Determination of Additional Surgery after Non-Curative Endoscopic Submucosal Dissection in Patients with Early Gastric Cancer: A Practically Modified Application of the eCura System
Abstract
:Simple Summary
Abstract
1. Introduction
2. Materials and Methods
2.1. Patients
2.2. Additional Surgery
2.3. Analysis of Lymph Node Metastasis According to Risk Factors
2.4. Statistical Analysis
3. Results
3.1. Clinicopathological Features
3.2. Risk Factor Analysis for Lymph Node Metastasis
3.3. Modification of the eCura System
3.4. Survival Analysis
4. Discussion
5. Conclusions
Author Contributions
Funding
Institutional Review Board Statement
Informed Consent Statement
Data Availability Statement
Conflicts of Interest
References
- Choi, K.S.; Jun, J.K.; Suh, M.; Park, B.; Noh, D.K.; Song, S.H.; Jung, K.W.; Lee, H.Y.; Choi, I.J.; Park, E.C. Effect of endoscopy screening on stage at gastric cancer diagnosis: Results of the national cancer screening programme in korea. Br. J. Cancer 2015, 112, 608–612. [Google Scholar] [CrossRef] [PubMed] [Green Version]
- Sano, T.; Hollowood, A. Early gastric cancer: Diagnosis and less invasive treatments. Scand. J. Surg. 2006, 95, 249–255. [Google Scholar] [CrossRef] [PubMed] [Green Version]
- Pimentel-Nunes, P.; Dinis-Ribeiro, M.; Ponchon, T.; Repici, A.; Vieth, M.; De Ceglie, A.; Amato, A.; Berr, F.; Bhandari, P.; Bialek, A.; et al. Endoscopic submucosal dissection: European society of gastrointestinal endoscopy (esge) guideline. Endoscopy 2015, 47, 829–854. [Google Scholar] [CrossRef] [PubMed] [Green Version]
- Ono, H.; Yao, K.; Fujishiro, M.; Oda, I.; Nimura, S.; Yahagi, N.; Iishi, H.; Oka, M.; Ajioka, Y.; Ichinose, M.; et al. Guidelines for endoscopic submucosal dissection and endoscopic mucosal resection for early gastric cancer. Dig. Endosc. 2016, 28, 3–15. [Google Scholar] [CrossRef] [PubMed] [Green Version]
- Hatta, W.; Gotoda, T.; Koike, T.; Masamune, A. History and future perspectives in japanese guidelines for endoscopic resection of early gastric cancer. Dig. Endosc. 2020, 32, 180–190. [Google Scholar] [CrossRef] [PubMed] [Green Version]
- Korean practice guideline for gastric cancer 2018: An evidence-based, multi-disciplinary approach. J. Gastric Cancer 2019, 19, 1–48. [CrossRef]
- Japanese Gastric Cancer Association. Japanese gastric cancer treatment guidelines 2018 (5th edition). Gastric Cancer 2021, 24, 1–21. [Google Scholar] [CrossRef] [Green Version]
