Imaging Modalities for Early Detection of Pancreatic Cancer: Current State and Future Research Opportunities
Abstract
:Simple Summary
Abstract
1. Introduction
2. High-Risk Groups Relevant for PDAC Early Detection
2.1. Familial PDAC
2.2. Inherited Cancer Predisposition Syndromes
2.3. Pancreatic Cystic Lesions
2.4. Newly Onset Diabetes Mellitus
2.5. Pancreatitis
3. Screening for PDAC
Current Guidelines for Screening Programs
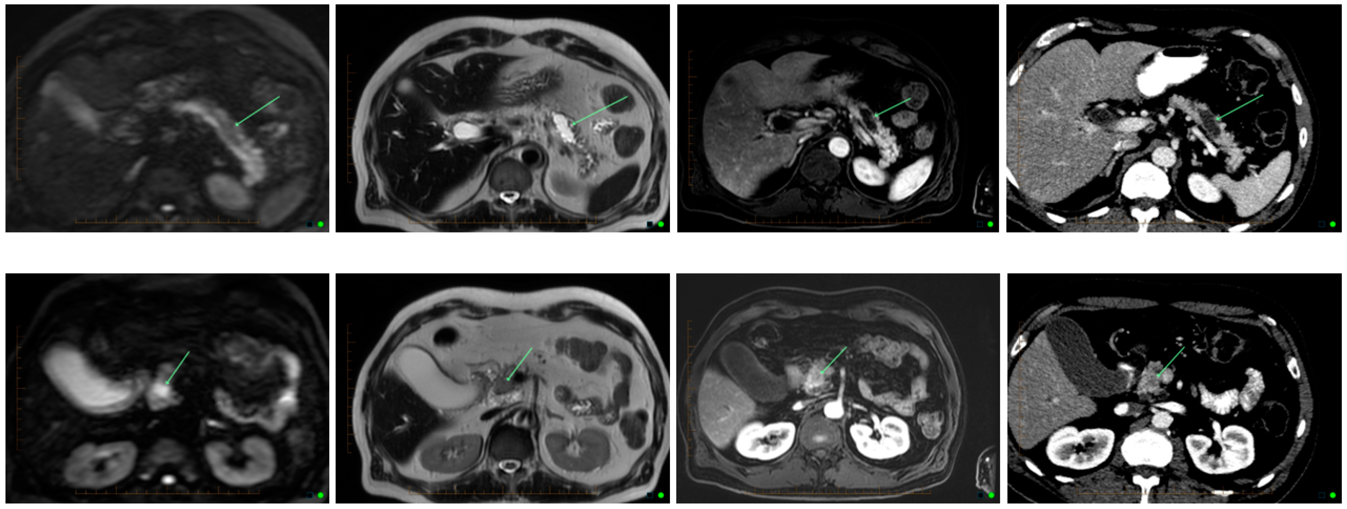
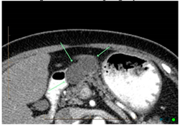
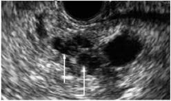
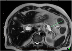
4. Traditional Imaging Modalities for Pancreatic Cancer Detection
5. Novel Uses and Techniques for Imaging of PDAC
5.1. Diffusion Weighted Imaging
5.2. Dynamic Contrast Enhanced MRI
5.3. Hyperpolarised MRI
5.4. MR Elastography
5.5. Multidetector CT
5.6. Nanomaterials and Molecular Imaging for Advancing Pancreatic Cancer Imaging
5.7. Radiomics and Artificial Intelligence-Assisted Methods
6. Summary and Strategies for the Future
Author Contributions
Funding
Conflicts of Interest
References
- Bray, F.; Ferlay, J.; Soerjomataram, I.; Siegel, R.L.; Torre, L.A.; Jemal, A. Global cancer statistics 2018: GLOBOCAN estimates of incidence and mortality worldwide for 36 cancers in 185 countries. CA Cancer J. Clin. 2018, 68, 394–424. [Google Scholar] [CrossRef] [PubMed] [Green Version]
- Arnold, M.; Rutherford, M.J.; Bardot, A.; Ferlay, J.; Andersson, T.M.-L.; Myklebust, T.A.; Tervonen, H.; Thursfield, V.; Ransom, D.; Shack, L.; et al. Progress in cancer survival, mortality, and incidence in seven high-income countries 1995-2014 (ICBP SURVMARK-2): A population-based study. Lancet Oncol. 2019, 20, 1493–1505. [Google Scholar] [CrossRef] [Green Version]
- Brand, R. The diagnosis of pancreatic cancer. Cancer J. 2001, 7, 287–297. [Google Scholar] [PubMed]
- Lucas, A.L.; Kastrinos, F. Screening for Pancreatic Cancer. JAMA 2019, 322, 407–408. [Google Scholar] [CrossRef] [PubMed] [Green Version]
- Diaz, K.E.; Lucas, A.L. Familial Pancreatic Ductal Adenocarcinoma. Am. J. Pathol. 2019, 189, 36–43. [Google Scholar] [CrossRef] [Green Version]
- Carmicheal, J.; Patel, A.; Dalal, V.; Atri, P.; Dhaliwal, A.S.; Wittel, U.A.; Malafa, M.P.; Talmon, G.; Swanson, B.J.; Singh, S.; et al. Elevating pancreatic cystic lesion stratification: Current and future pancreatic cancer biomarker(s). Biochim. Biophys. Acta 2019, 1873, 188318. [Google Scholar] [CrossRef] [PubMed]
- Andersen, D.K.; Korc, M.; Petersen, G.M.; Eibl, G.; Li, D.; Rickels, M.R.; Chari, S.T.; Abbruzzese, J.L. Diabetes, Pancreatogenic Diabetes, and Pancreatic Cancer. Diabetes 2017, 66, 1103–1110. [Google Scholar] [CrossRef] [Green Version]
- Hao, L.; Zeng, X.-P.; Xin, L.; Wang, D.; Pan, J.; Bi, Y.-W.; Ji, J.-T.; Du, T.-T.; Lin, J.-H.; Zhang, D.; et al. Incidence of and risk factors for pancreatic cancer in chronic pancreatitis: A cohort of 1656 patients. Dig. Liver Dis. 2017, 49, 1249–1256. [Google Scholar] [CrossRef]
- Goggins, M.; Overbeek, K.A.; Brand, R.; Syngal, S.; Del Chiaro, M.; Bartsch, D.K.; Bassi, C.; Carrato, A.; Farrell, J.; Fishman, E.K.; et al. Management of patients with increased risk for familial pancreatic cancer: Updated recommendations from the International Cancer of the Pancreas Screening (CAPS) Consortium. Gut 2019, 69, 7–17. [Google Scholar] [CrossRef] [Green Version]
- Hahn, S.A.; Greenhalf, B.; Ellis, I.; Sina-Frey, M.; Rieder, H.; Korte, B.; Gerdes, B.; Kress, R.; Ziegler, A.; Raeburn, J.A.; et al. BRCA2 Germline Mutations in Familial Pancreatic Carcinoma. JNCI J. Natl. Cancer Inst. 2003, 95, 214–221. [Google Scholar] [CrossRef]
- Slater, E.P.; Langer, P.; Niemczyk, E.; Strauch, K.; Butler, J.; Habbe, N.; Neoptolemos, J.; Greenhalf, W.; Bartsch, D. PALB2 mutations in European familial pancreatic cancer families. Clin. Genet. 2010, 78, 490–494. [Google Scholar] [CrossRef]
