Clinical Management of Supratentorial Non-Skull Base Meningiomas
Abstract
Simple Summary
Abstract
1. Introduction
2. Epidemiology
3. Pathophysiology
4. Natural History of Asymptomatic Meningioma
5. Clinical Presentation of Symptomatic Meningioma
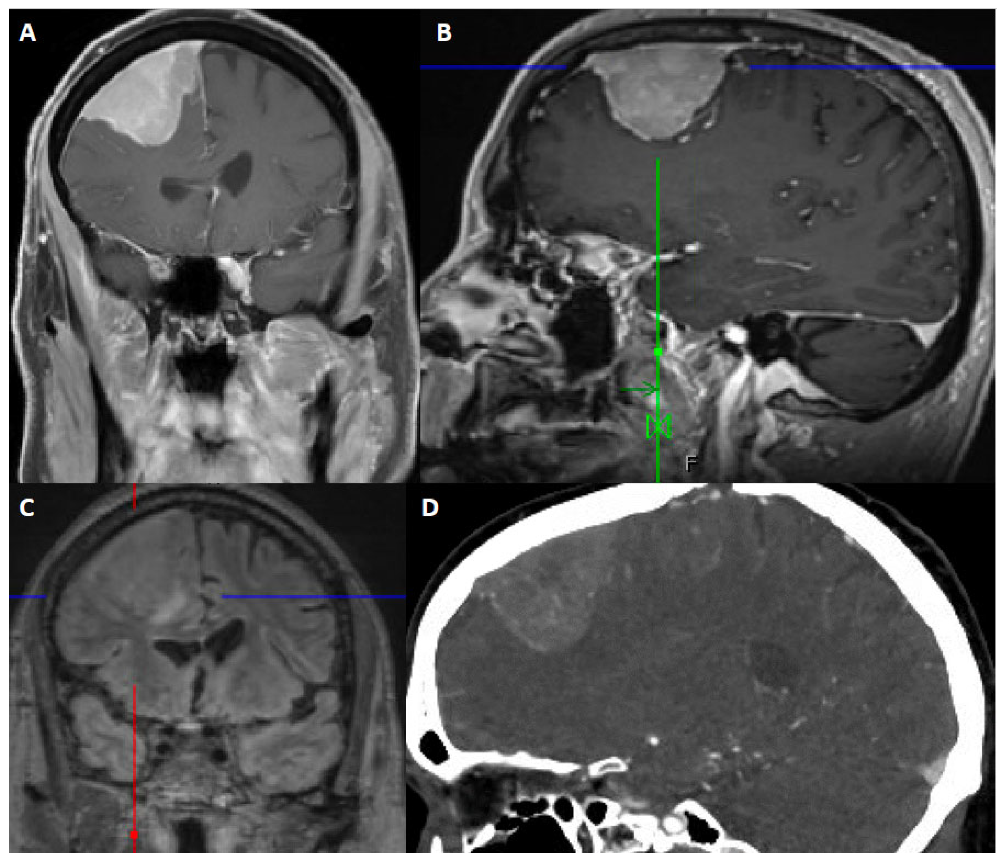
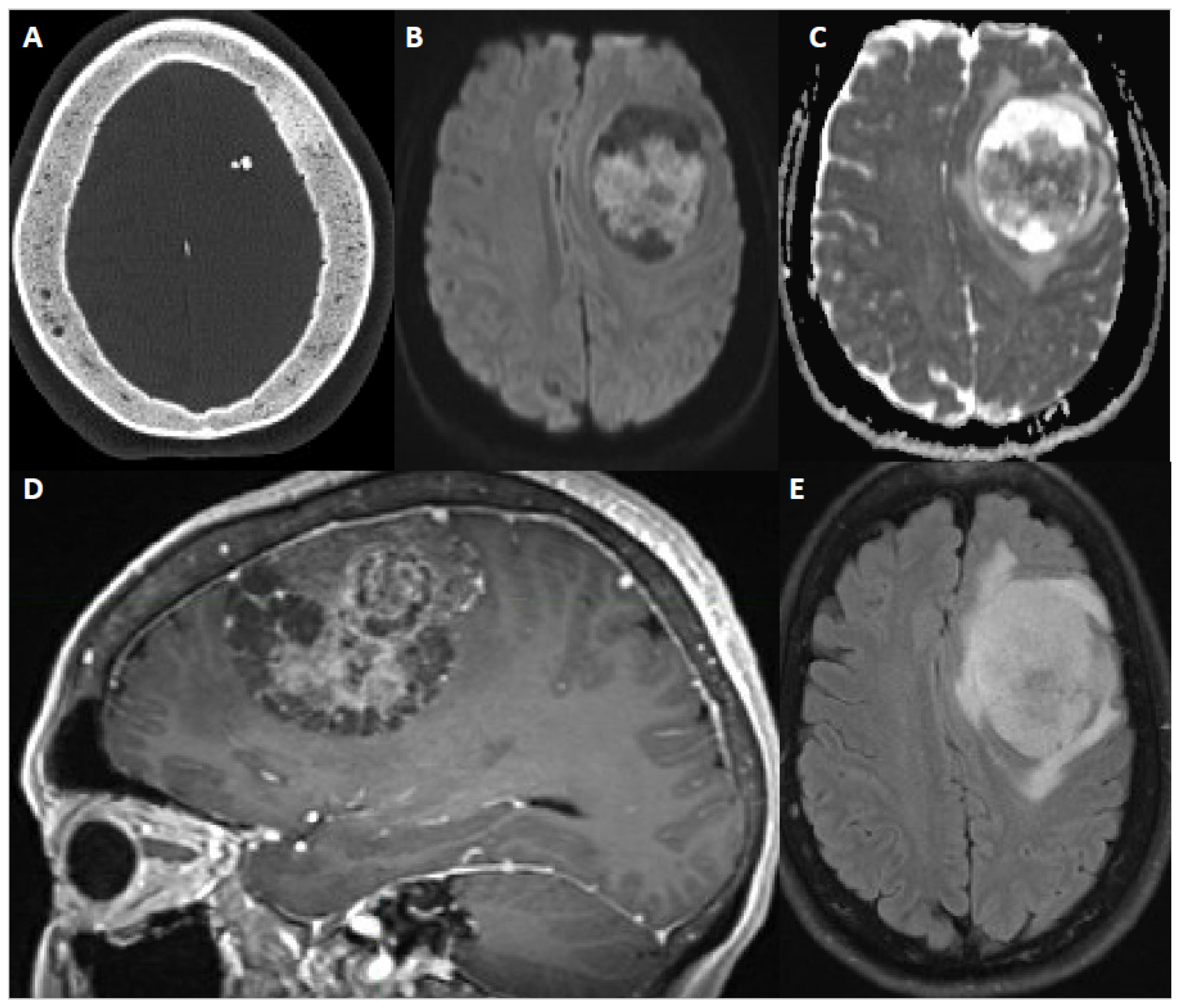
6. Imaging
7. Pathology and Molecular Diagnostics
8. Clinical Management
8.1. Observation
8.2. Surgery
8.3. Radiation
8.4. Systemic Therapies
9. Conclusions
Author Contributions
Funding
Conflicts of Interest
References
- Ostrom, Q.T.; Cioffi, G.; Waite, K.; Kruchko, C.; Barnholtz-Sloan, J.S. CBTRUS Statistical Report: Primary Brain and Other Central Nervous System Tumors Diagnosed in the United States in 2014–2018. Neuro-Oncology 2021, 23, iii1–iii105. [Google Scholar] [CrossRef] [PubMed]
- Larjavaara, S.; Haapasalo, H.; Sankila, R.; Helén, P.; Auvinen, A. Is the Incidence of Meningiomas Underestimated? A Regional Survey. Br. J. Cancer 2008, 99, 182–184. [Google Scholar] [CrossRef] [PubMed]
- Hosainey, S.A.M.; Bouget, D.; Reinertsen, I.; Sagberg, L.M.; Torp, S.H.; Jakola, A.S.; Solheim, O. Are There Predilection Sites for Intracranial Meningioma? A Population-Based Atlas. Neurosurg. Rev. 2022, 45, 1543–1552. [Google Scholar] [CrossRef] [PubMed]
- Meling, T.R.; Da Broi, M.; Scheie, D.; Helseth, E. Meningiomas: Skull Base versus Non-Skull Base. Neurosurg. Rev. 2019, 42, 163–173. [Google Scholar] [CrossRef]
- Li, X.; Wang, C.; Lin, Z.; Zhao, M.; Ren, X.; Zhang, X.; Jiang, Z. Risk Factors and Control of Seizures in 778 Chinese Patients Undergoing Initial Resection of Supratentorial Meningiomas. Neurosurg. Rev. 2020, 43, 597–608. [Google Scholar] [CrossRef]
- Magill, S.T.; Young, J.S.; Chae, R.; Aghi, M.K.; Theodosopoulos, P.V.; McDermott, M.W. Relationship between Tumor Location, Size, and WHO Grade in Meningioma. Neurosurg. Focus 2018, 44, E4. [Google Scholar] [CrossRef]
- Oya, S.; Ikawa, F.; Ichihara, N.; Wanibuchi, M.; Akiyama, Y.; Nakatomi, H.; Mikuni, N.; Narita, Y. Nation-Wide Brain Tumor Registry-Based Study of Intracranial Meningioma in Japan: Analysis of Surgery-Related Risks. Neurol. Med. Chir. 2021, 61, 98–106. [Google Scholar] [CrossRef] [PubMed]
- Liang, R.-F.; Xiu, Y.-J.; Wang, X.; Li, M.; Yang, Y.; Mao, Q.; Liu, Y.-H. The Potential Risk Factors for Atypical and Anaplastic Meningiomas: Clinical Series of 1,239 Cases. Int. J. Clin. Exp. Med. 2014, 7, 5696–5700. [Google Scholar]
- Sun, C.; Dou, Z.; Wu, J.; Jiang, B.; Iranmanesh, Y.; Yu, X.; Li, J.; Zhou, H.; Zhong, C.; Peng, Y.; et al. The Preferred Locations of Meningioma According to Different Biological Characteristics Based on Voxel-Wise Analysis. Front. Oncol. 2020, 10, 1412. [Google Scholar] [CrossRef]
- Meling, T.R.; Da Broi, M.; Scheie, D.; Helseth, E. Skull Base versus Non-Skull Base Meningioma Surgery in the Elderly. Neurosurg. Rev. 2019, 42, 961–972. [Google Scholar] [CrossRef]
- Ekşi, M.Ş.; Canbolat, Ç.; Akbaş, A.; Özmen, B.B.; Akpınar, E.; Usseli, M.İ.; Güngör, A.; Güdük, M.; Hacıhanefioğlu, M.; Erşen Danyeli, A.; et al. Elderly Patients with Intracranial Meningioma: Surgical Considerations in 228 Patients with a Comprehensive Analysis of the Literature. World Neurosurg. 2019, 132, e350–e365. [Google Scholar] [CrossRef] [PubMed]
- Yamamoto, J.; Takahashi, M.; Idei, M.; Nakano, Y.; Soejima, Y.; Akiba, D.; Kitagawa, T.; Ueta, K.; Miyaoka, R.; Nishizawa, S. Clinical Features and Surgical Management of Intracranial Meningiomas in the Elderly. Oncol. Lett. 2017, 14, 909–917. [Google Scholar] [CrossRef]
- Youngblood, M.W.; Tran, A.N.; Wang, W.; An, S.; Scholtens, D.; Zhang, L.; O’Shea, K.; Pokorny, J.L.; Magill, S.T.; Sachdev, S.; et al. Docetaxel Targets Aggressive Methylation Profiles and Serves as a Radiosensitizer in High-Risk Meningiomas. Neuro-Oncology 2022, 24, noac206. [Google Scholar] [CrossRef] [PubMed]
- O’Rahilly, R.; Müller, F. The Meninges in Human Development. J. Neuropathol. Exp. Neurol. 1986, 45, 588–608. [Google Scholar] [CrossRef] [PubMed]
- DeSisto, J.; O’Rourke, R.; Jones, H.E.; Pawlikowski, B.; Malek, A.D.; Bonney, S.; Guimiot, F.; Jones, K.L.; Siegenthaler, J.A. Single-Cell Transcriptomic Analyses of the Developing Meninges Reveal Meningeal Fibroblast Diversity and Function. Dev. Cell 2020, 54, 43–59.e4. [Google Scholar] [CrossRef] [PubMed]
- Siegenthaler, J.A.; Ashique, A.M.; Zarbalis, K.; Patterson, K.P.; Hecht, J.H.; Kane, M.A.; Folias, A.E.; Choe, Y.; May, S.R.; Kume, T.; et al. Retinoic Acid from the Meninges Regulates Cortical Neuron Generation. Cell 2009, 139, 597–609. [Google Scholar] [CrossRef]
- Mehrara, B.J.; Most, D.; Chang, J.; Bresnick, S.; Turk, A.; Schendel, S.A.; Gittes, G.K.; Longaker, M.T. Basic Fibroblast Growth Factor and Transforming Growth Factor Beta-1 Expression in the Developing Dura Mater Correlates with Calvarial Bone Formation. Plast. Reconstr. Surg. 1999, 104, 435–444. [Google Scholar] [CrossRef]
