Multi-Sample Preparation Assay for Isolation of Nucleic Acids Using Bio-Silica with Syringe Filters
Abstract
1. Introduction
2. Experimental Section
2.1. Chemicals and Reagents
2.2. Instruments
2.3. Preparation of Amine-Functional DE
2.4. Biological Samples Cell Culture
2.5. Filter/Membrane-Based Pathogen Extraction NA
2.6. Filter/Membrane-Based Pathogen Enrichment and Extraction NA
2.7. Conventional and Real-Time PCR
3. Results and Discussion
3.1. Development of the Multiplex Enrichment, Extraction Method
3.2. Comparison of Amine-Functional Diatomaceous Earth (D-APDMS) Obtained via Two Methods and Optimization of Experimental Methods
3.3. Comparison of Two Types of Filter/Membrane Plate
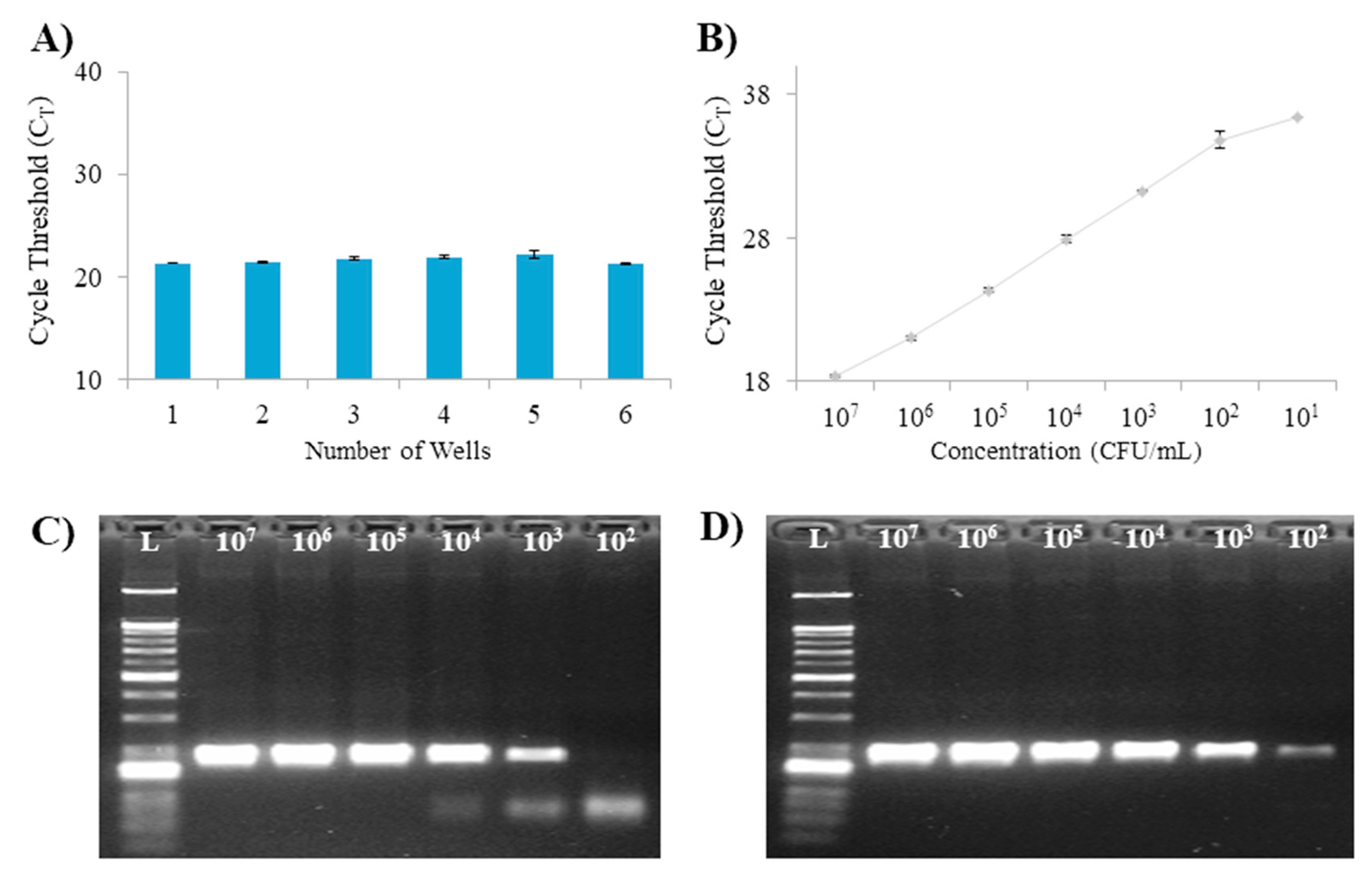
3.4. Accuracy and Suitability of Multiple Diagnostic Systems that Concentrate and Extract Multiple Samples at a Time
4. Conclusions
Author Contributions
Funding
Conflicts of Interest
References
- Allen, T.; Murray, K.A.; Zambrana-Torrelio, C.; Morse, S.S.; Rondinini, C.; Di Marco, M.; Breit, N.; Olival, K.J.; Daszak, P. Global hotspots and correlates of emerging zoonotic diseases. Nat. Commun. 2017, 8, 1124. [Google Scholar] [CrossRef] [PubMed]
- Liu, H.; Noh, G.S.; Luan, Y.; Qiao, Z.; Koo, B.; Jang, Y.O.; Shin, Y. A Sample Preparation Technique Using Biocompatible Composites for Biomedical Applications. Molecules 2019, 24, 1321. [Google Scholar] [CrossRef] [PubMed]
- Lindahl, J.F.; Grace, D. The consequences of human actions on risks for infectious diseases: A review. Infect. Ecol. Epidemiol. 2015, 5, 30048. [Google Scholar] [CrossRef] [PubMed]
- Koo, B.; Hong, K.H.; Jin, C.E.; Kim, J.Y.; Kim, S.H.; Shin, Y. Arch-shaped multiple-target sensing for rapid diagnosis and identification of emerging infectious pathogens. Biosens. Bioelectron. 2018, 119, 79–85. [Google Scholar] [CrossRef]
- Bloom, D.E.; Cadarette, D. Infectious Disease Threats in the Twenty-First Century: Strengthening the Global Response. Front Immunol. 2019, 10, 549. [Google Scholar] [CrossRef]
- Smiley Evans, T.; Shi, Z.; Boots, M.; Liu, W.; Olival, K.J.; Xiao, X.; Vandewoude, S.; Brown, H.; Chen, J.L.; Civitello, D.J.; et al. Synergistic China-US Ecological Research is Essential for Global Emerging Infectious Disease Preparedness. Ecohealth 2020, 17, 160–173. [Google Scholar] [CrossRef]
- Christaki, E. New technologies in predicting, preventing and controlling emerging infectious diseases. Virulence 2015, 6, 558–565. [Google Scholar] [CrossRef]
- Takátsy, G. The use of spiral loops in serological and virological micro-methods. Acta Microbiol. 1955, 3, 191–202. [Google Scholar] [CrossRef]
