The Prognostic Reliability of Lymphovascular Invasion for Patients with T3N0 Colorectal Cancer in Adjuvant Chemotherapy Decision Making
Abstract
:Simple Summary
Abstract
1. Introduction
2. Materials and Methods
2.1. Patients, Treatment, and Surveillance
2.2. Pathologic Examination
2.3. Statistical Analysis
3. Results
3.1. Clinicopathological Characteristics of Patients with pT3N0 Colorectal Cancer
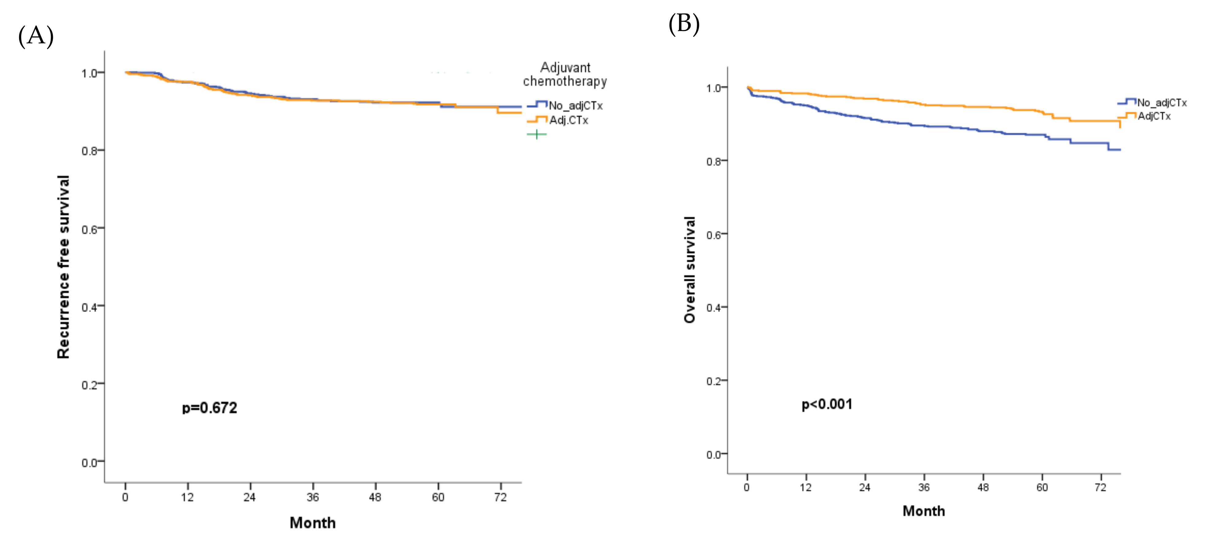
3.2. Recurrence, Oncologic Outcomes, and Associated Factors in the Overall Cohort
3.3. Changes in the Diagnosis of LVI and PNI, and Oncologic Outcomes in the Review Cohort
4. Discussion
5. Conclusions
Author Contributions
Funding
Institutional Review Board Statement
Informed Consent Statement
Data Availability Statement
Conflicts of Interest
References
- Sung, H.; Ferlay, J.; Siegel, R.L.; Laversanne, M.; Soerjomataram, I.; Jemal, A.; Bray, F. Global Cancer Statistics 2020: GLOBOCAN Estimates of Incidence and Mortality Worldwide for 36 Cancers in 185 Countries. CA Cancer J. Clin. 2021, 71, 209–249. [Google Scholar] [CrossRef] [PubMed]
- Benson, A.B.; Venook, A.P.; Al-Hawary, M.M.; Arain, M.A.; Chen, Y.-J.; Ciombor, K.K.; Cohen, S.; Cooper, H.S.; Deming, D.; Farkas, L.; et al. Colon Cancer, Version 2.2021, NCCN Clinical Practice Guidelines in Oncology. J. Natl. Compr. Cancer Netw. 2021, 19, 329–359. [Google Scholar] [CrossRef] [PubMed]
- Argilés, G.; Tabernero, J.; Labianca, R.; Hochhauser, D.; Salazar, R.; Iveson, T.; Laurent-Puig, P.; Quirke, P.; Yoshino, T.; Taieb, J.; et al. Localised colon cancer: ESMO Clinical Practice Guidelines for diagnosis, treatment and follow-up. Ann. Oncol. 2020, 31, 1291–1305. [Google Scholar] [CrossRef] [PubMed]
- Babaei, M.; Balavarca, Y.; Jansen, L.; Lemmens, V.; van Erning, F.N.; van Eycken, L.; Vaes, E.; Sjövall, A.; Glimelius, B.; Ulrich, C.M.; et al. Administration of adjuvant chemotherapy for stage II-III colon cancer patients: A European population-based study. Int. J. Cancer 2018, 142, 1480–1489. [Google Scholar] [CrossRef] [PubMed] [Green Version]
- Benson, A.B. Adjuvant chemotherapy of stage III colon cancer. Semin. Oncol. 2005, 32, 74–77. [Google Scholar] [CrossRef]
