Clinical Outcomes of Everolimus Rechallenge in Patients with Pancreatic Neuroendocrine Neoplasms with No Other Treatment Options
Abstract
Simple Summary
Abstract
1. Introduction
2. Methods
2.1. Treatment of Everolimus Rechallenge
2.2. Endpoints
2.3. Statistical Analyses
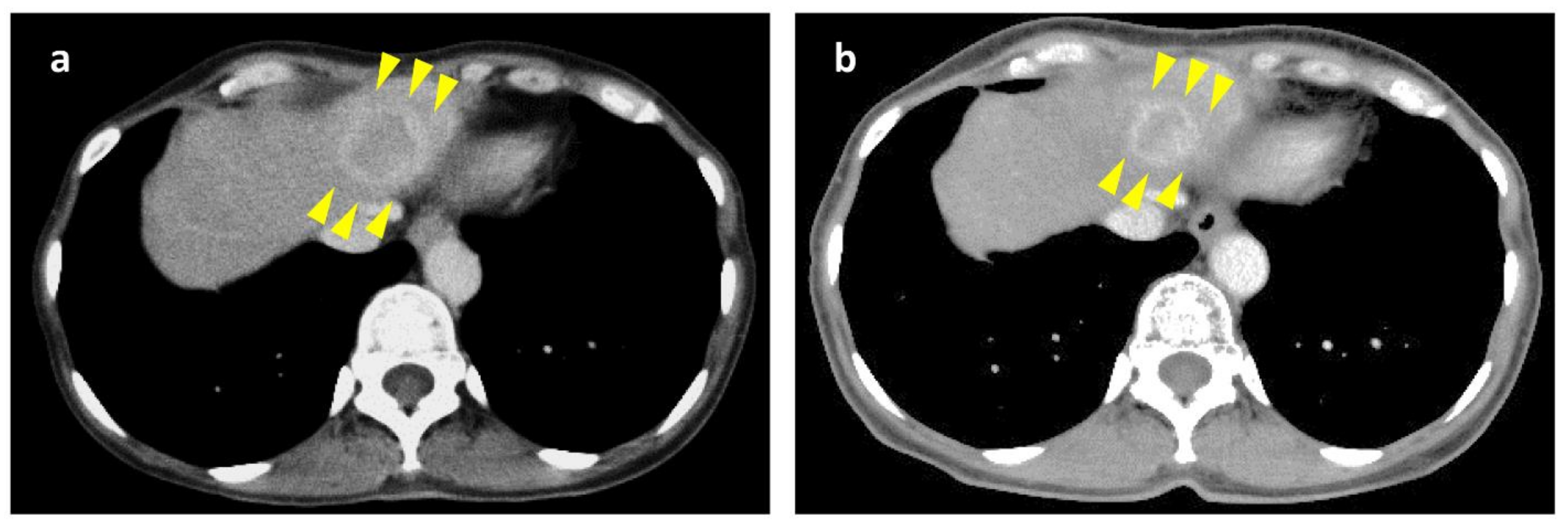
3. Results
3.1. Patients
3.2. Progression-Free Surival and Response Rate for Everolimus Rechallenge
3.3. Adverse Events due to Everolimus Rechallenge
4. Discussion
5. Conclusions
Author Contributions
Funding
Institutional Review Board Statement
Informed Consent Statement
Data Availability Statement
Acknowledgments
Conflicts of Interest
Abbreviations
References
- Yao, J.C.; Hassan, M.; Phan, A.; Dagohoy, C.; Leary, C.; Mares, J.E.; Abdalla, E.K.; Fleming, J.B.; Vauthey, J.N.; Rashid, A.; et al. One hundred years after “carcinoid”: Epidemiology of and prognostic factors for neuroendocrine tumors in 35,825 cases in the United States. J. Clin. Oncol. 2008, 26, 3063–3072. [Google Scholar] [CrossRef] [PubMed]
- Yao, J.C.; Shah, M.H.; Ito, T.; Bohas, C.L.; Wolin, E.M.; Van Cutsem, E.; Hobday, T.J.; Okusaka, T.; Capdevila, J.; de Vries, E.G.; et al. Everolimus for advanced pancreatic neuroendocrine tumors. N. Engl. J. Med. 2011, 364, 514–523. [Google Scholar] [CrossRef] [PubMed]
- Cavalcoli, F.; Rausa, E.; Conte, D.; Nicolini, A.F.; Massironi, S. Is there still a role for the hepatic locoregional treatment of metastatic neuroendocrine tumors in the era of systemic targeted therapies? World J. Gastroenterol. 2017, 23, 2640–2650. [Google Scholar] [CrossRef] [PubMed]
- Metz, D.C.; Jensen, R.T. Gastrointestinal neuroendocrine tumors: Pancreatic endocrine tumors. Gastroenterology 2008, 135, 1469–1492. [Google Scholar] [CrossRef] [PubMed]
- Partelli, S.; Bartsch, D.K.; Capdevila, J.; Chen, J.; Knigge, U.; Niederle, B.; Nieveen van Dijkum, E.J.M.; Pape, U.F.; Pascher, A.; Ramage, J.; et al. ENETS Consensus Guidelines for Standard of Care in Neuroendocrine Tumours: Surgery for Small Intestinal and Pancreatic Neuroendocrine Tumours. Neuroendocrinology 2017, 105, 255–265. [Google Scholar] [CrossRef] [PubMed]
- Raymond, E.; Dahan, L.; Raoul, J.-L.; Bang, Y.-J.; Borbath, I.; Lombard-Bohas, C.; Valle, J.; Metrakos, P.; Smith, D.; Vinik, A.; et al. Sunitinib Malate for the Treatment of Pancreatic Neuroendocrine Tumors. N. Engl. J. Med. 2011, 364, 501–513. [Google Scholar] [CrossRef]
