Abstract
Microcystin-LR (MC-LR) has been detected extensively in the aquatic environment and has the potential to disturb the thyroid endocrine system. However, limited information is available on the effects of subacute MC-LR exposure on fish thyroid hormone (TH) metabolism. In the present study, juvenile zebrafish (Danio rerio) were exposed to MC-LR at environmentally relevant concentrations (0, 1, 5, and 25 μg/L) for 28 days. Whole-body TH content and thyroid follicle histology were used as direct endpoints to assess thyroid disruption. The activities of iodothyronine deiodinases (IDs) and the transcription of selected genes associated with TH synthesis were also investigated to study the underlying mechanisms of endocrine disruption. Exposure of zebrafish to MC-LR significantly increased whole-body thyroxine (T4) content but decreased whole-body triiodothyronine (T3) content. We also observed hypertrophy and hyperplasia of the thyroid follicle epithelial cells, as well as up-regulation of corticotropin-releasing hormone (CRH), thyroid-stimulating hormone (TSH), thyroid peroxidase (TPO), and transthyretin (TTR) genes. The decreases in ID1 and ID2 activities coupled with an increase in ID3 activity were observed in MC-LR treatment groups. These results demonstrate that exposure to MC-LR at environmental concentrations results in the disturbance of TH homeostasis by disrupting the synthesis and conversion of THs.
1. Introduction
Cyanobacterial blooms occur constantly worldwide and have been regarded as a serious environmental issue [1]. A potentially hazardous consequence of cyanobacterial blooms is the production of several kinds of cyanotoxins. The microcystins (MCs) are the most commonly identified toxins in freshwater blooms [2]. Despite the identification of nearly 80 structurally different MCs, microcystin-LR (MC-LR) is recognized as being the most toxic and is distributed worldwide in freshwater environments [3,4]. Although a few studies have reported that maximal dissolved MCs concentration reached to 78 μg/L [5], the environmental concentration of dissolved MCs during most cyanobacterial blooms in lakes usually range from 0.1 to 10 μg/L [6]. Of particular relevance is MC exposure in fish as they are very important components of aquatic ecosystems. Fish are easily exposed to MCs through ingestion of cyanobacterial cells or through contact with the surrounding water passively [7].
Microcystins exert profound impacts on fish, including the inhibition of growth [8], reproductive injury [9], hepatotoxic effects [10,11], kidney damage [12], as well as physiological and biochemical changes [13,14]. In recent years, studies have confirmed that MCs could disrupt endocrine systems in fish [15,16,17]. Exposure to MCs resulted in a significant up-regulation of the expression of mRNA for proopiomelanocortin and vitellogenin in zebrafish [17,18]. In addition, a few studies have shown that MCs could alter thyroid hormone (TH) levels and the expression of genes involved in the hypothalamic-pituitary-thyroid (HPT) axis in fish [15,16]. In most cases, TH homeostasis had been implicated as an important biomarker for detecting disruption of the thyroid endocrine system [19,20]. Although MC-LR can disturb the normal physiological processes of thyroid hormone metabolism in fish, the mechanisms underlying the changes in TH levels is still unclear.
The thyroid endocrine system is primarily controlled by the HPT axis, which is responsible for regulating TH dynamics by coordinating their synthesis, transport, and metabolism [21]. Synthesis of TH occurs in the thyroid follicle and thyroxine (T4) is the main hormone secreted. Corticotropin-releasing hormone (CRH) stimulates thyroid-stimulating hormone (TSH) secretion and regulates TH synthesis [22]. During this processes, thyroid peroxidase (TPO), a crucial enzyme for formation of T4 [23] and transthyretin (TTR), a specific TH transport protein in fish [24] also play key roles in TH metabolism. The conversion of T4 to triiodothyronine (T3), the biologically active form of the hormone, is catalyzed by the iodothyronine deiodinases (IDs) in the peripheral tissues [25]. The IDs play a crucial role in the metabolism and action of THs. Three types of ID have been described in fish, type I iodothyronine deiodinase (ID1), type II iodothyronine deiodinase (ID2), and type III iodothyronine deiodinase (ID3), which control the conversion of T4 to the more active T3 or to the inactive reverse triiodothyronine (rT3) and diiodothyronine (T2) [26].
Previous studies have demonstrated that environmental contaminants can affect the thyroid endocrine system at different sites, including TH synthesis, TH transport, and modification of ID activity [27,28,29]. The activity of IDs is a sensitive biomarker for thyroid disruption in fish that have been exposed to environmental contaminants [30,31]. To date, no studies have investigated the effects of MCs on ID activity, despite the observed changes in ID gene expression in fish exposed to sub-lethal or lethal doses of MC-LR [16]. However, changes at genes transcription level may not really reflect the variations at a functional level. Therefore, it is necessary to study the functional molecules i.e., the enzymes in the cells of the organisms to make realistic conclusions [32]. In addition, the concentrations of MCs applied in previous studies of the effects of MCs on thyroid hormone disruption are rarely observed in nature. Thus, juvenile zebrafish were treated with environmentally relevant concentrations of MC-LR in order to determine whether this exposure had the potential for disruption of the thyroid system. The concentrations of T4 and T3, as well as the levels of physiologically relevant free thyroxine (FT4) and free triiodothyronine (FT3), were measured by enzyme-linked immunosorbent assay (ELISA). The changes of nuclear size in thyroid follicle epithelial cells, the activities of IDs and the expression of several genes involved in TH biosynthesis and transport were measured. The analysis of this combination of factors involved in TH metabolism allows for a more complete assessment of the mechanisms of thyroid disruption in juvenile zebrafish exposed to MC-LR.
2. Results
2.1. Whole-Body Thyroid Hormone Levels
Whole-body T4 concentration was significantly increased in the 25 μg/L MC-LR exposure group as compared to the control group after 14 days of exposure. After 21 days of exposure, the T4 concentration was significantly increased in all of the MC-LR exposure groups. The T4 concentration gradually returned to control level in all of the exposure groups after 28 days of exposure (Figure 1A). However, there were no significant differences in the FT4 levels among MC-LR treatment groups (Figure 1B).
Whole-body T3 concentration was significantly decreased in the groups exposed to 5 or 25 μg/L MC-LR for 21 days, and to 25 μg/L MC-LR for 28 days (Figure 1C). The concentration of FT3 was significantly decreased after exposure to 5 and 25 μg/L MC-LR for 21 days, or to 25 μg/L MC-LR for 7, 14, and 28 days (Figure 1D).
Subacute exposure of MC-LR significantly decreased the whole-body contents of FT3 and T3. The significant fluctuations in FT4, however, did not occur in all groups, whereas the significant transient increase in T4 level was observed in the MC-LR treatment groups.

Figure 1.
Whole-body content of (A) thyroxine (T4); (B) free thyroxine (FT4); (C) triiodothyronine (T3); and (D) free triiodothyronine (FT3) in juvenile zebrafish after exposure to different concentrations of microcystin-LR (MC-LR) (0, 1, 5, and 25 μg/L) for 7, 14, 21, and 28 days. The values are expressed as mean ± SD (n = 3). Significant differences obtained by one-way ANOVA followed by least significant difference (LSD) test are indicated between control and exposed groups, * p < 0.05, ** p < 0.01.
