Genetic and Epigenetic Regulation of the Smoothened Gene (SMO) in Cancer Cells
Abstract
1. Introduction
2. Results
2.1. Expression of HH Signaling Molecules in Cancer Cell Lines and Normal Prostate Cells and Tissues
2.2. Hypermethylation of the SMO Gene in Non-Expressing Cancer Cell Lines
2.3. Interspecies Comparison of Genomic SMO Sequences
2.4. In Silico Analysis of the SMO Upstream Regulatory Region
2.5. Functional Analysis of the Core SMO Promoter
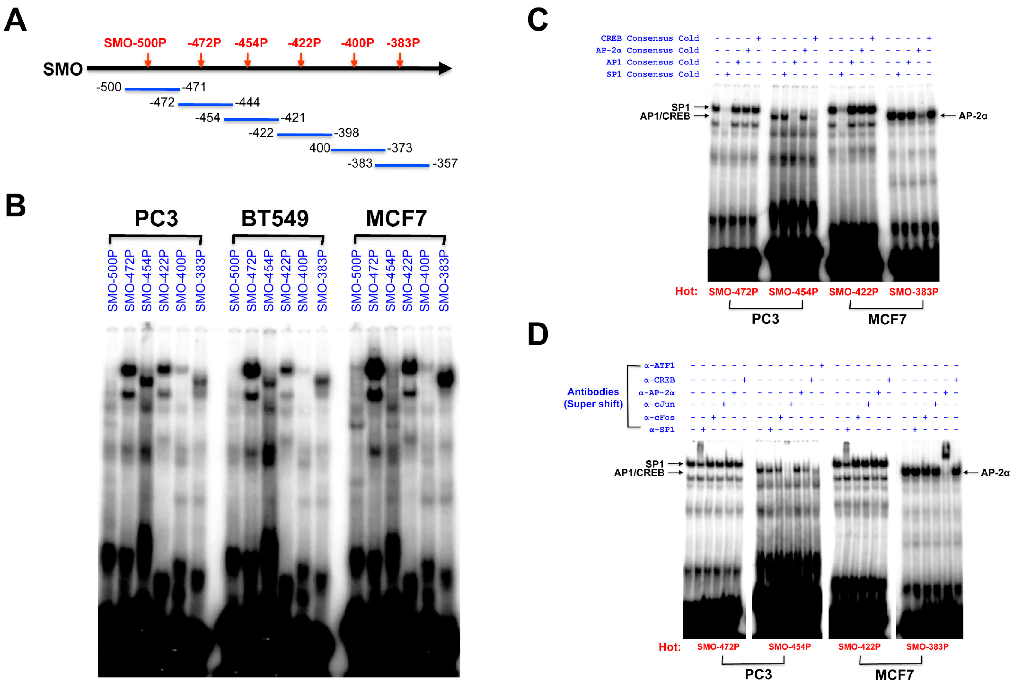
2.6. Identification of Transcription Factor Binding Sites in the SMO Gene Promoter
3. Discussion
4. Materials and Methods
4.1. Computational Analysis of the SMO Gene
4.2. Cell Lines and 5-Aza Treatment
4.3. Real Time Quantitative RT-PCR
4.4. Bisulfite Modification and Bisulfite Sequencing PCR (BSP)
4.5. Methylation-Specific PCR (MSP)
4.6. Real-Time Quantitative MSP
4.7. Touchdown PCR of the SMO Promoter Region
4.8. Generation of Luciferase Reporter Plasmids
4.9. Cell Transfection and Luciferase Assays
4.10. Electrophoretic Mobility Shift Assays (EMSA)
4.11. Statistical Analysis
5. Conclusions
Supplementary Materials
Author Contributions
Funding
Acknowledgments
Conflicts of Interest
References
- Raleigh, D.R.; Reiter, J.F. Misactivation of Hedgehog signaling causes inherited and sporadic cancers. J. Clin. Investig. 2019, 129, 465–475. [Google Scholar] [CrossRef]
- Beachy, P.A.; Karhadkar, S.S.; Berman, D.M. Tissue repair and stem cell renewal in carcinogenesis. Nature 2004, 432, 324–331. [Google Scholar] [CrossRef]
- Berman, D.M.; Karhadkar, S.S.; Maitra, A.; Montes, D.O.R.; Gerstenblith, M.R.; Briggs, K.; Parker, A.R.; Shimada, Y.; Eshleman, J.R.; Watkins, D.N.; et al. Widespread requirement for Hedgehog ligand stimulation in growth of digestive tract tumours. Nature 2003, 425, 846–851. [Google Scholar] [CrossRef]
- Ingham, P.W.; McMahon, A.P. Hedgehog signaling in animal development: Paradigms and principles. Genes Dev. 2001, 15, 3059–3087. [Google Scholar] [CrossRef]
- Zhang, B.; Zhuang, T.; Lin, Q.; Yang, B.; Xu, X.; Xin, G.; Zhu, S.; Wang, G.; Yu, B.; Zhang, T.; et al. Patched1-ArhGAP36-PKA-Inversin axis determines the ciliary translocation of smoothened for sonic Hedgehog pathway activation. Proc. Natl. Acad. Sci. USA 2019, 116, 874–879. [Google Scholar] [CrossRef]
- Pietrobono, S.; Gagliardi, S.; Stecca, B. Non-canonical Hedgehog signaling pathway in cancer: Activation of GLI transcription factors beyond smoothened. Front. Genet. 2019, 10, 556. [Google Scholar] [CrossRef] [PubMed]
- Price, M.A.; Kalderon, D. Proteolysis of the Hedgehog signaling effector cubitus interruptus requires phosphorylation by Glycogen Synthase Kinase 3 and Casein Kinase 1. Cell 2002, 108, 823–835. [Google Scholar] [CrossRef]
