Correlation of PKM2 and CD44 Protein Expression with Poor Prognosis in Platinum-Treated Epithelial Ovarian Cancer: A Retrospective Study
Abstract
1. Introduction
2. Results
2.1. Patients’ Characteristics
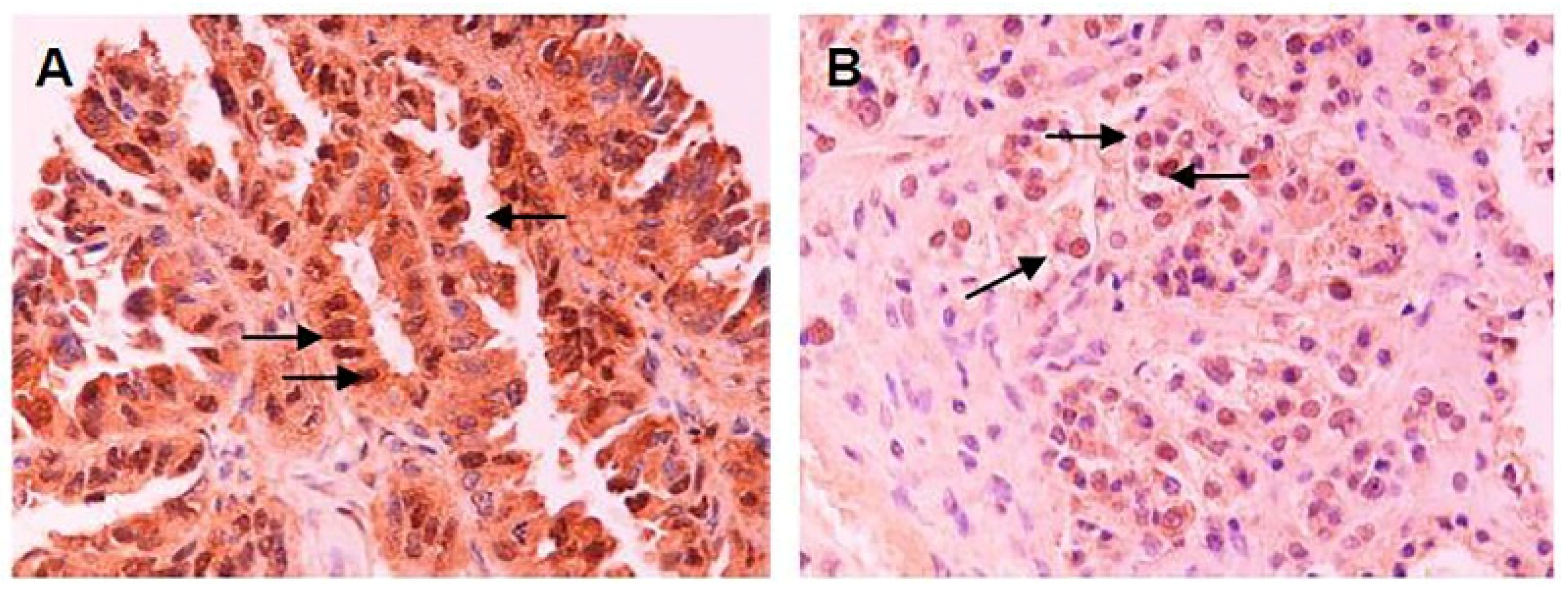
2.2. Gene and Protein Expression
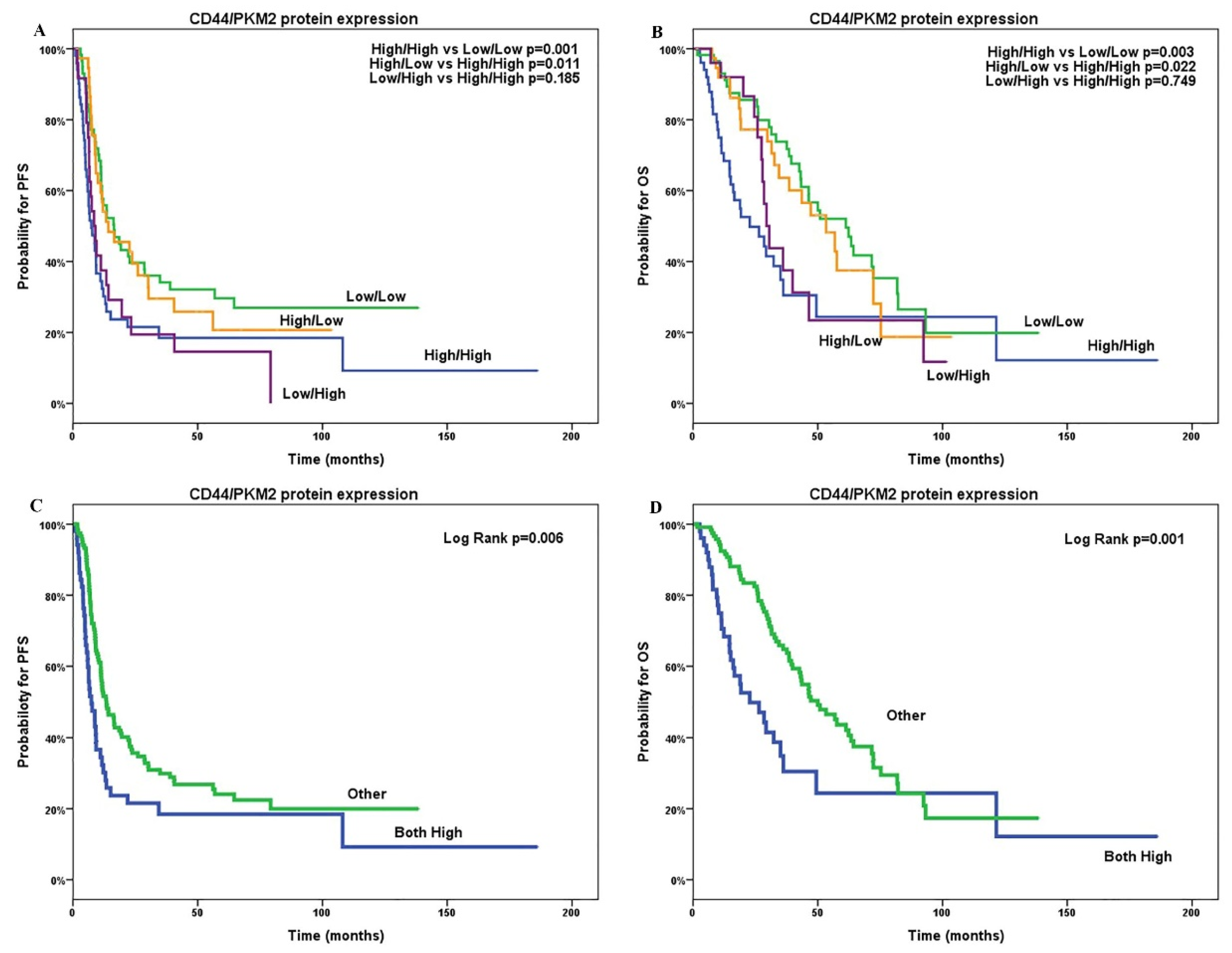
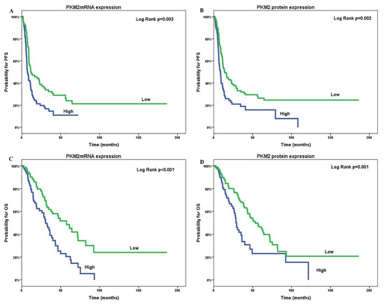
2.3. Patients’ Outcome according to Expression
2.4. Multivariate and Univariate Analysis
3. Discussion
4. Materials and Methods
4.1. Patient’s Population
4.2. Ethics Approval and Consent to Participate
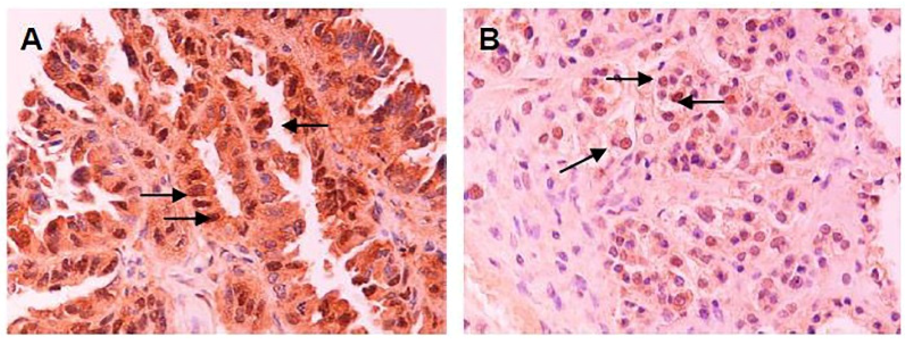
4.3. Immunohistochemistry and Staining Evaluation
4.4. mRNA Expression Analysis
4.5. Statistical Analysis
5. Conclusions
Author Contributions
Funding
Conflicts of Interest
References
- Siegel, R.; Naishadham, D.; Jemal, A. Cancer statistics, 2012. CA Cancer J. Clin. 2012, 62, 10–29. [Google Scholar] [CrossRef] [PubMed]
- Cannistra, S.A. Cancer of the ovary. N. Engl. J. Med. 2004, 351, 2519–2529. [Google Scholar] [CrossRef] [PubMed]
- Heintz, A.P.; Odicino, F.; Maisonneuve, P.; Quinn, M.A.; Benedet, J.L.; Creasman, W.T.; Ngan, H.Y.; Pecorelli, S.; Beller, U. Carcinoma of the ovary. FIGO 26th Annual Report on the Results of Treatment in Gynecological Cancer. Int. J. Gynaecol. Obstet. 2006, 95, S161–S192. [Google Scholar] [CrossRef]
- Du Bois, A.; Lück, H.J.; Meier, W.; Adams, H.P.; Möbus, V.; Costa, S.; Bauknecht, T.; Richter, B.; Warm, M.; Schröder, W.; et al. A randomized clinical trial of cisplatin/paclitaxel versus carboplatin/paclitaxel as first-line treatment of ovarian cancer. J. Natl. Cancer Inst. 2003, 95, 1320–1329. [Google Scholar] [CrossRef] [PubMed]
- Ozols, R.F.; Markman, M.; Thigpen, J.T. ICON3 and chemotherapy for ovarian cancer. Lancet 2002, 360, 2086–2087. [Google Scholar] [CrossRef]
- McGuire, W.P.; Hoskins, W.J.; Brady, M.F.; Kucera, P.R.; Partridge, E.E.; Look, K.Y.; Clarke-Pearson, D.L.; Davidson, M. Cyclophosphamide and cisplatin compared with paclitaxel and cisplatin in patients with stage III and stage IV ovarian cancer. N. Engl. J. Med. 1996, 334, 1–6. [Google Scholar] [CrossRef]
- Piccart, M.J.; Bertelsen, K.; James, K.; Cassidy, J.; Mangioni, C.; Simonsen, E.; Stuart, G.; Kaye, S.; Vergote, I.; Blom, R.; et al. Randomized intergroup trial of cisplatin-paclitaxel versus cisplatin-cyclophosphamide in women with advanced epithelial ovarian cancer: Three-year results. J. Natl. Cancer Inst. 2000, 92, 699–708. [Google Scholar] [CrossRef]
