Challenges in the Early Diagnosis of Oral Cancer, Evidence Gaps and Strategies for Improvement: A Scoping Review of Systematic Reviews
Abstract
Simple Summary
Abstract
1. Introduction
2. Materials and Methods
2.1. Search Strategy
2.2. Eligibility Criteria
2.3. Study Selection Process
2.4. Data Extraction
2.5. Critical Analysis and Evidence Synthesis
3. Results
3.1. Results of the Literature Search
3.2. Study Characteristics
3.3. Critical Analysis and Evidence Synthesis
4. Discussion
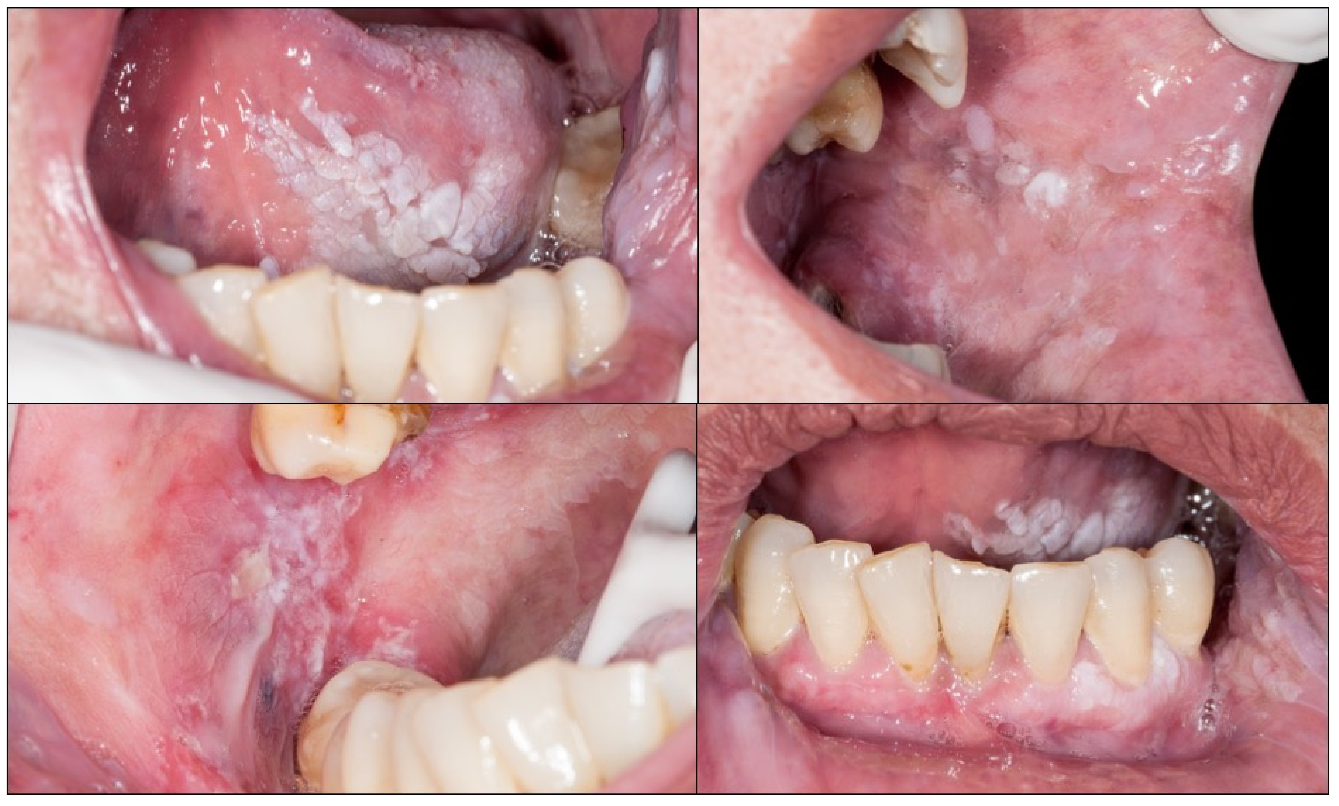
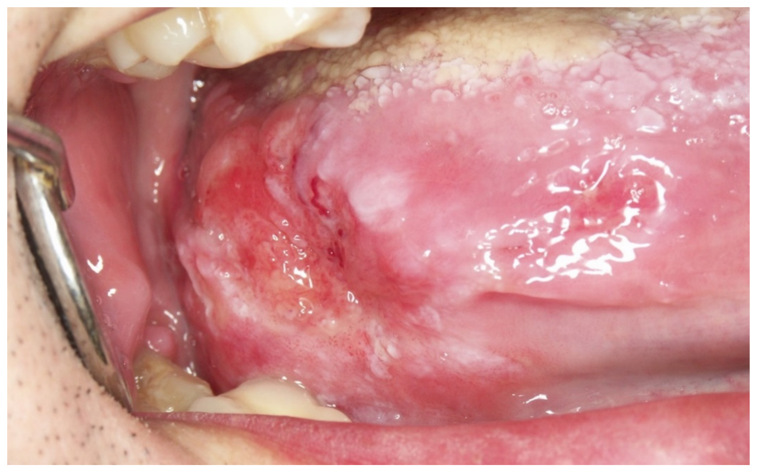
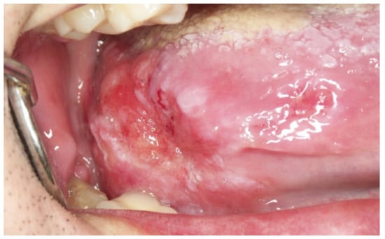
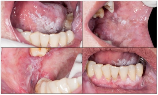
4.1. Clinical Signs of Early Oral Carcinoma and Oral Lesions at Risk of Developing Cancer—Oral Potentially Malignant Disorders (OPMD)
4.2. What Is Early Oral Carcinoma
4.3. What Is Delayed Diagnosis in Oral Cancer and How to Investigate It
4.4. Reasons for Delayed Diagnosis of Oral Cancer
4.5. Improvement Strategies in the Early Diagnosis of Oral Cancer
- The occurrence of a high number of false-positive cases referred for confirmatory diagnosis has been noted. This is an aspect that considerably undermines the development of the programs as it consumes health resources unnecessarily, both in terms of time invested by specialists, as well as economic, and generates unnecessary stress in patients. This aspect is difficult to reverse and only the training of the examiners would reduce the number of false-positive cases referred.
- Population-based screening programs have proven to be very cost inefficient in countries where there is a low incidence of oral cancer.
- The poor compliance of patients selected as cases in a screening program when they are referred to a specialist for definitive diagnosis is very remarkable. This is a major problem that necessarily diminishes the effectiveness of screening programs and, in our opinion, could only be solved by improving the communication and information provided to selected patients by screeners.
- Variability in the training levels of examiners also affects the effectiveness of screening programs. This is because a program that aims to screen large populations should be supported by many examiners, which will necessarily make their level of training heterogeneous. Moreover, the resolution of this problem is hampered by the subtlety of the initial clinical manifestations of oral cancer. Only more in-depth training programs for examiners can improve this aspect.
- Lack of knowledge on the part of the examiners of the most common toxic habits in the population to be examined will prevent the selection of patients at higher risk, who are otherwise the main target of oral cancer screening programs.
- Screening programs are not usually designed in the form of randomized controlled trials, which are those that allow cases to be randomly assigned to groups and results to be effectively compared.
