P53 in Penile Squamous Cell Carcinoma: A Pattern-Based Immunohistochemical Framework with Molecular Correlation
Abstract
Simple Summary
Abstract
1. Introduction
2. Material and Methods
2.1. Case Selection
2.2. Histological Revision
2.3. HPV Testing, p16 IHC, and Criteria for Classifying a Tumour as HPV-Associated or HPV-Independent
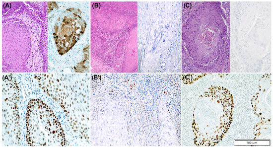
2.4. p53 IHC Staining and Evaluation
2.5. Whole Exome Sequencing and Bioinformatic Analysis
2.6. Attribution of TP53 Mutational Status
2.7. Statistical Analysis
3. Results
3.1. Cases Included in the Study and Association with HPV
3.2. Characteristics of the Overall Series
3.3. TP53 Mutations
3.4. Agreement between p53 IHC and TP53 Mutational Status and Interobserver Agreement
3.5. p53 IHC Patterns and TP53 Status in HPV-Associated PSCC
3.6. p53 IHC Patterns and TP53 Status in HPV-Independent PSCC
4. Discussion
5. Conclusions
Supplementary Materials
Author Contributions
Funding
Institutional Review Board Statement
Informed Consent Statement
Data Availability Statement
Conflicts of Interest
References
- Emmanuel, A.; Nettleton, J.; Watkin, N.; Berney, D.M. The molecular pathogenesis of penile carcinoma—Current developments and understanding. Virchows Arch. 2019, 475, 397–405. [Google Scholar] [CrossRef]
- Amin, M.B.; Moch, H. Tumours of the penis and scrotum: Introduction. In WHO Classification of Tumours: Urinary and Male Genital Tumours; International Agency for Research on Cancer: Lyon, France, 2022. [Google Scholar]
- Cubilla, A.L.; Velazquez, E.F.; Amin, M.B.; Epstein, J.; Berney, D.M.; Corbishley, C.M. Members of the ISUP Penile Tumor Panel The World Health Organisation 2016 classification of penile carcinomas: A review and update from the International Society of Urological Pathology expert-driven recommendations. Histopathology 2018, 72, 893–904. [Google Scholar] [CrossRef]
- Alemany, L.; Cubilla, A.; Halec, G.; Kasamatsu, E.; Quirós, B.; Masferrer, E.; Tous, S.; Lloveras, B.; Hernández-Suarez, G.; Lonsdale, R.; et al. Role of Human Papillomavirus in Penile Carcinomas Worldwide. Eur. Urol. 2016, 69, 953–961. [Google Scholar] [CrossRef]
- Chaux, A.; Velazquez, E.F.; Algaba, F.; Ayala, G.; Cubilla, A.L. Developments in the pathology of penile squamous cell carcinomas. Urology 2010, 76, S7–S14. [Google Scholar] [CrossRef]
- Gross, G.; Pfister, H. Role of human papillomavirus in penile cancer, penile intraepithelial squamous cell neoplasias and in genital wartsitle. Med. Microbiol. Immunol. 2004, 193, 35–44. [Google Scholar] [CrossRef]
- McDaniel, A.S.; Hovelson, D.H.; Cani, A.K.; Liu, C.-J.; Zhai, Y.; Zhang, Y.; Weizer, A.Z.; Mehra, R.; Feng, F.Y.; Alva, A.S.; et al. Genomic Profiling of Penile Squamous Cell Carcinoma Reveals New Opportunities for Targeted Therapy. Cancer Res. 2015, 75, 5219–5227. [Google Scholar] [CrossRef]
- Kashofer, K.; Winter, E.; Halbwedl, I.; Thueringer, A.; Kreiner, M.; Sauer, S.; Regauer, S. HPV-negative penile squamous cell carcinoma: Disruptive mutations in the TP53 gene are common. Mod. Pathol. 2017, 30, 1013–1020. [Google Scholar] [CrossRef]
