A Multimodal Biomarker Predicts Dissemination of Bronchial Carcinoid
Abstract
Simple Summary
Abstract
1. Introduction
2. Material and Methods
2.1. Study Design and Methods
2.2. Case Evaluation and Definitive Diagnosis
2.3. Mitotic Count and Presence of Necrosis
2.4. Immunohistochemistry
2.5. Statistical Analysis
3. Results
3.1. Patient Characteristics
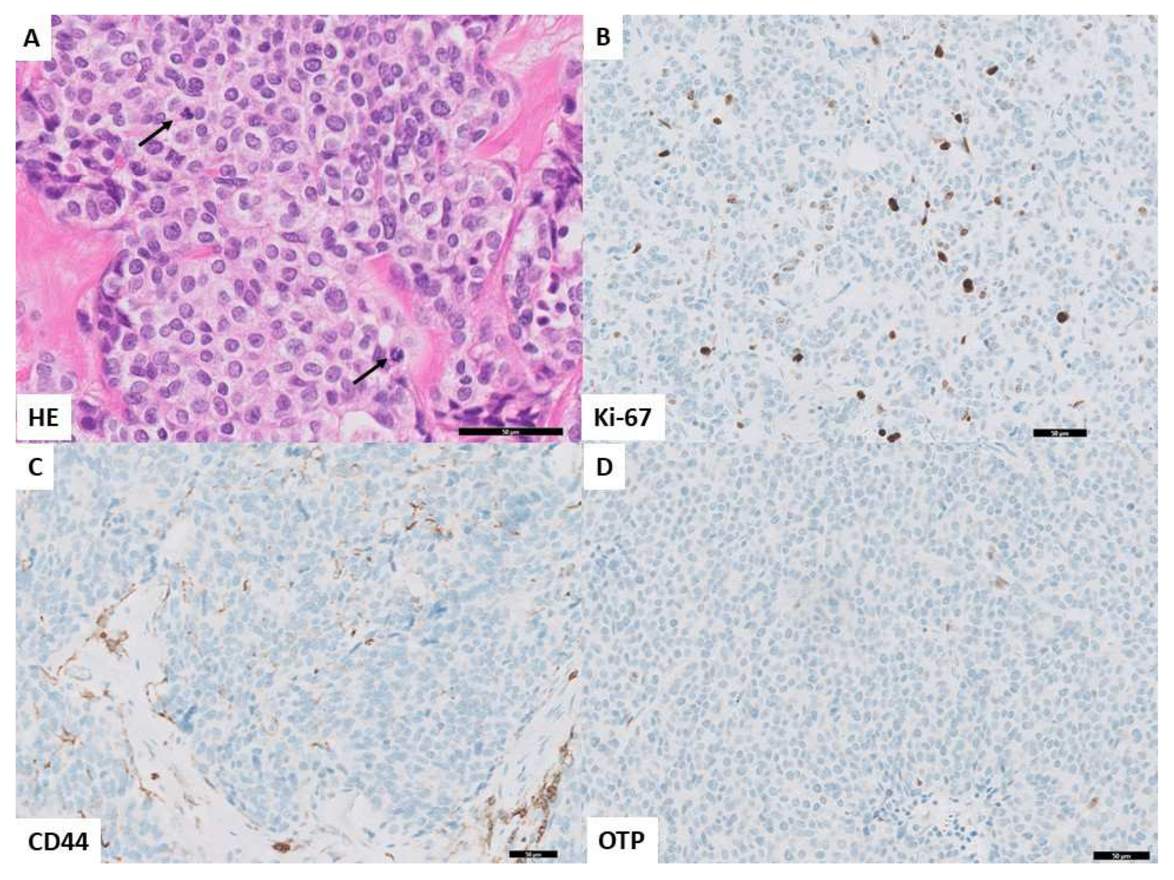
3.2. Mitotic Index and Ki-67
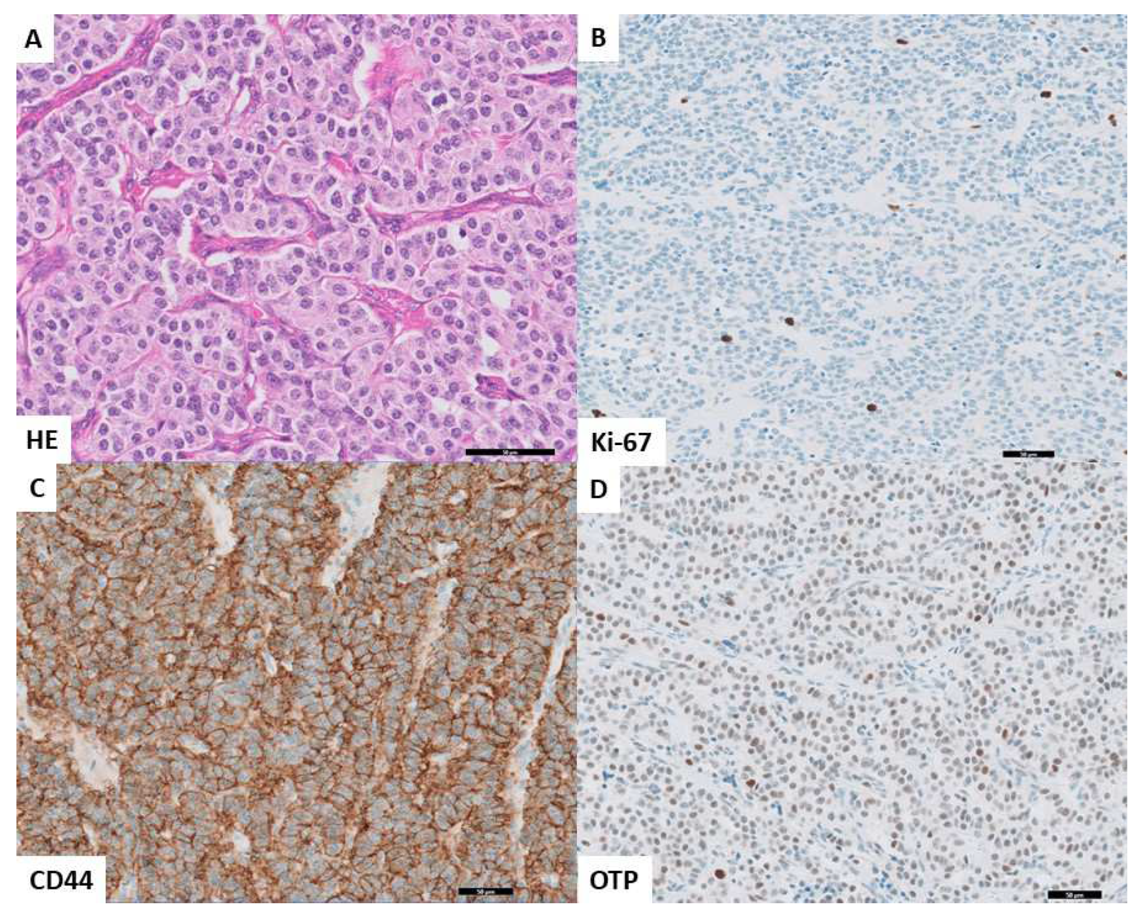
3.3. Immunohistochemistry
3.4. Risk Factors for Distant Metastases
3.5. Immunohistochemistry Profile in Patients with Disseminated Disease at Baseline
3.6. Metastasis-Free Survival
4. Discussion
5. Conclusions
Supplementary Materials
Author Contributions
Funding
Institutional Review Board Statement
Informed Consent Statement
Data Availability Statement
Acknowledgments
Conflicts of Interest
Abbreviations
| AC | Atypical carcinoid |
| CT | Computed tomography |
| EBT | Endobronchial therapy |
| IHC | Immunohistochemistry |
| LCNEC | Large-cell neuroendocrine carcinoma |
| MAI | Mitotic activity index |
| OTP | Orthopedia homeobox |
| pT | Pathological tumor size |
| PCs | Pulmonary carcinoids |
| Rb | Retinoblastoma |
| ROC | Receiver operating characteristic curve |
| SCLC | Small-cell lung cancer |
| TC | Typical carcinoid |
| WHO | World Health Organization |
References
- Naalsund, A.; Rostad, H.; Strøm, E.H.; Lund, M.B.; Strand, T.-E. Carcinoid lung tumors—Incidence, treatment and outcomes: A population-based study. Eur. J. Cardio-Thorac. Surg. 2011, 39, 565–569. [Google Scholar] [CrossRef] [PubMed]
