Denosumab in Giant Cell Tumor of Bone: Multidisciplinary Medical Management Based on Pathophysiological Mechanisms and Real-World Evidence
Abstract
Simple Summary
Abstract
1. Pathophysiology and Diagnostics of Giant Cell Tumor of Bone
1.1. Bone Microenvironment
1.2. Giant Cell Tumor of Bone
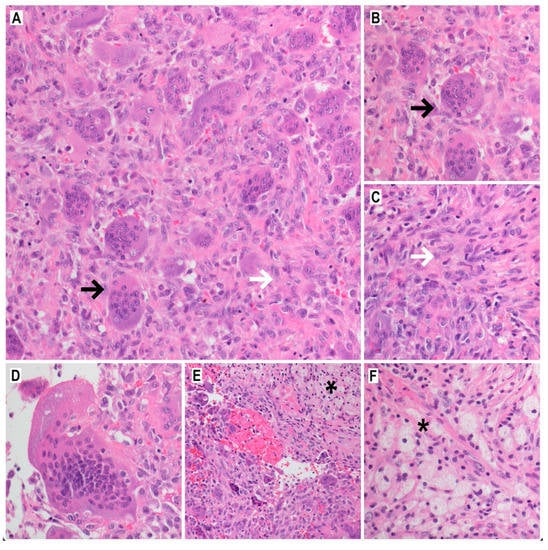
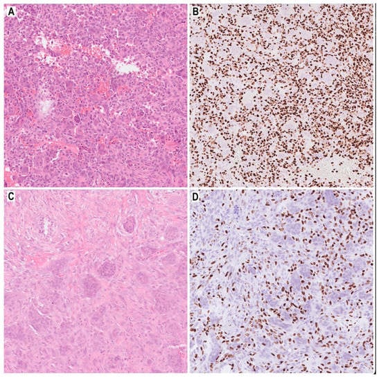
Histopathology and Genetics
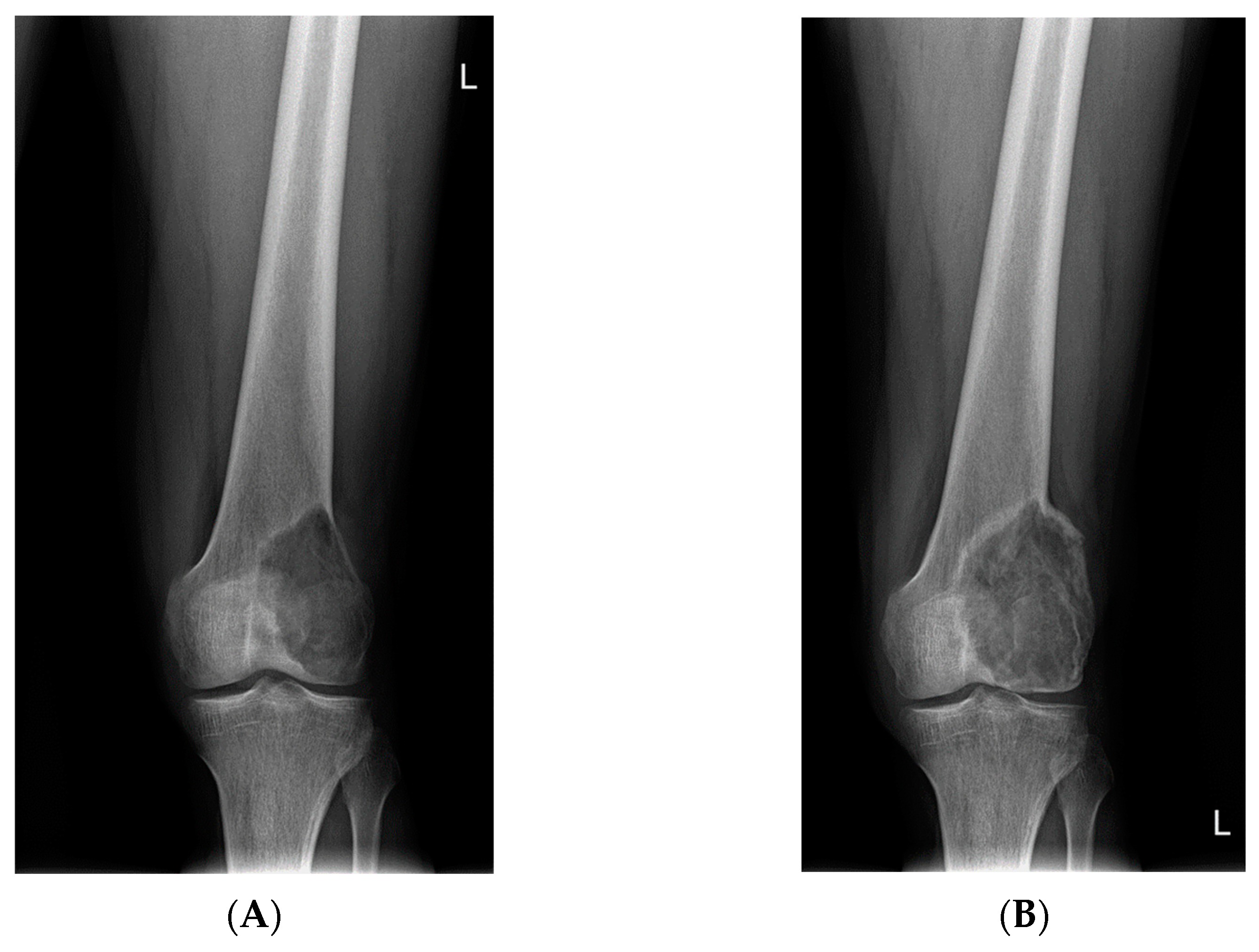
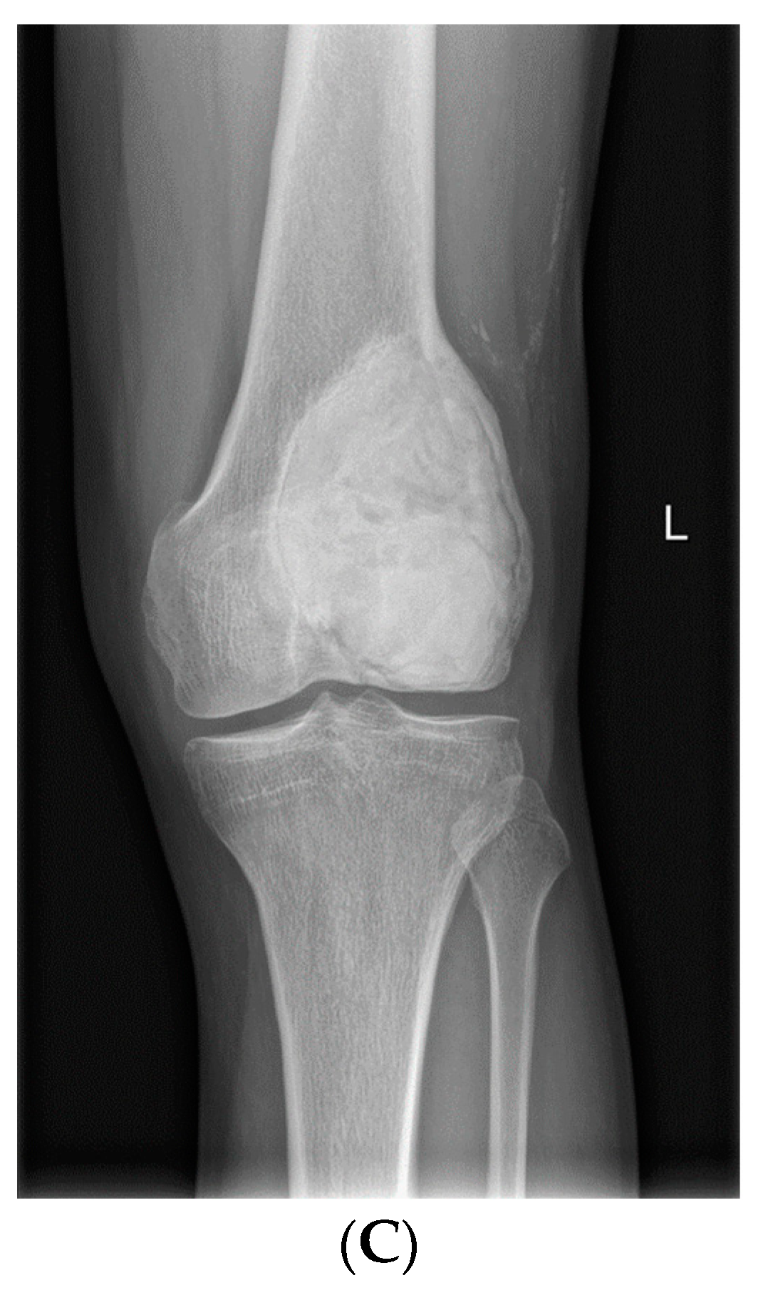
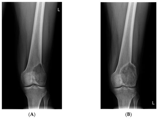
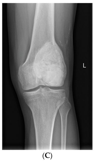
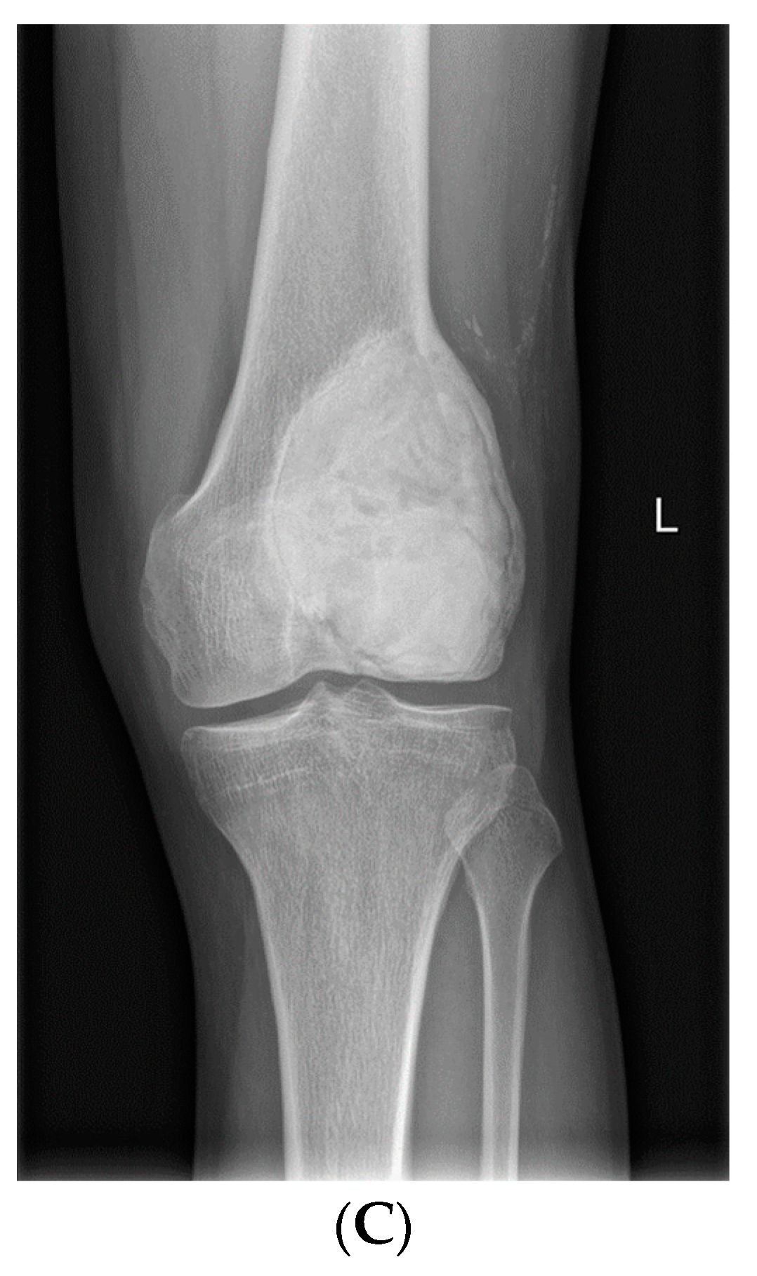
1.3. GCTB Imaging
2. Treatment Overview
2.1. Surgical Management of GCTB
2.2. Denosumab in Multidisciplinary Medical Management of GCTB
2.3. Early Evidence of Denosumab Outside GCTB
2.3.1. Early Evidence in GCTB
2.3.2. Denosumab Current Clinical Indications in GCTB
2.3.3. Progression to High-Grade Sarcoma
2.3.4. Future Considerations and Unknowns
2.3.5. Dosing Regimen and Treatment Duration
2.3.6. Side Effects of Denosumab
2.3.7. Long-Term Effects, Pregnancy, and Children
2.3.8. Treatment Discontinuation
2.3.9. New Targets for Systemic Therapy and Biomarkers
3. Conclusions
Supplementary Materials
Author Contributions
Funding
Conflicts of Interest
References
- Nakashima, T.; Hayashi, M.; Takayanagi, H. New insights into osteoclastogenic signaling mechanisms. Trends Endocrinol. Metab. 2012, 23, 582–590. [Google Scholar] [CrossRef] [PubMed]
- Miles, D.T.; Voskuil, R.T.; Dale, W.; Mayerson, J.L.; Scharschmidt, T.J. Integration of denosumab therapy in the management of giant cell tumors of bone. J. Orthop. 2020, 22, 38–47, Erratum in: J. Orthop. 2020, 23, 275. [Google Scholar] [CrossRef]
- Li, H.; Gao, J.; Gao, Y.; Lin, N.; Zheng, M.; Ye, Z. Denosumab in Giant Cell Tumor of Bone: Current Status and Pitfalls. Front Oncol. 2020, 10, 580605. [Google Scholar] [CrossRef] [PubMed]
- López-Pousa, A.; Broto, J.M.; Garrido, T.; Vázquez, J. Giant cell tumour of bone: New treatments in development. Clin. Transl. Oncol. 2015, 17, 419–430. [Google Scholar] [CrossRef] [PubMed]
- Thornley, P.; Habib, A.; Bozzo, A.; Evaniew, N.; Ghert, M. The Role of Denosumab in the Modern Treatment of Giant Cell Tumor of Bone. JBJS Rev. 2017, 5, e4. [Google Scholar] [CrossRef] [PubMed]
- van der Heijden, L.; Dijkstra, P.S.; Blay, J.-Y.; Gelderblom, H. Giant cell tumour of bone in the denosumab era. Eur. J. Cancer 2017, 77, 75–83. [Google Scholar] [CrossRef]
- Luengo-Alonso, G.; Mellado-Romero, M.; Shemesh, S.; Ramos-Pascua, L.; Pretell-Mazzini, J. Denosumab treatment for giant-cell tumor of bone: A systematic review of the literature. Arch. Orthop. Trauma. Surg. 2019, 139, 1339–1349. [Google Scholar] [CrossRef]
- Balke, M.; Henrichs, M.P.; Gosheger, G.; Ahrens, H.; Streitbuerger, A.; Koehler, M.; Bullmann, V.; Hardes, J. Giant Cell Tumors of the Axial Skeleton. Sarcoma 2012, 2012, 410973. [Google Scholar] [CrossRef][Green Version]