- Feber, A.; Worth, D.C.; Chakravarthy, A.; de Winter, P.; Shah, K.; Arya, M.; Saqib, M.; Nigam, R.; Malone, P.R.; Tan, W.S.; et al. CSN1 Somatic Mutations in Penile Squamous Cell Carcinoma. Cancer Res. 2016, 76, 4720–4727. [Google Scholar] [CrossRef]
- Wang, Y.; Wang, K.; Chen, Y.; Zhou, J.; Liang, Y.; Yang, X.; Li, X.; Cao, Y.; Wang, D.; Luo, L.; et al. Mutational landscape of penile squamous cell carcinoma in a Chinese population. Int. J. Cancer 2019, 145, 1280–1289. [Google Scholar] [CrossRef]
- Stoehr, R.; Weisser, R.; Wendler, O.; Giedl, J.; Daifalla, K.; Gaisa, N.T.; Richter, G.; Campean, V.; Burger, M.; Wullich, B.; et al. P53 codon 72 polymorphism and risk for squamous cell carcinoma of the penis: A Caucasian case-control study. J. Cancer 2018, 9, 4234–4241. [Google Scholar] [CrossRef]
- Lopes, A.; Bezerra AL, R.; Pinto CA, L.; Serrano, S.V.; de Mello, C.A.; Villa, L.L. p53 as a new prognostic factor for lymph node metastasis in penile carcinoma: Analysis of 82 patients treated with amputation and bilateral lymphadenectomy. J. Urol. 2002, 168, 81–86. [Google Scholar] [CrossRef]
- Ficarra, V.; Akduman, B.; Bouchot, O.; Palou, J.; Tobias- Machado, M. Prognostic factors in penile cancer. Urology 2010, 76, S66–S73. [Google Scholar] [CrossRef]
- Horenblas, S.; van Tinteren, H. Squamous cell carcinoma of the penis. IV. Prognostic factors of survival: Analysis of tumor, nodes and metastasis classification system. J. Urol. 1994, 151, 1239–1243. [Google Scholar] [CrossRef]
- Rocha, R.M.; Ignácio, J.A.; Jordán, J.; Carraro, D.M.; Lisboa, B.; Lopes, A.; Carvalho, K.C.; Da Cunha, I.W.; Cubilla, A.; Guimarães, G.C.; et al. A clinical, pathologic, and molecular study of p53 and murine double minute 2 in penile carcinogenesis and its relation to prognosis. Hum. Pathol 2012, 43, 481–488. [Google Scholar] [CrossRef]
- Gunia, S.; Kakies, C.; Erbersdobler, A.; Hakenberg, O.W.; Koch, S.; May, M. Expression of p53, p21 and cyclin D1 in penile cancer: p53 predicts poor prognosis. J. Clin. Pathol. 2012, 65, 232–236. [Google Scholar] [CrossRef]
- Prapiska, F.F.; Warli, S.M. P53 and survival rate in penile cancer. Open Access Maced. J. Med. Sci. 2019, 7, 1170–1173. [Google Scholar] [CrossRef]
- Yanagawa, N.; Osakabe, M.; Hayashi, M.; Tamura, G.; Motoyama, T. Detection of HPV-DNA, p53 alterations, and methylation in penile squamous cell carcinoma in Japanese men. Pathol. Int. 2008, 58, 477–482. [Google Scholar] [CrossRef]
- del Pino, M.; Rodriguez-Carunchio, L.; Ordi, J. Pathways of vulvar intraepithelial neoplasia and squamous cell carcinoma. Histopathology 2013, 62, 161–175. [Google Scholar] [CrossRef]
- Rakislova, N.; Alemany, L.; Clavero, O.; Saco, A.; Torné, A.; Del Pino, M.; Munmany, M.; Rodrigo-calvo, M.T.; Guerrero, J.; Marimon, L.; et al. P53 immunohistochemical patterns in HPV- independent squamous cell carcinomas of the vulva and the associated skin lesions: A study of 779 cases. Int. J. Mol. Sci. 2020, 21, 8091. [Google Scholar] [CrossRef]
- Tessier-Cloutier, B.; Kortekaas, K.E.; Thompson, E.; Pors, J.; Chen, J.; Ho, J.; Prentice, L.M.; McConechy, M.K.; Chow, C.; Proctor, L.; et al. Major p53 immunohistochemical patterns in in situ and invasive squamous cell carcinomas of the vulva and correlation with TP53 mutation status. Mod. Pathol. 2020, 33, 1595–1605. [Google Scholar] [CrossRef]
