Association between CT-Based Preoperative Sarcopenia and Outcomes in Patients That Underwent Liver Resections
Abstract
:Simple Summary
Abstract
1. Introduction
2. Materials and Methods
2.1. Study Design and Patients
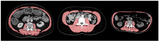
2.2. Sarcopenia Assessment
2.3. Statistical Analysis
3. Results
4. Discussion
5. Conclusions
Supplementary Materials
Author Contributions
Funding
Institutional Review Board Statement
Informed Consent Statement
Data Availability Statement
Conflicts of Interest
References
- Hua, H.; Xu, X.; Tang, Y.; Ren, Z.; Xu, Q.; Chen, L. Effect of sarcopenia on clinical outcomes following digestive carcinoma surgery: A meta-analysis. Support. Care Cancer 2019, 27, 2385–2394. [Google Scholar] [CrossRef] [PubMed]
- Wagner, D.; Demarco, M.M.; Amini, N.; Buettner, S.; Segev, D.; Gani, F.; Pawlik, T.M. Role of frailty and sarcopenia in predicting outcomes among patients undergoing gastrointestinal surgery. World J. Gastrointest. Surg. 2016, 8, 27–40. [Google Scholar] [CrossRef] [PubMed]
- Cruz-Jentoft, A.J.; Baeyens, J.P.; Bauer, J.M.; Boirie, Y.; Cederholm, T.; Landi, F.; Martin, F.C.; Michel, J.-P.; Rolland, Y.; Schneider, S.M.; et al. European Working Group on Sarcopenia in Older People: Sarcopenia: European consensus on definition and diagnosis: Report of the European Working Group on Sarcopenia in Older People. Age Ageing 2010, 39, 412–423. [Google Scholar] [CrossRef] [Green Version]
- Chen, L.-K.; Liu, L.-K.; Woo, J.; Assantachai, P.; Auyeung, T.-W.; Bahyah, K.S.; Chou, M.-Y.; Chen, L.-Y.; Hsu, P.-S.; Krairit, O.; et al. Sarcopenia in Asia: Consensus Report of the Asian Working Group for Sarcopenia. J. Am. Med. Dir. Assoc. 2014, 15, 95–101. [Google Scholar] [CrossRef]
- Boutin, R.D.; Yao, L.; Canter, R.; Lenchik, L. Sarcopenia: Current Concepts and Imaging Implications. Am. J. Roentgenol. 2015, 205, W255–W266. [Google Scholar] [CrossRef] [PubMed]
- Gustafsson, T.; Ulfhake, B. Sarcopenia: What Is the Origin of This Aging-Induced Disorder? Front. Genet. 2021, 12, 688526. [Google Scholar] [CrossRef]
- von Haehling, S.; Steinbeck, L.; Doehner, W.; Springer, J.; Anker, S.D. Muscle wasting in heart failure: An overview. Int. J. Biochem. Cell Biol. 2013, 45, 2257–2265. [Google Scholar] [CrossRef]
- Morley, J.E.; Anker, S.D.; Von Haehling, S. Prevalence, incidence, and clinical impact of sarcopenia: Facts, numbers, and epidemiology-update. J. Cachex-Sarcopenia Muscle 2014, 5, 253–259. [Google Scholar] [CrossRef]
- Rolland, Y.; Czerwinski, S.; Van Kan, G.A.; Morley, J.E.; Cesari, M.; Onder, G.; Woo, J.; Baumgartner, R.; Pillard, F.; Boirie, Y.; et al. Sarcopenia: Its assessment, etiology, pathogenesis, consequences and future perspectives. J. Nutr. Health Aging 2008, 12, 433–450. [Google Scholar] [CrossRef] [Green Version]
