Update in Pathogenesis, Diagnosis, and Therapy of Prolactinoma
Abstract
:Simple Summary
Abstract
1. Introduction
2. Epidemiology
3. Pathogenesis
4. Diagnosis
1. Pituitary disease.
|
2. Hypothalamic and pituitary stalk disease
|
3. Medications
|
| 4. Primary hypothyroidism |
| 5. Macroprolactinemia |
6. Others
|
5. Medical Treatment
6. Surgical Treatment
7. Radiation Therapy
8. Pregnancy
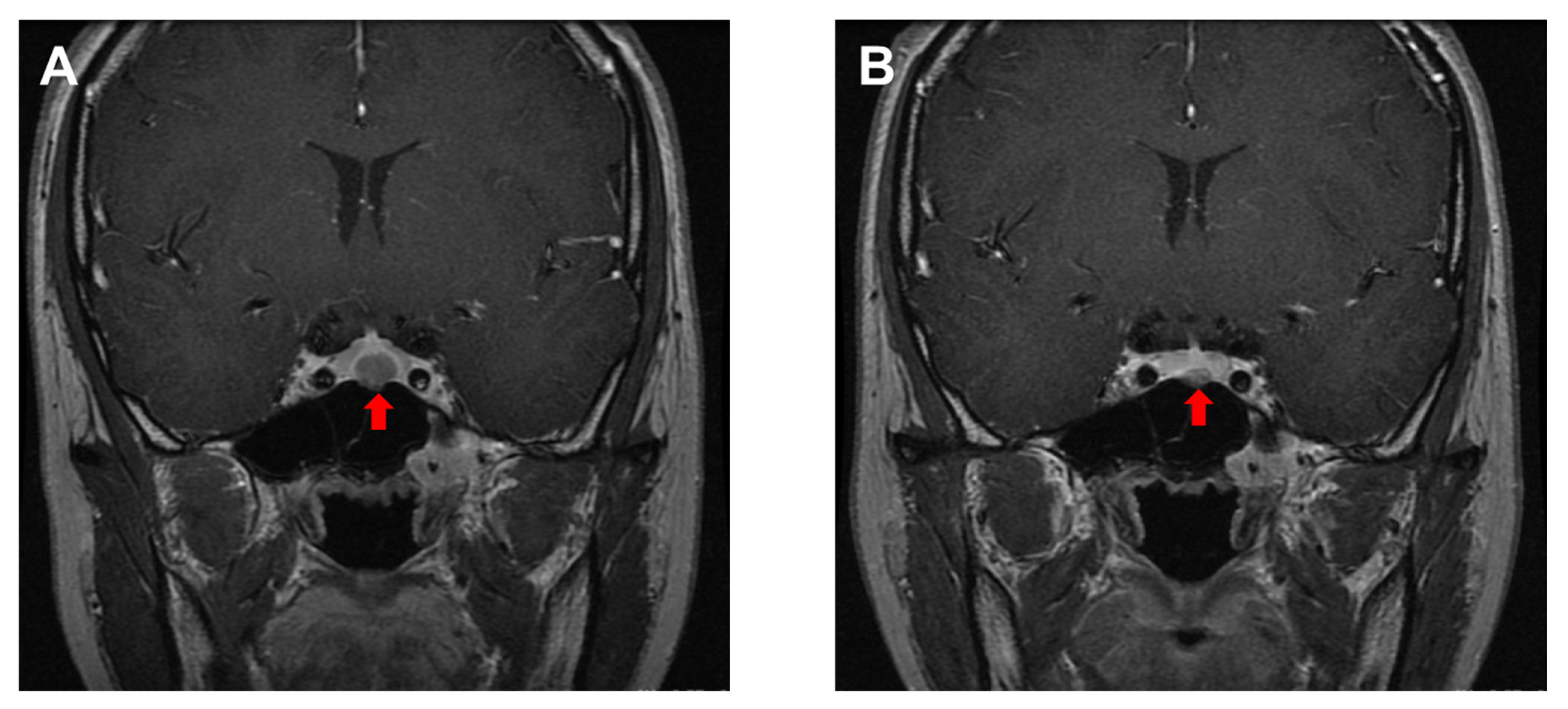
9. Giant Prolactinoma
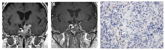
10. Pituitary Carcinoma and Aggressive Prolactinoma
11. New Therapeutic Approach
12. Conclusions
Author Contributions
Funding
Conflicts of Interest
Search Strategies
References
- Melmed, S.; Casanueva, F.F.; Hoffman, A.R.; Kleinberg, D.L.; Montori, V.M.; Schlechte, J.A.; Wass, J.A.; Endocrine, S. Diagnosis and treatment of hyperprolactinemia: An Endocrine Society clinical practice guideline. J. Clin. Endocrinol. Metab. 2011, 96, 273–288. [Google Scholar] [CrossRef] [PubMed]
- Chanson, P.; Maiter, D. The epidemiology, diagnosis and treatment of Prolactinomas: The old and the new. Best Pract. Res. Clin. Endocrinol. Metab. 2019, 33, 101290. [Google Scholar] [CrossRef] [PubMed]
- Molitch, M.E. Diagnosis and Treatment of Pituitary Adenomas: A Review. JAMA J. Am. Med. Assoc. 2017, 317, 516–524. [Google Scholar] [CrossRef] [PubMed]
- Raappana, A.; Koivukangas, J.; Ebeling, T.; Pirila, T. Incidence of pituitary adenomas in Northern Finland in 1992–2007. J. Clin. Endocrinol. Metab. 2010, 95, 4268–4275. [Google Scholar] [CrossRef]
- Fernandez, A.; Karavitaki, N.; Wass, J.A. Prevalence of pituitary adenomas: A community-based, cross-sectional study in Banbury (Oxfordshire, UK). Clin. Endocrinol. 2010, 72, 377–382. [Google Scholar] [CrossRef]
- Kars, M.; Souverein, P.C.; Herings, R.M.; Romijn, J.A.; Vandenbroucke, J.P.; de Boer, A.; Dekkers, O.M. Estimated age- and sex-specific incidence and prevalence of dopamine agonist-treated hyperprolactinemia. J. Clin. Endocrinol. Metab. 2009, 94, 2729–2734. [Google Scholar] [CrossRef] [Green Version]
- Pieterman, C.R.C.; Valk, G.D. Update on the clinical management of multiple endocrine neoplasia type 1. Clin. Endocrinol. 2022. ahead of print. [Google Scholar] [CrossRef]
- Schernthaner-Reiter, M.H.; Trivellin, G.; Stratakis, C.A. MEN1, MEN4, and Carney Complex: Pathology and Molecular Genetics. Neuroendocrinology 2016, 103, 18–31. [Google Scholar] [CrossRef] [Green Version]
- Vazquez-Borrego, M.C.; Fuentes-Fayos, A.C.; Venegas-Moreno, E.; Rivero-Cortes, E.; Dios, E.; Moreno-Moreno, P.; Madrazo-Atutxa, A.; Remon, P.; Solivera, J.; Wildemberg, L.E.; et al. Splicing Machinery is Dysregulated in Pituitary Neuroendocrine Tumors and is Associated with Aggressiveness Features. Cancers 2019, 11, 1439. [Google Scholar] [CrossRef] [Green Version]
