WWOX Loses the Ability to Regulate Oncogenic AP-2γ and Synergizes with Tumor Suppressor AP-2α in High-Grade Bladder Cancer
Abstract
Simple Summary
Abstract
1. Introduction
2. Materials and Methods
2.1. Cell Lines and Culture Conditions
2.2. Stable Transductions
- Variants with an appropriate level of WWOX and AP-2α expression:
- ○
- Control/control (K/K); Control/AP-2α↑ (K/A); WWOX↑/control (W/K); WWOX↑/AP-2α↑ (W/A)
- Variants with an appropriate level of WWOX and AP-2γ expression:
- ○
- Control/control (K/K); Control/AP-2γ↑ (K/C); WWOX↑/control (W/K); WWOX↑/AP-2γ↑ (W/C)
2.3. Protein Extraction and Western Blot
2.4. Immunocytochemistry
2.5. Assessment of Redox Potential, Proliferation and Apoptosis (Triplex Assay)
2.6. Adhesion Assay
2.7. Clonogenic Assay
2.8. 3D Culture Growth Assay
2.9. Invasion Assay
2.10. Gelatin Zymography Assay
2.11. Statistical Analysis
2.12. RNA Isolation, CAGE Library Preparation, Sequencing, Mapping and Gene Expression
2.13. Investigation of Differentially Expressed Genes
2.14. Identification of Target Genes for AP-2 Transcription Factors
2.15. Ontological Annotation, Network Visualization and Correlation Analysis
2.16. Heatmap Visualization
3. Results
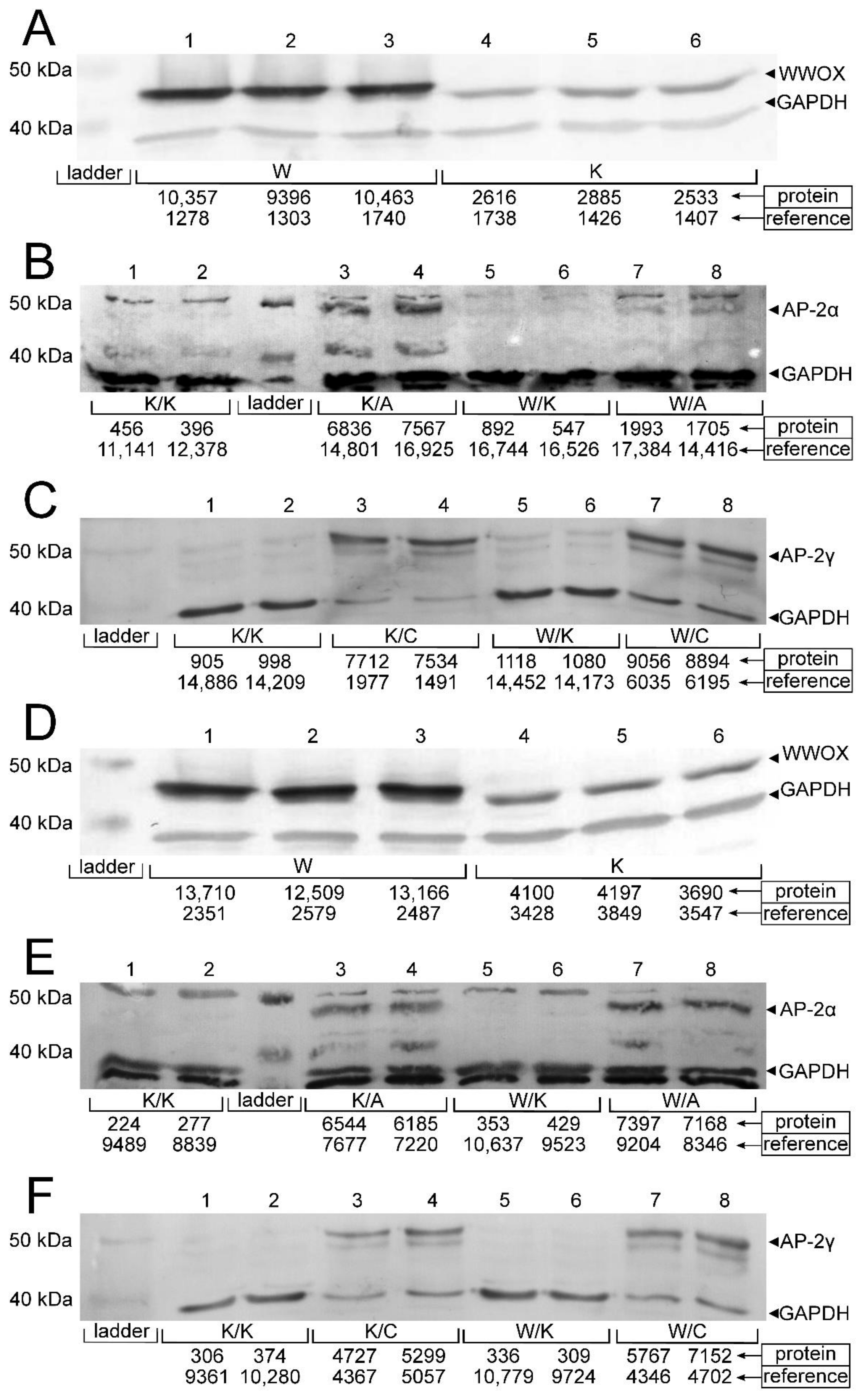
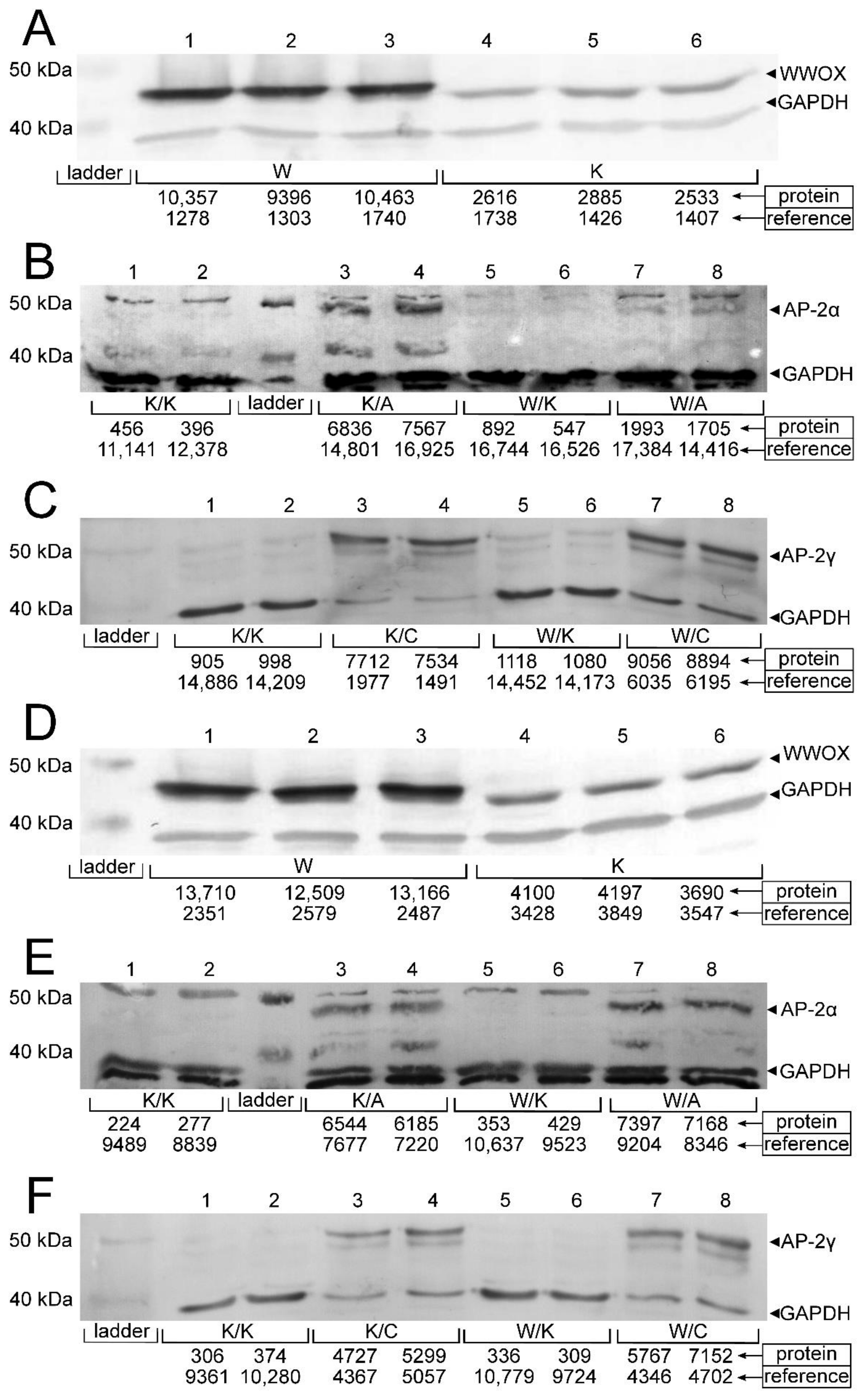
3.1. Stable Transductions Were Confirmed on the Protein Level
3.2. WWOX, AP-2α and AP-2γ Were Diversely Localized Depending on the Cellular Variant
3.3. WWOX and AP-2α Functionality Coincided Together But Contradicted with AP-2γ
3.4. Individual Overexpression of AP-2γ Increased the Adhesion to Each Analyzed ECM Protein in Both G3 and G4 BLCA
3.5. Self-Renewal Capacities and Dimensional Growth Varied Depending on the WWOX, AP-2α and AP-2γ Level
3.6. All Cellular Variants with AP-2γ Overexpression Increased Invasiveness Potential
3.7. CAGE Passed Quality Check
3.8. Many Differentially Expressed Genes Were Found among Cellular Variants
3.9. Gene Ontology Revealed Processess That Underlie Several Cancer Hallmarks
3.10. The Most Frequent DEGs Included BLCA-Related Genes and AP-2 Targets
4. Discussion
5. Conclusions
Supplementary Materials
Author Contributions
Funding
Institutional Review Board Statement
Informed Consent Statement
Data Availability Statement
Acknowledgments
Conflicts of Interest
Abbreviations
| BLCA | Bladder Cancer |
| CFSs | Common Fragile Sites |
| FHIT | Fragile Histidine Triad Diadenosine Triphosphatase |
| WWOX | WW Domain Containing Oxidoreductase |
| PARK2 | Parkinson Disease-2 |
| AP-2 | Activating Enhancer-Binding Protein 2 |
| TFs | Transcription Factors |
| G2/3/4 | Grade 2/3/4 |
| ECM | Extracellular Matrix |
| MMP | Matrix Metalloproteinase |
| CAGE | Cap Analysis Gene Expression |
| QC | Quality Check |
| DEGs | Differentially Expressed Genes |
| CPM | Counts Per Million |
| logFC | log-Fold-Change |
| MD | Mean-Difference |
| PANTHER | Protein Analysis Through Evolutionary Relationships |
| EMT | Epithelial-to-Mesenchymal Transition |
| GTRD | Gene Transcription Regulation Database |
| TRANSFAC | TRANScription FACtor database |
| TRRUST | Transcriptional Regulatory Relationships Unraveled by Sentence-based Text mining |
| ITGs | Integrins |
| MET | Mesenchymal-to-Epithelial Transition |
| PPxY | Proline-rich |
| W | Tryptophan |
| DSMZ | Deutsche Sammlung von Mikroorganismen und Zellkulturen |
| BrdU | 5-bromo-2′-deoxyuridine |
| RIN | RNA integrity number |
| BWA | Burrow-Wheeler Aligner |
| HISAT2 | Hierarchical Indexing for Spliced Alignment of Transcripts |
| IDR | Irreproducible Discovery Rate |
| TMM | Trimmed Mean of M-values |
| STRING | Search Tool for the Retrieval of Interacting Genes/Proteins |
| GEPIA2 | Gene Expression Profiling Interactive Analysis 2 |
References
- Hellman, A.; Zlotorynski, E.; Scherer, S.W.; Cheung, J.; Vincent, J.B.; Smith, D.I.; Trakhtenbrot, L.; Kerem, B. A role for common fragile site induction in amplification of human oncogenes. Cancer Cell 2002, 1, 89–97. [Google Scholar] [CrossRef]
- Bignell, G.R.; Greenman, C.D.; Davies, H.; Butler, A.P.; Edkins, S.; Andrews, J.M.; Buck, G.; Chen, L.; Beare, D.; Latimer, C.; et al. Signatures of mutation and selection in the cancer genome. Nat. Cell Biol. 2010, 463, 893–898. [Google Scholar] [CrossRef] [PubMed]
