Principles of Surgical Management of Small Intestinal NET
Abstract
:Simple Summary
Abstract
1. Introduction
2. Scheduled Surgery
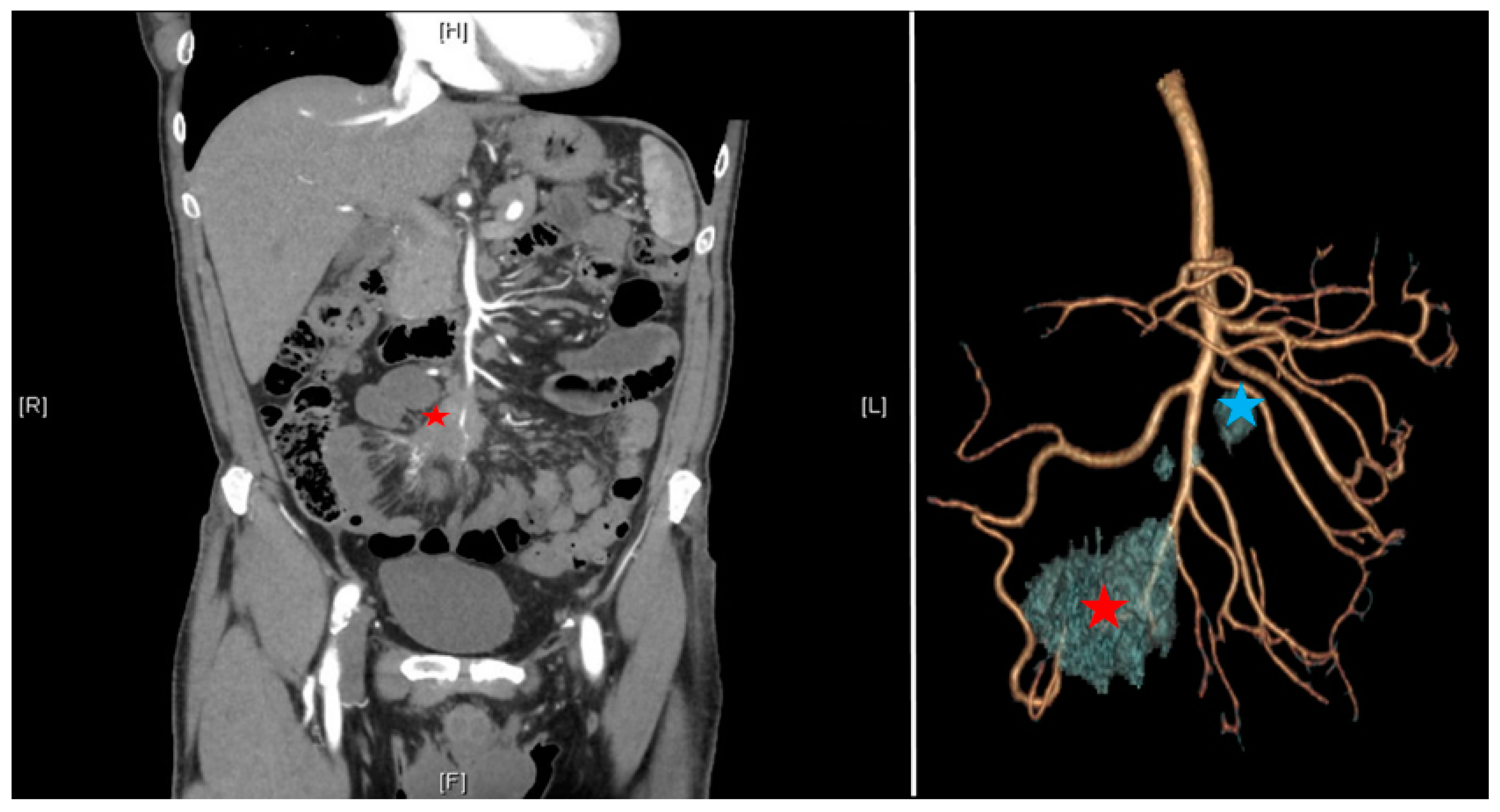
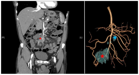
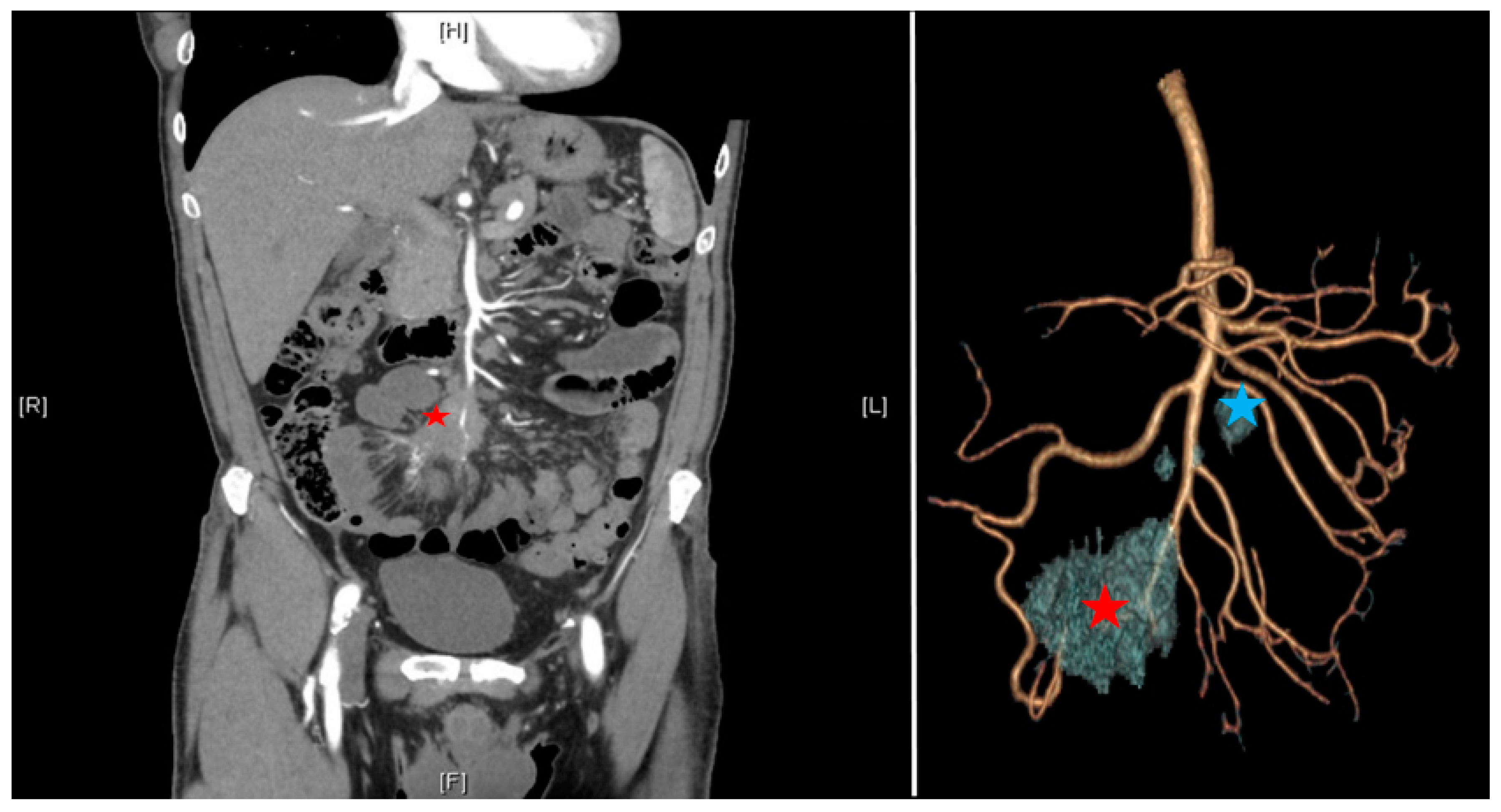
2.1. Preoperative Workout
2.2. Centralization of Procedures
2.3. Laparotomy or Laparoscopy
2.4. Exploration of the Abdomen
2.5. Cholecystectomy
2.6. Extensive Lymphadenectomy
2.7. Resection of the Primitive Lesions and Mesenteric Tumor—Technical Points
2.8. Operating Report
- -
- At the hepatic level: the presence of a miliary, the location of lesions, the realization of biopsy, and ultrasonography report.
