Cystic Clear Cell Renal Cell Carcinoma: A Morphological and Molecular Reappraisal
Abstract
Simple Summary
Abstract
1. Introduction
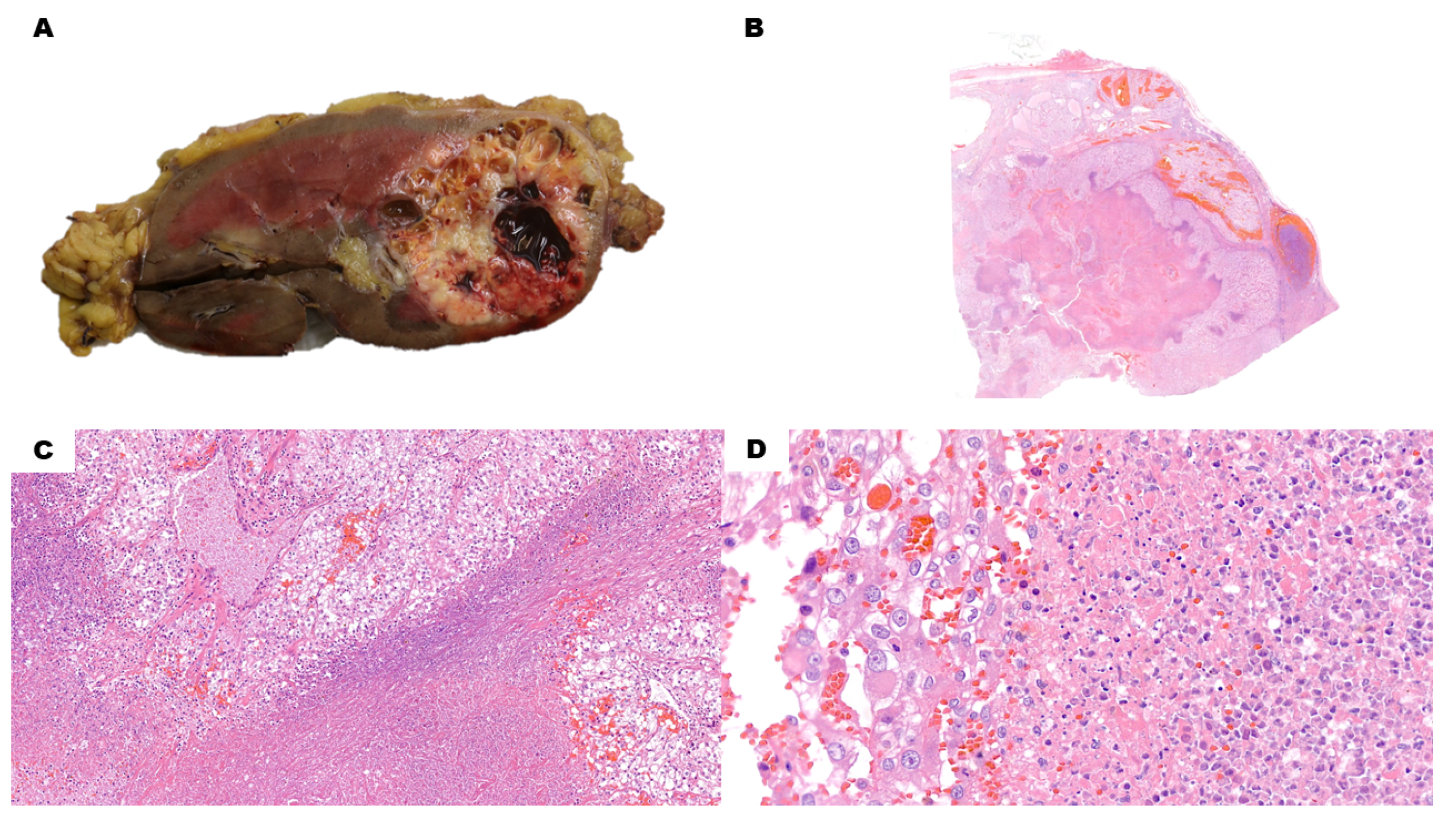
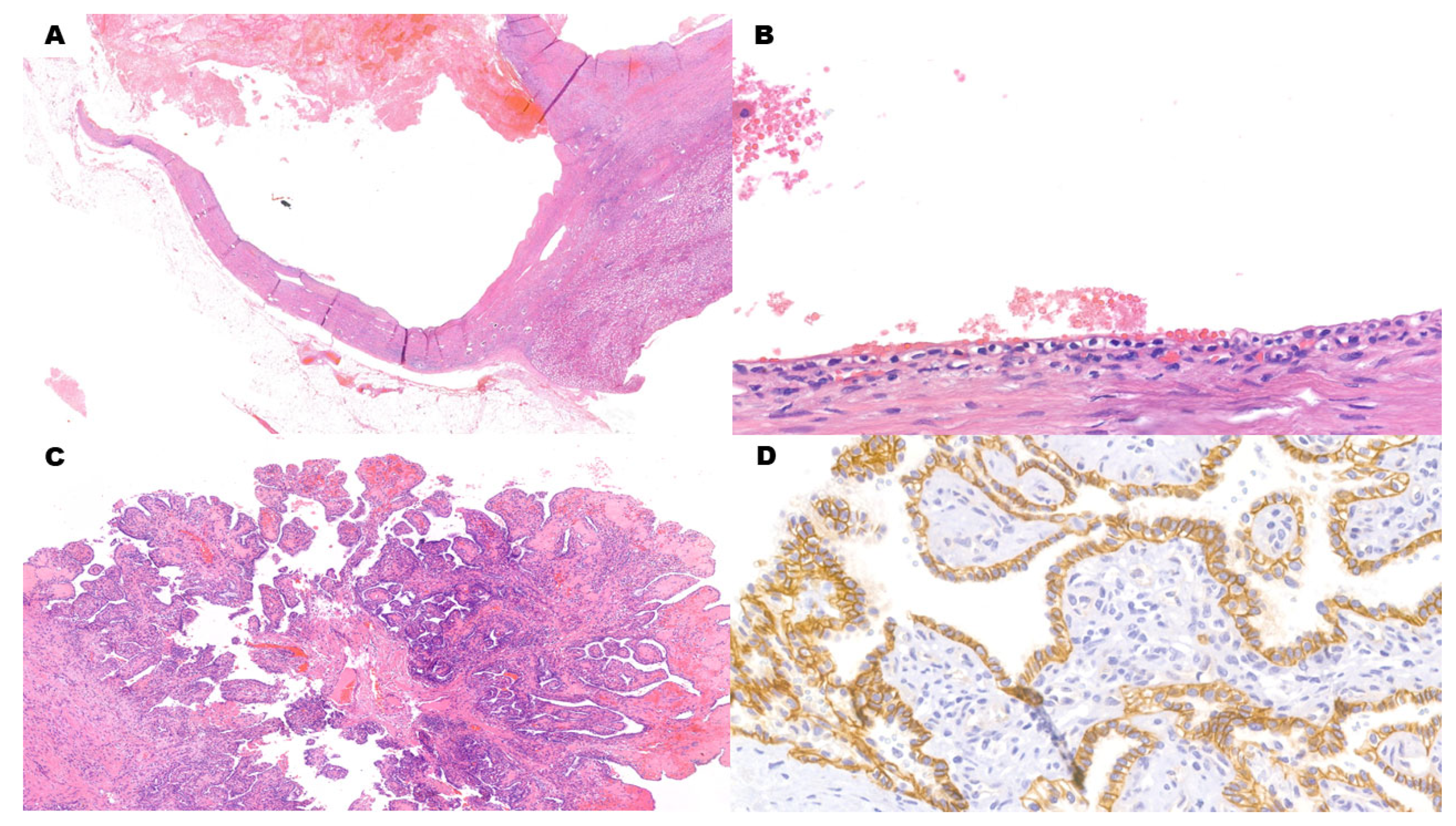
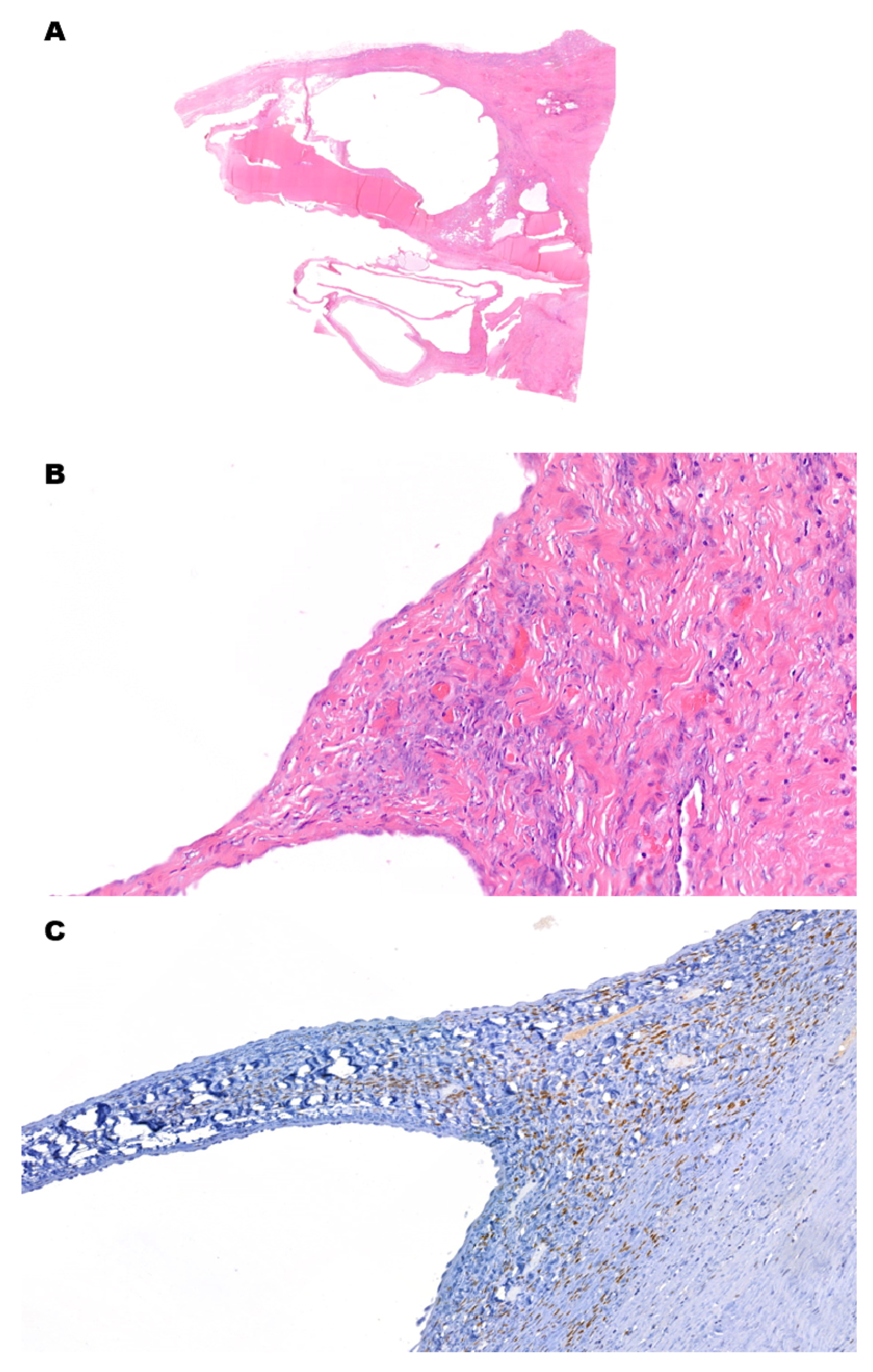
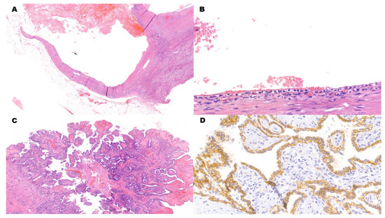
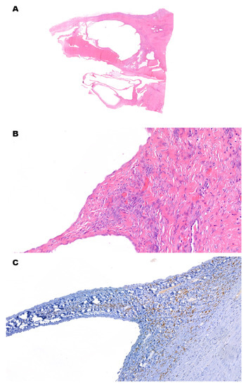
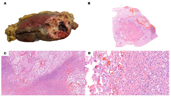
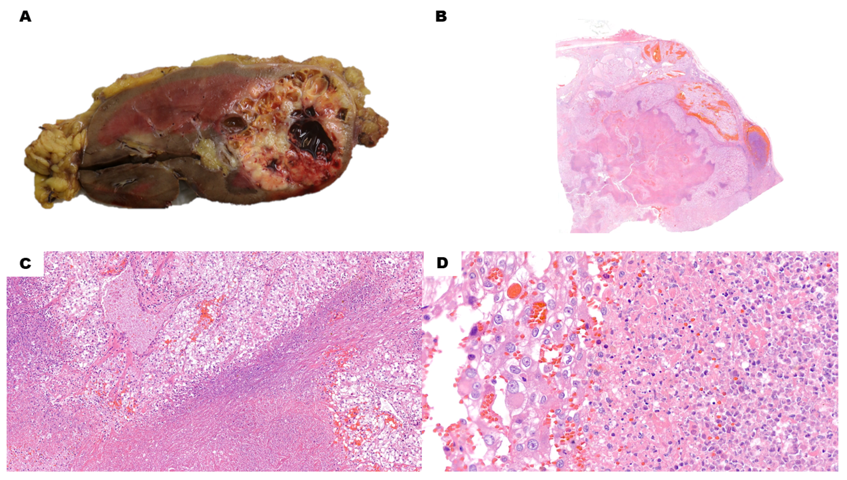
2. Macroscopic and Microscopic Features of Cystic CCRCC
3. Molecular Features of Cystic CCRCC
4. Differential Diagnosis of Cystic CCRCC
5. Conclusions and Future Directions
Author Contributions
Funding
Conflicts of Interest
Abbreviations
| ACD-RCD | Acquired Cystic Disease-Associated Renal Cell Carcinoma |
| ACN | Adult Cystic Nephroma |
| AMLEC | Angiomyolipoma with Epithelial Cyst |
| BC | Bosniak Classification |
| CAIX | Carbonic Anhydrase IX |
| CCPRCT | Clear Cell Papillary Renal Cell Tumor |
| CCRCC | Clear Cell Renal Cell Carcinoma |
| CPDN | Cystic Partially Differentiated Nephroblastoma |
| HIF | Hypoxia-Inducible Factor |
| HMWCK | High-Molecular-Weight Cytokeratin |
| IHC | Immunohistochemical |
| MEST | Mixed Epithelial and Stromal Tumor |
| MiTF | Melanocyte-Inducing Transcription Factor |
| MCNLMP | Multilocular Cystic Renal Neoplasm of Low Malignant Potential |
| PEC | Perivascular Epithelioid Cell |
| PCN | Pediatric Cystic Nephroma |
| PKD | Polycystic Kidney Disease |
| TcRCC | Tubulo-Cystic Renal Cell Carcinoma |
| VEGF | Vascular Endothelial Growth Factor |
| VHL | Von Hippel–Lindau |
| VHLd | Von Hippel–Lindau disease |
References
- Caliò, A.; Marletta, S.; Brunelli, M.; Martignoni, G. WHO 2022 Classification of Kidney Tumors: What is relevant? An update and future novelties for the pathologist. Pathologica 2022, 115, 23–31. [Google Scholar] [CrossRef]
