Preneoplastic Low-Risk Mammary Ductal Lesions (Atypical Ductal Hyperplasia and Ductal Carcinoma In Situ Spectrum): Current Status and Future Directions
Abstract
:Simple Summary
Abstract
1. Introduction
2. Active Surveillance Trials
3. Atypical Ductal Hyperplasia and Ductal Carcinoma In Situ Spectrum-Overview
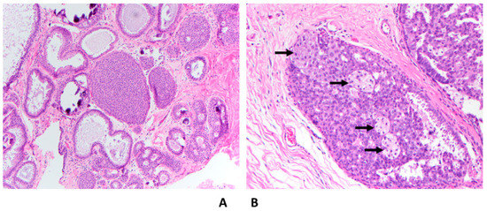
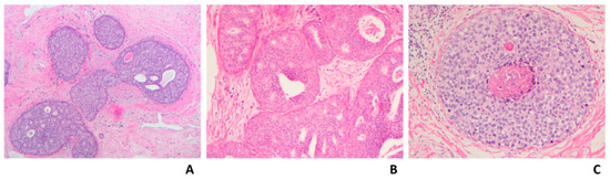
3.1. Atypical Ductal Hyperplasia-Overview
3.2. Ductal Carcinoma In Situ—Overview
3.3. Severe Atypical Ductal Hyperplasia Bordering on Ductal Carcinoma In Situ
4. Upgrading
4.1. Upgrading of Atypical Ductal Hyperplasia and Ductal Carcinoma In Situ—Overall Studies
4.1.1. Upgrading from ADH to Any Grade-DCIS and/or Invasive Carcinoma
4.1.2. Upgrading from Ductal Carcinoma In Situ to Invasive Carcinoma
4.2. Upgrading of Atypical Ductal Hyperplasia and Ductal Carcinoma In Situ—Studies Simulating Active Surveillance Trials
4.2.1. Atypical Ductal Hyperplasia
4.2.2. Ductal Carcinoma In Situ
4.3. Nomograms and Logistic Regression Analyses
4.3.1. Atypical Ductal Hyperplasia
4.3.2. Ductal Carcinoma In Situ
5. Ductal Carcinoma In Situ
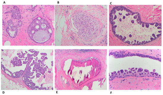
5.1. Histomorphology and Grading
5.2. Natural History and Prognostic Tools for Ductal Carcinoma In Situ
6. Treatment
6.1. Atypical Ductal Hyperplasia
6.2. Ductal Carcinoma In Situ
7. Challenges in the Active Surveillance Trials from Pathology Standpoint
7.1. Challenges in Grading Ductal Carcinoma In Situ and Their Consequences on Active Surveillance Trial
7.1.1. Downgrading Low-Risk Ductal Carcinoma In Situ to Atypical Ductal Hyperplasia or Atypical Ductal Hyperplasia Bordering on Ductal Carcinoma In Situ
7.1.2. Low-Risk Ductal Carcinoma In Situ Versus High-Grade Ductal Carcinoma In Situ
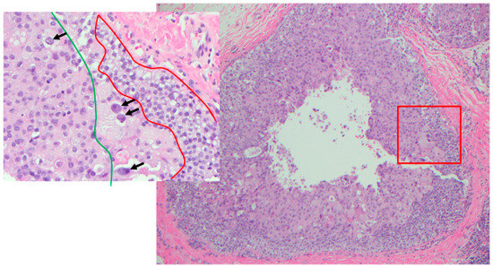
7.2. Comedonecrosis Controversy and Its Consequences on Active Surveillance Clinical Trials
8. Conclusions
Funding
Conflicts of Interest
Abbreviations
| ADH | Atypical ductal hyperplasia |
| LG | Low-grade |
| IG | Intermediate-grade |
| HG | High-grade |
| DCIS | Ductal carcinoma in situ |
| AS | Active surveillance |
| iBC | Invasive breast carcinoma |
| ER | Estrogen receptor |
| RT | Radiation therapy |
| HT | Hormonal therapy |
| COMET | Comparison of Operative to Monitoring and Endocrine Therapy |
| LORIS | Low risk DCIS trial |
| LORD | LOw Risk Dcis |
| CNB | Core needle biopsy |
| WHO | World Health Organization |
| TILs | Tumor infiltrating lymphocytes |
| AUC | Area under the curve |
| MSKCC | Memorial Sloan-Kettering Cancer Center |
| USC-VNPI | University of South Carolina Van Nuys Prognostic Index |
| NCCN | National Comprehensive Cancer Network |
| SERM | Selective estrogen receptor modulators |
| NSABP | National surgical adjuvant breast and bowel project |
| CAP | College of American pathologists |
| UDH | Usual ductal hyperplasia |
References
- Abdel-Fatah, T.M.A.; Powe, D.G.; Hodi, Z.; Reis-Filho, J.S.; Lee, A.H.S.; Ellis, I.O. Morphologic and Molecular Evolutionary Pathways of Low Nuclear Grade Invasive Breast Cancers and Their Putative Precursor Lesions: Further Evidence to Support the Concept of Low Nuclear Grade Breast Neoplasia Family. Am. J. Surg. Pathol. 2008, 32, 513–523. [Google Scholar] [CrossRef] [PubMed]
- Lopez-Garcia, M.A.; Geyer, F.C.; Lacroix-Triki, M.; Marchió, C.; Reis-Filho, J.S. Breast cancer precursors revisited: Molecular features and progression pathways. Histopathology 2010, 57, 171–192. [Google Scholar] [CrossRef] [PubMed]
- Siegel, R.L.; Miller, K.D.; Jemal, A. Cancer statistics, 2018. CA A Cancer J. Clin. 2018, 68, 7–30. [Google Scholar] [CrossRef] [PubMed]
- Allison, K.H.; Abraham, L.A.; Weaver, D.L.; Tosteson, A.N.; Nelson, H.D.; Onega, T.; Geller, B.M.; Kerlikowske, K.; Carney, P.A.; Ichikawa, L.E.; et al. Trends in breast biopsy pathology diagnoses among women undergoing mammography in the United States: A report from the Breast Cancer Surveillance Consortium. Cancer 2015, 121, 1369–1378. [Google Scholar] [CrossRef] [PubMed] [Green Version]
- Page, D.L.; Dupont, W.D.; Rogers, L.W.; Rados, M.S. Atypical hyperplastic lesions of the female breast. A long-term follow-up study. Cancer 1985, 55, 2698–2708. [Google Scholar] [CrossRef]
- Tavassoli, F.A.; Norris, H.J. A comparison of the results of long-term follow-up for atypical intraductal hyperplasia and intraductal hyperplasia of the breast. Cancer 1990, 65, 518–529. [Google Scholar] [CrossRef]
- SEER Cancer Statistics (CSR) 1975–2016. Available online: https://seer.cancer.gov/archive/csr/1975_2016/ (accessed on 18 November 2021).