2.2. Histopathology
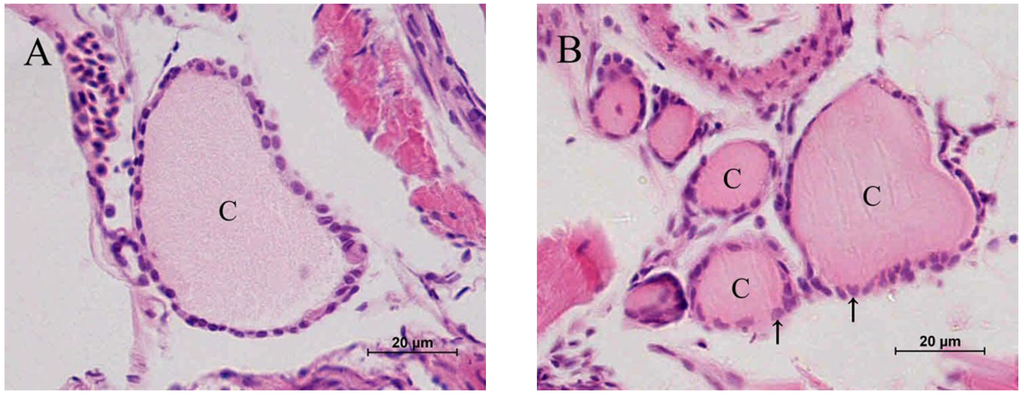
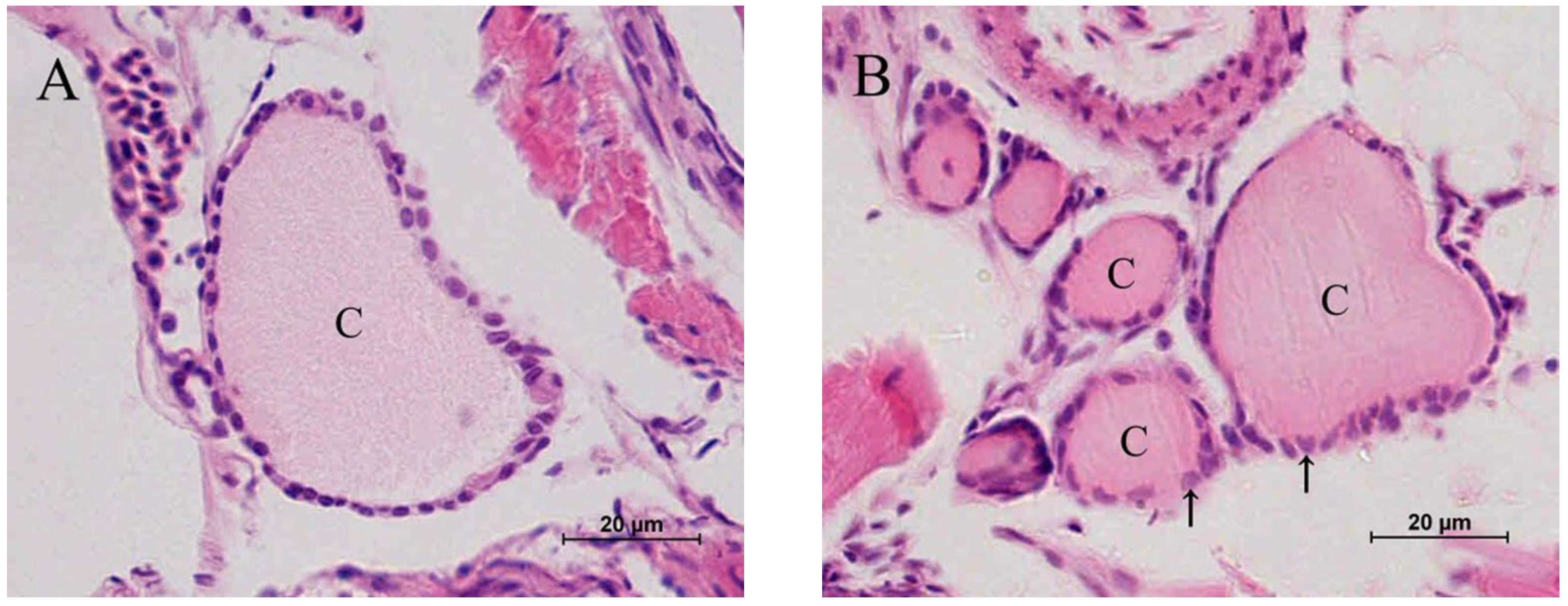
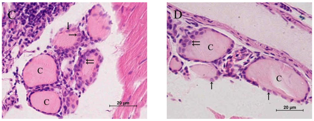
The control fish presented oval thyroid follicles consisting of an outer thyroid epithelial layer surrounding an inner lumen filled with colloid (Figure 2A). In fish treated with 1 μg/L MC-LR, the thyroid follicles had clear morphological alterations (Figure 2B). The analysis of nuclear size revealed that MC-LR significantly induced nuclear hypertrophy (Figure 2B, Figure 2C, and Figure 2D: single arrows and Figure 3). Similar results were also found in fish treated with 5 and 25 μg/L MC-LR, and hyperplasia of the thyroid follicle epithelial cells were observed (Figure 2C and Figure 2D: double arrows). Moreover, the percent of hyperplasia follicles in juvenile zebrafish indicated the significant hyperplasia in the 5 and 25 μg/L MC-LR treatment groups after 28 days of exposure (Figure 4).
The morphological results showed that hypertrophy and hyperplasia of the thyroid follicle epithelial cells of juvenile zebrafish suffered from the subacute exposure of MC-LR.

Figure 2.
The effects of exposure to different concentrations of microcystin-LR (MC-LR) for 28 days on the histological structure of thyroid follicles in juvenile zebrafish; (A) Control; (B) 1 μg/L MC-LR; (C) 5 μg/L MC-LR; and (D) 25 μg/L MC-LR, (C in figures = colloid; single arrows = hypertrophy; double arrows = hyperplasia).
Figure 3.
Thyroid follicle cell nuclear size following exposure of juvenile zebrafish to microcystin-LR (MC-LR) for 28 days (n = 3). Long and short nuclear diameters were used to estimate the cross-sectional area of at least 35 follicle cell nuclei per fish. Significant differences obtained by one-way ANOVA followed by least significant difference (LSD) test are indicated between control and exposed groups, ** p < 0.01.
Figure 4.
Percent of hyperplasia follicles in juvenile zebrafish exposed to microcystin-LR (MC-LR) for 28 days (n = 3). Significant differences obtained by one-way ANOVA followed by least significant difference (LSD) test are indicated between control and exposed groups, * p < 0.05, ** p < 0.01.
