Distal Humeral Replacement in Patients with Primary Bone Sarcoma: The Functional Outcome and Return to Sports
Abstract
Simple Summary
Abstract
1. Introduction
2. Materials and Methods
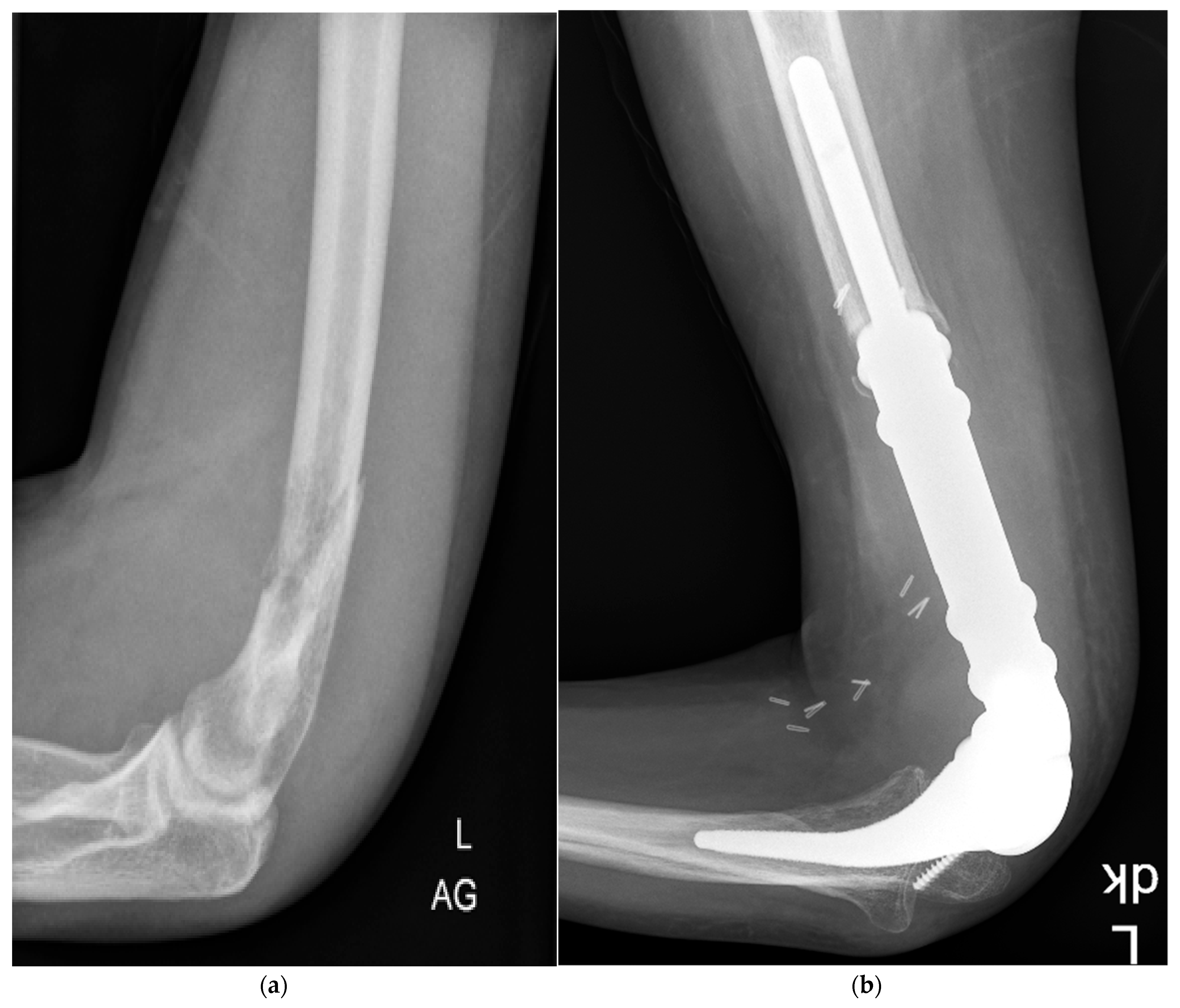
2.1. Surgical and Implant Details
2.2. Data Collection
2.3. Functional Outcome
2.4. Return to Sports Activities
2.5. Statistical Analysis
3. Results
3.1. Functional Outcome
3.2. Return to Sports Activities
3.3. Beneficial and Limiting Factors
4. Discussion
5. Conclusions
Author Contributions
Funding
Institutional Review Board Statement
Informed Consent Statement
Data Availability Statement
Conflicts of Interest
References
- Bläsius, F.; Delbrück, H.; Hildebrand, F.; Hofmann, U.K. Surgical Treatment of Bone Sarcoma. Cancers 2022, 14, 2694. [Google Scholar] [CrossRef] [PubMed]
- Kawaguchi, N.; Ahmed, A.R.; Matsumoto, S.; Manabe, J.; Matsushita, Y. The Concept of Curative Margin in Surgery for Bone and Soft Tissue Sarcoma. Clin. Orthop. Relat. R. 2004, 419, 165–172. [Google Scholar] [CrossRef] [PubMed]
- Theil, C.; Schwarze, J.; Gosheger, G.; Moellenbeck, B.; Schneider, K.N.; Deventer, N.; Klingebiel, S.; Grammatopoulos, G.; Boettner, F.; Schmidt-Braekling, T. Implant Survival, Clinical Outcome and Complications of Megaprosthetic Reconstructions Following Sarcoma Resection. Cancers 2022, 14, 351. [Google Scholar] [CrossRef] [PubMed]
- Grimer, R.J.; Aydin, B.K.; Wafa, H.; Carter, S.R.; Jeys, L.; Abudu, A.; Parry, M. Very Long-Term Outcomes after Endoprosthetic Replacement for Malignant Tumours of Bone. Bone Jt. J. 2016, 98-B, 857–864. [Google Scholar] [CrossRef] [PubMed]
- Gosheger, G.; Gebert, C.; Ahrens, H.; Streitbuerger, A.; Winkelmann, W.; Hardes, J. Endoprosthetic Reconstruction in 250 Patients with Sarcoma. Clin. Orthop. Relat. R. 2006, 450, 164–171. [Google Scholar] [CrossRef]
- Henrichs, M.-P.; Liem, D.; Gosheger, G.; Streitbuerger, A.; Nottrott, M.; Andreou, D.; Hardes, J. Megaprosthetic Replacement of the Distal Humerus: Still a Challenge in Limb Salvage. J. Shoulder Elb. Surg. 2019, 28, 908–914. [Google Scholar] [CrossRef]
- Funovics, P.T.; Schuh, R.; Adams, S.B.; Sabeti-Aschraf, M.; Dominkus, M.; Kotz, R.I. Modular Prosthetic Reconstruction of Major Bone Defects of the Distal End of the Humerus. J. Bone Jt. Surg. 2011, 93, 1064–1074. [Google Scholar] [CrossRef]
- Casadei, R.; Paolis, M.D.; Drago, G.; Romagnoli, C.; Donati, D. Total Elbow Arthroplasty for Primary and Metastatic Tumor. Orthop. Traumatology Surg. Res. 2016, 102, 459–465. [Google Scholar] [CrossRef]
