Trabectedin Plus Radiotherapy for Advanced Soft-Tissue Sarcoma: Experience in Forty Patients Treated at a Sarcoma Reference Center
Abstract
Simple Summary
Abstract
1. Introduction
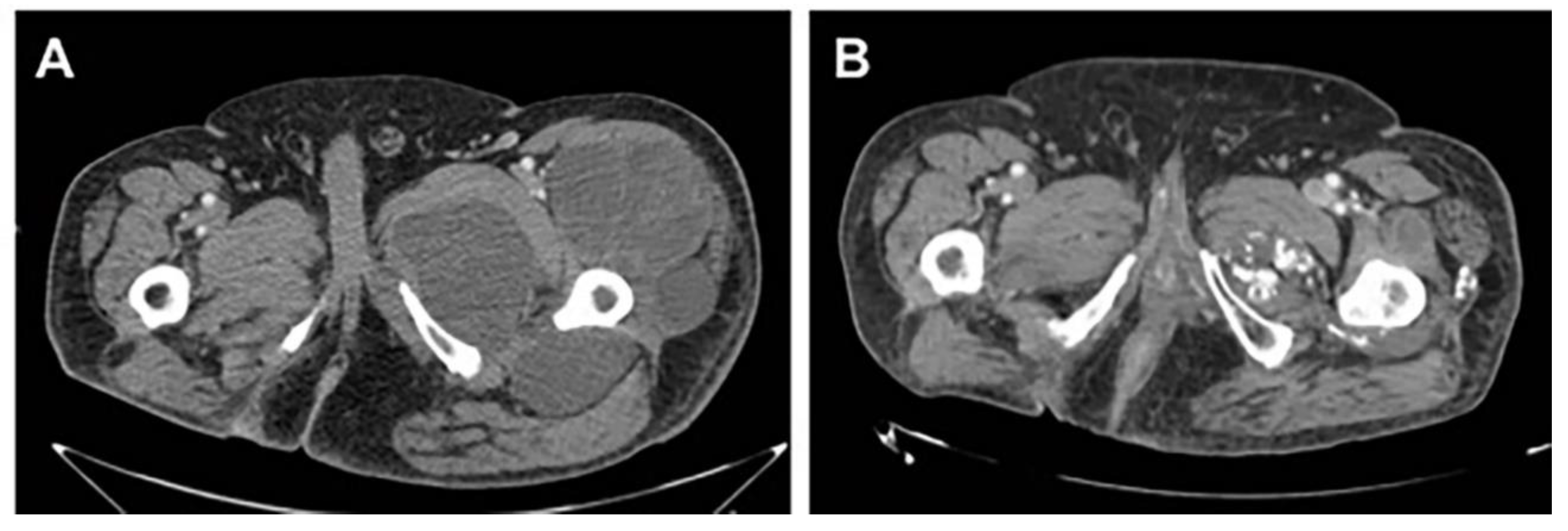
2. Results
3. Discussion
4. Materials and Methods
4.1. Patients
4.2. Treatment
4.3. Clinical and Radiologic Assessments
4.4. Statistical Analysis
5. Conclusions
Author Contributions
Funding
Acknowledgments
Conflicts of Interest
Appendix A
| Regimen | n (%) |
|---|---|
| 30 Gy in 10 fractions | 28 (70) |
| 39 Gy in 13 fractions | 7 (17.5) |
| 45 Gy in 15 fractions | 1 (2.5) |
| 45 Gy in 25 fractions | 1 (2.5) |
| 50 Gy in 25 fractions | 1 (2.5) |
| 20 Gy in 5 fractions | 1 (2.5) |
| 18 Gy in 3 fractions | 1 (2.5) |
| Factor | Median PFS (95% CI) | p | Median OS (95% CI) | p |
|---|---|---|---|---|
| MFI: 0–16 >16 | 4.3 (0–8.9) 12.8 (5.1–20.4) | 0.19 | 23.5 (2.8–44.2) 37 (2–72.1) | 0.79 |
| Metastatic at diagnosis: Yes No | 3.4 (0–22.1) 7.5 (3.1–11.9) | 0.29 | NR 16.5 (0–33.6) | 0.078 |
| Age: 0–54 >54 | 10.2 (0–22.9) 6.8 (5.3–8.3) | 0.97 | 36.2 (12.8–59.7) 12.8 (0–33.9) | 0.15 |
| Age: 0–60 >60 | 10.2 (0.2–20.3) 6.7 (4–9.4) | 0.55 | 36.2 (11.1–61.3) 12.8 (0–34.6) | 0.23 |
| Sex: Male Female | 7.5 (1.6–13.4) 6.8 (1.6–13.4) | 0.43 | 10.2 (0.4–20) 36.2 (9–20) | 0.049 |
| Grade: 1 2 3 | 10.2 (0.63–19.8) 6.4 (0.4–12.4) 8.6 (3.5–13.8) | 0.9 | 10.2 (NA) 8.6 (7.2–10.1) 32.7 (7.8–57.7) | 0.68 |
| Histology: Myxoid liposarcoma Liposarcoma (Other than myxoid) Uterine leiomyosarcoma (LMS) LMS other Other | 15 (0–32.1) 7.5 14.5 (11.8–17.1) 6.7 (0–19.3) 5.4 (2.8–8) | 0.3 | 32.7 (0–73.5) 7.5 (NA) 36.2 (NA)NR 9 (8.4–9.6) | 0.44 |
| Previous lines: 0–1 >1 | 6.7 (4.8–8.7) 10 (6.8–13.2) | 0.68 | 32.7 (0–66.4) 23.5 (3.8–43.1) | 0.95 |
| Response to trabectedin (*): CR/PR SD PD | 9.6 (2.5–16.6) 6.8 (1.9–7.9) 4.1 (0–3) | <0.001 | 43 (NA) 6.5 (0.4–12.7) 9.3 (1.6–17) | 0.19 |
Appendix B
References
- Stiller, C.A.; Trama, A.; Serraino, D.; Rossid, S.; Navarroe, C.; Chirlaquee, M.D.; Casalib, P.G.; The RARECARE Working Group. Descriptive epidemiology of sarcomas in Europe: Report from the RARECARE project. Eur. J. Cancer 2013, 49, 684–695. [Google Scholar] [CrossRef]
- Gough, N.; Koffman, J.; Ross, J.R.; Riley, J.; Judson, I. Symptom Burden in Advanced Soft-Tissue Sarcoma. J. Pain Symptom Manag. 2017, 53, 588–597. [Google Scholar] [CrossRef] [PubMed]
- Gough, N.J.; Smith, C.; Ross, J.R.; Riley, J.; Judson, I. Symptom burden, survival and palliative care in advanced soft tissue sarcoma. Sarcoma 2011, 2011, 325189. [Google Scholar] [CrossRef] [PubMed]