- Fjallskog, M.L.; Janson, E.T.; Falkmer, U.G.; Vatn, M.H.; Oberg, K.E.; Eriksson, B.K. Treatment with combined streptozotocin and liposomal doxorubicin in metastatic endocrine pancreatic tumors. Neuroendocrinology 2008, 88, 53–58. [Google Scholar] [CrossRef]
- Turner, N.C.; Strauss, S.J.; Sarker, D.; Gillmore, R.; Kirkwood, A.; Hackshaw, A.; Papadopoulou, A.; Bell, J.; Kayani, I.; Toumpanakis, C.; et al. Chemotherapy with 5-fluorouracil, cisplatin and streptozocin for neuroendocrine tumours. Br. J. Cancer 2010, 102, 1106–1112. [Google Scholar] [CrossRef]
- Dahan, L.; Bonnetain, F.; Rougier, P.; Raoul, J.L.; Gamelin, E.; Etienne, P.L.; Cadiot, G.; Mitry, E.; Smith, D.; Cvitkovic, F.; et al. Phase III trial of chemotherapy using 5-fluorouracil and streptozotocin compared with interferon alpha for advanced carcinoid tumors: FNCLCC-FFCD 9710. Endocr. Relat. Cancer 2009, 16, 1351–1361. [Google Scholar] [CrossRef]
- Strosberg, J.; El-Haddad, G.; Wolin, E.; Hendifar, A.; Yao, J.; Chasen, B.; Mittra, E.; Kunz, P.L.; Kulke, M.H.; Jacene, H.; et al. Phase 3 Trial of 177Lu-Dotatate for midgut neuroendocrine tumors. N. Engl. J. Med. 2017, 376, 125–135. [Google Scholar] [CrossRef]
- Santini, D.; Vincenzi, B.; Addeo, R.; Garufi, C.; Masi, G.; Scartozzi, M.; Mancuso, A.; Frezza, A.M.; Venditti, O.; Imperatori, M.; et al. Cetuximab rechallenge in metastatic colorectal cancer patients: How to come away from acquired resistance? Ann. Oncol. Off. J. Eur. Soc. Med. Oncol. 2012, 23, 2313–2318. [Google Scholar] [CrossRef] [PubMed]
- Cremolini, C.; Rossini, D.; Dell’Aquila, E.; Lonardi, S.; Conca, E.; Del Re, M.; Busico, A.; Pietrantonio, F.; Danesi, R.; Aprile, G.; et al. Rechallenge for patients with RAS and BRAF wild-type metastatic colorectal cancer with acquired resistance to first-line cetuximab and irinotecan: A phase 2 single-arm cinical trial. JAMA Oncol. 2019, 5, 343–350. [Google Scholar] [CrossRef] [PubMed]
- Suenaga, M.; Mizunuma, N.; Matsusaka, S.; Shinozaki, E.; Ozaka, M.; Ogura, M.; Yamaguchi, T. Phase II study of reintroduction of oxaliplatin for advanced colorectal cancer in patients previously treated with oxaliplatin and irinotecan: RE-OPEN study. Drug Des. Dev. Ther. 2015, 9, 3099–3108. [Google Scholar] [CrossRef] [PubMed]
- Yang, Q.; Huang, Y.; Jiang, Z.; Wang, H.; Li, W.; Zhang, B.; Xie, D. Rechallenge of oxaliplatin-containing regimens in the third- or later-line therapy for patients with heavily treated metastatic colorectal cancer. OncoTargets Ther. 2018, 11, 2467–2473. [Google Scholar] [CrossRef]