- Gotoda, T.; Yanagisawa, A.; Sasako, M.; Ono, H.; Nakanishi, Y.; Shimoda, T.; Kato, Y. Incidence of lymph node metastasis from early gastric cancer: Estimation with a large number of cases at two large centers. Gastric Cancer 2000, 3, 219–225. [Google Scholar] [CrossRef] [PubMed] [Green Version]
- Suzuki, H.; Oda, I.; Abe, S.; Sekiguchi, M.; Nonaka, S.; Yoshinaga, S.; Saito, Y.; Fukagawa, T.; Katai, H. Clinical outcomes of early gastric cancer patients after noncurative endoscopic submucosal dissection in a large consecutive patient series. Gastric Cancer 2017, 20, 679–689. [Google Scholar] [CrossRef] [PubMed] [Green Version]
- Sekiguchi, M.; Oda, I.; Taniguchi, H.; Suzuki, H.; Morita, S.; Fukagawa, T.; Sekine, S.; Kushima, R.; Katai, H. Risk stratification and predictive risk-scoring model for lymph node metastasis in early gastric cancer. J. Gastroenterol. 2016, 51, 961–970. [Google Scholar] [CrossRef]
- Hatta, W.; Gotoda, T.; Oyama, T.; Kawata, N.; Takahashi, A.; Yoshifuku, Y.; Hoteya, S.; Nakamura, K.; Hirano, M.; Esaki, M.; et al. Is radical surgery necessary in all patients who do not meet the curative criteria for endoscopic submucosal dissection in early gastric cancer? A multi-center retrospective study in japan. J. Gastroenterol. 2017, 52, 175–184. [Google Scholar] [CrossRef]
- Hatta, W.; Gotoda, T.; Oyama, T.; Kawata, N.; Takahashi, A.; Yoshifuku, Y.; Hoteya, S.; Nakagawa, M.; Hirano, M.; Esaki, M.; et al. A scoring system to stratify curability after endoscopic submucosal dissection for early gastric cancer: “Ecura system”. Am. J. Gastroenterol. 2017, 112, 874–881. [Google Scholar] [CrossRef] [PubMed]
- Hatta, W.; Gotoda, T.; Oyama, T.; Kawata, N.; Takahashi, A.; Yoshifuku, Y.; Hoteya, S.; Nakagawa, M.; Hirano, M.; Esaki, M.; et al. Is the ecura system useful for selecting patients who require radical surgery after noncurative endoscopic submucosal dissection for early gastric cancer? A comparative study. Gastric Cancer 2018, 21, 481–489. [Google Scholar] [CrossRef] [PubMed]
- Noguchi, Y. Blood vessel invasion in gastric carcinoma. Surgery 1990, 107, 140–148. [Google Scholar] [PubMed]
- Kahn, H.J.; Marks, A. A new monoclonal antibody, d2-40, for detection of lymphatic invasion in primary tumors. Lab. Investig. 2002, 82, 1255–1257. [Google Scholar] [CrossRef] [Green Version]
