Micropillar/Microwell Chip Assessment for Detoxification of Bisphenol A with Korean Pear (Pyrus pyrifolia)
Abstract
1. Introduction
2. Materials and Methods
2.1. Materials
2.2. Cell Culture and Preparation
2.3. Preparation of the Micropillar Chip with Cells and the Microwell Chip with Compounds
2.4. Compound Exposure, Cell Staining, and Data Analysis
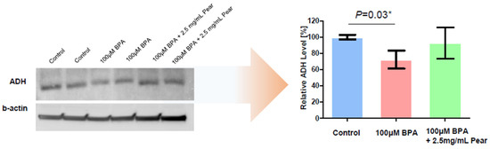
2.5. Western Blot Analyses
3. Results and Discussion
3.1. Cytotoxicity of BPA, Korean Pear Extract, and Arbutin
3.2. Changes in BPA Toxicity in the Presence of Korean Pear Extract or Arbutin
4. Conclusions
Author Contributions
Funding
Conflicts of Interest
References
- Hubrecht, R.C.; Carter, E. The 3Rs and humane experimental technique: Implementing change. Animals 2019, 9, 754. [Google Scholar] [CrossRef] [PubMed]
- Generaux, G.; Lakhani, V.V.; Yang, Y.; Nadanaciva, S.; Qiu, L.; Riccardi, K.; Di, L.; Howell, B.A.; Siler, S.Q.; Watkins, P.B. Quantitative systems toxicology (QST) reproduces species differences in PF-04895162 liver safety due to combined mitochondrial and bile acid toxicity. Pharm. Res. Perspect. 2019, 7, e00523. [Google Scholar] [CrossRef] [PubMed]
- Chen, C. Electrophilic Nature of Metabolic Reactive Intermediates. In Xenobiotic Metabolic Enzymes: Bioactivation and Antioxidant Defense; Springer: Cham, Switzerland, 2020; pp. 109–118. [Google Scholar]
- Patterson, A.D.; Gonzalez, F.J.; Perdew, G.H.; Peters, J.M. Molecular regulation of carcinogenesis: Friend and foe. Toxicol. Sci. 2018, 165, 277–283. [Google Scholar] [CrossRef] [PubMed]
- Yu, K.; Nadanaciva, S.; Rana, P.; Lee, D.W.; Ku, B.; Roth, A.D.; Dordick, J.S.; Will, Y.; Lee, M. Prediction of metabolism-induced hepatotoxicity on three-dimensional hepatic cell culture and enzyme microarrays. Arch. Toxicol. 2018, 92, 1295–1310. [Google Scholar] [CrossRef]
- Yu, K.; Kang, S.; Hong, S.; Lee, M. High-throughput metabolism-induced toxicity assays demonstrated on a 384-pillar plate. Arch. Toxicol. 2018, 92, 2501–2516. [Google Scholar] [CrossRef] [PubMed]
- Lee, D.W.; Oh, W.; Yi, S.H.; Ku, B.; Lee, M.; Cho, Y.H.; Yang, M. Estimation of Bisphenol A- human toxicity by 3D cell culture arrays, high throughput alternatives to animal tests. Toxicol. Lett. 2016, 259, 87–94. [Google Scholar] [CrossRef]
- Kwon, S.J.; Lee, D.W.; Shah, D.A.; Ku, B.; Jeon, S.Y.; Solanki, K.; Ryan, J.D.; Clark, D.S.; Dordick, J.S.; Lee, M. High-throughput and combinatorial gene expression on a chip for metabolism-induced toxicology screening. Nat. Commun. 2014, 5, 1–12. [Google Scholar] [CrossRef]
- Lee, M.Y.; Kumar, R.A.; Sukumaran, S.M.; Hogg, M.G.; Clark, D.S.; Dordick, J.S. Three-dimensional cellular microarray for high-throughput toxicology assays. Proc. Natl. Acad. Sci. USA 2008, 105, 59–63. [Google Scholar] [CrossRef]