- Kim, J.J.; Kang, J.; Hong, Y.S.; Kim, K.P.; Kim, S.Y.; Kim, T.W.; Kim, J.E. Oxaliplatin rechallenge in metastatic colorectal cancer patients after prior oxaliplatin treatment. Med. Oncol. 2018, 35, 65. [Google Scholar] [CrossRef]
- Maj-Hes, A.; Medioni, J.; Scotte, F.; Schmidinger, M.; Kramer, G.; Combe, P.; Gornadha, Y.; Elaidi, R.; Oudard, S. Rechallenge with mTOR inhibitors in metastatic renal cell carcinoma patients who progressed on previous mTOR inhibitor therapy. Oncology 2013, 85, 8–13. [Google Scholar] [CrossRef]
- Jiao, Y.; Shi, C.; Edil, B.H.; de Wilde, R.F.; Klimstra, D.S.; Maitra, A.; Schulick, R.D.; Tang, L.H.; Wolfgang, C.L.; Choti, M.A.; et al. DAXX/ATRX, MEN1, and mTOR pathway genes are frequently altered in pancreatic neuroendocrine tumors. Science 2011, 331, 1199–1203. [Google Scholar] [CrossRef]
- Yang, H.; Rudge, D.G.; Koos, J.D.; Vaidialingam, B.; Yang, H.J.; Pavletich, N.P. mTOR kinase structure, mechanism and regulation. Nature 2013, 497, 217–223. [Google Scholar] [CrossRef]
- Wullschleger, S.; Loewith, R.; Hall, M.N. TOR signaling in growth and metabolism. Cell 2006, 124, 471–484. [Google Scholar] [CrossRef]
- Kang, S.A.; Pacold, M.E.; Cervantes, C.L.; Lim, D.; Lou, H.J.; Ottina, K.; Gray, N.S.; Turk, B.E.; Yaffe, M.B.; Sabatini, D.M. mTORC1 phosphorylation sites encode their sensitivity to starvation and rapamycin. Science 2013, 341, 1236566. [Google Scholar] [CrossRef]
- Svejda, B.; Kidd, M.; Kazberouk, A.; Lawrence, B.; Pfragner, R.; Modlin, I.M. Limitations in small intestinal neuroendocrine tumor therapy by mTor kinase inhibition reflect growth factor-mediated PI3K feedback loop activation via ERK1/2 and AKT. Cancer 2011, 117, 4141–4154. [Google Scholar] [CrossRef] [PubMed]
- Fazio, N.; Buzzoni, R.; Baudin, E.; Antonuzzo, L.; Hubner, R.A.; Lahner, H.; WW, D.E.H.; Raderer, M.; Teulé, A.; Capdevila, J.; et al. A Phase II Study of BEZ235 in Patients with Everolimus-resistant, Advanced Pancreatic Neuroendocrine Tumours. Anticancer. Res. 2016, 36, 713–719. [Google Scholar] [PubMed]
- Carracedo, A.; Ma, L.; Teruya-Feldstein, J.; Rojo, F.; Salmena, L.; Alimonti, A.; Egia, A.; Sasaki, A.T.; Thomas, G.; Kozma, S.C.; et al. Inhibition of mTORC1 leads to MAPK pathway activation through a PI3K-dependent feedback loop in human cancer. J. Clin. Investig. 2008, 118, 3065–3074. [Google Scholar] [CrossRef] [PubMed]
- Di Nicolantonio, F.; Arena, S.; Tabernero, J.; Grosso, S.; Molinari, F.; Macarulla, T.; Russo, M.; Cancelliere, C.; Zecchin, D.; Mazzucchelli, L.; et al. Deregulation of the PI3K and KRAS signaling pathways in human cancer cells determines their response to everolimus. J. Clin. Investig. 2010, 120, 2858–2866. [Google Scholar] [CrossRef]
