An Anti-PSMA Immunotoxin Reduces Mcl-1 and Bcl2A1 and Specifically Induces in Combination with the BAD-Like BH3 Mimetic ABT-737 Apoptosis in Prostate Cancer Cells
Abstract
1. Introduction
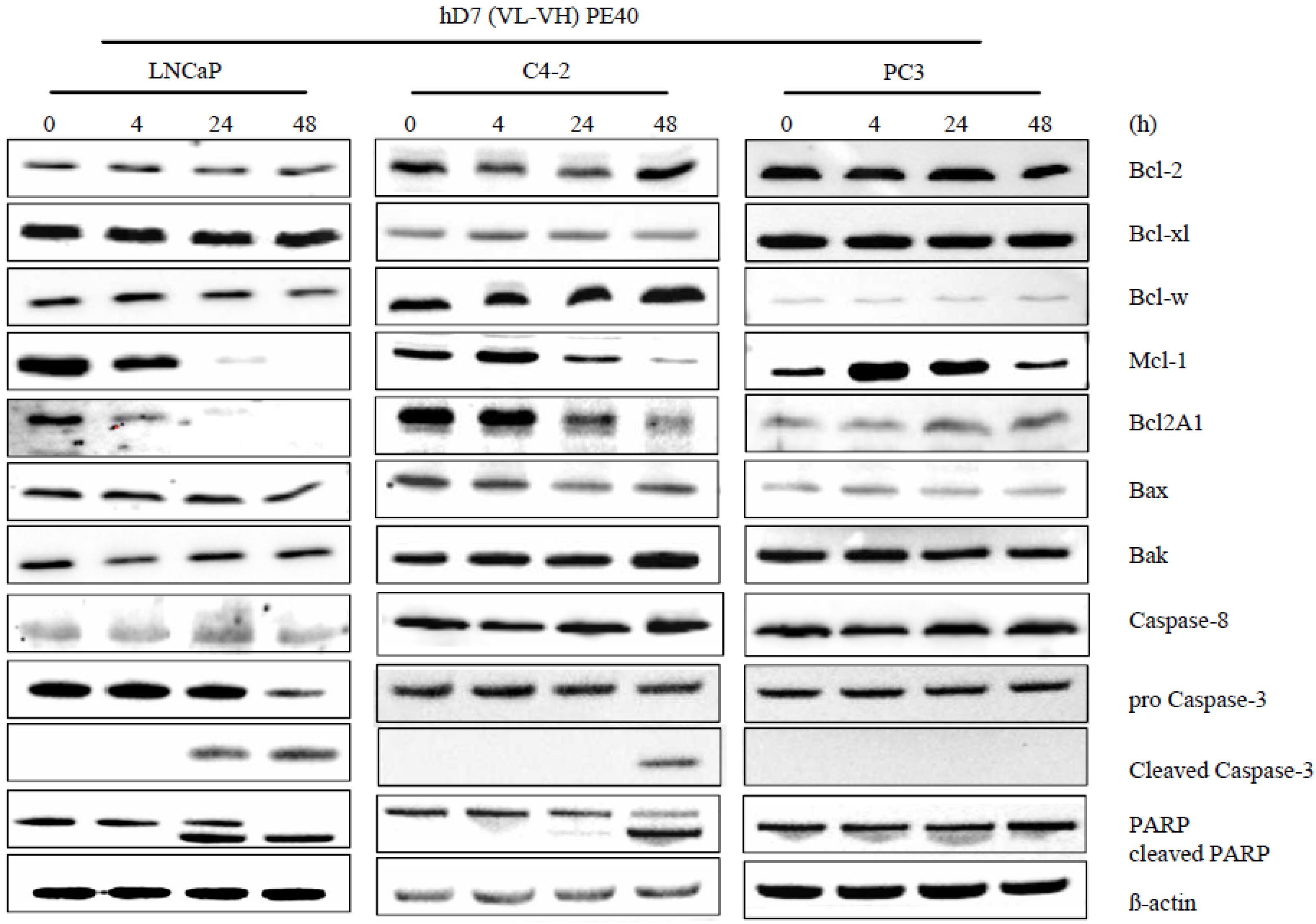
2. Results
3. Discussion
4. Materials and Methods
4.1. Cells and Chemicals
4.2. Cloning, Expression, and Purification of the Immunotoxin hD7-1(VL-VH)-PE40
4.3. SDS-PAGE and Western Blot Analysis
4.4. Inhibition of Protein Biosynthesis
4.5. Flow Cytometry
4.6. Rhodamine 123 Assay
4.7. WST-1 Cell Viability Test
4.8. Cytotoxicity on 3D Spheroids
4.9. In Vivo Experiments
4.10. Statistics
5. Conclusions
Supplementary Materials
Author Contributions
Funding
Acknowledgments
Conflicts of Interest
References
- Bray, F.; Ferlay, J.; Soerjomataram, I.; Siegel, R.L.; Torre, L.A.; Jemal, A. Global cancer statistics 2018: Globocan estimates of incidence and mortality worldwide for 36 cancers in 185 countries. CA Cancer J. Clin. 2018, 68, 394–424. [Google Scholar] [CrossRef] [PubMed]
- Katzenwadel, A.; Wolf, P. Androgen deprivation of prostate cancer: Leading to a therapeutic dead end. Cancer Lett. 2015, 367, 12–17. [Google Scholar] [CrossRef]
- Campbell, K.J.; Tait, S.W.G. Targeting bcl-2 regulated apoptosis in cancer. Open Biol. 2018, 8, 180002. [Google Scholar] [CrossRef] [PubMed]
- Kiraz, Y.; Adan, A.; Kartal Yandim, M.; Baran, Y. Major apoptotic mechanisms and genes involved in apoptosis. Tumour. Biol. 2016, 37, 8471–8486. [Google Scholar] [CrossRef] [PubMed]
- Gjertsen, B.T.; Logothetis, C.J.; McDonnell, T.J. Molecular regulation of cell death and therapeutic strategies for cell death induction in prostate carcinoma. Cancer Metastasis Rev. 1998, 17, 345–351. [Google Scholar] [CrossRef] [PubMed]
- Stein, C.A. Mechanisms of action of taxanes in prostate cancer. Semin. Oncol. 1999, 26, 3–7. [Google Scholar] [PubMed]
- Lebedeva, I.; Rando, R.; Ojwang, J.; Cossum, P.; Stein, C.A. Bcl-xl in prostate cancer cells: Effects of overexpression and down-regulation on chemosensitivity. Cancer Res. 2000, 60, 6052–6060. [Google Scholar] [PubMed]
- DiPaola, R.S.; Patel, J.; Rafi, M.M. Targeting apoptosis in prostate cancer. Hematol. Oncol. Clin. N. Am. 2001, 15, 509–524. [Google Scholar] [CrossRef]
- Placzek, W.J.; Wei, J.; Kitada, S.; Zhai, D.; Reed, J.C.; Pellecchia, M. A survey of the anti-apoptotic bcl-2 subfamily expression in cancer types provides a platform to predict the efficacy of bcl-2 antagonists in cancer therapy. Cell Death Dis. 2010, 1, e40. [Google Scholar] [CrossRef]