- Morley, J.E. Sarcopenia: Diagnosis and treatment. J. Nutr. Health Aging 2008, 12, 452–456. [Google Scholar] [CrossRef]
- Simonsen, C.; de Heer, P.; Bjerre, E.D.; Suetta, C.; Hojman, P.; Pedersen, B.K.; Svendsen, L.B.; Christensen, J.F. Sarcopenia and Postoperative Complication Risk in Gastrointestinal Surgical Oncology. Ann. Surg. 2018, 268, 58–69. [Google Scholar] [CrossRef] [PubMed]
- Mizuguchi, T.; Kawamoto, M.; Meguro, M.; Okita, K.; Ota, S.; Ishii, M.; Ueki, T.; Nishidate, T.; Kimura, Y.; Furuhata, T.; et al. The impact of aging on morbidity and mortality after liver resection: A systematic review and meta-analysis. Surg. Today 2015, 45, 259–270. [Google Scholar] [CrossRef] [PubMed]
- Huang, J.; Li, B.-K.; Chen, G.-H.; Li, J.-Q.; Zhang, Y.-Q.; Li, G.-H.; Yuan, Y.-F. Long-term Outcomes and Prognostic Factors of Elderly Patients with Hepatocellular Carcinoma Undergoing Hepatectomy. J. Gastrointest. Surg. 2009, 13, 1627–1635. [Google Scholar] [CrossRef]
- Franken, L.C.; Schreuder, A.M.; Roos, E.; van Dieren, S.; Busch, O.R.; Besselink, M.G.; van Gulik, T.M. Morbidity and mortality after major liver resection in patients with perihilar cholangiocarcinoma: A systematic review and meta-analysis. Surgery 2019, 165, 918–928. [Google Scholar] [CrossRef]
- Zhang, G.; Meng, S.; Li, R.; Ye, J.; Zhao, L. Clinical significance of sarcopenia in the treatment of patients with primary hepatic malignancies, a systematic review and meta-analysis. Oncotarget 2017, 8, 102474–102485. [Google Scholar] [CrossRef] [PubMed] [Green Version]
- Lodewick, T.M.; van Nijnatten, T.J.; van Dam, R.M.; van Mierlo, K.; Dello, S.A.W.G.; Neumann, U.P.; Damink, S.W.M.O.; Dejong, C.H.C. Are sarcopenia, obesity and sarcopenic obesity predictive of outcome in patients with colorectal liver metastases? HPB Off. J. Int. Hepato-Pancreato Biliary Assoc. 2015, 17, 438–446. [Google Scholar] [CrossRef] [Green Version]
- Peng, P.D.; van Vledder, M.G.; Tsai, S.; de Jong, M.C.; Makary, M.; Ng, J.; Edil, B.H.; Wolfgang, C.L.; Schulick, R.D.; Choti, M.A.; et al. Sarcopenia negatively impacts short-term outcomes in patients undergoing hepatic resection for colorectal liver metastasis. HPB Off. J. Int. Hepato-Pancreato Biliary Assoc. 2011, 13, 439–446. [Google Scholar] [CrossRef] [Green Version]
- Valero, V.; Amini, N.; Spolverato, G.; Weiss, M.J.; Hirose, K.; Dagher, N.; Wolfgang, C.L.; Cameron, A.A.; Philosophe, B.; Kamel, I.R.; et al. Sarcopenia Adversely Impacts Postoperative Complications Following Resection or Transplantation in Patients with Primary Liver Tumors. J. Gastrointest. Surg. 2015, 19, 272–281. [Google Scholar] [CrossRef] [Green Version]
- Albano, D.; Messina, C.; Vitale, J.A.; Sconfienza, L.M. Imaging of sarcopenia: Old evidence and new insights. Eur. Radiol. 2020, 30, 2199–2208. [Google Scholar] [CrossRef]
