DNA Repair Inhibitors Potentiate Fractionated Radiotherapy More Than Single-Dose Radiotherapy in Breast Cancer Cells
Abstract
Simple Summary
Abstract
1. Introduction
2. Materials and Methods
2.1. Cell Lines
2.2. Drugs and Irradiation
2.3. Clonogenic Assays
2.4. Drug IC50 Estimation
2.5. Immunofluorescence Microscopy of 53BP1 Foci
2.6. Western Blot
2.7. Cell Cycle Analysis by Flow Cytometry
2.8. Statistical Analysis
3. Results
3.1. IR Dose-Response Characterization of MDA-MB-231 and MCF-7 Cells
3.2. IC50 Estimation of AZD0156, AZD6738 and Olaparib in MDA-MB-231 and MCF-7 Cells
3.3. AZD0156 Enhances Lethality of Single-Dose IR
3.4. AZD0156, AZD6738 and Olaparib Sensitize MDA-MB-231 and MCF-7 Cells to 24-Hour Fractionated IR
3.5. DDR Inhibition Influences SLD Repair in MDA-MB-231 and MCF-7 Cells
3.6. AZD0156, AZD6738 and Olaparib Delay the Repair of IR-Induced DNA DSBs
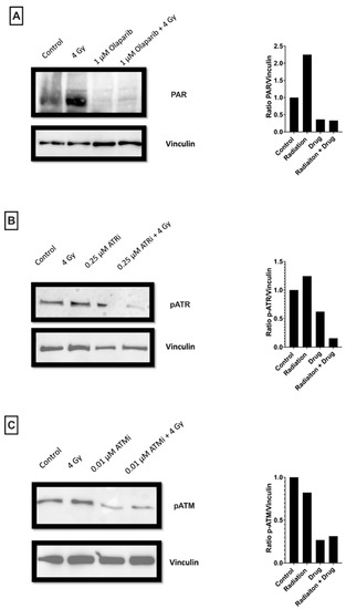
3.7. Effect of AZD0156, AZD6738 and Olaparib on Activity of Target Proteins
3.8. Effect of AZD0156, AZD6738 and Olaparib on the Cell Cycle Distribution of MDA-MB-231 and MCF-7 Cells
4. Discussion
4.1. Effect of AZD0156, AZD6738 and Olaparib on Single-Dose and Fractionated IR Sensitivity
4.2. Effect of AZD0156, AZD6738 and Olaparib on SLD Repair
4.3. Cell Cycle Modifications Do Not Contribute to Radiosensitization by AZD0156, AZD6738 and Olaparib
4.4. Clinical Implications
4.5. Limitations
5. Conclusions
Supplementary Materials
Author Contributions
Funding
Institutional Review Board Statement
Informed Consent Statement
Data Availability Statement
Conflicts of Interest
References
- Schaue, D.; McBride, W.H. Opportunities and challenges of radiotherapy for treating cancer. Nat. Rev. Clin. Oncol. 2015, 12, 527. [Google Scholar] [CrossRef] [PubMed]
- Lord, C.J.; Ashworth, A. The DNA damage response and cancer therapy. Nature 2012, 481, 287–294. [Google Scholar] [CrossRef] [PubMed]
- Biau, J.; Chautard, E.; Verrelle, P.; Dutreix, M. Altering DNA repair to improve radiation therapy: Specific and multiple pathway targeting. Front. Oncol. 2019, 9, 1009. [Google Scholar] [CrossRef]
- Jackson, S.P.; Bartek, J. The DNA-damage response in human biology and disease. Nature 2009, 461, 1071–1078. [Google Scholar] [CrossRef]
- Roos, W.P.; Kaina, B. DNA damage-induced cell death: From specific DNA lesions to the DNA damage response and apoptosis. Cancer Lett. 2013, 332, 237–248. [Google Scholar] [CrossRef] [PubMed]
- Vens, C.; Koritzinsky, M.; Wouters, B.G. Irradiation-induced damage and the DNA damage response. In Basic Clinical Radiobiology; Joiner, M., Kogel, A.v.d., Eds.; CRC Press: Boca Raton, FL, USA, 2018; pp. 9–20. [Google Scholar]
- Lamarche, B.J.; Orazio, N.I.; Weitzman, M.D. The MRN complex in double-strand break repair and telomere maintenance. FEBS Lett. 2010, 584, 3682–3695. [Google Scholar] [CrossRef] [PubMed]
- Polo, S.E.; Jackson, S.P. Dynamics of DNA damage response proteins at DNA breaks: A focus on protein modifications. Genes Dev. 2011, 25, 409–433. [Google Scholar] [CrossRef] [PubMed]
- Jin, M.H.; Oh, D.Y. ATM in DNA repair in cancer. Pharmacol. Ther. 2019, 203, 107391. [Google Scholar] [CrossRef]