- Bijker, N.; Donker, M.; Wesseling, J.; den Heeten, G.J.; Rutgers, E.J. Is DCIS breast cancer, and how do I treat it? Curr. Treat. Options Oncol. 2013, 14, 75–87. [Google Scholar] [CrossRef]
- Cuzick, J.; Sestak, I.; Pinder, S.E.; Ellis, I.O.; Forsyth, S.; Bundred, N.J.; Forbes, J.F.; Bishop, H.; Fentiman, I.S.; George, W.D.; et al. Effect of tamoxifen and radiotherapy in women with locally excised ductal carcinoma in situ: Long-term results from the UK/ANZ DCIS trial. Lancet Oncol. 2011, 12, 21–29. [Google Scholar] [CrossRef]
- Donker, M.; Litière, S.; Werutsky, G.; Julien, J.-P.; Fentiman, I.S.; Agresti, R.; Rouanet, P.; De Lara, C.T.; Bartelink, H.; Duez, N.; et al. Breast-Conserving Treatment with or Without Radiotherapy in Ductal Carcinoma In Situ: 15-Year Recurrence Rates and Outcome after a Recurrence, from the EORTC 10853 Randomized Phase III Trial. J. Clin. Oncol. 2013, 31, 4054–4059. [Google Scholar] [CrossRef]
- Goodwin, A.; Parker, S.; Ghersi, D.; Wilcken, N. Post-operative radiotherapy for ductal carcinoma in situ of the breast. Cochrane Database Syst. Rev. 2013, 11, Cd000563. [Google Scholar] [CrossRef] [Green Version]
- Fisher, B.; Dignam, J.; Wolmark, N.; Wickerham, D.L.; Fisher, E.R.; Mamounas, E.; Smith, R.; Begovic, M.; Dimitrov, N.V.; Margolese, R.G.; et al. Tamoxifen in treatment of intraductal breast cancer: National Surgical Adjuvant Breast and Bowel Project B-24 randomised controlled trial. Lancet 1999, 353, 1993–2000. [Google Scholar] [CrossRef]
- Fisher, B.; Costantino, J.P.; Wickerham, D.L.; Redmond, C.K.; Kavanah, M.; Cronin, W.M.; Vogel, V.; Robidoux, A.; Dimitrov, N.; Atkins, J.; et al. Tamoxifen for prevention of breast cancer: Report of the National Surgical Adjuvant Breast and Bowel Project P-1 Study. J. Natl. Cancer Inst. 1998, 90, 1371–1388. [Google Scholar] [CrossRef]
- Hwang, E.S.; Solin, L. De-Escalation of Locoregional Therapy in Low-Risk Disease for DCIS and Early-Stage Invasive Cancer. J. Clin. Oncol. 2020, 38, 2230–2239. [Google Scholar] [CrossRef] [PubMed]
- Hwang, E.S.; Hyslop, T.; Lynch, T.; Frank, E.; Pinto, D.; Basila, D.; Basila, D.; Collyar, D.; Bennett, A.; Kaplan, C.; et al. The COMET (Comparison of Operative versus Monitoring and Endocrine Therapy) trial: A phase III randomised controlled clinical trial for low-risk ductal carcinoma in situ (DCIS). BMJ Open 2019, 9, e026797. [Google Scholar] [CrossRef] [Green Version]
- Francis, A.; Thomas, J.; Fallowfield, L.; Wallis, M.; Bartlett, J.M.S.; Brookes, C.; Roberts, T.; Pirrie, S.; Gaunt, C.; Young, J.; et al. Addressing overtreatment of screen detected DCIS; the LORIS trial. Eur. J. Cancer 2015, 51, 2296–2303. [Google Scholar] [CrossRef] [PubMed] [Green Version]
- Elshof, L.E.; Tryfonidis, K.; Slaets, L.; van Leeuwen-Stok, A.E.; Skinner, V.P.; Dif, N.; Pijnappel, R.M.; Bijker, N.; Emiel, J.T.; Wesseling, J.; et al. Feasibility of a prospective, randomised, open-label, international multicentre, phase III, non-inferiority trial to assess the safety of active surveillance for low risk ductal carcinoma in situ—The LORD study. Eur. J. Cancer 2015, 51, 1497–1510. [Google Scholar] [CrossRef] [PubMed] [Green Version]
- Kanbayashi, C.; Iwata, H. Current approach and future perspective for ductal carcinoma in situ of the breast. Jpn. J. Clin. Oncol. 2017, 47, 671–677. [Google Scholar] [CrossRef] [PubMed] [Green Version]
- Ko, E.; Han, W.; Lee, J.W.; Cho, J.; Kim, E.K.; Jung, S.Y.; Kang, M.J.; Moon, W.K.; Park, I.A.; Kim, S.-W.; et al. Scoring system for predicting malignancy in patients diagnosed with atypical ductal hyperplasia at ultrasound-guided core needle biopsy. Breast Cancer Res. Treat. 2008, 112, 189–195. [Google Scholar] [CrossRef]
- Khoury, T.; Chen, X.; Wang, D.; Kumar, P.; Qin, M.; Liu, S.; Turner, B. Nomogram to predict the likelihood of upgrade of atypical ductal hyperplasia diagnosed on a core needle biopsy in mammographically detected lesions. Histopathology 2015, 67, 106–120. [Google Scholar] [CrossRef] [PubMed]
