Microwave Ablation of Very-Early- and Early-Stage HCC: Efficacy Evaluation by Correlation with Histology after Liver Transplantation
Abstract
:Simple Summary
Abstract
1. Introduction
2. Materials and Methods
2.1. Patients Population
2.2. MWA Technique
- a 2450 MHz operating frequency;
- 140 W maximum continuous waves power at the generator; and
- straight, internally cooled 14 G or 16 G antennas, with built-in reflected waves suppressor (“mini-choke”).
- power (P) released by the generator, expressed in watts (W); and
- ablation time (T), defined as the duration of ablation and expressed in seconds (s).
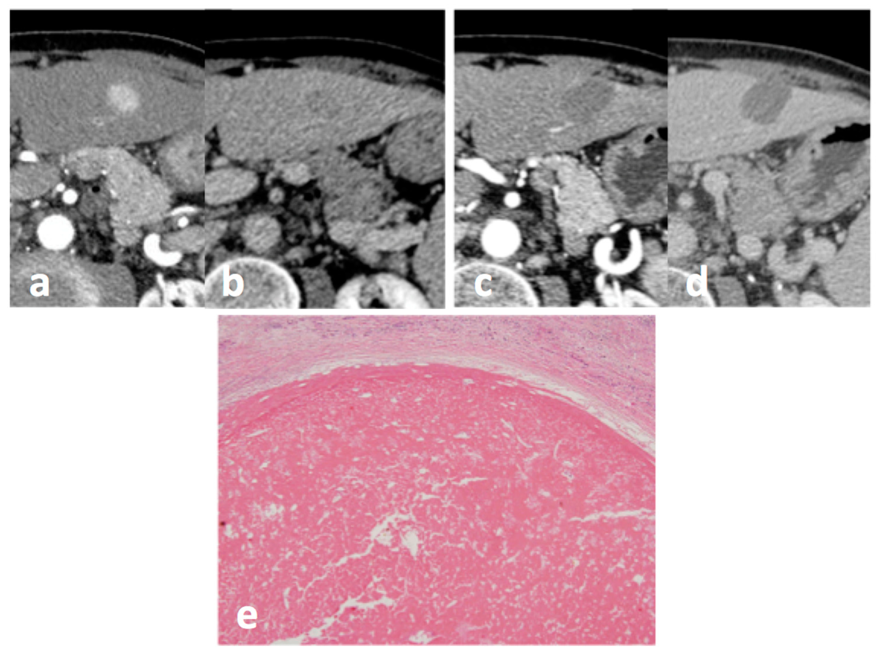
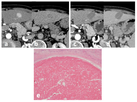
2.3. Post Procedural Imaging
2.4. Pathological Assessment
2.5. Statistical Methods and Data Availability
3. Results
3.1. Patients
3.2. Ablation Protocol, Safety and Efficacy at Histology
4. Discussion
5. Conclusions
Author Contributions
Funding
Institutional Review Board Statement
Informed Consent Statement
Data Availability Statement
Conflicts of Interest
References
- Bruix, J.; Sherman, M. Practice Guidelines Committee, American Association for the Study of Liver Diseases. Management of hepatocellular carcinoma. Hepatology 2005, 42, 1208–1236. [Google Scholar] [CrossRef]
- Yu, N.C.; Raman, S.S.; Kim, Y.J.; Lassman, C.; Chang, X.; Lu, D.S.K. Microwave Liver Ablation: Influence of Hepatic Vein Size on Heat-Sink Effect in a Porcine Model. J. Vasc. Interv. Radiol. 2008, 19, 1087–1092. [Google Scholar] [CrossRef]
- Lu, D.S.K.; Raman, S.S.; Limanond, P.; Aziz, D.; Economou, J.; Busuttil, R.; Sayre, J. Influence of Large Peritumoral Vessels on Outcome of Radiofrequency Ablation of Liver Tumors. J. Vasc. Interv. Radiol. 2003, 14, 1267–1274. [Google Scholar] [CrossRef] [PubMed]
- Ricci, A.D.; Rizzo, A.; Bonucci, C.; Tavolari, S.; Palloni, A.; Frega, G.; Mollica, V.; Tober, N.; Mazzotta, E.; Felicani, C.; et al. The (Eternal) Debate on Microwave Ablation Versus Radiofrequency Ablation in BCLC-A Hepatocellular Carcinoma. In Vivo 2020, 34, 3421–3429. [Google Scholar] [CrossRef]
- Ecker, B.L.; Hoteit, M.A.; Forde, K.A.; Hsu, C.C.; Reddy, K.R.; Furth, E.E.; Siegelman, E.S.; Habibollahi, P.; Ben-Josef, E.; Porrett, P.M.; et al. Patterns of Discordance Between Pretransplant Imaging Stage of Hepatocellular Carcinoma and Posttransplant Pathologic Stage: A Contemporary Appraisal of the Milan Criteria. Transplantation 2018, 102, 648–655. [Google Scholar] [CrossRef] [PubMed]
