Novel Therapeutic Options for Solitary Fibrous Tumor: Antiangiogenic Therapy and Beyond
Abstract
Simple Summary
Abstract
1. Introduction
2. Description of SFT
2.1. Epidemiology
2.2. Clinical and Radiological Presentation
2.3. Biopathology
2.3.1. Classification
2.3.2. Prognosis and Risk Stratification
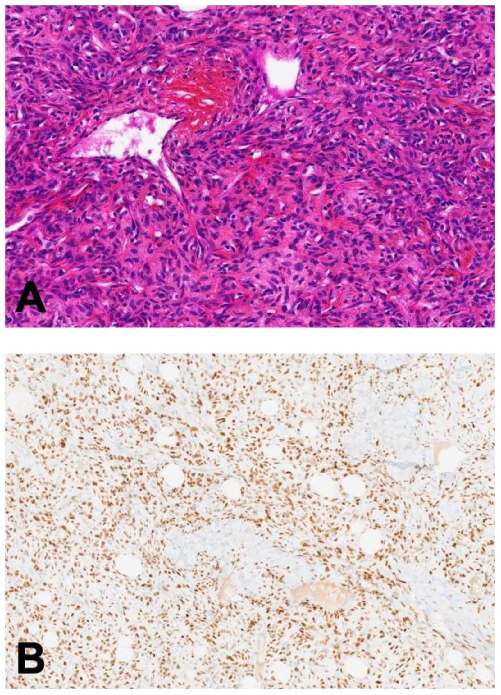
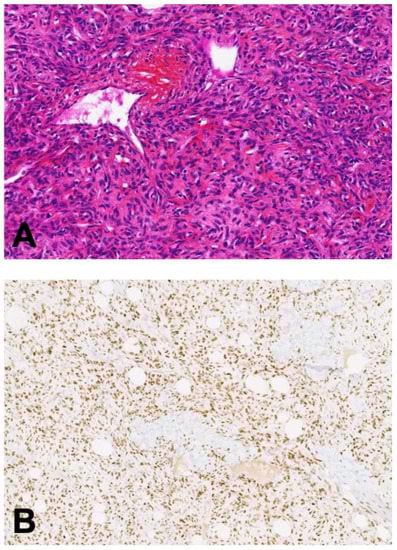
2.3.3. Tumorigenesis, Pathology, and Molecular Alterations
3. Therapeutic Options for SFT
3.1. Localized Disease
3.1.1. Surgery
3.1.2. Radiation Therapy
3.1.3. (Neo)Adjuvant Chemotherapy
3.2. Advanced and Metastatic Disease
3.2.1. Surgery, Ablations, or RT
3.2.2. Chemotherapy
3.2.3. Antiangiogenic Therapies and Other Targeted Therapies
3.2.4. IGF-1 Inhibitors
3.2.5. Immunotherapy
4. Conclusions
Author Contributions
Funding
Conflicts of Interest
References
- Klemperer, P.; Rabin, C.B. Primary Neoplasms of the pleura. A report of five cases. Am. J. Ind. Med. 1992, 22, 4–31. [Google Scholar] [CrossRef] [PubMed]
- Demicco, E.G.; Wagner, M.J.; Maki, R.G.; Gupta, V.; Iofin, I.; Lazar, A.; Wang, W.-L. Risk assessment in solitary fibrous tumors: Validation and refinement of a risk stratification model. Mod. Pathol. 2017, 30, 1433–1442. [Google Scholar] [CrossRef] [PubMed]
- Diebold, M.; Soltermann, A.; Hottinger, S.; Haile, S.; Bubendorf, L.; Komminoth, P.; Jochum, W.; Grobholz, R.; Theegarten, D.; Berezowska, S.; et al. Prognostic value of MIB-1 proliferation index in solitary fibrous tumors of the pleura implemented in a new score—Amulticenter study. Respir. Res. 2017, 18, 210. [Google Scholar] [CrossRef] [PubMed]
- Pasquali, S.; Gronchi, A.; Strauss, D.; Bonvalot, S.; Jeys, L.; Stacchiotti, S.; Hayes, A.; Honore, C.; Collini, P.; Renne, S.; et al. Resectable extra-pleural and extra-meningeal solitary fibrous tumours: A multi-centre prognostic study. Eur. J. Surg. Oncol. (EJSO) 2016, 42, 1064–1070. [Google Scholar] [CrossRef] [PubMed]
- Salas, S.; Resseguier, N.; Blay, J.Y.; Le Cesne, A.; Italiano, A.; Chevreau, C.; Rosset, P.; Isambert, N.; Soulie, P.; Cupissol, D.; et al. Prediction of local and metastatic recurrence in solitary fibrous tumor: Construction of a risk calculator in a multicenter cohort from the French Sarcoma Group (FSG) database. Ann. Oncol. 2017, 28, 1779–1787. [Google Scholar] [CrossRef] [PubMed]
- WHO. Classification of Tumours Soft Tissue and Bone Tumours, 5th ed.; IARC Press: Lyon, France, 2020. [Google Scholar]
- de Pinieux, G.; Karanian, M.; Le Loarer, F.; Le Guellec, S.; Chabaud, S.; Terrier, P.; Bouvier, C.; Batistella, M.; Neuville, A.; Robin, Y.-M.; et al. Nationwide incidence of sarcomas and connective tissue tumors of intermediate malignancy over four years using an expert pathology review network. PLoS ONE 2021, 16, e0246958. [Google Scholar] [CrossRef]
- Kinslow, C.J.; Bruce, S.S.; Rae, A.I.; Sheth, S.A.; McKhann, G.M.; Sisti, M.B.; Bruce, J.N.; Sonabend, A.M.; Wang, T.J.C. Solitary-fibrous tumor/hemangiopericytoma of the central nervous system: A population-based study. J. Neuro-Oncol. 2018, 138, 173–182. [Google Scholar] [CrossRef]
- Kinslow, C.J.; Wang, T.J.C. Incidence of extrameningeal solitary fibrous tumors. Cancer 2020, 126, 4067. [Google Scholar] [CrossRef]
- Kim, J.M.; Choi, Y.-L.; Kim, Y.J.; Park, H.K. Comparison and evaluation of risk factors for meningeal, pleural, and extrapleural solitary fibrous tumors: A clinicopathological study of 92 cases confirmed by STAT6 immunohistochemical staining. Pathol.-Res. Pract. 2017, 213, 619–625. [Google Scholar] [CrossRef]
- Goodlad, J.R.; Fletcher, C.D.M. Solitary fibrous tumour arising at unusual sites: Analysis of a series. Histopathology 1991, 19, 515–522. [Google Scholar] [CrossRef]
- Ronchi, A.; Cozzolino, I.; Zito Marino, F.; Accardo, M.; Montella, M.; Panarese, I.; Roccuzzo, G.; Toni, G.; Franco, R.; De Chiara, A. Extrapleural solitary fibrous tumor: A distinct entity from pleural solitary fibrous tumor. An update on clinical, molecular and diagnostic features. Ann. Diagn. Pathol. 2018, 34, 142–150. [Google Scholar] [CrossRef] [PubMed]
- Gholami, S.; Cassidy, M.R.; Kirane, A.; Kuk, D.; Zanchelli, B.; Antonescu, C.R.; Singer, S.; Brennan, M. Size and Location are the Most Important Risk Factors for Malignant Behavior in Resected Solitary Fibrous Tumors. Ann. Surg. Oncol. 2017, 24, 3865–3871. [Google Scholar] [CrossRef] [PubMed]
- Haas, R.L.; Walraven, I.; Lecointe-Artzner, E.; Van Houdt, W.J.; Strauss, D.; Schrage, Y.; Hayes, A.J.; Raut, C.P.; Fairweather, M.; Baldini, E.H.; et al. Extrameningeal solitary fibrous tumors—Surgery alone or surgery plus perioperative radiotherapy: A retrospective study from the global solitary fibrous tumor initiative in collaboration with the Sarcoma Patients EuroNet. Cancer 2020, 126, 3002–3012. [Google Scholar] [CrossRef] [PubMed]
- Wignall, O.J.; Moskovic, E.C.; Thway, K.; Thomas, J.M. Solitary Fibrous Tumors of the Soft Tissues: Review of the Imaging and Clinical Features With Histopathologic Correlation. Am. J. Roentgenol. 2010, 195, W55–W62. [Google Scholar] [CrossRef]