- Blackmon, S.H.; Shah, N.; Roth, J.A.; Correa, A.M.; Vaporciyan, A.A.; Rice, D.C.; Hofstetter, W.; Walsh, G.L.; Benjamin, R.; Pollock, R.; et al. Resection of pulmonary and extrapulmonary sarcomatous metastases is associated with long-term survival. Ann. Thorac. Surg. 2009, 88, 877–884; discussion 884–875. [Google Scholar] [CrossRef] [PubMed]
- Judson, I.; Verweij, J.; Gelderblom, H.; Hartmann, J.T.; Schöffski, P.; Blay, J.-Y.; Kerst, J.M.; Sufliarsky, J.; Whelan, J.; Hohenberger, P.; et al. Doxorubicin alone versus intensified doxorubicin plus ifosfamide for first-line treatment of advanced or metastatic soft-tissue sarcoma: A randomised controlled phase 3 trial. Lancet Oncol. 2014, 15, 415–423. [Google Scholar] [CrossRef]
- van der Graaf, W.T.; Blay, J.Y.; Chawla, S.P.; Kim, D.-W.; Bui-Nguyen, B.; Casali, P.G.; Schöffski, P.; Aglietta, M.; Staddon, A.P.; Beppu, Y.; et al. Pazopanib for metastatic soft-tissue sarcoma (PALETTE): A randomised, double-blind, placebo-controlled phase 3 trial. Lancet 2012, 379, 1879–1886. [Google Scholar] [CrossRef]
- Demetri, G.D.; von Mehren, M.; Jones, R.L.; Hensley, M.L.; Schuetze, S.M.; Staddon, A.P.; Milhem, M.; Elias, A.; Ganjoo, K.N.; Tawbi, H.; et al. Efficacy and Safety of Trabectedin or Dacarbazine for Metastatic Liposarcoma or Leiomyosarcoma After Failure of Conventional Chemotherapy: Results of a Phase III Randomized Multicenter Clinical Trial. J. Clin. Oncol. 2016, 34, 786–793. [Google Scholar] [CrossRef]
- Schoffski, P.; Chawla, S.; Maki, R.G.; Italiano, A.; Gelderblom, H.; Choy, E.; Grignani, G.; Camargo, V.; Bauer, S.; Rha, S.Y.; et al. Eribulin versus dacarbazine in previously treated patients with advanced liposarcoma or leiomyosarcoma: A randomised, open-label, multicentre, phase 3 trial. Lancet 2016, 387, 1629–1637. [Google Scholar] [CrossRef]
- D’Incalci, M. Trabectedin mechanism of action: What’s new? Future Oncol. 2013, 9, 5–10. [Google Scholar] [CrossRef]
- Allavena, P.; Signorelli, M.; Chieppa, M.; Erba, E.; Bianchi, G.; Marchesi, F.; Olimpio, C.O.; Bonardi, C.; Garbi, A.; Lissoni, A.; et al. Anti-inflammatory properties of the novel antitumor agent yondelis (trabectedin): Inhibition of macrophage differentiation and cytokine production. Cancer Res. 2005, 65, 2964–2971. [Google Scholar] [CrossRef]
