Repurposing Ferumoxytol as a Breast Cancer-Associated Macrophage Tracer with Five-Dimensional Quantitative [Fe]MRI of SPION Dynamics
Abstract
Simple Summary
Abstract
1. Introduction
2. Materials and Methods
2.1. Cells, Animals and Tumor Model
2.2. Determination of the MR Relaxivity of Ferumoxytol at 4.7 Tesla
2.3. Animal MRI Measurements
2.4. Contrast Measurement
2.5. Conversion of MRI Contrast Measurements to [Fe]
2.6. Measurement of Tumor Perfusion
2.7. Immunohistochemistry and Iron Staining
2.8. Statistics
3. Results
3.1. Relaxation Characteristics of Ferumoxytol and Mouse Tissues
3.2. Effect of Ferumoxytol on the Tumor/Muscle MR Contrast
3.3. Ef43.fgf4 Murine Syngeneic Breast Tumors Are Highly Infiltrated by TAM
3.4. Tumor Perfusion Measurements
3.5. Optimization of MRI Contrast in the EF43.fgf4 Tumors
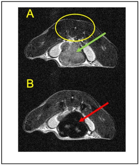
3.6. MR Images Show a Large, Time-Dependent Decrease in the Contrast of EF43.fgf4 Tumors after Intravenous Ferumoxytol Administration
3.7. Ef43.fgf4 Murine Syngeneic Breast Tumors Accumulate SPION Iron
3.8. Quantitative Time Course of SPION Iron Accumulation in Ef43.fgf4 Breast Tumors
4. Discussion
5. Conclusions
Author Contributions
Funding
Institutional Review Board Statement
Informed Consent Statement
Data Availability Statement
Acknowledgments
Conflicts of Interest
References
- Siegel, R.L.; Miller, K.D.; Fuchs, H.E.; Jemal, A. Cancer Statistics, 2021. CA Cancer J. Clin. 2021, 71, 7–33. [Google Scholar] [CrossRef]
- Tsutsui, S.; Yasuda, K.; Suzuki, K.; Tahara, K.; Higashi, H.; Era, S. Macrophage infiltration and its prognostic implications in breast cancer: The relationship with VEGF expression and microvessel density. Oncol. Rep. 2005, 14, 425–431. [Google Scholar] [CrossRef] [PubMed]
- Medrek, C.; Ponten, F.; Jirstrom, K.; Leandersson, K. The presence of tumor associated macrophages in tumor stroma as a prognostic marker for breast cancer patients. BMC Cancer 2012, 12, 306. [Google Scholar] [CrossRef]
- Obeid, E.; Nanda, R.; Fu, Y.X.; Olopade, O.I. (The role of tumor-associated macrophages in breast cancer progression (review). Int. J. Oncol. 2013, 43, 5–12. [Google Scholar] [CrossRef]
- Cassetta, L.; Pollard, J. Targeting macrophages: Therapeutic approaches in cancer. Nat. Rev. Drug Discov. 2018, 17, 887–904. [Google Scholar] [CrossRef]
- De Nardo, D.; Ruffell, B. Macrophages as regulators of tumour immunity and immunotherapy. Nat. Rev. Immunol. 2019, 19, 369–382. [Google Scholar] [CrossRef]
- Lin, E.Y.; Li, J.-F.; Gnatovskiy, L.; Deng, Y.; Zhu, L.; Grzesik, D.A.; Qian, H.; Xue, X.N.; Pollard, J.W. Macrophages regulate the angiogenic switch in a mouse model of breast cancer. Cancer Res. 2006, 66, 11238–11246. [Google Scholar] [CrossRef] [PubMed]
- DeNardo, D.G.; Brennan, D.J.; Rexhepaj, E.; Ruffell, B.; Shiao, S.L.; Madden, S.F.; Gallagher, W.M.; Wadhwani, N.; Keil, S.D.; Junaid, S.A.; et al. Leukocyte complexity predicts breast cancer survival and functionally regulates response to chemotherapy. Cancer Discov. 2011, 1, 54–67. [Google Scholar] [CrossRef]
- De Palma, M.; Lewis, C.E. Macrophage regulation of tumor responses to anticancer therapies. Cancer Cell 2013, 23, 277–286. [Google Scholar] [CrossRef] [PubMed]
