Single Chain Antibody Fragment against Venom from the Snake Daboia russelii formosensis
Abstract
:1. Introduction
2. Results
2.1. Characterization of Anti-DRF IgY against DRF Proteins
2.2. Construction of Phage Libraries Displaying scFv Antibodies
2.3. Bio-Panning for Selecting Specific scFv Antibodies
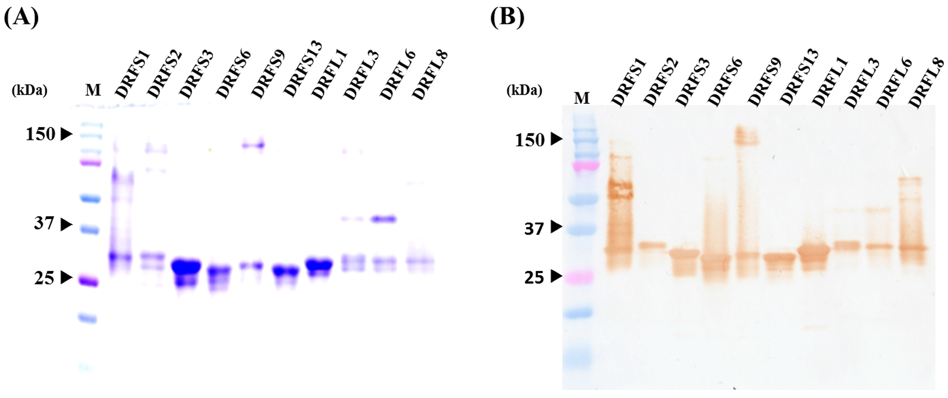
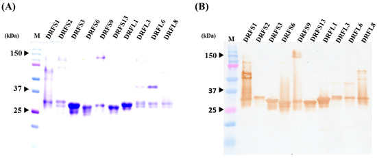
2.4. Sequence Analysis, Expression and Purification of scFv Antibodies
2.5. Specific Binding Assay of Selected scFv Antibodies
2.6. Competitive Inhibition Assay by ELISA
2.7. Mass Spectrometry Analysis of Bound DRF Proteins
2.8. In Vivo Neutralization Assay
3. Discussion
4. Materials and Methods
4.1. Animal Models
4.2. Chicken Immunization
4.3. Construction of Antibody Libraries
4.4. Bio-Panning for Selecting scFv Antibodies
4.5. Protein Expression and Purification of scFv Antibodies
4.6. Western Blotting
4.7. Enzyme-Linked Immunosorbent Assay (ELISA) and Competitive ELISA
4.8. Sequence Analysis of Selected scFv Antibodies
4.9. Mass Spectrometric Analysis
4.10. Neutralization Assay of Antibodies against DRF Proteins
4.11. Statistical Analyses
Acknowledgments
Author Contributions
Conflicts of Interest
References
- Warrell, D.A. Snake bite. Lancet 2010, 375, 77–88. [Google Scholar] [CrossRef]
- WHO/SEARO. Who/searo guidelines for the clinical management of snake bites in the Southeast Asian region. Southeast Asian J. Trop. Med. Public Health 1999, 30 (Suppl. 1), 1–85. [Google Scholar]
- Warrell, D.A. Snake venoms in science and clinical medicine. 1. Russell’s viper: Biology, venom and treatment of bites. Trans. R. Soc. Trop. Med. Hyg. 1989, 83, 732–740. [Google Scholar] [CrossRef]
- Mallow, D.; Ludwig, D.; Nilson, G. True Vipers: Natural History and Toxinology of Old World Vipers; Krieger Publishing Company: Malabar, FL, USA, 2003. [Google Scholar]
- Wüster, W.; Otsuka, S.; Malhotra, A.; Thorpe, R.S. Population systematics of Russell’s viper: A multivariate study. Biol. J. Linn. Soc. 1992, 47, 97–113. [Google Scholar] [CrossRef]
- Koh, D.C.; Armugam, A.; Jeyaseelan, K. Snake venom components and their applications in biomedicine. Cell. Mol. Life Sci. CMLS 2006, 63, 3030–3041. [Google Scholar] [CrossRef] [PubMed]
- Wang, Y.M.; Lu, P.J.; Ho, C.L.; Tsai, I.H. Characterization and molecular cloning of neurotoxic phospholipases A2 from Taiwan viper (Vipera russelli formosensis). Eur. J. Biochem. FEBS 1992, 209, 635–641. [Google Scholar] [CrossRef]
- Takeya, H.; Nishida, S.; Miyata, T.; Kawada, S.; Saisaka, Y.; Morita, T.; Iwanaga, S. Coagulation factor X activating enzyme from Russell’s viper venom (RVV-X). A novel metalloproteinase with disintegrin (platelet aggregation inhibitor)-like and C-type lectin-like domains. J. Boil. Chem. 1992, 267, 14109–14117. [Google Scholar]
- Chakrabarty, D.; Bhattacharyya, D.; Sarkar, H.S.; Lahiri, S.C. Purification and partial characterization of a haemorrhagin (VRH-1) from Vipera russelli russelli venom. Toxicon 1993, 31, 1601–1614. [Google Scholar] [CrossRef]
