.; Chen, J.L. Common Secondary Genomic Variants Associated with Advanced Epithelioid Hemangioendothelioma. JAMA Netw. Open 2019, 2, e1912416. [Google Scholar] [CrossRef] [PubMed]
- Frezza, A.M.; Napolitano, A.; Miceli, R.; Badalamenti, G.; Brunello, A.; Buonomenna, C.; Casali, P.G.; Caraceni, A.; Grignani, G.; Gronchi, A.; et al. Clinical prognostic factors in advanced epithelioid haemangioendothelioma: A retrospective case series analysis within the Italian Rare Cancers Network. ESMO Open 2021, 6, 100083. [Google Scholar] [CrossRef]
- Lytle, M.; Bali, S.D.; Galili, Y.; Bednov, B.; Murillo Alvarez, R.M.; Carlan, S.J.; Madruga, M. Epithelioid Hemangioendothelioma: A Rare Case of an Aggressive Vascular Malignancy. Am. J. Case Rep. 2019, 20, 864–867. [Google Scholar] [CrossRef]
- Shibayama, T.; Makise, N.; Motoi, T.; Mori, T.; Hiraoka, N.; Yonemori, K.; Watanabe, S.I.; Esaki, M.; Morizane, C.; Okuma, T.; et al. Clinicopathologic Characterization of Epithelioid Hemangioendothelioma in a Series of 62 Cases: A Proposal of Risk Stratification and Identification of a Synaptophysin-positive Aggressive Subset. Am. J. Surg. Pathol. 2021, 45, 616–626. [Google Scholar] [CrossRef]
- Li, Y.; Zhang, Z.; Zhang, C.; Li, J.; Zhang, B.; Dong, Y.; Cui, X. Establishment and Validation of a Nomogram Prognostic Model for Epithelioid Hemangioendothelioma. J. Oncol. 2022, 2022, 6254563. [Google Scholar] [CrossRef]
- Tong, D.; Constantinidou, A.; Engelmann, B.; Chamberlain, F.; Thway, K.; Fisher, C.; Hayes, A.; Fotiadis, N.; Messiou, C.; Miah, A.B.; et al. The Role of Local Therapy in Multi-focal Epithelioid Haemangioendothelioma. Anticancer Res. 2019, 39, 4891–4896. [Google Scholar] [CrossRef]
- Akizawa, T.; Nishizawa, T.; Yamada, S.; Ota, H.; Kida, G.; Tsukahara, Y.; Nakamura, T.; Oba, T.; Yamakawa, H.; Kawabe, R.; et al. Successful surgical treatment of epithelioid hemangioendothelioma involving multiple liver lesions and bilateral lung nodules. Respir. Med. Case Rep. 2022, 40, 101769. [Google Scholar] [CrossRef]
- Kawka, M.; Mak, S.; Qiu, S.; Gall, T.M.H.; Jiao, L.R. Hepatic epithelioid hemangioendothelioma (HEHE)-rare vascular malignancy mimicking cholangiocarcinoma: A case report. Transl. Gastroenterol. Hepatol. 2022, 7, 42. [Google Scholar] [CrossRef]
- Stacchiotti, S.; Frezza, A.M.; Blay, J.Y.; Baldini, E.H.; Bonvalot, S.; Bovee, J.; Callegaro, D.; Casali, P.G.; Chiang, R.C.; Demetri, G.D.; et al. Ultra-rare sarcomas: A consensus paper from the Connective Tissue Oncology Society community of experts on the incidence threshold and the list of entities. Cancer 2021, 127, 2934–2942. [Google Scholar] [CrossRef]
- Frezza, A.M.; Ravi, V.; Lo Vullo, S.; Vincenzi, B.; Tolomeo, F.; Chen, T.W.; Teterycz, P.; Baldi, G.G.; Italiano, A.; Penel, N.; et al. Systemic therapies in advanced epithelioid haemangioendothelioma: A retrospective international case series from the World Sarcoma Network and a review of literature. Cancer Med. 2021, 10, 2645–2659. [Google Scholar] [CrossRef] [PubMed]