- Lee, L.; Ito, T.; Igarashi, H.; Ueda, K.; Fujiyama, T.; Kawabe, K.; Ogawa, Y. Impact of everolimus on Japanese patients with advanced pancreatic neuroendocrine neoplasms. J. Hepato-Biliary Pancreat. Sci. 2017, 24, 95–102. [Google Scholar] [CrossRef]



| Rechallenge (n = 14) | |
|---|---|
| Age, median (range), year | 53 (32–70) |
| Sex (%) male/female | 5 (35.7)/9 (64.3) |
| WHO grade (2019) (%) | |
| G1 G2 G3 | 2 (14.3) 11 (78.6) 1 (7.1) |
| Ki-67 index, median (range) * | 5.0 (2.0–41.8) |
| Hereditary status (%) | |
| Sporadic/familial | 100 (100)/0 |
| Functionality (%) | |
| Function/non-function | 1 (7.1)/13 (92.9) |
| Metastasis (%) | |
| Lymph node/liver | 2 (14.3)/14 (100) |
| Performance status (%) | |
| 0/1/2/3–4 | 12 (85.7)/1 (7.1)/1 (7.1)/0 |
| Treatment line of the initial introduction of everolimus, mean (range) | 2.1 (1–5) |
| Tumor response to the initial introduction of everolimus (%) | |
| CR PR SD PD | 0 4 (28.6) 7 (50.0) 3 (21.4) |
| Objective response rate for the initial introduction of everolimus (%) | 4 (28.6) |
| Disease control rate for the initial introduction of everolimus (%) | 11 (78.6) |
| The median PFS for the initial introduction of everolimus (95% CI), month | 8.7 (0.9–16.4) |
| Causes of discontinuation of the initial introduction of everolimus (%) | |
| Progression disease Adverse event Change to other treatments Patient refusal to continue treatment | 6 (42.9) 3 (21.4) 2 (14.3) 2 (14.3) |
| Treatment line of everolimus rechallenge, mean (range) | 4.5 (2–7) |
| Everolimus rechallenge plus SSA (%) | 7 (50.0) |
| Time from the initial everolimus to everolimus rechallenge treatment | |
| Median, months (range) ≤6 mo >6 mo to ≤2 y >2 y to ≤5 y >5 y | 12.7 (4.0–36.0) 1 (7.1) 9 (64.3) 3 (21.4) 0 |
| Time from the initial diagnosis to everolimus rechallenge treatment | |
| Median, months (range) ≤6 mo >6 mo to ≤2 y >2 y to ≤5 y >5 y | 44.5 (11.6–193.1) 0 1 (7.1) 9 (64.3) 4 (28.6) |
| Overall (n = 14) | G1 (n = 2) | G2 (n = 11) | G3 (n = 1) | |
|---|---|---|---|---|
| Tumor response (%) | ||||
| CR PR SD PD | 0 3 (21.4) 7 (50.0) 4 (28.6) | 0 0 2 (100) 0 | 0 3 (27.3) 4 (36.4) 4 (36.4) | 0 0 1 (100) 0 |
| Objective response rate (%) | 3 (21.4) | 0 | 3 (27.3) | 0 |
| Disease control rate (%) | 10 (71.4) | 2 (100) | 7 (63.6) | 1 (100) |
| Median PFS (95% CI), month | 5.7 (1.0–10.5) | 16.0 (-) | 5.0 (0.0–10.0) | 5.8 (-) |