- Gustafsson, B.I.; Kidd, M.; Chan, A.K.; Malfertheiner, M.V.; Modlin, I.M. Bronchopulmonary neuroendocrine tumors. Cancer 2008, 113, 5–21. [Google Scholar] [CrossRef] [PubMed]
- Thoracic Tumours. In WHO Classification of Tumours, 5th ed.; WHO: Geneva, Switzerland, 2021.
- Reuling, E.; Dickhoff, C.; Plaisier, P.; Bonjer, H.; Daniels, J. Endobronchial and surgical treatment of pulmonary carcinoid tumors: A systematic literature review. Lung Cancer 2019, 134, 85–95. [Google Scholar] [CrossRef]
- Lou, F.; Sarkaria, I.; Pietanza, C.; Travis, W.; Roh, M.S.; Sica, G.; Healy, D.; Rusch, V.; Huang, J. Recurrence of Pulmonary Carcinoid Tumors After Resection: Implications for Postoperative Surveillance. Ann. Thorac. Surg. 2013, 96, 1156–1162. [Google Scholar] [CrossRef] [PubMed]
- Rea, F.; Rizzardi, G.; Zuin, A.; Marulli, G.; Nicotra, S.; Bulf, R.; Schiavon, M.; Sartori, F. Outcome and surgical strategy in bronchial carcinoid tumors: Single institution experience with 252 patients. Eur. J. Cardio-Thorac. Surg. 2007, 31, 186–191. [Google Scholar] [CrossRef] [PubMed]
- Cusumano, G.; Fournel, L.; Strano, S.; Charpentier, M.C.; Galia, A. Surgical Resection for Pulmonary Carcinoid: Long-Term Results of Multicentric Study-The Importance of Pathological N Status, More Than We Thought. Lung 2017, 195, 789–798. [Google Scholar] [CrossRef]