- Li, C.; Xie, W.; Rosenblum, J.S.; Zhou, J.; Guo, J.; Miao, Y.; Shen, Y.; Wang, H.; Gong, L.; Li, M.; et al. Somatic SF3B1 hotspot mutation in prolactinomas. Nat. Commun. 2020, 11, 2506. [Google Scholar] [CrossRef]
- Guo, J.; Li, C.; Fang, Q.; Liu, Y.; Wang, D.; Chen, Y.; Xie, W.; Zhang, Y. The SF3B1(R625H) mutation promotes prolactinoma tumor progression through aberrant splicing of DLG1. J. Exp. Clin. Cancer Res. 2022, 41, 26. [Google Scholar] [CrossRef] [PubMed]
- Bjune, J.I.; Stromland, P.P.; Jersin, R.A.; Mellgren, G.; Dankel, S.N. Metabolic and Epigenetic Regulation by Estrogen in Adipocytes. Front. Endocrinol. 2022, 13, 828780. [Google Scholar] [CrossRef] [PubMed]
- Kaiser, U.; Ho, K. Pituitary Physiology and Diagnostic Evaluation; Elsevier: Philadelphia, PA, USA, 2020; pp. 184–235. [Google Scholar]
- Sonigo, C.; Bouilly, J.; Carre, N.; Tolle, V.; Caraty, A.; Tello, J.; Simony-Conesa, F.J.; Millar, R.; Young, J.; Binart, N. Hyperprolactinemia-induced ovarian acyclicity is reversed by kisspeptin administration. J. Clin. Investig. 2012, 122, 3791–3795. [Google Scholar] [CrossRef] [PubMed]
- Al Dahmani, K.M.; Almalki, M.H.; Ekhzaimy, A.; Aziz, F.; Bashier, A.; Mahzari, M.M.; Beshyah, S.A. Proportion and predictors of Hypogonadism Recovery in Men with Macroprolactinomas treated with dopamine agonists. Pituitary 2022. ahead of print. [Google Scholar] [CrossRef]
- Soto-Pedre, E.; Newey, P.J.; Bevan, J.S.; Greig, N.; Leese, G.P. The epidemiology of hyperprolactinaemia over 20 years in the Tayside region of Scotland: The Prolactin Epidemiology, Audit and Research Study (PROLEARS). Clin. Endocrinol. 2017, 86, 60–67. [Google Scholar] [CrossRef] [Green Version]
- Melmed, S. Pituitary Masses and Tumors; Elsevier: Philadelphia, PA, USA, 2020; pp. 236–302. [Google Scholar]
- Molitch, M.E. Drugs and prolactin. Pituitary 2008, 11, 209–218. [Google Scholar] [CrossRef]
- Fahie-Wilson, M.; Smith, T.P. Determination of prolactin: The macroprolactin problem. Best Pract. Res. Clin. Endocrinol. Metab. 2013, 27, 725–742. [Google Scholar] [CrossRef]
- Sluijmer, A.V.; Lappohn, R.E. Clinical history and outcome of 59 patients with idiopathic hyperprolactinemia. Fertil. Steril. 1992, 58, 72–77. [Google Scholar] [CrossRef]
- Martin, T.L.; Kim, M.; Malarkey, W.B. The natural history of idiopathic hyperprolactinemia. J. Clin. Endocrinol. Metab. 1985, 60, 855–858. [Google Scholar] [CrossRef]
- Frieze, T.W.; Mong, D.P.; Koops, M.K. “Hook effect” in prolactinomas: Case report and review of literature. Endocr. Pract. 2002, 8, 296–303. [Google Scholar] [CrossRef]
