MiRNAs Are Involved in Tall Cell Morphology in Papillary Thyroid Carcinoma
Abstract
1. Introduction
2. Results
2.1. MiRNA Analysis
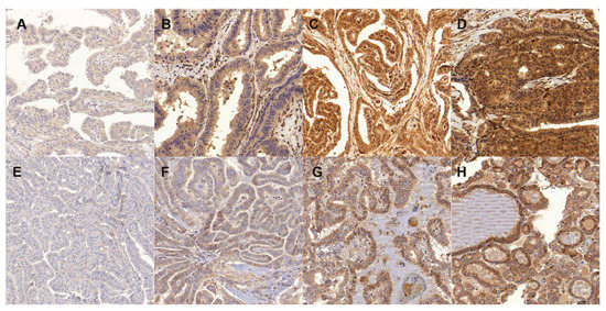
2.2. Immunohistochemical Analysis
2.3. TERT Promoter Mutation Analysis
2.4. Histopathological Evaluation
2.5. Predictive Algorithm
3. Discussion
3.1. MiRNAs and Outcome
3.2. Validation of Dataset
3.3. PTC-TC
3.4. PTEN
3.5. VEGF
3.6. PTEN, VEGF, TERT, TC and a Diagnostic Algorithm
4. Material and Methods
4.1. Tissue Samples and Patient Characteristics
4.2. RNA Isolation and miRNA Expression Analysis
4.3. Immunohistochemical Analyses
4.4. TERT Promoter Mutation Analysis
4.5. Statistical Analysis
5. Conclusions
Supplementary Materials
Author Contributions
Funding
Acknowledgments
Conflicts of Interest
References
- Hundahl, S.A.; Fleming, I.D.; Fremgen, A.M.; Menck, H.R. A National Cancer Data Base report on 53,856 cases of thyroid carcinoma treated in the U.S., 1985–1995. Cancer 1998, 83, 2638–2648. [Google Scholar] [CrossRef]
- Diagnostic Pathology and Molecular Genetics of the Thyroid, 2nd ed.; Nikiforov, Y.E., Biddinger, P.W., Thompson, L.D., Eds.; Lippincott Williams & Wilkins (LWW): Philadelphia, PA, USA, 2012; p. 436. [Google Scholar]
- Dettmer, M.; Schmitt, A.; Steinert, H.; Haldemann, A.; Meili, A.; Moch, H.; Komminoth, P.; Perren, A. Poorly differentiated thyroid carcinomas: How much poorly differentiated is needed? Am. J. Surg. Pathol. 2011, 35, 1866–1872. [Google Scholar] [CrossRef] [PubMed]
- Schurch, C.M.; Roelli, M.A.; Forster, S.; Wasmer, M.H.; Bruhl, F.; Maire, R.; Di Pancrazio, S.; Ruepp, M.D.; Giger, R.; Perren, A.; et al. Targeting CD47 in anaplastic thyroid carcinoma enhances tumor phagocytosis by macrophages and is a promising therapeutic strategy. Thyroid 2019. [Google Scholar] [CrossRef] [PubMed]
- Dettmer, M.; Schmitt, A.; Steinert, H.; Moch, H.; Komminoth, P.; Perren, A. Poorly differentiated oncocytic thyroid carcinoma—Diagnostic implications and outcome. Histopathology 2012, 60, 1045–1051. [Google Scholar] [CrossRef] [PubMed]
- Haugen, B.R.; Alexander, E.K.; Bible, K.C.; Doherty, G.M.; Mandel, S.J.; Nikiforov, Y.E.; Pacini, F.; Randolph, G.W.; Sawka, A.M.; Schlumberger, M.; et al. 2015 American Thyroid Association Management Guidelines for Adult Patients with Thyroid Nodules and Differentiated Thyroid Cancer: The American Thyroid Association Guidelines Task Force on Thyroid Nodules and Differentiated Thyroid Cancer. Thyroid 2016, 26. [Google Scholar] [CrossRef] [PubMed]
- Dettmer, M.S.; Schmitt, A.; Steinert, H.; Capper, D.; Moch, H.; Komminoth, P.; Perren, A. Tall cell papillary thyroid carcinoma: New diagnostic criteria and mutations in BRAF and TERT. Endocr. Relat. Cancer 2015, 22, 419–429. [Google Scholar] [CrossRef] [PubMed]
- LiVolsi, V.A. Papillary carcinoma tall cell variant (TCV): A review. Endocr. Pathol. 2010, 21, 12–15. [Google Scholar] [CrossRef]
- Bartels, C.L.; Tsongalis, G.J. MicroRNAs: Novel biomarkers for human cancer. Clin. Chem. 2009, 55, 623–631. [Google Scholar] [CrossRef]
