Palliation in Gallbladder Cancer: The Role of Gastrointestinal Endoscopy
Abstract
Simple Summary
Abstract
1. Introduction
2. Jaundice and Cholangitis
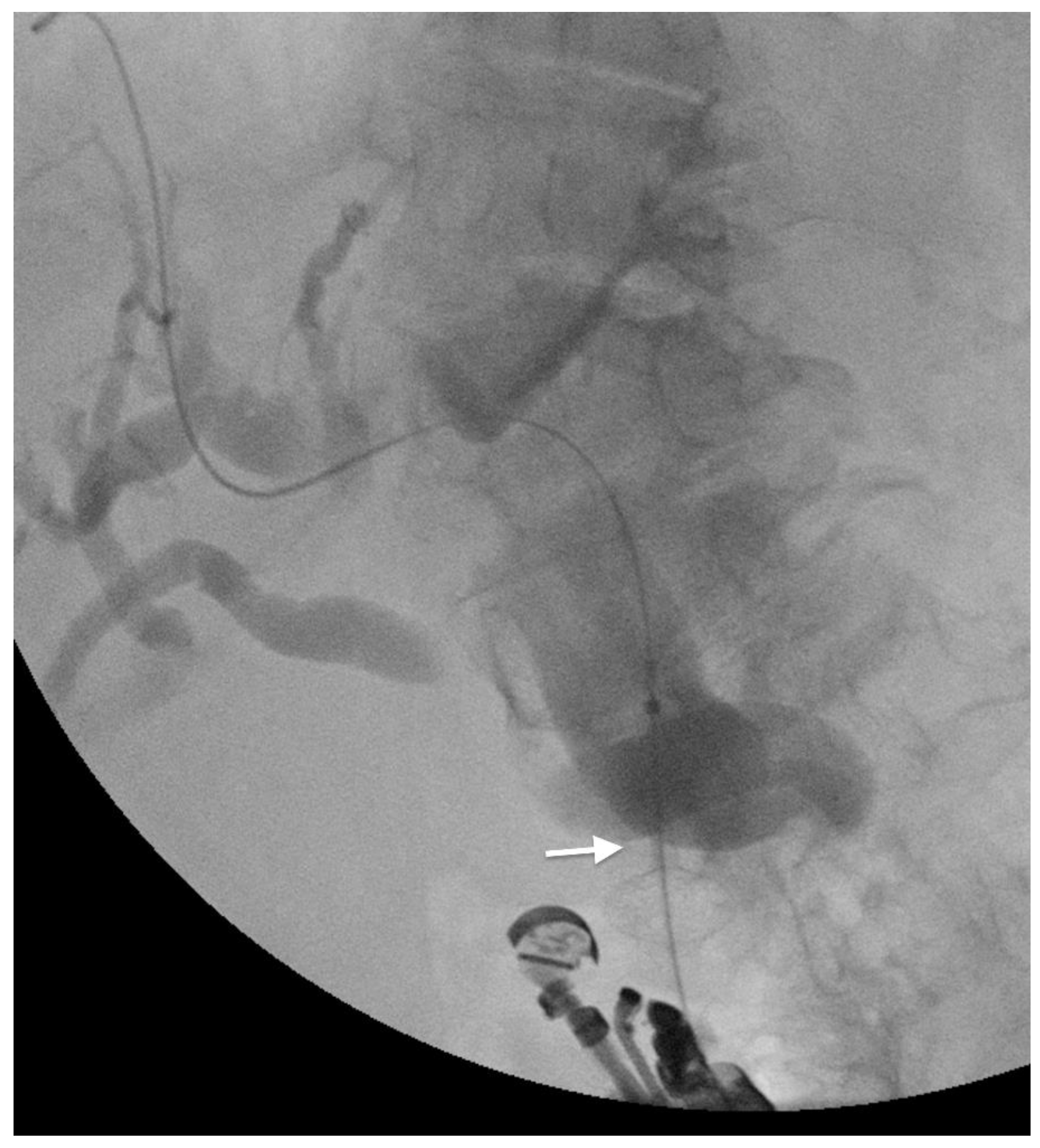
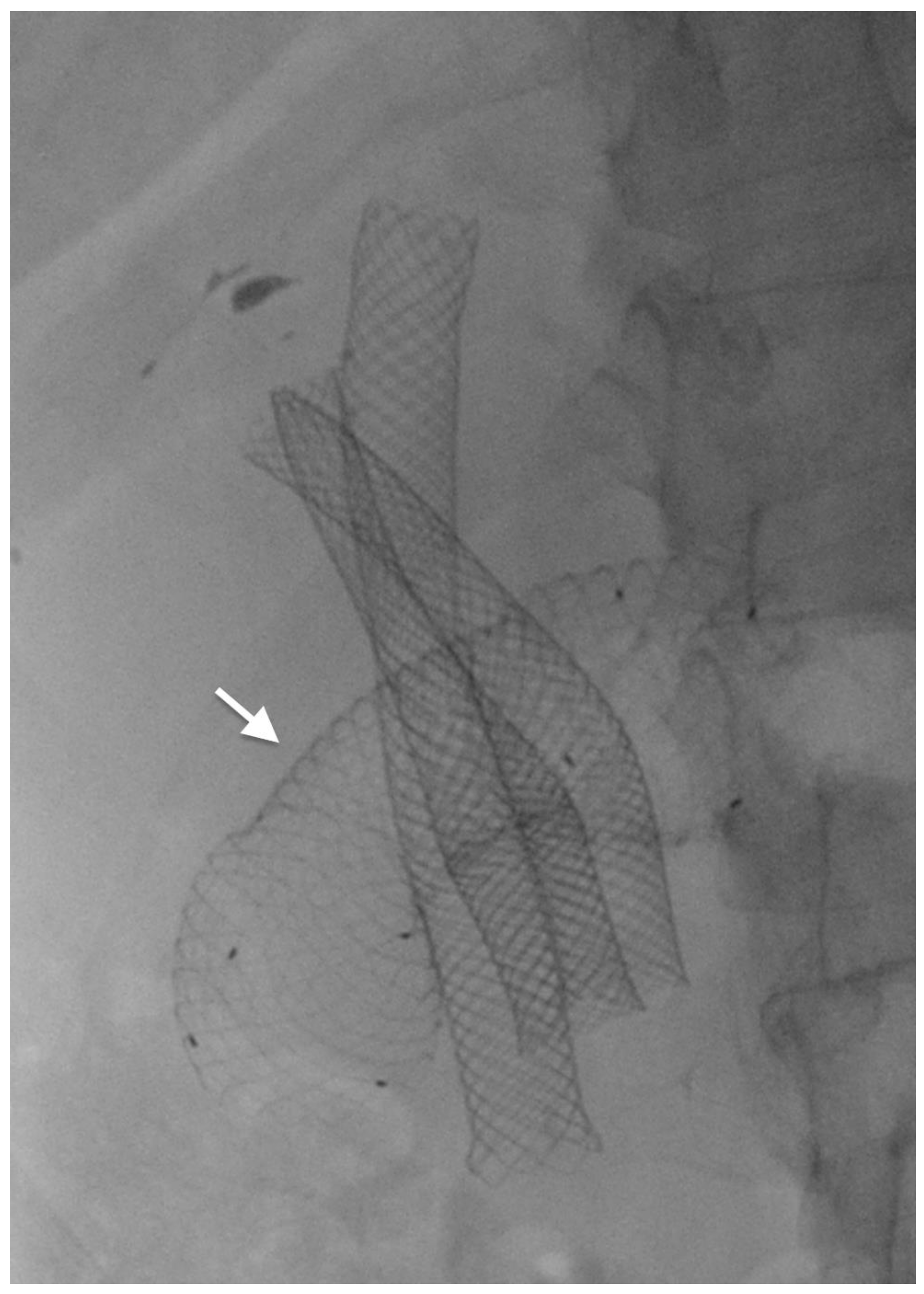
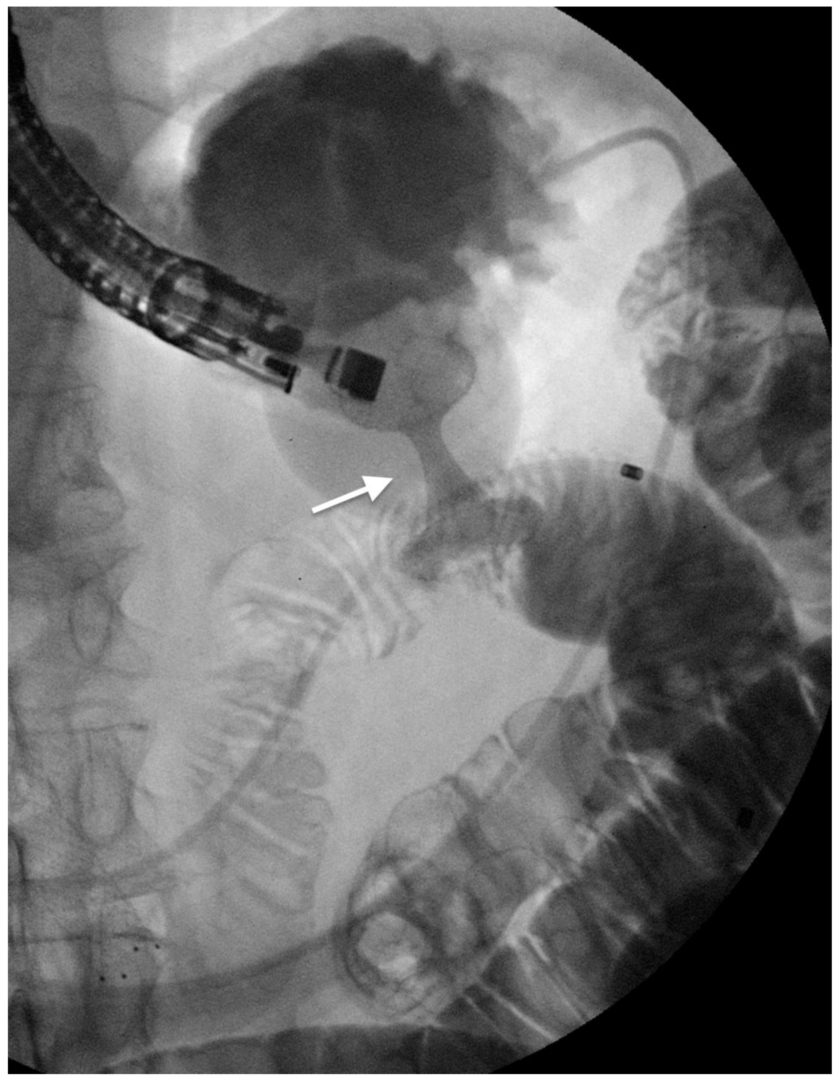
2.1. ERCP-Guided Biliary Drainage
2.2. EUS-Guided Biliary Drainage
3. Gastric Outlet Obstruction (GOO)
3.1. Endoscopic Self-Expandable Metal Stent
3.2. EUS-Guided Gastro-Enteral Anastomosis
4. Caeliac Plexus Neurolisis
5. Locoregional Therapies
6. Conclusions
Author Contributions
Funding
Conflicts of Interest
References
- Bray, F.; Ferlay, J.; Soerjomataram, I.; Siegel, R.L.; Torre, L.A.; Jemal, A. Global cancer statistics 2018: GLOBOCAN estimates of incidence and mortality worldwide for 36 cancers in 185 countries. CA Cancer J. Clin. 2018, 68, 394–424. [Google Scholar] [CrossRef]
- Carriaga, M.T.; Henson, D.E. Liver, gallbladder, extrahepatic bile ducts, and pancreas. Cancer 1995, 75 (Suppl. S1), 171–190. [Google Scholar] [CrossRef]
- Ganeshan, D.; Kambadakone, A.; Nikolaidis, P.; Subbiah, V.; Subbiah, I.M.; Devine, C. Current update on gallbladder carcinoma. Abdom. Radiol. 2021, 46, 2474–2489. [Google Scholar] [CrossRef] [PubMed]
- Henson, D.E.; Albores-Saavedra, J.; Corle, D. Carcinoma of the gallbladder. Histologic types, stage of disease, grade, and survival rates. Cancer 1992, 70, 1493–1497. [Google Scholar] [CrossRef]
- Samuel, S.; Mukherjee, S.; Ammannagari, N.; Pokuri, V.K.; Kuvshinoff, B.; Groman, A.; LeVea, C.M.; Iyer, R. Clinicopathological characteristics and outcomes of rare histologic subtypes of gallbladder cancer over two decades: A population-based study. PLoS ONE 2018, 13, e0198809. [Google Scholar] [CrossRef]
- Furlan, A.; Ferris, J.V.; Hosseinzadeh, K.; Borhani, A.A. Gallbladder carcinoma update: Multimodality imaging evaluation, staging, and treatment options. AJR Am. J. Roentgenol. 2008, 191, 1440–1447. [Google Scholar] [CrossRef] [PubMed]
- Giannis, D.; Cerullo, M.; Moris, D.; Shah, K.N.; Herbert, G.; Zani, S.; Blazer, D.G.; Allen, P.J.; Lidsky, M.E. Validation of the 8th Edition American Joint Commission on Cancer (AJCC) Gallbladder Cancer Staging System: Prognostic Discrimination and Identification of Key Predictive Factors. Cancers 2021, 13, 547. [Google Scholar] [CrossRef]
- Mekeel, K.L.; Hemming, A.W. Surgical management of gallbladder carcinoma: A review. J. Gastrointest. Surg. 2007, 11, 1188–1193. [Google Scholar] [CrossRef] [PubMed]
- Reid, K.M.; Ramos-De la Medina, A.; Donohue, J.H. Diagnosis and surgical management of gallbladder cancer: A review. J. Gastrointest. Surg. 2007, 11, 671–681. [Google Scholar] [CrossRef]
- Wang, Y.F.; Feng, F.L.; Zhao, X.H.; Ye, Z.X.; Zeng, H.P.; Li, Z.; Jiang, X.Q.; Peng, Z.H. Combined detection tumor markers for diagnosis and prognosis of gallbladder cancer. World J. Gastroenterol. 2014, 20, 4085–4092. [Google Scholar] [CrossRef]