- Zafar, H.; Takimoto, C.H.; Weiss, G. Doege-Potter syndrome. Med. Oncol. 2003, 20, 403–407. [Google Scholar] [CrossRef]
- Steigen, S.E.; Schaeffer, D.F.; West, R.B.; Nielsen, T.O. Expression of insulin-like growth factor 2 in mesenchymal neoplasms. Mod. Pathol. 2009, 22, 914–921. [Google Scholar] [CrossRef]
- Le Roith, D. Tumor-Induced Hypoglycemia. N. Engl. J. Med. 1999, 341, 757–758. [Google Scholar] [CrossRef]
- Davanzo, B.; Emerson, R.E.; Lisy, M.; Koniaris, L.G.; Kays, J.K. Solitary fibrous tumor. Transl. Gastroenterol. Hepatol. 2018, 3. [Google Scholar] [CrossRef]
- Kallen, M.E.; Hornick, J.L. The 2020 WHO Classification: What’s New in Soft Tissue Tumor Pathology? Am. J. Surg. Pathol. 2021, 45, e1–e23. [Google Scholar] [CrossRef]
- Stout, A.P.; Murray, M.R. Hemangiopericytoma a Vascular Tumor Featuring Zimmermann’s Pericytes. Ann. Surg. 1942, 116, 26–33. [Google Scholar] [CrossRef]
- Fletcher, C.; Bridge, J.; Hogendoorn, P.; Mertens, F. World Health Organization Classification of Tumours of Soft Tissue and Bone, 4th ed.; IARC Press: Lyon, France, 2013. [Google Scholar]
- Louis, D.N.; Perry, A.; Reifenberger, G.; von Deimlin, A.; Figarella-Branger, D.; Cavenee, W.K.; Ohgaki, H.; Wiestler, O.D.; Kleihues, P.; Ellison, D.W. The 2016 World Health Organization Classification of Tumors of the Central Nervous System: A summary. Acta Neuropathol. 2016, 131, 803–820. [Google Scholar] [CrossRef]
- Louis, D.N.; Perry, A.; Wesseling, P.; Brat, D.J.; Cree, I.A.; Figarella-Branger, D.; Hawkins, C.; Ng, H.K.; Pfister, S.M.; Reifenberger, G.; et al. The 2021 WHO Classification of Tumors of the Central Nervous System: A summary. Neuro-Oncol. 2021, 23, 1231–1251. [Google Scholar] [CrossRef]
- England, D.M.; Hochholzer, L.; McCarthy, M.J. Localized Benign and Malignant Fibrous Tumors of the Pleura: A Clinicopathologic Review of 223 Cases. Am. J. Surg. Pathol. 1989, 13, 640–658. [Google Scholar] [CrossRef]
- de Perrot, M.; Fischer, S.; Bründler, M.-A.; Sekine, Y.; Keshavjee, S. Solitary fibrous tumors of the pleura. Ann. Thorac. Surg. 2002, 74, 285–293. [Google Scholar] [CrossRef]
- Schirosi, L.; Lantuejoul, S.; Cavazza, A.; Murer, B.; Brichon, P.Y.; Migaldi, M.; Sartori, G.; Sgambato, A.; Rossi, G. Pleuro-pulmonary Solitary Fibrous Tumors: A Clinicopathologic, Immunohistochemical, and Molecular Study of 88 Cases Confirming the Prognostic Value of de Perrot Staging System and p53 Expression, and Evaluating the Role of c-kit, BRAF, PDGFRs (α/β), c-met, and EGFR. Am. J. Surg. Pathol. 2008, 32, 1627–1642. [Google Scholar]
- Baldi, G.G.; Stacchiotti, S.; Mauro, V.; Tos, A.P.D.; Gronchi, A.; Pastorino, U.; Duranti, L.; Provenzano, S.; Marrari, A.; Libertini, M.; et al. Solitary fibrous tumor of all sites: Outcome of late recurrences in 14 patients. Clin. Sarcoma Res. 2013, 3, 4. [Google Scholar] [CrossRef]
- Georgiesh, T.; Boye, K.; Bjerkehagen, B. A novel risk score to predict early and late recurrence in solitary fibrous tumour. Histopathology 2020, 77, 123–132. [Google Scholar] [CrossRef]
- Mohamed, H.; Mandal, A.K. Natural History of Multifocal Solitary Fibrous Tumors of the Pleura: A 25-Year Follow-up Report. J. Natl. Med. Assoc. 2004, 96, 659–662. [Google Scholar]
- Park, C.K.; Lee, D.H.; Park, J.Y.; Park, S.H.; Kwon, K.Y. Multiple Recurrent Malignant Solitary Fibrous Tumors: Long-Term Follow-Up of 24 Years. Ann. Thorac. Surg. 2011, 91, 1285–1288. [Google Scholar] [CrossRef][Green Version]
- Okike, N.; Bernatz, P.E.; Woolner, L.B. Localized mesothelioma of the pleura. J. Thorac. Cardiovasc. Surg. 1978, 75, 363–372. [Google Scholar] [CrossRef]
- van Houdt, W.J.; Westerveld, C.M.A.; Vrijenhoek, J.E.P.; van Gorp, J.; van Coevorden, F.; Verhoef, C.; van Dalen, T. Prognosis of Solitary Fibrous Tumors: A Multicenter Study. Ann. Surg. Oncol. 2013, 20, 4090–4095. [Google Scholar] [CrossRef]
- Wilky, B.A.; Montgomery, E.A.; Guzzetta, A.A.; Ahuja, N.; Meyer, C.F. Extrathoracic Location and “Borderline” Histology are Associated with Recurrence of Solitary Fibrous Tumors After Surgical Resection. Ann. Surg. Oncol. 2013, 20, 4080–4089. [Google Scholar] [CrossRef]
- Cranshaw, I.; Gikas, P.; Fisher, C.; Thway, K.; Thomas, J.; Hayes, A. Clinical outcomes of extra-thoracic solitary fibrous tumours. Eur. J. Surg. Oncol. (EJSO) 2009, 35, 994–998. [Google Scholar] [CrossRef]
- Reisenauer, J.S.; Mneimneh, W.; Jenkins, S.; Mansfield, A.S.; Aubry, M.C.; Fritchie, K.J.; Allen, M.S.; Blackmon, S.H.; Cassivi, S.D.; Nichols, F.C.; et al. Comparison of Risk Stratification Models to Predict Recurrence and Survival in Pleuropulmonary Solitary Fibrous Tumor. J. Thorac. Oncol. 2018, 13, 1349–1362. [Google Scholar] [CrossRef]
- Demicco, E.G.; Park, M.S.; Araujo, D.M.; Fox, P.S.; Bassett, R.L.; Pollock, R.; Lazar, A.; Wang, W.-L. Solitary fibrous tumor: A clinicopathological study of 110 cases and proposed risk assessment model. Mod. Pathol. 2012, 25, 1298–1306. [Google Scholar] [CrossRef]