- Kumar, S.; Thakur, K.; Sharma, B.; Bhardwaj, T.R.; Prasad, D.N.; Singh, R.K. Recent Advances in Vaccine Development for the Treatment of Emerging Infectious Diseases. Indian J. Pharm. Educ. Res. 2019, 53, 343–354. [Google Scholar] [CrossRef]
- Oshima, K.H.; Evans-Strickfaden, T.T.; Highsmith, A.K.; Ades, E.W. The use of a microporous polyvinylidene fluoride (PVDF) membrane filter to separate contaminating viral particles from biologically important proteins. Biologicals 1996, 24, 137–145. [Google Scholar] [CrossRef]
- Ji, J.; Liu, F.; Hashim, N.A.; Abed, M.M.; Li, K. Poly (vinylidene fluoride)(PVDF) membranes for fluid separation. React. Funct. Polym. 2015, 86, 134–153. [Google Scholar] [CrossRef]
- Zhao, F.; Lee, E.Y.; Noh, G.S.; Shin, J.; Liu, H.; Qiao, Z.; Shin, Y. A robust, hand-powered, instrument-free sample preparation system for point-of-care pathogen detection. Sci. Rep. 2019, 9, 16374. [Google Scholar] [CrossRef] [PubMed]
- Losic, D.; Short, K.; Mitchell, J.G.; Lal, R.; Voelcker, N.H. AFM nanoindentations of diatom biosilica surfaces. Langmuir 2007, 23, 5014–5021. [Google Scholar] [CrossRef] [PubMed]
- Bozarth, A.; Maier, U.G.; Zauner, S. Diatoms in biotechnology: Modern tools and applications. Appl. Microbiol. Biotechnol. 2009, 82, 195–201. [Google Scholar] [CrossRef] [PubMed]
- Vrieling, E.G.; Beelen, T.P.; van Santen, R.A.; Gieskes, W.W. Diatom silicon biomineralization as an inspirational source of new approaches to silica production. J. Biotechnol. 1999, 70, 39–51. [Google Scholar] [CrossRef]
- Vasani, R.B.; Losic, D.; Cavallaro, A.; Voelcker, N.H. Fabrication of stimulus-responsive diatom biosilica microcapsules for antibiotic drug delivery. J. Mater. Chem. B 2015, 3, 4325–4329. [Google Scholar] [CrossRef]
- Aw, M.S.; Simovic, S.; Yu, Y.; Addai-Mensah, J.; Losic, D. Porous silica microshells from diatoms as biocarrier for drug delivery applications. Powder Technol. 2012, 223, 52–58. [Google Scholar] [CrossRef]
- Wang, Y.; Cai, J.; Jiang, Y.; Jiang, X.; Zhang, D. Preparation of biosilica structures from frustules of diatoms and their applications: Current state and perspectives. Appl. Microbiol. Biotechnol. 2013, 97, 453–460. [Google Scholar] [CrossRef]
- Gutiérrez Moreno, J.J.; Pan, K.; Wang, Y.; Li, W. A computational study of APTES surface functionalization of diatom-like amorphous SiO2 surfaces for heavy metal adsorption. Langmuir 2020, 36, 5680–5689. [Google Scholar] [CrossRef]
