Molecular Progression of Myeloproliferative and Myelodysplastic/Myeloproliferative Neoplasms: A Study on Sequential Bone Marrow Biopsies
Abstract
:Simple Summary
Abstract
1. Introduction
2. Materials and Methods
2.1. Patients and Outcome
2.2. Molecular Analysis of Bone Marrow Biopsies
2.3. Statistical Analysis
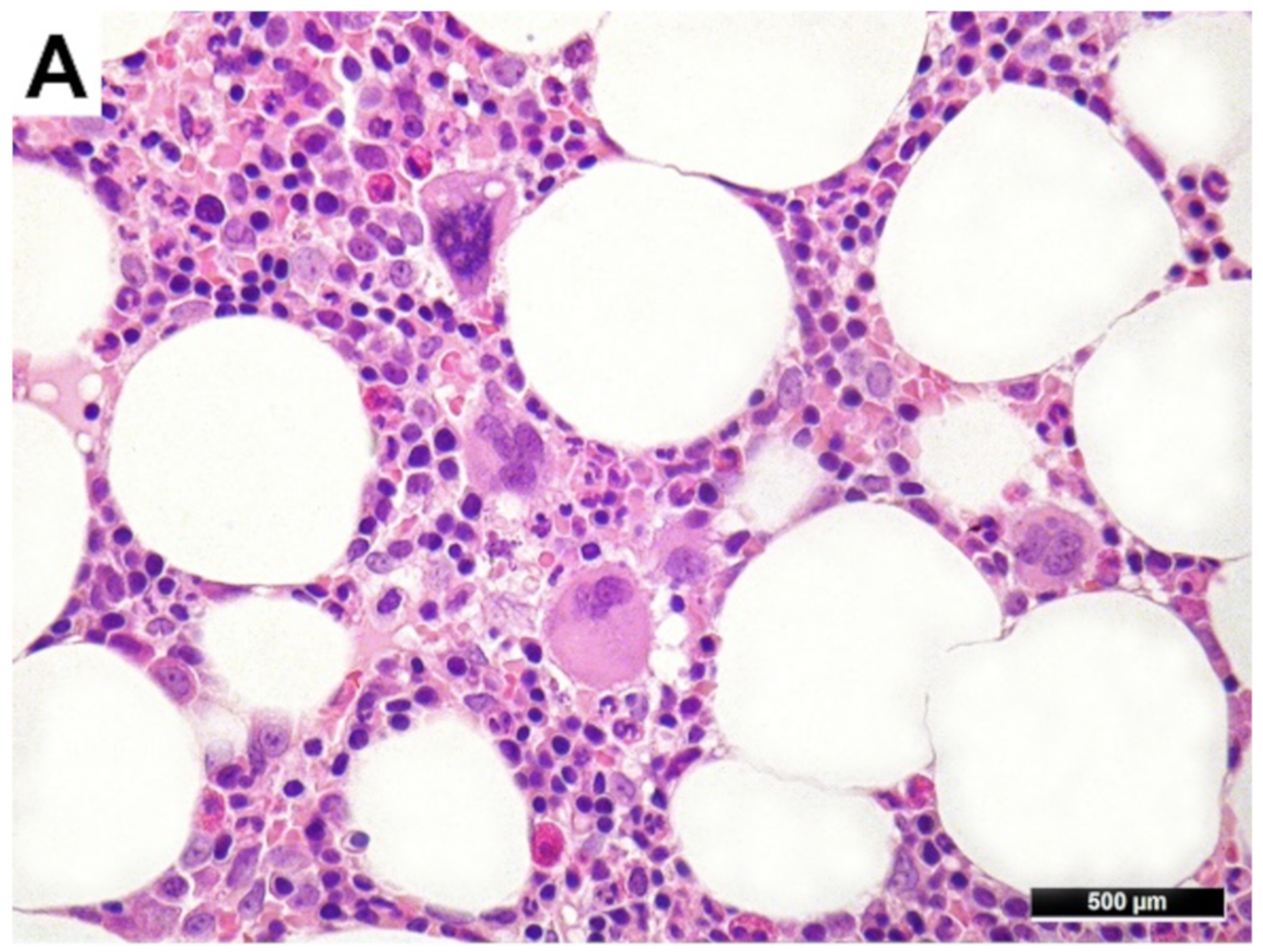
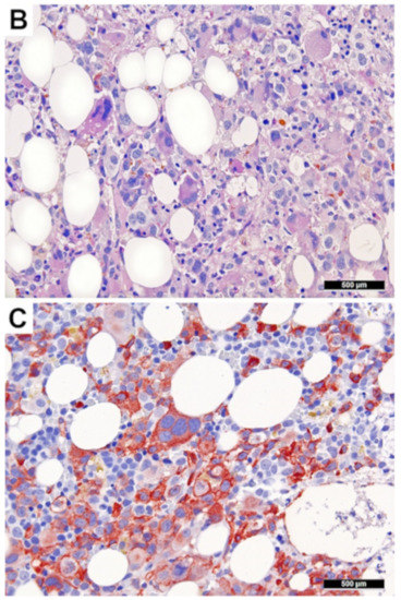
3. Results
3.1. Patients and Outcome
3.2. Outcome and Total Number of Mutations
3.3. Correlation Analysis: Clinical Presentation and Presence of Specific Mutations
3.4. Allelic Frequencies and Clonal Evolution
4. Discussion
5. Conclusions
Author Contributions
Funding
Institutional Review Board Statement
Informed Consent Statement
Data Availability Statement
Conflicts of Interest
References
- Homaei Hadad, E.; Pezeshki, S.M.S.; Shahrabi, S.; Saki Malehi, A.; Saki, N. Co-Existence of Mutations in Myeloproliferative Neoplasms and Their Clinical Significance: A Prognostic Approach. Expert Rev. Hematol. 2020, 13, 1289–1301. [Google Scholar] [CrossRef]
- Vainchenker, W.; Kralovics, R. Genetic Basis and Molecular Pathophysiology of Classical Myeloproliferative Neoplasms. Blood 2017, 129, 667–679. [Google Scholar] [CrossRef] [PubMed] [Green Version]
- Rampal, R.; Al-Shahrour, F.; Abdel-Wahab, O.; Patel, J.P.; Brunel, J.-P.; Mermel, C.H.; Bass, A.J.; Pretz, J.; Ahn, J.; Hricik, T.; et al. Integrated Genomic Analysis Illustrates the Central Role of JAK-STAT Pathway Activation in Myeloproliferative Neoplasm Pathogenesis. Blood 2014, 123, e123–e133. [Google Scholar] [CrossRef] [PubMed]
- Tefferi, A. Myeloproliferative Neoplasms: A Decade of Discoveries and Treatment Advances. Am. J. Hematol. 2016, 91, 50–58. [Google Scholar] [CrossRef] [PubMed] [Green Version]
- Lundberg, P.; Karow, A.; Nienhold, R.; Looser, R.; Hao-Shen, H.; Nissen, I.; Girsberger, S.; Lehmann, T.; Passweg, J.; Stern, M.; et al. Clonal Evolution and Clinical Correlates of Somatic Mutations in Myeloproliferative Neoplasms. Blood 2014, 123, 2220–2228. [Google Scholar] [CrossRef] [Green Version]
- Gerlach, M.M.; Lundberg, P.; Halter, J.; Arranto, C.; Wenzel, F.; Dirnhofer, S.; Tzankov, A. Clonogenic versus Morphogenic Mutations in Myeloid Neoplasms: Chronologic Observations in a U2AF1, TET2, CSF3R and JAK2 “co-Mutated” Myeloproliferative Neoplasm Suggest a Hierarchical Order of Mutations and Potential Predictive Value for Kinase Inhibitor Treatment Response. Leuk. Lymphoma 2018, 59, 1994–1997. [Google Scholar] [CrossRef] [PubMed]
