Differences in the MRI Signature and ADC Values of Diffuse Midline Gliomas with H3 K27M Mutation Compared to Midline Glioblastomas
Abstract
:Simple Summary
Abstract
1. Introduction
2. Materials and Methods
2.1. MR Imaging and Analysis
2.2. Statistics
3. Results
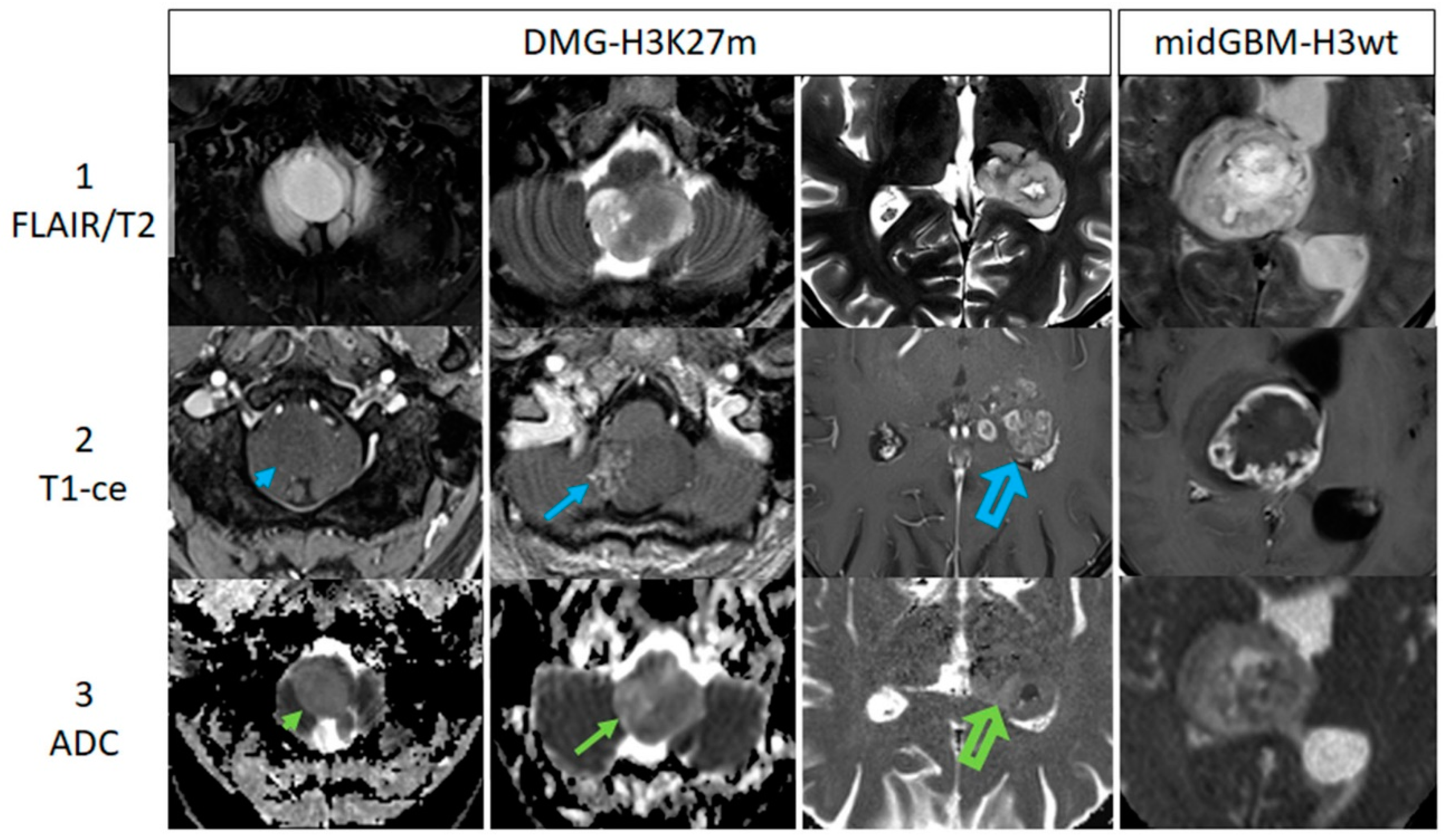
3.1. DMG Group
3.2. MidGBM-H3wt Group
3.3. Group Comparison
4. Discussion
5. Conclusions
Author Contributions
Funding
Institutional Review Board Statement
Informed Consent Statement
Data Availability Statement
Acknowledgments
Conflicts of Interest
References
- Louis, D.N.; Ohgaki, H.; Wiestler, O.D.; Cavenee, W.K.; Ellision, D.W.; Figarella-Branger, D.; Reifenberger, G.; von Deimling, A. WHO Classification and Grading of Tumours of the Central Nervous System, 4th ed.; IARC Press: Lyon, France, 2016. [Google Scholar]
- Louis, D.N.; Giannini, C.; Capper, D.; Paulus, W.; Figarella-Branger, D.; Lopes, M.B.; Batchelor, T.T.; Cairncross, J.G.; van den Bent, M.; Wick, W.; et al. cIMPACT-NOW update 2: Diagnostic clarifications for diffuse midline glioma, H3 K27M-mutant and diffuse astrocytoma/anaplastic astrocytoma, IDH-mutant. Acta Neuropathol. 2018, 135, 639–642. [Google Scholar] [CrossRef] [PubMed]
- Solomon, D.A.; Wood, M.D.; Tihan, T.; Bollen, A.W.; Gupta, N.; Phillips, J.J.; Perry, A. Diffuse Midline Gliomas with Histone H3-K27M Mutation: A Series of 47 Cases Assessing the Spectrum of Morphologic Variation and Associated Genetic Alterations. Brain Pathol. 2016, 26, 569–580. [Google Scholar] [CrossRef] [PubMed]
- Buczkowicz, P.; Bartels, U.; Bouffet, E.; Becher, O.; Hawkins, C. Histopathological spectrum of paediatric diffuse intrinsic pontine glioma: Diagnostic and therapeutic implications. Acta Neuropathol. 2014, 128, 573–581. [Google Scholar] [CrossRef] [PubMed] [Green Version]
- Buczkowicz, P.; Hoeman, C.; Rakopoulos, P.; Pajovic, S.; Letourneau, L.; Dzamba, M.; Morrison, A.; Lewis, P.; Bouffet, E.; Bartels, U.; et al. Genomic analysis of diffuse intrinsic pontine gliomas identifies three molecular subgroups and recurrent activating ACVR1 mutations. Nat. Genet. 2014, 46, 451–456. [Google Scholar] [CrossRef] [PubMed] [Green Version]
- Castel, D.; Philippe, C.; Calmon, R.; Le Dret, L.; Truffaux, N.; Boddaert, N.; Pages, M.; Taylor, K.R.; Saulnier, P.; Lacroix, L.; et al. Histone H3F3A and HIST1H3B K27M mutations define two subgroups of diffuse intrinsic pontine gliomas with different prognosis and phenotypes. Acta Neuropathol. 2015, 130, 815–827. [Google Scholar] [CrossRef] [Green Version]