- Kortekaas, K.E.; Bastiaannet, E.; van Doorn, H.C.; van Steenwijk, P.J.D.V.; Ewing-Graham, P.C.; Creutzberg, C.L.; Akdeniz, K.; Nooij, L.S.; van der Burg, S.H.; Bosse, T.; et al. Vulvar cancer subclassification by HPV and p53 status results in three clinically distinct subtypes. Gynecol. Oncol. 2020, 159, 649–656. [Google Scholar] [CrossRef]
- Darragh, T.M.; Colgan, T.J.; Cox, J.T.; Heller, D.S.; Henry, M.R.; Luff, R.D.; McCalmont, T.; Nayar, R.; Palefsky, J.M.; Stoler, M.H.; et al. The Lower Anogenital Squamous Terminology Standardization Project for HPV-Associated Lesions: Background and consensus recommendations from the College of American Pathologists and the American Society for Colposcopy and Cervical Pathology. Arch. Pathol. Lab. Med. 2012, 36, 1266–1297. [Google Scholar] [CrossRef]
- Manzotti, C.; Chulo, L.; López del Campo, R.; Trias, I.; del Pino, M.; Saúde, O.; Basílio, I.; Tchamo, N.; Lovane, L.; Lorenzoni, C.; et al. Penile Squamous Cell Carcinomas in Sub-Saharan Africa and Europe: Differential Etiopathogenesis. Cancers 2022, 14, 5284. [Google Scholar] [CrossRef]
- Barlow, E.L.; Lambie, N.; Donoghoe, M.W.; Naing, Z.; Hacker, N.F. The Clinical Relevance of p16 and p53 Status in Patients with Squamous Cell Carcinoma of the Vulva. J. Oncol. 2020, 2020, 3739075. [Google Scholar] [CrossRef]
- Kortekaas, K.E.; Solleveld-Westerink, N.; Tessier-Cloutier, B.; Rutten, T.A.; van Poelgeest, M.I.E.; Gilks, C.B.; Hoang, L.N.; Bosse, T. Performance of the Pattern Based Interpretation of p53 Immunohistochemistry as a Surrogate for TP53 Mutations in Vulvar Squamous Cell Carcinoma. Histopathology 2020, 77, 92–99. [Google Scholar] [CrossRef]
- McKenna, A.; Hanna, M.; Banks, E.; Sivachenko, A.; Cibulskis, K.; Kernytsky, A.; Garimella, K.; Altshuler, D.; Gabriel, S.; Daly, M.; et al. The Genome Analysis Toolkit: A MapReduce framework for analyzing next-generation DNA sequencing data. Genome Res. 2010, 20, 1297–1303. [Google Scholar] [CrossRef]
- Boeva, V.; Popova, T.; Bleakley, K.; Chiche, P.; Cappo, J.; Schleiermacher, G.; Janoueix-Lerosey, I.; Delattre, O.; Barillot, E. Control-FREEC: A tool for assessing copy number and allelic content using next-generation sequencing data. Bioinformatics 2012, 28, 423–425. [Google Scholar] [CrossRef]
- Chahoud, J.; Gleber-Netto, F.O.; McCormick, B.Z.; Rao, P.; Lu, X.; Guo, M.; Morgan, M.B.; Chu, R.A.; Martinez-Ferrer, M.; Eterovic, A.K.; et al. Whole-exome sequencing in penile squamous cell carcinoma uncovers novel prognostic categorization and drug targets similar to head and neck squamous cell carcinoma A C. Clin. Cancer Res. 2021, 27, 2560–2570. [Google Scholar] [CrossRef]
- Liu, Y.; Chen, C.; Xu, Z.; Scuoppo, C.; Rillahan, C.D.; Gao, J.; Spitzer, B.; Bosbach, B.; Kastenhuber, E.R.; Baslan, T.; et al. Deletions linked to TP53 loss drive cancer through p53-independent mechanisms. Nature 2016, 531, 471–475. [Google Scholar] [CrossRef]
- ClinVar National Center for Biotechnology Information: ClinVar entry NM_000546.6(TP53):c.637C>T (p.Arg213Ter). Available online: https://www.ncbi.nlm.nih.gov/clinvar/variation/43590/?new_evidence=true (accessed on 16 February 2023).