- -
- Mapping of the carcinosis.
- -
- Description of ovarian involvement.
- -
- The number of tumors, their location in relation to the mesenteric axis.
- -
- Classification of the mesenteric mass as resectable type 1 to 4.
- -
- Measurements between the Treitz angle and the first lesion, the resected length and the length downstream to the ileocecal valve.
- -
- The need for a right colectomy.
2.9. Oophorectomy
3. Emergency Surgery
4. Conclusions
Author Contributions
Funding
Institutional Review Board Statement
Informed Consent Statement
Data Availability Statement
Conflicts of Interest
References
- Pasquer, A.; Poncet, G. Small bowel neuroendocrine tumors surgery: Technical point—With video. J. Visc. Surg. 2017, 154, 61–62. [Google Scholar] [CrossRef] [PubMed]
- Dasari, A.; Shen, C.; Halperin, D.M.; Zhao, B.; Zhou, S.; Xu, Y.; Shih, T.; Yao, J.C. Trends in the Incidence, Prevalence, and Survival Outcomes in Patients With Neuroendocrine Tumors in the United States. JAMA Oncol. 2017, 3, 1335–1342. [Google Scholar] [CrossRef] [PubMed]
- Gangi, A.; Siegel, E.; Barmparas, G.; Lo, S.; Jamil, L.H.; Hendifar, A.; Nissen, N.N.; Wolin, E.M.; Amersi, F. Multifocality in Small Bowel Neuroendocrine Tumors. J. Gastrointest. Surg. 2017, 22, 303–309. [Google Scholar] [CrossRef]
- Strosberg, J.R.; Weber, J.M.; Feldman, M.; Coppola, D.; Meredith, K.; Kvols, L.K. Prognostic Validity of the American Joint Committee on Cancer Staging Classification for Midgut Neuroendocrine Tumors. J. Clin. Oncol. 2013, 31, 420–425. [Google Scholar] [CrossRef] [PubMed] [Green Version]
- Yantiss, R.K.; Odze, R.; Farraye, F.A.; Rosernberg, A.E. Solitary Versus Multiple Carcinoid Tumors of the Ileum. Am. J. Surg. Pathol. 2003, 27, 811–817. [Google Scholar] [CrossRef]
- Pasquer, A.; Walter, T.; Hervieu, V.; Forestier, J.; Scoazec, J.-Y.; Lombard-Bohas, C.; Poncet, G. Surgical Management of Small Bowel Neuroendocrine Tumors: Specific Requirements and Their Impact on Staging and Prognosis. Ann. Surg. Oncol. 2015, 22, 742–749. [Google Scholar] [CrossRef]
- Keck, K.J.; Maxwell, J.E.; Utria, A.F.; Bellizzi, A.; Dillon, J.; O’Dorisio, T.; Howe, J.R. The Distal Predilection of Small Bowel Neuroendocrine Tumors. Ann. Surg. Oncol. 2018, 25, 3207–3213. [Google Scholar] [CrossRef] [PubMed]
- Partelli, S.; Bartsch, D.K.; Capdevila, J.; Chen, J.; Knigge, U.; Niederle, B.; Van Dijkum, E.J.M.N.; Pape, U.-F.; Pascher, A.; Ramage, J.; et al. ENETS Consensus Guidelines for the Standards of Care in Neuroendocrine Tumours: Surgery for Small Intestinal and Pancreatic Neuroendocrine Tumours. Neuroendocrionlogy 2017, 105, 255–265. [Google Scholar] [CrossRef]
- Landry, C.S.; Lin, H.Y.; Phan, A.; Charnsangavej, C.; Abdalla, E.K.; Aloia, T.; Vauthey, J.N.; Katz, M.H.G.; Yao, J.C.; Fleming, J.B. Resection of At-Risk Mesenteric Lymph Nodes Is Associated with Improved Survival in Patients with Small Bowel Neuroendocrine Tumors. World J. Surg. 2013, 37, 1695–1700. [Google Scholar] [CrossRef]
- Kalifi, M.; Walter, T.; Milot, L.; Hervieu, V.; Millot, I.; Gibert, B.; Roche, C.; Forestier, J.; Lombard-Bohas, C.; Pasquer, A.; et al. Unifocal versus Multiple Ileal Neuroendocrine Tumors Location: An Embryological Origin. Neuroendocrinology 2021, 111, 786–793. [Google Scholar] [CrossRef]