- Arima, H.; Inomoto, C.; Iwasaki, Y.; Otsuki, M.; Oki, Y.; Kageyama, K.; Kanzaki, S.; Sugawara, A.; Sugino, N.; Sugimura, Y.; et al. The guide for diagnosis and treatment of hypothalamic and pituitary dysfunction (revised in 2008). Kannou kasuitai kinou syogai no sindan to chiryo no tebiki (Heisei 30 nendo kaitei). Folia Endocrinol. Jpn. 2019, 95, 1–60. (In Japanese) [Google Scholar] [CrossRef] [Green Version]
- Gillam, M.P.; Molitch, M.E.; Lombardi, G.; Colao, A. Advances in the treatment of prolactinomas. Endocr. Rev. 2006, 27, 485–534. [Google Scholar] [CrossRef] [Green Version]
- Webster, J.; Piscitelli, G.; Polli, A.; Ferrari, C.I.; Ismail, I.; Scanlon, M.F. A comparison of cabergoline and bromocriptine in the treatment of hyperprolactinemic amenorrhea. Cabergoline Comparative Study Group. N. Engl. J. Med. 1994, 331, 904–909. [Google Scholar] [CrossRef] [PubMed] [Green Version]
- Verhelst, J.; Abs, R.; Maiter, D.; van den Bruel, A.; Vandeweghe, M.; Velkeniers, B.; Mockel, J.; Lamberigts, G.; Petrossians, P.; Coremans, P.; et al. Cabergoline in the treatment of hyperprolactinemia: A study in 455 patients. J. Clin. Endocrinol. Metab. 1999, 84, 2518–2522. [Google Scholar] [CrossRef] [PubMed]
- Faje, A.; Chunharojrith, P.; Nency, J.; Biller, B.M.; Swearingen, B.; Klibanski, A. Dopamine Agonists Can Reduce Cystic Prolactinomas. J. Clin. Endocrinol. Metab. 2016, 101, 3709–3715. [Google Scholar] [CrossRef]
- Kletzky, O.A.; Vermesh, M. Effectiveness of vaginal bromocriptine in treating women with hyperprolactinemia. Fertil. Steril. 1989, 51, 269–272. [Google Scholar] [CrossRef]
- Dogansen, S.C.; Cikrikcili, U.; Oruk, G.; Kutbay, N.O.; Tanrikulu, S.; Hekimsoy, Z.; Hadzalic, A.; Gorar, S.; Omma, T.; Mert, M.; et al. Dopamine Agonist-Induced Impulse Control Disorders in Patients With Prolactinoma: A Cross-Sectional Multicenter Study. J. Clin. Endocrinol. Metab. 2019, 104, 2527–2534. [Google Scholar] [CrossRef]
- De Sousa, S.M.C.; Baranoff, J.; Rushworth, R.L.; Butler, J.; Sorbello, J.; Vorster, J.; Thompson, T.; McCormack, A.I.; Inder, W.J.; Torpy, D.J. Impulse Control Disorders in Dopamine Agonist-Treated Hyperprolactinemia: Prevalence and Risk Factors. J. Clin. Endocrinol. Metab. 2020, 105, dgz076. [Google Scholar] [CrossRef]
- Drake, W.M.; Stiles, C.E.; Bevan, J.S.; Karavitaki, N.; Trainer, P.J.; Rees, D.A.; Richardson, T.I.; Baldeweg, S.E.; Stojanovic, N.; Murray, R.D.; et al. A Follow-Up Study of the Prevalence of Valvular Heart Abnormalities in Hyperprolactinemic Patients Treated With Cabergoline. J. Clin. Endocrinol. Metab. 2016, 101, 4189–4194. [Google Scholar] [CrossRef] [Green Version]