- Ma, Y.; Xu, W.; Yin, H.; Huang, Q.; Liu, T.; Yang, X.; Wei, H.; Xiao, J. Therapeutic radiotherapy for giant cell tumor of the spine: A systemic review. Eur. Spine J. 2015, 24, 1754–1760. [Google Scholar] [CrossRef]
- Martin, C.; McCarthy, E.F. Giant cell tumor of the sacrum and spine: Series of 23 cases and a review of the literature. Iowa Orthop. J. 2010, 30, 69–75. [Google Scholar]
- Gerber, S.; Ollivier, L.; Leclère, J.; Vanel, D.; Missenard, G.; Brisse, H.; De Pinieux, G.; Neuenschwander, S. Imaging of sacral tumours. Skelet. Radiol. 2007, 37, 277–289. [Google Scholar] [CrossRef] [PubMed]
- Fletcher, C.D.M.; Bridge, J.A.; Hogendoorn, P.C.W.; Mertens, F.; World Health Organization; International Agency for Research on Cancer. WHO Classification of Tumours of Soft Tissue and Bone, 4th ed.; IARC Press: Lyon, France, 2013. [Google Scholar]
- Alberghini, M.; Kliskey, K.; Krenacs, T.; Picci, P.; Kindblom, L.; Forsyth, R.; Athanasou, N.A. Morphological and immunophenotypic features of primary and metastatic giant cell tumour of bone. Virchows Arch. 2009, 456, 97–103. [Google Scholar] [CrossRef]
- Hemingway, F.; Taylor, R.; Knowles, H.; Athanasou, N. RANKL-independent human osteoclast formation with APRIL, BAFF, NGF, IGF I and IGF II. Bone 2010, 48, 938–944. [Google Scholar] [CrossRef] [PubMed]
- Forsyth, R.G.; De Boeck, G.; Baelde, J.J.; Taminiau, A.H.; Uyttendaele, D.; Roels, H.; Praet, M.M.; Hogendoorn, P.C. CD33+ CD14− Phenotype Is Characteristic of Multinuclear Osteoclast-Like Cells in Giant Cell Tumor of Bone. J. Bone Miner. Res. 2009, 24, 70–77. [Google Scholar] [CrossRef] [PubMed]
- Yamamoto, H.; Ishihara, S.; Toda, Y.; Oda, Y. Histone H3.3 mutation in giant cell tumor of bone: An update in pathology. Med. Mol. Morphol. 2020, 53, 1–6. [Google Scholar] [CrossRef] [PubMed]
- Behjati, S.; Tarpey, P.S.; Presneau, N.; Scheipl, S.; Pillay, N.; Van Loo, P.; Wedge, D.; Cooke, S.L.; Gundem, G.; Davies, H.; et al. Distinct H3F3A and H3F3B driver mutations define chondroblastoma and giant cell tumor of bone. Nat. Genet. 2013, 45, 1479–1482, Erratum in 2014, 46, 316. [Google Scholar] [CrossRef]
- Kato, I.; Furuya, M.; Matsuo, K.; Kawabata, Y.; Tanaka, R.; Ohashi, K. Giant cell tumours of bone treated with denosumab: Histological, immunohistochemical and H3F3A mutation analyses. Histopathology 2017, 72, 914–922. [Google Scholar] [CrossRef]
- Chan, C.M.; Adler, Z.; Reith, J.D.; Gibbs, C.P. Risk Factors for Pulmonary Metastases from Giant Cell Tumor of Bone. J. Bone Jt. Surg. 2015, 97, 420–428. [Google Scholar] [CrossRef]
- Tsukamoto, S.; Mavrogenis, A.F.; Leone, G.; Righi, A.; Akahane, M.; Tanzi, P.; Kido, A.; Honoki, K.; Tanaka, Y.; Donati, D.M.; et al. Denosumab does not decrease the risk of lung metastases from bone giant cell tumour. Int. Orthop. 2019, 43, 483–489, Erratum in: 2019, 43, 491. [Google Scholar] [CrossRef] [PubMed]
- Hiraga, T. Bone metastasis: Interaction between cancer cells and bone microenvironment. J. Oral Biosci. 2019, 61, 95–98. [Google Scholar] [CrossRef]