- Dillon, M.F.; McDermott, E.W.; Quinn, C.M.; O’Doherty, A.; O’Higgins, N.; Hill, A.D. Predictors of invasive disease in breast cancer when core biopsy demonstrates DCIS only. J. Surg. Oncol. 2006, 93, 559–563. [Google Scholar] [CrossRef] [PubMed]
- Brennan, M.E.; Turner, R.M.; Ciatto, S.; Marinovich, M.L.; French, J.R.; Macaskill, P.; Houssami, N. Ductal Carcinoma in Situ at Core-Needle Biopsy: Meta-Analysis of Underestimation and Predictors of Invasive Breast Cancer. Radiology 2011, 260, 119–128. [Google Scholar] [CrossRef]
- Zhan, H.; Quinn, M.; Tian, W.; Yan, L.; Khoury, T. Significance of Removing Comedonecrosis as an Exclusion Criterion in Mammary Low-Risk Ductal Carcinoma In Situ Managed in an Active Surveillance Clinical Trial. Am. J. Clin. Pathol. 2021, 156, 596–606. [Google Scholar] [CrossRef]
- Harrison, B.T.; Hwang, E.S.; Partridge, A.H.; Thompson, A.M.; Schnitt, S.J. Variability in diagnostic threshold for comedo necrosis among breast pathologists: Implications for patient eligibility for active surveillance trials of ductal carcinoma in situ. Mod. Pathol. 2019, 32, 1257–1262. [Google Scholar] [CrossRef] [PubMed]
- Houghton, J.; George, W.D.; Cuzick, J.; Duggan, C.; Fentiman, I.S.; Spittle, M. Radiotherapy and tamoxifen in women with completely excised ductal carcinoma in situ of the breast in the UK, Australia, and New Zealand: Randomised controlled trial. Lancet 2003, 362, 95–102. [Google Scholar] [CrossRef]
- Wapnir, I.L.; Dignam, J.J.; Fisher, B.; Mamounas, E.P.; Anderson, S.J.; Julian, T.B.; Land, S.R.; Margolese, R.G.; Swain, S.; Costantino, J.P.; et al. Long-Term Outcomes of Invasive Ipsilateral Breast Tumor Recurrences After Lumpectomy in NSABP B-17 and B-24 Randomized Clinical Trials for DCIS. JNCI J. Natl. Cancer Inst. 2011, 103, 478–488. [Google Scholar] [CrossRef] [PubMed]
- Hartmann, L.C.; Degnim, A.C.; Santen, R.J.; Dupont, W.D.; Ghosh, K. Atypical hyperplasia of the breast--risk assessment and management options. N. Engl. J. Med. 2015, 372, 78–89. [Google Scholar] [CrossRef] [PubMed] [Green Version]
- Lippey, J.; Spillane, A.; Saunders, C. Not all ductal carcinoma in situ is created equal: Can we avoid surgery for low-risk ductal carcinoma in situ? ANZ J. Surg. 2016, 86, 859–860. [Google Scholar] [CrossRef] [PubMed]
- Picouleau, E.; Denis, M.; Lavoue, V.; Tas, P.; Mesbah, H.; Poree, P.; Leveque, J.; Morcel, K. Atypical Hyperplasia of the Breast: The Black Hole of Routine Breast Cancer Screening. Anticancer Res. 2012, 32, 5441–5446. [Google Scholar] [PubMed]
- Eby, P.R.; Ochsner, J.E.; DeMartini, W.B.; Allison, K.H.; Peacock, S.; Lehman, C.D. Frequency and upgrade rates of atypical ductal hyperplasia diagnosed at stereotactic vacuum-assisted breast biopsy: 9-versus 11-gauge. AJR Am. J. Roentgenol. 2009, 192, 229–234. [Google Scholar] [CrossRef]
- Bailar, J.C., 3rd. Diagnostic drift in the reporting of cancer incidence. J. Natl. Cancer Inst. 1998, 90, 863–864. [Google Scholar] [CrossRef]
- Fitzgibbons, P.L.; Henson, D.E.; Hutter, R.V. Benign breast changes and the risk for subsequent breast cancer: An update of the 1985 consensus statement. Cancer Committee of the College of American Pathologists. Arch. Pathol. Lab. Med. 1998, 122, 1053–1055. [Google Scholar]
- Amin, A.; Winblad, O.; Zupon, A.; Fan, F.; Tawfik, O.; Wick, J.; Hunt, S.; Gatewood, J.; Incardi, M.; Redick, M.; et al. Atypical ductal hyperplasia on percutaneous breast biopsy: Scoring system to identify the lowest risk for upgrade. Res. Sq. 2021. [Google Scholar] [CrossRef]
- Pinder, S.E.C.L.; Fox, S.B.; Schnitt, S.J.; van Deurzen, C.H.M.; Weaver, D.L.; Wesseling, J. Ductal Carcinoma in Situ. In WHO Classification of Tumours—Breast Tumours, 5th ed.; Board, E., Ed.; IARC: Lyon, France, 2019; p. 78. [Google Scholar]
- Cutuli, B.; Lemanski, C.; De Lafontan, B.; Chauvet, M.P.; De Lara, C.T.; Mege, A.; Fric, D.; Richard-Molard, M.; Mazouni, C.; Cuvier, C.; et al. Ductal Carcinoma in Situ: A French National Survey. Analysis of 2125 Patients. Clin. Breast Cancer 2020, 20, e164–e172. [Google Scholar] [CrossRef] [PubMed] [Green Version]