- Karras, J.R.; Schrock, M.S.; Batar, B.; Huebner, K. Fragile Genes That Are Frequently Altered in Cancer: Players Not Passengers. Cytogenet. Genome Res. 2016, 150, 208–216. [Google Scholar] [CrossRef] [PubMed]
- Gao, G.; Smith, D.I. Role of the Common Fragile Sites in Cancers with a Human Papillomavirus Etiology. Cytogenet. Genome Res. 2016, 150, 217–226. [Google Scholar] [CrossRef]
- Yang, W.; Cui, S.; Ma, J.; Lu, Q.; Kong, C.; Liu, T.; Sun, Z. Cigarette smoking extract causes hypermethylation and inactivation of WWOX gene in T-24 human bladder cancer cells. Neoplasma 2012, 59, 216–223. [Google Scholar] [CrossRef]
- Freedman, N.D.; Silverman, D.T.; Hollenbeck, A.R.; Schatzkin, A.; Abnet, C.C. Association between smoking and risk of bladder cancer among men and women. J. Am. Med Assoc. 2011, 306, 737–745. [Google Scholar] [CrossRef]
- Yoon, D.-S.; Li, L.; Zhang, R.-D.; Kram, A.; Ro, J.Y.; Johnston, D.; Grossman, H.B.; Scherer, S.; Czerniak, B. Genetic mapping and DNA sequence-based analysis of deleted regions on chromosome 16 involved in progression of bladder cancer from occult preneoplastic conditions to invasive disease. Oncogene 2001, 20, 5005–5014. [Google Scholar] [CrossRef]
- Kołat, D.; Kałuzińska, Ż.; Płuciennik, E. Fragile Gene WWOX Guides TFAP2A/TFAP2C-Dependent Actions Against Tumor Progression in Grade II Bladder Cancer. Front Oncol. 2021, 11, 210. [Google Scholar] [CrossRef]
- Kołat, D.; Kałuzińska, Ż.; Bednarek, A.K.; Płuciennik, E. The biological characteristics of transcription factors AP-2alpha and AP-2gamma and their importance in various types of cancers. Biosci. Rep. 2019, 39, 3. [Google Scholar] [CrossRef]
- Ruiz, M.; Pettaway, C.; Song, R.; Stoeltzing, O.; Ellis, L.; Bar-Eli, M. Activator Protein 2α Inhibits Tumorigenicity and Represses Vascular Endothelial Growth Factor Transcription in Prostate Cancer Cells. Cancer Res. 2004, 64, 631–638. [Google Scholar] [CrossRef][Green Version]
- Hu, J.; Tan, S.K.; Lim, M.G.L.; Chang, S.H.; Cui, G.; Liu, S.; Narasimhan, K.; New, S.Y.; Wang, X.; Chen, C.; et al. Identification of a Wells-Dawson polyoxometalate-based AP-2gamma inhibitor with pro-apoptotic activity. Biochem. J. 2018, 475, 1965–1977. [Google Scholar] [CrossRef]
- Fu, X.; Zhang, H.; Chen, Z.; Yang, Z.; Shi, D.; Liu, T.; Chen, W.; Yao, F.; Su, X.; Deng, W.; et al. TFAP2B overexpression contributes to tumor growth and progression of thyroid cancer through the COX-2 signaling pathway. Cell Death Dis. 2019, 10, 1–13. [Google Scholar] [CrossRef]
- Fraune, C.; Harms, L.; Büscheck, F.; Höflmayer, D.; Tsourlakis, M.C.; Clauditz, T.S.; Simon, R.; Möller, K.; Luebke, A.M.; Möller-Koop, C.; et al. Upregulation of the transcription factor TFAP2D is associated with aggressive tumor phenotype in prostate cancer lacking the TMPRSS2: ERG fusion. Mol. Med. 2020, 26, 1–13. [Google Scholar] [CrossRef]
- Hoshi, R.; Ishizuka, Y.; Nagasaki-Maeoka, E.; Yoshizawa, S.; Uekusa, S.; Ohashi, K.; Sugito, K.; Fukuda, N.; Nagase, H.; Watanabe, Y.; et al. Depletion of TFAP2E attenuates adriamycin-mediated apoptosis in human neuroblastoma cells. Oncol. Rep. 2017, 37, 2459–2464. [Google Scholar] [CrossRef]
- Nordentoft, I.K.; Dyrskjøt, L.; Bødker, J.S.; Wild, P.J.; Hartmann, A.; Bertz, S.; Lehmann, J.; Ørntoft, T.F.; Birkenkamp-Demtroder, K. Increased expression of transcription factor TFAP2α correlates with chemosensitivity in advanced bladder cancer. BMC Cancer 2011, 11, 135. [Google Scholar] [CrossRef]
- Zhou, J.; Duan, H.; Xie, Y.; Ning, Y.; Zhang, X.; Hui, N.; Wang, C.; Zhang, J.; Zhou, J. MiR-193a-5p Targets the Coding Region of AP-2α mRNA and Induces Cisplatin Resistance in Bladder Cancers. J. Cancer 2016, 7, 1740–1746. [Google Scholar] [CrossRef]
- Yamashita, H.; Kawasawa, Y.I.; Shuman, L.; Zheng, Z.; Tran, T.; Walter, V.; Warrick, J.I.; Chen, G.; Al-Ahmadie, H.; Kaag, M.; et al. Repression of transcription factor AP-2 alpha by PPARgamma reveals a novel transcriptional circuit in basal-squamous bladder cancer. Oncogenesis 2019, 8, 69. [Google Scholar] [CrossRef]