- Moskovszky, L.; Szuhai, K.; Krenács, T.; Hogendoorn, P.C.W.; Szendrői, M.; Benassi, M.S.; Kopper, L.; Füle, T.; Sápi, Z. Genomic instability in giant cell tumor of bone. A study of 52 cases using DNA ploidy, relocalization FISH, and array-CGH analysis. Genes Chromosom. Cancer 2009, 48, 468–479. [Google Scholar] [CrossRef] [PubMed]
- Lieveld, M.; Bodson, E.; De Boeck, G.; Nouman, B.; Cleton-Jansen, A.M.; Korsching, E.; Benassi, M.S.; Picci, P.; Sys, G.; Poffyn, B.; et al. Gene expression profiling of giant cell tumor of bone reveals downregulation of extracellular matrix components decorin and lumican associated with lung metastasis. Virchows Arch. 2014, 465, 703–713. [Google Scholar] [CrossRef] [PubMed]
- Oda, Y.; Sakamoto, A.; Saito, T.; Matsuda, S.; Tanaka, K.; Iwamoto, Y.; Tsuneyoshi, M. Secondary malignant giant-cell tumour of bone: Molecular abnormalities of p53 and H-ras gene correlated with malignant transformation. Histopathology 2001, 39, 629–637. [Google Scholar] [CrossRef] [PubMed]
- Van Langevelde, K.; McCarthy, C.L. Radiological findings of denosumab treatment for giant cell tumours of bone. Skelet. Radiol. 2020, 49, 1345–1358. [Google Scholar] [CrossRef] [PubMed]
- Egbert, R.C.; Folsom, R.; Bell, J.; Rajani, R. Denosumab Therapy for Giant Cell Tumor of Bone Pulmonary Metastasis. Case Rep. Orthop. 2017, 2017, 2302597. [Google Scholar] [CrossRef]
- Murphey, M.D.; Nomikos, G.C.; Flemming, D.J.; Gannon, F.H.; Temple, H.T.; Kransdorf, M.J. Imaging of Giant Cell Tumor and Giant Cell Reparative Granuloma of Bone: Radiologic-Pathologic Correlation. RadioGraphics 2001, 21, 1283–1309. [Google Scholar] [CrossRef]
- Oguro, S.; Okuda, S.; Sugiura, H.; Matsumoto, S.; Sasaki, A.; Susa, M.; Morioka, H.; Jinzaki, M. Giant Cell Tumors of the Bone: Changes in Image Features after Denosumab Administration. Magn. Reson. Med. Sci. 2018, 17, 325–330. [Google Scholar] [CrossRef]
- McCarthy, C.L.; Gibbons, C.L.M.H.; Bradley, K.M.; Hassan, A.B.; Giele, H.; Athanasou, N.A. Giant cell tumour of the distal radius/ulna: Response to pre-operative treatment with short-term denosumab. Clin. Sarcoma Res. 2017, 7, 19. [Google Scholar] [CrossRef]
- Hakozaki, M.; Tajino, T.; Yamada, H.; Hasegawa, O.; Tasaki, K.; Watanabe, K.; Konno, S. Radiological and pathological characteristics of giant cell tumor of bone treated with denosumab. Diagn. Pathol. 2014, 9, 111. [Google Scholar] [CrossRef]
- Thomas, D.; Henshaw, R.; Skubitz, K.; Chawla, S.; Staddon, A.; Blay, J.-Y.; Roudier, M.; Smith, J.; Ye, Z.; Sohn, W.; et al. Denosumab in patients with giant-cell tumour of bone: An open-label, phase 2 study. Lancet Oncol. 2010, 11, 275–280. [Google Scholar] [CrossRef]
- Veng, C.; Jørgensen, P.H.; Krog-Mikkelsen, I.; Stilling, M. Measurement of bone mineral density as an efficacy marker in denosumab treatment of giant cell tumour of bone. BMJ Case Rep. 2017, 2017, bcr2017220369. [Google Scholar] [CrossRef] [PubMed]
- Klenke, F.M.; Wenger, D.E.; Inwards, C.Y.; Rose, P.S.; Sim, F.H. Giant Cell Tumor of Bone: Risk Factors for Recurrence. Clin. Orthop. Relat. Res. 2010, 469, 591–599. [Google Scholar] [CrossRef] [PubMed]
