On the Additional Information Provided by 3T-MRI ADC in Predicting Tumor Cellularity and Microscopic Behavior
Abstract
Simple Summary
Abstract
1. Introduction
2. Materials and Methods
2.1. Study Population
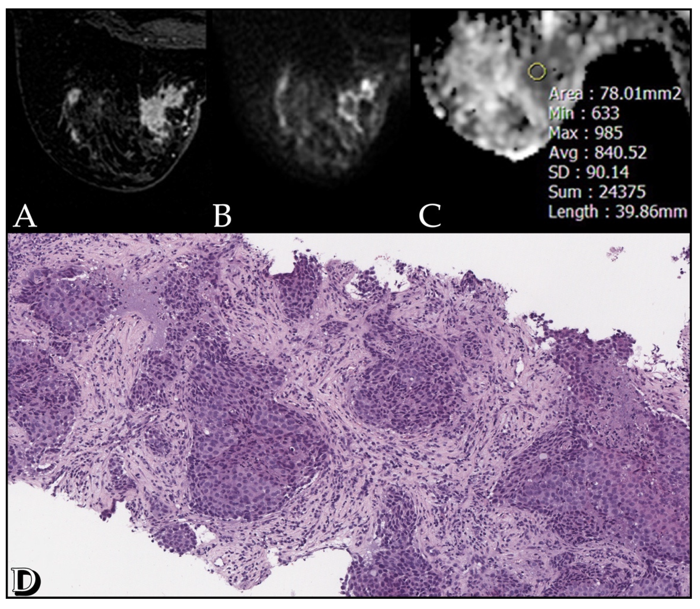
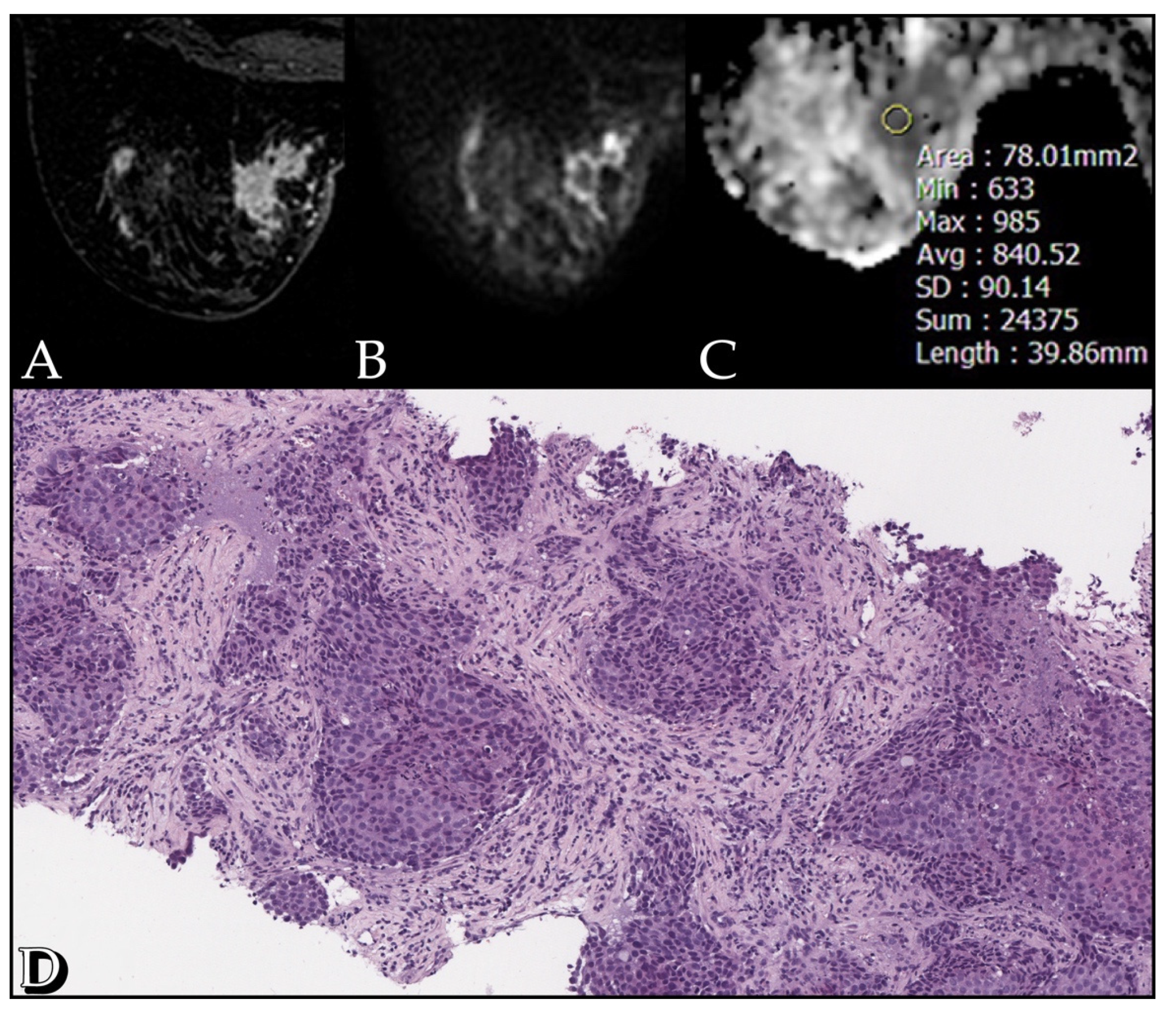