- Pfisterer, J.; Ledermann, J.A. Management of platinum-sensitive recurrent ovarian cancer. Semin. Oncol. 2006, 33, S12–S16. [Google Scholar] [CrossRef]
- Agarwal, R.; Kaye, S.B. Ovarian cancer: Strategies for overcoming resistance to chemotherapy. Nat. Rev. Cancer 2003, 3, 502–516. [Google Scholar] [CrossRef]
- Kelland, L. The resurgence of platinum-based cancer chemotherapy. Nat. Rev. Cancer 2007, 7, 573–584. [Google Scholar] [CrossRef]
- Read, T.E.; Kodner, I.J. Colorectal cancer: Risk factors and recommendations for early detection. Am. Fam. Phys. 1999, 59, 3083–3092. [Google Scholar]
- Christofk, H.R.; Vander Heiden, M.G.; Harris, M.H.; Ramanathan, A.; Gerszten, R.E.; Wei, R.; Fleming, M.D.; Schreiber, S.L.; Cantley, L.C. The M2 splice isoform of pyruvate kinase is important for cancer metabolism and tumour growth. Nature 2008, 452, 230–233. [Google Scholar] [CrossRef]
- Warburg, O. Origin of cancer cells. Oncologia 1956, 9, 75–83. [Google Scholar] [CrossRef] [PubMed]
- Warburg, O. On the origin of cancer cells. Science 1956, 123, 309–314. [Google Scholar] [CrossRef] [PubMed]
- Hanahan, D.; Weinberg, R.A. Hallmarks of cancer: The next generation. Cell 2011, 144, 646–674. [Google Scholar] [CrossRef]
- Christofk, H.R.; Vander Heiden, M.G.; Wu, N.; Asara, J.M.; Cantley, L.C. Pyruvate kinase M2 is a phosphotyrosine-binding protein. Nature 2008, 452, 181–186. [Google Scholar] [CrossRef]
- Anastasiou, D.; Yu, Y.; Israelsen, W.J.; Jiang, J.K.; Boxer, M.B.; Hong, B.S.; Tempel, W.; Dimov, S.; Shen, M.; Jha, A.; et al. Pyruvate kinase M2 activators promote tetramer formation and suppress tumorigenesis. Nat. Chem. Biol. 2012, 8, 839–847. [Google Scholar]
- Jiang, L.; Deberardinis, R.J. Cancer metabolism: When more is less. Nature 2012, 489, 511–512. [Google Scholar] [CrossRef]
- Mazurek, S.; Boschek, C.B.; Hugo, F.; Eigenbrodt, E. Pyruvate kinase type M2 and its role in tumor growth and spreading. Semin Cancer Biol. 2005, 15, 300–308. [Google Scholar] [CrossRef]
- Keller, K.E.; Doctor, Z.M.; Dwyer, Z.W.; Lee, Y.S. SAICAR induces protein kinase activity of PKM2 that is necessary for sustained proliferative signaling of cancer cells. Mol. Cell 2014, 53, 700–709. [Google Scholar] [CrossRef]