- Mosquera, J.-M.; Fletcher, C.D.M. Expanding the Spectrum of Malignant Progression in Solitary Fibrous Tumors: A Study of 8 Cases With a Discrete Anaplastic Component—Is This Dedifferentiated SFT? Am. J. Surg. Pathol. 2009, 33, 1314–1321. [Google Scholar] [CrossRef]
- Ghanim, B.; Hess, S.; Bertoglio, P.; Celik, A.; Bas, A.; Oberndorfer, F.; Melfi, F.; Mussi, A.; Klepetko, W.; Pirker, C.; et al. Intrathoracic solitary fibrous tumor—An international multicenter study on clinical outcome and novel circulating biomarkers. Sci. Rep. 2017, 7, 12557. [Google Scholar] [CrossRef]
- Enzinger, F.M.; Smith, B.H. Hemangiopericytoma: An analysis of 106 cases. Hum. Pathol. 1976, 7, 61–82. [Google Scholar] [CrossRef]
- Robinson, D.R.; Wu, Y.-M.; Kalyana-Sundaram, S.; Cao, X.; Lonigro, R.J.; Sung, Y.-S.; Chen, C.-L.; Zhang, L.; Wang, R.; Su, F.; et al. Identification of recurrent NAB2-STAT6 gene fusions in solitary fibrous tumor by integrative sequencing. Nat. Genet. 2013, 45, 180–185. [Google Scholar] [CrossRef]
- Demicco, E.G.; Harms, P.; Patel, R.; Smith, S.C.; Ingram, D.; Torres, K.E.; Carskadon, S.L.; Camelo-Piragua, S.; McHugh, J.B.; Siddiqui, J.; et al. Extensive Survey of STAT6 Expression in a Large Series of Mesenchymal Tumors. Am. J. Clin. Pathol. 2015, 143, 672–682. [Google Scholar] [CrossRef]
- Doyle, L.A.; Vivero, M.; Fletcher, C.D.M.; Mertens, F.; Hornick, J. Nuclear expression of STAT6 distinguishes solitary fibrous tumor from histologic mimics. Mod. Pathol. 2013, 27, 390–395. [Google Scholar] [CrossRef] [PubMed]
- Koelsche, C.; Schweizer, L.; Renner, M.; Warth, A.; Jones, D.T.W.; Sahm, F.; Reuss, D.E.; Capper, D.; Knösel, T.; Schulz, B.; et al. Nuclear relocation of STAT6 reliably predictsNAB2-STAT6fusion for the diagnosis of solitary fibrous tumour. Histopathology 2014, 65, 613–622. [Google Scholar] [CrossRef] [PubMed]
- Schweizer, L.; Koelsche, C.; Sahm, F.; Piro, R.M.; Capper, D.; Reuss, D.E.; Pusch, S.; Habel, A.; Meyer, J.; Göck, T.; et al. Meningeal hemangiopericytoma and solitary fibrous tumors carry the NAB2-STAT6 fusion and can be diagnosed by nuclear expression of STAT6 protein. Acta Neuropathol. 2013, 125, 651–658. [Google Scholar] [CrossRef]
- Yoshida, A.; Tsuta, K.; Ohno, M.; Yoshida, M.; Narita, Y.; Kawai, A.; Asamura, H.; Kushima, R. STAT6 Immunohistochemistry Is Helpful in the Diagnosis of Solitary Fibrous Tumors. Am. J. Surg. Pathol. 2014, 38, 552–559. [Google Scholar] [CrossRef]
- Doyle, L.A.; Tao, D.; Mariño-Enríquez, A. STAT6 is amplified in a subset of dedifferentiated liposarcoma. Mod. Pathol. 2014, 27, 1231–1237. [Google Scholar] [CrossRef]
- Bouvier, C.; Bertucci, F.; Métellus, P.; Finetti, P.; De Paula, A.M.; Forest, F.; Mokhtari, K.; Miquel, C.; Birnbaum, D.; Vasiljevic, A.; et al. ALDH1 is an immunohistochemical diagnostic marker for solitary fibrous tumours and haemangiopericytomas of the meninges emerging from gene profiling study. Acta Neuropathol. Commun. 2013, 1, 10. [Google Scholar] [CrossRef][Green Version]
- Vivero, M.; Doyle, L.A.; Fletcher, C.D.M.; Mertens, F.; Hornick, J.L. GRIA2 is a novel diagnostic marker for solitary fibrous tumour identified through gene expression profiling. Histopathology 2014, 65, 71–80. [Google Scholar] [CrossRef]
- Barthelmeß, S.; Geddert, H.; Boltze, C.; Moskalev, E.A.; Bieg, M.; Sirbu, H.; Brors, B.; Wiemann, S.; Hartmann, A.; Agaimy, A.; et al. Solitary Fibrous Tumors/Hemangiopericytomas with Different Variants of the NAB2-STAT6 Gene Fusion Are Characterized by Specific Histomorphology and Distinct Clinicopathological Features. Am. J. Pathol. 2014, 184, 1209–1218. [Google Scholar] [CrossRef]
- Chmielecki, J.; Crago, A.; Rosenberg, M.; O’Connor, R.; Walker, S.R.; Ambrogio, L.; Auclair, D.; McKenna, A.; Heinrich, M.; Frank, D.A.; et al. Whole-exome sequencing identifies a recurrent NAB2-STAT6 fusion in solitary fibrous tumors. Nat. Genet. 2013, 45, 131–132. [Google Scholar] [CrossRef]
- Mohajeri, A.; Tayebwa, J.; Collin, A.; Nilsson, J.; Magnusson, L.; von Steyern, F.V.; Brosjö, O.; Domanski, H.A.; Larsson, O.; Sciot, R.; et al. Comprehensive genetic analysis identifies a pathognomonic NAB2/STAT6 fusion gene, nonrandom secondary genomic imbalances, and a characteristic gene expression profile in solitary fibrous tumor. Genes Chromosomes Cancer 2013, 52, 873–886. [Google Scholar] [CrossRef]
- Schwachtgen, J.L.; Houston, P.; Campbell, C.; Sukhatme, V.; Braddock, M. Fluid shear stress activation of egr-1 transcription in cultured human endothelial and epithelial cells is mediated via the extracellular signal-related kinase 1/2 mitogen-activated protein kinase pathway. J. Clin. Invest. 1998, 101, 2540–2549. [Google Scholar] [CrossRef]
- Cheng, J.-C.; Chang, H.-M.; Leung, P.C.K. Egr-1 mediates epidermal growth factor-induced downregulation of E-cadherin expression via Slug in human ovarian cancer cells. Oncogene 2012, 32, 1041–1049. [Google Scholar] [CrossRef]