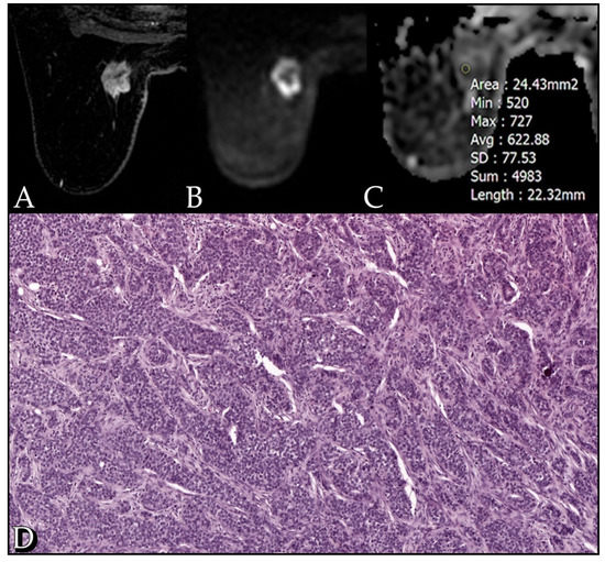
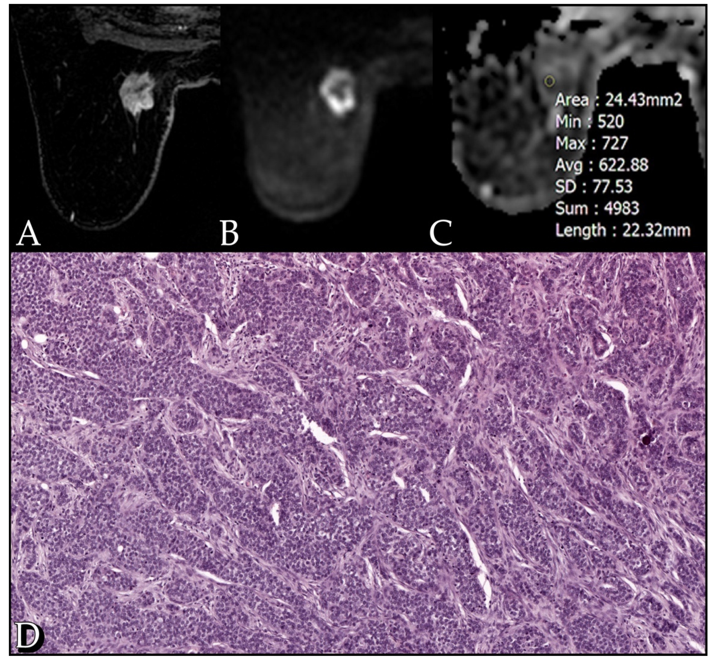
2.2. MRI Examination
- T2-weighted axial single-shot fast spin echo sequence with fat suppression (DIXON) (TR/TE 3500–5200/120–135 ms, matrix 352 × 224, FoV 370 × 370, NEX 1, slice thickness 3.5 mm).