- Chiappetta, M.; Tabacco, D.; Sassorossi, C.; Sperduti, I.; Cusumano, G.; Terminella, A.; Fournel, L.; Alifano, M.; Guerrera, F.; Filosso, P.L.; et al. External Validation of a Prognostic Score for Survival in Lung Carcinoids. Cancers 2022, 14, 2601. [Google Scholar] [CrossRef]
- Swarts, D.R.A.; Rudelius, M.; Claessen, S.M.H.; Cleutjens, J.P.; Seidl, S.; Volante, M.; Ramaekers, F.C.S.; Speel, E.J.M. Limited additive value of the Ki-67 proliferative index on patient survival in World Health Organization-classified pulmonary carcinoids. Histopathology 2016, 70, 412–422. [Google Scholar] [CrossRef]
- Richards-Taylor, S.; Ewings, S.; Jaynes, E.; Tilley, C.; Ellis, S.G.; Armstrong, T.; Pearce, N.; Cave, J. The assessment of Ki-67 as a prognostic marker in neuroendocrine tumours: A systematic review and meta-analysis. J. Clin. Pathol. 2015, 69, 612–618. [Google Scholar] [CrossRef]
- Pelosi, G.; Rindi, G.; Travis, W.D.; Papotti, M. Ki-67 Antigen in Lung Neuroendocrine Tumors: Unraveling a Role in Clinical Practice. J. Thorac. Oncol. 2014, 9, 273–284. [Google Scholar] [CrossRef]
- Rindi, G.; Klersy, C.; Inzani, F.; Fellegara, G.; Ampollini, L.; Ardizzoni, A.; Campanini, N.; Carbognani, P.; De Pas, T.M.; Galetta, D.; et al. Grading the neuroendocrine tumors of the lung: An evidence-based proposal. Endocr.-Relat. Cancer 2014, 21, 1–16. [Google Scholar] [CrossRef]
