Distinct Impact of Processing on Cross-Order Cry1I Insecticidal Activity
Abstract
1. Introduction
2. Results
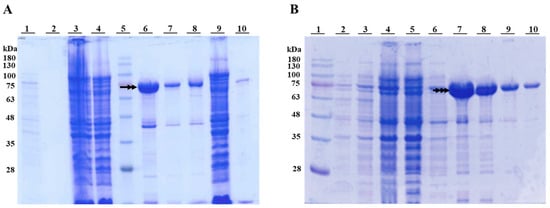
2.1. Expression and Purification of the Cry1Ia Intermediate Proteins
2.2. Oligomeric State in Solution
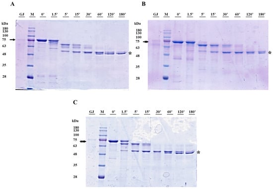
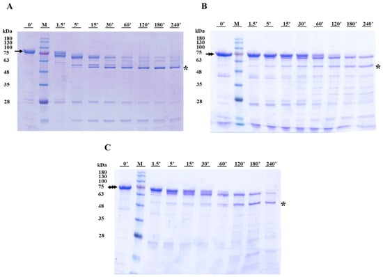
2.3. Time Course of Cry1Ia Processing
2.4. Toxicity of Cry1I Protein Forms Against O. nubilalis and L. decemlineata
3. Discussion
4. Conclusions
5. Materials and Methods
5.1. Cry1Ia Site-Directed Mutagenesis (SDM)
5.2. Expression and Purification of Cry1Ia Proteins
5.3. Size Exclusion Chromatography of Cry1Ia Forms
5.4. Time Course Proteolysis
5.5. Toxicity Bioassays Against O. nubilalis and L. decemlineata
Author Contributions
Funding
Institutional Review Board Statement
Informed Consent Statement
Data Availability Statement
Acknowledgments
Conflicts of Interest
References
- Palma, L.; Muñoz, D.; Berry, C.; Murillo, J.; Caballero, P. Bacillus thuringiensis toxins: An overview of their biocidal activity. Toxins 2014, 6, 3296–3325. [Google Scholar] [CrossRef]
- Zalunin, I.A.; Elpidina, E.; Oppert, B. The role of proteolysis in the biological activity of Bacillus thuringiensis insecticidal crystal proteins, pp. 107–119. In Bt Resistance: Characterization and Strategies for GM Crops Producing Bacillus thuringiensis Toxins; Soberon, M., Gao, Y., Bravo, A., Eds.; CABI: Wallingford, UK, 2014. [Google Scholar]
- Wang, B.-C.; Yu, Z.; Sun, M. Structural insights into Bacillus thuringiensis Cry, Cyt and parasporin toxins. Toxins 2014, 6, 2732–2770. [Google Scholar] [CrossRef]
- Bravo, A.; Pacheco, S.; Gómez, I.; Soberón, M. Chapter Two—Mode of action of Bacillus thuringiensis Cry pesticidal proteins. In Advances in Insect Physiology; Jurat-Fuentes, J.L., Ed.; Academic Press: Cambridge, MA, USA, 2023; Volume 65, pp. 55–92. [Google Scholar]
- Raymond, B.; Johnston, P.R.; Nielsen-LeRoux, C.; Lereclus, D.; Crickmore, N. Bacillus thuringiensis: An impotent pathogen? Trends Microbiol. 2010, 18, 189–194. [Google Scholar] [CrossRef]
- Pacheco, S.; Gómez, I.; Peláez-Aguilar, A.E.; Verduzco-Rosas, L.A.; García-Suárez, R.; Nascimento, N.A.D.; Rivera-Nájera, L.Y.; Cantón, P.E.; Soberón, M.; Bravo, A. Structural changes upon membrane insertion of the insecticidal pore-forming toxins produced by Bacillus thuringiensis. Front. Insect Sci. 2023, 3, 1188891. [Google Scholar] [CrossRef] [PubMed]
- Tailor, R.; Tippett, J.; Gibb, G.; Pells, S.; Pike, D.; Jordan, L.; Ely, S. Identification and characterization of a novel Bacillus thuringiensis delta-endotoxin entomocidal to coleopteran and lepidopteran larvae. Mol. Microbiol. 1992, 6, 1211–1217. [Google Scholar] [CrossRef]
- Koo, B.T.; Park, S.H.; Choi, S.K.; Shin, B.S.; Kim, J.I.; Yu, J.H. Cloning of a novel crystal protein gene cry1K from Bacillus thuringiensis subsp. morrisoni. FEMS Microbiol. Lett. 1995, 134, 159–164. [Google Scholar] [CrossRef] [PubMed][Green Version]
