Exposure to a Combination of Fusarium Mycotoxins Leads to Lipid Peroxidation and Influences Antioxidant Defenses, Fatty Acid Composition of Phospholipids, and Renal Histology in Laying Hens
Abstract
1. Introduction
2. Results
2.1. Body and Kidney Weight
2.2. Indicators of Oxidative Imbalance and Antioxidant Function in the Kidney
2.3. The Composition of Fatty Acids within Phospholipids of the Kidney
2.3.1. Saturated Fatty Acyl Chains
2.3.2. Monounsaturated Fatty Acids
2.3.3. Polyunsaturated Fatty Acyl Chains
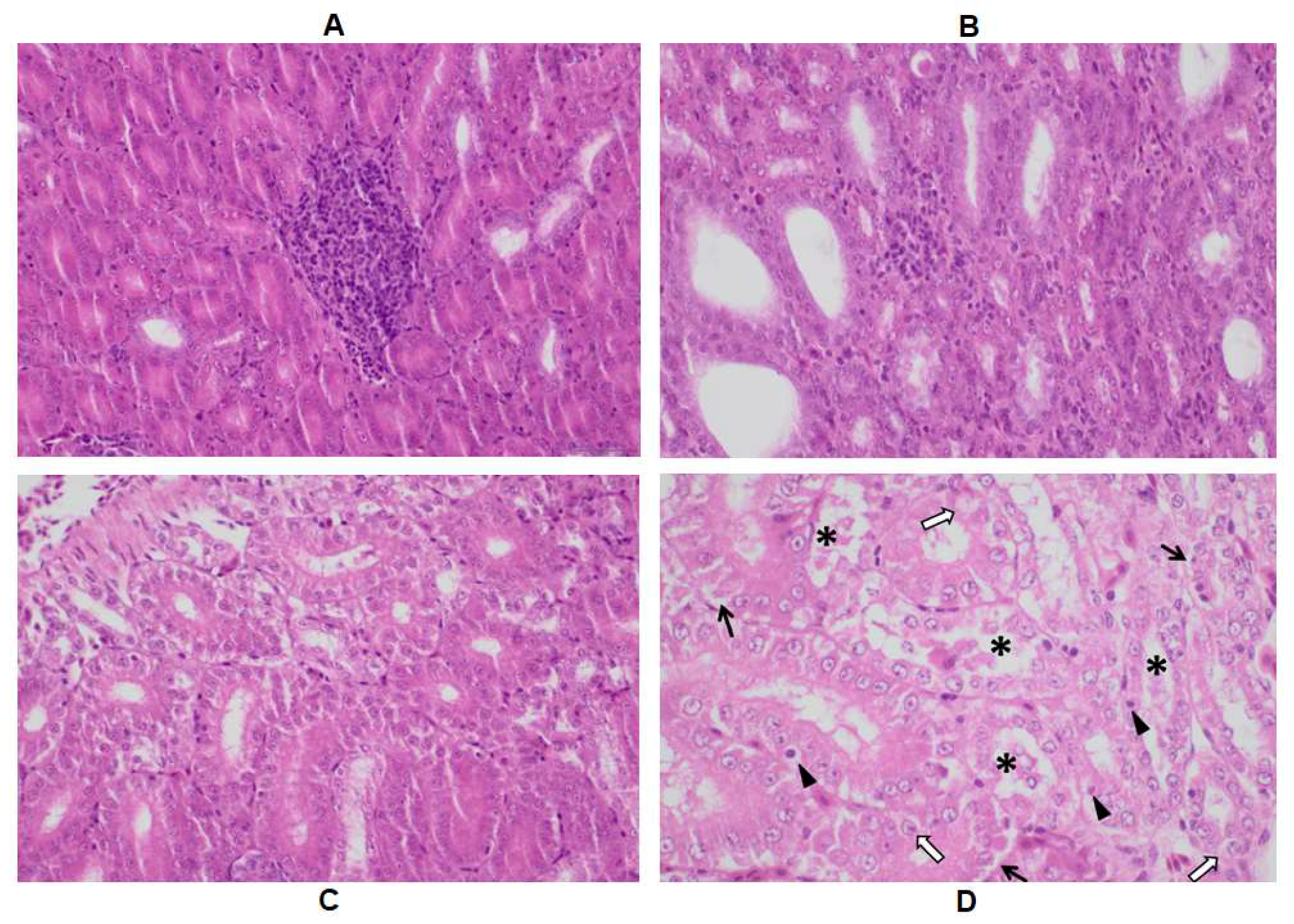
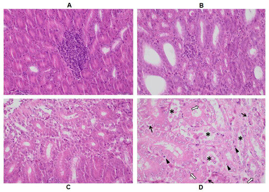
2.4. Renal Tissue Histopathology
The Correlation between Histopathological Observations and Phospholipid Fatty Acid Profiles
3. Discussion
4. Conclusions
5. Materials and Methods
5.1. The Experimental Setup and Its Parameters
5.2. Mycotoxin Assessment and Production
5.3. Methods of the Measurement of the Markers of Glutathione System and Lipid Peroxidation
5.4. Analysis of Lipids
5.5. Preparation of Histological Samples
5.6. Histopathological Evaluation
5.7. Data Analysis
5.8. Ethical Allowance
Author Contributions
Funding
Institutional Review Board Statement
Informed Consent Statement
Data Availability Statement
Conflicts of Interest
Appendix A
| Reduced Glutathione (μmol/g Protein) | ||||
|---|---|---|---|---|
| Day 0 | Day 1 | Day 2 | Day 3 | |
| Control | 12.92 ± 1.18 | 13.05 ± 1.25 | 14.76 ± 1.14 | 10.60 ± 1.24 |
| Low mix | 13.62 ± 0.65 | 10.21 ± 2.59 | 13.54 ± 1.04 | |
| High mix | 15.07 ± 1.34 | 11.56 ± 2.12 | 11.62 ± 0.96 | |
| Glutathione Peroxidase (U/g Protein) | ||||
| Day 0 | Day 1 | Day 2 | Day 3 | |
| Control | 5.48 ± 0.94 | 6.92 ± 0.76 | 8.00 ± 0.06 | 9.33 ± 1.31 |
| Low mix | 7.06 ± 0.59 | 9.51 ± 2.95 | 13.15 ± 2.31 | |
| High mix | 7.57 ± 0.33 | 10.16 ± 2.29 | 10.61 ± 1.54 | |
| Fatty Acid | Exp. Day | Control | Low MIX | High Mix | Sig. | O. Power |
|---|---|---|---|---|---|---|
| C14:0 | D_0 | 0.14 ± 0.02 a | 0.14 ± 0.02 a | 0.14 ± 0.02 a | ||
| D_1 | 0.14 ± 0.02 a | 0.13 ± 0.03 a | 0.14 ± 0.01 a | 0.618 | 0.117 | |
| D_2 | 0.14 ± 0.02 aA | 0.13 ± 0.02 aA | 0.21 ± 0.02 cB | <0.001 | 1 | |
| D_3 | 0.20 ± 0.02 b | 0.20 ± 0.02 b | 0.18 ± 0.02 a | 0.330 | 0.222 | |
| Sig. | <0.001 | <0.001 | <0.001 | |||
| O. power | 1 | 0.994 | 1 | |||
| C16:0 | D_0 | 18.6 ± 0.91 a | 18.6 ± 0.91 a | 18.6 ± 0.91 a | ||
| D_1 | 18.8 ± 0.60 a | 18.9 ± 1.33 a | 19.0 ± 1.03 a | 0.945 | 0.057 | |
| D_2 | 18.6 ± 0.45 aA | 17.7 ± 1.30 aA | 27.9 ± 1.29 cB | <0.001 | 1 | |
| D_3 | 26.9 ± 1.97 bB | 25.4 ± 1.75 bAB | 24.7 ± 1.55 bA | 0.108 | 0.437 | |
| Sig. | <0.001 | <0.001 | <0.001 | |||
| O. power | 1 | 1 | 1 | |||
| C18:0 | D_0 | 21.2 ± 1.12 b | 21.2 ± 1.12 b | 21.2 ± 1.12 c | ||
| D_1 | 20.7 ± 0.60 b | 21.2 ± 1.18 b | 21.0 ± 0.89 c | 0.655 | 0.108 | |
| D_2 | 21.2 ± 0.36 bB | 21.8 ± 1.21 bB | 15.8 ± 1.08 aA | <0.001 | 1 | |
| D_3 | 16.4 ± 1.57 aA | 17.9 ± 1.43 aAB | 18.8 ± 2.03 bB | 0.073 | 0.515 | |
| Sig. | <0.001 | <0.001 | <0.001 | |||
| O. power | 1 | 0.998 | 1 | |||
| C20:0 | D_0 | 0.17 ± 0.02 b | 0.17 ± 0.02 b | 0.17 ± 0.02 b | ||
