State of the Art and New Concepts in Giant Cell Tumor of Bone: Imaging Features and Tumor Characteristics
Abstract
Simple Summary
Abstract
1. Introduction
2. GCTB Cytology, Histopathogenesis and New Biomarkers in Molecular Targeted Therapy Era
2.1. GCTB Cytology
2.2. GCTB Hystology and Pathogenesis
2.3. Malignant GCTB Histology and Pathogenesis
3. Imaging Contribution in GCTB Management
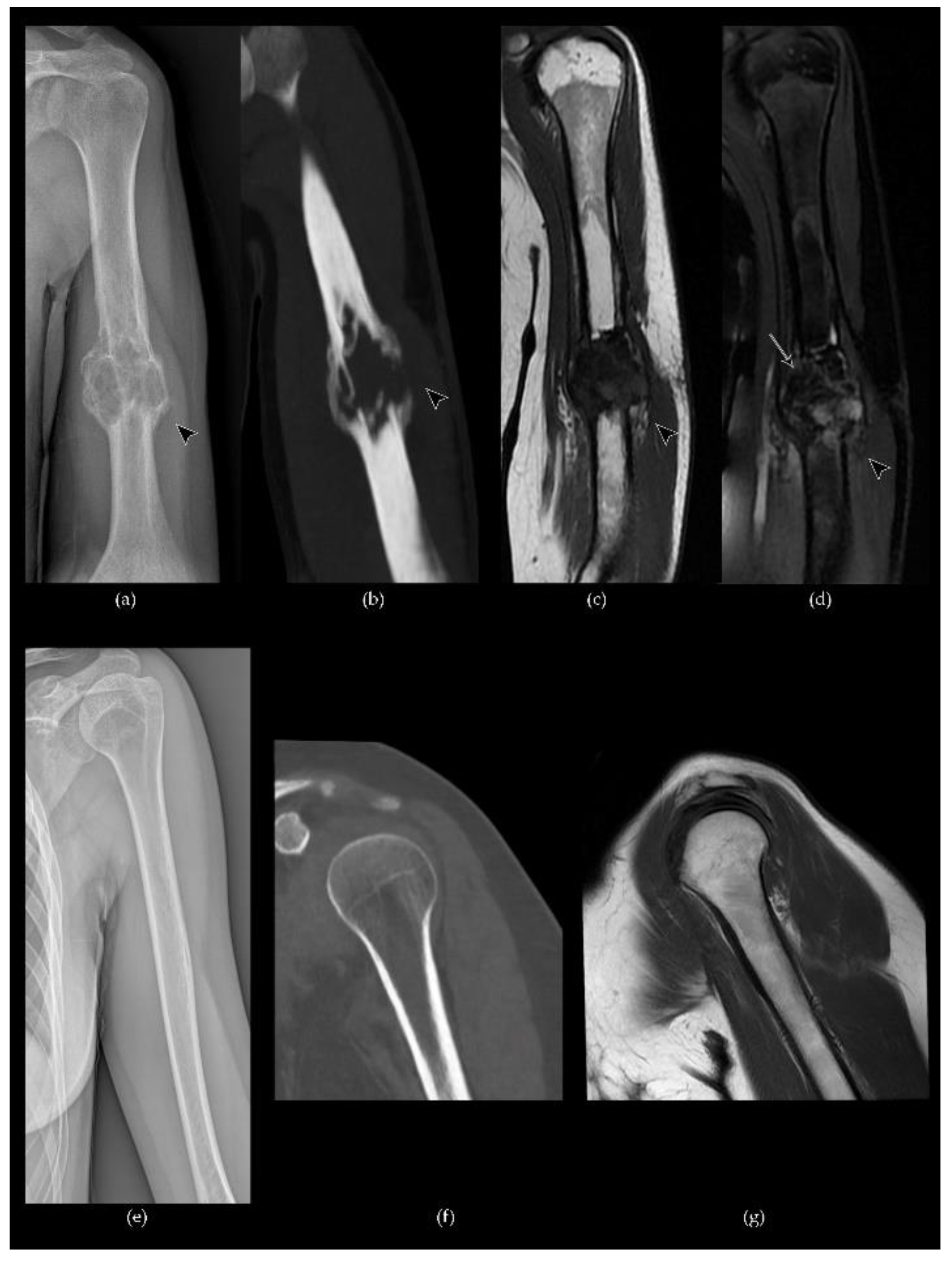
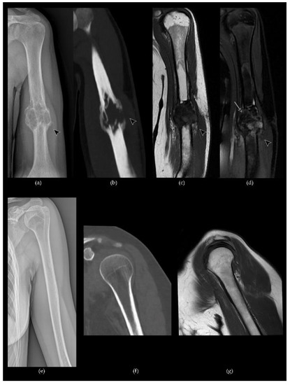
3.1. Imaging Features
3.2. Preoperative Imaging Correlation with Staging and Prognosis
3.3. Post Surgical Imaging Evaluation
3.4. Post Denosumab Imaging Evaluation
4. Conclusions
Author Contributions
Funding
Institutional Review Board Statement
Informed Consent Statement
Data Availability Statement
Conflicts of Interest
References
- Roessner, A.; Smolle, M.; Haybäck, J. Giant cell tumor of bone: Morphology, molecular pathogenesis, and differential diagnosis. Pathologe 2020, 41, 134–142. [Google Scholar] [CrossRef] [PubMed]
- Siegal, G.P.H.M.; Bloem, J.L.; Cates, J.M.M. WHO Classification of Tumors 5th Edition Soft Tissue and Bone Tumors, 5th ed.; World Health Organization: Geneva, Switzerland, 2020. [Google Scholar]
- Luther, N.; Bilsky, M.H.; Härtl, R. Giant Cell Tumor of the Spine. Neurosurg. Clin. N. Am. 2008, 19, 49–55. [Google Scholar] [CrossRef]
- Verschoor, A.J.; Bovée, J.V.M.G.; Mastboom, M.J.L.; Dijkstra, P.D.S.; van de Sande, M.A.J.; Gelderblom, H. Incidence and demographics of giant cell tumor of bone in The Netherlands: First nationwide Pathology Registry Study. Acta Orthop. 2018, 89, 570–574. [Google Scholar] [CrossRef] [PubMed]
- Liede, A.; Hernandez, R.K.; Tang, E.T.; Li, C.; Bennett, B.; Wong, S.S.; Jandial, D. Epidemiology of benign giant cell tumor of bone in the Chinese population. J. Bone Oncol. 2018, 12, 96–100. [Google Scholar] [CrossRef] [PubMed]
- Rockberg, J.; Bach, B.A.; Amelio, J.; Hernandez, R.K.; Sobocki, P.; Engellau, J.; Bauer, H.C.F.; Liede, A. Incidence trends in the diagnosis of giant cell tumor of bone in Sweden since 1958. J. Bone Jt. Surg. Am. 2014, 97, 1756–1766. [Google Scholar] [CrossRef]
- Liede, A.; Bach, B.A.; Stryker, S.; Hernandez, R.K.; Sobocki, P.; Bennett, B.; Wong, S.S. Regional variation and challenges in estimating the incidence of giant cell tumor of bone. J. Bone Jt. Surg. Am. 2014, 96, 1999–2007. [Google Scholar] [CrossRef] [PubMed]
- Raskin, K.A.; Schwab, J.H.; Mankin, H.J.; Springfield, D.S.; Hornicek, F.J. Giant cell tumor of bone. J. Am. Acad. Orthop. Surg. 2013, 21, 118–126. [Google Scholar] [CrossRef] [PubMed]
- Amanatullah, D.F.; Clark, T.R.; Lopez, M.J.; Borys, D.; Tamurian, R.M. Giant cell tumor of bone. Orthopedics 2014, 37, 112–120. [Google Scholar] [CrossRef] [PubMed]
- Facchini, G.; Parmeggiani, A.; Peta, G.; Martella, C.; Gasbarrini, A.; Evangelisti, G.; Miceli, M.; Rossi, G. The role of percutaneous transarterial embolization in the management of spinal bone tumors: A literature review. Eur. Spine J. 2021, 30, 2839–2851. [Google Scholar] [CrossRef] [PubMed]