- Castilla, C.; Congregado, B.; Chinchon, D.; Torrubia, F.J.; Japon, M.A.; Saez, C. Bcl-xl is overexpressed in hormone-resistant prostate cancer and promotes survival of lncap cells via interaction with proapoptotic bak. Endocrinology 2006, 147, 4960–4967. [Google Scholar] [CrossRef] [PubMed]
- Vogler, M. Bcl2a1: The underdog in the bcl2 family. Cell Death Differ. 2012, 19, 67–74. [Google Scholar] [CrossRef] [PubMed]
- Wolf, P. Tumor-specific induction of the intrinsic apoptotic pathway-a new therapeutic option for advanced prostate cancer? Front. Oncol. 2019, 9, 590. [Google Scholar] [CrossRef] [PubMed]
- Krajewska, M.; Krajewski, S.; Epstein, J.I.; Shabaik, A.; Sauvageot, J.; Song, K.; Kitada, S.; Reed, J.C. Immunohistochemical analysis of bcl-2, bax, bcl-x, and mcl-1 expression in prostate cancers. Am. J. Pathol. 1996, 148, 1567–1576. [Google Scholar] [PubMed]
- Anvari, K.; Seilanian Toussi, M.; Kalantari, M.; Naseri, S.; Karimi Shahri, M.; Ahmadnia, H.; Katebi, M.; Sedighi Pashaki, A.; Dayani, M.; Broumand, M. Expression of bcl-2 and bax in advanced or metastatic prostate carcinoma. Urol. J. 2012, 9, 381–388. [Google Scholar] [PubMed]
- Reiner, T.; de Las Pozas, A.; Parrondo, R.; Palenzuela, D.; Cayuso, W.; Rai, P.; Perez-Stable, C. Mcl-1 protects prostate cancer cells from cell death mediated by chemotherapy-induced DNA damage. Oncoscience 2015, 2, 703–715. [Google Scholar] [CrossRef] [PubMed]
- Yoshino, T.; Shiina, H.; Urakami, S.; Kikuno, N.; Yoneda, T.; Shigeno, K.; Igawa, M. Bcl-2 expression as a predictive marker of hormone-refractory prostate cancer treated with taxane-based chemotherapy. Clin. Cancer Res. 2006, 12, 6116–6124. [Google Scholar] [CrossRef] [PubMed]
- Miayake, H.; Tolcher, A.; Gleave, M.E. Chemosensitization and delayed androgen-independent recurrence of prostate cancer with the use of antisense bcl-2 oligodeoxynucleotides. J. Natl. Cancer Inst. 2000, 92, 34–41. [Google Scholar] [CrossRef] [PubMed]
- Leung, S.; Miyake, H.; Zellweger, T.; Tolcher, A.; Gleave, M.E. Synergistic chemosensitization and inhibition of progression to androgen independence by antisense bcl-2 oligodeoxynucleotide and paclitaxel in the lncap prostate tumor model. Int. J. Cancer 2001, 91, 846–850. [Google Scholar] [CrossRef]
- Mu, Z.; Hachem, P.; Pollack, A. Antisense bcl-2 sensitizes prostate cancer cells to radiation. Prostate 2005, 65, 331–340. [Google Scholar] [CrossRef][Green Version]
- Anai, S.; Brown, B.D.; Nakamura, K.; Goodison, S.; Hirao, Y.; Rosser, C.J. Irradiation of human prostate cancer cells increases uptake of antisense oligodeoxynucleotide. Int. J. Radiat. Oncol. Biol. Phys. 2007, 68, 1161–1168. [Google Scholar] [CrossRef]