- Singh, A.; Gelrud, A.; Agarwal, B. Biliary strictures: Diagnostic considerations and approach. Gastroenterol. Rep. 2015, 3, 22–31. [Google Scholar] [CrossRef] [PubMed]
- Tsuchiya, T.; Sofuni, A.; Itoi, T. Case of successful endoscopic ultrasonography-guided gastrojejunostomy for gastric outlet obstruction caused by gallbladder carcinoma. Dig. Endosc. 2019, 31 (Suppl. S1), 66–67. [Google Scholar] [CrossRef] [PubMed]
- Rai, P.; Cr, L.; Kc, H. Endoscopic ultrasound-guided celiac plexus neurolysis improves pain in gallbladder cancer. Indian J. Gastroenterol. 2020, 39, 171–175. [Google Scholar] [CrossRef]
- Bertran, E.; Heise, K.; Andia, M.E.; Ferreccio, C. Gallbladder cancer: Incidence and survival in a high-risk area of Chile. Int. J. Cancer. 2010, 127, 2446–2454. [Google Scholar] [CrossRef] [PubMed]
- Oertli, D.; Herzog, U.; Tondelli, P. Primary carcinoma of the gallbladder: Operative experience during a 16 year period. Eur. J. Surg. 1993, 159, 415–420. [Google Scholar] [PubMed]
- Hawkins, W.G.; DeMatteo, R.P.; Jarnagin, W.R.; Ben-Porat, L.; Blumgart, L.H.; Fong, Y. Jaundice predicts advanced disease and early mortality in patients with gallbladder cancer. Ann. Surg. Oncol. 2004, 11, 310–315. [Google Scholar] [CrossRef] [PubMed]
- Tran, T.B.; Norton, J.A.; Ethun, C.G.; Pawlik, T.M.; Buettner, S.; Schmidt, C.; Beal, E.W.; Hawkins, W.G.; Fields, R.C.; Krasnick, B.A.; et al. Gallbladder Cancer Presenting with Jaundice: Uniformly Fatal or Still Potentially Curable? J. Gastrointest. Surg. 2017, 21, 1245–1253. [Google Scholar] [CrossRef]
- Mohammad Alizadeh, A.H. Cholangitis: Diagnosis, Treatment and Prognosis. J. Clin. Transl. Hepatol. 2017, 5, 404–413. [Google Scholar] [CrossRef]
- Jha, A.K.; Jha, P.; Jha, S.K.; Keshari, R. Plastic versus metal stents for inoperable gallbladder cancer with hilar biliary obstruction: The jury is still out. Ann. Gastroenterol. 2021, 34, 12–19. [Google Scholar]
- Subramani, V.N.; Avudaiappan, M.; Yadav, T.D.; Kumar, H.; Sharma, V.; Mandavdhare, H.; Gorsi, U.; Singh, H. Outcome Following Percutaneous Transhepatic Biliary Drainage (PTBD) in Carcinoma Gallbladder: A Prospective Observational Study. J. Gastrointest. Cancer. 2021. [Google Scholar] [CrossRef] [PubMed]
- Inamdar, S.; Slattery, E.; Bhalla, R.; Sejpal, D.V.; Trindade, A.J. Comparison of Adverse Events for Endoscopic vs Percutaneous Biliary Drainage in the Treatment of Malignant Biliary Tract Obstruction in an Inpatient National Cohort. JAMA Oncol. 2016, 2, 112–117. [Google Scholar] [CrossRef] [PubMed]
- Hameed, A.; Pang, T.; Chiou, J.; Pleass, H.; Lam, V.; Hollands, M.; Johnston, E.; Richardson, A.; Yuen, L. Percutaneous vs. endoscopic pre-operative biliary drainage in hilar cholangiocarcinoma—A systematic review and meta-analysis. HPB 2016, 18, 400–410. [Google Scholar] [CrossRef] [PubMed]
- Al Mahjoub, A.; Menahem, B.; Fohlen, A.; Dupont, B.; Alves, A.; Launoy, G.; Lubrano, J. Preoperative Biliary Drainage in Patients with Resectable Perihilar Cholangiocarcinoma: Is Percutaneous Transhepatic Biliary Drainage Safer and More Effective than Endoscopic Biliary Drainage? A Meta-Analysis. J. Vasc. Interv. Radiol. 2017, 28, 576–582. [Google Scholar] [CrossRef] [PubMed]