- Stiles, C.E.; Tetteh-Wayoe, E.T.; Bestwick, J.; Steeds, R.P.; Drake, W.M. A meta-analysis of the prevalence of cardiac valvulopathy in hyperprolactinemic patients treated with Cabergoline. J. Clin. Endocrinol. Metab. 2019, 104, 523–538. [Google Scholar] [CrossRef] [Green Version]
- Caputo, C.; Prior, D.; Inder, W.J. The need for annual echocardiography to detect cabergoline-associated valvulopathy in patients with prolactinoma: A systematic review and additional clinical data. Lancet Diabetes Endocrinol. 2015, 3, 906–913. [Google Scholar] [CrossRef]
- Leong, K.S.; Foy, P.M.; Swift, A.C.; Atkin, S.L.; Hadden, D.R.; MacFarlane, I.A. CSF rhinorrhoea following treatment with dopamine agonists for massive invasive prolactinomas. Clin. Endocrinol. 2000, 52, 43–49. [Google Scholar] [CrossRef] [PubMed]
- Cesak, T.; Poczos, P.; Adamkov, J.; Nahlovsky, J.; Kasparova, P.; Gabalec, F.; Celakovsky, P.; Choutka, O. Medically induced CSF rhinorrhea following treatment of macroprolactinoma: Case series and literature review. Pituitary 2018, 21, 561–570. [Google Scholar] [CrossRef] [PubMed]
- Maiter, D. Management of Dopamine Agonist-Resistant Prolactinoma. Neuroendocrinology 2019, 109, 42–50. [Google Scholar] [CrossRef] [PubMed]
- Delgrange, E.; Daems, T.; Verhelst, J.; Abs, R.; Maiter, D. Characterization of resistance to the prolactin-lowering effects of cabergoline in macroprolactinomas: A study in 122 patients. Eur. J. Endocrinol./Eur. Fed. Endocr. Soc. 2009, 160, 747–752. [Google Scholar] [CrossRef] [Green Version]
- Ono, M.; Miki, N.; Kawamata, T.; Makino, R.; Amano, K.; Seki, T.; Kubo, O.; Hori, T.; Takano, K. Prospective study of high-dose cabergoline treatment of prolactinomas in 150 patients. J. Clin. Endocrinol. Metab. 2008, 93, 4721–4727. [Google Scholar] [CrossRef]
- Burlacu, M.C.; Maiter, D.; Duprez, T.; Delgrange, E. T2-weighted magnetic resonance imaging characterization of prolactinomas and association with their response to dopamine agonists. Endocrine 2019, 63, 323–331. [Google Scholar] [CrossRef]
- Caccavelli, L.; Feron, F.; Morange, I.; Rouer, E.; Benarous, R.; Dewailly, D.; Jaquet, P.; Kordon, C.; Enjalbert, A. Decreased expression of the two D2 dopamine receptor isoforms in bromocriptine-resistant prolactinomas. Neuroendocrinology 1994, 60, 314–322. [Google Scholar] [CrossRef]
- Shimazu, S.; Shimatsu, A.; Yamada, S.; Inoshita, N.; Nagamura, Y.; Usui, T.; Tsukada, T. Resistance to dopamine agonists in prolactinoma is correlated with reduction of dopamine D2 receptor long isoform mRNA levels. Eur. J. Endocrinol./Eur. Fed. Endocr. Soc. 2012, 166, 383–390. [Google Scholar] [CrossRef] [Green Version]