- Nikiforova, M.N.; Tseng, G.C.; Steward, D.; Diorio, D.; Nikiforov, Y.E. MicroRNA expression profiling of thyroid tumors: Biological significance and diagnostic utility. J. Clin. Endocrinol. Metab. 2008, 93, 1600–1608. [Google Scholar] [CrossRef]
- Dettmer, M.; Perren, A.; Moch, H.; Komminoth, P.; Nikiforov, Y.E.; Nikiforova, M.N. Comprehensive MicroRNA expression profiling identifies novel markers in follicular variant of papillary thyroid carcinoma. Thyroid 2013, 23, 1383–1389. [Google Scholar] [CrossRef]
- Dettmer, M.; Vogetseder, A.; Durso, M.B.; Moch, H.; Komminoth, P.; Perren, A.; Nikiforov, Y.E.; Nikiforova, M.N. MicroRNA expression array identifies novel diagnostic markers for conventional and oncocytic follicular thyroid carcinomas. J. Clin. Endocrinol. Metab. 2013, 98, E1–E7. [Google Scholar] [CrossRef] [PubMed]
- Dettmer, M.S.; Perren, A.; Moch, H.; Komminoth, P.; Nikiforov, Y.E.; Nikiforova, M.N. MicroRNA profile of poorly differentiated thyroid carcinomas: New diagnostic and prognostic insights. J. Mol. Endocrinol. 2014, 52, 181–189. [Google Scholar] [CrossRef]
- Gimm, O.; Perren, A.; Weng, L.P.; Marsh, D.J.; Yeh, J.J.; Ziebold, U.; Gil, E.; Hinze, R.; Delbridge, L.; Lees, J.A.; et al. Differential nuclear and cytoplasmic expression of PTEN in normal thyroid tissue, and benign and malignant epithelial thyroid tumors. Am. J. Pathol. 2000, 156, 1693–1700. [Google Scholar] [CrossRef]
- Leslie, N.R.; Brunton, V.G. Cell biology. Where is PTEN? Science 2013, 341, 355–356. [Google Scholar] [CrossRef] [PubMed]
- Carmeliet, P.; Jain, R.K. Molecular mechanisms and clinical applications of angiogenesis. Nature 2011, 473, 298–307. [Google Scholar] [CrossRef] [PubMed]
- de Araujo-Filho, V.J.; Alves, V.A.; de Castro, I.V.; Lourenco, S.V.; Cernea, C.R.; Brandao, L.G.; Ferraz, A.R. Vascular endothelial growth factor expression in invasive papillary thyroid carcinoma. Thyroid 2009, 19, 1233–1237. [Google Scholar] [CrossRef] [PubMed]
- Yeung, K.T.; Cohen, E.E. Lenvatinib in Advanced, Radioactive Iodine-Refractory, Differentiated Thyroid Carcinoma. Clin. Cancer Res. 2015, 21, 5420–5426. [Google Scholar] [CrossRef] [PubMed]
- Agarwal, V.; Bell, G.W.; Nam, J.W.; Bartel, D.P. Predicting effective microRNA target sites in mammalian mRNAs. eLife 2015, 4, e05005. [Google Scholar] [CrossRef]
- Shirdel, E.A.; Xie, W.; Mak, T.W.; Jurisica, I. NAViGaTing the micronome–Using multiple microRNA prediction databases to identify signalling pathway-associated microRNAs. PLoS ONE 2011, 6, e17429. [Google Scholar] [CrossRef]
- Cancer Genome Atlas Research, N. Integrated genomic characterization of papillary thyroid carcinoma. Cell 2014, 159, 676–690. [Google Scholar]
- Farazi, T.A.; Spitzer, J.I.; Morozov, P.; Tuschl, T. miRNAs in human cancer. J. Pathol. 2011, 223, 102–115. [Google Scholar] [CrossRef] [PubMed]