- Swarts, D.R.; Henfling, M.E.; Van Neste, L.; van Suylen, R.-J.; Dingemans, A.-M.C.; Dinjens, W.N.; Haesevoets, A.; Rudelius, M.; Thunnissen, E.; Volante, M.; et al. CD44 and OTP Are Strong Prognostic Markers for Pulmonary Carcinoids. Clin. Cancer Res. 2013, 19, 2197–2207. [Google Scholar] [CrossRef]
- Beasley, M.B.; Lantuejoul, S.; Abbondanzo, S.; Chu, W.S.; Hasleton, W.; Travis, D. The P16/cyclin D1/Rb pathway in neuroendocrine tumors of the lung. Hum. Pathol. 2003, 34, 136–142. [Google Scholar] [CrossRef] [PubMed]
- Cagle, P.T.; El-Naggar, A.K.; Xu, H.J.; Hu, S.X.; Benedict, W.F. Differential retinoblastoma protein expression in neuroendocrine tumors of the lung. Potential diagnostic implications. Am. J. Pathol. 1997, 150, 393–400. [Google Scholar] [PubMed]
- Igarashi, T.; Jiang, S.X.; Kameya, T.; Asamura, H.; Sato, Y.; Nagai, K. Divergent cyclin B1 expression and Rb/p16/cyclin D1 pathway aberrations among pulmonary neuroendocrine tumors. Mod. Pathol. 2004, 17, 1259–1267. [Google Scholar] [CrossRef] [PubMed][Green Version]
- Reuling, E.M.; Dickhoff, C.; Plaisier, P.W.; Coupé, V.M.; Mazairac, A.H.; Lely, R.J.; Bonjer, H.J.; Daniels, J.M. Endobronchial Treatment for Bronchial Carcinoid: Patient Selection and Predictors of Outcome. Respiration 2018, 95, 220–227. [Google Scholar] [CrossRef] [PubMed]
- Baak, J.P.A. Manual of Quantitative Pathology in Cancer Diagnosis and Prognosis; Springer: Berlin/Heidelberg, Germany, 1991. [Google Scholar]
- Stenger, M. Calculating H-Score. 10 April 2015. Available online: https://www.ascopost.com/issues/april-10-2015/calculating-h-score/ (accessed on 22 June 2022).