- Finally, the low level of resources in the countries targeted by screening programs is an aspect that greatly hinders their implementation. It should be taken into consideration that oral cancer is often more prevalent in poor societies.
4.6. Results of the Main Oral Cancer Screening Programs in the World
4.7. Problems of Screening Programs
5. Final Conclusions and Future Perspectives
Author Contributions
Funding
Institutional Review Board Statement
Data Availability Statement
Acknowledgments
Conflicts of Interest
Appendix A. Search Strategy
Appendix A.1. MEDLINE/PubMed (n = 36)
Appendix A.2. Embase (n = 86)
Appendix A.3. Cochrane Library (n = 8)
Appendix A.4. DARE (n = 18)
References
- Sung, H.; Ferlay, J.; Siegel, R.L.; Laversanne, M.; Soerjomataram, I.; Jemal, A.; Bray, F. Global Cancer Statistics 2020: GLOBOCAN Estimates of Incidence and Mortality Worldwide for 36 Cancers in 185 Countries. CA Cancer J. Clin. 2021, 71, 209–249. [Google Scholar] [CrossRef] [PubMed]
- Chi, A.C.; Day, T.A.; Neville, B.W. Oral cavity and oropharyngeal squamous cell carcinoma-an update. CA Cancer J. Clin. 2015, 65, 401–421. [Google Scholar] [CrossRef] [PubMed]
- Chow, L.Q.M. Head and Neck Cancer. N. Engl. J. Med. 2020, 382, 60–72. [Google Scholar] [CrossRef] [PubMed]
- Available online: https://seer.cancer.gov (accessed on 30 June 2022).
- Warnakulasuriya, S. Global epidemiology of oral and oropharyngeal cancer. Oral Oncol. 2009, 45, 309–316. [Google Scholar] [CrossRef]
- Scott, S.E.; Grunfeld, E.A.; McGurk, M. The idiosyncratic relationship between diagnostic delay and stage of oral squamous cell carcinoma. Oral Oncol. 2005, 41, 396–403. [Google Scholar] [CrossRef]
- Gonzalez-Moles, M.A.; Scully, C.; Ruiz-Avila, I. Molecular findings in oral premalignant fields: Update on their diagnostic and clinical implications. Oral Dis. 2012, 18, 40–47. [Google Scholar] [CrossRef]
- Warnakulasuriya, K.A.A.S.; Robinson, D.; Evans, H. Multiple primary tumours following head and neck cancer in southern England during 1961-98. J. Oral Pathol. Med. 2003, 32, 443–449. [Google Scholar] [CrossRef]
- Li, Y.-D.; Ma, X.; Han, Y.-L.; Peng, L.-W. Clinical features of multiple primary carcinomas of the oral cavity. Exp. Ther. Med. 2017, 13, 634–638. [Google Scholar] [CrossRef][Green Version]
- Gómez, I.; Seoane, J.; Varela-Centelles, P.; Diz, P.; Takkouche, B. Is diagnostic delay related to advanced-stage oral cancer? A meta-analysis. Eur. J. Oral Sci. 2009, 117, 541–546. [Google Scholar] [CrossRef]
- Seoane, J.; Takkouche, B.; Varela-Centelles, P.; Tomás, I.; Seoane-Romero, J.M. Impact of delay in diagnosis on survival to head and neck carcinomas: A systematic review with meta-analysis. Clin. Otolaryngol. 2012, 37, 99–106. [Google Scholar] [CrossRef]
- Seoane, J.; Alvarez-Novoa, P.; Gomez, I.; Takkouche, B.; Diz, P.; Warnakulasiruya, S.; Seoane-Romero, J.M.; Varela-Centelles, P. Early oral cancer diagnosis: The Aarhus statement perspective. A systematic review and meta-analysis. Head Neck 2016, 38 (Suppl. 1), E2182-9. [Google Scholar] [CrossRef]
- Cleveland, J.L.; Thornton-Evans, G. Total diagnostic delay in oral cancer may be related to advanced disease stage at diagnosis. J. Evid. Based. Dent. Pract. 2012, 12, 84–86. [Google Scholar] [CrossRef][Green Version]
- De Souza, D.L.B.; De Camargo Cancela, M.; Pérez, M.M.B.; Curado, M.P. Trends in the incidence of oral cavity and oropharyngeal cancers in Spain. Head Neck 2012, 34, 649–654. [Google Scholar] [CrossRef]
- Kantola, S.; Jokinen, K.; Hyrynkangas, K.; Mäntyselkä, P.; Alho, O.P. Detection of tongue cancer in primary care. Br. J. Gen. Pract. 2001, 51, 106–111. [Google Scholar]
- Pitiphat, W.; Diehl, S.R.; Laskaris, G.; Cartsos, V.; Douglass, C.W.; Zavras, A.I. Factors associated with delay in the diagnosis of oral cancer. J. Dent. Res. 2002, 81, 192–197. [Google Scholar] [CrossRef]
- Brouha, X.D.R.; Tromp, D.M.; Hordijk, G.J.; Winnubst, J.A.M.; De Leeuw, J.R.J. Oral and pharyngeal cancer: Analysis of patient delay at different tumor stages. Head Neck 2005, 27, 939–945. [Google Scholar] [CrossRef]
- Facione, N.C. Delay versus help seeking for breast cancer symptoms: A critical review of the literature on patient and provider delay. Soc. Sci. Med. 1993, 36, 1521–1534. [Google Scholar] [CrossRef]
- Porta, M.; Gallen, M.; Malats, N.; Planas, J. Influence of ″diagnostic delay″ upon cancer survival: An analysis of five tumour sites. J. Epidemiol. Community Health 1991, 45, 225–230. [Google Scholar] [CrossRef]
- Erwenne, C.M.; Franco, E.L. Age and lateness of referral as determinants of extra-ocular retinoblastoma. Ophthalmic Genet. 1989, 10, 179–184. [Google Scholar] [CrossRef]
- McGurk, M.; Chan, C.; Jones, J.; O’Regan, E.; Sherriff, M. Delay in diagnosis and its effect on outcome in head and neck cancer. Br. Dent. J. 2005, 199, 721. [Google Scholar] [CrossRef]
- Guggenheimer, J.; Verbin, R.S.; Johnson, J.T.; Horkowitz, C.A.; Myers, E.N. Factors delaying the diagnosis of oral and oropharyngeal carcinomas. Cancer 1989, 64, 932–935. [Google Scholar] [CrossRef]
- Kerdpon, D.; Sriplung, H. Factors related to delay in diagnosis of oral squamous cell carcinoma in southern Thailand. Oral Oncol. 2001, 37, 127–131. [Google Scholar] [CrossRef]
- Allison, P.; Franco, E.; Feine, J. Predictors of professional diagnostic delays for upper aerodigestive tract carcinoma. Oral Oncol. 1998, 34, 127–132. [Google Scholar] [CrossRef]
- Tromp, D.M.; Brouha, X.D.R.; Hordijk, G.-J.; Winnubbst, J.A.M.; de Leeuw, R.J. Patient and tumour factors associated with advanced carcinomas of the head and neck. Br. Dent. J. 2005, 199, 151. [Google Scholar] [CrossRef]
- Allison, P.; Locker, D.; Feine, J.S. The role of diagnostic delays in the prognosis of oral cancer: A review of the literature. Oral Oncol. 1998, 34, 161–170. [Google Scholar] [CrossRef]
- Wildt, J.; Bundgaard, T.; Bentzen, S.M. Delay in the diagnosis of oral squamous cell carcinoma. Clin. Otolaryngol. Allied Sci. 1995, 20, 21–25. [Google Scholar] [CrossRef]
- Sandoval, M.; Font, R.; Mañós, M.; Dicenta, M.; Quintana, M.J.; Bosch, F.X.; Castellsagué, X. The role of vegetable and fruit consumption and other habits on survival following the diagnosis of oral cancer: A prospective study in Spain. Int. J. Oral Maxillofac. Surg. 2009, 38, 31–39. [Google Scholar] [CrossRef]