2.3. Gene Transcription Profile
The transcription of the CRH gene in the 25 μg/L MC-LR treatment group was significantly increased after seven days of exposure. Moreover, after 14, 21, and 28 days of exposure, a significant increase in the transcription of CRH was detected in all of the MC-LR treatment groups (Figure 5A).
Figure 5.
Transcript abundance for (A) corticotropin-releasing hormone (CRH); (B) thyroid-stimulating hormone (TSH); (C) thyroid peroxidase (TPO); and (D) transthyretin (TTR) in juvenile zebrafish after exposure to different concentrations of microcystin-LR (MC-LR) (0, 1, 5, and 25 μg/L) for 7, 14, 21, and 28 days. The values are expressed as mean ± SD (n = 3). Significant differences obtained by one-way ANOVA followed by least significant difference (LSD) test are indicated between control and exposed groups, * p < 0.05, ** p < 0.01.
The transcription of TSH was significantly increased at 14 day in the 1 μg/L MC-LR treatment group. In the 5 and 25 μg/L MC-LR treatment groups, the transcription of TSH was significantly increased at 14, 21, and 28 days (Figure 5B).
A significant increase in TPO transcript abundance was observed in all of the MC-LR treatment groups after 7 and 21 days of exposure. After 14 and 28 days exposure, distinct increases were seen in the 5 and 25 μg/L MC-LR treatment groups (Figure 5C).
Treatment with the high dose of MC-LR (25 μg/L) significantly increased TTR mRNA levels compared with the control group after 14, 21, and 28 days of exposure. Moreover, in the 1 and 5 μg/L MC-LR treatment groups, the transcription of TTR was also significantly increased at 21 days (Figure 5D).
In sum, subacute exposure to MC-LR, especially in the 5 or 25 μg/L MC-LR treatment groups, caused a significant up-regulation of the genes involving TH synthesis.
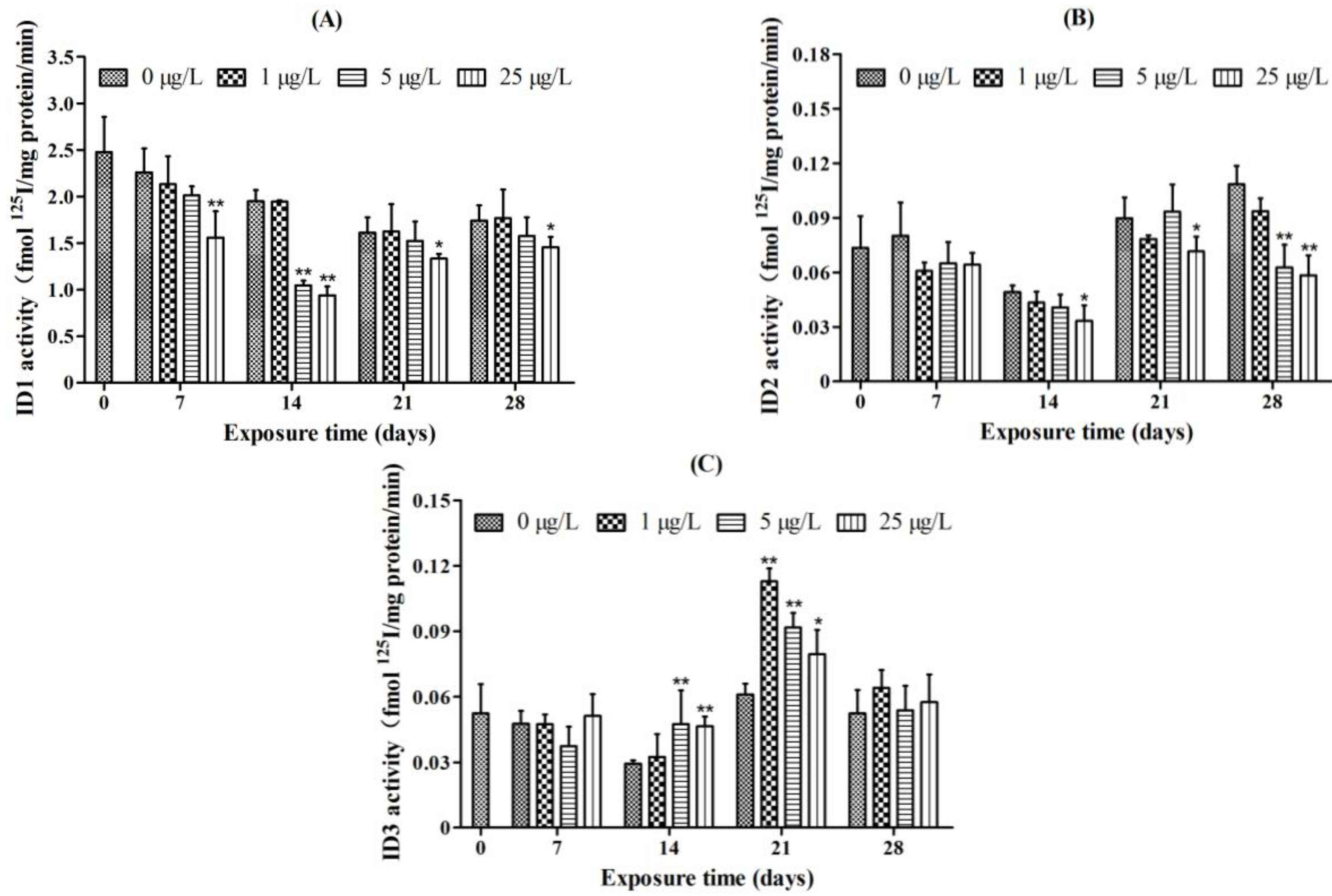
2.4. Iodothyronine Deiodinase Activities
The activity of ID1 was significantly decreased in the 25 μg/L MC-LR treatment group after exposure for 7, 21, and 28 days. After exposure for 14 days, ID1 activity was significantly decreased in both the 5 and 25 μg/L MC-LR treatment groups (Figure 6A).
Figure 6.
The activity of (A) type I iodothyronine deiodinase (ID1); (B) type II iodothyronine deiodinase (ID2); and (C) type III iodothyronine deiodinase (ID3) in juvenile zebrafish after exposure to different concentrations of microcystin-LR (MC-LR) (0, 1, 5, and 25 μg/L) for 7, 14, 21, and 28 days. The values are expressed as mean ± SD (n = 3). Significant differences obtained by one-way ANOVA followed by least significant difference (LSD) test are indicated between control and exposed groups, * p < 0.05, ** p < 0.01.
The activity of ID2 was significantly decreased in the 25 μg/L MC-LR treatment group after 14 and 21 days of exposure. After 28 days of exposure, ID2 activity was significantly decreased in both the 5 and 25 μg/L MC-LR treatment groups (Figure 6B).
The significant increase in ID3 activity was observed in the 5 and 25 μg/L MC-LR treatment groups after 14 days of exposure. After 21 days of exposure, ID3 activity was significantly increased in all of the MC-LR treatment groups (Figure 6C).