- Cruz-Jentoft, A.J.; Bahat, G.; Bauer, J.; Boirie, Y.; Bruyère, O.; Cederholm, T.; Cooper, C.; Landi, F.; Rolland, Y.; Sayer, A.A.; et al. Sarcopenia: Revised European consensus on definition and diagnosis. Age Ageing 2019, 48, 16–31. [Google Scholar] [CrossRef] [Green Version]
- Jones, K.; Gordon-Weeks, A.; Coleman, C.; Silva, M. Radiologically Determined Sarcopenia Predicts Morbidity and Mortality Following Abdominal Surgery: A Systematic Review and Meta-Analysis. World J. Surg. 2017, 41, 2266–2279. [Google Scholar] [CrossRef] [Green Version]
- Aubrey, J.; Esfandiari, N.; Baracos, V.E.; Buteau, F.A.; Frenette, J.; Putman, C.T.; Mazurak, V.C. Measurement of skeletal muscle radiation attenuation and basis of its biological variation. Acta Physiol. 2014, 210, 489–497. [Google Scholar] [CrossRef] [Green Version]
- Martin, D.; Roulin, D.; Takamune, Y.; Demartines, N.; Halkic, N. Preoperative assessment for extended hepatic resection. Rev. Med. Suisse 2016, 12, 1180–1184. [Google Scholar]
- Melloul, E.; Hübner, M.; Scott, M.; Snowden, C.; Prentis, J.; DeJong, C.H.C.; Garden, O.J.; Farges, O.; Kokudo, N.; Vauthey, J.-N.; et al. Guidelines for Perioperative Care for Liver Surgery: Enhanced Recovery After Surgery (ERAS) Society Recommendations. World J. Surg. 2016, 40, 2425–2440. [Google Scholar] [CrossRef] [Green Version]
- Kondrup, J.; Rasmussen, H.H.; Hamberg, O.; Stanga, Z. Nutritional risk screening (NRS 2002): A new method based on an analysis of controlled clinical trials. Clin. Nutr. 2003, 22, 321–336. [Google Scholar] [CrossRef]
- Dindo, D.; Demartines, N.; Clavien, P.-A. Classification of Surgical Complications: A new proposal with evaluation in a cohort of 6336 patients and results of a survey. Ann. Surg. 2004, 240, 205–213. [Google Scholar] [CrossRef]
- Rahbari, N.N.; Garden, O.J.; Padbury, R.; Brooke-Smith, M.; Crawford, M.; Adam, R.; Koch, M.; Makuuchi, M.; Dematteo, R.P.; Christophi, C.; et al. Posthepatectomy liver failure: A definition and grading by the International Study Group of Liver Surgery (ISGLS). Surgery 2011, 149, 713–724. [Google Scholar] [CrossRef] [PubMed]
- Koch, M.; Garden, O.J.; Padbury, R.; Rahbari, N.N.; Adam, R.; Capussotti, L.; Fan, S.T.; Yokoyama, Y.; Crawford, M.; Makuuchi, M.; et al. Bile leakage after hepatobiliary and pancreatic surgery: A definition and grading of severity by the International Study Group of Liver Surgery. Surgery 2011, 149, 680–688. [Google Scholar] [CrossRef]
- Ibtehaz, N.; Rahman, M.S. MultiResUNet: Rethinking the U-Net architecture for multimodal biomedical image segmentation. Neural Netw. Off. J. Int. Neural Netw. Soc. 2020, 121, 74–87. [Google Scholar] [CrossRef] [PubMed]
- Koitka, S.; Kroll, L.; Malamutmann, E.; Oezcelik, A.; Nensa, F. Fully automated body composition analysis in routine CT imaging using 3D semantic segmentation convolutional neural networks. Eur. Radiol. 2021, 31, 1795–1804. [Google Scholar] [CrossRef] [PubMed]