- Diffusion weighted axial single-shot echo-planar sequence with fat suppression (TR/TE 2700/58 ms, matrix 100 × 120, FOV 360 × 360, NEX 6, slice thickness 5 mm) with b values of 0, 500 and 1000 s/mm2.
- T1-weighted axial 3D dynamic gradient echo sequence with fat suppression (VIBRANT) (TR/TE 6.6/4.3 ms, flip angle 10°, matrix 512 × 256, NEX 1, slice thickness 2.4 mm), before and five times after intravenous contrast medium injection.
2.3. Histologic Characteristics
2.4. Statistical Analysis
3. Results
4. Discussion
5. Conclusions
Author Contributions
Funding
Institutional Review Board Statement
Informed Consent Statement
Data Availability Statement
Conflicts of Interest
References
- Cardoso, F.; Kyriakides, S.; Ohno, S.; Penault-Llorca, F.; Poortmans, P.; Rubio, I.T.; Zackrisson, S.; Senkus, E. Early breast cancer: ESMO Clinical Practice Guidelines for diagnosis, treatment and follow-up. Ann. Oncol. 2019, 30, 1674. [Google Scholar] [CrossRef] [PubMed]
- Yersal, S.B.O. Biological subtypes of breast cancer: Prognostic and therapeutic implications. World J. Clin. Oncol. 2014, 5, 412–424. [Google Scholar] [CrossRef]
- Sun, X.; Kaufman, P.D. Ki-67: More than a proliferation marker. Chromosoma 2018, 127, 175–186. [Google Scholar] [CrossRef]
- Elston, C.; Ellis, I. Pathological prognostic factors in breast cancer. I. The value of histological grade in breast cancer: Experience from a large study with long-term follow-up. Histopathology 1991, 19, 403–410. [Google Scholar] [CrossRef] [PubMed]
- Pereira, H.; Pinder, S.; Sibbering, D.; Galea, M.; Elston, C.; Blamey, R.; Robertson, J.; Ellis, I. Pathological prognostic factors in breast cancer. IV: Should you be a typer or a grader? A comparative study of two histological prognostic features in operable breast carcinoma. Histopathology 1995, 27, 219–226. [Google Scholar] [CrossRef]
- Wirapati, P.; Sotiriou, C.; Kunkel, S.; Farmer, P.; Pradervand, S.; Haibe-Kains, B.; Desmedt, C.; Ignatiadis, M.; Sengstag, T.; Schütz, F.; et al. Meta-analysis of gene expression profiles in breast cancer: Toward a unified understanding of breast cancer subtyping and prognosis signatures. Breast Cancer Res. 2008, 10, 1–11. [Google Scholar] [CrossRef] [PubMed]
- Sundquist, M.; Thorstenson, S.; Brudin, L.; Nordenskjöld, B. Applying the Nottingham Prognostic Index to a Swedish breast cancer population. Breast Cancer Res. Treat. 1999, 53, 1–8. [Google Scholar] [CrossRef] [PubMed]
- Henson, D.E.; Ries, L.; Freedman, L.S.; Carriaga, M. Relationship among outcome, stage of disease, and histologic grade for 22,616 cases of breast cancer. The basis for a prognostic index. Cancer 1991, 68, 2142–2149. [Google Scholar] [CrossRef]
- A Rakha, E.; Reis-Filho, J.S.; Baehner, F.; Dabbs, D.J.; Decker, T.; Eusebi, V.; Fox, S.B.; Ichihara, S.; Jacquemier, J.; Lakhani, S.R.; et al. Breast cancer prognostic classification in the molecular era: The role of histological grade. Breast Cancer Res. 2010, 12, 1–12. [Google Scholar] [CrossRef]