- Louis, D.N.; Brat, D.J.; Ellison, D.W.; Figarella-Branger, D.; Hawkins, C.E.; Ng, H.-K.; Perry, A.; Pfister, S.M.; Reifenberger, G.; Soffietti, R.; et al. WHO Classification of Tumours of the Central Nervous System, 5th ed.; IARC Press: Lyon, France, 2021; Volume 6. [Google Scholar]
- Dellaretti, M.; Camara, B.B.A.; Ferreira, P.; da Silva, J.B., Jr.; Arantes, R.M.E. Impact of histological diagnosis on the treatment of atypical brainstem lesions. Sci. Rep. 2020, 10, 11065. [Google Scholar] [CrossRef]
- Tejada, S.; Aquilina, K.; Goodden, J.; Pettorini, B.; Mallucci, C.; van Veelen, M.L.; Thomale, U.W. Biopsy in diffuse pontine gliomas: Expert neurosurgeon opinion-a survey from the SIOPE brain tumor group. Childs Nerv. Syst. 2020, 36, 705–711. [Google Scholar] [CrossRef]
- Faulkner, H.; Arnaout, O.; Hoshide, R.; Young, I.M.; Yeung, J.T.; Sughrue, M.E.; Teo, C. The Surgical Resection of Brainstem Glioma: Outcomes and Prognostic Factors. World Neurosurg. 2021, 146, e639–e650. [Google Scholar] [CrossRef]
- Weller, M.; van den Bent, M.; Preusser, M.; Le Rhun, E.; Tonn, J.C.; Minniti, G.; Bendszus, M.; Balana, C.; Chinot, O.; Dirven, L.; et al. EANO guidelines on the diagnosis and treatment of diffuse gliomas of adulthood. Nat. Rev. Clin. Oncol. 2021, 18, 170–186. [Google Scholar] [CrossRef]
- Lasocki, A.; Anjari, M.; rs Kokurcan, S.; Thust, S.C. Conventional MRI features of adult diffuse glioma molecular subtypes: A systematic review. Neuroradiology 2021, 63, 353–362. [Google Scholar] [CrossRef]
- Kihira, S.; Tsankova, N.M.; Bauer, A.; Sakai, Y.; Mahmoudi, K.; Zubizarreta, N.; Houldsworth, J.; Khan, F.; Salamon, N.; Hormigo, A.; et al. Multiparametric MRI texture analysis in prediction of glioma biomarker status: Added value of MR diffusion. Neurooncol. Adv. 2021, 3, 1–9. [Google Scholar] [CrossRef] [PubMed]
- Calmon, R.; Dangouloff-Ros, V.; Varlet, P.; Deroulers, C.; Philippe, C.; Debily, M.A.; Castel, D.; Beccaria, K.; Blauwblomme, T.; Grevent, D.; et al. Radiogenomics of diffuse intrinsic pontine gliomas (DIPGs): Correlation of histological and biological characteristics with multimodal MRI features. Eur. Radiol. 2021, 31, 8913–8924. [Google Scholar] [CrossRef] [PubMed]
- Wu, C.; Zheng, H.; Li, J.; Zhang, Y.; Duan, S.; Li, Y.; Wang, D. MRI-based radiomics signature and clinical factor for predicting H3K27M mutation in pediatric high-grade gliomas located in the midline of the brain. Eur. Radiol. 2021, 32, 1813–1822. [Google Scholar] [CrossRef] [PubMed]