- Peacock, Z.S.; Pogrel, M.A.; Schmidt, B.L. Exploring the reasons for delay in treatment of oral cancer. J. Am. Dent. Assoc. 2008, 139, 1346–1352. [Google Scholar] [CrossRef]
- Varela-Centelles, P.; López-Cedrún, J.L.; Fernández-Sanromán, J.; Seoane-Romero, J.M.; Santos de Melo, N.; Álvarez-Nóvoa, P.; Gómez, I.; Seoane, J. Key points and time intervals for early diagnosis in symptomatic oral cancer: A systematic review. Int. J. Oral Maxillofac. Surg. 2017, 46, 1–10. [Google Scholar] [CrossRef]
- Kowalski, L.P.; Carvalho, A.L. Influence of time delay and clinical upstaging in the prognosis of head and neck cancer. Oral Oncol. 2001, 37, 94–98. [Google Scholar] [CrossRef]
- Morelatto, R.A.; Herrera, M.C.; Fernández, E.N.; Corball, A.G.; López De Blanc, S.A. Diagnostic delay of oral squamous cell carcinoma in two diagnosis centers in Córdoba Argentina. J. Oral Pathol. Med. 2007, 36, 405–408. [Google Scholar] [CrossRef] [PubMed]
- Van der Waal, I.; de Bree, R.; Brakenhoff, R.; Coebergh, J.-W. Early diagnosis in primary oral cancer: Is it possible? Med. Oral Patol. Oral Cir. Bucal 2011, 16, e300–e305. [Google Scholar] [CrossRef] [PubMed]
- Van Harten, M.C.; De Ridder, M.; Hamming-Vrieze, O.; Smeele, L.E.; Balm, A.J.M.; Van Den Brekel, M.W.M. The association of treatment delay and prognosis in head and neck squamous cell carcinoma (HNSCC) patients in a Dutch comprehensive cancer center. Oral Oncol. 2014, 50, 282–290. [Google Scholar] [CrossRef] [PubMed]
- Tricco, A.C.; Lillie, E.; Zarin, W.; O’Brien, K.K.; Colquhoun, H.; Levac, D.; Moher, D.; Peters, M.D.J.; Horsley, T.; Weeks, L.; et al. PRISMA extension for scoping reviews (PRISMA-ScR): Checklist and explanation. Ann. Intern. Med. 2018, 169, 467–473. [Google Scholar] [CrossRef]
- McGowan, J.; Sampson, M.; Salzwedel, D.M.; Cogo, E.; Foerster, V.; Lefebvre, C. PRESS Peer Review of Electronic Search Strategies: 2015 Guideline Statement. J. Clin. Epidemiol. 2016, 75, 40–46. [Google Scholar] [CrossRef]
- Centre for Reviews and Dissemination Group. Systematic Reviews: CRD’s Guidance for Undertaking Reviews in Health Care; York Publishing Services Ltd.: York, UK, 2009. [Google Scholar]
- Lee, E.; Dobbins, M.; Decorby, K.; McRae, L.; Tirilis, D.; Husson, H. An optimal search filter for retrieving systematic reviews and meta-analyses. BMC Med. Res. Methodol. 2012, 12, 51. [Google Scholar] [CrossRef]
- Higgins, J.P.; Green, S. Cochrane Handbook for Systematic Reviews of Interventions: Cochrane Book Series; John Wiley & Sons: Hoboken, NJ, USA, 2019. [Google Scholar]
- Moher, D.; Liberati, A.; Tetzlaff, J.; Altman, D.G. PRISMA Group Preferred reporting items for systematic reviews and meta-analyses: The PRISMA statement. PLoS Med. 2009, 6, e1000097. [Google Scholar] [CrossRef]
- Goy, J.; Hall, S.F.; Feldman-Stewart, D.; Groome, P.A. Diagnostic delay and disease stage in head and neck cancer: A systematic review. Laryngoscope 2009, 119, 889–898. [Google Scholar] [CrossRef]
- Scott, S.E.; Grunfeld, E.A.; McGurk, M. Patient’s delay in oral cancer: A systematic review. Community Dent. Oral Epidemiol. 2006, 34, 337–343. [Google Scholar] [CrossRef]
- Walsh, T.; Warnakulasuriya, S.; Lingen, M.W.; Kerr, A.R.; Ogden, G.R.; Glenny, A.-M.; Macey, R. Clinical assessment for the detection of oral cavity cancer and potentially malignant disorders in apparently healthy adults. Cochrane Database Syst. Rev. 2021, 12, CD010173. [Google Scholar] [CrossRef]
- Walsh, T.; Macey, R.; Kerr, A.R.; Lingen, M.W.; Ogden, G.R.; Warnakulasuriya, S. Diagnostic tests for oral cancer and potentially malignant disorders in patients presenting with clinically evident lesions. Cochrane Database Syst. Rev. 2021, 7, CD010276. [Google Scholar] [CrossRef]
- Lima, A.-M.; Meira, I.-A.; Soares, M.-S.; Bonan, P.-R.; Mélo, C.-B.; Piagge, C.-S. Delay in diagnosis of oral cancer: A systematic review. Med. Oral Patol. Oral Cir. Bucal 2021, 26, e815–e824. [Google Scholar] [CrossRef]
- Lauritzen, B.B.; Jensen, J.S.; Grønhøj, C.; Wessel, I.; von Buchwald, C. Impact of delay in diagnosis and treatment-initiation on disease stage and survival in oral cavity cancer: A systematic review. Acta Oncol. 2021, 60, 1083–1090. [Google Scholar] [CrossRef]
- Grafton-Clarke, C.; Chen, K.W.; Wilcock, J. Diagnosis and referral delays in primary care for oral squamous cell cancer: A systematic review. Br. J. Gen. Pract. 2019, 69, e112–e126. [Google Scholar] [CrossRef]
- Varela-Centelles, P.; Seoane, J.; Lopez-Cedrum, J.; Fernandez-Sanroman, J.; Garcia-Martin, J.; Takkouche, B.; Alvarez-Novoa, P.; Seoane-Romero, J.P. The length of patient and primary care time interval in the pathways to treatment in symptomatic oral cancer. A quantitative systematic review. Clin. Otolaryngol. 2017, 43, 164–171. [Google Scholar] [CrossRef]
- Warnakulasuriya, S.; Kujan, O.; Aguirre-Urizar, J.M.; Bagan, J.V.; González-Moles, M.Á.; Kerr, A.R.; Lodi, G.; Mello, F.W.; Monteiro, L.; Ogden, G.R.; et al. Oral potentially malignant disorders: A consensus report from an international seminar on nomenclature and classification, convened by the WHO Collaborating Centre for Oral Cancer. Oral Dis. 2021, 27, 1862–1880. [Google Scholar] [CrossRef]
- Warnakulasuriya, S.; Ariyawardana, A. Malignant transformation of oral leukoplakia: A systematic review of observational studies. J. Oral Pathol. Med. 2016, 45, 155–166. [Google Scholar] [CrossRef]
- Aguirre-Urizar, J.M.; Lafuente-Ibáñez de Mendoza, I.; Warnakulasuriya, S. Malignant transformation of oral leukoplakia: Systematic review and meta-analysis of the last 5 years. Oral Dis. 2021, 27, 1881–1895. [Google Scholar] [CrossRef]
- Petti, S. Pooled estimate of world leukoplakia prevalence: A systematic review. Oral Oncol. 2003, 39, 770–780. [Google Scholar] [CrossRef]
- González-Moles, M.Á.; Warnakulasuriya, S.; Ramos-García, P. Prognosis Parameters of Oral Carcinomas Developed in Proliferative Verrucous Leukoplakia: A Systematic Review and Meta-Analysis. Cancers 2021, 13, 4843. [Google Scholar] [CrossRef]
- González-Moles, M.Á.; Ramos-García, P.; Warnakulasuriya, S. A scoping review on gaps in the diagnostic criteria for proliferative verrucous leukoplakia: A conceptual proposal and diagnostic evidence-based criteria. Cancers 2021, 13, 3669. [Google Scholar] [CrossRef]