- Sternberg, C.N.; Dumez, H.; Van Poppel, H.; Skoneczna, I.; Sella, A.; Daugaard, G.; Gil, T.; Graham, J.; Carpentier, P.; Calabro, F.; et al. Docetaxel plus oblimersen sodium (bcl-2 antisense oligonucleotide): An eortc multicenter, randomized phase ii study in patients with castration-resistant prostate cancer. Ann. Oncol. 2009, 20, 1264–1269. [Google Scholar] [CrossRef] [PubMed]
- Wolf, P. Bh3 mimetics for the treatment of prostate cancer. Front. Pharmacol. 2017, 8, 557. [Google Scholar] [CrossRef] [PubMed]
- Liu, G.; Kelly, W.K.; Wilding, G.; Leopold, L.; Brill, K.; Somer, B. An open-label, multicenter, phase i/ii study of single-agent at-101 in men with castrate-resistant prostate cancer. Clin. Cancer Res. 2009, 15, 3172–3176. [Google Scholar] [CrossRef] [PubMed]
- Sonpavde, G.; Matveev, V.; Burke, J.M.; Caton, J.R.; Fleming, M.T.; Hutson, T.E.; Galsky, M.D.; Berry, W.R.; Karlov, P.; Holmlund, J.T.; et al. Randomized phase ii trial of docetaxel plus prednisone in combination with placebo or at-101, an oral small molecule bcl-2 family antagonist, as first-line therapy for metastatic castration-resistant prostate cancer. Ann. Oncol. 2012, 23, 1803–1808. [Google Scholar] [CrossRef] [PubMed]
- Stein, M.N.; Goodin, S.; Gounder, M.; Gibbon, D.; Moss, R.; Portal, D.; Lindquist, D.; Zhao, Y.; Takebe, N.; Tan, A.; et al. A phase i study of at-101, a bh3 mimetic, in combination with paclitaxel and carboplatin in solid tumors. Invest. New. Drugs 2019, 38, 855–865. [Google Scholar] [CrossRef] [PubMed]
- Oltersdorf, T.; Elmore, S.W.; Shoemaker, A.R.; Armstrong, R.C.; Augeri, D.J.; Belli, B.A.; Bruncko, M.; Deckwerth, T.L.; Dinges, J.; Hajduk, P.J.; et al. An inhibitor of bcl-2 family proteins induces regression of solid tumours. Nature 2005, 435, 677–681. [Google Scholar] [CrossRef] [PubMed]
- Wright, G.L., Jr.; Grob, B.M.; Haley, C.; Grossman, K.; Newhall, K.; Petrylak, D.; Troyer, J.; Konchuba, A.; Schellhammer, P.F.; Moriarty, R. Upregulation of prostate-specific membrane antigen after androgen-deprivation therapy. Urology 1996, 48, 326–334. [Google Scholar] [CrossRef]
- Silver, D.A.; Pellicer, I.; Fair, W.R.; Heston, W.D.; Cordon-Cardo, C. Prostate-specific membrane antigen expression in normal and malignant human tissues. Clin. Cancer Res. 1997, 3, 81–85. [Google Scholar] [PubMed]
- Kawakami, M.; Nakayama, J. Enhanced expression of prostate-specific membrane antigen gene in prostate cancer as revealed by in situ hybridization. Cancer Res. 1997, 57, 2321–2324. [Google Scholar] [PubMed]