- Alaghehbandan, R.; Siadat, F.; Trpkov, K. What’s new in the WHO 2022 classification of kidney tumours? Pathologica 2022, 115, 8–22. [Google Scholar] [CrossRef]
- Udager, A.M.; Mehra, R. Morphologic, Molecular, and Taxonomic Evolution of Renal Cell Carcinoma: A Conceptual Perspective with Emphasis on Updates to the 2016 World Health Organization Classification. Arch. Pathol. Lab. Med. 2016, 140, 1026–1037. [Google Scholar] [CrossRef]
- Moch, H. Cystic renal tumors: New entities and novel concepts. Adv. Anat. Pathol. 2010, 17, 209–214. [Google Scholar] [CrossRef]
- WHO Classification of Tumours Editorial Board. Urinary and male genital tumours. In WHO Classification of Tumour Series, 5th ed.; International Agency for Research on Cancer: Lyon, France, 2022; Volume 8. [Google Scholar]
- Alrumayyan, M.; Raveendran, L.; Lawson, K.A.; Finelli, A. Cystic Renal Masses: Old and New Paradigms. Urol. Clin. N. Am. 2023, 50, 227–238. [Google Scholar] [CrossRef]
- Silverman, S.G.; Pedrosa, I.; Ellis, J.H.; Hindman, N.M.; Schieda, N.; Smith, A.D.; Remer, E.M.; Shinagare, A.B.; Curci, N.E.; Raman, S.S.; et al. Bosniak Classification of Cystic Renal Masses, Version 2019: An Update Proposal and Needs Assessment. Radiology 2019, 292, 475–488. [Google Scholar] [CrossRef]
- Krishna, S.; Schieda, N.; Pedrosa, I.; Hindman, N.; Baroni, R.H.; Silverman, S.G.; Davenport, M.S. Update on MRI of Cystic Renal Masses Including Bosniak Version 2019. J. Magn. Reson. Imaging 2021, 54, 341–356. [Google Scholar] [CrossRef]
- Westerman, M.E.; Cheville, J.C.; Lohse, C.M.; Sharma, V.; Boorjian, S.A.; Leibovich, B.C.; Thompson, R.H. Long-Term Outcomes of Patients with Low Grade Cystic Renal Epithelial Neoplasms. Urology 2019, 133, 145–150. [Google Scholar] [CrossRef]