- Huang, M.Z.; Gopalakrishnakone, P.; Chung, M.C.; Kini, R.M. Complete amino acid sequence of an acidic, cardiotoxic phospholipase A2 from the venom of Ophiophagus hannah (King Cobra): A novel cobra venom enzyme with “pancreatic loop”. Arch. Biochem. Biophys. 1997, 338, 150–156. [Google Scholar] [CrossRef] [PubMed]
- Mukherjee, A.K. A major phospholipase A2 from Daboia russelii russelii venom shows potent anticoagulant action via thrombin inhibition and binding with plasma phospholipids. Biochimie 2014, 99, 153–161. [Google Scholar] [CrossRef] [PubMed]
- Gold, B.S.; Dart, R.C.; Barish, R.A. Bites of venomous snakes. N. Engl. J. Med. 2002, 347, 347–356. [Google Scholar] [CrossRef] [PubMed]
- Dias da Silva, W.; Tambourgi, D.V. IgY: A promising antibody for use in immunodiagnostic and in immunotherapy. Vet. Immunol. Immunopathol. 2010, 135, 173–180. [Google Scholar] [CrossRef] [PubMed]
- Schade, R.; Burger, W.; Schoneberg, T.; Schniering, A.; Schwarzkopf, C.; Hlinak, A.; Kobilke, H. [Avian egg yolk antibodies. The egg laying capacity of hens following immunisation with antigens of different kind and origin and the efficiency of egg yolk antibodies in comparison to mammalian antibodies]. ALTEX 1994, 11, 75–84. [Google Scholar] [PubMed]
- Mine, Y.; Kovacs-Nolan, J. Chicken egg yolk antibodies as therapeutics in enteric infectious disease: A review. J. Med. Food 2002, 5, 159–169. [Google Scholar] [CrossRef] [PubMed]
- Gassmann, M.; Thommes, P.; Weiser, T.; Hubscher, U. Efficient production of chicken egg yolk antibodies against a conserved mammalian protein. FASEB J. 1990, 4, 2528–2532. [Google Scholar] [PubMed]
- Kovacs-Nolan, J.; Mine, Y. Egg yolk antibodies for passive immunity. Annu. Rev. Food Sci. Technol. 2012, 3, 163–182. [Google Scholar] [CrossRef] [PubMed]
- Nilsson, E.; Larsson, A.; Olesen, H.V.; Wejaker, P.E.; Kollberg, H. Good effect of IgY against pseudomonas aeruginosa infections in cystic fibrosis patients. Pediatr. Pulmonol. 2008, 43, 892–899. [Google Scholar] [CrossRef] [PubMed]
- Lipman, N.S.; Jackson, L.R.; Trudel, L.J.; Weis-Garcia, F. Monoclonal versus polyclonal antibodies: Distinguishing characteristics, applications, and information resources. ILAR J. Natl. Res. Counc. Inst. Lab. Anim. Resour. 2005, 46, 258–268. [Google Scholar] [CrossRef]
- Carter, P.J. Potent antibody therapeutics by design. Nature reviews. Immunology 2006, 6, 343–357. [Google Scholar] [PubMed]
- Reichert, J.M.; Valge-Archer, V.E. Development trends for monoclonal antibody cancer therapeutics. Nat. Rev. Drug Discov. 2007, 6, 349–356. [Google Scholar] [CrossRef] [PubMed]
- Kulkeaw, K.; Sakolvaree, Y.; Srimanote, P.; Tongtawe, P.; Maneewatch, S.; Sookrung, N.; Tungtrongchitr, A.; Tapchaisri, P.; Kurazono, H.; Chaicumpa, W. Human monoclonal ScFv neutralize lethal Thai cobra, Naja kaouthia, neurotoxin. J. Proteom. 2009, 72, 270–282. [Google Scholar] [CrossRef] [PubMed]
- Rucavado, A.; Escalante, T.; Shannon, J.D.; Ayala-Castro, C.N.; Villalta, M.; Gutierrez, J.M.; Fox, J.W. Efficacy of IgG and F(ab′)2 antivenoms to neutralize snake venom-induced local tissue damage as assessed by the proteomic analysis of wound exudate. J. Proteome Res. 2012, 11, 292–305. [Google Scholar] [CrossRef] [PubMed]
- Pandey, S. Hybridoma technology for production of monoclonal antibodies. Int. J. Pharm. Sci. Rev. Res. 2010, 1, 88–94. [Google Scholar]