- Peverelli, E.; Mantovani, G.; Vitali, E.; Elli, F.M.; Olgiati, L.; Ferrero, S.; Laws, E.R.; Della Mina, P.; Villa, A.; Beck-Peccoz, P.; et al. Filamin-A is essential for dopamine d2 receptor expression and signaling in tumorous lactotrophs. J. Clin. Endocrinol. Metab. 2012, 97, 967–977. [Google Scholar] [CrossRef] [Green Version]
- Passos, V.Q.; Fortes, M.A.; Giannella-Neto, D.; Bronstein, M.D. Genes differentially expressed in prolactinomas responsive and resistant to dopamine agonists. Neuroendocrinology 2009, 89, 163–170. [Google Scholar] [CrossRef] [PubMed]
- Recouvreux, M.V.; Camilletti, M.A.; Rifkin, D.B.; Diaz-Torga, G. The pituitary TGFbeta1 system as a novel target for the treatment of resistant prolactinomas. J. Endocrinol. 2016, 228, R73–R83. [Google Scholar] [CrossRef] [PubMed] [Green Version]
- Li, Z.; Liu, Q.; Li, C.; Zong, X.; Bai, J.; Wu, Y.; Lan, X.; Yu, G.; Zhang, Y. The role of TGF-beta/Smad signaling in dopamine agonist-resistant prolactinomas. Mol. Cell. Endocrinol. 2015, 402, 64–71. [Google Scholar] [CrossRef] [PubMed]
- Andereggen, L.; Frey, J.; Andres, R.H.; Luedi, M.M.; El-Koussy, M.; Widmer, H.R.; Beck, J.; Mariani, L.; Seiler, R.W.; Christ, E. First-line surgery in prolactinomas: Lessons from a long-term follow-up study in a tertiary referral center. J. Endocrinol. Investig. 2021, 44, 2621–2633. [Google Scholar] [CrossRef]
- Zamanipoor Najafabadi, A.H.; Zandbergen, I.M.; de Vries, F.; Broersen, L.H.A.; van den Akker-van Marle, M.E.; Pereira, A.M.; Peul, W.C.; Dekkers, O.M.; van Furth, W.R.; Biermasz, N.R. Surgery as a Viable Alternative First-Line Treatment for Prolactinoma Patients. A Systematic Review and Meta-Analysis. J. Clin. Endocrinol. Metab. 2020, 105, e32–e41. [Google Scholar] [CrossRef]
- Wright, K.; Chaker, L.; Pacione, D.; Sam, K.; Feelders, R.; Xia, Y.; Agrawal, N. Determinants of Surgical Remission in Prolactinomas: A Systematic Review and Meta-Analysis. World Neurosurg. 2021, 154, e349–e369. [Google Scholar] [CrossRef]
- Bloomgarden, E.; Molitch, M.E. Surgical treatment of prolactinomas: Cons. Endocrine 2014, 47, 730–733. [Google Scholar] [CrossRef]
- Honegger, J.; Nasi-Kordhishti, I.; Aboutaha, N.; Giese, S. Surgery for prolactinomas: A better choice? Pituitary 2020, 23, 45–51. [Google Scholar] [CrossRef]
- Liu, W.; Zahr, R.S.; McCartney, S.; Cetas, J.S.; Dogan, A.; Fleseriu, M. Clinical outcomes in male patients with lactotroph adenomas who required pituitary surgery: A retrospective single center study. Pituitary 2018, 21, 454–462. [Google Scholar] [CrossRef]