- Yip, L.; Kelly, L.; Shuai, Y.; Armstrong, M.J.; Nikiforov, Y.E.; Carty, S.E.; Nikiforova, M.N. MicroRNA signature distinguishes the degree of aggressiveness of papillary thyroid carcinoma. Ann. Surg. Oncol. 2011, 18, 2035–2041. [Google Scholar] [CrossRef] [PubMed]
- Chou, C.H.; Chang, N.W.; Shrestha, S.; Hsu, S.D.; Lin, Y.L.; Lee, W.H.; Yang, C.D.; Hong, H.C.; Wei, T.Y.; Tu, S.J.; et al. miRTarBase 2016: Updates to the experimentally validated miRNA-target interactions database. Nucleic. Acids Res. 2016, 44, D239–D247. [Google Scholar] [CrossRef] [PubMed]
- Lloyd, R.V.; Osamura, R.Y.; Klöppel, G.; Rosai, J. WHO Classification of Tumours of Endocrine Organs, 4th ed.; International Agency for Research on Cancer (IARC): Lyon, France, 2017. [Google Scholar]
- Perren, A.; Weng, L.P.; Boag, A.H.; Ziebold, U.; Thakore, K.; Dahia, P.L.; Komminoth, P.; Lees, J.A.; Mulligan, L.M.; Mutter, G.L.; et al. Immunohistochemical evidence of loss of PTEN expression in primary ductal adenocarcinomas of the breast. Am. J. Pathol. 1999, 155, 1253–1260. [Google Scholar] [CrossRef]
- Terakawa, N.; Kanamori, Y.; Yoshida, S. Loss of PTEN expression followed by Akt phosphorylation is a poor prognostic factor for patients with endometrial cancer. Endocr. Relat. Cancer. 2003, 10, 203–208. [Google Scholar] [CrossRef] [PubMed]
- Jo, Y.S.; Li, S.; Song, J.H.; Kwon, K.H.; Lee, J.C.; Rha, S.Y.; Lee, H.J.; Sul, J.Y.; Kweon, G.R.; Ro, H.K.; et al. Influence of the BRAF V600E mutation on expression of vascular endothelial growth factor in papillary thyroid cancer. J. Clin. Endocrinol. Metab. 2006, 91, 3667–3670. [Google Scholar] [CrossRef] [PubMed]
- Schlumberger, M.; Tahara, M.; Wirth, L.J.; Robinson, B.; Brose, M.S.; Elisei, R.; Habra, M.A.; Newbold, K.; Shah, M.H.; Hoff, A.O.; et al. Lenvatinib versus placebo in radioiodine-refractory thyroid cancer. N. Engl. J. Med. 2015, 372, 621–630. [Google Scholar] [CrossRef]
- Klein, M.; Vignaud, J.M.; Hennequin, V.; Toussaint, B.; Bresler, L.; Plenat, F.; Leclere, J.; Duprez, A.; Weryha, G. Increased expression of the vascular endothelial growth factor is a pejorative prognosis marker in papillary thyroid carcinoma. J. Clin. Endocrinol. Metab. 2001, 86, 656–658. [Google Scholar] [CrossRef]
- Kilicarslan, A.B.; Ogus, M.; Arici, C.; Pestereli, H.E.; Cakir, M.; Karpuzoglu, G. Clinical importance of vascular endothelial growth factor (VEGF) for papillary thyroid carcinomas. APMIS 2003, 111, 439–443. [Google Scholar] [CrossRef]
- Neufeld, G.; Cohen, T.; Gengrinovitch, S.; Poltorak, Z. Vascular endothelial growth factor (VEGF) and its receptors. FASEB J. 1999, 13, 9–22. [Google Scholar] [CrossRef]
- Yu, X.M.; Lo, C.Y.; Lam, A.K.; Leung, P.; Luk, J.M. Serum vascular endothelial growth factor C correlates with lymph node metastases and high-risk tumor profiles in papillary thyroid carcinoma. Ann. Surg. 2008, 247, 483–489. [Google Scholar] [CrossRef]
- George, J.R.; Henderson, Y.C.; Williams, M.D.; Roberts, D.B.; Hei, H.; Lai, S.Y.; Clayman, G.L. Association of TERT Promoter Mutation, But Not BRAF Mutation, With Increased Mortality in PTC. J. Clin. Endocrinol. Metab. 2015, 100, E1550–E1559. [Google Scholar] [CrossRef]