- Jiang, X.; Iseki, S.; Maxson, R.E.; Sucov, H.M.; Morriss-Kay, G.M. Tissue Origins and Interactions in the Mammalian Skull Vault. Dev. Biol. 2002, 241, 106–116. [Google Scholar] [CrossRef]
- Louveau, A.; Smirnov, I.; Keyes, T.J.; Eccles, J.D.; Rouhani, S.J.; Peske, J.D.; Derecki, N.C.; Castle, D.; Mandell, J.W.; Lee, K.S. Structural and Functional Features of Central Nervous System Lymphatic Vessels. Nature 2015, 523, 337. [Google Scholar] [CrossRef]
- Louveau, A.; Herz, J.; Alme, M.N.; Salvador, A.F.; Dong, M.Q.; Viar, K.E.; Herod, S.G.; Knopp, J.; Setliff, J.C.; Lupi, A.L.; et al. CNS Lymphatic Drainage and Neuroinflammation Are Regulated by Meningeal Lymphatic Vasculature. Nat. Neurosci. 2018, 21, 1380–1391. [Google Scholar] [CrossRef]
- Choudhury, A.; Magill, S.T.; Eaton, C.D.; Prager, B.C.; Chen, W.C.; Cady, M.A.; Seo, K.; Lucas, C.-H.G.; Casey-Clyde, T.J.; Vasudevan, H.N.; et al. Meningioma DNA Methylation Groups Identify Biological Drivers and Therapeutic Vulnerabilities. Nat. Genet. 2022, 54, 649–659. [Google Scholar] [CrossRef] [PubMed]
- Brastianos, P.K.; Horowitz, P.M.; Santagata, S.; Jones, R.T.; McKenna, A.; Getz, G.; Ligon, K.L.; Palescandolo, E.; Van Hummelen, P.; Ducar, M.D.; et al. Genomic Sequencing of Meningiomas Identifies Oncogenic SMO and AKT1 Mutations. Nat. Genet. 2013, 45, 285–289. [Google Scholar] [CrossRef] [PubMed]
- Clark, V.E.; Harmancı, A.S.; Bai, H.; Youngblood, M.W.; Lee, T.I.; Baranoski, J.F.; Ercan-Sencicek, A.G.; Abraham, B.J.; Weintraub, A.S.; Hnisz, D.; et al. Recurrent Somatic Mutations in POLR2A Define a Distinct Subset of Meningiomas. Nat. Genet. 2016, 48, 1253–1259. [Google Scholar] [CrossRef] [PubMed]
- Youngblood, M.W.; Duran, D.; Montejo, J.D.; Li, C.; Omay, S.B.; Özduman, K.; Sheth, A.H.; Zhao, A.Y.; Tyrtova, E.; Miyagishima, D.F.; et al. Correlations between Genomic Subgroup and Clinical Features in a Cohort of More than 3000 Meningiomas. J. Neurosurg. 2019, 135, 1345–1354. [Google Scholar] [CrossRef] [PubMed]
- Youngblood, M.W.; Miyagishima, D.F.; Jin, L.; Gupte, T.; Li, C.; Duran, D.; Montejo, J.D.; Zhao, A.; Sheth, A.; Tyrtova, E.; et al. Associations of Meningioma Molecular Subgroup and Tumor Recurrence. Neuro-Oncology 2021, 23, 783–794. [Google Scholar] [CrossRef]
- Abedalthagafi, M.; Bi, W.L.; Aizer, A.A.; Merrill, P.H.; Brewster, R.; Agarwalla, P.K.; Listewnik, M.L.; Dias-Santagata, D.; Thorner, A.R.; Van Hummelen, P.; et al. Oncogenic PI3K Mutations Are as Common as AKT1 and SMO Mutations in Meningioma. Neuro-Oncology 2016, 18, 649–655. [Google Scholar] [CrossRef]
- Clark, V.E.; Erson-Omay, E.Z.; Serin, A.; Yin, J.; Cotney, J.; Özduman, K.; Avşar, T.; Li, J.; Murray, P.B.; Henegariu, O.; et al. Genomic Analysis of Non-NF2 Meningiomas Reveals Mutations in TRAF7, KLF4, AKT1, and SMO. Science 2013, 339, 1077–1080. [Google Scholar] [CrossRef] [PubMed]
- Gabeau-Lacet, D.; Engler, D.; Gupta, S.; Scangas, G.A.; Betensky, R.A.; Barker, F.G.; Loeffler, J.S.; Louis, D.N.; Mohapatra, G. Genomic Profiling of Atypical Meningiomas Associates Gain of 1q with Poor Clinical Outcome. J. Neuropathol. Exp. Neurol. 2009, 68, 1155–1165. [Google Scholar] [CrossRef]
- Carvalho, L.H.; Smirnov, I.; Baia, G.S.; Modrusan, Z.; Smith, J.S.; Jun, P.; Costello, J.F.; McDermott, M.W.; Vandenberg, S.R.; Lal, A. Molecular Signatures Define Two Main Classes of Meningiomas. Mol. Cancer 2007, 6, 64. [Google Scholar] [CrossRef]
- Cai, D.X.; Banerjee, R.; Scheithauer, B.W.; Lohse, C.M.; Kleinschmidt-Demasters, B.K.; Perry, A. Chromosome 1p and 14q FISH Analysis in Clinicopathologic Subsets of Meningioma: Diagnostic and Prognostic Implications. J. Neuropathol. Exp. Neurol. 2001, 60, 628–636. [Google Scholar] [CrossRef]
- Harmancı, A.S.; Youngblood, M.W.; Clark, V.E.; Coşkun, S.; Henegariu, O.; Duran, D.; Erson-Omay, E.Z.; Kaulen, L.D.; Lee, T.I.; Abraham, B.J.; et al. Integrated Genomic Analyses of de Novo Pathways Underlying Atypical Meningiomas. Nat. Commun. 2017, 8, 14433. [Google Scholar] [CrossRef] [PubMed]
- Glenn, C.A.; Tullos, H.J.; Sughrue, M.E. Natural History of Intracranial Meningiomas. In Handbook of Clinical Neurology; Elsevier: Amsterdam, The Netherlands, 2020; Volume 169, pp. 205–227. ISBN 978-0-12-804280-9. [Google Scholar]
- Bos, D.; Poels, M.M.F.; Adams, H.H.H.; Akoudad, S.; Cremers, L.G.M.; Zonneveld, H.I.; Hoogendam, Y.Y.; Verhaaren, B.F.J.; Verlinden, V.J.A.; Verbruggen, J.G.J.; et al. Prevalence, Clinical Management, and Natural Course of Incidental Findings on Brain MR Images: The Population-Based Rotterdam Scan Study. Radiology 2016, 281, 507–515. [Google Scholar] [CrossRef] [PubMed]
- Fountain, D.M.; Soon, W.C.; Matys, T.; Guilfoyle, M.R.; Kirollos, R.; Santarius, T. Volumetric Growth Rates of Meningioma and Its Correlation with Histological Diagnosis and Clinical Outcome: A Systematic Review. Acta Neurochir. 2017, 159, 435–445. [Google Scholar] [CrossRef] [PubMed]
- Yoneoka, Y.; Fujii, Y.; Tanaka, R. Growth of Incidental Meningiomas. Acta Neurochir. 2000, 142, 507–511. [Google Scholar] [CrossRef]