- Gao, X.; Wang, H.; Yang, J.J.; Liu, X.; Liu, Z.R. Pyruvate kinase M2 regulates gene transcription by acting as a protein kinase. Mol. Cell 2012, 45, 598–609. [Google Scholar] [CrossRef] [PubMed]
- Luo, W.; Hu, H.; Chang, R.; Zhong, J.; Knabel, M.; O’Meally, R.; Cole, R.N.; Pandey, A.; Semenza, G.L. Pyruvate kinase M2 is a PHD3-stimulated coactivator for hypoxia-inducible factor 1. Cell 2011, 145, 732–744. [Google Scholar] [CrossRef] [PubMed]
- Yang, W.; Xia, Y.; Hawke, D.; Li, X.; Liang, J.; Xing, D.; Aldape, K.; Hunter, T.; Yung, W.K.A.; Lu, Z. PKM2 Phosphorylates Histone H3 and Promotes Gene Transcription and Tumorigenesis. Cell 2014, 158, 1210. [Google Scholar] [CrossRef] [PubMed]
- Yang, W.; Xia, Y.; Ji., H.; Zheng, Y.; Liang, J.; Huang, W.; Gao, X.; Aldape, K.; Lu, Z. Corrigendum: Nuclear PKM2 regulates beta-catenin transactivation upon EGFR activation. Nature 2017, 550, 142. [Google Scholar] [CrossRef]
- Yang, W.; Zheng, Y.; Xia, Y.; Ji, H.; Chen, X.; Guo, F.; Lyssiotis, C.A.; Aldape, K.; Cantley, L.C.; Lu, Z. ERK1/2-dependent phosphorylation and nuclear translocation of PKM2 promotes the Warburg effect. Nat. Cell Biol. 2012, 14, 1295–1304. [Google Scholar] [CrossRef]
- Tamada, M.; Suematsu, M.; Saya, H. Pyruvate kinase M2: Multiple faces for conferring benefits on cancer cells. Clin. Cancer Res. 2012, 18, 5554–5561. [Google Scholar] [CrossRef]
- Anastasiou, D.; Poulogiannis, G.; Asara, J.M.; Boxer, M.B.; Jiang, J.K.; Shen, M.; Bellinger, G.; Sasaki, A.T.; Locasale, J.W.; Auld, D.S.; et al. Inhibition of pyruvate kinase M2 by reactive oxygen species contributes to cellular antioxidant responses. Science 2011, 334, 1278–1283. [Google Scholar] [CrossRef]
- Tamada, M.; Nagano, O.; Tateyama, S.; Ohmura, M.; Yae, T.; Ishimoto, T.; Sugihara, E.; Onishi, N.; Yamamoto, T.; Yanagawa, H. Modulation of glucose metabolism by CD44 contributes to antioxidant status and drug resistance in cancer cells. Cancer Res. 2012, 72, 1438–1448. [Google Scholar] [CrossRef]
- Guo, W.; Zhang, Y.; Chen, T.; Wang, Y.; Xue, J.; Zhang, Y.; Xiao, W.; Mo, X.; Lu, Y. Efficacy of RNAi targeting of pyruvate kinase M2 combined with cisplatin in a lung cancer model. J. Cancer Res. Clin. Oncol. 2011, 137, 65–72. [Google Scholar] [CrossRef]
- Martinez-Balibrea, E.; Plasencia, C.; Ginés, A.; Martinez-Cardús, A.; Musulén, E.; Aguilera, R.; Manzano, J.L.; Neamati, N.; Abad, A. A proteomic approach links decreased pyruvate kinase M2 expression to oxaliplatin resistance in patients with colorectal cancer and in human cell lines. Mol. Cancer Ther. 2009, 8, 771–778. [Google Scholar] [CrossRef]