- Vokes, S.A.; Ji, H.; McCuine, S.; Tenzen, T.; Giles, S.; Zhong, S.; Longabaugh, W.J.; Davidson, E.H.; Wong, W.H.; McMahon, A.P. Genomic characterization of Gli-activator targets in sonic Hedgehog-mediated neural patterning. Development 2007, 134, 1977–1989. [Google Scholar] [CrossRef] [PubMed]
- Dean, M. Towards a unified model of tumor suppression: Lessons learned from the human patched gene. Biochim. Biophys. Acta 1997, 1332, M43–M52. [Google Scholar] [CrossRef]
- Wolf, I.; Bose, S.; Desmond, J.C.; Lin, B.T.; Williamson, E.A.; Karlan, B.Y.; Koeffler, H.P. Unmasking of epigenetically silenced genes reveals DNA promoter methylation and reduced expression of PTCH in breast cancer. Breast Cancer Res. Treat. 2007, 105, 139–155. [Google Scholar] [CrossRef]
- Evangelista, M.; Tian, H.; de Sauvage, F.J. The Hedgehog signaling pathway in cancer. Clin. Cancer Res. 2006, 12, 5924–5928. [Google Scholar] [CrossRef] [PubMed]
- Ohta, M.; Tateishi, K.; Kanai, F.; Watabe, H.; Kondo, S.; Guleng, B.; Tanaka, Y.; Asaoka, Y.; Jazag, A.; Imamura, J.; et al. P53-independent negative regulation of p21/cyclin-dependent kinase-interacting protein 1 by the sonic Hedgehog-glioma-associated oncogene 1 pathway in gastric carcinoma cells. Cancer Res. 2005, 65, 10822–10829. [Google Scholar] [CrossRef] [PubMed]
- Karhadkar, S.S.; Bova, G.S.; Abdallah, N.; Dhara, S.; Gardner, D.; Maitra, A.; Isaacs, J.T.; Berman, D.M.; Beachy, P.A. Hedgehog signalling in prostate regeneration, neoplasia and metastasis. Nature 2004, 431, 707–712. [Google Scholar] [CrossRef] [PubMed]
- Watkins, D.N.; Berman, D.M.; Burkholder, S.G.; Wang, B.; Beachy, P.A.; Baylin, S.B. Hedgehog signalling within airway epithelial progenitors and in small-cell lung cancer. Nature 2003, 422, 313–317. [Google Scholar] [CrossRef] [PubMed]
- Thayer, S.P.; di Magliano, M.P.; Heiser, P.W.; Nielsen, C.M.; Roberts, D.J.; Lauwers, G.Y.; Qi, Y.P.; Gysin, S.; Fernandez-del Castillo, C.; Yajnik, V.; et al. Hedgehog is an early and late mediator of pancreatic cancer tumorigenesis. Nature 2003, 425, 851–856. [Google Scholar] [CrossRef]
- Berman, D.M.; Karhadkar, S.S.; Hallahan, A.R.; Pritchard, J.I.; Eberhart, C.G.; Watkins, D.N.; Chen, J.K.; Cooper, M.K.; Taipale, J.; Olson, J.M.; et al. Medulloblastoma growth inhibition by Hedgehog pathway blockade. Science 2002, 297, 1559–1561. [Google Scholar] [CrossRef]
- Espinosa-Bustos, C.; Mella, J.; Soto-Delgado, J.; Salas, C.O. State of the art of Smo antagonists for cancer therapy: Advances in the target receptor and new ligand structures. Future Med. Chem. 2019, 11, 617–638. [Google Scholar] [CrossRef]