- Schneider, M.; Hübner, M.; Becce, F.; Koerfer, J.; Collinot, J.; Demartines, N.; Hahnloser, D.; Grass, F.; Martin, D. Sarcopenia and major complications in patients undergoing oncologic colon surgery. J. Cachexia Sarcopenia Muscle 2021, 12, 1757–1763. [Google Scholar] [CrossRef] [PubMed]
- Graffy, P.M.; Liu, J.; Pickhardt, P.J.; Burns, J.E.; Yao, J.; Summers, R.M. Deep learning-based muscle segmentation and quantification at abdominal CT: Application to a longitudinal adult screening cohort for sarcopenia assessment. Br. J. Radiol. 2019, 92, 20190327. [Google Scholar] [CrossRef]
- Burns, J.E.; Yao, J.; Chalhoub, D.; Chen, J.J.; Summers, R.M. A Machine Learning Algorithm to Estimate Sarcopenia on Abdominal CT. Acad. Radiol. 2020, 27, 311–320. [Google Scholar] [CrossRef]
- Goodpaster, B.H.; Kelley, D.E.; Thaete, F.L.; He, J.; Ross, R. Skeletal muscle attenuation determined by computed tomography is associated with skeletal muscle lipid content. J. Appl. Physiol. 2000, 89, 104–110. [Google Scholar] [CrossRef] [PubMed] [Green Version]
- Viddeleer, A.R.; Raaphorst, J.; Min, M.; Beenen, L.F.; Scheerder, M.J.; Vlaar, A.P.; Beudel, M.; Hemke, R.; de Bruin, S.; Schuurmans, A.; et al. Intramuscular adipose tissue at level Th12 is associated with survival in COVID-19. J. Cachex-Sarcopenia Muscle 2021, 12, 823–827. [Google Scholar] [CrossRef]
- Nishigori, T.; Okabe, H.; Tanaka, E.; Tsunoda, S.; Hisamori, S.; Sakai, Y. Sarcopenia as a predictor of pulmonary complications after esophagectomy for thoracic esophageal cancer. J. Surg. Oncol. 2016, 113, 678–684. [Google Scholar] [CrossRef]
- Prado, C.M.; Lieffers, J.R.; McCargar, L.J.; Reiman, T.; Sawyer, M.B.; Martin, L.; Baracos, V.E. Prevalence and clinical implications of sarcopenic obesity in patients with solid tumours of the respiratory and gastrointestinal tracts: A population-based study. Lancet Oncol. 2008, 9, 629–635. [Google Scholar] [CrossRef]
- Pecorelli, N.; Carrara, G.; DE Cobelli, F.; Cristel, G.; Damascelli, A.; Balzano, G.; Beretta, L.; Braga, M. Effect of sarcopenia and visceral obesity on mortality and pancreatic fistula following pancreatic cancer surgery. BJS 2016, 103, 434–442. [Google Scholar] [CrossRef]
- Voron, T.; Tselikas, L.; Pietrasz, D.; Pigneur, F.; Laurent, A.; Compagnon, P.; Salloum, C.; Luciani, A.; Azoulay, D. Sarcopenia Impacts on Short- and Long-term Results of Hepatectomy for Hepatocellular Carcinoma. Ann. Surg. 2015, 261, 1173–1183. [Google Scholar] [CrossRef]
- Berardi, G.; Antonelli, G.; Colasanti, M.; Meniconi, R.; Guglielmo, N.; Laurenzi, A.; Ferretti, S.; Sandri, G.B.L.; Spagnoli, A.; Moschetta, G.; et al. Association of Sarcopenia and Body Composition With Short-term Outcomes After Liver Resection for Malignant Tumors. JAMA Surg. 2020, 155, e203336. [Google Scholar] [CrossRef] [PubMed]
