Pioneering Comparative Proteomic and Enzymatic Profiling of Amazonian Scorpion Venoms Enables the Isolation of Their First α-Ktx, Metalloprotease, and Phospholipase A2
Abstract
1. Introduction
2. Results
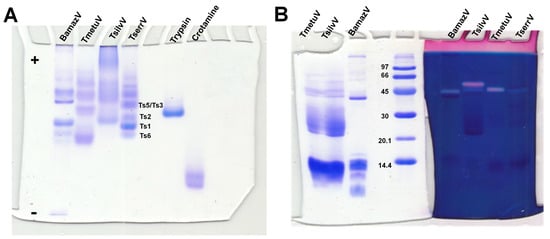
2.1. Chromatographic and Electrophoretic Profiles of Scorpion Venoms
2.2. Enzyme Activity
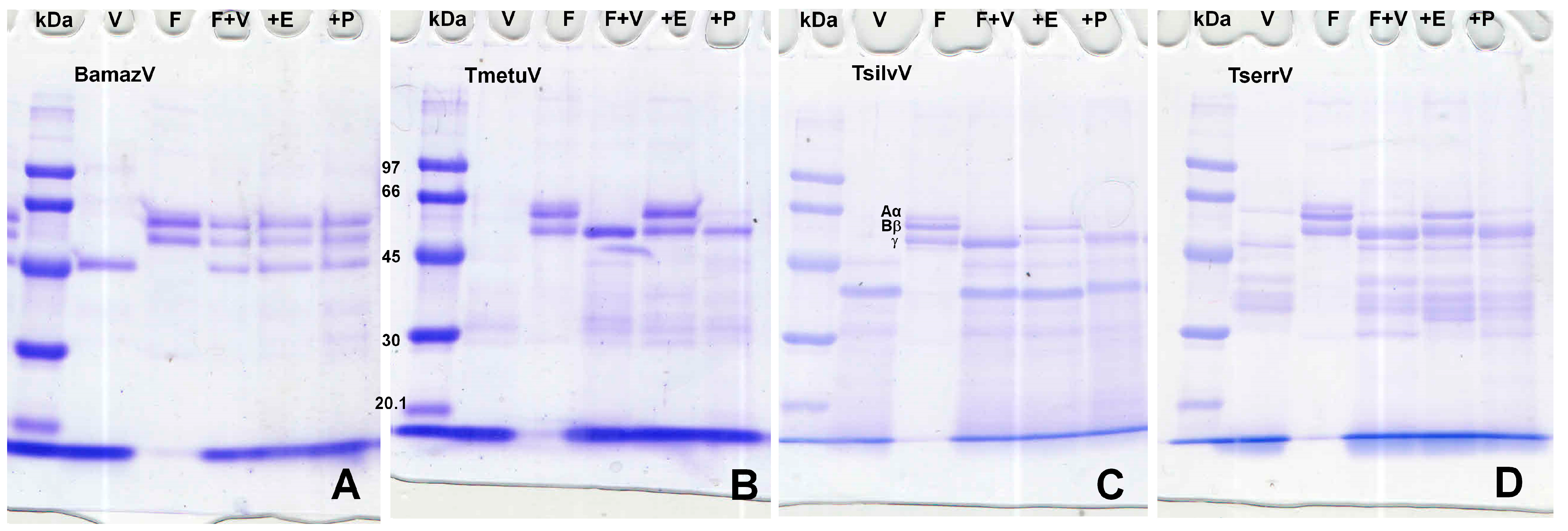
2.3. Proteolytic Activity
2.4. Primary Structure and Molecular Identification of Major Venom Components
2.4.1. α-KTx in TmetuV
2.4.2. PLA2 in BamazV
2.4.3. Metalloprotease in TsilvV
2.5. Relative Abundance of Toxin Classes
3. Discussion
4. Conclusions and Perspectives
5. Materials and Methods
5.1. Scorpion Venom Milking
5.2. Preparation of Soluble Venoms
5.3. Purification of Crude Soluble Venoms Through Reversed-Phase Chromatography
5.4. Polyacrylamide Gel Electrophoresis (PAGE)
5.5. Enzyme Activity Assays
5.5.1. Hyaluronidase Activity Assays
Zymography Analysis
Turbidimetric Activity Assay
5.5.2. Phospholipase A2 (PLA2) Activity Assays
Qualitative Egg Yolk Agar Plate Assay
Colorimetric NOB Substrate Assay
5.5.3. Proteolytic Activity Assays
Azocaseinolytic Activity
Fibrinogenolytic Activity
5.5.4. L-Amino Acid Oxidase (LAAO) Activity
5.5.5. Phosphodiesterase (PDE) Activity
5.5.6. Statistical Analysis
5.6. N-Terminal Sequencing and In Silico Analysis
5.7. Multi-Enzymatic and Limited Digestion (MELD) Protocols
5.8. LC-MS/MS Analysis
5.9. Bioinformatics Analysis
Supplementary Materials
Author Contributions
Funding
Institutional Review Board Statement
Informed Consent Statement
Data Availability Statement
Acknowledgments
Conflicts of Interest
Abbreviations
| ACE | Angiotensin-converting enzyme |
| BamazV | Brotheas amazonicus venom |
| CdtV | Crotalus durissus terrificus venom |
| CTAB | Cetyltrimethylammonium bromide |
| ECE | Endothelin-converting enzyme |
| EDTA | Ethylenediaminetetraacetic acid |
| FPLC | Fast protein liquid chromatography |
| KTx | Potassium channel toxin |
| LAAO | L-amino acid oxidase |
| LC-MS/MS | Liquid chromatography–tandem mass spectrometry |