- Ng, V.Y.; Davidson, D.J.; Kim, E.Y.; Pollack, S.M.; Iii, E.U.C.; Jones, R.L. The multidisciplinary management of giant cell tumor of bone. Expert Rev. Anticancer Ther. 2014, 14, 783–790. [Google Scholar] [CrossRef] [PubMed]
- Balke, M.; Schremper, L.; Gebert, C.; Ahrens, H.; Streitbuerger, A.; Koehler, G.; Hardes, J.; Gosheger, G. Giant cell tumor of bone: Treatment and outcome of 214 cases. J. Cancer Res. Clin. Oncol. 2008, 134, 969–978. [Google Scholar] [CrossRef]
- Kamath, N.; Agarwal, J.; Gulia, A. Axial giant cell tumor—current standard of practice. J. Clin. Orthop. Trauma. 2019, 10, 1027–1032, Erratum in: 2020, 11, 1169–1171. Erratum in: 2020, 11, 1172–1174. Erratum in: 2021, 21, 101556. [Google Scholar] [CrossRef]
- Dufresne, A.; Derbel, O.; A Cassier, P.; Vaz, G.; Decouvelaere, A.-V.; Blay, J.-Y. Giant-cell tumor of bone, anti-RANKL therapy. BoneKEy Rep. 2012, 1, 149. [Google Scholar] [CrossRef]
- Martin-Broto, J.; Cleeland, C.S.; Glare, P.; Engellau, J.; Skubitz, K.M.; Blum, R.H.; Ganjoo, K.N.; Staddon, A.; Dominkus, M.; Feng, A.; et al. Effects of denosumab on pain and analgesic use in giant cell tumor of bone: Interim results from a phase II study. Acta Oncol. 2014, 53, 1173–1179. [Google Scholar] [CrossRef]
- Thomas, D.; Carriere, P.; Jacobs, I. Safety of denosumab in giant-cell tumour of bone. Lancet Oncol. 2010, 11, 815. [Google Scholar] [CrossRef]
- Ueda, T.; Morioka, H.; Nishida, Y.; Kakunaga, S.; Tsuchiya, H.; Matsumoto, Y.; Asami, Y.; Inoue, T.; Yoneda, T. Objective tumor response to denosumab in patients with giant cell tumor of bone: A multicenter phase II trial. Ann. Oncol. 2015, 26, 2149–2154. [Google Scholar] [CrossRef]
- Chawla, S.; Blay, J.-Y.; Rutkowski, P.; Le Cesne, A.; Reichardt, P.; Gelderblom, H.; Grimer, R.J.; Choy, E.; Skubitz, K.; Seeger, L.; et al. Denosumab in patients with giant-cell tumour of bone: A multicentre, open-label, phase 2 study. Lancet Oncol. 2019, 20, 1719–1729. [Google Scholar] [CrossRef]
- Deveci, M.A.; Paydaş, S.; Gönlüşen, G.; Özkan, C.; Biçer, S.; Tekin, M. Clinical and pathological results of denosumab treatment for giant cell tumors of bone: Prospective study of 14 cases. Acta Orthop. Traumatol. Turc. 2016, 51, 1–6. [Google Scholar] [CrossRef] [PubMed]
- Branstetter, D.G.; Nelson, S.D.; Manivel, J.C.; Blay, J.-Y.; Chawla, S.; Thomas, D.; Jun, S.; Jacobs, I. Denosumab Induces Tumor Reduction and Bone Formation in Patients with Giant-Cell Tumor of Bone. Clin. Cancer Res. 2012, 18, 4415–4424. [Google Scholar] [CrossRef] [PubMed]
- Chawla, S.; Henshaw, R.; Seeger, L.; Choy, E.; Blay, J.; Ferrari, S.; Kroep, J.; Grimer, R.; Reichardt, P.; Rutkowski, P.; et al. Safety and efficacy of denosumab for adults and skeletally mature adolescents with giant cell tumour of bone: Interim analysis of an open-label, parallel-group, phase 2 study. Lancet Oncol. 2013, 14, 901–908. [Google Scholar] [CrossRef]
- Boye, K.; Jebsen, N.L.; Zaikova, O.; Knobel, H.; Løndalen, A.M.; Trovik, C.S.; Monge, O.R.; Hall, K.S. Denosumab in patients with giant-cell tumor of bone in Norway: Results from a nationwide cohort. Acta Oncol. 2017, 56, 479–483. [Google Scholar] [CrossRef]