- Barbat-Artigas, S.; Rolland, Y.; Vellas, B.; Aubertin-Leheudre, M. Muscle Quantity Is Not Synonymous With Muscle Quality. J. Am. Med. Dir. Assoc. 2013, 14, 852.e1–852.e7. [Google Scholar] [CrossRef]
- Correa, C.S.; Baroni, B.M.; Radaelli, R.; Lanferdini, F.J.; Cunha, G.D.S.; Reischak-Oliveira, Á.; Vaz, M.A.; Pinto, R.S. Effects of strength training and detraining on knee extensor strength, muscle volume and muscle quality in elderly women. Age 2013, 35, 1899–1904. [Google Scholar] [CrossRef] [PubMed] [Green Version]
- Cao, Q.; Xiong, Y.; Zhong, Z.; Ye, Q. Computed Tomography-Assessed Sarcopenia Indexes Predict Major Complications following Surgery for Hepatopancreatobiliary Malignancy: A Meta-Analysis. Ann. Nutr. Metab. 2019, 74, 24–34. [Google Scholar] [CrossRef]
- Otsuji, H.; Yokoyama, Y.; Ebata, T.; Igami, T.; Sugawara, G.; Mizuno, T.; Nagino, M. Preoperative Sarcopenia Negatively Impacts Postoperative Outcomes Following Major Hepatectomy with Extrahepatic Bile Duct Resection. World J. Surg. 2015, 39, 1494–1500. [Google Scholar] [CrossRef] [PubMed]
- Harimoto, N.; Shirabe, K.; Yamashita, Y.-I.; Ikegami, T.; Yoshizumi, T.; Soejima, Y.; Ikeda, T.; Maehara, Y.; Nishie, A.; Yamanaka, T. Sarcopenia as a predictor of prognosis in patients following hepatectomy for hepatocellular carcinoma. Br. J. Surg. 2013, 100, 1523–1530. [Google Scholar] [CrossRef]
- Linge, J.; Heymsfield, S.B.; Leinhard, O.D. On the Definition of Sarcopenia in the Presence of Aging and Obesity—Initial Results from UK Biobank. J. Gerontol. Ser. A Boil. Sci. Med. Sci. 2020, 75, 1309–1316. [Google Scholar] [CrossRef] [PubMed] [Green Version]
- Roubenoff, R. Sarcopenic Obesity: The Confluence of Two Epidemics. Obes. Res. 2004, 12, 887–888. [Google Scholar] [CrossRef]
- Stenholm, S.; Harris, T.B.; Rantanen, T.; Visser, M.; Kritchevsky, S.B.; Ferrucci, L. Sarcopenic obesity: Definition, cause and consequences. Curr. Opin. Clin. Nutr. Metab. Care 2008, 11, 693–700. [Google Scholar] [CrossRef] [Green Version]
- Vincent, H.K.; Raiser, S.N.; Vincent, K.R. The aging musculoskeletal system and obesity-related considerations with exercise. Ageing Res. Rev. 2012, 11, 361–373. [Google Scholar] [CrossRef] [Green Version]
- Tijerina, A.J. The Biochemical Basis of Metabolism in Cancer Cachexia. Dimens. Crit. Care Nurs. 2004, 23, 237–243. [Google Scholar] [CrossRef]
- Aoyagi, T.; Terracina, K.P.; Raza, A.; Matsubara, H.; Takabe, K. Cancer cachexia, mechanism and treatment. World J. Gastrointest. Oncol. 2015, 7, 17–29. [Google Scholar] [CrossRef]
- Shafiee, G.; Keshtkar, A.; Soltani, A.; Ahadi, Z.; Larijani, B.; Heshmat, R. Prevalence of sarcopenia in the world: A systematic review and meta- analysis of general population studies. J. Diab. Metab. Disord. 2017, 16, 21. [Google Scholar] [CrossRef] [Green Version]