| MELD | Multi-Enzymatic Limited Digestion |
| NaTx | Sodium channel toxin |
| NOB | 4-nitro-3-octanoyloxybenzoic acid |
| NPC2-like | Niemann–Pick disease type C2-like protein |
| PAGE | Polyacrylamide gel electrophoresis |
| PDE | Phosphodiesterase |
| pI | Isoelectric point |
| PLA2 | Phospholipase A2 |
| PLC | Phospholipase C |
| PLD | Phospholipase D |
| PMSF | Phenylmethylsulfonyl fluoride |
| RyR | Ryanodine receptor |
| SDS-PAGE | Sodium dodecyl sulfate-polyacrylamide gel electrophoresis |
| SNARE | Soluble N-ethylmaleimide-sensitive factor Attachment Receptor |
| TmetuV | Tityus metuendus venom |
| TRU | Turbidity reducing unit |
| TserrV | Tityus serrulatus venom |
| TsilvV | Tityus silvestris venom |
References
- Cupo, P. Clinical update on scorpion envenoming. Rev. Soc. Bras. Med. Trop. 2015, 48, 642–649. [Google Scholar] [CrossRef]
- Martins, J.G.; Santos, G.C.; Procópio, R.E.L.; Arantes, E.C.; Bordon, K.C.F. Scorpion species of medical importance in the Brazilian Amazon: A review to identify knowledge gaps. J. Venom. Anim. Toxins Incl. Trop. Dis. 2021, 27, e20210012. [Google Scholar] [CrossRef]
- Lourenço, W. Scorpions from Brazilian Amazonia, with a description of two new species from ‘Serra da Mocidade’ National Park in the State of Roraima (Scorpiones: Buthidae, Chactidae). Arachn. Riv. Aracnol. Ital. 2017, 12, 2–17. [Google Scholar]
- Lourenço, W.; Rossi, A.; Wilmé, L. Further clarifications on species of Tityus C. L. Koch, 1836, subgenus Atreus Gervais, 1843 (Scorpiones: Buthidae), from Amazonia, with the description of a new species. Arachn. Riv. Aracnol. Ital. 2019, 21, 11–25. [Google Scholar]
- de Oliveira, U.C.; Nishiyama, M.Y., Jr.; Viana dos Santos, M.B.; Santos-da-Silva, A.d.P.; Chalkidis, H.d.M.; Souza-Imberg, A.; Candido, D.M.; Yamanouye, N.; Coronado Dorce, V.A.; Meirelles Junqueira-de-Azevedo, I.d.L. Proteomic endorsed transcriptomic profiles of venom glands from Tityus obscurus and T. serrulatus scorpions. PLoS ONE 2018, 13, e0193739. [Google Scholar] [CrossRef]