- Ji, R.-C. Hypoxia and lymphangiogenesis in tumor microenvironment and metastasis. Cancer Lett. 2014, 346, 6–16. [Google Scholar] [CrossRef]
- Binnemars-Postma, K.; Bansal, R.; Storm, G.; Prakash, J. Targeting the Stat6 pathway in tumor-associated macrophages reduces tumor growth and metastatic niche formation in breast cancer. FASEB J. 2018, 32, 969–978. [Google Scholar] [CrossRef]
- Shahmarvand, N.; Nagy, A.; Shahryari, J.; Ohgami, R.S. Mutations in the signal transducer and activator of transcription family of genes in cancer. Cancer Sci. 2018, 109, 926–933. [Google Scholar] [CrossRef]
- Li, J.; Rodriguez, J.P.; Niu, F.; Pu, M.; Wang, J.; Hung, L.-W.; Shao, Q.; Zhu, Y.; Ding, W.; Liu, Y.; et al. Structural basis for DNA recognition by STAT6. Proc. Natl. Acad. Sci. USA 2016, 113, 13015–13020. [Google Scholar] [CrossRef]
- Akaike, K.; Kurisaki-Arakawa, A.; Hara, K.; Suehara, Y.; Takagi, T.; Mitani, K.; Kaneko, K.; Yao, T.; Saito, T. Distinct clinicopathological features of NAB2-STAT6 fusion gene variants in solitary fibrous tumor with emphasis on the acquisition of highly malignant potential. Hum. Pathol. 2014, 46, 347–356. [Google Scholar] [CrossRef]
- Yuzawa, S.; Nishihara, H.; Wang, L.; Tsuda, M.; Kimura, T.; Tanino, M.; Tanaka, S. Analysis of NAB2-STAT6 Gene Fusion in 17 Cases of Meningeal Solitary Fibrous Tumor/Hemangiopericytoma: Review of the Literature. Am. J. Surg. Pathol. 2016, 40, 1031–1040. [Google Scholar] [CrossRef]
- Chuang, I.-C.; Liao, K.-C.; Huang, H.-Y.; Kao, Y.-C.; Li, C.-F.; Huang, S.-C.; Tsai, J.-W.; Chen, K.-C.; Lan, J.; Lin, P.-C. NAB2-STAT6 gene fusion and STAT6 immunoexpression in extrathoracic solitary fibrous tumors: The association between fusion variants and locations: Extrathoracic solitary fibrous tumor. Pathol. Int. 2016, 66, 288–296. [Google Scholar] [CrossRef]
- Huang, S.; Li, C.; Kao, Y.; Chuang, I.; Tai, H.; Tsai, J.; Yu, S.; Huang, H.; Lan, J.; Yen, S.; et al. The clinicopathological significance of NAB 2- STAT 6 gene fusions in 52 cases of intrathoracic solitary fibrous tumors. Cancer Med. 2015, 5, 159–168. [Google Scholar] [CrossRef]
- Park, Y.-S.; Kim, H.-S.; Kim, J.-H.; Choi, S.-H.; Kim, D.-S.; Ryoo, Z.Y.; Kim, J.-Y.; Lee, S. NAB2-STAT6 fusion protein mediates cell proliferation and oncogenic progression via EGR-1 regulation. Biochem. Biophys. Res. Commun. 2020, 526, 287–292. [Google Scholar] [CrossRef]
- Georgiesh, T.; Namløs, H.M.; Sharma, N.; Lorenz, S.; Myklebost, O.; Bjerkehagen, B.; Meza-Zepeda, L.A.; Boye, K. Clinical and molecular implications of NAB2-STAT6 fusion variants in solitary fibrous tumour. Pathology 2021, 53, 713–719. [Google Scholar] [CrossRef]
- Casali, P.G.; Abecassis, N.; Bauer, S.; Biagini, R.; Bielack, S.; Bonvalot, S.; Boukovinas, I.; Bovee, J.V.M.G.; Brodowicz, T.; Broto, J.M.; et al. Soft tissue and visceral sarcomas: ESMO–EURACAN Clinical Practice Guidelines for diagnosis, treatment and follow-up. Ann. Oncol. 2018, 29, iv51–iv67. [Google Scholar] [CrossRef]
- Casali, P.G.; Bielack, S.; Abecassis, N.; Aro, H.T.; Bauer, S.; Biagini, R.; Bonvalot, S.; Boukovinas, I.; Bovee, J.V.M.G.; Brennan, B.; et al. Bone sarcomas: ESMO–PaedCan–EURACAN Clinical Practice Guidelines for diagnosis, treatment and follow-up. Ann. Oncol. 2018, 29, iv79–iv95. [Google Scholar] [CrossRef]
- Casali, P.G.; Blay, J.Y.; Abecassis, N.; Bajpai, J.; Bauer, S.; Biagini, R.; Bielack, S.; Bonvalot, S.; Boukovinas, I.; Bovee, J.V.M.G.; et al. Gastrointestinal stromal tumours: ESMO–EURACAN–GENTURIS Clinical Practice Guidelines for diagnosis, treatment and follow-up. Ann. Oncol. 2022, 33, 20–33. [Google Scholar] [CrossRef]
- Blay, J.-Y.; Honoré, C.; Stoeckle, E.; Meeus, P.; Jafari, M.; Gouin, F.; Anract, P.; Ferron, G.; Rochwerger, A.; Ropars, M.; et al. Surgery in reference centers improves survival of sarcoma patients: A nationwide study. Ann. Oncol. 2019, 30, 1143–1153. [Google Scholar] [CrossRef]
- Benjamin, R.S.; Choi, H.; Macapinlac, H.A.; Burgess, M.A.; Patel, S.R.; Chen, L.L.; Podoloff, D.A.; Charnsangavej, C. We Should Desist Using RECIST, at Least in GIST. JCO 2007, 25, 1760–1764. [Google Scholar] [CrossRef]
- Choi, H.; Charnsangavej, C.; Faria, S.C.; Macapinlac, H.A.; Burgess, M.A.; Patel, S.R.; Chen, L.L.; Podoloff, D.A.; Benjamin, R.S. Correlation of Computed Tomography and Positron Emission Tomography in Patients With Metastatic Gastrointestinal Stromal Tumor Treated at a Single Institution With Imatinib Mesylate: Proposal of New Computed Tomography Response Criteria. J. Clin. Oncol. 2007, 25, 1753–1759. [Google Scholar] [CrossRef]
- Stacchiotti, S.; Verderio, P.; Messina, A.; Morosi, C.; Collini, P.; Llombart-Bosch, A.; Martin, J.; Comandone, A.; Cruz, J.; Ferraro, A.; et al. Tumor response assessment by modified Choi criteria in localized high-risk soft tissue sarcoma treated with chemotherapy. Cancer 2012, 118, 5857–5866. [Google Scholar] [CrossRef]