- Ortmann, C.A.; Kent, D.G.; Nangalia, J.; Silber, Y.; Wedge, D.C.; Grinfeld, J.; Baxter, E.J.; Massie, C.E.; Papaemmanuil, E.; Menon, S.; et al. Effect of Mutation Order on Myeloproliferative Neoplasms. N. Engl. J. Med. 2015, 372, 601–612. [Google Scholar] [CrossRef] [Green Version]
- Nangalia, J.; Nice, F.L.; Wedge, D.C.; Godfrey, A.L.; Grinfeld, J.; Thakker, C.; Massie, C.E.; Baxter, J.; Sewell, D.; Silber, Y.; et al. DNMT3A Mutations Occur Early or Late in Patients with Myeloproliferative Neoplasms and Mutation Order Influences Phenotype. Haematologica 2015, 100, e438–e442. [Google Scholar] [CrossRef] [Green Version]
- Bartels, S.; Vogtmann, J.; Schipper, E.; Büsche, G.; Schlue, J.; Lehmann, U.; Kreipe, H. Combination of Myeloproliferative Neoplasm Driver Gene Activation with Mutations of Splice Factor or Epigenetic Modifier Genes Increases Risk of Rapid Blastic Progression. Eur. J. Haematol. 2021, 106, 520–528. [Google Scholar] [CrossRef]
- Swerdlow, S.H.; Campo, E.; Harris, N.L.; Jaffe, E.S.; Pileri, S.A.; Stein, H.; Thiele, J.; Arber, D.A.; Hasserjian, R.P.; Le Beau, M.M.; et al. WHO Classification of Tumours of Haematopoietic and Lymphoid Tissues; WHO Classification; Revisied 4th.; International Agency for Research on Cancer: Lyon, France, 2017. [Google Scholar]
- Kohlmann, A.; Grossmann, V.; Klein, H.-U.; Schindela, S.; Weiss, T.; Kazak, B.; Dicker, F.; Schnittger, S.; Dugas, M.; Kern, W.; et al. Next-Generation Sequencing Technology Reveals a Characteristic Pattern of Molecular Mutations in 72.8% of Chronic Myelomonocytic Leukemia by Detecting Frequent Alterations in TET2, CBL, RAS, and RUNX1. J. Clin. Oncol. Off. J. Am. Soc. Clin. Oncol. 2010, 28, 3858–3865. [Google Scholar] [CrossRef]
- Tartaglia, M.; Niemeyer, C.M.; Fragale, A.; Song, X.; Buechner, J.; Jung, A.; Hählen, K.; Hasle, H.; Licht, J.D.; Gelb, B.D. Somatic Mutations in PTPN11 in Juvenile Myelomonocytic Leukemia, Myelodysplastic Syndromes and Acute Myeloid Leukemia. Nat. Genet. 2003, 34, 148–150. [Google Scholar] [CrossRef]
- Chang, T.Y.; Dvorak, C.C.; Loh, M.L. Bedside to Bench in Juvenile Myelomonocytic Leukemia: Insights into Leukemogenesis from a Rare Pediatric Leukemia. Blood 2014, 124, 2487–2497. [Google Scholar] [CrossRef] [PubMed] [Green Version]