- Wiezel, G.A.; Oliveira, I.S.; Reis, M.B.; Ferreira, I.G.; Cordeiro, K.R.; Bordon, K.C.F.; Arantes, E.C. The complex repertoire of Tityus spp. venoms: Advances on their composition and pharmacological potential of their toxins. Biochimie 2024, 220, 144–166. [Google Scholar] [CrossRef]
- da Mata, E.C.G.; Ombredane, A.; Joanitti, G.A.; Kanzaki, L.I.B.; Schwartz, E.F. Antiretroviral and cytotoxic activities of Tityus obscurus synthetic peptide. Arch. Der Pharm. 2020, 353, e2000151. [Google Scholar] [CrossRef]
- Dias, N.B.; de Souza, B.M.; Cocchi, F.K.; Chalkidis, H.M.; Dorcec, V.A.C.; Palma, M.S. Profiling the short, linear, non-disulfide bond-containing peptidome from the venom of the scorpion Tityus obscurus. J. Proteom. 2018, 170, 70–79. [Google Scholar] [CrossRef]
- Batista, C.V.F.; del Pozo, L.; Zamudio, F.Z.; Contreras, S.; Becerril, B.; Wanke, E.; Possani, L.D. Proteomics of the venom from the Amazonian scorpion Tityus cambridgei and the role of prolines on mass spectrometry analysis of toxins. J. Chromatogr. B-Anal. Technol. Biomed. Life Sci. 2004, 803, 55–66. [Google Scholar] [CrossRef]
- Gomes, J.V.; Fé, N.F.; Santos, H.L.R.; Jung, B.; Bisneto, P.F.; Sachett, A.; de Moura, V.M.; Mendonça da Silva, I.; Cardoso de Melo, G.; Pereira de Oliveira Pardal, P.; et al. Clinical profile of confirmed scorpion stings in a referral center in Manaus, Western Brazilian Amazon. Toxicon 2020, 187, 245–254. [Google Scholar] [CrossRef]
- Monteiro, W.M.; de Oliveira, S.S.; Pivoto, G.; Alves, E.C.; Sachett, J.D.G.; Alexandre, C.N.; Fe, N.F.; Guerra, M.; da Silva, I.M.; Tavares, A.M.; et al. Scorpion envenoming caused by Tityus cf. silvestris evolving with severe muscle spasms in the Brazilian Amazon. Toxicon 2016, 119, 266–269. [Google Scholar] [CrossRef]
- Secretaria de Vigilância em Saúde-Departamento de Vigilância Epidemiológica. Manual de Controle de Escorpiões; Ministério da Saúde: Brasília, Brazil, 2009; p. 22. Available online: https://www.gov.br/saude/pt-br/assuntos/saude-de-a-a-z/a/animais-peconhentos/acidentes-por-escorpioes/publicacoes/manual-de-controle-de-escorpioes-2009/view (accessed on 19 June 2025).