- Lou, H.; Dean, M. Targeted therapy for cancer stem cells: The patched pathway and ABC transporters. Oncogene 2007, 26, 1357–1360. [Google Scholar] [CrossRef]
- Dean, M. Cancer stem cells: Redefining the paradigm of cancer treatment strategies. Mol. Interv. 2006, 6, 140–148. [Google Scholar] [CrossRef]
- De Smaele, E.; Ferretti, E.; Gulino, A. Vismodegib, a small-molecule inhibitor of the Hedgehog pathway for the treatment of advanced cancers. Curr. Opin. Investig. Drugs 2010, 11, 707–718. [Google Scholar]
- Burness, C.B. Sonidegib: First global approval. Drugs 2015, 75, 1559–1566. [Google Scholar] [CrossRef] [PubMed]
- Johannessen, L.; Remsberg, J.; Gaponenko, V.; Adams, K.M.; Barchi, J.J., Jr.; Tarasov, S.G.; Jiang, S.; Tarasova, N.I. Peptide structure stabilization by membrane anchoring and its general applicability to the development of potent cell-permeable inhibitors. ChemBioChem 2011, 12, 914–921. [Google Scholar] [CrossRef] [PubMed]
- Remsberg, J.R.; Lou, H.; Tarasov, S.G.; Dean, M.; Tarasova, N.I. Structural analogues of smoothened intracellular loops as potent inhibitors of Hedgehog pathway and cancer cell growth. J. Med. Chem. 2007, 50, 4534–4538. [Google Scholar] [CrossRef] [PubMed]
- Du, P.; Ye, H.R.; Gao, J.; Chen, W.; Wang, Z.C.; Jiang, H.H.; Xu, J.; Zhang, J.W.; Zhang, J.C.; Cui, L. Methylation of PTCH1a gene in a subset of gastric cancers. World J. Gastroenterol. 2009, 15, 3799–3806. [Google Scholar] [CrossRef]
- Issa, J.P. CpG island methylator phenotype in cancer. Nat. Rev. Cancer 2004, 4, 988–993. [Google Scholar] [CrossRef]
- Toyota, M.; Ahuja, N.; Ohe-Toyota, M.; Herman, J.G.; Baylin, S.B.; Issa, J.P. CpG island methylator phenotype in colorectal cancer. Proc. Natl. Acad. Sci. USA 1999, 96, 8681–8686. [Google Scholar] [CrossRef]
- An, N.; Shi, Y.; Ye, P.; Pan, Z.; Long, X. Association between MGMT promoter methylation and breast cancer: A meta-analysis. Cell Physiol. Biochem. 2017, 42, 2430–2440. [Google Scholar] [CrossRef]
- Feng, L.; Jin, F. Screening of differentially methylated genes in breast cancer and risk model construction based on TCGA database. Oncol. Lett. 2018, 16, 6407–6416. [Google Scholar] [CrossRef]
- Peters, I.R.; Helps, C.R.; Hall, E.J.; Day, M.J. Real-time RT-PCR: Considerations for efficient and sensitive assay design. J. Immunol. Methods 2004, 286, 203–217. [Google Scholar] [CrossRef]
- Lorenz, T.C. Polymerase chain reaction: Basic protocol plus troubleshooting and optimization strategies. J. Vis. Exp. 2012, 63, e3998. [Google Scholar] [CrossRef]
- Jensen, M.A.; Fukushima, M.; Davis, R.W. DMSO and betaine greatly improve amplification of GC-rich constructs in de novo synthesis. PLoS ONE 2010, 5, e11024. [Google Scholar] [CrossRef] [PubMed]