- Yoo, B.C.; Ku, J.L.; Hong, S.H.; Shin, Y.K.; Park, S.Y.; Kim, H.K.; Park, J.G. Decreased pyruvate kinase M2 activity linked to cisplatin resistance in human gastric carcinoma cell lines. Int. J. Cancer 2004, 108, 532–539. [Google Scholar] [CrossRef] [PubMed]
- Zheng, H.C. The molecular mechanisms of chemoresistance in cancers. Oncotarget 2017, 8, 59950–59964. [Google Scholar] [CrossRef] [PubMed]
- Lu, W.Q.; Hu, Y.Y.; Lin, X.P.; Fan, W. Knockdown of PKM2 and GLS1 expression can significantly reverse oxaliplatin-resistance in colorectal cancer cells. Oncotarget 2017, 8, 44171–44185. [Google Scholar] [CrossRef] [PubMed]
- Zhu, Q.; Hong, B.; Zhang, L.; Wang, J. Pyruvate kinase M2 inhibits the progression of bladder cancer by targeting MAKP pathway. J. Cancer Res. Ther. 2018, 14, S616–S621. [Google Scholar]
- Zheng, B.; Liu, F.; Zeng, L.; Geng, L.; Ouyang, X.; Wang, K.; Huang, Q. Overexpression of Pyruvate Kinase Type M2 (PKM2) Promotes Ovarian Cancer Cell Growth and Survival Via Regulation of Cell Cycle Progression Related with Upregulated CCND1 and Downregulated CDKN1A Expression. Med. Sci. Monit. 2018, 24, 3103–3112. [Google Scholar] [CrossRef]
- Carinci, F.; Stabellini, G.; Calvitti, M.; Pelucchi, S.; Targa, L.; Farina, A.; Pezzetti, F.; Pastore, A. CD44 as prognostic factor in oral and oropharyngeal squamous cell carcinoma. J. Craniofac. Surg. 2002, 13, 85–89. [Google Scholar] [CrossRef]
- He, X.; Du, S.; Lei, T.; Li, X.; Liu, Y.; Wang, H.; Tong, R.; Wang, Y. PKM2 in carcinogenesis and oncotherapy. Oncotarget 2017, 8, 110656–110670. [Google Scholar] [CrossRef]
- Hsu, M.C.; Hung, W.C. Pyruvate kinase M2 fuels multiple aspects of cancer cells: From cellular metabolism, transcriptional regulation to extracellular signaling. Mol. Cancer 2018, 17, 35. [Google Scholar] [CrossRef]
- Chen, C.; Zhao, S.; Karnad, A.; Freeman, J.W. The biology and role of CD44 in cancer progression: Therapeutic implications. J. Hematol. Oncol. 2018, 11, 64. [Google Scholar] [CrossRef]
- Ween, M.P.; Oehler, M.K.; Ricciardelli, C. Role of versican, hyaluronan and CD44 in ovarian cancer metastasis. Int. J. Mol. Sci. 2011, 12, 1009–1029. [Google Scholar] [CrossRef]