- Tretiakova, M.; Mehta, V.; Kocherginsky, M.; Minor, A.; Shen, S.S.; Sirintrapun, S.J.; Yao, J.L.; Alvarado-Cabrero, I.; Antic, T.; Eggener, S.E.; et al. Predominantly cystic clear cell renal cell carcinoma and multilocular cystic renal neoplasm of low malignant potential form a low-grade spectrum. Virchows Arch. 2018, 473, 85–93. [Google Scholar] [CrossRef]
- Pastorekova, S.; Gillies, R.J. The role of carbonic anhydrase IX in cancer development: Links to hypoxia, acidosis, and beyond. Cancer Metastasis Rev. 2019, 38, 65–77. [Google Scholar] [CrossRef]
- Genega, E.M.; Ghebremichael, M.; Najarian, R.; Fu, Y.; Wang, Y.; Argani, P.; Grisanzio, C.; Signoretti, S. Carbonic anhydrase IX expression in renal neoplasms: Correlation with tumor type and grade. Am. J. Clin. Pathol. 2010, 134, 873–879. [Google Scholar] [CrossRef]
- Jonasch, E.; Walker, C.L.; Rathmell, W.K. Clear cell renal cell carcinoma ontogeny and mechanisms of lethality. Nat. Rev. Nephrol. 2021, 17, 245–261. [Google Scholar] [CrossRef]
- Bui, T.O.; Dao, V.T.; Nguyen, V.T.; Feugeas, J.P.; Pamoukdjian, F.; Bousquet, G. Genomics of Clear-cell Renal Cell Carcinoma: A Systematic Review and Meta-analysis. Eur. Urol. 2022, 81, 349–361. [Google Scholar] [CrossRef]
- Thoma, C.R.; Frew, I.J.; Hoerner, C.R.; Montani, M.; Moch, H.; Krek, W. pVHL and GSK3beta are components of a primary cilium-maintenance signalling network. Nat. Cell Biol. 2007, 9, 588–595. [Google Scholar] [CrossRef] [PubMed]
- Rechsteiner, M.P.; von Teichman, A.; Nowicka, A.; Sulser, T.; Schraml, P.; Moch, H. VHL gene mutations and their effects on hypoxia inducible factor HIFα: Identification of potential driver and passenger mutations. Cancer Res. 2011, 71, 5500–5511. [Google Scholar] [CrossRef]
- Cremona, M.; Espina, V.; Caccia, D.; Veneroni, S.; Colecchia, M.; Pierobon, M.; Deng, J.; Mueller, C.; Procopio, G.; Lanzi, C.; et al. Stratification of clear cell renal cell carcinoma by signaling pathway analysis. Expert Rev. Proteom. 2014, 11, 237–249. [Google Scholar] [CrossRef]