- Itoi, T.; Tsuyuguchi, T.; Takada, T.; Strasberg, S.M.; Pitt, H.A.; Kim, M.H.; Belli, G.; Mayumi, T.; Yoshida, M.; Miura, F.; et al. TG13 indications and techniques for biliary drainage in acute cholangitis (with videos). J. Hepatobiliary Pancreat. Sci. 2013, 20, 71–80. [Google Scholar] [CrossRef]
- Lin, H.; Li, S.; Liu, X. The safety and efficacy of nasobiliary drainage versus biliary stenting in malignant biliary obstruction: A systematic review and meta-analysis. Medicine 2016, 95, e5253. [Google Scholar] [CrossRef]
- Kawashima, H.; Itoh, A.; Ohno, E.; Itoh, Y.; Ebata, T.; Nagino, M.; Goto, H.; Hirooka, Y. Preoperative endoscopic nasobiliary drainage in 164 consecutive patients with suspected perihilar cholangiocarcinoma: A retrospective study of efficacy and risk factors related to complications. Ann. Surg. 2013, 257, 121–127. [Google Scholar] [CrossRef]
- ASGE Technology Assessment Committee; Pfau, P.R.; Pleskow, D.K.; Banerjee, S.; Barth, B.A.; Bhat, Y.M.; Desilets, D.J.; Gottlieb, K.T.; Maple, J.T.; Siddiqui, U.D.; et al. Pancreatic and biliary stents. Gastrointest Endosc. 2013, 77, 319–327. [Google Scholar] [CrossRef] [PubMed]
- Kwon, C.I.; Lehman, G.A. Mechanisms of Biliary Plastic Stent Occlusion and Efforts at Prevention. Clin Endosc. 2016, 49, 139–146. [Google Scholar] [CrossRef] [PubMed]
- Schmassmann, A.; Von Gunten, E.; Knuchel, J.; Scheurer, U.; Fehr, H.F.; Halter, F. Wallstents versus plastic stents in malignant biliary obstruction: Effects of stent patency of the first and second stent on patient compliance and survival. Am. J. Gastroenterol. 1996, 91, 654–659. [Google Scholar]
- Sawas, T.; Al Halabi, S.; Parsi, M.A.; Vargo, J.J. Self-expandable metal stents versus plastic stents for malignant biliary obstruction: A meta-analysis. Gastrointest. Endosc. 2015, 82, 256–267.e7. [Google Scholar] [CrossRef]
- Hong, W.D.; Chen, X.W.; Wu, W.Z.; Zhu, Q.H.; Chen, X.R. Metal versus plastic stents for malignant biliary obstruction: An update meta-analysis. Clin. Res. Hepatol. Gastroenterol. 2013, 37, 496–500. [Google Scholar] [CrossRef]
- Costamagna, G.; Tringali, A. Can we insert a covered stent, partially or not, in case of hilar biliary stenosis? Endosc. Int. Open 2017, 5, E1218–E1219. [Google Scholar] [CrossRef] [PubMed][Green Version]
- Kitamura, K.; Yamamiya, A.; Ishii, Y.; Mitsui, Y.; Nomoto, T.; Yoshida, H. Side-by-side partially covered self-expandable metal stent placement for malignant hilar biliary obstruction. Endosc. Int. Open 2017, 5, E1211–E1217. [Google Scholar] [CrossRef] [PubMed][Green Version]
- Inoue, T.; Okumura, F.; Naitoh, I.; Fukusada, S.; Kachi, K.; Ozeki, T.; Anbe, K.; Iwasaki, H.; Mizushima, T.; Kobayashi, Y.; et al. Feasibility of the placement of a novel 6-mm diameter threaded fully covered self-expandable metal stent for malignant hilar biliary obstructions (with videos). Gastrointest. Endosc. 2016, 84, 352–357. [Google Scholar] [CrossRef]