- Baloch, Z.W.; LiVolsi, V.A. Microcarcinoma of the thyroid. Adv. Anat. Pathol. 2006, 13, 69–75. [Google Scholar] [CrossRef]
- James, D.; Brierley, M.K.G. Christian Wittekind. TNM Classification of Malignant Tumours, 8th ed.; Wiley-Blackwell: Hobroken, NJ, USA, 2017; p. 272. [Google Scholar]
- Boos, L.A.; Dettmer, M.; Schmitt, A.; Rudolph, T.; Steinert, H.; Moch, H.; Sobrinho-Simoes, M.; Komminoth, P.; Perren, A. Diagnostic and prognostic implications of the PAX8-PPARgamma translocation in thyroid carcinomas-a TMA-based study of 226 cases. Histopathology 2013, 63, 234–241. [Google Scholar] [CrossRef]




| MiRNA | p-Value (Mann U Test), Decreased RFS | p-Value (Mann U Test), Sign with TC-Morphology | Expression Level of miRNA Mean ± st. Error Mean |
|---|---|---|---|
| hsa-let-7a | 0.001 | 1.68 ± 0.25 | |
| hsa-let-7c | 0.001 | 1.01 ± 0.13 | |
| hsa-let-7f | 0.013 | 1.34 ± 0.24 | |
| hsa-let-7g | 0.049 | 0.004 | 1.48 ± 0.31 |
| hsa-miR-1 | 0.011 | 0.003 | 2.35 ± 0.63 |
| hsa-miR-100-3p | 0.001 | 0.004 | 3.77 ± 0.67 |
| hsa-miR-106a-5p | 0.017 | 0.002 | 1.58 ± 0.28 |
| hsa-miR-106b-3p | 0.001 | 2.49 ± 0.46 | |
| hsa-miR-107 | 0.005 | 1.23 ± 0.26 | |
| hsa-miR-1183 | 0.001 | 0.048 | 3.81 ± 0.76 |
| hsa-miR-1243 | 0.001 | 2.41 ± 0.40 | |
| hsa-miR-1253 | 0.007 | 7.76 ± 1.95 | |
| hsa-miR-1254 | 0.002 | 2.81 ± 0.95 | |
| hsa-miR-1255b | 0.005 | 1.32 ± 0.20 | |
| hsa-miR-1260 | 0.001 | 0.021 | 1.23 ± 0.19 |
| hsa-miR-1262 | 0.001 | 0.05 | 20.07 ± 5.23 |
| hsa-miR-126-5p | 0.001 | 0.014 | 1.58 ± 0.34 |
| hsa-miR-1271 | 0.002 | 3.30 ± 0.87 | |
| hsa-miR-1274b | 0.047 | 1.10 ± 0.15 | |
| hsa-miR-1276 | 0.001 | 1.87 ± 0.40 | |
| hsa-miR-128 | 0.001 | 1.40 ± 0.29 | |
| hsa-miR-1285 | 0.002 | 1.27 ± 0.20 | |
| hsa-miR-1290 | 0.001 | 0.003 | 6.80 ± 1.88 |
| hsa-miR-135b | 0.001 | 0.002 | 4.04 ± 0.78 |
| hsa-miR-136 | 0.001 | 0.0001 | 22.36 ± 6.26 |
| hsa-miR-138 | 0.007 | 0.005 | 0.39 ± 0.07 |
| hsa-miR-146b-5p | 0.041 | 0.003 | 128.62 ± 23.62 |
| hsa-miR-148a | 0.028 | 0.029 | 0.53 ± 0.12 |
| hsa-miR-149 | 0.003 | 1.71 ± 0.37 | |
| hsa-miR-15b | 0.001 | 1.68 ± 0.33 | |
| hsa-miR-16 | 0.001 | 0.002 | 2.85 ± 0.60 |
| hsa-miR-17 | 0.032 | 0.002 | 1.58 ± 0.28 |
| hsa-miR-181a-2-3p | 0.013 | 5.97 ± 1.05 | |
| hsa-miR-181c | 0.001 | 0.0005 | 8.77 ± 3.18 |
| hsa-miR-182 | 0.002 | 0.006 | 4.73 ± 1.56 |
| hsa-miR-1825 | 0.021 | 2.61 ± 0.45 | |
| hsa-miR-183-3p | 0.006 | 5.13 ± 1.26 | |
| hsa-miR-186 | 0.001 | 0.001 | 1.21 ± 0.23 |
| hsa-miR-190 | 0.001 | 0.019 | 4.29 ± 2.88 |
| hsa-miR-190b | 0.001 | 4.08 ± 0.81 | |
| hsa-miR-191 | 0.041 | 0.007 | 1.44 ± 0.19 |
| hsa-miR-195 | 0.001 | 0.001 | 1.08 ± 0.27 |
| hsa-miR-196b | 0.002 | 0.0004 | 4.56 ± 1.27 |
| hsa-miR-197 | 0.004 | 0.001 | 2.05 ± 0.51 |
| hsa-miR-199a-5p | 0.004 | 0.84 ± 0.15 | |
| hsa-miR-19b-1-5p | 0.041 | 2.24 ± 0.45 | |
| hsa-miR-200b | 0.001 | 0.001 | 2.50 ± 0.47 |