- Higa, A.M.; Araújo, J.S.; Araújo, T.F.; Noronha, M.D.N.; Martins Marx, J.P.; Medeiros, B.M.; Muniz, E.G.; Aguiar, N.O.; Lopez-Lozano, J.L. Toxic effects on insects of venoms from Tityus metuendus and Brotheas amazonicus Amazonian scorpions. In Proceedings of the IX Symposium of the Brazilian Society on Toxinology-Posters Arthropods, São Paulo, Brazil, 25–28 November 2007. [Google Scholar]
- Auguste, R.J.; Deo, R.; Finnell, B.; Ali, H. First report of a caecilian amphibian (Siphonopidae: Microcaecilia sp.) being preyed upon by a scorpion (Chactidae: Brotheas sp.). Herpetol. Notes 2019, 12, 661–662. [Google Scholar]
- Mendes, L.C.; Viana, G.M.M.; Nencioni, A.L.A.; Pimenta, D.C.; Beraldo-Neto, E. Scorpion peptides and ion channels: An insightful review of mechanisms and drug development. Toxins 2023, 15, 238. [Google Scholar] [CrossRef]
- Evans, E.R.J.; McIntyre, L.; Northfield, T.D.; Daly, N.L.; Wilson, D.T. Small molecules in the venom of the scorpion. Biomedicines 2020, 8, 259. [Google Scholar] [CrossRef]
- Delgado-Prudencio, G.; Cid-Uribe, J.I.; Morales, J.A.; Possani, L.D.; Ortiz, E.; Romero-Gutiérrez, T. The enzymatic core of scorpion venoms. Toxins 2022, 14, 248. [Google Scholar] [CrossRef]
- Batista, C.V.F.; Martins, J.G.; Restano-Cassulini, R.; Coronas, F.I.V.; Zamudio, F.Z.; Procopio, R.; Possani, L.D. Venom characterization of the Amazonian scorpion Tityus metuendus. Toxicon 2018, 143, 51–58. [Google Scholar] [CrossRef]
- Carmo, A.O.; Oliveira-Mendes, B.B.R.; Horta, C.C.R.; Magalhaes, B.F.; Dantas, A.E.; Chaves, L.M.; Chavez-Olortegui, C.; Kalapothakis, E. Molecular and functional characterization of metalloserrulases, new metalloproteases from the Tityus serrulatus venom gland. Toxicon 2014, 90, 45–55. [Google Scholar] [CrossRef]
- Cajado-Carvalho, D.; da Silva, C.C.F.; Kodama, R.T.; Mariano, D.O.C.; Pimenta, D.C.; Duzzi, B.; Kuniyoshi, A.K.; Portaro, F.V. Purification and biochemical characterization of TsMS 3 and TsMS 4: Neuropeptide-degrading metallopeptidases in the Tityus serrulatus venom. Toxins 2019, 11, 194. [Google Scholar] [CrossRef]
- Fletcher, P.L., Jr.; Fletcher, M.D.; Weninger, K.; Anderson, T.E.; Martin, B.M. Vesicle-associated membrane protein (VAMP) cleavage by a new metalloprotease from the Brazilian scorpion Tityus serrulatus. J. Biol. Chem. 2010, 285, 7405–7416. [Google Scholar] [CrossRef]
- Pucca, M.B.; Amorim, F.G.; Cerni, F.A.; Figueiredo Bordon, K.d.C.; Cardoso, I.A.; Pino Anjolette, F.A.; Arantes, E.C. Influence of post-starvation extraction time and prey-specific diet in Tityus serrulatus scorpion venom composition and hyaluronidase activity. Toxicon 2014, 90, 326–336. [Google Scholar] [CrossRef]
- Krayem, N.; Gargouri, Y. Scorpion venom phospholipases A2: A minireview. Toxicon 2020, 184, 48–54. [Google Scholar] [CrossRef]
- Batista, C.V.F.; Gomez-Lagunas, F.; de la Vega, R.C.R.; Hajdu, P.; Panyi, G.; Gaspar, R.; Possani, L.D. Two novel toxins from the Amazonian scorpion Tityus cambridgei that block Kv1.3 and Shaker BK+-channels with distinctly different affinities. Biochim. Biophys. Acta-Proteins Proteom. 2002, 1601, 123–131. [Google Scholar] [CrossRef]