In short, subacute exposure of MC-LR reduced the activities of both ID1 and ID2. ID3 activity, however, was increased in the zebrafish exposure to MC-LR.
3. Discussion
In this study, treatment with environmentally relevant concentrations of MC-LR significantly altered whole-body T4 and T3 levels, the enzymatic activities of IDs, and the transcription of selected genes associated with TH synthesis. In addition, the histological changes were also observed in thyroid follicle epithelial cells. Thus, our results suggest that juvenile zebrafish exposed to environmentally relevant concentrations of MC-LR suffer physiological stress. The stress response may be implicated in the observed disruption of thyroid hormones metabolism.
The changes in both TH levels and thyroid follicle histology have typically been used as direct endpoints to assess thyroid disruption in previous studies [33]. In this study, a significant increase in T4 level and decrease in T3 level were observed after the exposure of MC-LR. Treatment with MC-LR for 14, and 21 days significantly increased whole-body T4 concentration, however, no significant change in the level of T4 was observed after exposure for 7, and 28 days. Compare with a minor transient increase in T4 level, T3, and FT3 significantly decreased at each sample day. It seems that MC-LR exerts deleterious effect on T3 production. In fish, T4 was the only thyroid hormone secreted in the thyroid follicle [34]. A decrease in T3 levels is mostly due to a decline in T4 production or changes in peripheral TH metabolism [15]. Our results suggest that the decrease in T3 levels is possibly due to the changes in peripheral TH deiodination or metabolism. IDs are crucial regulators of the concentrations of peripheral circulating THs in fish. Each ID can catalyze the removal of iodine atoms from either the outer or inner ring of THs, converting these hormones to more or less active forms. Both ID1 and ID2 are capable of converting T4 into T3, whereas ID3 is an inactivating enzyme which converts T4 and T3 to rT3 and T2, respectively [26]. Both ID1 and ID2 activities were significantly decreased in the 5 and 25 μg/L MC-LR treatment groups. Since ID1 catalyzes the conversion of T4 into T3, its decrease would contribute to a reduction in T3 level. ID2 exclusively catalyzes outer-ring deiodination of TH and plays a pivotal role in the production of T3 [23]. Therefore, decrease in ID2 activity primarily contributes to the decline of T3 levels. Except the disruption of the enzymatic TH activation pathway and the production of T3, the inactivation pathways of TH degradation were also affected by MC-LR. ID3 activity was significantly increased after MC-LR administration for 14 or 21 days. ID3 plays a vital role in TH degradation, catalyzing the conversion of T4 to rT3 and of T3 to T2. A rise in ID3 activity can result in a decrease in T3 level. The observed changes in the activities of all three IDs could contribute to reduced T3 level in MC-LR treatments, especially in the 5 and 25 μg/L MC-LR treatment groups. MC-LR can alter the IDs activities, which in turn cause a decline in T3 production.
Previous studies have reported that acute exposure of MC-LR led to the decrease of T3 and T4 concentrations in zebrafish embryo [16]. However, the T4 concentration was significantly increased at 14 day and 21 day of MC-LR exposure. And at the end of the exposure, compared to the control group, the concentration of T4 did not change in the treatment group. This result may be attributed to compensation regulated by the HPT axis. Unlike the mammalian thyroid endocrine system, the fish thyroid endocrine system is not centrally driven by the HPT axis [35]. In fish, CRH is regarded as a common regulator of the thyroid and adrenal/interrenal axes, controlling both ACTH and TSH release [22]. In the present study, both CRH and TSH gene transcription were significantly up-regulated after MC-LR exposure. An elevation in CRH production usually triggers an increase in TSH secretion, resulting in hypertrophy and hyperplasia of the thyroid tissue [36,37]. Changes in the level of TSH mRNA related to an altered T4 level have been reported in fish [38]. The synthesis and release of TH from the thyroid follicle is stimulated by TSH [39], and both T4 and T3 have negative feedback effects on TSH secretion by the pituitary in fish [40]. Therefore, the increased mRNA expressions of CRH and TSH are attributed to the negative feedback from the hypothalamus and pituitary due to the decreased levels of T3 [41]. In turn, the increase in CRH and TSH mRNA expressions might lead to an elevated synthesis of T4 in thyroid follicle. Moreover, a hyper-stimulation of thyroid follicle was observed in juvenile zebrafish after MC-LR exposure, indicating that the excessive TSH stimulates thyroid and results in hypertrophy and hyperplasia of the thyroid follicle epithelial cells. The hypertrophy of the thyroid follicle epithelial cells was also observed in 1 μg/L MC-LR treatment group. Thus, except for the negative feedback regulation, the stress response was induced by MC-LR may contribute to the increase of CRH and TSH level, leading to a hyper-stimulation of thyroid follicle [15,42]. Comparing the concentration-course patterns of hypertrophy and hyperplasia, the hypertrophy was observed in all of the MC-LR treatment groups after 28 days of exposure. However, the hyperplasia only occurred at higher concentrations of MC-LR. Liu et al. suggests that hypertrophy is a sensitive histopathological indicators to thyroid hormone disruption [43]. Given the significant hypertrophy observed in this study, it is inferred that thyroid hormone disruption occurred in juvenile zebrafish exposed to environmentally relevant concentrations of MC-LR. In addition, our results showed the non-linear dose-response relationship in the changes of T4 as well as other hormones. Compared with the acute exposure, the concentrations in this study are relatively low. Especially in the 1 or 5 μg/L MC-LR exposure group, MC-LR did not cause the serious damage to fish. Thus, fish may have ability to adapt the stress caused by MC-LR through their feedback regulation system [44,45], and frequently show non-linear dose-response relationship.
The regulatory mechanisms involving in TH synthesis are complex and act at several steps in the thyroid system. TPO is a crucial enzyme for the formation of T4. Increased activity of TPO has been associated with an increase in T4 production [46]. Thus, it seems that the up-regulation of TPO gene transcription after exposure to MC-LR could be a possible mechanism for the increased levels of T4.
Transthyretin (TTR) has been reported as a TH-binding and transport protein in fish [24], which can non-covalently bind most THs in the blood and regulate free TH levels [47,48]. It plays a key role in maintaining the peripheral storage of TH and regulates the supply of TH to different target tissues [49,50]. The differences in the results of TH and free TH levels may be attributable to the changes in the mRNA expression of TTR induced by MC-LR. The decreased T3 levels and up-regulation in TTR mRNA expression in this study appeared to lead to a more serious decreased in FT3 levels in this study. The differences in the results of T4 and FT4 levels may be also attributable to the elevated expression of TTR induced by MC-LR. Free TH may represent the diffusible and physiologically relevant TH fractions in the blood because the bound TH could not enter cells to elicit a response [44]. Thus, the significant decrease in FT3 level indicates that the juvenile zebrafish are in a hypothyroidism state after exposure to environmentally relevant concentrations of MC-LR.