- Mukherjee, B.; DeLancey, J.O.; Raskin, L.; Everett, J.; Jeter, J.; Begg, C.B.; Orlow, I.; Berwick, M.; Armstrong, B.K.; Kricker, A.; et al. Risk of Non-Melanoma Cancers in First-Degree Relatives of CDKN2A Mutation Carriers. JNCI J. Natl. Cancer Inst. 2012, 104, 953–956. [Google Scholar] [CrossRef] [PubMed]
- Hu, C.; Hart, S.N.; Polley, E.C.; Gnanaolivu, R.; Shimelis, H.; Lee, K.Y.; Lilyquist, J.; Na, J.; Moore, R.; Antwi, S.O.; et al. Association Between Inherited Germline Mutations in Cancer Predisposition Genes and Risk of Pancreatic Cancer. JAMA 2018, 319, 2401–2409. [Google Scholar] [CrossRef] [PubMed]
- Fernandez, E.; La Vecchia, C.; D’Avanzo, B.; Negri, E.; Franceschi, S. Family history and the risk of liver, gallbladder, and pancreatic cancer. Cancer Epidemiol. Biomark. Prev. 1994, 3, 209–212. [Google Scholar]
- Brune, K.A.; Lau, B.; Palmisano, E.; Canto, M.; Goggins, M.G.; Hruban, R.H.; Klein, A.P. Importance of Age of Onset in Pancreatic Cancer Kindreds. JNCI J. Natl. Cancer Inst. 2010, 102, 119–126. [Google Scholar] [CrossRef] [Green Version]
- Mukewar, S.S.; Sharma, A.; Phillip, N.; Gupta, R.; Aryal-Khanal, A.; de Pretis, N.; Anani, V.; Enders, F.T.; Larson, J.J.; Takahashi, N.; et al. Risk of Pancreatic Cancer in Patients With Pancreatic Cysts and Family History of Pancreatic Cancer. Clin. Gastroenterol. Hepatol. 2018, 16, 1123–1130.e1. [Google Scholar] [CrossRef]
- Hruban, R.H.; Canto, M.I.; Goggins, M.; Schulick, R.; Klein, A.P. Update on Familial Pancreatic Cancer. Adv. Surg. 2010, 44, 293–311. [Google Scholar] [CrossRef] [PubMed] [Green Version]
- Klein, A.P. Genetic susceptibility to pancreatic cancer. Mol. Carcinog. 2011, 51, 14–24. [Google Scholar] [CrossRef] [PubMed] [Green Version]
- Goldstein, A.M.; Chan, M.; Harland, M.; Hayward, N.K.; Demenais, F.; Bishop, D.T.; Azizi, E.; Bergman, W.; Scarrà, G.B.; Bruno, W.; et al. Features associated with germline CDKN2A mutations: A GenoMEL study of melanoma-prone families from three continents. J. Med. Genet. 2006, 44, 99–106. [Google Scholar] [CrossRef]
- Vasen, H.F.; A Gruis, N.; Frants, R.R.; A Van Der Velden, P.; Hille, E.T.; Bergman, W. Risk of developing pancreatic cancer in families with familial atypical multiple mole melanoma associated with a specific 19 deletion of p16 (p16-Leiden). Int. J. Cancer 2000, 87, 809–811. [Google Scholar] [CrossRef]
- Van Asperen, C.J.; Brohet, R.M.; Meijers-Heijboer, E.J.; Hoogerbrugge, N.; Verhoef, S.; A Vasen, H.F.; Ausems, M.G.E.M.; Menko, F.H.; Garcia, E.B.G.; Klijn, J.G.M.; et al. Cancer risks in BRCA2 families: Estimates for sites other than breast and ovary. J. Med. Genet. 2005, 42, 711–719. [Google Scholar] [CrossRef] [PubMed] [Green Version]
- Moran, A.; O’Hara, C.; Khan, S.; Shack, L.; Woodward, E.R.; Maher, E.; Lalloo, F.; Evans, D.G.R. Risk of cancer other than breast or ovarian in individuals with BRCA1 and BRCA2 mutations. Fam. Cancer 2012, 11, 235–242. [Google Scholar] [CrossRef] [PubMed]
- Kastrinos, F.; Mukherjee, B.; Tayob, N.; Wang, F.; Sparr, J.; Raymond, V.M.; Bandipalliam, P.; Stoffel, E.M.; Gruber, S.B.; Syngal, S. Risk of Pancreatic Cancer in Families With Lynch Syndrome. JAMA 2009, 302, 1790–1795. [Google Scholar] [CrossRef]
- Hruban, R.H.; Takaori, K.; Klimstra, D.S.; Adsay, V.; Albores-Saavedra, J.; Biankin, A.; A Biankin, S.; Compton, C.; Fukushima, N.; Furukawa, T.; et al. An Illustrated Consensus on the Classification of Pancreatic Intraepithelial Neoplasia and Intraductal Papillary Mucinous Neoplasms. Am. J. Surg. Pathol. 2004, 28, 977–987. [Google Scholar] [CrossRef] [PubMed]