- Clift, A.K.; Faiz, O.; Nahhas, A.; Bockisch, A.; Liedke, M.O.; Schloericke, E.; Wasan, H.; Martin, J.; Ziprin, P.; Moorthy, K.; et al. Role of Staging in Patients with Small Intestinal Neuroendocrine Tumours. J. Gastrointest. Surg. 2015, 20, 180–188. [Google Scholar] [CrossRef]
- Dahdaleh, F.S.; Lorenzen, A.; Rajput, M.; Carr, J.C.; Liao, J.; Menda, Y.; O’Dorisio, T.M.; Howe, J.R. The Value of Preoperative Imaging in Small Bowel Neuroendocrine Tumors. Ann. Surg. Oncol. 2013, 20, 1912–1917. [Google Scholar] [CrossRef] [PubMed]
- Deguelte, S.; Perrier, M.; Hammoutene, C.; Cadiot, G.; Kianmanesh, R. Surgery and Perioperative Management in Small Intestinal Neuroendocrine Tumors. J. Clin. Med. 2020, 9, 2319. [Google Scholar] [CrossRef]
- Pasquer, A.; Renaud, F.; Hec, F.; Gandon, A.; Vanderbeken, M.; Drubay, V.; Caranhac, G.; Piessen, G.; Mariette, C. Is Centralization Needed for Esophageal and Gastric Cancer Patients With Low Operative Risk? A Nationwide Study. Ann. Surg. 2016, 264, 823–830. [Google Scholar] [CrossRef] [PubMed]
- El Amrani, M.; Lenne, X.; Clement, G.; Delpero, J.R.; Theis, D.; Pruvot, F.-R.; Bruandet, A.; Truant, S. Specificity of Procedure volume and its Association With Postoperative Mortality in Digestive Cancer Surgery: A Nationwide Study of 225,752 Patients. Ann. Surg. 2019, 270, 775–782. [Google Scholar] [CrossRef]
- Kaplan, G.G.; McCarthy, E.P.; Ayanian, J.Z.; Korzenik, J.; Hodin, R.; Sands, B.E. Impact of Hospital Volume on Postoperative Morbidity and Mortality Following a Colectomy for Ulcerative Colitis. Gastroenterology 2008, 134, 680–687.e1. [Google Scholar] [CrossRef] [PubMed]
- Aquina, C.T.; Probst, C.P.; Becerra, A.Z.; Iannuzzi, J.; Kelly, K.N.; Hensley, B.J.; Rickles, A.S.; Noyes, K.; Fleming, F.; Monson, J.R. High volume improves outcomes: The argument for centralization of rectal cancer surgery. Surgery 2016, 159, 736–748. [Google Scholar] [CrossRef]
- Figueiredo, M.; Maggiori, L.; Gaujoux, S.; Couvelard, A.; Guedj, N.; Ruszniewski, P.; Panis, Y. Surgery for small-bowel neuroendocrine tumors: Is there any benefit of the laparoscopic approach? Surg. Endosc. 2014, 28, 1720–1726. [Google Scholar] [CrossRef] [PubMed]
- Kaçmaz, E.; van Eeden, S.; Koppes, J.C.; Klümpen, H.-J.; Bemelman, W.A.; van Dijkum, E.J.N.; Engelsman, A.F.; Tanis, P.J. Value of Laparoscopy for Resection of Small Bowel Neuroendocrine Neoplasms Including Central Mesenteric Lymphadenectomy. Dis. Colon Rectum 2021, 64, 1240–1248. [Google Scholar] [CrossRef]
- Sinnamon, A.J.; Neuwirth, M.G.; Vining, C.C.; Sharoky, C.E.; Yang, Y.-X.; Kelz, R.R.; Fraker, U.L.; Roses, R.E.; Karakousis, G.C. Prophylactic Cholecystectomy at Time of Surgery for Small Bowel Neuroendocrine Tumor Does Not Increase Postoperative Morbidity. Ann. Surg. Oncol. 2018, 25, 239–245. [Google Scholar] [CrossRef] [PubMed]
- Motz, B.M.; Lorimer, P.D.; Boselli, D.; Hill, J.S.; Salo, J.C. Optimal Lymphadenectomy in Small Bowel Neuroendocrine Tumors: Analysis of the NCDB. J. Gastrointest. Surg. 2017, 22, 117–123. [Google Scholar] [CrossRef] [PubMed]