4. Materials and Methods
4.1. Chemicals and Fish
Microcystin-LR (MC-LR, purity ≥95%) was purchased from Enzo Life Sciences (Lausen, Switzerland). Healthy 1-month-old juvenile zebrafish (Danio rerio) used in this study originated from the Institute of Hydrobiology, Chinese Academy of Sciences, Wuhan, China. All other chemicals used in this study were analytical grade.
4.2. Experimental Design
The stock solution of MC-LR was prepared by dissolving the toxin in dimethyl sulfoxide (DMSO, Sigma-Aldrich, St. Louis, MO, USA). A range of different concentrations for exposure (0, 1, 5, and 25 μg/L) were prepared by diluting the stock solution into dechlorinated tap water. The final concentration of DMSO in aquarium water for control and treatment groups was 0.001% (v/v).
Fish were maintained in glass tanks with dechlorinated tap water at a constant temperature (25 °C ± 1 °C) under a 14 h light/10 h dark photoperiod for 15 days in our laboratory before the start of the exposure. During the experimental exposure, fish were distributed randomly across forty-eight glass tanks (20 fish/tank) and assigned to the following treatments: three tanks for each of the exposure concentrations (0, 1, 5, and 25 μg/L MC-LR) exposed for 7, 14, 21, and 28 days, respectively. One third of the exposure solution in each tank was renewed with fresh solution containing the appropriate concentration of MC-LR every day. A commercial ELISA kit for microcystin-LR detection purchased from J & Q Environmental Technologies Co., Ltd. was used to monitor the MC-LR concentration in the tanks. The MC-LR concentration in each tank was measured, respectively, after 0, 3, 6, 9, 14, 21, and 28 days exposure. The results indicated that there were no significant differences between the target doses and measured MC-LR concentrations in the tanks during the experimental period (Table 1). The control group received 0.001% (v/v) DMSO with no MC-LR. Less than 10% mortality was observed in all of the treatments during experimentation.
Table 1.
Measure concentrations of microcystin-LR (MC-LR) in the solutions.
| Items | MC-LR concentrations (μg/L) | |||
|---|---|---|---|---|
| Target doses of MC-LR | control | 1.0 | 5.0 | 25.0 |
| Measured MC-LR in solutions | 0.00 | 0.88 ± 0.06 | 4.30 ± 0.35 | 23.29 ± 0.79 |
Data are denoted as mean ± SD.
Fish from the control and treatment tanks were sampled on experimental days 0, 7, 14, 21, and 28. The sampled fish in each experimental group were anesthetized with tricaine methanesulfonate (MS222, Sigma-Aldrich, St. Louis, MO, USA), and the heads were severed from nine fish (3 fish/tank) and fixed in Bouin’s fixative for histological examination. The rest of whole fish were immediately frozen in liquid nitrogen and stored at −80 °C for further analysis.
4.3. Thyroid Hormone Extraction and Measurement
Thyroid hormone measurement was performed as described by Yu et al. [23]. The whole-body concentrations of T4, FT4, T3, and FT3 were measured using commercial ELISA kits purchased from Beijing North Institute of Biotechnology, Beijing, China. The ELISAs for T4, FT4, T3, and FT3 were validated for use with zebrafish samples by demonstrating parallelism between a series of diluted and spiked samples in relation to the standard curve. The assay sensitivities were 12.8 nmol/L, 1.08 pmol/L, 0.38 nmol/L, and 0.38 pmol/L, for T4, FT4, T3, and FT3, respectively.
4.4. Histology
After fixation in Bouin’s fixative for 48 hours, the samples were washed in water and stored in 70% ethanol. The zebrafish heads were embedded in paraffin and serial transverse cross-sections (5 μm) were made using a microtome (Leica RM 2135, Heidelberg, Germany). Dewaxed and rehydrated sections were stained with hematoxylin and eosin. The size of the nucleus of the thyroid follicle cells was assessed quantitatively by measuring the long and short diameters of the cell nuclei. In one tank, 3 fish were used to analysis the histology of thyroid follicles. Thus, total 9 fish were randomly selected from each exposure group in three replicate tanks. The size of at least 35 thyroid follicle cell nuclei, from a total of 7 follicles (5 cells per follicle) from each fish, was determined using a Nikon 80i Microscope (Nikon, Tokyo, Japan). The nuclear size was calculated based on the formula for an ellipse (long diameter × short diameter × π/4) [37]. In addition, the number of thyroid follicles with characteristics of hyperplasia were counted to calculate the percent of hyperplasia follicles [43]. Photographs were taken with NIS-Element BR 3.0 software (Nikon Instruments Inc., Melville, NY, USA).
4.5. Gene Expression
4.5.1. RNA Extraction and Reverse Transcription
Total RNA was extracted from the whole body of juvenile zebrafish using RNAiso Plus (TaKaRa, Dalian, China). The RNA quality in each sample was assessed from the A260/280 ratio, as well as by 1% agarose formaldehyde gel electrophoresis. The concentration of RNA was determined using a Nanodrop 2000C Spectrophotometer (Thermo Scientific, Waltham, MA, USA). The removal of genomic DNA and the reverse transcription reaction were performed using the PrimeScript® RT reagent Kit with gDNA Eraser (TaKaRa, Dalian, China) following the manufacturer’s instructions.
Table 2.
Primers used for the quantification of the mRNA expression by real-time PCR.
| Gene | Sequence of the primers (5ʹ→3ʹ) | Genbank accession No. |
|---|---|---|
| GAPDH | F: CTGGTGACCCGTGCTGCTT | NM001115114 |
| R: TTTGCCGCCTTCTGCCTTA | ||
| CRH | F: TTCGGGAAGTAACCACAAGC | NM001007379 |
| R: CTGCACTCTATTCGCCTTCC | ||
| TSH | F: GCAGATCCTCACTTCACCTACC | AY135147 |
| R: GCACAGGTTTGGAGCATCTCA | ||
| TPO | F: GCGCTTGGAACACAGTATCA | EU267076 |
| R: CTTCAGCACCAAACCCAAAT | ||
| TTR | F: CGGGTGGAGTTTGACACTTT | BC081488 |
| R: GCTCAGAAGGAGAGCCAGTG |
Abbreviations: GAPDH, glyceraldehyde-phosphate dehydrogenase; CRH, corticotropin-releasing hormone; TSH, thyroid-stimulating hormone; TPO, thyroid peroxidase; TTR, transthyretin.
4.5.2. Real-Time PCR
Real-time PCR was performed in a Rotor-Gene 6000 Rotary Analyzer (Qiagen, Hilden, Germany) using SYBR® Premix Ex Taq™ II (TaKaRa, Dalian, China). The forward and reverse primer sequences are listed in Table 2. The mRNA expression level of each target gene was normalized to glyceraldehyde-phosphate dehydrogenase (GAPDH) mRNA expression. The GAPDH gene was chosen as the internal control as the mRNA expression of GAPDH did not vary between control and treatment exposure groups. The thermal cycling conditions were as follows: An initial denaturation step at 95 °C for 30 s, followed by 35 cycles of 95 °C for 5 s, 55 °C for 30 s, and 72 °C for 30 s. All of the samples were analyzed in triplicate. Dissociation curve analysis was performed for each gene to check the specificity of PCR products. The mRNA expression level of each gene was calculated by the 2−ΔΔCt method [51].