- Lévy, P.; Jouannaud, V.; O’Toole, D.; Couvelard, A.; Vullierme, M.P.; Palazzo, L.; Aubert, A.; Ponsot, P.; Sauvanet, A.; Maire, F. Natural History of Intraductal Papillary Mucinous Tumors of the Pancreas: Actuarial Risk of Malignancy. Clin. Gastroenterol. Hepatol. 2006, 4, 460–468. [Google Scholar] [CrossRef]
- Kim, T.H.; Song, T.J.; Hwang, J.-H.; Yoo, K.-S.; Lee, W.-J.; Lee, K.-H.; Dong, S.-H.; Park, C.-H.; Park, E.-T.; Moon, J.H.; et al. Predictors of malignancy in pure branch duct type intraductal papillary mucinous neoplasm of the pancreas: A nationwide multicenter study. Pancreatology 2015, 15, 405–410. [Google Scholar] [CrossRef] [PubMed]
- Canto, M.I.; Hruban, R.H.; Fishman, E.K.; Kamel, I.R.; Schulick, R.; Zhang, Z.; Topazian, M.; Takahashi, N.; Fletcher, J.; Petersen, G.; et al. Frequent Detection of Pancreatic Lesions in Asymptomatic High-Risk Individuals. Gastroenterology 2012, 142, 796–804. [Google Scholar] [CrossRef] [Green Version]
- Vege, S.S.; Ziring, B.; Jain, R.; Moayyedi, P.; Adams, M.A.; Dorn, S.D.; Dudley-Brown, S.L.; Flamm, S.L.; Gellad, Z.F.; Gruss, C.B.; et al. American gastroenterological association institute guideline on the diagnosis and management of asymptomatic neoplastic pancreatic cysts. Gastroenterology 2015, 148, 819–822. [Google Scholar]
- Canto, M.I.; Harinck, F.; Hruban, R.H.; Offerhaus, G.J.; Poley, J.-W.; Kamel, I.; Nio, Y.; Schulick, R.S.; Bassi, C.; Kluijt, I.; et al. International Cancer of the Pancreas Screening (CAPS) Consortium summit on the management of patients with increased risk for familial pancreatic cancer. Gut 2012, 62, 339–347. [Google Scholar] [CrossRef]
- The European Study Group on Cystic Tumours of the Pancreas. European evidence-based guidelines on pancreatic cystic neoplasms. Gut 2018, 67, 789–804. [Google Scholar] [CrossRef]
- Singhi, A.D.; Koay, E.J.; Chari, S.T.; Maitra, A. Early Detection of Pancreatic Cancer: Opportunities and Challenges. Gastroenterology 2019, 156, 2024–2040. [Google Scholar] [CrossRef] [PubMed] [Green Version]
- Ben, Q.; Xu, M.; Ning, X.; Liu, J.; Hong, S.; Huang, W.; Zhang, H.; Li, Z. Diabetes mellitus and risk of pancreatic cancer: A meta-analysis of cohort studies. Eur. J. Cancer 2011, 47, 1928–1937. [Google Scholar] [CrossRef] [PubMed]
- Munigala, S.; Kanwal, F.; Xian, H.; Scherrer, J.; Agarwal, B. Increased Risk of Pancreatic Adenocarcinoma After Acute Pancreatitis. Clin. Gastroenterol. Hepatol. 2014, 12, 1143–1150.e1. [Google Scholar] [CrossRef] [PubMed]
- Tong, G.X.; Geng, Q.-Q.; Chai, J.; Cheng, J.; Chen, P.-L.; Liang, H.; Shen, X.-R.; Wang, D.-B. Association Between Pancreatitis and Subsequent Risk of Pancreatic Cancer: A Systematic Review of Epidemiological Studies. Asian Pac. J. Cancer Prev. 2014, 15, 5029–5034. [Google Scholar] [CrossRef] [PubMed] [Green Version]
- Maes, B.; Hastier, P.; Buckley, M.J.; Peten, E.P.; Paolini, O.; Staccini, P.; Conio, M.; Caroli-Bosc, F.-X.; Demarquay, J.F.; Dumas, R.; et al. Extensive aetiological investigations in acute pancreatitis: Results of a 1-year prospective study. Eur. J. Gastroenterol. Hepatol. 1999, 11, 891–896. [Google Scholar] [CrossRef]
- Chang, M.C.; Su, C.-H.; Sun, M.-S.; Huang, S.-C.; Chiu, C.-T.; Chen, M.-C.; Lee, K.-T.; Lin, C.-C.; Lin, J.-T. Etiology of acute pancreatitis—A multi-center study in Taiwan. Hepatogastroenterology 2003, 50, 1655–1657. [Google Scholar] [PubMed]
- Gislason, H.; Horn, A.; Hoem, D.; Andrén-Sandberg; Imsland, A.K.; Søreide, O.; Viste, A. Acute Pancreatitis in Bergen, Norway. Scand. J. Surg. 2004, 93, 29–33. [Google Scholar] [CrossRef] [Green Version]
- Duell, E.J.; Casella, D.P.; Burk, R.D.; Kelsey, K.T.; Holly, E.A. Inflammation, genetic polymorphisms in proinflammatory genes TNF-A, RANTES, and CCR5, and risk of pancreatic adenocarcinoma. Cancer Epidemiol. Biomark. Prev. 2006, 15, 726–731. [Google Scholar] [CrossRef] [Green Version]