- Bakouny, Z.; Braun, D.A.; Shukla, S.A.; Pan, W.; Gao, X.; Hou, Y.; Flaifel, A.; Tang, S.; Bosma-Moody, A.; He, M.X.; et al. Integrative molecular characterization of sarcomatoid and rhabdoid renal cell carcinoma. Nat. Commun. 2021, 12, 808. [Google Scholar] [CrossRef]
- Akgul, M.; Williamson, S.R. How New Developments Impact Diagnosis in Existing Renal Neoplasms. Surg. Pathol. Clin. 2022, 15, 695–711. [Google Scholar] [CrossRef]
- Kapur, P.; Rajaram, S.; Brugarolas, J. The expanding role of BAP1 in clear cell renal cell carcinoma. Hum. Pathol. 2023, 133, 22–31. [Google Scholar] [CrossRef]
- Braun, D.A.; Hou, Y.; Bakouny, Z.; Ficial, M.; Sant’Angelo, M.; Forman, J.; Ross-Macdonald, P.; Berger, A.C.; Jegede, O.A.; Elagina, L.; et al. Interplay of somatic alterations and immune infiltration modulates response to PD-1 blockade in advanced clear cell renal cell carcinoma. Nat. Med. 2020, 26, 909–918. [Google Scholar] [CrossRef]
- Elgendy, M.; Fusco, J.P.; Segura, V.; Lozano, M.D.; Minucci, S.; Echeveste, J.I.; Gurpide, A.; Andueza, M.; Melero, I.; Sanmamed, M.F.; et al. Identification of mutations associated with acquired resistance to sunitinib in renal cell cancer. Int. J. Cancer 2019, 145, 1991–2001. [Google Scholar] [CrossRef]
- Guinot, A.; Lehmann, H.; Wild, P.J.; Frew, I.J. Combined deletion of Vhl, Trp53 and Kif3a causes cystic and neoplastic renal lesions. J. Pathol. 2016, 239, 365–373. [Google Scholar] [CrossRef]
- Kuehn, E.W.; Walz, G.; Benzing, T. Von hippel-lindau: A tumor suppressor links microtubules to ciliogenesis and cancer development. Cancer Res. 2007, 67, 4537–4540. [Google Scholar] [CrossRef] [PubMed]
