NSAIDs Overcome PIK3CA Mutation-Mediated Resistance to EGFR Inhibition in Head and Neck Cancer Preclinical Models
Abstract
Simple Summary
Abstract
1. Introduction
2. Results
2.1. PIK3CA-Mutant HNSCC Cells Are Resistant to EGFR Inhibition
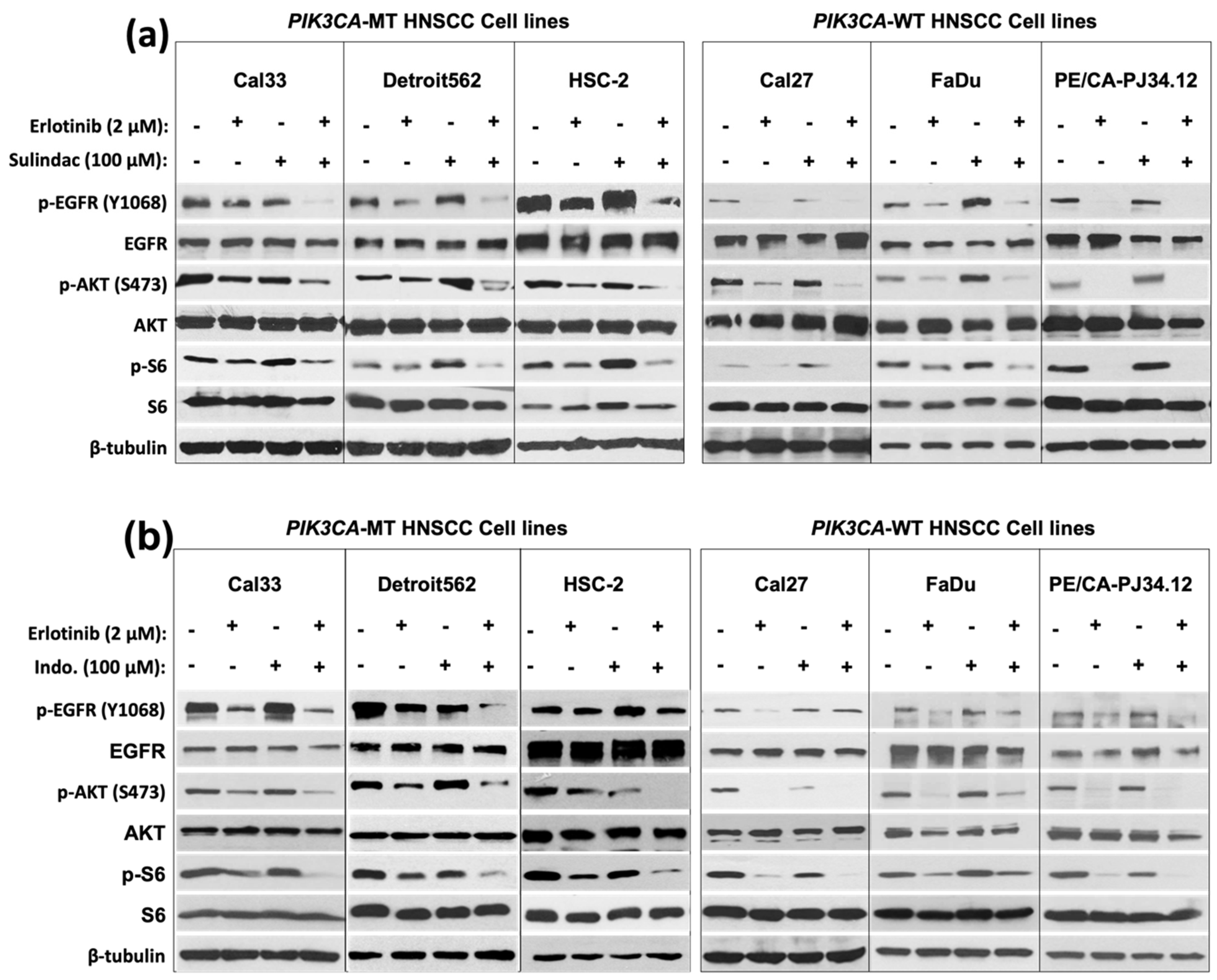
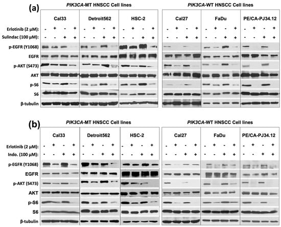
2.2. NSAIDs Overcome PIK3CA Mutation-Mediated Erlotinib Resistance
3. Discussion
4. Materials and Methods
4.1. Cell Lines
4.2. Stable Cell Line Generation
4.3. Drug Treatment
4.4. Apoptosis Assays
4.5. Colony Formation Assays
4.6. Immunoblotting
4.7. Animals
4.8. Statistics
5. Conclusions
Supplementary Materials
Author Contributions
Funding
Institutional Review Board Statement
Informed Consent Statement
Data Availability Statement
Conflicts of Interest
References
- Network, C.G.A. Comprehensive genomic characterization of head and neck squamous cell carcinomas. Nature 2015, 517, 576–582. [Google Scholar] [CrossRef]
- Wang, Z.; Martin, D.; Molinolo, A.A.; Patel, V.; Iglesias-Bartolome, R.; Degese, M.S.; Vitale-Cross, L.; Chen, Q.; Gutkind, J.S. mTOR Co-Targeting in Cetuximab Resistance in Head and Neck Cancers Harboring PIK3CA and RAS Mutations. J. Natl. Cancer Inst. 2014, 106. [Google Scholar] [CrossRef]
- Li, H.; Wawrose, J.S.; Gooding, W.E.; Garraway, L.A.; Lui, V.W.Y.; Peyser, N.D.; Grandis, J.R. Molecular profiling of HNSCC cells and tumors reveals a rational approach to preclinical model selection. Mol. Cancer Res. 2014, 12, 571–582. [Google Scholar] [CrossRef]
- Thomas, S.; Bhola, N.E.; Zhang, Q.; Contrucci, S.C.; Wentzel, A.L.; Freilino, M.L.; Gooding, W.E.; Siegfried, J.M.; Chan, D.C.; Grandis, J.R. Cross-talk between G Protein–Coupled Receptor and Epidermal Growth Factor Receptor Signaling Pathways Contributes to Growth and Invasion of Head and Neck Squamous Cell Carcinoma. Cancer Res. 2006, 66, 11831–11839. [Google Scholar] [CrossRef] [PubMed]
- Lui, V.W.Y.; Thomas, S.M.; Zhang, Q.; Wentzel, A.L.; Siegfried, J.M.; Li, J.Y.; Grandis, J.R. Mitogenic effects of gastrin-releasing peptide in head and neck squamous cancer cells are mediated by activation of the epidermal growth factor receptor. Oncogene 2003, 22, 6183–6193. [Google Scholar] [CrossRef]
- Zhang, Q.; Thomas, S.M.; Xi, S.; Smithgall, T.E.; Siegfried, J.M.; Kamens, J.; Gooding, W.E.; Grandis, J.R. SRC family kinases medi-ate epidermal growth factor receptor ligand cleavage, proliferation, and invasion of head and neck cancer cells. Cancer Res. 2004, 64, 6166–6173. [Google Scholar] [CrossRef]
- Zhang, W.; Bhola, N.; Kalyankrishna, S.; Gooding, W.; Hunt, J.; Seethala, R.; Grandis, J.R.; Siegfried, J.M. Kinin b2 receptor medi-ates induction of cyclooxygenase-2 and is overexpressed in head and neck squamous cell carcinomas. Mol. Cancer Res. 2008, 6, 1946–1956. [Google Scholar] [CrossRef] [PubMed][Green Version]