- Simoens, C.; Korst, A.E.; De Pooter, C.M.; Lambrechts, H.A.J.; O Pattyn, G.G.; Faircloth, G.T.; Lardon, F.; Vermorken, J.B. In vitro interaction between ecteinascidin 743 (ET-743) and radiation, in relation to its cell cycle effects. Br. J. Cancer 2003, 89, 2305–2311. [Google Scholar] [CrossRef] [PubMed]
- Romero, J.; Zapata, I.; Córdoba, S.; Jimeno, J.M.; Lopez-Martin, J.; Tercero, J.C.; De La Torre, A.; Vargas, J.A.; Molerón, R.; Sánchez-Prieto, R. In vitro radiosensitisation by trabectedin in human cancer cell lines. Eur. J. Cancer 2008, 44, 1726–1733. [Google Scholar] [CrossRef] [PubMed]
- Manda, K.; Präkelt, T.; Schröder, T.; Kriesen, S.; Hildebrandt, G. Radiosensitizing effects of trabectedin on human A549 lung cancer cells and HT-29 colon cancer cells. Investig. New Drugs 2020, 38, 967–976. [Google Scholar] [CrossRef] [PubMed]
- Tavecchio, M.; Simone, M.; Erba, E.; Chiolo, I.; Liberi, G.; Foiani, M.; D’Incalci, M.; Damia, G. Role of homologous recombination in trabectedin-induced DNA damage. Eur. J. Cancer 2008, 44, 609–618. [Google Scholar] [CrossRef] [PubMed]
- Martin-Broto, J.; Hindi, N.; Lopez-Pousa, A.; Peinado-Serrano, J.; Alvarez, R.; Alvarez-Gonzalez, A.; Italiano, A.; Sargos, P.; Cruz-Jurado, J.; Isern-Verdum, J.; et al. Assessment of Safety and Efficacy of Combined Trabectedin and Low-Dose Radiotherapy for Patients With Metastatic Soft-Tissue Sarcomas: A Nonrandomized Phase 1/2 Clinical Trial. JAMA Oncol. 2020, 6, 535–541. [Google Scholar] [CrossRef]
- Jones, R.L.; Maki, R.G.; Patel, S.R.; Wang, G.; McGowan, T.A.; Shalaby, W.S.; Knoblauch, R.E.; Von Mehren, M.; Demetri, G.D. Safety and efficacy of trabectedin when administered in the inpatient versus outpatient setting: Clinical considerations for outpatient administration of trabectedin. Cancer 2019, 125, 4435–4441. [Google Scholar] [CrossRef]
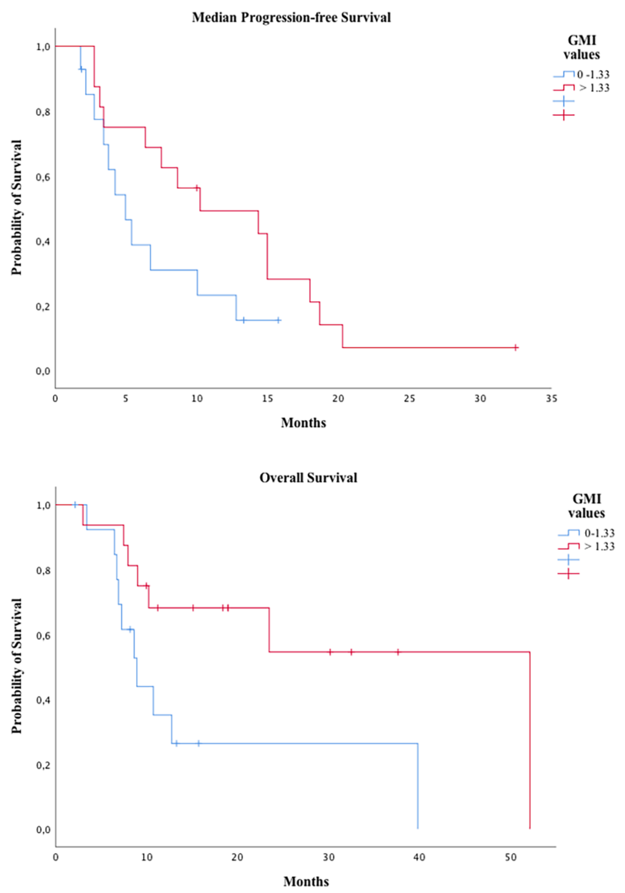
- Penel, N.; Demetri, G.D.; Blay, J.Y.; Cousin, S.; Maki, R.G.; Chawla, S.P.; Judson, I.; Von Mehren, M.; Schöffski, P.; Verweij, J.; et al. Growth modulation index as metric of clinical benefit assessment among advanced soft tissue sarcoma patients receiving trabectedin as a salvage therapy. Ann. Oncol. 2013, 24, 537–542. [Google Scholar] [CrossRef]
- Buonadonna, A.; Benson, C.; Casanova, J.; Kasper, B.; Pousa, A.L.; Mazzeo, F.; Brodowicz, T.; Penel, N. A noninterventional, multicenter, prospective phase IV study of trabectedin in patients with advanced soft tissue sarcoma. Anticancer Drugs 2017, 28, 1157–1165. [Google Scholar] [CrossRef]