| D_1 | 0.17 ± 0.01 bAB | 0.17 ± 0.01 bA | 0.16 ± 0.01 bB | 0.067 | 0.529 | |
| D_2 | 0.17 ± 0.01 bB | 0.17 ± 0.01 bB | 0.13 ± 0.01 aA | <0.001 | 1 | |
| D_3 | 0.14 ± 0.01 aA | 0.15 ± 0.01 aA | 0.20 ± 0.04 cB | 0.003 | 0.938 | |
| Sig. | <0.001 | <0.001 | 0.002 | |||
| O. power | 0.996 | 0.993 | 0.963 | |||
| C22:0 | D_0 | 0.11 ± 0.03 b | 0.11 ± 0.03 b | 0.11 ± 0.03 b | ||
| D_1 | 0.10 ± 0.00 bAb | 0.08 ± 0.01 aA | 0.09 ± 0.00 aAB | 0.01 | 0.829 | |
| D_2 | 0.09 ± 0.01 a | 0.10 ± 0.01 ab | 0.09 ± 0.01 b | 0.178 | 0.338 | |
| D_3 | 0.09 ± 0.01 a | 0.09 ± 0.01 a | 0.10 ± 0.03 ab | 0.457 | 0.165 | |
| Sig. | 0.006 | 0.183 | 0.467 | |||
| O. power | 0.875 | 0.334 | 0.161 | |||
| C24:0 | D_0 | 0.01 ± 0.00 b | 0.01 ± 0.00 b | 0.01 ± 0.00 | ||
| D_1 | 0.01 ± 0.00 a | 0.01 ± 0.00 a | 0.01 ± 0.00 | 0.137 | 0.389 | |
| D_2 | 0.01 ± 0.00 a | 0.01 ± 0.00 ab | 0.01 ± 0.00 | 0.784 | 0.082 | |
| D_3 | 0.01 ± 0.00 ab | 0.01 ± 0.00 b | 0.01 ± 0.00 | 0.863 | 0.069 | |
| Sig. | 0.098 | 0.019 | 0.557 | |||
| O. power | 0.457 | 0.747 | 0.133 | |||
| total saturated | D_0 | 40.2 ± 0.34 a | 40.2 ± 0.34 a | 40.2 ± 0.34 a | ||
| D_1 | 40.0 ± 0.55 a | 40.5 ± 0.61 a | 40.4 ± 0.65 a | 0.346 | 0.213 | |
| D_2 | 40.2 ± 0.18 aA | 39.9 ± 0.61 aA | 44.1 ± 0.86 aB | <0.001 | 1 | |
| D_3 | 43.8 ± 0.46 b | 43.7 ± 0.60 b | 44.0 ± 1.19 b | 0.844 | 0.072 | |
| Sig, | <0.001 | <0.001 | <0.001 | |||
| O. power | 1 | 1 | 1 |
| Fatty Acid | Exp. Day | Control | Low Mix | High Mix | Sig. | O. Power | |||||||||
|---|---|---|---|---|---|---|---|---|---|---|---|---|---|---|---|
| C16:1n7 | D_0 | 0.64 | ± | 0.27 | a | 0.64 | ± | 0.27 | a | 0.64 | ± | 0.27 | a | ||
| D_1 | 0.72 | ± | 0.14 | ab | 0.70 | ± | 0.24 | a | 0.77 | ± | 0.09 | ab | 0.804 | 0.079 | |
| D_2 | 0.74 | ± | 0.14 | abA | 0.65 | ± | 0.10 | aA | 1.00 | ± | 0.26 | bB | 0.012 | 0.81 | |
| D_3 | 0.91 | ± | 0.18 | b | 1.01 | ± | 0.23 | b | 0.90 | ± | 0.13 | b | 0.532 | 0.14 | |
| Sig. | 0.083 | 0.015 | 0.105 | ||||||||||||
| O. power | 0.488 | 0.776 | 0.442 | ||||||||||||
| C18:1n9 | D_0 | 13.4 | ± | 1.82 | a | 13.4 | ± | 1.82 | b | 13.4 | ± | 1.82 | a | ||
| D_1 | 12.9 | ± | 0.67 | a | 13.7 | ± | 2.05 | b | 14.0 | ± | 1.24 | a | 0.397 | 0.189 | |
| D_2 | 14.1 | ± | 1.49 | aA | 12.6 | ± | 0.95 | bA | 17.3 | ± | 2.55 | bB | 0.001 | 0.973 | |
| D_3 | 17.4 | ± | 3.03 | b | 18.0 | ± | 1.82 | a | 18.0 | ± | 1.33 | b | 0.853 | 0.07 | |
| Sig, | 0.004 | <0.001 | 0.003 | ||||||||||||
| O. power | 0.92 | 0.999 | 0.931 | ||||||||||||
| C18:1n7 | D_0 | 2.56 | ± | 0.67 | a | 2.56 | ± | 0.67 | a | 2.56 | ± | 0.67 | a | ||
| D_1 | 2.93 | ± | 0.14 | a | 2.71 | ± | 0.33 | a | 2.93 | ± | 0.21 | a | 0.224 | 0.294 | |
| D_2 | 2.97 | ± | 0.14 | aA | 2.76 | ± | 0.28 | aA | 4.00 | ± | 0.54 | bB | <0.001 | 1 | |
| D_3 | 3.66 | ± | 0.25 | bAB | 3.90 | ± | 0.25 | bB | 3.47 | ± | 0.18 | bA | 0.019 | 0.748 | |
| Sig. | <0.001 | <0.001 | <0.001 | ||||||||||||
| O. power | 1 | 1 | 0.993 | ||||||||||||
| C20:1n9 | D_0 | 0.31 | ± | 0.06 | 0.31 | ± | 0.06 | 0.31 | ± | 0.06 | |||||