- Lowenfels, A.B.; Maisonneuve, P.; Cavallini, G.; Ammann, R.W.; Lankisch, P.G.; Andersen, J.R.; DiMagno, E.P.; Andren-Sandberg, A.; Domellof, L. Pancreatitis and the Risk of Pancreatic Cancer. N. Engl. J. Med. 1993, 328, 1433–1437. [Google Scholar] [CrossRef]
- Raimondi, S.; Lowenfels, A.B.; Morselli/labate, A.M.; Maisonneuve, P.; Pezzilli, R. Pancreatic cancer in chronic pancreatitis; aetiology, incidence, and early detection. Best Pract. Res. Clin. Gastroenterol. 2010, 24, 349–358. [Google Scholar] [CrossRef]
- Kirkegård, J.; Mortensen, F.V.; Cronin-Fenton, D. Chronic Pancreatitis and Pancreatic Cancer Risk: A Systematic Review and Meta-analysis. Am. J. Gastroenterol. 2017, 112, 1366–1372. [Google Scholar] [CrossRef] [Green Version]
- Masamune, A.; Kikuta, K.; Hamada, S.; Nakano, E.; Kume, K.; Inui, A.; Shimizu, T.; Takeyama, Y.; Nio, M.; Shimosegawa, T. Nationwide survey of hereditary pancreatitis in Japan. J. Gastroenterol. 2017, 53, 152–160. [Google Scholar] [CrossRef] [PubMed]
- Canto, M.I.; Almario, J.A.; Schulick, R.D.; Yeo, C.J.; Klein, A.; Blackford, A.; Shin, E.J.; Sanyal, A.; Yenokyan, G.; Lennon, A.M.; et al. Risk of Neoplastic Progression in Individuals at High Risk for Pancreatic Cancer Undergoing Long-term Surveillance. Gastroenterology 2018, 155, 740–751.e2. [Google Scholar] [CrossRef] [PubMed] [Green Version]
- Lu, C.; Xu, C.-F.; Wan, X.-Y.; Zhu, H.-T.; Yu, C.-H.; Li, Y.-M. Screening for pancreatic cancer in familial high-risk individuals: A systematic review. World J. Gastroenterol. 2015, 21, 8678–8686. [Google Scholar] [CrossRef] [PubMed]
- Del Chiaro, M.; Verbeke, C.S.; Kartalis, N.; Mucelli, R.P.; Gustafsson, P.; Hansson, J.; Haas, S.L.; Segersvärd, R.; Andren-Sandberg; Löhr, M. Short-term Results of a Magnetic Resonance Imaging–Based Swedish Screening Program for Individuals at Risk for Pancreatic Cancer. JAMA Surg. 2015, 150, 512–518. [Google Scholar] [CrossRef] [Green Version]
- Dwarte, T.; McKay, S.; Johns, A.; Tucker, K.; Spigelman, A.D.; Williams, D.; Stoita, A. Genetic counselling and personalised risk assessment in the Australian pancreatic cancer screening program. Hered. Cancer Clin. Pract. 2019, 17, 30. [Google Scholar] [CrossRef] [PubMed] [Green Version]
- Li, J.H.; He, R.; Li, Y.-M.; Cao, G.; Ma, Q.-Y.; Yang, W.-B. Endoscopic Ultrasonography for Tumor Node Staging and Vascular Invasion in Pancreatic Cancer: A Meta-Analysis. Dig. Surg. 2014, 31, 297–305. [Google Scholar] [CrossRef]
- Koay, E.J.; Lee, Y.; Cristini, V.; Lowengrub, J.S.; Kang, Y.; Lucas, F.A.S.; Hobbs, B.P.; Ye, R.; Elganainy, D.; Almahariq, M.; et al. A Visually Apparent and Quantifiable CT Imaging Feature Identifies Biophysical Subtypes of Pancreatic Ductal Adenocarcinoma. Clin. Cancer Res. 2018, 24, 5883–5894. [Google Scholar] [CrossRef] [Green Version]
- Puli, S.R.; Bechtold, M.L.; Buxbaum, J.L.; Eloubeidi, M.A. How good is endoscopic ultrasound-guided fine-needle aspiration in diagnosing the correct etiology for a solid pancreatic mass? A meta-analysis and systematic review. Pancreas 2013, 42, 20–26. [Google Scholar] [CrossRef]
- Ardengh, J.C.; Lopes, L.F.P.D.L.S.V.; De Lima, L.F.P.; De Oliveira, J.R.; Venco, G.C.S.L.; Santo, G.C.; Módena, J.L.P. Diagnosis of pancreatic tumors by endoscopic ultrasound-guided fine-needle aspiration. World J. Gastroenterol. 2007, 13, 3112–3116. [Google Scholar] [CrossRef]
- Wiersema, M.J.; Vilmann, P.; Giovannini, M.; Chang, K.J. Endosonography-guided fine-needle aspiration biopsy: Diagnostic accuracy and complication assessment. Gastroenterology 1997, 112, 1087–1095. [Google Scholar] [CrossRef]
- Toft, J.; Hadden, W.J.; Laurence, J.M.; Lam, V.; Yuen, L.; Janssen, A.; Pleass, H. Imaging modalities in the diagnosis of pancreatic adenocarcinoma: A systematic review and meta-analysis of sensitivity, specificity and diagnostic accuracy. Eur. J. Radiol. 2017, 92, 17–23. [Google Scholar] [CrossRef] [PubMed]