- Payabvash, S.; Tihan, T.; Cha, S. Differentiation of Cerebellar Hemisphere Tumors: Combining Apparent Diffusion Coefficient Histogram Analysis and Structural MRI Features. J. Neuroimaging 2018, 28, 656–665. [Google Scholar] [CrossRef]
- Payabvash, S.; Aboian, M.; Tihan, T.; Cha, S. Machine Learning Decision Tree Models for Differentiation of Posterior Fossa Tumors Using Diffusion Histogram Analysis and Structural MRI Findings. Front. Oncol. 2020, 10, 71. [Google Scholar] [CrossRef]
- Banan, R.; Akbarian, A.; Samii, M.; Samii, A.; Bertalanffy, H.; Lehmann, U.; Hartmann, C.; Bruning, R. Diffuse midline gliomas, H3 K27M-mutant are associated with less peritumoral edema and contrast enhancement in comparison to glioblastomas, H3 K27M-wildtype of midline structures. PLoS ONE 2021, 16, e0249647. [Google Scholar] [CrossRef]
- Hong, B.; Banan, R.; Christians, A.; Nakamura, M.; Lalk, M.; Lehmann, U.; Hartmann, C.; Krauss, J.K. Cerebellar glioblastoma: A clinical series with contemporary molecular analysis. Acta Neurochir. 2018, 160, 2237–2248. [Google Scholar] [CrossRef]
- Doshi, A.M.; Tong, A.; Davenport, M.S.; Khalaf, A.M.; Mresh, R.; Rusinek, H.; Schieda, N.; Shinagare, A.B.; Smith, A.D.; Thornhill, R.; et al. Assessment of Renal Cell Carcinoma by Texture Analysis in Clinical Practice: A Six-Site, Six-Platform Analysis of Reliability. Am. J. Roentgenol. 2021, 217, 1132–1140. [Google Scholar] [CrossRef]
- Louis, D.N.; Ohgaki, H.; Wiestler, O.D.; Cavenee, W.K. WHO Classification of Tumours of the Central Nervous System, 4th ed.; IARC Press: Lyon, France, 2007; p. 309. [Google Scholar]
- Reinhardt, A.; Stichel, D.; Schrimpf, D.; Koelsche, C.; Wefers, A.K.; Ebrahimi, A.; Sievers, P.; Huang, K.; Casalini, M.B.; Fernandez-Klett, F.; et al. Tumors diagnosed as cerebellar glioblastoma comprise distinct molecular entities. Acta Neuropathol. Commun. 2019, 7, 163. [Google Scholar] [CrossRef]
- Banan, R.; Stichel, D.; Bleck, A.; Hong, B.; Lehmann, U.; Suwala, A.; Reinhardt, A.; Schrimpf, D.; Buslei, R.; Stadelmann, C.; et al. Infratentorial IDH-mutant astrocytoma is a distinct subtype. Acta Neuropathol. 2020, 140, 569–581. [Google Scholar] [CrossRef]
- Leach, J.L.; Roebker, J.; Schafer, A.; Baugh, J.; Chaney, B.; Fuller, C.; Fouladi, M.; Lane, A.; Doughman, R.; Drissi, R.; et al. MR imaging features of diffuse intrinsic pontine glioma and relationship to overall survival: Report from the International DIPG Registry. Neuro-Oncology 2020, 22, 1647–1657. [Google Scholar] [CrossRef] [PubMed]