- Nakamura, K.; Sawada, K.; Kinose, Y.; Yoshimura, A.; Toda, A.; Nakatsuka, E.; Hashimoto, K.; Mabuchi, S.; Morishige, K.I.; Kurachi, H.; et al. Exosomes Promote Ovarian Cancer Cell Invasion through Transfer of CD44 to Peritoneal Mesothelial Cells. Mol. Cancer Res. 2017, 15, 78–92. [Google Scholar] [CrossRef] [PubMed]
- Sacks, J.D.; Barbolina, M.V. Expression and Function of CD44 in Epithelial Ovarian Carcinoma. Biomolecules 2015, 5, 3051–3066. [Google Scholar] [CrossRef] [PubMed]
- Han, S.; Huang, T.; Li, W.; Wang, X.; Wu, X.; Liu, S.; Yang, W.; Shi, Q.; Li, H.; Hou, F. Prognostic Value of CD44 and Its Isoforms in Advanced Cancer: A Systematic Meta-Analysis with Trial Sequential Analysis. Front. Oncol. 2019, 9, 39. [Google Scholar] [CrossRef] [PubMed]
- Macpherson, J.A.; Theisen, A.; Masino, L.; Fets, L.; Driscoll, P.C.; Encheva, V.; Snijders, A.P.; Martin, S.R.; Kleinjung, J.; Barran, P.E.; et al. Functional cross-talk between allosteric effects of activating and inhibiting ligands underlies PKM2 regulation. Elife 2019, 8, e45068. [Google Scholar] [CrossRef] [PubMed]
- Aravantinos, G.; Fountzilas, G.; Kosmidis, P.; Dimopoulos, M.A.; Stathopoulos, G.P.; Pavlidis, N.; Bafaloukos, D.; Papadimitriou, C.; Karpathios, S.; Georgoulias, V.; et al. Paclitaxel plus carboplatin versus paclitaxel plus alternating carboplatin and cisplatin for initial treatment of advanced ovarian cancer: Long-term efficacy results: A Hellenic Cooperative Oncology Group (HeCOG) study. Ann. Oncol. 2005, 16, 1116–1122. [Google Scholar] [CrossRef]
- FIGO Committee on Gynecologic Oncology. Current FIGO staging for cancer of the vagina, fallopian tube, ovary, and gestational trophoblastic neoplasia. Int. J. Gynaecol. Obstet. 2009, 105, 3–4. [Google Scholar] [CrossRef]
- McCarty, K.S.J.; Szabo, E.; Flowers, J.L.; Cox, E.B.; Leight, G.S.; Miller, L.; Konrath, J.; Soper, J.T.; Budwit, D.A.; Creasman, W.T.; et al. Use of a Monoclonal Anti-Estrogen Receptor Antibody in the Immunohistochemical Evaluation of Human Tumors. Cancer Res. 1986, 46, 4244–4248. [Google Scholar]
- Papadaki, C.; Mavroudis, D.; Trypaki, M.; Koutsopoulos, A.; Stathopoulos, E.; Hatzidaki, D.; Tsakalaki, E.; Georgoulias, V.; Souglakos, J. Tumoral expression of TXR1 and TSP1 predicts overall survival of patients with lung adenocarcinoma treated with first-line docetaxel-gemcitabine regimen. Clin. Cancer Res. 2009, 15, 3827–3833. [Google Scholar] [CrossRef]