- Pei, Z.; Cao, S.; Lu, L.; Chen, W. Direct Cellularity Estimation on Breast Cancer Histopathology Images Using Transfer Learning. Comput. Math. Methods Med. 2019, 2019, 1–13. [Google Scholar] [CrossRef]
- De Kruijf, E.M.; Van Nes, J.G.H.; Van De Velde, C.J.H.; Putter, H.; Smit, V.T.H.B.M.; Liefers, G.J.; Kuppen, P.; Tollenaar, R.A.E.M.; Mesker, W.E. Tumor–stroma ratio in the primary tumor is a prognostic factor in early breast cancer patients, especially in triple-negative carcinoma patients. Breast Cancer Res. Treat. 2010, 125, 687–696. [Google Scholar] [CrossRef]
- Ahn, S.; Cho, J.; Sung, J.-Y.; Lee, J.E.; Nam, S.J.; Kim, K.-M.; Cho, E.Y. The prognostic significance of tumor-associated stroma in invasive breast carcinoma. Tumor Biol. 2012, 33, 1573–1580. [Google Scholar] [CrossRef]
- Dekker, T.J.A.; Van De Velde, C.J.H.; Van Pelt, G.W.; Kroep, J.; Julien, J.-P.; Smit, V.T.H.B.M.; Tollenaar, R.A.E.M.; Mesker, W.E. Prognostic significance of the tumor-stroma ratio: Validation study in node-negative premenopausal breast cancer patients from the EORTC perioperative chemotherapy (POP) trial (10854). Breast Cancer Res. Treat. 2013, 139, 371–379. [Google Scholar] [CrossRef]
- Reisenbichler, E.S.; Dupont, W.; Plummer, W.D.; Hameed, O. Is tumor cellularity in primary invasive breast carcinoma of prognostic significance? Virchows. Archiv. 2017, 470, 611–617. [Google Scholar] [CrossRef]
- Sinn, H.-P.; Schmid, H.; Junkermann, H.; Huober, J.; Leppien, G.; Kaufmann, M.; Bastert, G.; Otto, H.F. Histologische Regression des Mammakarzinoms nach primärer (neoadjuvanter) Chemotherapie [Histologic regression of breast cancer after primary (neoadjuvant) chemotherapy]. Geburtshilfe Frauenheilkd. 1994, 54, 552–558. [Google Scholar] [CrossRef]
- Sataloff, D.M.; A Mason, B.; Prestipino, A.J.; Seinige, U.L.; Lieber, C.P.; Baloch, Z. Pathologic response to induction chemotherapy in locally advanced carcinoma of the breast: A determinant of outcome. J. Am. Coll. Surg. 1995, 180, 297–306. [Google Scholar]
- Ogston, K.N.; Miller, I.D.; Payne, S.; Hutcheon, A.W.; Sarkar, T.K.; Smith, I.; Schofield, A.; Heys, S.D. A new histological grading system to assess response of breast cancers to primary chemotherapy: Prognostic significance and survival. Breast 2003, 12, 320–327. [Google Scholar] [CrossRef]
- Rajan, R.; Poniecka, A.; Smith, T.L.; Yang, Y.; Frye, D.; Pusztai, L.; Fiterman, D.J.; Gal-Gombos, E.; Whitman, G.; Rouzier, R.; et al. Change in tumor cellularity of breast carcinoma after neoadjuvant chemotherapy as a variable in the pathologic assessment of response. Cancer 2004, 100, 1365–1373. [Google Scholar] [CrossRef]
- Symmans, W.F.; Peintinger, F.; Hatzis, C.; Rajan, R.; Kuerer, H.; Valero, V.; Assad, L.; Poniecka, A.; Hennessy, B.; Green, M.; et al. Measurement of Residual Breast Cancer Burden to Predict Survival After Neoadjuvant Chemotherapy. J. Clin. Oncol. 2007, 25, 4414–4422. [Google Scholar] [CrossRef] [PubMed]