- Pascal, J.M. The comings and goings of PARP-1 in response to DNA damage. DNA Repair 2018, 71, 177–182. [Google Scholar] [CrossRef]
- Saldivar, J.C.; Cortez, D.; Cimprich, K.A. The essential kinase ATR: Ensuring faithful duplication of a challenging genome. Nat. Rev. Mol. Cell Biol. 2017, 18, 622. [Google Scholar] [CrossRef]
- Santivasi, W.L.; Xia, F. Ionizing radiation-induced DNA damage, response, and repair. Antioxid. Redox Signal. 2014, 21, 251–259. [Google Scholar] [CrossRef] [PubMed]
- Mao, Y.; Huang, X.; Shuang, Z.; Lin, G.; Wang, J.; Duan, F.; Chen, J.; Li, S. PARP inhibitor olaparib sensitizes cholangiocarcinoma cells to radiation. Cancer Med. 2018, 7, 1285–1296. [Google Scholar] [CrossRef] [PubMed]
- Riches, L.C.; Trinidad, A.G.; Hughes, G.; Jones, G.N.; Hughes, A.M.; Thomason, A.G.; Gavine, P.; Cui, A.; Ling, S.; Stott, J. Pharmacology of the ATM inhibitor AZD0156: Potentiation of irradiation and olaparib responses preclinically. Mol. Cancer Ther. 2020, 19, 13–25. [Google Scholar] [CrossRef] [PubMed]
- Tu, X.; Kahila, M.M.; Zhou, Q.; Yu, J.; Kalari, K.R.; Wang, L.; Harmsen, W.S.; Yuan, J.; Boughey, J.C.; Goetz, M.P.; et al. ATR inhibition is a promising radiosensitizing strategy for triple-negative breast cancer. Mol. Cancer Ther. 2018, 17, 2462–2472. [Google Scholar] [CrossRef] [PubMed]
- Chabot, P.; Hsia, T.-C.; Ryu, J.-S.; Gorbunova, V.; Belda-Iniesta, C.; Ball, D.; Kio, E.; Mehta, M.; Papp, K.; Qin, Q. Veliparib in combination with whole-brain radiation therapy for patients with brain metastases from non-small cell lung cancer: Results of a randomized, global, placebo-controlled study. J. Neurooncol. 2017, 131, 105–115. [Google Scholar] [CrossRef] [PubMed]
- Baumann, M.; Krause, M.; Grégoire, V. Modified fractionation. In Basic Clinical Radiobiology; Joiner, M., Kogel, A.v.d., Eds.; CRC Press: Boca Raton, FL, USA, 2018; pp. 126–135. [Google Scholar]
- Kyndi, M.; Sørensen, F.B.; Knudsen, H.; Overgaard, M.; Nielsen, H.M.; Overgaard, J. Estrogen receptor, progesterone receptor, HER-2, and response to postmastectomy radiotherapy in high-risk breast cancer: The Danish Breast Cancer Cooperative Group. J. Clin. Oncol. 2008, 26, 1419–1426. [Google Scholar] [CrossRef]
- Kim, H.-J.; Min, A.; Im, S.-A.; Jang, H.; Lee, K.H.; Lau, A.; Lee, M.; Kim, S.; Yang, Y.; Kim, J.; et al. Anti-tumor activity of the ATR inhibitor AZD6738 in HER2 positive breast cancer cells. Int. J. Cancer Res. 2017, 140, 109–119. [Google Scholar] [CrossRef]
- Dillon, M.T.; Barker, H.E.; Pedersen, M.; Hafsi, H.; Bhide, S.A.; Newbold, K.L.; Nutting, C.M.; McLaughlin, M.; Harrington, K.J. Radiosensitization by the ATR inhibitor AZD6738 through generation of acentric micronuclei. Mol. Cancer Ther. 2017, 16, 25–34. [Google Scholar] [CrossRef]
- Jang, N.Y.; Kim, D.H.; Cho, B.J.; Choi, E.J.; Lee, J.-S.; Wu, H.-G.; Chie, E.K.; Kim, I.A. Radiosensitization with combined use of olaparib and PI-103 in triple-negative breast cancer. BMC Cancer 2015, 15, 89. [Google Scholar] [CrossRef]
- Franken, N.A.; Rodermond, H.M.; Stap, J.; Haveman, J.; Van Bree, C. Clonogenic assay of cells in vitro. Nat. Protoc. 2006, 1, 2315–2319. [Google Scholar] [CrossRef]