- Ramos-García, P.; González-Moles, M.Á.; Mello, F.W.; Bagan, J.V.; Warnakulasuriya, S. Malignant transformation of oral proliferative verrucous leukoplakia: A systematic review and meta-analysis. Oral Dis. 2021, 27, 1896–1907. [Google Scholar] [CrossRef]
- González-Moles, M.Á.; Ruiz-Ávila, I.; González-Ruiz, L.; Ayén, Á.; Gil-Montoya, J.A.; Ramos-García, P. Malignant transformation risk of oral lichen planus: A systematic review and comprehensive meta-analysis. Oral Oncol. 2019, 96, 121–130. [Google Scholar] [CrossRef]
- González-Moles, M.Á.; Ramos-García, P.; Warnakulasuriya, S. An appraisal of highest quality studies reporting malignant transformation of oral lichen planus based on a systematic review. Oral Dis. 2021, 27, 1908–1918. [Google Scholar] [CrossRef]
- Gonzalez-Moles, M.A.; Scully, C.; Gil-Montoya, J.A. Oral lichen planus: Controversies surrounding malignant transformation. Oral Dis. 2008, 14, 229–243. [Google Scholar] [CrossRef]
- Ramos-García, P.; González-Moles, M.Á.; Warnakulasuriya, S. Oral cancer development in lichen planus and related conditions-3.0 evidence level: A systematic review of systematic reviews. Oral Dis. 2021, 27, 1919–1935. [Google Scholar] [CrossRef]
- González-Moles, M.Á.; Warnakulasuriya, S.; González-Ruiz, I.; González-Ruiz, L.; Ayén, Á.; Lenouvel, D.; Ruiz-Ávila, I.; Ramos-García, P. Clinicopathological and prognostic characteristics of oral squamous cell carcinomas arising in patients with oral lichen planus: A systematic review and a comprehensive meta-analysis. Oral Oncol. 2020, 106, 104688. [Google Scholar] [CrossRef]
- González-Moles, M.Á.; Warnakulasuriya, S.; González-Ruiz, I.; González-Ruiz, L.; Ayén, Á.; Lenouvel, D.; Ruiz-Ávila, I.; Ramos-García, P. Worldwide prevalence of oral lichen planus: A systematic review and meta-analysis. Oral Dis. 2021, 27, 813–828. [Google Scholar] [CrossRef]
- Moeckelmann, N.; Ebrahimi, A.; Tou, Y.K.; Gupta, R.; Low, T.H.; Ashford, B.; Ch’ng, S.; Palme, C.E.; Clark, J.R. Prognostic implications of the 8th edition American Joint Committee on Cancer (AJCC) staging system in oral cavity squamous cell carcinoma. Oral Oncol. 2018, 85, 82–86. [Google Scholar] [CrossRef]
- Amin, M.B.; Greene, F.L.; Edge, S.B.; Compton, C.C.; Gershenwald, J.E.; Brookland, R.K.; Meyer, L.; Gress, D.M.; Byrd, D.R.; Winchester, D.P. The Eighth Edition AJCC Cancer Staging Manual: Continuing to build a bridge from a population-based to a more “personalized” approach to cancer staging. CA Cancer J. Clin. 2017, 67, 93–99. [Google Scholar] [CrossRef]
- Lydiatt, W.M.; Patel, S.G.; O’Sullivan, B.; Brandwein, M.S.; Ridge, J.A.; Migliacci, J.C.; Loomis, A.M.; Shah, J.P. Head and neck cancers-major changes in the American Joint Committee on cancer eighth edition cancer staging manual. CA Cancer J. Clin. 2017, 67, 122–137. [Google Scholar] [CrossRef] [PubMed]
- Bruun, J.P. Time lapse by diagnosis of oral cancer. Oral Surgery, Oral Med. Oral Pathol. 1976, 42, 139–149. [Google Scholar] [CrossRef]
- Shafer, W.G. Initial mismanagement and delay in diagnosis of oral cancer. J. Am. Dent. Assoc. 1975, 90, 1262–1264. [Google Scholar] [CrossRef] [PubMed]
- Onizawa, K.; Nishihara, K.; Yamagata, K.; Yusa, H.; Yanagawa, T.; Yoshida, H. Factors associated with diagnostic delay of oral squamous cell carcinoma. Oral Oncol. 2003, 39, 781–788. [Google Scholar] [CrossRef]
- Brouha, X.; Tromp, D.; Hordijk, G.J.; Winnubst, J.; De Leeuw, R. Role of alcohol and smoking in diagnostic delay of head and neck cancer patients. Acta Otolaryngol. 2005, 125, 552–556. [Google Scholar] [CrossRef]
- Carvalho, A.L.; Pintos, J.; Schlecht, N.F.; Oliveira, B.V.; Fava, A.S.; Curado, M.P.; Kowalski, L.P.; Franco, E.L. Predictive factors for diagnosis of advanced-stage squamous cell carcinoma of the head and neck. Arch. Otolaryngol. Head Neck Surg. 2002, 128, 313–318. [Google Scholar] [CrossRef]
- Hollows, P.; McAndrew, P.G.; Perini, M.G. Delays in the referral and treatment of oral squamous cell carcinoma. Br. Dent. J. 2000, 188, 262–265. [Google Scholar] [CrossRef]
- Weller, D.; Vedsted, P.; Rubin, G.; Walter, F.M.; Emery, J.; Scott, S.; Campbell, C.; Andersen, R.S.; Hamilton, W.; Olesen, F.; et al. The Aarhus statement: Improving design and reporting of studies on early cancer diagnosis. Br. J. Cancer 2012, 106, 1262–1267. [Google Scholar] [CrossRef]
- Walter, F.; Webster, A.; Scott, S.; Emery, J. The Andersen Model of Total Patient Delay: A systematic review of its application in cancer diagnosis. J. Health. Serv. Res. Policy 2012, 17, 110–118. [Google Scholar] [CrossRef]
- Seoane-Romero, J.M.; Vázquez-Mahía, I.; Seoane, J.; Varela-Centelles, P.; Tomás, I.; López-Cedrún, J.L. Factors related to late stage diagnosis of oral squamous cell carcinoma. Med. Oral Patol. Oral Cir. Bucal 2012, 17, e35–e40. [Google Scholar] [CrossRef]
- Teppo, H.; Alho, O.P. Relative importance of diagnostic delays in different head and neck cancers. Clin. Otolaryngol. 2008, 33, 325–330. [Google Scholar] [CrossRef]
- Dimitroulis, G.; Reade, P.; Wiesenfeld, D. Referral patterns of patients with oral squamous cell carcinoma, Australia. Eur. J. Cancer Part B Oral Oncol. 1992, 28, 23–27. [Google Scholar] [CrossRef]
- Andersen, R.S.; Vedsted, P.; Olesen, F.; Bro, F.; Søndergaard, J. Patient delay in cancer studies: A discussion of methods and measures. BMC Health Serv. Res. 2009, 9, 189. [Google Scholar] [CrossRef]
- Panzarella, V.; Pizzo, G.; Calvino, F.; Compilato, D.; Colella, G.; Campisi, G. Diagnostic delay in oral squamous cell carcinoma: The role of cognitive and psychological variables. Int. J. Oral Sci. 2014, 6, 39–45. [Google Scholar] [CrossRef]
- Andersen, B.L.; Cacioppo, J.T. Delay in seeking a cancer diagnosis: Delay stages and psychophysiological comparison processes. Br. J. Soc. Psychol. 1995, 34 Pt 1, 33–52. [Google Scholar] [CrossRef]
- Morse, D.E.; Kerr, A.R. Disparities in oral and pharyngeal cancer incidence, mortality and survival among black and white Americans. J. Am. Dent. Assoc. 2006, 137, 203–212. [Google Scholar] [CrossRef]
- McLean, A.; LeMay, W.; Vila, P.; Wegner, M.; Remington, P. Disparities in oral and pharyngeal cancer incidence and mortality among Wisconsin residents, 1999–2002. Wis. Med. J. 2006, 105, 32–35. [Google Scholar]