- Ji, R.C. Lymphatic endothelial cells, tumor lymphangiogenesis and metastasis: New insights into intratumoral and peritumoral lymphatics. Cancer Metastasis Rev. 2006, 25, 677–694. [Google Scholar] [CrossRef]
- Compton, C.C. Colorectal carcinoma: Diagnostic, prognostic, and molecular features. Mod. Pathol. 2003, 16, 376–388. [Google Scholar] [CrossRef] [PubMed] [Green Version]
- Yang, H.J.; Kim, S.G.; Lim, J.H.; Choi, J.; Im, J.P.; Kim, J.S.; Kim, W.H.; Jung, H.C. Predictors of lymph node metastasis in patients with non-curative endoscopic resection of early gastric cancer. Surg. Endosc. 2015, 29, 1145–1155. [Google Scholar] [CrossRef]
- Kim, W.; Kim, H.H.; Han, S.U.; Kim, M.C.; Hyung, W.J.; Ryu, S.W.; Cho, G.S.; Kim, C.Y.; Yang, H.K.; Park, D.J.; et al. Decreased morbidity of laparoscopic distal gastrectomy compared with open distal gastrectomy for stage i gastric cancer: Short-term outcomes from a multicenter randomized controlled trial (klass-01). Ann. Surg. 2016, 263, 28–35. [Google Scholar] [CrossRef] [PubMed]
- Hyung, W.J.; Yang, H.K.; Han, S.U.; Lee, Y.J.; Park, J.M.; Kim, J.J.; Kwon, O.K.; Kong, S.H.; Kim, H.I.; Lee, H.J.; et al. A feasibility study of laparoscopic total gastrectomy for clinical stage i gastric cancer: A prospective multi-center phase ii clinical trial, klass 03. Gastric Cancer 2019, 22, 214–222. [Google Scholar] [CrossRef] [PubMed] [Green Version]
- Higuchi, N.; Nakamura, K.; Ihara, E.; Akahoshi, K.; Akiho, H.; Sumida, Y.; Motomura, Y.; Kubokawa, M.; Ito, T.; Takayanagi, R. Preserved gastric motility in patients with early gastric cancer after endoscopic submucosal dissection. J. Gastroenterol. Hepatol. 2013, 28, 494–498. [Google Scholar] [CrossRef] [PubMed]
- Hashimoto, M.; Hikichi, T.; Nakamura, J.; Watanabe, K.; Takasumi, M.; Kato, T.; Suzuki, R.; Sugimoto, M.; Irie, H.; Takagi, T.; et al. Clinical characteristics of intramucosal gastric cancers with lymphovascular invasion resected by endoscopic submucosal dissection. Digestion 2021, 102, 546–553. [Google Scholar] [CrossRef] [PubMed]
- Kawata, N.; Kakushima, N.; Takizawa, K.; Tanaka, M.; Makuuchi, R.; Tokunaga, M.; Tanizawa, Y.; Bando, E.; Kawamura, T.; Sugino, T.; et al. Risk factors for lymph node metastasis and long-term outcomes of patients with early gastric cancer after non-curative endoscopic submucosal dissection. Surg. Endosc. 2017, 31, 1607–1616. [Google Scholar] [CrossRef] [PubMed]