- Joiner, M.C. Quantifying cell kill and cell survival. In Basic Clinical Radiobiology; Joiner, M., Kogel, A.v.d., Eds.; CRC Press: Boca Raton, FL, USA, 2018; pp. 32–43. [Google Scholar]
- Subiel, A.; Ashmore, R.; Schettino, G. Standards and methodologies for characterizing radiobiological impact of high-Z nanoparticles. Theranostics 2016, 6, 1651. [Google Scholar] [CrossRef] [PubMed]
- Popp, H.D.; Brendel, S.; Hofmann, W.-K.; Fabarius, A. Immunofluorescence Microscopy of γH2AX and 53BP1 for Analyzing the Formation and Repair of DNA Double-strand Breaks. J. Vis. Exp. 2017, 129, e56617. [Google Scholar]
- Bi, Y.; Verginadis, I.I.; Dey, S.; Lin, L.; Guo, L.; Zheng, Y.; Koumenis, C. Radiosensitization by the PARP inhibitor olaparib in BRCA1-proficient and deficient high-grade serous ovarian carcinomas. Gynecol. Oncol. 2018, 150, 534–544. [Google Scholar] [CrossRef]
- Feng, W.; Di Rienzi, S.C.; Raghuraman, M.; Brewer, B.J. Replication stress-induced chromosome breakage is correlated with replication fork progression and is preceded by single-stranded DNA formation. G3 Genes Genomes Genet. 2011, 1, 327–335. [Google Scholar] [CrossRef]
- Wang, M.; Wu, W.; Wu, W.; Rosidi, B.; Zhang, L.; Wang, H.; Iliakis, G. PARP-1 and Ku compete for repair of DNA double strand breaks by distinct NHEJ pathways. Nucleic Acids Res. 2006, 34, 6170–6182. [Google Scholar] [CrossRef]
- Acu, I.D.; Liu, T.; Suino-Powell, K.; Mooney, S.M.; D’Assoro, A.B.; Rowland, N.; Muotri, A.R.; Correa, R.G.; Niu, Y.; Kumar, R.; et al. Coordination of centrosome homeostasis and DNA repair is intact in MCF-7 and disrupted in MDA-MB 231 breast cancer cells. Cancer Res. 2010, 70, 3320–3328. [Google Scholar] [CrossRef]
- Antberg, L.; Cifani, P.; Levander, F.; James, P. Pathway-centric analysis of the DNA damage response to chemotherapeutic agents in two breast cell lines. EuPA Open Proteom. 2015, 8, 128–136. [Google Scholar] [CrossRef][Green Version]
- Furusawa, Y.; Nakano-Aoki, M.; Matsumoto, Y.; Hirayama, R.; Kobayashi, A.; Konishi, T. Equivalency of the quality of sublethal lesions after photons and high-linear energy transfer ion beams. J. Radiat. Res. 2017, 58, 803–808. [Google Scholar] [CrossRef]
- Ang, K.K.; Thames, H.D., Jr.; Van Der Kogel, A.J.; Van Der Schueren, E. Is the rate of repair of radiation-induced sublethal damage in rat spinal cord dependent on the size of dose per fraction? Int. J. Radiat. Oncol. Biol. Phys. 1987, 13, 557–562. [Google Scholar] [CrossRef]
- Zips, D. Tumour growth and response to radiation. In Basic Clinical Radiobiology; Joiner, M., Kogel, A.v.d., Eds.; CRC Press: Boca Raton, FL, USA, 2018; pp. 81–98. [Google Scholar]
- Pawlik, T.M.; Keyomarsi, K. Role of cell cycle in mediating sensitivity to radiotherapy. Int. J. Radiat. Oncol. Biol. Phys. 2004, 59, 928–942. [Google Scholar] [CrossRef]
- Ciszewski, W.M.; Tavecchio, M.; Dastych, J.; Curtin, N.J. DNA-PK inhibition by NU7441 sensitizes breast cancer cells to ionizing radiation and doxorubicin. Breast Cancer Res. Treat. 2014, 143, 47–55. [Google Scholar] [CrossRef] [PubMed]