- Schneider, K.N.; Rickert, C.; Gosheger, G.; Klingebiel, S.; Deventer, N.; Theil, C. Periprothetische Infektionen Megaprothetischer Rekonstruktionen Der Oberen Extremität. Obere Extrem. 2023, 18, 97–102. [Google Scholar] [CrossRef]
- Ellerbrock, M.; Theil, C.; Gosheger, G.; Deventer, N.; Klingebiel, S.; Rickert, C.; Schneider, K.N. Function and Return to Sports after Proximal Humeral Replacement in Patients with Primary Bone Sarcoma. J. Orthop. Traumatol. 2022, 23, 59. [Google Scholar] [CrossRef]
- Perisano, C.; Vitiello, R.; Sgambato, A.; Greco, T.; Cianni, L.; Ragonesi, G.; Malara, T.; Maccauro, G.; Martini, M. Evaluation of PD1 and PD-L1 Expression in High-Grade Sarcomas of the Limbs in the Adults: Possible Implications of Immunotherapy. J. Biol. Regul. Homeost. Agents 2020, 34, 289–294. [Google Scholar]
- Hobusch, G.M.; Bollmann, J.; Puchner, S.E.; Lang, N.W.; Hofstaetter, J.G.; Funovics, P.T.; Windhager, R. What Sport Activity Levels Are Achieved in Patients After Resection and Endoprosthetic Reconstruction for a Proximal Femur Bone Sarcoma? Clin. Orthop. Relat. R. 2017, 475, 817–826. [Google Scholar] [CrossRef]
- Lang, N.W.; Kasparek, M.F.; Synak, L.; Waldstein, W.; Funovics, P.T.; Windhager, R.; Hobusch, G.M. What Sports Activity Levels Are Achieved in Long-Term Survivors with Modular Endoprosthetic Humerus Reconstruction Following Primary Bone Sarcoma Resection? Wien. Klin. Wochenschr. 2021, 133, 14–20. [Google Scholar] [CrossRef]
- Schneider, K.N.; Bröking, J.N.; Gosheger, G.; Lübben, T.; Hardes, J.; Schorn, D.; Smolle, M.A.; Theil, C.; Andreou, D. What Is the Implant Survivorship and Functional Outcome After Total Humeral Replacement in Patients with Primary Bone Tumors? Clin. Orthop. Relat. Res. 2021, 479, 1754–1764. [Google Scholar] [CrossRef]
- Liang, H.; Yang, Y.; Guo, W.; Yan, L.; Tang, X.; Li, D.; Qu, H.; Zang, J.; Du, Z. Elbow Hemiarthroplasty with a 3D-Printed Megaprosthesis for Defects of the Distal Humerus or Proximal Ulna after Tumour Resection: A Preliminary Report. Bone Jt. J. 2022, 104-B, 747–757. [Google Scholar] [CrossRef]
- Gazendam, A.; Ghert, M. What’s New in Musculoskeletal Tumor Surgery. J. Bone Jt. Surg. 2022, 104, 2131–2144. [Google Scholar] [CrossRef]
- Enneking, W.F.; Dunham, W.; Gebhardt, M.C.; Malawar, M.; Pritchard, D.J. A System for the Functional Evaluation of Reconstructive Procedures after Surgical Treatment of Tumors of the Musculoskeletal System. Clin. Orthop. Relat. Res. 1993, 121, 241–246. [Google Scholar] [CrossRef]