- Cruz, G.D.; Salazar, C.R.; Morse, D.E. Oral and pharyngeal cancer incidence and mortality among Hispanics, 1996-2002: The need for ethnoregional studies in cancer research. Am. J. Public Health 2006, 96, 2194–2200. [Google Scholar] [CrossRef]
- López-Jornet, P.; Camacho-Alonso, F. New barriers in oral cancer. Patient accessibility to dental examination-A pilot study. Oral Oncol. 2006, 42, 1022–1025. [Google Scholar] [CrossRef]
- Guay, A.H. Access to dental care: Solving the problem for underserved populations. J. Am. Dent. Assoc. 2004, 135, 1599–1605. [Google Scholar] [CrossRef]
- Warnakulasuriya, K.A.; Ekanayake, A.N.; Sivayoham, S.; Stjernswärd, J.; Pindborg, J.J.; Sobin, L.H.; Perera, K.S. Utilization of primary health care workers for early detection of oral cancer and precancer cases in Sri Lanka. Bull. World Health Organ. 1984, 62, 243–250. [Google Scholar]
- Diz Dios, P.; Padron Gonzalez, N.; Seoane Leston, J.; Tomas Carmona, I.; Limeres Posse, J.; Varela-Centelles, P. “Scheduling delay” in oral cancer diagnosis: A new protagonist. Oral Oncol. 2005, 41, 142–146. [Google Scholar] [CrossRef]
- Carter, L.M.; Ogden, G.R. Oral cancer awareness of general medical and general dental practitioners. Br. Dent. J. 2007, 203, E10. [Google Scholar] [CrossRef]
- Holland, J. Psychologic aspects of cancer. Cancer Med. 1982, 53, 1175–1177. [Google Scholar]
- Robbins, G.F. Delay in diagnosis and treatment of cancer. J. Am. Med. Assoc. 1950, 143, 346. [Google Scholar] [CrossRef]
- Gilbert, J.E.; Dobrow, M.J.; Kaan, M.; Dobranowski, J.; Srigley, J.R.; Friedman, A.J.; Irish, J.C. Creation of a diagnostic wait times measurement framework based on evidence and consensus. J. Oncol. Pract. 2014, 10, e373–e379. [Google Scholar] [CrossRef]
- Bairati, I.; Fillion, L.; Meyer, F.A.; Héry, C.; Larochelle, M. Women’s perceptions of events impeding or facilitating the detection, investigation and treatment of breast cancer. Eur. J. Cancer Care 2006, 15, 183–193. [Google Scholar] [CrossRef]
- Evans, J.; Ziebland, S.; McPherson, A. Minimizing delays in ovarian cancer diagnosis: An expansion of Andersen’s model of “total patient delay”. Fam. Pract. 2007, 24, 48–55. [Google Scholar] [CrossRef]
- Feng, R.; Wang, D.B.; Chai, J.; Cheng, J.; Li, H.P. Total delay for treatment among cancer patients: A theory-guided survey in China. Asian Pacific J. Cancer Prev. 2014, 15, 4339–4347. [Google Scholar] [CrossRef]
- Souza, L.M.; Michel-Crosato, E.; Biazevic, M.G.H.; Antunes, J.L.F. Scheduling delay in suspected cases of oral cancer. Rev. Bras. Epidemiol. 2011, 14, 642–650. [Google Scholar] [CrossRef][Green Version]
- McAndrew, P.G. Oral cancer biopsy in general practice. Br. Dent. J. 1998, 185, 428. [Google Scholar] [CrossRef] [PubMed]
- Diamanti, N.; Duxbury, A.J.; Ariyaratnam, S.; Macfarlane, T.V. Attitudes to biopsy procedures in general dental practice. Br. Dent. J. 2002, 192, 588–592. [Google Scholar] [CrossRef] [PubMed]
- Wan, A.; Savage, N.W. Biopsy and diagnostic histopathology in dental practice in Brisbane: Usage patterns and perceptions of usefulness. Aust. Dent. J. 2010, 55, 162–169. [Google Scholar] [CrossRef] [PubMed]
- López Jornet, P.; Velandrino Nicolás, A.; Martínez Beneyto, Y.; Fernández Soria, M. Attitude towards oral biopsy among general dentists in Murcia. Med. Oral Patol. Oral Cir. Bucal 2007, 12, 78–83. [Google Scholar]
- Warnakulasuriya, K.A.A.S.; Johnson, N.W. Dentists and oral cancer prevention in the UK: Opinions, attitudes and practices to screening for mucosal lesions and to counselling patients on tobacco and alcohol use: Baseline data from 1991. Oral Dis. 1999, 5, 10–14. [Google Scholar] [CrossRef]
- Cowan, C.G.; Gregg, T.A.; Kee, F. Prevention and detection of oral cancer: The views of primary care dentists in Northern Ireland. Br. Dent. J. 1995, 179, 338–342. [Google Scholar] [CrossRef]
- Ergun, S.; Özel, S.; Koray, M.; Kürklü, E.; Ak, G.; Tanyeri, H. Dentists’ knowledge and opinions about oral mucosal lesions. Int. J. Oral Maxillofac. Surg. 2009, 38, 1283–1288. [Google Scholar] [CrossRef]
- Warnakulasuriya, S.; Kerr, A.R. Oral Cancer Screening: Past, Present, and Future. J. Dent. Res. 2021, 100, 1313–1320. [Google Scholar] [CrossRef]
- Lim, K.; Moles, D.R.; Downer, M.C.; Speight, P.M. Opportunistic screening for oral cancer and precancer in general dental practice: Results of a demonstration study. Br. Dent. J. 2003, 194, 497–502. [Google Scholar] [CrossRef]
- Moles, D.R.; Downer, M.C.; Speight, P.M. Meta-analysis of measures of performance reported in oral cancer and precancer screening studies. Br. Dent. J. 2002, 192, 340–344. [Google Scholar] [CrossRef]
- Patton, L.L. The effectiveness of community-based visual screening and utility of adjunctive diagnostic aids in the early detection of oral cancer. Oral Oncol. 2003, 39, 708–723. [Google Scholar] [CrossRef]
- Speight, P.M.; Palmer, S.; Moles, D.R.; Downer, M.C.; Smith, D.H.; Henriksson, M.; Augustovski, F. The cost-effectiveness of screening for oral cancer in primary care. Health Technol. Assess. 2006, 10, 1–144, iii–iv. [Google Scholar] [CrossRef]
- Nagao, T.; Warnakulasuriya, S. Screening for oral cancer: Future prospects, research and policy development for Asia. Oral Oncol. 2020, 105, 104632. [Google Scholar] [CrossRef]
- Brocklehurst, P.; Kujan, O.; O’Malley, L.A.; Ogden, G.; Shepherd, S.; Glenny, A.-M. Screening programmes for the early detection and prevention of oral cancer. Cochrane Database Syst. Rev. 2013, 2021, CD004150. [Google Scholar] [CrossRef]
- Kujan, O.; Glenny, A.M.; Oliver, R.J.; Thakker, N.; Sloan, P. Screening programmes for the early detection and prevention of oral cancer. Cochrane Database Syst. Rev. 2006, 54, CD004150. [Google Scholar] [CrossRef]
- Ribeiro, M.F.A.; Oliveira, M.C.M.; Leite, A.C.; Bruzinga, F.F.B.; Mendes, P.A.; Grossmann, S.d.M.C.; de Araújo, V.E.; Souto, G.R. Assessment of screening programs as a strategy for early detection of oral cancer: A systematic review. Oral Oncol. 2022, 130, 105936. [Google Scholar] [CrossRef]
- Downer, M.C.; Evans, A.W.; Hallett, C.M.H.; Jullien, J.A.; Speight, P.M.; Zakrzewska, J.M. Evaluation of screening for oral cancer and precancer in a company headquarters. Community Dent. Oral Epidemiol. 1995, 23, 84–88. [Google Scholar] [CrossRef]