- Park, M.S.; Ravi, V.; Conley, A.; Patel, S.R.; Trent, J.C.; Lev, D.C.; Lazar, A.J.; Wang, W.-L.; Benjamin, R.S.; Araujo, D.M. The role of chemotherapy in advanced solitary fibrous tumors: A retrospective analysis. Clin. Sarcoma Res. 2013, 3, 7. [Google Scholar] [CrossRef]
- Park, M.S.; Patel, S.R.; Ludwig, J.A.; Trent, J.C.; Conrad, C.A.; Lazar, A.J.; Wang, W.-L.; Boonsirikamchai, P.; Choi, H.; Wang, X.; et al. Activity of temozolomide and bevacizumab in the treatment of locally advanced, recurrent, and metastatic hemangiopericytoma and malignant solitary fibrous tumor: Temozolomide/Bevacizumab Therapy in HPC/SFT. Cancer 2011, 117, 4939–4947. [Google Scholar] [CrossRef]
- Stacchiotti, S.; Libertini, M.; Negri, T.; Palassini, E.; Gronchi, A.; Fatigoni, S.; Poletti, P.; Vincenzi, B.; Tos, A.D.; Mariani, L.; et al. Response to chemotherapy of solitary fibrous tumour: A retrospective study. Eur. J. Cancer 2013, 49, 2376–2383. [Google Scholar] [CrossRef]
- Stacchiotti, S.; Negri, T.; Libertini, M.; Palassini, E.; Marrari, A.; De Troia, B.; Gronchi, A.; Tos, A.D.; Morosi, C.; Messina, A.; et al. Sunitinib malate in solitary fibrous tumor (SFT). Ann. Oncol. 2012, 23, 3171–3179. [Google Scholar] [CrossRef]
- Maruzzo, M.; Martin-Liberal, J.; Messiou, C.; Miah, A.; Thway, K.; Alvarado, R.; Judson, I.; Benson, C. Pazopanib as first line treatment for solitary fibrous tumours: The Royal Marsden Hospital experience. Clin. Sarcoma Res. 2015, 5, 5. [Google Scholar] [CrossRef]
- Cardillo, G.; Lococo, F.; Carleo, F.; Martelli, M. Solitary fibrous tumors of the pleura. Curr. Opin. Pulm. Med. 2012, 18, 339–346. [Google Scholar] [CrossRef]
- Espat, N.J.; Lewis, J.J.; Leung, D.; Woodruff, J.M.; Antonescu, C.R.; Shia, J.; Brennan, M.F. Conventional hemangiopericytoma: Modern analysis of outcome. Cancer 2002, 95, 1746–1751. [Google Scholar] [CrossRef]
- Robinson, L.A. Solitary Fibrous Tumor of the Pleura. Cancer Control. 2006, 13, 6. [Google Scholar] [CrossRef]
- Spitz, F.R.; Bouvet, M.; Pisters, P.W.T.; Pollock, R.E.; Feig, B.W. Hemangiopericytoma: A 20-year single-institution experience. Ann. Surg. Oncol. 1998, 5, 350–355. [Google Scholar] [CrossRef]
- Lahon, B.; Mercier, O.; Fadel, E.; Ghigna, M.R.; Petkova, B.; Mussot, S.; Fabre, D.; Le Chevalier, T.; Dartevelle, P. Solitary Fibrous Tumor of the Pleura: Outcomes of 157 Complete Resections in a Single Center. Ann. Thorac. Surg. 2012, 94, 394–400. [Google Scholar] [CrossRef]
- Nomori, H. Contacting metastasis of a fibrous tumor of the pleura. Eur. J. Cardio-Thoracic Surg. 1997, 12, 928–930. [Google Scholar] [CrossRef]
- Lococo, F.; Cesario, A.; Cardillo, G.; Filosso, P.L.; Galetta, D.; Carbone, L.; Oliaro, A.; Spaggiari, L.; Cusumano, G.; Margaritora, S.; et al. Malignant Solitary Fibrous Tumors of the Pleura: Retrospective Review of a Multicenter Series. J. Thorac. Oncol. 2012, 7, 1698–1706. [Google Scholar] [CrossRef] [PubMed]
- Bowe, S.N.; Wakely, P.E., Jr.; Ozer, E. Head and neck solitary fibrous tumors: Diagnostic and therapeutic challenges. Laryngoscope 2012, 122, 1748–1755. [Google Scholar] [CrossRef] [PubMed]
- Wang, X.; Qian, J.; Bi, Y.; Ping, B.; Zhang, R. Malignant transformation of orbital solitary fibrous tumor. Int. Ophthalmol. 2013, 33, 299–303. [Google Scholar] [CrossRef] [PubMed]
- Yang, X.; Zheng, J.; Ye, W.; Wang, Y.; Zhu, H.; Wang, L.; Zhang, Z. Malignant solitary fibrous tumors of the head and neck: A clinicopathological study of nine consecutive patients. Oral Oncol. 2009, 45, 678–682. [Google Scholar] [CrossRef]
- Wushou, A.; Jiang, Y.-Z.; Liu, Y.-R.; Shao, Z.-M. The demographic features, clinicopathologic characteristics, treatment outcome and disease-specific prognostic factors of solitary fibrous tumor: A population-based analysis. Oncotarget 2015, 6, 41875–41883. [Google Scholar] [CrossRef]
- Bishop, A.J.; Zagars, G.K.; Demicco, E.G.; Wang, W.-L.; Feig, B.W.; Guadagnolo, B.A. Soft Tissue Solitary Fibrous Tumor: Combined Surgery and Radiation Therapy Results in Excellent Local Control. Am. J. Clin. Oncol. 2018, 41, 81–85. [Google Scholar] [CrossRef]
- Bonvalot, S.; Gronchi, A.; Le Péchoux, C.; Swallow, C.J.; Strauss, D.; Meeus, P.; van Coevorden, F.; Stoldt, S.; Stoeckle, E.; Rutkowski, P.; et al. Preoperative radiotherapy plus surgery versus surgery alone for patients with primary retroperitoneal sarcoma (EORTC-62092: STRASS): A multicentre, open-label, randomised, phase 3 trial. Lancet Oncol. 2020, 21, 1366–1377. [Google Scholar] [CrossRef]
- Haas, R.L.; Walraven, I.; Lecointe-Artzner, E.; Scholten, A.N.; van Houdt, W.; Griffin, A.M.; Ferguson, P.C.; Miah, A.B.; Zaidi, S.; DeLaney, T.F.; et al. Radiation Therapy as Sole Management for Solitary Fibrous Tumors (SFT): A Retrospective Study From the Global SFT Initiative in Collaboration With the Sarcoma Patients EuroNet. Int. J. Radiat. Oncol. 2018, 101, 1226–1233. [Google Scholar] [CrossRef]