- Mann, R.M.; Cho, N.; Moy, L. Breast MRI: State of the Art. Radiology 2019, 292, 520–536. [Google Scholar] [CrossRef] [PubMed]
- Pinker, K.; Moy, L.; Sutton, E.J.; Mann, R.; Weber, M.; Thakur, S.; Jochelson, M.S.; Bago-Horvath, Z.; Morris, E.A.; Baltzer, P.A.; et al. Diffusion-Weighted Imaging With Apparent Diffusion Coefficient Mapping for Breast Cancer Detection as a Stand-Alone Parameter: Comparison With Dynamic Contrast-Enhanced and Multiparametric Magnetic Resonance Imaging. Investig. Radiol. 2018, 53, 587–595. [Google Scholar] [CrossRef] [PubMed]
- Zhao, S.; Guo, W.; Tan, R.; Chen, P.; Li, Z.; Sun, F.; Shao, G. Correlation between minimum apparent diffusion coefficient values and the histological grade of breast invasive ductal carcinoma. Oncol. Lett. 2018, 15, 8134–8140. [Google Scholar] [CrossRef] [PubMed]
- Azzam, H.; Mansour, S.; Salem, N.; El-Assaly, H. Correlative study between ADC value and grading of invasive breast cancer. Egypt. J. Radiol. Nucl. Med. 2020, 51, 1–9. [Google Scholar] [CrossRef]
- Woodhams, R.; Matsunaga, K.; Iwabuchi, K.; Kan, S.; Hata, H.; Kuranami, M.; Watanabe, M.; Hayakawa, K. Diffusion-weighted imaging of malignant breast tumors: The usefulness of apparent diffusion coefficient (ADC) value and ADC map for the detection of malignant breast tumors and evaluation of cancer extension. J. Comput. Assist. Tomogr. 2005, 29, 644–649. [Google Scholar] [CrossRef]
- Partridge, S.C.; Amornsiripanitch, N. DWI in the Assessment of Breast Lesions. Top. Magn. Reson. Imaging 2017, 26, 201–209. [Google Scholar] [CrossRef]
- Camps-Herrero, J. Diffusion-weighted imaging of the breast: Current status as an imaging biomarker and future role. BJR Open 2019, 1, 20180049. [Google Scholar] [CrossRef] [PubMed]
- Cipolla, V.; Santucci, D.; Guerrieri, D.; Drudi, F.M.; Meggiorini, M.L.; de Felice, C. Correlation between 3 T apparent diffusion coefficient values and grading of invasive breast carcinoma. Eur. J. Radiol. 2014, 83, 2144–2150. [Google Scholar] [CrossRef] [PubMed]
- Yuan, C.; Jin, F.; Guo, X.; Zhao, S.; Li, W.; Guo, H. Correlation Analysis of Breast Cancer DWI Combined with DCE-MRI Imaging Features with Molecular Subtypes and Prognostic Factors. J. Med. Syst. 2019, 43, 83. [Google Scholar] [CrossRef]
- Yirgin, I.K.; Arslan, G.; Ozturk, E.; Yirgin, H.; Tasdemir, N.; Gemici, A.A.; Kabul, F.C.; Kaya, E. Diffusion Weighted MR Imaging of Breast and Correlation of Prognostic Factors in Breast Cancer. Balk. Med. J. 2016, 33, 301–307. [Google Scholar] [CrossRef]
- Park, S.H.; Choi, H.-Y.; Hahn, S.Y. Correlations between apparent diffusion coefficient values of invasive ductal carcinoma and pathologic factors on diffusion-weighted MRI at 3.0 Tesla. J. Magn. Reson. Imaging 2015, 41, 175–182. [Google Scholar] [CrossRef]