- Szychot, E.; Youssef, A.; Ganeshan, B.; Endozo, R.; Hyare, H.; Gains, J.; Mankad, K.; Shankar, A. Predicting outcome in childhood diffuse midline gliomas using magnetic resonance imaging based texture analysis. J. Neuroradiol. 2021, 48, 243–247. [Google Scholar] [CrossRef] [PubMed]
- Qiu, T.; Chanchotisatien, A.; Qin, Z.; Wu, J.; Du, Z.; Zhang, X.; Gong, F.; Yao, Z.; Chu, S. Imaging characteristics of adult H3 K27M-mutant gliomas. J. Neurosurg. 2019, 133, 1662–1670. [Google Scholar] [CrossRef]
- Schreck, K.C.; Ranjan, S.; Skorupan, N.; Bettegowda, C.; Eberhart, C.G.; Ames, H.M.; Holdhoff, M. Incidence and clinicopathologic features of H3 K27M mutations in adults with radiographically-determined midline gliomas. J. Neurooncol. 2019, 143, 87–93. [Google Scholar] [CrossRef] [Green Version]
- Zhu, X.; Lazow, M.A.; Schafer, A.; Bartlett, A.; Senthil Kumar, S.; Mishra, D.K.; Dexheimer, P.; DeWire, M.; Fuller, C.; Leach, J.L.; et al. A pilot radiogenomic study of DIPG reveals distinct subgroups with unique clinical trajectories and therapeutic targets. Acta Neuropathol. Commun. 2021, 9, 14. [Google Scholar] [CrossRef] [PubMed]
- Aboian, M.S.; Solomon, D.A.; Felton, E.; Mabray, M.C.; Villanueva-Meyer, J.E.; Mueller, S.; Cha, S. Imaging Characteristics of Pediatric Diffuse Midline Gliomas with Histone H3 K27M Mutation. Am. J. Neuroradiol. 2017, 38, 795–800. [Google Scholar] [CrossRef] [Green Version]
- Aihara, K.; Mukasa, A.; Gotoh, K.; Saito, K.; Nagae, G.; Tsuji, S.; Tatsuno, K.; Yamamoto, S.; Takayanagi, S.; Narita, Y.; et al. H3F3A K27M mutations in thalamic gliomas from young adult patients. Neuro-Oncology 2014, 16, 140–146. [Google Scholar] [CrossRef] [Green Version]
- He, P.; Chen, W.; Qiu, X.X.; Xi, Y.B.; Guan, H.; Xia, J. A Rare High-Grade Glioma with a Histone H3 K27M Mutation in the Hypothalamus of an Adult Patient. World Neurosurg. 2019, 128, 527–531. [Google Scholar] [CrossRef]
- Gilbert, A.R.; Zaky, W.; Gokden, M.; Fuller, C.E.; Ocal, E.; Leeds, N.E.; Fuller, G.N. Extending the Neuroanatomic Territory of Diffuse Midline Glioma, K27M Mutant: Pineal Region Origin. Pediatr. Neurosurg. 2018, 53, 59–63. [Google Scholar] [CrossRef]
- Seong, M.; Kim, S.T.; Noh, J.H.; Kim, Y.K.; Kim, H.J. Radiologic findings and the molecular expression profile of diffuse midline glioma H3 K27M mutant. Acta Radiol. 2021, 62, 1404–1411. [Google Scholar] [CrossRef]