- Jain, D.; Stein, A.; Hasan, M.K. Stepwise Algorithmic Approach to Endoscopic Removal of Biliary Partially Covered and Uncovered Self-Expanding Metal Stents. Clin. Endosc. 2021, 54, 608–612. [Google Scholar] [CrossRef]
- Boškoski, I.; Schepis, T.; Tringali, A.; Familiari, P.; Bove, V.; Attili, F.; Landi, R.; Perri, V.; Costamagna, G. Personalized Endoscopy in Complex Malignant Hilar Biliary Strictures. J. Pers. Med. 2021, 11, 78. [Google Scholar] [CrossRef]
- Gao, D.J.; Hu, B.; Ye, X.; Wang, T.T.; Wu, J. Metal versus plastic stents for unresectable gallbladder cancer with hilar duct obstruction. Dig. Endosc. 2017, 29, 97–103. [Google Scholar] [CrossRef]
- Mukai, T.; Yasuda, I.; Nakashima, M.; Doi, S.; Iwashita, T.; Iwata, K.; Kato, T.; Tomita, E.; Moriwaki, H. Metallic stents are more efficacious than plastic stents in unresectable malignant hilar biliary strictures: A randomized controlled trial. J. Hepatobiliary Pancreat Sci. 2013, 20, 214–222. [Google Scholar] [CrossRef]
- Giovannini, M.; Moutardier, V.; Pesenti, C.; Bories, E.; Lelong, B.; Delpero, J.R. Endoscopic ultrasound-guided bilioduodenal anastomosis: A new technique for biliary drainage. Endoscopy 2001, 33, 898–900. [Google Scholar] [CrossRef]
- Venkatachalapathy, S.; Nayar, M.K. Therapeutic endoscopic ultrasound. Frontline Gastroenterol. 2017, 8, 119–123. [Google Scholar] [CrossRef]
- Iwashita, T.; Doi, S.; Yasuda, I. Endoscopic ultrasound-guided biliary drainage: A review. Clin. J. Gastroenterol. 2014, 7, 94–102. [Google Scholar] [CrossRef] [PubMed]
- Lesmana, C.R.A.; Mandasari, B.K.D. The new era of endoscopic ultrasound in biliary disorders. Clin. J. Gastroenterol. 2021, 14, 923–931. [Google Scholar] [CrossRef] [PubMed]
- Jin, Z.; Wei, Y.; Lin, H.; Yang, J.; Jin, H.; Shen, S.; Zhang, X. Endoscopic ultrasound-guided versus endoscopic retrograde cholangiopancreatography-guided biliary drainage for primary treatment of distal malignant biliary obstruction: A systematic review and meta-analysis. Dig. Endosc. 2020, 32, 16–26. [Google Scholar] [CrossRef] [PubMed]
- Han, S.Y.; Kim, S.O.; So, H.; Shin, E.; Kim, D.U.; Park, D.H. EUS-guided biliary drainage versus ERCP for first-line palliation of malignant distal biliary obstruction: A systematic review and meta-analysis. Sci. Rep. 2019, 9, 16551. [Google Scholar] [CrossRef]
- Gupta, A.; Gupta, S.; Chauhan, U.; Kumar, U.; Sharma, N.; Ahuja, R.; Rajput, D.; Gupta, M. Symptom Palliation in Advanced GallBladder Cancer: An Institutional Experience. Indian J. Palliat. Care 2019, 25, 514–516. [Google Scholar] [CrossRef]
- Niculescu, Z.; Ulmeanu, V.; Ghinea, M.M.; Mocanu, L.; Niculescu, C.; Grigorian, M. Gallbladder carcinoma—A rare cause of pyloric-duodenal stenosis. Rom. J. Morphol. Embryol. 2016, 57, 1165–1170. [Google Scholar]
- Del Piano, M.; Ballarè, M.; Montino, F.; Todesco, A.; Orsello, M.; Magnani, C.; Garello, E. Endoscopy or surgery for malignant GI outlet obstruction? Gastrointest. Endosc. 2005, 61, 421–426. [Google Scholar] [CrossRef]