- Morikawa, T.; Shibahara, T.; Takano, M.; Iwamoto, M.; Takaki, T.; Kasahara, K.; Nomura, T.; Takano, N.; Katakura, A. Countermeasure and opportunistic screening systems for oral cancer. Oral Oncol. 2021, 112, 105047. [Google Scholar] [CrossRef]
- Chang, I.H.; Jiang, R.S.; Wong, Y.K.; Wu, S.H.; Chen, F.J.; Liu, S.A. Visual screening of oral cavity cancer in a male population: Experience from a medical center. J. Chin. Med. Assoc. 2011, 74, 561–566. [Google Scholar] [CrossRef]
- Nagao, T.; Ikeda, N.; Fukano, H.; Miyazaki, H.; Yano, M.; Warnakulasuriya, S. Outcome following a population screening programme for oral cancer and precancer in Japan. Oral Oncol. 2000, 36, 340–346. [Google Scholar] [CrossRef]
- Jullien, J.A.; Downer, M.C.; Zakrzewska, J.M.; Speight, P.M. Evaluation of a screening test for the early detection of oral cancer and precancer. Community Dent. Health 1995, 12, 3–7. [Google Scholar]
- Monteiro, L.S.; Salazar, F.; Pacheco, J.J.; Martins, M.; Warnakulasuriya, S. Outcomes of invitational and opportunistic oral cancer screening initiatives in Oporto, Portugal. J. Oral Pathol. Med. 2015, 44, 145–152. [Google Scholar] [CrossRef]
- Thankappan, K.; Subramanian, S.; Balasubramanian, D.; Kuriakose, M.A.; Sankaranarayanan, R.; Iyer, S. Cost-effectiveness of oral cancer screening approaches by visual examination: Systematic review. Head Neck 2021, 43, 3646–3661. [Google Scholar] [CrossRef]
- Mehrotra, R.; Gupta, D.K. Exciting new advances in oral cancer diagnosis: Avenues to early detection. Head Neck Oncol. 2011, 3, 33. [Google Scholar] [CrossRef]
- Alsarraf, A.H.; Kujan, O.; Farah, C.S. The utility of oral brush cytology in the early detection of oral cancer and oral potentially malignant disorders: A systematic review. J. Oral Pathol. Med. 2018, 47, 104–116. [Google Scholar] [CrossRef]
- Tatehara, S.; Satomura, K. Non-Invasive Diagnostic System Based on Light for Detecting Early-Stage Oral Cancer and High-Risk Precancerous Lesions-Potential for Dentistry. Cancers 2020, 12, 3185. [Google Scholar] [CrossRef]
- Nagi, R.; Reddy-Kantharaj, Y.-B.; Rakesh, N.; Janardhan-Reddy, S.; Sahu, S. Efficacy of light based detection systems for early detection of oral cancer and oral potentially malignant disorders: Systematic review. Med. Oral Patol. Oral Cir. Bucal 2016, 21, e447-55. [Google Scholar] [CrossRef]
- Saxena, S.; Sankhla, B.; Sundaragiri, K.S.; Bhargava, A. A Review of Salivary Biomarker: A Tool for Early Oral Cancer Diagnosis. Adv. Biomed. Res. 2017, 6, 90. [Google Scholar] [CrossRef]
- Ghizoni, J.S.; Nichele, R.; de Oliveira, M.T.; Pamato, S.; Pereira, J.R. The utilization of saliva as an early diagnostic tool for oral cancer: MicroRNA as a biomarker. Clin. Transl. Oncol. 2020, 22, 804–812. [Google Scholar] [CrossRef]
- Datta, M.; Guillaud, M.; Chaitanya, N.; Ndvn, S.; Palat, G.; Kumari, P.; Rapelli, V.; Jn, J.; Kumari, S.; Broughton, S.; et al. Use of DNA image cytometry in conducting oral cancer screening in rural India. Cytopathology 2022, 33, 600–610. [Google Scholar] [CrossRef]
- Garrote, L.F.; Sankaranarayanan, R.; Anta, J.J.L.; Salvá, A.R.; Parkin, D.M. An evaluation of the oral cancer control program in Cuba. Epidemiology 1995, 6, 428–431. [Google Scholar] [CrossRef] [PubMed]
- Santana, J.C.; Delgado, L.; Miranda, J.; Sánchez, M. Oral cancer case finding program (OCCFP). Eur. J. Cancer Part B Oral Oncol. 1997, 33, 10–12. [Google Scholar] [CrossRef]
- Sankaranarayanan, R.; Ramadas, K.; Thomas, G.; Muwonge, R.; Thara, S.; Mathew, B.; Rajan, B. Effect of screening on oral cancer mortality in Kerala, India: A cluster-randomised controlled trial. Lancet 2005, 365, 1927–1933. [Google Scholar] [CrossRef]
- Rengaswamy, S.; Kunnambath, R.; Somanathan, T.; Muwonge, R.; Gigi, T.; Gopan, A.; Babu, M. Long term effect of visual screening on oral cancer incidence and mortality in a randomized trial in Kerala, India. Oral Oncol. 2013, 49, 314–321. [Google Scholar]
- Chuang, S.L.; Su, W.W.Y.; Chen, S.L.S.; Yen, A.M.F.; Wang, C.P.; Fann, J.C.Y.; Chiu, S.Y.H.; Lee, Y.C.; Chiu, H.M.; Chang, D.C.; et al. Population-based screening program for reducing oral cancer mortality in 2,334,299 Taiwanese cigarette smokers and/or betel quid chewers. Cancer 2017, 123, 1597–1609. [Google Scholar] [CrossRef] [PubMed]
- Downer, M.C.; Jullien, J.A.; Speight, P.M. An interim determination of health gain from oral cancer and precancer screening: 3. Preselecting high risk individuals. Community Dent. Health 1998, 15, 72–76. [Google Scholar]
- Shiboski, C.H.; Shiboski, S.C.; Silverman, S. Trends in oral cancer rates in the United States, 1973-1996. Community Dent. Oral Epidemiol. 2000, 28, 249–256. [Google Scholar] [CrossRef]
- Morse, D.E.; Psoter, W.J.; Cleveland, D.; Cohen, D.; Mohit-Tabatabai, M.; Kosis, D.L.; Eisenberg, E. Smoking and drinking in relation to oral and pharyngeal cancer. Cancer Causes Control 2007, 18, 919–929. [Google Scholar] [CrossRef]
- Franceschi, S.; Bidoli, E.; Herrero, R.; Muñoz, N. Comparison of cancers of the oral cavity and pharynx worldwide: Etiological clues. Oral Oncol. 2000, 36, 106–115. [Google Scholar] [CrossRef]
- Sankaranarayanan, R.; Mathew, B.; Jacob, B.; Thomas, G.; Somanathan, T.; Pisani, P.; Pandey, M.; Ramadas, K.; Najeeb, K.; Abraham, E. Early findings from a community-based, cluster-randomized, controlled oral cancer screening trial in Kerala, India. The Trivandrum Oral Cancer Screening Study Group. Cancer 2020, 88, 664–673. [Google Scholar] [CrossRef]
- Brocklehurst, P.; Kujan, O.; Glenny, A.-M.; Oliver, R.; Sloan, P.; Ogden, G.; Shepherd, S. Screening programmes for the early detection and prevention of oral cancer. Cochrane Database Syst. Rev. 2010, 11, CD004150. [Google Scholar] [CrossRef]
- Kujan, O.; Glenny, A.M.; Duxbury, A.J.; Thakker, N.; Sloan, P. Screening programmes for the early detection and prevention of oral cancer. Cochrane Database Syst. Rev. 2003, 4, CD004150. [Google Scholar] [CrossRef]
- Mehta, F.S.; Gupta, P.C.; Bhonsle, R.B.; Murti, P.R.; Daftary, D.K.; Pindborg, J.J. Detection of oral cancer using basic health workers in an area of high oral cancer incidence in India. Cancer Detect. Prev. 1986, 9, 219–225. [Google Scholar]