- Mendoza, P.R.; Specht, C.S.; Hubbard, G.B.; Wells, J.R.; Lynn, M.J.; Zhang, Q.; Kong, J.; Grossniklaus, H.E. Histopathologic grading of anaplasia in retinoblastoma. Am. J. Ophthalmol. 2015, 159, 764–776. [Google Scholar] [CrossRef]
- Engers, R. Reproducibility and reliability of tumor grading in urological neoplasms. World J. Urol. 2007, 25, 595–605. [Google Scholar] [CrossRef]
- Gontero, P.; Gillo, A.; Fiorito, C.; Oderda, M.; Pacchioni, D.; Casetta, G.; Peraldo, F.; Zitella, A.; Tizzani, A.; Ricceri, F. Prognostic Factors of ‘High-Grade’ Ta Bladder Cancers according to the WHO 2004 Classification: Are These Equivalent to ‘High-Risk’ Non-Muscle-Invasive Bladder Cancer? Urol. Int. 2014, 92, 136–142. [Google Scholar] [CrossRef]
- Compérat, E.M.; Burger, M.; Gontero, P.; Mostafid, A.H.; Palou, J.; Rouprêt, M.; van Rhijn, B.W.; Shariat, S.; Sylvester, R.J.; Zigeuner, R.; et al. Grading of Urothelial Carcinoma and The New World Health Organisation Classification of Tumours of the Urinary System and Male Genital Organs 2016. Eur. Urol. Focus 2019, 5, 457–466. [Google Scholar] [CrossRef] [PubMed]
- Ramos, D.; Abba, M.; ALópez-Guerrero, J.; Rubio, J.; Solsona, E.; Almenar, S.; Llombart-Bosch, A.; Aldaz, C.M. Low levels of WWOX protein immunoexpression correlate with tumour grade and a less favourable outcome in patients with urinary bladder tumours. Histopathology 2008, 52, 831–839. [Google Scholar] [CrossRef] [PubMed]
- Heimberger, A.B.; McGary, E.C.; Suki, D.; Ruiz, M.; Wang, H.; Fuller, G.N.; Bar-Eli, M. Loss of the AP-2alpha transcription factor is associated with the grade of human gliomas. Clin. Cancer Res. 2005, 11, 267–272. [Google Scholar] [PubMed]
- Park, J.M.; Wu, T.; Cyr, A.R.; Woodfield, G.W.; De Andrade, J.P.; Spanheimer, P.M.; Li, T.; Sugg, S.L.; Lal, G.; Domann, F.; et al. The role of Tcfap2c in tumorigenesis and cancer growth in an activated Neu model of mammary carcinogenesis. Oncogene 2015, 34, 6105–6114. [Google Scholar] [CrossRef]
- Schneider, C.A.; Rasband, W.S.; Eliceiri, K.W. NIH Image to ImageJ: 25 years of image analysis. Nat. Methods 2012, 9, 671–675. [Google Scholar] [CrossRef]
- Frith, M.C.; Valen, E.; Krogh, A.; Hayashizaki, Y.; Carninci, P.; Sandelin, A. A code for transcription initiation in mammalian genomes. Genome Res. 2007, 18, 1–12. [Google Scholar] [CrossRef]
- Ohmiya, H.; Vitezic, M.; Frith, M.C.; Itoh, M.; Carninci, P.; Forrest, A.R.R.; Hayashizaki, Y.; Lassmann, T. The FANTOM consortium RECLU: A pipeline to discover reproducible transcriptional start sites and their alternative regulation using capped analysis of gene expression (CAGE). BMC Genom. 2014, 15, 269. [Google Scholar] [CrossRef]
- Yevshin, I.; Sharipov, R.; Kolmykov, S.; Kondrakhin, Y.; Kolpakov, F. GTRD: A database on gene transcription regulation—2019 update. Nucleic Acids Res. 2019, 47, D100–D105. [Google Scholar] [CrossRef]
- Wang, L.; Wang, L.; Zhang, H.; Lu, J.; Zhang, Z.; Wu, H.; Liang, Z. AREG mediates the epithelialmesenchymal transition in pancreatic cancer cells via the EGFR/ERK/NFkappaB signalling pathway. Oncol Rep. 2020, 43, 1558–1568. [Google Scholar]
- Thøgersen, V.B.; Sorensen, B.; Poulsen, S.S.; Orntoft, T.F.; Wolf, H.; Nexo, E. A subclass of HER1 ligands are prognostic markers for survival in bladder cancer patients. Cancer Res. 2001, 61, 6227–6233. [Google Scholar]
- Mukherjee, N.; Ji, N.; Shu, Z.-J.; Curiel, T.J.; Svatek, R.S. CCL2/CCR2 signaling protects against bladder cancer growth in a T cell dependent manner. J. Immunol. 2020, 204, 90. [Google Scholar]
- Gai, J.; Wahafu, W.; Song, L.; Ping, H.; Wang, M.; Yang, F.; Niu, Y.; Qing, W.; Xing, N. Expression of CD74 in bladder cancer and its suppression in association with cancer proliferation, invasion and angiogenesis in HT-1376 cells. Oncol. Lett. 2018, 15, 7631–7638. [Google Scholar] [CrossRef]
- Roumenina, L.T.; Daugan, M.V.; Petitprez, F.; Sautès-Fridman, C.; Fridman, W.H. Context-dependent roles of complement in cancer. Nat. Rev. Cancer 2019, 19, 698–715. [Google Scholar] [CrossRef]