| D_1 | 0.29 | ± | 0.02 | 0.28 | ± | 0.06 | 0.29 | ± | 0.02 | 0.776 | 0.083 | ||||
| D_2 | 0.32 | ± | 0.04 | 0.29 | ± | 0.05 | 0.32 | ± | 0.08 | 0.533 | 0.14 | ||||
| D_3 | 0.34 | ± | 0.09 | 0.34 | ± | 0.06 | 0.33 | ± | 0.05 | 0.975 | 0.053 | ||||
| Sig. | 0.395 | 0.169 | 0.384 | ||||||||||||
| O. power | 0.19 | 0.349 | 0.195 | ||||||||||||
| C22:1n9 | D_0 | 0.07 | ± | 0.01 | b | 0.07 | ± | 0.01 | 0.07 | ± | 0.01 | ||||
| D_1 | 0.06 | ± | 0.00 | ab | 0.05 | ± | 0.01 | 0.06 | ± | 0.01 | 0.419 | 0.18 | |||
| D_2 | 0.06 | ± | 0.01 | a | 0.06 | ± | 0.01 | 0.06 | ± | 0.01 | 0.868 | 0.068 | |||
| D_3 | 0.06 | ± | 0.01 | a | 0.06 | ± | 0.01 | 0.06 | ± | 0.01 | 0.866 | 0.068 | |||
| Sig. | 0.479 | 0.59 | 0.852 | ||||||||||||
| O. power | 0.157 | 0.124 | 0.071 | ||||||||||||
| C24:1n9 | D_0 | 0.01 | ± | 0.00 | 0.01 | ± | 0.00 | 0.01 | ± | 0.00 | |||||
| D_1 | 0.01 | ± | 0.00 | 0.01 | ± | 0.00 | 0.01 | ± | 0.00 | 0.311 | 0.233 | ||||
| D_2 | 0.01 | ± | 0.00 | 0.01 | ± | 0.00 | 0.01 | ± | 0.00 | 0.303 | 0.237 | ||||
| D_3 | 0.01 | ± | 0.00 | 0.01 | ± | 0.00 | 0.01 | ± | 0.00 | 0.496 | 0.151 | ||||
| Sig. | 0.608 | 0.411 | 0.84 | ||||||||||||
| O. power | 0.119 | 0.183 | 0.072 | ||||||||||||
| total monounsaturated | D_0 | 17.0 | ± | 2.59 | a | 17.0 | ± | 2.59 | a | 17.0 | ± | 2.59 | a | ||
| D_1 | 16.9 | ± | 0.85 | a | 17.5 | ± | 2.53 | a | 18.0 | ± | 1.35 | a | 0.53 | 0.141 | |
| D_2 | 18.2 | ± | 1.62 | aA | 16.3 | ± | 1.15 | aA | 22.7 | ± | 3.25 | bB | <0.001 | 0.99 | |
| D_3 | 22.4 | ± | 3.22 | b | 23.3 | ± | 2.10 | b | 22.8 | ± | 1.26 | b | 0.787 | 0.486 | |
| Sig. | 0.001 | <0.001 | 0.002 | ||||||||||||
| O. power | 0.971 | 1 | 0.952 | ||||||||||||
| Fatty Acid | Exp. Day | Control | Low Mix | High Mix | Sig. | O. Power | |||||||||
|---|---|---|---|---|---|---|---|---|---|---|---|---|---|---|---|
| C18:2n6 | D_0 | 11.3 | ± | 2.19 | a | 11.3 | ± | 2.19 | 11.3 | ± | 2.19 | a | |||
| D_1 | 12.1 | ± | 0.46 | ab | 13.0 | ± | 1.78 | 12.0 | ± | 1.08 | ab | 0.292 | 0.244 | ||
| D_2 | 11.6 | ± | 0.84 | ab | 12.7 | ± | 1.98 | 14.0 | ± | 3.17 | b | 0.196 | 0.32 | ||
| D_3 | 13.1 | ± | 1.62 | b | 12.7 | ± | 2.86 | 11.9 | ± | 1.08 | ab | 0.565 | 0.13 | ||
| Sig. | 0.083 | 0.957 | 0.151 | ||||||||||||
| O. power | 0.489 | 0.055 | 0.371 | ||||||||||||
| C18:3n6 | D_0 | 0.07 | ± | 0.03 | a | 0.07 | ± | 0.03 | a | 0.07 | ± | 0.03 | a | ||
| D_1 | 0.08 | ± | 0.01 | a | 0.08 | ± | 0.02 | a | 0.08 | ± | 0.01 | a | 0.785 | 0.082 | |
| D_2 | 0.08 | ± | 0.02 | aA | 0.07 | ± | 0.01 | aA | 0.10 | ± | 0.01 | bB | 0.006 | 0.881 | |
| D_3 | 0.11 | ± | 0.02 | bB | 0.11 | ± | 0.02 | bAB | 0.09 | ± | 0.01 | abA | 0.09 | 0.474 | |
| Sig. | 0.005 | 0.006 | 0.002 | ||||||||||||
| O. power | 0.893 | 0.877 | 0.948 | ||||||||||||
| C18:3n3 | D_0 | 0.03 | ± | 0.01 | 0.03 | ± | 0.01 | 0.03 | ± | 0.01 | ab | ||||
| D_1 | 0.03 | ± | 0.00 | B | 0.02 | ± | 0.00 | A | 0.02 | ± | 0.01 | aAB | 0.082 | 0.491 | |
| D_2 | 0.02 | ± | 0.00 | A | 0.02 | ± | 0.00 | A | 0.03 | ± | 0.01 | bB | 0.007 | 0.867 | |