- Seeger-Nukpezah, T.; Geynisman, D.M.; Nikonova, A.S.; Benzing, T.; Golemis, E.A. The hallmarks of cancer: Relevance to the pathogenesis of polycystic kidney disease. Nat. Rev. Nephrol. 2015, 11, 515–534. [Google Scholar] [CrossRef]
- Santoni, M.; Piva, F.; Cimadamore, A.; Giulietti, M.; Battelli, N.; Montironi, R.; Cosmai, L.; Porta, C. Exploring the Spectrum of Kidney Ciliopathies. Diagnostics 2020, 10, 1099. [Google Scholar] [CrossRef]
- Louise MBinderup, M.; Smerdel, M.; Borgwadt, L.; Beck Nielsen, S.S.; Madsen, M.G.; Møller, H.U.; Kiilgaard, J.F.; Friis-Hansen, L.; Harbud, V.; Cortnum, S.; et al. von Hippel-Lindau disease: Updated guideline for diagnosis and surveillance. Eur. J. Med. Genet. 2022, 65, 104538. [Google Scholar] [CrossRef]
- Chahoud, J.; McGettigan, M.; Parikh, N.; Boris, R.S.; Iliopoulos, O.; Rathmell, W.K.; Daniels, A.B.; Jonasch, E.; Spiess, P.E.; International VHL Surveillance Guidelines Consortium-Renal Committee. Evaluation, diagnosis and surveillance of renal masses in the setting of VHL disease. World J. Urol. 2021, 39, 2409–2415. [Google Scholar] [CrossRef]
- Schönenberger, D.; Harlander, S.; Rajski, M.; Jacobs, R.A.; Lundby, A.K.; Adlesic, M.; Hejhal, T.; Wild, P.J.; Lundby, C.; Frew, I.J. Formation of Renal Cysts and Tumors in Vhl/Trp53-Deficient Mice Requires HIF1α and HIF2α. Cancer Res. 2016, 76, 2025–2036. [Google Scholar] [CrossRef]
- Tao, S.; Kakade, V.R.; Woodgett, J.R.; Pandey, P.; Suderman, E.D.; Rajagopal, M.; Rao, R. Glycogen synthase kinase-3β promotes cyst expansion in polycystic kidney disease. Kidney Int. 2015, 87, 1164–1175. [Google Scholar] [CrossRef]
- Bilim, V.; Ougolkov, A.; Yuuki, K.; Naito, S.; Kawazoe, H.; Muto, A.; Oya, M.; Billadeau, D.; Motoyama, T.; Tomita, Y. Glycogen synthase kinase-3: A new therapeutic target in renal cell carcinoma. Br. J. Cancer 2009, 101, 2005–2014. [Google Scholar] [CrossRef]