- Gallagher, D.; Visser, M.; De Meersman, R.E.; Sepúlveda, D.; Baumgartner, R.N.; Pierson, R.N.; Harris, T.; Heymsfield, S.B. Appendicular skeletal muscle mass: Effects of age, gender, and ethnicity. J. Appl. Physiol. 1997, 83, 229–239. [Google Scholar] [CrossRef]
- Forbes, G.B. Longitudinal changes in adult fat-free mass: Influence of body weight. Am. J. Clin. Nutr. 1999, 70, 1025–1031. [Google Scholar] [CrossRef] [PubMed] [Green Version]
- Kim, Y.J.; Tamadon, A.; Park, H.T.; Kim, H.; Ku, S.-Y. The role of sex steroid hormones in the pathophysiology and treatment of sarcopenia. Osteoporos. Sarcopenia 2016, 2, 140–155. [Google Scholar] [CrossRef] [Green Version]
- Wang, H.; Yang, R.; Xu, J.; Fang, K.; Abdelrahim, M.; Chang, L. Sarcopenia as a predictor of postoperative risk of complications, mortality and length of stay following gastrointestinal oncological surgery. Ann. R. Coll. Surg. Engl. 2021, 103, 630–637. [Google Scholar] [CrossRef]
- Carli, F.; Scheede-Bergdahl, C. Prehabilitation to Enhance Perioperative Care. Anesthesiol. Clin. 2015, 33, 17–33. [Google Scholar] [CrossRef]
- Wackenthaler, A.; Molière, S.; Artzner, T.; Michard, B.; Schenck, M.; Addeo, P.; Besch, C.; Bachellier, P.; Schneider, F.; Veillon, F.; et al. Pre-operative CT scan helps predict outcome after liver transplantation for acute-on-chronic grade 3 liver failure. Eur. Radiol. 2021, 32, 1–10. [Google Scholar] [CrossRef] [PubMed]
- Englesbe, M.J.; Patel, S.; He, K.; Lynch, R.J.; Schaubel, D.E.; Harbaugh, C.; Holcombe, S.A.; Wang, S.C.; Segev, D.L.; Sonnenday, C.J. Sarcopenia and Mortality after Liver Transplantation. J. Am. Coll. Surg. 2010, 211, 271–278. [Google Scholar] [CrossRef] [PubMed] [Green Version]
- Sriputtha, S.; Khuntikeo, N.; Promthet, S.; Kamsa-Ard, S. Survival rate of intrahepatic cholangiocarcinoma patients after surgical treatment in Thailand. Asian Pac. J. Cancer Prev. 2013, 14, 1107–1110. [Google Scholar] [CrossRef] [PubMed] [Green Version]
- Altekruse, S.F.; McGlynn, K.A.; Dickie, L.A.; Kleiner, D. Hepatocellular Carcinoma Confirmation, Treatment, and Survival in Surveillance, Epidemiology, and End Results Registries, 1992. Hepatology 2012, 55, 476–482. [Google Scholar] [CrossRef] [PubMed]
- Allard, M.M.A.; Adam, R.; Giuliante, F.; Lapointe, R.; Hubert, C.; Ijzermans, J.N.M.; Mirza, D.; Elias, D.; Laurent, C.; Gruenberger, T.; et al. Long-term outcomes of patients with 10 or more colorectal liver metastases. Br. J. Cancer 2017, 117, 604–611. [Google Scholar] [CrossRef] [Green Version]
- Boutin, R.D.; Kaptuch, J.M.; Bateni, C.P.; Chalfant, J.S.; Yao, L. Influence of IV Contrast Administration on CT Measures of Muscle and Bone Attenuation: Implications for Sarcopenia and Osteoporosis Evaluation. Am. J. Roentgenol. 2016, 207, 1046–1054. [Google Scholar] [CrossRef] [PubMed]