- Papadaki, C.; Sfakianaki, M.; Lagoudaki, E.; Giagkas, G.; Ioannidis, G.; Trypaki, M.; Tsakalaki, E.; Voutsina, A.; Koutsopoulos, A.; Mavroudis, D.; et al. PKM2 as a biomarker for chemosensitivity to front-line platinum-based chemotherapy in patients with metastatic non-small-cell lung cancer. Br. J. Cancer 2014, 111, 1757–1764. [Google Scholar] [CrossRef]
- Saridaki, Z.; Tzardi, M.; Papadaki, C.; Sfakianaki, M.; Pega, F.; Kalikaki, A.; Tsakalaki, E.; Trypaki, M.; Messaritakis, I.; Stathopoulos, E.; et al. Impact of KRAS, BRAF, PIK3CA mutations, PTEN, AREG, EREG expression and skin rash in >/= 2 line cetuximab-based therapy of colorectal cancer patients. PLoS ONE 2011, 6, e15980. [Google Scholar] [CrossRef]





| Feature | Ν | % |
|---|---|---|
| Selected patients | 171/186 | 91.5 |
| Regimen | ||
| Carboplatin–paclitaxel | 157 | 91.8 |
| Other platinum-based treatment | 14 | 8.2 |
| Median age (range) years | 60 (28–84) | |
| ≤70 years | 145 | 84.8 |
| >70 years | 26 | 15.2 |
| Histology | ||
| Serous | 110 | 64.3 |
| Mucinous | 15 | 8.8 |
| Endometrioid | 19 | 11.1 |
| Clear cell | 7 | 4.1 |
| Other epithelial 1 | 20 | 11.7 |
| Grade | ||
| Well differentiated | 15 | 8.8 |
| Moderate | 64 | 37.4 |
| Poorly differentiated | 92 | 53.8 |
| Stage | ||
| I | 26 | 15.2 |
| II | 22 | 12.9 |
| III | 104 | 60.8 |
| IV | 19 | 11.1 |
| Surgery | ||
| Optimal | 48 | 28.1 |
| Others | 121 | 70.8 |
| Unknown | 2 | 1.2 |
| Second-look laparotomy (SLL) | ||
| PCR 2 | 12 | 7.0 |
| PPR Micro 3 | 15 | 8.8 |
| PPR Macrp 4 | 30 | 17.5 |
| Without SLL/unknown | 116 | 66.7 |
| Platinum-sensitivity | ||
| YES | 79 | 46.2 |
| NO | 37 | 21.6 |
| Unknown | 55 | 32.2 |
| Median survival (range) months | ||
| mPFS (95%CI) 5 | 11.4 (95%Cl 9.2–13.5) | |
| mOS (95%CI) 6 | 43.1 (95%Cl 34.9–51.4) |
| Variables | N | PFS (Months) | p | OS (Months) | p |
|---|---|---|---|---|---|
| Median (95%CI) | Median (95%CI) | ||||
| PKM2 mRNA expression | |||||
| Low | 72 | 12.2 (2.4–21.9) | 0.003 | 57.6 (40.0–75.2) | <0.001 |
| High | 73 | 7.3 (5.3–9.5) | 30.6 (23.3–37.8) | ||
| PKM2 protein expression | |||||
| Low | 100 | 14.2 (8.3–20.1) | 0.002 | 53.3 (37.8–68.9) | 0.001 |
| High | 71 | 8.7 (6.7–10.7) | 29.3 (26.0–32.6) | ||
| CD44 protein expression | |||||
| Low | 85 | 13.4 (8.5–18.2) | 0.101 | 50.0 (31.89–68.1) | 0.004 |
| High | 86 | 9.2 (7.0–11.4) | 32.6 (26.0–39.2) | ||
| PKM2/CD44 proteins’ co-expression | |||||
| PKM2Low/CD44 Low | 57 | 16.5 (9.2–23.8) | Ref. | 61.3 (41.6–80.9) | Ref. |