- Ellsworth, R.E.; Ellsworth, D.L.; Love, B.; Patney, H.L.; Hoffman, L.R.; Kane, J.; Hooke, J.A.; Shriver, C.D. Correlation of levels and patterns of genomic instability with histological grading of DCIS. Ann. Surg. Oncol. 2007, 14, 3070–3077. [Google Scholar] [CrossRef] [PubMed]
- Allison, K.H.C.L.; Sanders, M.E.; Visscher, D.W. Atypical ductal hyperplasia. In WHO Classification of Tumours—Breast Tumours, 5th ed.; IARC: Lyon, France, 2019; pp. 18–21. [Google Scholar]
- Stuart JSchnitt, L.C.C. Intraductal proliferative lesions: Usual ductal hyperplasia, atypical ductal hyperplasia and ductal carcinoma in situ. In Biopsy Interpretation of the Breast; Stuart, J., Schnitt, L.C.C., Eds.; Wolters Kluwer: Beijing, China, 2018; pp. 62–112. [Google Scholar]
- Schiaffino, S.; Calabrese, M.; Melani, E.F.; Trimboli, R.M.; Cozzi, A.; Carbonaro, L.A.; Di Leo, G.; Sardanelli, F. Upgrade Rate of Percutaneously Diagnosed Pure Atypical Ductal Hyperplasia: Systematic Review and Meta-Analysis of 6458 Lesions. Radiology 2020, 294, 76–86. [Google Scholar] [CrossRef] [PubMed]
- Burbank, F. Stereotactic breast biopsy of atypical ductal hyperplasia and ductal carcinoma in situ lesions: Improved accuracy with directional, vacuum-assisted biopsy. Radiology 1997, 202, 843–847. [Google Scholar] [CrossRef] [PubMed]
- Wei, X.; Li, Y.; Zhang, S.; Zhu, Y.; Fan, Y. Experience in large-core needle biopsy in the diagnosis of 1431 breast lesions. Med. Oncol. 2011, 28, 429–433. [Google Scholar] [CrossRef] [PubMed]
- Gomes, D.S.; Porto, S.S.; Balabram, D.; Gobbi, H. Inter-observer variability between general pathologists and a specialist in breast pathology in the diagnosis of lobular neoplasia, columnar cell lesions, atypical ductal hyperplasia and ductal carcinoma in situ of the breast. Diagn. Pathol. 2014, 9, 121. [Google Scholar] [CrossRef] [Green Version]
- Tozbikian, G.; Brogi, E.; Vallejo, C.E.; Giri, D.; Murray, M.; Catalano, J.; Olcese, C.; Van Zee, K.J.; Wen, H.Y. Atypical Ductal Hyperplasia Bordering on Ductal Carcinoma In Situ. Int. J. Surg. Pathol. 2017, 25, 100–107. [Google Scholar] [CrossRef] [PubMed] [Green Version]
- Huang, Y.X.; Chen, Y.L.; Li, S.P.; Shen, J.P.; Zuo, K.; Zhou, S.C.; Chang, C. Development and Validation of a Simple-to-Use Nomogram for Predicting the Upgrade of Atypical Ductal Hyperplasia on Core Needle Biopsy in Ultrasound-Detected Breast Lesions. Front. Oncol. 2020, 10, 609841. [Google Scholar] [CrossRef]
- Khoury, T.; Li, Z.; Sanati, S.; Desouki, M.M.; Chen, X.; Wang, D.; Liu, S.; Karabakhtsian, R.; Kumar, P.; Reig, B. The risk of upgrade for atypical ductal hyperplasia detected on magnetic resonance imaging-guided biopsy: A study of 100 cases from four academic institutions. Histopathology 2016, 68, 713–721. [Google Scholar] [CrossRef] [PubMed]
- Jackman, R.J.; Burbank, F.; Parker, S.H.; Evans, W.P., 3rd; Lechner, M.C.; Richardson, T.R.; Smid, A.A.; Borofsky, H.B.; Lee, C.H.; Goldstein, H.M.; et al. Stereotactic breast biopsy of nonpalpable lesions: Determinants of ductal carcinoma in situ underestimation rates. Radiology 2001, 218, 497–502. [Google Scholar] [CrossRef] [PubMed]
- Nicosia, L.; Di Giulio, G.; Bozzini, A.C.; Fanizza, M.; Ballati, F.; Rotili, A.; Lazzeroni, M.; Latronico, A.; Abbate, F.; Renne, G.; et al. Active Surveillance in the Management of Ductal Carcinoma in Situ: The Radiologist’s Point of View. Cancers 2021, 13, 868. [Google Scholar] [CrossRef] [PubMed]
- Khoury, T.; Jabbour, N.; Peng, X.; Yan, L.; Quinn, M. Atypical Ductal Hyperplasia and Those Bordering on Ductal Carcinoma In Situ Should Be Included in the Active Surveillance Clinical Trials. Am. J. Clin. Pathol. 2019, 153, 131–138. [Google Scholar] [CrossRef] [PubMed]
- Farshid, G.; Edwards, S.; Kollias, J.; Gill, P.G. Active surveillance of women diagnosed with atypical ductal hyperplasia on core needle biopsy may spare many women potentially unnecessary surgery, but at the risk of undertreatment for a minority: 10-year surgical outcomes of 114 consecutive cases from a single center. Mod. Pathol. 2018, 31, 395–405. [Google Scholar] [PubMed] [Green Version]