- Batista, C.V.; D’Suze, G.; Gómez-Lagunas, F.; Zamudio, F.Z.; Encarnación, S.; Sevcik, C.; Possani, L.D. Proteomic analysis of Tityus discrepans scorpion venom and amino acid sequence of novel toxins. Proteomics 2006, 6, 3718–3727. [Google Scholar] [CrossRef]
- Pongs, O. Voltage-gated potassium channels. In Biomembranes: A Multi-Volume Treatise; Elsevier: Amsterdam, The Netherlands, 1997; Volume 6, pp. 199–220. [Google Scholar]
- Jiménez-Vargas, J.M.; Possani, L.D.; Luna-Ramírez, K. Arthropod toxins acting on neuronal potassium channels. Neuropharmacology 2017, 127, 139–160. [Google Scholar] [CrossRef]
- Kalapothakis, Y.; Miranda, K.; Aragão, M.; Larangote, D.; Braga-Pereira, G.; Noetzold, M.; Molina, D.; Langer, R.; Conceição, I.M.; Guerra-Duarte, C.; et al. Divergence in toxin antigenicity and venom enzymes in Tityus melici, a medically important scorpion, despite transcriptomic and phylogenetic affinities with problematic Brazilian species. Int. J. Biol. Macromol. 2024, 263, 130311. [Google Scholar] [CrossRef]
- Zornetta, I.; Scorzeto, M.; Mendes Dos Reis, P.V.; De Lima, M.E.; Montecucco, C.; Megighian, A.; Rossetto, O. Electrophysiological Characterization of the Antarease Metalloprotease from Tityus serrulatus Venom. Toxins 2017, 9, 81. [Google Scholar] [CrossRef] [PubMed]
- Valdez-Cruz, N.A.; Batista, C.V.; Possani, L.D. Phaiodactylipin, a glycosylated heterodimeric phospholipase A2 from the venom of the scorpion Anuroctonus phaiodactylus. Eur. J. Biochem. 2004, 271, 1453–1464. [Google Scholar] [CrossRef] [PubMed]
- Soltan-Alinejad, P.; Alipour, H.; Meharabani, D.; Azizi, K. Therapeutic Potential of Bee and Scorpion Venom Phospholipase A2 (PLA2): A Narrative Review. Iran. J. Med. Sci. 2022, 47, 300–313. [Google Scholar] [CrossRef] [PubMed]
- Habermann, E.; Hardt, K.L. A sensitive and specific plate test for the quantitation of phospholipases. Anal. Biochem. 1972, 50, 163–173. [Google Scholar] [CrossRef]
- Zamudio, F.Z.; Conde, R.; Arevalo, C.; Becerril, B.; Martin, B.M.; Valdivia, H.H.; Possani, L.D. The mechanism of inhibition of ryanodine receptor channels by Imperatoxin I, a heterodimeric protein from the scorpion Pandinus imperator. J. Biol. Chem. 1997, 272, 11886–11894. [Google Scholar] [CrossRef]
- Ahn, M.Y.; Ryu, K.S.; Lee, Y.W.; Kim, Y.S. Cytotoxicity and L-amino acid oxidase activity of crude insect drugs. Arch. Pharmacal Res. 2000, 23, 477–481. [Google Scholar] [CrossRef]
- Khamtorn, P.; Peigneur, S.; Amorim, F.G.; Quinton, L.; Tytgat, J.; Daduang, S. De Novo Transcriptome Analysis of the Venom of Latrodectus geometricus with the Discovery of an Insect-Selective Na Channel Modulator. Molecules 2021, 27, 47. [Google Scholar] [CrossRef]
- Oliveira, I.S.; Pucca, M.B.; Wiezel, G.A.; Cardoso, I.A.; Bordon, K.C.F.; Sartim, M.A.; Kalogeropoulos, K.; Ahmadi, S.; Baiwir, D.; Nonato, M.C.; et al. Unraveling the structure and function of CdcPDE: A novel phosphodiesterase from Crotalus durissus collilineatus snake venom. Int. J. Biol. Macromol. 2021, 178, 180–192. [Google Scholar] [CrossRef]
- Monteiro, W.M.; Gomes, J.; Fe, N.; da Silva, I.M.; Lacerda, M.; Alencar, A.; de Farias, A.S.; Val, F.; Sampaio, V.D.; de Melo, G.C.; et al. Perspectives and recommendations towards evidence-based health care for scorpion sting envenoming in the Brazilian Amazon: A comprehensive review. Toxicon 2019, 169, 68–80. [Google Scholar] [CrossRef] [PubMed]