- Landis, J.R.; Koch, G.G. The measurement of observer agreement for categorical data. Biometrics 1977, 33, 159–174. [Google Scholar] [CrossRef]
- Liu, J.-Y.; Li, Y.-H.; Zhang, Z.-L.; Yao, K.; Ye, Y.-L.; Xie, D.; Han, H.; Liu, Z.-W.; Qin, Z.-K.; Zhou, F.-J. The risk factors for the presence of pelvic lymph node metastasis in penile squamous cell carcinoma patients with inguinal lymph node dissection. World J. Urol. 2013, 31, 2519–2524. [Google Scholar] [CrossRef]
- Zargar-Shoshtari, K.; Spiess, P.E.; Berglund, A.E.; Sharma, P.; Powsang, J.M.; Giuliano, A.; Magliocco, A.M.; Dhillon, J. Clinical Significance of p53 and p16ink4a Status in a Contemporary North American Penile Carcinoma Cohort. Clin. Genitourin. Cancer 2016, 14, 346–351. [Google Scholar] [CrossRef] [PubMed]
- Watkins, J.C.; Yang, E.; Crum, C.P.; Herfs, M.; Gheit, T.; Tommasino, M.; Nucci, M.R. Classic Vulvar Intraepithelial Neoplasia with Superimposed Lichen Simplex Chronicus: A Unique Variant Mimicking Differentiated Vulvar Intraepithelial Neoplasia. Int. J. Gynecol. Pathol. 2019, 38, 175–182. [Google Scholar] [CrossRef] [PubMed]
- Jeffreys, M.; Jeffus, S.K.; Herfs, M.; Quick, C.M. Accentuated p53 staining in usual type vulvar dysplasia-A potential diagnostic pitfall. Pathol. Res. Pract. 2018, 214, 76–79. [Google Scholar] [CrossRef]
- Hwang, H.J.; Nam, S.K.; Park, H.; Park, Y.; Koh, J.; Na, H.Y.; Kwak, Y.; Kim, W.H.; Lee, H.S. Prediction of TP53 mutations by p53 immunohistochemistry and their prognostic significance in gastric cancer. J. Pathol. Transl. Med. 2020, 54, 378–386. [Google Scholar] [CrossRef]
- Berg, S.; D’Andrea, D.; Vetterlein, M.W.; Cole, A.P.; Fletcher, S.A.; Krimphove, M.J.; Marchese, M.; Lipsitz, S.R.; Sonpavde, G.; Noldus, J.; et al. Impact of adjuvant chemotherapy in patients with adverse features and variant histology at radical cystectomy for muscle-invasive carcinoma of the bladder: Does histologic subtype matter? Cancer 2019, 125, 1449–1458. [Google Scholar] [CrossRef] [PubMed]
- Singh, N.; Leen, S.L.; Han, G.; Faruqi, A.; Kokka, F.; Rosenthal, A.; Jiang, X.R.; Kim, R.; McAlpine, J.N.; Gilks, C.B. Expanding the morphologic spectrum of differentiated VIN (dVIN) through detailed mapping of cases with p53 loss. Am. J. Surg. Pathol. 2015, 39, 52–60. [Google Scholar] [CrossRef]
- Ribera-Cortada, I.; Guerrero-Pineda, J.; Trias, I.; Veloza, L.; Garcia, A.; Marimon, L.; Diaz-mercedes, S.; Alamo, J.R.; Rodrigo-calvo, M.T.; Vega, N.; et al. Pathogenesis of penile squamous cell carcinoma: Molecular update and systematic review. Int. J. Mol. Sci. 2022, 23, 251. [Google Scholar] [CrossRef]