- Agulnik, M.; Yarber, J.L.; Okuno, S.H.; von Mehren, M.; Jovanovic, B.D.; Brockstein, B.E.; Evens, A.M.; Benjamin, R.S. An open-label, multicenter, phase II study of bevacizumab for the treatment of angiosarcoma and epithelioid hemangioendotheliomas. Ann. Oncol. Off. J. Eur. Soc. Med. Oncol. 2013, 24, 257–263. [Google Scholar] [CrossRef] [PubMed]
- Telli, T.A.; Okten, I.N.; Tuylu, T.B.; Demircan, N.C.; Arikan, R.; Alan, O.; Ercelep, O.; Ones, T.; Yildirim, A.T.; Dane, F.; et al. VEGF-VEGFR pathway seems to be the best target in hepatic epithelioid hemangioendothelioma: A case series with review of the literature. Curr. Probl. Cancer 2020, 44, 100568. [Google Scholar] [CrossRef] [PubMed]
- Clinical Trial NCT04665206: Study to Evaluate VT3989 in Patients with Metastatic Solid Tumors Enriched for Tumors with NF2 Gene Mutations. Available online: https://www.australianclinicaltrials.gov.au/anzctr/trial/NCT04665206 (accessed on 7 August 2023).
- Clinical Trial NCT03148275: Trametinib in Treating Patients with Epithelioid Hemangioendothelioma That Is Metastatic, Locally Advanced, or Cannot Be Removed by Surgery. Available online: https:/classic.clinicaltrials.gov/ct2/show/NCT03148275 (accessed on 7 August 2023).
- Stacchiotti, S.; Simeone, N.; Lo Vullo, S.; Baldi, G.G.; Brunello, A.; Vincenzi, B.; Palassini, E.; Dagrada, G.; Collini, P.; Morosi, C.; et al. Activity of sirolimus in patients with progressive epithelioid hemangioendothelioma: A case-series analysis within the Italian Rare Cancer Network. Cancer 2021, 127, 569–576. [Google Scholar] [CrossRef]
- Kollar, A.; Jones, R.L.; Stacchiotti, S.; Gelderblom, H.; Guida, M.; Grignani, G.; Steeghs, N.; Safwat, A.; Katz, D.; Duffaud, F.; et al. Pazopanib in advanced vascular sarcomas: An EORTC Soft Tissue and Bone Sarcoma Group (STBSG) retrospective analysis. Acta Oncol. 2017, 56, 88–92. [Google Scholar] [CrossRef]
- Lau, A.; Malangone, S.; Green, M.; Badari, A.; Clarke, K.; Elquza, E. Combination capecitabine and bevacizumab in the treatment of metastatic hepatic epithelioid hemangioendothelioma. Ther. Adv. Med. Oncol. 2015, 7, 229–236. [Google Scholar] [CrossRef]
- Chevreau, C.; Le Cesne, A.; Ray-Coquard, I.; Italiano, A.; Cioffi, A.; Isambert, N.; Robin, Y.M.; Fournier, C.; Clisant, S.; Chaigneau, L.; et al. Sorafenib in patients with progressive epithelioid hemangioendothelioma: A phase 2 study by the French Sarcoma Group (GSF/GETO). Cancer 2013, 119, 2639–2644. [Google Scholar] [CrossRef]
- Pallotti, M.C.; Nannini, M.; Agostinelli, C.; Leoni, S.; Scioscio, V.D.; Mandrioli, A.; Lolli, C.; Saponara, M.; Pileri, S.; Bolondi, L.; et al. Long-term durable response to lenalidomide in a patient with hepatic epithelioid hemangioendothelioma. World J. Gastroenterol. 2014, 20, 7049–7054. [Google Scholar] [CrossRef]