| PKM2 High/CD44 High | 51 | 7.4 (4.6–10.1) | 0.0031 | 22.7 (9.4–36.1) | 0.0011 |
| PKM2 Low/CD44 High | 38 | 14.2 (1.6–26.8) | 0.7002 | 53.3 (35.6–71.1) | 0.6142 |
| PKM2 High/CD44 Low | 25 | 8.5 (5.7–11.2) | 0.0313 | 30.6 (26.5–34.6) | 0.1543 |
| PKM2 High/CD44 High | 51 | 7.4 (4.6–10.1) | Ref. | 22.7 (9.4–36.1) | Ref. |
| PKM2 Low/CD44 Low | 57 | 16.5 (9.2–23.8) | 0.0034 | 61.3 (41.6–80.9) | 0.0014 |
| PKM2 Low/CD44 High | 38 | 14.2 (1.6–26.8) | 0.0225 | 53.3 (35.6–71.1) | 0.0115 |
| PKM2 High/CD44 Low | 25 | 8.5 (5.7–11.2) | 0.7496 | 30.6 (26.5–34.6) | 0.1856 |
| Variables | Unadjusted Hazard Ratio | 95%CI | p-Value | Adjusted Hazard Ratio | 95%CI | p-Value |
|---|---|---|---|---|---|---|
| Progression-free survival | ||||||
| Age (>70 years versus <70 years) | 1.03 | 0.60–1.60 | 0.896 | - | - | - |
| Histology (serous versus others) | 1.13 | 0.76–1.50 | 0.495 | - | - | - |
| Grade (poorly versus well-moderate) | 1.73 | 1.21–2.50 | 0.003 | 1.73 | 1.07–2.82 | 0.026 |
| Stage (III–IV versus I–II) | 1.67 | 1.08–2.59 | 0.022 | 1.30 | 0.57–2.93 | 0.527 |
| Platinum-sensitivity (resistant versus sensitive) | 4.12 | 2.58–6.56 | <0.001 | 3.17 | 1.95–5.14 | <0.001 |
| Post-operation residual tumor | 2.15 | 1.39–3.32 | 0.001 | 2.36 | 0.97–5.75 | 0.058 |
| PKM2 mRNA | 0.99 | 0.99–1.02 | 0.253 | 0.98 | 0.97–1.003 | 0.984 |
| PKM2 mRNA high versus low | 1.74 | 1.20–2.54 | 0.004 | 1.18 | 0.67–2.09 | 0.567 |
| PKM2 protein | 1.00 | 1.000–1.004 | 0.043 | 1.002 | 0.999–1.005 | 0.234 |
| PKM2 protein high versus low | 1.74 | 1.22–2.48 | 0.002 | 1.95 | 1.23–3.09 | 0.004 |
| CD44 protein | 1.01 | 1.002–1.011 | 0.007 | 1.01 | 0.999–1.005 | 0.090 |
| CD44 protein high versus low | 1.34 | 0.94–1.90 | 0.102 | 1.21 | 0.77–1.88 | 0.409 |
| CD44/PKM2 protein (both high versus others) | 1.69 | 1.16–2.47 | 0.006 | 1.66 | 1.03–2.7 | 0.040 |
| OverallSurvival | ||||||
| Age (>70years versus <70years) | 1.09 | 0.63–1.89 | 0.770 | - | - | - |
| Histology (serous versus others) | 1.45 | 0.97–2.18 | 0.070 | - | - | - |
| Grade (poorly versus well-moderate) | 1.45 | 0.97–2.18 | 0.073 | - | - | - |
| Stage (III–IV versus I–II) | 1.57 | 0.94–2.62 | 0.084 | - | - | - |
| Platinum-sensitivity (resistant versus sensitive) | 4.03 | 2.43–6.68 | <0.001 | 3.11 | 1.85–5.21 | <0.001 |
| Post-operation residual tumor | 1.72 | 1.07–2.75 | 0.024 | 3.60 | 1.41–9.21 | 0.008 |