- Nathan, C.-A.O.; Leskov, I.L.; Lin, M.; Abreo, F.W.; Shi, R.; Hartman, G.H.; Glass, J. COX-2 expression in dysplasia of the head and neck. Cancer 2001, 92, 1888–1895. [Google Scholar] [CrossRef]
- Ahmadi, N.; Goldman, R.; Seillier-Moiseiwitsch, F.; Noone, A.-M.; Kosti, O.; Davidson, B.J. Decreased risk of squamous cell carci-noma of the head and neck in users of nonsteroidal anti-inflammatory drugs. Int. J. Otolaryngol. 2010, 2010, 424161. [Google Scholar] [CrossRef] [PubMed]
- Saba, N.F.; Hurwitz, S.J.; Kono, S.A.; Yang, C.S.; Zhao, Y.; Chen, Z.; Sica, G.; Müller, S.; Moreno-Williams, R.; Lewis, M. Chemo-prevention of head and neck cancer with celecoxib and erlotinib: Results of a phase ib and pharmacokinetic study. Cancer Prev. Res. 2014, 7, 283–291. [Google Scholar] [CrossRef]
- Gross, N.D.; Bauman, J.E.; Gooding, W.E.; Denq, W.; Thomas, S.; Wang, L.; Chiosea, S.; Hood, B.L.; Flint, M.; Sun, M.; et al. Erlotinib, Erlotinib–Sulindac versus Placebo: A Randomized, Double-Blind, Placebo-Controlled Window Trial in Operable Head and Neck Cancer. Clin. Cancer Res. 2014, 20, 3289–3298. [Google Scholar] [CrossRef]
- Bhola, N.E.; Thomas, S.; Freilino, M.; Joyce, S.; Sahu, A.; Maxwell, J.; Argiris, A.; Seethala, R.; Grandis, J.R. Targeting GPCR-Mediated p70S6K Activity May Improve Head and Neck Cancer Response to Cetuximab. Clin. Cancer Res. 2011, 17, 4996–5004. [Google Scholar] [CrossRef]
- Abrahao, A.C.; Giudice, F.S.; Sperandio, F.F.; Junior, D.D.S.P. Effects of celecoxib treatment over the AKT pathway in head and neck squamous cell carcinoma. J. Oral Pathol. Med. 2013, 42, 793–798. [Google Scholar] [CrossRef]
- Liao, X.; Lochhead, P.; Nishihara, R.; Morikawa, T.; Kuchiba, A.; Yamauchi, M.; Imamura, Y.; Qian, Z.R.; Baba, Y.; Shima, K. As-pirin use, tumor PIK3CA mutation, and colorectal-cancer survival. N. Engl. J. Med. 2012, 367, 1596–1606. [Google Scholar] [CrossRef] [PubMed]
- Duvvuri, U.; George, J.; Kim, S.; Alvarado, D.; Neumeister, V.M.; Chenna, A.; Gedrich, R.; Hawthorne, T.; Lavallee, T.; Grandis, J.R.; et al. Molecular and Clinical Activity of CDX-3379, an Anti-ErbB3 Monoclonal Antibody, in Head and Neck Squamous Cell Carcinoma Patients. Clin. Cancer Res. 2019, 25, 5752–5758. [Google Scholar] [CrossRef] [PubMed]
- Hedberg, M.L.; Peyser, N.D.; Bauman, J.E.; Gooding, W.E.; Li, H.; Bhola, N.E.; Zhu, T.R.; Zeng, Y.; Brand, T.M.; Kim, M.-O.; et al. Use of nonsteroidal anti-inflammatory drugs predicts improved patient survival for PIK3CA-altered head and neck cancer. J. Exp. Med. 2019, 216, 419–427. [Google Scholar] [CrossRef] [PubMed]