- Lee, D.W.; Lee, M.; Ku, B.; Yi, S.H.; Ryu, J.; Jeon, R.; Yang, M. Application of the datachip/metachip technology for the evaluation of ajoene toxicity in vitro. Arch. Toxicol. 2014, 88, 283–290. [Google Scholar] [CrossRef]
- Vogel, S.A. The Politics of Plastics: The making and unmaking of bisphenol a “safety”. Am. J. Public Health 2009, 99, S559–S566. [Google Scholar] [CrossRef]
- Yang, M.; Ryu, J.; Jeon, R.; Kang, D.; Yoo, K. Effects of Bisphenol A on breast cancer and its risk factors. Arch. Toxicol. 2009, 83, 281–285. [Google Scholar] [CrossRef] [PubMed]
- EFSA Panel on Food Contact Materials, Enzymes, Flavourings and Processing Aids (CEF). Scientific Opinion on Bisphenol A: Evaluation of a Study Investigating its Neurodevelopmental Toxicity, Review of Recent Scientific Literature on its Toxicity and Advice on the Danish Risk Assessment of Bisphenol A. EFSA J. 2010, 8, 1829. [Google Scholar] [CrossRef]
- Völkel, W.; Colnot, T.; Csanády, G.A.; Filser, J.G.; Dekant, W. Metabolism and kinetics of Bisphenol A in humans at low doses following oral administration. Chem. Res. Toxicol. 2002, 15, 1281–1287. [Google Scholar] [CrossRef] [PubMed]
- Lee, H.; Isse, T.; Kawamoto, T.; Woo, H.; Kim, A.K.; Park, J.Y.; Yang, M. Effects and action mechanisms of korean pear (pyrus pyrifolia cv. shingo) on alcohol detoxification. Phytother. Res. 2012, 26, 1753–1758. [Google Scholar] [CrossRef] [PubMed]
- Lee, D.W.; Lee, M.; Ku, B.; Nam, D. Automatic 3D cell analysis in high-throughput microarray using micropillar and microwell chips. J. Biomol. Screen. 2015, 20, 1178–1184. [Google Scholar] [CrossRef]
- Montanez-Sauri, S.I.; Sung, K.E.; Berthier, E.; Beebe, D.J. Enabling screening in 3D microenvironments: Probing matrix and stromal effects on the morphology and proliferation of T47D breast carcinoma cells. Integr. Biol. 2013, 5, 631–640. [Google Scholar] [CrossRef] [PubMed]
- Choi, J.W.; Lee, S.; Lee, D.W. A cancer spheroid array chip for selecting effective drug. Micromachines 2019, 10, 688. [Google Scholar] [CrossRef]
- Adesanoye, O.A.; Abolaji, A.O.; Faloye, T.R.; Olaoye, H.O.; Adedara, A.O. Luteolin-supplemented diets ameliorates bisphenol a-induced toxicity in drosophila melanogaster. Food Chem. Toxicol. 2020, 142, 111478. [Google Scholar] [CrossRef]
- Baralić, K.; Živančević, K.; Javorac, D.; Djordjevic, A.B.; Anđelković, M.; Jorgovanović, D.; Miljaković, E.A.; Ćurčić, M.; Bulat, Z.; Antonijević, B. Multi-strain probiotic ameliorated toxic effects of phthalates and Bisphenol A mixture in wistar rats. Food Chem. Toxicol. 2020, 143, 111540. [Google Scholar]
- Sun, L.; Tao, S.; Zhang, S. Characterization and quantification of polyphenols and triterpenoids in thinned young fruits of ten pear varieties by UPLC-Q TRAP-MS/MS. Molecules 2019, 24, 159. [Google Scholar] [CrossRef]
- Heo, J. Donguibogam. 1613. Available online: https://mediclassics.kr/books/8/volume/21#content_756 (accessed on 2 October 2020).