- Arnone, A.; Laudicella, R.; Caobelli, F.; Guglielmo, P.; Spallino, M.; Abenavoli, E.; Martini, A.; Filice, R.; Comis, A.; Cuzzocrea, M.; et al. Clinical Impact of 18F-FDG PET/CT in the Diagnostic Workup of Pancreatic Ductal Adenocarcinoma: A Systematic Review. Diagnostics 2020, 10, 1042. [Google Scholar] [CrossRef] [PubMed]
- Hess, S.; Bjerring, O.S.; Pfeiffer, P.; Høilund-Carlsen, P.F. Personalized Clinical Decision Making in Gastrointestinal Malignancies: The Role of PET. PET Clin. 2016, 11, 273–283. [Google Scholar] [CrossRef] [PubMed]
- Bjerring, O.S.; Fristrup, C.W.; Pfeiffer, P.; Lundell, L.; Mortensen, M.B. Phase II randomized clinical trial of endosonography and PET/CT versus clinical assessment only for follow-up after surgery for upper gastrointestinal cancer (EUFURO study). Br. J. Surg. 2019, 106, 1761–1768. [Google Scholar] [CrossRef]
- Bjerregaard, J.K.; Fischer, B.M.; Vilstrup, M.H.; Petersen, H.; Mortensen, M.B.; Hansen, C.R.; Asmussen, J.T.; Pfeiffer, P.; Høilund-Carlsen, P.F. Feasibility of FDG-PET/CT imaging during concurrent chemo-radiotherapy in patients with locally advanced pancreatic cancer. Acta Oncol. 2011, 50, 1250–1252. [Google Scholar] [CrossRef]
- Gangi, S.; Fletcher, J.G.; Nathan, M.A.; Christensen, J.A.; Harmsen, W.S.; Crownhart, B.S.; Chari, S.T. Time Interval Between Abnormalities Seen on CT and the Clinical Diagnosis of Pancreatic Cancer: Retrospective Review of CT Scans Obtained Before Diagnosis. Am. J. Roentgenol. 2004, 182, 897–903. [Google Scholar] [CrossRef]
- Kamisawa, T.; Takuma, K.; Anjiki, H.; Egawa, N.; Hata, T.; Kurata, M.; Honda, G.; Tsuruta, K.; Suzuki, M.; Kamata, N.; et al. Differentiation of Autoimmune Pancreatitis From Pancreatic Cancer by Diffusion-Weighted MRI. Am. J. Gastroenterol. 2010, 105, 1870–1875. [Google Scholar] [CrossRef]
- Kamisawa, T.; Chen, P.-Y.; Tu, Y.; Nakajima, H.; Egawa, N.; Tsuruta, K.; Okamoto, A.; Kamata, N. MRCP and MRI findings in 9 patients with autoimmune pancreatitis. World J. Gastroenterol. 2006, 12, 2919–2922. [Google Scholar] [CrossRef]
- Zhu, S.; Wang, W.-T.; Shang, X.-S.; Ni, T.; Wu, W.-C.; Lou, W.-H.; Zeng, M.-S.; Rao, S.-X. Difference analysis in prevalence of incidental pancreatic cystic lesions between computed tomography and magnetic resonance imaging. BMC Med. Imaging 2019, 19, 43. [Google Scholar] [CrossRef] [Green Version]
- Zhu, S.; Wang, W.-T.; Wu, W.-C.; Lou, W.-H.; Zeng, M.-S.; Rao, S.-X. Magnetic resonance morphologic features predict progression of incidental pancreatic cystic lesions during follow-up. Diagn. Interv. Radiol. 2020, 26, 396–402. [Google Scholar] [CrossRef] [PubMed]
- Messina, C.; Bignone, R.; Bruno, A.; Bruno, A.; Bruno, F.; Calandri, M.; Caruso, D.; Coppolino, P.; De Robertis, R.; Gentili, F.; et al. Diffusion-Weighted Imaging in Oncology: An Update. Cancers 2020, 12, 1493. [Google Scholar] [CrossRef]
- Kartalis, N. CT and MRI of pancreatic cancer: There is no rose without a thorn! Eur. Radiol. 2018, 28, 3482–3483. [Google Scholar] [CrossRef] [PubMed] [Green Version]
- De Robertis, R.; Cardobi, N.; Ortolani, S.; Martini, P.T.; Stemmer, A.; Grimm, R.; Gobbo, S.; Butturini, G.; D’Onofrio, M. Intravoxel incoherent motion diffusion-weighted MR imaging of solid pancreatic masses: Reliability and usefulness for characterization. Abdom. Radiol. 2018, 44, 131–139. [Google Scholar] [CrossRef]
- De Robertis, R.; Martini, P.T.; Demozzi, E.; Corso, F.D.; Bassi, C.; Pederzoli, P.; D’Onofrio, M. Diffusion-weighted imaging of pancreatic cancer. World J. Radiol. 2015, 7, 319–328. [Google Scholar] [CrossRef] [PubMed]