- Ghostine, B.; Sebaaly, A.; Ghanem, I. Multifocal metachronous giant cell tumor: Case report and review of the literature. Case Rep. Med. 2014, 2014, 678035. [Google Scholar] [CrossRef]
- Liu, W.; Chan, C.M.; Gong, L.; Bui, M.M.; Han, G.; Letson, G.D.; Yang, Y.; Niu, X. Malignancy in giant cell tumor of bone in the extremities. J. Bone Oncol. 2021, 26, 100334. [Google Scholar] [CrossRef] [PubMed]
- Palmerini, E.; Picci, P.; Reichardt, P.; Downey, G. Malignancy in Giant Cell Tumor of Bone: A Review of the Literature. Technol. Cancer Res. Treat. 2019, 18. [Google Scholar] [CrossRef]
- Gong, L.; Liu, W.; Sun, X.; Sajdik, C.; Tian, X.; Niu, X.; Huang, X. Histological and clinical characteristics of malignant giant cell tumor of bone. Virchows Arch. 2012, 460, 327–334. [Google Scholar] [CrossRef]
- Bertoni, F.; Bacchini, P.; Staals, E.L. Malignancy in giant cell tumor of bone. Cancer 2003, 97, 2520–2529. [Google Scholar] [CrossRef] [PubMed]
- Lucas, D.R. Giant Cell Tumor of Bone. Surg. Pathol. Clin. 2012, 5, 183–200. [Google Scholar] [CrossRef] [PubMed]
- Tsukamoto, S.; Righi, A.; Mavrogenis, A.F.; Akahane, M.; Honoki, K.; Tanaka, Y.; Donati, D.M.; Errani, C. Late local recurrence of bone giant cell tumors associated with an increased risk for malignant transformation. Cancers 2021, 13, 3644. [Google Scholar] [CrossRef] [PubMed]
- Montgomery, C.; Couch, C.; Emory, C.L.; Nicholas, R. Giant Cell Tumor of Bone: Review of Current Literature, Evaluation, and Treatment Options. J. Knee Surg. 2019, 32, 331–336. [Google Scholar] [CrossRef]
- Mavrogenis, A.F.; Igoumenou, V.G.; Megaloikonomos, P.D.; Panagopoulos, G.N.; Papagelopoulos, P.J.; Soucacos, P.N. Giant cell tumor of bone revisited. Sicot-J 2017, 3, 54. [Google Scholar] [CrossRef]
- Yang, Z.M.; Shen, C.C.; Li, H.; Shi, Z.L.; Tao, H.M. Current treatment of sacral giant cell tumour of bone: A review. J. Int. Med. Res. 2012, 40, 415–425. [Google Scholar] [CrossRef]
- Klenke, F.M.; Wenger, D.E.; Inwards, C.Y.; Rose, P.S.; Sim, F.H. Recurrent giant cell tumor of long bones: Analysis of surgical management. Clin. Orthop. Relat. Res. 2011, 469, 1181–1187. [Google Scholar] [CrossRef]
- Wu, P.F.; Tang, J.Y.; Li, K.H. RANK pathway in giant cell tumor of bone: Pathogenesis and therapeutic aspects. Tumor Biol. 2015, 36, 495–501. [Google Scholar] [CrossRef] [PubMed]
- Chawla, S.; Blay, J.Y.; Rutkowski, P.; le Cesne, A.; Reichardt, P.; Gelderblom, H.; Grimer, R.J.; Choy, E.; Skubitz, K.; Seeger, L.; et al. Denosumab in patients with giant-cell tumour of bone: A multicentre, open-label, phase 2 study. Lancet Oncol. 2019, 20, 1719–1729. [Google Scholar] [CrossRef]
- Rutkowski, P.; Gaston, L.; Borkowska, A.; Stacchiotti, S.; Gelderblom, H.; Baldi, G.G.; Palmerini, E.; Casali, P.; Gronchi, A.; Parry, M.; et al. Denosumab treatment of inoperable or locally advanced giant cell tumor of bone—Multicenter analysis outside clinical trial. Eur. J. Surg. Oncol. 2018, 44, 1384–1390. [Google Scholar] [CrossRef]