4.6. Deiodinase Activity Assays
Whole juvenile zebrafish were homogenized in buffer solution (0.01 M PBS, 1 mM DTT, 2 mM EDTA, pH 7.0) and centrifuged at 12,000× g for 20 min at 4 °C. The protein content of the supernatant was determined using a Bradford Protein Assay (Bio-Rad, Hercules, CA, USA). The ID activities in the supernatants were measured as previously described [52,53]. The activity of ID1 was measured by incubating 200 μL of homogenate at 37 °C for 120 min with 50,000 cpm of 125I-rT3, 0.1 μM unlabeled rT3, and 15 mM DTT in 200 μL of 0.01 M PBS (pH 7.0). The activity of ID2 was measured by incubating 200 μL of homogenate at 37 °C for 120 min with 50,000 cpm of 125I-T4, 1 nM unlabeled T4, and 30 mM DTT in 200 μL of 0.01 M PBS (pH 7.0). The activity of ID3 was measured by incubating 200 μL of homogenate at 37 °C for 120 min with 150,000 cpm of 125I-T3, 1 nM unlabeled T3, and 30 mM DTT in 200 μL of 0.01 M PBS (pH 7.0). All reactions were stopped with the successive addition of 200 μL of 5% (w/v) bovine serum albumin (Sigma-Aldrich, St. Louis, MO, USA) and 400 μL of 10% (w/v) trichloroacetic acid at 4 °C. Each mixture was centrifuged at 3500× g for 30 min, and the radioactivity in the supernatant was counted using a GC-911 γ-counter (Zhong Jia, Tianjin, China). In the blank controls, 0.01 M PBS was used instead of the homogenate and the procedures were performed as described above. The ID activities were calculated using the following formula:
In which SCc is sample counts minus blank counts and SA is total moles of TH (rT3, T4, or T3) in the incubation solution divided by total counts. Therefore, the units of iodothyronine deiodinase activity are expressed as fmol I− released/mg protein per min.
4.7. Statistical Analysis
All data analyses were performed using SPSS 16.0 software (SPSS, Chicago, IL, USA). The differences between the control group and each treatment group were evaluated by one way analysis of variance (ANOVA) followed by the least significant difference (LSD) test where differences were found. A value of p < 0.05 was considered statistically significant. All the data were expressed as the mean ± standard deviation (SD).
5. Conclusions
In conclusion, our results demonstrate that the stress response induced by MC-LR significantly alters the activities of iodothyronine deiodinases and cause a drop in T3 levels in juvenile zebrafish. Moreover, the hyper-stimulation of TH synthesis and secretion, including the hypertrophy and hyperplasia of the thyroid follicle epithelial cells, the elevations in T4 levels as well as the up-regulated genes involved in TH synthesis, can be mainly regard as the negative feedback from the hypothalamus and pituitary due to the decreased levels of T3. Taken together, these results reveal the potential disruption of MC-LR on the metabolism of thyroid hormones in juvenile zebrafish, led to a hypothyroidism state after exposure to environmentally relevant concentrations of MC-LR.
Acknowledgments
This study was supported by the Twelfth 5-year National Key Science and Technology Research Program of China (Project no. 2012BAD25B01), the National Natural Foundation of China (Project no. 30970529), the Fundamental Research Funds for the Central Universities (Project no. 2013PY024), the Natural Science Foundation of Hubei Province of China (Project no. 2012FFA029), and the Earmarked Fund for China Agriculture Research System (Project no. CARS-46).
Author Contributions
Zidong Liu wrote this manuscript text. Dapeng Li and Rong Tang designed the experiments. Zidong Liu, Qing Hu, and Ying Wang carried out the experiments and analyzed the data. All authors reviewed the manuscript.
Conflicts of Interest
The authors declare no conflict of interest.
References
- De Figueiredo, D.R.; Azeiteiro, U.M.; Esteves, S.M.; Gonçalves, F.J.; Pereira, M.J. Microcystin-producing blooms—A serious global public health issue. Ecotoxicol. Environ. Saf. 2004, 59, 151–163. [Google Scholar] [CrossRef] [PubMed]
- Kondo, F.; Ito, Y.; Oka, H.; Yamada, S.; Tsuji, K.; Imokawa, M.; Niimi, Y.; Harada, K.-I.; Ueno, Y.; Miyazaki, Y. Determination of microcystins in lake water using reusable immunoaffinity column. Toxicon 2002, 40, 893–899. [Google Scholar] [CrossRef] [PubMed]
- Codd, G.A.; Morrison, L.F.; Metcalf, J.S. Cyanobacterial toxins: Risk management for health protection. Toxicol. Appl. Pharmacol. 2005, 203, 264–272. [Google Scholar] [CrossRef] [PubMed]
- Luckas, B.; Dahlmann, J.; Erler, K.; Gerdts, G.; Wasmund, N.; Hummert, C.; Hansen, P. Overview of key phytoplankton toxins and their recent occurrence in the north and baltic seas. Environ. Toxicol. 2005, 20, 1–17. [Google Scholar] [CrossRef] [PubMed]
- Zimba, P.V.; Khoo, L.; Gaunt, P.S.; Brittain, S.; Carmichael, W.W. Confirmation of catfish, Ictalurus punctatus (Rafinesque), mortality from microcystis toxins. J. Fish Dis. 2001, 24, 41–47. [Google Scholar] [CrossRef]
- Jiang, J.; Gu, X.; Song, R.; Wang, X.; Yang, L. Microcystin-LR induced oxidative stress and ultrastructural alterations in mesophyll cells of submerged macrophyte Vallisneria natans (Lour.) Hara. J. Hazard. Mater. 2011, 190, 188–196. [Google Scholar] [CrossRef] [PubMed]
- Malbrouck, C.; Kestemont, P. Effects of microcystins on fish. Environ. Toxicol. Chem. 2006, 25, 72–86. [Google Scholar] [PubMed]
- Zhao, M.; Xie, S.; Zhu, X.; Yang, Y.; Gan, L.; Song, L. Effect of inclusion of blue-green algae meal on growth and accumulation of microcystins in gibel carp (Carassius auratus gibelio). J. Appl. Ichthyol. 2006, 22, 72–78. [Google Scholar] [CrossRef]