- Gatta, L.B.; Melocchi, L.; Bugatti, M.; Missale, F.; Lonardi, S.; Zanetti, B.; Cristinelli, L.; Belotti, S.; Simeone, C.; Ronca, R.; et al. Hyper-Activation of STAT3 Sustains Progression of Non-Papillary Basal-Type Bladder Cancer via FOSL1 Regulome. Cancers 2019, 11, 1219. [Google Scholar] [CrossRef]
- Shin, J.; Kim, G.; Lee, J.W.; Lee, J.E.; Kim, Y.S.; Yu, G.H.; Lee, S.-T.; Ahn, S.H.; Kim, H.; Lee, C. Identification of ganglioside GM2 activator playing a role in cancer cell migration through proteomic analysis of breast cancer secretomes. Cancer Sci. 2016, 107, 828–835. [Google Scholar] [CrossRef]
- Potprommanee, L.; Ma, H.-T.; Shank, L.; Juan, Y.-H.; Liao, W.-Y.; Chen, S.-T.; Yu, C.-J. GM2-Activator Protein: A New Biomarker for Lung Cancer. J. Thorac. Oncol. 2015, 10, 102–109. [Google Scholar] [CrossRef]
- Tailor, P.D.; Kodeboyina, S.K.; Bai, S.; Patel, N.; Sharma, S.; Ratnani, A.; Copland, J.A.; She, J.-X.; Sharma, A. Diagnostic and prognostic biomarker potential of kallikrein family genes in different cancer types. Oncotarget 2018, 9, 17876–17888. [Google Scholar] [CrossRef]
- Lee, J.; Wysocki, P.; Topaloglu, O.; Maldonado, L.; Brait, M.; Begum, S.; Moon, D.; Kim, M.S.; Califano, J.A.; Sidransky, D.; et al. Epigenetic silencing of S100A2 in bladder and head and neck cancers. Oncoscience 2015, 2, 410–418. [Google Scholar] [CrossRef][Green Version]
- Moubayed, N.; Weichenthal, M.; Harder, J.; Wandel, E.; Sticherling, M.; Gläser, R. Psoriasin (S100A7) is significantly up-regulated in human epithelial skin tumours. J. Cancer Res. Clin. Oncol. 2006, 133, 253–261. [Google Scholar] [CrossRef]
- Bansal, N.; Gupta, A.; Sankhwar, S.N.; Mahdi, A.A. Low- and high-grade bladder cancer appraisal via serum-based proteomics approach. Clin. Chim. Acta 2014, 436, 97–103. [Google Scholar] [CrossRef]
- Yasar, O.; Akcay, T.; Obek, C.; Turegun, F.A. Significance of S100A8, S100A9 and calprotectin levels in bladder cancer. Scand. J. Clin. Lab. Investig. 2017, 77, 437–441. [Google Scholar] [CrossRef] [PubMed]
- Hazan, I.; Hofmann, T.G.; Aqeilan, R.I. Tumor Suppressor Genes within Common Fragile Sites Are Active Players in the DNA Damage Response. PLoS Genet. 2016, 12, e1006436. [Google Scholar] [CrossRef] [PubMed][Green Version]
- Li, Z.; Xu, X.; Luo, M.; Hao, J.; Zhao, S.; Yu, W.; Xiao, X.; Wu, J.; Zheng, F.; Chen, M.; et al. Activator Protein-2beta Promotes Tumor Growth and Predicts Poor Prognosis in Breast Cancer. Cell Physiol. Biochem. 2018, 47, 1925–1935. [Google Scholar] [CrossRef] [PubMed]
- Aqeilan, R.I.; Palamarchuk, A.; Weigel, R.J.; Herrero, J.J.; Pekarsky, Y.; Croce, C.M. Physical and functional interactions between the Wwox tumor suppressor protein and the AP-2gamma transcription factor. Cancer Res. 2004, 64, 8256–8261. [Google Scholar] [CrossRef]
- Wang, Y.; Chen, S.; Jiang, Q.; Deng, J.; Cheng, F.; Lin, Y.; Cheng, L.; Ye, Y.; Chen, X.; Yao, Y.; et al. TFAP2C facilitates somatic cell reprogramming by inhibiting c-Myc-dependent apoptosis and promoting mesenchymal-to-epithelial transition. Cell Death Dis. 2020, 11, 1–15. [Google Scholar] [CrossRef]
- De Andrade, J.P.; Park, J.M.; Gu, V.W.; Woodfield, G.W.; Kulak, M.V.; Lorenzen, A.W.; Wu, V.T.; Van Dorin, S.E.; Spanheimer, P.M.; Weigel, R.J. EGFR Is Regulated by TFAP2C in Luminal Breast Cancer and Is a Target for Vandetanib. Mol. Cancer Ther. 2016, 15, 503–511. [Google Scholar] [CrossRef]
- Kałuzińska, Ż.; Kołat, D.; Kośla, K.; Orzechowska, M.; Bednarek, A.K.; Płuciennik, E. In vitro and in silico assessment of the effect of WWOX expression on invasiveness pathways associated with AP-2 transcription factors in bladder cancer. BMC Urol. 2021, 21, 1–14. [Google Scholar] [CrossRef]
- Chang, Y.; Lan, Y.-Y.; Hsiao, J.-R.; Chang, N.-S. Strategies of oncogenic microbes to deal with WW domain-containing oxidoreductase. Exp. Biol. Med. 2014, 240, 329–337. [Google Scholar] [CrossRef]
- Nowakowska, M.; Pospiech, K.; Lewandowska, U.; Piastowska-Ciesielska, A.W.; Bednarek, A.K. Diverse effect of WWOX overexpression in HT29 and SW480 colon cancer cell lines. Tumor Biol. 2014, 35, 9291–9301. [Google Scholar] [CrossRef]