- Achilli, P.C.J.; Grass, F.; Mathis, K.L.; D’Angelo, A.D.; Abd El Aziz, M.A.; Day, C.N.; Harmsen, W.S.; Larson, D.W. Survival impact of adjuvant chemotherapy in patients with stage IIA colon cancer: Analysis of the National Cancer Database. Int. J. Cancer 2021, 148, 161–169. [Google Scholar] [CrossRef]
- Lee, M.W.; Kim, J.S.; Kim, J.Y.; Lee, K.H. Prognostic factor and survival benefit of adjuvant chemotherapy in stage IIA colon cancer. Ann. Coloproctol. 2021, 37, 35–43. [Google Scholar] [CrossRef]
- Kannarkatt, J.; Joseph, J.; Kurniali, P.C.; Al-Janadi, A.; Hrinczenko, B. Adjuvant Chemotherapy for Stage II Colon Cancer: A Clinical Dilemma. J. Oncol. Pract. 2017, 13, 233–241. [Google Scholar] [CrossRef]
- Enofe, N.; Morris, A.D.; Liu, Y.; Liang, W.; Wu, C.S.; Sullivan, P.S.; Balch, G.; Staley, C.A.; Gillespie, T.W.; Shaffer, V.O. Receipt of Adjuvant Chemotherapy in Stage II Colon Cancer and Overall Survival: A National Cancer Database Study. J. Surg. Res. 2020, 252, 69–79. [Google Scholar] [CrossRef]
- Yasuda, K.; Inomata, M.; Shiromizu, A.; Shiraishi, N.; Higashi, H.; Kitano, S. Risk Factors for Occult Lymph Node Metastasis of Colorectal Cancer Invading the Submucosa and Indications for Endoscopic Mucosal Resection. Dis. Colon Rectum 2007, 50, 1370–1376. [Google Scholar] [CrossRef]
- Nakamura, Y.; Hokuto, D.; Koyama, F.; Matsuo, Y.; Nomi, T.; Yoshikawa, T.; Kamitani, N.; Sadamitsu, T.; Takei, T.; Matsumoto, Y.; et al. The Prognosis and Recurrence Pattern of Right- and Left-Sided Colon Cancer in Stage II, Stage III, and Liver Metastasis After Curative Resection. Ann. Coloproctol. 2021, 37, 326–336. [Google Scholar] [CrossRef] [PubMed]
- Wasif, N.; Faries, M.B.; Saha, S.; Turner, R.R.; Wiese, D.; McCarter, M.D.; Shen, P.; Stojadinovic, A.; Bilchik, A.J. Predictors of occult nodal metastasis in colon cancer: Results from a prospective multicenter trial. Surgery 2010, 147, 352–357. [Google Scholar] [CrossRef] [PubMed]
- Burgart, L.J.; Kakar, S.; Shi, C.; Berho, M.E.; Driman, D.K.; Fitzgibbons, P.; Frankel, W.L.; Hill, K.A.; Jessup, J.; Krasinskas, A.M.; et al. Protocol for the Examination of Resection Specimens from Patients with Primary Carcinoma of the Colon and Rectum. 2020. Available online: https://documents.cap.org/protocols/cp-gilower-colonrectum-resection-20-4100.pdf (accessed on 10 April 2022).