- Downer, M.C.; Moles, D.R.; Palmer, S.; Speight, P.M. A systematic review of test performance in screening for oral cancer and precancer. Oral Oncol. 2004, 40, 264–273. [Google Scholar] [CrossRef]
- Heller, D.J.; Kumar, A.; Kishore, S.P.; Horowitz, C.R.; Joshi, R.; Vedanthan, R. Assessment of Barriers and Facilitators to the Delivery of Care for Noncommunicable Diseases by Nonphysician Health Workers in Low- and Middle-Income Countries: A Systematic Review and Qualitative Analysis. JAMA Netw. Open 2019, 2, e1916545. [Google Scholar] [CrossRef]
- Birur, N.; Gurushanth, K.; Patrick, S.; Sunny, S.; Raghavan, S.; Gurudath, S.; Hegde, U.; Tiwari, V.; Jain, V.; Imran, M.; et al. Role of community health worker in a mobile health program for early detection of oral cancer. Indian J. Cancer 2019, 56, 107–113. [Google Scholar] [CrossRef]
- Haron, N.; Rajendran, S.; Kallarakkal, T.G.; Zain, R.B.; Ramanathan, A.; Abraham, M.T.; Lau, S.H.; Cheng, L.C.; Chong, S.M.Y.; Mohamed Azahar, F.A.; et al. High referral accuracy for oral cancers and oral potentially malignant disorders using telemedicine. Oral Dis. 2021. [Google Scholar] [CrossRef]










| Total Sample | 12 Studies |
|---|---|
| Date of publication | |
| Range Min (year) | 2006 |
| Range Max (year) | 2022 |
| Study design | |
| systematic review | 7 |
| systematic review and meta-analysis | 5 |
| Study population | |
| OSCC | 10 |
| HNSCC * | 2 |
| Primary-level studies included in systematic reviews | |
| Range min (n) | 8 |
| Range max (n) | 63 |
| Study | Year | Population | Design | Objective(s) | Key Result(s) |
|---|---|---|---|---|---|
| Lima et al. [45] | 2022 | OSCC | SR | To systematically review the causes of the delayed diagnosis of oral cancer mainly in the elderly, in developed and developing countries | Thirteen primary-level studies met the eligibility criteria. All studies included reported causes of delayed diagnosis of oral cancer related to the patient and five also reported causes related to health professionals. The lack of knowledge on oral cancer was pointed out as the main cause of delayed diagnosis. The quality of the evidence was classified as very low for the outcome delayed diagnosis of oral cancer, critically assessed using GRADE system. |
| Lauritzen et al. [46] | 2021 | OSCC | SR | To systematically review the literature on the impact of delay in diagnosis and treatment of oral cavity cancer. | Sixteen primary-level studies met the eligibility criteria. Eleven studies examined delay in diagnosis, while five reported a delay in treatment. Eight studies, examining the delay in diagnosis, analysed the impact on prognosis, showing controversial results (three studies found a significant association between patient delay and advanced stage at diagnosis, whereas three others did not). Studies reporting on professional delay and total diagnostic delay, generally, did not find a significant association with advanced cancer at diagnosis. Time to treatment, defined as time from diagnosis to treatment, was also found significantly associated with poor survival in three studies. The quality of the evidence was not assessed or reported. |
| Walsh et al. [44] | 2021a | OSCC | SR + MTA | To estimate the diagnostic accuracy of diagnostic tests for the detection of oral cancer that may provide more timely results, in people presenting with clinically evident suspicious and innocuous lesions. | Sixty-three primary-level studies met the eligibility criteria. None of the adjunctive tests investigated (vital staining, oral cytology, light-based detection, or oral spectroscopy) can be recommended as a substitute for the currently used standard of surgical biopsy and histological evaluation. Most studies reported a minimal time delay between the index test and the reference standard. The quality of the evidence was classified as low or very low for all the outcomes investigated, critically assessed using GRADE system, except for the adjunctive test oral cytology, which obtained a moderate certainty of evidence for the reported pooled sensitivity and specificity. |
| Walsh et al. [43] | 2021b | OSCC | SR + MTA | To estimate the diagnostic accuracy conventional oral examination, vital rinsing, light-based detection, mouth self-examination, remote screening, and biomarkers, used singly or in combination for the detection of oral cancer in apparently healthy adults. | Eighteen primary-level studies met the eligibility criteria. The test accuracy of conventional oral examination may depend on disease prevalence and showed a variable degree of sensitivity (range = 0.50–0.99), with a consistently high specificity (>0.80). Furthermore, there was insufficient evidence to integrate mouth self-examination as part of an organized screening program. In summary, current knowledge does not support the use of screening programmes for oral cavity cancer in the general population. The quality of the evidence was classified as low or very low for most of the outcomes investigated, critically assessed using GRADE system. |
| Grafton-Clarke et al. [47] | 2019 | OSCC | SR | To systematically review the knowledge about delays in the diagnosis of symptomatic OSCC in primary care. | Sixteen primary-level studies met the eligibility criteria. In the UK, more than 55% of patients with OSCC were referred by their general practitioner (GP), and 44% by their dentist. Rates of prescribing between dentists and GPs were similar, and both had approximately similar delays in referral. On average, patients had two to three consultations before referral. Less than 50% of studies described the primary care aspect of referral in detail. There was no information on inter-GP–dentist referrals. The quality of the evidence was not assessed or reported. |
| Varela-Centelles et al. [48] | 2017 | OSCC | SR | To examine the relative length of the patient and primary care intervals in symptomatic oral cancer. | Twenty-two primary-level studies met the eligibility criteria. The weighted average of patient interval was 80.3 days. Primary care interval was five times shorter (n = 15.8 days). The diagnostic interval was shorter (n = 47.9 days) when compared with the patient interval during symptomatic period. The quality of the evidence was classified as low for the outcomes evaluated, critically assessed using GRADE system. |