- Wen, P.Y.; Macdonald, D.R.; Reardon, D.A.; Cloughesy, T.F.; Sorensen, A.G.; Galanis, E.; Degroot, J.; Wick, W.; Gilbert, M.R.; Lassman, A.B.; et al. Updated response assessment criteria for high-grade gliomas: Response assessment in neuro-oncology working group. J. Clin. Oncol. 2010, 28, 1963–1972. [Google Scholar] [CrossRef] [PubMed]
- Le Bihan, D. Molecular diffusion, tissue microdynamics and microstructure. NMR Biomed. 1995, 8, 375–386. [Google Scholar] [CrossRef] [PubMed]
- Le Bihan, D. Diffusion MRI: What water tells us about the brain. EMBO Mol. Med. 2014, 6, 569–573. [Google Scholar] [CrossRef] [PubMed]
- Yan, J.; Zhao, Y.; Chen, Y.; Wang, W.; Duan, W.; Wang, L.; Zhang, S.; Ding, T.; Liu, L.; Sun, Q.; et al. Deep learning features from diffusion tensor imaging improve glioma stratification and identify risk groups with distinct molecular pathway activities. EBioMedicine 2021, 72, 103583. [Google Scholar] [CrossRef] [PubMed]
- Mullen, K.M.; Huang, R.Y. An Update on the Approach to the Imaging of Brain Tumors. Curr. Neurol. Neurosci. Rep. 2017, 17, 53. [Google Scholar] [CrossRef] [PubMed]
- Raab, P.; Hattingen, E.; Franz, K.; Zanella, F.E.; Lanfermann, H. Cerebral gliomas: Diffusional kurtosis imaging analysis of microstructural differences. Radiology 2010, 254, 876–881. [Google Scholar] [CrossRef]
- Leao, D.J.; Craig, P.G.; Godoy, L.F.; Leite, C.C.; Policeni, B. Response Assessment in Neuro-Oncology Criteria for Gliomas: Practical Approach Using Conventional and Advanced Techniques. Am. J. Neuroradiol. 2020, 41, 10–20. [Google Scholar] [CrossRef]
- Zikou, A.; Sioka, C.; Alexiou, G.A.; Fotopoulos, A.; Voulgaris, S.; Argyropoulou, M.I. Radiation Necrosis, Pseudoprogression, Pseudoresponse, and Tumor Recurrence: Imaging Challenges for the Evaluation of Treated Gliomas. Contrast Media Mol. Imaging 2018, 2018, 6828396. [Google Scholar] [CrossRef]
- Schuller, U.; Iglauer, P.; Dorostkar, M.M.; Mawrin, C.; Herms, J.; Giese, A.; Glatzel, M.; Neumann, J.E. Mutations within FGFR1 are associated with superior outcome in a series of 83 diffuse midline gliomas with H3F3A K27M mutations. Acta Neuropathol. 2021, 141, 323–325. [Google Scholar] [CrossRef]
- Capper, D.; Jones, D.T.W.; Sill, M.; Hovestadt, V.; Schrimpf, D.; Sturm, D.; Koelsche, C.; Sahm, F.; Chavez, L.; Reuss, D.E.; et al. DNA methylation-based classification of central nervous system tumours. Nature 2018, 555, 469–474. [Google Scholar] [CrossRef]