- Granata, V.; Fusco, R.; Sansone, M.; Grassi, R.; Maio, F.; Palaia, R.; Tatangelo, F.; Botti, G.; Grimm, R.; Curley, S.; et al. Magnetic resonance imaging in the assessment of pancreatic cancer with quantitative parameter extraction by means of dynamic contrast-enhanced magnetic resonance imaging, diffusion kurtosis imaging and intravoxel incoherent motion diffusion-weighted imaging. Ther. Adv. Gastroenterol. 2020, 13, 1756284819885052. [Google Scholar]
- Le Bihan, D. What can we see with IVIM MRI? Neuroimage 2019, 187, 56–67. [Google Scholar] [CrossRef]
- Zhu, M.; Zhang, C.; Yan, J.; Sun, J.; Zhao, X.; Zhang, L.; Yin, L. Accuracy of quantitative diffusion-weighted imaging for differentiating benign and malignant pancreatic lesions: A systematic review and meta-analysis. Eur. Radiol. 2021, 31, 7746–7759. [Google Scholar] [CrossRef]
- Muz, B.; de la Puente, P.; Azab, F.; Azab, A.K. The role of hypoxia in cancer progression, angiogenesis, metastasis, and resistance to therapy. Hypoxia 2015, 3, 83–92. [Google Scholar] [CrossRef] [Green Version]
- Petrova, V.; Annicchiarico-Petruzzelli, M.; Melino, G.; Amelio, I. The hypoxic tumour microenvironment. Oncogenesis 2018, 7, 10. [Google Scholar] [CrossRef]
- Gaustad, J.V.; Hauge, A.; Wegner, C.S.; Simonsen, T.G.; Lund, K.V.; Hansem, L.M.K.; Rofstad, E.K. DCE-MRI of Tumor Hypoxia and Hypoxia-Associated Aggressiveness. Cancers 2020, 12, 1979. [Google Scholar] [CrossRef]
- Wegner, C.S.; Hauge, A.; Gaustad, J.-V.; Andersen, L.M.K.; Simonsen, T.G.; Galappathi, K.; Rofstad, E.K. Dynamic contrast-enhanced MRI of the microenvironment of pancreatic adenocarcinoma xenografts. Acta Oncol. 2017, 56, 1754–1762. [Google Scholar] [CrossRef] [PubMed] [Green Version]
- Serrao, E.M.; Kettunen, M.I.; Rodrigues, T.B.; Dzien, P.; Wright, A.J.; Gopinathan, A.; Gallagher, F.A.; Lewis, D.Y.; Frese, K.K.; Almeida, J.; et al. MRI with hyperpolarised [1-13C] pyruvate detects advanced pancreatic preneoplasia prior to invasive disease in a mouse model. Gut 2016, 65, 465–475. [Google Scholar] [CrossRef] [PubMed] [Green Version]
- Jørgensen, S.H. Hyperpolarized MRI—An Update and Future Perspectives. Semin. Nucl. Med. 2022, 52, 374–381. [Google Scholar] [CrossRef] [PubMed]
- Stødkilde-Jørgensen, H.; Laustsen, C.; Hansen, E.S.S.; Schulte, R.; Ardenkjaer-Larsen, J.H.; Comment, A.; Frøkiaer, J.; Ringgaard, S.; Bertelsen, L.B.; Ladekarl, M.; et al. Pilot Study Experiences With Hyperpolarized [1-13C] pyruvate MRI in Pancreatic Cancer Patients. J. Magn. Reson. Imaging 2020, 51, 961–963. [Google Scholar] [CrossRef] [PubMed]
- Streitberger, K.J.; Lilaj, L.; Schrank, F.; Braun, J.; Hoffmann, K.-T.; Reiss-Zimmermann, M.; Käs, J.A.; Sack, I. How tissue fluidity influences brain tumor progression. Proc. Natl. Aca. Sci. USA 2019, 117, 128–134. [Google Scholar] [CrossRef] [PubMed]
- Shahryari, M.; Tzschätzsch, H.; Guo, J.; Garcia, S.R.M.; Böning, G.; Fehrenbach, U.; Stencel, L.; Asbach, P.; Hamm, B.; Käs, J.A.; et al. Tomoelastography Distinguishes Noninvasively between Benign and Malignant Liver Lesions. Cancer Res. 2019, 79, 5704–5710. [Google Scholar] [CrossRef] [PubMed] [Green Version]
- Zhu, L.; Guo, J.; Jin, Z.; Xue, H.; Dai, M.; Zhang, W.; Sun, Z.; Xu, J.; Garcia, S.R.M.; Asbach, P.; et al. Distinguishing pancreatic cancer and autoimmune pancreatitis with in vivo tomoelastography. Eur. Radiol. 2020, 31, 3366–3374. [Google Scholar] [CrossRef]
- Chu, A.J.; Lee, J.M.; Lee, Y.J.; Moon, S.K.; Han, J.K.; I Choi, B. Dual-source, dual-energy multidetector CT for the evaluation of pancreatic tumours. Br. J. Radiol. 2012, 85, e891–e898. [Google Scholar] [CrossRef] [Green Version]
- Coursey, C.A.; Nelson, R.C.; Boll, D.T.; Paulson, E.K.; Ho, L.M.; Neville, A.M.; Marin, D.; Gupta, R.T.; Schindera, S.T. Dual-energy multidetector CT: How does it work, what can it tell us, and when can we use it in abdominopelvic imaging? Radiographics 2010, 30, 1037–1055. [Google Scholar] [CrossRef]