- Nakamura, M.; Roser, F.; Michel, J.; Jacobs, C.; Samii, M. The Natural History of Incidental Meningiomas. Neurosurgery 2003, 53, 62–70, discussion 70–71. [Google Scholar] [CrossRef]
- Herscovici, Z.; Rappaport, Z.; Sulkes, J.; Danaila, L.; Rubin, G. Natural History of Conservatively Treated Meningiomas. Neurology 2004, 63, 1133–1134. [Google Scholar] [CrossRef]
- Islim, A.I.; Kolamunnage-Dona, R.; Mohan, M.; Moon, R.D.C.; Crofton, A.; Haylock, B.J.; Rathi, N.; Brodbelt, A.R.; Mills, S.J.; Jenkinson, M.D. A Prognostic Model to Personalize Monitoring Regimes for Patients with Incidental Asymptomatic Meningiomas. Neuro-Oncology 2020, 22, 278–289. [Google Scholar] [CrossRef]
- Nassiri, F.; Zadeh, G. How Should We Manage Incidental Meningiomas? Neuro-Oncology 2020, 22, 173–174. [Google Scholar] [CrossRef]
- Nakasu, S.; Nakasu, Y. Natural History of Meningiomas: Review with Meta-Analyses. Neurol. Med. Chir. 2020, 60, 109–120. [Google Scholar] [CrossRef]
- Yano, S.; Kuratsu, J. Kumamoto Brain Tumor Research Group Indications for Surgery in Patients with Asymptomatic Meningiomas Based on an Extensive Experience. J. Neurosurg. 2006, 105, 538–543. [Google Scholar] [CrossRef]
- Hashimoto, N.; Rabo, C.S.; Okita, Y.; Kinoshita, M.; Kagawa, N.; Fujimoto, Y.; Morii, E.; Kishima, H.; Maruno, M.; Kato, A.; et al. Slower Growth of Skull Base Meningiomas Compared with Non-Skull Base Meningiomas Based on Volumetric and Biological Studies. J. Neurosurg. 2012, 116, 574–580. [Google Scholar] [CrossRef] [PubMed]
- Sughrue, M.E.; Rutkowski, M.J.; Aranda, D.; Barani, I.J.; McDermott, M.W.; Parsa, A.T. Treatment Decision Making Based on the Published Natural History and Growth Rate of Small Meningiomas. J. Neurosurg. 2010, 113, 1036–1042. [Google Scholar] [CrossRef] [PubMed]
- Goldbrunner, R.; Stavrinou, P.; Jenkinson, M.D.; Sahm, F.; Mawrin, C.; Weber, D.C.; Preusser, M.; Minniti, G.; Lund-Johansen, M.; Lefranc, F.; et al. EANO Guideline on the Diagnosis and Management of Meningiomas. Neuro-Oncology 2021, 23, 1821–1834. [Google Scholar] [CrossRef] [PubMed]
- Englot, D.J.; Magill, S.T.; Han, S.J.; Chang, E.F.; Berger, M.S.; McDermott, M.W. Seizures in Supratentorial Meningioma: A Systematic Review and Meta-Analysis. J. Neurosurg. 2016, 124, 1552–1561. [Google Scholar] [CrossRef]
- Chaichana, K.L.; Pendleton, C.; Zaidi, H.; Olivi, A.; Weingart, J.D.; Gallia, G.L.; Lim, M.; Brem, H.; Quiñones-Hinojosa, A. Seizure Control for Patients Undergoing Meningioma Surgery. World Neurosurg. 2013, 79, 515–524. [Google Scholar] [CrossRef]
- Chow, S.Y.; Hsi, M.S.; Tang, L.M.; Fong, V.H. Epilepsy and Intracranial Meningiomas. Zhonghua Yi Xue Za Zhi 1995, 55, 151–155. [Google Scholar]
- Lieu, A.S.; Howng, S.L. Intracranial Meningiomas and Epilepsy: Incidence, Prognosis and Influencing Factors. Epilepsy Res. 2000, 38, 45–52. [Google Scholar] [CrossRef]
- Harward, S.C.; Rolston, J.D.; Englot, D.J. Seizures in Meningioma. In Handbook of Clinical Neurology; Elsevier: Amsterdam, The Netherlands, 2020; Volume 170, pp. 187–200. [Google Scholar]
- Sanai, N.; Sughrue, M.E.; Shangari, G.; Chung, K.; Berger, M.S.; McDermott, M.W. Risk Profile Associated with Convexity Meningioma Resection in the Modern Neurosurgical Era. J. Neurosurg. 2010, 112, 913–919. [Google Scholar] [CrossRef]
- Morokoff, A.P.; Zauberman, J.; Black, P.M. Surgery for Convexity Meningiomas. Neurosurgery 2008, 63, 427–433, discussion 433–434. [Google Scholar] [CrossRef]
- Mathiesen, T. Parasagittal Meningiomas. In Handbook of Clinical Neurology; Elsevier: Amsterdam, The Netherlands, 2020; Volume 170, pp. 93–100. [Google Scholar]
- Yamada, S.; Kijima, N.; Nakagawa, T.; Hirayama, R.; Kinoshita, M.; Kagawa, N.; Kishima, H. How Much Tumor Volume Is Responsible for Development of Clinical Symptoms in Patients With Convexity, Parasagittal, and Falx Meningiomas? Front. Neurol. 2021, 12, 2107. [Google Scholar] [CrossRef]
- Murrone, D.; De Paulis, D.; di Norcia, V.; Di Vitantonio, H.; Galzio, R.J. Surgical Management of Falcine Meningiomas: Experience of 95 Patients. J. Clin. Neurosci. 2017, 37, 25–30. [Google Scholar] [CrossRef] [PubMed]
- Magill, S.T.; Nguyen, M.P.; Aghi, M.K.; Theodosopoulos, P.V.; Villanueva-Meyer, J.E.; McDermott, M.W. Postoperative Diffusion-Weighted Imaging and Neurological Outcome after Convexity Meningioma Resection. J. Neurosurg. 2021, 135, 1008–1015. [Google Scholar] [CrossRef] [PubMed]
- Osborn, A.G. Chapter 22: Tumors of the Meninges. Meningothelial tumors: Meningioma. In Osborn’s Brain: Imaging, Pathology, and Anatomy; Amirsys: Altona, MB, Canada, 2013; pp. 585–595. [Google Scholar]
- Nowosielski, M.; Galldiks, N.; Iglseder, S.; Kickingereder, P.; von Deimling, A.; Bendszus, M.; Wick, W.; Sahm, F. Diagnostic Challenges in Meningioma. Neuro-Oncology 2017, 19, 1588–1598. [Google Scholar] [CrossRef] [PubMed]
- Saloner, D.; Uzelac, A.; Hetts, S.; Martin, A.; Dillon, W. Modern Meningioma Imaging Techniques. J. Neurooncol. 2010, 99, 333–340. [Google Scholar] [CrossRef] [PubMed]