- Liu, X.; Zhou, R.; Si, S.; Liu, L.; Yang, S.; Han, D.; Tan, H. Case report: Successful treatment with the combined therapy of interferon-alpha 2b and anlotinib in a patient with advanced hepatic epithelioid hemangioendothelioma. Front. Med. 2022, 9, 1022017. [Google Scholar] [CrossRef] [PubMed]
- Kounis, I.; Lewin, M.; Laurent-Bellue, A.; Poli, E.; Coilly, A.; Duclos-Vallee, J.C.; Guettier, C.; Adam, R.; Lerut, J.; Samuel, D.; et al. Advanced epithelioid hemangioendothelioma of the liver: Could lenvatinib offer a bridge treatment to liver transplantation? Ther. Adv. Med. Oncol. 2022, 14, 17588359221086909. [Google Scholar] [CrossRef] [PubMed]
- Schindelin, J.; Arganda-Carreras, I.; Frise, E.; Kaynig, V.; Longair, M.; Pietzsch, T.; Preibisch, S.; Rueden, C.; Saalfeld, S.; Schmid, B.; et al. Fiji: An open-source platform for biological-image analysis. Nat. Methods 2012, 9, 676–682. [Google Scholar] [CrossRef] [PubMed]
- Uhrig, S.; Ellermann, J.; Walther, T.; Burkhardt, P.; Frohlich, M.; Hutter, B.; Toprak, U.H.; Neumann, O.; Stenzinger, A.; Scholl, C.; et al. Accurate and efficient detection of gene fusions from RNA sequencing data. Genome Res. 2021, 31, 448–460. [Google Scholar] [CrossRef]
- Ewels, P.; Magnusson, M.; Lundin, S.; Kaller, M. MultiQC: Summarize analysis results for multiple tools and samples in a single report. Bioinformatics 2016, 32, 3047–3048. [Google Scholar] [CrossRef] [PubMed]
- Bedo, J.; Di Stefano, L.; Papenfuss, A.T. Unifying package managers, workflow engines, and containers: Computational reproducibility with BioNix. GigaScience 2020, 9, giaa121. [Google Scholar] [CrossRef]
- Li, H. Minimap2: Pairwise alignment for nucleotide sequences. Bioinformatics 2018, 34, 3094–3100. [Google Scholar] [CrossRef]
- Cooke, D.P.; Wedge, D.C.; Lunter, G. A unified haplotype-based method for accurate and comprehensive variant calling. Nat. Biotechnol. 2021, 39, 885–892. [Google Scholar] [CrossRef]
- Cingolani, P.; Platts, A.; Wangle, L.; Coon, M.; Nguyen, T.; Wang, L.; Land, S.J.; Lu, X.; Ruden, D.M. A program for annotating and predicting the effects of single nucleotide polymorphisms, SnpEff: SNPs in the genome of Drosophila melanogaster strain w1118; iso-2; iso-3. Fly 2012, 6, 80–92. [Google Scholar] [CrossRef]
- Liu, X.; Li, C.; Mou, C.; Dong, Y.; Tu, Y. dbNSFP v4: A comprehensive database of transcript-specific functional predictions and annotations for human nonsynonymous and splice-site SNVs. Genome Med. 2020, 12, 103. [Google Scholar] [CrossRef]
- Shen, R.; Seshan, V.E. FACETS: Allele-specific copy number and clonal heterogeneity analysis tool for high-throughput DNA sequencing. Nucleic Acids Res. 2016, 44, e131. [Google Scholar] [CrossRef] [PubMed]
- McKenna, A.; Hanna, M.; Banks, E.; Sivachenko, A.; Cibulskis, K.; Kernytsky, A.; Garimella, K.; Altshuler, D.; Gabriel, S.; Daly, M.; et al. The Genome Analysis Toolkit: A MapReduce framework for analyzing next-generation DNA sequencing data. Genome Res. 2010, 20, 1297–1303. [Google Scholar] [CrossRef]