- Heye, T.; Nelson, R.C.; Ho, L.M.; Marin, D.; Boll, D.T. Dual-Energy CT Applications in the Abdomen. Am. J. Roentgenol. 2012, 199, S64–S70. [Google Scholar] [CrossRef] [PubMed]
- Graser, A.; Johnson, T.R.C.; Chandarana, H.; Macari, M. Dual energy CT: Preliminary observations and potential clinical applications in the abdomen. Eur. Radiol. 2008, 19, 13–23. [Google Scholar] [CrossRef] [PubMed]
- Rajamohan, N.; Khasawneh, H.; Singh, A.; Suman, G.; Johnson, G.B.; Majumder, S.; Halfdanarson, T.R.; Goenka, A.H. PET/CT and PET/MRI in neuroendocrine neoplasms. Abdom. Radiol. 2022. Online ahead of print. [Google Scholar] [CrossRef] [PubMed]
- Chari, S.T.; Sharma, A.; Maitra, A. Early Detection of Sporadic Pancreatic Ductal Adenocarcinoma: Problems, Promise, and Prospects. Ann. Intern. Med. 2020, 172, 558. [Google Scholar] [CrossRef]
- Kramer-Marek, G.; Gore, J.; Korc, M. Molecular imaging in pancreatic cancer—A roadmap for therapeutic decisions. Cancer Lett. 2013, 341, 132–138. [Google Scholar] [CrossRef] [Green Version]
- Anselmo, A.C.; Mitragotri, S. Nanoparticles in the clinic. Bioeng. Transl. Med. 2016, 1, 10–29. [Google Scholar] [CrossRef]
- Sobol, N.B.; Korsen, J.A.; Younes, A.; Edwards, K.J.; Lewis, J.S. ImmunoPET Imaging of Pancreatic Tumors with 89Zr-Labeled Gold Nanoparticle–Antibody Conjugates. Mol. Imaging Biol. 2020, 23, 84–94. [Google Scholar] [CrossRef]
- Dimastromatteo, J.; Houghton, J.L.; Lewis, J.S.; Kelly, K.A. Challenges of Pancreatic Cancer. Cancer J. 2015, 21, 188–193. [Google Scholar] [CrossRef] [Green Version]
- Anselmo, A.C.; Mitragotri, S. Nanoparticles in the clinic: An update. Bioeng. Transl. Med. 2019, 4, e10143. [Google Scholar] [CrossRef] [Green Version]
- McCarroll, J.; Teo, J.; Boyer, C.; Goldstein, D.; Kavallaris, M.; Phillips, P.A. Potential applications of nanotechnology for the diagnosis and treatment of pancreatic cancer. Front. Physiol. 2014, 5, 2. [Google Scholar] [CrossRef] [Green Version]
- Marchegiani, G.; Andrianello, S.; Malleo, G.; De Gregorio, L.; Scarpa, A.; Mino-Kenudson, M.; Maggino, L.; Ferrone, C.; Lillemoe, K.; Bassi, C.; et al. Does Size Matter in Pancreatic Cancer? Reappraisal of Tumour Dimension as a Predictor of Outcome Beyond the TNM. Ann. Surg. 2017, 266, 142–148. [Google Scholar] [CrossRef] [PubMed]
- Marchegiani, G.; Ballarin, R.; Malleo, G.; Andrianello, S.; Allegrini, V.; Pulvirenti, A.; Paini, M.; Secchettin, E.; Boriero, F.; Di Benedetto, F.; et al. Quantitative Assessment of Pancreatic Texture Using a Durometer: A New Tool to Predict the Risk of Developing a Postoperative Fistula. World J. Surg. 2017, 41, 2876–2883. [Google Scholar] [CrossRef] [PubMed]
- Kokkinos, J.; Jensen, A.; Sharbeen, G.; McCarroll, J.A.; Goldstein, D.; Haghighi, K.S.; Phillips, P.A. Does the Microenvironment Hold the Hidden Key for Functional Precision Medicine in Pancreatic Cancer? Cancers 2021, 13, 2427. [Google Scholar] [CrossRef] [PubMed]
- Casà, C.; Piras, A.; D’Aviero, A.; Preziosi, F.; Mariani, S.; Cusumano, D.; Romano, A.; Boskoski, I.; Lenkowicz, J.; Dinapoli, N.; et al. The impact of radiomics in diagnosis and staging of pancreatic cancer. Ther. Adv. Gastrointest. Endosc. 2022, 15, 26317745221081596. [Google Scholar] [CrossRef]


| Criteria | Feature |
|---|---|
| CT findings | Pancreatic cystic lesion >2 cm; presence of pancreatitis; pancreatic duct dilation >6 mm; duct stricture, IPMN |
| Diabetes | Newly onset diabetes (<36 m) or worsening of established diabetes/hyperglycaemia |
| Pancreatitis | Chronic pancreatitis, Hereditary Pancreatitis |
| Biomarker | Elevated serum CA 19-9 |
| Familial PDAC | More than one blood relative with PDAC; at least one first-degree relative with PDAC; PDAC before 50, other family history |