- Grimm, L.J.; Ryser, M.D.; Partridge, A.H.; Thompson, A.M.; Thomas, J.S.; Wesseling, J.; Hwang, E.S. Surgical Upstaging Rates for Vacuum Assisted Biopsy Proven DCIS: Implications for Active Surveillance Trials. Ann. Surg. Oncol. 2017, 24, 3534–3540. [Google Scholar] [CrossRef]
- Soumian, S.; Verghese, E.T.; Booth, M.; Sharma, N.; Chaudhri, S.; Bradley, S.; Umranikar, S.; Millican-Slater, R.; Hanby, A.; Francis, A. Concordance between vacuum assisted biopsy and postoperative histology: Implications for the proposed Low Risk DCIS Trial (LORIS). Eur. J. Surg. Oncol. 2013, 39, 1337–1340. [Google Scholar] [CrossRef]
- Pilewskie, M.; Stempel, M.; Rosenfeld, H.; Eaton, A.; Van Zee, K.J.; Morrow, M. Do LORIS Trial Eligibility Criteria Identify a Ductal Carcinoma In Situ Patient Population at Low Risk of Upgrade to Invasive Carcinoma? Ann. Surg. Oncol. 2016, 23, 3487–3493. [Google Scholar] [CrossRef]
- Jakub, J.W.; Murphy, B.L.; Gonzalez, A.B.; Conners, A.L.; Henrichsen, T.L.; Maimone, S.; Keeney, M.G.; McLaughlin, S.A.; Pockaj, B.A.; Chen, B.; et al. A Validated Nomogram to Predict Upstaging of Ductal Carcinoma in Situ to Invasive Disease. Ann. Surg. Oncol. 2017, 24, 2915–2924. [Google Scholar] [CrossRef]
- Patel, G.V.; Van Sant, E.P.; Taback, B.; Ha, R. Patient Selection for Ductal Carcinoma In Situ Observation Trials: Are the Lesions Truly Low Risk? AJR Am. J. Roentgenol. 2018, 211, 712–713. [Google Scholar] [CrossRef] [PubMed]
- Oseni, T.O.; Smith, B.L.; Lehman, C.D.; Vijapura, C.A.; Pinnamaneni, N.; Bahl, M. Do Eligibility Criteria for Ductal Carcinoma In Situ (DCIS) Active Surveillance Trials Identify Patients at Low Risk for Upgrade to Invasive Carcinoma? Ann. Surg. Oncol. 2020, 27, 4459–4465. [Google Scholar] [CrossRef] [PubMed]
- Khoury, T.; Quinn, M.; Tian, W.; Yan, L.; Zhan, H. Touching tumour-infiltrating lymphocytes in low-risk ductal carcinoma in situ (DCIS) correlate with upgrading to high-grade DCIS. Histopathology 2021, 80, 291–303. [Google Scholar] [CrossRef] [PubMed]
- Iwamoto, N.; Nara, M.; Horiguchi, S.-I.; Aruga, T. Surgical upstaging rates in patients meeting the eligibility for active surveillance trials. Jpn. J. Clin. Oncol. 2021, 51, 1219–1224. [Google Scholar] [CrossRef] [PubMed]
- De Paz Villanueva, C.C.; Bonev, V.; Senthil, M.; Solomon, N.; Reeves, M.E.; Garberoglio, C.A.; Namm, J.P.; Lum, S.S. Factors Associated With Underestimation of Invasive Cancer in Patients With Ductal Carcinoma In Situ: Precautions for Active Surveillance. JAMA Surg. 2017, 152, 1007–1014. [Google Scholar] [CrossRef]
- Van Bockstal, M.R.; Berlière, M.; Duhoux, F.P.; Galant, C. Interobserver Variability in Ductal Carcinoma In Situ of the Breast. Am. J. Clin. Pathol. 2020, 154, 596–609. [Google Scholar] [CrossRef] [PubMed]
- Dano, H.; Altinay, S.; Arnould, L.; Bletard, N.; Colpaert, C.; Dedeurwaerdere, F.; Dessauvagie, B.; Duwel, V.; Floris, G.; Fox, S.; et al. Interobserver variability in upfront dichotomous histopathological assessment of ductal carcinoma in situ of the breast: The DCISion study. Mod. Pathol. 2020, 33, 354–366. [Google Scholar] [CrossRef]
- Sneige, N.; Lagios, M.D.; Schwarting, R.; Colburn, W.; Atkinson, E.; Weber, D.; Sahin, A.; Kemp, B.; Hoque, A.; Risin, S.; et al. Interobserver reproducibility of the Lagios nuclear grading system for ductal carcinoma in situ. Hum. Pathol. 1999, 30, 257–262. [Google Scholar] [CrossRef]
- Van Dooijeweert, C.; van Diest, P.J.; Willems, S.M.; Kuijpers, C.; Overbeek, L.I.H.; Deckers, I.A.G. Significant inter- and intra-laboratory variation in grading of ductal carcinoma in situ of the breast: A nationwide study of 4901 patients in The Netherlands. Breast Cancer Res. Treat. 2019, 174, 479–488. [Google Scholar] [CrossRef] [Green Version]
- Podoll, M.B.; Reisenbichler, E.S.; Roland, L.; Bruner, A.; Mizuguchi, S.; Sanders, M.A.G. Feasibility of the Less Is More Approach in Treating Low-Risk Ductal Carcinoma In Situ Diagnosed on Core Needle Biopsy: Ten-Year Review of Ductal Carcinoma In Situ Upgraded to Invasion at Surgery. Arch. Pathol. Lab. Med. 2018, 142, 1120–1126. [Google Scholar] [CrossRef]