- Agarwal, M.G.; Gundavdad, M.K.; Gupta, R.; Reddy, R. Does denosumab change the giant cell tumor treatment strategy? Lessons learned from early experience. Clin. Orthop. Relat. Res. 2018, 476, 1773–1782. [Google Scholar] [CrossRef] [PubMed]
- Sano, K.; Suehara, Y.; Okubo, T.; Sasa, K.; Kurihara, T.; Akaike, K.; Kubota, D.; Torigoe, T.; Hasegawa, N.; Ishii, M.; et al. Preoperative denosumab treatment with curettage may be a risk factor for recurrence of giant cell tumor of bone. J. Orthop. Surg. 2020, 28, 2309499020929786. [Google Scholar] [CrossRef]
- Zhao, Y.; Cai, Z.; Tang, X.; Du, Z.; Yang, Y.; Guo, W. Preoperative denosumab may increase the risk of local recurrence of giant-cell tumor of bone treated with curettage: A systematic review and meta-analysis. J. Cancer 2020, 12, 508–517. [Google Scholar] [CrossRef] [PubMed]
- Hasenfratz, M.; Mellert, K.; Marienfeld, R.; von Baer, A.; Schultheiss, M.; Roitman, P.D.; Aponte-Tinao, L.A.; Lehner, B.; Möller, P.; Mechtersheimer, G.; et al. Profiling of three H3F3A-mutated and denosumab-treated giant cell tumors of bone points to diverging pathways during progression and malignant transformation. Sci. Rep. 2021, 11, 5709. [Google Scholar] [CrossRef]
- Li, H.; Gao, J.; Gao, Y.; Lin, N.; Zheng, M.; Ye, Z. Denosumab in Giant Cell Tumor of Bone: Current Status and Pitfalls. Front. Oncol. 2020, 10, 1970. [Google Scholar] [CrossRef]
- Errani, C.; Mavrogenis, A.F.; Tsukamoto, S. What’s new in musculoskeletal oncology. BMC Musculoskelet. Disord. 2021, 22, 1399–1407. [Google Scholar] [CrossRef]
- Cowan, R.W.; Singh, G. Giant cell tumor of bone: A basic science perspective. Bone 2013, 52, 238–246. [Google Scholar] [CrossRef]
- Volmar, K.E.; Sporn, T.A.; Toloza, E.M.; Martinez, S.; Dodd, L.G.; Xie, H.B. Giant cell tumor of rib masquerading as thymoma: A diagnostic pitfall in needle core biopsy of the mediastinum. Arch. Pathol. Lab. Med. 2004, 128, 452–455. [Google Scholar] [CrossRef] [PubMed]
- Vangala, N.; Uppin, S.G.; Pamu, P.K.; Hui, M.; Rao, K.N.; Chandrashekar, P. Fine-Needle Aspiration Cytology in Preoperative Diagnosis of Bone Lesions: A Three-Year Study in a Tertiary Care Hospital. Acta Cytol. 2021, 65, 75–87. [Google Scholar] [CrossRef] [PubMed]
- Gupta, K.; Dey, P.; Goldsmith, R.; Vasishta, R.K. Comparison of cytologic features of giant-cell tumor and giant-cell tumor of tendon sheath. Diagn. Cytopathol. 2004, 30, 14–18. [Google Scholar] [CrossRef] [PubMed]
- Khare, P.; Kishore, B.; Gupta, R.J.; Vanita; Dhal, A. GCT of proximal phalanx of ring finger: A case report. Diagn. Cytopathol. 2012, 40 (Suppl. 2), E165–E168. [Google Scholar] [CrossRef] [PubMed]
- Sneige, N.; Ayala, A.G.; Carrasco, C.H.; Murray, J.; Raymond, A.K. Giant cell tumor of bone. A cytologic study of 24 cases. Diagn. Cytopathol. 1985, 1, 111–117. [Google Scholar] [CrossRef]
- Saikia, B. Fine-Needle aspiration Cytologic Diagnosis of Giant-Cell Tumor of the Sacrum Presenting as a Rectal Mass: A Case Report—PubMed. (n.d.). Available online: https://pubmed.ncbi.nlm.nih.gov/11135467/ (accessed on 30 November 2021).