- Shin, C.; Kim, J.M.; Cheong, J.H.; Ryu, J.I.; Won, Y.D.; Ko, Y.; Han, M.-H. Association between Tumor Size and Peritumoral Brain Edema in Patients with Convexity and Parasagittal Meningiomas. PLoS ONE 2021, 16, e0252945. [Google Scholar] [CrossRef]
- Abe, T.; Black, P.M.; Ojemann, R.G.; Hedley-White, E.T. Cerebral Edema in Intracranial Meningiomas: Evidence for Local and Diffuse Patterns and Factors Associated with Its Occurrence. Surg. Neurol. 1994, 42, 471–475. [Google Scholar] [CrossRef]
- Hale, A.T.; Wang, L.; Strother, M.K.; Chambless, L.B. Differentiating Meningioma Grade by Imaging Features on Magnetic Resonance Imaging. J. Clin. Neurosci. 2018, 48, 71–75. [Google Scholar] [CrossRef]
- Nakano, T.; Asano, K.; Miura, H.; Itoh, S.; Suzuki, S. Meningiomas with Brain Edema: Radiological Characteristics on MRI and Review of the Literature. Clin. Imaging 2002, 26, 243–249. [Google Scholar] [CrossRef]
- Osawa, T.; Tosaka, M.; Nagaishi, M.; Yoshimoto, Y. Factors Affecting Peritumoral Brain Edema in Meningioma: Special Histological Subtypes with Prominently Extensive Edema. J. Neurooncol. 2013, 111, 49–57. [Google Scholar] [CrossRef]
- Villanueva-Meyer, J.E. Modern Day Imaging of Meningiomas. In Handbook of Clinical Neurology; Elsevier: Amsterdam, The Netherlands, 2020; Volume 169, pp. 177–191. [Google Scholar]
- Joo, L.; Park, J.E.; Park, S.Y.; Nam, S.J.; Kim, Y.-H.; Kim, J.H.; Kim, H.S. Extensive Peritumoral Edema and Brain-to-Tumor Interface MRI Features Enable Prediction of Brain Invasion in Meningioma: Development and Validation. Neuro-Oncology 2021, 23, 324–333. [Google Scholar] [CrossRef]
- Smith, K.A.; Leever, J.D.; Hylton, P.D.; Camarata, P.J.; Chamoun, R.B. Meningioma Consistency Prediction Utilizing Tumor to Cerebellar Peduncle Intensity on T2-Weighted Magnetic Resonance Imaging Sequences: TCTI Ratio. J. Neurosurg. 2017, 126, 242–248. [Google Scholar] [CrossRef] [PubMed]
- Park, Y.W.; Oh, J.; You, S.C.; Han, K.; Ahn, S.S.; Choi, Y.S.; Chang, J.H.; Kim, S.H.; Lee, S.-K. Radiomics and Machine Learning May Accurately Predict the Grade and Histological Subtype in Meningiomas Using Conventional and Diffusion Tensor Imaging. Eur. Radiol. 2019, 29, 4068–4076. [Google Scholar] [CrossRef] [PubMed]
- Magill, S.T.; Vasudevan, H.N.; Seo, K.; Villanueva-Meyer, J.E.; Choudhury, A.; John Liu, S.; Pekmezci, M.; Findakly, S.; Hilz, S.; Lastella, S.; et al. Multiplatform Genomic Profiling and Magnetic Resonance Imaging Identify Mechanisms Underlying Intratumor Heterogeneity in Meningioma. Nat. Commun. 2020, 11, 4803. [Google Scholar] [CrossRef] [PubMed]
- Morin, O.; Chen, W.C.; Nassiri, F.; Susko, M.; Magill, S.T.; Vasudevan, H.N.; Wu, A.; Vallières, M.; Gennatas, E.D.; Valdes, G.; et al. Integrated Models Incorporating Radiologic and Radiomic Features Predict Meningioma Grade, Local Failure, and Overall Survival. Neurooncol. Adv. 2019, 1, vdz011. [Google Scholar] [CrossRef]
- Lee, J.W.; Kang, K.W.; Park, S.-H.; Lee, S.M.; Paeng, J.C.; Chung, J.-K.; Lee, M.C.; Lee, D.S. 18F-FDG PET in the Assessment of Tumor Grade and Prediction of Tumor Recurrence in Intracranial Meningioma. Eur. J. Nucl. Med. Mol. Imaging 2009, 36, 1574–1582. [Google Scholar] [CrossRef] [PubMed]
- Verger, A.; Kas, A.; Darcourt, J.; Guedj, E. PET Imaging in Neuro-Oncology: An Update and Overview of a Rapidly Growing Area. Cancers 2022, 14, 1103. [Google Scholar] [CrossRef] [PubMed]
- Ivanidze, J.; Roytman, M.; Skafida, M.; Kim, S.; Glynn, S.; Osborne, J.R.; Pannullo, S.C.; Nehmeh, S.; Ramakrishna, R.; Schwartz, T.H.; et al. Dynamic 68Ga-DOTATATE PET/MRI in the Diagnosis and Management of Intracranial Meningiomas. Radiol. Imaging Cancer 2022, 4, e210067. [Google Scholar] [CrossRef]
- Rachinger, W.; Stoecklein, V.M.; Terpolilli, N.A.; Haug, A.R.; Ertl, L.; Pöschl, J.; Schüller, U.; Schichor, C.; Thon, N.; Tonn, J.-C. Increased 68Ga-DOTATATE Uptake in PET Imaging Discriminates Meningioma and Tumor-Free Tissue. J. Nucl. Med. 2015, 56, 347–353. [Google Scholar] [CrossRef]
- Galldiks, N.; Albert, N.L.; Sommerauer, M.; Grosu, A.L.; Ganswindt, U.; Law, I.; Preusser, M.; Le Rhun, E.; Vogelbaum, M.A.; Zadeh, G.; et al. PET Imaging in Patients with Meningioma—Report of the RANO/PET Group. Neuro-Oncology 2017, 19, 1576–1587. [Google Scholar] [CrossRef]
- Sommerauer, M.; Burkhardt, J.-K.; Frontzek, K.; Rushing, E.; Buck, A.; Krayenbuehl, N.; Weller, M.; Schaefer, N.; Kuhn, F.P. 68Gallium-DOTATATE PET in Meningioma: A Reliable Predictor of Tumor Growth Rate? Neuro-Oncology 2016, 18, 1021–1027. [Google Scholar] [CrossRef] [PubMed]
- Afshar-Oromieh, A.; Wolf, M.B.; Kratochwil, C.; Giesel, F.L.; Combs, S.E.; Dimitrakopoulou-Strauss, A.; Gnirs, R.; Roethke, M.C.; Schlemmer, H.P.; Haberkorn, U. Comparison of 68Ga-DOTATOC-PET/CT and PET/MRI Hybrid Systems in Patients with Cranial Meningioma: Initial Results. Neuro-Oncology 2015, 17, 312–319. [Google Scholar] [CrossRef] [PubMed]