| PKM2 mRNA high versus low | 2.15 | 1.39–3.32 | 0.001 | 2.16 | 1.07–4.34 | 0.034 |
| PKM2 mRNAscore | 1.00 | 0.99–1.02 | 0.899 | 0.998 | 0.999–1.020 | 0.871 |
| PKM2 protein | 1.002 | 1.000–1.005 | 0.050 | 1.003 | 0.999–1.006 | 0.177 |
| PKM2 protein high versus low | 1.94 | 1.28–2.94 | 0.002 | 1.82 | 1.05–3.17 | 0.034 |
| CD44 protein | 1.006 | 1.006–1.011 | 0.018 | 1.01 | 1.00–1.01 | 0.033 |
| CD44 protein (high versus low) | 1.80 | 1.20–2.70 | 0.005 | 1.61 | 0.97–2.68 | 0.065 |
| CD44/PKM2 protein (bothhigh versus others) | 2.13 | 1.38–3.30 | 0.001 | 1.99 | 1.10–3.60 | 0.023 |
© 2020 by the authors. Licensee MDPI, Basel, Switzerland. This article is an open access article distributed under the terms and conditions of the Creative Commons Attribution (CC BY) license (http://creativecommons.org/licenses/by/4.0/).
Share and Cite
Papadaki, C.; Manolakou, S.; Lagoudaki, E.; Pontikakis, S.; Ierodiakonou, D.; Vogiatzoglou, K.; Messaritakis, I.; Trypaki, M.; Giannikaki, L.; Sfakianaki, M.; et al. Correlation of PKM2 and CD44 Protein Expression with Poor Prognosis in Platinum-Treated Epithelial Ovarian Cancer: A Retrospective Study. Cancers 2020, 12, 1013. https://doi.org/10.3390/cancers12041013
Papadaki C, Manolakou S, Lagoudaki E, Pontikakis S, Ierodiakonou D, Vogiatzoglou K, Messaritakis I, Trypaki M, Giannikaki L, Sfakianaki M, et al. Correlation of PKM2 and CD44 Protein Expression with Poor Prognosis in Platinum-Treated Epithelial Ovarian Cancer: A Retrospective Study. Cancers. 2020; 12(4):1013. https://doi.org/10.3390/cancers12041013
Chicago/Turabian StylePapadaki, Chara, Stavroula Manolakou, Eleni Lagoudaki, Spyros Pontikakis, Despo Ierodiakonou, Konstantinos Vogiatzoglou, Ippokratis Messaritakis, Maria Trypaki, Linda Giannikaki, Maria Sfakianaki, and et al. 2020. "Correlation of PKM2 and CD44 Protein Expression with Poor Prognosis in Platinum-Treated Epithelial Ovarian Cancer: A Retrospective Study" Cancers 12, no. 4: 1013. https://doi.org/10.3390/cancers12041013
APA StylePapadaki, C., Manolakou, S., Lagoudaki, E., Pontikakis, S., Ierodiakonou, D., Vogiatzoglou, K., Messaritakis, I., Trypaki, M., Giannikaki, L., Sfakianaki, M., Kalykaki, A., Mavroudis, D., Tzardi, M., & Souglakos, J. (2020). Correlation of PKM2 and CD44 Protein Expression with Poor Prognosis in Platinum-Treated Epithelial Ovarian Cancer: A Retrospective Study. Cancers, 12(4), 1013. https://doi.org/10.3390/cancers12041013