- Ko, M.; Huang, Y.; Jankowska, A.M.; Pape, U.J.; Tahiliani, M.; Bandukwala, H.S.; An, J.; Lamperti, E.D.; Koh, K.P.; Ganetzky, R.; et al. Impaired Hydroxylation of 5-Methylcytosine in Myeloid Cancers with Mutant TET2. Nature 2010, 468, 839–843. [Google Scholar] [CrossRef] [PubMed] [Green Version]
- Coltro, G.; Mangaonkar, A.A.; Lasho, T.L.; Finke, C.M.; Pophali, P.; Carr, R.; Gangat, N.; Binder, M.; Pardanani, A.; Fernandez-Zapico, M.; et al. Clinical, Molecular, and Prognostic Correlates of Number, Type, and Functional Localization of TET2 Mutations in Chronic Myelomonocytic Leukemia (CMML)-a Study of 1084 Patients. Leukemia 2020, 34, 1407–1421. [Google Scholar] [CrossRef]
- Abdel-Wahab, O.; Pardanani, A.; Patel, J.; Wadleigh, M.; Lasho, T.; Heguy, A.; Beran, M.; Gilliland, D.G.; Levine, R.L.; Tefferi, A. Concomitant Analysis of EZH2 and ASXL1 Mutations in Myelofibrosis, Chronic Myelomonocytic Leukemia and Blast-Phase Myeloproliferative Neoplasms. Leukemia 2011, 25, 1200–1202. [Google Scholar] [CrossRef] [PubMed] [Green Version]
- Tefferi, A.; Lim, K.-H.; Abdel-Wahab, O.; Lasho, T.; Patel, J.; Patnaik, M.; Hanson, C.; Pardanani, A.; Gilliland, D.; Levine, R. Detection of Mutant TET2 in Myeloid Malignancies Other than Myeloproliferative Neoplasms: CMML, MDS, MDS/MPN and AML. Leukemia 2009, 23, 1343–1345. [Google Scholar] [CrossRef] [Green Version]
- Meggendorfer, M.; Roller, A.; Haferlach, T.; Eder, C.; Dicker, F.; Grossmann, V.; Kohlmann, A.; Alpermann, T.; Yoshida, K.; Ogawa, S.; et al. SRSF2 Mutations in 275 Cases with Chronic Myelomonocytic Leukemia (CMML). Blood 2012, 120, 3080–3088. [Google Scholar] [CrossRef]
- Shallis, R.M.; Wang, R.; Davidoff, A.; Ma, X.; Zeidan, A.M. Epidemiology of Acute Myeloid Leukemia: Recent Progress and Enduring Challenges. Blood Rev. 2019, 36, 70–87. [Google Scholar] [CrossRef]
- Engle, E.K.; Fisher, D.A.C.; Miller, C.A.; McLellan, M.D.; Fulton, R.S.; Moore, D.M.; Wilson, R.K.; Ley, T.J.; Oh, S.T. Clonal Evolution Revealed by Whole Genome Sequencing in a Case of Primary Myelofibrosis Transformed to Secondary Acute Myeloid Leukemia. Leukemia 2015, 29, 869–876. [Google Scholar] [CrossRef] [Green Version]
- Newberry, K.J.; Patel, K.; Masarova, L.; Luthra, R.; Manshouri, T.; Jabbour, E.; Bose, P.; Daver, N.; Cortes, J.; Kantarjian, H.; et al. Clonal Evolution and Outcomes in Myelofibrosis after Ruxolitinib Discontinuation. Blood 2017, 130, 1125–1131. [Google Scholar] [CrossRef] [Green Version]