- Kim, S.; Scheffler, K.; Halpern, A.L.; Bekritsky, M.A.; Noh, E.; Kallberg, M.; Chen, X.; Kim, Y.; Beyter, D.; Krusche, P.; et al. Strelka2: Fast and accurate calling of germline and somatic variants. Nat. Methods 2018, 15, 591–594. [Google Scholar] [CrossRef]
- Lai, Z.; Markovets, A.; Ahdesmaki, M.; Chapman, B.; Hofmann, O.; McEwen, R.; Johnson, J.; Dougherty, B.; Barrett, J.C.; Dry, J.R. VarDict: A novel and versatile variant caller for next-generation sequencing in cancer research. Nucleic Acids Res. 2016, 44, e108. [Google Scholar] [CrossRef] [PubMed]
- Nakken, S.; Fournous, G.; Vodak, D.; Aasheim, L.B.; Myklebost, O.; Hovig, E. Personal Cancer Genome Reporter: Variant interpretation report for precision oncology. Bioinformatics 2018, 34, 1778–1780. [Google Scholar] [CrossRef] [PubMed]
- Priestley, P.; Baber, J.; Lolkema, M.P.; Steeghs, N.; de Bruijn, E.; Shale, C.; Duyvesteyn, K.; Haidari, S.; van Hoeck, A.; Onstenk, W.; et al. Pan-cancer whole-genome analyses of metastatic solid tumours. Nature 2019, 575, 210–216. [Google Scholar] [CrossRef]
- Chen, X.; Schulz-Trieglaff, O.; Shaw, R.; Barnes, B.; Schlesinger, F.; Kallberg, M.; Cox, A.J.; Kruglyak, S.; Saunders, C.T. Manta: Rapid detection of structural variants and indels for germline and cancer sequencing applications. Bioinformatics 2016, 32, 1220–1222. [Google Scholar] [CrossRef]
- Amin, R.M.; Hiroshima, K.; Kokubo, T.; Nishikawa, M.; Narita, M.; Kuroki, M.; Nakatani, Y. Risk factors and independent predictors of survival in patients with pulmonary epithelioid haemangioendothelioma. Review of the literature and a case report. Respirology 2006, 11, 818–825. [Google Scholar] [CrossRef]
- Li, H.; Wang, C.; Zhu, Y.; Li, H.; Zhang, Z.; Fan, Q. Epithelioid hemangioendothelioma: A clinicopathologic analysis of 13 cases. Zhonghua Bing Li Xue Za Zhi = Chin. J. Pathol. 2015, 44, 386–389. [Google Scholar]
- Shiba, S.; Imaoka, H.; Shioji, K.; Suzuki, E.; Horiguchi, S.; Terashima, T.; Kojima, Y.; Okuno, T.; Sukawa, Y.; Tsuji, K.; et al. Clinical characteristics of Japanese patients with epithelioid hemangioendothelioma: A multicenter retrospective study. BMC Cancer 2018, 18, 993. [Google Scholar] [CrossRef]
- Hettmer, S.; Andrieux, G.; Hochrein, J.; Kurz, P.; Rossler, J.; Lassmann, S.; Werner, M.; von Bubnoff, N.; Peters, C.; Koscielniak, E.; et al. Epithelioid hemangioendotheliomas of the liver and lung in children and adolescents. Pediatr. Blood Cancer 2017, 64, e26675. [Google Scholar] [CrossRef]
- Chen, L.; Han, F.; Yang, J.; Huang, B.; Liu, H. Primary epithelioid hemangioendothelioma of the eyelid: A case report. Oncol. Lett. 2022, 24, 398. [Google Scholar] [CrossRef]
- Niwa, T.; Konishi, T.; Sasahara, A.; Sato, A.; Morizono, A.; Harada, M.; Nishioka, K.; Fukuoka, O.; Makise, N.; Saito, Y.; et al. Subcutaneous axillary primary epithelioid hemangioendothelioma: Report of a rare case. Surg. Case Rep. 2022, 8, 166. [Google Scholar] [CrossRef]