- Oike, N.; Kawashima, H.; Ogose, A.; Hotta, T.; Hirano, T.; Ariizumi, T.; Yamagishi, T.; Umezu, H.; Inagawa, S.; Endo, N. A malignant solitary fibrous tumour arising from the first lumbar vertebra and mimicking an osteosarcoma: A case report. World J. Surg. Oncol. 2017, 15, 100. [Google Scholar] [CrossRef]
- De Boer, J.; Jager, P.L.; Wiggers, T.; Nieboer, P.; Wymenga, A.N.M.; Pras, E.; Hoogenberg, K.; Sleijfer, D.T.; Suurmeijer, A.J.; Van Der Graaf, W.T. The therapeutic challenge of a nonresectable solitary fibrous tumor in a hypoglycemic patient. Int. J. Clin. Oncol. 2006, 11, 478–481. [Google Scholar] [CrossRef]
- Han, G.; Zhang, Z.; Shen, X.; Wang, K.; Zhao, Y.; He, J.; Gao, Y.; Shan, X.; Xin, G.; Li, C.; et al. Doege-Potter syndrome: A review of the literature including a new case report. Medicine 2017, 96, e7417. [Google Scholar] [CrossRef] [PubMed]
- Constantinidou, A.; Jones, R.L.; Olmos, D.; Thway, K.; Fisher, C.; Al-Muderis, O.; Judson, I. Conventional anthracycline-based chemotherapy has limited efficacy in solitary fibrous tumour. Acta Oncol. 2011, 51, 550–554. [Google Scholar] [CrossRef] [PubMed]
- Levard, A.; Derbel, O.; Méeus, P.; Ranchère, D.; Ray-Coquard, I.; Blay, J.-Y.; Cassier, P.A. Outcome of patients with advanced solitary fibrous tumors: The Centre Léon Bérard experience. BMC Cancer 2013, 13, 109. [Google Scholar] [CrossRef]
- Stacchiotti, S.; Tortoreto, M.; Bozzi, F.; Tamborini, E.; Morosi, C.; Messina, A.; Libertini, M.; Palassini, E.; Cominetti, D.; Negri, T.; et al. Dacarbazine in Solitary Fibrous Tumor: A Case Series Analysis and Preclinical Evidence vis-à-vis Temozolomide and Antiangiogenics. Clin. Cancer Res. 2013, 19, 5192–5201. [Google Scholar] [CrossRef] [PubMed]
- Khalifa, J.; Ouali, M.; Chaltiel, L.; Le Guellec, S.; Le Cesne, A.; Blay, J.-Y.; Cousin, P.; Chaigneau, L.; Bompas, E.; Piperno-Neumann, S.; et al. Efficacy of trabectedin in malignant solitary fibrous tumors: A retrospective analysis from the French Sarcoma Group. BMC Cancer 2015, 15, 1–8. [Google Scholar] [CrossRef] [PubMed]
- Le Cesne, A.; Ray-Coquard, I.; Duffaud, F.; Chevreau, C.; Penel, N.; Nguyen, B.B.; Piperno-Neumann, S.; Delcambre, C.; Rios, M.; Chaigneau, L.; et al. Trabectedin in patients with advanced soft tissue sarcoma: A retrospective national analysis of the French Sarcoma Group. Eur. J. Cancer 2015, 51, 742–750. [Google Scholar] [CrossRef] [PubMed]
- Schöffski, P.; Timmermans, I.; Hompes, D.; Stas, M.; Sinnaeve, F.; De Leyn, P.; Coosemans, W.; Van Raemdonck, D.; Hauben, E.; Sciot, R.; et al. Clinical Presentation, Natural History, and Therapeutic Approach in Patients with Solitary Fibrous Tumor: A Retrospective Analysis. Sarcoma 2020, 2020, 1–9. [Google Scholar] [CrossRef]
- Outani, H.; Kobayashi, E.; Wasa, J.; Saito, M.; Takenaka, S.; Hayakawa, K.; Endo, M.; Takeuchi, A.; Kobayashi, H.; Kito, M.; et al. Clinical Outcomes of Patients with Metastatic Solitary Fibrous Tumors: A Japanese Musculoskeletal Oncology Group (JMOG) Multiinstitutional Study. Ann. Surg. Oncol. 2020, 28, 3893–3901. [Google Scholar] [CrossRef]
- Mulamalla, K.; Truskinovsky, A.M.; Dudek, A.Z. Rare case of hemangiopericytoma responds to sunitinib. Transl. Res. 2008, 151, 129–133. [Google Scholar] [CrossRef]
- De Pas, T.; Toffalorio, F.; Colombo, P.; Trifirò, G.; Pelosi, G.; Della Vigna, P.; Manzotti, M.; Agostini, M.; De Braud, F.G.M. Brief Report: Activity of Imatinib in a Patient with Platelet-Derived-Growth-Factor Receptor Positive Malignant Solitary Fibrous Tumor of the Pleura. J. Thorac. Oncol. 2008, 3, 938–941. [Google Scholar] [CrossRef]
- George, S.; Merriam, P.; Maki, R.G.; Van den Abbeele, A.D.; Yap, J.T.; Akhurst, T.; Harmon, D.C.; Bhuchar, G.; O’Mara, M.M.; D’Adamo, D.R.; et al. Multicenter Phase II Trial of Sunitinib in the Treatment of Nongastrointestinal Stromal Tumor Sarcomas. JCO 2009, 27, 3154–3160. [Google Scholar] [CrossRef] [PubMed]
- Domont, J.; Massard, C.; Lassau, N.; Armand, J.-P.; Le Cesne, A.; Soria, J.-C. Hemangiopericytoma and antiangiogenic therapy: Clinical benefit of antiangiogenic therapy (sorafenib and sunitinib) in relapsed Malignant Haemangioperyctoma /Solitary Fibrous Tumour. Investig. New Drugs 2010, 28, 199–202. [Google Scholar] [CrossRef] [PubMed]
- Valentin, T.; Fournier, C.; Penel, N.; Bompas, E.; Chaigneau, L.; Isambert, N.; Chevreau, C. Sorafenib in patients with progressive malignant solitary fibrous tumors: A subgroup analysis from a phase II study of the French Sarcoma Group (GSF/GETO). Investig. New Drugs 2013, 31, 1626–1627. [Google Scholar] [CrossRef] [PubMed]
- Stacchiotti, S.; Negri, T.; Palassini, E.; Conca, E.; Gronchi, A.; Morosi, C.; Messina, A.; Pastorino, U.; Pierotti, M.A.; Casali, P.G.; et al. Sunitinib Malate and Figitumumab in Solitary Fibrous Tumor: Patterns and Molecular Bases of Tumor Response. Mol. Cancer Ther. 2010, 9, 1286–1297. [Google Scholar] [CrossRef]