- Micko, A.; Vila, G.; Hoftberger, R.; Knosp, E.; Wolfsberger, S. Endoscopic Transsphenoidal Surgery of Microprolactinomas: A Reappraisal of Cure Rate Based on Radiological Criteria. Neurosurgery 2019, 85, 508–515. [Google Scholar] [CrossRef]
- Zielinski, G.; Ozdarski, M.; Maksymowicz, M.; Szamotulska, K.; Witek, P. Prolactinomas: Prognostic Factors of Early Remission After Transsphenoidal Surgery. Front. Endocrinol. 2020, 11, 439. [Google Scholar] [CrossRef] [PubMed]
- Penn, M.C.; Cardinal, T.; Zhang, Y.; Abt, B.; Bonney, P.A.; Lorenzo, P.; Lin, M.; Rosner, J.; Weiss, M.; Zada, G.; et al. Cure and Hormonal Control After Prolactinoma Resection: Case Series and Systematic Review. J. Endocr. Soc. 2021, 5, bvab074. [Google Scholar] [CrossRef]
- Mattogno, P.P.; D’Alessandris, Q.G.; Chiloiro, S.; Bianchi, A.; Giampietro, A.; Pontecorvi, A.; De Marinis, L.; Olivi, A.; Anile, C.; Lauretti, L. Reappraising the Role of Trans-Sphenoidal Surgery in Prolactin-Secreting Pituitary Tumors. Cancers 2021, 13, 3252. [Google Scholar] [CrossRef] [PubMed]
- Park, J.Y.; Choi, W.; Hong, A.R.; Yoon, J.H.; Kim, H.K.; Jang, W.Y.; Jung, S.; Kang, H.C. Surgery is a safe, effective first-line treatment modality for noninvasive prolactinomas. Pituitary 2021, 24, 955–963. [Google Scholar] [CrossRef] [PubMed]
- Ma, Q.; Su, J.; Li, Y.; Wang, J.; Long, W.; Luo, M.; Liu, Q. The Chance of Permanent Cure for Micro- and Macroprolactinomas, Medication or Surgery? A Systematic Review and Meta-Analysis. Front. Endocrinol. 2018, 9, 636. [Google Scholar] [CrossRef] [PubMed]
- Lu, J.; Cai, L.; Wu, Z.; Lin, W.; Xu, J.; Zhu, Z.; Wang, C.; Li, Q.; Su, Z. Surgery and Medical Treatment in Microprolactinoma: A Systematic Review and Meta-Analysis. Int. J. Endocrinol. 2021, 2021, 9930059. [Google Scholar] [CrossRef]
- Gheorghiu, M.L.; Fleseriu, M. Stereotactic Radiation Therapy in Pituitary Adenomas, Is It Better Than Conventional Radiation Therapy? Acta Endocrinol. 2017, 13, 476–490. [Google Scholar] [CrossRef]
- Sheplan Olsen, L.J.; Robles Irizarry, L.; Chao, S.T.; Weil, R.J.; Hamrahian, A.H.; Hatipoglu, B.; Suh, J.H. Radiotherapy for prolactin-secreting pituitary tumors. Pituitary 2012, 15, 135–145. [Google Scholar] [CrossRef]
- Mathieu, D.; Kotecha, R.; Sahgal, A.; De Salles, A.; Fariselli, L.; Pollock, B.E.; Levivier, M.; Ma, L.; Paddick, I.; Regis, J.; et al. Stereotactic radiosurgery for secretory pituitary adenomas: Systematic review and International Stereotactic Radiosurgery Society practice recommendations. J. Neurosurg. 2021, 136, 801–812. [Google Scholar] [CrossRef]
- Jezkova, J.; Hana, V.; Kosak, M.; Krsek, M.; Liscak, R.; Vymazal, J.; Pecen, L.; Marek, J. Role of gamma knife radiosurgery in the treatment of prolactinomas. Pituitary 2019, 22, 411–421. [Google Scholar] [CrossRef]