- Chang, N.-S.; Doherty, J.; Ensign, A.; Schultz, L.; Hsu, L.-J.; Hong, Q. WOX1 Is Essential for Tumor Necrosis Factor-, UV Light-Staurosporine-, and p53-mediated Cell Death, and Its Tyrosine 33-phosphorylated Form Binds and Stabilizes Serine 46-phosphorylated p53. J. Biol. Chem. 2005, 280, 43100–43108. [Google Scholar] [CrossRef]
- O’Keefe, L.V.; Lee, C.S.; Choo, A.; Richards, R.I. Tumor Suppressor WWOX Contributes to the Elimination of Tumorigenic Cells in Drosophila melanogaster. PLoS ONE 2015, 10, e0136356. [Google Scholar] [CrossRef]
- Liu, Y.; Wang, Q.; Yu, P.; Miao, W.; Liu, C.; Pu, Y.; Zhang, C. Methylation of WWOX gene promotes proliferation of osteosarcoma cells. J. BUON 2021, 25, 2708–2713. [Google Scholar]
- Zhao, Y.; Wang, W.; Pan, W.; Yu, Y.; Huang, W.; Gao, J.; Zhang, Y.; Zhang, S. WWOX promotes apoptosis and inhibits autophagy in paclitaxel-treated ovarian carcinoma cells. Mol. Med. Rep. 2020, 23, 1. [Google Scholar] [CrossRef]
- Gunes, S.; Sullu, Y.; Yegin, Z.; Buyukalpelli, R.; Tomak, L.; Bagci, H. ErbB receptor tyrosine kinase family expression levels in urothelial bladder carcinoma. Pathol. Res. Pract. 2013, 209, 99–104. [Google Scholar] [CrossRef]
- Sundvall, M.; Peri, L.; Maatta, J.A.; Tvorogov, D.; Paatero, I.; Savisalo, M.; Silvennoinen, O.; Yarden, Y.; Elenius, K. Differential nuclear localization and kinase activity of alternative ErbB4 intracellular domains. Oncogene 2007, 26, 6905–6914. [Google Scholar] [CrossRef]
- Zeng, C.; Liu, Z.; Zhang, J.; Fang, H.; Fang, C.; Wang, Y.; Seeruttun, S.R.; Chen, J.; Huang, L.; Wang, W. Functions of the AP-2α gene in activating apoptosis and inhibiting proliferation of gastric cancer cells both in vitro and in vivo. Arch. Med. Sci. 2017, 13, 1255–1261. [Google Scholar] [CrossRef]
- Huang, W.; Chen, C.; Liang, Z.; Qiu, J.; Li, X.; Hu, X.; Xiang, S.; Ding, X.; Zhang, J. AP-2α inhibits hepatocellular carcinoma cell growth and migration. Int. J. Oncol. 2016, 48, 1125–1134. [Google Scholar] [CrossRef]
- Farid, R.M.; Sammour, S.A.E.-M.; El-Din, Z.A.E.-K.S.; Salman, M.I.; Omran, T.I. Expression of CD133 and CD24 and their different phenotypes in urinary bladder carcinoma. Cancer Manag. Res. 2019, 11, 4677–4690. [Google Scholar] [CrossRef]
- Pan, C.-W.; Shen, Z.-J.; Wu, T.-T.; Tang, X.-Y.; Wang, M.; Sun, J.; Shao, Y. Cell adhesion to fibronectin induces mitomycin C resistance in bladder cancer cells. BJU Int. 2009, 104, 1774–1779. [Google Scholar] [CrossRef]
- Kuai, W.X.; Wang, Q.; Yang, X.Z.; Zhao, Y.; Yu, R.; Tang, X.J. Interleukin-8 associates with adhesion, migration, invasion and chemosensitivity of human gastric cancer cells. World J. Gastroenterol. 2012, 18, 979–985. [Google Scholar] [CrossRef]
- Sethi, T.; Rintoul, R.C.; Moore, S.M.; MacKinnon, A.C.; Salter, D.; Choo, C.; Chilvers, E.R.; Dransfield, I.; Donnelly, S.C.; Strieter, R.; et al. Extracellular matrix proteins protect small cell lung cancer cells against apoptosis: A mechanism for small cell lung cancer growth and drug resistance in vivo. Nat. Med. 1999, 5, 662–668. [Google Scholar] [CrossRef] [PubMed]
- Płuciennik, E.; Nowakowska, M.; Gałdyszyńska, M.; Popęda, M.; Bednarek, A. The influence of the WWOX gene on the regulation of biological processes during endometrial carcinogenesis. Int. J. Mol. Med. 2016, 37, 807–815. [Google Scholar] [CrossRef] [PubMed]
- Hynes, R.O.; Naba, A. Overview of the Matrisome—An Inventory of Extracellular Matrix Constituents and Functions. Cold Spring Harb. Perspect. Biol. 2011, 4, a004903. [Google Scholar] [CrossRef] [PubMed]
- Park, D.; Wershof, E.; Boeing, S.; Labernadie, A.; Jenkins, R.P.; George, S.; Trepat, X.; Bates, P.A.; Sahai, E. Extracellular matrix anisotropy is determined by TFAP2C-dependent regulation of cell collisions. Nat. Mater. 2020, 19, 227–238. [Google Scholar] [CrossRef]
- Kuroki, T.; Yendamuri, S.; Trapasso, F.; Matsuyama, A.; Aqeilan, R.I.; Alder, H.; Rattan, S.; Cesari, R.; Nolli, M.L.; Williams, N.N.; et al. The Tumor Suppressor Gene WWOX at FRA16D Is Involved in Pancreatic Carcinogenesis. Clin. Cancer Res. 2004, 10, 2459–2465. [Google Scholar] [CrossRef]
- Cui, Z.; Lin, D.; Cheng, F.; Luo, L.; Kong, L.; Xu, J.; Hu, J.; Lan, F. The role of the WWOX gene in leukemia and its mechanisms of action. Oncol. Rep. 2013, 29, 2154–2162. [Google Scholar] [CrossRef]