| hsa-miR-202 | 0.001 | 16.08 ± 4.09 | |
| hsa-miR-206 | 0.001 | 0.005 | 12.16 ± 2.33 |
| hsa-miR-20a | 0.046 | 0.003 | 1.58 ± 0.45 |
| hsa-miR-20a-3p | 0.034 | 1.27 ± 0.34 | |
| hsa-miR-21 | 0.002 | 0.001 | 7.50 ± 1.79 |
| hsa-miR-213 | 0.025 | 1.25 ± 0.19 | |
| hsa-miR-22 | 0.004 | 1.37 ± 0.31 | |
| hsa-miR-221 | 0.041 | 14.50 ± 2.27 | |
| hsa-miR-222 | 0.005 | 0.004 | 22.37 ± 4.75 |
| hsa-miR-223 | 0.046 | 0.0004 | 1.02 ± 0.18 |
| hsa-miR-22-5p | 0.001 | 1.29 ± 0.23 | |
| hsa-miR-23b | 0.006 | 1.54 ± 0.25 | |
| hsa-miR-24-2-5p | 0.009 | 1.65 ± 0.23 | |
| hsa-miR-26a | 0.004 | 0.001 | 1.0 ± 0.17 |
| hsa-miR-26b | 0.001 | 0.0001 | 1.78 ± 0.48 |
| hsa-miR-26b-3p | 0.028 | 2.05 ± 0.37 | |
| hsa-miR-28-3p | 0.001 | 2.12 ± 0.46 | |
| hsa-miR-28-5p | 0.001 | 0.81 ± 0.11 | |
| hsa-miR-29a | 0.03 | 0.006 | 2.33 ± 0.43 |
| hsa-miR-29c | 0.017 | 0.018 | 2.83 ± 1.26 |
| hsa-miR-301b | 0.004 | 1.78 ± 0.49 | |
| hsa-miR-302d | 0.022 | 1.58 ± 0.33 | |
| hsa-miR-30a-3p | 0.003 | 0.98 ± 0.16 | |
| hsa-miR-30b | 0.001 | 1.02 ± 0.14 | |
| hsa-miR-30c | 0.032 | 0.92 ± 0.16 | |
| hsa-miR-30d | 0.039 | 0.009 | 1.25 ± 0.2 |
| hsa-miR-30e-3p | 0.002 | 0.03 ± 0.17 | |
| hsa-miR-32 | 0.001 | 0.003 | 16.04 ± 8.09 |
| hsa-miR-320 | 0.019 | 0.87 ± 0.09 | |
| hsa-miR-337-5p | 0.021 | 0.002 | 2.39 ± 0.69 |
| hsa-miR-339-3p | 0.039 | 1.81 ± 0.31 | |
| hsa-miR-340 | 0.001 | 0.001 | 2.24 ± 0.50 |
| hsa-miR-340-3p | 0.001 | 1.92 ± 0.41 | |
| hsa-miR-34b | 0.001 | 3.67 ± 0.75 | |
| hsa-miR-361-5p | 0.022 | 0.008 | 1.36 ± 0.25 |
| hsa-miR-362-5p | 0.012 | 0.009 | 1.19 ± 0.16 |
| hsa-miR-372 | 0.007 | 0.043 | 11.12 ± 3.49 |
| hsa-miR-373 | 0.048 | 0.89 ± 0.23 | |
| hsa-miR-374a | 0.001 | 0.004 | 1.74 ± 0.47 |
| hsa-miR-374b | 0.01 | 1.03 ± 0.15 | |
| hsa-miR-376a | 0.001 | 0.0003 | 3.30 ± 0.01 |
| hsa-miR-376a-5p | 0.004 | 2.48 ± 0.55 | |
| hsa-miR-376c | 0.014 | 0.003 | 0.89 ± 0.21 |
| hsa-miR-380-5p | 0.029 | 0.62 ± 0.19 | |
| hsa-miR-411 | 0.028 | 0.003 | 0.89 ± 2.01 |
| hsa-miR-423-5p | 0.019 | 2.08 ± 0.66 | |
| hsa-miR-425-3p | 0.001 | 4.17 ± 1.16 | |
| hsa-miR-429 | 0.001 | 0.002 | 4.39 ± 1.24 |
| hsa-miR-454 | 0.001 | 0.003 | 1.85 ± 0.46 |
| hsa-miR-483-5p | 0.001 | 0.004 | 2.60 ± 0.46 |
| hsa-miR-487a | 0.003 | 0.05 | 10.96 ± 4.90 |
| hsa-miR-488 | 0.006 | 1.27 ± 0.26 | |
| hsa-miR-489 | 0.001 | 0.017 | 2.99 ± 0.40 |
| hsa-miR-493 | 0.022 | 0.022 | 1.58 ± 0.58 |
| hsa-miR-494 | 0.001 | 0.003 | 3.31 ± 0.93 |
| hsa-miR-497 | 0.009 | 0.46 ± 0.09 | |
| hsa-miR-500 | 0.004 | 0.77 ± 0.10 | |
| hsa-miR-505-5p | 0.022 | 1.96 ± 0.44 | |
| hsa-miR-516-3p | 0.001 | 0.023 | 4.98 ± 1.01 |
| hsa-miR-518b | 0.001 | 14.93 ± 7.34 | |
| hsa-miR-518f | 0.013 | 113.54 ± 73.78 | |
| hsa-miR-520c-3p | 0.001 | 0.035 | 4.94 ± 0.82 |
| hsa-miR-523 | 0.001 | 22.64 ± 5.71 | |
| hsa-miR-532-3p | 0.004 | 0.83 ± 0.13 | |
| hsa-miR-532-5p | 0.001 | 4.55 ± 1.81 | |
| hsa-miR-539 | 0.002 | 0.01 | 4.35 ± 1.80 |
| hsa-miR-545 | 0.001 | 0.004 | 3.15 ± 1.34 |
| hsa-miR-545-5p | 0.007 | 15.62 ± 8.79 | |