- Molitch, M.E. Endocrinology in pregnancy: Management of the pregnant patient with a prolactinoma. Eur. J. Endocrinol./Eur. Fed. Endocr. Soc. 2015, 172, R205–R213. [Google Scholar] [CrossRef] [Green Version]
- Luger, A.; Broersen, L.H.A.; Biermasz, N.R.; Biller, B.M.K.; Buchfelder, M.; Chanson, P.; Jorgensen, J.O.L.; Kelestimur, F.; Llahana, S.; Maiter, D.; et al. ESE Clinical Practice Guideline on functioning and nonfunctioning pituitary adenomas in pregnancy. Eur. J. Endocrinol./Eur. Fed. Endocr. Soc. 2021, 185, G1–G33. [Google Scholar] [CrossRef] [PubMed]
- Huang, W.; Molitch, M.E. Pituitary Tumors in Pregnancy. Endocrinol. Metab. Clin. N. Am. 2019, 48, 569–581. [Google Scholar] [CrossRef] [PubMed]
- Amano, E.; Nishiyama, M.; Iwasaki, Y.; Matsushima, S.; Oguri, H.; Fukuhara, N.; Nishioka, H.; Yamada, S.; Inoshita, N.; Fukaya, T.; et al. Remarkable cystic expansion of microprolactinoma causing diabetes insipidus during pregnancy. J. Clin. Endocrinol. Metab. 2012, 97, 2575–2576. [Google Scholar] [CrossRef] [PubMed]
- Almalki, M.H.; Buhary, B.; Alzahrani, S.; Alshahrani, F.; Alsherbeni, S.; Alhowsawi, G.; Aljohani, N. Giant prolactinomas: Clinical manifestations and outcomes of 16 Arab cases. Pituitary 2015, 18, 405–409. [Google Scholar] [CrossRef]
- Maiter, D.; Delgrange, E. Therapy of endocrine disease: The challenges in managing giant prolactinomas. Eur. J. Endocrinol./Eur. Fed. Endocr. Soc. 2014, 170, R213–R227. [Google Scholar] [CrossRef] [Green Version]
- Shimon, I. Giant Prolactinomas. Neuroendocrinology 2019, 109, 51–56. [Google Scholar] [CrossRef]
- Arimappamagan, A.; Sadashiva, N.; Kandregula, S.; Shukla, D.; Somanna, S. CSF Rhinorrhea Following Medical Treatment for Prolactinoma: Management and Challenges. J. Neurol. Surg. B Skull Base 2019, 80, 620–625. [Google Scholar] [CrossRef]
- Sari, R.; Altinoz, M.A.; Ozlu, E.B.K.; Sav, A.; Danyeli, A.E.; Baskan, O.; Er, O.; Elmaci, I. Treatment Strategies for Dopamine Agonist-Resistant and Aggressive Prolactinomas: A Comprehensive Analysis of the Literature. Horm. Metab. Res. Horm.-Und Stoffwechs. Horm. Metab. 2021, 53, 413–424. [Google Scholar] [CrossRef]
- Olarescu, N.C.; Perez-Rivas, L.G.; Gatto, F.; Cuny, T.; Tichomirowa, M.A.; Tamagno, G.; Gahete, M.D.; on behalf of EYRC. Aggressive and Malignant Prolactinomas. Neuroendocrinology 2019, 109, 57–69. [Google Scholar] [CrossRef]
- Lasolle, H.; Ilie, M.D.; Raverot, G. Aggressive prolactinomas: How to manage? Pituitary 2020, 23, 70–77. [Google Scholar] [CrossRef] [PubMed]