- Bonner, J.A.; Harari, P.M.; Giralt, J.; Azarnia, N.; Shin, D.M.; Cohen, R.B.; Jones, C.U.; Sur, R.; Raben, D.; Jassem, J.; et al. Radiotherapy plus Cetuximab for Squamous-Cell Carcinoma of the Head and Neck. N. Engl. J. Med. 2006, 354, 567–578. [Google Scholar] [CrossRef]
- Chapman, C.H.; Saba, N.F.; Yom, S.S. Targeting epidermal growth factor receptor for head and neck squamous cell carcinoma: Still lost in translation? Ann. Transl. Med. 2016, 4, 80. [Google Scholar]
- Kim, B.J.; Jeong, J.H.; Kim, H.S.; Kim, J.H. The role of anti-EGFR agents in patients with locoregionally advanced head and neck cancer: A meta-analysis of randomized trials. Oncotarget 2017, 8, 102371–102380. [Google Scholar] [CrossRef]
- Cohen, E.E.; Davis, D.W.; Karrison, T.G.; Seiwert, T.Y.; Wong, S.J.; Nattam, S.; Kozloff, M.F.; Clark, J.I.; Yan, D.-H.; Liu, W.; et al. Erlotinib and bevacizumab in patients with recurrent or metastatic squamous-cell carcinoma of the head and neck: A phase I/II study. Lancet Oncol. 2009, 10, 247–257. [Google Scholar] [CrossRef]
- Van Allen, E.M.; Lui, V.W.; Egloff, A.M.; Goetz, E.M.; Li, H.; Johnson, J.T.; Duvvuri, U.; Bauman, J.E.; Stransky, N.; Zeng, Y. Ge-nomic Correlate of Exceptional Erlotinib Response in Head and Neck Squamous Cell Carcinoma. JAMA Oncol. 2015, 1, 238–244. [Google Scholar] [CrossRef]
- Kao, J.; Genden, E.M.; Chen, C.-T.; Rivera, M.; Tong, C.C.L.; Misiukiewicz, K.; Gupta, V.; Gurudutt, V.; Teng, M.; Packer, S.H. Phase 1 trial of concurrent erlotinib, celecoxib, and reirradiation for recurrent head and neck cancer. Cancer 2011, 117, 3173–3181. [Google Scholar] [CrossRef]
- Brauswetter, D.; Dános, K.; Gurbi, B.; Félegyházi, É.F.; Birtalan, E.; Meggyesházi, N.; Krenács, T.; Tamás, L.; Peták, I. Copy num-ber gain of PIK3CA and MET is associated with poor prognosis in head and neck squamous cell carcinoma. Virchows Arch. 2016, 468, 579–587. [Google Scholar] [CrossRef]
- Xu, J.-M.; Wang, Y.; Wang, Y.-L.; Liu, T.; Ni, M.; Li, M.; Lin, L.; Ge, F.-J.; Gong, C.; Gu, J.-Y.; et al. PIK3CA Mutations Contribute to Acquired Cetuximab Resistance in Patients with Metastatic Colorectal Cancer. Clin. Cancer Res. 2017, 23, 4602–4616. [Google Scholar] [CrossRef]
- Beaty, B.T.; Moon, D.H.; Shen, C.J.; Amdur, R.J.; Weiss, J.; Grilley-Olson, J.; Patel, S.; Zanation, A.; Hackman, T.G.; Thorp, B.; et al. PIK3CA Mutation in HPV-Associated OPSCC Patients Receiving Deintensified Chemoradiation. J. Natl. Cancer Inst. 2019, 112, 855–858. [Google Scholar] [CrossRef]