- Seystahl, K.; Stoecklein, V.; Schüller, U.; Rushing, E.; Nicolas, G.; Schäfer, N.; Ilhan, H.; Pangalu, A.; Weller, M.; Tonn, J.-C.; et al. Somatostatin Receptor-Targeted Radionuclide Therapy for Progressive Meningioma: Benefit Linked to 68Ga-DOTATATE/-TOC Uptake. Neuro-Oncology 2016, 18, 1538–1547. [Google Scholar] [CrossRef] [PubMed]
- Louis, D.N.; Perry, A.; Reifenberger, G.; von Deimling, A.; Figarella-Branger, D.; Cavenee, W.K.; Ohgaki, H.; Wiestler, O.D.; Kleihues, P.; Ellison, D.W. The 2016 World Health Organization Classification of Tumors of the Central Nervous System: A Summary. Acta Neuropathol. 2016, 131, 803–820. [Google Scholar] [CrossRef] [PubMed]
- Menke, J.R.; Raleigh, D.R.; Gown, A.M.; Thomas, S.; Perry, A.; Tihan, T. Somatostatin Receptor 2a Is a More Sensitive Diagnostic Marker of Meningioma than Epithelial Membrane Antigen. Acta Neuropathol. 2015, 130, 441–443. [Google Scholar] [CrossRef] [PubMed]
- Louis, D.N.; Perry, A.; Wesseling, P.; Brat, D.J.; Cree, I.A.; Figarella-Branger, D.; Hawkins, C.; Ng, H.K.; Pfister, S.M.; Reifenberger, G.; et al. The 2021 WHO Classification of Tumors of the Central Nervous System: A Summary. Neuro-Oncology 2021, 23, 1231–1251. [Google Scholar] [CrossRef]
- McGovern, S.L.; Aldape, K.D.; Munsell, M.F.; Mahajan, A.; DeMonte, F.; Woo, S.Y. A Comparison of World Health Organization Tumor Grades at Recurrence in Patients with Non-Skull Base and Skull Base Meningiomas. J. Neurosurg. 2010, 112, 925–933. [Google Scholar] [CrossRef]
- Kane, A.J.; Sughrue, M.E.; Rutkowski, M.J.; Shangari, G.; Fang, S.; McDermott, M.W.; Berger, M.S.; Parsa, A.T. Anatomic Location Is a Risk Factor for Atypical and Malignant Meningiomas. Cancer 2011, 117, 1272–1278. [Google Scholar] [CrossRef]
- Cornelius, J.F.; Slotty, P.J.; Steiger, H.J.; Hänggi, D.; Polivka, M.; George, B. Malignant Potential of Skull Base versus Non-Skull Base Meningiomas: Clinical Series of 1663 Cases. Acta Neurochir. 2013, 155, 407–413. [Google Scholar] [CrossRef]
- Sade, B.; Chahlavi, A.; Krishnaney, A.; Nagel, S.; Choi, E.; Lee, J.H. World Health Organization Grades II and III Meningiomas Are Rare in the Cranial Base and Spine. Neurosurgery 2007, 61, 1194–1198, discussion 1198. [Google Scholar] [CrossRef]
- Kasuya, H.; Kubo, O.; Tanaka, M.; Amano, K.; Kato, K.; Hori, T. Clinical and Radiological Features Related to the Growth Potential of Meningioma. Neurosurg. Rev. 2006, 29, 293–296, discussion 296–297. [Google Scholar] [CrossRef]
- Wach, J.; Lampmann, T.; Güresir, Á.; Vatter, H.; Herrlinger, U.; Becker, A.; Cases-Cunillera, S.; Hölzel, M.; Toma, M.; Güresir, E. Proliferative Potential, and Inflammatory Tumor Microenvironment in Meningioma Correlate with Neurological Function at Presentation and Anatomical Location-From Convexity to Skull Base and Spine. Cancers 2022, 14, 1033. [Google Scholar] [CrossRef] [PubMed]
- Pravdenkova, S.; Al-Mefty, O.; Sawyer, J.; Husain, M. Progesterone and Estrogen Receptors: Opposing Prognostic Indicators in Meningiomas. J. Neurosurg. 2006, 105, 163–173. [Google Scholar] [CrossRef]
- Kuroi, Y.; Matsumoto, K.; Shibuya, M.; Kasuya, H. Progesterone Receptor Is Responsible for Benign Biology of Skull Base Meningioma. World Neurosurg. 2018, 118, e918–e924. [Google Scholar] [CrossRef] [PubMed]
- Birzu, C.; Peyre, M.; Sahm, F. Molecular Alterations in Meningioma: Prognostic and Therapeutic Perspectives. Curr. Opin. Oncol. 2020, 32, 613–622. [Google Scholar] [CrossRef] [PubMed]
- Ragel, B.T.; Jensen, R.L. Molecular Genetics of Meningiomas. Neurosurg. Focus 2005, 19, 1–8. [Google Scholar] [CrossRef]
- Bi, W.L.; Abedalthagafi, M.; Horowitz, P.; Agarwalla, P.K.; Mei, Y.; Aizer, A.A.; Brewster, R.; Dunn, G.P.; Al-Mefty, O.; Alexander, B.M.; et al. Genomic Landscape of Intracranial Meningiomas. J. Neurosurg. 2016, 125, 525–535. [Google Scholar] [CrossRef] [PubMed]
- Ruttledge, M.H.; Sarrazin, J.; Rangaratnam, S.; Phelan, C.M.; Twist, E.; Merel, P.; Delattre, O.; Thomas, G.; Nordenskjöld, M.; Collins, V.P. Evidence for the Complete Inactivation of the NF2 Gene in the Majority of Sporadic Meningiomas. Nat. Genet. 1994, 6, 180–184. [Google Scholar] [CrossRef]
- Petrilli, A.M.; Fernández-Valle, C. Role of Merlin/NF2 Inactivation in Tumor Biology. Oncogene 2016, 35, 537–548. [Google Scholar] [CrossRef]
- Asthagiri, A.R.; Parry, D.M.; Butman, J.A.; Kim, H.J.; Tsilou, E.T.; Zhuang, Z.; Lonser, R.R. Neurofibromatosis Type 2. Lancet 2009, 373, 1974–1986. [Google Scholar] [CrossRef]
- Lee, S.; Karas, P.J.; Hadley, C.C.; Bayley, V.J.C.; Khan, A.B.; Jalali, A.; Sweeney, A.D.; Klisch, T.J.; Patel, A.J. The Role of Merlin/NF2 Loss in Meningioma Biology. Cancers 2019, 11, 1633. [Google Scholar] [CrossRef]
- Bi, W.L.; Greenwald, N.F.; Abedalthagafi, M.; Wala, J.; Gibson, W.J.; Agarwalla, P.K.; Horowitz, P.; Schumacher, S.E.; Esaulova, E.; Mei, Y.; et al. Genomic Landscape of High-Grade Meningiomas. Npj Genom. Med. 2017, 2, 15. [Google Scholar] [CrossRef] [PubMed]