- Ostrom, Q.T.; Cioffi, G.; Waite, K.; Kruchko, C.; Barnholtz-Sloan, J.S. CBTRUS Statistical Report: Primary Brain and Other Central Nervous System Tumors Diagnosed in the United States in 2014–2018. Neuro-Oncology 2021, 23, iii1–iii105. [Google Scholar] [CrossRef] [PubMed]


| Characteristics | DMG n (%) | midGBM- H3wt n (%) | Total | Statistics DMG vs. midGBM-H3wt | DMG- GBMneg n (%) | DMG- GBMpos n (%) | Total | Statistics DMG-GBMpos vs. DMG-GBMneg |
|---|---|---|---|---|---|---|---|---|
| Number of cases | 39 (68) | 18 (32) | 57 | 15 (38) | 24 (62) | 39 | ||
| Sex | p = 0.781 * | p = 1.000 * | ||||||
| Male | 22/39 (56) | 11/18 (61) | 33 | 8/15 (53) | 14/24 (58) | 22 | ||
| Female | 17/39 (44) | 7/18 (39) | 24 | 7/15 (47) | 10/24 (42) | 17 | ||
| Age Range | 1–58 | 17–68 | p< 0.001 ** 95%-CI: 11.52–29.54 | 9–54 | 1–58 | p = 0.065 ** 95%-CI: 0.65–20.99 | ||
| Mean ± SD | 25.7 ± 16.8 | 46.2 ± 13.2 | 32.0 ± 15.7 | 21.8 ± 16.5 | ||||
| Steroid therapy | 11/39 (28) | 12/18 (67) | 23 | p= 0.018 * | 4/15 (27) | 7/24 (29) | 11 | p = 1.000 * |
| Histology | ||||||||
| MVP | 24/39 (62) # | 18/18 (100) | 42 | p= 0.001 * | 0/15 | 24/24 (100) | 24 | |
| Tumor necrosis | 17/39 (44) | 17/18 (94) | 34 | p< 0.001 * | 0/15 | 17/24 (71) | 17 |
| Compared Pairs (n) | rADC (10) | rADC (25) | rADC (75) | rADC (90) | Skewness | Kurtosis | Entropy | rADC (Mean) | rADC (Min) | rADC (Max) |
|---|---|---|---|---|---|---|---|---|---|---|
| DMG(30)/ midGBM-H3wt (14) | 1.23/1.10 | 1.31/1.23 | 1.64/1.59 | 1.83/1.80 | 1.50/0.85 | 4.54/1.02 | 4.27/4.33 | 1.51/1.43 | 0.86/0.74 | 2.92/2.80 |
| p-value | 0.083 | 0.445 | 0.686 | 0.780 | 0.016 | 0.002 | 0.737 | 0.446 | 0.128 | 0.633 |
| 95%-CI | −0.01–0.26 | −013–0.29 | −0.18–0.26 | −0.21–0.27 | 0.12–1.17 | 1.33–5.69 | 0.46–0.33 | −012–0.28 | −0.03–0.24 | −0.35–0.58 |
| DMG-GBMneg(13)/ midGBM-H3wt (14) | 1.33/1.10 | 1.46/1.23 | 1.75/1.59 | 1.94/1.80 | 1.19/0.85 | 4.21/1.02 | 4.39/4.33 | 1.59/1.44 | 1.00/0.74 | 2.66/2.81 |
| p-value | 0.012 | 0.027 | 0.210 | 0.298 | 0.420 | 0.083 | 0.838 | 0.182 | <0.001 | 0.589 |
| 95%-CI | 0.05–0.39 | 0.02–0.42 | −0.09–0.41 | −0.13–0.42 | −0.53–1.20 | −0.47–6.84 | −0.48–0.58 | −0.07–0.38 | 0.14–0.36 | −0.69–0.40 |
| DMG-GBMneg(13)/ DMG-GBMpos (17) | 1.33/1.15 | 1.46/1.20 | 1.75/1.55 | 1.94/1.74 | 1.19/1.74 | 4.21/4.79 | 4.39 /4.17 | 1.59/1.46 | 1.00/0.55 | 2.66/3.06 |