- Yang, C.; Chen, W.; Chen, Y.; Jiang, J. Smoothened transduces Hedgehog signal by forming a complex with Evc/Evc2. Cell Res. 2012, 22, 1593–1604. [Google Scholar] [CrossRef] [PubMed]
- Gebhard, C.; Benner, C.; Ehrich, M.; Schwarzfischer, L.; Schilling, E.; Klug, M.; Dietmaier, W.; Thiede, C.; Holler, E.; Andreesen, R.; et al. General transcription factor binding at CpG islands in normal cells correlates with resistance to de novo DNA methylation in cancer cells. Cancer Res. 2010, 70, 1398–1407. [Google Scholar] [CrossRef] [PubMed]
- Brandeis, M.; Frank, D.; Keshet, I.; Siegfried, Z.; Mendelsohn, M.; Nemes, A.; Temper, V.; Razin, A.; Cedar, H. Sp1 elements protect a CpG island from de novo methylation. Nature 1994, 371, 435–438. [Google Scholar] [CrossRef] [PubMed]
- Xuan, Y.; Lin, Z. Expression of Indian Hedgehog signaling molecules in breast cancer. J. Cancer Res. Clin. Oncol. 2009, 135, 235–240. [Google Scholar] [CrossRef] [PubMed]
- Fagerberg, L.; Hallstrom, B.M.; Oksvold, P.; Kampf, C.; Djureinovic, D.; Odeberg, J.; Habuka, M.; Tahmasebpoor, S.; Danielsson, A.; Edlund, K.; et al. Analysis of the human tissue-specific expression by genome-wide integration of transcriptomics and antibody-based proteomics. Mol. Cell Proteom. 2014, 13, 397–406. [Google Scholar] [CrossRef]
- Jaenisch, R.; Bird, A. Epigenetic regulation of gene expression: How the genome integrates intrinsic and environmental signals. Nat. Genet. 2003, 33, 245–254. [Google Scholar] [CrossRef]
- Zhu, Y.; James, R.M.; Peter, A.; Lomas, C.; Cheung, F.; Harrison, D.J.; Bader, S.A. Functional Smoothened is required for expression of GLI3 in colorectal carcinoma cells. Cancer Lett. 2004, 207, 205–214. [Google Scholar] [CrossRef]
- Wang, J.Q.; Yan, F.Q.; Wang, L.H.; Yin, W.J.; Chang, T.Y.; Liu, J.P.; Wu, K.J. Identification of new hypoxia-regulated epithelial-mesenchymal transition marker genes labeled by H3K4 acetylation. Genes Chromosomes Cancer 2020, 59, 73–83. [Google Scholar] [CrossRef]
- Zhang, Y.; Chen, Z.; Li, M.J.; Guo, H.Y.; Jing, N.C. Long non-coding RNA metastasis-associated lung adenocarcinoma transcript 1 regulates the expression of Gli2 by miR-202 to strengthen gastric cancer progression. Biomed. Pharm. 2017, 85, 264–271. [Google Scholar] [CrossRef]
- Rui, Z.; Li-Ying, P.; Jia-Fei, Q.; Ying-Ying, H.; Feng, C.; Tie-Jun, L. Smoothened gene alterations in keratocystic odontogenic tumors. Head Face Med. 2014, 10, 36. [Google Scholar] [CrossRef] [PubMed]
- Hilton, M.J.; Tu, X.; Cook, J.; Hu, H.; Long, F. Ihh controls cartilage development by antagonizing Gli3, but requires additional effectors to regulate osteoblast and vascular development. Development 2005, 132, 4339–4351. [Google Scholar] [CrossRef] [PubMed]