| hsa-miR-548a-3p | 0.001 | 17.74 ± 5.17 | |
| hsa-miR-548c-3p | 0.001 | 21.88 ± 5.93 | |
| hsa-miR-571 | 0.038 | 2.94 ± 0.64 | |
| hsa-miR-576-3p | 0.001 | 0.002 | 2.47 ± 0.57 |
| hsa-miR-577 | 0.001 | 0.027 | 1.34 ± 0.30 |
| hsa-miR-586 | 0.015 | 8.92 ± 2.37 | |
| hsa-miR-590-3p | 0.001 | 0.02 | 12.78 ± 6.23 |
| hsa-miR-590-5p | 0.001 | 0.004 | 4.46 ± 1.58 |
| hsa-miR-591 | 0.004 | 1.21 ± 0.28 | |
| hsa-miR-601 | 0.001 | 14.79 ± 2.70 | |
| hsa-miR-606 | 0.004 | 9.23 ± 2.69 | |
| hsa-miR-625 | 0.002 | 0.0002 | 3.65 ± 0.89 |
| hsa-miR-625-3p | 0.001 | 0.024 | 6.99 ± 1.97 |
| hsa-miR-627 | 0.001 | 0.0001 | 6.13 ± 1.54 |
| hsa-miR-628-5p | 0.002 | 30.48 ± 14.89 | |
| hsa-miR-630 | 0.04 | 2.89 ± 0.85 | |
| hsa-miR-636 | 0.001 | 0.001 | 1.10 ± 0.25 |
| hsa-miR-645 | 0.008 | 0.011 | 1.13 ± 0.19 |
| hsa-miR-650 | 0.049 | 3.14 ± 1.12 | |
| hsa-miR-655 | 0.025 | 0.004 | 4.95 ± 2.20 |
| hsa-miR-661 | 0.001 | 0.015 | 1.99 ± 0.34 |
| hsa-miR-664 | 0.004 | 1.99 ± 0.36 | |
| hsa-miR-708 | 0.002 | 1.17 ± 0.23 | |
| hsa-miR-7-1 | 0.014 | 1.78 ± 0.32 | |
| hsa-miR-744-3p | 0.001 | 1.55 ± 0.15 | |
| hsa-miR-758 | 0.001 | 4.81 ± 2.65 | |
| hsa-miR-767-3p | 0.011 | 0.029 | 10.70 ± 4.58 |
| hsa-miR-885-5p | 0.021 | 0.003 | 8.35 ± 5.17 |
| hsa-miR-892b | 0.036 | 185.04 ± 156.31 | |
| hsa-miR-92a | 0.001 | 0.024 | 1.69 ± 0.38 |
| hsa-miR-92a-1-5p | 0.008 | 0.77 ± 0.16 | |
| hsa-miR-93-3p | 0.001 | 14.87 ± 7.51 | |
| hsa-miR-95 | 0.025 | 0.015 | 1.78 ± 0.84 |
| hsa-miR-99b-3p | 0.003 | 7.99 ± 1.78 |
| miRNA Predicted as Target for VEGF and with Decreased RFS | p Value (Kaplan Meier, Log Rank) | Dichotomized at | VEGF as Target of Identified miRNA Validated in Other Experiment, PMID | |||||||||
|---|---|---|---|---|---|---|---|---|---|---|---|---|
| hsa-mir-1 | 0.052 | 1 | 27777493 | 28493075 | 27541266 | |||||||
| hsa-mir-106a-5p | 0.028 | 1.4 | 18320040 | 23807165 | 18320040 | 17242205 | ||||||
| hsa-mir-1285-3p | 0.011 | 1 | ||||||||||
| hsa-mir-17-5p | 0.048 | 1 | 18320040 | |||||||||
| hsa-mir-186-5p | 0.000 | 1 | 27322147 | |||||||||
| hsa-mir-195-5p | 0.033 | 1 | 18320040 | 22473208 | 23592263 | 24398324 | 23446348 | 22012620 | 21572407 | 20371350 | 23468064 | 26823724 |
| hsa-mir-200b-3p | 0.000 | 2 | 21544626 | 28122882 | 25884496 | |||||||
| hsa-mir-202-3p | 0.000 | 2 | ||||||||||
| hsa-mir-206 | 0.000 | 1 | 27541266 | |||||||||
| hsa-mir-29c-3p | 0.039 | 2 | 20371350 | 23592263 | 21572407 | 27000664 | ||||||
| hsa-mir-302d-3p | 0.019 | 1 | 18320040 | |||||||||
| hsa-mir-373-3p | 0.003 | 0.5 | 18320040 | |||||||||
| hsa-mir-374a-5p | 0.003 | 0.5 | 23446348 | |||||||||
| hsa-mir-429 | 0.001 | 2 | 26647818 | |||||||||
| hsa-miR-494-3p | 0.001 | 1 | ||||||||||
| hsa-mir-516a-3p | 0.001 | 1 | ||||||||||
| hsa-mir-520c-3p | 0.001 | 1 | ||||||||||
| hsa-mir-548a-3p | 0.017 | 2 | ||||||||||
| hsa-mir-548c-3p | 0.019 | 1 | ||||||||||
| hsa-mir-571 | 0.004 | 1 | ||||||||||
| hsa-mir-590-3p | 0.001 | 1 | ||||||||||
| hsa-mir-645 | 0.013 | 1 | ||||||||||