| Genetic syndromes | Peutz–Jeghers Syndrome (STK11 mutation); Hereditary pancreatitis (PRSS1 and SPINK1 genes mutation); Lynch Syndrome (MMR mutation); Li–Fraumeni Syndrome (p53 mutation), Familial Atypical Multiple Mole Melanoma (CDKN2A gene mutation) |
| Germline mutations | BRCA 1, BRCA 2 mutations; ATM mutation; PALB2 mutation |
| Who? Targeted Population | How? Screening Program | |
|---|---|---|
| Inherited PDAC (10%) | Individuals with familial pancreatic cancer (at least one pair of first-degree relatives), inherited pancreatic cancer syndromes | Annual endoscopic ultrasound or MRI |
| Non-inherited PDAC (90%) | Individuals with cystic tumours of the pancreas (IPMNs or MCNs) | Endoscopic ultrasound or MRI 6–24 months (if worrisome features present) |
| Individuals with other predispositions | No established screening | |
| Individuals with symptoms | Refer to multi-disciplinary diagnostic centres |
| Advantages | Disadvantages | |
|---|---|---|
Computed tomography (CT)![]() | High sensitivity and specificity (76–92% and 67% respectively) Standardized available protocol- pancreatic protocol CT Multidetector CT Good spatial and temporal resolution Lower cost and greater availability | Radiation exposure with the risk of secondary cancer attributable to the CT procedure Performance depends on ability to administer intravenous Iodine contrast Allergies to CT contrast agents (common) Cannot detect iso-attenuating PDACs with indistinct borders and small pancreatic tumours |
Endoscopic ultrasound (EUS)![]() | High sensitivity and specificity (72% and 90% respectively) Excellent resolution for small lesions Mainly used as part of the work-up to obtain biopsy (FNA) for tissue diagnosis | Performance varies by disease T stage Invasive procedure, not practical for routine follow-up Not readily accessible imaging modality Highly dependent on technical skill of the operator Limitations for evaluating solid pancreatic lesions Procedural risks |
Magnetic resonance imaging (MRI)![]() | Highest sensitivity and specificity (93% and 89% respectively) Better soft tissue resolution No radiation exposure Better at determining metastasis Better accuracy for assessing local involvement of a pancreatic lesion | Can be difficult to obtain in patients with claustrophobia, metal devises, or allergies to gadolinium (very rare) |
Publisher’s Note: MDPI stays neutral with regard to jurisdictional claims in published maps and institutional affiliations. |
© 2022 by the authors. Licensee MDPI, Basel, Switzerland. This article is an open access article distributed under the terms and conditions of the Creative Commons Attribution (CC BY) license (https://creativecommons.org/licenses/by/4.0/).
Share and Cite
Farr, K.P.; Moses, D.; Haghighi, K.S.; Phillips, P.A.; Hillenbrand, C.M.; Chua, B.H. Imaging Modalities for Early Detection of Pancreatic Cancer: Current State and Future Research Opportunities. Cancers 2022, 14, 2539. https://doi.org/10.3390/cancers14102539
Farr KP, Moses D, Haghighi KS, Phillips PA, Hillenbrand CM, Chua BH. Imaging Modalities for Early Detection of Pancreatic Cancer: Current State and Future Research Opportunities. Cancers. 2022; 14(10):2539. https://doi.org/10.3390/cancers14102539
Chicago/Turabian StyleFarr, Katherina P., Daniel Moses, Koroush S. Haghighi, Phoebe A. Phillips, Claudia M. Hillenbrand, and Boon H. Chua. 2022. "Imaging Modalities for Early Detection of Pancreatic Cancer: Current State and Future Research Opportunities" Cancers 14, no. 10: 2539. https://doi.org/10.3390/cancers14102539
APA StyleFarr, K. P., Moses, D., Haghighi, K. S., Phillips, P. A., Hillenbrand, C. M., & Chua, B. H. (2022). Imaging Modalities for Early Detection of Pancreatic Cancer: Current State and Future Research Opportunities. Cancers, 14(10), 2539. https://doi.org/10.3390/cancers14102539