- Kingston, E.F.; Goulding, H.; Bateman, A. Vascular Invasion is Underrecognized in Colorectal Cancer Using Conventional Hematoxylin and Eosin Staining. Dis. Colon Rectum 2007, 50, 1867–1872. [Google Scholar] [CrossRef] [PubMed]
- Vass, D.G.; Ainsworth, R.; Anderson, J.H.; Murray, D.; Foulis, A.K. The value of an elastic tissue stain in detecting venous invasion in colorectal cancer. J. Clin. Pathol. 2004, 57, 769–772. [Google Scholar] [CrossRef] [PubMed] [Green Version]
- Iveson, T.J.; Sobrero, A.F.; Yoshino, T.; Souglakos, I.; Ou, F.-S.; Meyers, J.P.; Shi, Q.; Grothey, A.; Saunders, M.P.; Labianca, R.; et al. Duration of Adjuvant Doublet Chemotherapy (3 or 6 months) in Patients with High-Risk Stage II Colorectal Cancer. J. Clin. Oncol. 2021, 39, 631–6411. [Google Scholar] [CrossRef] [PubMed]
- Artac, M.; Turhal, N.S.; Kocer, M.; Karabulut, B.; Bozcuk, H.; Yalcin, S.; Karaagac, M.; Gündüz, S.; Isik, N.; Uygun, K. Do high-risk features support the use of adjuvant chemotherapy in stage II colon cancer? A Turkish Oncology Group study. Tumori J. 2014, 100, 143–148. [Google Scholar] [CrossRef]
- Simillis, C.; Singh, H.K.S.I.; Afxentiou, T.; Mills, S.; Warren, O.; Smith, J.J.; Riddle, P.; Adamina, M.; Cunningham, D.; Tekkis, P.P. Postoperative chemotherapy improves survival in patients with resected high-risk Stage II colorectal cancer: Results of a systematic review and meta-analysis. Color. Dis. 2020, 22, 1231–1244. [Google Scholar] [CrossRef]
- Casadaban, L.; Rauscher, G.; Aklilu, M.; Villenes, D.; Freels, S.; Maker, A.V. Adjuvant chemotherapy is associated with improved survival in patients with stage II colon. Cancer 2016, 12, 3277–3287. [Google Scholar] [CrossRef]
- Kumar, A.; Kennecke, H.F.; Renouf, D.J.; Lim, H.J.; Gill, S.; Woods, R.; Speers, C.; Cheung, W.Y. Adjuvant chemotherapy use and outcomes of patients with high-risk versus low-risk stage II colon cancer. Cancer 2015, 121, 527–534. [Google Scholar] [CrossRef]
- Ejaz, A.; Casadaban, L.; Maker, A.V. Utilization and impact of adjuvant chemotherapy among patients with resected stage II colon cancer: A multi-institutional analysis. J. Surg. Res. 2017, 215, 12–20. [Google Scholar] [CrossRef] [Green Version]
- Lee, Y.; Park, I.; Cho, H.; Gwak, G.; Yang, K.; Bae, B.-N. Effect of Adjuvant Chemotherapy on Elderly Stage II High-Risk Colorectal Cancer Patients. Ann. Coloproctol. 2021, 37, 298–305. [Google Scholar] [CrossRef] [PubMed]
- Figueredo, A.; Charette, M.L.; Maroun, J.; Brouwers, M.C.; Zuraw, L. Adjuvant Therapy for Stage II Colon Cancer: A Systematic Review From the Cancer Care Ontario Program in Evidence-Based Care’s Gastrointestinal Cancer Disease Site Group. J. Clin. Oncol. 2004, 22, 3395–3407. [Google Scholar] [CrossRef] [PubMed]
- Yang, Y.; Yang, H.; Wang, F.; Wang, H.; Chen, Q.; Liu, Y.; Li, A.; Zhang, Q. Adjuvant chemotherapy for stage II colon cancer: Who really needs it. Cancer Manag. Res. 2018, 10, 2509–2520. [Google Scholar] [CrossRef] [PubMed] [Green Version]