- Thoennissen, N.H.; Krug, U.O.; Lee, D.H.T.; Kawamata, N.; Iwanski, G.B.; Lasho, T.; Weiss, T.; Nowak, D.; Koren-Michowitz, M.; Kato, M.; et al. Prevalence and Prognostic Impact of Allelic Imbalances Associated with Leukemic Transformation of Philadelphia Chromosome–Negative Myeloproliferative Neoplasms. Blood 2010, 115, 2882–2890. [Google Scholar] [CrossRef] [Green Version]
- Abdel-Wahab, O.; Manshouri, T.; Patel, J.; Harris, K.; Yao, J.; Hedvat, C.; Heguy, A.; Bueso-Ramos, C.; Kantarjian, H.; Levine, R.L.; et al. Genetic Analysis of Transforming Events That Convert Chronic Myeloproliferative Neoplasms to Leukemias. Cancer Res. 2010, 70, 447–452. [Google Scholar] [CrossRef] [Green Version]
- Harutyunyan, A.; Klampfl, T.; Cazzola, M.; Kralovics, R. P53 Lesions in Leukemic Transformation. N. Engl. J. Med. 2011, 364, 488–490. [Google Scholar] [CrossRef] [Green Version]
- Zhang, S.-J.; Rampal, R.; Manshouri, T.; Patel, J.; Mensah, N.; Kayserian, A.; Hricik, T.; Heguy, A.; Hedvat, C.; Gönen, M.; et al. Genetic Analysis of Patients with Leukemic Transformation of Myeloproliferative Neoplasms Shows Recurrent SRSF2 Mutations That Are Associated with Adverse Outcome. Blood 2012, 119, 4480–4485. [Google Scholar] [CrossRef]
- Green, A.; Beer, P. Somatic Mutations of IDH1 and IDH2 in the Leukemic Transformation of Myeloproliferative Neoplasms. N. Engl. J. Med. 2010, 362, 369–370. [Google Scholar] [CrossRef] [PubMed]
- Gaidano, G.; Guerrasio, A.; Serra, A.; Carozzi, F.; Cambrin, G.R.; Petroni, D.; Saglio, G. Mutations in the P53 and RAS Family Genes Are Associated with Tumor Progression of BCR/ABL Negative Chronic Myeloproliferative Disorders. Leukemia 1993, 7, 946–953. [Google Scholar]
- Klampfl, T.; Harutyunyan, A.; Berg, T.; Gisslinger, B.; Schalling, M.; Bagienski, K.; Olcaydu, D.; Passamonti, F.; Rumi, E.; Pietra, D.; et al. Genome Integrity of Myeloproliferative Neoplasms in Chronic Phase and during Disease Progression. Blood 2011, 118, 167–176. [Google Scholar] [CrossRef]
- Federmann, B.; Abele, M.; Rosero Cuesta, D.S.; Vogel, W.; Boiocchi, L.; Kanz, L.; Quintanilla-Martinez, L.; Orazi, A.; Bonzheim, I.; Fend, F. The Detection of SRSF2 Mutations in Routinely Processed Bone Marrow Biopsies Is Useful in the Diagnosis of Chronic Myelomonocytic Leukemia. Hum. Pathol. 2014, 45, 2471–2479. [Google Scholar] [CrossRef] [PubMed]