- Tembuyser, L.; Tack, V.; Zwaenepoel, K.; Pauwels, P.; Miller, K.; Bubendorf, L.; Kerr, K.; Schuuring, E.; Thunnissen, E.; Dequeker, E.M.C. The Relevance of External Quality Assessment for Molecular Testing for ALK Positive Non-Small Cell Lung Cancer: Results from Two Pilot Rounds Show Room for Optimization. PLoS ONE 2014, 9, e112159. [Google Scholar] [CrossRef]
- Marchiò, C.; Gatti, G.; Massa, F.; Bertero, L.; Filosso, P.; Pelosi, G.; Cassoni, P.; Volante, M.; Papotti, M. Distinctive pathological and clinical features of lung carcinoids with high proliferation index. Virchows Arch. 2017, 471, 713–720. [Google Scholar] [CrossRef]
- Papaxoinis, G.; Nonaka, D.; O’Brien, C.; Sanderson, B.; Krysiak, P.; Mansoor, W. Prognostic Significance of CD44 and Orthopedia Homeobox Protein (OTP) Expression in Pulmonary Carcinoid Tumours. Endocr. Pathol. 2016, 28, 60–70. [Google Scholar] [CrossRef]
- Granberg, D.; Wilander, E.; Oberg, K.; Skogseid, B. Decreased survival in patients with CD44-negative typical bronchial carcinoid tumors. Int. J. Cancer 1999, 84, 484–488. [Google Scholar] [CrossRef]
- Rindi, G.; Klöppel, G.; Alhman, H.; Caplin, M.; Couvelard, A.; de Herder, W.W.; Erikssson, B.; Falchetti, A.; Falconi, M.; Komminoth, P.; et al. TNM staging of foregut (neuro)endocrine tumors: A consensus proposal including a grading system. Virchows Arch. 2006, 449, 395–401. [Google Scholar] [CrossRef] [PubMed]
- Joseph, M.G.; Shibani, A.; Panjwani, N.; Arab, A.; Shepherd, J.; Stitt, L.W.; Inculet, R. Usefulness of Ki-67, Mitoses, and Tumor Size for Predicting Metastasis in Carcinoid Tumors of the Lung: A Study of 48 Cases at a Tertiary Care Centre in Canada. Lung Cancer Int. 2015, 2015, 1–7. [Google Scholar] [CrossRef] [PubMed]
- Rindi, G.; Mete, O.; Uccella, S.; Basturk, O.; La Rosa, S.; Brosens, L.A.A.; Ezzat, S.; de Herder, W.W.; Klimstra, D.S.; Papotti, M.; et al. Overview of the 2022 WHO Classification of Neuroendocrine Neoplasms. Endocr. Pathol. 2022, 33, 115–154. [Google Scholar] [CrossRef] [PubMed]
- Dermawan, J.K.; Farver, C.F. The Role of Histologic Grading and Ki-67 Index in Predicting Outcomes in Pulmonary Carcinoid Tumors. Am. J. Surg. Pathol. 2019, 44, 224–231. [Google Scholar] [CrossRef]
- Marchevsky, A.M.; Hendifar, A.; Walts, A.E. The use of Ki-67 labeling index to grade pulmonary well-differentiated neuroendocrine neoplasms: Current best evidence. Mod. Pathol. 2018, 31, 1523–1531. [Google Scholar] [CrossRef]
- Baudin, E.; Caplin, M.; Garcia-Carbonero, R.; Fazio, N.; Ferolla, P.; Filosso, P.L. Lung and thymic carcinoids: ESMO Clinical Practice Guidelines for diagnosis, treatment and follow-up. Ann. Oncol. 2021, 32, 439–451. [Google Scholar] [CrossRef]
- Scholzen, T.; Gerdes, J. The Ki-67 protein: From the known and the unknown. J. Cell. Physiol. 2000, 182, 311–322. [Google Scholar] [CrossRef]
- Dosaka-Akita, H.; Cagle, P.T.; Hiroumi, H.; Fujita, M.; Yamashita, M.; Sharma, A. Differential retinoblastoma and p16(INK4A) protein expression in neuroendocrine tumors of the lung. Cancer 2000, 88, 550–556. [Google Scholar] [CrossRef]