- Sunagawa, H.; Kinoshita, T.; Kaito, A.; Shibasaki, H.; Kaneko, K.; Ochiai, A.; Ohtsu, A.; Nishida, T. Additional surgery for non-curative resection after endoscopic submucosal dissection for gastric cancer: A retrospective analysis of 200 cases. Surg. Today 2017, 47, 202–209. [Google Scholar] [CrossRef]
- Kikuchi, S.; Kuroda, S.; Nishizaki, M.; Kagawa, T.; Kanzaki, H.; Kawahara, Y.; Kagawa, S.; Tanaka, T.; Okada, H.; Fujiwara, T. Management of early gastric cancer that meet the indication for radical lymph node dissection following endoscopic resection: A retrospective cohort analysis. BMC Surg. 2017, 17, 72. [Google Scholar] [CrossRef] [PubMed] [Green Version]
- Kang, H.J.; Chung, H.; Kim, S.G.; Kim, J.; Kim, J.L.; Lee, E.; Jung, H.C. Synergistic effect of lymphatic invasion and venous invasion on the risk of lymph node metastasis in patients with non-curative endoscopic resection of early gastric cancer. J. Gastrointest. Surg. 2020, 24, 1499–1509. [Google Scholar] [CrossRef] [PubMed]
- Hyung, W.J.; Lee, J.H.; Choi, S.H.; Min, J.S.; Noh, S.H. Prognostic impact of lymphatic and/or blood vessel invasion in patients with node-negative advanced gastric cancer. Ann. Surg. Oncol. 2002, 9, 562–567. [Google Scholar] [CrossRef] [PubMed]
- Jung, D.H.; Huh, C.W.; Kim, J.H.; Hong, J.H.; Park, J.C.; Lee, Y.C.; Youn, Y.H.; Park, H.; Choi, S.H.; Noh, S.H. Risk-stratification model based on lymph node metastasis after noncurative endoscopic resection for early gastric cancer. Ann. Surg. Oncol. 2017, 24, 1643–1649. [Google Scholar] [CrossRef] [PubMed]
- Toyokawa, T.; Ohira, M.; Tanaka, H.; Minamino, H.; Sakurai, K.; Nagami, Y.; Kubo, N.; Yamamoto, A.; Sano, K.; Muguruma, K.; et al. Optimal management for patients not meeting the inclusion criteria after endoscopic submucosal dissection for gastric cancer. Surg. Endosc. 2016, 30, 2404–2414. [Google Scholar] [CrossRef]
- Sano, T.; Sasako, M.; Kinoshita, T.; Maruyama, K. Recurrence of early gastric cancer. Follow-up of 1475 patients and review of the japanese literature. Cancer 1993, 72, 3174–3178. [Google Scholar] [CrossRef]
- Ikeda, Y.; Saku, M.; Kishihara, F.; Maehara, Y. Effective follow-up for recurrence or a second primary cancer in patients with early gastric cancer. Br. J. Surg. 2005, 92, 235–239. [Google Scholar] [CrossRef] [PubMed]



| Tumor Depth | Ulcer | Differentiated | Undifferentiated | ||
|---|---|---|---|---|---|
| pT1a | Negative | ≤20 mm | >20 mm | ≤20 mm | >20 mm |