- Litingtung, Y.; Dahn, R.D.; Li, Y.; Fallon, J.F.; Chiang, C. Shh and Gli3 are dispensable for limb skeleton formation but regulate digit number and identity. Nature 2002, 418, 979–983. [Google Scholar] [CrossRef] [PubMed]
- Wang, B.; Fallon, J.F.; Beachy, P.A. Hedgehog-regulated processing of Gli3 produces an anterior/posterior repressor gradient in the developing vertebrate limb. Cell 2000, 100, 423–434. [Google Scholar] [CrossRef]
- Gorlin, R.J. Nevoid basal-cell carcinoma syndrome. Medicine 1987, 66, 98–113. [Google Scholar] [CrossRef]
- Wakabayashi, Y.; Mao, J.H.; Brown, K.; Girardi, M.; Balmain, A. Promotion of Hras-induced squamous carcinomas by a polymorphic variant of the Patched gene in FVB mice. Nature 2007, 445, 761–765. [Google Scholar] [CrossRef]
- Grachtchouk, V.; Grachtchouk, M.; Lowe, L.; Johnson, T.; Wei, L.; Wang, A.; de Sauvage, F.; Dlugosz, A.A. The magnitude of hedgehog signaling activity defines skin tumor phenotype. EMBO J. 2003, 22, 2741–2751. [Google Scholar] [CrossRef]
- Frazer, K.A.; Pachter, L.; Poliakov, A.; Rubin, E.M.; Dubchak, I. VISTA: Computational tools for comparative genomics. Nucleic Acids Res. 2004, 32, W273–W279. [Google Scholar] [CrossRef]
- Lou, H.; Yeager, M.; Li, H.; Bosquet, J.G.; Hayes, R.B.; Orr, N.; Yu, K.; Hutchinson, A.; Jacobs, K.B.; Kraft, P.; et al. Fine mapping and functional analysis of a common variant in MSMB on chromosome 10q11.2 associated with prostate cancer susceptibility. Proc. Natl. Acad. Sci. USA 2009, 106, 7933–7938. [Google Scholar] [CrossRef]
- Bock, C.; Reither, S.; Mikeska, T.; Paulsen, M.; Walter, J.; Lengauer, T. BiQ Analyzer: Visualization and quality control for DNA methylation data from bisulfite sequencing. Bioinformatics 2005, 21, 4067–4068. [Google Scholar] [CrossRef]
- Li, H.; Pascal, V.; Martin, M.P.; Carrington, M.; Anderson, S.K. Genetic control of variegated KIR gene expression: Polymorphisms of the bi-directional KIR3DL1 promoter are associated with distinct frequencies of gene expression. PLoS Genet 2008, 4, e1000254. [Google Scholar] [CrossRef] [PubMed]






| Level of mRNA Expression * | |||||||||||
|---|---|---|---|---|---|---|---|---|---|---|---|
| SMO | PTCH | GLI1 | GLI2 | GLI3 | |||||||
| Tissue | Cell lines | Mean | SD | Mean | SD | Mean | SD | Mean | SD | Mean | SD |
| Prostate | PCA2B | 19.46 | 1.34 | 46.74 | 4.84 | 0.03 | 0.01 | 0.00 | 0.00 | 26.22 | 7.56 |
| VCaP | 15.15 | 1.13 | 10.15 | 0.99 | 0.00 | 0.00 | 0.10 | 0.03 | 28.43 | 8.59 | |
| PC3 | 11.33 | 0.59 | 0.39 | 0.04 | 0.02 | 0.01 | 1.96 | 0.13 | 17.13 | 2.73 | |
| DU145 | 11.14 | 1.88 | 1.27 | 0.15 | 0.03 | 0.01 | 9.36 | 0.58 | 0.47 | 0.09 | |