- Hammers, C.M.; Stanley, J.R. Antibody phage display: Technique and applications. J. Investig. Dermatol. 2014, 134, e17. [Google Scholar] [CrossRef] [PubMed]
- Holliger, P.; Hudson, P.J. Engineered antibody fragments and the rise of single domains. Nat. Biotechnol. 2005, 23, 1126–1136. [Google Scholar] [CrossRef] [PubMed]
- Finlay, W.J.; Shaw, I.; Reilly, J.P.; Kane, M. Generation of high-affinity chicken single-chain Fv antibody fragments for measurement of the pseudonitzschia pungens toxin domoic acid. Appl. Environ. Microbiol. 2006, 72, 3343–3349. [Google Scholar] [CrossRef] [PubMed]
- Park, K.J.; Park, D.W.; Kim, C.H.; Han, B.K.; Park, T.S.; Han, J.Y.; Lillehoj, H.S.; Kim, J.K. Development and characterization of a recombinant chicken single-chain Fv antibody detecting Eimeria acervulina sporozoite antigen. Biotechnol. Lett. 2005, 27, 289–295. [Google Scholar] [CrossRef] [PubMed]
- Friguet, B.; Chaffotte, A.F.; Djavadi-Ohaniance, L.; Goldberg, M.E. Measurements of the true affinity constant in solution of antigen-antibody complexes by enzyme-linked immunosorbent assay. J. Immunol. Methods 1985, 77, 305–319. [Google Scholar] [CrossRef]
- Searo, W. Guidelines on Management of Snake-Bites; Who Regional Office for South-East Asia: New Delhi, India, 2010. [Google Scholar]
- Navarro, D.; Vargas, M.; Herrera, M.; Segura, A.; Gomez, A.; Villalta, M.; Ramirez, N.; Williams, D.; Gutierrez, J.M.; Leon, G. Development of a chicken-derived antivenom against the taipan snake (Oxyuranus scutellatus) venom and comparison with an equine antivenom. Toxicon 2016, 120, 1–8. [Google Scholar] [CrossRef] [PubMed]
- Smith, G.P. Filamentous fusion phage: Novel expression vectors that display cloned antigens on the virion surface. Science 1985, 228, 1315–1317. [Google Scholar] [CrossRef] [PubMed]
- Shukra, A.M.; Sridevi, N.V.; Dev, C.; Kapil, M. Production of recombinant antibodies using bacteriophages. Eur. J. Microbiol. Immunol. 2014, 4, 91–98. [Google Scholar] [CrossRef] [PubMed]
- Finlay, W.J.; Bloom, L.; Cunningham, O. Phage display: A powerful technology for the generation of high specificity affinity reagents from alternative immune sources. Methods Mol. Biol. 2011, 681, 87–101. [Google Scholar] [PubMed]
- McCormack, W.T.; Tjoelker, L.W.; Thompson, C.B. Immunoglobulin gene diversification by gene conversion. Prog. Nucleic Acid Res. Mol. Biol. 1993, 45, 27–45. [Google Scholar] [PubMed]
- Gao, C.; Mao, S.; Kaufmann, G.; Wirsching, P.; Lerner, R.A.; Janda, K.D. A method for the generation of combinatorial antibody libraries using pix phage display. Proc. Natl. Acad. Sci. USA 2002, 99, 12612–12616. [Google Scholar] [CrossRef] [PubMed]
- Maynard, J.; Georgiou, G. Antibody engineering. Annu. Rev. Biomed. Eng. 2000, 2, 339–376. [Google Scholar] [CrossRef] [PubMed]
- Wu, L.; Oficjalska, K.; Lambert, M.; Fennell, B.J.; Darmanin-Sheehan, A.; Ni Shuilleabhain, D.; Autin, B.; Cummins, E.; Tchistiakova, L.; Bloom, L.; et al. Fundamental characteristics of the immunoglobulin VH repertoire of chickens in comparison with those of humans, mice, and camelids. J. Immunol. 2012, 188, 322–333. [Google Scholar] [CrossRef] [PubMed]