- Pawloski, J.A.; Fadel, H.A.; Huang, Y.-W.; Lee, I.Y. Genomic Biomarkers of Meningioma: A Focused Review. Int. J. Mol. Sci. 2021, 22, 10222. [Google Scholar] [CrossRef] [PubMed]
- Lekanne Deprez, R.H.; Riegman, P.H.; van Drunen, E.; Warringa, U.L.; Groen, N.A.; Stefanko, S.Z.; Koper, J.W.; Avezaat, C.J.; Mulder, P.G.; Zwarthoff, E.C. Cytogenetic, Molecular Genetic and Pathological Analyses in 126 Meningiomas. J. Neuropathol. Exp. Neurol. 1995, 54, 224–235. [Google Scholar] [CrossRef]
- Kros, J.; de Greve, K.; van Tilborg, A.; Hop, W.; Pieterman, H.; Avezaat, C.; Lekanne Dit Deprez, R.; Zwarthoff, E. NF2 Status of Meningiomas Is Associated with Tumour Localization and Histology. J. Pathol. 2001, 194, 367–372. [Google Scholar] [CrossRef]
- Teranishi, Y.; Okano, A.; Miyawaki, S.; Ohara, K.; Ishigami, D.; Hongo, H.; Dofuku, S.; Takami, H.; Mitsui, J.; Ikemura, M.; et al. Clinical Significance of NF2 Alteration in Grade I Meningiomas Revisited; Prognostic Impact Integrated with Extent of Resection, Tumour Location, and Ki-67 Index. Acta Neuropathol. Commun. 2022, 10, 76. [Google Scholar] [CrossRef]
- Al-Mefty, O.; Kadri, P.A.S.; Pravdenkova, S.; Sawyer, J.R.; Stangeby, C.; Husain, M. Malignant Progression in Meningioma: Documentation of a Series and Analysis of Cytogenetic Findings. J. Neurosurg. 2004, 101, 210–218. [Google Scholar] [CrossRef]
- Boström, J.; Meyer-Puttlitz, B.; Wolter, M.; Blaschke, B.; Weber, R.G.; Lichter, P.; Ichimura, K.; Collins, V.P.; Reifenberger, G. Alterations of the Tumor Suppressor Genes CDKN2A (P16(INK4a)), P14(ARF), CDKN2B (P15(INK4b)), and CDKN2C (P18(INK4c)) in Atypical and Anaplastic Meningiomas. Am. J. Pathol. 2001, 159, 661–669. [Google Scholar] [CrossRef]
- Lamszus, K.; Kluwe, L.; Matschke, J.; Meissner, H.; Laas, R.; Westphal, M. Allelic Losses at 1p, 9q, 10q, 14q, and 22q in the Progression of Aggressive Meningiomas and Undifferentiated Meningeal Sarcomas. Cancer Genet. Cytogenet. 1999, 110, 103–110. [Google Scholar] [CrossRef]
- Strickland, M.R.; Gill, C.M.; Nayyar, N.; D’Andrea, M.R.; Thiede, C.; Juratli, T.A.; Schackert, G.; Borger, D.R.; Santagata, S.; Frosch, M.P.; et al. Targeted Sequencing of SMO and AKT1 in Anterior Skull Base Meningiomas. J. Neurosurg. 2017, 127, 438–444. [Google Scholar] [CrossRef]
- Sahm, F.; Bissel, J.; Koelsche, C.; Schweizer, L.; Capper, D.; Reuss, D.; Böhmer, K.; Lass, U.; Göck, T.; Kalis, K.; et al. AKT1E17K Mutations Cluster with Meningothelial and Transitional Meningiomas and Can Be Detected by SFRP1 Immunohistochemistry. Acta Neuropathol. 2013, 126, 757–762. [Google Scholar] [CrossRef]
- Okano, A.; Miyawaki, S.; Hongo, H.; Dofuku, S.; Teranishi, Y.; Mitsui, J.; Tanaka, M.; Shin, M.; Nakatomi, H.; Saito, N. Associations of Pathological Diagnosis and Genetic Abnormalities in Meningiomas with the Embryological Origins of the Meninges. Sci. Rep. 2021, 11, 6987. [Google Scholar] [CrossRef] [PubMed]
- Olar, A.; Wani, K.M.; Wilson, C.D.; Zadeh, G.; DeMonte, F.; Jones, D.T.; Pfister, S.M.; Sulman, E.P.; Aldape, K.D. Global Epigenetic Profiling Identifies Methylation Subgroups Associated with Recurrence-Free Survival in Meningioma. Acta Neuropathol. 2017, 133, 431–444. [Google Scholar] [CrossRef]
- Sahm, F.; Schrimpf, D.; Stichel, D.; Jones, D.T.W.; Hielscher, T.; Schefzyk, S.; Okonechnikov, K.; Koelsche, C.; Reuss, D.E.; Capper, D.; et al. DNA Methylation-Based Classification and Grading System for Meningioma: A Multicentre, Retrospective Analysis. Lancet Oncol. 2017, 18, 682–694. [Google Scholar] [CrossRef]
- Nassiri, F.; Liu, J.; Patil, V.; Mamatjan, Y.; Wang, J.Z.; Hugh-White, R.; Macklin, A.M.; Khan, S.; Singh, O.; Karimi, S.; et al. A Clinically Applicable Integrative Molecular Classification of Meningiomas. Nature 2021, 597, 119–125. [Google Scholar] [CrossRef]
- Goutagny, S.; Nault, J.C.; Mallet, M.; Henin, D.; Rossi, J.Z.; Kalamarides, M. High Incidence of Activating TERT Promoter Mutations in Meningiomas Undergoing Malignant Progression. Brain Pathol. 2014, 24, 184–189. [Google Scholar] [CrossRef]
- Perry, A.; Banerjee, R.; Lohse, C.M.; Kleinschmidt-DeMasters, B.K.; Scheithauer, B.W. A Role for Chromosome 9p21 Deletions in the Malignant Progression of Meningiomas and the Prognosis of Anaplastic Meningiomas. Brain Pathol. 2002, 12, 183–190. [Google Scholar]
- Islim, A.I.; Mohan, M.; Moon, R.D.C.; Rathi, N.; Kolamunnage-Dona, R.; Crofton, A.; Haylock, B.J.; Mills, S.J.; Brodbelt, A.R.; Jenkinson, M.D. Treatment Outcomes of Incidental Intracranial Meningiomas: Results from the IMPACT Cohort. World Neurosurg. 2020, 138, e725–e735. [Google Scholar] [CrossRef]
- Islim, A.I.; Mohan, M.; Moon, R.D.C.; Srikandarajah, N.; Mills, S.J.; Brodbelt, A.R.; Jenkinson, M.D. Incidental Intracranial Meningiomas: A Systematic Review and Meta-Analysis of Prognostic Factors and Outcomes. J. Neurooncol. 2019, 142, 211–221. [Google Scholar] [CrossRef]