- Boiocchi, L.; Hasserjian, R.P.; Pozdnyakova, O.; Wong, W.J.; Lennerz, J.K.; Le, L.P.; Dias-Santagata, D.; Iafrate, A.J.; Hobbs, G.S.; Nardi, V. Clinicopathological and Molecular Features of SF3B1-Mutated Myeloproliferative Neoplasms. Hum. Pathol. 2019, 86, 1–11. [Google Scholar] [CrossRef] [PubMed]
- Todisco, G.; Creignou, M.; Gallì, A.; Guglielmelli, P.; Rumi, E.; Roncador, M.; Rizzo, E.; Nannya, Y.; Pietra, D.; Elena, C.; et al. Co-Mutation Pattern, Clonal Hierarchy, and Clone Size Concur to Determine Disease Phenotype of SRSF2 P95 -Mutated Neoplasms. Leukemia 2020, 35, 2371–2381. [Google Scholar] [CrossRef]
- Campbell, P.J.; Baxter, E.J.; Beer, P.A.; Scott, L.M.; Bench, A.J.; Huntly, B.J.P.; Erber, W.N.; Kusec, R.; Larsen, T.S.; Giraudier, S.; et al. Mutation of JAK2 in the Myeloproliferative Disorders: Timing, Clonality Studies, Cytogenetic Associations, and Role in Leukemic Transformation. Blood 2006, 108, 3548–3555. [Google Scholar] [CrossRef] [Green Version]
- Todorova, R.; Passweg, J.; Lundberg, P.; Tzankov, A. Does the Order of Mutational Acquisition in Myeloproliferative Neoplasms Matter? Evidence from JAK2 Exon 12 and DNMT3A Co-Mutant Polycythemia Vera. J. Hematop. 2020, 13. [Google Scholar] [CrossRef]
- Stieglitz, E.; Taylor-Weiner, A.N.; Chang, T.Y.; Gelston, L.C.; Wang, Y.-D.; Mazor, T.; Esquivel, E.; Yu, A.; Seepo, S.; Olsen, S.R.; et al. The Genomic Landscape of Juvenile Myelomonocytic Leukemia. Nat. Genet. 2015, 47, 1326–1333. [Google Scholar] [CrossRef]
- Patnaik, M.M.; Barraco, D.; Lasho, T.L.; Finke, C.M.; Reichard, K.; Hoversten, K.P.; Ketterling, R.P.; Gangat, N.; Tefferi, A. Targeted next Generation Sequencing and Identification of Risk Factors in World Health Organization Defined Atypical Chronic Myeloid Leukemia. Am. J. Hematol. 2017, 92, 542–548. [Google Scholar] [CrossRef]
- Piazza, R.; Valletta, S.; Winkelmann, N.; Redaelli, S.; Spinelli, R.; Pirola, A.; Antolini, L.; Mologni, L.; Donadoni, C.; Papaemmanuil, E.; et al. Recurrent SETBP1 Mutations in Atypical Chronic Myeloid Leukemia. Nat. Genet. 2013, 45, 18–24. [Google Scholar] [CrossRef]
- Woo, J.; Choi, D.R.; Storer, B.E.; Yeung, C.; Halpern, A.B.; Salit, R.B.; Sorror, M.L.; Woolston, D.W.; Monahan, T.; Scott, B.L.; et al. Impact of Clinical, Cytogenetic, and Molecular Profiles on Long-Term Survival after Transplantation in Patients with Chronic Myelomonocytic Leukemia. Haematologica 2020, 105, 652–660. [Google Scholar] [CrossRef] [PubMed] [Green Version]