- Liu, X.; Zhou, R.; Si, S.; Liu, L.; Yang, S.; Han, D.; Tan, H. Sirolimus combined with interferon-alpha 2b therapy for giant hepatic epithelioid hemangioendothelioma: A case report. Front. Oncol. 2022, 12, 972306. [Google Scholar] [CrossRef]
- Rezvani, A.; Shahriarirad, R.; Erfani, A.; Ranjbar, K. Primary malignant epithelioid hemangioendothelioma of the pleura: A review and report of a novel case. Clin. Case Rep. 2022, 10, e6211. [Google Scholar] [CrossRef] [PubMed]
- Qin, C.; Hua, J.; Zhu, X.; Lu, G.; Yu, H.; Bian, T. Rapid death due to pulmonary epithelioid haemangioendothelioma in several weeks: A case report. Open Life Sci. 2022, 17, 811–815. [Google Scholar] [CrossRef] [PubMed]
- Yi, G.Y.; Kim, Y.K.; Kim, K.C.; Park, H.S. Pulmonary Multinodular Epithelioid Hemangioendothelioma with Mixed Progression and Spontaneous Regression during a 7-Year Follow-Up: A Case Report and Review of Imaging Findings. J. Korean Soc. Radiol. 2022, 83, 958–964. [Google Scholar] [CrossRef] [PubMed]
- Errani, C.; Zhang, L.; Sung, Y.S.; Hajdu, M.; Singer, S.; Maki, R.G.; Healey, J.H.; Antonescu, C.R. A novel WWTR1-CAMTA1 gene fusion is a consistent abnormality in epithelioid hemangioendothelioma of different anatomic sites. Genes Chromosomes Cancer 2011, 50, 644–653. [Google Scholar] [CrossRef]
- Anderson, T.; Zhang, L.; Hameed, M.; Rusch, V.; Travis, W.D.; Antonescu, C.R. Thoracic epithelioid malignant vascular tumors: A clinicopathologic study of 52 cases with emphasis on pathologic grading and molecular studies of WWTR1-CAMTA1 fusions. Am. J. Surg. Pathol. 2015, 39, 132–139. [Google Scholar] [CrossRef]
- Tanas, M.R.; Sboner, A.; Oliveira, A.M.; Erickson-Johnson, M.R.; Hespelt, J.; Hanwright, P.J.; Flanagan, J.; Luo, Y.; Fenwick, K.; Natrajan, R.; et al. Identification of a disease-defining gene fusion in epithelioid hemangioendothelioma. Sci. Transl. Med. 2011, 3, 98ra82. [Google Scholar] [CrossRef]
- Yurkiewicz, I.R.; Zhou, M.; Ganjoo, K.N.; Charville, G.W.; Bolleddu, S.; Lohman, M.; Bui, N. Management Strategies for Patients With Epithelioid Hemangioendothelioma: Charting an Indolent Disease Course. Am. J. Clin. Oncol. 2021, 44, 419–422. [Google Scholar] [CrossRef] [PubMed]
- Spruck, C.H.; Strohmaier, H.; Sangfelt, O.; Muller, H.M.; Hubalek, M.; Muller-Holzner, E.; Marth, C.; Widschwendter, M.; Reed, S.I. hCDC4 gene mutations in endometrial cancer. Cancer Res. 2002, 62, 4535–4539. [Google Scholar]
- Yeh, C.H.; Bellon, M.; Nicot, C. FBXW7: A critical tumor suppressor of human cancers. Mol. Cancer 2018, 17, 115. [Google Scholar] [CrossRef]
- Nogues, L.; Reglero, C.; Rivas, V.; Neves, M.; Penela, P.; Mayor, F., Jr. G-Protein-Coupled Receptor Kinase 2 as a Potential Modulator of the Hallmarks of Cancer. Mol. Pharmacol. 2017, 91, 220–228. [Google Scholar] [CrossRef] [PubMed]
- Rivas, V.; Nogues, L.; Reglero, C.; Mayor, F., Jr.; Penela, P. Role of G protein-coupled receptor kinase 2 in tumoral angiogenesis. Mol. Cell. Oncol. 2014, 1, e969166. [Google Scholar] [CrossRef][Green Version]