- Warth, A.; Fink, L.; Fisseler-Eckhoff, A.; Jonigk, D.; Keller, M.; Ott, G. Interobserver agreement of proliferation index (Ki-67) outperforms mitotic count in pulmonary carcinoids. Virchows Arch. 2013, 462, 507–513. [Google Scholar] [CrossRef]





| Curative Treatment | Disseminated Disease after Curative-Intent Treatment | Distant Metastasis at Diagnosis | p-Value § | ||||
|---|---|---|---|---|---|---|---|
| Number of patients (%) | 151 | (88) | 13 | (8) | 7 | (4) | NA |
| Median age at diagnosis (IQR) | 48 | (35–60) | 57 | (44–67) | 58 | (47–64) | 0.088 |
| Gender (M/F) | 67/84 | 4/9 | 3/4 | 0.618 | |||
| Histology | <0.000 | ||||||
| TC | 107 | (71) | 1 | (8) | 4 | (57) | - |
| AC | 44 | (29) | 12 | (92) | 3 | (43) | - |
| Curative treatment | NA | 0.002 | |||||
| EBT | 61 | (40) | 0 | (0) | - | - | |
| Surgery | 90 | (60) | 13 | (100) | - | - | |
| Type of surgery | NA | 0.190 | |||||
| Pneumonectomy | 4 | (3) | 2 | (15) | - | - | |
| Bilobectomy | 24 | (16) | 0 | (0) | - | - | |
| Sleeve lobectomy | 18 | (12) | 3 | (23) | - | - | |
| Lobectomy | 37 | (25) | 7 | (54) | - | - | |
| Bronchial sleeve resection | 1 | (1) | 0 | (0) | - | - | |
| Bronchotomy | 1 | (1) | 0 | (0) | - | - | |
| Segmentectomy | 4 | (3) | 1 | (8) | - | - | |
| Wedge resection | 1 | (1) | 0 | (0) | - | - | |
| Tumor stage ⱡ | <0.000 | ||||||
| 1a | 53 | (35) * | 0 | (0) | 0 | (0) | - |
| 1b | 61 | (40) * | 6 | (46) | 0 | (0) | - |
| 1c | 26 | (17) * | 4 | (31) | 0 | (0) | - |
| 2a | 9 | (6) | 1 | (8) | 0 | (0) | - |
| 2b | 1 | (1) | 0 | (0) | 0 | (0) | - |
| 3 | 1 | (1) | 2 | (15) | 0 | (0) | - |
| 4 | 0 | (0) | 0 | (0) | 7 | (100) | - |
| Median follow-up in months (IQR) | 66 | (35–118) | 81 | (45–162) | 50 | (12–80) | 0.268 |
| Variable | Patient Categories | IHC Positivity (%) | Median (SD) | Range (IQR) | Distant Metastases during FU (n = 13) | ||||
|---|---|---|---|---|---|---|---|---|---|
| Univariate Analysis § | Multivariate Analysis a | ||||||||
| Ki-67 | |||||||||
| Total cohort | NA | 1 | (3.8) | 0–20 | 1–3 | ||||
| Curative treatment, no metastases at FU | NA | 1 | (2.5) | 0–15 | 1–2 | ||||
| Distant metastases during FU | NA | 6 | (6.9) | 1–20 | 1–11 | <0.001 | 0.034 | ||
| Distant metastasis at baseline | NA | 10 | (4.9) | 5–20 | 8–15 | ||||
| Mitotic index | |||||||||
| Total cohort | NA | 1 | (2.4) | 0–10 | 0–2 | ||||
| Curative treatment, no metastases at FU | NA | 0 | (1.7) | 0–8 | 0–2 | ||||
| Distant metastases during FU | NA | 8 | (3.9) | 0–10 | 2–10 | <0.001 | 0.001 | ||
| Distant metastasis at baseline | NA | 1 | (2.5) | 0–7 | 0–2 | ||||
| OTP | |||||||||
| Total cohort | 141/171 | (82) | 250 | (112.9) | 0–300 | 150–300 | |||
| Curative treatment, no metastases at FU | 133/151 | (88) | 260 | (102.8) | 0–300 | 160–300 | |||
| Distant metastases during FU | 3/13 | (23) | 0 | (131.6) | 0–300 | 0–150 | <0.001 | 0.004 | |