- Davis, A.M.; Wright, J.G.; Williams, J.I.; Bombardier, C.; Griffin, A.; Bell, R.S. Development of a Measure of Physical Function for Patients with Bone and Soft Tissue Sarcoma. Qual. Life Res. 1996, 5, 508–516. [Google Scholar] [CrossRef]
- Schneeberger, A.G.; Kösters, M.C.; Steens, W. Comparison of the Subjective Elbow Value and the Mayo Elbow Performance Score. J. Shoulder Elb. Surg. 2014, 23, 308–312. [Google Scholar] [CrossRef]
- Tegner, Y.; Lysholm, J. Rating Systems in the Evaluation of Knee Ligament Injuries. Clin. Orthop. Relat. R. 1985, 198, 42–49. [Google Scholar] [CrossRef]
- Mont, M.A.; Marker, D.R.; Seyler, T.M.; Gordon, N.; Hungerford, D.S.; Jones, L.C. Knee Arthroplasties Have Similar Results in High- and Low-Activity Patients. Clin. Orthop. Relat. R. 2007, 460, 165–173. [Google Scholar] [CrossRef] [PubMed]
- Healy, W.L.; Iorio, R.; Lemos, M.J. Athletic Activity after Joint Replacement. Am. J. Sports Medicine 2001, 29, 377–388. [Google Scholar] [CrossRef]
- Jung, M.; Groetzner-Schmidt, C.; Porschke, F.; Grützner, P.A.; Guehring, T.; Schnetzke, M. Low Return-to-Sports Rate after Elbow Injury and Treatment with Radial Head Arthroplasty. J. Shoulder Elb. Surg. 2019, 28, 1441–1448. [Google Scholar] [CrossRef]
- Welsink, C.L.; Lambers, K.T.A.; van Deurzen, D.F.P.; Eygendaal, D.; van den Bekerom, M.P.J. Total Elbow Arthroplasty. Jbjs Rev. 2017, 5, e4. [Google Scholar] [CrossRef] [PubMed]
- Wilfred, A.M.; Akhter, S.; Horner, N.S.; Aljedani, A.; Khan, M.; Alolabi, B. Outcomes and Complications of Distal Humeral Hemiarthroplasty for Distal Humeral Fractures—A Systematic Review. Shoulder Elb. 2021, 14, 65–74. [Google Scholar] [CrossRef] [PubMed]
- Furtado, S.; Godfrey, A.; Din, S.D.; Rochester, L.; Gerrand, C. Are Accelerometer-Based Functional Outcome Assessments Feasible and Valid After Treatment for Lower Extremity Sarcomas? Clin. Orthop. Relat. Res. 2019, 478, 482–503. [Google Scholar] [CrossRef]


| Variable | n (%) |
|---|---|
| Gender | |
| Female | 4 (40%) |
| Male | 6 (60%) |
| Tumor entity | |
| Osteosarcoma | 4 (40%) |
| Ewing sarcoma | 3 (30%) |
| Recurrent giant cell tumor with joint involvement | 2 (20%) |
| NOS | 1 (10%) |
| Affected upper extremity | |
| Dominant | 8 (80%) |
| Non-dominant | 2 (20%) |
| Intraoperative nerve resection | |
| Yes | 2 (20%) |
| No | 8 (80%) |
| Type of tumor resection | |
| Intra-articular | 6 (60%) |
| Extra-articular | 4 (40%) |
| Chemotherapy | |