- Patnaik, M.M.; Itzykson, R.; Lasho, T.L.; Kosmider, O.; Finke, C.M.; Hanson, C.A.; Knudson, R.A.; Ketterling, R.P.; Tefferi, A.; Solary, E. ASXL1 and SETBP1 Mutations and Their Prognostic Contribution in Chronic Myelomonocytic Leukemia: A Two-Center Study of 466 Patients. Leukemia 2014, 28, 2206–2212. [Google Scholar] [CrossRef] [PubMed]
- ICSH Guidelines for the Standardization of Bone Marrow Immunohistochemistry-Torlakovic-2015-International Journal of Laboratory Hematology-Wiley Online Library. Available online: https://onlinelibrary.wiley.com/doi/full/10.1111/ijlh.12365 (accessed on 29 June 2021).
- Thiele, J.; Kvasnicka, H.M.; Facchetti, F.; Franco, V.; van der Walt, J.; Orazi, A. European Consensus on Grading Bone Marrow Fibrosis and Assessment of Cellularity. Haematologica 2005, 90, 1128–1132. [Google Scholar]
- Kopanos, C.; Tsiolkas, V.; Kouris, A.; Chapple, C.E.; Albarca Aguilera, M.; Meyer, R.; Massouras, A. VarSome: The Human Genomic Variant Search Engine. Bioinformatics 2019, 35, 1978–1980. [Google Scholar] [CrossRef] [PubMed]
- Senín, A.; Fernández-Rodríguez, C.; Bellosillo, B.; Camacho, L.; Longarón, R.; Angona, A.; Besses, C.; Álvarez-Larrán, A. Non-Driver Mutations in Patients with JAK2V617F-Mutated Polycythemia Vera or Essential Thrombocythemia with Long-Term Molecular Follow-Up. Ann. Hematol. 2018, 97, 443–451. [Google Scholar] [CrossRef]
- Lasho, T.L.; Mudireddy, M.; Finke, C.M.; Hanson, C.A.; Ketterling, R.P.; Szuber, N.; Begna, K.H.; Patnaik, M.M.; Gangat, N.; Pardanani, A.; et al. Targeted Next-Generation Sequencing in Blast Phase Myeloproliferative Neoplasms. Blood Adv. 2018, 2, 370–380. [Google Scholar] [CrossRef] [PubMed] [Green Version]
- Palomo, L.; Meggendorfer, M.; Hutter, S.; Twardziok, S.; Ademà, V.; Fuhrmann, I.; Fuster-Tormo, F.; Xicoy, B.; Zamora, L.; Acha, P.; et al. Molecular Landscape and Clonal Architecture of Adult Myelodysplastic/Myeloproliferative Neoplasms. Blood 2020, 136, 1851–1862. [Google Scholar] [CrossRef]
- Luque Paz, D.; Jouanneau-Courville, R.; Riou, J.; Ianotto, J.-C.; Boyer, F.; Chauveau, A.; Renard, M.; Chomel, J.-C.; Cayssials, E.; Gallego-Hernanz, M.-P.; et al. Leukemic Evolution of Polycythemia Vera and Essential Thrombocythemia: Genomic Profiles Predict Time to Transformation. Blood Adv. 2020, 4, 4887–4897. [Google Scholar] [CrossRef] [PubMed]
- Santos, F.P.S.; Getta, B.; Masarova, L.; Famulare, C.; Schulman, J.; Datoguia, T.S.; Puga, R.D.; Alves Paiva, R.d.M.; Arcila, M.E.; Hamerschlak, N.; et al. Prognostic Impact of RAS-Pathway Mutations in Patients with Myelofibrosis. Leukemia 2020, 34, 799–810. [Google Scholar] [CrossRef] [PubMed]