| Distant metastasis at baseline | 5/7 | (71) | 270 | (138.3) | 0–300 | 0–300 | |||
| CD44 | |||||||||
| Total cohort * | 139/169 | (82) | 300 | (115.9) | 0–300 | 300–300 | |||
| Curative treatment, no metastases at FU | 134/151 | (89) | 300 | (92.6) | 0–300 | 300–300 | |||
| Distant metastases during FU | 4/13 | (31) | 0 | (138.7) | 0–300 | 0–275 | <0.001 | ns | |
| Distant metastasis at baseline | 1/7 | (14) | 0 | (37.8) | 0–100 | 0–0 | |||
| Rb | |||||||||
| Total cohort | 171/171 | (100) | 200 | (79.1) | 100–300 | 100–280 | |||
| Curative treatment, no metastases at FU | 151/151 | (100) | 190 | (79.5) | 100–300 | 100–280 | |||
| Distant metastases during FU | 13/13 | (100) | 190 | (80.5) | 100–300 | 100–265 | 0.893 | ns | |
| Distant metastasis at baseline | 7/7 | (100) | 240 | (69.7) | 100–300 | 190–300 | |||
| p16 | |||||||||
| Total cohort ⱡ | 51/170 | (30) | 0 | (39.3) | 0–240 | 0–5 | |||
| Curative treatment, no metastases at FU | 44/150 | (29) | 0 | (34.5) | 0–240 | 0–3 | |||
| Distant metastases during FU | 4/13 | (31) | 0 | (74.9) | 0–240 | 0–60 | 0.558 | ns | |
| Distant metastasis at baseline | 3/7 | (43) | 0 | (36.5) | 0–100 | 0–20 | |||
| Tumor diameter (mm) | |||||||||
| Total cohort | NA | 15 | (11.1) | 1–65 | 10–22 | ||||
| Curative treatment, no metastases at FU | NA | 15 | (9.7) | 1–65 | 10–21 | ||||
| Distant metastases during FU | NA | 27 | (16.1) | 14–65 | 15–35 | <0.001 | ns | ||
| Distant metastasis at baseline | NA | 25 | (15.2) | 11–55 | 16–36 | ||||
Publisher’s Note: MDPI stays neutral with regard to jurisdictional claims in published maps and institutional affiliations. |
© 2022 by the authors. Licensee MDPI, Basel, Switzerland. This article is an open access article distributed under the terms and conditions of the Creative Commons Attribution (CC BY) license (https://creativecommons.org/licenses/by/4.0/).
Share and Cite
Reuling, E.M.B.P.; Naves, D.D.; Kortman, P.C.; Broeckaert, M.A.M.; Plaisier, P.W.; Dickhoff, C.; Daniels, J.M.A.; Radonic, T. A Multimodal Biomarker Predicts Dissemination of Bronchial Carcinoid. Cancers 2022, 14, 3234. https://doi.org/10.3390/cancers14133234
Reuling EMBP, Naves DD, Kortman PC, Broeckaert MAM, Plaisier PW, Dickhoff C, Daniels JMA, Radonic T. A Multimodal Biomarker Predicts Dissemination of Bronchial Carcinoid. Cancers. 2022; 14(13):3234. https://doi.org/10.3390/cancers14133234
Chicago/Turabian StyleReuling, Ellen M. B. P., Dwayne D. Naves, Pim C. Kortman, Mark A. M. Broeckaert, Peter W. Plaisier, Chris Dickhoff, Johannes M. A. Daniels, and Teodora Radonic. 2022. "A Multimodal Biomarker Predicts Dissemination of Bronchial Carcinoid" Cancers 14, no. 13: 3234. https://doi.org/10.3390/cancers14133234
APA StyleReuling, E. M. B. P., Naves, D. D., Kortman, P. C., Broeckaert, M. A. M., Plaisier, P. W., Dickhoff, C., Daniels, J. M. A., & Radonic, T. (2022). A Multimodal Biomarker Predicts Dissemination of Bronchial Carcinoid. Cancers, 14(13), 3234. https://doi.org/10.3390/cancers14133234