- Favazza, L.; Chitale, D.A.; Barod, R.; Rogers, C.G.; Kalyana-Sundaram, S.; Palanisamy, N.; Gupta, N.S.; Williamson, S.R. Renal cell tumors with clear cell histology and intact VHL and chromosome 3p: A histological review of tumors from the Cancer Genome Atlas database. Mod. Pathol. 2017, 30, 1603–1612. [Google Scholar] [CrossRef]
- Halat, S.; Eble, J.N.; Grignon, D.J.; Lopez-Beltran, A.; Montironi, R.; Tan, P.H.; Wang, M.; Zhang, S.; MacLennan, G.T.; Cheng, L. Multilocular cystic renal cell carcinoma is a subtype of clear cell renal cell carcinoma. Mod. Pathol. 2010, 23, 931–936. [Google Scholar] [CrossRef]
- Gong, K.; Zhang, N.; He, Z.; Zhou, L.; Lin, G.; Na, Y. Multilocular cystic renal cell carcinoma: An experience of clinical management for 31 cases. J. Cancer Res. Clin. Oncol. 2008, 134, 433–437. [Google Scholar] [CrossRef]
- Williamson, S.R.; Halat, S.; Eble, J.N.; Grignon, D.J.; Lopez-Beltran, A.; Montironi, R.; Tan, P.H.; Wang, M.; Zhang, S.; MacLennan, G.T.; et al. Multilocular cystic renal cell carcinoma: Similarities and differences in immunoprofile compared with clear cell renal cell carcinoma. Am. J. Surg. Pathol. 2012, 36, 1425–1433. [Google Scholar] [CrossRef] [PubMed]
- Kim, S.H.; Park, W.S.; Chung, J. SETD2, GIGYF2, FGFR3, BCR, KMT2C, and TSC2 as candidate genes for differentiating multilocular cystic renal neoplasm of low malignant potential from clear cell renal cell carcinoma with cystic change. Investig. Clin. Urol. 2019, 60, 148–155. [Google Scholar] [CrossRef]
- Diolombi, M.L.; Cheng, L.; Argani, P.; Epstein, J.I. Do Clear Cell Papillary Renal Cell Carcinomas Have Malignant Potential? Am. J. Surg. Pathol. 2015, 39, 1621–1634. [Google Scholar] [CrossRef]
- Williamson, S.R. Clear cell papillary renal cell carcinoma: An update after 15 years. Pathology 2021, 53, 109–119. [Google Scholar] [CrossRef]