| CAHPV10 | 4.59 | 0.37 | 5.31 | 0.49 | 0.08 | 0.02 | 0.43 | 0.08 | 58.71 | 5.91 | |
| NCIH660 | 4.18 | 1.00 | 6.61 | 1.41 | 0.01 | 0.00 | ND | 0.02 | 0.01 | ||
| LNCaP | 3.90 | 0.45 | 4.10 | 0.51 | 0.01 | 0.01 | ND | 12.09 | 0.85 | ||
| 22RV1 | 0.18 | 0.10 | 14.68 | 0.13 | 0.19 | 0.04 | 0.01 | 0.01 | 7.91 | 0.76 | |
| Breast | T47D | 44.96 | 1.23 | 8.71 | 0.53 | ND | ND | 9.99 | 0.76 | ||
| BT549 | 36.26 | 5.84 | 4.64 | 0.69 | 0.54 | 0.10 | ND | 18.91 | 3.93 | ||
| MB435 | 3.56 | 0.50 | 11.43 | 1.99 | 0.04 | 0.02 | ND | 10.56 | 1.76 | ||
| SK-BR3 | 0.02 | 0.00 | 2.72 | 0.32 | 0.00 | 0.01 | 0.00 | 0.00 | 4.39 | 1.21 | |
| SUM52 | ND | 2.16 | 0.85 | 0.02 | 0.00 | 0.00 | 12.09 | 3.09 | |||
| MCF10A | ND | 3.24 | 0.68 | ND | ND | 29.75 | 0.55 | ||||
| MB231 | ND | 25.20 | 1.99 | ND | 0.71 | 0.07 | 60.85 | 2.76 | |||
| SUN159 | ND | 2.68 | 0.59 | 0.74 | 0.13 | ND | 31.01 | 0.70 | |||
| MCF7 | ND | 0.87 | 0.16 | 0.03 | 0.01 | 0.01 | 0.00 | 5.54 | 0.63 | ||
| Kidney | SN-12C | 114.33 | 8.01 | 5.11 | 1.19 | 0.10 | 0.04 | 4.47 | 0.21 | 21.85 | 2.9 |
| TK-10 | 95.49 | 9.04 | 8.95 | 3.19 | 0.30 | 0.13 | 0.46 | 0.04 | 0.08 | 0.01 | |
| 786-0 | 87.90 | 6.39 | 4.22 | 1.05 | 0.38 | 0.12 | 6.07 | 0.73 | 13.87 | 3.93 | |
| ACHN | 2.54 | 0.25 | 32.37 | 1.43 | 0.47 | 0.05 | 1.09 | 0.45 | 85.73 | 3.36 | |
| Glioblastoma | U251 | 31.36 | 4.97 | 1.19 | 0.19 | 0.08 | 0.01 | 1.01 | 0.10 | 16.50 | 1.16 |
| SF539 | 38.50 | 4.61 | 2.61 | 0.77 | 0.13 | 0.05 | 0.85 | 0.09 | 25.44 | 1.65 | |
| SNB75 | 27.07 | 4.50 | 7.33 | 0.82 | 0.32 | 0.07 | 0.83 | 0.09 | 20.28 | 0.59 | |
| SF268 | 61.21 | 9.89 | 10.97 | 2.55 | 0.07 | 0.02 | 4.70 | 0.25 | 11.96 | 0.57 | |
| Ovary | IGROV1 | 85.11 | 13.96 | 17.00 | 3.53 | 0.11 | 0.01 | 0.62 | 0.02 | ND | |
| OVCAR4 | 33.99 | 3.56 | 5.46 | 1.15 | 0.03 | 0.02 | 0.74 | 0.08 | ND | ||
| SKOV3 | 5.65 | 1.48 | 3.85 | 0.57 | 0.92 | 0.07 | 1.32 | 0.19 | 15.48 | 1.24 | |
| Others | |||||||||||
| Stomach | AGS | ND | 0.37 | 0.06 | 0.01 | 0.00 | 2.07 | 0.91 | 0.08 | 0.004 | |
| Skin | SK-MEL2 | 9.28 | 0.85 | 27.98 | 6.50 | 0.75 | 0.16 | 2.43 | 0.10 | 48.77 | 5.6 |
| Colon | HT29 | ND | 5.09 | 0.30 | 0.08 | 0.01 | 0.93 | 0.04 | ND | ||
| Lung | H322 | 11.00 | 2.63 | 1.64 | 0.16 | 0.06 | 0.03 | 0.19 | 0.01 | 0.75 | 0.17 |
| Myeloma | RPMI8226 | 0.02 | 0.00 | 2.64 | 0.46 | 0.02 | 0.01 | 0.85 | 0.09 | 0.37 | 0.07 |
| Normal prostate cell | WPMY | 30.23 | 6.66 | 4.39 | 1.00 | 0.44 | 0.10 | 14.73 | 4.23 | 51.85 | 14.58 |
| Normal prostate cell | WPE-sterm | 33.51 | 1.35 | 5.40 | 0.45 | 0.13 | 0.01 | 0.47 | 0.06 | 88.00 | 8.36 |
| Normal human prostate tissue | 7.71 | 2.90 | 2.93 | 1.21 | 0.18 | 0.01 | 0.44 | 0.02 | 9.87 | 0.41 | |