- Brune, I.B.; Feussner, H.; Neuhaus, H.; Classen, M.; Siewert, J.R. Laparoscopic gastrojejunostomy and endoscopic biliary stent placement for palliation of incurable gastric outlet obstruction with cholestasis. Surg. Endosc. 1997, 11, 834–837. [Google Scholar] [CrossRef]
- Maetani, I.; Tada, T.; Ukita, T.; Inoue, H.; Sakai, Y.; Nagao, J. Comparison of duodenal stent placement with surgical gastrojejunostomy for palliation in patients with duodenal obstructions caused by pancreaticobiliary malignancies. Endoscopy 2004, 36, 73–78. [Google Scholar]
- Yamao, K.; Kitano, M.; Chiba, Y.; Ogura, T.; Eguchi, T.; Moriyama, I.; Yamashita, Y.; Kato, H.; Kayahara, T.; Hoki, N.; et al. Endoscopic placement of covered versus uncovered self-expandable metal stents for palliation of malignant gastric outlet obstruction. Gut 2021, 70, 1244–1252. [Google Scholar] [CrossRef]
- Patel, A.; Sethi, A. Endoscopic management of malignant gastric outlet obstruction. Tech. Innov. Gastrointest. Endosc. 2020, 22, 220–224. [Google Scholar] [CrossRef]
- Tringali, A.; Costa, D.; Anderloni, A.; Carrara, S.; Repici, A.; Adler, D.G. Covered versus uncovered metal stents for malignant gastric outlet obstruction: A systematic review and meta-analysis. Gastrointest. Endosc. 2020, 92, 1153–1163.e9. [Google Scholar] [CrossRef] [PubMed]
- Choi, W.J.; Park, J.J.; Park, J.; Lim, E.H.; Joo, M.K.; Yun, J.W.; Noh, H.; Kim, S.H.; Choi, W.S.; Lee, B.J.; et al. Effects of the temporary placement of a self-expandable metallic stent in benign pyloric stenosis. Gut Liver. 2013, 7, 417–422. [Google Scholar] [CrossRef] [PubMed]
- Sasaki, T.; Yoshio, T.; Fujisaki, J. Adjusting the length and direction of the redundant duodenal stent using a detachable snare and endoclips. Dig. Endosc. 2018, 30, 686–687. [Google Scholar] [CrossRef] [PubMed]
- Dormann, A.; Meisner, S.; Verin, N.; Wenk Lang, A. Self-expanding metal stents for gastroduodenal malignancies: Systematic review of their clinical effectiveness. Endoscopy 2004, 36, 543–550. [Google Scholar] [CrossRef] [PubMed]
- Van Halsema, E.E.; Rauws, E.A.J.; Fockens, P.; Van Hooft, J.E. Self-expandable metal stents for malignant gastric outlet obstruction: A pooled analysis of prospective literature. World J. Gastroenterol. 2015, 21, 12468–12481. [Google Scholar] [CrossRef] [PubMed]
- Jeurnink, S.M.; van Eijck, C.H.; Steyerberg, E.W.; Kuipers, E.J.; Siersema, P.D. Stent versus gastrojejunostomy for the palliation of gastric outlet obstruction: A systematic review. BMC Gastroenterol. 2007, 7, 18. [Google Scholar] [CrossRef]
- van Hooft, J.E.; Uitdehaag, M.J.; Bruno, M.J.; Timmer, R.; Siersema, P.D.; Dijkgraaf, M.G.W.; Fockens, P. Efficacy and safety of the new WallFlex enteral stent in palliative treatment of malignant gastric outlet obstruction (DUOFLEX study): A prospective multicenter study. Gastrointest. Endosc. 2009, 69, 1059–1066. [Google Scholar] [CrossRef]