- Shabo, I.; Stål, O.; Olsson, H.; Doré, S.; Svanvik, J. Breast cancer expression of CD163, a macrophage scavenger receptor, is related to early distant recurrence and reduced patient survival. Int. J. Cancer 2008, 123, 780–786. [Google Scholar] [CrossRef]
- Schmid, P.; Adams, S.; Rugo, H.S.; Schneeweiss, A.; Barrios, C.H.; Iwata, H.; Dieras, V.; Hegg, R.; Im, S.A.; Shaw Wright, G.; et al. Atezolizumab and Nab-Paclitaxel in Advanced Triple-Negative Breast Cancer. N. Engl. J. Med. 2018, 379, 2108–2121. [Google Scholar] [CrossRef] [PubMed]
- Neuwelt, A.; Rivera, M.; Orner, J.; Byrd, T.; Sillerud, L.; Mlady, G.; Baca, J.; Langsjoen, J. Ferumoxytol-contrasted MRI for macrophage imaging of inflammation in human osteomyelitis, a feasibility study. Blood 2015, 126, 1016. [Google Scholar] [CrossRef]
- Neuwelt, A.; Sidhu, N.; Hu, C.A.; Mlady, G.; Eberhardt, S.C.; Sillerud, L.O. Iron-based superparamagnetic nanoparticle contrast agents for MRI of infection and inflammation. AJR Am. J. Roentgenol. 2015, 204, W302–W313. [Google Scholar] [CrossRef]
- Neuwelt, A.; Langsjoen, J.; Byrd, T.; Eberhardt, S.; Mlady, G.; Baca, J.; Bocklage, T.; Martinez, C.; Orner, J.; Rivera, M.; et al. Ferumoxytol negatively enhances T2 -weighted MRI of pedal osteomyelitis in vivo. J. Magn. Reson. Imaging 2017, 45, 1241–1245. [Google Scholar] [CrossRef] [PubMed]
- Langsjoen, J.; Neuwelt, A.; Eberhard, S.; Mlady, G.; Shukla, U.; Murali, S.; Pizanis, C.; Sillerud, L.O. A comparison of ferumoxytol with gadolinium as contrast agents for the diagnostic magnetic resonance imaging of osteomyelitis. Magn. Reson. Imaging 2020, 71, 45–54. [Google Scholar] [CrossRef]
- Leftin, A.; Ben-Chetrit, N.; Klemm, F.; Joyce, J.A.; Koutcher, J.A. Iron imaging reveals tumor and metastasis macrophage hemosiderin deposits in breast cancer. PLoS ONE 2017, 12, e0184765. [Google Scholar] [CrossRef] [PubMed]
- Leftin, A.; Ben-Chetrit, N.; Joyce, J.A.; Koutcher, J.A. Imaging endogenous macrophage iron deposits reveals a metabolic biomarker of polarized tumor macrophage infiltration and response to CSF1R breast cancer immunotherapy. Sci. Rep. 2019, 9, 857–872. [Google Scholar] [CrossRef]
- Ramanathan, R.K.; Korn, R.L.; Raghunand, N.; Sachdev, J.C.; Newbold, R.G.; Jameson, G.; Fetterly, G.J.; Prey, J.; Klinz, S.G.; Kim, J.; et al. Correlation between Ferumoxytol Uptake in Tumor Lesions by MRI and Response to Nanoliposomal Irinotecan in Patients with Advanced Solid Tumors: A Pilot Study. Clin. Cancer Res. 2017, 23, 3638–3648. [Google Scholar] [CrossRef]
- Harisinghani, M.G.; Barentsz, J.; Hahn, P.F.; Deserno, W.M.; Tabatabaei, S.; van de Kaa, C.H.; de la Rosette, J.; Weissleder, R. Noninvasive detection of clinically occult lymph-node metastases in prostate cancer. N. Engl. J. Med. 2003, 348, 2491–2499. [Google Scholar] [CrossRef]
- Hedgire, S.S.; Mino-Kenudson, M.; Elmi, A.; Thayer, S.; Fernandez-del Castillo, C.; Harisinghani, M.G. Enhanced primary tumor delineation in pancreatic adenocarcinoma using ultrasmall super paramagnetic iron oxide nanoparticle-ferumoxytol: An initial experience with histopathologic correlation. Int. J. Nanomed. 2014, 9, 1891–1896. [Google Scholar] [CrossRef][Green Version]
- Iv, M.; Samghabadi, P.; Holdsworth, S.; Gentles, A.; Rezaii, P.; Harsh, G.; Li, G.; Thomas, R.; Moseley, M.; Daldrup-Link, H.E.; et al. Quantification of Macrophages in High-Grade Gliomas by Using Ferumoxytol-enhanced MRI: A Pilot Study. Radiology 2019, 290, 198–206. [Google Scholar] [CrossRef] [PubMed]