- Rutkowski, P.; Ferrari, S.; Grimer, R.J.; Stalley, P.D.; Dijkstra, S.P.D.; Pienkowski, A.; Vaz, G.; Wunder, J.S.; Seeger, L.L.; Feng, A.; et al. Surgical Downstaging in an Open-Label Phase II Trial of Denosumab in Patients with Giant Cell Tumor of Bone. Ann. Surg. Oncol. 2015, 22, 2860–2868. [Google Scholar] [CrossRef] [PubMed]
- Traub, F.; Singh, J.; Dickson, B.; Leung, S.; Mohankumar, R.; Blackstein, M.E.; Razak, A.R.; Griffin, A.; Ferguson, P.C.; Wunder, J.S. Efficacy of denosumab in joint preservation for patients with giant cell tumour of the bone. Eur. J. Cancer. 2016, 59, 1–12. [Google Scholar] [CrossRef]
- Errani, C.; Tsukamoto, S.; Leone, G.; Righi, A.; Akahane, M.; Tanaka, Y.; Donati, D.M. Denosumab May Increase the Risk of Local Recurrence in Patients with Giant-Cell Tumor of Bone Treated with Curettage. J. Bone Jt. Surg. 2018, 100, 496–504. [Google Scholar] [CrossRef]
- Scoccianti, G.; Totti, F.; Scorianz, M.; Baldi, G.; Roselli, G.; Beltrami, G.; Franchi, A.; Capanna, R.; Campanacci, D.A. Preoperative Denosumab With Curettage and Cryotherapy in Giant Cell Tumor of Bone: Is There an Increased Risk of Local Recurrence? Clin. Orthop. Relat. Res. 2018, 476, 1783–1790. [Google Scholar] [CrossRef]
- Agarwal, M.G.; Gundavda, M.K.; Gupta, R.; Reddy, R. Does Denosumab Change the Giant Cell Tumor Treatment Strategy? Lessons Learned From Early Experience. Clin. Orthop. Relat. Res. 2018, 476, 1773–1782. [Google Scholar] [CrossRef]
- Puri, A.; Gulia, A.; Hegde, P.; Verma, V.; Rekhi, B. Neoadjuvant denosumab. Bone Jt. J. 2019, 101-B, 170–177. [Google Scholar] [CrossRef]
- Müller, D.A.; Beltrami, G.; Scoccianti, G.; Campanacci, D.A.; Franchi, A.; Capanna, R. Risks and benefits of combining denosumab and surgery in giant cell tumor of bone—a case series. World J. Surg. Oncol. 2016, 14, 281. [Google Scholar] [CrossRef] [PubMed]
- Bone, H.G.; Wagman, R.B.; Brandi, M.L.; Brown, J.P.; Chapurlat, R.; Cummings, S.R.; Czerwiński, E.; Fahrleitner-Pammer, A.; Kendler, D.L.; Lippuner, K.; et al. 10 years of denosumab treatment in postmenopausal women with osteoporosis: Results from the phase 3 randomised FREEDOM trial and open-label extension. Lancet Diabetes Endocrinol. 2017, 5, 513–523. [Google Scholar] [CrossRef]
- Smith, M.R.; Egerdie, B.; Toriz, N.H.; Feldman, R.; Tammela, T.L.; Saad, F.; Heracek, J.; Szwedowski, M.; Ke, C.; Kupic, A.; et al. Denosumab in Men Receiving Androgen-Deprivation Therapy for Prostate Cancer. New Engl. J. Med. 2009, 361, 745–755. [Google Scholar] [CrossRef] [PubMed]
- Henry, D.H.; Costa, L.; Goldwasser, F.; Hirsh, V.; Hungria, V.; Prausova, J.; Scagliotti, G.V.; Sleeboom, H.; Spencer, A.; Vadhan-Raj, S.; et al. Randomized, Double-Blind Study of Denosumab Versus Zoledronic Acid in the Treatment of Bone Metastases in Patients With Advanced Cancer (Excluding Breast and Prostate Cancer) or Multiple Myeloma. J. Clin. Oncol. 2011, 29, 1125–1132. [Google Scholar] [CrossRef] [PubMed]