- Sharain, R.F.; Gown, A.M.; Greipp, P.T.; Folpe, A.L. Immunohistochemistry for TFE3 lacks specificity and sensitivity in the diagnosis of TFE3-rearranged neoplasms: A comparative, 2-laboratory study. Hum. Pathol. 2019, 87, 65–74. [Google Scholar] [CrossRef] [PubMed]
- Pinet, C.; Magnan, A.; Garbe, L.; Payan, M.J.; Vervloet, D. Aggressive form of pleural epithelioid haemangioendothelioma: Complete response after chemotherapy. Eur. Respir. J. 1999, 14, 237–238. [Google Scholar] [CrossRef] [PubMed]
- Grenader, T.; Vernea, F.; Reinus, C.; Gabizon, A. Malignant Epithelioid Hemangioendothelioma of the Liver Successfully Treated With Pegylated Liposomal Doxorubicin. J. Clin. Oncol. 2011, 29, e722–e724. [Google Scholar] [CrossRef]
- Kelly, H.; O’Neil, B.H. Response of epithelioid haemangioendothelioma to liposomal doxorubicin. Lancet Oncol. 2005, 6, 813–815. [Google Scholar] [CrossRef]
- Kayler, L.K.; Merion, R.M.; Arenas, J.D.; Magee, J.C.; Campbell, D.A.; Rudich, S.M.; Punch, J.D. Epithelioid hemangioendothelioma of the liver disseminated to the peritoneum treated with liver transplantation and interferon alpha-2B. Transplantation 2002, 74, 128–130. [Google Scholar] [CrossRef]
- Wu, H.W.; Wang, X.; Zhang, L.; Zhao, H.G.; Wang, Y.A.; Su, L.X.; Fan, X.D.; Zheng, J.W. Interferon-alpha therapy for refractory kaposiform hemangioendothelioma: A single-center experience. Sci. Rep. 2016, 6, 36261. [Google Scholar] [CrossRef]
- Soape, M.P.; Verma, R.; Payne, J.D.; Wachtel, M.; Hardwicke, F.; Cobos, E. Treatment of Hepatic Epithelioid Hemangioendothelioma: Finding Uses for Thalidomide in a New Era of Medicine. Case Rep. Gastrointest. Med. 2015, 2015, 326795. [Google Scholar] [CrossRef] [PubMed]
- Liu, Z.; He, S. Epithelioid Hemangioendothelioma: Incidence, Mortality, Prognostic Factors, and Survival Analysis Using the Surveillance, Epidemiology, and End Results Database. J. Oncol. 2022, 2022, 2349991. [Google Scholar] [CrossRef] [PubMed]
- Cameron, D.L.; Baber, J.; Shale, C.; Valle-Inclan, J.E.; Besselink, N.; van Hoeck, A.; Janssen, R.; Cuppen, E.; Priestley, P.; Papenfuss, A.T. GRIDSS2: Comprehensive characterisation of somatic structural variation using single breakend variants and structural variant phasing. Genome Biol. 2021, 22, 202. [Google Scholar] [CrossRef]
- Cameron, D.L.; Schroder, J.; Penington, J.S.; Do, H.; Molania, R.; Dobrovic, A.; Speed, T.P.; Papenfuss, A.T. GRIDSS: Sensitive and specific genomic rearrangement detection using positional de Bruijn graph assembly. Genome Res. 2017, 27, 2050–2060. [Google Scholar] [CrossRef] [PubMed]
- Cameron, D.L.; Dong, R.; Papenfuss, A.T. StructuralVariantAnnotation: A R/Bioconductor foundation for a caller-agnostic structural variant software ecosystem. Bioinformatics 2022, 38, 2046–2048. [Google Scholar] [CrossRef]
- Schwarz, J.M.; Cooper, D.N.; Schuelke, M.; Seelow, D. MutationTaster2: Mutation prediction for the deep-sequencing age. Nat. Methods 2014, 11, 361–362. [Google Scholar] [CrossRef]