- de Escudero, R.; Estela, A.; Porcar, M.; Martinez, C.; Oguiza, J.A.; Escriche, B.; Ferré, J.; Caballero, P. Molecular and insecticidal characterization of a Cry1I protein toxic to insects of the families Noctuidae, Tortricidae, Plutellidae, and Chrysomelidae. Appl. Environ. Microbiol. 2006, 72, 4796–4804. [Google Scholar] [CrossRef]
- Zhao, C.; Jurat-Fuentes, J.L.; Abdelgaffar, H.M.; Pan, H.; Song, F.; Zhang, J. Identification of a new cry1I-type gene as a candidate for gene pyramiding in corn to control Ostrinia species larvae. Appl. Environ. Microbiol. 2015, 81, 3699–3705. [Google Scholar] [CrossRef] [PubMed]
- Liu, Y.J.; Song, F.P.; He, K.L.; Yuan, Y.; Zhang, X.X.; Gao, P.; Wang, J.H.; Wang, G.Y. Expression of a modified Cry1Ie gene in E. coli and in transgenic tobacco confers resistance to corn borer. Acta Biochim. Biophys. Sin. 2004, 36, 309–313. [Google Scholar] [CrossRef]
- Zhang, Y.; Liu, Y.; Ren, Y.; Liu, Y.; Liang, G.; Song, F.; Bai, S.; Wang, J.; Wang, G. Overexpression of a novel Cry1Ie gene confers resistance to Cry1Ac-resistant cotton bollworm in transgenic lines of maize. Plant Cell Tissue Organ. Cult. 2013, 115, 151–158. [Google Scholar] [CrossRef]
- de Oliveira, R.S.; Oliveira-Neto, O.B.; Moura, H.F.; de Macedo, L.L.; Arraes, F.B.; Lucena, W.A.; Lourenço-Tessutti, I.T.; de Deus Barbosa, A.A.; da Silva, M.C.; Grossi-de-Sa, M.F. Transgenic cotton plants expressing Cry1Ia12 toxin confer resistance to fall armyworm (Spodoptera frugiperda) and cotton boll weevil (Anthonomus grandis). Front. Plant Sci. 2016, 7, 165. [Google Scholar] [CrossRef]
- Khorramnejad, A.; Bel, Y.; Talaei-Hassanloui, R.; Escriche, B. Activation of Bacillus thuringiensis CryI to a 50 kDa stable core impairs its full toxicity to Ostrinia nubilalis. Appl. Microbiol. Biotechnol. 2022, 106, 1745–1758. [Google Scholar] [CrossRef]
- Sekar, V.; Held, B.; Tippett, J.; Amirhusin, B.; Robeff, P.; Wang, K.; Wilson, H.M. Biochemical and molecular characterization of the insecticidal fragment of CryV. Appl. Environ. Microbiol. 1997, 63, 2798–2801. [Google Scholar] [CrossRef] [PubMed]
- Guo, S.; Zhang, Y.; Song, F.; Zhang, J.; Huang, D. Protease-resistant core form of Bacillus thuringiensis Cry1Ie: Monomeric and oligomeric forms in solution. Biotechnol. Lett. 2009, 31, 1769–1774. [Google Scholar] [CrossRef]
- Boncheva, R.; Dukiandjiev, S.; Minkov, I.; de Maagd, R.A.; Naimov, S. Activity of Bacillus thuringiensis delta-endotoxins against codling moth (Cydia pomonella L.) larvae. J. Invertebr. Pathol. 2006, 92, 96–99. [Google Scholar] [CrossRef] [PubMed]
- Radosavljevic, J.; Naimov, S. Toxicity of Bacillus thuringiensis (L.) Cry proteins against summer fruit tortrix (Adoxophyes orana—Fischer von Rösslerstamm). J. Invertebr. Pathol. 2016, 138, 63–65. [Google Scholar] [CrossRef]