- Cives, M.; Anaya, D.A.; Soares, H.; Coppola, D.; Strosberg, J. Analysis of postoperative recurrence in stage I-III Midgut Neuroen-docrine Tumors. JNCI J. Natl. Cancer Inst. 2018, 110, 282–289. [Google Scholar] [CrossRef] [Green Version]
- Zaidi, M.Y.; Lopez-Aguiar, A.G.; Dillhoff, M.; Beal, E.; Poultsides, G.; Makris, E.; Rocha, F.; Crown, A.; Idrees, K.; Smith, P.M.; et al. Prognostic Role of Lymph Node Positivity and Number of Lymph Nodes Needed for Accurately Staging Small-Bowel Neuroendocrine Tumors. JAMA Surg. 2019, 154, 134–140. [Google Scholar] [CrossRef] [PubMed]
- Pasquer, A.; Walter, T.; Rousset, P.; Hervieu, V.; Forestier, J.; Lombard-Bohas, C.; Poncet, G. Lymphadenectomy during Small Bowel Neuroendocrine Tumor Surgery: The Concept of Skip Metastases. Ann. Surg. Oncol. 2016, 23, 804–808. [Google Scholar] [CrossRef] [PubMed]
- Pavel, M.; Grossman, A.; Arnold, R.; Perren, A.; Kaltsas, G.; Steinmüller, T.; De Herder, W.; Nikou, G.; Plöckinger, U.; Lopes, J.M.; et al. ENETS Consensus Guidelines for the Management of Brain, Cardiac and Ovarian Metastases from Neuroendocrine Tumors. Neuroendocrinology 2010, 91, 326–332. [Google Scholar] [CrossRef] [Green Version]





| Ref. | Year | First Author | Number of Patients | Threshold of Harvested Nodes | Threshold of Invaded Nodes | Main Result |
|---|---|---|---|---|---|---|
| [9] | 2013 | Landry | 1364 | 7 | - | The number of harvested nodes has positive impact on specific survival |
| [6] | 2015 | Pasquer | 107 | - | - | node recurrence rate 12%, 5 year recurrence-free survival 88% |
| [21] | 2018 | Motz | 11852 | 8 | - | 8 nodes are needed to identify patients with nodal metastasis, the rate of harvested node is predictive of survival |
| [22] | 2018 | Cives | 129 | 17 | - | Harvested nodes was associated to the recurrence risk and shorter disease-free survival |
| [23] | 2019 | Zaidi | 199 | - | 4 | >4 invaded nodes is significantly associated with poorer 3 year recurrence-free survival |
Publisher’s Note: MDPI stays neutral with regard to jurisdictional claims in published maps and institutional affiliations. |
© 2021 by the authors. Licensee MDPI, Basel, Switzerland. This article is an open access article distributed under the terms and conditions of the Creative Commons Attribution (CC BY) license (https://creativecommons.org/licenses/by/4.0/).
Share and Cite
Pasquer, A.; Walter, T.; Milot, L.; Hervieu, V.; Poncet, G. Principles of Surgical Management of Small Intestinal NET. Cancers 2021, 13, 5473. https://doi.org/10.3390/cancers13215473
Pasquer A, Walter T, Milot L, Hervieu V, Poncet G. Principles of Surgical Management of Small Intestinal NET. Cancers. 2021; 13(21):5473. https://doi.org/10.3390/cancers13215473
Chicago/Turabian StylePasquer, Arnaud, Thomas Walter, Laurent Milot, Valérie Hervieu, and Gilles Poncet. 2021. "Principles of Surgical Management of Small Intestinal NET" Cancers 13, no. 21: 5473. https://doi.org/10.3390/cancers13215473
APA StylePasquer, A., Walter, T., Milot, L., Hervieu, V., & Poncet, G. (2021). Principles of Surgical Management of Small Intestinal NET. Cancers, 13(21), 5473. https://doi.org/10.3390/cancers13215473