| D_3 | 0.02 | ± | 0.00 | 0.02 | ± | 0.01 | 0.02 | ± | 0.00 | a | 0.348 | 0.212 | |||
| Sig. | 0.076 | 0.41 | 0.062 | ||||||||||||
| O. power | 0.505 | 0.183 | 0.546 | ||||||||||||
| C20:2n6 | D_0 | 0.75 | ± | 0.22 | 0.75 | ± | 0.22 | 0.75 | ± | 0.22 | |||||
| D_1 | 0.79 | ± | 0.04 | 0.75 | ± | 0.10 | 0.73 | ± | 0.11 | 0.564 | 0.131 | ||||
| D_2 | 0.73 | ± | 0.05 | A | 0.81 | ± | 0.06 | AB | 0.89 | ± | 0.15 | B | 0.033 | 0.659 | |
| D_3 | 0.86 | ± | 0.17 | 0.82 | ± | 0.09 | 0.71 | ± | 0.12 | 0.167 | 0.351 | ||||
| Sig. | 0.147 | 0.323 | 0.049 | ||||||||||||
| O. power | 0.376 | 0.226 | 0.589 | ||||||||||||
| C20:3n9 | D_0 | 0.40 | ± | 0.21 | 0.40 | ± | 0.21 | 0.40 | ± | 0.21 | |||||
| D_1 | 0.37 | ± | 0.09 | 0.31 | ± | 0.23 | 0.43 | ± | 0.14 | 0.453 | 0.166 | ||||
| D_2 | 0.39 | ± | 0.16 | 0.32 | ± | 0.10 | 0.36 | ± | 0.28 | 0.814 | 0.077 | ||||
| D_3 | 0.30 | ± | 0.16 | 0.36 | ± | 0.21 | 0.39 | ± | 0.14 | 0.699 | 0.098 | ||||
| Sig. | 0.572 | 0.863 | 0.819 | ||||||||||||
| O. power | 0.129 | 0.069 | 0.076 | ||||||||||||
| C20:3n6 | D_0 | 4.40 | ± | 1.46 | 4.40 | ± | 1.46 | 4.40 | ± | 1.46 | |||||
| D_1 | 4.44 | ± | 0.83 | 3.94 | ± | 0.62 | 4.12 | ± | 0.45 | 0.421 | 0.179 | ||||
| D_2 | 4.60 | ± | 0.52 | 4.12 | ± | 0.29 | 4.68 | ± | 0.72 | 0.191 | 0.325 | ||||
| D_3 | 4.43 | ± | 0.58 | 4.41 | ± | 0.38 | 4.62 | ± | 0.35 | 0.672 | 0.104 | ||||
| Sig. | 0.889 | 0.232 | 0.168 | ||||||||||||
| O. power | 0.065 | 0.288 | 0.35 | ||||||||||||
| C20:4n6 | D_0 | 21.3 | ± | 2.29 | b | 21.3 | ± | 2.29 | b | 21.3 | ± | 2.29 | b | ||
| D_1 | 21.2 | ± | 0.69 | b | 19.7 | ± | 2.30 | b | 19.9 | ± | 0.64 | b | 0.175 | 0.341 | |
| D_2 | 19.7 | ± | 1.21 | bB | 21.5 | ± | 1.44 | bB | 10.3 | ± | 1.17 | aA | <0.001 | 1 | |
| D_3 | 12.0 | ± | 2.47 | a | 11.3 | ± | 1.63 | a | 12.3 | ± | 0.99 | a | 0.656 | 0.108 | |
| Sig. | <0.001 | <0.001 | <0.001 | ||||||||||||
| O. power | 1 | 1 | 1 | ||||||||||||
| C20:3n3 | D_0 | 0.03 | ± | 0.02 | 0.03 | ± | 0.02 | 0.03 | ± | 0.02 | |||||
| D_1 | 0.03 | ± | 0.00 | 0.03 | ± | 0.01 | 0.03 | ± | 0.01 | 0.971 | 0.054 | ||||
| D_2 | 0.03 | ± | 0.01 | 0.03 | ± | 0.01 | 0.04 | ± | 0.02 | 0.536 | 0.139 | ||||
| D_3 | 0.04 | ± | 0.02 | 0.03 | ± | 0.01 | 0.02 | ± | 0.01 | 0.289 | 0.246 | ||||
| Sig. | 0.361 | 0.859 | 0.341 | ||||||||||||
| O. power | 0.206 | 0.07 | 0.216 | ||||||||||||
| C20:4n3 | D_0 | 0.02 | ± | 0.01 | 0.02 | ± | 0.01 | 0.02 | ± | 0.01 | a | ||||
| D_1 | 0.03 | ± | 0.01 | 0.02 | ± | 0.01 | 0.03 | ± | 0.01 | b | 0.26 | 0.266 | |||
| D_2 | 0.03 | ± | 0.01 | 0.03 | ± | 0.00 | 0.03 | ± | 0.01 | ab | 0.511 | 0.147 | |||
| D_3 | 0.03 | ± | 0.01 | 0.03 | ± | 0.01 | 0.03 | ± | 0.01 | b | 0.775 | 0.083 | |||
| Sig. | 0.501 | 0.224 | 0.921 | ||||||||||||
| O. power | 0.15 | 0.294 | 0.06 | ||||||||||||
| C20:5n3 | D_0 | 0.27 | ± | 0.05 | b | 0.27 | ± | 0.05 | c | 0.27 | ± | 0.05 | c | ||
| D_1 | 0.23 | ± | 0.04 | ab | 0.19 | ± | 0.05 | b | 0.22 | ± | 0.01 | c | 0.204 | 0.312 | |
| D_2 | 0.22 | ± | 0.03 | aB | 0.25 | ± | 0.06 | bAB | 0.13 | ± | 0.04 | aA | 0.001 | 0.972 | |