| p-value | 0.036 | 0.028 | 0.141 | 0.178 | 0.253 | 0.779 | 0.403 | 0.279 | 0.001 | 0.090 |
| 95%-CI | −0.01–0.37 | −0.00–0.51 | −0.07–0.46 | −0.09–0.49 | −1.53–0.41 | −4.81–3.64 | −0.29–0.72 | −0.11–0.37 | 0.12–0.39 | −0.96–0.073 |
| Tumor Groups (n) | rADC (10) | rADC (25) | rADC (75) | rADC (90) | Skewness | Kurtosis | Entropy | rADC (Mean) | rADC (Min) | rADC (Max) |
|---|---|---|---|---|---|---|---|---|---|---|
| DMG (30 *) | ||||||||||
| p-value | 0.342 | 0.105 | 0.225 | 0.464 | 0.045 | <0.001 | 0.862 | 0.425 | 0.044 | 0.107 |
| Mean ± SD | 1.23 ± 0.27 | 1.31 ± 0.36 | 1.64 ± 0.36 | 1.83 ± 0.39 | 1.50 ± 1.29 | 4.54 ± 5.51 | 4.27 ± 0.67 | 1.51 ± 0.33 | 0.85 ± 0.23 | 2.92 ± 0.71 |
| 95%-CI ** | 1.12–1.33 | 1.18–1.45 | 1.50–1.77 | 1.68–1.98 | 1.01–1.99 | 2.48–6.60 | 4.01–4.52 | 1.39–1.63 | 0.76–0.94 | 2.65–3.18 |
| midGBM-H3wt (14) | ||||||||||
| p-value | 0.562 | 0.908 | 0.352 | 0.293 | 0.868 | 0.011 | 0.620 | 0.492 | 0.029 | 0.928 |
| Mean ± SD | 1.10 ± 0.17 | 1.23 ± 0.21 | 1.59 ± 0.27 | 1.80 ± 0.32 | 0.85 ± 0.37 | 1.02 ± 1.38 | 4.33 ± 0.44 | 1.43 ± 0.27 | 0.74 ± 0.15 | 2.80 ± 0.74 |
| 95%-CI ** | 1.00–1.21 | 1.11–1.35 | 1.43–1.75 | 1.61–1.98 | 0.63–1.07 | 0.22–1.83 | 4.08–4.59 | 1.28–1.59 | 0.65–0.83 | 2.38–3.23 |
| DMG-GBMneg (13) | ||||||||||
| p-value | 0.393 | 0.200 | 0.097 | 0.052 | 0.017 | <0.001 | 0.885 | 0.126 | 0.811 | 0.103 |
| Mean ± SD | 1.33 ± 0.24 | 1.46 ± 0.28 | 1.75 ± 0.35 | 1.94 ± 0.38 | 1.19 ± 1.40 | 4.21 ± 5.96 | 4.39 ± 0.81 | 1.59 ± 0.31 | 1.00 ± 0.12 | 2.66 ± 0.62 |
| 95%-CI ** | 1.18–1.48 | 1.28–1.63 | 1.53–1.97 | 1.71–2.18 | 0.33–2.04 | 0.60–7.81 | 3.89–4.88 | 1.40–1.78 | 0.92–1.07 | 2.28–3.04 |
| DMG-GBMpos (17 *) | ||||||||||
| p-value | 0.485 | 0.371 | 0.792 | 0.955 | 0.731 | 0.008 | 0.548 | 0.926 | 0.650 | 0.063 |
| Mean ± SD | 1.15 ± 0.27 | 1.20 ± 0.38 | 1.55 ± 0.35 | 1.74 ± 0.38 | 1.74 ± 1.19 | 4.79 ± 5.31 | 4.17 ± 0.55 | 1.46 ± 0.34 | 0.74 ± 0.24 | 3.10 ± 0.73 |
| 95%-CI ** | 1.01–1.29 | 1.00–1.40 | 1.37–1.73 | 1.54–1.94 | 1.13–2.36 | 2.06–7.52 | 3.89–4.46 | 1.29–1.63 | 0.62–0.86 | 2.74–3.47 |
| Imaging Features | DMG n (%) | midGBM-H3wt n (%) | p-Value | |
|---|---|---|---|---|
| Location | thalamus | 15/39 (38) | 12/18 (67) | 0.086 |
| brainstem | 23/39 (59) | 6/18 (33) | 0.092 | |
| cerebellum | 1/39 (3) | 0/18 | 0.536 | |
| Edema present | 3/39 (8) | 14/18 (78) | <0.001 | |
| Rim enhancement | 17/39 (44) | 12/18 (67) | 0.155 | |
| Tumor necrosis | 24/39 (62) | 16/18 (89) | 0.060 | |