| miRNA Predicted as Target for PTEN and with Decreased RFS | p-Value (Kaplan Meier, Log Rank) | Dichotomized at | PTEN as Target of Identified miRNA Validated in Other Experiment, PMID | |||||||||||
|---|---|---|---|---|---|---|---|---|---|---|---|---|---|---|
| hsa-mir-106a-5p | 0.028 | 1.4 | 28919047 | 24108762 | 26306906 | 26097565 | ||||||||
| hsa-mir-1183 | 0.002 | 1 | ||||||||||||
| hsa-mir-1255b-5p | 0.009 | 1 | ||||||||||||
| hsa-mir-1285-3p | 0.011 | 1 | ||||||||||||
| hsa-mir-1290 | 0.002 | 1 | ||||||||||||
| hsa-mir-136-5p | 0.000037 | 1 | ||||||||||||
| hsa-mir-146b-5p | 0.010 | 2 | ||||||||||||
| hsa-mir-17-5p | 0.048 | 1 | 20227518 | 20008935 | 21283765 | 20388916 | 23418359 | 24220575 | 24901013 | 24912422 | 24462867 | 22473208 | 23391506 | 23433743 |
| hsa-mir-181c-5p | 0.000055 | 2 | 25695913 | |||||||||||
| hsa-mir-186-5p | 0.000 | 1 | ||||||||||||
| hsa-mir-190b | 0.009 | 1 | 26692329 | |||||||||||
| hsa-mir-200b-3p | 0.000 | 2 | ||||||||||||
| hsa-mir-222-3p | 0.001 | 10 | 20618998 | 19962668 | 23028614 | 23974492 | 23994196 | 27644883 | ||||||
| hsa-mir-29c-3p | 0.039 | 2 | 23143395 | |||||||||||
| hsa-mir-302d-3p | 0.019 | 1 | ||||||||||||
| hsa-mir-32-5p | 0.001 | 2 | 23617834 | 22473208 | 24123284 | 23524257 | 28319142 | |||||||
| hsa-mir-337-5p | 0.024 | 2 | ||||||||||||
| hsa-miR-372-3p | 0.035 | 3 | ||||||||||||
| hsa-mir-373-3p | 0.003 | 0.5 | ||||||||||||
| hsa-mir-376a-3p | 0.015 | 3 | ||||||||||||
| hsa-mir-429 | 0.001 | 2 | 24866238 | |||||||||||
| hsa-miR-494-3p | 0.001 | 1 | 20006626 | 22544933 | 25662849 | |||||||||
| hsa-mir-520c-3p | 0.001 | 1 | ||||||||||||
| hsa-mir-539-5p | 0.008 | 1.50 | ||||||||||||
| hsa-mir-545-3p | 0.000266 | 2 | ||||||||||||
| hsa-mir-548a-3p | 0.017 | 2 | ||||||||||||
| hsa-mir-548c-3p | 0.019 | 1 | ||||||||||||
| hsa-mir-577 | 0.047 | 0.5 | ||||||||||||
| hsa-mir-590-3p | 0.001 | 1 | ||||||||||||
| hsa-mir-628-5p | 0.047 | 1 | ||||||||||||
| hsa-miR-758-3p | 0.026 | 0.3 | ||||||||||||
| hsa-mir-767-3p | 0.002 | 1 | ||||||||||||
| miRNA, Correlation with VEGF A | Kruskal–Wallis with Bonferroni Correction | n of Predicted miRNA Databases According to miRDIP |
|---|---|---|
| hsa-mir-142-3p | 0.011 | 6 |
| hsa-mir-142-5p | 0.015 | 4 |
| hsa-miR-155-3p | 0.038 | 3 |
| hsa-mir-193a-3p | 0.041 | 3 |
| hsa-mir-24-2-5p | 0.038 | 3 |
| hsa-miR-379-5p | 0.013 | 4 |
| hsa-miR-500a-5p | 0.018 | 3 |
| hsa-miR-630 | 0.047 | 4 |
| hsa-mir-942-5p | 0.037 | 12 |
| miRNA, Correlation with PTEN | ||
| hsa-miR-1-3p | 0.023 | 8 |
| hsa-miR-106a-5p | 0.05 | 18 |
| hsa-mir-17-5p | 0.043 | 18 |
| hsa-miR-190a-5p | 0.025 | 8 |
| hsa-miR-197-3p | 0.035 | 6 |
| hsa-miR-222-3p | 0.004 | 10 |
| hsa-miR-27b-3p | 0.046 | 8 |
| hsa-miR-372-3p | 0.048 | 13 |
| hsa-miR-381-3p | 0.024 | 6 |
| hsa-mir-508-3p | 0.016 | 8 |
| hsa-miR-642a-5p | 0.035 | 11 |
| Immunohistochemical Marker | Control Group, n of Cases (Percentage of Cases) | Adverse Clinical Outcome Group, n of Cases (Percentage of Cases) | Probability Value | |