- Palmerini, E.; Seeger, L.L.; Gambarotti, M.; Righi, A.; Reichardt, P.; Bukata, S.; Blay, J.-Y.; Dai, T.; Jandial, D.; Picci, P. Malignancy in giant cell tumor of bone: Analysis of an open-label phase 2 study of denosumab. BMC Cancer 2021, 21, 89. [Google Scholar] [CrossRef]
- Deventer, N.; Budny, T.; Gosheger, G.; Rachbauer, A.; Puetzler, J.; Theil, J.C.; Kovtun, D.; de Vaal, M. Giant Cell Tumor of Bone: A Single Center Study of 115 cases. J. Bone Oncol. 2022, 33, 100417. [Google Scholar] [CrossRef]
- Borkowska, A.; Goryń, T.; Pieńkowski, A.; Wągrodzki, M.; Jagiełło-Wieczorek, E.; Rogala, P.; Szacht, M.; Rutkowski, P. Denosumab treatment of inoperable or locally advanced giant cell tumor of bone. Oncol. Lett. 2016, 12, 4312–4318. [Google Scholar] [CrossRef]
- Ms, R.Z.; Ms, T.M.; Qi, D.; Zhao, M.; Hu, T.; Zhang, G. Short-term Preoperative Denosumab With Surgery in Unresectable or Recurrent Giant Cell Tumor of Bone. Orthop. Surg. 2019, 11, 1101–1108. [Google Scholar] [CrossRef]
- Vaishya, R.; Agarwal, A.K.; Vijay, V. ‘Salvage Treatment’ of Aggressive Giant Cell Tumor of Bones with Denosumab. Cureus 2015, 7, e291. [Google Scholar] [CrossRef] [PubMed]
- Park, M.J.; Ganjoo, K.N.; Ladd, A.L. Denosumab, a Potential Alternative to the Surgical Treatment of Distal Radius Giant Cell Tumor of Bone: Case Report. J. Hand Surg. 2015, 40, 1620–1624. [Google Scholar] [CrossRef]
- Karras, N.A.; Polgreen, L.E.; Ogilvie, C.; Manivel, J.C.; Skubitz, K.M.; Lipsitz, E. Denosumab Treatment of Metastatic Giant-Cell Tumor of Bone in a 10-Year-Old Girl. J. Clin. Oncol. 2013, 31, e200–e202. [Google Scholar] [CrossRef] [PubMed]
- Demirsoy, U.; Karadogan, M.; Selek, Ö.; Anik, Y.; Aksu, G.; Müezzinoglu, B.; Corapcioglu, F. Golden Bullet—Denosumab. J. Pediatr. Hematol. 2014, 36, 156–158. [Google Scholar] [CrossRef] [PubMed]
- Yayama, T.; Mori, K.; Nakamura, A.; Mimura, T.; Imai, S. Denosumab Therapy for Giant-cell Tumor of the Lumbar Spine: A Case Report and Immunohistochemical Examination. J. Orthop. Case Rep. 2020, 10, 76–79. [Google Scholar] [CrossRef] [PubMed]
- Mattei, T.A.; Ramos, E.; Rehman, A.A.; Shaw, A.; Patel, S.R.; Mendel, E. Sustained long-term complete regression of a giant cell tumor of the spine after treatment with denosumab. Spine J. 2014, 14, e15–e21. [Google Scholar] [CrossRef]
- Dubory, A.; Missenard, G.; Domont, J.; Court, C. Interest of Denosumab for the Treatment of Giant-cells Tumors and Aneurysmal Bone Cysts of the Spine. About Nine Cases. Spine 2016, 41, E654–E660. [Google Scholar] [CrossRef] [PubMed]
- Agarwal, A.; Larsen, B.T.; Buadu, L.D.; Dunn, J.; Crawford, R.; Daniel, J.; Bishop, M.C. Denosumab Chemotherapy for Recurrent Giant-Cell Tumor of Bone: A Case Report of Neoadjuvant Use Enabling Complete Surgical Resection. Case Rep. Oncol. Med. 2013, 2013, 410973. [Google Scholar] [CrossRef]
- Yamaga, K.; Kuwamoto, S.; Mukunoki, D.; Osaki, M.; Nagashima, H. Successful Treatment with Denosumab of a Giant Cell Tumor of Bone in the Iliac Bone of an 84-Year-Old Man. Yonago Acta Medica 2020, 63, 228–233. [Google Scholar] [CrossRef]