- Cousin, S.; Blay, J.Y.; Bertucci, F.; Isambert, N.; Italiano, A.; Bompas, E.; Ray-Coquard, I.; Perrot, D.; Chaix, M.; Bui-Nguyen, B.; et al. Correlation between overall survival and growth modulation index in pre-treated sarcoma patients: A study from the French Sarcoma Group. Ann. Oncol. 2013, 24, 2681–2685. [Google Scholar] [CrossRef]
- Maki, R.G.; Wathen, J.K.; Patel, S.R.; Priebat, D.A.; Okuno, S.H.; Samuels, B.; Fanucchi, M.; Harmon, D.C.; Schuetze, S.M.; Reinke, D.; et al. Randomized phase II study of gemcitabine and docetaxel compared with gemcitabine alone in patients with metastatic soft tissue sarcomas: Results of sarcoma alliance for research through collaboration study 002 [corrected]. J. Clin. Oncol. 2007, 25, 2755–2763. [Google Scholar] [CrossRef]
- García-Del-Muro, X.; López-Pousa, A.; Maurel, J.; Martín, J.; Martínez-Trufero, J.; Casado, A.; Gómez-España, A.; Fra, J.; Cruz, J.; Poveda, A.; et al. Randomized phase II study comparing gemcitabine plus dacarbazine versus dacarbazine alone in patients with previously treated soft tissue sarcoma: A Spanish Group for Research on Sarcomas study. J. Clin. Oncol. 2011, 29, 2528–2533. [Google Scholar] [CrossRef] [PubMed]
- Pautier, P.; Floquet, A.; Penel, N.; Piperno-Neumann, S.; Isambert, N.; Rey, A.; Bompas, E.; Cioffi, A.; Delcambre, C.; Cupissol, D.; et al. Randomized multicenter and stratified phase II study of gemcitabine alone versus gemcitabine and docetaxel in patients with metastatic or relapsed leiomyosarcomas: A Federation Nationale des Centres de Lutte Contre le Cancer (FNCLCC) French Sarcoma Group Study (TAXOGEM study). Oncologist 2012, 17, 1213–1220. [Google Scholar] [PubMed]
- Bae, S.; Crowe, P.; Gowda, R.; Joubert, W.; Carey-Smith, R.; Stalley, P.; Desai, J. Patterns of care for patients with advanced soft tissue sarcoma: Experience from Australian sarcoma services. Clin. Sarcoma Res. 2016, 6, 11. [Google Scholar] [CrossRef] [PubMed]
- Tween, H.; Peake, D.; Spooner, D.; Sherriff, J. Radiotherapy for the Palliation of Advanced Sarcomas-The Effectiveness of Radiotherapy in Providing Symptomatic Improvement for Advanced Sarcomas in a Single Centre Cohort. Healthcare 2019, 7, 120. [Google Scholar] [CrossRef]
- Soyfer, V.; Corn, B.W.; Kollender, Y.; Tempelhoff, H.; Meller, I.; Merimsky, O. Radiation therapy for palliation of sarcoma metastases: A unique and uniform hypofractionation experience. Sarcoma 2010, 2010, 927972. [Google Scholar] [CrossRef]