- Habibollahi, P.; Shamchi, S.P.; Choi, J.M.; Gade, T.P.; Stavropoulos, S.W.; Hunt, S.J.; Dagli, M.; Sudheendra, D.; Mondschein, J.I.; Soulen, M.C.; et al. Association of Complete Radiologic and Pathologic Response Following Locoregional Therapy before Liver Transplantation with Long-Term Outcomes of Hepatocellular Carcinoma: A Retrospective Study. J. Vasc. Interv. Radiol. 2019, 30, 323–329. [Google Scholar] [CrossRef]
- Hanson, J.A.; Ason, R.; Weinreb, J.; Van Dyke, A.; Mitchell, K.A. Radiology Estimates of Viable Tumor Percentage in Hepatocellular Carcinoma Ablation Cavities Correlate Poorly With Pathology Assessment. Arch. Pathol. Lab. Med. 2013, 137, 392–399. [Google Scholar] [CrossRef]
- Serra, C.; Cucchetti, A.; Felicani, C.; Mosconi, C.; De Cinque, A.; Golfieri, R.; Andreone, P.; Ercolani, G.; Maroni, L.; Ravaioli, M.; et al. Assessment of Radiofrequency Ablation Efficacy for Hepatocellular Carcinoma by Histology and Pretransplant Radiology. Liver Transpl. 2019, 25, 88–97. [Google Scholar] [CrossRef]
- Lee, M.W.; Raman, S.S.; Asvadi, N.H.; Siripongsakun, S.; Hicks, R.M.; Chen, J.; Worakitsitisatorn, A.; McWilliams, J.; Tong, M.J.; Finn, R.S.; et al. Radiofrequency Ablation of Hepatocellular Carcinoma as Bridge Therapy to Liver Transplantation: A 10-Year Intention-to-Treat Analysis. Hepatology 2017, 65, 1979–1990. [Google Scholar] [CrossRef] [PubMed]
- Mazzaferro, V.; Battiston, C.; Perrone, S.; Pulvirenti, A.; Regalia, E.; Romito, R.; Sarli, D.; Schiavo, M.; Garbagnati, F.; Marchianò, A.; et al. Radiofrequency Ablation of Small Hepatocellular Carcinoma in Cirrhotic Patients Awaiting Liver Transplantation: A Prospective Study. Ann. Surg. 2004, 240, 900–909. [Google Scholar] [CrossRef] [PubMed]
- Mazzaferro, V.; Llovet, J.M.; Miceli, R.; Bhoori, S.; Schiavo, M.; Mariani, L.; Camerini, T.; Roayaie, S.; Schwartz, M.E.; Grazi, G.L.; et al. Predicting Survival after Liver Transplantation in Patients with Hepatocellular Carcinoma beyond the Milan Criteria: A Retrospective, Exploratory Analysis. Lancet Oncol. 2009, 10, 35–43. [Google Scholar] [CrossRef]
- Galle, P.R.; Forner, A.; Llovet, J.M.; Mazzaferro, V.; Piscaglia, F.; Raoul, J.-L.; Schirmacher, P.; Vilgrain, V. EASL Clinical Practice Guidelines: Management of Hepatocellular Carcinoma. J. Hepatol. 2018, 69, 182–236. [Google Scholar] [CrossRef] [PubMed] [Green Version]
- Lencioni, R.; Llovet, J. Modified RECIST (MRECIST) Assessment for Hepatocellular Carcinoma. Semin. Liver Dis. 2010, 30, 52–60. [Google Scholar] [CrossRef] [PubMed] [Green Version]
- Claude, C.; Le, F. Études Anatomiques et Chirurgicales; Masson: Paris, France, 1957. [Google Scholar]
- International Consensus Group for Hepatocellular Neoplasia. Pathologic Diagnosis of Early Hepatocellular Carcinoma: A Report of the International Consensus Group for Hepatocellular Neoplasia. Hepatology 2009, 49, 658–664. [Google Scholar] [CrossRef] [PubMed] [Green Version]