- Mo, J.W.; Kim, Y.M.; Kim, J.H.; Shin, S.Y.; Youn, Y.H.; Park, H. Clinical outcomes after multiple self-expandable metallic stent placement using stent-in-stent technique for malignant gastric outlet obstruction. Medicine 2020, 99, e19432. [Google Scholar] [CrossRef]
- Kim, J.; Choi, I.J.; Kim, C.G.; Lee, J.Y.; Cho, S.J.; Park, S.R.; Lee, J.H.; Ryu, K.W.; Kim, Y.W.; Park, Y.I. Self-expandable metallic stent placement for malignant obstruction in patients with locally recurrent gastric cancer. Surg. Endosc. 2011, 25, 1505–1513. [Google Scholar] [CrossRef]
- Mussetto, A.; Fugazza, A.; Fuccio, L.; Triossi, O.; Repici, A.; Anderloni, A. Current uses and outcomes of lumen-apposing metal stents. Ann. Gastroenterol. 2018, 31, 535–540. [Google Scholar] [PubMed]
- Iqbal, U.; Khara, H.S.; Hu, Y.; Kumar, V.; Tufail, K.; Confer, B.; Diehl, D.L. EUS-guided gastroenterostomy for the management of gastric outlet obstruction: A systematic review and meta-analysis. Endosc. Ultrasound. 2020, 9, 16–23. [Google Scholar] [CrossRef] [PubMed]
- McCarty, T.R.; Garg, R.; Thompson, C.C.; Rustagi, T. Efficacy and safety of EUS-guided gastroenterostomy for benign and malignant gastric outlet obstruction: A systematic review and meta-analysis. Endosc. Int. Open 2019, 7, E1474–E1482. [Google Scholar] [CrossRef] [PubMed]
- Boghossian, M.B.; Funari, M.P.; De Moura, D.T.H.; McCarty, T.R.; Sagae, V.M.T.; Chen, Y.I.; Mendieta, P.J.O.; Neto, F.L.P.; Bernardo, W.M.; dos Santos, M.E.L.; et al. EUS-guided gastroenterostomy versus duodenal stent placement and surgical gastrojejunostomy for the palliation of malignant gastric outlet obstruction: A systematic review and meta-analysis. Langenbecks Arch. Surg. 2021, 406, 1803–1817. [Google Scholar] [CrossRef] [PubMed]
- Perez-Miranda, M.; Tyberg, A.; Poletto, D.; Toscano, E.; Gaidhane, M.; Desai, A.P.; Kumta, N.A.; Fayad, L.; Nieto, J.; Barthet, M.; et al. EUS-guided Gastrojejunostomy Versus Laparoscopic Gastrojejunostomy: An International Collaborative Study. J. Clin. Gastroenterol. 2017, 51, 896–899. [Google Scholar] [CrossRef]
- Lai, C.H.; Lau, W.Y. Gallbladder cancer--a comprehensive review. Surgeon 2008, 6, 101–110. [Google Scholar] [CrossRef]
- Batra, Y.; Pal, S.; Dutta, U.; Desai, P.; Garg, P.K.; Makharia, G.; Ahuja, V.; Pande, G.K.; Sahni, P.; Chattopadhyay, T.K.; et al. Gallbladder cancer in India: A dismal picture. J. Gastroenterol. Hepatol. 2005, 20, 309–314. [Google Scholar] [CrossRef]
- Caraceni, A.; Hanks, G.; Kaasa, S.; Bennett, M.I.; Brunelli, C.; Cherny, N.; Dale, O.; De Conno, F.; Fallon, M.; Hanna, M.; et al. Use of opioid analgesics in the treatment of cancer pain: Evidence-based recommendations from the EAPC. Lancet Oncol. 2012, 13, e58–e68. [Google Scholar] [CrossRef]
- Benyamin, R.; Trescot, A.M.; Datta, S.; Buenaventura, R.; Adlaka, R.; Sehgal, N.; Glaser, S.E.; Vallejo, R. Opioid complications and side effects. Pain Physician. 2008, 11 (Suppl. S2), S105–S120. [Google Scholar] [CrossRef]