- Khurana, A.; Nejadnik, H.; Gawande, R.; Lin, G.; Lee, S.; Messing, S.; Castaneda, R.; Derugin, N.; Pisani, L.; Lue, T.F.; et al. Intravenous ferumoxytol allows noninvasive MR imaging monitoring of macrophage migration into stem cell transplants. Radiology 2012, 264, 803–811. [Google Scholar] [CrossRef]
- Nejadnik, H.; Lenkov, O.; Gassert, F.; Fretwell, D.; Lam, I.; Daldrup-Link, H.E. Macrophage phagocytosis alters the MRI signal of ferumoxytol-labeled mesenchymal stromal cells in cartilage defects. Sci. Rep. 2016, 6, 25897. [Google Scholar] [CrossRef]
- Daldrup-Link, H.E.; Golovko, D.; Ruffell, B.; Denardo, D.G.; Castaneda, R.; Ansari, C.; Rao, J.; Tikhomirov, G.A.; Wendland, M.F.; Corot, C.; et al. MRI of tumor-associated macrophages with clinically applicable iron oxide nanoparticles. Clin. Cancer Res. 2011, 17, 5695–5704. [Google Scholar] [CrossRef]
- Sillerud, L.O. Quantitative [Fe]MRI of PSMA-targeted SPIONs specifically discriminates among prostate tumor cell types based on their PSMA expression levels. Int. J. Nanomed. 2016, 11, 357–371. [Google Scholar] [CrossRef] [PubMed]
- Sillerud, L.O. Quantitative [Fe]MRI determination of the dynamics of PSMA-targeted SPIONs discriminates among prostate tumor xenografts based on their PSMA expression. J. Magn. Reson. Imaging 2018, 48, 469–481. [Google Scholar] [CrossRef] [PubMed]
- Hajitou, A.; Calberg-Bacq, C.M. Fibroblast growth factor 3 is tumorigenic for mouse mammary cells orthotopically implanted in nude mice. Int. J. Cancer 1995, 63, 702–709. [Google Scholar] [CrossRef]
- Tafoya, M.A.; Madi, S.; Sillerud, L.O. Superparamagnetic nanoparticle-enhanced MRI of Alzheimer’s disease plaques and activated microglia in 3X transgenic mouse brains: Contrast optimization. J. Magn. Reson. Imaging 2017, 46, 574–588. [Google Scholar] [CrossRef] [PubMed]
- Benner, T.; Heiland, S.; Erb, G.; Forsting, M.; Sartor, K. Accuracy of gamma-variate fits to concentration-time curves from dynamic susceptibility-contrast enhanced MRI: Influence of time resolution, maximal signal drop and signal-to-noise. Magn. Reson. Imaging 1997, 15, 307–317. [Google Scholar] [CrossRef]
- Schneider, C.A.; Rasband, W.S.; Eliceiri, K.W. NIH Image to ImageJ: 25 years of image analysis. Nat. Methods 2012, 9, 671–675. [Google Scholar] [CrossRef] [PubMed]
- Russo, L.; Lumeng, C.N. Properties and functions of adipose tissue macrophages in obesity. Immunology 2018, 155, 407–417. [Google Scholar] [CrossRef]
- Adams, L.M.; Ethier, S.P.; Ullrich, R.L. Enhanced in vitro proliferation and in vivo tumorigenic potential of mammary epithelium from BALB/c mice exposed in vivo to gamma-radiation and/or 7,12-dimethylbenz[a]anthracene. Cancer Res. 1987, 47, 4425–4431. [Google Scholar] [PubMed]
- Mohanty, S.; Yerneni, K.; Theruvath, J.L.; Graef, C.M.; Nejadnik, H.; Lenkov, O.; Pisani, L.; Rosenberg, J.; Mitra, S.; Cordero, A.S.; et al. Nanoparticle enhanced MRI can monitor macrophage response to CD47 mAb immunotherapy in osteosarcoma. Cell Death. Dis. 2019, 10, 36. [Google Scholar] [CrossRef] [PubMed]
- Chen, P.L.; Roh, W.; Reuben, A.; Cooper, Z.A.; Spencer, C.N.; Prieto, P.A.; Miller, J.P.; Bassett, R.L.; Gopalakrishnan, V.; Wani, K.; et al. Analysis of Immune Signatures in Longitudinal Tumor Samples Yields Insight into Biomarkers of Response and Mechanisms of Resistance to Immune Checkpoint Blockade. Cancer Discov. 2016, 6, 827–837. [Google Scholar] [CrossRef] [PubMed]