- Munari, E.; Marchionni, L.; Chitre, A.; Hayashi, M.; Martignoni, G.; Brunelli, M.; Gobbo, S.; Argani, P.; Allaf, M.; Hoque, M.O.; et al. Clear cell papillary renal cell carcinoma: micro-RNA expression profiling and comparison with clear cell renal cell carcinoma and papillary renal cell carcinoma. Hum. Pathol. 2014, 45, 1130–1138. [Google Scholar] [CrossRef]
- Mohanty, S.K.; Parwani, A.V. Mixed epithelial and stromal tumors of the kidney: An overview. Arch. Pathol. Lab. Med. 2009, 133, 1483–1486. [Google Scholar] [CrossRef]
- Turbiner, J.; Amin, M.B.; Humphrey, P.A.; Srigley, J.R.; De Leval, L.; Radhakrishnan, A.; Oliva, E. Cystic nephroma and mixed epithelial and stromal tumor of kidney: A detailed clinicopathologic analysis of 34 cases and proposal for renal epithelial and stromal tumor (REST) as a unifying term. Am. J. Surg. Pathol. 2007, 31, 489–500. [Google Scholar] [CrossRef]
- Zhou, M.; Kort, E.; Hoekstra, P.; Westphal, M.; Magi-Galluzzi, C.; Sercia, L.; Lane, B.; Rini, B.; Bukowski, R.; Teh, B.T. Adult cystic nephroma and mixed epithelial and stromal tumor of the kidney are the same disease entity: Molecular and histologic evidence. Am. J. Surg. Pathol. 2009, 33, 72–80. [Google Scholar] [CrossRef]
- Vanecek, T.; Pivovarcikova, K.; Pitra, T.; Peckova, K.; Rotterova, P.; Daum, O.; Davidson, W.; Montiel, D.P.; Kalusova, K.; Hora, M.; et al. Mixed Epithelial and Stromal Tumor of the Kidney: Mutation Analysis of the DICER 1 Gene in 29 Cases. Appl. Immunohistochem. Mol. Morphol. 2017, 25, 117–121. [Google Scholar] [CrossRef] [PubMed]
- Argani, P.; Beckwith, J.B. Metanephric stromal tumor: Report of 31 cases of a distinctive pediatric renal neoplasm. Am. J. Surg. Pathol. 2000, 24, 917–926. [Google Scholar] [CrossRef]