- Stacchiotti, S.; Tortoreto, M.; Baldi, G.; Grignani, G.; Toss, A.; Badalamenti, G.; Cominetti, D.; Morosi, C.; Tos, A.D.; Festinese, F.; et al. Preclinical and clinical evidence of activity of pazopanib in solitary fibrous tumour. Eur. J. Cancer 2014, 50, 3021–3028. [Google Scholar] [CrossRef]
- Martin-Broto, J.; Stacchiotti, S.; Lopez-Pousa, A.; Redondo, A.; Bernabeu, D.; de Alava, E.; Casali, P.G.; Italiano, A.; Gutierrez, A.; Moura, D.S.; et al. Pazopanib for treatment of advanced malignant and dedifferentiated solitary fibrous tumour: A multicentre, single-arm, phase 2 trial. Lancet Oncol. 2019, 20, 134–144. [Google Scholar] [CrossRef]
- Martin-Broto, J.; Cruz, J.; Penel, N.; Le Cesne, A.; Hindi, N.; Luna, P.; Moura, D.S.; Bernabeu, D.; de Alava, E.; Lopez-Guerrero, J.A.; et al. Pazopanib for treatment of typical solitary fibrous tumours: A multicentre, single-arm, phase 2 trial. Lancet Oncol. 2020, 21, 456–466. [Google Scholar] [CrossRef]
- Kobayashi, H.; Iwata, S.; Wakamatsu, T.; Hayakawa, K.; Yonemoto, T.; Wasa, J.; Oka, H.; Ueda, T.; Tanaka, S. Efficacy and safety of trabectedin for patients with unresectable and relapsed soft-tissue sarcoma in Japan: A Japanese Musculoskeletal Oncology Group study. Cancer 2019, 126, 1253–1263. [Google Scholar] [CrossRef]
- Hatva, E. Vascular Growth Factors and Receptors in Capillary Hemangioblastomas and Hemang iopericytomas. Am. J. Pathol. 1996, 148, 13. [Google Scholar]
- Quek, R.; Wang, Q.; Morgan, J.A.; Shapiro, G.I.; Butrynski, J.E.; Ramaiya, N.; Huftalen, T.; Jederlinic, N.; Manola, J.; Wagner, A.J.; et al. Combination mTOR and IGF-1R Inhibition: Phase I Trial of Everolimus and Figitumumab in Patients with Advanced Sarcomas and Other Solid Tumors. Clin. Cancer Res. 2010, 17, 871–879. [Google Scholar] [CrossRef]
- Tazzari, M.; Negri, T.; Rini, F.; Vergani, B.; Huber, V.; Villa, A.; Dagrada, P.; Colombo, C.; Fiore, M.; Gronchi, A.; et al. Adaptive immune contexture at the tumour site and downmodulation of circulating myeloid-derived suppressor cells in the response of solitary fibrous tumour patients to anti-angiogenic therapy. Br. J. Cancer 2014, 111, 1350–1362. [Google Scholar] [CrossRef] [PubMed]
- Kamamoto, D.; Ohara, K.; Kitamura, Y.; Yoshida, K.; Kawakami, Y.; Sasaki, H. Association between programmed cell death ligand-1 expression and extracranial metastasis in intracranial solitary fibrous tumor/hemangiopericytoma. J. Neuro-Oncol. 2018, 139, 251–259. [Google Scholar] [CrossRef] [PubMed]
- Dancsok, A.R.; Setsu, N.; Gao, D.; Blay, J.-Y.; Thomas, D.; Maki, R.G.; Nielsen, T.O.; Demicco, E.G. Expression of lymphocyte immunoregulatory biomarkers in bone and soft-tissue sarcomas. Mod. Pathol. 2019, 32, 1772–1785. [Google Scholar] [CrossRef] [PubMed]
- Berghoff, A.S.; Kresl, P.; Rajky, O.; Widhalm, G.; Ricken, G.; Hainfellner, J.A.; Marosi, C.; Birner, P.; Preusser, M. Analysis of the inflammatory tumor microenvironment in meningeal neoplasms. Clin. Neuropathol. 2020, 39, 256–262. [Google Scholar] [CrossRef]
- Boothe, J.T.; Budd, G.T.; Smolkin, M.B.; Ma, P.C. Durable Near-Complete Response to Anti-PD-1 Checkpoint Immunotherapy in a Refractory Malignant Solitary Fibrous Tumor of the Pleura. Case Rep. Oncol. 2017, 10, 998–1005. [Google Scholar] [CrossRef]
- Toulmonde, M.; Penel, N.; Adam, J.; Chevreau, C.; Blay, J.-Y.; Le Cesne, A.; Bompas, E.; Piperno-Neumann, S.; Cousin, S.; Grellety, T.; et al. Use of PD-1 Targeting, Macrophage Infiltration, and IDO Pathway Activation in Sarcomas: A Phase 2 Clinical Trial. JAMA Oncol. 2018, 4, 93. [Google Scholar] [CrossRef]
- Tap, W.D.; Wagner, A.J.; Schöffski, P.; Martin-Broto, J.; Krarup-Hansen, A.; Ganjoo, K.N.; Yen, C.-C.; Abdul Razak, A.R.; Spira, A.; Kawai, A.; et al. Effect of Doxorubicin Plus Olaratumab vs Doxorubicin Plus Placebo on Survival in Patients With Advanced Soft Tissue Sarcomas: The ANNOUNCE Randomized Clinical Trial. JAMA 2020, 323, 1266. [Google Scholar] [CrossRef]



| Risk Factor | Cut-Off | Points Assigned | |
|---|---|---|---|
| 3-Variable Model | 4-Variable Model | ||
| Patient age (years) | <55 | 0 | 0 |
| >55 | 1 | 1 | |
| Mitoses/mm2 | 0 | 0 | 0 |
| 0.5–1.5 | 1 | 1 | |
| ≥2 | 2 | 2 | |
| Tumor size (cm) | 0–4.9 | 0 | 0 |
| 5–9.9 | 1 | 1 | |
| 10–14.9 | 2 | 2 | |
| ≥15 | 3 | 3 | |
| Tumor necrosis | <10% | N/A | 0 |
| ≥10% | N/A | 1 | |
| Risk | Low | 0–2 points | 0–3 points |
| Intermediate | 3–4 points | 4–5 points | |
| High | 5–6 points | 6–7 points | |
| Authors | Design | n | Drug (n) | Response/Duration/RR | mPFS (Months) | mOS (Months) |
|---|---|---|---|---|---|---|
| Constantinidou et al. 2012 [94] | R | 24 | Anthracycline-based (75 mg/m2) (n = 17) Non-anthracycline-based (n = 7) |
| 4.2 (95% CI: 0–10.1) | 14.6 (95% CI: 9.3–19.9) |
| Levard et al. 2013 [95] | R | 23 | Doxorubicin alone (n = 9) Pegylated liposomal doxorubicin (n = 1) Doxorubicin + ifosfamide (n = 8) Doxorubicin + palifosfamide (n = 1). Vinorelbine (n = 1) Paclitaxel (n = 1) Carboplatin and paclitaxel (n = 1) Brostallicin (n = 1) | 2 PR (8.7%) in doxorubicin-based, 13 SD (59%), 8 PD (35%). 9 pts (39%) progression-free at 6 months | 5.2 (95% CI: 3.2–7.1) | 33.5 (95% CI: 14.2–52.8) (whole cohort, n = 30) |