- He, X.; Ji, J.; Tian, M.; Esteva, F.J.; Hortobagyi, G.N.; Yeung, S.-C.J. Long-Term Survival Analysis of Adjuvant Chemotherapy with or without Trastuzumab in Patients with T1, Node-Negative HER2-Positive Breast Cancer. Clin. Cancer Res. 2019, 25, 7388–7395. [Google Scholar] [CrossRef] [Green Version]
- An, X.; Lei, X.; Huang, R.; Luo, R.; Li, H.; Xu, F.; Yuan, Z.; Wang, S.; de Nonneville, A.; Gonçalves, A.; et al. Adjuvant chemotherapy for small, lymph node–negative, triple-negative breast cancer: A single-center study and a meta-analysis of the published literature. Cancer 2020, 126 (Suppl. S16), 3837–3846. [Google Scholar] [CrossRef]
- Cserni, G.; Sejben, A. Grading Ductal Carcinoma In Situ (DCIS) of the Breast—What’s Wrong with It? Pathol. Oncol. Res. 2020, 26, 665–671. [Google Scholar] [CrossRef] [PubMed] [Green Version]
- The Consensus Conference Committee. Consensus Conference on the classification of ductal carcinoma in situ. Cancer 1997, 80, 1798–1802. [Google Scholar] [CrossRef]
- Lagios, M.D. Duct carcinoma in situ. Pathology and treatment. Surg. Clin. N. Am. 1990, 70, 853–871. [Google Scholar] [CrossRef]
- College of American Pathologists. Protocol for the Examination of Resection Specimens from Patients with Ductal Carcinoma In Situ (DCIS) of the Breast. Version: 4.4.0.0. 2021. Available online: https://documents.cap.org/protocols/Breast.DCIS_4.4.0.0.REL_CAPCP.pdf (accessed on 1 December 2021).
- Collins, L.C.; Tamimi, R.M.; Baer, H.J.; Connolly, J.L.; Colditz, G.A.; Schnitt, S.J. Outcome of patients with ductal carcinoma in situ untreated after diagnostic biopsy: Results from the Nurses’ Health Study. Cancer 2005, 103, 1778–1784. [Google Scholar] [CrossRef] [PubMed]
- Sanders, M.E.; Schuyler, P.A.; Dupont, W.D.; Page, D.L. The natural history of low-grade ductal carcinoma in situ of the breast in women treated by biopsy only revealed over 30 years of long-term follow-up. Cancer 2005, 103, 2481–2484. [Google Scholar] [CrossRef]
- Maxwell, A.J.; Clements, K.; Hilton, B.; Dodwell, D.J.; Evans, A.; Kearins, O.; Pinder, S.E.; Thomas, J.; Wallis, M.G.; Thompson, A.M.; et al. Risk factors for the development of invasive cancer in unresected ductal carcinoma in situ. Eur. J. Surg. Oncol. 2018, 44, 429–435. [Google Scholar] [CrossRef] [Green Version]
- Ryser, M.D.; Weaver, D.L.; Zhao, F.; Worni, M.; Grimm, L.J.; Gulati, R.; Etzioni, R.; Hyslop, T.; Lee, S.J.; Hwang, E.S. Cancer Outcomes in DCIS Patients Without Locoregional Treatment. J. Natl. Cancer Inst. 2019, 111, 952–960. [Google Scholar] [CrossRef]
- Chootipongchaivat, S.; van Ravesteyn, N.T.; Li, X.; Huang, H.; Weedon-Fekjær, H.; Ryser, M.D.; Weaver, D.L.; Burnside, E.S.; Heckman-Stoddard, B.M.; De Koning, H.J.; et al. Modeling the natural history of ductal carcinoma in situ based on population data. Breast Cancer Res. 2020, 22, 53. [Google Scholar] [CrossRef]
- Rudloff, U.; Jacks, L.M.; Goldberg, J.I.; Wynveen, C.A.; Brogi, E.; Patil, S.; Van Zee, K.J. Nomogram for predicting the risk of local recurrence after breast-conserving surgery for ductal carcinoma in situ. J. Clin. Oncol. 2010, 28, 3762–3769. [Google Scholar] [CrossRef]
- Rakovitch, E.; Nofech-Mozes, S.; Hanna, W.; Baehner, F.L.; Saskin, R.; Butler, S.M.; Tuck, A.B.; Sengupta, S.; Elavathil, L.; Jani, P.A.; et al. A population-based validation study of the DCIS Score predicting recurrence risk in individuals treated by breast-conserving surgery alone. Breast Cancer Res. Treat. 2015, 152, 389–398. [Google Scholar] [CrossRef] [Green Version]
- Rakovitch, E.; Gray, R.; Baehner, F.L.; Sutradhar, R.; Crager, M.; Gu, S.; Nofech-Mozes, S.; Badve, S.; Hanna, W.; Hughes, L.L.; et al. Refined estimates of local recurrence risks by DCIS score adjusting for clinicopathological features: A combined analysis of ECOG-ACRIN E5194 and Ontario DCIS cohort studies. Breast Cancer Res. Treat. 2018, 169, 359–369. [Google Scholar] [CrossRef] [PubMed] [Green Version]