- Barker, H.E.; Paget, J.T.; Khan, A.A.; Harrington, K.J. The tumour microenvironment after radiotherapy: Mechanisms of resistance and recurrence. Nat. Rev. Cancer 2015, 15, 409–425. [Google Scholar] [CrossRef] [PubMed]
- Farmer, H.; McCabe, N.; Lord, C.J.; Tutt, A.N.; Johnson, D.A.; Richardson, T.B.; Santarosa, M.; Dillon, K.J.; Hickson, I.; Knights, C. Targeting the DNA repair defect in BRCA mutant cells as a therapeutic strategy. Nature 2005, 434, 917–921. [Google Scholar] [CrossRef] [PubMed]











| DDR Inhibitor | MDA-MB-231 IC50 (μM) | MCF-7 IC50 (μM) |
|---|---|---|
| AZD0156 | 0.011 ± 0.005 | 0.25 ± 0.07 |
| AZD6738 | 0.30 ± 0.10 | 0.18 ± 0.06 |
| Olaparib | 1.3 ± 0.6 | 1.5 ± 0.8 |
| Treatment | MDA-MB-231 | MCF-7 | ||
|---|---|---|---|---|
| (Gy) | SER | (Gy) | SER | |
| Single-dose IR | ||||
| IR only | 2.5 ± 0.2 | 1.8 ± 0.2 | ||
| IR + AZD0156 (0.01 µM) | 0.67 ± 0.02 | 3.7 ± 0.3 | 1.55 ± 0.06 | 1.2 ± 0.1 |
| IR + AZD6738 (0.25 µM) | 2.46 ± 0.09 | 1.02 ± 0.09 | 1.4 ± 0.1 | 1.3 ± 0.2 |
| IR + olaparib (1 µM) | 2.5 ± 0.2 | 1.0 ± 0.1 | 1.65 ± 0.06 | 1.1 ± 0.1 |
| 24-h fractionated IR | ||||
| IR only | 4.0 ± 0.3 | 3.4 ± 0.3 | ||
| IR + AZD0156 (0.01 µM) | 0.78 ± 0.08 | 5.1 ± 0.7 | 1.46 ± 0.09 | 2.3 ± 0.3 |
| IR + AZD6738 (0.25 µM) | 3.2 ± 0.2 | 1.3 ± 0.1 | 1.7 ± 0.1 | 2 ± 0.2 |
| IR + olaparib (1 µM) | 2.6 ± 0.2 | 1.5 ± 0.2 | 1.9 ± 0.1 | 1.8 ± 0.2 |
| Treatment | MDA-MB-231 | MCF-7 | ||
|---|---|---|---|---|
| t1⁄2 (Minutes) | SF4h:SF0h | t1⁄2 (Minutes) | SF4h:SF0h | |
| 2 × 3 Gy IR only | 32.3 | 3.05 | 24.6 | 1.63 |
| 2 × 1/1.5 Gy IR + AZD0156 (0.01 µM) | 22.0 | 2.11 | 28.9 | 1.90 |
| 2 × 1.5 Gy IR + AZD6738 (0.25 µM) | - | 1.08 | - | 1.31 |
| 2 × 1.5 Gy IR + olaparib (1 µM) | 21.9 | 1.18 | 41.0 | 1.78 |
Publisher’s Note: MDPI stays neutral with regard to jurisdictional claims in published maps and institutional affiliations. |
© 2022 by the authors. Licensee MDPI, Basel, Switzerland. This article is an open access article distributed under the terms and conditions of the Creative Commons Attribution (CC BY) license (https://creativecommons.org/licenses/by/4.0/).
Share and Cite
Wong, W.-K.; Guerra Liberal, F.D.C.; McMahon, S.J. DNA Repair Inhibitors Potentiate Fractionated Radiotherapy More Than Single-Dose Radiotherapy in Breast Cancer Cells. Cancers 2022, 14, 3794. https://doi.org/10.3390/cancers14153794
Wong W-K, Guerra Liberal FDC, McMahon SJ. DNA Repair Inhibitors Potentiate Fractionated Radiotherapy More Than Single-Dose Radiotherapy in Breast Cancer Cells. Cancers. 2022; 14(15):3794. https://doi.org/10.3390/cancers14153794
Chicago/Turabian StyleWong, Wen-Kyle, Francisco D. C. Guerra Liberal, and Stephen J. McMahon. 2022. "DNA Repair Inhibitors Potentiate Fractionated Radiotherapy More Than Single-Dose Radiotherapy in Breast Cancer Cells" Cancers 14, no. 15: 3794. https://doi.org/10.3390/cancers14153794
APA StyleWong, W.-K., Guerra Liberal, F. D. C., & McMahon, S. J. (2022). DNA Repair Inhibitors Potentiate Fractionated Radiotherapy More Than Single-Dose Radiotherapy in Breast Cancer Cells. Cancers, 14(15), 3794. https://doi.org/10.3390/cancers14153794