- Tenedini, E.; Bernardis, I.; Artusi, V.; Artuso, L.; Roncaglia, E.; Guglielmelli, P.; Pieri, L.; Bogani, C.; Biamonte, F.; Rotunno, G.; et al. Targeted Cancer Exome Sequencing Reveals Recurrent Mutations in Myeloproliferative Neoplasms. Leukemia 2014, 28, 1052–1059. [Google Scholar] [CrossRef] [PubMed] [Green Version]




| ID | Sex | Age | Primary Disease | Progression | Type of Progression (Either Histologically Confirmed or Clinically Documented) | Time to Progression or Last Follow-Up (Months) | Sample 1 | Sample 2 |
|---|---|---|---|---|---|---|---|---|
| 1 | F | 57 | ET | Yes | MDS > AML | 146 | Initial diagnosis | F-up (MDS) |
| 2 | F | 67 | ET | Yes | MDS > AML | 39 | Initial diagnosis | F-up (AML) |
| 3 | F | 71 | ET | Yes | AML | unknown | F-up (MPN blast phase) | Not available |
| 4 | M | 63 | ET | Yes | MDS | 54 | F-up (MDS EB1) | Not available |
| 5 | M | 55 | ET | Yes | AML | 84 | F-up (MPN blast phase) | F-up (AML) |
| 6 | M | 49 | PV | Yes | MDS > AML > myelosarcoma | 155 | F-up (MDS) | F-up (Myelofibrosis) |
| 7 | M | 70 | PV | Yes | MDS | 93 | F-up (MDS) | Not available |
| 8 | F | 53 | PMF | Yes | AML | 167 | Initial diagnosis | F-up (PMF) |
| 9 | F | 58 | PMF | Yes | AML | 30 | Initial diagnosis | Not available |
| 10 | M | 74 | PMF | Yes | AML | 18 | Initial diagnosis | F-up (AML) |
| 11 | M | 55 | PMF | Yes | AML | 4 | Initial diagnosis | Not available |
| 12 | M | 71 | PMF | Yes | AML | 1.5 | F-up (accelerated MPN) | F-up (AML) |
| 13 | M | 55 | MPN-U | Yes | AML | 17 | Not available | F-up (AML) |
| 14 | M | 71 | MDS/MPN-U | Yes | AML | 23 | Initial diagnosis | F-up (AML) |
| 15 | M | 80 | MDS/MPN-U | Yes | AML | unknown | ? (MDS/MPN-U) | Not available |
| 16 | M | 83 | MDS/MPN-U | Yes | AML | unknown | ? (MDS/MPN-U) | Not available |
| 17 | M | 51 | MDS/MPN-U | Yes | MDS excess blasts (EB) type 2 | 70 | F-up (MDS/MPN-U) | F-up (MDS/MPN-U) |
| 18 | M | 55 | CMML | Yes | AML > myelosarcoma | unknown | ? (CMML) | F-up (CMML) |
| 19 | F | 79 | CMML | Yes | AML > myelosarcoma | unknown | ? (CMML) | F-up (CMML) |
| 20 | M | 78 | aCML | Yes | AML | unknown | ? (aCML) | F-up (aCML) |
| 21 | M | 76 | ET | No | None | unknown | Initial diagnosis | Not available |
| 22 | M | 45 | PV | No | None | 109 | F-up (PV) | F-up (PV) |
| 23 | M | 75 | PV | No | None | 109 | Initial diagnosis | Not available |