- Hamada, H. Interventional Management of Chronic Visceral Pain Syndromes. Anesth. Analg. 2021, 10, 77–84. [Google Scholar] [CrossRef]
- Loukas, M.; Klaassen, Z.; Merbs, W.; Tubbs, R.S.; Gielecki, J.; Zurada, A. A review of the thoracic splanchnic nerves and celiac ganglia. Clin. Anat. 2010, 23, 512–522. [Google Scholar] [CrossRef] [PubMed]
- Puli, S.R.; Reddy, J.B.K.; Bechtold, M.L.; Antillon, M.R.; Brugge, W.R. EUS-guided celiac plexus neurolysis for pain due to chronic pancreatitis or pancreatic cancer pain: A meta-analysis and systematic review. Dig. Dis. Sci. 2009, 54, 2330–2337. [Google Scholar] [CrossRef]
- Bang, J.Y.; Sutton, B.; Hawes, R.H.; Varadarajulu, S. EUS-guided celiac ganglion radiofrequency ablation versus celiac plexus neurolysis for palliation of pain in pancreatic cancer: A randomized controlled trial (with videos). Gastrointest. Endosc. 2019, 89, 58–66.e3. [Google Scholar] [CrossRef] [PubMed]
- Kaufman, M.; Singh, G.; Das, S.; Concha-Parra, R.; Erber, J.; Micames, C.; Gress, F. Efficacy of endoscopic ultrasound-guided celiac plexus block and celiac plexus neurolysis for managing abdominal pain associated with chronic pancreatitis and pancreatic cancer. J. Clin. Gastroenterol. 2010, 44, 127–134. [Google Scholar] [CrossRef] [PubMed]
- Wyse, J.M.; Carone, M.; Paquin, S.C.; Usatii, M.; Sahai, A.V. Randomized, double-blind, controlled trial of early endoscopic ultrasound-guided celiac plexus neurolysis to prevent pain progression in patients with newly diagnosed, painful, inoperable pancreatic cancer. J. Clin. Oncol. 2011, 29, 3541–3546. [Google Scholar] [CrossRef]
- Feisthammel, J.; Mössner, J.; Hoffmeister, A. Palliative Endoscopic Treatment Options in Malignancies of the Biliopancreatic System. Viszeralmedizin 2014, 30, 238–243. [Google Scholar] [CrossRef]
- Larghi, A.; Rimbaș, M.; Tringali, A.; Boškoski, I.; Rizzatti, G.; Costamagna, G. Endoscopic radiofrequency biliary ablation treatment: A comprehensive review. Dig. Endosc. 2019, 31, 245–255. [Google Scholar] [CrossRef]
- Deufel, C.L.; Furutani, K.M.; Dahl, R.A.; Grams, M.P.; McLemore, L.B.; Hallemeier, C.L.; Neben-Wittich, M.; Martenson, J.A.; Haddock, M.G. Technique for the administration of high-dose-rate brachytherapy to the bile duct using a nasobiliary catheter. Brachytherapy 2018, 17, 718–725. [Google Scholar] [CrossRef]
- Guo, Y.; Chen, J.; Liu, Y.; Hu, Y.H.; Li, Z.S. Iodine-125 biliary stent for palliative treatment of locally advanced gallbladder cancer. Endoscopy 2010, 42 (Suppl. S2), E259–E260. [Google Scholar] [CrossRef]
- Clavien, P.A.; Awad, M.M.; Choti, M.A. Radiofrequency ablation of liver tumors. In Atlas of Upper Gastrointestinal and Hepato-Pancreato-Biliary Surgery; Springer: Berlin/Heidelberg, Germany, 2007. [Google Scholar]
- Steel, A.W.; Postgate, A.J.; Khorsandi, S.; Nicholls, J.; Jiao, L.; Vlavianos, P.; Habib, N.; Westaby, D. Endoscopically applied radiofrequency ablation appears to be safe in the treatment of malignant biliary obstruction. Gastrointest. Endosc. 2011, 73, 149–153. [Google Scholar] [CrossRef]