- Ding, X.-S.; Li, X.-Y.; Duan, H.-Y.; Chung, I.-K.; Lee, J. Toxic effects of Microcystis cell extracts on the reproductive system of male mice. Toxicon 2006, 48, 973–979. [Google Scholar] [CrossRef] [PubMed]
- Gupta, U.S.; Guha, S. Microcystin toxicity in a freshwater fish, Heteropneustes fossilis (Bloch). Curr. Sci. 2006, 91, 1261–1271. [Google Scholar]
- Li, L.; Xie, P.; Chen, J. In vivo studies on toxin accumulation in liver and ultrastructural changes of hepatocytes of the phytoplanktivorous bighead carp i.p.-injected with extracted microcystins. Toxicon 2005, 46, 533–545. [Google Scholar] [CrossRef] [PubMed]
- Fischer, W.J.; Dietrich, D.R. Pathological and biochemical characterization of microcystin-induced hepatopancreas and kidney damage in carp (Cyprinus carpio). Toxicol. Appl. Pharmacol. 2000, 164, 73–81. [Google Scholar] [CrossRef] [PubMed]
- Malbrouck, C.; Trausch, G.; Devos, P.; Kestemont, P. Hepatic accumulation and effects of microcystin-LR on juvenile goldfish Carassius auratus L. Comp. Biochem. Physiol. Part C: Toxicol. Pharmacol. 2003, 135, 39–48. [Google Scholar] [CrossRef]
- Zhang, X.; Xie, P.; Li, D.; Shi, Z. Hematological and plasma biochemical responses of crucian carp (Carassius auratus) to intraperitoneal injection of extracted microcystins with the possible mechanisms of anemia. Toxicon 2007, 49, 1150–1157. [Google Scholar] [CrossRef] [PubMed]
- Li, D.; Xie, P.; Zhang, X. Changes in plasma thyroid hormones and cortisol levels in crucian carp (Carassius auratus) exposed to the extracted microcystins. Chemosphere 2008, 74, 13–18. [Google Scholar] [PubMed]
- Yan, W.; Zhou, Y.; Yang, J.; Li, S.; Hu, D.; Wang, J.; Chen, J.; Li, G. Waterborne exposure to microcystin-LR alters thyroid hormone levels and gene transcription in the hypothalamic-pituitary-thyroid axis in zebrafish larvae. Chemosphere 2012, 87, 1301–1307. [Google Scholar] [CrossRef] [PubMed]
- Rogers, E.D.; Henry, T.B.; Twiner, M.J.; Gouffon, J.S.; McPherson, J.T.; Boyer, G.L.; Sayler, G.S.; Wilhelm, S.W. Global gene expression profiling in larval zebrafish exposed to microcystin-LR and microcystis reveals endocrine disrupting effects of cyanobacteria. Environ. Sci. Technol. 2011, 45, 1962–1969. [Google Scholar] [CrossRef] [PubMed]
- Li, G.; Chen, J.; Xie, P.; Jiang, Y.; Wu, L.; Zhang, X. Protein expression profiling in the zebrafish (Danio rerio) embryos exposed to the microcystin-LR. Proteomics 2011, 11, 2003–2018. [Google Scholar] [CrossRef] [PubMed]
- Zaccaroni, A.; Gamberoni, M.; Mandrioli, L.; Sirri, R.; Mordenti, O.; Scaravelli, D.; Sarli, G.; Parmeggiani, A. Thyroid hormones as a potential early biomarker of exposure to 4-nonylphenol in adult male shubunkins (Carassius auratus). Sci. Total Environ. 2009, 407, 3301–3306. [Google Scholar] [CrossRef] [PubMed]
- Zhou, T.; John-Alder, H.; Weis, J.; Weis, P. Endocrine disruption: Thyroid dysfunction in mummichogs (Fundulus heteroclitus) from a polluted habitat. Mar. Environ. Res. 2000, 50, 393–397. [Google Scholar] [CrossRef] [PubMed]
- Chen, Q.; Yu, L.; Yang, L.; Zhou, B. Bioconcentration and metabolism of decabromodiphenyl ether (BDE-209) result in thyroid endocrine disruption in zebrafish larvae. Aquat. Toxicol. 2012, 110–111, 141–148. [Google Scholar] [CrossRef] [PubMed]
- De Groef, B.; van der Geyten, S.; Darras, V.M.; Kühn, E.R. Role of corticotropin-releasing hormone as a thyrotropin-releasing factor in non-mammalian vertebrates. Gen. Comp. Endocrinol. 2006, 146, 62–68. [Google Scholar]
- Yu, L.; Deng, J.; Shi, X.; Liu, C.; Yu, K.; Zhou, B. Exposure to DE-71 alters thyroid hormone levels and gene transcription in the hypothalamic-pituitary-thyroid axis of zebrafish larvae. Aquat. Toxicol. 2010, 97, 226–233. [Google Scholar] [CrossRef] [PubMed]
- Morgado, I.; Santos, C.R.A.; Jacinto, R.; Power, D.M. Regulation of transthyretin by thyroid hormones in fish. Gen. Comp. Endocrinol. 2007, 152, 189–197. [Google Scholar] [CrossRef] [PubMed]
- Liu, S.; Chang, J.; Zhao, Y.; Zhu, G. Changes of thyroid hormone levels and related gene expression in zebrafish on early life stage exposure to triadimefon. Environ. Toxicol. Pharmacol. 2011, 32, 472–477. [Google Scholar] [CrossRef] [PubMed]
- Orozco, A.; Valverde, R.C. Thyroid hormone deiodination in fish. Thyroid 2005, 15, 799–813. [Google Scholar] [CrossRef] [PubMed]
- Li, W.; Zha, J.; Spear, P.A.; Li, Z.; Yang, L.; Wang, Z. Changes of thyroid hormone levels and related gene expression in Chinese rare minnow (Gobiocypris rarus) during 3-amino-1,2,4-triazole exposure and recovery. Aquat. Toxicol. 2009, 92, 50–57. [Google Scholar] [CrossRef] [PubMed]
- Ishihara, A.; Sawatsubashi, S.; Yamauchi, K. Endocrine disrupting chemicals: Interference of thyroid hormone binding to transthyretins and to thyroid hormone receptors. Mol. Cell. Endocrinol. 2003, 199, 105–117. [Google Scholar] [CrossRef] [PubMed]
- Jin, Y.; Chen, R.; Wang, L.; Liu, J.; Yang, Y.; Zhou, C.; Liu, W.; Fu, Z. Effects of metolachlor on transcription of thyroid system-related genes in juvenile and adult japanese medaka (Oryzias latipes). Gen. Comp. Endocrinol. 2011, 170, 487–493. [Google Scholar] [CrossRef] [PubMed]
- Picard-Aitken, M.; Fournier, H.; Pariseau, R.; Marcogliese, D.J.; Cyr, D.G. Thyroid disruption in walleye (Sander vitreus) exposed to environmental contaminants: Cloning and use of iodothyronine deiodinases as molecular biomarkers. Aquat. Toxicol. 2007, 83, 200–211. [Google Scholar] [CrossRef] [PubMed]
- Scholz, S.; Mayer, I. Molecular biomarkers of endocrine disruption in small model fish. Mol. Cell. Endocrinol. 2008, 293, 57–70. [Google Scholar] [CrossRef] [PubMed]