- Dienstmann, R.; Dong, F.; Borger, D.; Dias-Santagata, D.; Ellisen, L.W.; Le, L.P.; Iafrate, A.J. Standardized decision support in next generation sequencing reports of somatic cancer variants. Mol. Oncol. 2014, 8, 859–873. [Google Scholar] [CrossRef]
- Chalmers, Z.R.; Connelly, C.F.; Fabrizio, D.; Gay, L.; Ali, S.M.; Ennis, R.; Schrock, A.; Campbell, B.; Shlien, A.; Chmielecki, J.; et al. Analysis of 100,000 human cancer genomes reveals the landscape of tumor mutational burden. Genome Med. 2017, 9, 34. [Google Scholar] [CrossRef]
- Alexandrov, L.B.; Nik-Zainal, S.; Wedge, D.C.; Aparicio, S.A.; Behjati, S.; Biankin, A.V.; Bignell, G.R.; Bolli, N.; Borg, A.; Borresen-Dale, A.L.; et al. Signatures of mutational processes in human cancer. Nature 2013, 500, 415–421. [Google Scholar] [CrossRef]
- Blokzijl, F.; Janssen, R.; van Boxtel, R.; Cuppen, E. MutationalPatterns: Comprehensive genome-wide analysis of mutational processes. Genome Med. 2018, 10, 33. [Google Scholar] [CrossRef] [PubMed]





| Case (Age at Diagnosis and Sex) | Diagnosis | Treatment | Current Clinical Course (Censored at the Time of Data Collection) |
|---|---|---|---|
| #104 (60s F) | Hepatic EHE, pulmonary and T12 bony metastases | Weekly paclitaxel completed with radiological SD, but improvement in pain burden. Upon progression, rechallenge weekly paclitaxel with poor tolerance | 8 years active surveillance |
| #130 (40s M) | Right calf extrahepatic EHE with metastasis to spine, pulmonary, hepatic, and right humerus | 10 years of surveillance Upon progression, definitive preoperative radiotherapy with surgical resection of calf primary | 13 years active surveillance |
| #154 (50s M) | Pleural EHE Progressive symptomatic pleural effusion and new bony lesions in right ilium, left clavicle and left sacrum | Surgical pleurodesis for pleural effusion | 6 years active surveillance |
| #162 (60s F) | Hepatic EHE and small volume pulmonary nodules | Resection of liver lesion with clear margins | 5 years active surveillance |
| #368 (60s M) | Hepatic EHE and small volume pulmonary nodules | Carboplatin/Etoposide without radiological response | 20 years active surveillance |
| #455 (70s M) | Hepatic EHE | Active surveillance only | 21 years active surveillance |
| #499 (60s F) | Extrahepatic EHE of the left popliteal fossa with pulmonary metastases | Radiotherapy to left knee Radiotherapy 56 Gy to left inguinal nodal disease | 2 years of active surveillance—lost to follow-up |
| #503 (30s F) | Hepatic EHE | Inoperable, awaiting liver transplant | 2 years of follow-up |
| #521 (40s F) | Hepatic EHE and pulmonary metastases | Liver resection | 2 years of follow-up |
| Case | Molecular Analysis Completed | Molecular Data | Histopathology IHC (Positive) |
|---|---|---|---|
| #104 | N/A | N/A | CD31, CD34, CD10 |
| #130 | WGS | CBX3::HECW1 and YAP1::TFE3 fusions | CD31, CD34, ERG, TFE3 |