- Lee, Y.N.; Jeong, S.; Choi, H.J.; Cho, J.H.; Cheon, Y.K.; Park, S.W.; Kim, Y.S.; Lee, D.H.; Moon, J.H. The safety of newly developed automatic temperature-controlled endobiliary radiofrequency ablation system for malignant biliary strictures: A prospective multicenter study. J. Gastroenterol. Hepatol. 2019, 34, 1454–1459. [Google Scholar] [CrossRef] [PubMed]
- Chen, Y.; Wang, X.L.; Yan, Z.P.; Wang, J.H.; Cheng, J.M.; Gong, G.Q.; Luo, J.J. The use of ¹²⁵I seed strands for intraluminal brachytherapy of malignant obstructive jaundice. Cancer Biother. Radiopharm. 2012, 27, 317–323. [Google Scholar] [CrossRef] [PubMed]
- Xu, X.; Li, J.; Wu, J.; Zhu, R.; Ji, W. A Systematic Review and Meta-analysis of Intraluminal Brachytherapy Versus Stent Alone in the Treatment of Malignant Obstructive Jaundice. Cardiovasc. Intervent. Radiol. 2018, 41, 206–217. [Google Scholar] [CrossRef] [PubMed]
- Salgado, S.M.; Gaidhane, M.; Kahaleh, M. Endoscopic palliation of malignant biliary strictures. World J. Gastrointest. Oncol. 2016, 8, 240–247. [Google Scholar] [CrossRef]
- Dumoulin, F.L.; Gerhardt, T.; Fuchs, S.; Scheurlen, C.; Neubrand, M.; Layer, G.; Sauerbruch, T. Phase II study of photodynamic therapy and metal stent as palliative treatment for nonresectable hilar cholangiocarcinoma. Gastrointest. Endosc. 2003, 57, 860–867. [Google Scholar] [CrossRef]
- Leggett, C.L.; Gorospe, E.C.; Murad, M.H.; Montori, V.M.; Baron, T.H.; Wang, K.K. Photodynamic therapy for unresectable cholangiocarcinoma: A comparative effectiveness systematic review and meta-analyses. Photodiagnosis Photodyn. Ther. 2012, 9, 189–195. [Google Scholar] [CrossRef]





Publisher’s Note: MDPI stays neutral with regard to jurisdictional claims in published maps and institutional affiliations. |
© 2022 by the authors. Licensee MDPI, Basel, Switzerland. This article is an open access article distributed under the terms and conditions of the Creative Commons Attribution (CC BY) license (https://creativecommons.org/licenses/by/4.0/).
Share and Cite
Schepis, T.; Boškoski, I.; Tringali, A.; Bove, V.; Costamagna, G. Palliation in Gallbladder Cancer: The Role of Gastrointestinal Endoscopy. Cancers 2022, 14, 1686. https://doi.org/10.3390/cancers14071686
Schepis T, Boškoski I, Tringali A, Bove V, Costamagna G. Palliation in Gallbladder Cancer: The Role of Gastrointestinal Endoscopy. Cancers. 2022; 14(7):1686. https://doi.org/10.3390/cancers14071686
Chicago/Turabian StyleSchepis, Tommaso, Ivo Boškoski, Andrea Tringali, Vincenzo Bove, and Guido Costamagna. 2022. "Palliation in Gallbladder Cancer: The Role of Gastrointestinal Endoscopy" Cancers 14, no. 7: 1686. https://doi.org/10.3390/cancers14071686
APA StyleSchepis, T., Boškoski, I., Tringali, A., Bove, V., & Costamagna, G. (2022). Palliation in Gallbladder Cancer: The Role of Gastrointestinal Endoscopy. Cancers, 14(7), 1686. https://doi.org/10.3390/cancers14071686