| D_3 | 0.16 | ± | 0.04 | a | 0.15 | ± | 0.03 | a | 0.18 | ± | 0.03 | b | 0.25 | 0.274 | |
| Sig. | 0.014 | 0.006 | 0.001 | ||||||||||||
| O. power | 0.786 | 0.88 | 0.972 | ||||||||||||
| C22:4n6 | D_0 | 1.37 | ± | 0.14 | b | 1.37 | ± | 0.14 | b | 1.37 | ± | 0.14 | b | ||
| D_1 | 1.31 | ± | 0.09 | b | 1.23 | ± | 0.19 | ab | 1.35 | ± | 0.09 | b | 0.32 | 0.228 | |
| D_2 | 1.33 | ± | 0.09 | bB | 1.31 | ± | 0.22 | abB | 0.96 | ± | 0.23 | aA | 0.007 | 0.866 | |
| D_3 | 1.01 | ± | 0.10 | a | 1.10 | ± | 0.23 | a | 1.08 | ± | 0.14 | a | 0.611 | 0.119 | |
| Sig. | <0.001 | 0.294 | 0.003 | ||||||||||||
| O. power | 1 | 0.243 | 0.939 | ||||||||||||
| C22:5n6 | D_0 | 1.31 | ± | 0.36 | b | 1.31 | ± | 0.36 | b | 1.31 | ± | 0.36 | b | ||
| D_1 | 1.14 | ± | 0.28 | b | 1.23 | ± | 0.34 | ab | 1.26 | ± | 0.18 | b | 0.736 | 0.091 | |
| D_2 | 1.27 | ± | 0.36 | bB | 1.14 | ± | 0.33 | bAB | 0.70 | ± | 0.21 | aA | 0.014 | 0.789 | |
| D_3 | 0.77 | ± | 0.18 | a | 0.89 | ± | 0.22 | a | 0.89 | ± | 0.17 | a | 0.504 | 0.149 | |
| Sig. | 0.02 | 0.162 | <0.001 | ||||||||||||
| O. power | 0.735 | 0.357 | 0.992 | ||||||||||||
| C22:5n3 | D_0 | 0.22 | ± | 0.03 | 0.22 | ± | 0.03 | 0.22 | ± | 0.03 | |||||
| D_1 | 0.26 | ± | 0.02 | 0.24 | ± | 0.05 | 0.23 | ± | 0.03 | 0.541 | 0.138 | ||||
| D_2 | 0.28 | ± | 0.07 | 0.24 | ± | 0.04 | 0.22 | ± | 0.03 | 0.138 | 0.388 | ||||
| D_3 | 0.25 | ± | 0.07 | 0.25 | ± | 0.04 | 0.22 | ± | 0.02 | 0.413 | 0.182 | ||||
| Sig. | 0.758 | 0.855 | 0.464 | ||||||||||||
| O. power | 0.087 | 0.07 | 0.162 | ||||||||||||
| C22:6n3 | D_0 | 1.25 | ± | 0.25 | b | 1.25 | ± | 0.25 | b | 1.25 | ± | 0.25 | b | ||
| D_1 | 1.14 | ± | 0.20 | b | 1.22 | ± | 0.20 | b | 1.17 | ± | 0.15 | b | 0.747 | 0.089 | |
| D_2 | 1.34 | ± | 0.15 | bB | 1.25 | ± | 0.15 | bB | 0.68 | ± | 0.14 | aA | <0.001 | 1 | |
| D_3 | 0.80 | ± | 0.12 | a | 0.76 | ± | 0.08 | a | 0.82 | ± | 0.15 | a | 0.663 | 0.106 | |
| Sig. | <0.001 | <0.001 | <0.001 | ||||||||||||
| O. power | 0.998 | 1 | 0.999 | ||||||||||||
| total n3 | D_0 | 1.82 | ± | 0.26 | b | 1.82 | ± | 0.26 | b | 1.82 | ± | 0.26 | b | ||
| D_1 | 1.71 | ± | 0.22 | b | 1.72 | ± | 0.23 | b | 1.71 | ± | 0.17 | b | 0.987 | 0.052 | |
| D_2 | 1.92 | ± | 0.23 | bB | 1.81 | ± | 0.14 | bB | 1.12 | ± | 0.18 | aA | <0.001 | 1 | |
| D_3 | 1.31 | ± | 0.20 | a | 1.23 | ± | 0.13 | a | 1.29 | ± | 0.18 | a | 0.735 | 0.091 | |
| Sig. | <0.001 | <0.001 | <0.001 | ||||||||||||
| O. power | 0.987 | 0.999 | 0.999 | ||||||||||||
| total n6 | D_0 | 40.5 | ± | 2.63 | b | 40.5 | ± | 2.63 | b | 40.5 | ± | 2.63 | b | ||
| D_1 | 41.1 | ± | 0.48 | b | 40.0 | ± | 2.53 | b | 39.4 | ± | 1.40 | b | 0.271 | 0.258 | |
| D_2 | 39.3 | ± | 1.71 | bB | 41.7 | ± | 1.50 | bB | 31.7 | ± | 2.71 | aA | <0.001 | 1 | |
| D_3 | 32.3 | ± | 2.76 | a | 31.4 | ± | 2.03 | a | 31.6 | ± | 1.02 | a | 0.739 | 0.09 | |
| Sig. | <0.001 | <0.001 | <0.001 | ||||||||||||
| O. power | 1 | 1 | 1 | ||||||||||||

References
- DSM. 2023. Available online: https://www.dsm.com/content/dam/dsm/anh/en/documents/REP_MTXsurvey_Q3_2023_EN_1123_AUE.pdf (accessed on 2 February 2024).