| 24 | F | 64 | PMF | No | None | 115 | Initial diagnosis | Not available |
| 25 | F | 84 | PMF | No | None | 60 | Initial diagnosis | F-up (PMF) |
| 26 | F | 82 | PMF | No | None | unknown | Initial diagnosis | Not available |
| 27 | F | 75 | PMF | No | None | 45 | Initial diagnosis | Not available |
| 28 | M | 67 | MPN-U | No | None | unknown | Initial diagnosis | Not available |
| 29 | M | 30 | MPN-U | No | None | unknown | Initial diagnosis | Not available |
| 30 | M | 75 | MPN-U | No | None | 10 | Initial diagnosis | Not available |
| 31 | M | 68 | MDS/MPN-U | No | None | 24 | F-up (MDS/MPN-U) | F-up (MDS/MPN-U) |
Publisher’s Note: MDPI stays neutral with regard to jurisdictional claims in published maps and institutional affiliations. |
© 2021 by the authors. Licensee MDPI, Basel, Switzerland. This article is an open access article distributed under the terms and conditions of the Creative Commons Attribution (CC BY) license (https://creativecommons.org/licenses/by/4.0/).
Share and Cite
Brune, M.M.; Rau, A.; Overkamp, M.; Flaadt, T.; Bonzheim, I.; Schürch, C.M.; Federmann, B.; Dirnhofer, S.; Fend, F.; Tzankov, A. Molecular Progression of Myeloproliferative and Myelodysplastic/Myeloproliferative Neoplasms: A Study on Sequential Bone Marrow Biopsies. Cancers 2021, 13, 5605. https://doi.org/10.3390/cancers13225605
Brune MM, Rau A, Overkamp M, Flaadt T, Bonzheim I, Schürch CM, Federmann B, Dirnhofer S, Fend F, Tzankov A. Molecular Progression of Myeloproliferative and Myelodysplastic/Myeloproliferative Neoplasms: A Study on Sequential Bone Marrow Biopsies. Cancers. 2021; 13(22):5605. https://doi.org/10.3390/cancers13225605
Chicago/Turabian StyleBrune, Magdalena M., Achim Rau, Mathis Overkamp, Tim Flaadt, Irina Bonzheim, Christian M. Schürch, Birgit Federmann, Stefan Dirnhofer, Falko Fend, and Alexandar Tzankov. 2021. "Molecular Progression of Myeloproliferative and Myelodysplastic/Myeloproliferative Neoplasms: A Study on Sequential Bone Marrow Biopsies" Cancers 13, no. 22: 5605. https://doi.org/10.3390/cancers13225605
APA StyleBrune, M. M., Rau, A., Overkamp, M., Flaadt, T., Bonzheim, I., Schürch, C. M., Federmann, B., Dirnhofer, S., Fend, F., & Tzankov, A. (2021). Molecular Progression of Myeloproliferative and Myelodysplastic/Myeloproliferative Neoplasms: A Study on Sequential Bone Marrow Biopsies. Cancers, 13(22), 5605. https://doi.org/10.3390/cancers13225605