| Normal human trachea tissue | 2.89 | 0.23 | 1.55 | 0.06 | 0.24 | 0.10 | 0.65 | 0.25 | 6.65 | 2.83 | |
| Normal human breast tissue | 2.97 | 0.56 | 2.37 | 0.38 | 0.23 | 0.13 | 0.85 | 0.35 | 28.90 | 10.17 | |
| Tissue | Cell Lines | SMO mRNA Level * | SMO Methylation Frequency (%) |
|---|---|---|---|
| Prostate | PCA2B | 19.46 | 0.47 |
| VCaP | 15.15 | 1.65 | |
| PC3 | 11.33 | 0.61 | |
| DU145 | 11.14 | 1.99 | |
| CAHPV10 | 4.59 | 2.67 | |
| NCIH660 | 4.18 | 1.41 | |
| LNCaP | 3.9 | 1.93 | |
| 22RV1 | 0.18 | 4.9 | |
| Breast | T47D | 44.96 | 4.05 |
| BT549 | 36.26 | 1.47 | |
| MB435 | 3.56 | 1.41 | |
| SK-BR3 | 0.02 | 2.32 | |
| SUM52 | ND | 83.57 | |
| MCF10A | ND | 98.28 | |
| MB231 | ND | 91.52 | |
| SUN159 | ND | 99.6 | |
| MCF7 | ND | 99.66 | |
| Kidney | SN-12C | 114.33 | 0.71 |
| TK-10 | 95.49 | 3.7 | |
| 786-0 | 87.9 | 0.33 | |
| ACHN | 2.54 | 6.88 | |
| Glioblastoma | SF268 | 61.21 | 0.36 |
| SF539 | 38.5 | 9.06 | |
| U251 | 31.36 | 0.31 | |
| SNB75 | 27.07 | 0.77 | |
| Ovary | IGROV1 | 85.11 | 2.37 |
| OVCAR4 | 33.99 | 0.84 | |
| SKOV3 | 5.65 | 3.1 | |
| Stomach | AGS | ND | 99.36 |
| Skin | SK-MEL2 | 9.28 | 3.39 |
| Colon | HT29 | ND | 96.22 |
| Lung | H322 | 11 | 1.98 |
| Myeloma | RPMI8226 | 0.02 | 0.57 |
| Control | 5-Aza Treatment (1 µM) | |||
|---|---|---|---|---|
| Cell Line | Methylation Frequency (%) | mRNA Level | Methylation Frequency (%) | mRNA Level |
| MCF7 | 99.6 | 0 | 57.9 | 16.1 |
| PC3 | 0.6 | 113.3 | 1.5 | 86.5 |
© 2020 by the authors. Licensee MDPI, Basel, Switzerland. This article is an open access article distributed under the terms and conditions of the Creative Commons Attribution (CC BY) license (http://creativecommons.org/licenses/by/4.0/).
Share and Cite
Lou, H.; Li, H.; Huehn, A.R.; Tarasova, N.I.; Saleh, B.; Anderson, S.K.; Dean, M. Genetic and Epigenetic Regulation of the Smoothened Gene (SMO) in Cancer Cells. Cancers 2020, 12, 2219. https://doi.org/10.3390/cancers12082219
Lou H, Li H, Huehn AR, Tarasova NI, Saleh B, Anderson SK, Dean M. Genetic and Epigenetic Regulation of the Smoothened Gene (SMO) in Cancer Cells. Cancers. 2020; 12(8):2219. https://doi.org/10.3390/cancers12082219
Chicago/Turabian StyleLou, Hong, Hongchuan Li, Andrew R. Huehn, Nadya I. Tarasova, Bahara Saleh, Stephen K. Anderson, and Michael Dean. 2020. "Genetic and Epigenetic Regulation of the Smoothened Gene (SMO) in Cancer Cells" Cancers 12, no. 8: 2219. https://doi.org/10.3390/cancers12082219
APA StyleLou, H., Li, H., Huehn, A. R., Tarasova, N. I., Saleh, B., Anderson, S. K., & Dean, M. (2020). Genetic and Epigenetic Regulation of the Smoothened Gene (SMO) in Cancer Cells. Cancers, 12(8), 2219. https://doi.org/10.3390/cancers12082219