|---|---|---|---|---|
| PTEN (cytoplasmic) | negative | 0 (0%) | 68 (54.8%) | 0.026 |
| weak/moderate/strong | 4 (3.2%) | 52 (41.9%) | ||
| VEGF A (cytoplasmic) | negative/weak | 52 (42.3%) | 16 (13%) | 0.025 |
| moderate/strong | 51 (41.5%) | 4 (2.2%) | ||
| Demographics | Groups | Patients Total (n = 125) | Patients ACO (n = 57) | Patients CG (n = 68) | Probability Value |
|---|---|---|---|---|---|
| age | age <48 | 69 (55.2%) | 32 (25.6%) | 37 (29.6%) | p <0.859 |
| age ≥48 | 56 (44.8%) | 25 (20.0%) | 31 (24.8%) | ||
| gender | male | 34 (27.2%) | 20 (16.0%) | 14 (11.2%) | p <0.106 |
| female | 91 (72.8%) | 37 (29.6%) | 54 (43.2%) | ||
| pT-stage | pT 1–2 | 55 (44.0%) | 18 (14.4%) | 37 (29.6%) | p <0.012 |
| pT 3–4 | 70 (56.0%) | 39 (31.2%) | 31 (24.8%) | ||
| TC | TC <10% | 77 (61.6%) | 21 (16.8%) | 56 (44.8%) | p <0.001 |
| TC >10% | 48 (38.4%) | 36 (28.8%) | 12 (9.6%) |
| Demographics | Groups | Patients Total (n) | Patients ACO (n = 29) | Patients CG (n = 15) | Probability Value |
|---|---|---|---|---|---|
| age | age < 48 | 21 (47.7%) | 15 (34.1%) | 6 (13.6%) | p < 0.535 |
| age ≥ 48 | 23 (52.3%) | 14 (31.8%) | 9 (20.5%) | ||
| gender | male | 16 (36.4%) | 11 (25%) | 5 (11.4%) | p < 1 |
| female | 28 (63.6%) | 18 (40.9%) | 10 (22.7%) | ||
| pT-stage | pT 1–2 | 8 (18.2%) | 5 (11.4%) | 3 (6.8%) | p < 1 |
| pT 3–4 | 36 (81.8%) | 24 (54.4%) | 12 (27.3%) | ||
| TC | TC <10% | 20 (45.5%) | 8 (18.2%) | 12 (27.3%) | p < 0.001 |
| TC >10% | 24 (54.5%) | 21 (47.7%) | 3 (6.8%) |
© 2019 by the authors. Licensee MDPI, Basel, Switzerland. This article is an open access article distributed under the terms and conditions of the Creative Commons Attribution (CC BY) license (http://creativecommons.org/licenses/by/4.0/).
Share and Cite
Boos, L.A.; Schmitt, A.; Moch, H.; Komminoth, P.; Simillion, C.; Marinoni, I.; Nikiforov, Y.E.; Nikiforova, M.N.; Perren, A.; Dettmer, M.S. MiRNAs Are Involved in Tall Cell Morphology in Papillary Thyroid Carcinoma. Cancers 2019, 11, 885. https://doi.org/10.3390/cancers11060885
Boos LA, Schmitt A, Moch H, Komminoth P, Simillion C, Marinoni I, Nikiforov YE, Nikiforova MN, Perren A, Dettmer MS. MiRNAs Are Involved in Tall Cell Morphology in Papillary Thyroid Carcinoma. Cancers. 2019; 11(6):885. https://doi.org/10.3390/cancers11060885
Chicago/Turabian StyleBoos, Laura A., Anja Schmitt, Holger Moch, Paul Komminoth, Cedric Simillion, Ilaria Marinoni, Yuri E. Nikiforov, Marina N. Nikiforova, Aurel Perren, and Matthias S. Dettmer. 2019. "MiRNAs Are Involved in Tall Cell Morphology in Papillary Thyroid Carcinoma" Cancers 11, no. 6: 885. https://doi.org/10.3390/cancers11060885
APA StyleBoos, L. A., Schmitt, A., Moch, H., Komminoth, P., Simillion, C., Marinoni, I., Nikiforov, Y. E., Nikiforova, M. N., Perren, A., & Dettmer, M. S. (2019). MiRNAs Are Involved in Tall Cell Morphology in Papillary Thyroid Carcinoma. Cancers, 11(6), 885. https://doi.org/10.3390/cancers11060885