| endoscopic curability A †¶ | endoscopic curability A †¶ | endoscopic curability B †¶ | endoscopic curability C-2 ‡ | ||
| Positive | ≤30 mm | >30 mm | |||
| endoscopic curability A †¶ | endoscopic curability C-2 ‡ | endoscopic curability C-2 ‡ | endoscopic curability C-2 ‡ | ||
| pT1b (SM1) | ≤30 mm | >30 mm | |||
| endoscopic curability B †¶ | endoscopic curability C-2 ‡ | endoscopic curability C-2 ‡ | endoscopic curability C-2 ‡ | ||
| Characteristic | Patients (n = 543) | LNM (n = 44) | Rate of LNM (%) (95% CI) | p-Value |
|---|---|---|---|---|
| Age | 0.713 | |||
| ≤60 years | 199 (36.6) | 15 | 7.5 (3.9–11.2) | |
| >60 years | 344 (63.4) | 29 | 8.4 (5.5–11.4) | |
| Sex | 0.079 | |||
| Male | 389 (71.6) | 26 | 6.7 (4.2–9.2) | |
| Female | 154 (28.4) | 18 | 11.7 (6.6–16.8) | |
| Location | 0.444 | |||
| Upper third | 74 (13.6) | 7 | 9.5 (2.8–16.1) | |
| Middle third | 79 (14.5) | 8 | 10.1 (3.5–16.8) | |
| Lower third | 390 (71.8) | 29 | 7.4 (4.8–10.0) | |
| Size | 0.001 | |||
| ≤30 mm | 440 (81.0) | 27 | 6.1 (3.9–8.4) | |
| >30 mm | 103 (19.0) | 17 | 16.5 (9.3–23.7) | |
| Depth of invasion | 0.105 | |||
| Mucosa/SM1 | 170 (31.3) | 9 | 5.3 (1.9–8.7) | |
| SM2/SM3 | 373 (68.7) | 35 | 9.4 (6.4–12.3) | |
| Histopathological type | 0.610 | |||
| Differentiated | 441 (81.2) | 37 | 8.4 (5.8–11.0) | |
| Undifferentiated | 102 (18.8) | 7 | 6.9 (2.0–11.8) | |
| Vertical margin | 0.001 | |||
| Negative | 389 (71.6) | 22 | 5.7 (3.4–8.0) | |
| Positive | 154 (28.4) | 22 | 14.3 (8.8–19.8) | |
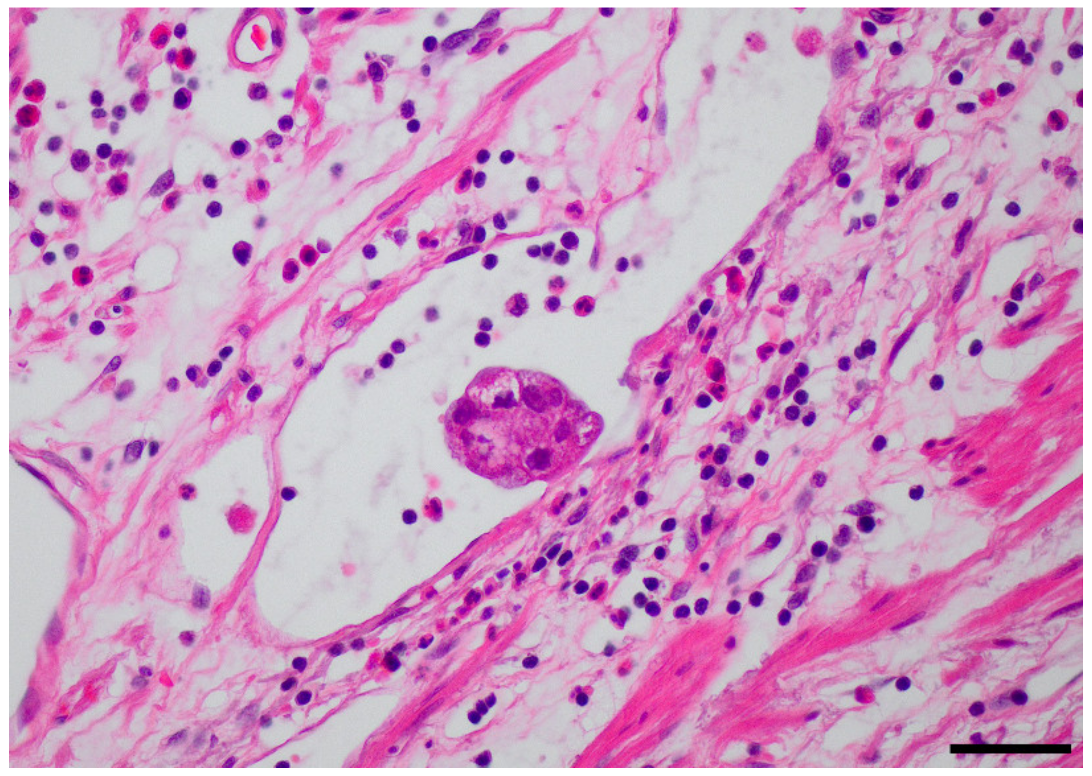
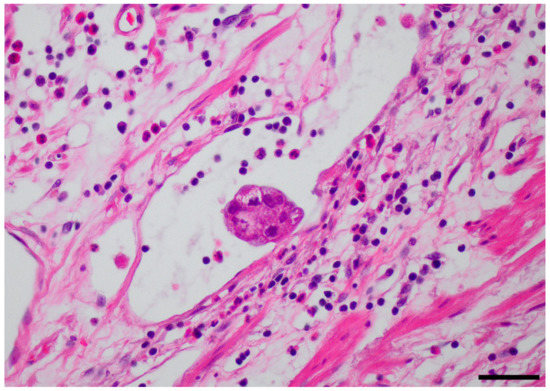
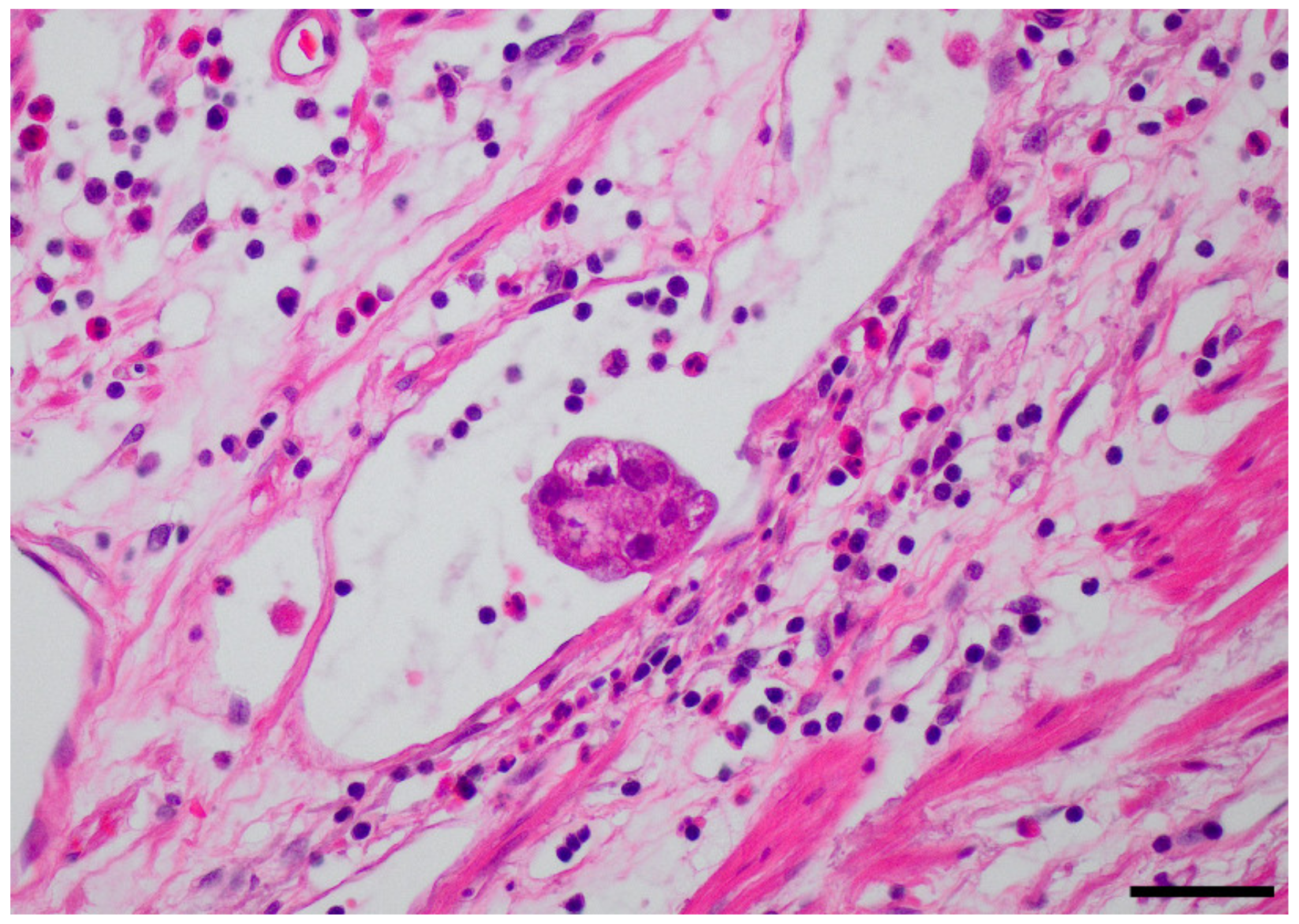
| Lymphovascular invasion | <0.001 | |||
| Negative | 251 (46.2) | 6 | 2.4 (0.5–4.3) | |
| Positive | 292 (53.8) | 38 | 13.0 (9.2–16.9) |
| Risk Factors | Odds Ratio | 95% CI | p-Value |
|---|---|---|---|
| Size | <0.001 | ||
| ≤30 mm | 1 | Reference | |
| >30 mm | 3.772 | 1.867–7.624 | |
| Depth of invasion | 0.334 | ||
| Mucosa/SM1 | 1 | Reference | |
| SM2/SM3 | 1.509 | 0.655–3.477 | |
| Vertical margin | <0.001 | ||
| Negative | 1 | Reference | |
| Positive | 3.930 | 2.007–7.698 | |
| Lymphovascular invasion | <0.001 | ||
| Negative | 1 | Reference | |
| Positive | 8.199 | 3.304–20.346 |
| No. of Risk Factors | Risk Factors | Patients (n = 543) | LNM (n = 44) | Rate of LNM (%) (95% CI) |
|---|---|---|---|---|
| 0 | None | 28 (5.2) | 1 | 3.6 (0–10.4) |