- Edmondson, H.A.; Steiner, P.E. Primary Carcinoma of the Liver: A Study of 100 Cases among 48,900 Necropsies. Cancer 1954, 7, 462–503. [Google Scholar] [CrossRef]
- Lubner, M.G.; Brace, C.L.; Hinshaw, J.L.; Lee, F.T. Microwave Tumor Ablation: Mechanism of Action, Clinical Results, and Devices. J. Vasc. Interv. Radiol. 2010, 21, S192–S203. [Google Scholar] [CrossRef] [Green Version]
- Dou, J.-P.; Liang, P.; Yu, J. Microwave Ablation for Liver Tumors. Abdom. Radiol. 2016, 41, 650–658. [Google Scholar] [CrossRef]
- Crocetti, L.; de Baére, T.; Pereira, P.-L.; Tarantino, F.P. CIRSE Standards of Practice on Thermal Ablation of Liver Tumours. Cardiovasc. Intervent. Radiol. 2020, 43, 951–962. [Google Scholar] [CrossRef]
- Lee, K.F.; Wong, J.; Hui, J.W.; Cheung, Y.S.; Chong, C.C.; Fong, A.K.; Yu, S.C.; Lai, P.B. Long-term Outcomes of Microwave versus Radiofrequency Ablation for Hepatocellular Carcinoma by Surgical Approach: A Retrospective Comparative Study. Asian J. Surg. 2017, 40, 301–308. [Google Scholar] [CrossRef] [Green Version]
- Yu, Q.; Liu, C.; Navuluri, R.; Ahmed, O. Percutaneous Microwave Ablation versus Radiofrequency Ablation of Hepatocellular Carcinoma: A Meta-analysis of Randomized Controlled Trials. Abdom. Radiol. 2021. [Google Scholar] [CrossRef]
- Potretzke, T.A.; Ziemlewicz, T.J.; Hinshaw, J.L.; Lubner, M.G.; Wells, S.A.; Brace, C.L.; Agarwal, P.; Lee, F.T. Microwave versus Radiofrequency Ablation Treatment for Hepatocellular Carcinoma: A Comparison of Efficacy at a Single Center. J. Vasc. Interv. Radiol. 2016, 27, 631–638. [Google Scholar] [CrossRef] [Green Version]
- Chong, C.C.N.; Lee, K.F.; Cheung, S.Y.S.; Chu, C.C.M.; Fong, A.K.W.; Wong, J.; Hui, J.W.Y.; Fung, A.K.Y.; Lok, H.T.; Lo, E.Y.J.; et al. Prospective Double-Blinded Randomized Controlled Trial of Microwave versus RadioFrequency Ablation for Hepatocellular Carcinoma (McRFA Trial). HPB 2020, 22, 1121–1127. [Google Scholar] [CrossRef]
- Kamal, A.; Elmoety, A.A.A.; Rostom, Y.A.M.; Shater, M.S.; Lashen, S.A. Percutaneous Radiofrequency versus Microwave Ablation for Management of Hepatocellular Carcinoma: A Randomized Controlled Trial. J. Gastrointest. Oncol. 2019, 10, 562–571. [Google Scholar] [CrossRef] [PubMed]
- Vietti Violi, N.; Duran, R.; Guiu, B.; Cercueil, J.-P.; Aubé, C.; Digklia, A.; Pache, I.; Deltenre, P.; Knebel, J.-F.; Denys, A. Efficacy of Microwave Ablation versus Radiofrequency Ablation for the Treatment of Hepatocellular Carcinoma in Patients with Chronic Liver Disease: A Randomised Controlled Phase 2 Trial. Lancet Gastroenterol. Hepatol. 2018, 3, 317–325. [Google Scholar] [CrossRef]