- Islim, A.I.; Millward, C.P.; Martin-McGill, K.J.; Kolamunnage-Dona, R.; Santarius, T.; Mathew, R.K.; Haylock, B.J.; Mills, S.J.; Brodbelt, A.R.; Jenkinson, M.D. Clinical Studies of Incidental Intracranial Meningiomas-towards High-Quality Evidence-Based Practice. Acta Neurochir. 2020, 162, 673–674. [Google Scholar] [CrossRef]
- Gillespie, C.S.; Taweel, B.A.; Richardson, G.E.; Mustafa, M.A.; Keshwara, S.M.; Babar, R.K.; Alnaham, K.E.; Kumar, S.; Bakhsh, A.; Millward, C.P.; et al. Volumetric Growth of Residual Meningioma—A Systematic Review. J. Clin. Neurosci. 2021, 91, 110–117. [Google Scholar] [CrossRef]
- Islim, A.I.; Millward, C.P.; Piper, R.J.; Fountain, D.M.; Mehta, S.; Kolamunnage-Dona, R.; Ali, U.; Koszdin, S.D.; Georgious, T.; Mills, S.J.; et al. External Validation and Recalibration of an Incidental Meningioma Prognostic Model—IMPACT: Protocol for an International Multicentre Retrospective Cohort Study. BMJ Open 2022, 12, e052705. [Google Scholar] [CrossRef]
- Buerki, R.A.; Horbinski, C.M.; Kruser, T.; Horowitz, P.M.; James, C.D.; Lukas, R.V. An Overview of Meningiomas. Future Oncol. 2018, 14, 2161–2177. [Google Scholar] [CrossRef]
- Löfgren, D.; Valachis, A.; Olivecrona, M. Older Meningioma Patients: A Retrospective Population-Based Study of Risk Factors for Morbidity and Mortality after Neurosurgery. Acta Neurochir. 2022, 164, 2987–2997. [Google Scholar] [CrossRef]
- Ekaireb, R.I.; Edwards, C.S.; Ali, M.S.; Nguyen, M.P.; Daggubati, V.; Aghi, M.K.; Theodosopoulos, P.V.; McDermott, M.W.; Magill, S.T. Meningioma Surgical Outcomes and Complications in Patients Aged 75 Years and Older. J. Clin. Neurosci. 2021, 88, 88–94. [Google Scholar] [CrossRef]
- Simpson, D. The recurrence of intracranial meningiomas after surgical treatment. J. Neurol. Neurosurg. Psychiatry 1957, 20, 22–39. [Google Scholar] [CrossRef]
- Ottenhausen, M.; Rumalla, K.; Younus, I.; Minkowitz, S.; Tsiouris, A.J.; Schwartz, T.H. Predictors of Postoperative Motor Function in Rolandic Meningiomas. J. Neurosurg. 2018, 130, 1283–1288. [Google Scholar] [CrossRef]
- Kondziolka, D.; Patel, A.D.; Kano, H.; Flickinger, J.C.; Lunsford, L.D. Long-Term Outcomes After Gamma Knife Radiosurgery for Meningiomas. Am. J. Clin. Oncol. 2016, 39, 453–457. [Google Scholar] [CrossRef]
- Nguyen, E.K.; Nguyen, T.K.; Boldt, G.; Louie, A.V.; Bauman, G.S. Hypofractionated Stereotactic Radiotherapy for Intracranial Meningioma: A Systematic Review. Neurooncol. Pract. 2019, 6, 346–353. [Google Scholar] [CrossRef]
- Rogers, L.; Zhang, P.; Vogelbaum, M.A.; Perry, A.; Ashby, L.S.; Modi, J.M.; Alleman, A.M.; Galvin, J.; Brachman, D.; Jenrette, J.M.; et al. Intermediate-Risk Meningioma: Initial Outcomes from NRG Oncology RTOG 0539. J. Neurosurg. 2018, 129, 35–47. [Google Scholar] [CrossRef]
- Rogers, C.L.; Won, M.; Vogelbaum, M.A.; Perry, A.; Ashby, L.S.; Modi, J.M.; Alleman, A.M.; Galvin, J.; Fogh, S.E.; Youssef, E.; et al. High-Risk Meningioma: Initial Outcomes From NRG Oncology/RTOG 0539. Int. J. Radiat. Oncol. Biol. Phys. 2020, 106, 790–799. [Google Scholar] [CrossRef]
- Wu, A.; Jin, M.C.; Meola, A.; Wong, H.-N.; Chang, S.D. Efficacy and Toxicity of Particle Radiotherapy in WHO Grade II and Grade III Meningiomas: A Systematic Review. Neurosurg. Focus 2019, 46, E12. [Google Scholar] [CrossRef] [PubMed]
- El Shafie, R.A.; Czech, M.; Kessel, K.A.; Habermehl, D.; Weber, D.; Rieken, S.; Bougatf, N.; Jäkel, O.; Debus, J.; Combs, S.E. Evaluation of Particle Radiotherapy for the Re-Irradiation of Recurrent Intracranial Meningioma. Radiat. Oncol. 2018, 13, 86. [Google Scholar] [CrossRef] [PubMed]
- Takai, S.; Wanibuchi, M.; Kawabata, S.; Takeuchi, K.; Sakurai, Y.; Suzuki, M.; Ono, K.; Miyatake, S.-I. Reactor-Based Boron Neutron Capture Therapy for 44 Cases of Recurrent and Refractory High-Grade Meningiomas with Long-Term Follow-Up. Neuro-Oncology 2022, 24, 90–98. [Google Scholar] [CrossRef] [PubMed]
- Pikis, S.; Mantziaris, G.; Bunevicius, A.; Islim, A.I.; Peker, S.; Samanci, Y.; Nabeel, A.M.; Reda, W.A.; Tawadros, S.R.; El-Shehaby, A.M.N.; et al. Stereotactic Radiosurgery Compared With Active Surveillance for Asymptomatic, Parafalcine, and Parasagittal Meningiomas: A Matched Cohort Analysis From the IMPASSE Study. Neurosurgery 2022, 90, 750–757. [Google Scholar] [CrossRef]
- Rydzewski, N.R.; Lesniak, M.S.; Chandler, J.P.; Kalapurakal, J.A.; Pollom, E.; Tate, M.C.; Bloch, O.; Kruser, T.; Dalal, P.; Sachdev, S. Gross Total Resection and Adjuvant Radiotherapy Most Significant Predictors of Improved Survival in Patients with Atypical Meningioma. Cancer 2018, 124, 734–742. [Google Scholar] [CrossRef]
- Aizer, A.A.; Bi, W.L.; Kandola, M.S.; Lee, E.Q.; Nayak, L.; Rinne, M.L.; Norden, A.D.; Beroukhim, R.; Reardon, D.A.; Wen, P.Y.; et al. Extent of Resection and Overall Survival for Patients with Atypical and Malignant Meningioma. Cancer 2015, 121, 4376–4381. [Google Scholar] [CrossRef]