| 1 | Tumor size > 30 mm | 24 (4.4) | 1 | 4.2 (0–12.2) |
| SM2/SM3 | 98 (18.0) | 1 | 1.0 (0–3.0) | |
| Vertical margin (+) | 9 (1.7) | 1 | 11.1 (0–31.6) | |
| LVI | 85 (15.7) | 2 | 2.4 (0–5.6) | |
| 2 | Without LVI | 82 (15.1) | 2 | 2.4 (0–5.8) |
| With LVI | 122 (22.5) | 13 | 10.7 (5.2–16.1) | |
| 3 | Without LVI | 10 (1.8) | 0 | |
| With LVI | 72 (13.3) | 15 | 20.8 (11.5–30.2) | |
| 4 | All risk factors | 13 (2.4) | 8 | 61.5 (35.1–88.0) |
| Risk Group | Risk Factors | Patients (n = 543) | LNM (n = 44) |
|---|---|---|---|
| Low | without LVI or with LVI only | 336 (61.9) | 8 (2.4%; 95% CI: 0.8–4.0) |
| High | with LVI and other risk factors | 207 (38.1) | 36 (17.4%; 95% CI: 12.2–22.6) |
Publisher’s Note: MDPI stays neutral with regard to jurisdictional claims in published maps and institutional affiliations. |
© 2021 by the authors. Licensee MDPI, Basel, Switzerland. This article is an open access article distributed under the terms and conditions of the Creative Commons Attribution (CC BY) license (https://creativecommons.org/licenses/by/4.0/).
Share and Cite
Lee, S.; Song, J.H.; Park, S.H.; Cho, M.; Kim, Y.M.; Kim, H.-I.; Hyung, W.J. Determination of Additional Surgery after Non-Curative Endoscopic Submucosal Dissection in Patients with Early Gastric Cancer: A Practically Modified Application of the eCura System. Cancers 2021, 13, 5768. https://doi.org/10.3390/cancers13225768
Lee S, Song JH, Park SH, Cho M, Kim YM, Kim H-I, Hyung WJ. Determination of Additional Surgery after Non-Curative Endoscopic Submucosal Dissection in Patients with Early Gastric Cancer: A Practically Modified Application of the eCura System. Cancers. 2021; 13(22):5768. https://doi.org/10.3390/cancers13225768
Chicago/Turabian StyleLee, Sejin, Jeong Ho Song, Sung Hyun Park, Minah Cho, Yoo Min Kim, Hyoung-Il Kim, and Woo Jin Hyung. 2021. "Determination of Additional Surgery after Non-Curative Endoscopic Submucosal Dissection in Patients with Early Gastric Cancer: A Practically Modified Application of the eCura System" Cancers 13, no. 22: 5768. https://doi.org/10.3390/cancers13225768
APA StyleLee, S., Song, J. H., Park, S. H., Cho, M., Kim, Y. M., Kim, H.-I., & Hyung, W. J. (2021). Determination of Additional Surgery after Non-Curative Endoscopic Submucosal Dissection in Patients with Early Gastric Cancer: A Practically Modified Application of the eCura System. Cancers, 13(22), 5768. https://doi.org/10.3390/cancers13225768