- Yamagishi, T.; Kawashima, H.; Ogose, A.; Sasaki, T.; Hotta, T.; Inagawa, S.; Umezu, H.; Endo, N. Disappearance of giant cells and presence of newly formed bone in the pulmonary metastasis of a sacral giant-cell tumor following denosumab treatment: A case report. Oncol. Lett. 2015, 11, 243–246. [Google Scholar] [CrossRef][Green Version]
- Yonezawa, N.; Murakami, H.; Kato, S.; Takeuchi, A.; Tsuchiya, H. Giant cell tumor of the thoracic spine completely removed by total spondylectomy after neoadjuvant denosumab therapy. Eur. Spine J. 2017, 26, 236–242. [Google Scholar] [CrossRef] [PubMed]
- Zhao, Y.; Cai, Z.; Tang, X.; Du, Z.; Yang, Y.; Guo, W. Preoperative Denosumab may increase the Risk of Local Recurrence of Giant-cell Tumor of Bone Treated with Curettage: A Systematic Review and Meta-analysis. J. Cancer 2021, 12, 508–517. [Google Scholar] [CrossRef]
- Ross, A.E.; Bojescul, J.A.; Kuklo, T.R. Giant Cell Tumor. Spine 2005, 30, E332–E335. [Google Scholar] [CrossRef] [PubMed]
- Wojcik, J.; Rosenberg, A.E.; Bredella, M.A.; Choy, E.; Hornicek, F.J.; Nielsen, G.P.; Deshpande, V. Denosumab-treated Giant Cell Tumor of Bone Exhibits Morphologic Overlap With Malignant Giant Cell Tumor of Bone. Am. J. Surg. Pathol. 2016, 40, 72–80. [Google Scholar] [CrossRef]
- Santosh, N.; Mayerson, J.L.; Iwenofu, O.H. Pseudosarcomatous Spindle Cell Proliferation With Osteoid Matrix Mimicking Osteosarcoma. Appl. Immunohistochem. Mol. Morphol. 2016, 24, e18–e19. [Google Scholar] [CrossRef] [PubMed]
- Aponte-Tinao, L.A.; Piuzzi, N.S.; Roitman, P.; Farfalli, G.L. A High-grade Sarcoma Arising in a Patient With Recurrent Benign Giant Cell Tumor of the Proximal Tibia While Receiving Treatment With Denosumab. Clin. Orthop. Relat. Res. 2015, 473, 3050–3055. [Google Scholar] [CrossRef]
- Broehm, C.J.; Garbrecht, E.L.; Wood, J.; Bocklage, T. Two Cases of Sarcoma Arising in Giant Cell Tumor of Bone Treated with Denosumab. Case Rep. Med. 2015, 2015, 767198. [Google Scholar] [CrossRef]
- Gaston, C.L.; Grimer, R.J.; Parry, R.M.A.; Stacchiotti, S.; Tos, A.P.D.; Gelderblom, H.; Ferrari, S.; Baldi, G.G.; Jones, R.L.; Chawla, S.; et al. Current status and unanswered questions on the use of Denosumab in giant cell tumor of bone. Clin. Sarcoma Res. 2016, 6, 15. [Google Scholar] [CrossRef] [PubMed]
- Palmerini, E.; Chawla, N.; Ferrari, S.; Sudan, M.; Picci, P.; Marchesi, E.; Leopardi, M.P.; Syed, I.; Sankhala, K.; Parthasarathy, P.; et al. Denosumab in advanced/unresectable giant-cell tumour of bone (GCTB): For how long? Eur. J. Cancer 2017, 76, 118–124. [Google Scholar] [CrossRef]
- Rutkowski, P.; Gaston, L.; Borkowska, A.; Stacchiotti, S.; Gelderblom, H.; Baldi, G.G.; Palmerini, E.; Casali, P.; Gronchi, A.; Parry, M.; et al. Denosumab treatment of inoperable or locally advanced giant cell tumor of bone—Multicenter analysis outside clinical trial. Eur. J. Surg. Oncol. (EJSO) 2018, 44, 1384–1390. [Google Scholar] [CrossRef]