- Patil, P.; Madhuprasad; Bhat, M.P.; Gatti, M.G.; Kabiri, S.; Altalhi, T.; Jung, H.-Y.; Losic, D.; Kurkuri, M. Chemodosimeter functionalized diatomaceous earth particles for visual detection and removal of trace mercury ions from water. Chem. Eng. J. 2017, 327, 725–733. [Google Scholar] [CrossRef]
- Kumeria, T.; Bariana, M.; Altalhi, T.; Kurkuri, M.; Gibson, C.T.; Yang, W.; Losic, D. Graphene oxide decorated diatom silica particles as new nano-hybrids: Towards smart natural drug microcarriers. J. Mater. Chem. B 2013, 1, 6302–6311. [Google Scholar] [CrossRef] [PubMed]
- Huang, Y.-F.; Wang, Y.-F.; Yan, X.-P. Amine-functionalized magnetic nanoparticles for rapid capture and removal of bacterial pathogens. Environ. Sci. Technol. 2010, 44, 7908–7913. [Google Scholar] [CrossRef] [PubMed]
- Zhao, F.; Koo, B.; Liu, H.; Eun Jin, C.; Shin, Y. A single-tube approach for in vitro diagnostics using diatomaceous earth and optical sensor. Biosens. Bioelectron. 2018, 99, 443–449. [Google Scholar] [CrossRef] [PubMed]
- Zhao, F.; Lee, E.Y.; Shin, Y. Improved Reversible Cross-Linking-Based Solid-Phase RNA Extraction for Pathogen Diagnostics. Anal. Chem. 2018, 90, 1725–1733. [Google Scholar] [CrossRef] [PubMed]
- Abebe, E.; Gugsa, G.; Ahmed, M. Review on Major Food-Borne Zoonotic Bacterial Pathogens. J. Trop. Med. 2020. [Google Scholar] [CrossRef] [PubMed]
- Hermanson, G.T. Bioconjugate Techniques; Academic Press: Cambridge, MA, USA, 2013. [Google Scholar]
- Liu, H.; Zhao, F.; Jin, C.E.; Koo, B.; Lee, E.Y.; Zhong, L.; Yun, K.; Shin, Y. Large Instrument- and Detergent-Free Assay for Ultrasensitive Nucleic Acids Isolation via Binary Nanomaterial. Anal. Chem. 2018, 90, 5108–5115. [Google Scholar] [CrossRef]
- Xiao, T.; Zhou, L.; Sun, X.-Q.; Huang, F.; Lin, C.; Wang, L. Supramolecular polymers fabricated by orthogonal self-assembly based on multiple hydrogen bonding and macrocyclic host–guest interactions. Chin. Chem. Lett. 2020, 31, 1–9. [Google Scholar] [CrossRef]
- Ma, X.; Zhao, Y. Biomedical Applications of Supramolecular Systems Based on Host-Guest Interactions. Chem. Rev. 2015, 115, 7794–7839. [Google Scholar] [CrossRef]
- Lu, H.-T. Synthesis and characterization of amino-functionalized silica nanoparticles. Colloid J. 2013, 75, 311–318. [Google Scholar] [CrossRef]
- Coyne, S.R.; Craw, P.D.; Norwood, D.A.; Ulrich, M.P. Comparative analysis of the Schleicher and Schuell IsoCode Stix DNA isolation device and the Qiagen QIAamp DNA Mini Kit. J. Clin. Microbiol. 2004, 42, 4859–4862. [Google Scholar] [CrossRef]





| Samples | Targets | Seuqence (5′→3′) |
|---|---|---|