- Pavagadhi, S.; Balasubramanian, R. Toxicological evaluation of microcystins in aquatic fish species: Current knowledge and future directions. Aquat. Toxicol. 2013, 142, 1–16. [Google Scholar] [CrossRef] [PubMed]
- Liu, Y.; Wang, J.; Fang, X.; Zhang, H.; Dai, J. The thyroid-disrupting effects of long-term perfluorononanoate exposure on zebrafish (Danio rerio). Ecotoxicology 2011, 20, 47–55. [Google Scholar] [CrossRef] [PubMed]
- Eales, J.; Brown, S. Measurement and regulation of thyroidal status in teleost fish. Rev. Fish Biol. Fish. 1993, 3, 299–347. [Google Scholar] [CrossRef]
- Noyes, P.D.; Hinton, D.E.; Stapleton, H.M. Accumulation and debromination of decabromodiphenyl ether (BDE-209) in juvenile fathead minnows (Pimephales promelas) induces thyroid disruption and liver alterations. Toxicol. Sci. 2011, 122, 265–274. [Google Scholar] [CrossRef] [PubMed]
- Ramsden, J. Angiogenesis in the thyroid gland. J. Endocrinol. 2000, 166, 475–480. [Google Scholar] [CrossRef] [PubMed]
- Patino, R.; Wainscott, M.R.; Cruz-Li, E.I.; Balakrishnan, S.; McMurry, C.; Blazer, V.S.; Anderson, T.A. Effects of ammonium perchlorate on the reproductive performance and thyroid follicle histology of zebrafish. Environ. Toxicol. Chem. 2003, 22, 1115–1121. [Google Scholar] [CrossRef] [PubMed]
- Lema, S.C.; Dickey, J.T.; Schultz, I.R.; Swanson, P. Dietary exposure to 2,2',4,4'-tetrabromodiphenyl ether (PBDE-47) alters thyroid status and thyroid hormoneson, P. Dietary exposure to 2,2',4,4'-tetrabromodipheny. Environ. Health Perspect. 2008, 116, 1694. [Google Scholar] [CrossRef] [PubMed]
- Chiamolera, M.I.; Wondisford, F.E. Minireview: Thyrotropin-releasing hormone and the thyroid hormone feedback mechanism. Endocrinology 2009, 150, 1091–1096. [Google Scholar] [CrossRef] [PubMed]
- Yoshiura, Y.; Sohn, Y.C.; Munakata, A.; Kobayashi, M.; Aida, K. Molecular cloning of the cDNA encoding the β subunit of thyrotropin and regulation of its gene expression by thyroid hormones in the goldfish, Carassius auratus. Fish Physiol. Biochem. 1999, 21, 201–210. [Google Scholar] [CrossRef]
- Shi, X.; Liu, C.; Wu, G.; Zhou, B. Waterborne exposure to PFOS causes disruption of the hypothalamus-pituitary-thyroid axis in zebrafish larvae. Chemosphere 2009, 77, 1010–1018. [Google Scholar] [CrossRef] [PubMed]
- Jiang, J.; Shi, Y.; Shan, Z.; Yang, L.; Wang, X.; Shi, L. Bioaccumulation, oxidative stress and HSP70 expression in Cyprinus carpio L. exposed to microcystin-LR under laboratory conditions. Comp. Biochem. Physiol. Part C: Toxicol. Pharmacol. 2012, 155, 483–490. [Google Scholar] [CrossRef]
- Liu, F.J.; Wang, J.S.; Theodorakis, C.W. Thyrotoxicity of sodium arsenate, sodium perchlorate, and their mixture in zebrafish Danio rerio. Environ. Sci. Technol. 2006, 40, 3429–3436. [Google Scholar] [CrossRef] [PubMed]
- Zhang, X.; Tian, H.; Wang, W.; Ru, S. Exposure to monocrotophos pesticide causes disruption of the hypothalamic-pituitary-thyroid axis in adult male goldfish (Carassius auratus). Gen. Comp. Endocrinol. 2013, 193, 158–166. [Google Scholar] [CrossRef] [PubMed]
- Bradford, C.M.; Rinchard, J.; Carr, J.A.; Theodorakis, C. Perchlorate affects thyroid function in eastern mosquitofish (Gambusia holbrooki) at environmentally relevant concentrations. Environ. Sci. Technol. 2005, 39, 5190–5195. [Google Scholar] [CrossRef] [PubMed]
- Naderi, M.; Mousavi, S.M.; Safahieh, A.; Ghatrami, E.R.; Zargham, D. Effects of 4-nonylphenol on balance of steroid and thyroid hormones in sexually immature male yellowfin seabream (Acanthopagrus latus). Environ. Toxicol. 2014, 29, 459–465. [Google Scholar] [CrossRef] [PubMed]
- Kawakami, Y.; Seoka, M.; Miyashita, S.; Kumai, H.; Ohta, H. Characterization of transthyretin in the pacific bluefin tuna, Thunnus orientalis. Zoolog. Sci. 2006, 23, 443–448. [Google Scholar] [CrossRef] [PubMed]
- Santos, C.R.; Power, D.M. Identification of transthyretin in fish (Sparus aurata): cDNA cloning and characterisation. Endocrinology 1999, 140, 2430–2433. [Google Scholar] [CrossRef] [PubMed]
- Yu, L.-Q.; Zhao, G.-F.; Feng, M.; Wen, W.; Li, K.; Zhang, P.-W.; Peng, X.; Huo, W.-J.; Zhou, H.-D. Chronic exposure to pentachlorophenol alters thyroid hormones and thyroid hormone pathway mRNAs in zebrafish. Environ. Toxicol. Chem. 2014, 33, 170–176. [Google Scholar] [CrossRef] [PubMed]
- Power, D.; Llewellyn, L.; Faustino, M.; Nowell, M.; Björnsson, B.T.; Einarsdottir, I.; Canario, A.; Sweeney, G. Thyroid hormones in growth and development of fish. Comp. Biochem. Physiol. Part C: Toxicol. Pharmacol. 2001, 130, 447–459. [Google Scholar] [CrossRef]
- Livak, K.J.; Schmittgen, T.D. Analysis of relative gene expression data using real-time quantitative PCR and the 2−ΔΔCt method. Methods 2001, 25, 402–408. [Google Scholar] [CrossRef] [PubMed]
- Van der Geyten, S.; Mol, K.; Pluymers, W.; Kühn, E.; Darras, V. Changes in plasma T3 during fasting/refeeding in tilapia (Oreochromis niloticus) are mainly regulated through changes in hepatic type II iodothyronine deiodinase. Fish Physiol. Biochem. 1998, 19, 135–143. [Google Scholar]
- Hotz, C.S.; Belonje, B.; Fitzpatrick, D.W.; L’abbé, M.R. A method for the determination of type I iodothyronine deiodinase activity in liver and kidney using 125I-labelled reverse triiodothyronine as a substrate. Clin. Biochem. 1996, 29, 451–456. [Google Scholar] [CrossRef] [PubMed]
© 2015 by the authors; licensee MDPI, Basel, Switzerland. This article is an open access article distributed under the terms and conditions of the Creative Commons Attribution license (http://creativecommons.org/licenses/by/4.0/).