- Akın, Y.; Ugurlu, M.U.; Kaya, H.; Arıbal, E. Diagnostic Value of Diffusion-weighted Imaging and Apparent Diffusion Coefficient Values in the Differentiation of Breast Lesions, Histpathologic Subgroups and Correlatıon with Prognostıc Factors using 3.0 Tesla MR. J. Breast Health 2016, 12, 123–132. [Google Scholar] [CrossRef] [PubMed]
- O’Brien, K.; Cole, S.R.; Tse, C.-K.; Perou, C.; Carey, L.A.; Foulkes, W.; Dressler, L.G.; Geradts, J.; Millikan, R.C. Intrinsic Breast Tumor Subtypes, Race, and Long-Term Survival in the Carolina Breast Cancer Study. Clin. Cancer Res. 2010, 16, 6100–6110. [Google Scholar] [CrossRef] [PubMed]
- Guler, E.N. Gene Expression Profiling in Breast Cancer and Its Effect on Therapy Selection in Early-Stage Breast Cancer. Eur. J. Breast Health 2017, 13, 168–174. [Google Scholar] [CrossRef] [PubMed]
- Park, E.K.; Cho, K.R.; Seo, B.K.; Woo, O.H.; Cho, S.B.; Bae, J.W. Additional Value of Diffusion-Weighted Imaging to Evaluate Prognostic Factors of Breast Cancer: Correlation with the Apparent Diffusion Coefficient. Iran. J. Radiol. 2016, 13, e33133. [Google Scholar] [CrossRef] [PubMed]
- Guvenc, I.; Akay, S.; Ince, S.; Yildiz, R.; Kilbas, Z.; Oysul, F.G.; Tasar, M. Apparent diffusion coefficient value in invasive ductal carcinoma at 3.0 Tesla: Is it correlated with prognostic factors? Br. J. Radiol. 2016, 89, 20150614. [Google Scholar] [CrossRef] [PubMed]
- Mori, N.; Ota, H.; Mugikura, S.; Takasawa, C.; Ishida, T.; Watanabe, G.; Tada, H.; Watanabe, M.; Takase, K.; Takahashi, S. Luminal-Type Breast Cancer: Correlation of Apparent Diffusion Coefficients with the Ki-67 Labeling Index. Radiology 2015, 274, 66–73. [Google Scholar] [CrossRef]
- Luo, N.; Ji, Y.; Huang, X.; Liu, Y.; Liu, L.; Jin, G.; Zhao, X.; Zhu, X.; Su, D. Changes in Apparent Diffusion Coefficient as Surrogate Marker for Changes in Ki-67 Index Due to Neoadjuvant Chemotherapy in Patients with Invasive Breast Cancer. Acad. Radiol. 2019, 26, 1352–1357. [Google Scholar] [CrossRef]
- Hatakenaka, M.; Soeda, H.; Yabuuchi, H.; Matsuo, Y.; Kamitani, T.; Oda, Y.; Tsuneyoshi, M.; Honda, H. Apparent diffusion coefficients of breast tumors: Clinical application. Magn. Reson. Med. Sci. 2008, 7, 23–29. [Google Scholar] [CrossRef]
- Matsubayashi, R.N.; Fujii, T.; Yasumori, K.; Muranaka, T.; Momosaki, S. Apparent Diffusion Coefficient in Invasive Ductal Breast Carcinoma: Correlation with Detailed Histologic Features and the Enhancement Ratio on Dynamic Contrast-Enhanced MR Images. J. Oncol. 2010, 2010, 1–6. [Google Scholar] [CrossRef][Green Version]
- Choi, S.Y.; Chang, Y.-W.; Park, H.J.; Kim, H.J.; Hong, S.S.; Seo, D.Y. Correlation of the apparent diffusion coefficiency values on diffusion-weighted imaging with prognostic factors for breast cancer. Br. J. Radiol. 2012, 85, e474–e479. [Google Scholar] [CrossRef]