- Facciorusso, A.; Di Maso, M.; Muscatiello, N. Microwave Ablation versus Radiofrequency Ablation for the Treatment of Hepatocellular Carcinoma: A Systematic Review and Meta-Analysis. Int. J. Hyperth. 2016, 32, 339–344. [Google Scholar] [CrossRef] [PubMed]
- Glassberg, M.B.; Ghosh, S.; Clymer, J.W.; Qadeer, R.A.; Ferko, N.C.; Sadeghirad, B.; Wright, G.W.J.; Amaral, J.F. Microwave Ablation Compared with Radiofrequency Ablation for Treatment of Hepatocellular Carcinoma and Liver Metastases: A Systematic Review and Meta-Analysis. OncoTargets Ther. 2019, 12, 6407–6438. [Google Scholar] [CrossRef] [PubMed] [Green Version]
- Tan, W.; Deng, Q.; Lin, S.; Wang, Y.; Xu, G. Comparison of Microwave Ablation and Radiofrequency Ablation for Hepatocellular Carcinoma: A Systematic Review and Meta-Analysis. Int. J. Hyperth. 2019, 36, 263–271. [Google Scholar] [CrossRef] [Green Version]
- Bouda, D.; Barrau, V.; Raynaud, L.; Dioguardi Burgio, M.; Paulatto, L.; Roche, V.; Sibert, A.; Moussa, N.; Vilgrain, V.; Ronot, M. Factors Associated with Tumor Progression After Percutaneous Ablation of Hepatocellular Carcinoma: Comparison Between Monopolar Radiofrequency and Microwaves. Results of a Propensity Score Matching Analysis. Cardiovasc. Intervent. Radiol. 2020, 43, 1608–1618. [Google Scholar] [CrossRef]
- Velez, E.; Goldberg, S.N.; Kumar, G.; Wang, Y.; Gourevitch, S.; Sosna, J.; Moon, T.; Brace, C.L.; Ahmed, M. Hepatic Thermal Ablation: Effect of Device and Heating Parameters on Local Tissue Reactions and Distant Tumor Growth. Radiology 2016, 281, 782–792. [Google Scholar] [CrossRef]

| Variable | n (%) or Mean (±SD) | ||
|---|---|---|---|
| Demographics | |||
| Number of patients | Total | 30 | |
| Sex | M/F | 28 (93.3%)/2 (6.7%) | |
| Age (years, range) | 58.8 ± 7.6 (39–70) | ||
| Etiology | Infectious | HCV | 20/30 (66.6%) |
| HBV | 5/30 (16.7%) | ||
| Alcoholic | 7/30 (23.3%) | ||
| Autoimmune | 1/30 (3.3%) | ||
| Child-Pugh | At diagnosis/At LT | A | 30 (100%)/30 (100%) |
| Mean time ablation-LT (months, range) | 16.4 (1–73) | ||
| Number of HCC nodules | 36 | ||
| HCC nodule mean diameter (mm, range) | 20.9 mm ± 6.1 mm (10–30 mm) | ||
| Single HCC nodule | 26/30 (86.7%) | ||
| Multiple HCC nodules | 4/30 (13.3%) | ||
| Mean number of ablated HCC nodules per patient | 1.2 | ||
| MW Ablation Procedure | |||
| Imaging guidance | Ultrasound | 33/36 (91.7%) | |
| CT | 3/36 (8.3%) | ||
| Gauge | 14 | 19/36 (52.8%) | |
| 16 | 17/36 (47.2%) | ||
| Time (seconds, range) | 120–600 s | ||
| Power (watt, range) | 30–60 watt | ||