- Abdelgaffar, H.M.; Oppert, C.; Sun, X.; Monserrate, J.; Jurat-Fuentes, J.L. Differential heliothine susceptibility to Cry1Ac associated with gut proteolytic activity. Pestic. Biochem. Physiol. 2019, 153, 1–8. [Google Scholar] [CrossRef] [PubMed]
- Liao, C.; Jin, M.; Cheng, Y.; Yang, Y.; Soberon, M.; Bravo, A.; Liu, K.; Xiao, Y. Bacillus thuringiensis Cry1Ac protoxin and activated toxin exert differential toxicity due to a synergistic interplay of cadherin with ABCC transporters in the cotton bollworm. Appl. Environ. Microbiol. 2022, 88, e0250521. [Google Scholar] [CrossRef]
- Grochulski, P.; Masson, L.; Borisova, S.; Pusztai-Carey, M.; Schwartz, J.L.; Brousseau, R.; Cygler, M. Bacillus thuringiensis CryIA(a) insecticidal toxin: Crystal structure and channel formation. J. Mol. Biol. 1995, 254, 447–464. [Google Scholar] [CrossRef]
- Güereca, L.; Bravo, A. The oligomeric state of Bacillus thuringiensis Cry toxins in solution. Biochim. Biophys. Acta 1999, 1429, 342–350. [Google Scholar] [CrossRef] [PubMed]
- Guo, S.; Ye, S.; Liu, Y.; Wei, L.; Xue, J.; Wu, H.; Song, F.; Zhang, J.; Wu, X.; Huang, D.; et al. Crystal structure of Bacillus thuringiensis Cry8Ea1: An insecticidal toxin toxic to underground pests, the larvae of Holotrichia parallela. J. Struct. Biol. 2009, 168, 259–266. [Google Scholar] [CrossRef] [PubMed]
- Sawaya, M.R.; Cascio, D.; Gingery, M.; Rodriguez, J.; Goldschmidt, L.; Colletier, J.P.; Messerschmidt, M.M.; Boutet, S.; Koglin, J.E.; Williams, G.J.; et al. Protein crystal structure obtained at 2.9 A resolution from injecting bacterial cells into an X-ray free-electron laser beam. Proc. Natl. Acad. Sci. USA 2014, 111, 12769–12774. [Google Scholar] [CrossRef] [PubMed]
- Jing, X.; Yuan, Y.; Wu, Y.; Wu, D.; Gong, P.; Gao, M. Crystal structure of Bacillus thuringiensis Cry7Ca1 toxin active against Locusta migratoria manilensis. Protein Sci. 2019, 28, 609–619. [Google Scholar] [CrossRef] [PubMed]
- Wang, Y.; Wang, J.; Fu, X.; Nageotte, J.R.; Silverman, J.; Bretsnyder, E.C.; Chen, D.; Rydel, T.J.; Bean, G.J.; Li, K.S.; et al. Bacillus thuringiensis Cry1Da_7 and Cry1B.868 protein interactions with novel receptors allow control of resistant fall armyworms, Spodoptera frugiperda (J.E. Smith). Appl. Environ. Microbiol. 2019, 85, e00579-19. [Google Scholar] [CrossRef] [PubMed]
- Wang, L.; Kotaka, M.; Lee, M.M.; Chan, M.K. Insights from the structure of an active form of Bacillus thuringiensis Cry5B. Toxins 2022, 14, 823. [Google Scholar] [CrossRef]
- Masson, L.; Mazza, A.; Sangadala, S.; Adang, M.J.; Brousseau, R. Polydispersity of Bacillus thuringiensis Cry1 toxins in solution and its effect on receptor binding kinetics. Biochim. Biophys. Acta 2002, 1594, 266–275. [Google Scholar] [CrossRef] [PubMed]
- Lambert, B.; Buysse, L.; Decock, C.; Jansens, S.; Piens, C.; Saey, B.; Seurinck, J.; Van Audenhove, K.; Van Rie, J.; Van Vliet, A.; et al. A Bacillus thuringiensis insecticidal crystal protein with a high activity against members of the Family Noctuidae. Appl. Environ. Microbiol. 1996, 62, 80–86. [Google Scholar] [CrossRef]