- Eriksen, G.S.; Pettersson, H. Toxicological evaluation of trichothecenes in animal feed. Anim. Feed Sci. Technol. 2004, 114, 205–239. [Google Scholar]
- Awad, W.; Ghareeb, K.; Böhm, J.; Zentek, J. The toxicological impacts of the Fusarium mycotoxin, deoxynivalenol, in poultry flocks with special reference to immunotoxicity. Toxins 2013, 5, 912–925. [Google Scholar] [PubMed]
- Lee, J.T.; Jessen, K.A.; Beltran, R.; Starkl, V.; Schatzmayr, G.; Borutova, R.; Caldwell, D.J. Effects of mycotoxin-contaminated diets and deactivating compound in laying hens: 2. Effects on white shell egg quality and characteristics. Poult. Sci. 2012, 91, 2096–2104. [Google Scholar] [PubMed]
- Wan, Q.; He, Q.; Deng, X.; Hao, F.; Tang, H.; Wang, Y. Systemic metabolic responses of broiler chickens and piglets to acute T-2 toxin intravenous exposure. J. Agric. Food Chem. 2016, 64, 714–723. [Google Scholar] [CrossRef] [PubMed]
- Zhang, X.; Li, B.; Huo, S.; Du, J.; Zhang, J.; Song, M.; Cui, Y.; Li, Y. T-2 toxin induces kidney fibrosis via the mtROS-NLRP3-Wnt/β-catenin axis. J. Agric. Food Chem. 2022, 70, 13765–13777. [Google Scholar] [CrossRef] [PubMed]
- Li, F.; Yuan, X.; Huang, L.; Liu, Q.; Chen, W.; Wang, C. Effects of deoxynivalenol on the histomorphology of the liver and kidneys and the expression of MAPKs in weaned rabbits. World Mycotox. J. 2022, 15, 393–406. [Google Scholar] [CrossRef]
- Laurain, J.; Tardieu, D.; Matard-Mann, M.; Rodriguez, M.A.; Guerre, P. Fumonisin B1 accumulates in chicken tissues over time and this accumulation was reduced by feeding algo-clay. Toxins 2021, 13, 701. [Google Scholar] [CrossRef] [PubMed]
- Dazuk, V.; Boiago, M.M.; Rolim, G.; Paravisi, A.; Copetti, P.M.; Bissacotti, B.F.; Morsch, V.M.; Vedovatto, M.; Gazoni, F.L.; Matte, F.; et al. Laying hens fed mycotoxin-contaminated feed produced by Fusarium fungi (T-2 toxin and fumonisin B1) and Saccharomyces cerevisiae lysate: Impacts on poultry health, productive efficiency, and egg quality. Microb. Pathog. 2020, 149, 104517. [Google Scholar] [CrossRef] [PubMed]
- Keck, B.B.; Bodine, A.B. The effects of fumonisin B1 on viability and mitogenic response of avian immune cells. Poult. Sci. 2006, 85, 1020–1024. [Google Scholar] [CrossRef]
- Thrane, U.; Adler, A.; Clasen, P.E.; Galvano, F.; Langseth, W.; Lew, H.; Logrieco, A.; Nielsen, K.F.; Ritieni, A. Diversity in metabolite production by Fusarium langsethiae, Fusarium poae, and Fusarium sporotrichioides. Int. J. Food Microbiol. 2004, 95, 257–266. [Google Scholar] [CrossRef]
- Appell, M.; Bosma, W.B. Assessment of the electronic structure and properties of trichothecene toxins using density functional theory. J. Hazard. Mater. 2015, 288, 113–123. [Google Scholar] [CrossRef] [PubMed]
- Cundliffe, E.; Davies, J.E. Inhibition of initiation, elongation, and termination of eukaryotic protein synthesis by trichothecene fungal toxins. Antimicrob. Agents Chemother. 1977, 11, 491–499. [Google Scholar] [CrossRef] [PubMed]
- Chandratre, C.A.; Telang, A.G.; Badgujar, P.C.; Raut, S.S.; Sharma, A.K. Toxicopathological alterations induced by high dose dietary T-2 mycotoxin and its residue detection in Wistar rats. Arch. Environ. Contam. Toxicol. 2014, 67, 124–138. [Google Scholar] [PubMed]
- Suneja, S.K.; Wagle, D.S.; Ram, G.C. Effect of oral administration of T-2 toxin on glutathione shuttle enzymes, microsomal reductases and lipid peroxidation in rat liver. Toxicon 1989, 27, 995–1001. [Google Scholar] [CrossRef] [PubMed]
- Nelson, P.E.; Plattner, R.D.; Shackelford, D.D.; Desjardins, A.E. Fumonisin B1 production by Fusarium species other than F. moniliforme in section Liseola and by some related species. Appl. Environ. Microbiol. 1992, 58, 984–989. [Google Scholar] [CrossRef] [PubMed]
- Wang, E.; Norred, W.P.; Bacon, C.W.; Riley, R.T.; Merrill, A.H., Jr. Inhibition of sphingolipid biosynthesis by fumonisins. Implications for diseases associated with Fusarium moniliforme. J. Biol. Chem. 1991, 266, 14486–14490. [Google Scholar] [CrossRef] [PubMed]
- Wang, X.; Wu, Q.; Wan, D.; Liu, Q.; Chen, D.; Liu, Z.; Martínez-Larranaga, M.R.; Martínez, M.A.; Anadón, A.; Yuan, Z. Fumonisins: Oxidative stress-mediated toxicity and metabolism in vivo and in vitro. Arch. Toxicol. 2016, 90, 81–101. [Google Scholar] [CrossRef]
- Khan, R.B.; Phulukdaree, A.; Chuturgoon, A.A. Fumonisin B1 induces oxidative stress in oesophageal (SNO) cancer cells. Toxicon 2018, 141, 104–111. [Google Scholar] [CrossRef]
- Cao, C.; Xian, R.; Lin, F.; Li, X.; Li, X.; Qiang, F.; Li, X. Fumonisin B1 induces hepatotoxicity in mice through the activation of oxidative stress, apoptosis and fibrosis. Chemosphere 2022, 296, 133910. [Google Scholar] [CrossRef]