- Elsasser-Beile, U.; Buhler, P.; Wolf, P. Targeted therapies for prostate cancer against the prostate specific membrane antigen. Curr. Drug Targets 2009, 10, 118–125. [Google Scholar] [CrossRef] [PubMed]
- Donin, N.M.; Reiter, R.E. Why targeting psma is a game changer in the management of prostate cancer. J. Nucl. Med. 2018, 59, 177–182. [Google Scholar] [CrossRef] [PubMed]
- Wustemann, T.; Haberkorn, U.; Babich, J.; Mier, W. Targeting prostate cancer: Prostate-specific membrane antigen based diagnosis and therapy. Med. Res. Rev. 2019, 39, 40–69. [Google Scholar] [CrossRef] [PubMed]
- Teo, M.Y.; Morris, M.J. Prostate-specific membrane antigen-directed therapy for metastatic castration-resistant prostate cancer. Cancer J. 2016, 22, 347–352. [Google Scholar] [CrossRef]
- Michalska, M.; Schultze-Seemann, S.; Bogatyreva, L.; Hauschke, D.; Wetterauer, U.; Wolf, P. In vitro and in vivo effects of a recombinant anti-psma immunotoxin in combination with docetaxel against prostate cancer. Oncotarget 2016, 7, 22531–22542. [Google Scholar] [CrossRef] [PubMed]
- Michalska, M.; Wolf, P. Pseudomonas exotoxin a: Optimized by evolution for effective killing. Front Microbiol. 2015, 6, 963. [Google Scholar] [CrossRef] [PubMed]
- Noll, T.; Schultze-Seemann, S.; Kuckuck, I.; Michalska, M.; Wolf, P. Synergistic cytotoxicity of a prostate cancer-specific immunotoxin in combination with the bh3 mimetic abt-737. Cancer Immunol. Immunother. 2018, 67, 413–422. [Google Scholar] [CrossRef] [PubMed]
- Zhao, W.; Sachsenmeier, K.; Zhang, L.; Sult, E.; Hollingsworth, R.E.; Yang, H. A new bliss independence model to analyze drug combination data. J. Biomol. Screen 2014, 19, 817–821. [Google Scholar] [CrossRef] [PubMed]
- Shin, J.A.; Kim, L.H.; Lee, S.J.; Jeong, J.H.; Jung, J.Y.; Lee, H.N.; Hong, I.S.; Cho, S.D. Targeting erk1/2-bim signaling cascades by bh3-mimetic abt-737 as an alternative therapeutic strategy for oral cancer. Oncotarget 2015, 6, 35667–35683. [Google Scholar] [CrossRef]
- Reuland, S.N.; Goldstein, N.B.; Partyka, K.A.; Smith, S.; Luo, Y.; Fujita, M.; Gonzalez, R.; Lewis, K.; Norris, D.A.; Shellman, Y.G. Abt-737 synergizes with bortezomib to kill melanoma cells. Biol. Open 2012, 1, 92–100. [Google Scholar] [CrossRef]
- Blagosklonny, M.V.; Alvarez, M.; Fojo, A.; Neckers, L.M. Bcl-2 protein downregulation is not required for differentiation of multidrug resistant hl60 leukemia cells. Leuk. Res. 1996, 20, 101–107. [Google Scholar] [CrossRef]