- Ekiz, T.; Ata, A.M.; Kara, M.; Özçakar, L. In silico diagnosis for sarcopenia is not possible without anthropometric, strength, and performance assessments. Skelet. Radiol. 2021, 50, 463–464. [Google Scholar] [CrossRef] [PubMed]
- Tamandl, D.; Paireder, M.; Asari, R.; Baltzer, P.; Schoppmann, S.F.; Ba-Ssalamah, A. Markers of sarcopenia quantified by computed tomography predict adverse long-term outcome in patients with resected oesophageal or gastro-oesophageal junction cancer. Eur. Radiol. 2016, 26, 1359–1367. [Google Scholar] [CrossRef] [PubMed]
- Salinas-Miranda, E.; Deniffel, D.; Dong, X.; Healy, G.M.; Khalvati, F.; O’Kane, G.M.; Knox, J.; Bathe, O.F.; Baracos, V.E.; Gallinger, S.; et al. Prognostic value of early changes in CT-measured body composition in patients receiving chemotherapy for unresectable pancreatic cancer. Eur. Radiol. 2021, 31, 8662–8670. [Google Scholar] [CrossRef]



| Item | Overall (n = 355) | Non-Sarcopenia (n = 143) | Sarcopenia (n = 212) | p-Value * |
|---|---|---|---|---|
| Age (years) (mean, SD) | 62 (13.0) | 59 (12.7) | 64 (13.5) | <0.01 |
| BMI (kg/m2) (mean, SD) | 25.5 (4.5) | 27.7 (4.9) | 23.9 (3.5) | <0.01 |
| Weight (kg) (mean, SD) | 74 (15.3) | 78 (16.4) | 70 (13.7) | <0.01 |
| Sex (male) (%) | 210 (59.2) | 71 (49.9) | 139 (65.6) | <0.01 |
| SMA (cm2) (mean, SD) | 131.6 (32.7) | 148.2 (34.7) | 120.4 (25.8) | <0.01 |
| SMRA (HU) (mean, SD) | 39.5 (9.9) | 40.2 (9.2) | 39.0 (10.35) | 0.090 |
| IMATI (cm2/m2) | 4.8 (3.1) | 4.9 (3.5) | 4.7 (2.7) | 0.817 |
| Cardiovascular disease (%) | 16 (4.5) | 5 (3.5) | 11 (5.2) | 0.604 |
| Pulmonary disease (%) | 27 (7.6) | 10 (7.0) | 17 (8.0) | 0.839 |
| Renal disease (%) | 9 (2.5) | 2 (1.4) | 7 (3.3) | 0.323 |
| Diabetes (%) | 39 (11.0) | 17 (11.9) | 22 (10.4) | 0.730 |
| ASA score ≥ 3 (%) | 62 (17.4) | 10 (7.0) | 52 (24.5) | <0.01 |
| Malignancy (%) | 274 (77.2) | 100 (69.9) | 174 (82.5) | <0.01 |
| Neoadjuvant treatment (%) | 165 (46.5) | 61 (42.7) | 104 (49.1) | 0.278 |
| Diagnosis (%) | ||||
| Hepatocellular carcinoma | 47 (13.2) | 19 (13.3) | 28 (13.2) | 0.874 |
| Colorectal metastases | 155 (43.7) | 51 (35.7) | 104 (49.1) | 0.016 |
| Other metastases | 23 (6.5) | 10 (6.9) | 13 (6.1) | 0.657 |
| Cholangiocarcinoma | 55 (15.5) | 22 (15.4) | 33 (15.6) | 1.000 |
| Echinococcosis | 39 (11.0) | 25 (17.5) | 14 (6.6) | <0.01 |
| Other | 36 (10.1) | 16 (11.2) | 20 (9.4) | 0.587 |
| Major hepatectomy (%) | 190 (53.5) | 73 (51.0) | 117 (55.2) | 0.450 |
| Laparoscopy (%) | 75 (21.1) | 37 (25.9) | 38 (17.9) | 0.085 |
| Outcome | Overall (n = 355) | Non-Sarcopenia (n = 143) | Sarcopenia (n = 212) | p-Value |
|---|---|---|---|---|
| Length of stay (median, IQR) | 8 (6–14) | 8 (6–16) | 8 (6–14) | 0.753 |
| 30-day complications (%) | ||||
| Any | 167 (47.0) | 69 (48.3) | 98 (46.2) | 0.745 |
| Major | 40 (11.3) | 16 (11.2) | 24 (11.3) | 1.000 |
| Bile leakage (%) | 0.156 | |||
| A | 12 (3.4) | 9 (6.3) | 3 (1.4) | |