- Kato, H.; Nakamura, M.; Oda, T.; Morita, A. Effectiveness of combined low-dose radiotherapy and pazopanib for controlling the local manifestations of taxane-resistant recurrent angiosarcoma of the head. JAAD Case Rep. 2020, 6, 713–715. [Google Scholar] [CrossRef]
- Bönisch, N.; Langan, E.A.; Terheyden, P. Cutaneous angiosarcoma: Radiochemotherapy with liposomal pegylated doxorubicin. Hautarzt 2019, 70, 700–706. [Google Scholar] [CrossRef]
- Kumar, A.; Sharma, A.; Mohanti, B.K.; Thakar, A.; Shukla, N.K.; Thulkar, S.P.; Sikka, K.; Bhasker, S.; Singh, C.A.; Vishnubhatla, S. A phase 2 randomized study to compare short course palliative radiotherapy with short course concurrent palliative chemotherapy plus radiotherapy in advanced and unresectable head and neck cancer. Radiother. Oncol. 2015, 117, 145–151. [Google Scholar] [CrossRef]
- Penniment, M.G.; De Ieso, P.B.; Harvey, J.A.; Stephens, S.; Au, H.-J.; O’Callaghan, C.J.; Kneebone, A.; Ngan, S.Y.; Ward, I.G.; Roy, R.; et al. Palliative chemoradiotherapy versus radiotherapy alone for dysphagia in advanced oesophageal cancer: A multicentre randomised controlled trial (TROG 03.01). Lancet Gastroenterol. Hepatol. 2018, 3, 114–124. [Google Scholar] [CrossRef]
- Ippolito, E.; Greco, C.; Silipigni, S.; Dell’Aquila, E.; Petrianni, G.M.; Tonini, G.; Fiore, M.; D’Angelillo, R.M.; Ramella, S. Concurrent radiotherapy with palbociclib or ribociclib for metastatic breast cancer patients: Preliminary assessment of toxicity. Breast 2019, 46, 70–74. [Google Scholar] [CrossRef]
- Younger, E.; Jones, R.L.; Desar, I.M.E.; Peckitt, C.; van der Graaf, W.T.; Husson, O. Health-related quality Of Life In patients with advanced Soft TIssue sarcomas treated with Chemotherapy (The HOLISTIC study): Protocol for an international observational cohort study. BMJ Open 2020, 10, e035171. [Google Scholar] [CrossRef] [PubMed]
- Eisenhauer, E.A.; Therasse, P.; Bogaerts, J.; Schwartz, L.H.; Sargent, D.; Ford, R.; Dancey, J.; Arbuck, S.; Gwyther, S.; Mooney, M.; et al. New response evaluation criteria in solid tumours: Revised RECIST guideline (version 1.1). Eur. J. Cancer 2009, 45, 228–247. [Google Scholar] [CrossRef] [PubMed]




| Characteristic | n (%) |
| Age at therapy, median (range) | 57 (16–80) |
| Gender Male Female | 20 (50) 20 (50) |
| Histologic subtype Leiomyosarcoma Myxoid liposarcoma Dedifferentiated liposarcoma Synovial MPNST UPS Sarcoma NOS Myxofibrosarcoma High-grade ESS FS-DFSP Pleomorphic rhabdomyosarcoma | 18 (45) 3 (7.5) 4 (10) 4 (10) 3 (7.5) 2 (5) 2 (5) 1 (2.5) 1 (2.5) 1 (2.5) 1 (2.5) |
| Grade 1 2 3 | 3 (7%) 8 (20%) 29 (72%) |