- Kim, K.I.; Lee, K.H.; Kim, T.R.; Chun, Y.S.; Lee, T.H.; Park, H.K. Ki-67 as a Predictor of Response to Neoadjuvant Chemotherapy in Breast Cancer Patients. J. Breast Cancer 2014, 17, 40–46. [Google Scholar] [CrossRef] [PubMed]
- Onishi, N.; Kanao, S.; Kataoka, M.; Iima, M.; Sakaguchi, R.; Kawai, M.; Kataoka, T.R.; Mikami, Y.; Toi, M.; Togashi, K. Apparent diffusion coefficient as a potential surrogate marker for Ki-67 index in mucinous breast carcinoma. J. Magn. Reson. Imaging 2015, 41, 610–615. [Google Scholar] [CrossRef] [PubMed]
- Shen, L.; Zhou, G.; Tong, T.; Tang, F.; Lin, Y.; Zhou, J.; Wang, Y.; Zong, G.; Zhang, L. ADC at 3.0 T as a noninvasive biomarker for preoperative prediction of Ki67 expression in invasive ductal carcinoma of breast. Clin. Imaging 2018, 52, 16–22. [Google Scholar] [CrossRef]







| Variation | Grade | Surgical Cellularity Rate | Ki-67 Index | p Value | ||||||||||
|---|---|---|---|---|---|---|---|---|---|---|---|---|---|---|
| 1 | 2 | 3 | Total | <50 | 50–70% | >70% | Total | <20% | >20% | Total | ||||
| Kinetic Curve | I | n | 4 | 18 | 2 | 24 | 8 | 9 | 9 | 26 | 17 | 9 | 26 | 0.300 |
| % | 4.0% | 18.0% | 2.0% | 24.0% | 8.0% | 9.0% | 9.0% | 26.0% | 17.0% | 9.0% | 26.0% | |||
| II | n | 5 | 24 | 10 | 39 | 11 | 25 | 4 | 40 | 23 | 17 | 40 | ||
| % | 5.0% | 24.0% | 10.0% | 39.0% | 11.0% | 25.0% | 4.0% | 40.0% | 23.0% | 17.0% | 40.0% | |||
| III | n | 3 | 19 | 14 | 36 | 9 | 13 | 12 | 34 | 20 | 14 | 34 | ||
| % | 3.0% | 19.0% | 14.0% | 36.0% | 9.0% | 13.0% | 12.0% | 34.0% | 20.0% | 14.0% | 34.0% | |||
| Margins | Regular | n | 0 | 7 | 2 | 9 | 2 | 2 | 4 | 8 | 5 | 3 | 8 | 0.032 * |
| % | 0.0% | 7.0% | 2.0% | 9.0% | 2.0% | 2.0% | 4.0% | 8.0% | 5.0% | 3.0% | 8.0% | |||
| Irregular | n | 7 | 28 | 14 | 49 | 12 | 28 | 12 | 52 | 30 | 22 | 52 | ||
| % | 7.0% | 28.0% | 14.0% | 49.0% | 12.0% | 28.0% | 12.0% | 52.0% | 30.0% | 22.0% | 52.0% | |||
| Lobulated | n | 4 | 12 | 3 | 19 | 7 | 7 | 4 | 18 | 12 | 6 | 18 | ||
| % | 4.0% | 12.0% | 3.0% | 19.0% | 7.0% | 7.0% | 4.0% | 18.0% | 12.0% | 6.0% | 18.0% | |||
| Spiculated | n | 1 | 7 | 6 | 14 | 4 | 8 | 2 | 14 | 8 | 6 | 14 | ||
| % | 1.0% | 7.0% | 6.0% | 14.0% | 4.0% | 8.0% | 2.0% | 14.0% | 8.0% | 6.0% | 14.0% | |||
| Non-mass | n | 0 | 8 | 1 | 9 | 3 | 2 | 3 | 8 | 5 | 3 | 8 | ||
| % | 0.0% | 8.0% | 1.0% | 9.0% | 3.0% | 2.0% | 3.0% | 8.0% | 5.0% | 3.0% | 8.0% | |||
| Size | Mean 19.46 mm | 19.67 | 19.00 | 20.07 | 17.32 | 19.87 | 21.08 | 20.38 | 18.08 | 0.560 | ||||
| Variation | Grade | Surgical Cellularity Rate | Ki-67 Index | p Value | ||||||||||
|---|---|---|---|---|---|---|---|---|---|---|---|---|---|---|
| 1 | 2 | 3 | Total | <50 | 50–70% | >70% | Total | <20% | >20% | Total | ||||
| Histology | IDC | n | 12 | 34 | 24 | 70 | 17 | 35 | 18 | 70 | 40 | 30 | 70 | 0.182 |
| % | 12.0% | 34.0% | 24.0% | 70.0% | 17.0% | 35.0% | 18.0% | 70.0% | 40.0% | 30.0% | 70.0% | |||
| ILC | n | 0 | 28 | 2 | 30 | 11 | 12 | 7 | 30 | 20 | 10 | 30 | ||