- Osterman, E.; Mezheyeuski, A.; Sjöblom, T.; Glimelius, B. Beyond the NCCN Risk Factors in Colon Cancer: An Evaluation in a Swedish Population-Based Cohort. Ann. Surg. Oncol. 2020, 27, 1036–1045. [Google Scholar] [CrossRef] [PubMed]
- Zhang, C.; Yin, S.; Tan, Y.; Huang, J.; Wang, P.; Hou, W.; Zhang, Z.; Xu, H. Patient selection for adjuvant chemotherapy in high-risk stage II colon cancer: A systematic review and meta-analysis. Am. J. Clin. Oncol. 2020, 43, 279–287. [Google Scholar] [CrossRef]
- Ptok, H.; Meyer, F.; Steinert, R.; Vieth, M.; Ridwelski, K.; Lippert, H.; Gastinger, I. Study Group Colon/Rectum Carcinoma (Primary Tumor Lesion). No prognostic impact of isolated lymphovascular invasion after radical resection of rectal cancer—Results of a multicenter observational study. Int. J. Colorectal. Dis. 2007, 22, 749–756. [Google Scholar] [CrossRef]
- Maguire, A.; Sheahan, K. Controversies in the pathological assessment of colorectal cancer. World J. Gastroenterol. 2014, 20, 9850–9861. [Google Scholar] [CrossRef]
- Eom, T.; Lee, Y.; Kim, J.; Park, I.; Gwak, G.; Cho, H.; Yang, K.; Kim, K.; Bae, B.-N. Prognostic Factors Affecting Disease-Free Survival and Overall Survival in T4 Colon Cancer. Ann. Coloproctol. 2021, 37, 259–265. [Google Scholar] [CrossRef]
- Harris, E.I.; Lewin, D.N.; Wang, H.L.; Lauwers, G.Y.; Srivastava, A.; Shyr, Y.; Shakhtour, B.; Revetta, F.; Washington, M.K. Lymphovascular invasion in colorectal cancer: An interobserver variability study. Am. J. Surg. Pathol. 2008, 32, 1816–1821. [Google Scholar] [CrossRef] [Green Version]
- McClelland, D.; Murray, G.I. A comprehensive study of extramural venous invasion in colorectal cancer. PLoS ONE 2015, 10, e0144987. [Google Scholar] [CrossRef] [Green Version]
- Liang, P.; Nakada, I.; Hong, J.-W.; Tabuchi, T.; Motohashi, G.; Takemura, A.; Nakachi, T.; Kasuga, T.; Tabuchi, T. Prognostic Significance of Immunohistochemically Detected Blood and Lymphatic Vessel Invasion in Colorectal Carcinoma: Its Impact on Prognosis. Ann. Surg. Oncol. 2007, 14, 470–477. [Google Scholar] [CrossRef] [PubMed]
- Fujii, T.; Sutoh, T.; Morita, H.; Yajima, R.; Yamaguchi, S.; Tsutsumi, S.; Asao, T.; Kuwano, H. Vascular invasion, but not lymphatic invasion, of the primary tumor is a strong prognostic factor in patients with colorectal cancer. Anticancer Res. 2014, 34, 3147–3151. [Google Scholar] [PubMed]
- van Wyk, H.C.; Roxburgh, C.S.; Horgan, P.G.; Foulis, A.F.; McMillan, D.C. The detection and role of lymphatic and blood vessel invasion in predicting survival in patients with node negative operable primary colorectal cancer. Crit. Rev. Oncol. 2014, 90, 77–90. [Google Scholar] [CrossRef] [PubMed]
- Betge, J.; Pollheimer, M.J.; Lindtner, R.A.; Kornprat, P.; Schlemmer, A.; Rehak, P.; Vieth, M.; Hoefler, G.; Langner, C. Intramural and extramural vascular invasion in colorectal cancer: Prognostic significance and quality of pathology reporting. Cancer 2012, 118, 628–638. [Google Scholar] [CrossRef]