| B | 28 (7.9) | 15 (10.6) | 13 (6.2) | |
| C | 5 (1.4) | 1 (0.7) | 4 (1.9) | |
| Liver failure (%) | 0.203 | |||
| A | 2 (0.6) | - | 2 (0.9) | |
| B | 4 (1.2) | 1 (0.7) | 3 (1.4) | |
| C | 1 (0.3) | - | 1 (0.5) | |
| 30-day mortality (%) | 0 (-) | 0 (-) | 0 (-) | 1.000 |
| 30-day reoperation (%) | 29 (8.2) | 9 (6.3) | 20 (9.4) | 0.328 |
| Item | Univariate Analysis | Multivariate Analysis | ||
|---|---|---|---|---|
| OR (95% CI) | p-Value | OR (95% CI) | p-Value | |
| Age | 1.030 (1.001–1.059) | 0.046 * | 1.027 (0.997–1.058) | 0.073 |
| Sex | 1.498 (0.745–3.012) | 0.257 | - | - |
| BMI | 1.012 (0.942–1.087) | 0.746 | - | - |
| ASA score | 1.357 (0.494–3.725) | 0.553 | - | - |
| SMA | 1.003 (9.993–1.013) | 0.590 | - | - |
| SMI | 1.004 (0.969–1.040) | 0.836 | - | - |
| SMRA | 0.974 (0.942–1.008) | 0.974 | - | - |
| IMATI | 0.984 (0.881–1.099) | 0.776 | - | - |
| Hepatocellular carcinoma | 0.513 (0.151–1.737) | 0.283 | - | - |
| Colorectal metastases | 0.450 (0.217–0.933) | 0.032 * | 0.627 (0.277–1.422) | 0.264 |
| Cholangiocarcinoma | 3.702 (1.785–7.678) | <0.001 * | 2.762 (1.218–6.264) | 0.015 * |
| Echinococcosis | 1.181 (0.433–3.217) | 0.745 | - | - |
Publisher’s Note: MDPI stays neutral with regard to jurisdictional claims in published maps and institutional affiliations. |
© 2022 by the authors. Licensee MDPI, Basel, Switzerland. This article is an open access article distributed under the terms and conditions of the Creative Commons Attribution (CC BY) license (https://creativecommons.org/licenses/by/4.0/).
Share and Cite
Martin, D.; Maeder, Y.; Kobayashi, K.; Schneider, M.; Koerfer, J.; Melloul, E.; Halkic, N.; Hübner, M.; Demartines, N.; Becce, F.; et al. Association between CT-Based Preoperative Sarcopenia and Outcomes in Patients That Underwent Liver Resections. Cancers 2022, 14, 261. https://doi.org/10.3390/cancers14010261
Martin D, Maeder Y, Kobayashi K, Schneider M, Koerfer J, Melloul E, Halkic N, Hübner M, Demartines N, Becce F, et al. Association between CT-Based Preoperative Sarcopenia and Outcomes in Patients That Underwent Liver Resections. Cancers. 2022; 14(1):261. https://doi.org/10.3390/cancers14010261
Chicago/Turabian StyleMartin, David, Yaël Maeder, Kosuke Kobayashi, Michael Schneider, Joachim Koerfer, Emmanuel Melloul, Nermin Halkic, Martin Hübner, Nicolas Demartines, Fabio Becce, and et al. 2022. "Association between CT-Based Preoperative Sarcopenia and Outcomes in Patients That Underwent Liver Resections" Cancers 14, no. 1: 261. https://doi.org/10.3390/cancers14010261
APA StyleMartin, D., Maeder, Y., Kobayashi, K., Schneider, M., Koerfer, J., Melloul, E., Halkic, N., Hübner, M., Demartines, N., Becce, F., & Uldry, E. (2022). Association between CT-Based Preoperative Sarcopenia and Outcomes in Patients That Underwent Liver Resections. Cancers, 14(1), 261. https://doi.org/10.3390/cancers14010261