- Yamamoto, H.; Ishihara, S.; Toda, Y.; Oda, Y. Histone H3.3 mutation in giant cell tumor of bone: An update in pathology. Med. Mol. Morphol. 2020, 53, 1–6. [Google Scholar] [CrossRef] [PubMed]
- Khazaei, S.; de Jay, N.; Deshmukh, S.; Hendrikse, L.D.; Jawhar, W.; Chen, C.C.L.; Mikael, L.G.; Faury, D.; Marchione, D.M.; Lanoix, J.; et al. H3.3 g34w promotes growth and impedes differentiation of osteoblast-like mesenchymal progenitors in giant cell tumor of bone. Cancer Discov. 2020, 10, 1968–1987. [Google Scholar] [CrossRef]
- Nacev, B.A.; Jones, K.B.; Intlekofer, A.M.; Yu, J.S.E.; Allis, C.D.; Tap, W.D.; Ladanyi, M.; Nielsen, T.O. The epigenomics of sarcoma. Nat. Rev. Cancer 2020, 20, 608–623. [Google Scholar] [CrossRef]
- Noh, B.J.; Park, Y.K. Giant cell tumor of bone: Updated molecular pathogenesis and tumor biology. Hum. Pathol. 2018, 81, 1–8. [Google Scholar] [CrossRef]
- Baumhoer, D.; Amary, F.; Flanagan, A.M. An update of molecular pathology of bone tumors. Lessons learned from investigating samples by next generation sequencing. Genes Chromosom. Cancer 2019, 58, 88–99. [Google Scholar] [CrossRef]
- Lutsik, P.; Baude, A.; Mancarella, D.; Öz, S.; Kühn, A.; Toth, R.; Hey, J.; Toprak, U.H.; Lim, J.; Nguyen, V.H.; et al. Globally altered epigenetic landscape and delayed osteogenic differentiation in H3.3-G34W-mutant giant cell tumor of bone. Nat. Commun. 2020, 11, 5414. [Google Scholar] [CrossRef] [PubMed]
- Jiang, Z.Y.; Jiang, J.J.; Ma, Y.S.; Li, H.Y.; Shi, W.; Fu, P.L.; Xu, C.F.; Lu, J.Z.; Fu, D.; Xu, J.G. Downregulation of miR-223 and miR-19a induces differentiation and promotes recruitment of osteoclast cells in giant-cell tumor of the bone via the Runx2/TWIST-RANK/RANKL pathway. Biochem. Biophys. Res. Commun. 2018, 505, 1003–1009. [Google Scholar] [CrossRef]
- Forsyth, R.G.; Krenács, T.; Athanasou, N.; Hogendoorn, P.C.W. Cell Biology of Giant Cell Tumour of Bone: Crosstalk between m/wt Nucleosome H3.3, Telomeres and Osteoclastogenesis. Cancers 2021, 13, 5119. [Google Scholar] [CrossRef] [PubMed]
- Conceição, A.L.G.; Babeto, E.; Candido, N.M.; Franco, F.C.; Zuccari, D.A.P.C.; Bonilha, J.L.; Cordeiro, J.A.; Calmon, M.F.; Rahal, P. Differential Expression of ADAM23, CDKN2A (P16), MMP14 and VIM Associated with Giant Cell Tumor of Bone. J. Cancer 2015, 6, 593–603. [Google Scholar] [CrossRef] [PubMed]
- Palmini, G.; Brandi, M.L. microRNAs and bone tumours: Role of tiny molecules in the development and progression of chondrosarcoma, of giant cell tumour of bone and of Ewing’s sarcoma. Bone 2021, 149, 115968. [Google Scholar] [CrossRef]
- Metovic, J.; Annaratone, L.; Linari, A.; Osella-Abate, S.; Musuraca, C.; Veneziano, F.; Vignale, C.; Bertero, L.; Cassoni, P.; Ratto, N.; et al. Prognostic role of PD-L1 and immune-related gene expression profiles in giant cell tumors of bone. Cancer Immunol. Immunother. 2020, 69, 1905–1916. [Google Scholar] [CrossRef]
- Lübbehüsen, C.; Lüke, J.; Seeling, C.; Mellert, K.; Marienfeld, R.; von Baer, A.; Schultheiss, M.; Möller, P.; Barth, T.F.E. Characterization of Three Novel H3F3A-mutated Giant Cell Tumor Cell Lines and Targeting of Their Wee1 Pathway. Sci. Rep. 2019, 9, 6458. [Google Scholar] [CrossRef]
- Chen, S.; Du, Z.; Wu, B.; Shen, H.; Liu, C.; Qiu, X.; Zhang, Y.; Xu, L.; Li, E.; Zhong, Z. STAT1, IGF1, RAC1, and MDM2 Are Associated with Recurrence of Giant Cell Tumor of Bone. J. Immunol. Res. 2018, 2018, 4564328. [Google Scholar] [CrossRef]
- Chen, S.; Li, C.; Wu, B.; Zhang, C.; Liu, C.; Lin, X.; Wu, X.; Sun, L.; Liu, C.; Chen, B.O.; et al. Identification of differentially expressed genes and their subpathways in recurrent versus primary bone giant cell tumors. Int. J. Oncol. 2014, 45, 1133–1142. [Google Scholar] [CrossRef]