- Knijn, N.; Mogk, S.C.; Teerenstra, S.; Simmer, F.; Nagtegaal, I.D. Perineural invasion is a strong prognostic factor in colorectal cancer: A systematic review. Am. J. Surg. Pathol. 2016, 40, 103–112. [Google Scholar] [CrossRef] [PubMed]
- Yang, Y.; Huang, X.; Sun, J.; Gao, P.; Song, Y.; Chen, X.; Zhao, J.; Wang, Z. Prognostic Value of Perineural Invasion in Colorectal Cancer: A Meta-Analysis. J. Gastrointest. Surg. 2015, 19, 1113–1122. [Google Scholar] [CrossRef] [PubMed]




| Overall Cohort (n = 1634) | Review Cohort (n = 242) | |
|---|---|---|
| Age, mean ± SD, years | 63 ± 12 | 62 ± 12 |
| Sex | ||
| Male | 971 (59.6) | 136 (56.2) |
| Female | 663 (40.4) | 106 (43.8) |
| Location | ||
| Colon | 1166 (71.4) | 172 (71.1) |
| Rectum | 468 (28.6) | 70 (28.9) |
| Histologic differentiation | ||
| Well, moderately | 1520 (93.0) | 224 (92.6) |
| Poorly, mucinous, signet-ring cell | 53 (3.3) | 7 (2.9) |
| Unknown | 61 (3.7) | 11 (4.5) |
| Number of harvested LN, mean ± SD | 27 ± 11 | 28 ± 13 |
| <12 LN harvested | 17 (1.2) | 5 (2.1) |
| Lymphovascular invasion | 382 (23.4) | 26 (23.1) |
| Perineural invasion | 269 (16.5) | 31 (12.8) |
| Preoperative obstruction | 437 (26.7) | 82 (33.9) |
| Involved resection margin | 22 (1.3) | 6 (2.5) |
| MSI status | ||
| MSS | 1292 (79.1) | 199 (82.2) |
| MSI-L | 62 (3.8) | 0 |
| MSI-H | 169 (10.3) | 27 (11.2) |
| Unknown | 111 (6.8) | 16 (6.6) |
| Addition of adjuvant chemotherapy | 772 (47.2) | 127 (52.5) |
| Follow up duration, mean ± SD, months | 59 ± 23 | 61 ± 23 |
| Adjuvant Chemotherapy (n = 772) | No Adjuvant Chemotherapy (n = 853) | p Value | |
|---|---|---|---|
| Age, mean ± SD, years | 59 ± 10 | 67 ± 11 | <0.001 |
| Sex | |||
| Male | 468 (60.7) | 496 (58.2) | |
| Female | 304 (39.3) | 357 (41.8) | |
| Location | <0.001 | ||
| Colon | 492 (63.7) | 664 (77.8) | |
| Rectum | 280 (36.3) | 189 (22.2) | |
| Poorly differentiated | 29 (3.8) | 20 (2.3) | 0.116 |
| <12 LN harvested | 6 (0.8) | 11 (1.3) | 0.311 |
| Lymphovascular invasion | 280 (36.3) | 104 (12.2) | <0.001 |
| Perineural invasion | 176 (22.8) | 95 (11.1) | <0.001 |
| Preoperative obstruction | 236 (30.6) | 199 (23.3) | 0.001 |
| Involved resection margin | 12 (1.6) | 10 (1.2) | 0.506 |
| MSI-H | 73 (9.5) | 95 (11.1) | 0.128 |
| No. of high-risk features | <0.001 | ||
| No | 245 (31.7) | 528 (61.9) | |
| 1 | 351 (45.5) | 238 (27.9) | |
| ≥2 | 176 (22.8) | 87 (10.2) |
| Variables | RFS | OS | ||||||||
|---|---|---|---|---|---|---|---|---|---|---|
| Univariate | Multivariate | Univariate | Multivariate | |||||||
| HR | p-Value | HR | 95% CI | p Value | HR | p Value | HR | 95% CI | p Value | |
| Age | 1.026 | 0.003 | 1.203 | 1.0078–1.041 | 0.006 | 1.096 | <0.001 | 1.086 | 1.066–1.06 | <0.001 |
| Adjuvant chemotherapy | 0.932 | 0.593 | 0.518 | <0.001 | 0.808 | 0.576–1.134 | 0.218 | |||
| LVI | 1.49 | 0.067 | 1.157 | 0.762–1.756 | 0.494 | 1.191 | 0.341 | |||
| PNI | 2.380 | <0.001 | 2.737 | 1.827–4.099 | <0.001 | 2.254 | <0.001 | 2.136 | 1.499–3.043 | <0.001 |