| Initial Introduction | Rechallenge | |||
|---|---|---|---|---|
| All Grades | Grade 3/4 | All grades | Grade 3/4 | |
| Hematological toxicity | ||||
| Anemia | 3 (21.4) | 0 | 1 (7.1) | 0 |
| Thrombocytopenia | 0 | 0 | 3 (21.4) | 0 |
| Leukopenia | 1 (7.1) | 0 | 1 (7.1) | 0 |
| Neutropenia | 2 (14.3) | 1 (7.1) | 3 (21.4) | 1 (7.1) |
| Febrile neutropenia | 0 | 0 | 0 | 0 |
| Non-hematological toxicity | ||||
| Stomatitis * | 8 (57.1) | 0 | 7 (50.0) | 0 |
| Rash | 3 (21.4) | 1 (7.1) | 4 (28.6) | 0 |
| Decreased appetite | 1 (7.1) | 0 | 3 (21.4) | 0 |
| Headache | 0 | 0 | 1 (7.1) | 0 |
| Noninfectious pneumonitis ‡ | 4 (28.6) | 1 (7.1) | 1 (7.1) | 0 |
| Hyperglycemia | 1 (7.1) | 0 | 1 (7.1) | 0 |
Publisher’s Note: MDPI stays neutral with regard to jurisdictional claims in published maps and institutional affiliations. |
© 2022 by the authors. Licensee MDPI, Basel, Switzerland. This article is an open access article distributed under the terms and conditions of the Creative Commons Attribution (CC BY) license (https://creativecommons.org/licenses/by/4.0/).
Share and Cite
Kurita, Y.; Kobayashi, N.; Hara, K.; Mizuno, N.; Kuwahara, T.; Okuno, N.; Haba, S.; Tokuhisa, M.; Hasegawa, S.; Kubota, K.; et al. Clinical Outcomes of Everolimus Rechallenge in Patients with Pancreatic Neuroendocrine Neoplasms with No Other Treatment Options. Cancers 2022, 14, 5669. https://doi.org/10.3390/cancers14225669
Kurita Y, Kobayashi N, Hara K, Mizuno N, Kuwahara T, Okuno N, Haba S, Tokuhisa M, Hasegawa S, Kubota K, et al. Clinical Outcomes of Everolimus Rechallenge in Patients with Pancreatic Neuroendocrine Neoplasms with No Other Treatment Options. Cancers. 2022; 14(22):5669. https://doi.org/10.3390/cancers14225669
Chicago/Turabian StyleKurita, Yusuke, Noritoshi Kobayashi, Kazuo Hara, Nobumasa Mizuno, Takamichi Kuwahara, Nozomi Okuno, Shin Haba, Motohiko Tokuhisa, Sho Hasegawa, Kensuke Kubota, and et al. 2022. "Clinical Outcomes of Everolimus Rechallenge in Patients with Pancreatic Neuroendocrine Neoplasms with No Other Treatment Options" Cancers 14, no. 22: 5669. https://doi.org/10.3390/cancers14225669
APA StyleKurita, Y., Kobayashi, N., Hara, K., Mizuno, N., Kuwahara, T., Okuno, N., Haba, S., Tokuhisa, M., Hasegawa, S., Kubota, K., Nakajima, A., & Ichikawa, Y. (2022). Clinical Outcomes of Everolimus Rechallenge in Patients with Pancreatic Neuroendocrine Neoplasms with No Other Treatment Options. Cancers, 14(22), 5669. https://doi.org/10.3390/cancers14225669