- Audtho, M.; Valaitis, A.P.; Alzate, O.; Dean, D.H. Production of chymotrypsin-resistant Bacillus thuringiensis Cry2Aa1 delta-endotoxin by protein engineering. Appl. Environ. Microbiol. 1999, 65, 4601–4605. [Google Scholar] [CrossRef] [PubMed]
- Goje, L.J.; Elmi, E.D.; Bracuti, A.; Courty, T.; Rao, T.; Alzahrani, F.A.; Crickmore, N. Identification of Aedes aegypti specificity motifs in the N-terminus of the Bacillus thuringiensis Cry2Aa pesticidal protein. J. Invertebr. Pathol. 2020, 174, 107423. [Google Scholar] [CrossRef] [PubMed]
- Sheng, H.; Zang, C.; Guo, S.; Zhang, J.; Song, F. Effect of N-terminal and C-terminal deletion of Cry1Ie of Bacillus thuringiensis on its expression and purification. In Proceedings of the 3rd International Conference on Bioinformatics and Biomedical Engineering, Beijing, China, 11–13 June 2009. [Google Scholar]
- Khorramnejad, A.; Domínguez-Arrizabalaga, M.; Caballero, P.; Escriche, B.; Bel, Y. Study of the Bacillus thuringiensis Cry1Ia protein oligomerization promoted by midgut brush border membrane vesicles of lepidopteran and coleopteran insects, or cultured insect cells. Toxins 2020, 12, 133. [Google Scholar] [CrossRef]
- Pacheco, S.; Gomez, I.; Soberon, M.; Bravo, A. A major conformational change of N-terminal helices of Bacillus thuringiensis Cry1Ab insecticidal protein is necessary for membrane insertion and toxicity. FEBS J. 2023, 290, 2692–2705. [Google Scholar] [CrossRef] [PubMed]
- Liu, S.; Wang, S.; Wu, S.; Wu, Y.; Yang, Y. Proteolysis activation of Cry1Ac and Cry2Ab protoxins by larval midgut juice proteases from Helicoverpa armigera. PLoS ONE 2020, 15, e0228159. [Google Scholar] [CrossRef]
- Bravo, A.; Gill, S.S.; Soberon, M. Mode of action of Bacillus thuringiensis Cry and Cyt toxins and their potential for insect control. Toxicon 2007, 49, 423–435. [Google Scholar] [CrossRef] [PubMed]
- Bravo, A.; Sanchez, J.; Kouskoura, T.; Crickmore, N. N-terminal activation is an essential early step in the mechanism of action of the Bacillus thuringiensis Cry1Ac insecticidal toxin. J. Biol. Chem. 2002, 277, 23985–23987. [Google Scholar] [CrossRef]
- Jiménez-Juárez, N.; Muñoz-Garay, C.; Gómez, I.; Saab-Rincon, G.; Damian-Almazo, J.Y.; Gill, S.S.; Soberón, M.; Bravo, A. Bacillus thuringiensis Cry1Ab mutants affecting oligomer formation are non-toxic to Manduca sexta larvae. J. Biol. Chem. 2007, 282, 21222–21229. [Google Scholar] [CrossRef]
- Pan, Z.Z.; Xu, L.; Liu, B.; Chen, Q.X.; Zhu, Y.J. Key residues of Bacillus thuringiensis Cry2Ab for oligomerization and pore-formation activity. AMB Express 2021, 11, 112. [Google Scholar] [CrossRef]
- Yang, Y.; Soberón, M.; Bravo, A.; Zhang, L.; Zhang, J.; Wang, Z. Bacillus thuringiensis Cry9Aa insecticidal protein domain I helices α3 and α4 are two core regions involved in oligomerization and toxicity. J. Agric. Food Chem. 2024, 72, 1321–1329. [Google Scholar]