- Jiang, P.; Li, Y.; Yang, X.; Zhou, J.; Wei, P. Clinical value of differential lncRNA expressions in diagnosis of giant cell tumor of bone and tumor recurrence. Clin. Lab. 2020, 66, 1381–1389. [Google Scholar] [CrossRef]
- Palmerini, E.; Seeger, L.L.; Gambarotti, M.; Righi, A.; Reichardt, P.; Bukata, S.; Blay, J.Y.; Dai, T.; Jandial, D.; Picci, P. Malignancy in giant cell tumor of bone: Analysis of an open-label phase 2 study of denosumab. BMC Cancer 2021, 21, 89. [Google Scholar] [CrossRef] [PubMed]
- Amary, F.; Berisha, F.; Ye, H.; Gupta, M.; Gutteridge, A.; Baumhoer, D.; Gibbons, R.; Tirabosco, R.; O’Donnell, P.; Flanagan, A.M. H3F3A (Histone 3.3) G34W Immunohistochemistry. Am. J. Surg. Pathol. 2017, 41, 1059–1068. [Google Scholar] [CrossRef] [PubMed]
- Yoshida, K.i.; Nakano, Y.; Honda-Kitahara, M.; Wakai, S.; Motoi, T.; Ogura, K.; Sano, N.; Shibata, T.; Okuma, T.; Iwata, S.; et al. Absence of H3F3A mutation in a subset of malignant giant cell tumor of bone. Mod. Pathol. 2019, 32, 1751–1761. [Google Scholar] [CrossRef] [PubMed]
- Okubo, T.; Saito, T.; Mitomi, H.; Takagi, T.; Torigoe, T.; Suehara, Y.; Kaneko, K.; Yao, T. P53 mutations may be involved in malignant transformation of giant cell tumor of bone through interaction with GPX1. Virchows Arch. 2013, 463, 67–77. [Google Scholar] [CrossRef] [PubMed]
- Murphey, M.D.; Nomikos, G.C.; Flemming, D.J.; Gannon, F.H.; Temple, H.T.; Kransdorf, M.J. From the archives of the AFIP. Imaging of giant cell tumor and giant cell reparative granuloma of bone: Radiologie-pathologic correlation. Radiographics 2001, 21, 1283–1309. [Google Scholar] [CrossRef] [PubMed]
- Turcotte, R.E. Giant cell tumor of bone. Orthop. Clin. North Am. 2006, 37, 35–51. [Google Scholar] [CrossRef]
- Lee, M.J.; Sallomi, D.F.; Munk, P.L.; Janzen, D.L.; Connell, D.G.; O’Connell, J.X.; Logan, P.M.; Masri, B.A. Giant cell tumours of bone. Clin. Radiol. 1998, 53, 481–489. [Google Scholar] [CrossRef]
- Chakarun, C.J.; Forrester, D.M.; Gottsegen, C.J.; Patel, D.B.; White, E.A.; Matcuk, G.R. Giant cell tumor of bone: Review, mimics, and new developments in treatment. Radiographics 2013, 33, 197–211. [Google Scholar] [CrossRef]
- Woertler, K. Benign bone tumors and tumor-like lesions: Value of cross-sectional imaging. Eur. Radiol. 2003, 13, 1820–1835. [Google Scholar] [CrossRef]
- Breitenseher, M.; Dominkus, M.; Scharitzer, M.; Lechner, M.; Trieb, K.; Imhof, H.; Lang, S. Riesenzelltumoren in der bildgebung. Radiologe 2001, 41, 568–576. [Google Scholar] [CrossRef]
- Pereira, H.M.; Marchiori, E.; Severo, A. Magnetic resonance imaging aspects of giant-cell tumours of bone. J. Med. Imaging Radiat. Oncol. 2014, 58, 674–678. [Google Scholar] [CrossRef]
- Aoki, J.; Tanikawa, H.; Ishii, K.; Seo, G.S.; Karakida, O.; Sone, S.; Ichikawa, T.; Kachi, K. MR findings indicative of hemosiderin in giant-cell tumor of bone: Frequency, cause, and diagnostic significance. AJR Am. J. Roentgenol. 1996, 166, 145–148. [Google Scholar] [CrossRef]
- Nishibori, H.; Kato, H.; Kawaguchi, M.; Nagano, A.; Matsuo, M. T2*-weighted MR imaging findings of giant cell tumors of bone: Radiological–pathological correlation. Jpn. J. Radiol. 2019, 37, 473–480. [Google Scholar] [CrossRef]
- Melhem, E.R.; Patel, R.T.; Whitehead, R.E.; Bhatia, R.G.; Rockwell, D.T.; Jara, H. MR imaging of hemorrhagic brain lesions: A comparison of dual-echo gradient- and spin-echo and fast spin-echo techniques. AJR Am. J. Roentgenol. 1998, 171, 797–802. [Google Scholar] [CrossRef] [PubMed][Green Version]
- Atlas, S.W.; Mark, A.S.; Grossman, R.I.; Gomori, J.M. Intracranial hemorrhage: Gradient-echo MR imaging at 1.5 T. Comparison with spin-echo imaging and clinical applications. Radiology 1988, 168, 803–807. [Google Scholar] [CrossRef] [PubMed]
- Muthukumaran, A.; Cohen, S.N.; El-Saden, S.; Hathout, G. Utility of T2* Gradient-Echo Magnetic Resonance Imaging in Routine Imaging of Ischemic Stroke. Stroke 2000, 32, 344. [Google Scholar] [CrossRef]