- Mazumdar, T.; Byers, L.A.; Ng, P.K.S.; Mills, G.B.; Peng, S.; Diao, L.; Fan, Y.-H.; Stemke-Hale, K.; Heymach, J.V.; Myers, J.N.; et al. A Comprehensive Evaluation of Biomarkers Predictive of Response to PI3K Inhibitors and of Resistance Mechanisms in Head and Neck Squamous Cell Carcinoma. Mol. Cancer Ther. 2014, 13, 2738–2750. [Google Scholar] [CrossRef]
- Zhou, X.; Wang, X.; Zhu, H.; Gu, G.; Zhan, Y.; Liu, C.; Sun, G. PI3K inhibition sensitizes EGFR wild-type NSCLC cell lines to erlo-tinib chemotherapy. Exp. Ther. Med. 2021, 21, 9. [Google Scholar] [PubMed]
- Network, C.G.A. Comprehensive molecular characterization of human colon and rectal cancer. Nature 2012, 487, 330. [Google Scholar] [CrossRef] [PubMed]
- Algra, A.M.; Rothwell, P.M. Effects of regular aspirin on long-term cancer incidence and metastasis: A systematic comparison of evidence from observational studies versus randomised trials. Lancet Oncol. 2012, 13, 518–527. [Google Scholar] [CrossRef]
- Rothwell, P.M.; Fowkes, F.G.R.; Belch, J.J.; Ogawa, H.; Warlow, C.P.; Meade, T.W. Effect of daily aspirin on long-term risk of death due to cancer: Analysis of individual patient data from randomised trials. Lancet 2011, 377, 31–41. [Google Scholar] [CrossRef]
- Paleari, L.; Puntoni, M.; Clavarezza, M.; DeCensi, M.; Cuzick, J. PIK3CA Mutation, Aspirin Use after Diagnosis and Survival of Colorectal Cancer. A Systematic Review and Meta-analysis of Epidemiological Studies. Clin. Oncol. 2015, 28, 317–326. [Google Scholar] [CrossRef]
- Bosetti, C.; Talamini, R.; Franceschi, S.; Negri, E.; Garavello, W.; La Vecchia, C. Aspirin use and cancers of the upper aerodigestive tract. Br. J. Cancer 2003, 88, 672–674. [Google Scholar] [CrossRef] [PubMed]
- Macfarlane, T.V.; Macfarlane, G.J.; Thakker, N.S.; Benhamou, S.; Bouchardy, C.; Ahrens, W.; Pohlabeln, H.; Lagiou, P.; Lagiou, A.; Castellsague, X.; et al. Role of medical history and medication use in the aetiology of upper aerodigestive tract cancers in Europe: The ARCAGE study. Ann. Oncol. 2011, 23, 1053–1060. [Google Scholar] [CrossRef]
- Gillespie, M.B.; Moody, M.W.; Lee, F.-S.; Poole, L.J.; Hornig, J.D.; Lathers, D.; Young, M.R.; Day, T.A. Head and neck cancer re-currence and mortality in nonselective cyclooxygenase inhibitor users. Arch. Otolaryngol. Head Neck Surg. 2007, 133, 28–31. [Google Scholar]
- Rodrigues, M.F.; Gammon, L.; Rahman, M.M.; Biddle, A.; Nunes, F.D.; MacKenzie, I.C. Effects of Cetuximab and Erlotinib on the behaviour of cancer stem cells in head and neck squamous cell carcinoma. Oncotarget 2018, 9, 13488–13500. [Google Scholar] [CrossRef]
- Macha, M.A.; Rachagani, S.; Qazi, A.K.; Jahan, R.; Gupta, S.; Patel, A.; Seshacharyulu, P.; Lin, C.; Li, S.; Wang, S.; et al. Afatinib radiosensitizes head and neck squamous cell carcinoma cells by targeting cancer stem cells. Oncotarget 2017, 8, 20961–20973. [Google Scholar] [CrossRef] [PubMed]