- Ruiz-Arroyo, V.M.; García-Robles, I.; Ochoa-Campuzano, C.; Goig, G.A.; Zaitseva, E.; Baaken, G.; Martínez-Ramírez, A.C.; Rausell, C.; Real, M.D. Validation of ADAM10 metalloprotease as a Bacillus thuringiensis Cry3Aa toxin functional receptor in Colorado potato beetle (Leptinotarsa decemlineata). Insect Mol. Biol. 2017, 26, 204–214. [Google Scholar] [CrossRef]
- Güney, G.; Cedden, D.; Hänniger, S.; Heckel, D.G.; Coutu, C.; Hegedus, D.D.; Mutlu, D.A.; Suludere, Z.; Sezen, K.; Güney, E.; et al. Silencing of an ABC transporter, but not a cadherin, decreases the susceptibility of Colorado potato beetle larvae to Bacillus thuringiensis ssp. tenebrionis Cry3Aa toxin. Arch. Insect Biochem. Physiol. 2021, 108, e21. [Google Scholar] [CrossRef] [PubMed]
- Khorramnejad, A.; Bel, Y.; Hernandez-Martinez, P.; Talaei-Hassanloui, R.; Escriche, B. Insecticidal activity and cytotoxicity of Bacillus thuringiensis Cry1Ia7 protein. IOBC-WPRS Bull. 2018, 131, 56–63. [Google Scholar]
- Edelheit, O.; Hanukoglu, A.; Hanukoglu, I. Simple and efficient site-directed mutagenesis using two single-primer reactions in parallel to generate mutants for protein structure-function studies. BMC Biotechnol. 2009, 9, 61. [Google Scholar] [CrossRef]
- Laemmli, U.K. Cleavage of structural proteins during the assembly of the head of bacteriophage T4. Nature 1970, 227, 680–685. [Google Scholar] [CrossRef]
- Bradford, M.M. A rapid and sensitive method for the quantitation of microgram quantities of protein utilizing the principle of protein-dye binding. Anal. Biochem. 1976, 72, 248–254. [Google Scholar] [CrossRef] [PubMed]
- Mishra, S.; Dee, J.; Moar, W.; Dufner-Beattie, J.; Baum, J.; Dias, N.P.; Alyokhin, A.; Buzza, A.; Rondon, S.I.; Clough, M.; et al. Selection for high levels of resistance to double-stranded RNA (dsRNA) in Colorado potato beetle (Leptinotarsa decemlineata Say) using non-transgenic foliar delivery. Sci. Rep. 2021, 11, 6523. [Google Scholar] [CrossRef] [PubMed]
- Bel, Y.; Banyuls, N.; Chakroun, M.; Escriche, B.; Ferré, J. Insights into the structure of the Vip3Aa insecticidal protein by protease digestion analysis. Toxins 2017, 9, 131. [Google Scholar] [CrossRef]
- Poitout, S.; Blues, R. Elevage de 28 espèces de lépidoptères Noctuidae et de 2 espèces d’Arctiidae sur milieu artificiel simplifié. Particularités selon les espèces. Ann. Zool. Ecol. Anim. 1974, 6, 431–441. [Google Scholar]
- Finney, D.J. Probit Analysis, 3rd ed.; Cambridge University Press: Cambridge, UK, 1971. [Google Scholar]






| 95% C.I. | 95% C.I. | ||||||
|---|---|---|---|---|---|---|---|
| Protein | LC50 (ng/cm2) | Lower | Upper | LC90 (ng/cm2) | Lower | Upper | Slope ± S.E. |
| Protoxin | 73 | 58 | 90 | 161 | 126 | 239 | 3.9 ± 0.7 |
| T-Int | 67 | 50 | 85 | 170 | 130 | 273 | 3.5 ± 0.7 |