| Stacchiotti et al. 2013 [74] | R | 31 | Anthracycline monotherapy (n = 8), Anthracycline + ifosfamide (n = 23) Ifosfamide (n = 19) |
| 4 (range 2–15) | 11.5 (range 3–50) |
| Stacchiotti et al. 2013 [96] | R | 8 | Dacarbazine monotherapy (n = 8), (1200 mg/m2) | RECIST: 3 PR, 4SD, 1PD | 7 (range 2–12) | - |
| Park et al. 2013 [72] | R | 21 | Doxorubicin-based (n = 15) Gemcitabine-based (n = 5) Paclitaxel (n = 5) | 0 PR, 16 SD (89%), 2 PD (11%). 5 (28%) progression-free >6 months | 4.6 (95% CI: 4.0–5.3) | 10.3 years (95% CI: 5.7– 14.9 years) |
| Khalifa et al. 2015 [97] | R | 11 | Trabectedin (1.5 mg/m2) | RECIST: 1 PR (9.1%), 8 SD (72.7%) | 11.6 (95 % CI = 2.0; 15.2) | 22.3 (95 % CI = 9.1; NR) |
| Le Cesne et al. 2015 [98] | R | 13 | Trabectedin 1.5 mg/m2 | - | 7.6 (95% CI: 1.6–13.7) | 14.3 (95% CI: 0.8–27.8) |
| Schöffski et al. 2020 [99] | R | 26 | Doxorubicin (n = 15) (57.7%) Doxorubicin + ifosfamide (n = 3) (11.5%) Doxorubicin/olaratumab (n = 2) (7.7%) Doxorubicin + evofosfamide (n = 1) Doxorubicin + ifosfamide + cisplatin (n = 1) 2nd line: ifosfamide (n = 5), pazopanib (n = 5) | Doxorubicin-based: 2 PR (13.3%), 4 SD (26.7%) Ifosfamide: no response Pazopanib: 3 PR (60%) | 34.1 (95% CI: 1.0–157.1) | 56.0 (95% CI: 0.3–258.3) |
| Outani et al. 2020 [100] | R | 31 | Anthracycline-based (n = 11) Eribulin mesylate (n = 4) Gemcitabine + docetaxel (n = 10) Ifosfamide-based (n = 7) Pazopanib (n = 22) Trabectedin (n = 6) Other (n = 13) Multidrug regimen (n = 21) | - | - | 55 (95% CI: 40–86) |
| Kobayashi et al. 2020 | R | 140 | Trabectedin (1.2 mg/m2) | 11 PR (7.9%), 54 SD (41.9%) with 25/54 SD >6 months | 3.7 (95% CI: 2.8–5.7) | 16.4 (95% CI: 11.5–21.2) |
| Mulamalla et al. 2008 [101] | CR | 1 | Sunitinib | SD for 6 months | - | - |
| De Pas et al. 2008 [102] | CR | 1 | Imatinib | PR for 21 months with major clinical benefit | - | - |
| George et al. 2009 [103] | R | 48 | Sunitinib (37.5 mg) | 1 PR, 11 SD + PR (22%) at 16 weeks, 7 (14%) at 24 weeks. | 1.8 | - |
| Domont et al. 2009 [104] | P | 2 | Dacarbazine (1000 mg/m2) + sorafenib (400 mg) Sunitinib (50 mg) | PR, PD at 1.5 year SD > 6 months | - | - |
| Park et al. 2011 [73] | R | 14 | Temozolomide (150 mg/m2)–bevacizumab (5 mg/kg) | Choi: 11 PR (79%), 2 SD | 9.7 (95% CI: 7.31–not estimable) | - |
| Valentin et al. 2013 [105] | P | 5 | Sorafenib (800 mg) | No objective response, 2/5 SD (9 months) | - | 19.7 |
| Levard et al. 2013 [95] | R | 10 | Pazopanib (800 mg) (n = 6) Sunitinib (37.5 mg) (n = 4) | No objective response, 5 SD, 5 PD 4 pts (40%) progression-free >6 months: at 8.0 and 14.0 (pazopanib), and 29.5 and 29.9 months (sunitinib). | 5.1 (95% CI: 0.7–9.6). | - |
| Stacchiotti et al. 2010 [106] | R | 11 | Sunitinib (37.5 mg) | 6 PR, 1 SD (Choi)Response >6 months in 5 pts | - | - |
| Stacchiotti et al. 2014 [107] | R | 6 | Pazopanib (800 mg) | No RECIST response 1 PR, 2 SD (Choi) | 3 (range 1–15) | - |
| Maruzzo et al. 2015 [76] | P | 13 | Pazopanib 1st line (800 mg) | 5 PR (46%), 4 SD (36%) (Choi) | 4.7 (95% CI: 4.8–7.4) | 13.3 (95% CI: 3.9–22.6) |
| Martin-Broto et al. 2019 [108] | P | 36 | Pazopanib (800 mg) | Choi: 18 PR (51%), 9 SD (26%) RECIST: 2 PR (6%), 21 SD (60%) | 5.6 (95% CI: 4.51–6.62) | NR |
| Martin-Broto et al. 2020 [109] | P | 31 | Pazopanib (800 mg) | 18 PR (58%), 12 SD (39%), 1 PD (3%) | 12.1 (range 2.6–21.7) | 49.8 (range 8.2–91.3) |
Publisher’s Note: MDPI stays neutral with regard to jurisdictional claims in published maps and institutional affiliations. |
© 2022 by the authors. Licensee MDPI, Basel, Switzerland. This article is an open access article distributed under the terms and conditions of the Creative Commons Attribution (CC BY) license (https://creativecommons.org/licenses/by/4.0/).
Share and Cite
de Bernardi, A.; Dufresne, A.; Mishellany, F.; Blay, J.-Y.; Ray-Coquard, I.; Brahmi, M. Novel Therapeutic Options for Solitary Fibrous Tumor: Antiangiogenic Therapy and Beyond. Cancers 2022, 14, 1064. https://doi.org/10.3390/cancers14041064
de Bernardi A, Dufresne A, Mishellany F, Blay J-Y, Ray-Coquard I, Brahmi M. Novel Therapeutic Options for Solitary Fibrous Tumor: Antiangiogenic Therapy and Beyond. Cancers. 2022; 14(4):1064. https://doi.org/10.3390/cancers14041064
Chicago/Turabian Stylede Bernardi, Axel, Armelle Dufresne, Florence Mishellany, Jean-Yves Blay, Isabelle Ray-Coquard, and Mehdi Brahmi. 2022. "Novel Therapeutic Options for Solitary Fibrous Tumor: Antiangiogenic Therapy and Beyond" Cancers 14, no. 4: 1064. https://doi.org/10.3390/cancers14041064
APA Stylede Bernardi, A., Dufresne, A., Mishellany, F., Blay, J.-Y., Ray-Coquard, I., & Brahmi, M. (2022). Novel Therapeutic Options for Solitary Fibrous Tumor: Antiangiogenic Therapy and Beyond. Cancers, 14(4), 1064. https://doi.org/10.3390/cancers14041064