- Bordon, K.C.F.; Perino, M.G.; Giglio, J.R.; Arantes, E.C. Isolation, enzymatic characterization and antiedematogenic activity of the first reported rattlesnake hyaluronidase from Crotalus durissus terrificus venom. Biochimie 2012, 94, 2740–2748. [Google Scholar] [CrossRef] [PubMed]
- Lourenco, W.R.; Pezier, A. Addition to the scorpion fauna of the Manaus region (Brazil), with a description of two new species of Tityus from the canopy. Amaz. Limnol. Oecologia Reg. Syst. Fluminis Amazonas 2002, 17, 177–186. [Google Scholar]
- Reisfeld, R.A.; Lewis, U.J.; Williams, D.E. Disk electrophoresis of basic proteins and peptides on polyacrylamide gels. Nature 1962, 195, 281–283. [Google Scholar] [CrossRef]
- Cevallos, M.A.; Navarroduque, C.; Varelajulia, M.; Alagon, A.C. Molecular mass determination and assay of venom hyaluronidases by sodium dodecyl sulfate-polyacrylamide gel-electrophoresis. Toxicon 1992, 30, 925–930. [Google Scholar] [CrossRef]
- Laemmli, U.K. Cleavage of structural proteins during assembly of head of bacteriophage-T4. Nature 1970, 227, 680–685. [Google Scholar] [CrossRef] [PubMed]
- Pukrittayakamee, S.; Warrell, D.A.; Desakorn, V.; Mcmichael, A.J.; White, N.J.; Bunnag, D. The Hyaluronidase Activities of Some Southeast Asian Snake-Venoms. Toxicon 1988, 26, 629–637. [Google Scholar] [CrossRef]
- Diferrante, N. Turbidimetric measurement of acid mucopolysaccharides and hyaluronidase activity. J. Biol. Chem. 1956, 220, 303–306. [Google Scholar] [CrossRef]
- Petrovic, N.; Grove, C.; Langton, P.E.; Misso, N.L.; Thompson, P.J. A simple assay for a human serum phospholipase A2 that is associated with high-density lipoproteins. J. Lipid Res. 2001, 42, 1706–1713. [Google Scholar] [CrossRef] [PubMed]
- Wang, W.J.; Shih, C.H.; Huang, T.F. A novel P-I class metalloproteinase with broad substrate-cleaving activity, agkislysin, from Agkistrodon acutus venom. Biochem. Biophys. Res. Commun. 2004, 324, 224–230. [Google Scholar] [CrossRef]
- Edgar, W.; Prentice, C. The proteolytic action of ancrod on human fibrinogen and its polypeptide chains. Thromb. Res. 1973, 2, 85–95. [Google Scholar] [CrossRef]
- Kishimoto, M.; Takahashi, T. A spectrophotometric microplate assay for L-amino acid oxidase. Anal. Biochem. 2001, 298, 136–139. [Google Scholar] [CrossRef]
- Bordon, K.C.F.; Wiezel, G.A.; Cabral, H.; Arantes, E.C. Bordonein-L, a new L-amino acid oxidase from Crotalus durissus terrificus snake venom: Isolation, preliminary characterization and enzyme stability. J. Venom. Anim. Toxins Incl. Trop. Dis. 2015, 21, 26. [Google Scholar] [CrossRef]
- Bjork, W. Purification of phosphodiesterase from Bothrops atrox venom, with special consideration of the elimination of monophosphatases. J. Biol. Chem. 1963, 238, 2487–2490. [Google Scholar] [CrossRef] [PubMed]
- Valério, A.A.; Corradini, A.C.; Panunto, P.C.; Mello, S.M.; Hyslop, S. Purification and characterization of a phosphodiesterase from Bothrops alternatus snake venom. J. Protein Chem. 2002, 21, 495–503. [Google Scholar] [CrossRef] [PubMed]
- Edman, P.; Begg, G. A protein sequenator. Eur. J. Biochem. 1967, 1, 80–91. [Google Scholar] [CrossRef]