- Zemlin, M.; Klinger, M.; Link, J.; Zemlin, C.; Bauer, K.; Engler, J.A.; Schroeder, H.W., Jr.; Kirkham, P.M. Expressed murine and human CDR-H3 intervals of equal length exhibit distinct repertoires that differ in their amino acid composition and predicted range of structures. J. Mol. Boil. 2003, 334, 733–749. [Google Scholar] [CrossRef]
- Reynaud, C.A.; Dahan, A.; Anquez, V.; Weill, J.C. Somatic hyperconversion diversifies the single VH gene of the chicken with a high incidence in the D region. Cell 1989, 59, 171–183. [Google Scholar] [CrossRef]
- Parvari, R.; Ziv, E.; Lantner, F.; Heller, D.; Schechter, I. Somatic diversification of chicken immunoglobulin light chains by point mutations. Proc. Natl. Acad. Sci. USA 1990, 87, 3072–3076. [Google Scholar] [CrossRef] [PubMed]
- Gearhart, P.J.; Bogenhagen, D.F. Clusters of point mutations are found exclusively around rearranged antibody variable genes. Proc. Natl. Acad. Sci. USA 1983, 80, 3439–3443. [Google Scholar] [CrossRef] [PubMed]
- Wei, Y.H.; Chen, C.S.; Su, J.C. Recent advances in molecular and biochemical research on proteins. In Proceedings of the IUBMB Symposium on Protein Structure and Function, Taipei, Taiwan, 24–25 November 1992; World Scientific: Singapore, 1993. [Google Scholar]
- Wang, Y.M.; Wang, S.R.; Tsai, I.H. Serine protease isoforms of deinagkistrodon acutus venom: Cloning, sequencing and phylogenetic analysis. Biochem. J. 2001, 354, 161–168. [Google Scholar] [CrossRef] [PubMed]
- Magalhães, G.S. Serine proteases—Cloning, expression and potential applications. In An Integrated View of the Molecular Recognition and Toxinology—From Analytical Procedures to Biomedical Applications; InTech: Rijeka, Croatia, 2013. [Google Scholar]
- Schneider, C.A.; Rasband, W.S.; Eliceiri, K.W. Nih image to imagej: 25 years of image analysis. Nat. Methods 2012, 9, 671–675. [Google Scholar] [CrossRef] [PubMed]
- Kini, R.M. Anticoagulant proteins from snake venoms: Structure, function and mechanism. Biochem. J. 2006, 397, 377–387. [Google Scholar] [CrossRef] [PubMed]
- Tsai, I.H.; Lu, P.J.; Su, J.C. Two types of russell’s viper revealed by variation in phospholipases A2 from venom of the subspecies. Toxicon 1996, 34, 99–109. [Google Scholar] [CrossRef]
- Saikia, D.; Thakur, R.; Mukherjee, A.K. An acidic phospholipase A(2) (RVVA-PLA(2)-I) purified from daboia russelli venom exerts its anticoagulant activity by enzymatic hydrolysis of plasma phospholipids and by non-enzymatic inhibition of factor Xa in a phospholipids/ca(2+) independent manner. Toxicon 2011, 57, 841–850. [Google Scholar] [CrossRef] [PubMed]
- Saikia, D.; Bordoloi, N.K.; Chattopadhyay, P.; Choklingam, S.; Ghosh, S.S.; Mukherjee, A.K. Differential mode of attack on membrane phospholipids by an acidic phospholipase A(2) (RVVA-PLA(2)-I) from daboia russelli venom. Biochim. Biophys. Acta 2012, 1818, 3149–3157. [Google Scholar] [CrossRef] [PubMed]
- Perbandt, M.; Tsai, I.H.; Fuchs, A.; Banumathi, S.; Rajashankar, K.R.; Georgieva, D.; Kalkura, N.; Singh, T.P.; Genov, N.; Betzel, C. Structure of the heterodimeric neurotoxic complex Viperotoxin F (RV-4/RV-7) from the venom of Vipera russelli formosensis at 1.9 Å resolution. Acta Crystallogr. Sect. D Biol. Crystallogr. 2003, 59, 1679–1687. [Google Scholar] [CrossRef]