| Varela-Centelles et al. [30] | 2017 | OSCC | SR | To identify key points and time intervals in the patient pathway to the diagnosis of oral cancer, from the detection of a bodily change to the start of treatment. | Twenty-eight primary-level studies met the eligibility criteria. These studies generally showed poor methodological quality in terms of questionnaire validation, acknowledgement of biases influencing time-point measurements, and strategies for verification of patient self-reported data. A considerable degree of heterogeneity was also highlighted by the authors. The systematic review findings allowed the definition of key points and time intervals within the Aarhus framework that may better suit the features of the diagnostic process for oral cancer, singularly to assess the impact of waiting time to diagnosis. Although the quality of the evidence was not formally evaluated or reported by the authors, the reported of high risk of bias and the presence of inconsistencies across primary level-studies potentially allows to accept the assumption of a very low quality of evidence, according to GRADE system. |
| Seoane et al. [12] | 2016 | OSCC | SR + MTA | To examine the time intervals considered in the studies about diagnostic delay in symptomatic oral cancer and its association to specific outcome measures (survival and TNM classification). | Ten primary-level studies met the eligibility criteria. Regarding referral delay, it was reported a risk increase in mortality of 2.48 (range = 1.39–4.42). The larger the diagnostic delay, the more advanced the stage at diagnosis. High quality studies revealed a higher risk increase than low quality studies (OR = 2.44; 95% CI = 1.36 to 4.36 vs OR = 1.53; 95% CI = 1.26 to 1.86). The quality of the evidence was not assessed or reported. |
| Seoane et al. [11] | 2012 | HNSCC | SR + MTA | To address the contradictory information on the role of delay in diagnosis on head and neck cancer survival. | Ten primary-level studies met the eligibility criteria, four of them showing stratified results for oral cancer. Diagnostic delay was not significantly associated with an increased mortality in oral cancer (RR = 1.27; 95% CI = 0.81 to 1.98), according to the authors, this was mainly because two of the studies (50%) restricted their analysis to carcinomas of the tongue. The quality of the evidence was not assessed or reported. |
| Goy et al. [41] | 2009 | HNSCC | SR | To examine the evidence for an association between patient and/or provider-related diagnostic delay and late stage at diagnosis in head and neck cancers. | Twenty-seven primary-level studies met the eligibility criteria, 15 of them showing stratified results for oral cancer. The association between diagnostic delay and clinical stage at diagnosis varied in direction and magnitude of the effects, with an inconsistent positive association in oral cancer. The quality of the evidence was not assessed or reported. |
| Gómez et al. [10] | 2009 | OSCC | SR + MTA | To systematically review the relationship between total diagnostic delay and advanced clinical stage. | Nine primary-level studies met the eligibility criteria. Diagnostic delay was significantly associated with an advanced clinical stage in oral cancer (RR = 1.47; 95% CI = 1.09 to 1.99). The magnitude of association was higher when meta-analysis was stratified by oral location with a diagnostic delay higher than 1 month (OR = 1.69, 95% CI = 1.26 to 2.77). The quality of the evidence was not assessed or reported. |
| Scott et al. [42] | 2006 | OSCC | To systematically review the existing knowledge of factors that influence patient delay in oral cancer. | Eight primary-level studies met the eligibility criteria. The duration of patient delay was generally not associated with clinical factors, tumour parameters, sociodemographic variables, and/or patient health-related behaviours. Patient delay is a problem in oral cancer, but the reasons for such delays are poorly understood and under-researched. The quality of the evidence was not assessed or reported. |
| Potentially Malignant Oral Disorders | Sample Size (Primary-Level Studies) | Number of Patients | Malignant transformation * | WHO Collaborating Centre for Oral Cancer Special Issue |
|---|---|---|---|---|
| Oral leukoplakia | n = 24 ** | 16,192 | PP = 9.8% (95% CI: 7.9–11.7) | Aguirre-Urízar et al., 2021 |
| Oral Lichen Planus | n = 10 *** | 3206 | PP = 2.28% (95% CI = 1.49–3.20) | González-Moles et al., 2020 |
| Oral Lichenoid Lesions | n = 3 | 197 | PP = 2.11% (95% CI = 0.01–6.33) | González-Moles et al., 2020 |
| Proliferative Verrucous Leukoplakia | n = 17 | 474 | PP = 43.87% (95% CI = 31.93–56.13) | Ramos-García et al., 2021 |
| Oral Submucous Fibrosis | n = 9 | 6337 | PP = 4.2% (95% CI: 2.7%–5.6%) | Kujan et al., 2020 |
Publisher’s Note: MDPI stays neutral with regard to jurisdictional claims in published maps and institutional affiliations. |
© 2022 by the authors. Licensee MDPI, Basel, Switzerland. This article is an open access article distributed under the terms and conditions of the Creative Commons Attribution (CC BY) license (https://creativecommons.org/licenses/by/4.0/).
Share and Cite
González-Moles, M.Á.; Aguilar-Ruiz, M.; Ramos-García, P. Challenges in the Early Diagnosis of Oral Cancer, Evidence Gaps and Strategies for Improvement: A Scoping Review of Systematic Reviews. Cancers 2022, 14, 4967. https://doi.org/10.3390/cancers14194967
González-Moles MÁ, Aguilar-Ruiz M, Ramos-García P. Challenges in the Early Diagnosis of Oral Cancer, Evidence Gaps and Strategies for Improvement: A Scoping Review of Systematic Reviews. Cancers. 2022; 14(19):4967. https://doi.org/10.3390/cancers14194967
Chicago/Turabian StyleGonzález-Moles, Miguel Ángel, Manuel Aguilar-Ruiz, and Pablo Ramos-García. 2022. "Challenges in the Early Diagnosis of Oral Cancer, Evidence Gaps and Strategies for Improvement: A Scoping Review of Systematic Reviews" Cancers 14, no. 19: 4967. https://doi.org/10.3390/cancers14194967
APA StyleGonzález-Moles, M. Á., Aguilar-Ruiz, M., & Ramos-García, P. (2022). Challenges in the Early Diagnosis of Oral Cancer, Evidence Gaps and Strategies for Improvement: A Scoping Review of Systematic Reviews. Cancers, 14(19), 4967. https://doi.org/10.3390/cancers14194967