| Yes | 8 (80%) |
| No | 2 (20%) |
| Radiotherapy | |
| Yes | 3 (30%) |
| No | 7 (70%) |
| Revision surgery | |
| Yes | 6 (60%) |
| No | 4 (40%) |
| Impact | Type of Sports Activity |
|---|---|
| Low | Cycling, Nordic walking, hiking |
| Medium | Running |
| High | Endurance training, soccer, weightlifting, volleyball, handball |
| Patient | Prior Diagnosis | At the Last Follow-Up |
|---|---|---|
| 1 | Cycling | Cycling |
| 2 | Swimming, cycling | Cycling |
| 3 | Cycling, running, swimming, gymnastics | Cycling, Nordic walking |
| 4 | Running, cycling, hiking | Running, cycling, hiking |
| 5 | Endurance training, weight lifting | - |
| 6 | Volleyball, cycling | Running, cycling |
| 7 | Running | - |
| 8 | Dancing | Running, hiking |
| 9 | Cycling | Cycling |
| 10 | Handball, football | - |
| Factors | Yes | No | p-Value |
|---|---|---|---|
| Male | MSTS: 19 (IQR 11–25) | MSTS: 19 (IQR 13–25) | p = 1.000 |
| TESS: 76% (IQR 66–82) | TESS: 83% (IQR 63–88) | p = 0.610 | |
| SEV: 30% (IQR 18–53) | SEV: 45% (IQR 33–58) | p = 0.352 | |
| TS: 6 (IQR 5–6) | TS: 5 (IQR 4–7) | p = 0.914 | |
| WAS: 5 (IQR 1–15) | WAS: 3 (IQR 1–4) | p = 0.476 | |
| Dominant extremity | MSTS: 19 (IQR 13–25) | MSTS: 19 (IQR 13–24) | p = 1.000 |
| TESS: 80% (IQR 72–87) | TESS: 65% (IQR 58–72) | p = 0.267 | |
| SEV: 38% (IQR 26–58) | SEV: 35% (IQR 20–50) | p = 0.711 | |
| TS: 6 (IQR 4–7) | TS: 5 (IQR 4–7) | p = 1.000 | |
| WAS: 3 (IQR 1–10) | WAS: 4 (IQR 1–7) | p = 1.000 | |
| Intraoperative nerve resection/postoperative nerve palsy | MSTS: 19 (IQR 13–25) | MSTS: 19 (IQR 11–24) | p = 0.762 |
| TESS: 74% (IQR 60–80) | TESS: 83% (IQR 69–87) | p = 0.257 | |
| SEV: 33% (IQR 27–54) | SEV: 45% (IQR 18–53) | p = 0.914 | |
| TS: 5 (IQR 4–6) | TS: 6 (IQR 6–7) | p = 0.352 | |
| WAS: 8 (IQR 2–21) | WAS: 2 (IQR 0–5) | p = 0.171 | |
| Extra-articular tumor resection | MSTS: 19 (IQR 13–25) | MSTS: 19 (IQR 11–24) | p = 0.762 |
| TESS: 75% (IQR 61–85) | TESS: 79% (IQR 68–87) | p = 0.762 | |
| SEV: 43% (IQR 28–58) | SEV: 35% (IQR 18–53) | p = 0.610 | |
| TS: 5 (IQR 4–5) | TS: 6 (IQR 5–6) | p = 1.000 | |
| WAS: 8 (IQR 2–21) | WAS: 3 (IQR 0–5) | p = 0.257 | |
| Radiotherapy | MSTS: 14 (IQR 6–19) | MSTS: 23 (IQR 13–25) | p = 0.517 |
| TESS: 79% (IQR 72–83) | TESS: 79% (IQR 58–87) | p = 0.833 | |
| SEV: 20% (IQR 10–35) | SEV: 40% (IQR 30–60) | p = 0.183 | |
| TS: 5 (IQR 4–5) | TS: 4 (IQR 4–5) | p = 0.667 | |
| WAS: 0 (IQR 0–4) | WAS: 3 (IQR 2–12) | p = 0.267 | |