- Szabó, A.; Szabó-Fodor, J.; Fébel, H.; Mézes, M.; Bajzik, G.; Kovács, M. Oral administration of fumonisin B 1 and T-2 individually and in combination affects hepatic total and mitochondrial membrane lipid profile of rabbits. Physiol. Int. 2016, 103, 321–333. [Google Scholar] [CrossRef]
- Ali, O.; Mézes, M.; Balogh, K.; Kovács, M.; Szabó, A. The effects of mixed Fusarium mycotoxins at EU-permitted feed levels on weaned piglets’ tissue lipids. Toxins 2021, 13, 444. [Google Scholar] [CrossRef] [PubMed]
- Szabó, A.; Szabó-Fodor, J.; Fébel, H.; Mézes, M.; Balogh, K.; Bázár, G.; Kocsó, D.; Ali, O.; Kovács, M. Individual and combined effects of fumonisin B1, deoxynivalenol and zearalenone on the hepatic and renal membrane lipid integrity of rats. Toxins 2017, 10, 4. [Google Scholar] [CrossRef]
- Ali, O.; Szabó, A. Review of eukaryote cellular membrane lipid Composition, with special attention to the fatty acids. Int. J. Mol. Sci. 2023, 24, 15693. [Google Scholar] [CrossRef]
- Pelyhe, C.S.; Kövesi, B.; Zándoki, E.; Kovács, B.; Erdélyi, M.; Kulcsár, S.Z.; Mézes, M.; Balogh, K. Multi-trichothecene mycotoxin exposure activates glutathione-redox system in broiler chicken. Toxicon 2018, 153, 53–57. [Google Scholar] [CrossRef]
- Bócsai, A.; Ancsin, Z.S.; Fernye, C.S.; Zándoki, E.; Szabó-Fodor, J.; Erdélyi, M.; Mézes, M.; Balogh, K. Dose-dependent short-term effects of T-2 toxin exposure on lipid peroxidation and antioxidant parameters of laying hens. Eur. Poult. Sci. 2015, 79, 115. [Google Scholar]
- Nakade, M.; Pelyhe, C.S.; Kövesi, B.; Balogh, K.; Kovács, B.; Szabó-Fodor, J.; Zándoki, E.; Mézes, M.; Erdélyi, M. Short-term effects of T-2 toxin or deoxynivalenol on glutathione status and expression of its regulatory genes in chicken. Acta Vet. Hung. 2018, 66, 28–39. [Google Scholar] [CrossRef]
- Wu, Q.; Dohnal, V.; Huang, L.; Kuča, K.; Yuan, Z. Metabolic pathways of trichothecenes. Drug Metab. Rev. 2010, 42, 250–267. [Google Scholar] [CrossRef] [PubMed]
- Guerre, P.; Matard-Mann, M.; Collén, P.N. Targeted sphingolipid analysis in chickens suggests different mechanisms of fumonisin toxicity in kidney, lung, and brain. Food Chem. Toxicol. 2022, 170, 113467. [Google Scholar] [CrossRef]
- Li, J.; Zhu, M.; Xian, R.; Chen, S.; Zang, Q.; Zhu, H.; Cao, C. A preliminary study on the pathology and molecular mechanism of fumonisin B1 nephrotoxicity in young quails. Environ. Sci. Pollut. Res. 2023, 30, 114438–114451. [Google Scholar] [CrossRef]
- Li, S.J.; Zhang, G.; Xue, B.; Ding, Q.; Han, L.; Huang, J.C.; Wu, F.; Li, C.; Yang, C. Toxicity and detoxification of T-2 toxin in poultry. Food Chem. Toxicol. 2022, 169, 113392. [Google Scholar] [CrossRef]
- Awad, W.A.; Ghareeb, K.; Bohm, J.; Razzazi, E.; Hellweg, P.; Zentek, J. The impact of the Fusarium toxin deoxynivalenol (DON) on poultry. Int. J. Poult. Sci. 2008, 7, 827–842. [Google Scholar] [CrossRef]
- Lee, J.T.; Jessen, K.A.; Beltran, R.; Starkl, V.; Schatzmayr, G.; Borutova, R.; Caldwell, D.J. Mycotoxin-contaminated diets and deactivating compound in laying hens: 1. Effects on performance characteristics and relative organ weight. Poult. Sci. 2012, 91, 2089–2095. [Google Scholar] [CrossRef] [PubMed]
- Khan, M.A.; Iqbal, A.; Bhat, A.A.; Asrani, R.K. Histopathological changes in the kidneys of Japanese quail associated with fumonisin B 1 and ochratoxin A in feed. Comp. Clin. Path. 2013, 22, 955–959. [Google Scholar] [CrossRef]
- Jeurissen, S.H.M. Structure and function of the chicken spleen. Res. Immunol. 1991, 142, 352–355. [Google Scholar] [CrossRef] [PubMed]
- The Commission Of The European Communities. European Commission Recommendation of 17 August 2006 on the presence of deoxynivalenol, zearalenone, ochratoxin A, T-2 and HT-2 and fumonisins in products intended for animal feeding. Off. J. Eur. Union 2007, L 118M, 1111–1113. [Google Scholar]
- Kulcsár, S.; Turbók, J.; Kövér, G.; Balogh, K.; Zándoki, E.; Gömbös, P.; Ali, O.; Szabó, A.; Mézes, M. The Effect of Combined Exposure of Fusarium Mycotoxins on Lipid Peroxidation, Antioxidant Defense, Fatty Acid Profile, and Histopathology in Laying Hens’ Liver. Toxins 2024, 16, 179. [Google Scholar] [CrossRef] [PubMed]
- Association of Official Analytical Chemists. Official Methods of Analysis (28.054), 14th ed.; Association of Official Analytical Chemists: Arlington, VI, USA, 1984; p. 243. [Google Scholar]
- Placer, Z.A.; Cushman, L.L.; Johnson, B.C. Estimation of product of lipid peroxidation (malonyl diadehyde) in biochemical systems. Anal. Biochem. 1966, 16, 359–364. [Google Scholar] [CrossRef]
- Gutteridge, J.M.C. The use of standards for malonyldialdehyde. Anal.Biochem. 1975, 69, 518–526. [Google Scholar] [CrossRef] [PubMed]