- Chun, S.-W.; Kim, K.M.; Kim, M.-S.; Kang, H.; Dho, Y.-S.; Seo, Y.; Kim, J.W.; Kim, Y.H.; Park, C.-K. Adjuvant Radiotherapy versus Observation Following Gross Total Resection for Atypical Meningioma: A Systematic Review and Meta-Analysis. Radiat. Oncol. 2021, 16, 34. [Google Scholar] [CrossRef]
- Anakwenze, C.P.; McGovern, S.; Taku, N.; Liao, K.; Boyce-Fappiano, D.R.; Kamiya-Matsuoka, C.; Ghia, A.; Chung, C.; Trifiletti, D.; Ferguson, S.D.; et al. Association Between Facility Volume and Overall Survival for Patients with Grade II Meningioma after Gross Total Resection. World Neurosurg. 2020, 141, e133–e144. [Google Scholar] [CrossRef]
- Pellerino, A.; Bruno, F.; Palmiero, R.; Pronello, E.; Bertero, L.; Soffietti, R.; Rudà, R. Clinical Significance of Molecular Alterations and Systemic Therapy for Meningiomas: Where Do We Stand? Cancers 2022, 14, 2256. [Google Scholar] [CrossRef]
- Everson, R.G.; Hashimoto, Y.; Freeman, J.L.; Hodges, T.R.; Huse, J.; Zhou, S.; Xiu, J.; Spetzler, D.; Sanai, N.; Kim, L.; et al. Multiplatform Profiling of Meningioma Provides Molecular Insight and Prioritization of Drug Targets for Rational Clinical Trial Design. J. Neurooncol. 2018, 139, 469–478. [Google Scholar] [CrossRef]
- Brastianos, P.K.; Twohy, E.L.; Gerstner, E.R.; Kaufmann, T.J.; Iafrate, A.J.; Lennerz, J.; Jeyapalan, S.; Piccioni, D.E.; Monga, V.; Fadul, C.E.; et al. Alliance A071401: Phase II Trial of Focal Adhesion Kinase Inhibition in Meningiomas With Somatic NF2 Mutations. J. Clin. Oncol. 2022, 40, JCO2102371. [Google Scholar] [CrossRef] [PubMed]
- Horbinski, C.; Xi, G.; Wang, Y.; Hashizume, R.; Gopalakrishnan, M.; Phillips, J.J.; Houghton, P.; James, C.D.; Kalapurakal, J. The effects of palbociclib in combination with radiation in preclinical models of aggressive meningioma. Neurooncol. Adv. 2021, 3, vdab085. [Google Scholar] [CrossRef] [PubMed]
- Magill, S.T.; Ore, C.L.D.; Diaz, M.A.; Jalili, D.D.; Raleigh, D.R.; Aghi, M.K.; Theodosopoulos, P.V.; McDermott, M.W. Surgical Outcomes after Reoperation for Recurrent Non–Skull Base Meningiomas. J. Neurosurg. 2018, 131, 1179–1187. [Google Scholar] [CrossRef] [PubMed]



| Author | Year | Year Range of Data Presented | Number of Patients | Number of Patients with NSBMs | Patients with NSBMs (%) |
|---|---|---|---|---|---|
| Liang et al. [8] | 2014 | 2009–2013 | 1239 | 629 | 50.7 |
| Magill et al. [13] | 2018 | 1985–2015 | 1113 | 431 | 39 |
| Meling et al. [4] | 2019 | 1990–2010 | 1148 | 586 | 51 |
| Sun et al. [9] | 2020 | 2012–2016 | 1107 | 535 | 48 |
| Oya et al. [7] | 2021 | 2001–2008 | 4081 | 2303 | 56.4 |
| Drug Class | Route of Delivery | Comment | Molecular Target |
|---|---|---|---|
| AKT inhibitor | Per Oral | Phase 2 trial | AKT1 mutation |
| Immune checkpoint inhibitor | Intravenous | Phase 2 trial | PD-L1, PD-L2, CTLA-4 |
| Hedgehog inhibitor | Per Oral | Phase 2 trial | SMO mutation |
| PI3K inhibitor | Phase 2 trial | PI3K | |
| Somatostatin analog | Per Oral | Phase 2 trial | Somatostatin receptors |
| Gemcitabine | Intraperitoneal | In vivo study | Cytidin |
| CDK inhibitor | Per Oral | Phase 2 trial | CDK mutation/NF2 loss |
| FAK inhibitor | Per Oral | Phase 2 trial | NF2 loss |
| Sunitinib | Per Oral | Phase 2 trial | Vascular endothelial growth factor receptor (VEGFR) |
| Bevacizumab | Intravenous | Phase 2 | VEGFR |
| Docetaxel | In vivo and in vivo | G-protein coupled receptor (GPCR) signaling pathways |
Publisher’s Note: MDPI stays neutral with regard to jurisdictional claims in published maps and institutional affiliations. |
© 2022 by the authors. Licensee MDPI, Basel, Switzerland. This article is an open access article distributed under the terms and conditions of the Creative Commons Attribution (CC BY) license (https://creativecommons.org/licenses/by/4.0/).
Share and Cite
Adekanmbi, A.; Youngblood, M.W.; Karras, C.L.; Oyetunji, E.A.; Kalapurakal, J.; Horbinski, C.M.; Najem, H.; Hill, V.B.; Chandler, J.P.; Heimberger, A.B.; et al. Clinical Management of Supratentorial Non-Skull Base Meningiomas. Cancers 2022, 14, 5887. https://doi.org/10.3390/cancers14235887
Adekanmbi A, Youngblood MW, Karras CL, Oyetunji EA, Kalapurakal J, Horbinski CM, Najem H, Hill VB, Chandler JP, Heimberger AB, et al. Clinical Management of Supratentorial Non-Skull Base Meningiomas. Cancers. 2022; 14(23):5887. https://doi.org/10.3390/cancers14235887
Chicago/Turabian StyleAdekanmbi, Adefisayo, Mark W. Youngblood, Constantine L. Karras, Ephraim A. Oyetunji, John Kalapurakal, Craig M. Horbinski, Hinda Najem, Virginia B. Hill, James P. Chandler, Amy B. Heimberger, and et al. 2022. "Clinical Management of Supratentorial Non-Skull Base Meningiomas" Cancers 14, no. 23: 5887. https://doi.org/10.3390/cancers14235887
APA StyleAdekanmbi, A., Youngblood, M. W., Karras, C. L., Oyetunji, E. A., Kalapurakal, J., Horbinski, C. M., Najem, H., Hill, V. B., Chandler, J. P., Heimberger, A. B., Magill, S. T., & Lukas, R. V. (2022). Clinical Management of Supratentorial Non-Skull Base Meningiomas. Cancers, 14(23), 5887. https://doi.org/10.3390/cancers14235887