| Strong enhancement | 15/39 (38) | 10/18 (56) | 0.262 | |
| Low enhancement | 15/39 (38) | 3/18 (17) | 0.132 | |
| Mass effect | 39/39 (100) | 18/18 (100) | ||
| Multifocal lesions | 2/39 (5%) | 3/18 (17) | 0.312 | |
| Intracranial metastasis | 2/39 (5%) | 0/18 | 1.000 | |
| Compared Pairs (n) | Strong Enhancement %/% | Rim Enhancement %/% | Necrosis in MRI %/% |
|---|---|---|---|
| DMG (39)/midGBM-H3wt (18) | 38%/56% | 44%/67% | 62%/89% |
| p-value | 0.262 | 0.155 | 0.060 |
| DMG-GBMneg (15)/midGBM-H3wt (18) | 7%/56% | 0/67% | 7%/89% |
| p-value | 0.004 | <0.001 | <0.001 |
| DMG-GBMneg (15)/DMG-GBMpos (24) | 7%/58% | ||
| p-value | 0.002 |
Publisher’s Note: MDPI stays neutral with regard to jurisdictional claims in published maps and institutional affiliations. |
© 2022 by the authors. Licensee MDPI, Basel, Switzerland. This article is an open access article distributed under the terms and conditions of the Creative Commons Attribution (CC BY) license (https://creativecommons.org/licenses/by/4.0/).
Share and Cite
Raab, P.; Banan, R.; Akbarian, A.; Esmaeilzadeh, M.; Samii, M.; Samii, A.; Bertalanffy, H.; Lehmann, U.; Krauss, J.K.; Lanfermann, H.; et al. Differences in the MRI Signature and ADC Values of Diffuse Midline Gliomas with H3 K27M Mutation Compared to Midline Glioblastomas. Cancers 2022, 14, 1397. https://doi.org/10.3390/cancers14061397
Raab P, Banan R, Akbarian A, Esmaeilzadeh M, Samii M, Samii A, Bertalanffy H, Lehmann U, Krauss JK, Lanfermann H, et al. Differences in the MRI Signature and ADC Values of Diffuse Midline Gliomas with H3 K27M Mutation Compared to Midline Glioblastomas. Cancers. 2022; 14(6):1397. https://doi.org/10.3390/cancers14061397
Chicago/Turabian StyleRaab, Peter, Rouzbeh Banan, Arash Akbarian, Majid Esmaeilzadeh, Madjid Samii, Amir Samii, Helmut Bertalanffy, Ulrich Lehmann, Joachim K. Krauss, Heinrich Lanfermann, and et al. 2022. "Differences in the MRI Signature and ADC Values of Diffuse Midline Gliomas with H3 K27M Mutation Compared to Midline Glioblastomas" Cancers 14, no. 6: 1397. https://doi.org/10.3390/cancers14061397
APA StyleRaab, P., Banan, R., Akbarian, A., Esmaeilzadeh, M., Samii, M., Samii, A., Bertalanffy, H., Lehmann, U., Krauss, J. K., Lanfermann, H., Hartmann, C., & Brüning, R. (2022). Differences in the MRI Signature and ADC Values of Diffuse Midline Gliomas with H3 K27M Mutation Compared to Midline Glioblastomas. Cancers, 14(6), 1397. https://doi.org/10.3390/cancers14061397