- Zehir, A.; Benayed, R.; Shah, R.H.; Syed, A.; Middha, S.; Kim, H.R.; Srinivasan, P.; Gao, J.; Chakravarty, D.; Devlin, S.M.; et al. Mutational landscape of metastatic cancer revealed from prospective clinical sequencing of 10,000 patients. Nat. Med. 2017, 23, 703–713. [Google Scholar] [CrossRef]




| HPV-Associated PSCC (n = 12) | HPV-Independent PSCC (n = 28) | p | |
|---|---|---|---|
| Mean age (years) ± standard deviation | 65.2 ± 14.9 | 69.1± 13.1 | 0.23 |
| Histological subtype | <0.001 | ||
| Usual/verrucous | 3 (25.0%) | 27 (96.4%) | |
| Basaloid/warty/lymphoepithelioma-like | 9 (75.0%) | 1 (3.6%) | |
| Vascular invasion | 1 (8.3%) | 3 (10.7%) | 0.8 |
| Perineural invasion | 1 (8.3%) | 2 (7.1%) | 0.8 |
| Lymph node metastases | 3 (25.0%) | 8 (28.6%) | 0.8 |
| Stage | 1 | ||
| Initial (I) | 6 (50.0%) | 14 (50.0%) | |
| Advanced (II/III/IV) | 6 (50.0%) | 14 (50.0%) | |
| Treatment | 1 | ||
| Surgery | 10 (83.3%) | 21 (75.0%) | |
| Surgery + radiation and/or chemotherapy | 2 (16.6%) | 7 (25.0%) |
| p53 Immunohistochemistry Evaluation | |||||||||||
|---|---|---|---|---|---|---|---|---|---|---|---|
| Pattern-Based * | Conventional ** | TP53 Status | |||||||||
| Observer 1 | Observer 2 | Observer 3 | Consensus | Observer 4 | |||||||
| Normal | Abnormal | Normal | Abnormal | Normal | Abnormal | Normal | Abnormal | Normal | Abnormal | ||
| TP53 wild-type | 15 | 3 | 14 | 4 | 13 | 5 | 16 | 2 | 16 | 2 | 18 |
| TP53 mutant | 2 | 20 | 6 | 16 | 2 | 20 | 1 | 21 | 10 | 12 | 22 |
| Total | 17 | 23 | 20 | 20 | 15 | 25 | 17 | 23 | 26 | 14 | 40 |
| Sensitivity | 90.9 (70.8–98.9) | 72.7 (49.8–89.3) | 90.9 (70.8–98.9) | 95.5 (77.2–99.9) | 54.5 (32.2–75.6) | ||||||
| Specificity | 83.3 (58.6–96.4) | 77.8 (52.4–93.6) | 72.2 (46.5–90.3) | 88.9 (65.3–98.6) | 88.9 (65.3–98.6) | ||||||
| Accuracy | 87.5 (73.2–95.8) | 75.0 (58.8–87.3) | 82.5 (67.2–92.7) | 92.5 (79.6–98.4) | 70.0 (53.5–83.4) | ||||||
| Case | HPV Status | p53 IHC Status | p53 IHC Pattern | TP53 Status | TP53 Variant (Protein Change) | Type of TP53 Mutation | VAF | Clinical Significance of TP53 Variant | TP53 Copy Number Status |
|---|---|---|---|---|---|---|---|---|---|
| 1 | Pos | Normal | Scatt | Wt | - | - | - | - | Normal |
| 2 | Pos | Normal | Scatt | Wt | - | - | - | - | Normal |
| 3 | Pos | Normal | Scatt | Wt | - | - | - | - | Normal |
| 4 | Pos | Normal | Scatt | Wt | - | - | - | - | Normal |
| 5 | Pos | Normal | Scatt | Wt | - | - | - | - | Normal |
| 6 | Pos | Normal | Scatt | Wt | - | - | - | - | Normal |