| Stage at diagnosis Localized Metastatic | 32 (80) 8 (20) |
| Metastasis-free interval, months (range) | 16 (0–268) |
| Number of previous lines of therapy, median (range) | 1 (0–6) |
| Adverse Event | n (%) |
|---|---|
| Hematological toxicity | |
| Anemia | 1 (2.5) |
| Thrombocytopenia | 1 (2.5) |
| Neutropenia | 6 (15) |
| Neutropenic fever * | 2 (5) |
| Non-Hematological toxicity | |
| Nausea/vomiting | 2 (5) |
| Creatinine increase | 2 (5) |
| Catheter infection * | 1 (2.5) |
| Trabectedin extravasation | 1 (2.5) |
| Cardiac congestive failure ** | 1 (2.5) |
Publisher’s Note: MDPI stays neutral with regard to jurisdictional claims in published maps and institutional affiliations. |
© 2020 by the authors. Licensee MDPI, Basel, Switzerland. This article is an open access article distributed under the terms and conditions of the Creative Commons Attribution (CC BY) license (http://creativecommons.org/licenses/by/4.0/).
Share and Cite
Hindi, N.; Carrasco García, I.; Sánchez-Camacho, A.; Gutierrez, A.; Peinado, J.; Rincón, I.; Benedetti, J.; Sancho, P.; Santos, P.; Sánchez-Bustos, P.; et al. Trabectedin Plus Radiotherapy for Advanced Soft-Tissue Sarcoma: Experience in Forty Patients Treated at a Sarcoma Reference Center. Cancers 2020, 12, 3740. https://doi.org/10.3390/cancers12123740
Hindi N, Carrasco García I, Sánchez-Camacho A, Gutierrez A, Peinado J, Rincón I, Benedetti J, Sancho P, Santos P, Sánchez-Bustos P, et al. Trabectedin Plus Radiotherapy for Advanced Soft-Tissue Sarcoma: Experience in Forty Patients Treated at a Sarcoma Reference Center. Cancers. 2020; 12(12):3740. https://doi.org/10.3390/cancers12123740
Chicago/Turabian StyleHindi, Nadia, Irene Carrasco García, Alberto Sánchez-Camacho, Antonio Gutierrez, Javier Peinado, Inmaculada Rincón, Johanna Benedetti, Pilar Sancho, Paloma Santos, Paloma Sánchez-Bustos, and et al. 2020. "Trabectedin Plus Radiotherapy for Advanced Soft-Tissue Sarcoma: Experience in Forty Patients Treated at a Sarcoma Reference Center" Cancers 12, no. 12: 3740. https://doi.org/10.3390/cancers12123740
APA StyleHindi, N., Carrasco García, I., Sánchez-Camacho, A., Gutierrez, A., Peinado, J., Rincón, I., Benedetti, J., Sancho, P., Santos, P., Sánchez-Bustos, P., Marcilla, D., Encinas, V., Chacon, S., Muñoz-Casares, C., Moura, D., & Martin-Broto, J. (2020). Trabectedin Plus Radiotherapy for Advanced Soft-Tissue Sarcoma: Experience in Forty Patients Treated at a Sarcoma Reference Center. Cancers, 12(12), 3740. https://doi.org/10.3390/cancers12123740