- van Timmeren, J.E.; Cester, D.; Tanadini-Lang, S.; Alkadhi, H.; Baessler, B. Radiomics in medical imaging—“how-to” guide and critical reflection. Insights Imaging 2020, 11, 91. [Google Scholar] [CrossRef] [PubMed]
- Shui, L.; Ren, H.; Yang, X.; Li, J.; Chen, Z.; Yi, C.; Zhu, H.; Shui, P. The Era of Radiogenomics in Precision Medicine: An Emerging Approach to Support Diagnosis, Treatment Decisions, and Prognostication in Oncology. Front. Oncol. 2021, 10, 3195. [Google Scholar] [CrossRef]
- Mayerhoefer, M.E.; Materka, A.; Langs, G.; Häggström, I.; Szczypiński, P.; Gibbs, P.; Cook, G. Introduction to radiomics. J. Nucl. Med. 2020, 61, 488–495. [Google Scholar] [CrossRef]
- Bera, K.; Braman, N.; Gupta, A.; Velcheti, V.; Madabhushi, A. Predicting cancer outcomes with radiomics and artificial intelligence in radiology. Nat. Rev. Clin. Oncol. 2021, 1–15. [Google Scholar] [CrossRef] [PubMed]
- Caruso, D.; Polici, M.; Zerunian, M.; Pucciarelli, F.; Guido, G.; Polidori, T.; Landolfi, F.; Nicolai, M.; Lucertini, E.; Tarallo, M.; et al. Radiomics in oncology, part 2: Thoracic, genito-urinary, breast, neurological, hematologic and musculoskeletal applications. Cancers 2021, 13, 2681. [Google Scholar] [CrossRef]
- Yin, P.; Mao, N.; Zhao, C.; Wu, J.; Chen, L.; Hong, N. A Triple-Classification Radiomics Model for the Differentiation of Primary Chordoma, Giant Cell Tumor, and Metastatic Tumor of Sacrum Based on T2-Weighted and Contrast-Enhanced T1-Weighted MRI. J. Magn. Reson. Imaging 2019, 49, 752–759. [Google Scholar] [CrossRef]
- Yin, P.; Zhi, X.; Sun, C.; Wang, S.; Liu, X.; Chen, L.; Hong, N. Radiomics Models for the Preoperative Prediction of Pelvic and Sacral Tumor Types: A Single-Center Retrospective Study of 795 Cases. Front. Oncol. 2021, 11, 3269. [Google Scholar] [CrossRef] [PubMed]
- Yin, P.; Mao, N.; Wang, S.; Sun, C.; Hong, N. Clinical-radiomics nomograms for pre-operative differentiation of sacral chordoma and sacral giant cell tumor based on 3D computed tomography and multiparametric magnetic resonance imaging. Br. J. Radiol. 2019, 92, 20190155. [Google Scholar] [CrossRef] [PubMed]
- Baumgartner, K.; Haap, M.; Bösmüller, H.; Horger, M. Imaging of giant cell tumors of the bone, RoFo Fortschritte Auf Dem Gebiet Der Rontgenstrahlen Und Der Bildgeb. Verfahren 2020, 193. [Google Scholar] [CrossRef]
- Campanacci, M.; Baldini, N.; Boriani, S.; Sudanese, A. Giant-cell tumor of bone. J. Bone Jt. Surg. Ser. A 1987, 69, 106–114. [Google Scholar] [CrossRef]
- Yasko, A.W. Giant cell tumor of bone. Curr. Oncol. Rep. 2002, 4, 520–526. [Google Scholar] [CrossRef]
- Jawad, M.U.; Scully, S.P. Classifications in brief: Enneking classification: Benign and malignant tumors of the musculoskeletal system. Clin. Orthop. Relat. Res. 2010, 468, 2000–2002. [Google Scholar] [CrossRef] [PubMed]
- Wang, H.; Wan, N.; Hu, Y. Giant cell tumour of bone: A new evaluating system is necessary. Int. Orthop. 2012, 36, 2521–2527. [Google Scholar] [CrossRef]
- He, Y.; Zhang, J.; Ding, X. Prognosis of local recurrence in giant cell tumour of bone: What can we do? Radiol. Medica 2017, 122, 505–519. [Google Scholar] [CrossRef]
- He, Y.; Wang, J.; Zhang, J.; Yuan, F.; Ding, X. A prospective study on predicting local recurrence of giant cell tumour of bone by evaluating preoperative imaging features of the tumour around the knee joint. Radiol. Med. 2017, 122, 546–555. [Google Scholar] [CrossRef]
- He, Y.; Wang, J.; Zhang, J.; Du, L.; Lu, Y.; Xu, J.; Yuan, F.; Tan, Y.; Ding, X. Magnetic resonance feature of “paintbrush borders” sign as a novel way to predict recurrence of giant cell tumor of bone after curettage: A pilot study. J. Int. Med. Res. 2018, 46, 710–722. [Google Scholar] [CrossRef]