| #154 | TSF | WWTR1::CAMTA1 fusion | CD31, CD34, ERG, CAMTA1, TFE3, retained BAP1 |
| #162 | TSO500 | Low TMB No clinically significant variants | CD31, CD34, ERG. CAMTA1 |
| #368 | TSF, WES | WWTR1::CAMTA1 fusion No pathogenic variants; somatic VUSs: SERPINB7, ABCA1, ABCC4, ANK1 and FOXK1 | CD31, CD34, ERG, CAMTA1 |
| #455 | TSF | WWTR1::CAMTA1 fusion | CD31, CD34, ERG, CAMTA1 |
| #499 | N/A | N/A | CD31, CD34, ERG, SMA, S100, CK8/18 |
| #503 | TSF | WWTR1::CAMTA1 and FBN1::WWTR1 fusions | ERG, CD31, CD34, CAMTA1, TFE3 (a few cells) |
| #521 | TSF, TSO500 | WWTR1::CAMTA1 fusion Low TMB No clinically significant variants Somatic VUS in FBXW7 | ERG, CD31, CD34, CAMTA1 |
Disclaimer/Publisher’s Note: The statements, opinions and data contained in all publications are solely those of the individual author(s) and contributor(s) and not of MDPI and/or the editor(s). MDPI and/or the editor(s) disclaim responsibility for any injury to people or property resulting from any ideas, methods, instructions or products referred to in the content. |
© 2023 by the authors. Licensee MDPI, Basel, Switzerland. This article is an open access article distributed under the terms and conditions of the Creative Commons Attribution (CC BY) license (https://creativecommons.org/licenses/by/4.0/).
Share and Cite
Abdelmogod, A.; Papadopoulos, L.; Riordan, S.; Wong, M.; Weltman, M.; Lim, R.; McEvoy, C.; Fellowes, A.; Fox, S.; Bedő, J.; et al. A Matched Molecular and Clinical Analysis of the Epithelioid Haemangioendothelioma Cohort in the Stafford Fox Rare Cancer Program and Contextual Literature Review. Cancers 2023, 15, 4378. https://doi.org/10.3390/cancers15174378
Abdelmogod A, Papadopoulos L, Riordan S, Wong M, Weltman M, Lim R, McEvoy C, Fellowes A, Fox S, Bedő J, et al. A Matched Molecular and Clinical Analysis of the Epithelioid Haemangioendothelioma Cohort in the Stafford Fox Rare Cancer Program and Contextual Literature Review. Cancers. 2023; 15(17):4378. https://doi.org/10.3390/cancers15174378
Chicago/Turabian StyleAbdelmogod, Arwa, Lia Papadopoulos, Stephen Riordan, Melvin Wong, Martin Weltman, Ratana Lim, Christopher McEvoy, Andrew Fellowes, Stephen Fox, Justin Bedő, and et al. 2023. "A Matched Molecular and Clinical Analysis of the Epithelioid Haemangioendothelioma Cohort in the Stafford Fox Rare Cancer Program and Contextual Literature Review" Cancers 15, no. 17: 4378. https://doi.org/10.3390/cancers15174378
APA StyleAbdelmogod, A., Papadopoulos, L., Riordan, S., Wong, M., Weltman, M., Lim, R., McEvoy, C., Fellowes, A., Fox, S., Bedő, J., Penington, J., Pham, K., Hofmann, O., Vissers, J. H. A., Grimmond, S., Ratnayake, G., Christie, M., Mitchell, C., Murray, W. K., ... Barker, H. E. (2023). A Matched Molecular and Clinical Analysis of the Epithelioid Haemangioendothelioma Cohort in the Stafford Fox Rare Cancer Program and Contextual Literature Review. Cancers, 15(17), 4378. https://doi.org/10.3390/cancers15174378