- Antignani, A.; Sarnovsky, R.; FitzGerald, D.J. Abt-737 promotes the dislocation of er luminal proteins to the cytosol, including pseudomonas exotoxin. Mol. Cancer Ther. 2014, 13, 1655–1663. [Google Scholar] [CrossRef] [PubMed]
- Hollevoet, K.; Antignani, A.; Fitzgerald, D.J.; Pastan, I. Combining the antimesothelin immunotoxin ss1p with the bh3-mimetic abt-737 induces cell death in ss1p-resistant pancreatic cancer cells. J. Immunother. 2014, 37, 8–15. [Google Scholar] [CrossRef] [PubMed]
- Mattoo, A.R.; FitzGerald, D.J. Combination treatments with abt-263 and an immunotoxin produce synergistic killing of abt-263-resistant small cell lung cancer cell lines. Int. J. Cancer 2013, 132, 978–987. [Google Scholar] [CrossRef] [PubMed]
- Herold, M.J.; Zeitz, J.; Pelzer, C.; Kraus, C.; Peters, A.; Wohlleben, G.; Berberich, I. The stability and anti-apoptotic function of a1 are controlled by its c terminus. J. Biol. Chem. 2006, 281, 13663–13671. [Google Scholar] [CrossRef] [PubMed]
- Kucharczak, J.F.; Simmons, M.J.; Duckett, C.S.; Gelinas, C. Constitutive proteasome-mediated turnover of bfl-1/a1 and its processing in response to tnf receptor activation in fl5.12 pro-b cells convert it into a prodeath factor. Cell Death Differ. 2005, 12, 1225–1239. [Google Scholar] [CrossRef] [PubMed]
- Rooswinkel, R.W.; van de Kooij, B.; Verheij, M.; Borst, J. Bcl-2 is a better abt-737 target than bcl-xl or bcl-w and only noxa overcomes resistance mediated by mcl-1, bfl-1, or bcl-b. Cell Death Dis. 2012, 3, e366. [Google Scholar] [CrossRef] [PubMed][Green Version]
- Vogler, M.; Butterworth, M.; Majid, A.; Walewska, R.J.; Sun, X.M.; Dyer, M.J.; Cohen, G.M. Concurrent up-regulation of bcl-xl and bcl2a1 induces approximately 1000-fold resistance to abt-737 in chronic lymphocytic leukemia. Blood 2009, 113, 4403–4413. [Google Scholar] [CrossRef] [PubMed]
- Yecies, D.; Carlson, N.E.; Deng, J.; Letai, A. Acquired resistance to abt-737 in lymphoma cells that up-regulate mcl-1 and bfl-1. Blood 2010, 115, 3304–3313. [Google Scholar] [CrossRef] [PubMed]
- Bates, D.J.; Danilov, A.V.; Lowrey, C.H.; Eastman, A. Vinblastine rapidly induces noxa and acutely sensitizes primary chronic lymphocytic leukemia cells to abt-737. Mol. Cancer Ther. 2013, 12, 1504–1514. [Google Scholar] [CrossRef] [PubMed]
- Zhu, H.; Yang, W.; He, L.J.; Ding, W.J.; Zheng, L.; Liao, S.D.; Huang, P.; Lu, W.; He, Q.J.; Yang, B. Upregulating noxa by er stress, celastrol exerts synergistic anti-cancer activity in combination with abt-737 in human hepatocellular carcinoma cells. PLoS ONE 2012, 7, e52333. [Google Scholar] [CrossRef] [PubMed]