| Complications | Perihepatic ascites | 3/30 (10%) | |
| Portal vein thrombosis | 1/30 (3.3%) | ||
| One-Month Post Procedural Imaging Evaluation | |||
| Complete response | 30/36 (83.3%) | ||
| Viable disease | 6/36 (16.7%) | ||
| Pathological Data | |||
| Complete necrosis | 28/36 (77.8%) | ||
| Partial necrosis | 8/36 (22.2%) | ||
| Vascular invasion | Macroscopic/microscopic | 0/36 (0%)/5/36 (13.9%) | |
| Lymph-node metastasis at hepatic hilum | None | ||
| Imaging (CT/MR) * | Pathology | |
|---|---|---|
| CPR | No CPR | |
| CR | n = 27 | n = 3 |
| PR | n = 1 | n = 5 |
| Cohen’s k | 0.65 | |
| Statistics | Value | 95% CI |
| Sensitivity | 96.43% | 81.65–99.91% |
| Specificity | 62.50% | 24.49–91.48% |
| Positive predictive ratio | 90.00% | 78.58–95.67% |
| Negative predictive ratio | 83.33% | 40.40–97.36% |
| Diagnostic accuracy | 88.89% | 73.94–96.89% |
Publisher’s Note: MDPI stays neutral with regard to jurisdictional claims in published maps and institutional affiliations. |
© 2021 by the authors. Licensee MDPI, Basel, Switzerland. This article is an open access article distributed under the terms and conditions of the Creative Commons Attribution (CC BY) license (https://creativecommons.org/licenses/by/4.0/).
Share and Cite
Crocetti, L.; Scalise, P.; Bozzi, E.; Campani, D.; Rossi, P.; Cervelli, R.; Bargellini, I.; Ghinolfi, D.; De Simone, P.; Cioni, R. Microwave Ablation of Very-Early- and Early-Stage HCC: Efficacy Evaluation by Correlation with Histology after Liver Transplantation. Cancers 2021, 13, 3420. https://doi.org/10.3390/cancers13143420
Crocetti L, Scalise P, Bozzi E, Campani D, Rossi P, Cervelli R, Bargellini I, Ghinolfi D, De Simone P, Cioni R. Microwave Ablation of Very-Early- and Early-Stage HCC: Efficacy Evaluation by Correlation with Histology after Liver Transplantation. Cancers. 2021; 13(14):3420. https://doi.org/10.3390/cancers13143420
Chicago/Turabian StyleCrocetti, Laura, Paola Scalise, Elena Bozzi, Daniela Campani, Piercarlo Rossi, Rosa Cervelli, Irene Bargellini, Davide Ghinolfi, Paolo De Simone, and Roberto Cioni. 2021. "Microwave Ablation of Very-Early- and Early-Stage HCC: Efficacy Evaluation by Correlation with Histology after Liver Transplantation" Cancers 13, no. 14: 3420. https://doi.org/10.3390/cancers13143420
APA StyleCrocetti, L., Scalise, P., Bozzi, E., Campani, D., Rossi, P., Cervelli, R., Bargellini, I., Ghinolfi, D., De Simone, P., & Cioni, R. (2021). Microwave Ablation of Very-Early- and Early-Stage HCC: Efficacy Evaluation by Correlation with Histology after Liver Transplantation. Cancers, 13(14), 3420. https://doi.org/10.3390/cancers13143420