- Corpet, F. Multiple sequence alignment with hierarchical-clustering. Nucleic Acids Res. 1988, 16, 10881–10890. [Google Scholar] [CrossRef]
- Robert, X.; Gouet, P. Deciphering key features in protein structures with the new ENDscript server. Nucleic Acids Res. 2014, 42, W320–W324. [Google Scholar] [CrossRef] [PubMed]
- Amorim, F.G.; Redureau, D.; Crasset, T.; Freuville, L.; Baiwir, D.; Mazzucchelli, G.; Menzies, S.K.; Casewell, N.R.; Quinton, L. Next-Generation Sequencing for Venomics: Application of Multi-Enzymatic Limited Digestion for Inventorying the Snake Venom Arsenal. Toxins 2023, 15, 357. [Google Scholar] [CrossRef] [PubMed]
- Okuda, S.; Yoshizawa, A.C.; Kobayashi, D.; Takahashi, Y.; Watanabe, Y.; Moriya, Y.; Hatano, A.; Takami, T.; Matsumoto, M.; Araki, N.; et al. jPOST environment accelerates the reuse and reanalysis of public proteome mass spectrometry data. Nucleic Acids Res. 2025, 53, D462–D467. [Google Scholar] [CrossRef] [PubMed]





Disclaimer/Publisher’s Note: The statements, opinions and data contained in all publications are solely those of the individual author(s) and contributor(s) and not of MDPI and/or the editor(s). MDPI and/or the editor(s) disclaim responsibility for any injury to people or property resulting from any ideas, methods, instructions or products referred to in the content. |
© 2025 by the authors. Licensee MDPI, Basel, Switzerland. This article is an open access article distributed under the terms and conditions of the Creative Commons Attribution (CC BY) license (https://creativecommons.org/licenses/by/4.0/).
Share and Cite
Bordon, K.C.F.; Santos, G.C.; Martins, J.G.; Wiezel, G.A.; Amorim, F.G.; Crasset, T.; Redureau, D.; Quinton, L.; Procópio, R.E.L.; Arantes, E.C. Pioneering Comparative Proteomic and Enzymatic Profiling of Amazonian Scorpion Venoms Enables the Isolation of Their First α-Ktx, Metalloprotease, and Phospholipase A2. Toxins 2025, 17, 411. https://doi.org/10.3390/toxins17080411
Bordon KCF, Santos GC, Martins JG, Wiezel GA, Amorim FG, Crasset T, Redureau D, Quinton L, Procópio REL, Arantes EC. Pioneering Comparative Proteomic and Enzymatic Profiling of Amazonian Scorpion Venoms Enables the Isolation of Their First α-Ktx, Metalloprotease, and Phospholipase A2. Toxins. 2025; 17(8):411. https://doi.org/10.3390/toxins17080411
Chicago/Turabian StyleBordon, Karla C. F., Gabrielle C. Santos, Jonas G. Martins, Gisele A. Wiezel, Fernanda G. Amorim, Thomas Crasset, Damien Redureau, Loïc Quinton, Rudi E. L. Procópio, and Eliane C. Arantes. 2025. "Pioneering Comparative Proteomic and Enzymatic Profiling of Amazonian Scorpion Venoms Enables the Isolation of Their First α-Ktx, Metalloprotease, and Phospholipase A2" Toxins 17, no. 8: 411. https://doi.org/10.3390/toxins17080411
APA StyleBordon, K. C. F., Santos, G. C., Martins, J. G., Wiezel, G. A., Amorim, F. G., Crasset, T., Redureau, D., Quinton, L., Procópio, R. E. L., & Arantes, E. C. (2025). Pioneering Comparative Proteomic and Enzymatic Profiling of Amazonian Scorpion Venoms Enables the Isolation of Their First α-Ktx, Metalloprotease, and Phospholipase A2. Toxins, 17(8), 411. https://doi.org/10.3390/toxins17080411