| 7 | Pos | Normal | Scatt | Wt | - | - | - | - | Gain |
| 8 | Pos | Normal | Scatt | Wt | - | - | - | - | Gain |
| 9 | Pos | Normal | Mid-ep | Wt | - | - | - | - | Normal |
| 10 | Pos | Normal | Mid-ep | Wt | - | - | - | - | Normal |
| 11 | Pos | Abnormal | Diff OE | Mut | c.637C>T (R213*) | Nonsense | 0.05 | Pathogenic | Loss |
| 12 | Pos | Abnormal | Diff OE | Wt | - | - | - | - | Normal |
| 13 | Neg | Normal | Scatt | Wt | - | - | - | - | Normal |
| 14 | Neg | Normal | Scatt | Wt | - | - | - | - | Normal |
| 15 | Neg | Normal | Scatt | Wt | - | - | - | - | Normal |
| 16 | Neg | Normal | Scatt | Wt | - | - | - | - | Normal |
| 17 | Neg | Normal | Scatt | Wt | - | - | - | - | Normal |
| 18 | Neg | Normal | Scatt | Mut | c.251C>T (A84V) | Missense | 0.04 | Likely benign | Normal |
| 19 | Neg | Normal | Scatt | Wt | - | - | - | - | Gain |
| 20 | Neg | Abnormal | Null | Mut | - | - | - | - | Loss |
| 21 | Neg | Abnormal | Null | Mut | - | - | - | - | Loss |
| 22 | Neg | Abnormal | Diff OE | Mut | - | - | - | - | Loss |
| 23 | Neg | Abnormal | Diff OE | Wt | - | - | - | - | Normal |
| 24 | Neg | Abnormal | Basal | Mut | c.530C>T (P177L) | Missense | 0.27 | Likely pathogenic/uncertain | Normal |
| 25 | Neg | Abnormal | Cyt | Mut | c.574G>A (A192T) | Missense | 0.04 | Uncertain | Normal |
| 26 | Neg | Abnormal | Diff OE | Mut | c.1082G>A (G361E) | Missense | 0.07 | Uncertain | Normal |
| 27 | Neg | Abnormal | Diff OE | Mut | c.919+1G>A (-) | Splice-site | 0.06 | Likely pathogenic | Normal |
| 28 | Neg | Abnormal | Diff OE | Mut | c.527G>T (C176F) | Missense | 0.12 | Pathogenic/likely pathogenic | Normal |
| 29 | Neg | Abnormal | Diff OE | Mut | c.843C>G (D281E) | Missense | 0.16 | Uncertain/likely pathogenic | Normal |
| 30 | Neg | Abnormal | Cyt | Mut | c.991C>T (Q331*) | Nonsense | 0.11 | Pathogenic | Normal |
| 31 | Neg | Abnormal | Diff OE | Mut | c.335G>A (S112N) | Missense | 0.79 | Uncertain | Normal |
| 32 | Neg | Abnormal | Diff OE | Mut | c.524G>A (R175H) | Missense | 0.12 | Likely Pathogenic/uncertain | Gain |
| 33 | Neg | Abnormal | Diff OE | Mut | c.799C>T (R267W) | Missense | 0.05 | Pathogenic/likely pathogenic | Gain |
| 34 | Neg | Abnormal | Diff OE | Mut | c.844C>T (R282W) | Missense | 0.26 | Pathogenic/likely pahogenic | Normal |
| 35 | Neg | Abnormal | Null | Mut | c.637C>T (R213*) | Nonsense | 0.32 | Pathogenic | Normal |
| 36 | Neg | Abnormal | Null | Mut | c.273dupT (-) | Frameshift | 0.65 | Not found | Normal |