- He, Y.; Wang, J.; Rui, W.; Lin, J.; Yuan, F.; Du, L.; Zhang, J.; Ding, X. Retrospective investigation of “paint brush borders” sign in association with local recurrence of giant cell tumor of bone after intralesional curettage. J. Bone Oncol. 2018, 10, 41–48. [Google Scholar] [CrossRef]
- He, Y.; Wang, J.; Du, L.; Yuan, F.; Ding, X.; Wang, H. MRI assessment of the bone adjacent to giant cell tumours and its association with local recurrence after intralesional curettage. Clin. Radiol. 2018, 73, e19–e984. [Google Scholar] [CrossRef]
- He, Y.; Zhou, Y.U.; Zhang, J.I.; Yuan, F.E.I.; Wang, J.U.N.; Du, L.; Zhou, Q.I.; Liang, J.; Ding, X. Tumor immunohistochemistry and preoperative magnetic resonance imaging features predict local recurrence of giant cell tumor of bone following intralesional curettage. Oncol. Lett. 2019, 17, 1425–1434. [Google Scholar] [CrossRef]
- Kumta, S.M.; Huang, L.; Cheng, Y.Y.; Chow, L.T.C.; Lee, K.M.; Zheng, M.H. Expression of VEGF and MMP-9 in giant cell tumor of bone and other osteolytic lesions. Life Sci. 2003, 73, 1427–1436. [Google Scholar] [CrossRef]
- Zhou, L.; Lin, S.; Jin, H.; Zhang, Z.; Zhang, C.; Yuan, T. Preoperative CT for prediction of local recurrence after curettage of giant cell tumor of bone. J. Bone Oncol. 2021, 29, 100366. [Google Scholar] [CrossRef] [PubMed]
- Mun, S.K.; Wong, K.H.; Lo, S.C.B.; Li, Y.; Bayarsaikhan, S. Artificial Intelligence for the Future Radiology Diagnostic Service. Front. Mol. Biosci. 2021, 7, 512. [Google Scholar] [CrossRef]
- He, Y.; Guo, J.; Ding, X.; van Ooijen, P.M.A.; Zhang, Y.; Chen, A.; Oudkerk, M.; Xie, X. Convolutional neural network to predict the local recurrence of giant cell tumor of bone after curettage based on pre-surgery magnetic resonance images. Eur. Radiol. 2019, 29, 5441–5451. [Google Scholar] [CrossRef] [PubMed]
- Wang, Q.; Zhang, Y.; Zhang, E.; Xing, X.; Chen, Y.; Su, M.Y.; Lang, N. Prediction of the early recurrence in spinal giant cell tumor of bone using radiomics of preoperative CT: Long-term outcome of 62 consecutive patients. J. Bone Oncol. 2021, 27, 100354. [Google Scholar] [CrossRef] [PubMed]
- Xu, L.; Jin, J.; Hu, A.; Xiong, J.; Wang, D.; Sun, Q.; Wang, S. Soft tissue recurrence of giant cell tumor of the bone: Prevalence and radiographic features. J. Bone Oncol. 2017, 9, 10–14. [Google Scholar] [CrossRef]
- Wang, C.S.; Lou, J.H.; Liao, J.S.; Ding, X.Y.; Du, L.J.; Lu, Y.; Yan, L.; Chen, K.M. Tumore osseo a cellule giganti recidivante: Caratteristiche radiologiche e fattori di rischio. Radiol. Med. 2013, 118, 456–464. [Google Scholar] [CrossRef]
- Costelloe, C.M.; Kumar, R.; Yasko, A.W.; Murphy, W.A.; Stafford, R.J.; Lewis, V.O.; Lin, P.P.; Madewell, J.E. Imaging characteristics of locally recurrent tumors of bone. Am. J. Roentgenol. 2007, 188, 855–863. [Google Scholar] [CrossRef] [PubMed]
- Remedios, D.; Saifuddin, A.; Pringle, J. Radiological and clinical recurrence of giant-cell tumour of bone after the use of cement. J. Bone Jt. Surg. Ser. B 1997, 79, 26–30. [Google Scholar] [CrossRef]
- Keenan, S.; Bui-Mansfield, L.T. Musculoskeletal lesions with fluid-fluid level: A pictorial essay. J. Comput. Assist. Tomogr. 2006, 30, 517–524. [Google Scholar] [CrossRef] [PubMed]
- Park, S.Y.; Lee, M.H.; Lee, J.S.; Song, J.S.; Chung, H.W. Ossified soft tissue recurrence of giant cell tumor of the bone: Four case reports with follow-up radiographs, CT, ultrasound, and MR images. Skelet. Radiol. 2014, 43, 1457–1463. [Google Scholar] [CrossRef]
- Engellau, J.; Seeger, L.; Grimer, R.; Henshaw, R.; Gelderblom, H.; Choy, E.; Chawla, S.; Reichardt, P.; O’Neal, M.; Feng, A.; et al. Assessment of denosumab treatment effects and imaging response in patients with giant cell tumor of bone 11 Medical and Health Sciences 1103 Clinical Sciences. World J. Surg. Oncol. 2018, 16, 191. [Google Scholar] [CrossRef] [PubMed]