- Silverstein, M.J.; Lagios, M.D. Choosing treatment for patients with ductal carcinoma in situ: Fine tuning the University of Southern California/Van Nuys Prognostic Index. J. Natl. Cancer Inst. Monogr. 2010, 2010, 193–196. [Google Scholar] [CrossRef] [PubMed] [Green Version]
- Nofech-Mozes, S.; Hanna, W.; Rakovitch, E. Molecular Evaluation of Breast Ductal Carcinoma in Situ with Oncotype DX DCIS. Am. J. Pathol. 2019, 189, 975–980. [Google Scholar] [CrossRef] [Green Version]
- Breast Cancer Screening and Diagnosis. USA; Version: 1.2021. 2021. Available online: https://www.nccn.org/professionals/physician_gls/pdf/breast-screening.pdf (accessed on 1 December 2021).
- Caplain, A.; Drouet, Y.; Peyron, M.; Peix, M.; Faure, C.; Chassagne-Clément, C.; Beurrier, F.; Fondrevelle, M.-E.; Guérin, N.; Lasset, C.; et al. Management of patients diagnosed with atypical ductal hyperplasia by vacuum-assisted core biopsy: A prospective assessment of the guidelines used at our institution. Am. J. Surg. 2014, 208, 260–267. [Google Scholar] [CrossRef]
- Huang, J.; Mackillop, W.J. Increased risk of soft tissue sarcoma after radiotherapy in women with breast carcinoma. Cancer 2001, 92, 172–180. [Google Scholar] [CrossRef]
- Mouridsen, H.; Keshaviah, A.; Coates, A.S.; Rabaglio, M.; Castiglione-Gertsch, M.; Sun, Z.; Thürlimann, B.; Mauriac, L.; Forbes, J.F.; Paridaens, R.; et al. Cardiovascular adverse events during adjuvant endocrine therapy for early breast cancer using letrozole or tamoxifen: Safety analysis of BIG 1-98 trial. J. Clin. Oncol. 2007, 25, 5715–5722. [Google Scholar] [CrossRef] [PubMed] [Green Version]
- Miller, N.A.; Chapman, J.-A.W.; Qian, J.; Christens-Barry, W.A.; Fu, Y.; Yuan, Y.; Lickley, H.L.; Axelrod, D.E. Heterogeneity Between Ducts of the Same Nuclear Grade Involved by Duct Carcinoma In Situ (DCIS) of the Breast. Cancer Inf. 2010, 9, 209–216. [Google Scholar]
- Cowell, C.F.; Weigelt, B.; Sakr, R.A.; Ng, C.K.; Hicks, J.; King, T.A.; Reis-Filho, J.S. Progression from ductal carcinoma in situ to invasive breast cancer: Revisited. Mol. Oncol. 2013, 7, 859–869. [Google Scholar] [CrossRef]
- Schnitt, S.J.; Connolly, J.L.; Tavassoli, F.A.; Fechner, R.E.; Kempson, R.L.; Gelman, R.; Page, D.L. Interobserver reproducibility in the diagnosis of ductal proliferative breast lesions using standardized criteria. Am. J. Surg. Pathol. 1992, 16, 1133–1143. [Google Scholar] [CrossRef]
- Elmore, J.G.; Nelson, H.D.; Pepe, M.S.; Longton, G.M.; Tosteson, A.N.; Geller, B.; Onega, T.; Carney, P.A.; Jackson, S.L.; Allison, K.H.; et al. Variability in Pathologists’ Interpretations of Individual Breast Biopsy Slides: A Population Perspective. Ann. Intern. Med. 2016, 164, 649–655. [Google Scholar] [CrossRef] [PubMed]
- Elmore, J.G.; Longton, G.M.; Carney, P.A.; Geller, B.M.; Onega, T.; Tosteson, A.N.; Nelson, H.D.; Pepe, M.S.; Allison, K.H.; Schnitt, S.J.; et al. Diagnostic concordance among pathologists interpreting breast biopsy specimens. JAMA 2015, 313, 1122–1132. [Google Scholar] [CrossRef] [PubMed]
- Jackson, S.L.; Frederick, P.D.; Pepe, M.S.; Nelson, H.D.; Weaver, D.L.; Allison, K.H.; Carney, P.A.; Geller, B.M.; Tosteson, A.N.A.; Onega, T.; et al. Diagnostic Reproducibility: What Happens When the Same Pathologist Interprets the Same Breast Biopsy Specimen at Two Points in Time? Ann. Surg. Oncol. 2017, 24, 1234–1241. [Google Scholar] [CrossRef] [PubMed] [Green Version]
- Miller, N.A.; Chapman, J.A.; Fish, E.B.; Link, M.A.; Fishell, E.; Wright, B.; Lickley, H.L.A.; McCready, D.R.; Hanna, W.M. In situ duct carcinoma of the breast: Clinical and histopathologic factors and association with recurrent carcinoma. Breast J. 2001, 7, 292–302. [Google Scholar] [CrossRef] [PubMed]
- Ellis, I.O.C.P.; Hales, S.; Lee, A.H.S.; Pinder, S.E.; Rakha, E.; Al-Sam, S.; Deb, R.; Hanby, A.; Liebmann, R.; Provenzano, E. Pathology Reporting of Breast Disease in Surgical Excision Specimens Incorporating the Dataset for Histological Reporting of Breast Cancer. The Royal College of Pathologists. 2016. Available online: https://www.rcpath.org/uploads/assets/7763be1c-d330-40e8-95d08f955752792a/G148_BreastDataset-hires-Jun16.pdf (accessed on 3 December 2021).