| 37 | Neg | Abnormal | Null | Mut | c.817C>T (R273C) | Missense | 0.05 | Pathogenic/likely pathogenic | Normal |
| 38 | Neg | Abnormal | Null | Mut | c.461G>A (G154D); c.276+1G>C (-) | Missense; Splice-site | 0.05; 0.64 | Uncertain; Not found | Normal |
| 39 | Neg | Abnormal | Diff OE | Mut | c.517G>A (V173M); c.637C>T (R213*) | Missense; Nonsense | 0.21; 0.1 | Pathogenic; Pathogenic | Normal |
| 40 | Neg | Abnormal | Diff OE | Mut | c.524G>A (R175H) | Missense | 0.44 | Likely Pathogenic/uncertain | Normal |
Disclaimer/Publisher’s Note: The statements, opinions and data contained in all publications are solely those of the individual author(s) and contributor(s) and not of MDPI and/or the editor(s). MDPI and/or the editor(s) disclaim responsibility for any injury to people or property resulting from any ideas, methods, instructions or products referred to in the content. |
© 2023 by the authors. Licensee MDPI, Basel, Switzerland. This article is an open access article distributed under the terms and conditions of the Creative Commons Attribution (CC BY) license (https://creativecommons.org/licenses/by/4.0/).
Share and Cite
Trias, I.; Saco, A.; Marimon, L.; López del Campo, R.; Manzotti, C.; Ordi, O.; del Pino, M.; Pérez, F.M.; Vega, N.; Alós, S.; et al. P53 in Penile Squamous Cell Carcinoma: A Pattern-Based Immunohistochemical Framework with Molecular Correlation. Cancers 2023, 15, 2719. https://doi.org/10.3390/cancers15102719
Trias I, Saco A, Marimon L, López del Campo R, Manzotti C, Ordi O, del Pino M, Pérez FM, Vega N, Alós S, et al. P53 in Penile Squamous Cell Carcinoma: A Pattern-Based Immunohistochemical Framework with Molecular Correlation. Cancers. 2023; 15(10):2719. https://doi.org/10.3390/cancers15102719
Chicago/Turabian StyleTrias, Isabel, Adela Saco, Lorena Marimon, Ricardo López del Campo, Carolina Manzotti, Oriol Ordi, Marta del Pino, Francisco M. Pérez, Naiara Vega, Silvia Alós, and et al. 2023. "P53 in Penile Squamous Cell Carcinoma: A Pattern-Based Immunohistochemical Framework with Molecular Correlation" Cancers 15, no. 10: 2719. https://doi.org/10.3390/cancers15102719
APA StyleTrias, I., Saco, A., Marimon, L., López del Campo, R., Manzotti, C., Ordi, O., del Pino, M., Pérez, F. M., Vega, N., Alós, S., Martínez, A., Rodriguez-Carunchio, L., Reig, O., Jares, P., Teixido, C., Ajami, T., Corral-Molina, J. M., Algaba, F., Ribal, M. J., ... Rakislova, N. (2023). P53 in Penile Squamous Cell Carcinoma: A Pattern-Based Immunohistochemical Framework with Molecular Correlation. Cancers, 15(10), 2719. https://doi.org/10.3390/cancers15102719