- Min, T.S.; Park, M.J.; Moon, J.H.; Kim, W.S.; Lee, S.H.; Cho, Y.D.; Park, S.H. Bio-Active Substances and Physiological Activity of Pears. J. Appl. Biolo. Chem. 2013, 56, 83–87. [Google Scholar] [CrossRef]
- Kaluza, J.; Larsson, S.C.; Orsini, N.; Linden, A.; Wolk, A. Fruit and vegetable consumption and risk of COPD: A prospective cohort study of men. Thorax 2017, 72, 500–509. [Google Scholar] [CrossRef] [PubMed]
- Lee, H.; Isse, T.; Kawamoto, T.; Baik, H.W.; Park, J.Y.; Yang, M. Effect of Korean Pear (Pyruspyrifolia Cv. Shingo) Juice on Hangover Severity Following Alcohol Consumption. Food Chem. Toxicol. 2013, 58, 101–106. [Google Scholar] [CrossRef] [PubMed]
- Kim, S.; Gwon, D.; Kim, J.A.; Choi, H.; Jang, C. Bisphenol A disrupts mitotic progression via disturbing spindle attachment to kinetochore and centriole duplication in cancer cell lines. Toxicol. In Vitro 2019, 59, 115–125. [Google Scholar] [CrossRef] [PubMed]
- Go, G.; Lee, S.; Jo, A.; Lee, J.; Kang, J.; Yang, M.; Bae, G. Bisphenol A and estradiol impede myoblast differentiation through down-regulating AKT signaling pathway. Toxicol. Lett. 2018, 292, 12–19. [Google Scholar] [CrossRef]
- Park, Y.; Rahman, M.S.; Pang, W.; Ryu, D.; Kim, B.; Pang, M. Bisphenol A affects the maturation and fertilization competence of spermatozoa. Ecotoxicol. Environ. Saf. 2020, 196, 110512. [Google Scholar] [CrossRef]
- Ubuka, T.; Moriya, S.; Soga, T.; Parhar, I. Identification of transmembrane protease serine 2 and forkhead box A1 as the potential Bisphenol A responsive genes in the neonatal male rat brain. Front. Endocrinol. 2018, 9, 139. [Google Scholar] [CrossRef]
- Bonkhoff, H. Estrogen receptor signaling in prostate cancer: Implications for carcinogenesis and tumor progression. Prostate 2018, 78, 2–10. [Google Scholar] [CrossRef]
- Lee, S.Y.; Sung, J.H. Gut–liver on a chip toward an in vitro model of hepatic steatosis. Biotechnol. Bioeng. 2018, 115, 2817–2827. [Google Scholar] [CrossRef]






© 2020 by the authors. Licensee MDPI, Basel, Switzerland. This article is an open access article distributed under the terms and conditions of the Creative Commons Attribution (CC BY) license (http://creativecommons.org/licenses/by/4.0/).
Share and Cite
Lee, D.W.; Lee, M.-Y.; Koh, S.; Yang, M. Micropillar/Microwell Chip Assessment for Detoxification of Bisphenol A with Korean Pear (Pyrus pyrifolia). Micromachines 2020, 11, 922. https://doi.org/10.3390/mi11100922
Lee DW, Lee M-Y, Koh S, Yang M. Micropillar/Microwell Chip Assessment for Detoxification of Bisphenol A with Korean Pear (Pyrus pyrifolia). Micromachines. 2020; 11(10):922. https://doi.org/10.3390/mi11100922
Chicago/Turabian StyleLee, Dong Woo, Moo-Yeal Lee, Sukkil Koh, and Mihi Yang. 2020. "Micropillar/Microwell Chip Assessment for Detoxification of Bisphenol A with Korean Pear (Pyrus pyrifolia)" Micromachines 11, no. 10: 922. https://doi.org/10.3390/mi11100922
APA StyleLee, D. W., Lee, M.-Y., Koh, S., & Yang, M. (2020). Micropillar/Microwell Chip Assessment for Detoxification of Bisphenol A with Korean Pear (Pyrus pyrifolia). Micromachines, 11(10), 922. https://doi.org/10.3390/mi11100922