- VilainVilain, R.E.; Menzies, A.M.; Wilmott, J.S.; Kakavand, H.; Madore, J.; Guminski, A.; Liniker, E.; Kong, B.; Cooper, A.; Howle, J.R.; et al. Dynamic changes in PD-L1 expression and immune infiltrates early during treatment predict response to PD-1 blockade in melanoma. Clin. Cancer Res. 2017, 23, 5024–5033. [Google Scholar] [CrossRef] [PubMed]
- Ma, Y.; Wang, Q.; Dong, Q.; Zhan, L.; Zhang, J. How to differentiate pseudoprogression from true progression in cancer patients treated with immunotherapy. Am. J. Cancer Res. 2019, 9, 1546–1553. [Google Scholar]
- Staquicini, F.I.; Hajitou, A.; Driessen, W.H.; Proneth, B.; Cardó-Vila, M.; Staquicini, D.I.; Markosian, C.; Hoh, M.; Cortez, M.; Hooda-Nehra, A.; et al. Targeting a cell surface vitamin D receptor on tumor-associated macrophages in triple-negative breast cancer. Elife 2021, 10, e65145. [Google Scholar] [CrossRef]
- Spinowitz, B.S.; Kausz, A.T.; Baptista, J.; Noble, S.D.; Sothinathan, R.; Bernardo, M.V.; Brenner, L.; Pereira, B.J. Ferumoxytol for treating iron deficiency anemia in CKD. J. Am. Soc. Nephrol. 2008, 19, 1599–1605. [Google Scholar] [CrossRef]
- Zanganeh, S.; Hutter, G.; Spitler, R.; Lenkov, O.; Mahmoudi, M.; Shaw, A.; Pajarinen, J.S.; Nejadnik, H.; Goodman, S.; Moseley, M.; et al. Iron oxide nanoparticles inhibit tumour growth by inducing pro-inflammatory macrophage polarization in tumour tissues. Nat. Nanotechnol. 2016, 11, 986–994. [Google Scholar] [CrossRef] [PubMed]








| Parameter | Muscle (ms) | Tumor (ms) |
|---|---|---|
| T1 | 752 ± 73.1 | 2107 ± 288 |
| T2 | 57.8 ± 2.9 | 61.6 ± 3.7 |
Publisher’s Note: MDPI stays neutral with regard to jurisdictional claims in published maps and institutional affiliations. |
© 2021 by the authors. Licensee MDPI, Basel, Switzerland. This article is an open access article distributed under the terms and conditions of the Creative Commons Attribution (CC BY) license (https://creativecommons.org/licenses/by/4.0/).
Share and Cite
Sillerud, L.O.; Neuwelt, A.J.; Staquicini, F.I.; Arap, W.; Pasqualini, R. Repurposing Ferumoxytol as a Breast Cancer-Associated Macrophage Tracer with Five-Dimensional Quantitative [Fe]MRI of SPION Dynamics. Cancers 2021, 13, 3802. https://doi.org/10.3390/cancers13153802
Sillerud LO, Neuwelt AJ, Staquicini FI, Arap W, Pasqualini R. Repurposing Ferumoxytol as a Breast Cancer-Associated Macrophage Tracer with Five-Dimensional Quantitative [Fe]MRI of SPION Dynamics. Cancers. 2021; 13(15):3802. https://doi.org/10.3390/cancers13153802
Chicago/Turabian StyleSillerud, Laurel O., Alexander J. Neuwelt, Fernanda I. Staquicini, Wadih Arap, and Renata Pasqualini. 2021. "Repurposing Ferumoxytol as a Breast Cancer-Associated Macrophage Tracer with Five-Dimensional Quantitative [Fe]MRI of SPION Dynamics" Cancers 13, no. 15: 3802. https://doi.org/10.3390/cancers13153802
APA StyleSillerud, L. O., Neuwelt, A. J., Staquicini, F. I., Arap, W., & Pasqualini, R. (2021). Repurposing Ferumoxytol as a Breast Cancer-Associated Macrophage Tracer with Five-Dimensional Quantitative [Fe]MRI of SPION Dynamics. Cancers, 13(15), 3802. https://doi.org/10.3390/cancers13153802