- Wei, X.; Zhou, P.; Lin, X.; Lin, Y.; Wu, S.; Diao, P.; Xie, H.; Xie, K.; Tang, P. Mln2238 synergizes bh3 mimetic abt-263 in castration-resistant prostate cancer cells by induction of noxa. Tumour. Biol. 2014, 35, 10213–10221. [Google Scholar] [CrossRef] [PubMed]
- Wilson, W.H.; O’Connor, O.A.; Czuczman, M.S.; LaCasce, A.S.; Gerecitano, J.F.; Leonard, J.P.; Tulpule, A.; Dunleavy, K.; Xiong, H.; Chiu, Y.L.; et al. Navitoclax, a targeted high-affinity inhibitor of bcl-2, in lymphoid malignancies: A phase 1 dose-escalation study of safety, pharmacokinetics, pharmacodynamics, and antitumour activity. Lancet Oncol. 2010, 11, 1149–1159. [Google Scholar] [CrossRef]
- Duan, F.; Simeone, S.; Wu, R.; Grady, J.; Mandoiu, I.; Srivastava, P.K. Area under the curve as a tool to measure kinetics of tumor growth in experimental animals. J. Immunol. Methods 2012, 382, 224–228. [Google Scholar] [CrossRef] [PubMed]







© 2020 by the authors. Licensee MDPI, Basel, Switzerland. This article is an open access article distributed under the terms and conditions of the Creative Commons Attribution (CC BY) license (http://creativecommons.org/licenses/by/4.0/).
Share and Cite
Masilamani, A.P.; Dettmer-Monaco, V.; Monaco, G.; Cathomen, T.; Kuckuck, I.; Schultze-Seemann, S.; Huber, N.; Wolf, P. An Anti-PSMA Immunotoxin Reduces Mcl-1 and Bcl2A1 and Specifically Induces in Combination with the BAD-Like BH3 Mimetic ABT-737 Apoptosis in Prostate Cancer Cells. Cancers 2020, 12, 1648. https://doi.org/10.3390/cancers12061648
Masilamani AP, Dettmer-Monaco V, Monaco G, Cathomen T, Kuckuck I, Schultze-Seemann S, Huber N, Wolf P. An Anti-PSMA Immunotoxin Reduces Mcl-1 and Bcl2A1 and Specifically Induces in Combination with the BAD-Like BH3 Mimetic ABT-737 Apoptosis in Prostate Cancer Cells. Cancers. 2020; 12(6):1648. https://doi.org/10.3390/cancers12061648
Chicago/Turabian StyleMasilamani, Anie P., Viviane Dettmer-Monaco, Gianni Monaco, Toni Cathomen, Irina Kuckuck, Susanne Schultze-Seemann, Nathalie Huber, and Philipp Wolf. 2020. "An Anti-PSMA Immunotoxin Reduces Mcl-1 and Bcl2A1 and Specifically Induces in Combination with the BAD-Like BH3 Mimetic ABT-737 Apoptosis in Prostate Cancer Cells" Cancers 12, no. 6: 1648. https://doi.org/10.3390/cancers12061648
APA StyleMasilamani, A. P., Dettmer-Monaco, V., Monaco, G., Cathomen, T., Kuckuck, I., Schultze-Seemann, S., Huber, N., & Wolf, P. (2020). An Anti-PSMA Immunotoxin Reduces Mcl-1 and Bcl2A1 and Specifically Induces in Combination with the BAD-Like BH3 Mimetic ABT-737 Apoptosis in Prostate Cancer Cells. Cancers, 12(6), 1648. https://doi.org/10.3390/cancers12061648