| GF-Int | 71 | 53 | 91 | 193 | 145 | 312 | 3.0 ± 0.5 |
| “Toxin” 1 | 2197 | 1508 | 4544 | ND | ND | ND | 2 ± 0.4 |
| NAME | Sequence (5′-3′) | Tm (°C) |
|---|---|---|
| GF-UAA-F | CAGAATATGATTTTGAAAAAGCGCAAGAGAAGTAAACTGCACTGTTTACATCTACG | 80.2 |
| GF-UAA-R | CTTGGATTCGTAGATGTAAACAGTGCAGTTTACTTCTCTTGCGCTTTTTCAAAATC | 81.5 |
| GF-UAG-F | CAGAATATGATTTTGAAAAAGCGCAAGAGAAGTAGACTGCACTGTTTACATCTACG | 80.5 |
| GF-UAG-R | CTTGGATTCGTAGATGTAAACAGTGCAGTCTACTTCTCTTGCGCTTTTTCAAAATC | 81.8 |
| GF-UGA-F | CAGAATATGATTTTGAAAAAGCGCAAGAGAAGTGAACTGCACTGTTTACATCTACG | 81.8 |
| GF-UGA-R | CTTGGATTCGTAGATGTAAACAGTGCAGTTCACTTCTCTTGCGCTTTTTCAAAATC | 83.0 |
| T-UAA-F | GGTTACTGCACTGTTTACATCTACGAATCCAAGATAATTAAAAACAGATGTAAAGG | 77.4 |
| T-UAA-R | GGTCAATATGATAATCCTTTACATCTGTTTTTAATTATCTTGGATTCGTAGATGTAAACAG | 76.7 |
| T-UAG-F | GGTTACTGCACTGTTTACATCTACGAATCCAAGATAGTTAAAAACAGATGTAAAGG | 77.6 |
| T-UAG-R | GGTCAATATGATAATCCTTTACATCTGTTTTTAACTATCTTGGATTCGTAGATGTAAACAG | 76.9 |
| T-UGA-F | GGTTACTGCACTGTTTACATCTACGAATCCAAGATGATTAAAAACAGATGTAAAGG | 78.9 |
| T-UGA-R | GGTCAATATGATAATCCTTTACATCTGTTTTTAATCATCTTGGATTCGTAGATGTAAACAG | 78.1 |
| SEQ-Ia38-F | TCTTCAGGTAACGAAGTTTATATAG | 56.6 |
| SEQ-Ia38-R | CGTATTTAACTATCTCGAATAATTC | 56.1 |
Disclaimer/Publisher’s Note: The statements, opinions and data contained in all publications are solely those of the individual author(s) and contributor(s) and not of MDPI and/or the editor(s). MDPI and/or the editor(s) disclaim responsibility for any injury to people or property resulting from any ideas, methods, instructions or products referred to in the content. |
© 2025 by the authors. Licensee MDPI, Basel, Switzerland. This article is an open access article distributed under the terms and conditions of the Creative Commons Attribution (CC BY) license (https://creativecommons.org/licenses/by/4.0/).
Share and Cite
Toledo, D.; Bel, Y.; Menezes de Moura, S.; Jurat-Fuentes, J.L.; Grossi de Sa, M.F.; Robles-Fort, A.; Escriche, B. Distinct Impact of Processing on Cross-Order Cry1I Insecticidal Activity. Toxins 2025, 17, 67. https://doi.org/10.3390/toxins17020067
Toledo D, Bel Y, Menezes de Moura S, Jurat-Fuentes JL, Grossi de Sa MF, Robles-Fort A, Escriche B. Distinct Impact of Processing on Cross-Order Cry1I Insecticidal Activity. Toxins. 2025; 17(2):67. https://doi.org/10.3390/toxins17020067
Chicago/Turabian StyleToledo, Dafne, Yolanda Bel, Stefanie Menezes de Moura, Juan Luis Jurat-Fuentes, Maria Fatima Grossi de Sa, Aida Robles-Fort, and Baltasar Escriche. 2025. "Distinct Impact of Processing on Cross-Order Cry1I Insecticidal Activity" Toxins 17, no. 2: 67. https://doi.org/10.3390/toxins17020067
APA StyleToledo, D., Bel, Y., Menezes de Moura, S., Jurat-Fuentes, J. L., Grossi de Sa, M. F., Robles-Fort, A., & Escriche, B. (2025). Distinct Impact of Processing on Cross-Order Cry1I Insecticidal Activity. Toxins, 17(2), 67. https://doi.org/10.3390/toxins17020067