| COMET | LORIS | LORD | LORETTA | |
|---|---|---|---|---|
| Age | ≥40 | ≥46 | ≥45 | ≥40; ≤75 |
| Inclusion criteria | Imaging criteria:
| Imaging criteria:
| Imaging criteria:
| Imaging criteria:
|
Pathology Criteria:
| Pathology Criteria:
| Pathology Criteria:
| Pathology Criteria:
| |
| Exclusion criteria |
|
|
|
|
| Hormonal therapy | Optional | Not possible | Not possible | Mandatory |
| Design/Randomization | Two arms:
| Two arms:
| Two arms:
| Single arm |
| Follow-up | 2, 5, and 7 years | 10 years | 10 years | 5, 10 years |
| Endpoint | Primary: At 2, 5, 7 years:
At 2 years:
| Primary:
| Primary:
| Primary:
|
| Author (Year) (Ref.) | Eligibility Criteria | Type of Upgraded to No. Upgraded/Total (%) | Risk Factors |
|---|---|---|---|
| Khoury (2019) [48] | COMET | iBC 2/124 (1.6) * | Not studied |
| iBC 3/41 (7.3) | |||
| Grimm (2017) [50] | COMET | DCIS to iBC 5/81 (6) |
|
| COMET | HG-DCIS 6/81 (7) | ||
| LORIS | iBC 5/74 (7) | ||
| LORIS | HG-DCIS 5/74 (7) | ||
| LORD | iBC 1/10 (10) | ||
| LORD | HG-DCIS 1/10 (10) | ||
| Soumian (2013) [51] | LORIS | HG-DCIS 1/19 (5) | |
| iBC 0/19 (0) | |||
| Pilewskie (2016) [52] | LORIS | iBC 58/296 (20) |
|
| Jakub (2017) [53] | LORIS | iBC 16/241 (6.6) | Not studied |
| Patel (2018) [54] | COMET | iBC 5/23 (22) | Not studied |
| LORIS | iBC 6/25 (24) | Not studied | |
| Oseni (2020) [55] | COMET | iBC 60/498 (12) | Not studied |
| LORD | iBC 5/101 (5) | Not studied | |
| LORIS | iBC 38/343 (11.1) | Not studied | |
| Zhan (2021) [23] | COMET | HG-DCIS and/or iBC 26/129 (20.2) | Span of mammographic calcifications (1.1 cm cutoff) |
| iBC 12/129 (9.3) |
| ||
| Khoury (2021) [56] | COMET | HG-DCIS 14/129 (10.9) |
|
| Iwamoto (2021) [57] | LORIS | iBC 10/53 (19) | Not studied |
| COMET | iBC 14/90 (16) | Not studied | |
| LORD | iBC 6/24 (25) | Not studied | |
| LORETTA | iBC 4/34 (12) | Not studied |
Publisher’s Note: MDPI stays neutral with regard to jurisdictional claims in published maps and institutional affiliations. |
© 2022 by the author. Licensee MDPI, Basel, Switzerland. This article is an open access article distributed under the terms and conditions of the Creative Commons Attribution (CC BY) license (https://creativecommons.org/licenses/by/4.0/).
Share and Cite
Khoury, T. Preneoplastic Low-Risk Mammary Ductal Lesions (Atypical Ductal Hyperplasia and Ductal Carcinoma In Situ Spectrum): Current Status and Future Directions. Cancers 2022, 14, 507. https://doi.org/10.3390/cancers14030507
Khoury T. Preneoplastic Low-Risk Mammary Ductal Lesions (Atypical Ductal Hyperplasia and Ductal Carcinoma In Situ Spectrum): Current Status and Future Directions. Cancers. 2022; 14(3):507. https://doi.org/10.3390/cancers14030507
Chicago/Turabian StyleKhoury, Thaer. 2022. "Preneoplastic Low-Risk Mammary Ductal Lesions (Atypical Ductal Hyperplasia and Ductal Carcinoma In Situ Spectrum): Current Status and Future Directions" Cancers 14, no. 3: 507. https://doi.org/10.3390/cancers14030507
APA StyleKhoury, T. (2022). Preneoplastic Low-Risk Mammary Ductal Lesions (Atypical Ductal Hyperplasia and Ductal Carcinoma In Situ Spectrum): Current Status and Future Directions. Cancers, 14(3), 507. https://doi.org/10.3390/cancers14030507