- Gerrand, C.; Athanasou, N.; Brennan, B.; Grimer, R.; Judson, I.; Morland, B.; Peake, D.; Seddon, B.; Whelan, J.; on behalf of the British Sarcoma Group. UK guidelines for the management of bone sarcomas. Clin. Sarcoma Res. 2016, 6, 7. [Google Scholar] [CrossRef]
- Brodowicz, T.; Hemetsberger, M.; Windhager, R. Denosumab for the treatment of giant cell tumor of the bone. Futur. Oncol. 2015, 11, 1881–1894. [Google Scholar] [CrossRef]
- Federman, N.; Brien, E.W.; Narasimhan, V.; Dry, S.M.; Sodhi, M.; Chawla, S.P. Giant Cell Tumor of Bone in Childhood: Clinical Aspects and Novel Therapeutic Targets. Pediatr. Drugs 2013, 16, 21–28. [Google Scholar] [CrossRef] [PubMed]
- Matcuk, G.R.; Patel, D.B.; Schein, A.J.; White, E.A.; Menendez, L.R. Giant cell tumor: Rapid recurrence after cessation of long-term denosumab therapy. Skelet. Radiol. 2015, 44, 1027–1031. [Google Scholar] [CrossRef] [PubMed]
- Huang, P.-H.; Lee, C.-C.; Chang, P.-Y.; Shih, Y.-H.; Yen, Y.-S. Giant cell tumor of the sphenoid bone occurring during pregnancy: Successful tumor extirpation via endoscopic transnasal transsphenoidal surgery. Clin. Neurol. Neurosurg. 2013, 115, 222–226. [Google Scholar] [CrossRef]
- Kathiresan, A.S.Q.; Johnson, J.N.; Hood, B.J.; Montoya, S.P.; Vanni, S.; Gonzalez-Quintero, V.H. Giant Cell Bone Tumor of the Thoracic Spine Presenting in Late Pregnancy. Obstet. Gynecol. 2011, 118, 428–431. [Google Scholar] [CrossRef] [PubMed]










Publisher’s Note: MDPI stays neutral with regard to jurisdictional claims in published maps and institutional affiliations. |
© 2022 by the authors. Licensee MDPI, Basel, Switzerland. This article is an open access article distributed under the terms and conditions of the Creative Commons Attribution (CC BY) license (https://creativecommons.org/licenses/by/4.0/).
Share and Cite
Borkowska, A.M.; Szumera-Ciećkiewicz, A.; Szostakowski, B.; Pieńkowski, A.; Rutkowski, P.L. Denosumab in Giant Cell Tumor of Bone: Multidisciplinary Medical Management Based on Pathophysiological Mechanisms and Real-World Evidence. Cancers 2022, 14, 2290. https://doi.org/10.3390/cancers14092290
Borkowska AM, Szumera-Ciećkiewicz A, Szostakowski B, Pieńkowski A, Rutkowski PL. Denosumab in Giant Cell Tumor of Bone: Multidisciplinary Medical Management Based on Pathophysiological Mechanisms and Real-World Evidence. Cancers. 2022; 14(9):2290. https://doi.org/10.3390/cancers14092290
Chicago/Turabian StyleBorkowska, Aneta Maria, Anna Szumera-Ciećkiewicz, Bartłomiej Szostakowski, Andrzej Pieńkowski, and Piotr Lukasz Rutkowski. 2022. "Denosumab in Giant Cell Tumor of Bone: Multidisciplinary Medical Management Based on Pathophysiological Mechanisms and Real-World Evidence" Cancers 14, no. 9: 2290. https://doi.org/10.3390/cancers14092290
APA StyleBorkowska, A. M., Szumera-Ciećkiewicz, A., Szostakowski, B., Pieńkowski, A., & Rutkowski, P. L. (2022). Denosumab in Giant Cell Tumor of Bone: Multidisciplinary Medical Management Based on Pathophysiological Mechanisms and Real-World Evidence. Cancers, 14(9), 2290. https://doi.org/10.3390/cancers14092290