- Wajapeyee, N.; Somasundaram, K. Cell Cycle Arrest and Apoptosis Induction by Activator Protein 2α (AP-2α) and the Role of p53 and p21WAF1/CIP1 in AP-2α-mediated Growth Inhibition. J. Biol. Chem. 2003, 278, 52093–52101. [Google Scholar] [CrossRef]
- Liu, J.; Liu, Z.; Li, M.; Tang, W.; Pratap, U.P.; Luo, Y.; Altwegg, K.A.; Li, X.; Zou, Y.; Zhu, H.; et al. Interaction of transcription factor AP-2 gamma with proto-oncogene PELP1 promotes tumorigenesis by enhancing RET signaling. Mol. Oncol. 2020, 15, 1146–1161. [Google Scholar] [CrossRef]
- Schwartz, B.; Melnikova, V.O.; Tellez, C.; Mourad-Zeidan, A.; Blehm, K.; Zhao, Y.-J.; Mccarty, M.; Adam, L.; Bar-Eli, M. Loss of AP-2α results in deregulation of E-cadherin and MMP-9 and an increase in tumorigenicity of colon cancer cells in vivo. Oncogene 2007, 26, 4049–4058. [Google Scholar] [CrossRef]
- Kuckenberg, P.; Kubaczka, C.; Schorle, H. The role of transcription factor Tcfap2c/TFAP2C in trophectoderm development. Reprod. Biomed. 2012, 25, 12–20. [Google Scholar] [CrossRef]
- Zheng, Q.-W.; Zhou, Y.-L.; You, Q.-J.; Shou, F.; Pang, Q.-F.; Chen, J.-L. WWOX inhibits the invasion of lung cancer cells by downregulating RUNX. Cancer Gene Ther. 2016, 23, 433–438. [Google Scholar] [CrossRef]
- Seabra, M.A.L.; Cândido, E.B.; Vidigal, P.V.T.; Lamaita, R.M.; Rodrigues, A.N.; Filho, A.L.D.S. Immunohistochemical WWOX Expression and Association with Angiogenesis, p53 Expression, Cell Proliferation and Clinicopathological Parameters in Cervical Cancer. Rev. Bras. Ginecol. Obs./RBGO Gynecol. Obstet. 2018, 40, 79–85. [Google Scholar] [CrossRef]
- Wang, X.; Peng, S.; Cui, K.; Hou, F.; Ding, J.; Li, A.; Wang, M.; Geng, L. MicroRNA-576-5p enhances the invasion ability of trophoblast cells in preeclampsia by targeting TFAP2A. Mol. Genet. Genom. Med. 2019, 8, 1025. [Google Scholar] [CrossRef]
- Shi, D.; Xie, F.; Zhang, Y.; Tian, Y.; Chen, W.; Fu, L.; Wang, J.; Guo, W.; Kang, T.; Huang, W.; et al. TFAP2A Regulates Nasopharyngeal Carcinoma Growth and Survival by Targeting HIF-1α Signaling Pathway. Cancer Prev. Res. 2014, 7, 266–277. [Google Scholar] [CrossRef]
- Wu, V.T.; Kiriazov, B.; Koch, K.E.; Gu, V.W.; Beck, A.C.; Borcherding, N.; Li, T.; Addo, P.; Wehrspan, Z.J.; Zhang, W.; et al. A TFAP2C Gene Signature is Predictive of Outcome in HER2-positive Breast Cancer. Mol. Cancer Res. 2019, 18, 46–56. [Google Scholar] [CrossRef]
- Li, L.; Zheng, Y.L.; Jiang, C.; Fang, S.; Zeng, T.T.; Zhu, Y.H.; Li, Y.; Xie, D.; Guan, X.Y. HN1L-mediated transcriptional axis AP-2gamma/METTL13/TCF3-ZEB1 drives tumor growth and metastasis in hepatocellular carcinoma. Cell Death Differ. 2019, 26, 2268–2283. [Google Scholar] [CrossRef]
- Gourley, C.; Paige, A.J.; Taylor, K.J.; Ward, C.V.; Kuske, B.; Zhang, J.; Sun, M.; Janczar, S.; Harrison, D.J.; Muir, M.; et al. WWOX Gene Expression Abolishes Ovarian Cancer Tumorigenicity In vivo and Decreases Attachment to Fibronectin via Integrin α3. Cancer Res. 2009, 69, 4835–4842. [Google Scholar] [CrossRef]
- Yang, W.; Wang, X.-M.; Yuan, H.-Y.; Liu, Z.-H.; Gao, S.; Peng, L. Exploring the mechanism of WWOX growth inhibitory effects on oral squamous cell carcinoma. Oncol. Lett. 2017, 13, 3198–3204. [Google Scholar] [CrossRef]
- Kolat, D.; Kaluzinska, Z.; Orzechowska, M.; Bednarek, A.K.; Pluciennik, E. Functional genomics of AP-2alpha and AP-2gamma in cancers: In silico study. BMC Med. Genom. 2020, 13, 174. [Google Scholar] [CrossRef]
- Kim, W.; Kim, E.; Lee, S.; Kim, D.; Chun, J.; Park, K.H.; Youn, H.; Youn, B. TFAP2C-mediated upregulation of TGFBR1 promotes lung tumorigenesis and epithelial–mesenchymal transition. Exp. Mol. Med. 2016, 48, e273. [Google Scholar] [CrossRef]
- Khawaled, S.; Nigita, G.; Distefano, R.; Oster, S.; Suh, S.-S.; Smith, Y.; Khalaileh, A.; Peng, Y.; Croce, C.M.; Geiger, T.; et al. Pleiotropic tumor suppressor functions of WWOX antagonize metastasis. Signal Transduct. Target. Ther. 2020, 5, 1–10. [Google Scholar] [CrossRef] [PubMed]
- Dimitrova, Y.; Gruber, A.J.; Mittal, N.; Ghosh, S.; Dimitriades, B.; Mathow, D.; Grandy, W.A.; Christofori, G.; Zavolan, M. TFAP2A is a component of the ZEB1/2 network that regulates TGFB1-induced epithelial to mesenchymal transition. Biol. Direct. 2017, 12, 8. [Google Scholar] [CrossRef] [PubMed]