| B. ovis | O 223 | F: TGG CTC GGT TGC CAA TAT CAA |
| R: CGC GCT TGC CTT TCA GGT CTG | ||
| E. coli | rodA-105 | F: GCA AAC CAC CTT TGG TCG |
| R: CTG TGG GTG TGG ATT GAC AT |
| Concentration of E. coli | AD-DMP Filter (CT Value) | Column Based Kit (CT Value) |
|---|---|---|
| 107 CFU/mL | 18.31 ± 0.12 | 18.95 ± 0.02 |
| 106 CFU/mL | 21.04 ± 0.17 | 22.24 ± 0.10 |
| 105 CFU/mL | 24.35 ± 0.20 | 26.08 ± 0.07 |
| 104 CFU/mL | 27.88 ± 0.26 | 28.89 ± 0.02 |
| 103 CFU/mL | 31.28 ± 0.02 | 32.61 ± 0.47 |
| 102 CFU/mL | 34.82 ± 0.59 | 33.81 ± 0.75 |
| 101 CFU/mL | 36.45 ± 0.02 | - |
| 1 CFU/mL | - | - |
| Contents | Column-Based Kit [31] | Reported Single-Tube System [24] | Reported ADE-Filter System [12] | Multi-Filter Plate System |
|---|---|---|---|---|
| Number of sample available at once | One sample | One sample | One sample | 6 samples |
| Total time | <60 min For one sample | <60 min For one sample | <60 min For one sample | <60 min For multi samples |
| Pathogen enrichment | No | Yes | Yes | Yes |
| Level of difficulty | Easy | Medium | Medium | Easy |
| Cost | High | Low | Low | Low |
| Specificity | High | High | High | High |
| Sensitivity | 103 CFU/mL | 100 CFU/mL | 100 CFU/mL | 102 CFU/mL |
| Possibility of automation | Hard and meaningless | Hard and meaningless | Possible but meaningless | Possible |
© 2020 by the authors. Licensee MDPI, Basel, Switzerland. This article is an open access article distributed under the terms and conditions of the Creative Commons Attribution (CC BY) license (http://creativecommons.org/licenses/by/4.0/).
Share and Cite
Noh, G.S.; Liu, H.; Kim, M.G.; Qiao, Z.; Jang, Y.O.; Shin, Y. Multi-Sample Preparation Assay for Isolation of Nucleic Acids Using Bio-Silica with Syringe Filters. Micromachines 2020, 11, 823. https://doi.org/10.3390/mi11090823
Noh GS, Liu H, Kim MG, Qiao Z, Jang YO, Shin Y. Multi-Sample Preparation Assay for Isolation of Nucleic Acids Using Bio-Silica with Syringe Filters. Micromachines. 2020; 11(9):823. https://doi.org/10.3390/mi11090823
Chicago/Turabian StyleNoh, Geun Su, Huifang Liu, Myoung Gyu Kim, Zhen Qiao, Yoon Ok Jang, and Yong Shin. 2020. "Multi-Sample Preparation Assay for Isolation of Nucleic Acids Using Bio-Silica with Syringe Filters" Micromachines 11, no. 9: 823. https://doi.org/10.3390/mi11090823
APA StyleNoh, G. S., Liu, H., Kim, M. G., Qiao, Z., Jang, Y. O., & Shin, Y. (2020). Multi-Sample Preparation Assay for Isolation of Nucleic Acids Using Bio-Silica with Syringe Filters. Micromachines, 11(9), 823. https://doi.org/10.3390/mi11090823