| % | 0.0% | 28.0% | 2.0% | 30.0% | 11.0% | 12.0% | 7.0% | 30.0% | 20.0% | 10.0% | 30.0% | |||
| ER Status | Negative | n | 1 | 4 | 6 | 11 | 1 | 2 | 8 | 11 | 4 | 7 | 11 | 0.02 * |
| % | 1.0% | 4.0% | 6.0% | 11.0% | 1.0% | 2.0% | 8.0% | 11.0% | 4.0% | 7.0% | 11.0% | |||
| Positive | n | 11 | 58 | 20 | 89 | 27 | 45 | 17 | 89 | 56 | 33 | 89 | ||
| % | 11.0% | 58.0% | 20.0% | 89.0% | 27.0% | 45.0% | 17.0% | 89.0% | 56.0% | 33.0% | 89.0% | |||
| PR Status | Negative | n | 2 | 15 | 13 | 30 | 5 | 11 | 14 | 30 | 15 | 15 | 30 | 0.413 |
| % | 2.0% | 15.0% | 13.0% | 30.0% | 5.0% | 11.0% | 14.0% | 30.0% | 15.0% | 15.0% | 30.0% | |||
| Positive | n | 10 | 47 | 13 | 70 | 23 | 36 | 11 | 70 | 45 | 25 | 70 | ||
| % | 10.0% | 47.0% | 13.0% | 70.0% | 23.0% | 36.0% | 11.0% | 70.0% | 45.0% | 25.0% | 70.0% | |||
| HER2 Status | Negative | n | 12 | 58 | 23 | 93 | 26 | 45 | 22 | 93 | 58 | 35 | 93 | 0.373 |
| % | 12.0% | 58.0% | 23.0% | 93.0% | 26.0% | 45.0% | 22.0% | 93.0% | 58.0% | 35.0% | 93.0% | |||
| Positive | n | 0 | 4 | 3 | 7 | 2 | 2 | 3 | 7 | 2 | 5 | 7 | ||
| % | 0.0% | 4.0% | 3.0% | 7.0% | 2.0% | 2.0% | 3.0% | 7.0% | 2.0% | 5.0% | 7.0% | |||
| Ki-67 | Mean 20.06% | 4.83 | 16.74 | 33.81 | 10.89 | 18.87 | 32.56 | 11.32 | 33.18 | 0.01 * | ||||
Publisher’s Note: MDPI stays neutral with regard to jurisdictional claims in published maps and institutional affiliations. |
© 2021 by the authors. Licensee MDPI, Basel, Switzerland. This article is an open access article distributed under the terms and conditions of the Creative Commons Attribution (CC BY) license (https://creativecommons.org/licenses/by/4.0/).
Share and Cite
Santucci, D.; Faiella, E.; Calabrese, A.; Beomonte Zobel, B.; Ascione, A.; Cerbelli, B.; Iannello, G.; Soda, P.; de Felice, C. On the Additional Information Provided by 3T-MRI ADC in Predicting Tumor Cellularity and Microscopic Behavior. Cancers 2021, 13, 5167. https://doi.org/10.3390/cancers13205167
Santucci D, Faiella E, Calabrese A, Beomonte Zobel B, Ascione A, Cerbelli B, Iannello G, Soda P, de Felice C. On the Additional Information Provided by 3T-MRI ADC in Predicting Tumor Cellularity and Microscopic Behavior. Cancers. 2021; 13(20):5167. https://doi.org/10.3390/cancers13205167
Chicago/Turabian StyleSantucci, Domiziana, Eliodoro Faiella, Alessandro Calabrese, Bruno Beomonte Zobel, Andrea Ascione, Bruna Cerbelli, Giulio Iannello, Paolo Soda, and Carlo de Felice. 2021. "On the Additional Information Provided by 3T-MRI ADC in Predicting Tumor Cellularity and Microscopic Behavior" Cancers 13, no. 20: 5167. https://doi.org/10.3390/cancers13205167
APA StyleSantucci, D., Faiella, E., Calabrese, A., Beomonte Zobel, B., Ascione, A., Cerbelli, B., Iannello, G., Soda, P., & de Felice, C. (2021). On the Additional Information Provided by 3T-MRI ADC in Predicting Tumor Cellularity and Microscopic Behavior. Cancers, 13(20), 5167. https://doi.org/10.3390/cancers13205167