| Revision surgery | MSTS: 18 (IQR 11–24) | MSTS: 19 (IQR 14–25) | p = 0.476 |
| TESS: 76% (IQR 58–87) | TESS: 80% (IQR 72–85) | p = 0.762 | |
| SEV: 45% (IQR 18–60) | SEV: 33% (IQR 26–46) | p = 0.610 | |
| TS: 4 (IQR 4–5) | TS: 6 (IQR 5–6) | p = 0.762 | |
| WAS: 3 (IQR 1–5) | WAS: 7 (IQR 1–21) | p = 0.610 | |
| High level of sports prior to diagnosis * | MSTS: 20 (IQR 14–26) | MSTS: 19 (IQR 13–24) | p = 0.400 |
| TESS: 75% (IQR 69–80) | TESS: 79% (IQR 62–87) | p = 0.889 | |
| SEV: 30% (IQR 25–35) | SEV: 45% (IQR 23–58) | p = 0.533 | |
| TS: 8 (IQR 7–8) | TS: 5 (IQR 5–6) | p = 0.178 | |
| WAS: 18 (IQR 12–24) | WAS: 3 (IQR 0–4) | p = 0.044 |
Disclaimer/Publisher’s Note: The statements, opinions and data contained in all publications are solely those of the individual author(s) and contributor(s) and not of MDPI and/or the editor(s). MDPI and/or the editor(s) disclaim responsibility for any injury to people or property resulting from any ideas, methods, instructions or products referred to in the content. |
© 2023 by the authors. Licensee MDPI, Basel, Switzerland. This article is an open access article distributed under the terms and conditions of the Creative Commons Attribution (CC BY) license (https://creativecommons.org/licenses/by/4.0/).
Share and Cite
Schneider, K.N.; Ellerbrock, M.; Gosheger, G.; Westphal, L.M.; Deventer, N.; Klingebiel, S.; Rickert, C.; Theil, C. Distal Humeral Replacement in Patients with Primary Bone Sarcoma: The Functional Outcome and Return to Sports. Cancers 2023, 15, 3534. https://doi.org/10.3390/cancers15133534
Schneider KN, Ellerbrock M, Gosheger G, Westphal LM, Deventer N, Klingebiel S, Rickert C, Theil C. Distal Humeral Replacement in Patients with Primary Bone Sarcoma: The Functional Outcome and Return to Sports. Cancers. 2023; 15(13):3534. https://doi.org/10.3390/cancers15133534
Chicago/Turabian StyleSchneider, Kristian Nikolaus, Moritz Ellerbrock, Georg Gosheger, Lucia Maria Westphal, Niklas Deventer, Sebastian Klingebiel, Carolin Rickert, and Christoph Theil. 2023. "Distal Humeral Replacement in Patients with Primary Bone Sarcoma: The Functional Outcome and Return to Sports" Cancers 15, no. 13: 3534. https://doi.org/10.3390/cancers15133534
APA StyleSchneider, K. N., Ellerbrock, M., Gosheger, G., Westphal, L. M., Deventer, N., Klingebiel, S., Rickert, C., & Theil, C. (2023). Distal Humeral Replacement in Patients with Primary Bone Sarcoma: The Functional Outcome and Return to Sports. Cancers, 15(13), 3534. https://doi.org/10.3390/cancers15133534