- Sedlak, J.; Lindsay, R.H. Estimation of total, protein-bound and non-protein sulfhydryl groups in tissues with Ellmann’s reagent. Anal. Biochem. 1968, 25, 192–205. [Google Scholar] [CrossRef]
- Lawrence, R.A.; Burk, R.F. Glutathione peroxidase activity in selenium-deficient rat liver. Biochem. Biophys. Res. Commun. 1976, 71, 952–956. [Google Scholar] [CrossRef]
- Lowry, O.H.; Rosebrough, N.J.; Farr, A.L.; Randall, R.J. Protein measurement with the Folin phenol reagent. J. Biol. Chem. 1951, 193, 265–275. [Google Scholar] [CrossRef] [PubMed]
- Folch, J.; Lees, M.; Sloane Stanley, G.H. A simple method for the isolation and purification of total lipids from animal tissues. J. Biol. Chem. 1957, 226, 497–509. [Google Scholar] [CrossRef] [PubMed]
- Leray, C.; Andriamampandry, M.; Gutbier, G.; Cavadenti, J.; Klein-Soyer, C.; Gachet, C.; Cazenave, J.P. Quantitative analysis of vitamin E, cholesterol and phospholipid fatty acids in a single aliquot of human platelets and cultured endothelial cells. J. Chromatogr. B 1997, 696, 33–42. [Google Scholar] [CrossRef] [PubMed]
- Christie, W.W. A simple procedure for rapid transmethylation of glycerolipids and cholesteryl esters. J. Lipid Res. 1982, 23, 1072–1075. [Google Scholar] [CrossRef] [PubMed]


| Exp. Day | Control | Low Mix | High Mix | p | Observed Power | |
|---|---|---|---|---|---|---|
| Bodyweight (g) | 0 | 1645.8 ± 317.6 | 1645.8 ± 317.6 | 1645.8 ± 317.6 | ||
| 1 | 1590.8 ± 209.5 | 1537.5 ± 138.9 | 1709.2 ± 158.1 | |||
| 2 | 1699.5 ± 73.4 | 1597.0 ± 120.3 | 1615.8 ± 123.7 | |||
| 3 | 1652.8 ± 172.6 | 1626.2 ± 77.2 | 1677.3 ± 105.2 | |||
| Relative kidney weight (% of BW) | 0 | 0.31 ± 0.07 a | 0.31 ± 0.07 a | 0.31 ± 0.07 a | ||
| 1 | 0.36 ± 0.08 aA | 0.48 ± 0.10 abAB | 0.52 ± 0.06 bB | 0.012 | 0.807 | |
| 2 | 0.61 ± 0.09 b | 0.52 ± 0.10 b | 0.57 ± 0.14 b | 0.13 | 0.181 | |
| 3 | 0.65 ± 0.08 b | 0.62 ± 0.21 b | 0.57 ± 0.16 b | 0.696 | 0.099 | |
| p | 0.001 | 0.29 | 0.746 | |||
| Observed power | 1 | 0.245 | 0.089 |
| Control | Low Mix | High Mix | |
|---|---|---|---|
| Kidney | |||
| Day 1 Day 2 Day 3 | 3.67 ± 3.14 1.50 ± 1.38 2.50 ± 1.98 | 4.00 ± 2.83 1.83 ± 1.33 3.83 ± 2.64 | 1.83 ± 1.33 a 3.83 ± 1.72 ab 4.50 ± 1.87 b |
| Symptom/FA | C14:0 | C16:0 | C20:2 n6 | C20:5 n3 | SFA | |
|---|---|---|---|---|---|---|
| S1 | Coefficient of correlation | 0.404 | 0.41 | −0.4 | 0.407 | |
| Sig. (two-tailed) | 0.02 | 0.02 | 0.02 | 0.02 | ||
| S2 | Coefficient of correlation | 0.521 | ||||
| Sig. (two-tailed) | 0.05 | |||||
| Group | T-2/HT-2 | DON/3-AcDON/15-AcDON | FB1 |
|---|---|---|---|
| Control Low mix High mix | <0.01 0.13/- 0.29/- | <0.01 0.67/0.56/0.01 2.70/0.89/0.05 | <0.01 20.00 40.30 |
Disclaimer/Publisher’s Note: The statements, opinions and data contained in all publications are solely those of the individual author(s) and contributor(s) and not of MDPI and/or the editor(s). MDPI and/or the editor(s) disclaim responsibility for any injury to people or property resulting from any ideas, methods, instructions or products referred to in the content. |
© 2024 by the authors. Licensee MDPI, Basel, Switzerland. This article is an open access article distributed under the terms and conditions of the Creative Commons Attribution (CC BY) license (https://creativecommons.org/licenses/by/4.0/).
Share and Cite
Kulcsár, S.; Turbók, J.; Kövér, G.; Balogh, K.; Zándoki, E.; Ali, O.; Szabó, A.; Mézes, M. Exposure to a Combination of Fusarium Mycotoxins Leads to Lipid Peroxidation and Influences Antioxidant Defenses, Fatty Acid Composition of Phospholipids, and Renal Histology in Laying Hens. Toxins 2024, 16, 226. https://doi.org/10.3390/toxins16050226
Kulcsár S, Turbók J, Kövér G, Balogh K, Zándoki E, Ali O, Szabó A, Mézes M. Exposure to a Combination of Fusarium Mycotoxins Leads to Lipid Peroxidation and Influences Antioxidant Defenses, Fatty Acid Composition of Phospholipids, and Renal Histology in Laying Hens. Toxins. 2024; 16(5):226. https://doi.org/10.3390/toxins16050226
Chicago/Turabian StyleKulcsár, Szabina, Janka Turbók, György Kövér, Krisztián Balogh, Erika Zándoki, Omeralfaroug Ali, András Szabó, and Miklós Mézes. 2024. "Exposure to a Combination of Fusarium Mycotoxins Leads to Lipid Peroxidation and Influences Antioxidant Defenses, Fatty Acid Composition of Phospholipids, and Renal Histology in Laying Hens" Toxins 16, no. 5: 226. https://doi.org/10.3390/toxins16050226
APA StyleKulcsár, S., Turbók, J., Kövér, G., Balogh, K., Zándoki, E., Ali, O., Szabó, A., & Mézes, M. (2024). Exposure to a Combination of Fusarium Mycotoxins Leads to Lipid Peroxidation and Influences Antioxidant Defenses, Fatty Acid Composition of Phospholipids, and Renal Histology in Laying Hens. Toxins, 16(5), 226. https://doi.org/10.3390/toxins16050226