- Seguin, L.; Kato, S.; Franovic, A.; Camargo, M.F.; Lesperance, J.; Elliott, K.C.; Yebra, M.; Mielgo, A.; Lowy, A.M.; Husain, H.; et al. An integrin β3–KRAS–RalB complex drives tumour stemness and resistance to EGFR inhibition. Nat. Cell Biol. 2014, 16, 457–468. [Google Scholar] [CrossRef]
- Vermorken, J.B.; Mesia, R.; Rivera, F.; Remenar, E.; Kawecki, A.; Rottey, S.; Erfan, J.; Zabolotnyy, D.; Kienzer, H.-R.; Cupissol, D.; et al. Platinum-Based Chemotherapy plus Cetuximab in Head and Neck Cancer. N. Engl. J. Med. 2008, 359, 1116–1127. [Google Scholar] [CrossRef]
- Montanuy, H.; Martinez-Barriocanal, A.; Casado, J.A.; Rovirosa, L.; Ramirez, M.J.; Nieto, R.; Carrascoso-Rubio, C.; Riera, P.; Gonzalez, A.; Lerma, E.; et al. Gefitinib and Afatinib Show Potential Efficacy for Fanconi Anemia–Related Head and Neck Cancer. Clin. Cancer Res. 2020, 26, 3044–3057. [Google Scholar] [CrossRef]
- Barretina, J.; Caponigro, G.; Stransky, N.; Venkatesan, K.; Margolin, A.A.; Kim, S.; Wilson, C.J.; Lehár, J.; Kryukov, G.V.; Sonkin, D. The Cancer Cell Line Encyclopedia enables predictive modelling of anticancer drug sensitivity. Nature 2012, 483, 603–607. [Google Scholar] [CrossRef] [PubMed]





Publisher’s Note: MDPI stays neutral with regard to jurisdictional claims in published maps and institutional affiliations. |
© 2022 by the authors. Licensee MDPI, Basel, Switzerland. This article is an open access article distributed under the terms and conditions of the Creative Commons Attribution (CC BY) license (https://creativecommons.org/licenses/by/4.0/).
Share and Cite
Li, H.; Peyser, N.D.; Zeng, Y.; Ha, P.K.; Johnson, D.E.; Grandis, J.R. NSAIDs Overcome PIK3CA Mutation-Mediated Resistance to EGFR Inhibition in Head and Neck Cancer Preclinical Models. Cancers 2022, 14, 506. https://doi.org/10.3390/cancers14030506
Li H, Peyser ND, Zeng Y, Ha PK, Johnson DE, Grandis JR. NSAIDs Overcome PIK3CA Mutation-Mediated Resistance to EGFR Inhibition in Head and Neck Cancer Preclinical Models. Cancers. 2022; 14(3):506. https://doi.org/10.3390/cancers14030506
Chicago/Turabian StyleLi, Hua, Noah D. Peyser, Yan Zeng, Patrick K. Ha, Daniel E. Johnson, and Jennifer R. Grandis. 2022. "NSAIDs Overcome PIK3CA Mutation-Mediated Resistance to EGFR Inhibition in Head and Neck Cancer Preclinical Models" Cancers 14, no. 3: 506. https://doi.org/10.3390/cancers14030506
APA StyleLi, H., Peyser, N. D., Zeng, Y., Ha, P. K., Johnson, D. E., & Grandis, J. R. (2022). NSAIDs Overcome PIK3CA Mutation-Mediated Resistance to EGFR Inhibition in Head and Neck Cancer Preclinical Models. Cancers, 14(3), 506. https://doi.org/10.3390/cancers14030506