- Kacar, A.; Azili, M.N.; Cihan, B.S.; Demir, H.A.; Tiryaki, H.T.; Argani, P. Metanephric stromal tumor: A challenging diagnostic entity in children. J. Pediatr. Surg. 2011, 46, e7–e10. [Google Scholar] [CrossRef]
- Idrissi-Serhrouchni, K.; El-Fatemi, H.; El Madi, A.; Benhayoun, K.; Chbani, L.; Harmouch, T.; Bouabdellah, Y.; Amarti, A. Primary renal teratoma: A rare entity. Diagn. Pathol. 2013, 8, 107. [Google Scholar] [CrossRef]




Disclaimer/Publisher’s Note: The statements, opinions and data contained in all publications are solely those of the individual author(s) and contributor(s) and not of MDPI and/or the editor(s). MDPI and/or the editor(s) disclaim responsibility for any injury to people or property resulting from any ideas, methods, instructions or products referred to in the content. |
© 2023 by the authors. Licensee MDPI, Basel, Switzerland. This article is an open access article distributed under the terms and conditions of the Creative Commons Attribution (CC BY) license (https://creativecommons.org/licenses/by/4.0/).
Share and Cite
Pini, G.M.; Lucianò, R.; Colecchia, M. Cystic Clear Cell Renal Cell Carcinoma: A Morphological and Molecular Reappraisal. Cancers 2023, 15, 3352. https://doi.org/10.3390/cancers15133352
Pini GM, Lucianò R, Colecchia M. Cystic Clear Cell Renal Cell Carcinoma: A Morphological and Molecular Reappraisal. Cancers. 2023; 15(13):3352. https://doi.org/10.3390/cancers15133352
Chicago/Turabian StylePini, Giacomo Maria, Roberta Lucianò, and Maurizio Colecchia. 2023. "Cystic Clear Cell Renal Cell Carcinoma: A Morphological and Molecular Reappraisal" Cancers 15, no. 13: 3352. https://doi.org/10.3390/cancers15133352
APA StylePini, G. M., Lucianò, R., & Colecchia, M. (2023). Cystic Clear Cell Renal Cell Carcinoma: A Morphological and Molecular Reappraisal. Cancers, 15(13), 3352. https://doi.org/10.3390/cancers15133352