| <12 LN harvested | 0.860 | 0.990 | 2.892 | 0.036 | 2.095 | 0.772–5.881 | 0.146 | |||
| Obstruction | 1.666 | 0.008 | 1.602 | 1.096–2.343 | 0.015 | 1.673 | 0.002 | 1.580 | 1.133–2.203 | 0.007 |
| PD | 0.999 | 0.987 | 1.091 | 0.011 | 1.099 | 1.027–1.176 | 0.006 | |||
| Margin (+) | 4.705 | 0.001 | 5.399 | 2.176–13.399 | <0.001 | 2.723 | 0.048 | 3.1 | 1.139–8.439 | 0.027 |
| Before the Review | Total, n (%) | |||
|---|---|---|---|---|
| LVI− | LVI+ | |||
| rLVI (SVI + LVI + LaVI) after the review | rLVI− | 118 (48.8) | 15 (6.2) | 133 (55) |
| rLVI+ | 67 (27.7) | 42 (17.4) | 109 (45) | |
| rPNI after the review | PNI− | PNI+ | ||
| rPNI− | 154 (63.6) | 5 (2.1) | 159 (65.7) | |
| rPNI+ | 56 (23.1) | 27 (11.2) | 83 (34.3) | |
| Variables | RFS | OS | |||||
|---|---|---|---|---|---|---|---|
| Univariate | Univariate | Multivariate | |||||
| HR | p Value | HR | p Value | HR | 95% CI | p Value | |
| Age | 1.017 | 0.503 | 1.074 | 0.002 | 1.074 | 1.026–1.123 | 0.002 |
| Adjuvant chemotherapy | 1.052 | 0.814 | 0.749 | 0.467 | |||
| rLVI | 3.859 | 0.043 | 1.520 | 0.377 | |||
| rPNI | 1.958 | 0.245 | 3.015 | 0.022 | 2.579 | 0.994–6.694 | 0.051 |
| <12 LN harvested | 0.048 | 0.759 | 0.049 | 0.714 | |||
| Obstruction | 1.519 | 0.477 | 2.953 | 0.023 | 3.412 | 327–8.772 | 0.011 |
| PD | 0.668 | 0.635 | 1.023 | 0.846 | |||
| Margin (+) | 3.279 | 0.25 | 2.332 | 0.411 | |||
Publisher’s Note: MDPI stays neutral with regard to jurisdictional claims in published maps and institutional affiliations. |
© 2022 by the authors. Licensee MDPI, Basel, Switzerland. This article is an open access article distributed under the terms and conditions of the Creative Commons Attribution (CC BY) license (https://creativecommons.org/licenses/by/4.0/).
Share and Cite
Lee, H.; Yoo, S.-Y.; Park, I.J.; Hong, S.-M.; Lim, S.-B.; Yu, C.S.; Kim, J.C. The Prognostic Reliability of Lymphovascular Invasion for Patients with T3N0 Colorectal Cancer in Adjuvant Chemotherapy Decision Making. Cancers 2022, 14, 2833. https://doi.org/10.3390/cancers14122833
Lee H, Yoo S-Y, Park IJ, Hong S-M, Lim S-B, Yu CS, Kim JC. The Prognostic Reliability of Lymphovascular Invasion for Patients with T3N0 Colorectal Cancer in Adjuvant Chemotherapy Decision Making. Cancers. 2022; 14(12):2833. https://doi.org/10.3390/cancers14122833
Chicago/Turabian StyleLee, Hayoung, Seung-Yeon Yoo, In Ja Park, Seung-Mo Hong, Seok-Byung Lim, Chang Sik Yu, and Jin Cheon Kim. 2022. "The Prognostic Reliability of Lymphovascular Invasion for Patients with T3N0 Colorectal Cancer in Adjuvant Chemotherapy Decision Making" Cancers 14, no. 12: 2833. https://doi.org/10.3390/cancers14122833
APA StyleLee, H., Yoo, S.-Y., Park, I. J., Hong, S.-M., Lim, S.-B., Yu, C. S., & Kim, J. C. (2022). The Prognostic Reliability of Lymphovascular Invasion for Patients with T3N0 Colorectal Cancer in Adjuvant Chemotherapy Decision Making. Cancers, 14(12), 2833. https://doi.org/10.3390/cancers14122833