- Kośla, K.; Kałuzińska, Ż.; Bednarek, A.K. The WWOX gene in brain development and pathology. Exp. Biol. Med. 2020, 245, 1122–1129. [Google Scholar] [CrossRef]
- Scott, C.C.; Vossio, S.; Rougemont, J.; Gruenberg, J. TFAP2 transcription factors are regulators of lipid droplet biogenesis. eLife 2018, 7. [Google Scholar] [CrossRef] [PubMed]
- Kośla, K.; Nowakowska, M.; Pospiech, K.; Bednarek, A. WWOX modulates the gene expression profile in the T98G glioblastoma cell line rendering its phenotype less malignant. Oncol. Rep. 2014, 32, 1362–1368. [Google Scholar] [CrossRef] [PubMed][Green Version]
- Kantarci, H.; Edlund, R.K.; Groves, A.K.; Riley, B.B. Tfap2a Promotes Specification and Maturation of Neurons in the Inner Ear through Modulation of Bmp, Fgf and Notch Signaling. PLoS Genet. 2015, 11, e1005037. [Google Scholar] [CrossRef] [PubMed]
- Li, L.; Wang, Y.; Torkelson, J.L.; Shankar, G.; Pattison, J.M.; Zhen, H.H.; Fang, F.; Duren, Z.; Xin, J.; Gaddam, S.; et al. TFAP2C- and p63-Dependent Networks Sequentially Rearrange Chromatin Landscapes to Drive Human Epidermal Lineage Commitment. Cell Stem Cell 2019, 24, 271–284.e8. [Google Scholar] [CrossRef]
- Aqeilan, R.I.; Donati, V.; Palamarchuk, A.; Trapasso, F.; Kaou, M.; Pekarsky, Y.; Sudol, M.; Croce, C.M. WW Domain–Containing Proteins, WWOX and YAP, Compete for Interaction with ErbB-4 and Modulate Its Transcriptional Function. Cancer Res. 2005, 65, 6764–6772. [Google Scholar] [CrossRef]
- Turner, B.C.; Zhang, J.; Gumbs, A.A.; Maher, M.G.; Kaplan, L.; Carter, D.; Glazer, P.M.; Hurst, H.C.; Haffty, B.G.; Williams, T. Expression of AP-2 transcription factors in human breast cancer correlates with the regulation of multiple growth factor signalling pathways. Cancer Res. 1998, 58, 5466–5472. [Google Scholar]
- Allore, R.J.; Friend, W.C.; O’Hanlon, D.; Neilson, K.M.; Baumal, R.; Dunn, R.J.; Marks, A. Cloning and expression of the human S100 beta gene. J. Biol. Chem. 1990, 265, 15537–15543. [Google Scholar] [CrossRef]
- Liu, J.; Xu, Z.-M.; Qiu, G.-B.; Zheng, Z.-H.; Sun, K.-L.; Fu, W.-N. S100A4 is upregulated via the binding of c-Myb in methylation-free laryngeal cancer cells. Oncol. Rep. 2013, 31, 442–449. [Google Scholar] [CrossRef]
- Mumy, A.; Kohaar, I.; Porter-Gill, P.; Tang, W.; Fu, Y.-P.; Prokunina-Olsson, L. Prostate stem cell antigen (PSCA) and risk of bladder cancer: Linking genotypes to functional mechanisms. Genome Biol. 2011, 12, 15. [Google Scholar] [CrossRef]
- Amara, N.; Palapattu, G.S.; Schrage, M.; Gu, Z.; Thomas, G.V.; Dorey, F.; Said, J.; Reiter, R.E. Prostate stem cell antigen is overexpressed in human transitional cell carcinoma. Cancer Res. 2001, 61, 4660–4665. [Google Scholar]
- Rothstein, M.; Simoes-Costa, M. Heterodimerization of TFAP2 pioneer factors drives epigenomic remodeling during neural crest specification. Genome Res. 2019, 30, 35–48. [Google Scholar] [CrossRef]
- Cao, Z.; Xu, T.; Tong, X.; Wang, Y.; Zhang, D.; Gao, D.; Zhang, L.; Ning, W.; Qi, X.; Ma, Y.; et al. Maternal Yes-Associated Protein Participates in Porcine Blastocyst Development via Modulation of Trophectoderm Epithelium Barrier Function. Cells 2019, 8, 1606. [Google Scholar] [CrossRef]
- Dong, L.; Lin, F.; Wu, W.; Liu, Y.; Huang, W. Verteporfin inhibits YAP-induced bladder cancer cell growth and invasion via Hippo signaling pathway. Int. J. Med Sci. 2018, 15, 645–652. [Google Scholar] [CrossRef]
- Zhao, A.-Y.; Dai, Y.-J.; Lian, J.-F.; Huang, Y.; Lin, J.-G.; Dai, Y.-B.; Xu, T.-W. YAP regulates ALDH1A1 expression and stem cell property of bladder cancer cells. OncoTargets Ther. 2018, 11, 6657–6663. [Google Scholar] [CrossRef]
- Ciamporcero, E.; Shen, H.; Ramakrishnan, S.; Ku, S.Y.; Chintala, S.; Shen, L.; Adelaiye, R.; Miles, K.M.; Ullio, C.; Pizzimenti, S.; et al. YAP activation protects urothelial cell carcinoma from treatment-induced DNA damage. Oncogene 2016, 35, 1541–1553. [Google Scholar] [CrossRef]