- Ming-Yi, L.; Ruey-Jen, H. Toxoids and antivenoms of venomous snakes in Taiwan. Toxin Rev. 1997, 16, 163–175. [Google Scholar] [CrossRef]
- Akita, E.M.; Nakai, S. Production and purification of Fab′ fragments from chicken egg yolk immunoglobulin Y (IgY). J. Immunol. Methods 1993, 162, 155–164. [Google Scholar] [CrossRef]
- Akita, E.M.; Nakai, S. Comparison of four purification methods for the production of immunoglobulins from eggs laid by hens immunized with an enterotoxigenic E. coli strain. J. Immunol. Methods 1993, 160, 207–214. [Google Scholar] [CrossRef]
- Andris-Widhopf, J.; Rader, C.; Steinberger, P.; Fuller, R.; Barbas, C.F., 3rd. Methods for the generation of chicken monoclonal antibody fragments by phage display. J. Immunol. Methods 2000, 242, 159–181. [Google Scholar] [CrossRef]








| Groups | Short Linker | Long Linker | ||||
|---|---|---|---|---|---|---|
| VL | VH | Percentage | VL | VH | Percentage | |
| Group 1 | 1, 4, 7, 8, 12, 14, 15 | 1, 4, 7, 8, 12, 14, 15 | 46.67% | 1, 2, 4, 5, 11, 15 | 1, 2, 4, 5, 11, 15 | 40% |
| Group 2 | 2, 5 | 2, 5 | 13.33% | 3, 9, 10 | 3, 9, 10 | 20% |
| Group 3 | 3, 10, 11 | 3, 9, 10, 11, 13 | 20% | 6, 7, 12 | 6, 7, 12 | 20% |
| Group 4 | 6 | 6 | 6.67% | 8, 13, 14 | 8, 13, 14 | 20% |
| Group 5 | 9 | 6.67% | ||||
| Group 6 | 13 | 6.67% | ||||
| Region | CDR1 | CDR2 | CDR3 | Total CDRs | FR1 | FR2 | FR3 | FR4 | Total FRs |
|---|---|---|---|---|---|---|---|---|---|
| VL | 13~54% | 0~57% | 22~80% | 17~58% | 5~15% | 6~25% | 9~25% | 0% | 9~14% |
| VH | 40% | 31~61% | 50~100% | 40~73% | 7~20% | 0~14% | 6~19% | 0% | 7~13% |
© 2017 by the authors. Licensee MDPI, Basel, Switzerland. This article is an open access article distributed under the terms and conditions of the Creative Commons Attribution (CC BY) license (http://creativecommons.org/licenses/by/4.0/).
Share and Cite
Lee, C.-H.; Lee, Y.-C.; Lee, Y.-L.; Leu, S.-J.; Lin, L.-T.; Chen, C.-C.; Chiang, J.-R.; Mwale, P.F.; Tsai, B.-Y.; Hung, C.-S.; et al. Single Chain Antibody Fragment against Venom from the Snake Daboia russelii formosensis. Toxins 2017, 9, 347. https://doi.org/10.3390/toxins9110347
Lee C-H, Lee Y-C, Lee Y-L, Leu S-J, Lin L-T, Chen C-C, Chiang J-R, Mwale PF, Tsai B-Y, Hung C-S, et al. Single Chain Antibody Fragment against Venom from the Snake Daboia russelii formosensis. Toxins. 2017; 9(11):347. https://doi.org/10.3390/toxins9110347
Chicago/Turabian StyleLee, Chi-Hsin, Yu-Ching Lee, Yueh-Lun Lee, Sy-Jye Leu, Liang-Tzung Lin, Chi-Ching Chen, Jen-Ron Chiang, Pharaoh Fellow Mwale, Bor-Yu Tsai, Ching-Sheng Hung, and et al. 2017. "Single Chain Antibody Fragment against Venom from the Snake Daboia russelii formosensis" Toxins 9, no. 11: 347. https://doi.org/10.3390/toxins9110347
APA StyleLee, C.-H., Lee, Y.-C., Lee, Y.-L., Leu, S.-J., Lin, L.-T., Chen, C.-C., Chiang, J.-R., Mwale, P. F., Tsai, B.-Y., Hung, C.-S., & Yang, Y.-Y. (2017). Single Chain Antibody Fragment against Venom from the Snake Daboia russelii formosensis. Toxins, 9(11), 347. https://doi.org/10.3390/toxins9110347