- van Langevelde, K.; van Vucht, N.; Tsukamoto, S.; Mavrogenis, A.F.; Errani, C. Radiological Assessment of Giant Cell Tumour of Bone in the Sacrum: From Diagnosis to Treatment Response Evaluation. Curr. Med. Imaging Former. Curr. Med. Imaging Rev. 2021, 17. [Google Scholar] [CrossRef] [PubMed]
- Oguro, S.; Okuda, S.; Sugiura, H.; Matsumoto, S.; Sasaki, A.; Susa, M.; Morioka, H.; Jinzaki, M. Giant cell tumors of the bone: Changes in image features after denosumab administration. Magn. Reson. Med. Sci. 2018, 17, 325–330. [Google Scholar] [CrossRef]
- Yonezawa, N.; Murakami, H.; Demura, S.; Kato, S.; Yoshioka, K.; Takeuchi, A.; Shinmura, K.; Yokogawa, N.; Shimizu, T.; Oku, N.; et al. Morphologic Changes after Denosumab Therapy in Patients with Giant Cell Tumor of the Spine: Report of Four Cases and a Review of the Literature. World Neurosurg. 2019, 127, 38–46. [Google Scholar] [CrossRef]
- Alothman, M.; Althobaity, W.; Asiri, Y.; Alreshoodi, S.; Alismail, K.; Alshaalan, M. Giant cell tumor of bone following denosumab treatment: Assessment of tumor response using various imaging modalities. Insights Imaging 2020, 11, 41. [Google Scholar] [CrossRef] [PubMed]
- van Langevelde, K.; McCarthy, C.L. Radiological findings of denosumab treatment for giant cell tumours of bone. Skelet. Radiol. 2020, 49, 1345–1358. [Google Scholar] [CrossRef]
- Furuta, T.; Kubo, T.; Sakuda, T.; Saito, T.; Kurisu, K.; Muragaki, Y.; Adachi, N. Utility of intraoperative magnetic resonance imaging for giant cell tumor of bone after denosumab treatment: A pilot study. Acta Radiol. 2021, 0284185121989515. [Google Scholar] [CrossRef] [PubMed]
- Campanacci, L.; Sambri, A.; Medellin, M.R.; Cimatti, P.; Errani, C.; Donati, D.M. A new computerized tomography classification to evaluate response to Denosumab in giant cell tumors in the extremities. Acta Orthop. Traumatol. Turc. 2019, 53, 376–380. [Google Scholar] [CrossRef] [PubMed]
- Yi, J.; Lee, Y.H.; Kim, S.K.; Kim, S.H.; Song, H.T.; Shin, K.H.; Suh, J.S. Response evaluation of giant-cell tumor of bone treated by denosumab: Histogram and texture analysis of CT images. J. Orthop. Sci. 2018, 23, 570–577. [Google Scholar] [CrossRef] [PubMed]
- Chang, Y.C.; Stoyanova, R.; Danilova, S.; Pretell-Mazzini, J.A.; Kerr, D.A.; Wilky, B.A.; Subhawong, T. Radiomics on radiography predicts giant cell tumor histologic response to denosumab. Skelet. Radiol. 2021, 50, 1881–1887. [Google Scholar] [CrossRef]







Publisher’s Note: MDPI stays neutral with regard to jurisdictional claims in published maps and institutional affiliations. |
© 2021 by the authors. Licensee MDPI, Basel, Switzerland. This article is an open access article distributed under the terms and conditions of the Creative Commons Attribution (CC BY) license (https://creativecommons.org/licenses/by/4.0/).
Share and Cite
Parmeggiani, A.; Miceli, M.; Errani, C.; Facchini, G. State of the Art and New Concepts in Giant Cell Tumor of Bone: Imaging Features and Tumor Characteristics. Cancers 2021, 13, 6298. https://doi.org/10.3390/cancers13246298
Parmeggiani A, Miceli M, Errani C, Facchini G. State of the Art and New Concepts in Giant Cell Tumor of Bone: Imaging Features and Tumor Characteristics. Cancers. 2021; 13(24):6298. https://doi.org/10.3390/cancers13246298
Chicago/Turabian StyleParmeggiani, Anna, Marco Miceli, Costantino Errani, and Giancarlo Facchini. 2021. "State of the Art and New Concepts in Giant Cell Tumor of Bone: Imaging Features and Tumor Characteristics" Cancers 13, no. 24: 6298. https://doi.org/10.3390/cancers13246298
APA StyleParmeggiani, A., Miceli, M., Errani, C., & Facchini, G. (2021). State of the Art and New Concepts in Giant Cell Tumor of Bone: Imaging Features and Tumor Characteristics. Cancers, 13(24), 6298. https://doi.org/10.3390/cancers13246298