- Liu, J.-Y.; Li, Y.-H.; Lin, H.-X.; Liao, Y.-J.; Mai, S.-J.; Liu, Z.-W.; Zhang, Z.-L.; Jiang, L.-J.; Zhang, J.-X.; Kung, H.-F.; et al. Overexpression of YAP 1 contributes to progressive features and poor prognosis of human urothelial carcinoma of the bladder. BMC Cancer 2013, 13, 349. [Google Scholar] [CrossRef]
- Zhao, Y.; Zhou, W.; Xue, L.; Zhang, W.; Zhan, Q. Nicotine Activates YAP1 through nAChRs Mediated Signaling in Esophageal Squamous Cell Cancer (ESCC). PLoS ONE 2014, 9, e90836. [Google Scholar] [CrossRef]
- Omori, H.; Nishio, M.; Masuda, M.; Miyachi, Y.; Ueda, F.; Nakano, T.; Sato, K.; Mimori, K.; Taguchi, K.; Hikasa, H.; et al. YAP1 is a potent driver of the onset and progression of oral squamous cell carcinoma. Sci. Adv. 2020, 6, 3324. [Google Scholar] [CrossRef] [PubMed]
- Hong, W.; Guan, K.-L. The YAP and TAZ transcription co-activators: Key downstream effectors of the mammalian Hippo pathway. Semin. Cell Dev. Biol. 2012, 23, 785–793. [Google Scholar] [CrossRef] [PubMed]
- Salah, Z.; Aqeilan, R.; Huebner, K. WWOX gene and gene product: Tumor suppression through specific protein interactions. Future Oncol. 2010, 6, 249–259. [Google Scholar] [CrossRef] [PubMed]











| Gene | Significance in BLCA | Reference |
|---|---|---|
| AREG | Reduces survival of bladder cancer patients when overexpressed | [29,30] |
| CCL2 | Impairs BLCA growth via T-cell recruitment | [31] |
| CD74 | Increases invasion, angiogenesis and proliferation of urothelial carcinoma | [32] |
| CFB | None or not yet investigated in BLCA but is strongly expressed in many cancers and its plasma level is useful for prognosis of resectable pancreatic cancers prior to operation | [33] |
| FOSL1 | Controls BLCA motility through AXL upregulation and is regulated by STAT3, which activates stromal invasion | [34] |
| GM2A | None or not yet investigated, but its overexpression increases the migration of breast cancer cells; supposed prognostic and diagnostic biomarker of lung cancer | [35,36] |
| KLK7 | None or not yet investigated, but it might serve as a biomarker of renal papillary carcinoma, which is implicated in colon, thyroid and breast carcinomas; many other kallikreins have an impact on BLCA, e.g., KLK2/4/5/6/8/9/13 | [37] |
| KLK8 | Overexpression decreases the overall survival of BLCA patients | [37] |
| S100A2 | Its promoter is methylated more frequently in BLCA patients than healthy individuals; detectable in urine | [38] |
| S100A7 | Overexpressed in BLCA with a potential role in tumor progression | [39] |
| S100A8 | Differentiates low and high grade BLCA; increases with grading | [40] |
| S100A9 | Forms heterodimeric complex (calprotectin) with S100A8; the calprotectin level in urine might serve in BLCA diagnosis and staging as a marker of invasion | [41] |
Publisher’s Note: MDPI stays neutral with regard to jurisdictional claims in published maps and institutional affiliations. |
© 2021 by the authors. Licensee MDPI, Basel, Switzerland. This article is an open access article distributed under the terms and conditions of the Creative Commons Attribution (CC BY) license (https://creativecommons.org/licenses/by/4.0/).
Share and Cite
Kołat, D.; Kałuzińska, Ż.; Bednarek, A.K.; Płuciennik, E. WWOX Loses the Ability to Regulate Oncogenic AP-2γ and Synergizes with Tumor Suppressor AP-2α in High-Grade Bladder Cancer. Cancers 2021, 13, 2957. https://doi.org/10.3390/cancers13122957
Kołat D, Kałuzińska Ż, Bednarek AK, Płuciennik E. WWOX Loses the Ability to Regulate Oncogenic AP-2γ and Synergizes with Tumor Suppressor AP-2α in High-Grade Bladder Cancer. Cancers. 2021; 13(12):2957. https://doi.org/10.3390/cancers13122957
Chicago/Turabian StyleKołat, Damian, Żaneta Kałuzińska, Andrzej K. Bednarek, and Elżbieta Płuciennik. 2021. "WWOX Loses the Ability to Regulate Oncogenic AP-2γ and Synergizes with Tumor Suppressor AP-2α in High-Grade Bladder Cancer" Cancers 13, no. 12: 2957. https://doi.org/10.3390/cancers13122957
APA StyleKołat, D., Kałuzińska, Ż., Bednarek, A. K., & Płuciennik, E. (2021). WWOX Loses the Ability to Regulate Oncogenic AP-2γ and Synergizes with Tumor Suppressor AP-2α in High-Grade Bladder Cancer. Cancers, 13(12), 2957. https://doi.org/10.3390/cancers13122957