- Raverot, G.; Burman, P.; McCormack, A.; Heaney, A.; Petersenn, S.; Popovic, V.; Trouillas, J.; Dekkers, O.M.; The European Society of Endocrinology. European Society of Endocrinology Clinical Practice Guidelines for the management of aggressive pituitary tumours and carcinomas. Eur. J. Endocrinol./Eur. Fed. Endocr. Soc. 2018, 178, G1–G24. [Google Scholar] [CrossRef] [PubMed]
- Halevy, C.; Whitelaw, B.C. How effective is temozolomide for treating pituitary tumours and when should it be used? Pituitary 2017, 20, 261–266. [Google Scholar] [CrossRef]
- Jiang, X.B.; Hu, B.; He, D.S.; Mao, Z.G.; Wang, X.; Song, B.B.; Zhu, Y.H.; Wang, H.J. Expression profiling of O(6) methylguanine-DNA-methyl transferase in prolactinomas: A correlative study of promoter methylation and pathological features in 136 cases. BMC Cancer 2015, 15, 644. [Google Scholar] [CrossRef] [Green Version]
- Choudhary, C.; Hamrahian, A.H.; Bena, J.F.; Recinos, P.; Kennedy, L.; Dobri, G. The Effect of Raloxifene on Serum Prolactin Level in Patients with Prolactinoma. Endocr. Pract. 2019, 25, 684–688. [Google Scholar] [CrossRef]
- Cooper, O.; Bonert, V.S.; Rudnick, J.; Pressman, B.D.; Lo, J.; Salvatori, R.; Yuen, K.C.J.; Fleseriu, M.; Melmed, S. EGFR/ErbB2-Targeting Lapatinib Therapy for Aggressive Prolactinomas. J. Clin. Endocrinol. Metab. 2021, 106, e917–e925. [Google Scholar] [CrossRef] [PubMed]
- Zhang, D.; Way, J.S.; Zhang, X.; Sergey, M.; Bergsneider, M.; Wang, M.B.; Yong, W.H.; Heaney, A.P. Effect of Everolimus in Treatment of Aggressive Prolactin-Secreting Pituitary Adenomas. J. Clin. Endocrinol. Metab. 2019, 104, 1929–1936. [Google Scholar] [CrossRef]


Publisher’s Note: MDPI stays neutral with regard to jurisdictional claims in published maps and institutional affiliations. |
© 2022 by the authors. Licensee MDPI, Basel, Switzerland. This article is an open access article distributed under the terms and conditions of the Creative Commons Attribution (CC BY) license (https://creativecommons.org/licenses/by/4.0/).
Share and Cite
Fukuhara, N.; Nishiyama, M.; Iwasaki, Y. Update in Pathogenesis, Diagnosis, and Therapy of Prolactinoma. Cancers 2022, 14, 3604. https://doi.org/10.3390/cancers14153604
Fukuhara N, Nishiyama M, Iwasaki Y. Update in Pathogenesis, Diagnosis, and Therapy of Prolactinoma. Cancers. 2022; 14(15):3604. https://doi.org/10.3390/cancers14153604
Chicago/Turabian StyleFukuhara, Noriaki, Mitsuru Nishiyama, and Yasumasa Iwasaki. 2022. "Update in Pathogenesis, Diagnosis, and Therapy of Prolactinoma" Cancers 14, no. 15: 3604. https://doi.org/10.3390/cancers14153604
APA StyleFukuhara, N., Nishiyama, M., & Iwasaki, Y. (2022). Update in Pathogenesis, Diagnosis, and Therapy of Prolactinoma. Cancers, 14(15), 3604. https://doi.org/10.3390/cancers14153604
